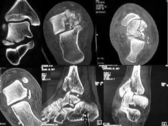
Рентгенограмма, КТ при переломе шейки и головки таранной кости
Добавил пользователь Евгений Кузнецов Обновлено: 13.12.2025
Какие методы лучевой диагностики используются при травмах стопы и голеностопного сустава? Какие преимущества имеет компьютерная томография по сравнению с рутинной рентгенографией? Возможно ли при помощи компьютерной томографии определить эффективность про
Какие методы лучевой диагностики используются при травмах стопы и голеностопного сустава?
Какие преимущества имеет компьютерная томография по сравнению с рутинной рентгенографией?
Возможно ли при помощи компьютерной томографии определить эффективность проводимого лечения?
Переломы костей стопы и голеностопного сустава являются самыми частыми травматическими повреждениями скелета. Их доля, по свидетельству разных авторов, составляет не менее 10-15%.
Особенностью переломов костей области голеностопного сустава является высокая частота внутрисуставных повреждений. Разрушение суставных хрящей и субхондральных пластин существенно отягощает течение заболевания, ухудшает прогноз лечения и реабилитации таких больных. Неудовлетворительные результаты при лечении внутрисуставных переломов голеностопных суставов составляют до 28%.
Аналогичная тенденция прослеживается при переломах костей стопы. Наибольшее клиническое значение имеют повреждения пяточной и таранной костей. Так, переломы пяточной кости составляют около 60% от переломов костей предплюсны и 2% — от всех переломов. Результаты консервативного лечения чаще неудовлетворительные. Переломы пяточной кости в 75% случаев вовлекают подтаранный сустав, при этом 80% из них сопровождается смещением отломков. Отсюда несоответствие и нарушение конгруэнтности суставных поверхностей, ранние дегенеративные изменения, поздние болевые атаки и инвалидизация.
Учитывая, что большая часть больных с переломами костей стопы и голеностопного сустава — трудоспособные люди, становится ясным необходимость их расширенного и детального лучевого обследования.
При исследовании голеностопного сустава используются стандартные укладки в боковой наружной, задней и задней с внутренней ротацией (на 10-150) проекциях. Методики их проведения описаны во многих руководствах по рентгенологии и не требуют отдельного рассмотрения.
Однако рентгенография не может предоставить всю необходимую для травматолога информацию. Поэтому пациенту с переломом голеностопного сустава показано проведение рентгеновской компьютерной томографии (КТ).
Точность КТ-исследования во многом зависит от толщины «среза» и шага подачи стола. Ширина коллимации более 3 мм многими авторами считается неадекватной для выявления переломов без смещения отломков. Идеальная толщина «среза» при традиционной КТ составляет 2 мм и менее. Шаг подачи стола также не должен превышать 2 мм.
Спиральная компьютерная томография предпочтительна ввиду короткого времени исследования.
Во всех случаях исследование проводится в аксиальной плоскости. При шаговой КТ с толщиной «среза» 3 мм дополнительно может использоваться коронарная проекция. Томография с шириной коллимации 1-2 мм позволяет ограничиться аксиальными исследованиями. Возможность мультипланарных и трехмерных реконструкций улучшает информативность КТ без дополнительного облучения.
Следует отметить достаточно низкую лучевую нагрузку на пациента при компьютерной томографии голеностопного сустава или стопы. Так, при выполнении 60 аксиальных сканов на томографе Somatom plus 4 (Siemens) эффективная поглощенная доза составляет менее 0,1 м3в, что сопоставимо с рентгеновским исследованием.
Главным преимуществом компьютерной томографии является возможность детального изучения горизонтальной суставной поверхности большеберцовой кости. Нередко при КТ выявляются дополнительные линии перелома и отломки. КТ позволяет точно определить общую площадь суставной поверхности отломков, диастаз между ними, угловое и мультипланарное смещение, положение мелких осколков.
Данные томографии определяют тактику лечения. Так, при переломах заднего отростка (третьей лодыжки) уточняется примерная площадь его суставной поверхности (рис. 1, 2). В случаях, когда площадь отломка превышает 1/3 всей горизонтальной суставной поверхности большеберцовой кости и имеется смещение отломка назад и кверху более 2 мм, больному показан остеосинтез.
Разрушение суставной поверхности большеберцовой кости происходит не хаотично, а определяется механизмом травмы и в соответствии с действием сил натяжения связок голеностопного сустава. Выделяют переломы большеберцовой кости с образованием четырех видов отломков: передневнутреннего, задневнутреннего, передненаружного, задненаружного.
Чаще всего выявляются задневнутренние переломы.
КТ позволяет визуализировать переход линий перелома на внутреннюю лодыжку, не определяемых на рентгенограммах.
На серии последовательных сканов с точностью до 1 мм измеряется рентгеновская суставная щель между лодыжками и блоком таранной кости на обеих ногах.
Безусловным преимуществом компьютерной томографии является возможность визуализации повреждения дистального межберцового сочленения. Количественная оценка диастаза рентгеновской щели между берцовыми костями и ротации малоберцовой кости позволяет выявить еще одну возможную причину нестабильности голеностопного сустава и болевого синдрома (рис. 3).
Компьютерная томография — хороший инструмент в оценке эффективности проводимого консервативного или оперативного лечения. Даже несмотря на множественные линейные артефакты от металлических фиксирующих конструкций, практически всегда возможно определить правильность сопоставления отломков, устранение патологического диастаза между отломками или костями (рис. 3).
Топографо-анатомически и функционально стопа неотделима от голеностопного сустава. В большей степени это относится к задней части стопы.
Рентгенография пяточной и таранной кости и суставов, образуемых ими, происходит одновременно с исследованием голеностопного сустава. Дополнительно может проводиться рентгенография пяточной кости в аксиальной проекции. Однако чаще она затруднена из-за выраженного болевого синдрома.
Обязательными в исследовании переднего и среднего отделов стопы являются ее рентгенография в подошвенной, косой и строго боковой проекциях. Однако ввиду сложности анатомического строения стопы и проекционного наложения костей, участвующих в формировании нескольких суставов, рентгенография не может удовлетворить хирургов. Лишь частично эту проблему решает рентгенография с прямым многократным увеличением. Поэтому переломы костей стопы являются показанием для проведения компьютерной томографии.
Методика КТ стопы не отличается от исследования голеностопного сустава. Область сканирования включает всю стопу, начиная от горизонтальной суставной щели голеностопного сустава.
Участие пяточной кости в формировании трех суставов, а также действующая на нее гравитационная нагрузка всего тела определяют повышенное внимание травматологов к этой кости.
Перелом пяточной кости обычно происходит вследствие компрессии на подтаранный сустав между таранной костью и землей. Линия перелома проходит косо через заднюю таранную суставную поверхность (рис. 4). При этом образуется два основных внутрисуставных отломка: передневнутренний (сустентакулярный) и задненаружный. Сустентакулярный фрагмент прочно крепится к таранной кости межкостной связкой пазухи предплюсны. Фиксирующая роль передневнутреннего отломка имеет принципиальное значение. Одна из основных задач травматолога сводится к сопоставлению с ним свободного задненаружного фрагмента.
Вне зависимости от способа предполагаемой фиксации отломков — внутрикостного или внекостного — существует ряд клинически актуальных вопросов, на которые компьютерная томография может дать однозначные ответы.
Прежде всего это касается количества внутрисуставных отломков. Прогноз лечения ухудшается, если визуализируются более двух фрагментов.
Второй важный аспект — близость линии перелома к медиальной поверхности пяточной кости. Наихудший прогноз имеют переломы, проходящие через пазуху предплюсны. Фиксация обоих фрагментов к таранной кости может оказаться недостаточной для полноценного функционирования суставов.
В отличие от сустентакулярного отломка задненаружный, как правило, имеет подвывих по отношению к таранной кости, плоскостное и угловое смещение. Точное количественное их измерение при КТ конкретизирует задачу травматологу при фиксации отломков.
При внутрикостном остеосинтезе при боковом доступе важно заранее знать, будет ли задненаружный фрагмент скрыт латеральной стенкой тела пяточной кости. Их взаиморасположение лучше визуализируется в коронарной плоскости (рис. 5).
На аксиальных изображениях оценивается сохранность отростка, поддерживающего таранную кость. Это объясняется тем, что металлические конструкции, фиксирующие отломки, оптимально проводить через sustentaculum.
Для восстановления длины стопы необходима целостность латеральной стенки тела пяточной кости. Аксиальные топограммы предоставляют возможность рентгенологу оценить целостность кортикального слоя латеральной стенки.
Пяточная кость участвует в образовании пяточно-кубовидного и таранно-пяточно-ладьевидного суставов. При этом основная нагрузка со стороны тела человека распределяется на пяточно-кубовидный сустав. Наличие внутрисуставных переломов этих суставов является плохим прогностическим признаком.
Кроме детализации выявленных переломов, важно изучить форму поврежденной пятки для ее нормализации. Количественно измеряется переднезаднее укорочение, верхненижний коллапс и угловая (варусная или вальгусная) ротация пяточной кости.
| Главным преимуществом компьютерной томографии является возможность детального изучения горизонтальной суставной поверхности большеберцовой кости. Нередко при КТ выявляются дополнительные линии перелома и отломки. КТ позволяет точно определить общую площадь суставной поверхности отломков, диастаз между ними, угловое и мультипланарное смещение, положение мелких осколков |
Стресс-переломы костей предплюсны выявляются не более чем в 9% случаев. Они носят название «маршевых переломов», хотя встречаются не только у военных, но и у спортсменов и просто тучных людей.
Таким образом, травматическое повреждение стопы и голеностопного сустава требует расширенного рентгенологического исследования. Компьютерная томография должна стать рутинным методом исследования этой области ввиду высокой ее информативности. Появляющееся в последние годы новое программное обеспечение компьютерных томографов позволяет прогнозировать еще больший интерес к данному методу исследования со стороны травматологов. Так, компьютерная дизартикуляция предоставит полную пространственную информацию о состоянии суставных поверхностей. Режим флюороскопической компьютерной томографии позволит проводить малые инвазивные мероприятия под контролем КТ в реальном режиме времени. Все это обещает рост числа научных исследований по рентгеновской компьютерной томографии больных травматологического профиля в ближайшие годы.
Рентгенограмма, КТ при переломе шейки и головки таранной кости
Перелом таранной кости стопы
Перелом таранной кости стопы
Таранная, или надпяточная, кость является предплюсневой и формирует нижнюю часть голеностопного сустава, соединяясь с большой и малой берцовой костью. В нижней части к таранной кости присоединена пяточная кость, в передней - ладьевидная. Благодаря такому устройству таранная кость равномерно распределяет массу тела человека на всю стопу.
Надпяточная кость достаточно крупная по сравнению с другими костными образованиями предплюсны. Она покрыта хрящевой тканью в гораздо большей степени, чем любая другая кость человеческого скелета - на 60%.
Причины и механизм перелома
Таранная кость состоит из головки, блока и заднего отростка. Головка располагается спереди и соединяется с ладьевидной костью. Блок соединен с латеральной и медиальной лодыжкой. Задний отросток имеет два бугорка, которые разделены сухожилием, отвечающим за сгибание первого пальца стопы. У некоторых людей есть только один бугорок и добавочная таранная кость.
Наиболее часто перелом таранной кости происходит при падении с большой высоты на выпрямленные ноги или в результате автомобильной аварии. Несколько реже такую травму можно получить от прямого удара тупым предметом или на спортивной тренировке.
В очень редких случаях встречается монотравма надпяточной кости, чаще всего она сочетается с переломом кости пятки, а также с различными повреждениями ладьевидной, клиновидной и плюсневой костей.
Чрезмерное разгибание ступни приводит к тому, что ломается шейка таранной кости. При сильном сгибании нижней конечности в голеностопном суставе линия разлома проходит в области заднего отростка. В случае одновременного тыльного сгибания и подворота стопы регистрируется перелом латерального бугорка.
Механизм получения такой травмы, как перелом таранной кости стопы, можно разделить на два основных типа:
- сочетание осевой нагрузки и стремительного тыльного сгибания приводит к чрезмерно тесному контакту шейки таранной и большой берцовой кости, а при развороте ноги таранная кость смещается;
- чрезмерное сгибание ноги в голеностопе способствует ротации кости, которая не выдерживает давления и ломается.
Классификация и симптомы
Перелом таранной кости бывает открытым и закрытым, без смещения и со смещением. Последний может сопровождаться подвывихом в подтаранном суставе, вывихом в таранно-ладьевидном либо голеностопном суставе.
Целостность заднего отростка нарушается в основном у спортсменов, преимущественно футболистов. Травма латерального отростка характерна для скейтбордистов. Особенно опасны компрессионные (оскольчатые) повреждения, поскольку высока вероятность развития тяжелых осложнений.
Таранная кость участвует в образовании сразу нескольких суставов, поэтому визуально определить характер повреждения не представляется возможным. Признаки перелома неспецифичны, для постановки точного диагноза необходимо сделать рентген.
Симптомы после перелома таранной кости варьируются в зависимости от локализации повреждения, но есть и ряд общих признаков:
- резкий болевой синдром в нижней части голени, нарастающий при движениях первого пальца, а также при попытках встать на больную ногу;
- припухлость, чаще всего на тыле стопы;
- увеличение в размерах и изменение конфигурации голеностопного сустава;
- при пальпации возникает характерный хруст костных отломков.
Стоит отметить, что отечность является первым признаком серьезной травмы. Пораженная область опухает, краснеет, иногда приобретает синюшный оттенок. Если причиной перелома был удар тяжелым предметом, то повреждаются кровеносные сосуды. Из-за этого появляются подкожные кровоизлияния, синяки и гематомы. Спустя несколько часов после травмы кожные покровы становятся горячими на ощупь.
При переломе заднего отростка болевой синдром локализуется в зоне ахиллова сухожилия. Болезненность вызывают не только движения, но и любые прикосновения к травмированному участку.
Перелом шейки таранной кости характеризуется выраженным положением подошвенного сгибания, при смещении заметна деформация голеностопного сустава. Краевые переломы считаются наиболее легкой травмой, симптомы которой имеют сходство с обычным ушибом. Поэтому пациенты не всегда обращаются к врачу, и кости срастаются неправильно. В результате формируется застарелый перелом, гораздо сложнее поддающийся лечению.
Больше чем в половине случаев перелом таранной кости сопровождается травмой лодыжки и пяточной кости. Очень редко, но встречается и разрыв синдесмоза, соединяющего мало- и большеберцовую кость.
Возможные осложнения
Отличительной особенностью надпяточной кости является ее недостаточное кровоснабжение, что значительно замедляет восстановительные процессы. Костная ткань недополучает кислород и питание, вследствие чего даже перелом без смещения может осложниться отмиранием клеток.
Возможны и другие негативные последствия:
- стойкий болевой синдром, плохо поддающийся купированию;
- поражения хрящевой ткани, кровеносных сосудов и нервных окончаний;
- нарушение двигательной активности стопы и голеностопа;
- остеомиелит;
- деформирующий артроз;
- асептический некроз.
Асептический, или аваскулярный, некроз возникает при нарушении кровоснабжения головки таранной кости и может быть причиной утраты трудоспособности и инвалидности. Чтобы избежать осложнений, необходимо обязательно обратиться к врачу сразу же после травмы.
Меры первой помощи и диагностика
Неотложная помощь при переломе надпяточной кости осуществляется согласно общим правилам и начинается с обеспечения полной неподвижности пораженной конечности. Любое движение сломанной кости может вызвать болевой шок, потерю сознания и повреждение близлежащих тканей.
Обездвижить конечность можно с помощью шин из подручных материалов. Если это по какой-либо причине невозможно - отсутствует навык подобных манипуляций или мешает страх сделать что-то не так, - нужно усадить пострадавшего так, чтобы голень и пятка лежали на ровной поверхности. Пациент может лежать на кровати с вытянутой ногой или сидеть на одном стуле, а на другой положить ногу.
Любой перелом надпяточной кости требует длительной иммобилизации посредством гипсовой повязки
Только после этого можно снимать обувь и носки (чулки, колготки, гольфы) и при необходимости обрабатывать рану. При открытом переломе возможно кровотечение, которое останавливают при помощи жгута. Затем обрабатывают рану антисептиком и накладывают стерильную повязку.
Сильная потеря крови может иметь весьма серьезные последствия, поэтому остановить кровотечение требуется в первую очередь.
Чтобы снизить болевой синдром, пострадавший может принять анальгетик или средство из группы НПВП (нестероидные противовоспалительные препараты). До приезда медиков к травмированной области прикладывают лед или холодный компресс, держа его по 10 минут с перерывами. Постоянно держать лед на ноге нельзя, чтобы не получить обморожения.
Если есть сомнения, какая именно травма случилась - ушиб, вывих или перелом, то неотложную помощь оказывают, как при переломе. При отсутствии возможности вызова «скорой помощи» больного транспортируют в лечебное учреждение максимально щадящим способом.
Для подтверждения диагноза всем пациентам проводится рентгенологическое исследование в нескольких проекциях. По результатам, которые покажут сделанные снимки, оценивается целостность кости, и составляется лечебный план. При сложных травмах с повреждением суставов и связочного аппарата проводится компьютерная томография или МРТ.
Лечение
Приоритетом для врача является восстановление целостности кости, что достигается с помощью следующих методик:
- иммобилизации конечности;
- закрытой репозиции;
- остеосинтеза.
Перелом без смещения и сильного повреждения кожных покровов лечится консервативным методом. Пациенту накладывается гипс или повязка-сапожок с металлическим супинатором. Конечность при этом должна быть согнута под прямым углом в голеностопе. Гипсовая повязка закрывает область от основания пальцев стопы до начала средней трети голени. Это позволяет обездвижить не только травмированное место, но и близлежащие структуры.
Чтобы избежать отечности, пациенту рекомендуется чаще держать ногу на возвышении. В течение как минимум нескольких дней придется принимать обезболивающие или противовоспалительные лекарства.
Продолжительность иммобилизации обычно составляет около месяца, но срок может быть скорректирован в зависимости от возраста, сопутствующих заболеваний и тяжести перелома. При некоторых системных заболеваниях восстановление костной ткани может замедляться.
Когда срастание кости завершается (что подтверждается рентгеновскими снимками), гипс снимают, и начинается реабилитационный период. Нагрузка на стопу увеличивается постепенно, для ускорения восстановительного процесса назначаются физиопроцедуры и массаж. Общая длительность лечения составляет примерно 3 месяца.
Закрытая репозиция проводится только в случае незначительного смещения костей, под внутрикостной анестезией. Пациент ложится на живот и сгибает ногу в коленном суставе. Врач одной рукой оттягивает пятку, а другой рукой сгибает стопу. По достижении необходимого совмещения костей накладывается гипсовая повязка.
Через 1.5 месяца гипс снимают и накладывают новый на такой же срок. После проведения контрольного рентгена врач составляет план реабилитационных процедур.
Хирургическое лечение
Показаниями к оперативному вмешательству являются следующие:
- открытый и компрессионный (многооскольчатый) перелом;
- сдвиг костей более чем на 1 см;
- переломовывихи и вывихи, не подлежащие вправлению закрытым способом;
- тяжелые повреждения связочного аппарата и мягких тканей.
Операция по сопоставлению костей проводится не позднее, чем через 8 часов после получения травмы. В большинстве случаев применяется остеосинтез, исключение составляют мнгогооскольчатые переломы, когда кость сильно раздроблена, а также начавшийся асептический некроз.
Тогда методом выбора становится артродез, в ходе которого отколовшиеся фрагменты удаляются, а голеностопное сочленение замыкается. Минусом артродезирования является полная неподвижность сустава, однако способность к ходьбе сохраняется.
Открытая репозиция костей может проводиться посредством компрессионно-дистракционного аппарата или методом остеосинтеза. В первом случае для фиксации костей применяются спицы Киршнера, во втором - стягивающие винты или небольшие пластины; после операции накладывается гипс.
Перелом таранной кости - это серьезная, хотя и редкая травма. При подозрении на такое повреждение необходимо обязательно посетить травматолога и сделать рентген. Нужно помнить и о мерах первой помощи, неукоснительное выполнение которых способно предотвратить многие осложнения.
Перелом голеностопного сустава
Среди повреждений нижних конечностей, чаще всего случается перелом в области голеностопного сустава. Травмы - непростые в диагностике, и нередко приводящие к стойкому снижению качества жизни пострадавшего.
Врачи ортопедического отделения нашей клиники готовы оказать квалифицированную помощь всем пациентам.
Уникальный опыт и современное оборудование позволяют эффективно помочь даже при непростых переломах.
Анатомические особенности
По строению, голеностопный сустав относится к блоковидным сочленениям: между своеобразной «вилкой» из двух лодыжек (щиколоток), заведен блок суставной поверхности таранной кости. Стабильность обеспечивают многочисленные связки: они расположены в несколько слоев, мощные и прочные.

Рис.1. Строение голеностопа
Свобода движений несколько ограничивается: сустав позволяет стопе сгибаться и разгибаться с хорошей амплитудой только в одной плоскости.
Возможность смещения ступни вправо и влево небольшая, но зато опорная способность - позволяет справляться с нагрузками, достигающими десятикратной массы тела. Правда, иногда даже такого запаса прочности не хватает.
Механизм травмирования
Переломы голеностопных суставов возникают под действием разносторонне направленных сил:
- Осевое усилие, перпендикулярное подошве (приводит к вклиниванию таранной кости между лодыжками).
- Чрезмерные сгибание (флексия) и разгибание (экстензия).
- Подворачивание внутрь (супинация) и выворачивание наружу (пронация).
- Ротация стопы вовнутрь (инверсия) и наружу (эверсия).
Если в любом из этих направлений подействует достаточно большая энергия, то конструкция сустава может не выдержать и сломаться.
Разновидности и типы
Классификация переломов голеностопного сустава достаточно сложна. Отдельно классифицируются:
- Переломы малоберцовой кости (наружной лодыжки).
- Большеберцовой (внутренней лодыжки).
- Повреждения межберцового синдесмоза.
- Таранной кости.
Каждая из этих категорий имеет подпункты. При травмах, они сочетаются и редко встречаются изолированно. Знание всех нюансов каждого типа перелома и понимание механизма травмы, позволяет максимально полностью и эффективно устранять повреждения.
Обычно, отламываются лодыжки: внешняя (латеральная, - отросток малоберцовой кости) или внутренняя (медиальная - часть большеберцовой). Могут ломаться и сразу обе.
Рис. 2. а. перелом обеих лодыжек со смещением; б. перелом лодыжек и заднего края большеберцовой кости.
Особенность таких переломов в том, что иногда щиколотки как бы отрываются от костей голени: при подворачивании ноги, прочные связки могут не разорваться, а тянут за собой щиколотку, отрывая или ее полностью, или вызывая отлом и смещение небольшого фрагмента кости.
Грубые высокоэнергетические травмы способны не ограничиться щиколотками и сопровождаются разламыванием суставной поверхности большеберцовой кости.
Таранная кость ломается заметно реже. Но при ее повреждениях могут возникать внутрисуставные отломки. Выраженную симптоматику они дают не всегда и часто заканчиваются развитием ложных суставов.
Приходится сталкиваться с переломовывихами: при отламывании одной или обеих щиколоток ноги, они теряют способность фиксировать блок, таранная кость вывихивается и смещается, усложняя лечение.
Рис3. а. перелом наружной лодыжки, разрыв синдесмоза и делтовидной связки, подвывих стопы кнаружи. б. перелом таранной кости.
Подобные травмы опасны нарушением кровоснабжения костной ткани, что становится причиной асептического некроза (таранной кости) и сильно усложняет работу врачей.
Частым осложнением является разрыв наружных и глубоких связок и смещение костных отломков.
Симптоматика
Отдельные моменты внешних проявлений, зависят от вида и объема травмы. Внимание нужно обращать на такие симптомы:
- Боль в травмированном сочленении.
- Отек в области одной щиколотки или обеих.
- Нетипичная ориентация стопы.
- Деформация сустава.
Коварство заключается в риске малосимптомных вариантов. Можно встретить отрыв небольшого фрагмента кости, что не приводит к грубым внешним проявлениям, а значит - запаздывает обращение к медикам после перелома и, соответственно, лечение.
Диагностические мероприятия
Опрос и осмотр не могут дать нужной информации. Ключевая роль отводится рентгенологическим методам. Как правило, требуется рентгенограмма травмированной конечности в двух проекциях.
Причем для лучшей визуализации отдельных участков сустава, используются разные приемы (смещение, поворот, наклон стопы). Когда нужно, для сравнения делают снимок и здоровой ноги. Может возникнуть потребность в КТ, МРТ.
Переломы таранной кости требуют более тщательного выбора диагностической методики, так как сложнее в плане лечения.


Рис4. а. на КТ перелом таранной и большеберцовой костей, б. на МРТ перелом таранной кости
Терапевтические мероприятия
Несложные переломы голеностопа без существенного смещения, допускают консервативное лечение. Проводится ручная закрытая репозиция, детали которой зависят от типа травмы.
Основные принципы такие:
- Проведение максимально точной репозиции до наложения гипсовой иммобилизационной повязки.
- Реабилитация после снятия гипса, восстановление движений и функции сустава.
После этого, накладывается повязка из ткани на основе гипса: иммобилизация необходима, срок ее зависит от степени дефекта и составляет от 4 недель.
Мы поможем Вам восстанавливать целостность костей, функцию сустава и вернутся к привычному активному образу жизни. У нас индивидуальный подход к каждому пациенту.
Хирургические мероприятия
Если очевидно, что закрытая репозиция не окажется эффективной, гипс не используют: прибегают к открытой операции остеосинтеза и установке металлоконструкций непосредственно на костные ткани.
Нарушения целостности таранной кости, предпочтительнее лечить именно хирургическим методом из-за риска асептического некроза. Вправление и репозицию ее переломовывихов необходимо проводить, повторяя в обратном направлении механизм травмы.
Рис.5 а. остеосинтез таранной и пяточной костей винтами, б. перелом обеих лодыжек; остеосинтез пластиной и винтами.
Последствия
Если вовремя не обратиться к врачам, то даже простой перелом голеностопа может осложнить дальнейшую жизнь.
Распространенное последствие запоздалого обращения - ложные суставы щиколоток, сращение в неправильном положении, посттравматический артроз.
Недостаточно продуманное лечение приводит к нарушению стабильности голеностопа, его деформации. В застарелых случаях, устранять такие последствия непросто.
Грубые дефекты намного более опасны:
- Стойкие нарушения опорной функции стопы.
- Из-за расстройств кровоснабжения, происходит асептический некроз костей.
- Инфекционные осложнения в пострадавшем месте.
Утрата физиологичной походки сказывается на всем скелете человека, в первую очередь - на позвоночнике. В ряде случаев может потребоваться эндопротезирование голеностопа.
Восстановление
Характер мероприятий во время реабилитации, зависит от типа травмы и вида помощи (консервативная или хирургическая).
После легких повреждений, дозированные нагрузки на ногу разрешаются уже спустя 10-14 дней от момента репозиции. В тяжелых случаях, период покоя затягивается на несколько месяцев.
Реабилитация включает в себя массаж, физиотерапию и упражнения.
Сбалансированное и грамотное сочетание эффективных методик, позволяет пациентам. возвращаться к привычной физической активности без осложнений и за короткий срок.
Перелом таранной кости
Рекомендовано
Экспертным советом
РГП на ПХВ «Республиканский центр
развития здравоохранения»
Министерства здравоохранения
и социального развития
Республики Казахстан
от «27» ноября 2015 года
Протокол № 17
Перелом таранной кости - патологическое состояние, возникающее в ходе нарушения анатомической целостности кости [1].
Название протокола: Перелом таранной кости.
Код протокола:
Код(ы) по МКБ-10:
S92.1 Перелом таранной кости.
Сокращения, используемые в протоколе:
АЛТ - аланинаминотрансфераза
АСТ - аспартатаминотрансфераза
НПВС - нестероидные противоспалительные средства
ОАК - общий анализ крови
ОАМ - общий анализ мочи
ЛФК - лечебная физическая культура
ЭКГ - электрокардиограмма
Дата разработки протокола: 2015 год.
Категория пациентов: взрослые пациенты с переломами таранной кости.
Пользователи протокола: травматологи, ортопеды, хирурги, врач общей практики.
Класс I - польза и эффективность диагностического метода или лечебного воздействия доказана и/или общепризнаны
Класс II - противоречивые данные и/или расхождение мнений по поводу пользы/эффективности лечения
Класс IIа - имеющиеся данные свидетельствуют о пользе/эффективности лечебного воздействия
Класс IIb - польза/эффективность менее убедительны
Класс III - имеющиеся данные или общее мнение свидетельствует о том, что лечение неполезно/неэффективно и в некоторых случаях может быть вредным
| А | Высококачественный мета-анализ, систематический обзор РКИ или крупное РКИ с очень низкой вероятностью (++) систематической ошибки результаты которых могут быть распространены на соответствующую популяцию. |
| В | Высококачественный (++) систематический обзор когортных или исследований случай-контроль или Высококачественное (++) когортное или исследований случай-контроль с очень низким риском систематической ошибки или РКИ с невысоким (+) риском систематической ошибки, результаты которых могут быть распространены на соответствующую популяцию. |
| С | Когортное или исследование случай-контроль или контролируемое исследование без рандомизации с невысоким риском систематической ошибки (+). Результаты которых могут быть распространены на соответствующую популяцию или РКИ с очень низким или невысоким риском систематической ошибки (++ или +), результаты которых не могут быть непосредственно распространены на соответствующую популяцию. |
| D | Описание серии случаев или неконтролируемое исследование или мнение экспертов. |
| GPP | Наилучшая фармацевтическая практика. |

Автоматизация клиники: быстро и недорого!
- Подключено 300 клиник из 4 стран
- 800 RUB / 4500 KZT / 27 BYN - 1 рабочее место в месяц

Автоматизация клиники: быстро и недорого!
- Подключено 300 клиник из 4 стран
- 1 место - 800 RUB / 4500 KZT / 27 BYN в месяц
Мне интересно! Свяжитесь со мной
Классификация
Клиническая классификация АО (Ассоциации остеосинтеза):
Переломы таранной кости делятся на три типа:
Внесуставные:
· шейки;
· отрывной.
Частично внутрисуставные:
· латеральной части тела;
· медиальной части тела;
· в сагиттальной плоскости.
Внутрисуставные:
· простой;
многооскольчатый.
Диагностика
Перечень основных и дополнительных диагностических мероприятий:
Основные (обязательные) диагностические обследования, проводимые на амбулаторном уровне:
· рентгенография стопы или голеностопного сустава в двух проекциях (прямая и боковая).
Дополнительные диагностические обследования, проводимые на амбулаторном уровне (по показаниям):
· компьютерная томография таранной кости;
· ОАК;
· ОАМ;
· ЭКГ;
· микрореакция;
· определение глюкозы крови по показаниям;
· определение времени свертываемости;
· определение длительности кровотечения;
· биохимический анализ крови: билирубин общий, АлТ, АсТ, мочевина, креатинин, белок общий.
Минимальный перечень обследования, который необходимо провести при направлении на плановую госпитализацию: согласно внутреннему регламенту стационара с учетом действующего приказа уполномоченного органа в области здравоохранения.
Основные (обязательные) диагностические обследования, проводимые на стационарном уровне:
· ОАК;
· рентгенография голеностопного сустава или стопы в двух (прямая и боковая) проекциях.
Дополнительные диагностические обследования, проводимые на стационарном уровне (по показаниям):
· ОАМ;
· рентгенография стопы в косой проекции;
· компьютерная томография таранной кости
· определение группы крови;
· определение резус-фактора;
· микрореакция;
· определение глюкозы крови по показаниям;
· определение времени свертываемости;
· определение длительности кровотечения;
· ЭКГ;
· биохимический анализ крови: билирубин общий АлТ, АсТ, мочевина, креатинин, белок общий.
Диагностические мероприятия, проводимые на этапе скорой неотложной помощи:
· сбор жалоб и анамнеза, физикальное обследование.
Диагностические критерии постановки диагноза:
Жалобы: на
· боли в области стопы или голеностопного сустава;
· нарушение функции нижней конечности;
· наличие ран при открытых переломах.
Анамнез: наличие травмы с прямым (падение с высоты) механизмом травмы или форсированное разгибание стопы.
Физикальное обследование:
При осмотре отмечается:
· отек в месте перелома или голеностопного сустава;
· подошвенное сгибание стопы;
· изменение контуров голеностопного сустава;
· кровоизлияние в окружающие ткани.
При пальпации отмечается:
· боль;
· болезненность, усиливающая при осевой нагрузке и движениях в голеностопном суставе.
Лабораторные исследования: могут быть в пределах нормы.
Инструментальные исследования:
· рентгенография стопы в прямой и боковой в проекциях: выявление нарушение костной структуры, наличие линии излома.
· рентгенография стопы в косой проекции: выявление нарушение костной структуры, наличие линии излома.
Показанием для консультации специалистов:
· консультации нейрохирурга: при повреждении нерва и сочетанной травме головного мозга;
· консультация хирурга: при сочетанной травме живота;
· консультация сосудистого хирурга: при сопутствующем повреждении сосудов;
· консультация уролога: при повреждении органов мочеполовой системы;
· консультация терапевта: при наличии сопутствующих заболевании терапевтического профиля.
Дифференциальный диагноз
Цели лечения:
· устранение смещения костных отломков;
· восстановление функции конечности.
Тактика лечения:
При переломах без смещения и при переломах со смещением, но с удовлетворительным стоянием отломков показано консервативное лечение. При переломах со смещением производиться блокада места перелома, закрытая одномоментная ручная репозиция отломков, наложение гипсовой лонгеты и контрольная рентгенография. Если на контрольной рентгенографии сохраняется смещении отломков, то показано оперативное лечение.
Немедикаментозное лечение:
Режим в зависимости от тяжести состояния - 1, 2, 3.
Диета - Стол №15.
Другие виды диет назначаются в зависимости от сопутствующей патологии.
Медикаментозное лечение:
Таблица 1. Лекарственные средства, применяемые при переломе таранной кости
| № | Препарат | Дозирование | Длительность применения | Уровень доказательности |
| Препарат для проведения блокады | ||||
| 1 | Прокаин | |||
Другие виды лечения: [7].
Другие виды лечения, оказываемые на амбулаторном уровне:
· новокаиновая блокада места перелома;
· закрытая ручная одномоментная репозиция при переломах со смещением;
· наложение гипсовой повязки;
· ортопедических изделии и шин.
Другие виды лечения, оказываемые на стационарном уровне:
· новокаиновая блокада места перелома;
· закрытая репозиция при переломах со смещением;
· наложение гипсовой повязки;
· ортопедических изделии и шин.
Другие виды лечения, оказываемые на этапе скорой медицинской помощи: наложение шин.
Хирургическое вмешательство:
Хирургическое вмешательство, оказываемое в амбулаторных условиях: не проводятся.
Хирургическое вмешательство, оказываемое в стационарных условиях:
При переломах таранной кости применяются такие виды операции:
· закрытая репозиция костных обломков предплюсневых и плюсневых костей с внутренней фиксацией (для остеосинтеза используются спицы, винты и пластины различных модификаций); Открытая репозиция костных обломков предплюсневых и плюсневых костей с внутренней фиксацией (для остеосинтеза используются спицы, винты и пластины различных модификаций);
· хирургическая обработка места открытого перелома предплюсневых и плюсневых костей;
· наложение аппарата для компрессионно-дистракционного остеосинтеза.
Дальнейшее ведение:
Лечебная физкультура:
С первых дней после операции показано активное ведение больных:
• повороты в постели;
• дыхательные упражнения (статического и динамического характера);
• активные движения в крупных и мелких суставах нижних конечностей;
• изометрические напряжения мышц нижних конечностей;
• приподнимание туловища с поддержкой за балканскую раму или трапецию, подвешенную над постелью.
Индикаторы эффективности лечения и безопасности методов диагностики и лечения:
· устранение смещения отломков на контрольных рентгенограммах;
· восстановление функции нижней конечности:
MRC- scale - от 3 баллов;
Индекс Карновского - 80 баллов;
Гониометрия - менее 80% от нормы.
Переломы и вывихи таранной кости случаются нечасто. Они обычно происходят в результате мощного воздействия, например ДТП, падения с высоты или сильного удара в область голеностопного сустава.
Таранная кость — это мощная опорная структура, которая несет на себе колоссальную нагрузку веса всего организма. Давление на нее больше, чем на любую другую кость скелета.
В таранной кости различают тело и головку. Головка — самая передняя часть таранной кости — отделена от тела шейкой. Тело таранной кости практически полностью покрыто суставным гиалиновым хрящом.
Таранную кость снабжают кровью несколько сосудов, входящих в нее в области шейки. При переломах эти сосуды повреждаются. Без достаточного питания таранная кость начинает разрушаться. Разрушение кости вследствие нарушения кровообращения в ней называется асептическим некрозом. Асептический некроз и последующее нарушение функции голеностопного сустава — частый исход неправильного лечения травм таранной кости.
Наиболее распространены переломы шейки, головки, тела таранной кости, повреждения хряща суставной площадки. Переломы в основном оскольчатые и со смещением. Обычно переломы сочетаются с повреждениями связок вокруг голеностопного сустава и заднего отдела стопы. Переломы таранной кости часто вызывают разрыв кожи. Такие переломы считаются открытыми и требуют незамедлительного хирургического лечения.
Пациенты часто оказываются жертвами падения с высоты, авто- и мотоаварий. Также причиной переломов могут быть выворачивающее воздействие на таранную кость при падении со сноуборда или травмы во время занятий экстремальными видами спорта.

Голеностопный сустав и стопа болезненны и отечны. Если отломки таранной кости сместились, то можно заметить деформацию контуров стопы. При вывихах и подвывихах таранной кости кожа из-за деформации может натянуться, отслоиться от кости, инфицироваться и погибнуть. Чтобы избежать подобных осложнений, необходимо как можно быстрее диагностировать и устранить смещение таранной кости.
Диагностика вывихов и переломов таранной кости
Переломы таранной кости, даже со смещением, достаточно сложны для диагностики и требуют значительного опыта у врача. Как правило, многие переломы таранной кости не всегда удается рассмотреть на первичных рентгенограммах. Компьютерная томография дает гораздо больше информации. КТ незаменима при планировании операции. По нашему мнению, КТ с 3D-моделированием должна выполняться всем пациентам без исключеня перед хирургическим вмешательством.
Также с помощью КТ и МРТ возможно выявить не видное на обычных рентгенограммах повреждение хряща таранной кости.
Тактика лечения таких переломов консервативная. Пациенту накладывается сапожок из обычного или пластикового гипса в особом положении стопы. Пластиковый гипс (полимерная повязка) в этом смысле более предпочтителен в гигиеническом плане (в нём можно мыться в ванне или принимать душ). Также полимерная повязка имеет значительно меньший вес, в отличие от классического гипса. По этой причине полимерная повязка позволяет облегчить процесс лечения у полных или ослабленных пациентов.
Нагрузка на ногу запрещается в течение 4-6 недель. Далее разрешается небольшая частичная небольшая нагрузка на стопу. Через 10-12 недель повязку снимают и доводят функцию нижней конечности до нормальных показателей.
Переломы таранной кости обычно со смещением или оскольчатые, с вовлечением голеностопного или подтаранного сустава. Иногда отломки смещены полностью.
Переломы со смещением с наличием подвывиха в смежных суставах должны быть оперированы. Во время операции производится открытая репозиция перелома и фиксация винтами.
При некоторых переломах операция на таранной кости может выполняться по малоинвазивной технологии. Для малоинвазивных операций не требуется широких разрезов кожи.
С помощью специальных инструментов и приспособлений производится закрытая репозиция перелома таранной кости. Затем производится рентгенологический контроль непосредственно в операционной и при удовлетворительном стоянии отломков выполняется фиксация спицами или стягивающими винтами через проколы кожи.
В послеоперационный период стопа переводится в возвышенное положение до спадения отека. Рекомендуется ношение ортезной повязки.
Для таранной кости характерны остеохондральные повреждения. Остеохондральными называются повреждения, при которых травмируются суставной хрящ и небольшой участок подлежащей кости. Обычно причиной остеохондральных повреждений является подвывих стопы, например при растяжении связок голеностопного сустава. Если фрагмент суставного хряща небольшой, его можно удалить артроскопическим путем. Во время артроскопического вмешательства травмированный участок таранной кости обрабатывается особым образом. Производятся перфорация кости, обработка плазмой (это требуется для стимуляции восстановления хрящевой ткани).
При переломах таранной кости нередко повреждаются мягкие ткани и кожа. Раны при открытых переломах порой бывают больших размеров. Существует риск инфицирования таких ран и кости.
Лечение такого повреждения должно быть начато незамедлительно, в экстренном порядке. Под наркозом производится хирургическая обработка раны с удалением всех нежизнеспособных тканей. В нашей клинике раны лечат новым инновационным методом отрицательного давления. После обработки к ране присоединяется специальный небольшой аппарат. С помощью данного аппарата и набора особых повязок в ране создается вакуум. Прибор постоянно эвакуирует из раны патологическое отделяемое, препятствуя ее инфицированию и нагноению. Само по себе отрицательное давление стимулирует и ускоряет заживление раны. После того как рана зажила, выполняется окончательная операция по фиксации перелома винтами.
При неправильно выполненной операции, если репозиция произведена неточно, перелом таранной кости может срастись со смещением. Неправильно сросшийся перелом таранной кости может привести к деформации суставной поверхности, ограничению движений и болевым ощущениям при опоре.
Кроме того, при нарушении техники хирургического вмешательства, а также повреждении сосудов, питающих таранную кость, может развиться асептический некроз таранной кости. Частота развития некроза зависит также от тяжести самой травмы и может варьироваться от 10 до 40%. При асептическом некрозе костная плотность тела таранной кости уменьшается. Форма таранной кости при остеонекрозе изменяется, что может повлиять на функцию всей стопы. Таранная кость уплощается (сплющивается). Иногда таранная кость при некрозе может распадаться на фрагменты.
Причиной боли и тугоподвижности после перелома таранной кости может стать и артроз подтаранного или голеностопного сустава. Он связан с повреждением суставов как непосредственно в момент травмы, так и в результате деформации при неправильном сращении таранной кости.
Читайте также:
