Рентгенограмма, КТ, МРТ, УЗИ при препателлярном и претибиальном бурситах
Добавил пользователь Валентин П. Обновлено: 02.11.2025
Бурсит коленного сустава - это воспаление одной из околосуставных сумок (бурс), расположенных в области колена. Может быть асептическим или гнойным, острым, подострым или хроническим. При асептическом бурсите в области сумки возникает ограниченное опухолевидное образование, возможны неинтенсивные боли, скованность сустава, местная гиперемия и гипертермия. При гнойном бурсите пораженная область отечная, горячая, отмечаются выраженные боли и признаки общей интоксикации. В несложных случаях диагноз выставляется на основании клинических признаков. Иногда для уточнения диагноза требуется пункция бурсы, рентгенография, КТ, МРТ, УЗИ или артрография. Лечение асептических бурситов обычно консервативное, гнойных - оперативное.
МКБ-10

Общие сведения
Бурсит коленного сустава - воспалительный процесс в околосуставной сумке. Может быть инфекционным или неинфекционным (асептическим). Протекает остро, подостро или хронически. Чаще поражает людей, чья деятельность связана с интенсивной нагрузкой на ноги (спортсмены) или с продолжительным стоянием на коленях (кровельщики). В прошлом такая патология нередко наблюдалась у домашних хозяек («колено домохозяйки») и у паломников («колено паломника»). Мужчины страдают чаще женщин.

Причины
В подавляющем большинстве случаев причиной развития асептического бурсита становятся однократная травма коленного сустава, повторяющиеся микротравмы или перегрузка сустава. Перегрузка обычно возникает у спортсменов. Например, у прыгунов вследствие повторяющихся пиковых нагрузок на коленный сустав иногда развивается интрапателлярный бурсит. Однократная травма чаще наблюдается у спортсменов, людей, ведущих активный образ жизни и представителей профессий, связанных с физическим трудом. Повторяющиеся микротравмы характерны для тех, кому в связи с профессиональными или бытовыми обязанностями часто и подолгу приходится стоять на коленях. Кроме того, хронические асептические бурситы иногда выявляются при склеродермии, артритах и подагре. Воспаление в таких случаях развивается вторично, в результате отложения солей в синовиальной бурсе.
Причиной инфекционного бурсита коленного сустава может стать открытая рана, как проникающая, так и не проникающая в полость сумки. В первом случае возбудитель попадает в бурсу непосредственно из внешней среды, во втором - контактно, через ткани. Болезнетворные микроорганизмы также могут проникать в сумку с током крови (например, при сепсисе) или с током лимфы (при гнойных ранах, фурункулах, абсцессах, остеомиелите или флегмоне). Предрасполагающими факторами, способствующими развитию бурсита, считаются аллергические реакции, аутоиммунные заболевания, интоксикации, эндокринные болезни (например, сахарный диабет), некоторые заболевания почек, прием стероидных препаратов и нарушения обмена веществ. В ряде случаев причину развития бурсита установить не удается.
Патанатомия
Околосуставная сумка (бурса) - анатомическое образование, расположенное около выступающего участка кости (как правило, в области сустава или поблизости от него). Клетки внутренней оболочки сумок вырабатывают жидкость, которая облегчает скольжение сухожилия. При этом сумка в целом играет функцию своеобразного амортизатора, защищающего сухожилие от чрезмерного давления или трения. В норме в бурсе находится малое количество жидкости. При воспалении клетки начинают продуцировать больше жидкости, в области сумки возникает локальное опухолевидное образование. Коленный сустав имеет около десятка бурс, но чаще поражаются три сумки: препателлярная, инфрапателлярная и гусиная.
Классификация
В травматологии и ортопедии выделяют следующие наиболее распространенные виды бурситов:
- Препателлярный (супрапателлярный) или надколенный бурсит - воспаляется сумка, расположенная под кожей, на поверхности надколенника. Обычно такой бурсит развивается после травмы (падение, удар по передней поверхности колена) или после продолжительного стояния на коленях.
 - Инфрапателлярный или подколенный бурсит - воспаляется сумка, расположенная под надколенником. Болезнь чаще возникает при повреждении связок коленного сустава.
 - Гусиный бурсит или киста Беккера - воспаляется сумка, расположенная на задней поверхности сустава, в подколенной ямке. Как правило, развивается при повышенной нагрузке на сустав, обусловленной избыточным весом.
 
По виду воспаления различают:
- Серозный бурсит - асептический воспалительный процесс.
 - Гнойный бурсит- в полости сумки есть болезнетворные микроорганизмы, вызывающие образование гноя.
 
По течению все бурситы делят на острые, подострые и хронические.
Симптомы бурсита
При препателлярном асептическом бурсите возникают неинтенсивные боли с преимущественной локализацией по передней поверхности сустава. Возможна скованность при ходьбе. В области коленной чашечки определяется ограниченное опухолевидное образование мягкоэластической консистенции, слегка болезненное при пальпации. Иногда наблюдается незначительная местная гиперемия, повышение местной температуры и небольшой отек. Движения в полном объеме или нерезко ограничены.
Инфрапателлярный асептический бурсит обычно протекает со стертой симптоматикой. Пациента беспокоит скованность и неинтенсивная боль при ходьбе или продолжительном пребывании в положении стоя. При внешнем осмотре выявляется незначительное увеличение объема сустава. Гусиный бурсит, как правило, проявляется нерезкими болями при спуске или подъеме по лестнице. Визуально опухоль иногда не определяется, при значительном увеличении бурсы выявляется упругое мягкоэластичное образование в подколенной ямке.
При инфицировании содержимого бурсы клиническая картина более яркая. Пациента беспокоит резкая, иногда дергающая боль, возможно ощущение напряжения и распирания. Опухолевидное образование напряженное, резко болезненное. Окружающие ткани отечны, гиперемированы, температура кожи в области поражения заметно повышена. Регионарные лимфатические узлы увеличены. Движения болезненны, поэтому пациент щадит ногу. Часто наблюдается нарушение опоры. При гнойных бурситах местные симптомы сочетаются с картиной общей интоксикации. Возможно повышение температуры до фебрильных цифр, слабость, разбитость, вялость, головная боль и ознобы.
Диагностика
Постановка диагноза «бурсит препателлярной сумки» и «бурсит гусиной сумки», как правило, не вызывает затруднений. Диагноз выставляется на основании клинических признаков, при необходимости для уточнения характера воспаления выполняется пункция бурсы с последующим исследованием пунктата. При подозрении на бурсит гусиной сумки в некоторых случаях назначается МРТ.
Бурсит интрапателлярной сумки более сложен для диагностики, поскольку подколенная бурса скрыта под коленной чашечкой и эту область невозможно визуально осмотреть или пропальпировать. Для подтверждения диагноза в таких случаях может использоваться рентгенография коленного сустава, однако, это исследование недостаточно информативно, так как сумка не видна на рентгенограммах, и о ее увеличении можно судить только по изменению расстояния между надколенником и другими костными структурами. Гораздо более точные результаты можно получить при проведении МРТ коленного сустава. Кроме того, для уточнения диагноза может быть назначена артрография или КТ коленного сустава.
При необходимости для выявления причины бурситов любой локализации могут назначаться консультации ревматолога, аллерголога, эндокринолога и других специалистов. При подозрении на гнойный бурсит больного направляют к хирургу, дают направление на сдачу общего анализа крови для выявления признаков воспаления, а также проводят пункцию бурсы для уточнения характера возбудителя и подбора адекватной антибактериальной терапии.
Лечение бурсита коленного сустава
Лечение асептических бурситов обычно амбулаторное, проводится травматологом-ортопедом. Пациенту рекомендуют покой, возвышенное положение конечности и холодные компрессы. При необходимости назначают обезболивающие препараты и средства из группы НПВП. В остром периоде используют ультразвук с гормональными или нестероидными противовоспалительными мазями и электрофорез с гидрокортизоном. В периоде выздоровления больного направляют на УВЧ. При хроническом асептическом гусином бурсите показано хирургическое лечение - иссечение бурсы. Оперативное вмешательство осуществляется планово в условиях стационара (в травматологическом или ортопедическом отделении).
При гнойных бурситах пациентов госпитализируют в отделение хирургии. Выполняют экстренную операцию - вскрытие бурсы. Гной удаляют, в последующем проводят дренирование, промывают бурсу растворами антисептиков и антибиотиков. Кроме того, пациенту назначают антибактериальную терапию. Антибиотик подбирают с учетом чувствительности возбудителя, выделенного из жидкости, полученной в ходе операции.
Бурсит коленного сустава - симптомы и лечение
Что такое бурсит коленного сустава? Причины возникновения, диагностику и методы лечения разберем в статье доктора Башкуровой Ирины Станиславовны, врача УЗИ со стажем в 12 лет.
Над статьей доктора Башкуровой Ирины Станиславовны работали литературный редактор Юлия Липовская , научный редактор Сергей Федосов и шеф-редактор Лада Родчанина
Определение болезни. Причины заболевания
Бурсит коленного сустава — это воспаление синовиальной (суставной) сумки колена, которое проявляется болями в суставе и ограничивает его подвижность, в некоторых случаях вызывает припухлость и покраснение. Протекает в острой или хронической форме.
Краткое содержание статьи — в видео:
Синовиальная сумка (или бурса) — это небольшая полость с жидкостью. Бурсы расположены в местах наибольшего трения различных тканей: сухожилий, мышц и костных выступов. Благодаря нормальному функционированию суставных сумок, трение при движении уменьшается. Стенка бурс двухслойная: наружный слой состоит из плотной соединительной ткани; внутренний называется синовиальной оболочкой, в норме он вырабатывает небольшое количество жидкости. При нарушении работы синовиальных сумок движения сустава невозможны.

Коленный сустав — один из наиболее сложных суставов в теле человека. Он имеет в своём составе большое количество синовиальных сумок:
- наднадколенниковая (супрапателлярная);
 - преднадколенниковая (препателлярная);
 - поднадколенниковые поверхностная и глубокая (инфрапателярные);
 - сумка гусиной лапки (анзериновая);
 - сумка медиальной (внутренней) боковой связки;
 - сумка латеральной (наружной) боковой связки;
 - сумка илиотибиального тракта;
 - сумка сухожилия полуперепончатой мышцы (полуперепончатая);
 - сумка медиальной (внутренней) головки икроножной мышцы — икроножная сумка;
 - сумка подколенной мышцы — подколенная.
 
Бурсит может возникнуть в любой из этих видов сумок [10] .

Причины возникновения бурсита коленного сустава могут быть различными [5] :
- травмы единократные или хроническое микротравмирование при постоянных перегрузках часто вызывают бурсит у спортсменов или у людей, занятых физическим трудом. К однократным травмам можно отнести падение на колено, удары в область коленного сустава, частичные или полные разрывы связочного аппарата и сухожилий коленного сустава. Хроническая перегрузка возможна также при избыточной массе тела и длительном ношении тяжестей.
 - микрокристаллические артропатии — ещё одна причина бурсита. Это заболевания суставов, при которых в них откладываются микрокристаллы солей различного состава. К таким болезням относится подагрическая артропатия (отложение в суставах солей мочевой кислоты) и пирофосфатная артропатия (образование в суставах пирофосфата кальция).
 - воспалительный артрит различных видов, например ревматоидный артрит (аутоиммунное системное заболевание, вызывающее воспаление в суставах, в том числе в суставной сумке), псориатический артрит, подагрический артрит.
 - бактериальная инфекция, вызванная гноеродными микроорганизмами (например Staphylococcus aureus), является ещё одной причиной возникновения бурсита.
 
При обнаружении схожих симптомов проконсультируйтесь у врача. Не занимайтесь самолечением - это опасно для вашего здоровья!
Симптомы бурсита коленного сустава
У бурсита есть общие симптомы, которые будут проявляться при воспалении любой синовиальной сумки, и есть симптомы, характерные только для воспаления сумки определённой локализации.

К общим проявлениям для бурсита любой локализации относятся [1] [5] :
- болевой синдром;
 - отёк (припухлость) в области сумки или всего сустава;
 - покраснение в области сумки;
 - повышение температуры в области воспаления, в некоторых случаях — общее повышение температуры тела;
 - ограничение движений в суставе разной степени выраженности, начиная от незначительного ограничения сгибания и разгибания и заканчивая полной невозможностью совершить движения, невозможностью встать на больную ногу;
 - симптомы интоксикации (слабость, головные боли, тошнота) появляются при присоединении инфекции и нагноении воспалённой сумки.
 
Симптомы бурсита коленного сустава могут различаться в зависимости от того, какая именно сумка воспалена.
Препателлярный бурсит - боль и отёк развиваются в области преднадколенниковой сумки, то есть перед коленной чашечкой.

Инфрапателлярный бурсит — боль и отёк развиваются в проекции поднадколенниковых сумок, приблизительно на уровне бугристости большеберцовой кости и несколько выше. На начальных стадиях процесса ограничения движений в суставе нет, но по мере прогрессирования воспаления усиливается боль и отёчность, появляются ограничения в сгибании и разгибании, отёк, гиперемия, гипертермия, симптомы интоксикации.
Анзериновый бурсит (бурсит "гусиной лапки") — гусиной лапкой называется соединение сухожилий трёх мышц (полусухожильной, тонкой и портняжной) в месте их прекрепления к большеберцовой кости. Все местные проявления (отёк, боль, покраснение, локальное повышение кожной температуры) локализуются в проекции анзериновой сумки.

Бурсит полуперепончатой мышцы — это воспаление сумки, расположенной в зоне прикрепления сухожилия полуперепончатой мышцы к задне-медиальной поверхности большеберцовой кости. То есть вся местная симптоматика будет локализоваться в подколенной области с внутренней стороны. Если бурсит переходит в хроническую форму, то формируется киста Бейкера (грыжа в области колена).
Патогенез бурсита коленного сустава
В основе механизма развития бурсита лежит реакция синовиальной оболочки [1] . Синовиальная оболочка в норме как продуцирует жидкость, так и абсорбирует её. При нарушении баланса продукции и абсорбции происходит накопление избыточной жидкости в полости сумки [5] [8] . К нарушению этого баланса могут привести:
- травмы в области синовиальной сумки с повреждениями синовиальной оболочки;
 - аутоиммунные процессы — организм начинает воспринимать свои ткани как чужеродные, что приводит к воспалению;
 - инфекционные агенты — бактерии и вирусы, которые вызывают воспаление синовиальной оболочки. Инфекционные агенты могут проникать в сумку несколькими путями: извне через повреждённые мягкие ткани или изнутри с током крови (гематогенный путь) и лимфы (лимфогенный путь).
 
На первых этапах развития бурсита избыточная жидкость (серозный экссудат) прозрачная и однородная. При отсутствии своевременного лечения жидкость в полости синовиальной сумки накапливается, к этому процессу может присоединиться бактериальная инфекция. Основной признак наличия инфекции — нагноение (серозный экссудат становится гнойным). Местно это проявляется нарастанием отёка и болевого синдрома, появляется покраснение кожи, повышается её температура. При прогрессировании гнойного процесса начинают появляться симптомы интоксикации — лихорадка, слабость, недомогание.
В основе патогенеза бурситов при микрокристаллических артропатиях (пирофосфатной, подагрической) лежит отложение солей в виде депозитов в стенке бурсы, что приводит к микротравмам синовиальной оболочки, которая реагирует на повреждение продукцией избыточного количества жидкости и развитием воспаления.
Классификация и стадии развития бурсита коленного сустава
Бурситы, в частности и воспаление синовиальных сумок коленного сустава, классифицируются по ряду признаков [1] [2] [5] [7] :
По клиническому течению: острый, подострый, хронический, рецидивирующий.
По причине возникновения:
- асептический, в том числе и травматический бурсит. Причиной могут быть самые разные факторы, аутоиммунные, дисметаболические, например подагра и другие кристаллические артропатии;
 - инфекционный, или септический, бурсит. В зависимости от возбудителя, вызвавшего воспаление, септические бурситы подразделяются на неспецифические (вызваны стафиллококком, стрептококком и другими бактериями) и специфические (туберкулёзные, гонококковые, бруцеллёзные, сифилитические).
 
По характеру воспаления выделяют серозный бурсит, серозно-фибринозный, гнойный и гнойно-геморрагический.
По расположению воспалённой сумки:
- поверхностный — синовиальная сумка расположена поверхностно, под кожей. К ним относится препателлярный или преднадколенниковый бурсит, поверхностный инфрапателлярный бурсит;
 - глубокий (подсухожильный, подмышечный) — синовиальная сумка расположена под достаточно большим слоем мягких тканей. И иногда воспаление такой сумки имитирует патологию сустава, около которого она расположена.
 
Осложнения бурсита коленного сустава
Осложнения воспалительного процесса синовиальной сумки развиваются при следующих факторах:
- несвоевременное лечение;
 - незавершённое лечение или недостаточный объём лечебных мероприятий;
 - изменения в иммунной системе (снижение иммунитета, в том числе иммунодефицит различной этиологии, или чрезмерная напряжённость иммунной системы);
 - сопутствующая онкологическая патология, химиотерапия или ближайший после химиотерапии период;
 - тяжёлые поражения внутренних органов (почек, печени), в том числе и алкогольное поражение; , подагра, ревматоидный артрит, патология щитовидной и паращитовидных желёз.
 
В случае присоединения бактериальной инфекции и нагноения синовиальной сумки возможно распространение гнойного процесса как на окружающие ткани, так и на сустав. В первом случае формируются абсцессы и флегмоны, во втором развивается гнойный артрит.

Любой гнойный процесс, особенно распространённый, может привести к развитию интоксикации и сепсиса. Сепсис — это крайне тяжёлое состояние с высокой летальностью, которое лечится только в условиях хирургического стационара или в реанимации.
В итоге после перенесённой флегмоны или гнойного артрита возможно ограничение объёма движений в суставе вплоть до полного отсутствия движений.
Ещё один возможный вариант развития событий — это распространение гнойного процесса на кость. В этом случае происходит разрушение костной ткани и развивается остеомиелит. Это состояние в итоге может приводить не только к ограничению движений в суставе, но и к нарушению опорной функции конечности. Пациент не сможет передвигаться без помощи опорных приспособлений, в зависимости от объёма поражения это могут быть трость, костыли, ходунки или коляски.
Диагностика бурсита коленного сустава
Алгоритм диагностики бурситов коленного сустава достаточно чёткий:
- Сбор жалоб и анамнеза.
 - Осмотр зоны поражения и противоположного сустава.
 - Пальпация (ощупывание), в ходе которой определяются зона наибольшей болезненности, температура кожи в зоне поражения на предмет локальной гипертермии, наличие/отсутствие объёмных образований.
 - Тесты для определения объёма движений и выявления наиболее болезненных движений.
 - Инструментальная диагностика [8] .
 
В инструментальную диагностику входит:
УЗИ — позволяет оценить структуру околосуставных тканей (сухожилий, связок, мышц) и менисков, наличие или отсутствие избыточной жидкости в полости сустава и околосуставных сумках, определить характер жидкости и её приблизительный объём. Ультразвуковое исследование позволяет с точностью до 100 % определить локализацию, степень выраженности и распространённость бурсита в том числе [4] [9] .
МРТ — метод визуализации, позволяющий получить целостную картину сустава, детально оценить состояние околосуставных и внутрисуставных структур. Информативный метод, но отличается относительно высокой стоимостью.
Рентгенография или КТ — проводится для оценки состояния костной ткани. Позволяет определить наличие или отсутствие очагов разрушения (деструкции) кости, дегенеративно-дистрофических изменений.
Диагностическая пункция — из суставной сумки извлекается экссудат (воспалительная жидкость), определяется характер и объём жидкости. В дальнейшем он отправляется на лабораторный анализ.

Лабораторная диагностика включает в себя следующие анализы:
- анализ крови на ВИЧ, сифилис, вирусные гепатиты В и С;
 - биохимический анализ крови: обязательно определение уровня глюкозы (сахара) в крови, по показаниям проверяется печёночный профиль (АлАТ, АсАТ, билирубин с фракциями, щелочная фосфатаза, ГГТ), мочевина, креатинин;
 - при подозрении на аутоиммунную природу заболевания проводятся анализы крови на С-реактивный белок, ревматоидный фактор, АЦЦП;
 - иммунологическое обследование (в тяжёлых случаях);
 - микроскопический, бактериологический, серологический анализ жидкости, полученной из сустава при пункции [1][2][7] .
 
Методы лечения бурсита делятся на консервативные (медикаментозное, физиотерапевтическое лечение) и хирургические.
Лечение бурсита коленного сустава начинается с обеспечения покоя поражённому суставу: фиксация ортезом или повязкой, устранение нагрузки и полной опоры на ногу.
Далее назначается медикаментозное лечение. Если бурсит неспецифической и неаутоиммунной природы, то врач назначает нестероидные противовоспалительные средства (НПВС) в таблетках или инъекциях, например ибупрофен, мовалис, кеторолак, кетопрофен, препараты группы коксибов.
При наличии у пациента противопоказаний к приёму НПВС назначаются анальгин или парацетамол. При сильно выраженном болевом синдроме и отсутствии эффекта от анальгина и парацетамола назначают трамадол. По показаниям возможно назначение нестероидных противовоспалительных мазей на зону поражения. Если у пациента постоянно повторяющийся бурсит, то возможно местное инъекционное введение глюкокортикостероидных препаратов, например дипроспана.
Назначенное лечение проводится 5-7 дней. При наличии хорошего эффекта в виде уменьшения воспалительной симптоматики к лечению добавляют физиотерапию. Если эффекта от лечения нет или он недостаточный, то препараты заменяют на другие той же группы (НПВС). При присоединении инфекции назначают антибиотики.
При большом количестве жидкости в полости сумки в асептических условиях выполняется пункция — как для удаления экссудата, так и с целью введения противовоспалительного лекарственного средства. При наличии гнойного воспаления выполняется пункция с последующим дренированием полости сумки для обеспечения постоянного оттока отделяемого.
При развитии гнойного процесса, формировании абсцесса или флегмоны назначается хирургическое лечение (бурсэктомию) — гнойник вскрывается под местной или общей анестезией. При отсутствии эффекта прибегают к иссечению поражённой бурсы [6] .

При ревматоидной и подагрической природе заболевания проводится лечение основного заболевания и его местных проявлений. Лечение в этом случает назначает врач-ревматолог.
Разница в лечении хронического и острого бурсита заключается в том, что при хроническом бурсите покой и иммобилизация менее целесообразны, но важное значение имеют физиотерапевтические упражнения, направленные на увеличение мобильности сустава.
Прогноз. Профилактика
Прогноз при своевременном адекватном лечении бурсита благоприятный, в большинстве случаев воспалительный процесс сходит на нет. Но при наличии ряда факторов, которые были освещены в разделе "осложнения", возможна хронизация процесса и ограничение объёма движений в суставе вплоть до контрактуры ( состояние, при котором нога не может быть полностью согнута или разогнута) . В более сложных случаях это может привести к нарушению опорной функции конечности [1] .
Профилактика бурсита направлена на устранение возможных причин возникновения заболевания [1] [5] [7] :
Бурсит коленного сустава
Бурсы — это небольшие желеобразные мешочки, расположенные в области костей и суставов человеческого тела — плечевого, локтевого, коленного, пяточной кости. Они содержат небольшое количество жидкости и расположены между костями и мягкими тканями, выполняя роль прокладок для уменьшения трения одних анатомических структур о другие.
Препателлярный бурсит — это воспаление бурсы, расположенной на передней поверхности надколенника. Заболевание развивается при постоянном раздражении бурсы и появлении в ней избыточного количества жидкости, в результате чего она отекает и начинает оказывать давление на соседние части коленного сустава.

(Слева) Нормальная анатомия коленного сустава, вид сбоку. Бурса очень невелика и располагается между надколенником и кожей. (Справа) При препателлярном бурсите бурса становится воспаленной и отечной.
Препателлярный бурсит нередко возникает вследствие постоянного давления, например, при частом сидении на коленках. Риск развития этого заболевания высок у сантехников, кровельщиков, укладчиков полов, шахтеров и садовников.
Прямой удар по передней поверхности коленного сустава также может стать причиной развития препателлярного бурсита. Так, риск развития заболевания высок у спортсменов, занятых такими видами спорта, при которых высока вероятность получения прямого удара в коленный сустав или падения на колени, — футбол, борьба, баскетбол.
Высокому риску развития препателлярного бурсита подвержены лица, страдающие, например, ревматоидным артритом или подагрой.
Препателлярный бурсит также может вызван бактериальной инфекцией. Если в результате травмы коленного сустава повреждается кожа (укус насекомого, осаднение или колотое ранение), бактерии могут проникать в полость бурсы и вызывать инфекционное воспаление.
- Боль при физической активности, ночная боль нетипична
 - Быстро развивающийся отек на передней поверхности надколенника
 - Локальная болезненность и увеличение местной температуры
 - Бурсит, вызванный инфекцией, может сопровождаться появлением значительного количества жидкости в полости в бурсы и покраснением окружающей кожи
 
Анамнез и физикальное обследование
Доктор поговорит с вами об имеющихся у вас симптомах, о том, насколько сильную вы испытываете боль, как долго существует проблема, и есть ли у вас факторы риска развития препателлярного бурсита.
Скорее всего доктор задаст вам вопросы, касающиеся наличия у вас каких-либо признаков инфекции — лихорадки или ознобов. Препателлярный бурсит, вызванный инфекцией, требует совершенной другой тактики лечения.
В ходе физикального обследования доктор осмотрит ваш коленный сустав и сравнит его со здоровым. Затем доктор пропальпирует коленный сустав для выявления локальной болезненности, а также оценит объем движений и то, насколько боль мешает движениям в коленном суставе.
Дополнительные методы исследования
Консервативное лечение обычно эффективно при неинфекционной природе воспаления препателлярной бурсы. Оно включает:
- Покой. Откажитесь от тех видов физической активности, которые усиливают имеющиеся у вас симптомы. Замените их другими типами нагрузок до тех пор, пока симптомы бурсита полностью не исчезнут. Хорошим примером таких низкоинтенсивных нагрузок является велосипед.
 - Лед. Местное применение льда по 20 минут 3-4 раза в день в сочетании с покоем позволяет значительно уменьшить отек коленного сустава.
 - Возвышенное положение. Каждый раз, когда вы лежите, придавайте больной ноге возвышенное положение.
 - Медикаментозное лечение. Включает прием таких препаратов, как напроксен или ибупрофен.
 
Если описанные мероприятия не помогают купировать отек и боль, доктор может принять решение об эвакуации жидкости из полости бурсы и введении в нее кортикостероида. Кортикостероиды — это противовоспалительные препараты, гораздо более эффективные по сравнению с пероральными препаратами.
Начальное лечение инфекционного бурсита включает антибактериальные препараты. Если они не позволяют купировать инфекционный процесс, показано хирургическое дренирование полости бурсы.
Тотальное удаление бурсы также может быть показано при хроническом процессе, значительно влияющим на качество жизни пациента. После операции необходимо в течение нескольких дней восстановить полный объем движений в коленном суставе, а к нормальной физической активности вы вернетесь в течение нескольких недель.
Избежать развития препателлярного бурсита можно, соблюдая следующие простые рекомендации:
Препателлярный бурсит

Бурсы, отвечающие за компенсацию трения элементов суставов (пяточных, плечевых, коленных, локтевых и т.д), располагаются в области этих самых суставов и представляют собой маленькие мешочки, содержащие жидкость желеобразного типа.
В клинической практике нередки ситуации, когда находящаяся в районе коленной чашечки (надколенника) бурса воспаляется, наполняется чрезмерным объемом жидкости, увеличивается в размерах и начинает давить на соседние части коленного сустава. Постепенно в колене развивается достаточно серьезный воспалительный процесс - препателлярный бурсит.

Рис 1. (Слева) Боковая проекция нормального состояния коленного сустава, при котором бурса, расположенная на надколеннике, имеет незначительные размеры. (Справа) При наличии воспаления бурса отекает и становится крупнее.
Причины недуга
Основными причинами, по которым развивается препателлярный бурсит, нередко является регулярное давление на коленную часть. По этой причине в группе риска находятся лица, работающие сидя на коленях - шахтеры, укладчики полов, садовники, кровельщики и пр.
Также, спровоцировать заболевание может значительной силы прямонаправленный удар по коленному суставу, например, падение, травма при игре в футбол или баскетбол и др.
Третьей причиной возникновения у пациента препателлярного бурсита считается наличие таких заболеваний, как подагра или артрит ревматоидной группы, различного рода инфекции, вызванные укусами насекомых или колотыми ранениями и т.д.
Симптоматика бурсита
Основными признаками имеющегося и развивающегося препателлярного бурсита могут являться:
- болевые ощущения при совершении физической деятельности (преимущественно днем);
 - отечности на коленной чашечке;
 - повышение температуры в области колена;
 - покраснение кожных покровов и пр.
 
Диагностика недуга
Сбор информации о причинах недуга и физикальное обследование
Для того, чтобы определить наличие бурсита, специалист выясняет у пациента информацию об имеющихся ощущениях, присутствии болевого синдрома, вероятных причинах возможного появления недуга и т.д.
Также, врач может поинтересоваться наличием у человека той или иной инфекции. Дело в том, что для успешного лечения бурсита, имеющего инфекционную природу, необходим подбор особой программы (тактики).
При физикальном исследовании специалист выполняет осмотр колена, проверяет интенсивность сгибательно/разгибательных движений, а также проводит пальпацию сустава, сравнивая его со здоровым.
Дополнительно-вспомогательные исследовательские методики
Дополнительными методами, позволяющими максимально точно определить наличие препателлярного бурсита, является лучевая диагностика.
Рентгенография. Данная методика диагностирования обеспечивает специалисту возможность увидеть состояние костных структур в достаточно высоком качестве и, тем самым, убедиться в отсутствии переломов, имеющих аналогичную бурситу симптоматику.
КТ и МРТ. Компьютерная, а также магнитно-резонансная томография выполняются с целью проверки состояния иных коленных структур, а также, чтобы убедиться в отсутствии каких-либо их повреждений.
Забор суставной жидкости. При наличии у специалиста сомнений, касаемо отсутствия развивающейся инфекции, пациенту проводят забор суставной жидкости из бурсы и выполняют ее исследование в лабораторных условиях.
Особенности устранения бурсита
В случаях, когда воспаление бурсы имеет неинфекционную причину, специалистами назначаются консервативные лечебные методики, включающие:
- Обеспечение покоя. При определении у пациента препателлярного бурсита, лечащий врач настоятельно рекомендует отказаться от какой-либо чрезмерной физической деятельности, провоцирующей усиление заболевания.
 - Холодные компрессы. Эффективным способом снижения отечности, а также иных негативных влияний болезни на самочувствие человека, могут являться 20-минутные холодные компрессы, накладываемые на коленную часть ориентировочно 3-4 раза в сутки.
 - Возвышенное положение больной конечности. Находясь в положении лежа, важно, как можно чаще держать ногу в положении вверх.
 - Лечение медикаментозными средствами. Избавится от заболевания, в ряде случаев, поможет прием ибупрофена, напроксена и т.д.
 
В случае, если вышеназванные рекомендации не помогают снять отечность и избавить пациента от перманентных болевых ощущений - лечащий врач может назначить удаление жидкости из бурсы с замещением ее кортикостероидами - эффективными препаратами противовоспалительного действия.
Хирургическая чистка внутренней части бурсы, ровно, как и ее удаление проводятся при наличии хронической формы заболевания.
Профилактические мероприятия
Предотвратить появление, а также стремительное развитие препателлярного бурсита, возможно путем соблюдения следующих правил:
- используйте защитные наколенники при занятиях спортом или находясь на работе, подразумевающей продолжительное стояние на коленях;
 - при наличии предрасположенности к недугу, после особенно сильных нагрузок на коленный сустав, применяйте холодные компрессы, а также старайтесь как можно чаще держать больную конечность в возвышенном положении;
 - обеспечивайте суставам максимальный отдых и постарайтесь изменить сферу вашей деятельности с целью снижения нагрузки на суставы.
 
Стоимость услуг
Первичный прием специалиста
- Ознакомление с жалобами пациента
 - Проведение клинического осмотра
 - Определение симптомов недуга
 - Изучение данных гематологических исследований, рентгенограмм, МРТ и иных видов диагностики
 - Постановка диагноза
 - Определение тактики и подбор оптимально подходящей методики лечения
 
- Дополнительное изучение результатов, полученных при проведении диагностики во время первого посещения кабинета лечащего специалиста
 - Определение точного диагноза
 - Составление плана лечения
 
Удаление коленно-суставной бурсы
- Нахождение в стационаре
 - Эпидуральная анестезия
 - Удаление коленно-суставной бурсы
 - Расходные операционные материалы
 
PRP-терапия и плазмолифтинг (проводится при наличии повреждений и/или заболеваний колена)
- Консультация ортопеда
 - Забор крови
 - Приготовление плазмы с высоким содержанием тромбоцитов
 - Введение плазмы в больной участок сустава
 
Внутрисуставная инъекция препарата на основе гиалуроновой кислоты (цена «Дьюралана» не включена)
- Инъекция анестезионного препарата местного действия
 - Инъекция препарата на основе гиалуроновой кислоты
 
Прием врача травматолога — ортопеда после операции
- Клинический осмотр после операции
 - Просмотр и интерпретация результатов рентгенограмм, МРТ, КТ после операции
 - Рекомендации по дальнейшему восстановлению и реабилитации
 - Пункция коленного сустава
 - Внутрисуставное введение препарата гиалуроновой кислоты (при необходимости)
 - Снятие послеоперационных швов
 
Отзывы о враче
Бурсит коленного сустава на МРТ

Бурсит - воспалительный процесс в одной из сумок коленного сочленения асептической или инфекционной природы. Болевой синдром, формирование упругой припухлости, отек и нарушение функций нижней конечности обусловлены избыточным скоплением экссудата в ограниченной синовиальной оболочкой полости и серозным пропитыванием окружающих тканей.

Нормальная анатомия коленного сустава на МРТ
В норме бурсы содержат небольшое количество жидкости. Это необходимо для обеспечения защитной и амортизирующей функций сочленения при трении, компресии. МРТ коленного сустава при бурсите позволяет провести дифференциацию серозного и гнойного воспаления, острой/подострой или хронической формы, оценить вовлеченность в патологический процесс других мягкотканных структур, установить причину изменений. Магнитно-резонансное сканирование - неинвазивное безболезненное исследование, в отличие от артроскопии, подразумевающей анестезию и введение оптических инструментов в полость сустава. Госпитализация и реабилитационный период не требуются. Принцип построения подробных МР-изображений колена основан на взаимодействии магнитного резонанса и компьютерных технологий. Ионизирующая лучевая нагрузка на организм, как при рентгеновских способах диагностики, отсутствует.

Синовиальные сумки коленного сочленения
МР-исследование помогает дифференцировать бурситы, осложнения и прочие патологии коленного сустава, имеющие сходную симптоматику:
отек костного мозга;
врожденную дисплазию суставов;
растяжения связок, мышц, нарушение целостности структур;
изменения в сосудах - аневризму, стеноз, окклюзию;
новообразования костей, суставов или мягких тканей;
дегенеративные процессы - деформирующий гонартроз;
последствия травм и пр.
Бурсит коленного сустава: симптомы

Вид нижней конечности при воспалении синовиальной сумки колена
Разнообразные травмы - ушибы, растяжения связок, внешние повреждения сустава при прямых ударах, падениях, занятиях спортом могут вызвать развитие бурсита. Реже микробная флора проникает из других очагов (при тонзиллите, кариесе) через систему крове-, лимфообращения. Патологический процесс рассматривают осложнением артрита, подагры. Вторичный бурсит может сопутствовать аутоиммунному заболеванию (системной красной волчанке, склеродермии, ревматизму), тяжелой аллергии, интоксикации и пр.
Клинические проявления зависят от стадии воспаления, при остром состоянии симптомы выражены наиболее ярко. Признаки бурсита коленного сустава включают:
отечность вокруг сочленения, разглаживание кожного рисунка;
снижение амплитуды движений на фоне болевого синдрома и отека;
местное повышение температуры над суставом.
Воспаление, вызванное бактериальными инфекционными агентами, сопровождают неспецифические признаки интоксикации: слабость, утомляемость, потливость, субфебрилитет и пр. При вторичной природе регистрируют симптомы основной патологии.
Для острого бурсита коленного сустава характерны внезапное начало и резкое усиление боли при физической нагрузке на нижнюю конечность. Сделать МРТ необходимо для получения представления о состоянии связок, синовиальных оболочек, хрящей, сосудисто-нервных пучков. Ранняя диагностика позволяет провести адекватную терапию и предупредить осложнения - формирование абсцессов, свищевых ходов.

Киста Бейкера - осложнение бурсита подколенной сумки на МРТ
Хронический процесс часто является следствием неадекватного лечения острого воспаления. Заболевание развивается на фоне постоянной вибрации или механического воздействия на сустав.
Длительно существующую патологию отличает латентное или медленно прогрессирующее течение, с периодическими эпизодами обострения. Хроническое воспаление бурсы приводит к значительному накоплению экссудативной жидкости в полости синовиальной сумки, что способствует формированию кистозных образований. Магнитно-резонансную томографию проводят в рамках предоперационного исследования.
Как выглядит бурсит колена на снимке МРТ?

Коленный сустав защищают от повреждений несколько сумок
Поверхностная инфрапателлярная сумка расположена между бугристостью большеберцовой кости и вышележащей кожей, тогда как глубокая ограничена задней стороной сухожилия надколенника и большеберцовой костью. Выделяют:
Поверхностный инфрапателлярный бурсит

МРТ коленного сустава: сумка расположена под кожей над бугристостью большеберцовой кости (стрелка)
Поверхностный инфрапателлярный бурсит, также называемый коленом священника, возникает из-за воспаления и накопления жидкости в результате хронического сдавления. Клинически наблюдается ощутимая припухлость ниже коленной чашечки. Изначально боль может отсутствовать.

На МРТ патология выглядит как жидкостное образование, выступающее перед сухожилием надколенника (стрелка)
При визуализации бурсит дифференцируют с подкожным отеком, последний представляет диффузное (не локализованное с четкими границами) депонирование жидкости по всей поверхности колена.
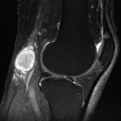
Глубокий инфрапателлярный бурсит

Воспаление глубокой поднадколенниковой сумки на МР-скане (стрелка)
На МРТ глубокий инфрапателлярный бурсит проявляется в виде треугольного скопления жидкости сзади сухожилия надколенника. При обнаружении у подростков воспаленную сумку дифференцируют от болезни Осгуда-Шлаттера, для которой типичны гиперинтенсивность сигнала. Инфрапателлярный бурсит чаще развивается при падении на колени. Патологии подвержены плиточники, строители, горничные.
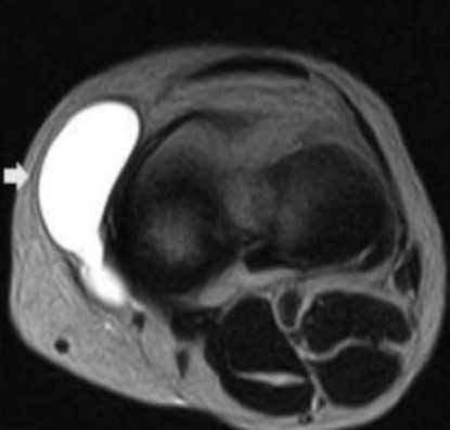
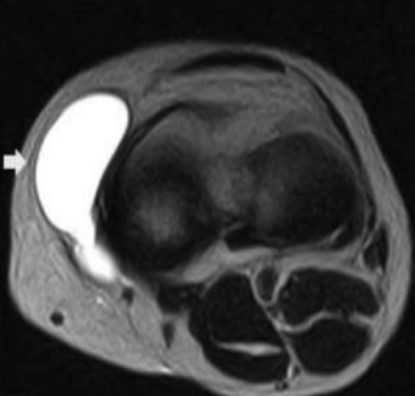
Препателлярный бурсит

Воспаление передней подкожной преднадколенниковой сумки на МРТ (стрелка)
Препателлярная бурса представляет собой трехкомпонентную структуру. Поверхностный отсек находится между подкожной клетчаткой и продолжением широкой фасции бедра, средний - между поперечной поверхностной и промежуточной косой фасциями. Глубокий ограничен косой соединительнотканной оболочкой и продольными волокнами сухожилия прямой мышцы бедра. Воспаление указанной синовиальной сумки происходит от длительного стояния на коленях, патологию регистрируют при подагре. Основные клинические проявления - боль и припухлость. Хроническая травматизация приводит к воспалению и геморрагическому бурситу. На МРТ препателлярный бурсит проявляется в виде овального жидкостного образования между подкожной клетчаткой и надколенником.

Бурсит медиальной коллатеральной связки коленного сустава на МРТ (стрелка)
Магнитно-резонансное сканирование показывает точную локализацию и размеры воспалительного процесса. В зависимости от местоположения пораженной синовиальной сумки чаще выделяют: супра-, пре-, инфрапателлярный бурситы.
Расшифровка снимка МРТ при бурсите коленного сустава

В сложных случаях можно воспользоваться услугой “Второе мнение”
Интерпретацией полученных результатов занимается врач-рентгенолог (специалист лучевой диагностики). После завершения процедуры пациент получает на руки заключение, где подробно описаны выявленные изменения. В норме костно-травматических повреждений быть не должно, капсула тонкая, в полости сочленения обнаруживают минимальное количество выпота. Суставная щель равномерная, конгруэнтность поверхностей сохранена. Мениски, связки, костные структуры, мозг, подколенная ямка, клетчатка Гоффа без особенностей. Сигнал хрящевого компонента сохранен, признаки деформации отсутствуют. Суставные поверхности ровные, краевых остеофитов нет.
При бурсите в сумке обнаруживают очаг скопления жидкости, окруженный ободком воспаленной ткани. Неровность контуров при утолщенной стенке свидетельствует об осложненной форме на фоне инфицирования или травмы. МРТ коленного сустава при бурсите позволяет оценить внутрисиновиальный экссудат: при кровотечении, скоплении гноя, кристаллической артропатии сигнал не соответствует характеристикам “простой” жидкости. В неосложненных случаях после введения гадолиния контрастирование содержимого сумки отсутствует.
В диагностическом центре “Магнит” в СПб пройти МРТ коленного сустава можно в любое удобное время по предварительной записи. В ночные часы действуют скидки. Мощность сканера Siemens (Германия) - 1,5 Тесла - позволяет получить диагностически ценные изображения. Не откладывайте исследование, отек вокруг сустава и боль сопровождают ряд патологий, прогрессирование которых может привести к необратимой дисфункции, потере конечности и инвалидности.
Читайте также:
- Протоковый рак молочной железы: симптомы и прогноз, инфильтрирующая протоковая карцинома, диагностика и лечение
 - Объем резекции легкого при туберкулезе. Торакопластика
 - Условия, влияющие на контрастность объекта на рентгенограмме
 - Лучевая диагностика легочной неходжкинской лимфомы на рентгене, КТ
 - Миоклонус-эпилепсия MERRF: причины, диагностика, лечение
 
