Плюсы и минусы лучевой терапии вестибулярной шванномы
Добавил пользователь Евгений Кузнецов Обновлено: 07.01.2026
Ежегодно невринома слухового нерва выявляется примерно у одного из 100 тысяч человек. На долю этого заболевания приходится 11 - 12 % всех опухолей головного мозга. Болезнь может развиться как у молодых, так и у пожилых людей, но чаще всего обнаруживается в возрасте от 30 до 50 лет. У детей опухоли этого типа не встречаются вовсе. Женщины страдают данным недугом втрое чаще, чем мужчины. В последние годы количество диагностированных случаев невриномы слухового нерва увеличивается. Впрочем, не в последнюю очередь это объясняется количественным и качественным ростом МРТ-диагностики.
Что такое невринома слухового нерва?
Невринома слухового нерва - это доброкачественная (нераковая) опухоль. Несмотря на название, она не затрагивает собственно слуховой нерв, который состоит из двух корешков с разными функциями: улитковый отвечает за проведение слуховых импульсов в головной мозг, а вестибулярный связан с равновесием. Невриномы образуются в вестибулярном корешке, а именно - в его шванновских (оболочковых) клетках. Отсюда их второе название неврином - шванномы.
Внешне невринома слухового нерва (вестибулярная шваннома, акустическая невринома, акустическая шваннома) выглядит как плотный узел округлой, овальной или неправильной формы с бугристой поверхностью. В ее ткань нередко вкраплены кисты различных размеров, заполненные жидкостью. Опухоли обычно растут медленно и не распространяются на другие органы. Однако нередко ухудшают качество жизни человека: он теряет слух, возможность держать равновесие, поражаются лицевые нервы. Хотя невринома слухового нерва не является раком, она может быть опасна: вырастая до большого размера, новообразование начинает давить на головной мозг или его ствол, что приводит к постоянным головным болям, в редких случаях - к нарушению ясности сознания.
Типы невриномы слухового нерва
Невриномы слухового нерва бывают двух видов
- односторонние. Возникают спорадически, не наследуются и не связаны с другими новообразованиями центральной нервной системы;
- двусторонние. Встречаются у больных с нейрофиброматозом второго типа, который является генетической патологией и передается от родителей детям. У страдающих данным заболеванием людей, помимо шванном, как правило, развиваются также другие опухоли внутри головы и в позвоночнике.
Причины и группы риска
Причина развития невриномы слухового нерва на сегодня неизвестна. Также не выявлены какие-либо факторы риска развития невриномы, помимо предрасположенности к их возникновению в связи с генетически наследуемым заболеванием
Симптомы
Данное заболевание развивается по разным сценариям. В одних случаях новообразование остается небольшим, до полутора сантиметров в диаметре, никак себя не проявляет и не мешает жизни человека. Такая невринома не требует оперативного вмешательства, достаточно будет наблюдать за ее состоянием, посещая врача раз в год.
В других случаях опухоль разрастается и начинает давить на улитковый корешок слухового нерва, а при особо больших размерах - на ствол головного мозга. В связи с этим возникают следующие симптомы:
- постепенно развивающаяся или внезапная потеря слуха на одно ухо;
- тиннитус (звон в ухе). Он отмечается у 60 % пациентов;
- ощущение заложенности уха;
- проблемы с равновесием, головокружение и неустойчивость при резких поворотах головы или наклонах. Встречается у 60% заболевших;
- рвота, тошнота, вызванные нарушениями в работе вестибулярного аппарата. Встречаются крайне редко;
- онемение, чувство покалывания на пораженной опухолью стороне лица. В запущенных случаях болезнь приводит к парезу (ослаблению или параличу) лицевого и отводящего нервов;
- тупые, ноющие боли в голове, возникающие из-за сдавливания невриномой ствола головного мозга. Возникают на поздних стадиях;
- к симптомам поздней стадии относятся также расстройство зрения, трудности с жеванием и глотанием.
Симптомы невриномы слухового нерва нарастают медленно и часто ошибочно принимаются за нормальные возрастные изменения. Надо быть внимательным: если звон в ухе длится более двух месяцев, вам следует обратиться к врачу.
Диагностика
Заболевание выявляется в результате проверки слуха и последующей инструментальной диагностики. Как правило, врач проводит ряд исследований:
- проверка слуха. Во время обычного осмотра врач-отоларинголог может заметить снижение слуха у пациента. В этом случае будет назначен специальный тест, который называется аудиограмма для оценки слуха в обоих ушах;
- слуховой тест на ответную реакцию ствола мозга. В ходе этого исследования измеряется скорость электрических импульсов, проходящих от внутреннего уха к мозгу. Замедление или отсутствии импульса почти всегда указывает на наличие шванномы;
- электронистагмография. Тест, который позволяет выявить наличие проблемы по нистагму - непроизвольному движению глазных яблок. В ушной канал вводятся холодная и теплая вода, а специальный прибор фиксирует и анализирует движение глаз;
- Магнитно-резонансная томография (МРТ).
Если предыдущие исследования с большой долей вероятности указывают на шванному, наиболее информативным инструментальным методом визуализации считается МРТ. Это современное высокоточное неинвазивное исследование, которое позволяет определить размер и локализацию опухоли, а также увидеть состояние окружающих ее органов и тканей. Магнитно-резонансная томография проводится по назначению лечащего врача или по желанию пациента при наличии головных болей, головокружений, при подозрении на опухоль (ухудшение зрения, слуха, нарушение речи, чувствительности и движений в конечностях).
После проведения основной МР томографии может понадобиться уточняющее исследование для постановки дифференциального диагноза, уточнения размеров опухолевого процесса и степени вовлечения окружающих органов и структур. В таком случае назначается МРТ с контрастным усилением, в ходе которого в вену пациента вводится контрастное вещество. Изображения, полученные с применением контраста, дают не только точное представление о размере и границах невриномы, но позволяют оценить функциональные нарушения в органах.
Стадии заболевания
- 1-я стадия. Размеры опухоли не превышает 2,5 см. Отмечаются симптомы поражения слуха и вестибулярного аппарата, например, глухота на одно ухо. Возможны также частичное нарушение вкуса, легкий парез лицевого нерва;
- 2-я стадия. Невринома выросла до 2,5- 3,5 см. Симптомы усиливаются: возникает неконтролируемое движение глазных яблок, нарушается равновесие и координация движений;
- 3-я стадия. Размеры опухоли превысили 4 см. Она уже сильно давит на головной мозг, вследствие чего нистагм становится более заметным, возможны нарушения зрения. Скапливание жидкости в желудочках головного мозга (гидроцефалия) может привести к изменению сознания и нарушению психики пациента.
Лечение невриномы слухового нерва
На данный момент существует три основных вида лечения - выжидательная тактика (наблюдение), хирургическая операция и лучевая терапия. Выбор метода зависит от параметров конкретного случая. Врач определит оптимальное лечение, ориентируясь на следующие показатели:
- размер и место опухоли;
- возраст пациента;
- общее состояние здоровья;
- уровень слуха;
- предпочтение больного.
Выжидательная тактика. Показана в тех случаях, когда опухоль мала, расположена таким образом, что не сдавливает близлежащие нервы. Либо, несмотря на достаточно крупный размер, ничем себя не проявляет и не беспокоит пациента. Наблюдение также выбирается в качестве метода, если пациенту противопоказано оперативное вмешательство в силу пожилого возраста или ослабленности организма.
Врач порекомендует наблюдать за развитием процесса, ежегодно делать МР исследование и приходить на консультацию;
Хирургическая операция. Хирургия невриномы слухового нерва - очень сложная и тонкая операция. Показана людям молодого возраста в тех случаях, когда опухоль растет, симптомы усиливаются, а радиохирургия не дает ожидаемого результата. Проводится для сохранения зрения, слуха, лицевого нерва. Хирургическая операция может быть проведена через различные доступы: сосцевидный отросток (транслабиринтный доступ); за ухом (ретросигмоидный доступ); над ухом (средняя ямка).
Операция идет под анестезией, предполагает трепанацию черепа. Восстановительный период длиться от полгода до года.
Лучевая терапия
Гамма-нож
Операции на установке Гамма-нож представляют собой неинвазивный (бескровный) метод лечения неврином слухового нерва, по своей эффективности не уступающий открытой хирургии и значительно снижающим риск послеоперационных осложнений. На сегодняшний день в мире известно более чем о 28 тысяч пациентов с невриномами слухового нерва, пролеченных с помощью Гамма-ножа, и их количество продолжает возрастать.
Целью радиохирургического лечения является предотвращение дальнейшего роста опухоли с минимизацией риска осложнений со стороны прилегающих невральных структур. Биолологические эффекты радиохирургического лечения неврином слухового нерва связаны с разрушением опухолевой ДНК и тромбозом сосудов, питающих опухоль.
Операции на Гамма-ноже показаны больным, у которых наибольший размер опухоли не превышает 3 см. А также - пациентам с остаточными и рецидивирующими опухолями после проведенного микрохирургического удаления.
До начала радиохирургического лечения проводится обследование, позволяющее определить точное положение опухоли и прилегающих нервных образований. Выполняется трехмерная реконструкция, отображающая детальную микрохирургическую анатомию этой области. Для этой цели с помощью МРТ получают четкую визуализацию опухоли и нервов во внутреннем слуховом проходе и области мосто-мозжечкового угла.
С помощью планирующей системы Gamma Planи автоматической позиционирующей системывозможно проводить очень точное облучение опухоли (точность 0,5 мм), избегаяповреждения черепных нервов и других важных отделов мозга.

Преимуществами лечения на Гамма-ноже являются высокая степень сохранения функции лицевого нерва (в 98%) и слуха (в 80%). Полностью отсутствуют осложнения, связанные с открытой операцией (менингит, ликворея). Лечение проводится за один день. Госпитализации и послеоперационного восстановительного периода не требуется. Большинство пациентов возвращаются к своему обычному образу жизни на следующий деньпосле операции.

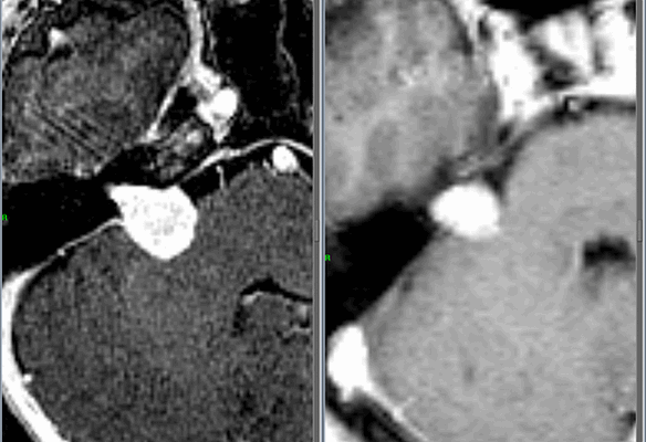
Слева - МРТпациентки М., 65 лет. Обратилась в радиохирургический центр МИБС с диагнозом-невринома правого VIII нерва. Проведено радиохирургическое лечение, доза по краю невриномы составила 13 Грей, в изоцентре опухоли 21,7 Грей.
Справа - контрольное МРТ через 1,5 года после операции. Отмечается уменьшение объёма опухоли на 47%.
Кибер-нож
Роботизированная радиохирургическая система Кибер-нож, предназначенная для лечения доброкачественных и злокачественных опухолей. В отличие от Гамма-ножа, не имеет ограничений, связанных с размером новообразования. Принцип воздействия радиации на невриному, а также преимущества перед хирургическом вмешательством аналогичны описанным выше, а разделе о Гамма-ноже.
Отдаленные результаты радиохирургического лечения хорошо изучены на протяжении более 50 лет. Уровень контроля за опухолью (отсутствие роста после радиохирургического лечения) составляет 95%. Безопасность лечения и отсутствие побочных эффектов подтверждены длительными периодами наблюдения. На МРТ исследовании, выполненном через 6-12 месяцев после операции, видно, что контраст перестает накапливаться в центре опухоли. После чего новообразование начинает замещаться соединительной тканью. радиационный ответ обычно проявляется через 6-12 месяцев ввидепотери контрастного усиления в центре опухоли, после чего опухоль начинает замещаться соединительной тканью.
Плюсы и минусы лучевой терапии вестибулярной шванномы
НИИ нейрохирургии им. акад. Н.Н. Бурденко РАМН, Москва
ФГАУ «НИИ нейрохирургии им. акад. Н.Н. Бурденко» Минздрава России, Москва, Россия
ФГБНУ «НИИ нейрохирургии им. акад. Н.Н. Бурденко», Москва, Россия
Хирургическое лечение неврином слухового нерва (вестибулярных шванном)
Журнал: Журнал «Вопросы нейрохирургии» имени Н.Н. Бурденко. 2017;81(3): 66‑76
Клинические рекомендации — это актуальные систематически разработанные положения, созданные для того, чтобы помочь врачу в принятии решений относительно врачебной тактики в определенных клинических ситуациях, они содержат установки по проведению диагностических и скринирующих тестов, по объему медицинской и хирургической помощи и по другим аспектам клинической практики. Вестибулярные шванномы составляют 8% всех внутричерепных образований, до 30% опухолей задней черепной ямки и 85% опухолей мосто-мозжечкового угла. Заболеваемость невриномами слухового нерва составляет примерно 1 случай на 100 000 населения в год. В работе представлены вопросы классификации, диагностики и лечения неврином слухового нерва. В рекомендациях подробно рассмотрены ключевые аспекты формулировки клинического диагноза, классификационные признаки, определение показаний к хирургическому или лучевому лечению, а также принципы выжидательной тактики при вестибулярных шванномах. Особое внимание уделено хирургическому лечению неврином слухового нерва, приведены критерии выбора хирургического доступа, использования современного операционного оснащения, этапы удаления опухоли. В соответствии с принятой клинической классификацией предложены алгоритмы действий в зависимости от стадии заболевания и динамики развития патологического процесса, возраста пациента и клинических проявлений. Ключевые положения клинических рекомендаций основаны на критериях доказательности. Работа предназначена для практической деятельности специалистов нейрохирургов.
Клинические рекомендации (КР) — это актуальные, систематически разработанные положения, созданные для помощи врачу в принятии решений относительно врачебной тактики в определенных клинических ситуациях. Они содержат установки по проведению диагностических и скринирующих тестов, по объему медицинской и хирургической помощи и по другим аспектам клинической практики [1].
Цель составления КР — попытка стандартизации вопросов диагностики и лечения заболеваний по всем разделам медицины, в том числе и по нейрохирургии.
КР включают описание методов диагностики и лечения профильных заболеваний, уровни доказательности основных положений, указатели лекарственных препаратов по Международным непатентованным названиям, оценку информационных ресурсов, использованных для разработки документа. Все основные разделы КР («Общие сведения», «Диагностика», «Лечение») должны содержать уровни доказательности приводимых в данном разделе положений.
В КР могут использоваться различные шкалы уровней доказательности, например, критерии, основанные на шкале уровней (категорий) доказательности Оксфордского центра доказательной медицины. По рекомендации Ассоциации нейрохирургов России в КР нейрохирургического профиля используется шкала «Стандарты—Рекомендации—Опции», в которой «Стандарт» соответствует уровню доказательности класса А, «Рекомендация» — уровням доказательности класса В—С, «Опция» — уровню доказательности класса С.
Стандарты. Это общепризнанные принципы диагностики и лечения, которые могут рассматриваться в качестве обязательной лечебной тактики. Большей частью — это данные, подтвержденные наиболее доказательными исследованиями (1—2 класс) — мультицентровыми проспективными рандомизированными исследованиями, или же данные, подтвержденные результатами независимых крупных нерандомизированных проспективных или ретроспективных исследований, выводы которых совпадают.
Рекомендации. Лечебные и диагностические мероприятия, рекомендованные к использованию большинством экспертов по этим вопросам, которые могут рассматриваться как варианты выбора лечения в конкретных клинических ситуациях. Эффективность рекомендаций определяется в исследованиях 2-го и реже — 3-го класса доказательности, т. е. в проспективных нерандомизированных исследованиях и крупных ретроспективных исследованиях. Для перехода этих положений в разряд стандартов необходимо их подтверждение в проспективных рандомизированных исследованиях.
Опции. Основаны на небольших исследовательских работах 3-го класса доказательности и представляют, главным образом, мнение отдельных авторитетных по тем или иным направлениям экспертов, или экспертных групп.
Общие сведения. Вестибулярные шванномы составляют 8% от всех внутричерепных образований, до 30% опухолей задней черепной ямки и 85% опухолей мосто-мозжечкового угла [2]. Термины «вестибулярная шваннома» и «невринома слухового нерва» являются синонимами, обозначающими доброкачественные опухоли, которые состоят полностью из шванновских клеток и исходят из вестибулярной порции слуховестибулярного нерва (более часто из верхней части вестибулярной порции) [3, 4]. В мировой литературе в основном используется термин «вестибулярная шваннома», а в отечественной — «невринома слухового (VIII) нерва».
Заболеваемость невриномами слухового нерва составляет примерно 1 случай на 100 000 населения в год [5]. Другими словами, каждый год в Российской Федерации появляется 1500 новых случаев неврином слухового нерва. Учитывая постоянное совершенствование методов нейровизуализации, позволяющих устанавливать диагноз на ранних стадиях заболевания, эта цифра может быть еще выше.
Невриномы слухового нерва в 95% случаев является односторонней опухолью. 5% неврином имеют мультицентрический двусторонний характер роста и являются проявлением нейрофиброматоза типа II (НФ-2) — наследственного, аутосомного заболевания, имеющего доминантный характер наследования. Истинные, спорадические невриномы слухового нерва развиваются наиболее часто на четвертом—пятом десятилетии жизни, имея общий возрастной период от 12 до 88 лет [6]. Более часто невриномы встречаются у женщин, чем у мужчин, примерное соотношение 3:2. Двусторонние невриномы, обусловленные НФ-2, проявляются значительно раньше, во втором—третьем десятилетии жизни [7, 8].
Невриномы слухового нерва являются, как правило, плотным, опухолевым образованием, в редких случаях содержат в своей структуре кисты, имеют хорошо выраженную капсулу, четко отграниченную от мозгового вещества. Они возникают во внутреннем слуховом проходе, в зоне Obersteiner-Redlich между миелин-продуцирующими олигодендроцитами и шванновскими клетками, расположенными в 8—10 мм от пиальной оболочки боковой поверхности моста. Рост опухоли происходит в сторону наименьшего сопротивления по корешку нерва в средней части мостомозжечкового угла. Близлежащая часть нерва может быть изолирована при маленькой опухоли, но с увеличением размера последней включается в ее структуру [9]. При более поздних стадиях заболевания и значительно больших размерах опухолевого узла происходит аналогичное воздействие на близлежащие черепные нервы. По частоте вовлечения в этот процесс на первом месте стоит, естественно, вестибуло-кохлеарный нерв, затем в порядке убывания частоты следуют лицевой и тройничный нервы, языкоглоточный нерв и другие [3, 10].
Классификации стадий развития заболевания
В практической деятельности наиболее универсальными являются классификации, предложенные Koos [11] и Samii [12]. Они основаны на оценке размеров невриномы и ее отношении к окружающим мозговым и костным структурам (рис. 1, 2).

Рис. 1.Иллюстрация классификации неврином слухового нерва по Koos. а — I стадия — опухоль находится в пределах внутреннего слухового прохода, диаметр экстраканальной части составляет 1—10 мм; б — II стадия — опухоль вызывает расширение канала внутреннего слухового прохода и выходит в мостомозжечковый угол, ее диаметр составляет, 11—20 мм; в — III стадия — опухоль распространяется до ствола головного мозга без его компрессии, диаметр составляет 21—30 мм; г — IV стадия — опухоль вызывает компрессию ствола головного мозга, ее диаметр более 30 мм.

Рис. 2.Классификация неврином слухового нерва по M. Samii. а — Т1 — интрамеатальная опухоль (рис. 2, a); б —Т2 — интра-экстрамеатальная опухоль; в — Т3а — опухоль заполняет мостомозжечковую цистерну; г —Т3b — опухоль распространяется до ствола головного мозга; д —Т4а — опухоль вызывает компрессию ствола; е —Т4b — опухоль грубо деформирует ствол мозга и IV желудочек.
В клинической практике обе эти классификации следует равноценно рассматривать в качестве основных принципов оценки клинической стадии заболевания (опция).
По данным анализа большого массива клинических исследований (663 собственных наблюдения), на сегодняшний день средний размер невриномы слухового нерва составляет 32×30×30 мм. Распределение по стадиям заболевания представлено следующим образом:
Частые вопросы
Нет, пациент, проходящий курс лучевого лечения, безопасен для окружающих и сам не является источником излучения.
Когда применяется лучевая терапия?
Лучевая терапия может быть использована для лечения практически любого вида опухолей, включая рак мозга, груди, шейки и тела матки, гортани, легкого, поджелудочной железы, простаты, кожи, позвоночника, желудка, сарком мягких тканей. Также облучение может быть использовано в терапии лейкемии и лимфомы. Доза облучения зависит от различных факторов, включая морфологический диагноз, наличия близлежащих органов или тканей, которые могут быть повреждены облучением.
Лучевая терапия также применяется для устранения или ослабления тяжелых симптомов основного заболевания (паллиативная лучевая терапия) - например, очень сильные боли в костях. Показания к применению лучевой терапии очень широки. Этот вид лечения может применяться как самостоятельно, так и в сочетании с двумя другими основными способами лечения онкологических заболеваний - хирургией и химиотерапией. В ряде стран лучевая терапия применяется у 80% пациентов, страдающих онкологическими заболеваниями, на том или ином этапе лечения и в различных комбинациях с другими типами лечебного воздействия. При этом, конечно же, форм реализации лучевой терапии существует крайне много (тип воздействия, методика, доза) и их выбор зависит от основного заболевания, его стадии и многих индивидуальных особенностей течения заболевания пациента.
В чем разница между дистанционной и контактной лучевой терапией (брахитерапией)?
При проведении дистанционной лучевой терапии используются специализированные установки для облучения, при этом нет непосредственного контакта тела пациента с облучающим устройством. При контактной лучевой терапии (брахитерапия) облучение проводится с помощью введения непосредственно в опухоль радиоактивного объекта (аппликаторы и зерна, содержащие радиоактивный препарат).
Как врач определяет дозу облучения?
Лучевая терапия в медицине применяется для лечения различных заболеваний уже много десятилетий. За это время было накоплено огромное количество данных по переносимости тканями организма разных доз радиации, а также по степени воздействия на опухолевые образования. Эти данные были хорошо изучены и систематизированы, а в последние 15-20 лет,линейных ускорителей и возможностью унификации методик лечения в большинстве клиник, появилась возможность выработать так называемые стандарты или клинические руководства по лечению того или иного заболевания. В большинстве случаев эти стандарты являются международными, то есть апробированными и признанными во многих странах мира. Такие руководства или стандарты учитывают вид заболевания, его стадию, предшествовавшее лечение ив зависимости от этих исходных факторов рекомендуют применять ту или иную тактику дальнейшего лечения. В части лучевой терапии предписывается доза облучения, режим облучения (то есть сколько фракций, с каким промежутком, какой разовой дозой и пр.), области, подлежащие облучению (например, регионарные лимфоузлы дополнительно к основному очагу). Эти руководства содержат в себе обобщенный положительный опыт в части лучевой терапии тех или иных образований, приводящий к максимальному контролю над опухолью и минимально возможному риску осложнений со стороны нормальных тканей. Эти документы служат основным руководством к клиническому действию врачей и задают основную тактику ведения больного. Однако все случаи заболеваний индивидуальны и стандартная терапия может и должна быть адаптирована с учетом особенностей и состояния каждого из пациентов, мастерство врача как раз и состоит в том, чтобы подобрать максимально эффективное (радикальное, как часто говорят) лечение с наименьшими, по возможностями, осложнениями.
Понятно, что одно руководство не может быть всеобъемлющим и содержать рекомендации по всем видам лучевого воздействия. Кроме того, методики облучения, объемы и тактика хирургического удаления совершенствуются и меняются, появляются новые препараты для химиотерапии. Все это требует взаимной коррекции методик сочетанного лечения онкологических заболеваний.
Как излучение действует на раковые клетки? Почему лучевая терапия имеет лечебный эффект?
Ионизирующее излучение пагубно воздействует на ДНК раковой клетки. ДНК погибает и раковые клетки, которые до сих пор безудержно размножались, теряют способность к делению. Через некоторое время патологические клетки погибают и рассасываются. Клетки здоровых тканей имеют меньшую чувствительность к ионизирующему излучению и при правильном подборе дозы восстанавливаются и продолжают функционировать.
Что является источником энергии при дистанционной лучевой терапии?
Энергия может поступать с рентгеновскими или гамма-лучами. Оба метода являются формами электромагнитного излучения.
Рентгеновские лучи создаются аппаратами - линейными ускорителями. В зависимости от количества энергии в рентгеновских лучах, последние могут быть использованы для уничтожения раковых клеток на поверхности тела (низкий энергетический уровень) и в более глубоких структурах (высокий энергетический уровень). По сравнению с другими типами излучения, рентгеновские лучи могут облучать достаточно большую область.
Гамма-лучи продуцируются, когда изотопы некоторых элементов (иридий и кобальт 60) высвобождают лучистую энергию при распаде. Каждый элемент распадается с определенной скоростью и каждый высвобождает разное количество энергии, что определяет глубину проникновения в тело.
Какие методы используются или изучаются для увеличения эффективности дистанционной лучевой терапии?
Используются следующие методики:
Лучевая терапия, модулированная по интенсивности (IMRT, ЛТМИ). Это новый тип трехмерной конформной лучевой терапии, при котором используются пучки излучения (обычно, рентгеновские лучи) разных интенсивностей для доставки различных доз облучения в малые области тела в одно время. Технология позволяет облучить опухоль более высокими дозами и меньше повредить соседние нормальные ткани. В некоторых случаях таким способом можно облучать пациента каждый день высокими дозами, т.о. сокращая время лечения, улучшая его результат и уменьшая побочные эффекты.
Излучение исходит из линейного ускорителя, укомплектованного многостворчатым коллиматором, необходимым для формирования излучения. Оборудование может вращаться вокруг пациента, т.о. пучки излучения, идеально подогнанные к форме опухоли, могут направляться под лучшими углами.
Эта новая технология используется для лечения опухолей мозга, головы и шеи, носоглотки, груди, печени, легкого, простаты и матки. Вскоре будут известны отдаленные результаты лечения.
Кто проводит лучевую терапию в медицинских учреждениях?
Лучевой терапией занимается команда, состоящая из онколога-радиолога, медицинского физика и рентгенолаборанта. Радиолог определяет области облучения, дозы и режим облучения, планирует наблюдение за пациентом и поддерживающую терапию после завершения курса лучевой терапии. Совместно с медицинскими физиками врач радиолог выбирает методику облучения, задает дозные ограничения на критические структуры и нормальные ткани, участвует в подготовке больного к лечению (создаются индивидуальные фиксирующие приспособления, вакуумные матрасы, термопластические маски). Медицинский физик отвечает за техническую сторону процесса облучения (создание оптимального плана облучения, расчет дозного распределения, контроль качества работы оборудования). Рентгенолаборанты отделения лучевой терапии- это те люди, которые ежедневно встречают пациента и проводят сеанс лучевой терапии. Они проводят пациента в процедурную лучевой терапии, укладывают его на стол лечебной установки, используя индивидуальные средства иммобилизации этого пациента, проверяют точность укладки с помощью средств рентгеновской визуализации. После того, как подготовительный этап выполнен, оператор проводит лечение по индивидуальному плану облучения этого пациента, который загружен в лечебный аппарат. Рентгенолаборант - это тот человек, которого вы видите каждый день в течение курса лечения. Это связующее звено между вами и вашим врачом. Рентгенолаборант как никто другой хорошо знает особенности вашей укладки, есть ли сложности в реализации плана, каково ваше самочувствие день ото дня, и именно этот медицинский работник первым сообщает о возможных проблемах лечащему врачу.
Часто лучевую терапию комбинируют с химиотерапией, тогда она является частью общей схемы лечения пациента. Онколог-радиолог также взаимодействует с онкологом-педиатром, хирургом, лучевым диагностом, морфологом и другими специалистами для выработки идеальной тактики ведения пациента.
Что такое радиосенсибилизаторы и радиопротекторы?
Радиосенсибилизаторы и радиопротекторы - это химические и физические агенты, которые изменяют чувствительность клетки к облучению. Радиосенсибилизаторы - это вещества, которые делают раковые клетки более чувствительными к облучению (например, кислород). Некоторые противоопухолевые препараты, такие как 5-фторурацил, цисплатин, темодал также обладают свойствами радиосенсибилизаторов.
Радиопротекторы это препараты, защищающие нормальные клетки от излучения. Эти препараты стимулируют репарацию (восстановление) ДНК нормальных клеток. Одним из таких препаратов является амифостин (Ethyol®).
В чем разница в лучевой терапии на современных линейных ускорителях и гамма-машинах и линейных ускорителях предыдущих поколений?
Лучевая терапия с применением гамма-машин, (кроме установки Гамма нож - золотого стандарта радиохирургического лечения), в настоящее время практически не применяется в развитых странах. Это связано с крайне низкой точностью облучения опухоли на установках такого типа и частым лучевым поражением окружающих здоровых тканей. Линейные ускорители предыдущих поколений тоже не приспособлены для высокоточного облучения. Самые современные линейные ускорители дают техническую возможность подать высокую дозу радиации непосредственно в опухоль и избежать поражения рядом расположенных жизненно-важных органов и структур, что резко улучшает прогноз.
Почему мы должны делать лучевую терапию за деньги, если в нашем городе мы можем это сделать бесплатно?
Во-первых, в РФ существует огромный недостаток современных линейных ускорителей, в связи с чем, больные часто вынуждены ожидать своей очереди на лучевую терапию месяц и более. Вместе с тем сроки проведения лучевой терапии крайне важны и определены протоколами лечения.
Мы всегда соблюдаем Американские и Европейские протоколы лечения. Соблюдение протоколов повышают ваши шансы на благоприятный исход терапии.
Во-вторых, лучевая терапия требует очень скрупулезного выполнения ряда манипуляций: таких как проверка положения пациента перед лечением и даже во время такового. Кроме того применение современных методик облучения, занимает достаточно большое время. Однако в условиях огромного дефицита лучевой техники во всех государственных учреждениях на лечение одного больного выделяется всего несколько минут (иногда всего 5-7 минут), что не позволяет использовать все возможности современной техники. Возможность уделить каждому пациенту необходимое количество времени, позволяет нам использовать все преимущества нашей современной техники.
Наконец, наличие в нашей команде медицинских физиков высочайшего уровня, позволяет нам создавать планы лечения максимально адаптированных для каждого конкретного больного.
Телефон регистратуры поликлиники:
Телефон регистратуры лучевой диагностики:
Гамма-нож
![]() |
Вестибулярная шваннома (невринома VIII нерва, акустическая невринома) представляет собой доброкачественное новообразование, возникающее из шванновских клеток вестибулярной порции VIII нерва.
Заболеваемость невриномами слухового нерва составляет примерно 1 случай на 100000 населения в год. Каждый год в Российской Федерации появляется 1500 новых случаев неврином слухового нерва. Среди первичных интракраниальных опухолей вестибулярные шванномы вестибулярные шванномы занимают 4-е место (после глиом, менингиом и аденом гипофиза), составляя до 6-10% всех верифицированных опухолей мозга и поражая преимущественно лиц работоспособного возраста (30-60 лет), на который приходится более 80% случаев. Вестибулярные шванномы составляют около 30% опухолей задней черепной ямки и до 90% новообразований мосто-мозжечкового угла. Несколько чаще встречаются у женщин, чем у мужчин, примерное соотношение 3:2.
Клиническая картина зависит от размеров опухоли. При небольших размерах симптоматики может не быть вовсе. По мере увеличения опухоли в размерах появляется симптоматика, зависящая от того, какие структуры сдавливает опухоль:
- Поражения нервов.
- Нарушение слуховой и вестибулярной функции.
- Расстройства функции вкуса на передней 2/3 языка и слюноотделения (XIII нерв).
- Расстройства функций каудальной группы нервов.
- Расстройства функции мимической мускулатуры.
- Глазодвигательные нарушения.
- Симптомы раздражении/компрессии ствола головного мозга.
- Различные виды нистагма.
- Пирамидная симптоматика.
- Мозжечковая симптоматика.
- Гипертензионно-дислокационный синдром.
Наиболее информативным методом выявления вестибулярных шванном является МРТ головного мозга с контрастным усилением в режиме Т1 и Т2. Это исследование позволяет определить размеры опухоли, наличие перитуморозного отека, наличие признаков окклюзионной гидроцефалии, которая может быть следствием сдавления опухолью IV желудочка. Кроме этого МРТ позволяет провести дифференциальную диагностику с другими опухолями схожей локализации (чаще с менингиомой задней грани пирамиды височной кости). Еще одним стандартом диагностики является КТ в костном режиме. Независимо от снижения слуха стандартом является проведение аппаратной аудиографии.
Классификация KOOS
I стадия: опухоль находится в пределах внутреннего слухового прохода, диаметр экстраканальной части составляет 1-10 мм.
II стадия: опухоль вызывает расширение канала внутреннего слухового прохода, и выходит в мостомозжечковый угол, ее диаметр составляет, 11-20 мм.
III стадия: опухоль распространяется до ствола головного мозга без его компрессии, диаметр составляет 21 - 30 мм.
IV стадия: опухоль вызывает компрессию ствола головного мозга, ее диаметр более 30 мм.
Классификация M. Samii
Т1 - интрамеатальная опухоль.
Т2 - интра-экстрамеатальная опухоль.
Т3а - опухоль заполняет мостомозжечковую цистерну.
Т3b - опухоль распространяется до ствола головного мозга.
Т4а - опухоль вызывает компрессию ствола.
Т4b - опухоль грубо деформирует ствол мозга и IV желудочек.
Тактика лечения
В зависимости от размеров опухоли, клинической симптоматики, возраста больного, тяжести его состояния, наличия сопутствующей патологии возможны 3 варианта тактики лечения:
- динамическое наблюдение;
- хирургическое лечение;
- стереотаксическая радиохирургия.
Динамическое наблюдение
Учитывая, что вестибулярная шваннома является доброкачественной опухолью с невысокими темпами роста, при небольших ее размерах, отсутствии или минимальном неврологическом дефиците возможен выбор выжидательной тактики. Особенно такой подход оправдан у пожилых людей, или у пациентов с выраженной декомпенсированной соматической патологией. Однако, в большинстве случаев, учитывая риски, связанные с возможным ростом опухоли, более оправданным считается выбор активной тактики.
Хирургическое лечение
Наличие у пациента вестибулярной шванномы является показанием к хирургическому лечению. Большие и гигантские размеры опухоли (более 3,5 см.) являются абсолютным показанием к хирургическому лечению. При меньших размерах возможно проведение радиохирургического лечения.
Для удаления вестибулярных шванном в настоящее время используются три основных доступа: транслабиринтный, ретросигмовидный (наиболее часто используемый) и доступ через среднюю черепную ямку. Каждый из них обладает своими преимуществами и своими же недостатками. В последние годы в связи с развитием микрохирургической техники результаты хирургического лечения пациентов значительно улучшились. Летальность после удаления вестибулярных шванном колеблется в пределах (0-3%), рецидивы опухоли наблюдаются в 5-10%.
В настоящее время превалирующим фактором результативности хирургического лечения считается качество жизни пациента, поэтому интраоперационная тактика в большей степени должна быть нацелена на достижение именно этой цели. Такие послеоперационные осложнения как паралич лицевого нерва (до 25%), нарушения глотания, глазодвигательные нарушения, несут существенную угрозу инвалидизации, поэтому проведение таких операций диктуют высокие требования к профессиональной подготовке оперирующего нейрохирурга. Из послеоперационных осложнений также следует отметить ликворею у 2-20% пациентов, которая иногда может потребовать проведение повторной операции для закрытия ликворного свища; кровоизлияние в ложе операции (1-2%); отек мозжечка и ствола мозга; гемипарез; менингит (1,2%); раневую инфекцию (1,2%); парез VI черепного нерва (1-2%) и парезы других, ниже расположенных черепных нервов; подкожную гематому (3%).
Стереотаксическая радиохирургия
Целью радиохирургического метода является контроль роста опухоли. Стабилизация процесса и даже уменьшение размеров наблюдается в 85-94% случаев, что соответствует мировым данным. Другим критерием эффективности лучевой терапии является высокий (до 98%) показатель отсутствия операции после проведения облучения. Важным также является сохранение функции улиткового и других черепных нервов в случаях, когда это возможно, а также улучшение неврологического статуса пациента. Эффективность применения Гамма-ножа при лечении больных с вестибулярными шванномами создало реальную альтернативу хирургическому лечению при опухолях, размеры которых не превышают 3,5 см, при этом метод радиохирургии лишен недостатков хирургического метода лечения.
После облучения опухоли гамма-ножом возможно как уменьшение ее размеров, так и временное их увеличение. Третьим возможным вариантом развития событий может быть продолженный рост опухоли, однако, это происходит нечасто (от 0 до 7% в течение 10 лет).
Версия для слабовидящих Карта сайта
Лечение невриномы: о причинах появления патологии и способах от нее избавиться
Невринома - это доброкачественная опухоль округлой формы, поражающая черепные, спинномозговые и другие нервы. Новообразование возникает из патологически разросшихся клеток, формирующих оболочку нервных волокон. Эти клетки называют шванновскими. Отсюда другое название невриномы - шваннома.

Общие сведения о патологии
редко переходит в злокачественную форму;
встречается у людей, которым не меньше 35-40 лет;
чаще поражает лиц женского пола.
Новообразование внешне напоминает округлый плотный узелок, который находится в капсуле, сформированной из соединительной ткани. Благодаря этому при помощи операции от опухоли относительно несложно избавиться.
Невринома - причины возникновения
Невриному вызывают:
генетические факторы. Вероятность появления опухоли резко возрастает, если родственники страдали(ют) от этой проблемы;
тяжелая экологическая обстановка - воздействие вредных химических веществ, радиации;
пристрастие к сигаретам.
Также новообразование появляется у людей, уже страдающих от другого новообразования.
Разновидности патологии
Существуют следующие основные виды заболевания:
1. Акустическая невринома (она же вестибулярная шваннома):
встречается чаще всего;
опухоль поражает слуховой нерв (обычно вестибулярную часть, редко - улитковую). Однако постепенно новообразование разрастается и начинает проникать в мозжечково-мостовой угол;
вестибулярная шваннома может вредить лицевому нерву и даже «доставать» до тройничного. Также могут пострадать зрительный и челюстной нервы;
прогрессирует новообразование очень медленно (на несколько миллиметров в год). В редких случаях наблюдается быстрый опасный рост (до 30 мм за 12 месяцев), из-за которого важные отделы мозга (в первую очередь мозжечок) начинают сдавливаться;
намного чаще развивается только в одном ухе (в двух 5% случаев). Причиной двусторонней акустической невриномы, как правило, становится нейрофиброматоз.
появляется в 40-50-летнем возрасте.
2. Невринома позвонков:
развивается обычно в грудных и шейных областях спины;
иногда появляется в поясничном отделе;
встречается реже акустической, но тоже довольно часто.
3. Шваннома Мортона:
такой тип патологии появляется на стопе (точнее ее подошве) одной ноги, в области 3-го и 4-го пальцев;
в редких случаях патология развивается на обеих стопах;
встречается шваннома Мортона нечасто.
Как патология себя проявляет
Нередко заболевание протекает совершенно бессимптомно и обнаруживается случайно. Это затрудняет лечение невриномы. Признаки патологии зависят от местоположения опухоли:
1. При акустической невриноме:
развивается тиннитус (шум в ушах);
появляются сильные головокружения.
2. При повреждении лицевого нерва:
пересыхает во рту;
наблюдается частичный паралич век.
3. При невриноме спинных позвонков наблюдаются:
мучительные болевые ощущения в области спины;
ухудшение чувствительности в месте поражения.
4. При шванноме Мортона появляются различные проблемы с чувствительностью:
ощущается онемение в районе стоп;
Как патология диагностируется
Лечению невриномы предшествует диагностика. Ее производят с помощью:
компьютерного или магнитно-резонансного томографического исследования. Магнитно-резонансное исследование более эффективно. Оно способно выявить микроскопические новообразования, тогда как компьютерная томографическая диагностика обнаруживает только опухоли, чей диаметр не менее 1 см;
аудиограммы (исследование слуха).
Лечение заболевания - оперативное, лучевое, консервативное
Обычно невриному необходимо удалять, консервативное лечение эффективно далеко не всегда. Правда, на ранних стадиях, опухоль реально убрать с помощью лучевой терапии (кибер-нож).
1. Операция
Хирургическое лечение невриномы представляет собой локальное вскрытие черепной коробки (трепанация), чтобы до опухоли можно было добраться.
Без оперативного вмешательства обойтись не удастся, если:
опухоль быстро увеличивается в размере (к примеру, после того как больной проходил радиотерапию);
заболевание стало приводить к серьезным осложнениям.
Хирургическое удаление опухоли противопоказано, если:
у пациента проблемы с сердцем или сосудами;
больной уже преклонного возраста, у него проблемы с сердцем.
Прогноз на 99% благоприятный. Рецидив патологии - явление редкое. После операции пациент восстанавливается в течение 6-10 месяцев.
Возможные осложнения следующие:
может начаться кровотечение;
есть небольшой риск попадания инфекции;
лицевой нерв больного может поразить парез (особенно, если опухоль превышает несколько сантиметров);
ухудшится слух. Если опухоль больше 2 см, велик риск, что ее хирургическое удаление приведет к частичной потере слуха.
2. Лучевая (неоперативная) терапия
Помимо традиционной операции, существует и более безопасный способ избавиться от невриномы. Речь о стереотаксической радиохирургии (кибернож) - облучении опухоли:
преимущество такой операции в том, что уничтожение опухоли производится очень точно. Нервные ткани, которые ее окружают, остаются совершенно невредимыми;
недостаток - такая терапи я эффективна, только если невринома выявлена на ранних стадиях и не превышает 30 мм.
Лучевая терапия обязательна, если:
новообразование находится в «неоперабельном месте»;
больной категорически против хирургического вмешательства;
человек уже достиг пожилого возраста, у него проблемы с сердцем.
У лучевой терапии есть «побочка». После процедуры пациента может:
· появляются боли в шее (там, где располагалась стереотаксическая рамка).
3. Консервативная (выжидательная терапия)
Невринома - заболевание «вялотекущее». Поэтому до поры до времени можно обходиться консервативным лечением. Оно предполагает употребление:
средств, которые оказывают позитивное влияние на кровообращение в головном мозгу.
Также больному нужно постоянно проверять состояние водно-электролитного баланса
Невринома - заболевание сравнительно неопасное. Однако рисковать не стоит. Если она обнаружена, следует постараться поскорее избавиться от этой проблемы.
Эта статья носит информативный характер, за подробностями просим вас обращаться к врачу! О противопоказаниях и побочных действиях спрашивайте у врача.
Читайте также:
- Сальниковая сумка. Стенки сальниковой сумки. Сальниковое отверстие. Границы сальникового отверстия. Предверие сальниковой сумки.
- Поперечная блокада сердца в послеоперационном периоде. Острый печеночно-почечный синдром
- Генетика развития: влияние генов и окружающей среды
- Признаки поражения заднего продольного пучка. Галлюцинации Пика, синдромы Миллар-Гублера, Бабинского-Нажеотти
- Мочекаменная болезнь: симптомы, лечение, профилактика и диагностика

