Рентгенограмма, КТ, МРТ, УЗИ при дисгенезии гонад
Добавил пользователь Евгений Кузнецов Обновлено: 11.12.2025
К таким опухолям относятся злокачественные и доброкачественные образования, формирующиеся из первичных половых клеток. В период формирования и развития человеческого эмбриона эти клетки перемещаются, поэтому герминогенные образования могут формироваться и вне гонад (органов, выделяющих половые клетки): в головном мозге, забрюшинной, крестцово-копчиковой зоне, средостении и других областях.
Распространенность
На частоту встречаемости таких новообразований влияет возраст пациента:
- до 15 лет - 2-4%;
- в подростковом возрасте (15-19 лет) - около 14%.
Для детского возраста существует два периода, когда заболеваемость находится на пике:
В последние годы большинство исследователей говорят о росте числа случаев обнаружения герминогенных образований. Особенно ярко эта тенденция прослеживается у мужской части населения, с локализацией опухолей в яичках. У мужчин за последние годы заболеваемость возросла с 2 до 4,4 на 100 000 человек.
Частая причина возникновения герминогенных опухолей злокачественного характера - различные генетические аномалии, например, синдром Klinefelter либо атаксия-телеангиоэктазия, чистая и смешанная дисгенезия гонад, крипторхизм, гермафродитизм и т. д.
Гистологическая классификация
- Герминома (если локализуется в яичке - семинома, в яичнике - дисгерминома, в других анатомических зонах - герминома).
- Тератома:
- зрелая;
- незрелая - различается по степеням незрелости:
- первой степени;
- второй;
- третьей.
- Эмбриональная карцинома.
- Новообразование желточного мешка.
- Хориокарцинома.
- Гонадобластома.
- Герминогенные новообразования смешанного типа.
Клиническая картина
Клиническая картина данного заболевания характеризуется многообразием. И в первую очередь она определяется тем, где расположена опухоль. Наиболее частые локализации:
- 27% - в области копчика;
- 26% - в яичниках;
- 18% - в яичках;
- 15% - в головном мозге.
В гораздо более редких случаях такие опухоли диагностируются в средостении, забрюшинном пространстве, желудке, на шее (то есть в носоглотке), в мочевом пузыре, печени, во влагалище.

Рисунок 1. Варианты расположения герминогенных образований у детей.
Яичко
Первичные образования в яичках (они называются тестикулярные) в детском возрасте диагностируются редко. Чаще всего их обнаруживают у детей в возрасте до 2-х лет, при этом 25% - уже при рождении.


Рисунок 2. - семинома яичка: а — макропрепарат, б — МРТ.
По гистологической (то есть тканевой) структуре это наиболее часто новообразования желточного мешка либо доброкачественные тератомы.
Второй пик возникновения опухолей яичка - пубертат. В этот период растет частота заболеваемости злокачественными тератомами. Семиномы встречаются у детей крайне редко.
Припухлость яичка, которая быстро увеличивается и не причиняет ребенку боли, чаще всего обнаруживается родителями. 10% таких новообразований сочетается с «водянкой яичка» (мед. «гидроцеле») и другими врожденными патологиями, особенно мочевыводящей системы.
При осмотре видно плотное новообразование, бугристое, без признаков воспаления. Диагноз опухоли до операции подтверждает повышенный уровень альфа-фетопротеина (АФП).
Новообразование при этом содержит элементы желточного мешка.
Симптоматика метастазов в парааортальных лимфоузлах - боль в пояснице.
Яичники
Овариальные (расположенные в яичниках, яичниковые) опухоли наиболее часто проявляются болью в животе. При осмотре пальпируется опухоль в малом тазу, часто - в брюшной полости. Также за счет асцита (скопления в брюшной полости жидкости) увеличен живот. Нередко у девочек с таким диагнозом бывает лихорадка.
Самая часто диагностируемая герминогенная опухоль - это дисгерминома. Преимущественно ее обнаруживают во второй декаде жизни. У маленьких девочек встречается редко. Такое заболевания сравнительно быстро распространяется, поражая брюшину и второй яичник. Обычно новообразования односторонние, имеют большие размеры. В связи с этим частое явление - разрыв капсулы новообразования.


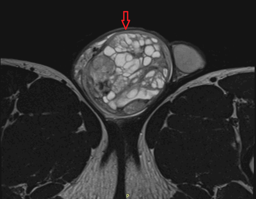
Рисунок 3. - тератома яичника а -УЗИ, б — МРТ.
Злокачественные тератомы обычно проявляются неспецифической клинической картиной, которая связана с наличием опухоли:
- увеличенный объем живота;
- боль;
- нарушение менструального цикла (наблюдается не всегда).
Крестцово-копчиковая зона
По частоте выявления это третья зона расположения герминогенных опухолей. В 75% случаев диагностируется до 2-х месяцев, почти всегда это доброкачественная, зрелая тератома. Новообразования у таких больных выявляются в промежности или области ягодиц. Наиболее часто опухоли характеризуются большими размерами. Иногда новообразования выявляются в старшем возрасте и распространены внутри брюшины. В таких случаях по результатам гистологии выявляется злокачественная природа, часто с элементами новообразования желточного мешка.
Опухоли в крестцово-копчиковой зоне часто приводят к трудностям с актом дефекации и мочеиспускания (дизурические расстройства).

Рисунок 4. Крестцово-копчиковая тератома у ребенка.

Рисунок 5. Крестцово-копчиковая тератома у ребенка 2-х лет (МРТ).
Средостение
В средостении в большинстве случаев присутствуют крупные опухоли, но при этом синдром сдавления верхней полой вены диагностируется редко.

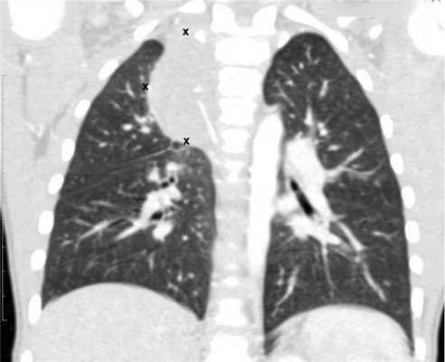
Рисунок 6. — КТ органов грудной клетки - семинома средостения.
Гистологическая картина новообразования в основном смешанного происхождения, имеет тератоидный компонент и клетки, которые характерны для новообразования желточного мешка.
Головной мозг
Герминогенные новообразования в данной области - это примерно 2-4% от всех внутричерепных (интракраниальных). Патология в 75% случаев диагностируется у мальчиков, за исключением турецкого седла, где новообразования в основном локализуются у девочек.
Герминомы формируют инфильтрирующие опухоли больших размеров, часто являющиеся источниками субарахноидальных (между мягкой и паутинной оболочками мозга) и вентрикулярных (желудочковых) метастаз.

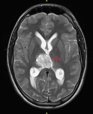
Рисунок 7. - Герминома головного мозга.
Влагалище
Почти всегда это новообразования желточного мешка. Все описанные в медицине случаи обнаруживались в возрасте до 2-х лет. Такие опухоли обычно имеют симптомы в виде кровянистых выделений и кровотечений из влагалища.
Опухоль имеет вид полиповидных масс, исходит из задней и боковых стенок влагалища.
Герминогенные новообразования выделяют АФП, а также хорионический гонадотропин (ХГ). Способность секретировать эти вещества выражается по-разному, в зависимости от морфологии опухоли.
В норме АФП выделяется клетками желточного мешка и печени эмбриона и является его важным сывороточным белком. Когда плод переходит на более поздние этапы развития выработка АФП переключается на выработку альбумина. Поэтому у новорожденных АФП определяется в сыворотке крови в очень высоких концентрациях, постепенно снижающихся и к 1-му году достигающих нормальных для взрослого человека значений. АФП имеет период полураспада - 4-5 суток.
ХГ в норме вырабатывается синцитиотрофобластами плаценты. Герминогенные новообразования продуцируют его трофобластическими структурами, а также гигантскими клетками синцитиотрофобласта. Интактный сывороточный ХГ имеет полупериод жизни - 24-36 часов.
Высокоспецифичный метод определения ХГ и АФП у детей значительно повышает качество диагностики, так как его эффективность приближается к 100%. Маркеры опухоли определяют на этапе дифференциальной диагностики, после хирургического вмешательства и перед каждым курсом химиотерапии. Полноценное обследование невозможно без определения маркеров в динамике.
Еще одним маркером любых герминогенных опухолей является лактатдегидрогиназа (ЛДГ). Однако активность этого показателя менее специфична, чем уровни ХГ и АФП. Активность ЛДГ на поздних стадиях развития несеминомных новообразований повышена у 50-60% пациентов, на поздних стадиях развития семиномы - у 80%.
Диагностика
Процесс диагностики включает несколько этапов:
- Сбор и оценка анамнеза, а также других имеющихся у пациента болезней и патологий.
- Общий осмотр.
- Генетическая диагностика.
- Рентгенография органов грудной клетки (данное обследование обязательно, потому что оно дает возможность подтвердить диагноз при первичных новообразованиях средостения и наличии метастазов в легких).
- УЗИ. «Ультразвук» нужен для того, чтобы выявить первичный очаг как гонадной (в половых органах), так и внегонадной герминогенной опухоли. Его также проводят в ходе терапии, чтобы оценить ее эффективность.
- КТ (расшифровка: компьютерная томография), МРТ (расшифровка: магнитно-резонансная томография), ПЭТ-КТ (расшифровка: позитронно-эмиссионная томография, совмещенная с КТ). Эти обследования необходимы, чтобы рассмотреть структуры организма послойно и визуализировать опухоль. Они показывают, как сильно распространен патологический опухолевый процесс на находящиеся рядом ткани и органы, есть ли поражение костей. КТ - это самый чувствительный метод для обнаружения метастазов в легких. Проведение МРТ и КТ головного мозга необходимо, чтобы обнаружить и визуализировать герминогенные новообразования эпифиза.

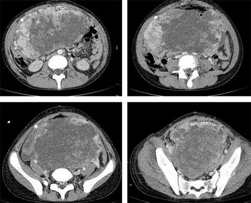
Рисунок 8. КТ органов брюшной полости - на снимках вы можете увидеть опухоль яичника.

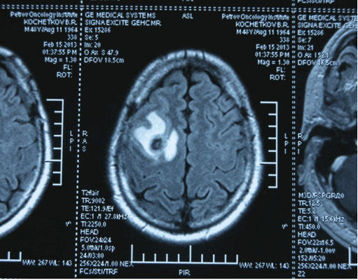
Рисунок 9. - метастаз в головной мозг при герминогенной опухоли.
Лечение
Детям проводится операция по удалению опухоли и химиотерапия. Очередность действий зависит от расположения и распространенности процесса. Обычно если поражены гонады, то нужно в первую очередь удалять опухоль, а химиотерапию проводить после операции. Если КТ/МРТ показали четкую инфильтрацию (прорастание) в окружающие ткани либо наличие метастазов в лимфоузлах, легких, печени и других органах, то сначала проводят первичную химиотерапию после определения опухолевых маркеров и инструментальной визуализации.
Показания к химиотерапии и количество курсов определяются тем, насколько распространен процесс, каков уровень онкомаркеров в крови, а также характером проведенной операции.
Стандартные препараты химиотерапии - это этопозид, блеомицин, цисплатин. При наличии обширного поражения легких, дыхательной недостаточности любой степени для того, чтобы не допустить блеомициновой токсичности в легких, в качестве альтернативы могут быть проведены другие схемы лечения.
Необходимо отдельно сказать о том, что при проведении пациенту системной лекарственной терапии нужно строго соблюдать временные рамки - очередной цикл проводится на 22-й день.
При проведении химиотерапии необходимо регулярно оценивать ее эффективность. Для этого каждые 2 цикла и после ее завершения проводится КТ тех областей, которые изначально были поражены опухолями. Также перед каждым циклом проверяется уровень онкомаркеров в крови. Если на фоне терапии или после ее окончания уровень онкомаркеров растет либо замедляется его снижение, то это говорит о том, что опухолевый процесс активен и нужно проводить вторую линию химиотерапии.
Лучевая терапия показана чаще при локализации процесса в головном мозге. Она позволяет точно, локально воздействовать на опухоли.
Прогноз
Процент общей выживаемости при герминогенных новообразованиях:
- I стадия - 95%
- II стадия - 80%
- III стадия - 70%
- IV стадия - 55%.
Прогностическими факторами являются:
- уровень онкомаркеров;
- гистологическое строение опухоли;
- распространенность процесса.
Неблагоприятные факторы - это большие размеры новообразования, поздняя диагностика, разрыв опухоли, устойчивость к химиотерапии (невосприимчивость лекарственного лечения), рецидив заболевания.


Авторская публикация:
ФАСЕЕВА НАТАЛЬЯ ДМИТРИЕВНА,
детский онколог
Что вам необходимо сделать
Если вы хотите узнать побольше о бесплатных возможностях ФБГУ НМИЦ онкологии им. Н.Н. Петрова Минздрава России, получить очную или заочную консультацию по диагностике и лечению, записаться на приём, ознакомьтесь с информацией на официальном сайте.
Если вы хотите общаться с нами через социальные сети, обратите внимание на аккаунты в ВКонтакте и Одноклассники.
Синдром Тернера
Синдром Тернера (45X0) — это наиболее частая хромосомная патология у женщин, главные проявления которой является первичная аменорея.
Эпидемиология
Распространенность оценивается как 1:2000-5000, несмотря на то, что часть плодов с 45Х0 погибают антенатально во втором триместре беременности.
Клиническая картина
У взрослых это одна из самых важных проявлений первичная аменорея на долю которого приходится около трети подобных случаев.
Патология
2) сниженная толерантность к глюкозе
3) воспалительные заболевания кишечника
4) гипотиреоз: вследствие образования антител щитовидной железы (чаще всего тиреоидит Хашимото)
5) дисгенезия гонад / дисгенезия яичников
Радиологические признаки
Антенальное УЗИ:
- кистозная гигрома: могут появиться септированный; один из наиболее типичных признаков синдрома Тернера
- увеличена толщина воротникового пространства
- коарктация аорты: 15-20%
- двустворчатый аортальный клапан
- подковообразная почка / тазовая почка
- средний ЗВУР
- укорочение конечностей плода
- водянка плода
Рентгенография
- сколиоз
- короткий 4-й пястной кости: положительных пястной знак
- сужение угла scapholunate: положительный кистевой знак
- ненормальный медиальный мыщелок бедра
- уменьшенный угол запястного: деформации Madelung
- невысокий роста
- перепончатая шея
- вальгусная деформация локтя: увеличение балансовой угол (вальгусная деформация cubitus)
ЖКТ
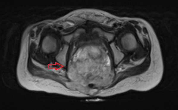
Малый таз УЗИ/МРТ
Тяжистая матка, тяжистые яичники.
На данном УЗИ представлена больная с симптомом Тернера 45ХО матка нормальных размеров, цервикальный канал норма, полость матки норма, матка с нормальными пропорциями тело/шейки, яичники тяжисты без созревающих фолликулов.
МРТ, Т2-взвешенные последовательности демонстрируют тяжистые матку и яичники ( стрелки ), короткое влагалище ( V ), расположенное между прямой кишкой ( R) и уретрой (Ur ).
Используемая литература:
- Gynecological Imaging: A Reference Guide to DiagnosisАвторы: Jean Noel Buy,Michel Ghossain Google book Magnetic resonance imaging of the vagina: an overview for radiologists with emphasis on clinical decision making*
- 1. Johnson PT, Kurtz AB. Obstetric and gynecologic ultrasound, case review. Mosby Inc. (2001) ISBN:0323008607. Read it at Google Books — Find it at Amazon
2. Weissleder R, Wittenberg J, Harisinghani MG. Primer of diagnostic imaging. Mosby Inc. (2003) ISBN:0323023282. Read it at Google Books — Find it at Amazon
3. Robinow M, Spisso K, Buschi AJ et-al. Turner syndrome: sonography showing fetal hydrops simulating hydramnios. AJR Am J Roentgenol. 1980;135 (4): 846-8. AJR Am J Roentgenol (citation) — Pubmed citation
4. Gambino J, Caldwell B, Dietrich R et-al. Congenital disorders of sexual differentiation: MR findings. AJR Am J Roentgenol. 1992;158 (2): 363-7. AJR Am J Roentgenol (abstract) — Pubmed citation
5. Entezami M, Albig M, Knoll U et-al. Ultrasound Diagnosis of Fetal Anomalies. Thieme. (2003) ISBN:1588902129. Read it at Google Books — Find it at Amazon
Дисгенезия
Дисгенезия — это группа врожденных нарушений развития репродуктивной системы, в частности гонад. Дисгенезия характеризуется прогрессирующей потерей зародышевых клеток на развивающихся гонадах эмбриона, что приводит к недоразвитию половых желез, главным образом, состоящим из волокнистой ткани.
Стаж работы 13 лет.
Статья проверена заместителем генерального директора, врачом акушер-гинекологом Дмитриевым Дмитрием Викторовичем.
| Лечением данного заболевания занимается | гинеколог |
| 2 750 руб. | Консультация генетика |
| МКБ-10 Q99.1 | Дисгенезия гонад |
Данная статья не может быть использована для постановки диагноза, назначения лечения и не заменяет прием врача.
Это форма аплазии, при которой яичник заменяется бесфункционной тканью. Сопровождающая дисгенезию гормональная недостаточность также препятствует развитию вторичных половых признаков в обоих полах, что приводит к появлению сексуально инфантильной женской внешности и бесплодию.
Различают три формы дисгенезии:
- Чистая (синдром Свайера) — отличается наличием двусторонних гонад с содержанием фолликулов и ооцитов. При этой форме маточные трубы, матка недоразвиты.
- Смешанная — встречается у фенотипических представителей обоих полов. У мужчин данное состояние характеризуется тем, что с одной стороны расположен гонадальный тяж, а с другой опущенное в мошонку яичко.
- Типичная (Синдром Тернера) — самая распространенная форма патологии, регистрируется только у девочек. Отличается отсутствием целой половой хромосомы или ее части.

Проявления синдрома Тернера

Признаки синдрома Свайера
Причины
Половое созревание у мужчин и женщин требует функциональных гонад, которые будут работать в гармонии с гипоталамусом, гипофизарной железой для адекватного производства гормонов.
Существует несколько основных причин дисгенезии:
- синдром Тернера и его вариации, например, мозаицизм;
- чистый и XX-гонадный дисгенезис с кариотипом 46, XX;
- синдром Сьюера или XY гонадальный дисгенезис, тип гипогонадизма у человека, у которого кариотип равен 46, XY;
- синдром Перро, XX дисфункция полового органа, сенсорная потеря слуха;
- смешанный гонадальный дисгенезис;
- воздействие экологических факторов и эндокринных нарушений.

Диагностика хромосомных патологий
Симптомы
Обычно патология проявляется сразу же при рождении ребенка. Классические симптомы дисгенезии у малышей — аномалия почек, врожденный порок сердца, крыловидная шея и отечность лимфоузлов на конечностях.
Также дисгенезия отличается такими клиническими признаками:
- низкорослость;
- частичная вирилизация наружных гениталий;
- неправильное строение наружных половых органов;
- маскулинизация;
- недостаточное развитие тканей молочных желез;
- невыраженное половое оволосение;
- косоглазие;
- сколиоз;
- снижение тембра голоса и др.
Основная задача диагностики дисгенезии — определить гормональный статус, половой хроматин, кариотип. Обычно подозрения возникают при нарушениях менструального цикла у женщин, первичной аменорее.
Также в план диагностических мероприятий входит:
- цитогенетический анализ для выявления Y-хромосомы и антигенов H-Y;
- лабораторная диагностика для оценки уровня фолликулостимулирующего и лютеинизирующего гормона;
- исследование функции щитовидной железы;
- функциональные гормональные пробы;
- биопсия гонад с помощью лапароскопии;
- УЗИ для оценки внутренних органов.
Как правило, лечение дисгенезии требует комплексного подхода. Тактика курса терапии зависит от индивидуальных особенностей клинической картины.
Медики применяют такие методики лечения:
- хирургическая коррекция аномалий соматического характера;
- введение эстрогенов;
- циклическая гормональная терапия;
- инсулинотерапия для стимуляции роста.
Y-хромосомы и антиген H-Y характеризуются высоким риском злокачественного преобразования, может потребоваться хирургическое лечение. Чтобы улучшить кровоснабжение органов малого таза назначаются физиопроцедуры. Врачи также рекомендуют прием витаминных комплексов и психотерапевтическое воздействие. По скорости развития вторичных половых признаков специалисты оценивают эффективность лечебного курса.
Пациентки, имеющие этот диагноз, зачастую страдают неизлечимым бесплодием. В случае беременности, необходимо проводить генетическое исследование. Если у вас обнаружены проблемы генетического характера, не отчаивайтесь. Квалифицированные специалисты клиники «АльтраВита» постараются вам помочь родить здорового ребенка путем ЭКО с использованием донорских яйцеклеток. Мы располагаем всеми необходимыми ресурсами для успешного результата.
У Вас есть вопросы? Получите квалифицированный ответ от ведущих специалистов клиники.
КТ, МРТ, УЗИ, рентген - обзор методов исследования

В медицинских центрах СПб в арсенале у врачей есть несколько методов высокотехнологического обследования. Их принято разделять на инвазивные (с проникновением внутрь организма или подкожного покрова) и неинвазивные. КТ, МРТ, УЗИ, рентген относятся к основным неинвазивным видам диагностики. Однако принцип визуализации и физика процесса у каждого из этих способов сканирования разная, поэтому и зоны их приоритетного применения отличаются.
Что покажет рентген

Рентген - это самый широко доступный тип обследования. В Санкт-Петербурге его можно сделать быстро на платной или бесплатной основе как в частных, так и в государственных клиниках и больницах. Основная задача рентгенографии - дать общее представление об изменении структуры органов и костной ткани. С помощью рентген-аппарата врач может хорошо визуализировать:
- инородные тела;
- переломы;
- воспаление легких;
- рак молочной железы;
- туберкулез.
Основное преимущество рентгенографии заключается в том, что это быстрый и дешевый метод сканирования. Однако по точности и диагностической ценности он безусловно уступает как УЗИ, так и таким высокотехнологичным методам исследования, как МРТ и КТ.
В основе физики работы рентген-аппарата лежат просвечивающие способности рентгеновских лучей. Получение плоского двухмерного изображения основано на ослаблении рентгеновского излучения при его прохождении через различные ткани. При рентген-сканировании пучок излучения, проходя через ткани организма, которые обладают различной плотностью, рассеивается и тормозится. Таким образом, на пленке возникают изображения разной степени интенсивности. Лучевая нагрузка при рентгенографии небольшая, но она всегда есть и может составлять от 0,1 до 1 мЗв. Поэтому рентгенография запрещена для беременных женщин, а здоровому человеку рентген можно делать 1- 2 раза в год.
Кроме дозы облучения у рентгеновского сканирования есть один существенный диагностический недостаток - плоская картинка. Поскольку рентген изображения - это тень ткани на пленке, объемно оценить органы и структуры человеческого тела с помощью рентгена не получается.

ЗАПИСЬ НА ПРИЕМ
Что покажет компьютерная томография
КТ или компьютерная томография - это еще одно рентгенографическое обследование, но его диагностические способности существенно выше обычного рентгена. Достигается это за счет того, что датчик, излучающий рентген лучи, движется вокруг области обследования по 360-градусной траектории. Так получаются многочисленные снимки, которые компьютер томографа выстраивает в трехмерные изображения - томограммы обследуемой области. КТ хорошо показывает:
- опухоли;
- все костные ткани - кости, череп;
- лор-заболевания;
- причину почечной колики;
- инородные тела;
- повреждения органов из-за внешних травм;
- внутренние кровотечения;
- причины “острого живота”.
С помощью компьютерной томографии в медицинских центрах СПб проводят скрининг рака легких у курильщиков. Такая томография позволяет выявить в 2 раза больше опухолей на ранней стадии. Простая флюорография (на базе рентгена) рак легких не показывает, поскольку плоскостное изображение не видит маленькие очаги опухоли, а вот на КТ можно визуализировать новообразование до 1 мм величиной.
С появлением на рынке низкодозных компьютерных томографов стало возможным проводить пан-КТ- или КТ всего тела. Такое тотальное сканирование человека от макушки до пяток позволяет врачам сразу найти патологические области, особенно после автотравмы и множественных повреждений.
Основной недостаток КТ - это высокая лучевая нагрузка, которая при некоторых обследованиях может доходить до 15 мЗв. Поэтому, в отличие от МРТ и УЗИ, КТ следует делать только по показаниям и направлению врача. Здоровым пациентам компьютерную томографию не рекомендуется делать чаще, чем 1 раз в год. Его нельзя проводить беременным женщинам, а детям малого возраста по возможности КТ следует заменять безопасными УЗИ и МРТ.
Что показывает МРТ
Магнитно-резонансная томография или МРТ - это сфокусированный метод, который проводит очень детальное обследование. Диагностическая точность МРТ превышает УЗИ и во многих случаях КТ, за исключением сканирования полых органов (легких, желудка, кишечника) и костей. МРТ является золотым стандартом диагностики:
- заболеваний головного и спинного мозга;
- патологий суставов;
- межпозвоночных дисков;
- сердца и сосудов;
- болезней гинекологического, проктологического и урологического характера.
В отличие от быстрого КТ и УЗИ, магнитно-резонансное обследование требует времени - в среднем пациенту нужно лежать в томографе и соблюдать неподвижность 30-60 минут.
Принцип работы МРТ основан на эффекте ядерного магнитного резонанса. МР томограф в своей конструкции имеет мощный магнит, который создает магнитное поле, и датчик, который подает радиочастотные сигналы. В такой ситуации протоны атомов водорода начинают колебательные движения, выделяя при этом импульсы. Их улавливает компьютер томографа и преобразовывает в трехмерные изображения. Чем больше воды содержится в клетках ткани, тем детальней получается ее изображение. Поэтому на МРТ хорошо отображаются органы с большим содержанием воды: МРТ головного мозга, МРТ спинного мозга, МРТ глазных орбит, МРТ органов малого таза, МРТ позвоночника, МРТ суставов, и плохо визуализируются органы с большим содержанием воздуха МРТ органов грудной клетки или кости.
Основы преимуществом МРТ перед КТ и рентгеном является отсутствие в ходе сканирования какого-либо излучения. А вот недостатком этого метода диагностики будет ряд ограничений - наличие ферромагнитного металла в теле пациента и имплантированных в организм водителей ритма, несовместимых с МРТ.



Что покажет УЗИ
Ультразвуковое исследование или УЗИ - это широко распространенный вид обследования, активно применяемый в диагностических центрах СПб. В ходе данной процедуры диагностика проводится с помощью ультразвуковых волн. Проходя через границы тканей различной плотности, ультразвук по-разному отражается от них. Ультразвуковая установка имеет датчик, который посылает ультразвуковой сигнал, а затем фиксирует ответ и переводит его в графическое изображение. Таким способом врачи могут хорошо обследовать:
- органы малого таза;
- органы брюшной полости;
- лимфоузлы и молочные железы;
- мягкие ткани;
- сосудистую систему.
К сожалению, серьезным препятствием для ультразвука являются кости, через которые сигнал пробиться не может. Поэтому малоинформативным является
- УЗИ головного мозга
- УЗИ сердца
- УЗИ органов средостения
- УЗИ позвоночника.
Основным достоинством УЗИ является отсутствие каких-либо противопоказаний и ценовая доступность. По диагностической ценности и точности УЗИ безусловно уступает МРТ и КТ, однако является приоритетным профилактическим и скрининговым методом обследования для многих заболеваний, включая патологии мочеполовой системы у мужчин и женщин, рака молочных желез и органов брюшной полости, воспалений мягких тканей.
Можно ли делать МРТ и рентген в один день
МРТ и КТ, а также МРТ и рентген в один день делать можно. Магнитно-резонансная томография не несет в себе никакой лучевой нагрузки, поэтому ее можно совмещать с любым видом обследования, будь то рентгенография или ультразвуковое сканирование. Однако нельзя в один и тот же день делать несколько КТ или КТ и рентген. Каждый из этих видов обследования имеет лучевую нагрузку от 0,1 до 10 мЗв, которая суммируется как превышающая доза радиации при многократном исследовании.
Рентген, КТ, МРТ, УЗИ: что, когда и сколько можно?

Стереотипов в отношении методов лучевой диагностики немало. Кто-то избегает исследований, даже если они необходимы. Другие, наоборот, стремятся сделать все подряд, благо любые диагностические исследования доступны в частных клиниках и лабораториях. О том, какие исследования в каких случаях нужны, насколько они безопасны, рассказывает Василий Владимирович Паршин, заведующий рентгеновским отделением ГКБ № 52, врач-рентгенолог высшей квалификационной категории.
Какие методы лучевой диагностики сейчас есть, какие используются чаще, какие лучше?
С тех пор как 1895 году Вильгельм Конрад Рентген обнаружил «всепроникающие» излучение и сделал первый в мире «рентгеновский» снимок руки своей жены, появилось огромное количество технологий, основанных на изобретении немецкого физика. И продолжают появляться новые.
Сейчас для диагностики в медицине широко используются «классические» методы: рентген (рентгенодиагностика), флюорография, ультразвуковые исследования (УЗИ), а также относительно новые - компьютерная томография (КТ), магнитно-резонансная томография (МРТ), ангиография. Постепенно в рутинную работу рентгенолога входят денситометрия и позитронно-эмиссионная томография (ПЭТ). Есть методы, которые пока только изучаются и применяются в научно -исследовательских центрах.
Некоторые методы сейчас используются реже, например, флюорография, другие, наоборот, набирают обороты. Компьютерная томография за последние годы заняла пальму первенства среди методов лучевой диагностики, и, скорее всего, сохранит ее еще долгое время. Однако надо помнить, что каждый метод имеет свой спектр показаний для назначения, свои сильные и слабые стороны.
В нашем отделении мы используем классический рентген, КТ, МРТ. За ультразвуковые исследования отвечает отделение ультразвуковой и функциональной диагностики. Лучевые методы используются не только в диагностике, но и в лечении, а также в комплексе. В ГКБ № 52 функционирует отделение рентгенохирургических методов диагностики и лечения (там также проводятся ангиографические исследования) и эндоскопическое отделение, где делают рентген-эндоскопические исследования и операции.
Какие методы лучше использовать в тех или иных случаях? Распространенный вопрос: что лучше - КТ или МРТ?
Я категорически против любой самодиагностики, чтобы люди сами себя назначали исследования, вычитав что-то в интернете. Для этого есть специалисты, которые после осмотра и сбора анамнеза выдвинут предварительные гипотезы и назначат оптимальный набор исследований. Конечно, по-человечески понятно - хочется быстро определить причину недомоганий, подтвердить или (лучше) опровергнуть неприятный диагноз. Но волшебных таблеток не бывает. Часто оказывается, что нужны дополнительные исследования, и пациенту все равно придется их делать. Бывает, что нужно совсем другое исследование, а то, что сделано - выброшенные деньги.
Каждый метод дает разную информацию об исследуемых органах. Если говорить в целом, то КТ идеально «видит» легкие, и превосходит все другие методы в выявлении патологии дыхательной системы: и МРТ и рентген и флюорографию.
Мы также всегда делаем КТ пациентам с подозрением на нарушение мозгового кровообращения, исследование позволяет не только подтвердить диагноз, но и оценить «масштаб» поражения и выработать верную тактику. Назначают его при патологии почек, в частности, при наличии камней. На томографе можно увидеть их расположение, оценить плотность и структуру, а значит, принять решение об операции или выборе консервативных методов. МРТ имеет преимущества при изучении патологий суставов, для диагностики заболеваний головного мозга, спинного мозга, органов малого таза.
Если коротко - метод исследования назначается врачом в зависимости от того, что и где он хочет обнаружить. И КТ, и МРТ имеют свои преимущества в разных ситуациях. Назначать их самостоятельно себе не нужно.
Для выявления патологии легких также назначают рентген и флюорографию…
Если речь идет о профилактическом осмотре, ежегодной диспансеризации, и у человека нет никаких жалоб - классическое рентгеновское исследование, которое дает меньшую, чем КТ лучевую нагрузку, можно считать достаточным. Но если пациент находится в группе риска по развитию рака легких (например, это курильщик с серьёзным стажем), лучше сразу сделать более информативную КТ. Андрей Дмитриевич Каприн, главный онколог России, рассказывает, что благодаря огромному количеству КТ- исследований легких, которые были сделаны за время пандемии, удавалось выявлять рак легких на самых ранних стадиях и множество других, не связанных с COVID-19 патологий. Низкодозовая КТ - лучший метод скрининга рака легких, она позволяет увидеть зарождающийся опухолевый процесс размером 2-3 мм и самые минимальные изменения, которые рентген может и пропустить.
В каких случаях лучше делать рентген?
Классический рентген по-прежнему остаётся важным методом для диагностики самых разных заболеваний. Например, маммография (рентгеновское исследование молочных желез) - лучший способ скрининга рака молочной железы. Возможности КТ в выявлении злокачественных и воспалительных процессов в этом органе существенно ниже.
Доза радиологического облучения при КТ значительно выше, чем при рентгеновском исследовании, не стоит «бить из пушки по воробьям». К примеру, при подозрении на перелом или при первичном обращении с болью в суставах предпочтительнее сделать рентген.
Говорят, что современные аппараты для ультразвукового исследования тоже позволяют увидеть опухоль на любой стадии и способны заменить КТ?
УЗИ - классический метод, который дает огромное количество информации, к тому же абсолютно безопасный. Сейчас он часто используется как дополняющий к другим более «тяжелым методам диагностики». Очень многое зависит от аппарата и врача, который проводит исследование. Высококвалифицированный специалист ультразвуковой диагностики на аппарате последнего поколения действительно может заподозрить опухолевый процесс на самой начальной стадии. Но окончательный онкологический диагноз ставится только по гистологическому заключению. Для этого хирург должен взять образцы ткани «подозреваемого» органа, а морфолог посмотреть, то что происходит в клетках ткани. В будущем, возможно, мы сумеем достичь уровня диагностики, сравнимого с гистологией, и без хирургического вмешательства. Но пока это только будущее.
Когда нужны денситометрия и ПЭТ КТ?
Денситометрия, если говорить образно, позволяет оценить хрупкость костной ткани - наличие остеопороза. Если остеопороз есть, человек может быть подвержен различным травматическим осложнениям. Он также является результатом нарушения работы разных органов. На денситометрию чаще всего направляют эндокринологи, нефрологи, чтобы понять есть ли патологическое вымывание солей кальция, калия и других микроэлементов из костной ткани. Если такие признаки есть, назначается соответствующая терапия. Сейчас денситометрия постепенно внедряется в городском здравоохранении. В частности, у нас в больнице этот вид диагностики скоро будет доступен (на момент публикации, февраль 2022).
Позитронно-эмиссионная компьютерная томография (ПЭТ КТ) чаще всего используется после того, как пациенту уже поставлен онкологических диагноз, для того, чтобы оценить распространённость метастазов, не пропустить отдаленные опухолевые процессы, а также контролировать процесс лечения. Метод - тяжелый, требует серьезной подготовки пациента, который перед исследованием принимает радиоизотопные препараты, соблюдает диету. Если нарушить правила, можно получить неправильный результат. Кроме того, метод предполагает довольно значительную лучевую нагрузку, как во время самого исследования, поскольку сканирование проводится несколько раз, так и из-за накопления в организме радиоизотопных веществ, которые являются источником излучения. Исследование назначает только врач, оценивая соотношение пользы и рисков в конкретной ситуации. Если где-то его можно провести без назначения - это абсолютно неправильно.
Какое количество исследований можно проводить без опасности для организма? Сейчас многие люди при малейшем недомогании бегут делать КТ, другие же считают, что даже УЗИ делать вредно
Прежде всего лучевая нагрузка есть не во всех методах. В УЗИ или МРТ не используется ионизирующее излучение, эти методы можно назвать безвредными, и проводить такие исследования в принципе можно сколько угодно. На всякий случай мы не назначаем МРТ беременным женщинам в первом триместре, но при необходимости назначаем во втором и третьем.
КТ, классические рентгеновские исследования, денситометрия и ПЭТ КТ связанны с лучевой нагрузкой, ее количество должно быть регламентировано в определенный промежуток времени. Именно поэтому не стоит заниматься самостоятельным назначением, а врач, который ведет пациента, вносит в его карту данные о полученных дозах.
В тоже время современное оборудование позволяет использовать значительно меньшие дозы, по сравнению, с тем, что было раньше. Например, цифровые рентгеновские аппараты, которые мы используем сейчас, дают излучение на порядок меньше, чем пленочные. Чтобы набрать допустимую по нормам радиационной безопасности дозу, надо сделать не меньше 50 исследований в год.
Объем излучения, которое нужно пропустить через объект, для получения снимка, зависит от его размера и плотности. Поэтому доза, полученная крупным мужчиной, будет больше, чем доза стройной девушки при проведении одного и того же исследования.
В России по нормам радиационной безопасности (2010 года) доза облучения для пациента не должна превышать один миллизиверт (мЗв) в год. Это норма значительно ниже реально опасной. Например, для персонала рентгенологических служб, сотрудников ангиографических кабинетов, хирургов, работающих с ангиоваскулярными и эндоскопическими методами, регламентирована допустимая доза в 20 миллизиверт. Мы все обязаны носить на работе дозиметры, ежеквартально предоставлять их для отчета, и отслеживать получаемую дозу. И эта доза тоже безопасна, онкологических заболеваний и других проблем, возможно, связанных с облучением у нас не больше, чем у представителей других профессий - медицинских и немедицинских. Мутации и опухолевые процессы возникают при дозах свыше более 100 миллизиверт в год, набрать ее крайне сложно.
Регламентированную для пациента дозу можно превысить по жизненным показаниям. Регулярные КТ для контроля развития ковид ассоциируемой пневмонии, которые проводятся во время пандемии, как раз тот самый случай. Частые исследования могут понадобится онкологическим и урологическим пациентам. Но очень важно, чтобы решение принимал врач, лишних исследований, лучше избегать.
Читайте также:
- Т-клеточный пролимфоцитарный лейкоз. Диагностика т-клеточного пролиферативного лейкоза.
- Пример внутрилегочной терапии деструктивной терапии. Эффективность внутрилегочного введения антибиотиков
- ЭКГ при тахикардии типа пируэт и ее лечение
- Акинетобактеры. Ацинетобактеры. Бактерии подрода ацинетобактер ( акинетобактер ). Свойства бактерий рода ацинетобактер ( акинетобактер ). Патогенез поражений ацинетобактерами ( ацинетобактерами ). Принципы микробиологической диагностики ацинетобактер ( акинетобактер ).
- Диагностика холангита. Ведение больного в начальной стадии холангита.
