Рентгенограмма, КТ, МРТ при нарушении формирования шейного отдела позвоночника
Добавил пользователь Владимир З. Обновлено: 21.11.2025
МРТ — безопасная процедура диагностики, позволяющая визуализировать состояние органов и тканей. При болях в шейном отделе МР-диагностику назначают для того, чтобы окончательно подтвердить диагноз: выявить межпозвонковую грыжу или воспаление нервных окончаний.
МРТ шейных позвонков — единственный способ визуализации межпозвонковых дисков, которые не отображаются на снимках при проведении КТ или рентгенографии.
Безопасность, эффективность, быстрота и возможность получения детального изображения тканей, на основании которого составляется подробное описание, делают магнитную томографию процедурой выбора при необходимости диагностики заболеваний позвоночника.
В этой статье мы расскажем вам, что показывает МРТ шейного отдела позвоночника и когда назначается исследование.
Анатомия шейного отдела позвоночника
Верхний отдел позвоночника состоит из 7 позвонков. Самый верхний из них называют атлантом, он крепится к основанию черепа и состоит из двух широких дуг, соединенных костными утолщениями по бокам. Под ним находится аксис — второй позвонок, к которому крепится атлант. Благодаря их соединению у человека есть возможность поворачивать голову в сторону. На эти позвонки оказывается минимальная нагрузка, поэтому они вытянуты по ширине.
От шестого до второго позвонка проходит позвоночная артерия, питающая кровью головной мозг.

Строение шейных позвонков
Заболевания шейных позвонков
Чаще всего болевые ощущения в шее могут возникать при спазмах или растяжениях. Это может произойти в результате перенапряжения, резких движений или переохлаждения. Эти проблемы не требуют долгого и сложного лечения, а в некоторых случаях проходят самостоятельно, без медикаментозного вмешательства.
Если же боль не проходит и мешает полноценной жизни, причина может крыться глубже. Причиной болевого синдрома могут быть следующие заболевания:
- остеохондроз;
- грыжа или протрузия межпозвонковых дисков;
- сколиоз;
- воспалительный процесс;
- травмы мягких тканей или позвоночника;
- нервные расстройства.
Остеохондроз
Согласно статистике Всемирной Организации Здравоохранения от остеохондроза страдает 80% людей в возрасте от 30-40 лет.
К основным симптомам этой болезни относятся:
- боль, скованность движений, онемение и покалывание конечностей. Эти симптомы вызваны нарушением кровообращения, сдавлением нервов или деформацией костной ткани. Синдром сужения позвоночного канала в силу различных причин называют стенозом;
- сильные головные боли, пульсирующий шум в ушах, проблемы с обонянием и речью, деформация лица и проблемы с дыханием. Данные симптомы могут быть признаками корешкового синдрома, при котором межпозвонковый диск начинает пережимать нервные корешки;
- пульсирующая боль, локализующаяся в височной, теменной, надбровной и затылочной доли возникает вследствие сжатия позвоночной артерии;
- боли в области диафрагмы, аритмия и повышенное давление называют кардиальным синдромом.
Основными причинами развития остеохондроза считаются нарушения метаболизма, малоактивный образ жизни, недостаток витаминов и жидкости в рационе, лишний вес, переохлаждения, неправильная техника выполнений физических упражнений, наследственность.
После первичного осмотра и выяснения жалоб лечащий врач назначает дополнительное обследование, самым информативным из которых является магнитно-резонансная томография, которая покажет патологические изменения в строении и функционировании позвоночника.
Спондилез
Патология разрастания костной ткани, которая возникает вследствие осложнения течения остеохондроза. Проявляется в виде головных болей, потери подвижности и онемения в области шеи.
На ранней стадии заболевание поддается медикаментозному и физиотерапевтическому лечению. На более поздних стадиях может потребоваться хирургическое вмешательство, после чего применяются реабилитационные действия в виде ЛФК.
Пациенту требуется постоянное наблюдение врача, так как спондилез при неблагоприятном течении может привести к инсульту.
Протрузии
При искривлениях, грыжах и протрузиях могут случаться приступы головокружения и головных болей. Это происходит из-за того, что пережимаются кровеносные сосуды и нервы. Кроме того, боль может отдавать в практически любые части тела — голову, плечи, руки и грудную клетку.
Протрузии являются следствием остеохондроза и представляют собой выпячивание межпозвонкового диска в полость канала спинного мозга. Однако разрыва фиброзного кольца, окружающего диск, при этом не происходит.
Если протрузии не лечить, они разорвут оболочку диска и превратятся в грыжу.
Грыжа межпозвонкового диска
При повреждении фиброзного кольца внутренняя часть диска выходит наружу, происходит сдавливание нервных корешков, что приводит к интенсивным болевым ощущениям.
Грыжа или пролапс проявляется внезапной сильной болью в плечах и шее, онемением, слабостью мышц и потерей чувствительности. Боль локализуется в месте, где ущемлен нерв.
В большинстве случаях грыжа проходит при применении болеутоляющих средств, обеспечения покоя и ношения специального отропедического воротника.
Оперативное вмешательство назначается, если у пациента не проходят симптомы, остается сильная боль, слабость в мышцах и сохраняется потеря чувствительности. Во время операции хирурги удаляют ущемленный нерв или освобождают нервный корешок.
Сколиоз
Сколиоз шейного отдела чаще всего встречается у молодых людей и затрагивает с 3 по 6 позвонки.
К причинам возникновения относят травмы в раннем детском возрасте, нарушения развития и болезни позвоночника.
Сколиоз появляется вследствие того, что мышцы с одной стороны напряжены больше, чем с другой. Такая асимметрия приводит к появлению блоков и спазмов, а как следствие, к болям и ущемлению нервов.
В детстве сколиоз хорошо поддается лечению, во взрослом возрасте можно уменьшить болевые ощущения.
Для постановки диагноза используют магнитную томографию шейного отдела для получения точных снимков и разреза тканей.
Радикулит
Радикулопатия — болевой синдром, который возникает при воспалении нервных корешков. Может поразить с 4 по 6 позвонки, хотя чаще проявляется в области поясницы.
Этот синдром возникает на фоне болезней позвоночника, например:
- остеохондроз;
- межпозвонковая грыжа;
- воспаление связок и мышц от переохлаждения или перенапряжения;
- общее переохлаждение организма от длительного пребывания в сырых и холодных условиях;
- также шейный радикулит может возникнуть как осложнение после инфекционного заболевания.
Для того чтобы нервные корешки не раздражались, необходимо уменьшить нагрузку на шею, для этого понадобится воротник, удерживающий шею в фиксированном положении. При сильных болях назначается прием противовоспалительных препаратов, а после уменьшения болевого синдрома назначается курс мануальной терапии или массажа.
Как делают МРТ шейного отдела позвоночника
Для того чтобы получить точные данные и установить диагноз, доктор может назначить магнитно-резонансную томографию. Этот метод считается не только эффективным, но и безопасным, так как процедура проводится без применения рентгеновского излучения. Проводить МР-диагностику можно так часто, как это требуется. Процедура занимает не более 20 минут, если не брать в расчет время на введение контрастирующего вещества.
Порядок действия во время проведения томографии:
- Пациент снимает с себя все металлосодержащие предметы одежды и аксессуары.
- Ложится на кушетку аппарата.
- При необходимости пациенту вводится контрастное вещество.
- Кушетка заезжает внутрь томографа.
- Происходит процесс сканирования.
- Пациент получает на руки заключение врача-рентгенолога и диск с записанными на него снимками.

Подготовка к проведению магнитно-резонансной диагностики
МРТ с контрастом
В качестве контраста используют препарат на основе металла гадолиния. Воспаления и опухоли хорошо снабжаются кровью, что позволяет контрасту накапливаться в этих местах и четче отображать их на снимках.
МРТ шеи с контрастом позволяет определить точное расположение, размер и края опухолей, а также оценить состояние сосудов в области шеи.
Гадолиний безопасен, быстро распространяется по сосудам и способен вызвать аллергию только в редких случаях.
Показания для МРТ шейного отдела позвоночника
Магнитно-резонансная томография может назначаться при наличии следующих симптомов:
- онемение конечностей;
- болевой синдром в области шеи;
- головокружение;
- шум в ушах;
- потеря подвижности в области шеи;
- головные боли различной локализации и интенсивности;
- обмороки.
Процедура показана при подозрении на опухоль, тромбоз, травмах спинного мозга, а также при различных воспалительных процессах костной и соединительной ткани.
Время проведения МРТ шейного отдела позвоночника
Процедура магнитно-резонансной томографии шейного отдела длится около 15 минут. При использовании контраста время процедуры увеличивается еще на 15 минут.
Доктору потребуется 20-25 минут, чтобы составить описание исследуемой зоны, которое вместе с изображениями, записанными на диск, передается пациенту.
Подготовка к МРТ шейного отдела
Для того чтобы пройти магнитно-резонансное исследование не потребуется никакой особой подготовки. Не нужно будет отказываться от приема привычных лекарств или садиться на диету.

Современный томограф Philips Intera
Перед началом сканирования пациента попросят снять с себя все металлические предметы и отдать на хранение телефон и магнитные карты.
О следующих состояниях пациенту необходимо сообщить врачу до начала обследования:
- О факте беременности с указанием точного срока.
- О наличии боязни замкнутого пространства.
- О вживленных в тело протезах.
- Перед введением контрастирующего вещества обязательно сообщить о наличии ранее наблюдаемых тяжелых аллергических реакциях.
Противопоказанием к проведению диагностики является наличие у пациента кардиостимулятора или нейростимулятора, так как магнитные волны могут нарушить работу приборов. В таком случае врач предложит альтернативные методики диагностики.
также томография не проводится детям до 5 лет и очень полным пациентам, окружность тела которых составляет более сантиметров.
Расшифровка МРТ шейного отдела
Разобраться в результатах сканирования и поставить окончательный диагноз может только врач. В идеальном состоянии шейные позвонки на томограмме будут выглядеть так:
- края позвонков ровные, без шероховатостей;
- все позвонки одинаковые по высоте;
- в строении позвоночника не наблюдается асимметрии;
- на снимках четко видно спинной мозг;
- не наблюдается патологических изменений, воспалений, грыж и опухолей.

МР-снимок области шеи
Если обследуют пациента с переломом позвоночника, на снимке будут видны осколки, деформация и линия надлома. Магнитно-резонансная томография точно покажет не задет ли спинной мозг.
При остеохондрозе и протрузиях снимки показывают, что из-за дегенеративного процесса поверхность позвонков стала неровной, шероховатой, а края разрослись.
При наличии грыжи магнитно-резонансная томография дает возможность четко определить степень развития патологического процесса.
МРТ — это современный и эффективный метод диагностики, при помощи которого врачи могут поставить точный диагноз в кратчайшие сроки без дискомфорта и вреда для пациента.
В медицинском центре «ДиМагнит» можно сделать процедуру магнитно-резонансной томографии в удобное для вас время. В центре установлен современный томограф Philips Intera, позволяющий получить четкие изображения исследуемых органов и анатомических структур. Врачи центра составят подробное описание-заключение и запишут снимки на диск.
КТ шейного отдела

КТ шейного отдела представляет собой послойное исследование тканей при помощи рентгеновского излучения. Данный метод диагностики актуален при жалобах пациента на:
регулярные шейные и головные боли неясного происхождения;
боли в плечевом поясе;
потемнение в глазах, головокружения;
повышение артериального давления;
распространение болевых ощущений от шеи к руке;
онемение пальцев рук, ощущение «ползания мурашек»;
проблемы с памятью.
На КТ шейного отдела позвоночника направляют:
при аномалиях развития, травмах и ранениях шеи;
перед операцией - томография покажет состояние позвонков, спинного мозга и сосудов;
при подозрении на доброкачественные или злокачественные образования костных структур;
для выявления метастазов;
с целью проследить за динамикой выздоровления после хирургического вмешательства;
при нестандартном протекании заболеваний структур шеи;
для контроля эффективности лечения;
при наличии болей в области сердца, неподтвержденных кардиологическим исследованием
и в других случаях.
В медицинском центре «Магнит» в СПБ можно пройти КТ шейного отдела взрослым и детям, информация о цене на эту услугу указана в прайс-листе.
Что покажет КТ шейного отдела позвоночника
КТ шейного отдела позвоночника охватывает основание черепа, семь шейных позвонков и первые грудные позвонки. Так как процедура проводится с использованием рентгеновских лучей, изображения лучше всего показывают плотные структуры: кости, хрящи, связки, патологические костные наросты (остеофиты) и посторонние предметы в тканях.
На КТ видны суставы шейного отдела позвоночника. Они нередко подвержены дистрофическим изменениям, которые хорошо визуализируются на снимках. По томограмме можно определить и объем позвоночного канала, увидеть места его сужения (стеноза). Связанный с врожденными отклонениями, старением или дегенеративными изменениями, этот процесс приводит к целому ряду осложнений, в том числе, к нарушению функционирования спинного мозга.
Кроме плотных структур обследование на компьютерном томографе показывает полые органы: носоглотку, гортань, трахею и пищевод. КТ шейного отдела позвоночника с контрастированием поможет узнать, имеются ли проблемы с сосудистой системой. Для этого в вену вводят препарат на основе йода. Распространяясь по сосудам и мягким тканям, он окрашивает пораженные участки и делает их четко различимыми на фото.
Можно ли детям делать КТ шейного отдела
КТ шейного отдела позвоночника является одним из самых информативных способов выявления заболеваний. Процедура проводится в любом возрасте, но при назначении маленькому ребенку надо учитывать некоторые нюансы.
По сравнению с взрослыми у детей более высокая восприимчивость организма к радиации. По этой причине любую КТ, в том числе шейного отдела позвоночника, малышам лучше не делать без крайней необходимости. По возможности ребенку рекомендуется пройти магнитно-резонансную диагностику, которая не задействует рентгеновское излучение. Но если это невыполнимо, не следует отказываться от компьютерной томографии, ведь нераспознанная болезнь способна нанести еще больший вред.
В медицинском центре «Магнит» в СПб КТ-сканирование шейного отдела позвоночника по направлению от врача делают с 5 лет. На процедуру с контрастированием к нам можно приходить с 12-летнего возраста.
Подготовка к КТ исследованию шейного отдела
На КТ шейного отдела позвоночника пациент, помимо направления, должен принести с собой результаты предыдущих обследований и выписку из амбулаторной карты. Это поможет специалисту лучевой диагностики правильно спланировать процедуру.
Если предусмотрено контрастирование, дополнительно делают анализ крови на креатинин. При отсутствии на руках результатов сдать кровь можно в нашем диагностическом центре. Повышенные значения креатинина являются противопоказанием к процедуре, поскольку могут свидетельствовать о нарушении работы почек и потенциальных проблемах с выведением рентгеноконтрастного препарата из организма.
КТ шейного отдела не требует специальной подготовки. Только перед сканированием с контрастом нужно в течение 30-40 минут воздержаться от еды и питья (кроме чистой воды). Прямо перед выходом из дома лучше слегка перекусить, чтобы избежать тошноты или других побочных эффектов.
Кормящим мамам рекомендуем заранее сцедить молоко, а после КТ с контрастом шейного отдела позвоночника не прикладывать ребенка к груди в течение 10-12 часов. Затем, сделав два сцеживания, кормление продолжают.
Что можно увидеть на КТ шейного отдела
КТ шейного отдела позвоночника показывает:
трещины переломы позвонков и прочие последствия травм;
очаги кровотечений, гематомы;
дископатии, протрузии, межпозвонковые грыжи;
болезни ревматического характера (анкилозирующий спондилит и др.);
патологические изменения при заболеваниях дегенеративно-дистрофического характера (остеохондроз, спондилез, остеопороз);
повреждения спинного мозга - миелопатии;
аномалии в строении шейного отдела;
дивертикулы (выпячивание стенки) гортани, пищевода;
сужение или расширение спинномозгового канала;
нестабильность шейных позвонков;
инородные тела в гортани.
КТ с контрастом шейного отдела позвоночника проводят, когда требуется детально изучить состояние сосудов и выявить опухолевые процессы - в пораженных областях контрастное вещество накапливается более интенсивно, что дает возможность врачу диагностировать онкологическое заболевание даже на ранней стадии.
Компьютерная томография с контрастированием покажет:
гнойные образования (абсцессы, флегмоны);
ущемления сосудов отростками позвонков;
доброкачественные и злокачественные опухоли;
воспаления в мягких тканях;
узлы щитовидной железы;
изменения толщины и диаметра стенок сосудов;
тромбы, атеросклеротические бляшки, аневризмы;
увеличение лимфатических узлов.
Как проводится КТ исследование шейного отдела
Отправляясь на КТ шейного отдела, проследите, чтобы на одежде не было металлических деталей - кнопок, пуговиц, бегунков от молний, декоративных вставок и т.п. Также перед обследованием надо снять цепочки, кулоны и прочие украшения, способные оставить на снимках тени.
В кабинете пациент ложится на передвижной стол, который плавно заезжает в цилиндрическую камеру аппарата с рентгеновским излучателем и датчиками. Камера вращается вокруг стола, послойно сканируя ткани и структуры в области шеи. Данные передаются на компьютер.
Поскольку любое шевеление снижает качество фото, человек должен лежать спокойно и выполнять все указания медицинского персонала. В отдельных случаях непроизвольное изменение положения тела предупреждают фиксацией ремешками.
Во время КТ шейного отдела пациент находится в комнате один. Специалист через стекло наблюдает за процессом из соседнего помещения. При необходимости можно переговариваться с врачом посредством специального устройства для связи, которым оснащен аппарат.
При КТ шейного отдела с контрастированием сначала делают обычные снимки, затем вводят йодсодержащий медикамент и продолжают сканирование. Обычно при отсутствии противопоказаний усилитель переносится хорошо. Но иногда после инъекции появляются тошнота, прилив холода или жара, легкое головокружение, вкус металла во рту. Если раньше аллергических реакций на йод или морепродукты не наблюдалось, негативные последствия будут минимальными и быстро пройдут самостоятельно. В противном случае врач назначит антигистаминные препараты.
Диагностическая процедура занимает около 10 минут. Когда применяется контрастное вещество, сеанс продлевается до 20-25 минут. КТ шейного отдела позвоночника не вызывает болевых ощущений или дискомфорта, кроме незначительного шума от движения камеры с оборудованием.
Расшифровкой результатов КТ шейного отдела позвоночника занимается специалист лучевой диагностики. Описание патологических изменений с заключением в центре «Магнит» в СПб выдается через два часа после обследования. Если не получается забрать документы в указанный врачом срок, приходите в другой удобный день.
Информация может быть предоставлена в виде:
бланка с характеристикой исследованной области;
письма на адрес электронной почты;
Заключение рентгенолога не является диагнозом. Точный диагноз ставит лечащий врач, учитывая жалобы пациента, клиническую картину заболевания, данные КТ шейного отдела позвоночника и лабораторных анализов.
Фото томографии шейного отдела
Сделанные в ходе КТ фото - это срезы шейного отдела позвоночника в нескольких проекциях. Рассматриваемая зона сканируется под разными углами, и пациенту не нужно менять свое положение. Так как съемка захватывает не только собственно шею, но и прилегающие участки, специалист получает достаточно информации, чтобы в полной мере оценить любые патологические изменения.
Главное достоинство КТ шейного отдела позвоночника - высокая точность фото и возможность преобразовать множество плоских картинок в объемную модель, которая покажет все анатомические особенности заданной области. Программное обеспечение томографа позволяет увеличивать снимки для более детального рассмотрения, качество от этого не меняется.
Вся информация о диагностике в медицинском центре «Магнит» хранится на компьютере в архиве. При утрате снимков вы всегда можете обратиться за их восстановлением.

Деформирующий спондилез (образование костных наростов) в шейном отделе позвоночника
Чем МРТ отличается от рентгена?

МРТ позвоночника в шейном отделе, оценка высоты дисков (указана красными линиями)
Среди всех заболеваний опорно-двигательного аппарата лидируют патологии позвоночного столба. Вариативность проявлений затрудняет диагностику. Чтобы правильно определить болезнь, врачам необходимо изучить структуру костей и мягких тканей позвоночника. Часто с указанной целью применяют визуализационные методы диагностики — рентгенографию и МР-сканирование. Однако исследования нельзя назвать взаимозаменяемыми. Что лучше, рентген или МРТ позвоночника, определяет врач, исходя из клинической ситуации и целей, поставленных перед диагностикой. По описанной выше причине нельзя проводить какое-либо исследование по собственной инициативе или самостоятельно заменять назначенную доктором процедуру.
Чем отличается МРТ от рентгена позвоночника?
Главное различие между методами заключается в сути воздействия на исследуемую область. Рентгенография основана на способности Х-лучей проходить сквозь ткани организма и задерживаться в местах с высокой плотностью. Описанным обусловлена хорошая информативность процедуры в отношении состояния костных элементов позвоночника.

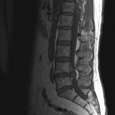
Грыжа диска между телами 4 и 5 поясничных позвонков на МРТ
МР-сканирование основано на воздействии магнитного поля. Последнее изменяет поведение атомов водорода в структуре молекул воды, которая в том или ином количестве присутствует во всех тканях. Аппарат улавливает импульсы и на основании силы последних выстраивает картинку (называемую снимком или срезом).
Основной областью применения рентгенографии является диагностика патологий позвонков. Рентген чаще используют как экспресс-метод для выявления травм и связанных с ними патологических изменений при недоступности других методов. МРТ хорошо отражает состояние мягких тканей (межпозвонковых дисков, спинного мозга, сосудов, мышц, нервов, связок).
Рентген обычно назначают в качестве рутинного метода диагностики ряда заболеваний и при выполнении некоторых хирургических манипуляций. Показаниями для проведения процедуры являются:
- повреждения спины;
- болезнь Бехтерева (если нет иных способов визуализации);
- предоперационная разметка при вмешательствах по поводу грыж дисков;
- опухоли костной ткани позвоночника при недоступности КТ или МРТ;
- контроль постановки транспедикулярных винтов;
- рентгеноскопия показана при проведении люмбальной пункции на фоне заболеваний позвоночника.

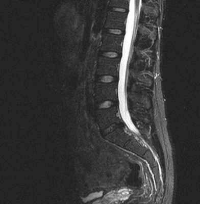
Гигантская грыжа поясничного отдела позвоночника на МРТ
МРТ активно используют для уточнения природы заболевания, обнаружения изменений в позвоночном канале. Метод позволяет выявить опухоли, грыжи дисков, образование секвестров, компрессию спинного мозга или нервных корешков. Показаниями для проведения МР-сканирования являются:
- остеохондроз позвоночника;
- подозрения на поражения спинного мозга, оболочек и корешков последнего;
- воспалительные изменения;
- врожденные аномалии развития структур позвоночника;
- опухолевые заболевания;
- миелоишемия;
- травмы межпозвонковых суставов, связочного аппарата и нервных структур.
Отличием между процедурами являются особенности их проведения. Рентген можно сделать в любой клинике. Это экономичный и быстрый способ диагностики. Снимки делают обычно в двух проекциях (при необходимости и в других).
МРТ требует специализированного дорогостоящего оборудования, которое есть не во всех медучреждениях. Сканирование занимает около получаса, на протяжении которого пациент неподвижно лежит в туннеле томографа.
Что лучше, рентген или томография позвоночника, нельзя ответить однозначно. У каждого метода есть свои плюсы и минусы.
- низкая цена;
- установки для проведения есть в каждой клинике;
- занимает мало времени;
- часто применяют в экстренных ситуациях из-за доступности и быстроты выполнения;
- исследование информативно относительно состояния костей.
- точные результаты;
- показывает мягкие ткани, нервные структуры и кости;
- можно повысить информативность использованием контрастирования;
- не требует подготовки;
- метод безопасен (разрешен детям с месячного возраста и беременным со второго триместра).
- сравнительно небольшая информативность;
- ограничения по кратности и частоте проведения;
- лучевая нагрузка;
- не показывает мышцы, связки, сосуды, нервы и т.п.
- высокая цена;
- оборудование есть не во всех медицинских центрах;
- занимает много времени;
- во ходе процедуры нужно лежать неподвижно в замкнутом пространстве;
- есть ограничения по весу пациента.
Что точнее: МРТ или рентген позвоночника?
Четкость и подробность изображений, полученных при МР-сканировании, считают одним из главных преимуществ исследования.
Рентген дает снимок, выполненный только в 2 направлениях (в прямой и боковой проекциях). Но при необходимости могут использоваться специальные укладки. МР-томограф делает множество послойных снимков в трех плоскостях, расположенных перпендикулярно по отношению друг к другу.

Множественные (2) гемангиомы на МРТ грудного отдела позвоночника
Результатом рентгенографии являются снимки конкретного отдела позвоночника. На них врач изучает структуру костной ткани и позвонков в целом. Увеличить детализацию снимка возможности нет. На фотографиях отдельные тени накладываются друг на друга.
При получении результатов МРТ рентгенолог имеет доступ к изображениям любого отрезка исследуемой области. Можно рассмотреть каждую связку или спинномозговой корешок, в том числе в разрезе. Цифровые технологии упрощают работу со снимками для врача. При необходимости доктор может изучить один и тот же отрезок с разных ракурсов, увеличить или уменьшить картинку.
При наличии специального программного обеспечения для МРТ и клинической необходимости можно получить трехмерное изображение (в 3D) позвоночника и оценить структуру последнего комплексно. Рентген такой возможности не предоставляет.
Информативность МРТ расширяет применение контрастных веществ. С помощью индикатора можно более подробно изучить особенности кровообращения, состояние сосудов, воспалительные изменения в тканях.
Таким образом, МР-сканирование является более точной процедурой. Его можно пройти в нашем ДЦ «Магнит» в любое время суток. Однако: что лучше в конкретном случае, МРТ или рентген — может решить только врач.
Что вреднее: МРТ или рентген позвоночника?
Рентгенография сопровождается лучевой нагрузкой на организм. Последняя может спровоцировать повреждение клеток, запустить патологические изменения в тканях. Указанное обстоятельство ограничивает возможность проведения повторных исследований до 2 раз в год. Рентген противопоказан маленьким детям и беременным женщинам.

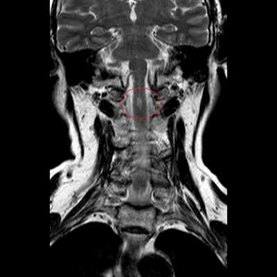
Опухоль (предположительно менингиома) на МРТ шейного отдела позвоночника
МРТ не несет вреда организму. Магнитное поле не меняют работу клеток и не может спровоцировать гибель последних. Сканирование назначают и проводят столько раз, сколько требует наблюдение за состоянием больного. С помощью МРТ врачи могут отследить динамику развития заболевания, оценить результаты лечения или проконтролировать исход хирургического вмешательства. При острой необходимости исследование проводят беременным женщинам и маленьким детям. Однако для томографии есть противопоказания:
- наличие в теле металлических имплантов;
- присутствие в организме кардиостимулятора;
- установленная инсулиновая помпа;
- стенты или кровоостанавливающие клипсы.
В перечисленных случаях сканирование может быть небезопасно для больного, поэтому лучевые методы предпочтительны. Что лучше, рентген или МРТ позвоночника — скажет лечащий врач.

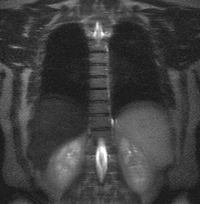
Грудной отдел позвоночника на МРТ в коронарной проекции
Можно ли делать МРТ после рентгена позвоночника?
Иногда диагностика заболевания затруднительна. На начальных этапах обследования часто проводят рентгенографию, но ее результатов оказывается недостаточно, чтобы выявить патологию или подобрать лечение. МРТ может быть назначена после рентгена с целью:
- сбора более подробных сведений;
- уточнения характера, локализации и объема патологических изменений в тканях;
- планирования операции;
- изучения влияния костной патологии на окружающие ткани и нервные структуры.
Поскольку МР-сканирование не несет лучевой нагрузки, исследование можно делать сразу после рентгена.
МРТ при остеохондрозе шейного отдела

Шейный остеохондроз на МРТ - это очень частая находка. Как правило, его диагностируют случайно, когда пациент делает исследование на поиск других болезней, часто даже не задумываясь, что причиной онемения в руке, боли в шеи, шуме в ушах может быть остеохондроз. Следует сказать, что с медицинской точки зрения остеохондроз - это не болезнь, это состояние, причем естественное. Это реакция позвоночника на возрастные изменения в виде дегенерации межпозвоночных дисков дистрофического характера, когда фиброзные кольца межпозвоночных дисков обезвоживаются и утрачивают свою эластичность. Почти у любого человека после 35 лет развивается остеохондроз. Он включает такие изменения, как протрузии и грыжи. В шейном отделе позвоночника остеохондроз чаще всего дает о себе знать мышечными спазмами и болевыми ощущениями в шейно-воротниковой зоны - цервикалгией.
Что покажет МРТ при шейном остеохондрозе
МРТ шейного отдела позвоночника - это современный высокотехнологичный метод прицельного обследования области шеи, позволяющий оценивать состояние семи шейных позвонков, межпозвоночных дисков, мягких тканей, спинного мозга, сосудов и нервов и выявлять любые патологические процессы, происходящие в них даже на самых ранних стадиях развития. В основе данного метода сканирования лежит физическое явление ядерного магнитного резонанса. Под воздействием электромагнитных полей на ткани организма атомы водорода на клеточном уровне начинают колебаться. Этот резонанс улавливается томографом и преобразуется в высокоточные трехмерные изображения нужного участка спины. Исследование проводится послойно, благодаря чему специалисты могут визуализировать каждый миллиметр обследуемой области.
МРТ позвоночника является приоритетным методом диагностики остеохондроза. В ходе обследования врач будет обращать внимание на следующие признаки:
- протрузии межпозвонковых дисков;
- сужения межпозвонковых отверстий;
- снижение высоты позвонков.
Шейный остеохондроз на снимках МРТ
| МРТ здорового шейного отдела | Признаки остеохондроза на МРТ в виде протрузии |
Пример МРТ шейного отдела позвоночника с признаками остеохондроза
На сериях МРТ, выполненных в аксиальной, корональной и сагиттальной плоскостях, взвешенных по Т2-ВИ, Т1-ВИ и STIR-ИП, получены изображения шейного отдела позвоночника.
Определяется патологический кифоз с вершиной на уровне тел позвонков С5-С6.
Выявляются дегенеративно-дистрофические изменения в виде умеренно выраженного понижения интенсивности сигнала от межпозвонковых дисков в сегментах С2-Th1, со снижением высоты в сегментах С5-С7, а также формирования передних и заднебоковых краевых костных разрастаний. Унковертебральный артроз на уровне сегментов С5-С7.
В смежных отделах позвонков С6-С7 определяются зоны гиперинтенсивного МР-сигнала на Т2-ВИ, STIR-ИП и гипоинтенсивного в Т1-ВИ (вероятно, обусловленные отёком вещества костного мозга).
Определяются неровности смежных замыкательных пластин тел позвонков С5-С7 за счет хрящевых узлов Шморля.
В сегменте С3-С4 под краевыми остеофитами определяется дорзальная медианная протрузия межпозвонкового диска, размером до 2,5мм. Переднее субарахноидальное пространство деформировано. Межпозвонковые отверстия умеренно сужены, достоверных данных за компрессию корешков нервов не выявлено. Передне-задний размер позвоночного канала до 14мм.
В сегменте С5-С6 под краевыми остеофитами определяется задняя диффузная протрузия межпозвонкового диска, размером до 2,5мм. Переднее субарахноидальное пространство деформировано. Межпозвонковые отверстия умеренно сужены, достоверных данных за компрессию корешков нервов не выявлено. Передне-задний размер позвоночного канала до 13мм.
В сегменте С6-С7 под краевыми остеофитами определяется задняя диффузная протрузия межпозвонкового диска, размером до 2мм. Переднее субарахноидальное пространство деформировано. Межпозвонковые отверстия умеренно сужены, достоверных данных за компрессию корешков нервов не выявлено. Передне-задний размер позвоночного канала до 14мм.
Сигнальные характеристики от шейных позвонков не изменены.
Видимые отделы спинного мозга в размерах не увеличены, имеют четкие контуры и однородную структуру, интенсивность МР сигнала не изменена.
Паравертебральные мягкие ткани не изменены.
МР-признаки дегенеративно-дистрофических изменений шейного отдела позвоночника с нарушением статики. Протрузии дисков на уровне сегментов С3-С4, С5-С6, С6-С7. Унковертебральный артроз. Хрящевые узлы Шморля смежных замыкательных пластин тел позвонков С5-С7.
Что лучше обнаружит шейный остеохондроз - МРТ или КТ
Краткий ответ на вопрос, какое исследование лучше сделать при шейном остеохондрозе: МРТ или КТ, звучит так - магнитно-резонансную томографию. А почему? КТ шейного отдела хорошо оценивает костные структуры, то есть, позвонки. При остеохондрозе дегенеративным изменениям подвергаются межпозвоночные диски, которые плохо визуализируются на компьютерной томографии и очень хорошо видны на МРТ. Найти остеохондроз на КТ снимках врач сможет только по вторичным признакам - например, когда он видит уменьшение расстояния между позвонками, а также "сглаживание" нормального изгиба.
Магнитно-резонансная томография, в отличие от КТ, позволяет оценить состояние самих межпозвоночных дисков и увидеть все первичные признаки остеохондроза. В диагностическом плане она обладает большей диагностической ценностью и информативностью.
Для пациента основные преимущества МРТ шейного отдела позвоночника заключаются в её безопасности, безболезненности и комфортности. При магнитно-резонансном исследовании человек не получает никакой дозы облучения, что происходит в случае с КТ позвоночника.
| МРТ шейного отдела | КТ шейного отдела |
Какую МРТ делать при шейном остеохондрозе
Диагностикой и лечением остеохондроза шейного отдела занимается врач невролог. Для постановки точного диагноза ему требуется провести полный неврологический осмотр и оценить результаты МРТ позвоночника.
Для того, чтобы на МРТ снимках был виден шейный остеохондроз, пациенту необходимо сделать магнитно-резонансную томографию шеи по базовому протоколу. Применение контраста здесь не требуется. Для этого пациент должен записаться на МР- исследование, которое можно сделать в любом диагностическом центре СПб, оборудованном томографом любой модели (открытого или закрытого типа, низкопольным или высокопольным).
Если вы решили сделать МРТ шейного отдела позвоночника платно в клинике, то направления от вашего лечащего врача не потребуется. Однако бесплатная услуга томографии в государственных медицинских учреждениях СПб более формализована. Больному необходимо сначала получить направление от своего лечащего невропатолога и затем встать на очередь на обследование.
Запись на МРТ позвоночника в день обращения
Как делают томографию
Процесс сканирования проходит в течение 10-20 минут в комфортных условиях и совершенно без боли. Единственное, что требуется от человека в ходе скрининга, нужно лежать, не двигаясь.
МРТ при остеохондрозе шейного отдела позвоночника не требует никакой особой подготовки и имеет минимальное количество ограничений. Данную диагностику противопоказано делать только тем людям, у кого есть кооптированные электронные устройства жизнеподдержания (например, кардиостимулятор, инсулиновая помпа) или металл в теле (намагничивающиеся пластины, шильды, штифты, скобы).
МРТ шейного отдела позвоночника что показывает

МРТ шеи: оценка спинного мозга (сагиттальная плоскость, Т2 последовательность)
МРТ шейного отдела позвоночника - высокоинформативный неинвазивный способ диагностики, использующий магнитное поле и компьютерную обработку для получения изображений. Преимущества магнитно-резонансного сканирования в сравнении с рентгеновскими методами обследования - отсутствие лучевого воздействия и возможность детализации патологических процессов в мягких тканях: на томограммах видны хрящи, синовии, связки, межпозвонковые диски, спинной мозг, нервы. Если в организме человека нет металлических составляющих или функционирующих устройств с ферромагнитными свойствами, негативные последствия, включая отдаленные, после проведения диагностической процедуры отсутствуют.
При подозрении на опухоль, послеоперационный рубцовый процесс, инфекцию для улучшения визуализационных возможностей используют введение контрастного вещества. Последнее имеет тенденцию накапливаться и очерчивать ткани с аномальными сосудами. Для пациента, который уже перенес вмешательство на шейном отделе позвоночника, усилитель помогает дифференцировать оставшуюся или рецидивирующую опухоль, грыжу диска от рубцовых изменений.
Какие заболевания показывает МРТ шейного отдела позвоночника?

МРТ шеи: перелом зубовидного отростка с невральной компрессией (сагиттальная плоскость, Т2 последовательность, STIR)
МРТ позвоночника назначают, если предыдущие способы обследования - КТ, рентгенография, УЗИ с допплером - продемонстрировали неоднозначные результаты или характер выявленных изменений требует уточнения, для оценки индивидуальных анатомических особенностей перед планируемой операцией, в рамках динамического наблюдения за болезнью на фоне лечения. Что показывает МРТ шеи:
- доброкачественные и злокачественные опухоли, в том числе, метастатического характера;
- инфекционно-воспалительные процессы в спинном мозге и его оболочках, рыхлых структурах позвонков и пр.; , нарушенное кровообращение и его причину;
- врожденные аномалии - дефекты в позвонках или спинном мозге - синдром короткой шеи, добавочные ребра и т.п.;
- приобретенные деструкции костной ткани, например, после перенесенного костно-суставного туберкулеза или остеомиелита;
- аневризмы и венозные мальформации;

МРТ шейного отдела позвоночника: оценка лордоза, сагиттальная плоскость, Т2 последовательность
- искривления позвоночника - кифоз, лордоз, сколиоз;
- дегенеративно-дистрофические заболевания - остеохондроз, остеоартроз, спондилез и пр.;
- демиелинизирующие состояния - рассеянный склероз или иные варианты;
- аутоиммунные нарушения позвоночных сегментов, сопровождающиеся спондилитом и анкилозирующим спондилоартритом при болезни Бехтерева;
- дегенеративные патологии спинного мозга - боковой амиотрофический склероз, сирингомиелию и пр.;
- последствия травматических повреждений - переломов позвонков, вывихи, подвывихи, растяжения и разрывы связок, мышц;
- грыжу, дислокацию (смещение), разрушение дисков;
- компрессию нервного корешка или спинного мозга, стеноз позвоночного канала и пр.
МРТ является наиболее чувствительным тестом для обнаружения патологий позвоночника. Нативное исследование не требует подготовки и может быть выполнено в момент обращения. Перед МРТ шеи с контрастом за 40 минут допускается легкий перекус для нивелирования реакций со стороны вегетативной нервной системы: неприятного привкуса во рту, головокружения, тошноты и пр. Перечисленные явления кратковременны, не угрожают жизни и купируются самостоятельно.
МРТ при болях в шее

МРТ шеи: оценка сколиоза (коронарная плоскость, Т2 последовательность, STIR)
Боль в шее может быть вызвана проблемой в самом позвоночнике или в окружающих его мышцах. Наиболее часто дискомфорт в данной анатомической области обусловлен остеохондрозом, грыжей или протрузией межпозвонковых дисков, компрессией нервно-сосудистых пучков, иннервирующих спинной мозг, невралгией. Перед тем, как сделать выбор в пользу МРТ, врач оценивает характер боли и ее локализацию. Неприятные ощущения в области передней части шеи чаще свидетельствуют о заболевании трахеи, гортани, щитовидной железы, воспаленных лимфатических узлах, осложнениях со стороны уха. Для постановки диагноза в описанных ситуациях иногда достаточно проведения физикального и инструментального осмотра, ультразвуковой сонографии. Если пациент предъявляет жалобы на боль в задней поверхности шеи, усиливающуюся при повороте или наклоне головы, прострелы, ограничение в подвижности - для обнаружения проблемы обосновано сделать МРТ шейного отдела позвоночника. Магнитно-резонансное сканирование показывает структурные изменения в области интереса. Если боль носит функциональный характер, например, сопутствует миозиту, лучевая диагностика будет малоинформативна.
Показания и противопоказания к томографии шейного отдела

МРТ шеи: перелом зубовидного отростка, миелопатия (дисфункция спинного мозга в области поврежденных шейных позвонков) в коронарной плоскости (Т2 последовательность, STIR)
Показаниями к проведению МРТ шейного отдела позвоночника служат:
- необъяснимые головные боли, кратковременные потери сознания;
- пальпируемое образование задней поверхности шеи;
- появление звуковых феноменов при движении, например, постукиваний;
- скованность в области затылка, ограничение амплитуды движений - человеку сложно запрокинуть голову назад, повернуть в сторону или опустить вниз;
- дискомфортные ощущения в шее с иррадиацией в грудной отдел;
- онемение верхних конечностей, выпадение чувствительности плеч, предплечий, кистей, парестезии;
- мышечная слабость в руках, иногда с присоединением парезов в ногах;
- шум в ушах, мушки перед глазами;

МРТ шеи: миелопатия (аксиальная плоскость, Т2 ВИ)
- психо-эмоциональная нестабильность - проявляется плаксивостью, резкими перепадами настроения, бессонницей, апатией, депрессивными расстройствами и пр.;
- гипертонические кризы, устойчивое к медикаментозной терапии повышение артериального давления;
- выявленные изменения в головном мозге предположительно связанные с патологией сосудов шеи;
- нарушение контроля функций тазовых органов;
- предоперационная диагностика;
- контроль изменений в динамике на фоне лечения.
Противопоказания и ограничения к МРТ шейного отдела включают:
- наличие металлических составляющих в теле (ортопедические конструкции, сосудистые клипсы, пули, осколки и шрапнель, стружка).
- работа имплантированных кардиостимуляторов, дефибрилляторов, помп для подачи лекарств, несъемных слуховых протезов и пр.;
- вес пациента свыше 120 кг (для томографов с закрытым контуром);
- выраженное искривление позвоночника, препятствующее принятию положения тела “лежа на спине”;
- резко выраженный болевой синдром;
- острые состояния, подразумевающие реанимационные мероприятия - инсульт, инфаркт, острая травма и пр.;
- неврологические и психические заболевания, протекающие с гиперкинезами (при недоступности введения седативных препаратов, погружающих в медикаментозный сон);
- детский возраст до месяца;
- беременность первого триместра.
Контрастирование при МРТ шейного отдела позвоночника ограничивают:
- отягощенный аллергологический анамнез на введение усилителя на основе гадолиния;
- весь период гестации;
- детский возраст до 12 лет (в стенах больницы МРТ шеи с контрастом по показаниям могут сделать раньше);
- выраженная почечная дисфункция, подразумевающая проведение заместительной очистительной терапии.
Как делают МРТ шейного отдела?

Магнитно-резонансное сканирование: шейный отдел позвоночника в сагиттальной плоскости на Т1 ВИ
В назначенное время пациент пребывает в клинику. После заполнения добровольного медицинского согласия, беседы для выявления возможных противопоказаний и сдачи на хранение всех предметов, содержащих металл, рентгенлаборант провожает испытуемого в диагностическую комнату и укладывает на стол томографа. Для нивелирования технического шума можно воспользоваться берушами или наушниками. Удобство и максимальную неподвижность обеспечивает фиксация конечностей мягкими ремнями.
Наблюдение за ходом диагностической процедуры медперсонал осуществляют через стекло из смежной комнаты, общение происходит по громкой связи. Для получения более качественных томограмм на область шеи накладывают катушку-усилитель.
Каких-либо болевых ощущений во время обследования нет. По команде медтехника стол с пациентом скользит внутрь кольца барабана. Иногда требуется на несколько секунд задержать дыхание. Под воздействием магнитного поля и радиоимпульсов ионы водорода в составе молекул воды изменяют привычное положение, при возвращении на место происходит выброс энергии, фиксируемый датчиками. Полученную информацию анализирует компьютерная программа и скульптурирует многоплоскостные изображения с нужной толщиной среза.
При запланированном МРТ с контрастом препарат (на основе растворимых солей гадолиния) вводит в вену медсестра или краситель подается с помощью специального аппарата - инжектора - в нужные фазы обследования. По окончании диагностики пациент может заниматься привычной деятельностью.
Как выглядит снимок МРТ шейного отдела?

МРТ шейного отдела позвоночного столба: сколиоз (коронарная плоскость, Т2 ВИ)
При описании хода диагностической процедуры врач-рентгенолог обращает внимание на соответствие полученных изображений всех внутренних структур шеи принятым нормам. Для обывателя снимок МРТ позвоночника выглядит как серо-бело-черная абстракция. При более внимательном рассмотрении на сканах различимы контуры головы, позвоночный столб, спинной мозг и пр. Самостоятельно расшифровать магнитно-резонансную томограмму и обнаружить некоторые патологии невозможно, даже специалисты с опытом работы периодически пользуются специальными атласами.
Для качества сканов важны характеристики томографа: оптимально пройти исследование на аппарате (лучше экспертного класса) с закрытым контуром и мощностью от 1,5 Тесла. Сканеры со слабым магнитным полем (от 0,15 Тл) выдают малоинформативные данные, особенно, если необходима оценка мелких деталей.
МРТ шейного отдела, сколько по времени длится?
Длительность МРТ шейного отдела позвоночника зависит от мощности аппарата и необходимости контрастирования. В среднем, нативное сканирование на томографе с закрытым контуром занимает около 15 минут, введение усилителя увеличивает временные затраты в 2 раза. Результаты, если не оговорено иное, можно забрать в течение часа.
КТ или МРТ шейного отдела, что лучше?

Шейный отдел позвоночника в аксиальной плоскости на МРТ (Т2 ВИ)
Компьютерное и магнитно-резонансное сканирования для скульптурирования изображений используют разные физические принципы, что влияет на показания к диагностике.
КТ шеи предпочтительнее, если требуется оценить патологический процесс, исходящий из костной ткани. Минимальные временные затраты и быстрое получение результата сделали компьютерную томографию незаменимой процедурой в диагностике острой травмы (переломов и трещин тела позвонка или остистых отростков) с повреждением сосудов.
Во всех прочих случаях предпочтительнее сделать магнитно-резонансную томографию:
- во время процедуры отсутствует вредоносное для организма радиационное воздействие;
- врач получает максимально четкие и подробные снимки, на которых можно увидеть аномалии развития позвоночного столба, травмы и заболевания, недоступные для визуализации с помощью других способов исследования;
- МРТ лучше, чем КТ демонстрирует состояние спинного мозга, прилегающих мягких тканей, нервов и показывает аномалии, скрытые костной тканью;
- контрастный материал на основе хелатов гадолиния с меньшей долей вероятности вызовет какие-либо значимые побочные реакции в сравнении с йодсодержащим усилителем, применяемым при КТ;
- МРТ более полезна для оценки последствий травм шейного отдела позвоночника, так как позволяет исключить острую компрессию спинного мозга, повреждение связочного аппарата;
- магнитно-резонансное сканирование способно обнаружить незначительные изменения, которые могут быть ранними признаками инфекции или опухоли;
- МРТ лучше, чем КТ выявляет абсцесс шейного отдела позвоночника;
- магнитно-резонансное сканирование - предпочтительный метод оценки возможных осложнений хирургического вмешательства, включая кровотечение, рубцевание, инфекцию и повторное появление грыжи межпозвонкового диска.
В диагностическом центре “Магнит” в Санкт-Петербурге МРТ выполняют на высокопольном (1.5 Тесла) томографе экспертного класса производства Германии. Мы работаем в режиме 24/7, в ночные часы цена на МРТ шейного отдела позвоночника ниже. Приходите, мы Вас ждем!
Читайте также:
- Техника разреза для доступа к лобковому симфизу и тазовому кольцу
- Диагностика, лечение цистицеркоза глаза
- Рак пищевода: причины, симптомы и лечение
- Размеры сердца на рентгенограмме. Определение проекции межжелудочковой перегородки (методика Фрея)
- Прерывание лекарственной терапии. Оценка и результаты лекарственной терапии
