Рентгенограмма, КТ при изменениях твердой пластинки зуба челюсти
Добавил пользователь Валентин П. Обновлено: 13.12.2025
. произносит доктор и препровождает вас в кабинет за толстой дверью. Всего несколько секунд - и врач знает о ваших зубах (и не только о них) все. Что же может рассказать «фотография», сделанная в трех измерениях, о вашем здоровье, насколько безопасна диагностика с помощью аппарата компьютерной томографии, кому и в каких случаях показан или же, наоборот, противопоказан трехмерный «рентген» - разберемся в нашем материале.
Конусно-лучевая компьютерная томография (КЛКТ), или 3D-исследование зубов (а еще его называют и 3D КТ, и просто компьютерная томография) - метод, который используется для диагностики зубов и лор-органов.
- Чаще всего КЛКТ назначают на первичном приеме, когда врач впервые видит пациента и хочет досконально, не упуская мельчайших деталей, разобраться в особенностях строения его зубов, челюстно-лицевой области и прилегающих лор-органов (даже если человек не предъявляет жалоб и пришел на профилактический осмотр)
А уж если пациент приходит с жалобами на боль или дискомфорт, то тут компьютерный томограф - наш главный помощник.
Почему именно КЛКТ?
И чем, собственно, не устраивает снимок одного зуба, если он болит, ну или в крайнем случае «панорамник» (снимок сразу всех зубов на верхней и нижней челюстях), спросите вы. Все просто: они не позволяют заглянуть вовнутрь, полистать срезы, оценить, сколько корневых каналов у каждого зуба, изучить анатомические особенности корней.
Если врач-терапевт видит, что зуб необходимо пролечить, что, возможно, в нем глубокая кариозная полость и поражены нервы, то, чтобы хорошо сделать свою работу, он должен быть уверен, как эта полость расположена, сколько у зуба корневых каналов и куда они идут. Это позволит качественно и полностью запломбировать каждый из них до верхушек корней.
- КЛКТ позволяет увидеть корневой канал толщиной 1/3 миллиметра и узнать, есть ли трещина или микротрещина, которая тоньше волоска, определить толщину стенки зуба
Исходя из этой информации, врач принимает решение - нужно ли депульпировать зуб (если повреждена пульпарная камера), ставить ли пломбу (если стенка зуба достаточно толстая и прочная), или нужно сделать керамическую вкладку (в случае, когда стенка слишком тонкая и не выдержит «натиска» жевательной нагрузки).
Врач-ортопед, прежде чем надеть коронку на пролеченный ранее зуб, также должен убедиться, что каналы запломбированы качественно и под коронкой со временем не возникнет воспаление. Есть отсутствующие зубы (адентия) и требуется ортопедическое лечение (установка съемных или несъемных конструкций, имплантация)? И снова нам на помощь приходит КЛКТ, которая позволяет оценить состояние костной ткани и определиться с подходом к протезированию.
- В дальнейшем врач может использовать панорамный снимок для контроля имплантации, чтобы посмотреть, как стоят имплантаты относительно других зубов, но на первичном приеме, как правило, выполняется КЛКТ
Итак, 3D-метод позволяет нам очень подробно обследовать зубы, корневые каналы, трещинки, костные карманы и т.п. И не только…
Что еще «видит» 3D-томограф?
КЛКТ позволяет нам досконально обследовать лор-органы - гайморовы пазухи, внутреннее ухо - и понять, нет ли скопления жидкости, воспалительного процесса (гайморита или отита) и т.п.
Алгоритм внутриротового лучевого исследования и описания снимков зубов
До недавнего времени лучевая диагностика в стоматологии рассматривалась как дополнительный метод обследования, то есть необязательный, без которого в принципе можно провести полноценное лечение. Однако в XXI веке ситуация кардинально изменилась, появились новые технологии, новые специальности и новые требования к обследованию и лечению пациентов. В настоящее время ни один цивилизованный стоматологический прием не обходится без детального радиодиагностического обследования пациента, и можно утверждать, что лучевая диагностика в стоматологии сейчас является одним из основных и наиболее востребованных методов исследования.
Главное отличие цифровой радиографии (радиовизиографии) от традиционной заключается в том, что в данном случае вместо пленки приемником изображения является сенсор, воспринимающий излучение и передающий информацию на компьютер. Оборудование, необходимое для радиовизиографии, последовательно состоит из источника излучения, устройства для считывания информации, устройства для оцифровывания информации и устройства для воспроизведения и обработки изображения.
В качестве источника излучения используются современные малодозовые генераторы с минимальным значением таймера, рассчитанные на работу в составе визиографического комплекса. Собственно визиограф состоит из сенсора, представляющего собой датчик на основе CCD- или CIMOS-матрицы, аналогово-цифрового преобразователя и компьютерной программы, предназначенной для оптимизации и хранения снимков.
Исходные цифровые снимки на первый взгляд могут несколько отличаться от привычных пленочных, поэтому нуждаются в обработке с использованием опций программного обеспечения. Наиболее качественным является тот снимок, который по визуальному восприятию наиболее близок к аналоговому, поэтому, даже несмотря на самые высокие технические характеристики визиографа, качество конечного изображения во многом зависит от возможностей программы и умения специалиста с ней работать.
Популярные методы лучевой диагностики
На сегодняшний день самым распространенным и востребованным в амбулаторной практике методом лучевого исследования является интраоральная радиография зубов, или внутриротовой снимок зуба. Иногда внутриротовые снимки зубов называют прицельными, что неправильно. Прицельным называется снимок, выполненный вне стандартной укладки, а стандартизированные исследования именуются соответственно методу позиционирования.
На терапевтическом приеме в процессе эндодонтического лечения должно быть сделано не менее трех внутриротовых снимков каждого исследуемого зуба:
- диагностический снимок необходим для оценки состояния тканей периодонта на момент обследования, постановки диагноза, определения количества и формы корней, направления каналов, выбора тактики лечения.
- измерительный снимок — снимок зуба на этапе лечения с введенными в каналы эндодонтическими инструментами с фиксированной стоппером длиной рабочей части или верификаторами после инструментальной обработки каналов. Если ортогональная проекция выполнена корректно, при условии точной калибровки программы визиографа и отсутствии проекционного искажения для резцов и премоляров некоторые измерения могут быть проведены по диагностической радиограмме. Для многокорневых зубов предпочтительно измерение длины каналов с помощью эндодонтических инструментов (рис. 1) , апекслокатора или по трехмерному снимку.
- контрольный снимок делается непосредственно после окончания эндодонтического лечения с целью определить, насколько качественно запломбированы корневые каналы, а также через определенное заданное время, дабы удостовериться в отсутствии или выявить наличие осложнений (рис. 2) . При исследовании многокорневых зубов и в случаях, когда имеется дополнительный канал, на снимке, выполненном с орторадиальным направлением луча (прямая проекция), корневые каналы часто накладываются друг на друга, что значительно затрудняет диагностику и может привести к ошибке в процессе лечения. Для получения раздельного изображения корневых каналов используется радиография с косым (эксцентрическим) направлением центрального луча (рис. 1) . Применительно к каждому конкретному случаю выбирается мезиальный или дистальный наклон (ангуляция) тубуса в горизонтальной плоскости (подробнее см.: Рогацкин Д. В., Гинали Н. В. Искусство рентгенографии зубов, 2007).
В идеале максимум информации о топографии корней и состоянии тканей периодонта может быть получен при проведении полипозиционной радиографии. В данном случае с диагностической целью делается три снимка — один в прямой, с орторадиальным направлением луча, и два в косой проекции — с дистально-эксцентрическим (рис. 1) и мезиально-эксцентрическим направлением луча (соответственно, прямая, задняя косая и передняя косая проекции).
Важнейшими аспектами успешной внутриротовой радиографии являются стандартизация и последовательная коррекция манипуляций. Под стандартизацией манипуляций подразумевается способность специалиста, проводящего лучевое исследование, выбрать оптимальный для каждого случая метод и сделать серию идентичных снимков вне зависимости от положения, состояния пациента и времени, отделяющего одно исследование от другого. То есть, если диагностический или измерительный снимок признан качественным, каждый последующий уточняющий и контрольный должны быть сделаны с теми же пространственными и техническими установками и каждое последующее изображение должно быть идентично предыдущему (рис. 1, 2) .
Рис. 1. Диагностический и измерительный снимки зуба 36, выполненные в прямой (а) и дистально-эксцентрической проекции (б). 36 — хронический апикальный периодонтит (К04.5) с характерными изменениями на мезиальном корне.
Рис. 2. Контрольный снимок непосредственно после лечения зубов 21, 22 (хронический периапикальный абсцесс в состоянии нагноения) (а) и отсроченный контрольный снимок через 5 месяцев после пломбирования канала (б), состояние репарации на этапе лечения.
Описание внутриротовых снимков
Во всем мире производством и описанием внутриротовых снимков зубов занимаются непосредственно сами врачи-стоматологи, поэтому каждый квалифицированный специалист обязан не только владеть основами техники позиционирования, но и знать алгоритм описания интраоральной радиограммы зуба (ИРЗ, IO dental radiograf). К сожалению, практикующие врачи не всегда логично интерпретируют изображение и используют некорректные обозначения. Например, такое расхожее выражение, как «разрежение костной ткани с четкими границами», уже содержит в себе три ошибки.
Во-первых, термин «разрежение», или рарефикация (от rare — редкий), подразумевает снижение плотности ткани за счет уменьшения количества твердой составляющей (декальцинации), но без разрушения основной структуры костной ткани. В классическом варианте рарефикация — это признак или характеристика остеопороза. В процессе развития, например, радикулярной кисты, да и в любых других периапикальных процессах кость в периапексе не сохраняется, она полностью разрушается, и, таким образом, термин «разрежение» абсолютно неверно характеризует имеющийся в периапексе патологический процесс.
Во-вторых, для описания формы двухмерной фигуры на рисунке следует использовать определение «контур», а не «граница». В-третьих, квалифицированное чтение снимка состоит из трех этапов — констатации, интерпретации и заключения. Под констатацией подразумевается фактическое описание двухмерного рисунка в режиме негативного изображения, полученного при исследовании. Интерпретация — это сопоставление полученных графических данных с клиническим опытом специалиста, на основе чего делается заключение, то есть ставится радиологический диагноз. Таким образом, определение «разрежение костной ткани с четкими контурами» подразумевает констатацию визуального обнаружения очага радиопросветления (радиолюценции) с четким контуром, что клинически соответствует деструкции костной ткани при наличии апикальной гранулемы или радикулярной кисты. Точно так же некорректным, например, является использование в описании определения «периодонтальная щель», поскольку такого анатомического образования не существует. Правильное название видимой на снимке структуры, окружающей корень, — пространство периодонтальной связки (periodontal ligamentum).
Кроме того, стоматологи традиционно «видят» только зону деструкции и совершенно не обращают внимания на зону интоксикации, представленную перифокальным остеосклерозом. Данный элемент изображения, представленный зоной уплотнения костной ткани по краю деструкции, указывает на наличие хронической интоксикации и очерчивает истинную протяженность патологического очага (рис. 3) . Перифокальный остеосклероз соответствует состоянию хронического абсцедирования и не встречается в случае наличия стерильных деструктивных процессов (доброкачественные опухоли, кисты различного генеза (рис. 4) , апикальных гранулем вне состояния нагноения (экзацербации).
Рис. 3. Внутриротовой снимок зуба 24, хронический периапикальный абсцесс (К04.6), визуально определяется зона деструкции костной ткани с характерным перифокальным склерозом.
Рис. 4. Внутриротовой снимок зуба 44, радикулярная киста (К04.7), воспалительная ремоделяция перифокальной костной ткани отсутствует (пояснение в тексте).
Подобных нюансов существует еще много, но если обобщить все вышесказанное и учесть определенные традиции описания снимка зуба, в качестве схемы можно рекомендовать следующие алгоритмы.
1. Пульпит.
1.1. На внутриротовом периапикальном снимке (как вариант, ИРЗ, интраоральная радиограмма зуба) зуба N патологические изменения костной ткани в области верхушки корня визуально не определяются (вариант: видимых патологических изменений нет).
1.2. Определяется расширение пространства периодонтальной связки в периапикальной области.
1.3. Расширение пространства периодонтальной связки с фрагментарной деструкцией (ремоделяцией, деформацией), замыкающей пластинки стенки альвеолы
в периапикальной области.
1.2.1. Тень пломбировочного материала в канале не прослеживается.
2. Острый и хронический апикальный периодонтит (К04.4; К04.5).
2.1. На внутриротовом периапикальном снимке зуба N патологические изменения костной ткани в области верхушки корня визуально не определяются.
2.2 . Определяется расширение пространства периодонтальной связки в периапикальной области.
2.3 . Расширение пространства периодонтальной связки на всем протяжении.
2.4 . Расширение пространства периодонтальной связки на всем протяжении, деструкция твердой пластинки альвеолы (lamina dura) в периапикальной области.
2.5. В периапикальной области определяется усиление плотности костного рисунка в виде перифокального остеосклероза без четких контуров, клинически соответствующее состоянию после эндодонтического лечения с остаточной интоксикацией.
2.6.1. В периапикальной области визуально определяется тень, соответствующая по плотности и конфигурации пломбировочному материалу.
2.6.2. Тень пломбировочного материала определяется в виде нескольких фрагментов (конгломерата), располагающихся в непосредственной близости к апексу (на удалении N мм).
2.6.3. Определяется в виде непрерывной линейной структуры, соответствующей по плотности и конфигурации фрагменту гуттаперчевого штифта (протяженность указывается).
2.7.1. Тень пломбировочного материала в канале не прослеживается.
2.7.2. Прослеживается на всем протяжении.
2.7.3. Прослеживается фрагментарно, радиологически апекс обтурирован.
2.7.4. Прослеживается фрагментарно, располагается пристеночно, тень пломбировочного материала неоднородна (другое), апекс не обтурирован.
2.7.5. Прослеживается от устья на протяжении ½ длины корня, просвет корневого канала в апикальной части корня визуально не определяется (не прослеживается).
2.7.6. Просвет корневого канала не прослеживается на всем протяжении корня.
2.7.7. В области средней трети корня визуально определяется тень металлической плотности, по конфигурации соответствующая фрагменту эндодонтического инструмента (каналонаполнитель? другое, протяженность фрагмента указывается).
3. Периапикальный абсцесс (К04.6-7), апикальная гранулема, радикулярная киста (К04.8).
3.1. В области верхушки корня визуально определяется деструкция (рациолюценция, радиопросветление) костной ткани без четких контуров, в виде участка сниженной плотности, с частичным сохранением характерного костного рисунка (протяженность указывается).
3.2.1. Определяется радиопросветление, соответствующее деструкции костной ткани, распространяющейся (например) от средней трети дистальной поверхности корня N на область межальвеолярной перегородки.
3.2.2. В области (например) средней трети корня определяется линейное снижение плотности рисунка с поперечной протяженностью, клинически соответствующее нарушению целостности твердых тканей корня (фрактура) без смещения фрагментов.
3.3. В области верхушки корня визуально определяется радиопросветление, соответствующее деструкции костной ткани, с четкими контурами округлой формы (протяженность указывается).
3.4. Очаг деструкции костной ткани с четкими контурами округлой формы (протяженность указывается), по контуру очага на всем протяжении определяется усиление плотности костного рисунка окружающей ткани в виде перифокального остеосклероза без четких контуров.
3.5. В просвете очага деструкции определяется тень, соответствующая по плотности и конфигурации фрагменту пломбировочного материала (гуттаперчевого штифта, фрагмента эндодонтического инструмента).
3.6. С четкими контурами округлой формы, с тенденцией распространения процесса в сторону периапикальной области такого-то зуба (указывается соседний зуб).
3.7. Распространяющееся на область межкорневой перегородки.
3.8. Визуально определяемая область просветления (деструкции) костной ткани частично (в полном объеме) проецируется на область альвеолярной бухты верхнечелюстного синуса (нижнечелюстного канала, грушевидного отверстия, другое).
3.9. Кортикальная пластинка нижней стенки верхнечелюстного синуса в области проекции радиопросветления сохранена на всем протяжении (прослеживается фрагментарно, не прослеживается).
3.10. Кортикальная пластинка нижней стенки верхнечелюстного синуса в области проекции деструкции сохранена на всем протяжении, отмечается изменение ее конфигурации и усиление плотности рисунка окружающих тканей, определяющееся как образование округлой формы, выступающее в просвет синуса.
Сведения об авторе
Рогацкин Дмитрий Васильевич, врач-рентгенолог ООО «Ортос», Россия, г. Смоленск
Rogatskin D. V., radiologist, LLC Ortos, Russia, Smolensk
Аннотация. Лучевая диагностика в стоматологии является одним из основных и наиболее востребованных методов исследования. В статье описываются популярные методы лучевой диагностики, приводится описание внутриротовых снимков а так же алгоритмов при конкретных клинических ситуациях.
Algorithm for intraoral radiation research and description of dental images
Annotation. Radiation diagnostics in dentistry is one of the main and most popular research methods. The article describes the popular methods of radiation diagnostics, provides a description of intraoral images as well as algorithms in specific clinical situations.
Ключевые слова: лучевая диагностика; радиовизиография; внутриротовой снимок.
Key words: radiation diagnostics; radiovisiography; intraoral image.
Методы рентгенодиагностики в стоматологии
Рентгенологические методы исследования являются ведущими в диагностике заболеваний челюстно-лицевой области, что обусловлено их достоверностью и информативностью. Методы рентгенодиагностики нашли широкое применение в практике терапевтической стоматологии (для выявления заболеваний пери- и пародонта); в ортопедической стоматологии (для оценки состояния сохранившихся зубов, периапикальных тканей, пародонта), что определяет выбор ортопедических мероприятий. Востребованы рентгенологические методы и челюстно-лицевой хирургией в диагностике травматических повреждений, воспалительных заболеваний, кист, опухолей и других патологических состояний.
Методика и техника рентгенологического исследования зубов и челюстей имеет свои особенности.
В стоматологической практике применяют следующие методы лучевой диагностики:
• Внутриротовая контактная рентгенограмма
• Внутриротовая рентгенография вприкус
• Внеротовые рентгенограммы
• Панорамная рентгенография
• Ортопантомография
• Радиовизиография
Дополнительные методы исследования:
• Компьютерная томография
• Магнитно-резонансная томография
• Методы с введением контрастных веществ

1. Внутриротовая контактная рентгенография
Основой рентгенологического исследования при большинстве заболеваний зубов и пародонта по-прежнему служит внутриротовая рентгенография.
Выполняется на специальном дентальном рентгеновском аппарате (хотя может быть выполнена и на обычном).
Для внутриротовой рентгенографии используют пакетированную или специально нарезанную (3x4 см) пленку, упакованную в светонепроницаемые стандартные пакеты.
На одном снимке можно получить изображение не более 2-3 зубов
2. Внутриротовая рентгенография вприкус.
Рентгенограммы вприкус выполняют в тех случаях, когда невозможно сделать внутриротовые контактные снимки (повышенный рвотный рефлекс, тризм, у детей), при необходимости исследования больших отделов альвеолярного отростка (на протяжении 4 зубов и более) и твердого неба, для оценки состояния щечной и язычной кортикальных пластинок нижней челюсти и дна полости рта.
Стандартный конверт с пленкой вводят в полость рта и удерживают сомкнутыми зубами. Рентгенограммы вприкус используют для исследования всех зубов верхней челюсти и передних нижних зубов.
Также окклюзионная рентгенография применяется и для получения изображения дна полости рта при подозрении на конкременты поднижнечелюстной и подъязычной слюнных желез, для получения изображения челюстей в аксиальной проекции. Она позволяет уточнять ход линии перелома в пределах зубного ряда, расположение костных осколков, состояние наружной и внутренней кортикальных пластинок при кистах и новообразованиях, выявлять реакцию надкостницы
3. Внеротовые (экстраоральные) рентгенограммы.
Внеротовые рентгенограммы дают возможность оценить состояние отделов верхней и нижней челюстей, височно-нижнечелюстных суставов, лицевых костей, не получающих отображения или видимых лишь частично на внутриротовых снимках.
Ввиду того что изображение зубов и окружающих их образований получается менее структурным, внеротовые снимки используют для их оценки лишь в тех случаях, когда выполнить внутриротовые рентгенограммы невозможно (повышенный рвотный рефлекс, тризм и т.п.).
Подбородочно-носовую проекцию применяют для исследования верхней челюсти, верхнечелюстных пазух, полости носа, лобной кости, глазницы, скуловых костей и скуловых дуг.
На рентгенограммах лицевого черепа в лобно-носовой проекции видны верхняя и нижняя челюсти, на них проецируются кости основания черепа и шейные позвонки.

Рентгенографию тела и ветви нижней челюсти в боковой проекции проводят на дентальном рентгенодиагностическом аппарате.
Рентгенограмму черепа в передней аксиальной проекции выполняют для оценки стенок верхнече¬люстной пазухи, в том числе задней, полости носа, скуловых костей и дуг; на ней видна нижняя челюсть в аксиальной проекции.
4. Панорамная томография
Более трех десятилетий назад в арсенал рентгенодиагностики заболеваний зубочелюстной системы, ЛОР-органов и других отделов черепа вошла панорамная рентгенография. При этом методе исследования аппликатор рентгеновской трубки вводят в рот пациента, а кассета располагается вокруг верхней или нижней челюстной дуги. В обоих случаях пациент придерживает кассету с наружной стороны ладонями, плотно прижимая ее к мягким тканям лица.
Проводится также и боковая панорамная томография, на боковом панорамном снимке одновременно отображаются зубы верхнего и нижнего ряда каждой половины челюсти.

Прямые панорамные рентгенограммы имеют преимущество перед внутриротовыми снимками по богатству деталями изображения костной ткани и твердых тканей зубов. При минимальной лучевой нагрузке они позволяют получить широкий обзор альвеолярного отростка и зубного ряда, облегчают работу рентгенолаборанта и резко сокращают время исследования. На этих снимках хорошо видны полости зуба, корневые каналы, периодонтальные щели, межальвеолярные гребни и костная структура не только альвеолярных отростков, но и тел челюстей. На панорамных рентгенограммах выявляются альвеолярная бухта и нижняя стенка верхнечелюстной пазухи, нижнечелюстной канал и основание нижнечелюстной кости.
На основании панорамных снимков диагностируют кариес и его осложнения, кисты разных типов, новообразования, повреждения челюстных костей и зубов, воспалительные и системные поражения. У детей хорошо определяется состояние и положение зачатков зубов.
5. Ортопантомография
Панорамная зонография, или, как ее чаще называют, ортопантомография, явилась своего рода революцией в рентгенологии челюстно-лицевой области и не имеет себе равных по ряду показателей (обзор большого отдела лицевого черепа в идентичных условиях, минимальная лучевая нагрузка, малые затраты времени на исследование).
Панорамная зонография позволяет получить плоское изображение изогнутых поверхностей объемных областей, для чего используют вращение рентгеновской трубки и кассеты.
Преимуществом ортопантомографии является возможность демонстрировать межчелюстные контакты, оценивать Результаты воздействия межчелюстной нагрузки по состоянию замыкающих пластинок лунок и определять ширину периодонтальных путей.
Ортопантомограммы демонстрируют взаимоотношения зубов верхнего ряда с дном верхнечелюстных пазух и позволяют выявить в нижних отделах пазух патологические изменения одонтогенного генеза.

Особенно важно использовать ортопантомографию в детской стоматологии, где она не имеет конкурентов в связи с низкими дозами облучения и большим объемом получаемой информации. В детской практике ортопантомография помогает диагностировать переломы, опухоли, остеомиелит, кариес, периодонтиты, кисты, определять особенности прорезывания зубов и положение зачатков.
6. Радиовизиография
Радиовизиография дает изображение, регистрируемое не на рентгеновской пленке, а на специальной электронной матрице, обладающей высокой чувствительностью к рентгеновским лучам. Изображение с матрицы, по оптоволоконной системе передается в компьютер, обрабатывается в нем и выводится на экран монитора. В ходе обработки оцифрованного изображения может осуществляться увеличение его размеров, усиление контраста, изменение, если необходимо, полярности — с негатива на позитив, цветовая коррекция.
Компьютер дает возможность более детального изучения тех или иных зон, измерения необходимых параметров, в частности длины корневых каналов, денситометрии. С экрана монитора изображение может быть перенесено на бумагу — с помощью принтера, входящего в комплект оборудования. Из всех достоинств цифровой обработки рентгеновского изображения мы отметим особо такие: быстроту получения информации, возможность исключения фотопроцесса и снижение дозы ионизирующего излучения на пациента в 2-3 раза.
7. Компьютерная томография (КТ).
Метод позволяет получить изображение не только костных структур челюстно-лицевой области, но и мягких тканей, включая кожу, подкожную жировую клетчатку, мышцы, крупные нервы, сосуды и лимфатические узлы.
Компьютерная томография широко используется при распознавании заболеваний лицевого черепа и зубочелюстной системы: патологии височно-нижнечелюстных суставов, врожденных и приобретенных деформаций, переломов, опухолей, кист, системных заболеваний, патологии слюнных желез, болезней носо- и ротоглотки.
Метод позволяет разрешить диагностические затруднения, особенно при распространении процесса в крылонебную и подвисочную ямки, глазницу, клетки решетчатого лабиринта.
С помощью КТ хорошо распознаются внутричерепные осложнения острых синуситов (эпидуральные и субдуральные абсцессы), вовлечение в воспалительный процесс клетчатки глазницы, внутричерепные гематомы при травмах челюстно-лицевой области.
Компьютерная томография позволяет точно определить локализацию поражений, провести дифференциальную диагностику заболеваний, планирование оперативных вмешательств и лучевой терапии.
8. Контрастные методы.
Среди многочисленных способов контрастных рентгенологических исследований при челюстно-лицевой патологии наиболее часто используются артрография височно-нижнечелюстных суставов, ангиография, сиалография, дакриоцистография.
Сиалография заключается в исследовании протоков крупных слюнных желез путем заполнения их йодсодержащими препаратами. С этой целью используют водорастворимые контрастные или эмульгированные масляные препараты (дианозил, ультражидкий липойодинол, этийдол, майодил и др.). Перед введением препараты подогревают до температуры 37—40 °С, чтобы исключить холодовый спазм сосудов.
Исследование проводят с целью диагностики преимущественно воспалительных заболеваний слюнных желез и слюнокаменной болезни.
В отверстие выводного протока исследуемой слюнной железы вводят специальную канюлю, тонкий полиэтиленовый или нелатоновый катетер диаметром 0,6—0,9 мм или затупленную и несколько загнутую инъекционную иглу. После бужирования протока катетер с мандреном, введенный в него на глубину 2—3 см, плотно охватывается стенками протока. Для исследования околоушной железы вводят 2—2,5 мл, поднижнечелюстной — 1 — 1,5 мл контрастного препарата.
Рентгенографию проводят в стандартных боковых и прямых проекциях, иногда выполняют аксиальные и тангенциальные снимки.

Введение контрастных веществ в кистозные образования осуществляют путем прокола стенки кисты. После отсасывания содержимого в полость вводят подогретое контрастное вещество. Рентгенограммы выполняют в двух взаимно перпендикулярных проекциях.
Контрастирование свищевых ходов (фистулография) выполняют с целью определения их связи с патологическим процессом или инородным телом. После введения контрастного вещества под давлением в свищевой ход производят рентгенограммы в двух взаимно перпендикулярных проекциях.
Для контрастирования артериальных и венозных сосудов челюстно-лицевой области (при образованиях, гемангиомах) контрастный препарат можно вводить тремя способами. Наиболее простым из них является пункция гемангиомы с введением контрастного вещества в толщу опухоли и регистрацией изображения на отдельных снимках. Чтобы получить представление о распространенности опухоли в прямой и боковой проекциях, пункцию выполняют 2 раза. Методика обеспечивает выявление характера венозных изменений, но не всегда позволяет увидеть детали кровотока, подходящие к гемангиоме сосуды, и не пригодна для контрастирования артериальной сосудистой сети.
При кавернозных гемангиомах и артериовенозных шунтах практикуют введение контрастных препаратов в приводящий сосуд, который выделяют операционным путем.
При пульсирующих артериальных и артериовенозных образованиях производят серийную ангиографию после введения контрастных препаратов в приводящий сосуд.
Целенаправленное комплексное использование в единой схеме обследования пациентов с патологией зубочелюстной области клинических и рентгенологических данных позволяет не только сделать более точной первичную и дифференциальную диагностику, но и объективно оценить эффективность проводимого лечения. Используя цифровое изображение, можно выполнить коррекцию искажений, благодаря улучшению визуальных характеристик добиться выявления тонких дифференциально-диагностических патологических состояний, осуществить передачу изображения по электронной почте для последующих консультаций специалистами.
Перспективы дальнейшего использования рентгенокомпьютерной сети в стоматологической практике связаны с увеличением технических возможностей современной рентген-аппаратуры, оптимизацией компьютерных программ для анализа изображения, а также разработкой рациональных диагностических алгоритмов комплексного клинико-рентгенологического обследования пациентов в зависимости от нозологической формы заболевания и задач предстоящего лечения.
Компьютерная томография зубов
Компьютерная томография зубов (КТ) - это относительно новый для стоматологии метод рентгенологического обследования зубов, челюстей и мягких тканей лица, который позволяет получить трехмерный 3D снимок зубов пациента. Трехмерный снимок на экране компьютера возникает в результате объединения большого количества послойных двухмерных снимков в единое целое, что становится возможным благодаря сложному программному обеспечению.
Этот метод обычно значительно информативней традиционной двухмерной плоской рентгенографии зубов, но это относится только к снимкам с высоким разрешением. Аппараты компьютерной томографии стоят очень дорого, клиники стараются эксплуатировать их до последнего, и поэтому очень часто приходится видеть и малоинформативные снимки с небольшим разрешением.
Пример аппарата КТ для стоматологии -


К традиционной двухмерной рентгенографии относят -
Если снимок КТ сделан в хорошем разрешении, то в сравнении с двухмерными традиционными рентгеновскими снимками - трехмерная цифровая компьютерная томография безусловно позволяет во много раз повысить качество диагностики, снизить риск постановки неправильного диагноза. Все это обеспечивается более высоким разрешением таких снимков, а также возможностью послойно исследовать объект на экране компьютера.
Показания к проведению КТ зубов и челюстей -
- диагностика при лечении корневых каналов,
- поиск трещин и перфораций корня зуба,
- планирование имплантации зубов,
- по направлению ортодонта,
- диагностика воспаления пазух,
- диагностика заболеваний височно-нижнечелюстного сустава,
- диагностика опухолей костей и мягких тканей лица.
Типы аппаратов для проведения КТ -
Это очень важный момент! Существует несколько видов аппаратов для проведения КТ зубов и челюстей. Очень важно знать - на каком именно аппарате вам будут делать КТ, т.к. некоторые из них обладают слишком высокой лучевой нагрузкой, а другие просто не смогут дать качественного изображения (в зависимости от того - снимаете ли вы костную ткань или мягкие ткани лица).
- Пошаговая компьютерная томография зубов -
это один из первых типов томографов, которые появились очень давно. Его отличает низкое разрешение изображения, низкая четкость структур костной ткани. Кроме того, лучевая нагрузка за 1 полное обследование челюстно-лицевой области будет составлять 1500 мкЗв (это в 1,5 раза превышает безопасную дозу в 1000 мкЗв в год).
- Мульти-спиральная компьютерная томография (МСКТ) -
на спиральном томографе лучевая нагрузка намного меньше - около 300-400 мкЗв, но все-равно она достаточно опасна. Как и у пошаговых томографов здесь присутствует низкое разрешение изображения, низкая четкость структур костной ткани. Но при этом спиральные томографы лучше всего подходят для проведения исследования мягких тканей лица (слюнных желез, мышц, лимфоузлов).
Важно : для просмотра получаемых трехмерных снимков используются специальные программы, совместимые с персональным компьютером. Такие программы содержат набор инструментов для обработки изображения в 2D- и 3D-форматах. Системы компьютерной томографии даже одного типа будут отличаться друг от друга как минимум по удобству программного обеспечения, что в конечном итоге определяет возможности врача для анализа изображения.
Таким образом, эффективность даже суперсовременной конуснолучевой компьютерной томографии может быть разной, и зависеть от возможностей программного обеспечения (отличающимся у разных производителей КЛКТ). Поэтому важен не только выбор типа КТ, но и конкретного производителя.
Компьютерная томография зубов: видео
Какие аппараты для КТ зубов будут лучшими -
Эта статья написана практикующим стоматологом, специализирующимся на хирургии и имплантации зубов. Нам не хочется, чтобы нас обвиняли в рекламе конкретного производителя, но многолетний опыт проб и ошибок позволяет нам сделать однозначный выбор в пользу «SIRONA Galileos», а на второе место мы бы поставили аппарат «PICASSO».
Важно : если вы делаете снимок для имплантации, то обязательно снимок должен быть сделан с разметкой в области отсутствующих зубов (запомните эту фразу)! Без разметки ваш снимок будет малоинформативен и практически бесполезен, поэтому об этом вы должны договариваться еще до проведения КТ. Не менее важно, чтобы в идеале разметка была сделана не рентген-лаборантом (это подразумевает среднее мед.образование), а именно врачом-рентгенологом.
В этом случае можно быть уверенным, что разметка будет сделана правильно, и во время операции ни врача, ни пациента не будут ждать неприятные сюрпризы. Если вы живете в Москве, то такие правильные снимки с разметкой мы отправляем пациентов делать в один из медицинских центров Москвы (к конкретному врачу-рентгенологу, с которым мы давно сотрудничаем), либо в сеть центров рентгенодиагностики «Picasso».
Компьютерная томография челюсти: цена в Москве
Стоимость КТ зубов в Москве прежде всего будет зависеть от размера исследуемой области, типа используемого аппарата, а также от того - необходимо ли вам распечатывать снимок на пленке (это будет дороже) или достаточно записи снимка на CD-диск. На КТ зубов цена, указанная ниже, уже включает запись снимка на CD, а также письменный анализ снимка врачом-рентгенологом.
Конусно-лучевая компьютерная томография зубов: цена
- КТ области 6*6 см (3 зуба) - 1700 руб.
- КТ области 6*10 см (1 челюсть с одной стороны) - 2900 руб.
- КТ области 7.5*10.0 см (2 челюсти с одной стороны) - 3700 руб.
- КТ области 7,5*14,5 см (обе челюсти) - 4200 руб.
- КТ придаточных пазух носа - 3900 руб.
- КТ 13.00*14.5 см (обе челюсти, придаточные пазухи носа, ВНЧС) - 4500 руб.
- КТ обоих височно-нижнечелюстных суставов - 6000 рублей (а вот если такой снимок будет сделан не с помощью конусно-лучевой томографии, а при помощи более дешевого линейного томографа, то его цена будет около 1500 рублей).
Как проводится КТ зубов -
Процедура может проводиться стоя или лежа, что будет зависеть от типа используемого аппарата для компьютерной томографии. Рентгенолог поставит вас таким образом, чтобы лучи аппарата точно фокусировались на исследуемой области лица. Вам будет предложено не двигаться пока источник и детектор рентгеновского излучения вращаются вокруг вас. Обычно это может занять от 20 до 40 секунд - для полного обследования всех зубов и челюстей, и менее 10 секунд - когда необходимо изучить только небольшую область челюсти или несколько зубов.
Во время конусно-лучевой компьютерной томографии вокруг головы пациента будет вращаться источник излучения и его детектор. Источник и детектор рентгеновского излучения монтируются на противоположных сторонах и вращаются в унисон. Только за один оборот вокруг головы детектор может генерировать от 150 до 200 двумерных (двухмерных) изображений с высоким разрешением, которые затем комбинируются программным обеспечением в трехмерное 3D-изображение.
Как мне подготовиться к процедуре?
Исследование КТ для челюстно-лицевой области не требует специальной подготовки. Перед процедурой вас могут попросить снять все предметы, которые могут помешать работе аппарата: металлические предметы, ювелирные изделия, очки, шпильки для волос, слуховые аппараты. При наличии во рту съемных зубных протезов с металлическими элементами - их также будет необходимо снять.
Также нужно предупредить врача рентгенолога о наличии в полости рта несъемных металлокерамических и цельнометаллических коронок. Это необходимо, чтобы рентгенолог поменял настройки аппарата для уменьшения величины искажения изображений в результате присутствия металлических изделий во время исследования. Женщины также должны всегда сообщать, если есть малейшая вероятность того, что они беременны.
Важно : перед началом исследования рентгенолог должен обязательно надеть на вас просвинцованный фартук, который закрывает грудную клетку. Кроме того, важным моментом является то, что исследование должен проводить именно рентгенолог, а не обычная медсестра, которая выполняет его роль. Поэтому немаловажно спросить - имеет ли специалист удостоверение о повышении квалификации по специальности «Рентгенология в стоматологии», а также попросить предъявить его копию.
К сожалению, очень в России часто можно встретить ситуацию, когда в стоматологических клиниках (в том числе государственных) снимки делают обычные медсестры, без специальной подготовки. Это безусловно грозит увеличением лучевой нагрузки на пациента, некачественными снимками, которые раз за разом приходится переделывать. Надеемся, что статья: 3Д снимок зубов цена отзывы - оказалась Вам полезной!
Источники:
1. Стоматологическое образование автора статьи,
2. National Library of Medicine (USA),
3. «Лучевая диагностика в стоматологической имплантологии (Серова Н.),
4. « Конусно-лучевая томография в дентальной имплантологии (Нечаева Н. ).
Компьютерная томография в эндодонтии: образец современного лечения
Рентгенография является важным аспектом успешной диагностики одонтогенной и неодонтогенной патологии, лечении пульповой камеры и корневых каналов через коронковый доступ, биомеханической обработки корневых каналов, окончательной обтурации каналов и оценки проведенного лечения. Изображения требуются на протяжении всего эндодонтического лечения. Получение снимка до вмешательства требуется для правильной оценки твердых тканей зуба и альвеолярного отростка, а также степени патологического повреждения и постановки верного диагноза. Далее получение изображений на протяжении всего лечения также является необходимым. Изготовление снимка по окончанию лечения позволяет оценить проведенные манипуляции. Kells впервые сообщил об использование токопроводящего проводника в корневом канале в «радиограмме» в 1899 году.

С тех пор радиология всегда играла ключевую роль в эндодонтии. Теперь, столетие спустя, на основе первых попыток были изобретены компьютерная томография (КТ) и микро-КТ, а презентация в 1996 конусно-лучевой компьютерной томографии (КЛКТ) позволила получать 3D изображения, так необходимые в стоматологической практике.
Эта новая возможность получения изображения в трехмерном измерении значительно повысила уровень терапии в стоматологии по всему миру. КЛКТ постепенно становится золотым стандартом в обеспечении точной постановки диагноза, составления плана лечения и проведения лечения. Конусно-лучевая техника на настоящий момент имеет множество областей применения в стоматологии, это и планирование имплантации, хирургическая оценка патологии, оценка ВНЧС, выявление роста и развития для ортодонтических целей, дооперативная, оперативная и послеоперативная оценка при краниофациальной травме, краниофациальная реконструкция и хирургия полости рта. Вдобавок, КЛКТ используется для выявления точной локализации инородного тела в мягких тканях, выявлении расщепленной губы и неба, а также глубины кариозного поражения. КЛКТ становится типичным инструментом в деятельности хирурга, особенно имплантолога.
Ограниченность двухмерных изображений
Изображение, полученное на обычном радиографе представляет собой двухмерную (2D) интерпретацию трехмерного (3D) объекта. Характеристики трехмерного объекта, такие как сложная дентальная анатомия и строение окружающих тканей, могут быть трудно различимы в качестве «теней» 2D снимка, что может привести к неправильному эндодонтическому лечению. При анализе 2D снимка все изображения весьма вольно интерпретируются, внося аспект субъективности. Ограниченность дентальной рентгенографии также может быть обусловлена ошибкой рентгенолога. Любые неточности в получении изображения, начиная от неправильной ангуляции и заканчивая неверной конфигурацией зуба по отношению к сенсору, могут приводить к ошибкам при интерпретации снимков. Такие изображения плохого качества имеют артефакты и способствуют неправильной постановке диагноза. Многие исследователи, в том числе Goldman, подтвердили низкую корреляцию (47%) среди всех специалистов, проводивших лечение периапикальной патологии, прибегая к дентальной рентгенографии.
Конусно-лучевая компьютерная томография
КЛКТ используется в стоматологии начиная с 1981 года. В отличие от обычного КТ, которое создает изображение на разных слоях, КЛКТ создает изображение в 3D пикселях называемых воксель. Так как эти воксели являются изотропичными, объект тщательно измеряется в различных направлениях. Это позволяет визуализировать геометрически неискаженное изображение челюстно-лицевой области, которое возможно просматривать при разных углах. Вдобавок для обеспечения высокого разрешения изображения, КЛКТ доступно для просмотра с разных точек (FOV) для применения в различных ситуациях. В эндодонтии аппарат с ограниченным FOV обычно является достаточным. Обычно, чем меньше объем скана, чем выше пространственное разрешение изображения. Так как ранний симптом периапикальной патологии это прерывистость твердой пластинки и расширение периодонтальной щели, оптимальным разрешением при получении КЛКТ изображения, применяемом в эндодонтии, не должно превышать 200 нм - средняя ширина периодонтального пространства. 3D Accuitomo (K Morita, Corporation, Kyoto, Japan) - первая из малых FOV систем - обеспечивает разрешение в 0,125 мм. Orthophos XG3D (Sirons Germany) также обеспечивает получение FOV 5*5 специально для эндодонтических целей.
КЛКТ дает гораздо меньшую радиационную нагрузку, чем обычный КТ. Экспозиционная доза при проведении цифровой радиографии сравнима с получение обычных диагностических панорамных или прицельных снимков. Получение изображений для всей полости рта облучает примерно на 150 usv. Очевидно, что скан КЛКТ одного зуба с высоким разрешением, примененный в диагностическом процессе, заменяет 3 прицельных снимка. Трудно представить, что экспозиционная доза может быть более важным моментом, чем получение КЛКТ в благоразумной манере для получения информации, которая просто недоступно при работе с другими приборами.
КЛКТ в эндодонтии
1. Оценка морфологии корневого канала
Успех эндодонтического лечения зависит от обнаружения всех корневых каналов, а затем их оценки, очистки, обработке и обтурации. Частота встречаемости второго мезиобуккального канала (MB2) в верхних первых молярах варьирует от 69% до 93% в зависимости от выбранного метода исследования. Эта вариабельность возникает в букколингвальной плоскости, где наложение анатомических структур препятствует определению структур с малой разницей в плотности тени. Обычная рентгенография в самом лучшем случае может выявить только 55% этих конфигураций.
Ramamurthy и Matherene описывают ограниченность 2D изображений для определения MB2 каналов (Фото 1).
Фото 1: изображение MB2 в обоих первых молярах

Исследование, проведенное Neelkantan среди индийской популяции, обнаружило, что MB2 канал наиболее типичен для первого верхнего моляра по сравнению со вторым. Также IV анатомический тип канала встречается чаще, чем в монголоидной популяции.
Baratto Filho исследовали внутреннюю морфологию удаленных первых моляров верхней челюсти, сравнивая с данными, полученными при осмотре в микроскоп и при получении изображений КЛКТ ex vivo. Отчеты показали наличие 4-х каналов в 67,14% зубов и дополнительные корневые каналы в 92,85 % случаев в мезиобуккальном корне. Клиническая оценка показала слегка сниженный общий показатель (53,26%), но повышенный показатель выявления MB2 (95,63%), в то время как применение КЛКТ показало 37,05%. Ученые сделали вывод, что КЛКТ является хорошим методом для начальной оценки внутренней морфологии первого верхнего моляр, но для выявления устьев самым оптимальным способом является применение микроскопа. КЛКТ также применялся для выявления высокой встречаемости дистолингвального канала у Тайванцев, выявления аномалий в системе корневых каналов нижних премоляров, и помощи в выявлении искривлении корня (Фото 2).
Фото 2: Аксиальное изображение каналов C-формы во вторых молярах

С изобретением нового программного обеспечения для КЛКТ Orthophps CG3D/Galelios (Sirona, Germany) рабочая длина каналов также стала осуществляема. Но точность этих данных в клинической работе еще должна быть подтверждена (Фото 3).
Фото 3: Инструмент для измерения длинны корневого канала

2. Патологии в периапикальных тканях
Наиболее частым патологическим состоянием, затрагивающим зубы является воспалительные процессы пульпы и периапикальных областей. Технология КЛКТ теперь предоставляет клиницисту возможность обозревать нужную зону в трех различных плоскостях, тем самым получая 3D информацию. Поражения, заключенные в губчатом веществе кости с малым количеством или отсутствием кортикальной пластинки, на обычной пленке могут быть диагностированы с большим трудом. Lofthag-Hansen, Stavropoulos и Wenzel сравнили точность получаемых данных при КЛКТ с ограниченным FOV и обычными снимками.
Ученые сообщили, что КЛКТ предоставляет более точные диагностические данные (61%) по сравнения с цифровыми (39%) и обычными (44%) рентгенограммами. Но, несмотря на то, что данные КЛКТ являются более точными, исследователи не призывают к полному вытеснению обычной внутриротовой рентгенографии для выявления периапикальных изменений в обычной клинической практике из-за финансовой и вредностной составляющих. Estrela и коллеги предложили использовать периапикальные индексы, основанные на КЛКТ, для идентификации патологий (Фото 4-6).
Фото 4: Периапикальная киста в переднем сегменте нижней челюсти
А: 3D изображение, показывающее большую кистозную полость
B: Изображение секционного распила, показывающее утрату кортикальной пластинки
C: Аксиальный вид, демонстрирующий утрату кортикальной пластинки с лабиальной стороны и интактную пластинку с лингвальной.

Фото 5: Хронические периапикальные абсцессы около первого правого нижнего моляра

Фото 6: Поражение периодонтальных тканей около левого верхнего второго моляра

Система индексов КЛКТ состоит из 6 ступеней (0-5), исходящих из определения самого большого размера повреждения в каком либо из измерений, и принятие в расчет расширение и разрушение кортикальной кости.
Применяя данный индекс, Low пришел к выводу, что в обнаружение периапикальных патологий лучше использовать КЛКТ недели обычную рентгенографию.
КЛКТ с градиентом теней может оказать помощь в дифференциальном диагнозе кисты и гранулемы. В целом способность выявлять патологии у КЛКТ так же высока, как и у простой КТ. Этот способ может стать важным для пациентов, обращающихся с болевым синдромом или с неточно локализованными жалобами в области ранее леченных или не леченных зубов, на обычном рентгене которых патология не выявляется.
3. Переломы корня
Достаточно тщательно изучена польза и важность КЛКТ в процессе постановки диагноза и ведения зубоальвеолярной травмы, особенно переломах корня, люксации, смещения и переломе альвеолярного отростка.
КЛКТ найдено применение конкретно при диагностике перелома корня зубов.
(Фото 7,8) Высокая важность КЛКТ в определении вертикальных и горизонтальных переломов корня были также описаны в литературе. Элиминация наложения анатомических структур позволяет клиницисту четко анализировать перелом. Вдобавок, 3D реконструкция может быть осуществлена как зубочелюстной системы, так и альвеолярной кости.
Фото 7: Перелом корня в эндодонтически леченом верхнем правом втором моляре
А: ОПГ, показывающая ранее леченые каналы верхнего правого первого моляра
B: Аксиальное изображение, демонстрирующее линию перелома по небному корню
С: Секционный снимок, показывающий косую линию перелома небного корня

Фото 8: горизонтальный перелом правого верхнего центрального моляра
А: 3D изображение, демонстрирующее линию перелома у соединения средней и апикальной трети корня
B: Аксиальный снимок, показывающий горизонтальную линию перелома в передней части верхнего правого центрального резца
С: Косая линия отлома, распространяющаяся от мезиального каря центрального резца на секционном снимке.

4. Резорбция корня
Резорбция корня это утрата твердых тканей зуба в результате активности остеокластов. Это может происходить в рамках физиологического или патологического процесса. Корневая резорбция может быть классифицирована на внешнюю и внутреннюю, в зависимости от локализации процесса относительно поверхности корня. Первые данные о внутренней резорбции получены в 1830. В сравнении с внешней резорбцией внутренняя является весьма редким процессом, этиология которого до конца не изучена. Точность КЛКТ при определении дефектов поверхности хоть и является более высокой по сравнению со стандартной техникой, но, все же, не идеальна и повышается при повышении разрешения вокселей снимка. КЛКТ также показала свою состоятельность при оценке постортодонтической апикальной резорбции, в частности корней латеральных резцов верхней челюсти при импактных клыках.
На КЛКТ внешняя резорбция проявляется как неравномерная рентгенопрозрачность и интактный канал зуба, внутренняя же резорбция выглядит как четкий очаг без прослеживания корневого канала.
КЛКТ с успехом применяется для определения внутренней резорбции и дифференциации ее от внешней. Обычная рентгенография часто не может выявить верный объем распространения, локализации и источник резорбтивного процесса. КЛКТ помогает в определении с тактикой лечения, а также предлагает составить верный прогноз на основе активности и распространенности поражения. И лечение, и результат лечения таким образом становятся более предсказуемыми.
5. Послеоперационная оценка
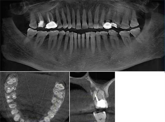
Мониторинг заживляющего процесса апикальных поражений является важным аспектом в послеоперационном этапе эндодонтии. Также адекватная обтурация корневого канала - это важная детерминанта эндодонтического успеха. Можно заявить, что КЛКТ весьма полезна как при начале лечения, так и при отслеживании последующего состояния зуба. Sogur сообщает, что изображения, полученные при обычном рентгенологическом исследовании в послеоперационном периоде являются более информативными, чем КЛКТ. Этот факт ученый объясняет наличием большого количества артефактов на снимках КЛКТ, обусловленных присутствием гуттаперчи и силлера в каналах (Фото 9).
Фото 9: Артефакты обтурированных корневых каналов

Применение КЛКТ в определение точного места перфорации и ее роли в дальнейшем плане лечения проиллюстрировал Young (Фото 10).
Фото 10: Перфорация корня, хорошо заметная на аксиальном снимке

Преоперативная оценка периапикальных тканей является важным этапом для предотвращения осложнений. Близкое расположение апекса к нижнечелюстному каналу, ментальному отверстию и гайморовой пазухе может быть оценено именно на снимках КЛКТ. Rigolone был первым, кто описал важность КЛКТ для планирования эндодонтического вмешательства.
Важность КЛКТ для апикальной хирургии зубов, близко прилежащих к верхнечелюстной пазухе, последовательно была показана Nakata, который продемонстрировал клинический случай локализации перирадикулярной патологии у конкретного корня. Tsurumachi и Honda описали применение КЛКТ в локализации отломка эндодонтического инструмента, прошедшего в верхнечелюстную пазуху.
Заключение
Несмотря на очевидные преимущества технологии КЛКТ в стоматологии, можно также отметить и некоторые недостатки и ограничения. Технология КЛКТ на настоящий момент не является широко доступной. Постепенно с внедрением и осваиванием специалистами КЛКТ станет более распространенным способом диагностики. Хотя эта техника находится на рынке уже несколько лет, она продолжает оставаться дорогостоящей. Для большинства эндодонтических манипуляций достаточно только малое FOV 4*4 мм.
Лимитирование FOV позволяет не только сократить дозу облучения, время сканирования и артефакты, но также сфокусироваться на структурах, знакомых стоматологам. Что же ожидается в будущем касательно эндодонтии к КЛКТ? Захотят ли стоматологи сами приобретать аппарат или получать снимки специального радиолога из центра, не известно. Совершенно ясно только одно: все больше и больше стоматологов внедряют в свою практику применение КЛКТ.
Автор: Sushma Prashant Jaju, BDS, MDS
Operative Dentistry and Endodontics, Dentocare multispeciality Dental Clinic, Nashik, Maharashtra, India
Читайте также:
- Потенциал действия и его распространение в нервных клетках
- Старческие изменения общего анализа крови у пожилых
- Синдром Меньера (Meniere)
- Техника временной остановки кровотечения из сосудов подкожной жировой клетчатки. Временная остановка кровотечения из сосудов подкожки.
- Работы Мастерса и Джонсона в сексологии. Сексологическая систематика Мастерса и Джонсона.
