Рентгенограмма, КТ, МРТ при костно-хрящевом повреждении плечевого сустава
Добавил пользователь Владимир З. Обновлено: 21.11.2025
МРТ и КТ плечевого сустава являются двумя основными высокоинформативными способами диагностировать патологии в области плеча. У многих пациентов возникает вопрос, в чем же отличия между МРТ и КТ (МСКТ) плеча
МРТ и КТ плечевого сустава являются двумя основными высокоинформативными способами диагностировать патологии в области плеча. У многих пациентов возникает вопрос, в чем же отличия между МРТ и КТ (МСКТ) плеча, и что лучше: сделать МРТ плечевого сустава или КТ. Давайте разбираться вместе.
Методы диагностики плечевого сустава
Для диагностики повреждений плечевого сустава используют различные методы визуализации, включая:
- рентгенологические исследование;
- компьютерную томографию (МСКТ);
- ультразвуковое исследование (УЗИ);
- магнитно-резонансную томографию (МРТ).
У каждого способа обследования имеются свои преимущества и недостатки. На сегодняшний день ведущую роль в визуализации вне- и внутрисуставных структур плечевого сустава играет МРТ, которая позволяет выявлять мягкотканные и костные повреждения в суставах. Она может осуществляться по двум базовым протоколам - бесконтрастная томография и МРТ плечевого сустава с применением парамагнитных контрастных веществ (она же МР артрография). Лидирующую роль в оценке состояния костей плеча играет спиральная компьютерная томография.

Сведение об исследовании
- Продолжительность: 30-40 минут
- Требование к подготовке: Нет
- Назначение врача: Не требуется
- Применение контраста: По назначению врача
- Противопоказания и ограничения: Есть
- Рекомендуемая мощность аппарата: Любая
- Время выдачи результатов: 30-40 минут
- Что входит в стоимость: Заключение + запись снимков

- Продолжительность: 3-7 минут
- Требование к подготовке: Нет
- Назначение врача: Не требуется
- Применение контраста: По назначению врача
- Противопоказания и ограничения: Есть
- Минимальная мощность аппарата: Любая
- Время выдачи результатов: 30-40 минут
- Что входит в стоимость: Заключение + запись снимков
КТ и МРТ плечевого сустава - в чем разница
В принципе действия компьютерной и магнитной томографии существует серьезная разница. При проведении КТ (МСКТ) плечевого сустав рентгеновские лучи воздействуют на исследуемую область человеческого организма. В ходе магнитно-резонансной томографии никакой дозы облучения нет. Изображения получаются от эффекта ядерного магнитно резонанса - то есть, колебания атомов водорода в клетках ткани при воздействии на них сильным магнитным полем и радиочастотными импульсами.
Когда МРТ плечевого сустава лучше, чем КТ плеча
В медицинских центрах СПб обследование плечевого сустава с помощью магнитного резонанса является профилирующим диагностическим исследованием патологий суставных тканей. Именно МРТ плечевого сустава дает возможность получить данные о состоянии суставов, мягких тканей и хрящей. Томография плеча хорошо покажет:
- причины непонятной боли в плече, хруста в плече;
- последствия травмы в области плечевого сустава, перелома;
- место разрыва связок, периодических вывихов;
- причины припухлости в области плеча;
- ущемление нервов, сухожилий.
МРТ также позволяет отличить здоровые ткани от поврежденных при предположении на опухоль или раковые метастазы, помогает оценить картину травм и их месторасположение.
В отличие от КТ плеча, МРТ может многократно применяться при исследовании состояния здоровья детей и беременных женщин. По времени для проведения МРТ плечевого сустава может понадобиться от десяти до двадцати минут нахождения пациента в неподвижном состоянии в условиях замкнутого пространства камеры МРТ. КТ плечевого сустава занимает всего до десяти секунд, что по времени проведения исследования предпочтительно для людей, страдающих клаустрофобией или боязнью замкнутых пространств.
Магнитно-резонансное исследование имеет ряд абсолютных противопоказаний, к которым в настоящее время относятся: наличие у человека кардиостимулятора, электронных или ферромагнитных имплантатов среднего уха, больших металлических имплантатов и ферромагнитные осколков, а также наличие больших кровоостанавливающих клипс сосудов головного мозга.
Когда КТ плечевого сустава лучше, чем МРТ плеча
Компьютерное рентгеновское исследование плеча больше рекомендовано при проведении диагностики костной составляющей человеческого организма, а именно: травматических повреждений костей плеча человека; неправильно сросшиеся кости, наличие костных шпор; поражений костей опухолевой природы как первичных, так и вторичных; атеросклеротических изменений сосудов.
Противопоказаниями для проведения МСКТ могут являться беременность и кормление ребенка грудью. Также метод компьютерной томографии не рекомендован маленьким детям без серьезных медицинских показаний из-за лучевой нагрузки.
Что показывает КТ плечевого сустава, КТ или МРТ - что лучше?
КТ плечевого сустава обосновано сделать, если выполненные ультразвуковое исследование и рентгенография не смогли уточнить причину появления жалоб или есть веские подозрения на патологию костно-суставного аппарата данной области. Данное исследование полезно при наличии противопоказаний к магнитно-резонансной томографии (МРТ). Во время КТ-сканирования создаются изображения поперечного сечения плеча с помощью рентгеновских камер и специальных программ. Компьютерная томография плеча может быть выполнена нативно или с контрастированием.
Что показывает КТ плечевого сустава
Фото компьютерной томографии плечевого сустава
Плечевой сустав самый подвижный в организме человека. Огромный диапазон перемещений приводит к его нестабильности, поэтому вывихи и травмы регистрируются часто. Дислокация суставной головки из своего ложа увеличивает вероятность повреждения, что часто приводит к дегенеративному процессу, при котором окружающие сустав ткани постепенно разрушаются и перестают нормально функционировать. Что можно обнаружить на томограммах? КТ плечевой кости демонстрирует сложность перелома, смещение отломков и угол, образуемый их положением. Способность визуализировать изображения в осевой, сагиттальной и корональной плоскостях, а также в трехмерном формате, помогает в интерпретации картины повреждения и предоперационном планировании.
КТ плеча позволяет диагностировать следующие патологические процессы:
инфекционное поражение суставного аппарата;
тромбообразование в сосудах плечевого сустава;
системные заболевания соединительной ткани с вовлечением плечевого сочленения;
разрывы сухожилий, мышц, связочного аппарата;
посттравматические повреждения (вывих, подвывих, перелом, растяжение, ушиб) и осложнения (остеонекроз, рубцовые деформации и пр.);
дистрофические изменения рассматриваемой области;
опухолевый процесс (включая метастатические поражения) в суставе.
Окончательно диагноз верифицируют с учетом совокупности результатов всех исследований. Эффективность терапии выше после прохождения полной диагностики, а схема лечения напрямую связана с патогенетическим фактором. КТ плечевого сустава позволяет врачу дать оценку костям, мягким тканям, костно-суставным сочленениям и обнаружить отклонения.
Как делают КТ плечевых суставов
Положение пациента во время исследования
Сделать КТ плечевой кости в Санкт-Петербурге можно в одном из диагностических центров, в отделении радиологии больницы или клиники, где есть компьютерный томограф. Предварительно нужно записаться, связавшись с оператором через форму сайта или по телефону. Возможно прохождение обследования в экстренном порядке в день обращения.
Как проходит процедура КТ плечевой кости
Техник попросит Вас принять определенную позу; для дополнительной фиксации конечности могут быть использованы подушки или ремни - это поможет сохранить правильное положение и получить качественные изображения. Вам также может потребоваться задержать на несколько секунд дыхание во время коротких отдельных сканирований, чтобы предотвратить размытость на снимках. Из соседней комнаты техник с помощью пульта дистанционного управления переместит Вас вглубь томографа, и начнется сама процедура, во время которой специальные датчики будут вращаться вокруг тела. Для экстренных ситуаций в ходе сканирования под рукой есть кнопка для связи с персоналом. После завершения необходимо подождать некоторое время, чтобы техник убедился в качестве полученных томограмм: они должны быть четкие, чтобы в дальнейшем врач мог их правильно прочитать. Типичная КТ занимает 5-10 минут, что актуально в диагностике острых травматических повреждений.
Подготовка к исследованию плеча
Нативная компьютерная томография плечевой кости - один из неинвазивных тестов визуализации, и ее прохождение не требует особой подготовки. Достаточно выбрать свободную удобную одежду без замков и металлических застежек, убрать украшения: заколки, цепочки, часы и пр. Косточки бюстгальтера также могут привести к появлению артефактов на изображениях, поэтому об этом лучше позаботиться заранее. С собой нужно взять результаты предыдущих обследований и выписки из стационара, если таковые есть. После диагностики можно заниматься привычными делами.
Контрастирование

Введение в вену контраста через катетер
Контрастирование значительно улучшает четкость томограмм и позволяет рассмотреть мельчайшие детали, которые не показывает простое (нативное) компьютерное сканирование, рентгенография и УЗИ плечевого сустава. В большинстве случаев внутривенного усиления не требуется, а его использование зарезервировано для патологических процессов, подозрительных на опухоль или абсцесс кости. Если процедура подразумевает введение контрастного вещества, есть определенные нюансы, которые необходимо знать:
Внутривенная инъекция радиофармпрепарата на голодный желудок повышает вероятность развития вегетативной симптоматики: головокружения, тошноты, слюнотечения. Поэтому перед обследованием, за 30-45 мин., нужно неплотно перекусить.
Если ранее отмечалась аллергическая реакция на контраст, сообщите об этом врачу. Ощущение горячих приливов, учащенное сердцебиение, легкие диспепсические расстройства, которые исчезли через несколько минут самостоятельно, рассматриваются как вариант нормы и не являются противопоказаниями к контрасту.
От приема Метформина при сахарном диабете необходимо отказаться за 36 часов до КТ с усилением, отмену лекарства следует обязательно обсудить с эндокринологом.
Перед обследованием с контрастированием, даже если никогда не было заболеваний почек, необходим анализ крови на креатинин. Результаты действительны в течение 10 дней.
Показания и противопоказания
Компьютерная томография имеет свои показания и противопоказания
Если альтернативные методы визуализации не дают исчерпывающей информации или есть противопоказания к МРТ, КТ является хорошей альтернативой для установления диагноза. Компьютерное сканирование плеча обычно используют для оценки состояния сустава после протезирования, переломов, вывихов. Врач может назначить это исследование, если пациента беспокоят боли в плече, характерные пощелкивания, ограничение объема движения, припухлость и покраснение кожных покровов над суставом.
Как и при любом рентгеновском исследовании, во время прохождения компьютерной томографии присутствует некоторое облучение. Его уровень абсолютно безопасен для взрослых, если диагностика проводится на современном качественном томографе. Во время беременности, лактации и в детском возрасте до 14 лет радиационное воздействие может оказать неблагоприятное влияние на организм, поэтому предпочтительнее сделать МРТ или УЗИ плечевого сустава. Компьютерное сканирование для этой категории лиц может быть выполнено по жизненным показаниям. Женщине, не исключающей желанную беременность на ранних сроках, необходимо воздержаться от любых рентгенологических обследований.
Существуют ограничения и по весу пациента: КТ невозможно по техническим причинам, если масса тела превышает 150 кг.
Противопоказания для контрастной КТ
Современные радиофармпрепараты имеют минимальный риск развития побочных эффектов, но некоторой категории пациентов КТ с усилением не назначают. Абсолютными противопоказаниями к введению контраста служат:
реакции гиперчувствительности (поливалентная аллергия, крапивница, отек Квинке, анафилактический шок) на радиофармпрепарат.
хроническая почечная недостаточность в стадии суб- и декомпенсации.
состояние после трансплантации почки, нефрэктомии.
В этих случаях вопрос о возможности выполнения компьютерной томографии с введением контраста решается в индивидуальном порядке.
В диагностическом центре “Магнит” (Санкт-Петербург) можно сделать КТ и МРТ плеча в удобное для Вас время. Действует гибкая система скидок, мы работаем в режиме 24/7. В ночные часы цены обследования ниже. Современный томограф, высокое качество снимков, опытные специалисты, индивидуальных подход к каждому пациенту - все, что необходимо для определения причины болезни.
Фото томографии плечевого сустава
КТ при нестабильности плеча
А - дисплазия гленоида;
В - повреждение Хилл-Сакса (субхондральный перелом), дефект головки плечевой кости после вывиха плеча;
С - повреждение Банкарта (отрыв ободка от костной впадины с вывихом плеча вперед, разрушение краев лопаточной впадины - места прикрепления хряща);
D - повреждение Хилл - Сакса в переднем отделе суставной губы;
Е - 3D-реконструкция переднего вывиха плеча;
F- задний перелом с вывихом плеча.
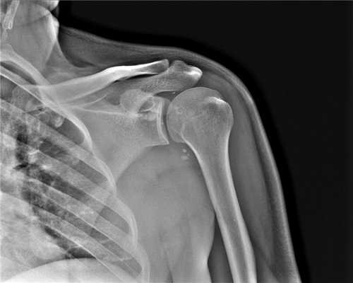
Наиболее часто КТ плечевого сустава выполняют по поводу травматических повреждений. Они различаются по механизму альтерации: падение на вытянутую руку, прямой удар и пр. Врач-рентгенолог после анализа томограмм выявляет причину, а ортопед определяет оптимальную тактику ведения. Иногда повреждение может быть настолько серьезным, что пациенту необходимо эндопротезирование плечевого сустава.
Рентгенограмма и компьютерная томограмма у пациента с тяжелым переломом и вывихом правого плечевого сустава до операции
При соблюдении всех рекомендаций (ношение ортеза, дальнейшая разработка, динамическое наблюдение с контрольной КТ плеча и пр.) качество жизни не страдает.
КТ плечевого сустава

Установлению первопричины патологических изменений или болевого синдрома в плече поможет компьютерная томография плечевого сустава. Способ диагностики не несет каких-либо рисков. Лучевая нагрузка на организм при прохождении исследования на современных томографах минимальна. Во время беременности КТ плечевого сустава не проводится, но после родов, даже в период лактации, диагностика возможна.
КТ плечевого сустава выполняется без или с контрастным усилением, что способствует улучшению визуализации.
Если у Вас были какие-либо нежелательные проявления (сыпь, кожный зуд, затрудненное дыхание, отек) после контакта с йодом, об этом нужно сказать заранее.
Что покажет КТ плечевого сустава

Данная диагностическая процедура позволяет обнаружить патологический процесс в суставной впадине, образованной лопаткой и ключицей, в головке плечевой кости и пр. Для уточнения состояния мягких тканей предпочтительнее МРТ; КТ демонстрирует выраженные дефекты связок, хрящей, суставных сумок.
Методы являются дополняющими друг друга.
Но, чтобы точно знать, сделать КТ плечевого сустава или МРТ, нужно получить направление от врача.
Компьютерная томография плечевого сустава помогает установить степень выраженности, распространенность и точную локализацию патологии.
КТ плечевого сустава выполняется, если есть:
• ограничение объема движений в руке;
• привычный вывих плеча;
• боль и отек в рассматриваемой области;
• травма плеча;
• дегенеративные изменения костно-суставного аппарата;
• состояние после имплантации ортопедических конструкций,
• предоперационная подготовка;
• динамическое наблюдение и оценка проведенного лечения.
С помощью компьютерной томографии плечевого сустава проводят предварительную диагностику ряда патологий рассматриваемой области, а именно:
• опухолевых новообразований различного генеза;
• костно-суставной туберкулез;
• ревматизм, подагру;
• воспалительные процессы в плече-лопаточной области (артрит, бурсит, остеомиелит);
• перелом и вывих;
• патологическое скопление внутрисуставной жидкости;
• некротическое поражение головки плечевой кости и пр.
В некоторых случаях окончательный диагноз будет подтвержден с учетом результатов всех обследований. Для верификации опухоли дополнительно выполняется биопсия с последующим гистологическим исследованием, для подтверждения ревматизма или подагры в учет принимают специальные анализы крови и пр.
КТ плечевого сустава используют для диагностики патологий у пациентов, имеющих противопоказания к проведению МРТ: установленные металлические пластины, кардиостимулятор, инсулиновые помпы.
Можно ли делать КТ детям
Сделать КТ плечевого сустава в СПб в большинстве клиник можно, только если ребенок достиг 5-летнего возраста, при использовании контраста - 12 лет.
Детский организм восприимчив к облучению в 5 раз сильнее, чем у взрослого, поэтому для проведения исследования нужны веские причины. Абсолютное жизненное показание - подозрение на злокачественную опухоль с метастатическим поражением костей скелета. Во всех других случаях ожидаемая польза должна быть выше потенциального вреда, поэтому лучше пройти диагностику без применения лучевого воздействия.
Выполнить КТ плечевого сустава у ребенка можно только по направлению доктора или консилиума.
Два важных условия - неподвижность во время исследования и сохраненное носовое дыхание. Если у ребенка насморк, диагностику лучше отложить или предварительно закапать в нос сосудосуживающие капли.
Перед исследованием нужно провести разъяснительную беседу о безопасности процедуры и необходимости четко следовать командам специалиста.
Особенности КТ плеча
КТ плечевого сустава не требует особой подготовки, но лучше прийти в диагностический центр в свободной одежде без металлических застежек, так как металл на томограммах дает ложную тень, а в тесной одежде будет неудобно лежать.
Если планируется введение контраста, необходимо уточнить уровень креатинина в крови: заболевания почек с нарушением функции или острый процесс - противопоказание к применению препарата. Количество контрастного вещества рассчитывается исходя из массы тела.
В диагностическом центре «Магнит» в СПб перед проведением КТ плечевого сустава с контрастом можно сделать скрининговый тест на креатинин. Результат будет готов через 10 минут.
Пациентам с сахарным диабетом после разрешения эндокринолога следует скорректировать получаемую терапию за 48 часов до проведения КТ плечевого сустава с усилением.
При выполнении КТ плечевого сустава используются йодосодержащие вещества.
Врача заранее нужно предупредить об аллергических реакциях на контраст: сыпь по типу крапивницы с кожным зудом, отек Квинке, анафилактический шок (отек, затруднение дыхания), в этом случае КТ плечевого сустава выполняют без введения препарата.
Голод может спровоцировать вегетативные реакции: головокружение, сердцебиение, потливость и пр., поэтому на процедуру следует явиться после легкого перекуса.
Результаты предыдущих исследований ( УЗИ, рентгенографии, КТ/МРТ) возьмите с собой, это позволит врачу получить представление о динамике процесса.
Фото КТ исследования плечевого сустава

Компьютерная томограмма плечевого сустава
Как выполняется диагностика

Положение пациента при исследовании
Вас попросят лечь на стол, который скользит внутрь КТ-сканера. После этого начнется вращение датчиков вокруг плечевой области.
Во время исследования происходит веерообразное сканирование (в разных проекциях) с помощью рентгеновских лучей, компьютер создаст отдельные изображения, называемые срезами, толщину которых в каждом случае устанавливают индивидуально.
Трехмерное моделирование создается путем их наложения.
Некоторые пациенты чувствуют дискомфорт от лежания на жестком столе. При внутривенном введении контраста может появиться металлический привкус во рту, легкое жжение, жар и покраснение кожных покровов. Эти явления допустимы, состояние нормализуется через несколько секунд.
Диагностика длится 10-15 минут, никаких неприятных ощущений нет, КТ - улучшенный вариант рентгенографии.
Сделать КТ плечевого сустава в СПб можно в диагностическом центре «Магнит» по адресу: 6-ая Красноармейская улица, дом 7.
У нас приемлемые цены, оборудование от лидеров мировых производителей и высококвалифицированный персонал. Приходите, мы ждем Вас!
КТ суставов что показывает

Компьютерная томография является современным видом аппаратной диагностики. Метод позволяет визуализировать внутренние структуры без инвазивных манипуляций. С помощью КТ суставов определяют патологии опорно-двигательной системы различной этиологии и генеза.

Изменения головки большеберцовой кости на томограмме
Компьютерную диагностику осуществляют с помощью рентгеновского излучения. Ионизирующие потоки проходят сквозь тело человека. Пропускная способность разных участков зависит от строения анатомических структур. Кости и хрящи обладают высокой рентгеноконтрастностью, сканирование рыхлых суставных элементов менее результативно.
Для большей информативности при обследовании мягкотканных структур применяют контрастную компьютерную томографию. В кровеносное русло вводят «окрашивающий» препарат на основе йода. Вещество обладает высокой поглощающей способностью в отношении рентгена, позволяет визуализировать сосудистую сеть и оценить строение всех морфологических элементов сочленения.
Что покажет КТ суставов и костей?
В результате томографии получают монохромные изображения тонких срезов изучаемой зоны. В отличие от линейной рентгенографии, КТ костей и суставов позволяет рассмотреть сочленение в трех взаимно перпендикулярных проекциях. На томограммах отсутствуют тени и дефекты от расположенных рядом анатомических образований.
Изображения КТ дают информацию о плотности исследуемого вещества. Светлые пятна на фото соответствуют твердым структурам, затемнения - мягкотканным участкам.

Компьютерная томография колена
КТ костей и суставов позволяет оценить:
состояние связочного аппарата;
ширину суставной щели;
толщину и однородность хрящевых элементов сочленения;
конгруэнтность (соответствие) суставных поверхностей;
особенности кровоснабжения сочленения;
состояние мышечной ткани, клетчаточных пространств;
строение костных суставных элементов.
С помощью сканирования определяют функциональность сочленения, выясняют причины нарушений.
В диагностике заболеваний суставов КТ позволяет выявить:
воспалительные явления ревматоидной природы;
инородные тела в области суставной сумки;
переломы костных суставных поверхностей;
Признаками патологии являются:
наличие в полости сустава крови, серозного или гнойного экссудата;
изменение ширины суставной щели;
нарушение целостности костных, хрящевых элементов сочленения;
смещение суставных поверхностей относительно друг друга;
синовиальные пролиферативные процессы;
наличие в костной ткани очагов с повышенной (остеосклероз) или пониженной (остеопороз) плотностью;
деформация суставных поверхностей;
снижение высоты хрящевых элементов;
нарушение кровоснабжения сочленения;
структурные изменения суставных элементов.
КТ показывает воспалительные, онкологические, дегенеративно-дистрофические явления, травматические повреждения костей и хрящей.
Контрастная томография помогает диагностировать добро- и злокачественные новообразования в области сочленения. По томограммам можно отследить динамику насыщения тканей опухоли «окрашивающим» раствором. Малигнизированные образования имеют патологически извитую сосудистую сеть с большим количеством анастомозов, что увеличивает время накопления и выведения контраста.

Остеосаркома бедренной кости на снимке коленного сустава
Для уточнения локализации и размеров патологического очага врач может использовать пространственное изображение области интереса . На основании фотографий, полученных в результате сканирования, реконструируют 3D-модель рассматриваемой зоны. Трехмерная визуализация позволяет оценить характер взаимодействия здоровых и пораженных тканей.
Какие суставы исследуют при помощи компьютерной томографии
КТ позволяет детально изучить строение опорно-двигательной системы. Данный вид инструментальной диагностики является наиболее информативным при исследовании скелета человека.
КТ плеча
Сканирование назначают при жалобах пациента на боль и ограничение подвижности пояса верхних конечностей. При травмах КТ плечевого сустава позволит выявить повреждение головки одноименной кости, ключицы, лопатки.
Широкая амплитуда движений приводит к вывихам, разрывам связок, мышц, интраартикулярных (расположенных в полости сочленения) элементов. Компьютерная томография позволяет диагностировать травматические поражения и предупредить развитие осложнений.
КТ лучезапястного сустава
Анатомически сложное соединение с большим количеством мелких элементов затрудняет диагностику травм и патологических процессов. КТ лучезапястного сустава назначают при недостаточной эффективности других видов аппаратного исследования (УЗИ, рентген и пр.).
С помощью томографии диагностируют специфические заболевания:
асептический некроз полулунной кости (синдром Кинбека);
При травмах наблюдаются разрывы сухожилий и мышц запястья. Часто выявляют трещины и переломы лучевой кости.
КТ тазобедренного сустава
Боли в области сочленения возникают при патологических изменениях пара- (расположенных рядом) и интраартикулярных структур. К внутренним факторам относят:
поражение вертлужной впадины и бедренной кости;
пролиферативные нарушения синовиальной оболочки;
дегенеративные поражения хряща и пр.

Трехмерная реконструкция тазобедренных сочленений
Внесуставные причины появления болей:
поражение крестцово-подвздошного и лонного сочленений;
КТ тазобедренного сустава используют для дифференциальной диагностики заболеваний, установления причины и характера патологического процесса.
КТ колена
С помощью компьютерной томографии визуализируют нарушения связочного аппарата, костных суставных поверхностей, гиалинового хряща, синовиальной оболочки и капсулы сочленения. Ограничение подвижности и боль возникают чаще при травмах, воспалительных и дегенеративных патологиях.
КТ коленного сустава позволяет диагностировать хондромаляции (разрушение хряща), повреждения менисков, разрывы крестообразных связок. В результате контрастной процедуры выявляют онкологические процессы, заболевания сосудов, липоартрит и пр.
КТ голеностопа
Сочленение представляет собой комбинацию небольших суставов, что служит причиной частой травматизации интраартикулярных анатомических образований. Компьютерная томография визуализирует состояние костных элементов малого размера, помогает выявить незначительные нарушения формы, величины, целостности анатомических структур.
КТ голеностопного сустава используют в диагностике новообразований, комбинированных патологий, когда процесс затрагивает твердые и мягкие ткани. Высокая точность снимков и возможность пространственной визуализации повышают эффективность компьютерной томографии в исследовании анатомически сложных сочленений.
КТ стопы и кисти
Суставы плюсны, ладони, пальцев рук и ног отличаются незначительными размерами и большим количеством мелких морфологических элементов.
На основании КТ стопы выявляют воспалительные, деструктивные, травматические поражения. Отмечают патологическое расположение костей плюсны и предплюсны при поперечном плоскостопии, вальгусной деформации и пр.
Исследование кисти помогает в диагностике ревматоидных поражений. Контрастная томография визуализирует сосудистые заболевания и неопластические процессы в области пясти и пальцев руки.
Как проходит КТ суставов?
Процедуру проводят с помощью сложного оборудования. Томограф представлен:
сканирующим комплексом, включающим рентгеновские излучатели и детекторы.

В процессе обследования происходят поступательное движение стола и вращение внутри кольца рентгеновских трубок и датчиков. Современные томографы за один оборот производят несколько снимков (2, 8, 16 и более). Мультиспиральная КТ суставов (МСКТ) обеспечивает высокую точность визуализации и позволяет снизить лучевую нагрузку на организм пациента.
Процедуру проводят в положении лежа. Пациент располагается на столе, врач проводит иммобилизацию конечностей для сохранения начальной позы. Непроизвольные движения негативно влияют на результаты исследования. Стол с пациентом начинает перемещаться внутри кольца томографа. Продолжительность нативного КТ-сканирования суставов 5-10 минут.
Медицинский персонал во время сеанса находится в соседнем помещении. Связь с обследуемым поддерживают через микрофон. Больному важно соблюдать рекомендации специалиста, возможно, потребуется изменение положения тела по команде врача. Динамическое сканирование проводят с целью определения функциональности суставов.
КТ кисти, стопы, лучезапястных и других небольших анатомических соединений можно проводить в положении сидя, для чего используют специальные аппараты.
Для достоверной оценки состояния одного из парных сочленений чаще рекомендуют сделать КТ обоих суставов.
При использовании контраста продолжительность исследования увеличивается на 10 минут. После серии нативных снимков больному вводят йодсодержащий раствор. Сканирование продолжают после заполнения препаратом сосудистого русла в рассматриваемой зоне.

Артрозо-артрит голеностопа, 3D-модель
Подготовка к компьютерной томографии сустава
Пациент приходит на прием за 10-15 минут до назначенного времени. Перед процедурой необходимо заполнить документы, снять украшения, аксессуары.
Контрастная КТ сустава требует более тщательной подготовки. Пациенты, страдающие сахарным диабетом и принимающие Метформин, посещают эндокринолога. Лекарственный препарат следует отменить за 72 часа до введения йодсодержащего раствора.
Для предупреждения развития осложнений со стороны органов фильтрации необходимо сдать анализ крови на креатинин. Повышенный уровень последнего свидетельствует о почечной недостаточности и является противопоказанием к использованию контрастного усиления.
Что выбрать: рентген, МРТ или КТ суставов?
Выбор способа аппаратного исследования зависит от дифференциально-диагностических задач, клинической картины, наличия противопоказаний и других факторов.
Травма плечевого сустава

МРТ плечевого сустава. Т2-взвешенная корональная МРТ. Разрыв вращательной манжеты. Цветовая обработка изображения.
Краткие сведения по анатомии плечевого сустава
Движение в плечевом поясе обеспечивается плечевым суставом, акромиально-ключичным суставом и грудинно-ключичным суставом. Кроме того, между грудной клеткой и лопаточной костью есть ложный сустав - лопаточно-грудной.
Плечевой сустав относится к синовиальным шарнирным суставам. Он состоит из полусферической головки плечевой кости и неглубокой суставной (гленоидальной) впадины в лопаточной кости. Поскольку впадина в 4 раза меньше головки возможен большой объём движений в разных направлениях.
Сверху сустав защищён аркой, образованной клювовидным отростком, акромиальным отростком лопаточной кости и клювовидно-акромиальной связкой. Хрящ, покрывающий головку плечевой кости толще в центре, чем по периферии. Хрящ суставной впадины, наоборот, толще по периферии, чем в центре. Сустав поддерживается мягкоткаными структурами: суставной капсулой, клювовидно-плечевой связкой, тремя гленоплечевыми связками, а также пучками сухожилий грудных мышц спереди, поперечной связкой плеча и суставной губой.
Суставная капсула, полностью окружает сустав. Капсула прикрепляется наверху к окружности суставной впадины позади суставной губы, снизу к анатомической шейке плечевой кости, причём большой и малый бугорки плечевой кости остаются вне полости сустава, а капсула перекидывается в виде мостика над верхней частью межбугорковой борозды. Капсула свободная и тонкая, чтобы не уменьшать объём движений. Дополнительно, она усилена связками вращательной манжеты. Вращательная манжета плеча образована сухожилиями 4 мышц. Суставная губа располагается по краю суставной впадины. Она выполняет стабилизирующую и амортизирующую функции.

Схема костных структур, образующих плечевой сустав.

Костные структуры плечевого сустава.

Анатомия плечевого сустава. Т1-зависимая МРТ в корональной плоскости. Обозначения: 1 -суставная (гленоидная) впадина, 2 - ключица, 3 -головка плечевой кости, 4 - подлопаточная мышца, 5 - дельтовидная мышца, 6 - длинная головка сухожилия двуглавой мышцы плеча, 7 - надостная мышца, 8 - трапецевидная мышца, 9 - сухожилие надостной мышцы, 10 - верхняя губа.
Типичные повреждения плечевого сустава
Повреждения плечевого сустава встречаются относительно часто. Причинами служат чрезмерный объём движений в суставе или падение на вытянутую руку. Встречается также нетравматическая этиология нестабильности при заболеваниях соединительной ткани. МРТ плечевого сустава наряду с его рентгенографией являются главными методами выявления травмы.
Наиболее типичным (около 85% передних смещений травматической этиологии) является повреждение Банкарта - отрыв фиброзного или фибрознохрящевого фрагмента от края суставной впадины в месте прикрепления связки к суставной впадине с повреждением суставной губы. Кроме того, травма может приводить и к костным повреждениям - перелому гленоидного кольца спереди, костному повреждению Банкарта (то есть повреждению Банкарта в сочетании с переломом) и перелому большой бугристости.

МРТ плечевого сустава. Корональные Т1-взвешенные МРТ. Переломы Хилла-Сакса и Банкарта.
Разрыв вращательной манжеты - также характерное повреждение области плеча - может быть связан как с травмой, так и дегенеративными процессами. Разрывы вращательной манжеты бывают полные и неполные. Кроме того, по МРТ плечевого сустава выделяют 3 градации, в основе которых лежит не только изменение сигнала на Т2-зависимых томограммах, но и морфологические изменения сухожилия.

МРТ. Корональная Т2-зависимая томограмма с подавлением сигнала от жира. Полный разрыв сухожилия надостной мышцы.
Травма легко приводит к вывихам. Термин “нестабильность сустава” отражает состояние сустава, когда в нём имеются постоянные нарушения, предрасполагающие к вывиху. Хроническая нестабильность приводит к частым повторным вывихам и подвывихам в плечевом суставе, что осложняется его дегенерацией, развитием плечелопаточного периартрита, деформирующего артроза. Нестабильность проявляется болями в суставе, дискомфортом, щёлканьем в суставе и смещением плеча. Пациент «скован» в плече, старается избежать активных и резких движений.
Также в плечевом суставе может развиваться импинджмент-синдром, описанный нами в разделе “Какие причины вызывают боли в суставах и их диагностика“.
Вместе с вращательной манжетой плеча могут повреждаться соседние структуры, МРТ акромиально-ключичного сочленения выполняется вместе с МРТ плечевого сустава.
Диагностика повреждений плечевого сустава
Роль лучевой диагностики в выявлении и стадировании патологий плечевого сустава трудно переоценить. В большинстве случаев правильное применение методов лучевой диагностики даёт полноценную для травматолога информацию и позволяет избежать артроскопии.
Рентгенография, хотя и не позволяет выявлять разрывы связок и суставной губы, остаётся обязательным диагностическим методом при травме плечевого сустава. Она позволяет обнаруживать переломы и костные дефекты, смещения, свободные фрагменты.
На КТ хорошо видны костные дефекты и дефекты гиалинового хряща суставной впадины. Гиалиновый хрящ, покрывающий головку плечевой кости виден гораздо хуже.

КТ плечевого сустава, Переломы Банкарта и Хилла-Сакса.

МРТ плечевого сустава с подавлением сигнала от жира. Т2-взвешенная корональная МРТ. Перелом большого бугорка (стрелка).
Подозрение на разрыв вращательной манжеты плеча или проксимальной части длинной головки двуглавой мышцы плеча
Травма, при которой имеется подозрение на разрыв суставной губы
Травматические изменения плечевого сустава, приведшие к его нестабильности и типичным переломам головки плечевой кости или импинджмент синдрому
При МРТ плечевого сустава косвенным признаком разрыва вращательной манжеты служит высокий сигнал на Т2-взвешенных от поверхности сустава до субакромиальной (субдельтовидной) сумки. Частичные разрывы чаще всего по передней поверхности сухожилия м.supraspinatus, реже примыкая к большой бугристости или сухожилия м. infraspinatus.

МРТ плечевого сустава. Т2-взвешенная корональная МРТ. Субакромиальное скопление жидкости - косвенный признак разрыва вращательной манжеты.

МРТ плечевого сустава. Т1-взвешенная корональная МРТ. Частичный разрыв вращательной манжеты.
МРТ плечевого сустава. Т2-взвешенная корональная МРТ. Передний разрыв вращательной манжеты
МРТ СПб позволяет выбирать место МРТ. МРТ в СПб плечевого сустава профессор Холин А.В. проводит, главным образом, на аппарате открытого типа в клинике ЦМРТ. Это обеспечивает высокий комфорт для пациента, разумные цены и возможность консультации травматолога.
Читайте также:
