Рентгенограмма, КТ при центральном мукоэпидермоидном раке челюсти
Добавил пользователь Валентин П. Обновлено: 21.01.2026
Сегодня технология конусно-лучевой компьютерной томографии (КЛКТ) позволила при минимальной дозе облучения, получить истинно многоплоскостные и 3D-изображения структур челюстно-лицевой области и дала толчок к большому объему исследований с целью диагностики и оценки патологии в области головы и шеи.
Новообразования черепно-челюстно-лицевой области по отношению к новообразованиям других локализаций составляет 8-22% [1, 2, 3]. В последние годы отмечается значительное увеличение исследований органов головы и шеи и, как результат, увеличение количества диагностированных новообразований этих анатомических областей.
К объемным образованиям челюстно-лицевой области относятся доброкачественные и злокачественные опухоли, опухолеподобные поражения, а также кисты, отличающиеся деструктивным ростом. Существует огромное количество литературы посвященной этому вопросу. Многообразие морфологических и гистологических форм, а также клинических проявлений привело к введению большого количества терминов и классификаций [5]. Путаница в медицинской литературе, посвященной этому вопросу вызывает, значительные трудности при проведении исследований.
Нужно отметить, что в начальном периоде своего развития объемные образования не отличаются специфичностью симптомов [4,5], именно поэтому затрудняется распознавание истинной природы деструктивных процессов и затягиваются сроки выявления опухолей.
Безусловно, окончательная диагностика всего многообразия объемных образований базируется на результатах патоморфологического исследования биопсийного материала, которая с большой точностью позволяет верифицировать неопластический процесс. Но сложная анатомия головы часто накладывает ограничения в создании доступа для получения материала из опухоли или просто оказывается невозможным. Именно в таких случаях, предварительная, доверификационная диагностика на основе данных компьютерной томографии становится чрезвычайно важной, а грамотный системный подход к чтению исследований и знания рентгенсимеотики приобретают огромное значение [6, 7].
Анализ данных компьютерной томографии позволяет:
1. констатировать наличие объемного образования,
2. определить его распространенность,
3. дать характеристику границ и тени,
4. выявить поражение в глубину лицевого и мозгового черепа, вовлеченность в патологический процесс жевательных и мимических мышц, мышц глаза, зрительного нерва, глазных яблок, содержимого крыловидно-небных и подвисочных ямок, ретромандибулярных, носоглоточных и окологлоточных пространств
5. контролировать послеоперационные изменения
Именно эти характеристики позволяют получить информацию о стадии развития патологии, ее распространенности и выбрать адекватную тактику лечения, в том числе хирургического.
Приведенные ниже клинические случаи дают представление об основных признаках, которые необходимо знать при дифференциации злокачественного новообразования ЧЛО и отличительные особенности их от доброкачественного объемного образования [6,9].
Клинический случай №1
Пациент, муж, 19 лет обратился с жалобами на припухлость левой средней трети лица (Рис. 1).

Рис. 1. КТ свидетельствует об остеосаркоме, опухолевый инфильтрат происходит из передней стенки верхней челюсти слева, с вовлечением альвеолярной кости (остеолиз).
Клинический случай №2
Пациент муж., 16 лет, в анамнезе удаление зуба год назад. Обратился с жалобами на резкое увеличение объема лица слева, дисфагию и трудности при разговоре в связи с давлением опухолевой массы на глотку (Рис. 2,3).

Рис. 2. КТ свидетельствует об остеосаркоме, поражена левая половина верхней челюсти, вовлечены крыловидный отросток и нижняя челюсть с инфильтрацией в виде солнечных лучей и выраженной периостальной реакцией. Ассоциированные деформация и отек мягких тканей.

Рис. 3. 3d-реконструкция остеосаркомы с деформацией и отеком мягких тканей.
Принимая во внимание эти рентгенологические диагностические признаки, необходимо помнить, что они не абсолютно достоверны. Редко, но все же они могут проявляться и при доброкачественных опухолях и объемных образованиях ЧЛО, имеющих различный генез [6, 8].
Основные отличительные КТ признаки доброкачественных опухолей и опухолеподобных заболеваний ЧЛО, которые имеют дифференциально-диагностическое значение, приведены на клинических примерах № 3, 4, 5 и заключаются в следующем:
1. смещение, деформация костных структур, сопровождаемые остеопенией с постепенным истончением кости вплоть до появления дефектов;
2. деструкция кости от давления, а не инфильтративный остеолиз (основной признак дифференциации злокачественных опухолей);
3. неоднородность структуры тени за счет облаковидных образований большей плотности , а не костные фрагменты внутри тени.
Клинический случай №3
Пациент муж., 50 лет, в анамнезе операция удаления амелобластомы в пределах видимо здоровых тканей. Обратился с жалобами на повторное развитие опухолеподобного образования (Рис. 4).

Рис. 4. КТ свидетельствует о рецидиве кистозной формы амелобластомы.
Поражено тело нижней челюсти больше справа, определяется «вздутие» и неравномерное истончение передней пластины тела челюстной кости, обширный участок деструкции с четкими, полицикличными контурами, неправильной овальной формы, размерами 4,5 х 3,5 х 3,0 см. Кортикальный слой передней поверхности челюсти значительно истончен, местами не определяется, периостальная реакция отсутствует. В патологически измененном участке видны перегородки и известковые включения. Правое ментальное отверстие и дистальный отдел канала правого нижнеальвеолярного нерва не определяется.
Клинический случай №4
Пациент муж., 32 года (Рис. 5).

Рис. 5. КТ свидетельствует об объемном образовании нижней челюсти, требующем верификации.
Поражена правая ветвь нижней челюсти. Определяется объемное кистозное образование, овальной формы с четкими полицикличными контурами, замещающее весь венечный отросток и распространяющееся на суставной отросток. Объем кости увеличен за счет вздутия. Кортикальный слой значительно истончен, местами не прослеживается. Канал нижнеальвеолярного нерва вплотную прилежит к образованию, верхняя его стенка в проксимальном отделе не прослеживается. В подьязычной области справа виден лимфоузел, размерами 1,7 на 0,9 см.
Клинический случай №5
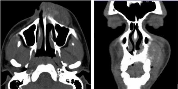
Пациент муж., 17 лет. КТ-исследование подтверждает наличие новообразований (Рис. 6,7).

Рис. 6. Ортопантомограмма пациента с одонтогенными кератокистами.
КТ свидетельствует о наличии множественных одонтогенных кератокист. Определяются множественные овальные, зубосодержащие полости, с четкими ровными справа и полицикличными контурами слева, однородной рентгенпрозрачности. В теле и ветвях нижней челюсти образование распространяется вдоль кости от премоляров справа и моляров слева и до вершин мыщелковых отростков. Костные структуры незначительно увеличены в размерах за счет вздутия, кортикальные пластины истончены. Дивергенция корней зубов № 43, 44. Объемные зубосодержащие образования верхней челюсти вросли в верхнечелюстные синусы, занимая практически весь объем, а справа — распространилось в подвисочную ямку.

Рис. 7. КТ исследование свидетельствует о наличии множественных одонтогенных кератокист.
Выводы: Исследования компьютерной томографии абсолютно необходимы для подтверждения наличия объемного образования, определения степени его распространенности и вовлечения смежных анатомических структур, постановки доверификационного диагноза, что позволяет обосновать выбор метода лечения и способ его реализации. При этом важно описывать с особой подробностью границы тени, характеристику изменений со стороны костных структур, в том числе и костных фрагментов, оказывающихся внутри тени, отмечать преобладание признаков инфильтративного остеолиза или остеопении костных структур от давления, в какой стадии этого процесса они обнаруживаются . По характеристике этих признаков часто можно судить о скорости роста опухоли и активности процесса разрушения костных структур, что оказывается очень важным, при постановке доверификационного диагноза.
Литература:
- Пачес А.И. Опухоли головы и шеи. - М.: Медицина, 2000. -480 с.
- Терновой С.К., Араблинский А.В., Синицын В.Е. Современная лучевая диагностика придаточных пазух носа. - М., 2004. -115с.
- Gahbauer H.W., Yanagisawa K., Yanagisawa E. Chapter XI. Head and neck radiology // Edited by Lee K.J.-Appleton and Lange, Stamford, Connecticut. - 1999. - P. 1007-1067.
- Козлова А.В., Калина В.О., Гамбург Ю.Л. Опухоли ЛОР органов. - М.: Медицина, 1979. - 352 с.
- Маланчук В. А. , Копчак А. В. Доброкачественные опухоли и опухолеподобные поражения челюстно-лицевой области и шеи. -К.,2008. -271с.
- Габуния Р.И., Колесникова Е.К. Компьютерная томография вклинической диагностике. Гл. 2. Органы головы и шеи. - М.:Медицина, 1995. - 38 с.
- Yoshiura K., Weber A.L., Runnels S., Scrivani S.J. Cystic lesionsof the mandible and maxilla // Neuroimaging Clin N. Am. -2003. - №13(3). - Р. 485-494.
- Рабухина Н.А., Голубева Г.И., Перфильев С.А. Спиральная компьютерная томография при заболеваниях челюстно-лицевой области. - М.: Медипресс-информ, 2006. - 126 с.
- Фейгин Г.А., Шалабаев Б.Д., Миненков Г.О. Компьютерная томография в диагностике и лечении объемных образований челюстно-лицевой области. М - Бишкек: Изд-во КРСУ, 2008. - 237 с.
Автор: Дахно Л.А. — врач стоматолог хирург, врач рентгенолог, действительный член Международной медицинской SimPlant Academy (с 2005года), ITI (ID 42537) и Европейской академии черепно-челюстно -лицевой радиологии EADMFR (ID 100001988).
Рак челюсти

Рак челюсти - злокачественное новообразование, поражающее костную ткань. Заболевание не имеет возрастных ограничений, для него характерны стремительный рост, метастазирование, а также ярко выраженный болевой синдром. Особенности строения челюстно-лицевого отдела, близость к важным сосудам и нервным центрам дополнительно усложняют лечение.
Природа новообразований
Причины возникновения онкологических процессов в костях челюстей пока недостаточно изучены. Раковые клетки развиваются из надкостницы, губчатого вещества костного мозга, нервных клеток и сосудов. Иногда источник их зарождения невозможно установить, как в случае саркомы Юинга.
Рак челюсти бывает двух видов:
Факторы риска
В группу риска входят пациенты, у которых:
- постоянно травмируется одна и та же область ротовой полости (например, протез натирает десну);
- организм подвергался ионизирующему облучению;
- слизистая оболочка поражена хроническим воспалительным процессом.
Вероятность развития онкологических заболеваний значительно повышается у курильщиков и людей, злоупотребляющих алкоголем.
Симптомы рака челюсти
При зарождении раковой опухоли в верхней челюсти симптомов практически нет или они идентичны проявлениям патологий другого рода, например, гайморита. Именно поэтому злокачественную опухоль редко удается диагностировать на начальных стадиях.
При раке челюсти у пациентов наблюдаются:
- головная боль;
- онемение щеки;
- ноющая боль в челюсти;
- резкий запах изо рта;
- гнойные выделения из носа.
Позднее начинают проявляться следующие признаки:
- опухание шеи;
- боль или онемение в ближайших к опухоли зубах;
- расшатывание зубов (симптом остеопороза);
- могут увеличиваться альвеолярные отростки;
- опухоль из кости верхней челюсти может прорастать в глазницу, вызывая смещение глазного яблока;
- невралгические боли;
- головные боли с иррадиацией в лоб и виски;
- кровотечения из носа без видимой причины;
- когда опухоль достигает тройничного нерва, появляются боли в ухе;
- ограничивается подвижность нижней челюсти.
Саркома нижней челюсти сопровождается такими специфическими симптомами:
- немеет нижняя губа;
- болят контактные зубы;
- зубы расшатываются и выпадают без причины;
- появляются кровоточащие язвы на слизистой оболочке;
- боль при пальпации.
Диагностика
Чаще всего заболевание удается диагностировать только на стадии метастазирования из-за стертой симптоматики вначале болезни.
Рентген-диагностика
Прямая и боковая рентгенография челюсти способствует обнаружению опухоли в кости. Новообразование из одонтогенного клеточного материала также хорошо просматривается на рентгенограмме. При наличии опухоли снимок покажет, что зубы не контактируют с костью, а альвеолярный край имеет недостаточно четкий контур.
Общее клиническое обследование
Пациент с подозрением на рак челюсти обязательно сдает общий анализ крови, мочи, биохимические исследования.
КТ, биопсия, другие методы диагностики
Чтобы получить представление о локации и распространении новообразования, делают компьютерную томографию челюстей. Пункционная биопсия подчелюстных лимфатических узлов и позитронно-эмиссионная томография нужна для обнаружения метастазов.
Наиболее точный диагноз позволяет поставить гистологическое исследование опухолевого материала. В зависимости от природы раковых клеток, анализ можно взять через лунку выпавшего зуба или посредством трепанации челюсти.
Дополнительно может понадобиться консультация офтальмолога, отоларинголога, стоматолога, хирурга.
Лечение
Специфика болезни выражается в том, что для лечения не используют химиотерапию - она в данном случае не дает результатов. Назначают гамма-терапию, чтобы остановить распространение опухоли и уменьшить ее размеры. Через 3 недели после облучения проводят хирургическое удаление челюсти (резекцию или экзартикуляцию). На поздней стадии бывает необходимо более масштабное оперативное вмешательство: экзентерация глазницы, санация околоносовых пазух, лимфаденэктомия.
Реабилитация, восстановление речи, жевательной и глотательной функций занимает длительное время. Через 2 года после полного выздоровления делают коррекцию методами костной пластики, а также при помощи специальных шин.
2019 © Хорошая стоматология — сеть стоматологических клиник.
Стоматологические услуги около м. Верхние Лихоборы, м. Митино, м. Тушинская, м. Речной вокзал, м. Отрадное, м. Щелковская
Данная страница носит информационно-справочный характер и не является публичной офертой.
КТ челюсти

Компьютерная томография (КТ) челюсти - современный метод неинвазивной диагностики. Данная процедура проходит с помощью специального аппарата, который называется томограф, а также компьютерного оборудования, подключенного к устройству. Диагностика часто используется стоматологами, отоларингологами и челюстно-лицевыми хирургами.
Что такое КТ челюсти и что оно показывает
Компьютерный томограф представляет собой кольцо, через которое проезжает стол с лежащим на нем пациентом, когда делается серия последовательных снимков.
Компьютерная томография показывает все необходимые структуры:
тело и все четыре отростка верхней челюсти;
тело и ветви нижней челюсти;
прилегающие костные и полостные структуры - гайморовы пазухи, кости носа.

Вариант нормы на КТ челюсти
Мягкие ткани способны пропускать рентгеновские лучи, и на снимке они отображаются серыми оттенками. Плотные ткани, напротив, поглощают лучи, и на томограмме имеют белый цвет.
Интенсивность затемнения отдельных областей является основным диагностическим показателем, анализируя который, доктор сможет определить наличие или отсутствие патологий в вашем организме.
Показания к КТ челюсти
Компьютерная томография челюсти показывает состояние данного участка, и дает возможность определить патологические нарушения.
Диагностика этой области проводится:
при подготовке к трудным стоматологическим операциям (протезирование, установка имплантов), точный анализ строения челюстной кости дает возможность хирургу получить полное представление об анатомических особенностях пациента и выбрать подходящую тактику лечения, а также в процессе хирургического вмешательства предотвратить нежелательные осложнения;
при подозрении на новообразования (доброкачественные или злокачественные опухоли, а также кисты);
при аномалии развития костной системы области челюсти;
при воспалениях и гнойных заболеваниях;
при переломах и травмах лицевой части черепа.
КТ челюсти и гайморовых пазух
Иногда пациент обращается к стоматологу из-за проблем с зубами, а врач назначает КТ челюсти и гайморовых пазух. Не переживайте, это не попытка навязать дополнительные обследования - часто без сканирования смежных зон просто не обойтись.
Заболевания челюсти и гайморовых (верхнечелюстных) пазух связаны с особенностями их морфологического строения. Корни зубов моляров, а иногда и премоляров (4,5,6,7 и зубы мудрости) проникают в дно пазухи. Поэтому, при возникновении проблем с зубами, это сказывается на состоянии околоносовых пазух.

КТ челюсти и придаточных пазух
То есть ЛОР-заболевания могут быть тесно связаны со стоматологическими проблемами. И иногда требуется консультация двух специалистов: и стоматолога, и оториноларинголога.
Вследствие осложнений стоматологического лечения в пазухе носа могут быть инородные тела, остатки зубов, пломбировочный материал. Если такая неприятность возникла, то не обойтись без КТ, как челюсти, так и гайморовых пазух. Потребуется комплексная терапия - одновременное лечение и зубов, и синусов. В этой ситуации КТ дает панорамную картину, позволяет оценить масштабы проблемы и позволяет специалисту составить правильное лечение.
Отличие КТ челюсти от рентгена
Разница между этими методами инструментальной диагностики довольна большая. Бывают моменты, когда их отличия играют решающую роль в постановке корректного диагноза.
Полученный результат рентген-снимка оценивают исключительно в одной плоскости, что не дает развернутой картины происходящего. Костные образования могут заходить друг за друга, и рентгенолог не всегда может четко отличить накладывающиеся изображения.
КТ, напротив, дает объемную трехмерную модель органа, верхнюю и нижнюю челюсть можно оценить сразу в нескольких проекциях и посмотреть даже внутреннюю структуру костей.

Рентгеновский снимок челюсти
низкая стоимость процедуры - исследование часто можно сделать бесплатно в рамках программы ОМС;
широкая доступность - рентген выполняется практически в любой поликлинике;
легкость в исполнении - не требуется переквалификация специалистов, достаточно базового образования в области лучевой диагностики;
С компьютерной томографией челюсти все немного сложнее. Цены на эту услугу традиционно выше, что связано с большей сложностью оборудования и высокой квалификацией медицинского персонала. Относительно большая стоимость компенсируется информативностью диагностики - строение челюстей можно оценить со всех сторон, нет наложения и смазанности контуров, характерных для рентгенографии.
В медицинском центре “Магнит” в Санкт-Петербурге цены на КТ челюсти одни из самых лояльных в Санкт-Петербурге благодаря периодическому проведению акций на диагностику.
Противопоказания к КТ челюсти
Существует ряд противопоказаний, при которых не рекомендуется проводить процедуру.
К ним относятся:
вес более 150 кг или обхват более 150 см (аппарат рассчитан на нагрузку до 150 кг);
беременность (повышается риск развития пороков у плода);
период лактации (во время процедуры лучи непосредственно могут влиять на состав молока кормящей женщины);
тяжелые психические заболевания (во время процедуры человек должен находиться в состоянии покоя);
присутствие в зоне интереса металлических предметов, поскольку они могут понизить информативность результатов;
Проведение КТ челюсти в СПб
Компьютерная томография может проводиться двумя способами:
с использованием контрастного вещества;
без использования контрастного вещества.
В случае применения первого способа, перечень противопоказаний увеличивается:
заболевания мочевыделительной системы (почечная недостаточность) с повышением уровня креатинина - так как контраст выделяется почками, существует возможность возникновения тяжелых осложнений во время его выведения из организма;
сахарный диабет при приеме пероральных сахароснижающих препаратов (необходима консультация у лечащего врача-эндокринолога с коррекцией терапии перед проведением процедуры);
аллергия на йод, индивидуальная непереносимость;
Кормящим женщинам нужно помнить, что после контраста не следует сразу кормить грудью, надо сцеживать молоко не менее чем два кормления подряд, и подождать пока препарат полностью выделится из организма, чтоб не причинить вред ребенку.

Компьютерный томограф Сименс
С какой целью используют контрастное вещество
Контрастное вещество используют с целью улучшения расшифровки результатов. Препарат является непроницаемым для рентгеновского излучения: он помогает четче визуализировать структуру внутренних органов, тканей и патологических образований. Специальной подготовки перед проведением исследования нет.
При исследовании верхней и нижней челюсти, пациент должен находиться в неподвижном, расслабленном состоянии, в горизонтальном положении все время, сколько идет сканирование. Для того, чтобы предотвратить облучения других частей тела, его укрывают свинцовым халатом. Процедура безболезненная, длится совсем недолго (вместе с подготовкой около 10-15 минут). Пациент не чувствует никакого дискомфорта.
Томограф подключен к компьютеру, который считывает с него информацию. Последняя автоматически сохраняется в базу данных, и если произошла потеря бумажного экземпляра, ее с легкостью можно восстановить.
Результаты КТ
Результаты исследования расшифрует врач-рентгенолог, проводивший компьютерную томографию, а назначает лечение ваш лечащий доктор, который дал направление на процедуру.
После обследования пациент получает заключение врача-рентгенолога, а также CD-диск с записью всей процедуры и программой для его чтения.
Рак слюнных желез

Рак слюнных желез - это опасная для жизни опухоль органов, производящих слюну - жидкость, которая смазывает пищу и запускает процесс ее переваривания, а также предотвращает инфекции рта и горла.
Такие новообразования называют злокачественными, поскольку их клетки бесконтрольно размножаются, прорастают в окружающие ткани и поражают органы, находящиеся далеко от основного очага заболевания.
Как развивается рак слюнной железы?
Онкология начинается с появления в организме всего лишь одной измененной клетки, отличающейся от здоровых. Она становится такой из-за различных заболеваний и воздействия некоторых химических веществ, размножается, создает множество своих копий и создает опухоль. Большинство таких клеток выявляет и уничтожает иммунитет, но некоторым из них удается избежать внимания нашей естественной защиты или противостоять ей.
Кроме того, у них есть особые свойства - они способны перемещаться по телу с помощью кровеносной и лимфатической Лимфатическая система дополняет сердечно-сосудистую. Циркулирующая в ней лимфа - межклеточная жидкость - омывает все клетки организма и доставляет в них необходимые вещества, забирая отходы. В лимфатических узлах, выполняющих роль «фильтров», опасные вещества обезвреживаются и выводятся из организма. систем. Кровь и лимфа переносят их в другие органы, где они закрепляются и создают метастазы - дополнительные очаги заболевания.
Такие новообразования постепенно увеличиваются, разрушают все расположенные рядом с ними ткани и нарушают их работу.
Что такое слюнные железы и как их поражает рак?
Эти важнейшие органы производят слюну - жидкость, которая не просто увлажняет наши слизистые, но и содержит ферменты - белки, запускающие процесс переваривания пищи. Кроме того, в них есть особые вещества, помогающие предотвращать развитие инфекций во рту и в горле.
На каждой из сторон нашего лица есть по 3 набора крупных желез:
- Самые большие: околоушные - находятся перед ушами. В них развивается до 7 из 10 опухолей, большая часть которых является доброкачественными, то есть не раковыми - они не прорастают в ближайшие ткани и не создают метастазов - дополнительных очагов заболевания в других тканях.
- Подчелюстные - расположены под нижней челюстью. Они выделяют слюну под язык. В них возникает примерно 1-2 из 10 новообразований, около половины из которых относится к злокачественным Злокачественными называют опухоли, клетки которых бесконтрольно размножаются, разрушают окружающие ткани и создают метастазы - дополнительные новообразования в других органах, расположенных далеко от основного очага заболевания .
- Самые маленькие: подъязычные - находятся под полостью рта с двух сторон от языка. В них онкология начинается довольно редко.
- Кроме вышеперечисленных, есть несколько сотен небольших слюнных желез, рассмотреть которые можно только под микроскопом. Они находятся под слизистой оболочкой губ и языка, в нёбе, внутри щек, носа и гортани. Опухоли в них встречаются не часто, но подавляющая их часть относится к раковым.

Типы опухолей слюнных желёз
Почти все возникающие в данных органах новообразования - доброкачественные, то есть не имеют отношения к онкологии, не распространяются на другие части тела. Большинство из них лечатся хирургически и крайне редко представляют опасность для жизни - как правило, их перерождение происходит при длительном отсутствии терапии или повторном разрастании после частичного удаления. Механизм и принципы такого превращения врачам на сегодняшний день не известны.
Меньшая часть опухолей относится к злокачественным, способным разрушать ткани, в которые прорастают, и создавать метастазы - дополнительные очаги заболевания в других органах:
- Наиболее распространенный их вид - мукоэпидермоидный рак, чаще всего начинающийся в околоушных железах. Как правило, он медленно растет и хорошо поддается лечению.
- Аденоидная кистозная карцинома: обычно развивается не быстро, но способна рецидивировать - возникать повторно после проведенной терапии, в том числе через много лет. Прогнозы выздоровления в немалой степени зависят от размеров опухоли - чем она меньше, тем лучше перспективы.
- Множество подвидов аденокарциномы: образуются в клетках железы, выделяющих различные вещества. Медленно растут, но появляются в более молодом возрасте, чем другие типы онкологии.
Редкие виды злокачественных опухолей:
- Плоскоклеточный рак: встречается в основном у пожилых мужчин. Прогнозы у его обладателей неблагоприятны.
- Эпителиально-миоэпителиальная карцинома: обычно медленно увеличивается, но может рецидивировать - возвращаться после проведенного лечения, и распространяться на другие части тела.
- Анапластическая мелкоклеточная карцинома: чаще всего развивается в малых слюнных железах, быстро разрастается, а ее клетки похожи на те, из которых состоят нервы.
- Недифференцированные карциномы: часто быстро распространяются и плохо поддаются терапии, а перспективы у пациентов с подобным диагнозом, как правило, плохие.
Помимо вышеперечисленных, в данных органах могут развиваться другие виды онкологии:
- Неходжкинские лимфомы: образуются в клетках иммунной системы желез, ведут себя и лечатся не так, как как прочие виды опухолей. : возникают в клетках кровеносных сосудов, мышц и соединительной ткани.
- Вторичный рак: начинается в иных органах и распространяется на слюнные железы.
Причины развития рака слюнных желез
Врачам и ученым не известны точные причины возникновения данного заболевания - они знают только о факторах, способных привести к наступлению этого события.
- К ним относят воздействие радиации, в том числе полученной на рабочем месте или в результате лучевой терапии при лечении других видов опухолей.
- Возраст: чем старше человек, тем выше его риски.
- Пол: этот тип опасных новообразований у мужчин встречается чаще, чем у женщин.
- Семейный анамнез: кровные родственники тех, у кого уже есть подобный диагноз, имеют больше шансов стать пациентом онколога.
Некоторые исследования показали, что спровоцировать развитие рака могут частый контакт с кремнеземом и асбестом, вредные привычки - алкоголь и курение, диета с низким содержанием овощей и высоким - животных жиров. Кроме того, по не полностью подтвержденным данным, чаще заболевают работники деревообрабатывающих и резиновых производств, а также люди, взаимодействующие с определенными металлами, в том числе с пылью никелевого сплава. Эту информацию нельзя назвать абсолютно точной, поскольку опасные опухоли слюнных желез встречаются довольно редко, что затрудняет их изучение.

Признаки и симптомы рака слюнных желез
Симптомы заболевания часто бывают вызваны повреждением важных нервов и других структур, которые проходят через слюнные железы или рядом с ними. К возможным признакам рака относят:
- Шишки, опухоли или припухлости во рту, щеке, челюсти или шее.
- Онемение части лица.
- Не проходящая боль во рту, щеке, челюсти, ухе или шее.
- Слабость мышц на одной стороне лица.
- Незаживающие язвы во рту.
- Болевые ощущения при попытке широко открыть рот.
- Отток жидкости из уха.
- Изменение размеров либо формы левой или правой сторон лица и шеи.
- На поздних стадиях заболевания нередко появляются проблемы с глотанием.
Многие из вышеперечисленных симптомов могут быть вызваны доброкачественными опухолями - не опасными для жизни и не распространяющимися по организму, либо другими состояниями. Тем не менее, при появлении любых из них необходимо как можно раньше обратиться к врачу, который определит причину такого состояния и назначит лечение.
Диагностика рака слюнных желез
Обследование - очень важный момент для любого пациента, поскольку в его ходе врачи не просто обнаруживают заболевание. Они выясняют, насколько далеко измененные клетки успели распространиться по организму, какие ткани повредили, и какое лечение лучше всего подходит каждому конкретному человеку.
Специалисты «Лапино-2» проводят полную диагностику и любое лечение рака слюнных желез без очередей и задержек.
У нас есть целая команда профессионалов своего дела с огромным опытом в области выявления и борьбы с онкологией.
Мы качественно выполняем все необходимые исследования и анализируем их результаты, а нашим пациентам не приходится терять время на посещение различных медицинских организаций и пересдачу анализов.
Обследование начинается с опроса о самочувствии, симптомах, времени их появления, а также факторах риска - наличии больных раком родственников или работе на опасных производствах. Затем проводится тщательный осмотр рта, лица, шеи и челюсти, после чего назначается целый ряд исследований:
- Рентген: позволяет увидеть повреждения челюсти, зубов и легких.
- Компьютерная томография, КТ - создание четкого изображения внутренних тканей для оценки размеров, формы и расположения опухоли, а также поиска измененных клеток в лимфатических узлах.
- Магнитно-резонансная томография, МРТ - получение подробной «картинки» тканей с помощью радиоволн и сильных магнитов. Метод помогает определять местонахождение и точные габариты новообразования, и выявлять поражение лимфоузлов или других органов.
- Позитронно-эмиссионная томография, ПЭТ: используется для обнаружения скоплений раковых клеток во всем организме. Перед исследованием человек принимает специальное вещество - радиоактивный сахар, который накапливается в измененных клетках. При ПЭТ-сканировании не создается очень четкого изображения тканей, получаемого в ходе КТ или МРТ, но благодаря ему специалист может заметить все очаги онкологии в теле. Данная процедура обычно назначается при подозрении на присутствие метастазов - дополнительных опухолей в других тканях, расположенных далеко от слюнных желез.
- Симптомы и результаты обследования могут убедительно говорить о наличии заболевания, но фактический диагноз ставится только по результатам биопсии - забора небольшого количества измененной ткани. Как правило, пробы собираются с помощью тонкой иглы, которую вводят непосредственно в новообразование после предварительного обезболивания. Если данный метод не позволяет получить достаточное количество клеток, хирург делает небольшой разрез скальпелем и удаляет крошечную область опухоли. Материал передается в лабораторию, где специалист тщательно изучает клетки и определяет, являются ли они онкологическими. К сожалению, даже биопсия не всегда может дать четкий ответ, есть ли у пациента рак. В таких случаях доктор может провести операцию по полному удалению подозрительного очага и подтвердить либо опровергнуть правильность своих выводов после вмешательства.
- Анализы крови, мочи и кала: назначаются не для выявления опасных для жизни новообразований, а для оценки состояния организма пациента и качества работы его органов.
Во время лабораторного исследования обязательно устанавливается степень дифференцировки опухоли - отличие ее клеток от здоровых. Такие данные позволяют специалистам представлять возможную скорость развития новообразования и сложность его лечения:
G1 - высокодифференцированная: ее клетки очень похожи на здоровые, они медленно растут и хорошо поддаются терапии.
G2 - среднедифференцированная: они заметно отличаются от нормальных.
G3 - низкодифференцированная: клетки не похожи на здоровые, быстро размножаются, распространяются по телу и плохо реагируют на лечение.
Стадии рака слюнных желез
После выявления рака врачи определяют его стадию - выясняют, насколько далеко измененные клетки распространились по организму и какие ткани успели повредить. Такая информация необходима специалистам для понимания примерных прогнозов пациента и составления индивидуального плана лечения, лучше всего подходящего в каждом конкретном случае.
Стадирование проводится по международной системе TNM, каждая буква которой имеет свое значение:
- «Т» описывает размеры основной опухоли и ее разрастание в ближайшие к ней ткани;
- с помощью «N» указывают количество пострадавших от онкологии лимфатических узлов;
- «М» используется для указания наличия (М1) или отсутствия (М0) метастазов - дополнительных очагов заболевания в других органах, расположенных далеко от слюнных желез.
0 стадия, карцинома in situ: измененные клетки присутствуют только в ткани, выстилающей слюнные протоки, по которым секрет желез выходит в ротовую полость.
I стадия: размеры опухоли не превышают 2 сантиметров.
II стадия: новообразование диаметром от 2 до 4см. Другие органы здоровы.
III стадия: опухоль крупнее 4см и/или она успела повредить расположенные рядом с ней мягкие ткани; либо очаг любого размера, а его клетки повредили 1 лимфатический узел, находящийся на той же стороне головы или шеи.
IVА стадия:
- новообразование любого размера проросло в ближайшие структуры - кость челюсти, кожу, слуховой проход или лицевой нерв, и повредило 1 лимфоузел, увеличившийся не более чем до 3см;
- либо в 1 или нескольких лимфатических узлов обнаружены опухоли размером до 6см.
- от онкологии пострадал 1 или несколько лимфоузлов, размер которых превышает 6см, либо новообразование вышло за их пределы;
- или заболевание распространилось на другие структуры, такие как основание черепа и другие ближайшие кости, либо разрослось вокруг сонной артерии - сосуда, который обеспечивает приток крови к мозгу.
IVС стадия: опухоль любого размера создала метастазы - дополнительные очаги заболевания в органах или тканях, расположенных далеко от слюнных желез - например, в легких.

Лечение рака слюнных желез
Борьба с опасной для жизни опухолью - задача не из легких. Для ее решения необходимо участие множества различных специалистов: онколога, хирурга, химиотерапевта, радиолога и других. Крайне важно, чтобы все они работали сообща и своевременно обменивались информацией, поскольку только такой подход позволяет учесть все особенности пациента.
В онкологическом центре «Лапино-2» есть целая команда профессионалов своего дела с огромным опытом в области диагностики и терапии любого типа рака.
Наши врачи - кандидаты и доктора медицинских наук, постоянно совершенствующие свои знания и навыки.
Мы используем только самое современное оборудование и оригинальные препараты, дающие предсказуемый результат.
Специалисты нашей клиники предлагают каждому пациенту индивидуальное лечение и составляют четкий план, следуя которому можно получить лучший результат из возможных.
Для борьбы с данным типом новообразований применяется несколько методов.
Часто основным из них становится хирургия. С помощью операции можно полностью удалить опухоли, которые не успели серьезно повредить ближайшие структуры. Успех процедуры в немалой степени определяется опытом и навыками врача, в том числе потому, что рядом со слюнными железами проходят нервы, отвечающие за движения языка, контроль лицевых мышц и вкусовые ощущения. В ходе процедуры орган и окружающие его здоровые ткани изымаются для того, чтобы в организме не осталось ни одной измененной клетки. В некоторых случаях приходится удалять и лимфоузлы.
Лучевая терапия - уничтожение раковых клеток с помощью радиации.
Метод может применяться:
Химиотерапия - уничтожение неправильных клеток специальными препаратами, которые вводятся в сосуды или принимаются как обычные таблетки. Они попадают в кровь и вместе в ней распространяются по всему телу, благодаря чему работают против всех очагов заболевания. Чаще всего такие лекарства назначаются для пациентов с метастазами - дополнительными новообразованиями в отдаленных органах. «Химия» может уменьшить опухоль, но самостоятельно вылечить данный тип рака не способна. Некоторые вещества повышают эффективность лучевой терапии и упрощают разрушение измененных клеток радиацией. Такая терапия назначается курсами, после которых обязательно следует период отдыха, позволяющего организму восстанавливаться. Как правило, подобные циклы длятся от 3 до 4 недель. Для борьбы с онкологией слюнных желез обычно используют такие препараты, как Цисплатин, Карбоплатин, Доксорубицин, 5-фторурацил, Циклофосфамид, Паклитаксел, Доцетаксел, Винорелбин и Метотрексат.
Прогнозы и выживаемость при раке слюнных желез
Прогнозы каждого пациента индивидуальны - на них влияет большое количество факторов: возраст, общее состояние здоровья, тип рака, его стадия и ответ на лечение.
Врачи представляют примерные прогнозы, ориентируясь на данные «пятилетней выживаемости» - показателя, который ничего не говорит о шансах конкретного человека. Он представляет из себя статистические данные - количество людей, оставшихся в живых в течение 5 или больше лет с даты выявления заболевания.
Для рака слюнных желез эта цифра составляет:
- на локализованных этапах, пока опухолевые клетки не успели выйти за пределы железы он равен примерно 95%;
- на региональных, при распространении новообразования на ближайшие органы или лимфоузлы - около 69%;
- при возникновении в организме метастазов - дополнительных очагов заболевания в тканях, находящихся далеко от слюнных желез, например, в легких - 44%.
Важно отметить, что вышеуказанные числа относятся только к той стадии, на которой заболевание удалось обнаружить впервые. Они не применимы при рецидиве - повторном развитии новообразования, а также его разрастании после проведенного лечения.
Кроме того, показатель не учитывает важнейшие моменты, которые очень сильно влияют на прогноз: возраст, общее состояние здоровья человека и его ответ на терапию.
Доброкачественные опухоли и опухолеподобные образования костей лица. Другие болезни челюстей
Опухоль - патологические процессы, которые возникают в результате пролиферации собственных клеток организма, отличаются своей биологической сущностью и являются реакцией организма на различные повреждающие факторы внешнего и внутреннего характера. (И.Т. Шевченко)
Протокол "Доброкачественные опухоли и опухолеподобные образования костей лица. Другие болезни челюстей"
Код по МКБ-10:
D 16.4 - Доброкачественное образование костей лица
D 16.5 - Доброкачественное образование нижней челюсти
K 10.1 - Гигантоклеточная гранулема (остеобластокластома) цнтральная
K 10.8 - Другие уточненные болезни челюстей (фиброзная дисплазия)
K 01.0 - Ретинированные зубы
K 07.3 - Аномалии положения зубов
К 09.- - Кисты полости рта и челюстей (неодонтогенные, фоликулярные)

Автоматизация клиники: быстро и недорого!
- Подключено 300 клиник из 4 стран
- 800 RUB / 4500 KZT / 27 BYN - 1 рабочее место в месяц

Автоматизация клиники: быстро и недорого!
- Подключено 300 клиник из 4 стран
- 1 место - 800 RUB / 4500 KZT / 27 BYN в месяц
Мне интересно! Свяжитесь со мной
Классификация
Классификация первичных доброкачественных опухолей и опухолеподобных образований костей лица (Ю.И. Бернадский, 1983)
Группа опухолей и опухолеподобных образований
Опухоли
Опухолеподобные образования
Остеобластокластома (гигантоклеточная опухоль) центральная и периферическая
Гиперпаратиреодная фиброзная остеодистрофия
Неостеогенные и неодонтогенные
Одонтогенные кисты челюстей:
- первично одонтогенная киста
«Банальный» (негигантоклеточный) эпулид
Диагностические критерии
Жалобы и анамнез
Жалобы больных довольно однообразны - на наличие деформации лица за счет опухоли, рост опухоли, нарушение жевания, приема пищи, ограничение открывания рта, подвижность зубов, косметический дефект.
Из анамнеза: могут быть хронические воспалительные процессы, разного рода травмы, что могло быть причиной развития опухоли. Давность процесса, от нескольких месяцев до нескольких лет. Одни опухоли развиваются скоротечно, другие медленно, годами увеличиваются в размерах, что играет немаловажную роль в диагностике доброкачественных опухолей.
Физикальное обследование: доброкачественные опухоли развиваются, как правило, безболезненно, и привлекают к себе внимание, когда уже имеется более или менее выраженная деформация челюсти и изменение расположения зубов или нарушение носового дыхания при поражении переднего отдела верхней челюсти.
Припухлость, обусловленная местным увеличением объема кости, служит другим важным клиническим признаком. При поражении опухолью надкостница или кортикального слоя кости припухлость выявляется сравнительно рано. Значительно позже выявляется припухлость при локализации новообразования в толще кости, особенно на верхней челюсти. Кожа и слизистая оболочка альвеолярного отростка и тела челюсти, расположенная над опухолью обычно имеет нормальную окраску.
Пальпаторное исследование очага поражения должно уточнить консистенцию, поверхность, границы опухоли и ее отношение к окружаюшим тканям, зону и глубину инфильтрации, смещаемость, а также болезненность и местное повышение температуры. Бугристая поверхность как правило при фиброзной дисплазии, хондроме, остеобластокластоме. Мягкая тестоватая консистенция опухоли а также ее зыбление говорит о некостном происхождении опухоли. Пульсация при опухолях кости челюсти обнаруживается редко, наличие же ее говорит о сосудистом происхождении. Симптом пергаментного хруста, при истонченной кортикальной пластинки, встречается при кистозной форме остеобластокластомы.
Особое внимание обращаем на состояние зубов: их положение, подвижность, реакция на перкуссию, чувствительность. Нарушение правильного положения чаще бывает при остеобластокластоме, хондроме, фиброзной дисплазии, эозинофильной гранулеме.
Ограничение движения нижней челюсти, встречается при опухолевом поражении ветви и суставного отростка нижней челюсти.
Показатели лабораторных исследований не изменяются.
Рентгенологическая картина опухолевых поражений челюстных костей немногочисленна, это деструкция, деформация кости и периостальная реакция. Деструкция наблюдается в виде одиночного (фиброма, миксома, энхондрома, остеобластокластома, остеогенная саркома и др.) и множественных очагов (эозинофильная гранулёма, полиоссальная фиброзная дисплазия). Форма очагов деструкции может быть округлая, продолговатая, неправильная, очаги деструкции могут локализоваться в любом участке кости челюсти, располагаясь центрально или периферически.
Характер границ довольно типичен: так, остеома является прямым продолжением кортикального слоя и сливаясь с ним, располагается на поверхности кости. Очаг фиброзной дисплазии, располагаясь внутрикостно, имеет обычно четкую границу в виде склеротической каемки.
Для эозинофильной гранулёмы характерны многофестончатые «штампованные» границы.
Остеобластокластома в случае кистозной формы окружена со всех сторон зоной склеротической ткани, а при литической форме в направлении продолжающего роста границы теряют четкость.
Деформация кости проявляется вздутием, если новообразование находится внутри кости, утолщением за счет периостальных наслоений или в виде дополнительных образований, исходящей из кости (остеома, экхондрома). Однако патогномоничной для доброкачественной первичной костной опухоли челюстей не существует.
Гистологическая диагностика опухолей костей челюстей и лица обязательна.
Показание для консультации специалиста: онколога - при подозрении на малигнизацию опухоли или злокачественный характер опухоли; при наличии сопутствующей патологии. Консультация стоматолога, ЛОР врача, гинеколога - для санации инфекций носоглотки, полости рта и наружных половых органов; аллерголога - при проявлениях аллергии; нарушения со стороны ЭКГ и др. являются показанием для консультации кардиолога; при наличии вирусных гепатитов, зоонозных и внутриутробных и др. инфекций - инфекциониста.
Перечень основных диагностических мероприятий:
1. Общий анализ крови (6 параметров).
2. Общий анализ мочи.
3. Биохимический анализ крови.
4. Исследование кала на яйца глист.
5. Определение времени свертываемости капиллярной крови.
6. Определение группы крови и резус фактора.
7. Гистологическое исследование операционного материала.
8. Консультация врача анестезиолога.
10. Рентгенография челюстных костей в двух проекциях.
Перечень дополнительных диагностических мероприятий:
1. Компьютерная томография височно-нижнечелюстного сустава.
2. Панорамная рентгенография челюстей.
4. УЗИ органов брюшной полости.
Перечень минимальных обследований перед госпитализацией:
3. Бак. посев кала детям до 2 лет.
4. Рентгенография органов грудной клетки (у детей до 3 лет).
Дифференциальный диагноз
Доброкачественные опухоли костей лица
Злокачественные опухоли костей лица
Воспалительные заболевания костей челюсти
На припухлость, медленный рост, деформацию лица
На болезненную припухлость, увеличение в размерах, деформация лица
На болезненную припухлость, отек, деформация лица
Чаще медленно увеличивающаяся припухлость, иногда годами. Как правило, в начале заболевания не беспокоили, обращаются при появлении выраженной деформации лица
Начало заболевания чаще в течение 2-6 мес. Которое не беспокоило, после могут отмечаться боли, подвижность зубов, изъязвления слизистой над очагом поражения. Возможны ранее проведенные операции по поводу данного заболевания
В анамнезе ранее леченный или беспокоивший зуб, который был недолечен или больной не обращался к специалисту. Ранее перенесенный периостит челюсти
Безболезненное вздутие кости или образование с четкими границами, слизистая не изменена
Вздутие кости, болезненное при пальпации, возможны изъязвления слизистой над опухолью. Границы не четкие. Зубы подвижные
Муфтообразный инфильтрат, болезненный при пальпации, слизистая вокруг гиперемирована, пальпация резко болезненная. Зубы подвижные, перкуссия болезненная, гнойное отделяемое, свищ
Деструкция костной ткани с четкими, ровными краями
Границы опухоли нечеткие, фестончатые. Периостальная реакция
При острой форме остеомиелита могут не быть, при хронических формах деструкция кости с ровными краями, всегда есть причинный зуб
Тактика лечения
Цель лечения: оперативное удаление патологически измененной костной ткани в пределах здоровых тканей.
Экскохлеация (выскабливание). Показанием к данной операции является четко ограниченные доброкачественные новообразования: эозинофильная гранулёма, очаговая форма фиброзной дисплазии, фиброма, остеобластокластома (кистозная, ячеистая и периферическая).
Резекция челюсти. Показанием являются опухоли склонные к рецидивированию (хондрома, миксома, литическая форма остеобластокластомы и др.). Необходимость резекции челюсти возникает и при обширном поражении челюсти доброкачественной опухолью. В таких случаях возможно проведение одномоментной костной пластики.
При сосудистых опухолях костей лица и полости рта перед основной операцией необходима перевязка наружной сонной артерии.
Немедикаментозное лечение: режим охранительный, полупостельный. Диета стол 1а, 1б.
Медикаментозное лечение: антибактериальная терапия с целью профилактики гнойно-воспалительных осложнений (линкомицин, цефалоспорины, макролиды, аминогликозиды). Инфузионная, симптоматическая, витамино-, гипосенсибилизирующая терапии. По показаниям трансфузия СЗП или эритроцитарной массы.
Профилактические мероприятия:
1. Соблюдение режима и диеты.
2. При обширных поражениях нижней челюсти с целью предупреждения патологического перелома необходимо шинирование.
3. Ортодонтическое и ортопедическое лечение по показаниям по месту жительства.
Дальнейшее ведение: реабилитация в условиях стоматологической поликлиники по месту жительства. Наблюдение и лечение у ортодонта по месту жительства. Диспансерное наблюдение у челюстно-лицевого хирурга по месту жительства. Занятия лечебной гимнастикой. Санация полости рта. Контрольная рентгенография челюстей.
Читайте также:
