Рентгенограмма, КТ, МРТ задневнутреннего кортикального дефекта бедренной кости
Добавил пользователь Евгений Кузнецов Обновлено: 21.11.2025
Тазобедренный сустав является самым крупным сочленением в организме человека и, соответственно, именно он испытывает максимальную осевую нагрузку. Любые патологические процессы в нем часто приводят к значительному нарушению функции ходьбы, затрудняют самообслуживание и даже могут стать причиной инвалидности. КТ тазобедренного сустава позволяет выявить заболевание на ранней стадии развития и начать своевременную терапию. Это во многом определяет результативность лечебных мероприятий и прогноз для пациента.
Что покажет КТ тазобедренного сустава
Компьютерная томография − это рентгенологический метод исследования. Однако, в отличие от обычного рентгена, она дает возможность получать послойные изображения тазобедренного сустава с толщиной среза в несколько миллиметров. Мультиспиральные томографы делают это за считанные секунды, к тому же, оснащенные современными компьютерными программами, они позволяют создавать объемные модели исследуемой зоны.
На полученных снимках можно рассмотреть мельчайшие структуры тазобедренного сустава, выявить патологические изменения на начальных стадиях развития. На КТ-изображениях отчетливо видны следующие структуры:
кости таза, участвующие в формировании сочленения;
головка и проксимальный отдел бедренной кости;
суставная капсула, хрящевые поверхности костей;
окружающие мышцы и связки, подкожно-жировая клетчатка;
крупные сосуды, нервы.
Лучше всего компьютерная томография тазобедренного сустава визуализирует костные ткани. Во время анализа снимков удается определить точные размеры головки бедра, расстояние до вертлужной впадины, конгруэнтность суставных поверхностей.
На КТ-снимке тазобедренных суставов виден перелом бедра слева
В травматологии и ортопедии очень важны такие параметры, как плотность и структура костной ткани. Эти показатели необходимы перед установкой искусственного сустава, от них зависит выбор типа имплантата, способ его крепления на кости.
Мультиспиральные томографы и прилагаемые к ним программы также позволяют получать 3D-реконструкции тазобедренных суставов. Такие данные оказывают большую помощь хирургу, помогают провести все манипуляции с максимальной точностью.
С помощью КТ тазобедренного сустава выявляют следующие патологии:
воспалительные процессы: остеомиелиты, артриты, бурситы;
дегенеративно-дистрофические изменения (остеоартроз);
объемные новообразования (злокачественные и доброкачественные опухоли), кисты;
наличие жидкости в суставе гнойного, серозного или геморрагического характера;
травматические изменения в костях, суставной капсуле, связках и мышцах (переломы, гематомы, разрывы и пр.);
врожденные аномалии (дисплазия).
Кроме того, томография помогает определить состояние уже установленных ортопедических конструкций (искусственного сустава, штифтов). Учитывая, что КТ тазобедренного сустава оказывает относительно небольшую лучевую нагрузку, ее можно использовать для контроля за проводимым терапевтическим лечением, в послеоперационном периоде.
Иногда для лучшей визуализации анатомических структур или сосудистой сети тазобедренного сустава необходимо дополнительное введение контрастирующего вещества на основе йода. Процедура контрастирования необходима для повышения четкости мягких тканей, правильного разграничения опухолевого и воспалительного процессов. В случае новообразования именно фармакологическое усиление дает максимум информации о размерах, расположении и степени инвазивности опухоли.
В диагностическом центре «Магнит» контрастирование делают с использованием качественного немецкого фармпрепарата Ультравист. Его количество рассчитывается исходя из массы тела больного, он практически не вызывает побочных эффектов и аллергических реакций.
Показания для КТ тазобедренного сустава
Врач может дать направление на КТ тазобедренного сустава при любых симптомах, свидетельствующих о наличии патологии:
длительном болевом синдроме;
ограничении движений в нижней конечности;
отеке, гиперемии в области тазобедренного сустава;
неприятном хрусте или щелчках в суставе при ходьбе;
косвенных признаках опухолевого процесса в сочленении;
после перенесенной травмы, для исключения скрытых повреждений.
Основанием для проведения томографии могут стать патологические изменения, выявленные во время УЗИ или артроскопии. Травматологи и ортопеды часто рекомендуют КТ перед хирургическим вмешательством. Данное обследование может проводиться планово перед операцией эндопротезирования, в качестве контроля за состоянием имплантата.
КТ тазобедренного сустава больного, которому уже была проведена ранее установка имплантата
Что нужно взять с собой для обследования КТ
Если ваш лечащий врач дал направление на КТ тазобедренного сустава, то, прежде всего, необходимо позвонить в диагностический центр «Магнит» и согласовать время диагностики. Одновременно сотрудник центр ответит на любые вопросы касательно особенностей и стоимости процедуры.
Специально готовиться перед томографией суставов не нужно, можно питаться как обычно и придерживаться привычного ритма жизни. Лучше надеть на диагностику одежду посвободнее, она позволит более комфортно расположиться на столе томографа.
Потребуется взять с собой имеющиеся медицинские документы:
направление от врача;
результаты лабораторных исследований;
заключения УЗИ, артроскопии;
Перед КТ тазобедренного сустава с контрастированием дополнительно нужно будет сдать анализ на креатинин (по месту жительства или непосредственно в медцентре).
Как проходит обследование КТ
Сама процедура компьютерной томографии тазобедренного сустава безболезненна и не причиняет существенного дискомфорта. Томограф находится в специальном помещении, отделенном стеклом от персонала центра. Во время небольшого предварительного инструктажа специалист расскажет вам, как делают обследование КТ, затем предложит занять удобное положение на выдвижном столе аппарата. При необходимости нижнюю конечность зафиксируют специальными ремнями.
Процедура сканирования безболезненна, однако во время ее проведения важно сохранять неподвижное положение тела
Во время процедуры сканирования стол будет плавно перемещаться в кольце аппарата. Важно лежать неподвижно и не совершать даже малейших движений. Длительность сканирования не превышает 1-2 минут.
Если выполняется КТ тазобедренного сустава с контрастом, то время исследования будет составлять от 15 до 20 минут. Это связано с необходимостью выполнения нативных снимков, введения контрастирующего вещества и повторного сканирования.
Полученные во время сканирования изображения-срезы подвергаются компьютерной обработке и реконструкции. После этого их анализирует врач-рентгенолог диагностического центра «Магнит». Специалисты нашего медучреждения имеют большой опыт в интерпретации результатов КТ тазобедренного сустава, к их мнению прислушиваются коллеги-рентгенологи и врачи других специальностей.
Результаты томографии отдают, в среднем, через полтора-два часа. На руки пациент получает распечатанное заключение, диск с протоколом сканирования. При возникновении вопросов касательно результатов КТ в центре «Магнит» проводят бесплатную консультацию врача. Вы сможете получить ответы на все интересующие вопросы и разъяснения касательно выявленной патологии.
Врач-рентгенолог анализирует полученные данные и составляет свое экспертное заключение
Безопасность процедуры КТ для беременных и детей
Компьютерная томография тазобедренного сустава является рентгенологическим методом диагностики. Известно, что ионизирующее излучение крайне негативно влияет на интенсивно растущие ткани человеческого организма. По этой причине КТ противопоказана беременным женщинам. Она повышает риск возникновения внутриутробных патологий у плода. Особенно опасно рентгеновское излучение в первом триместре вынашивания плода. Любая женщина, идя на обследование, должна убедиться в отсутствии беременности.
Детям КТ тазобедренного сустава может быть назначена, но только по строгим показаниям. Это связано с негативным влиянием рентгена на растущий организм. В медцентре «Магнит» компьютерную томографию выполняют пациентам начиная с пятилетнего возраста, обследование с контрастированием - с 12 лет.
Противопоказания для КТ тазобедренного сустава
В диагностическом центре «Магнит» компьютерную томографию не выполняют следующим категориям пациентов:
лицам, чей вес больше 150 кг;
детям до пяти лет.
КТ тазобедренного сустава с дополнительным введением контрастирующего вещества противопоказана при таких состояниях:
индивидуальной непереносимости йода;
почечной или печеночной недостаточности;
гиперпродукции тиреоидных гормонов.
Кормящим женщинам контрастное вещество вводят лишь в случае крайней необходимости. Контрастирующий фармпрепарат проникает в грудное молоко и может негативно сказаться на здоровье ребенка. После обследования женщина должна будет еще два-три раза пропустить кормление и сцедить молоко.
Преимущества КТ тазобедренного сустава
На сегодняшний день компьютерная томография является одним из самых востребованных способов диагностики. Это объясняется рядом преимуществ данного метода:
возможностью получения послойных изображений сустава;
неинвазивностью и, соответственно, безболезненностью для пациента;
безопасностью для здоровья;
большой скоростью сканирования;
относительно невысокой стоимостью.
Аналогичным компьютерной томографии методом является МРТ. Она также позволяет получать послойные изображения сустава и окружающих его тканей. Преимущество компьютерной томографии тазобедренного сустава заключается в более контрастной визуализации костных тканей, их травматических повреждений, новообразований, участков деструкции. КТ лучше выявляет свежие кровоизлияния, гематомы, однако уступает по информативности при обследовании мягких тканей.

“Скрытый” перелом бедра, определяемый на КТ-снимках
Стоимость КТ тазобедренного сустава
В диагностическом центре «Магнит» КТ тазобедренного сустава можно сделать за 2450 руб. Нередко врач назначает обследование сразу двух тазобедренных суставов. Это необходимо для сравнения патологически измененного и здорового сочленения. КТ тазобедренного сустава с введением контраста обходится дороже обычного исследования, поскольку нужно доплачивать за количество использованного Ультрависта.
Неоссифицирующая фиброма кости

Фиброзный кортикальный дефект, он же неоссифицирующая фиброма кости.
В ранних источниках классифицировали как метафизарнй фиброзный дефект. Так же часто называется неостеогенной фибромой кости. В ЦИТО в 2001 году защищена диссертационная работа по результатам которой выделены 2 формы: МКД - метафизарный костный дефект и НФ неоссифицирующая фиброма кости.
Этиология
Метафизарные костные дефекты обычно выявляются в детском возрасте в период активного роста костной ткани и наиболее часто встречаются у пациентов мужского пола. Очаги чаще всего локализуются в корковом слое метфафизов длинных рубчатых костей. Наиболее часто встречается в бедренной кости (дистальный метафиз), большеберцовая кость (с одинаковой частотой как в проксимальном так и в дистальном метафизе). В данной локализации выявлено до 80 % всех наблюдаемых очагов. В том числе часто встречается локализация в малоберцовой кости. При сочетании данной патологии с пигментации кожи по типу кофейных пятен констатируют синдром Jaffe Campanacci (Комбинация множественных очагов в костях, пигментация кожи по типу кофейных пятен, задержка умственного развития, гипогонадизм, крипторхизм, глазные аномалии, патология сердечно-сосудистой системы). В настоящее время описаны лишь единичные случаи.
По наблюдениям большое количество МФКД подвергается спонтанной регрессии. Часто не проявляются какой-то явной ортопедической картиной у детей и в большинстве своём являются находкой при обследовании по рентгенограммам. В ряде случаев дефект достигает значительных размеров и проявляется болевым синдромом и требуется хирургическое вмешательство
При НФ болевой синдром проявляется чаще чем при МФКД. При неостеогенной фиброме патологические переломы возможны в 40% случаев. Так же помимо боли в области очага появляется припухлость плотной консистенции.
Диагностика
Ключевым методом в обследовании пациентов с МФКД является рентген, КТ и МРТ. При этом данные КТ позволяют более точно определить объём патологического очага и определить риск патологического перелома. МРТ выполняется чаще с целью дифференциальной диагностики.
Лечение
При наличии дефекта размером менее 1/3 поперечника костной ткани (отсутствие патологического перелома) возможно консервативное лечение и наблюдение с исключением физических нагрузок до закрытия очага. При наличии боли и очага более 1/3 поперечника - необходимо хирургическое вмешательство в виде краевой резекции и проведения костной пластики (ауто- или аллотрансплантатами). При наличии патологического перелома проводится внеочаговый остеосинтез.
МФДК всегда протекает доброкачественно, после адекватного хирургического вмешательства рецидив заболевания не происходит.
МРТ тазобедренного сустава что показывает

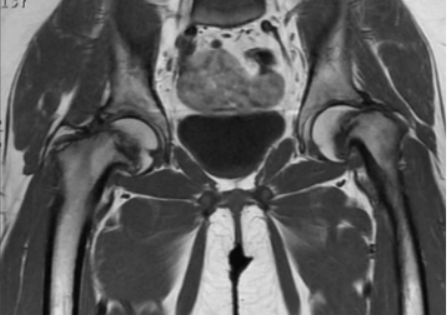
Магнитно-резонансная томография - метод диагностики, позволяющий получить подробное представление о характере патологических изменений в любой области человеческого тела.

МР-скан коксофеморальных сочленений, вариант нормы
В ортопедической практике МРТ тазобедренного сустава чаще проводят для уточнения причин коксалгии - болевого синдрома в сочленении. Способ исследования не подразумевает использования ионизирующего излучения, что особенно актуально для детей и беременных женщин. Процесс создания четких снимков, которые можно увеличивать, рассматривать в объемном виде, базируется на использовании магнитного резонанса и компьютерных технологий. Для улучшения возможностей визуализации применяют контрастирование. Диагностическая ценность фото, полученных после введения гадолиния, сопоставима с результатами артроскопии - инвазивного исследования с проникновением в полость сочленения хирургических инструментов.
Как делают МРТ тазобедренного сустава? Сканирование проводят на аппаратах с разной напряженностью магнитного поля. Врач может самостоятельно выбирать программы в зависимости от клинических задач. Это актуально, если первоначально неясно, что вызывает болевой синдром: патология органов малого таза или сустава. В стандартных ситуациях используют мультипараметрические последовательности.
Заболевания тазобедренного сустава на МРТ

Импиджмент синдром на МР-фото
Магнитно-резонансное сканирование проводят для диагностики ряда патологических состояний. Что показывает МРТ тазобедренного сустава? На снимках визуализируются:
К механическому конфликту между бедренной головкой/шейкой и краем вертлужной впадины приводят одно- или двусторонние дефекты костей врожденного или приобретенного генеза. Видоизмененные компоненты сочленения вызывают дисфункцию конечности за счет соударения во время движения. Патологическое трение костей способствует разрастанию остеофитов на фоне постоянной травматизации вертлужной губы. Если своевременно не диагностировать заболевание и не начать лечение, последняя с течением времени разорвется., Хрящевая ткань сочленяющих костей будет разрушена. Подобный механический конфликт часто способствует формированию коксартроза и сопровождается прогрессирующим болевым синдромом.

МРТ: выраженный эпифизеолиз слева - дистрофическое состояние зоны роста, симптом соскальзывания головки в области шейки бедренной кости
МРТ тазобедренного сустава при феморо-ацетабулярном импинджмет-синдроме показывает возможные причины заболевания:
врожденные пороки развития;
осложнения после травм и оперативных вмешательств;
сопутствующий аваскулярный некроз головки бедра;
воспалительные процессы в синовиальной сумке;
остеохондропатию (болезнь Пертерса);
эпифизеолиз (перелом Салтера-Харриса);
атрофированные мышцы вокруг сочленения и пр.
При тяжелой форме сахарного диабета с нарушением кровообращения, регулярных физических перегрузках, сопутствующих заболеваниях опорно-двигательного аппарата и соединительной ткани (артриты, подагра, системная красная волчанка и пр.) обнаруживают деструкцию костных и хрящевых структур.
Остеоартроз. Длительно существующий патологический процесс приводит к полной утрате функции тазобедренного сочленения за счет разрушения всех компонентов сустава. Изменения в костной ткани, связках, кровеносных сосудах, хрящах и окружающих мышцах можно увидеть на МРТ с контрастированием. Вовлечение нервных пучков вызывает стойкую боль в бедре. К предрасполагающим факторам относят:
занятия тяжелыми видами спорта;
сопутствующий артрит, артроз и пр.
У болезни выделяют три степени тяжести. МРТ тазобедренного сустава показывает изменения на ранней стадии, когда предотвратить/замедлить прогрессирование патологии можно с помощью медикаментозной терапии.
Аваскулярный некроз головки бедра.

Вид указанной патологии на МРТ, изменения соответствуют 2 стадии
К развитию аваскулярного некроза приводит длительное нарушение питания тазобедренного сустава на фоне загустевания крови, тромбообразования, сдавления, скручивания сосудов. В костной ткани при ишемии создаются пустоты, приводящие к деформации, отслойке хряща. Клинические проявления неспецифичны, что вызывает трудности в постановке диагноза. Провоцирующих факторов множество:
воздействие ионизирующего облучения и пр.
Ранние изменения не видны при рентгенографии, ультразвуковом исследовании. МРТ тазобедренного сустава - один из эффективных способов определить болезнь на начальной стадии.

Подострый остеомиелит на МР-скане и обычной рентгенограмме: отслойка надкостницы (наконечник), гнойный очаг (стрелки)
Ревматоидный, септический, псориатический, реактивный, юношеский артриты, остеомиелит приводят к видоизменению тазобедренного сустава и синовиальной оболочки (синовиту). Определение генеза, кроме процедур МРТ и КТ, подразумевает выполнение лабораторных тестов для оценки:
уровня мочевой кислоты;
HLA B27 антигена;
антител к циклическому цитруллинированному пептиду и пр.
Артрит тазобедренного сочленения (коксит) может быть проявлением болезни Бехтерева, костно-суставного туберкулеза, ряда обменных нарушений в организме человека. Выделяют четыре стадии прогрессирования болезни:
I - стирание сухожилий, уменьшение пространства между костями, незначительное депонирование жидкости, усиление боли при нагрузке;
II - развитие эрозий и мышечной атрофии;
III - образование остеофитов, нарастание отека, деструкция хряща;
IV - видоизменение всех структур сочленения.
Синовиальные поражения. Болезни внутреннего слоя суставной сумки или костно-фиброзного канала регистрируют редко. Пигментно-нодуллярный синовит - опухолеподобная патология сочленения с неизвестным генезом. Для болезни характерны гиперплазия (избыточное разрастание) оболочки и отложение гемосидерина. По фото МРТ видны сформированные во внутреннем слое капсулы хрящевые тела при синовиальном хондроматозе.

МРТ: метастаз в шейку бедра с формированием стресс-перелома (обведено)
В тазобедренном суставе могут развиваться добро- и злокачественные новообразования. Фото МРТ показывает предположительный характер опухоли. Верификация диагноза требует биопсии. Боль отмечают при сдавливании нервных окончаний, пограничных тканей, сосудов, что бывает при любой опухоли, поэтому отсутствие симптома не должно откладывать проведение магнитно-резонансной томографии. Первичные новообразования костей лучше диагностировать с помощью КТ, для демонстрации изменений мягких тканей больше подходит МРТ.
Дисплазия тазобедренного сустава. Для определения врожденного недоразвития сочленения, сопровождающегося подвывихом, ультразвуковой сонографии часто недостаточно. МРТ можно делать маленьким детям без вреда для здоровья, начиная с месячного возраста.

Стресс-перелом шейки бедра на МРТ
Патологию чаще диагностируют у пожилых людей, что связано с возрастными нарушениями минерального обмена. При опухоли и инфекции возникает так называемый патологический перелом костной ткани. Фото МРТ показывает:
вывихи, растяжения и разрывы (полные и частичные) связок;
ушибы с внутренним кровоизлиянием;
МРТ тазобедренного сустава: показания и противопоказания

Эндопротез может вызвать дефекты на изображениях, поэтому предпочтительнее рентгеновские способы диагностики
МР-томографию выполняют при неоднозначных результатах компьютерного сканирования, рентгенографии, УЗИ. Способ подходит для динамического наблюдения: по медицинским показаниям нет ограничений по количеству в проведении МРТ. Клинические проявления при ряде патологических процессов схожи, и для точного определения генеза симптомов необходима расширенная диагностика. Показания к МРТ тазобедренного сустава включают:
длительный болевой синдром, необъяснимую хромоту, дискомфорт во время ходьбы и/или в покое, ограничение амплитуды движений в сочленении;
отсутствие эффекта/краткосрочное улучшение на фоне терапии;
оценку посттравматических осложнений - в экстренной ситуации поиск начинают с КТ;
первичное выявление заболевания - воспаления, деструкции, опухолевой патологии, врожденных аномалий развития, инфекционного поражения, дегенеративно-дистрофических процессов и пр.;
обследование перед операцией и после хирургического вмешательства - эндопротезирования и др.;
При болях, связанных с невралгией, МРТ тазобедренных суставов показывает норму, исследование выполняют для дифференциации процессов.
Противопоказания к МР-сканированию:
наличие в теле имплантированных устройств - мио-, нейро-, кардиостимулятора, дефибриллятора, инсулиновой помпы, постоянного слухового протеза, сосудистых клипс из металла с парамагнетическими свойствами, аппарата Илизарова и пр.;
беременность в первом триместре;
детский возраст до месяца;
ожирение с массой тела выше 120 кг (для сканеров с закрытым контуром);
тяжелое самочувствие пациента, обусловленное острым состоянием: болевым синдромом на фоне травмы, инфарктом, инсультом и пр.;
невозможность длительного нахождения в положении на спине;
некоторые психические и неврологические патологии - алкогольный делирий, эпилепсия, клаустрофобия, болезнь Паркинсона, Альцгеймера (МРТ сделают в условиях стационара под седативными препаратами).
Исследование с контрастом недоступно для пациентов с аллергической реакцией на гадолиний в анамнезе, почечной недостаточностью терминальной стадии, беременным на любом сроке. Постоянные зубные конструкции - виниры, штифты, брекеты, эндопротезы из титана не препятствуют выполнению магнитно-резонансного сканирования
Как делают МРТ тазобедренного сустава?

Для улучшения соотношения сигнал-шум нужно, чтобы проблемная область находилась как можно ближе к центру стола
Магнитно-резонансное сканирование указанного сочленения выполняют на разных аппаратах. Снимки, полученные на оборудовании с замкнутым контуром, более информативны. Оптимальный вариант - сделать МРТ на закрытом сканере с напряженностью магнитного поля от 1.5 Тесла. Маломощные установки используют для скрининговой диагностики спортсменов, в отсутствие жалоб.
За 20 минут до исследования пациент прибывает в клинику. После оформления документов и сдачи на хранение предметов, содержащих металл, рентгенолаборант укладывает больного на стол томографа.
Во время диагностической процедуры можно посмотреть один или два тазобедренных сустава, что зависит от показаний: системные заболевания подразумевают комплексное исследование нескольких зон.
Пациента укладывают на спину, большие пальцы ступней сводят вместе для обеспечения ротации тазобедренных суставов. Для предотвращения случайных движений используют подколенный валик и мягкую фиксацию конечностей ремнями. Над областью интереса располагают катушку. При запланированном контрастировании в локтевую вену устанавливают катетер и подсоединяют автоматический инъектор: в заданное время в организм будет поступать препарат-усилитель.
После оценки прицельных снимков рентгенолог выбирает нужные последовательности МРТ. За ходом диагностики медперсонал наблюдает через окно из соседнего помещения, общение осуществляют по громкой связи. При ухудшении самочувствия больного сканирование может быть приостановлено, под рукой у пациента есть специальная кнопка. После завершения сканирования стандартно на руки выдают заключение, диск с записью диагностической процедуры. Видео можно открыть с помощью программы, поддерживающей формат dicom.
Как подготовиться к МРТ тазобедренного сустава?

Перед записью на процедуру все вопросы можно обсудить с лечащим врачом
Особых мер не требуется, достаточно убрать металлические предметы (ключи, монеты и др.), платежные карты, снять украшения, часы, надеть свободную одежду без молний и заклепок. Возьмите с собой пакет документов: паспорт, описания результатов предыдущей диагностики, направление врача, медицинский полис (если оплата будет проходить через страховую компанию).
Для женщин в период лактации подготовка к МРТ тазобедренного сустава с контрастированием подразумевает запас молока на несколько кормлений. Усиленный питьевой режим после диагностической процедуры будет способствовать более быстрому избавлению от хелатов гадолиния.
Как проводится МРТ тазобедренных суставов, если нужно посмотреть еще и внутренние органы? При подозрении на возможную патологию матки, придатков, простаты, семенных пузырьков, поддерживающих болевой синдром, подготовка к исследованию подразумевает очистку кишечника и устранение метеоризма. Мочевой пузырь оценивают в наполненном состоянии.
Расшифровка МРТ тазобедренных суставов
Интерпретацией изображений занимается врач-рентгенолог. В норме на серии томограмм травматических изменений не определяется:
структура костной ткани однородна, без дистрофических признаков;
субхондрального склероза суставных поверхностей нет;
капсула сочленений не утолщена, в полости присутствует небольшое количество синовиальной жидкости с однородным МР-сигналом;
костные крыши вертлужных впадин сформированы правильно, суставные щели равномерные, конгруэнтность (сопоставимость, согласованность) поверхностей сохранена;
целостность связочного аппарата не нарушена;
сигнал хрящевого компонента без особенностей, областей истончения нет;
краевые заострения суставных поверхностей вертлужных впадин отсутствуют;
окружающие мягкие ткани без видимой патологии;
бедренные и тазовые кости в зоне сканирования без очаговых изменений.
Анатомия тазобедренного сустава

Обеспечение указанным сочленением обширного объема движений в нескольких плоскостях и значительные физические нагрузки приводят к развитию различных заболеваний
Коксофеморальный сустав сформирован проксимальным концом (головкой) бедренной кости и вертлужной впадиной. Последняя состоит из подвздошной, седалищной и лобковой костей, имеет округлую форму. В вертлужной впадине различают суставную поверхность, ацетабулярную ямку или углубление. Капсулу сочленения формируют множественные связки. Головка бедренной кости, как и вертлужная впадина, частично покрыта гиалиновым хрящом, остальное приходится на синовиальную оболочку, вырабатывающую жидкость для уменьшения трения. Связки и суставная капсула служат для ограничения амплитуды движений (предотвращения вывихов, переразгибаний конечности).
Сколько длится МРТ тазобедренного сустава?
Продолжительность диагностической процедуры связана с мощностью аппаратуры, типом исследования (нативное или с усилением). Длительность МРТ тазобедренного сустава примерно 25-35 минут, результат можно забрать через полчаса. При заказе услуги “Второе мнение” сроки готовности заключения оговаривают отдельно. С учетом заполнения медицинской документации, проведения инструктажа, укладки пациента и сканирования временные затраты займут около часа.
Что лучше: КТ, МРТ или рентген тазобедренного сустава?

Эпифизеолиз бедер на МРТ
Магнитно-резонансная томография и компьютерное сканирование являются дополняющими способами диагностики, так как часто необходимо оценить и мягкотканные структуры и кости, формирующие сустав. В экстренных ситуациях преимущество у КТ, позволяющей получить результат в течение нескольких минут. Отдаленные последствия травм, опухоли, аваскулярный некроз лучше демонстрирует МРТ. Рентгенографию в современной травматологии используют для поиска грубых повреждений или запущенных процессов, исходящих из костной ткани, при возможности выбора лучше сделать мультиспиральное компьютерное сканирование. Из перечисленных способов визуализации наиболее безопасна МР-томография, так как рентгеновская диагностика подразумевает лучевое воздействие на организм.
Что показывает КТ бедренной кости, подготовка, показания и противопоказания

Диагностика заболеваний и дифференцирование патологических состояний тканей и сосудов нижних конечностей, благодаря КТ бедренной кости, осуществляется с большой точностью и в максимально короткие сроки. Такой вид обследования подразумевает использование рентгенологических лучей, благодаря которым визуализируют малейшие изменения анатомических структур изучаемой части тела.
Асептический некроз головки бедренной кости
Метод обладает высокой информативностью, безболезненностью и комфортностью для пациента.
Что показывает КТ бедренной кости
Томография с использованием рентгенологических лучей позволяет выявить многие нарушения, которые не определяются при традиционных методах обследования. Бедренная кость - самая крупная в организме человека. Окружающие ткани пронизаны кровеносными сосудами, разрыв которых угрожает сильной кровопотерей и может привести к летальному исходу. Своевременное обнаружение и локализация травматических повреждений крайне важна, для этого в Санкт-Петербурге применяют КТ-диагностику бедренной кости.
Рентгеновское излучение проходит через все структуры тела, выявляя малейшие нарушения. На полученных фото отчетливо видны участки пониженной плотности, которые выглядят более темными. Плотные и твердые ткани обладают меньшей проходимостью для лучей, поэтому представляют собой белые участки. Очаги деструкции и нарушения целостности кости определяются как затемнения на светлом фоне, что позволяет быстро дифференцировать патологию и определить ее локализацию.
КТ-картина образования диафиза правой бедренной кости (коронарная плоскость)
Мультиспиральная компьютерная томография бедра означает послойное сканирование тканей. Благодаря такому обследованию на полученных фото видны изменения формы кости, участки резорбции, очаги патологического уплотнения тканей. МСКТ открывает доступ к детальному обследованию суставных поверхностей и сложнодоступных мест, дает подробную визуализацию состояния изучаемой области.
Метод незаменим в случае диагностики заболеваний костномозгового канала, при переломах в области утолщения кости возле коленного сустава (чрезмыщелковые переломы).
Компьютерная томография бедренной кости с применением контраста помогает оценить характер кровоснабжения, выявляет наличие новообразований и воспалений изучаемой области, показывает состояние стенок сосудов, их проходимость и наполняемость.
Остеосаркома левой бедренной кости (КТ-ангиография)
Как делают КТ диагностику бедренной кости
МСКТ проводят с помощью специального аппарата - томографа, который представляет собой кольцо с вращающимися вокруг тела пациента рентгеновскими трубками (излучателями). Сама кольцевая часть остается неподвижной, передвигается стол, на котором находится пациент.
Лучи сканируют обследуемую область в аксиальной проекции и передают информацию на монитор компьютера, который расположен в специальной комнате за перегородкой. В процессе исследования рентгенолог получает серию фотографий тонких срезов изучаемой зоны: на основании снимков компьютерная программа воссоздает 3D-изображение или картину патологии в одной из трех взаимно перпендикулярных плоскостей, которые позволяют оценить общую картину и определить состояние тканей бедра.
При диагностике заболеваний бедренной кости КТ проводят двумя способами:
· компьютерная томография без контраста;
· МСКТ с применением контрастного вещества.
В первом случае процедура не требует предварительной подготовки и занимает не более 10 минут. Обследуемый проходит в помещение, где расположен подвижный стол и кольцевая часть томографа с закрепленными в ней излучателями. Специалист поможет принять нужную позу и определит зону исследования, после чего покинет помещение. Стол с больным начнет двигаться через кольцевую часть аппарата, при этом рентгеновские трубки совершают круговое вращение, просвечивая обследуемую область.
Пациент не испытывает дискомфорта, процедура проходит быстро и безболезненно. Врач и техники находятся за специальной перегородкой. Они разговаривают с обследуемым через установленное в кабинете переговорное устройство.
По окончании КТ бедренной кости пациент получает на руки диск с результатами: послойными снимками исследуемой зоны, описанием рентгенолога и трехмерной компьютерной моделью (по согласованию).
МСКТ с контрастом занимает больше времени и осуществляется в два этапа. Пациент приходит на КТ с результатами анализов, вначале ему проводят нативную диагностику, затем внутривенно вводят контрастное вещество. Процедура повторяется, врач сравнивает полученные снимки тонких срезов тканей до и после применения индикатора.
Подготовка к исследованию бедренной кости
КТ диагностика заболеваний бедренной кости не требует специальной подготовки. Исключение составляет контрастная МСКТ, которую проводят после предварительного обследования и сдачи анализа крови на креатинин. Повышение данного показателя говорит о почечной недостаточности, что является прямым противопоказанием для введения йодсодержащего раствора.
Пациенту рекомендуют подойти за 5-10 минут до начала процедуры. Перед обследованием желательно снять металлические аксессуары, сообщить врачу об имеющихся имплантах, протезах.
Клиника “Магнит” в СПб предлагает воспользоваться предварительной бесплатной консультацией рентгенолога перед проведением компьютерной томографии бедренной кости. Врач расскажет об особенностях исследования, правилах поведения и подготовки к процедуре.
Что такое контрастирование
Внутривенное введение контрастного раствора повышает информативность метода, визуализирует состояние сосудистой системы данной области и участков с хорошим кровоснабжением. Йодсодержащее вещество, проникая в кровеносное русло, отражает рентгеновские лучи, что проявляется на снимках в виде отчетливых светлых линий, повторяющих расположение сосудов.
Участки с развитым кровоснабжением (мягкие ткани, новообразования, очаги воспаления) хорошо видны при КТ исследовании, что делает такой метод диагностики практически универсальным.
Контраст пациенту вводят во время процедуры, при этом может наблюдаться незначительное головокружение, слабость, тошнота. Эти неприятные симптомы быстро проходят, на общее самочувствие препарат не влияет.
К побочным действиям относят также:
аллергические реакции (при наличии у пациента аллергии на йод);
возможный привкус железа во рту;
повышение нагрузки на почки.
Для предупреждения симптомов почечной недостаточности обследуемый накануне сдает анализ крови на креатинин, который позволит оценить функциональность органов фильтрации.
Показания и противопоказания
КТ диагностика бедренной кости проводится в тех случаях, когда необходимо дифференцировать патологические изменения и травматические повреждения рассматриваемой области. Метод применяют при подозрении на:
переломы различной степени сложности;
развитие новообразований, в том числе злокачественных, преимущественно в костной ткани;
артриты, артрозы тазобедренного и коленного суставов;
остеомиелит бедренной кости;
дисплазию тазобедренных суставов;
некроз головки бедренной кости.

Компьютерную томографию назначают в процессе подготовки к хирургическому вмешательству и с целью контроля динамики восстановления после операции.
МСКТ относится к рентгенологическим методам диагностики, поэтому есть ряд противопоказаний для ее использования:
детский возраст до 5 лет;
масса тела более 150 кг;
Контрастная компьютерная томография противопоказана:
детям до 12 лет;
при индивидуальной непереносимости йодсодержащего раствора;
в случаях гиперфункции щитовидной железы;
пациентам, страдающим острой патологией почек и почечной недостаточностью;
при повышенном уровне креатинина в крови.
Период лактации является относительным противопоказанием к проведению контрастной КТ при заболеваниях бедренной кости. Соблюдение всех рекомендаций врача позволит избежать риска возможных осложнений и сделает обследование безопасным для мамы и ребенка.
Когда что лучше - УЗИ, МРТ, КТ, рентген тазобедренного сустава

Современные способы визуализации патологических отклонений тазобедренного сустава поражают воображение - томография, ультразвук, рентген. Учитывая их количество, возникает вопрос, чем руководствуются врачи, выбирая, что лучше: УЗИ, МРТ, КТ или рентген в качестве метода диагностики. Какое из обследований стоит пройти, чтобы оценить реальную картину происходящего, и как это влияет на здоровье и способ лечения заболеваний тазобедренного сустава.
Что лучше МРТ или рентген тазобедренного сустава

Давно и успешно используемый, но при этом простой, быстрый и дешевый способ исследования с помощью малой дозы рентгеновских лучей. Рентген тазобедренного сустава проводится в качестве первичной диагностики и позволяет увидеть переломы, в том числе - шейки бедра, вывихи, деформации кости, аномальный рост кости или костные изменения, а также проследить наличие посторонних предметов в мягких тканях, окружающих кость.
Рентген тазобедренного сустава назначают при четкой симптоматике, указывающей на перелом или вывих костей тазобедренного сустава, таких, как очень сильная боль с частичной или полной потерей подвижности, хромота. Рентген широко используется в качестве контроля срастания костей после перелома и перед ортопедическими операциями, связанными с протезированием.
К сожалению, возможности рентгена ограничены лишь оценкой ущерба, нанесенного костям. Для диагностического исследования мягкой ткани и связок требуется дополнительное введение контрастного вещества, и результаты менее информативны, чем при МРТ тазобедренных суставов. Помимо этого двухмерные рентгеновские снимки грешат статичностью, оставляя слепые зоны, что не позволяет врачу четко оценить функциональное состояние тазобедренного сустава. Далеко не всегда рентген эффективен как способ диагностического исследования остеопороза, поскольку определяет его, когда потери костной ткани уже превышают 20%. В качестве диагностического обследования врач не назначит рентген беременных женщинам, чтобы не причинить вред плоду.
Что лучше - МРТ или КТ тазобедренного сустава
КТ тазобедренного сустава можно назвать усовершенствованной рентгенографией, поскольку сканирование проводится с помощью не одного, а нескольких пучков рентгена, которые влияют на тело с разных ракурсов. Благодаря специализированной рентгеновской установке КТ и сложным компьютерным программам врачам удается получить объемные послойные изображения тазобедренного сустава в поперечной плоскости. Снимки при КТ тазобедренного сустава выглядят, как если бы вы разрезали сустав на множество тонких поперечных плоскостей. Такие изображения более информативны и позволяют обнаружить заболевания суставов или патологические изменения в них, пропущенные рентгеном.
Поскольку рентген не эффективен в отношении мягкой ткани, для визуализации мышц, связок и сосудов при КТ используют контрастное вещество на основании йода, которое, при введении, позволяет увидеть раннее затемненные участки. Диапазон возможностей КТ-томографии охватывает как исследования сложных переломов, так и диагностику врожденных аномалий, некроза, остеомиелита, опухолей, дисплазии и травматического поражения костной и мягких тканей. Еще одним плюсом диагностики является скорость, с которой получают снимки. В среднем процедура занимает не более 10 минут, из-за чего медики предпочитают её использовать в случае чрезвычайных ситуаций, когда необходимо срочное хирургическое вмешательство.

Тем не менее, недостатков в КТ не меньше, чем достоинств. В первую очередь, это рентгеновское облучение, затем следует контрастное вещество, которое противопоказано вводить людям, страдающим почечными заболеваниями и тем, кто плохо реагирует на йод. Даже те пациенты, кто не страдает аллергией на йод, могут чувствовать недомогания после проведения процедуры или давать неожиданные аллергические реакции. А без контраста при КТ томографии недоступна диагностика состояния связок тазобедренного сустава, нервных окончаний, сосудов и мышц, окружающих сустав.
Когда МРТ тазобедренных суставов лучше, чем рентген и КТ
МРТ тазобедренного сустава по эффективности соперничает с КТ, а в некоторых аспектах и опережает компьютерную томографию. Используя магнитное поле и радиочастотные волны, она, без помощи контрастного вещества, способна исследовать как кости, так и мягкие ткани - связки, сухожилия, нервы и сосуды. Дело в том, что боль, сопровождающая заболевания тазобедренного сустава, не всегда прямо указывает на патологический процесс именно в этой области, и требуется дифференциальная диагностика, на которую способна МРТ.
Часто патология тазобедренного сустава не связана напрямую с нарушением костной ткани, а зависит от мышечных деформаций, недостатков сосудистой деятельности, ущемления нервов, растяжений или несостоятельности связок и сухожилий.
То, что не под силу другим методам диагностики, с успехом делает МРТ.
МР-томографию часто используют для дифференциальной диагностики осложнений и контроля лечебного процесса.
Процедура занимает от 20 минут до часа, не вызывает неприятных ощущений, абсолютно безопасна для здоровья и не вызывает осложнений. Противопоказанием является наличие в теле пациентов имплантов из металла, а именно: сердечные клапаны, имплантируемые дефибрилляторы и сердечные стимуляторы, металлические протезы, штифты, ушные импланты и электронные устройства.
Читайте также:
