Рентгенограмма, КТ при внутренней и наружной резорбции зуба
Добавил пользователь Евгений Кузнецов Обновлено: 28.01.2026
ФГАО «Первый Московский государственный медицинский университет им. И.М. Сеченова» Минздрава России, Москва, Россия
Первый Московский государственный медицинский университет им. И.М. Сеченова, Москва, Россия
Кафедра реконструктивной хирургической стоматологии и имплантологии факультета последипломного образования ГБОУ ВПО "Московский государственный медико-стоматологический университет им. А.И. Евдокимова" Минздрава России
Диагностика вертикальных трещин корней зубов с помощью конусно-лучевой компьютерной томографии
Журнал: Стоматология. 2016;95(6): 9‑11
Цель исследования — оценка достоверности результатов диагностики вертикальных трещин корней зубов различной ширины, проведенной при помощи метода конусно-лучевой компьютерной томографии КЛКТ. Вертикальные трещины корня моделировали на 25 интактных зубах, удаленных по пародонтологическим и ортодонтическим показаниям, затем изучали с помощью КЛКТ, после чего получали срезы корней зубов в соответствующих проекциях и оценивали размер трещин с помощью микроскопа. Чувствительность и точность для визуализации трещин шириной более 150 мкм достоверно выше, чем для визуализации трещин меньше 50 мкм; специфичность достоверно не отличается. Таким образом, КЛКТ достаточно эффективна для выявления вертикальных трещин корней зубов.
Вертикальная трещина корня (ВТК) зуба — продольная фрактура корня, возникающая в процессе эндодонтического лечения, либо как его осложнение, которое приводит к удалению зуба. ВТК может возникнуть в процессе пломбирования канала либо впоследствии под воздействием жевательной нагрузки [12]. В основном единственным вариантом лечения ВТК является удаление зуба [10].
В последнее время удаление зубов с диагнозом ВТК происходит значительно чаще [12] благодаря более точной диагностике и появлению в стоматологии новых технологий. Теперь шире используются роторные эндодонтические инструменты [3], «расклинивающая» сила при конденсации гуттаперчи [120], анкерные штифты, культевые вкладки и т. д. [1—4].
Симптомы ВТК в большинстве случаев возникают через 1—2 года после ее возникновения. Но они не являются патогномоничными и могут встречаться и при других патологических состояниях. При ВТК пациенты обычно жалуются на дискомфорт и болезненность, усиливающуюся при накусывании [11, 12]. Клинически можно определить одиночный глубокий пародонтальный карман. Иногда в области причинного зуба наблюдается незначительная припухлость мягких тканей или свищевой ход. Указанные явления чаще носят хронический характер с периодами обострения. Неспецифичность симптоматики во многом затрудняет постановку точного диагноза ВТК зуба [10, 12].
Дополнительный метод исследования при данной патологии — рентгенография: прицельная рентгенография, спиральная компьютерная томография (СКТ) и конусно-лучевая компьютерная томография (КЛКТ) [2, 12].
Наиболее доступным и широко используемым методом является прицельная рентгенография, которая, как известно, создает двухмерное изображение. К ее минусам можно отнести отображение артефактов и наложение анатомических структур. Прицельная рентгенография позволяет визуализировать ВТК только в случае совпадения угла рентгеновского луча с плоскостью трещины. Рассматриваемая патология со временем проявляется на прицельной рентгенографии костным дефектом, который имеет вид сужающегося к апексу «ореола» в области одной из боковых сторон зуба. Рентгенологические проявления убыли кости зависят от протяженности зоны деструкции и давности процесса. В силу двухмерности изображения и других сопутствующих факторов прицельная рентгенография позволяет диагностировать ВТК зуба не более чем в 25—30% случаев [2, 6—8, 10].
СКТ и КЛКТ дают трехмерное изображение, отображающее исследуемый объект в 3 плоскостях, что исключает некоторые погрешности двухмерной рентгенографии.
Использование для диагностики ВТК зубов СКТ не может быть рекомендовано для широкого применения из-за чрезмерной дозы облучения, высокой стоимости и отсутствия соответствующего оборудования в большинстве клиник [6].
Широкое распространение получила КЛКТ. Она была разработана специально для челюстно-лицевой области и имеет существенные преимущества перед спиральной. Это более низкая лучевая нагрузка, относительно низкая стоимость аппаратуры и ее обслуживания. При этом качество снимков сравнимо с такой при СКТ [8].
СКТ для диагностики ВТК впервые применили S. Youssefzaden и соавт. [7], отметившие, что ВТК зуба с помощью компьютерной томографии наиболее достоверно визуализируется в аксиальной проекции.
Несколько исследований были посвящены изучению визуализации ВТК с помощью КЛКТ.
C. Hanning (2005) отметил, что внутриротовая контактная рентгенография обнаруживает ВТК зубов зачастую только по косвенным признакам, в то время как на КЛКТ четко визуализируются все трещины. Такой же результат приводит R. Bernardes (2009), сравнивая периапикальную рентгенограмму и КЛКТ. B. Hassan и соавт. [6] изучали влияние пломбировочного материала (гуттаперчи) на визуализацию в КЛКТ, а также сравнивали качество полученных с помощью КЛКТ снимков, сделанных при разных размерах вокселя. Авторы отметили, что наличие пломбировочного материала (гуттаперчи) в канале снижало специфичность, но не влияло на чувствительность, т. е. при наличии пломбировочного материала в канале выявляется больше ложноположительных результатов.
K. Kamburoglu и соавт. (2010) сравнивали аппараты NewTom3G, Iluma (с высоким и низким разрешением) и цифровой рентгеновский аппарат (с детектором CCD) для диагностики искусственно созданных ВТК в удаленных зубах с запломбированными каналами [8]. В данном исследовании чувствительность КЛКТ была достоверно выше, чем прицельной рентгенографии. Авторы делают вывод, что для диагностики ВТК зубов оптимальны конусные компьютерные томографы с высоким разрешением и маленьким объемом области исследования (FOV).
S. Patel и соавт. (2013) показали, что в запломбированных каналах зубов (с гуттаперчей без силера) чувствительность КЛКТ при неполных трещинах (50—100 мкм) и полных (>200 мкм) составила соответственно 53,3 и 68,8%, а специфичность в обеих группах — 36,7%.
Наша цель — оценить достоверность диагностики ВТК зубов разной ширины, проведенной с помощью КЛКТ.
Материал и методы
Исследование проводилось на 25 интактных однокорневых зубах, удаленных по пародонтологическим и ортодонтическим показаниям. Предварительно были произведены декоронация зубов и механическая обработка корневых каналов (K-files, Dentsply; RaCe, FKG Dentaire S.A.) до финального размера № 25.06. Каналы впоследствии были распломбированы на 2/3.
ВТК зубов были получены путем воздействия расклинивающей силы, в данном случае — анкерного штифта, который вкручивали в канал корня зуба до возникновения трещины. После удаления штифта наличие ВТК зубов подтверждалось с помощью стереомикроскопа. 5 образцов не подвергались воздействию и были отобраны как контроль. Далее корни зубов фиксировали в самотвердеющую пластмассу (Rebaron, GC Corporation); затем выполняли КЛКТ.
КЛКТ проводилась в лаборатории на аппарате 3D Accuitomo 170. (3D Accuitomo; J. Morita Mfg. Corp., Kyoto, Япония) с плоско-панельным датчиком; область исследования (FOV) — 4×4 см, размер вокселя — 0,16 мм, параметр излучения — 80 кВт, 4мА, 30,8 с.
После получения рентгенологических данных и анализа локализации трещин производили поперечную сепарацию корней, деля их на 3 части. Всего получено 75 срезов. У образцов из коронковой и средней частей корня оценивали обе поверхности среза, у образцов из апикальной части — 1. В группу исследования включали только образцы с визуально определяемой трещиной. В контрольную группу (без трещины) вошли 15 срезов.
После предварительной подготовки шлифа в исследуемой группе измеряли размер трещины с помощью микроскопа Neophot 2 при различных увеличениях. Для регистрации изображения микрообъектов использовали видеоокуляр (Digital camera for microscope DCM-800). Окончательную обработку изображений выполняли с помощью фоторедактора (Arc Soft Photo Studio 5). Всего было отобрано 40 шлифов, составивших три группы: контрольную (без трещины), с трещинами размером 50—150 мкм (см. рисунок).

ВТК зуба 50—150 мкм. а — корень зуба; б — аксиальный срез КЛКТ; в — фрагмент среза данных микроскопии.
Данные КЛКТ, соответствовавшие полученным срезам, выделяли для последующей оценки. Изображения этих участков были представлены в презентации PowerPoint и оценивались 5 врачами, не участвовавшими в подготовке образцов. Для оценки была предложена трехбалльная шкала: 0 — трещина отсутствует; 1 — наличие трещины под сомнением; 2 — трещина имеется.
Данные исследования представлены в таблице.

Чувствительность, специфичность и точность КЛКТ для выявления трещин корня
Результаты и обсуждение
Проведенные ранее исследования [5, 7, 10] показывают очень высокую эффективность КЛКТ в диагностике ВТК при разных параметрах исследования; точность в среднем достигала 93%. Но эти исследования не учитывали ширину трещины, при том что ВТК получали путем раскола корней зубов. По нашим данным, при ширине >150 мкм можно определить почти 100% ВТК. Однако сравнивать данные этих исследований не совсем корректно, ввиду того, что ширина трещин не указана.
В другой работе S. Ozer [11] оценивал возможности компьютерного томографа i-Cat (Imaging sciences, Hatfield, PA; 120 кВт; 5 мА; FOV — 4×4 см; размер вокселя — 0,125 мм) в диагностике ВТК зубов разной ширины. Эффективность диагностики трещин размером 200 мкм составляла 70%, 400 мкм — 90%. В 3-ю группу в данном исследовании вошли зубы с трещинами, которые сопоставляли максимально плотно и склеивали без измерения ширины. Эффективность их диагностики составляла 81,6%. Однако автор не исключает, что ширина этих трещин достигает 200 мкм. В нашем исследовании выявлялись трещины шириной >150 мкм почти в 100% случаев, 50—150 мкм — примерно в 63% случаев. Разница, вероятно, обусловлена разными параметрами съемки.
В 2013 г. S. Patel и соавт. сравнивали возможность периапикальной радиографии и КЛКТ в диагностике ВТК зубов, запломбированных гуттаперчей. Чувствительность для неполных (50—110 мкм) и полных (>200 мкм) трещин составляла соответственно 53,3 и 68,8%, в то время как специфичность для обеих групп — 36,7%. Исследование проводилось на аппарате Accuitomo 3Dscanner (J. Morita, Kyoto, Japan) с параметрами 4×4 см, 90 Квт, 3,0 мА и 17,5 с. Авторы заключили, что низкие показатели специфичности были связаны с пломбировкой канала гуттаперчей, которая приводила к образованию артефактов, имитировавших трещины.
E. Brady и соавт. (2013) сравнивали 2 аппарата КЛКТ (3D Accuitomo J. Morita, Kyoto, Japan и i-Cat Next Generation CBCT, Hatfield, PA, USA) для выявления полных и неполных ВТК зубов со сравнительно малой шириной (30 и 110 мкм). Точность КЛКТ в выявлении трещин 50—110 мкм. Однако мы не определяли ВТК зубов шириной
Таким образом, КЛКТ — достаточно эффективная методика выявления ВТК зубов. Ввиду постоянного увеличения числа удаленных зубов с диагнозом ВТК необходимо пристальное внимание к этой проблеме. Невозможность точной клинической диагностики делает метод КЛКТ основным при данной патологии.
Резорбция корня зуба - симптомы и лечение
Что такое резорбция корня зуба? Причины возникновения, диагностику и методы лечения разберем в статье доктора Шумяковой Евгении Александровны, стоматолога со стажем в 6 лет.
Над статьей доктора Шумяковой Евгении Александровны работали литературный редактор Юлия Липовская , научный редактор Елена Страндстрем и шеф-редактор Маргарита Тихонова

Определение болезни. Причины заболевания
Резорбция корня зуба (root resorption) — это процесс, при котором рассасываются основные твёрдые ткани зуба —дентин и/или цемент [1] .
![Резорбция корня зуба [33]](https://probolezny.ru/media/bolezny/rezorbciya-kornya-zuba/rezorbciya-kornya-zuba-33_s.jpg)
При резорбции пациент не чувствует никаких изменений. Обычно поражение какого-либо участка зуба обнаруживается случайно при рентгенологическом исследовании.
Резорбция может быть физиологической и патологической:
- при физиологическом процессе рассасываются корни молочных зубов в период смены прикуса у детей;
- при патологической резорбции разрушаются ткани постоянного зуба у взрослого пациента.
В зависимости от того, где находится очаг поражения, выделяют два вида патологической резорбции:
- наружную (внешнюю), когда процесс начинается с поверхности корня;
- внутреннюю, когда рассасывание корня начинается со стороны пульпы.
Без лечения внутренняя резорбция может перейти во внешнюю с образованием перфорации (отверстия в зубе) и вызвать перелом зуба, поэтому необходимо вовремя диагностировать и лечить это заболевание [3] .
Причины резорбции корня зуба
Наиболее частые причины резорбции корня:
- Локальная инфекция, например хронический пульпит.
- Травма:
- острая — трещина или неполный вывих зуба, например из-за падения лицом вниз или хирургического вмешательства рядом с корневой системой;
- хроническая — длительное давление на зуб из-за неправильного расположения зуба в зубном ряду или некорректного лечения: неправильной установки внутриканального штифта при эндодонтическом лечении (лечении корневых каналов) или брекет-системы при ортодонтическом лечении [17] .
- Соматические заболевания: [28] ;
- патологии эндокринной системы (гиперпаратиреоз , сахарный диабет) [29] ;
- вирусные заболевания [30] ;
Также встречаются случаи идиопатической резорбции, когда не удаётся установить причину [31] [32] .
Причина внутренней резорбции — воспаление или повреждение пульпы. Чаще всего из-за травмы, ортодонтического вмешательства, бруксизма, травмы при удалении зубных камней. Однако даже при наличии большого очага инфекции резорбция может не возникнуть, так как её развитие зависит от многих факторов.
Наружная резорбция может быть вызвана внутриканальным отбеливанием, при котором отбеливающее вещество с перекисью водорода закладывают в канал зуба.
Распространённость резорбции корня зуба
Точная распространённость патологической резорбции неизвестна. Распределения по возрасту тоже нет, так как причины её появления не связаны с возрастом человека.
При обнаружении схожих симптомов проконсультируйтесь у врача. Не занимайтесь самолечением - это опасно для вашего здоровья!
Симптомы резорбции корня зуба
В большинстве случаев патологическая резорбция корня зуба протекает бессимптомно. Но иногда можно заметить некоторые изменения. Например, внутренняя резорбция проявляется при увеличении процесса: пульпа из нормальной превращается в ткань с гранулёмами, из-за воспаления она видна через дентин — на зубе появляется розовое пятно. Со временем воспалённая пульпа отмирает, и розовый цвет сменяется серым.
![Розовое пятно на зубе [19]](https://probolezny.ru/media/bolezny/rezorbciya-kornya-zuba/rozovoe-pyatno-na-zube-19_s.jpg)
Когда из-за резорбции верхушка корня становится короче, зуб может стать подвижным. Если внутренняя резорбция переходит во внешнюю, образуется перфорация (отверстие в зубе). Перфорация корневого канала внешне может проявиться отёчностью или уплотнением на десне в области над перфорацией.
Если резорбция прогрессирует, у пациента возникает боль при накусывании, реакция на изменение температуры, кровоточивость дёсен. Если присоединяется воспаление в области периодонтальной связки (периодонта) , зубы становятся подвижными [4] .
Патогенез резорбции корня зуба
Количество костной ткани корня зуба контролируют клетки-остеобласты и остеокласты: остеобласты создают новую костную ткань, а остеокласты разрушают старую. Резорбция, как физиологическая, так и патологическая, происходит благодаря остеокластам [5] . Этот процесс запускается, когда остеокласты становятся более активными, чем остеобласты [10] [11] .
В здоровом организме есть защитные структуры, которые не допускают резорбцию зубов: цемент и периодонтальная связка предотвращают наружную резорбцию корня, а предентин, покрывающий внутреннюю поверхность корневого канала, — внутреннюю. Остеокласты не «прилипают» к этим поверхностям. Повреждение цемента, периодонтальной связки и предентина, например в результате травмы, позволяет остеокластам прикрепиться к внутренней или наружной поверхности корня, с этого момента и начинаются процессы резорбции дентина или цемента зуба.

Точное происхождение и стимуляция остеокластов окончательно не изучены , но есть некоторые теории:
- Остеобласты. В активации остеокластов огромную роль играют остеобласты. Они вырабатывают молекулы, которые активируют остеокласты и способствуют резорбции.
- Наследственный фактор. Пациенты с нарушениями в гене интерлейкина предрасположены к резорбции. Интерлейкин-1В является медиатором воспаления. Доказано, что он тесно связан с резорбцией твёрдых тканей зуба [14][15] .
- Бактерии. Пусковым агентом в активации остеокластов и запуске процессов резорбции могут быть бактерии (например, при бактериальном воспалении пульпы или других воспалительных реакциях), которые меняют Ph среды в кислую сторону [16] . Бактериальные токсины привлекают лейкоциты. В присутствии определённых токсинов лейкоциты преобразуются в остеокласты [18] . Костная ткань разрушается за счёт активности ферментов (коллагеназы, матрикс-металлопротеиназы и цистеин-протеиназы). Считается, что эти ферменты изначально заложены остеобластами в структуру дентина или кости, но активируются они только при контакте с остеокластами, когда изменяется Ph [20][21] .
- Внутриканальное отбеливание. Может быть пусковым механизмом в процессах наружной резорбции. Перекись водорода может перемещаться через дентинные канальцы в цемент и запускать процессы разрушения цемента и периодонта.
- Травма. Когда происходит травма зубов, внутри пульпы развивается кровотечение с образованием сгустков. Эти сгустки замещаются грануляционной тканью с остеокластами.
Классификация и стадии развития резорбции корня зуба
Типы резорбции:
Типы патологической резорбции:
Типы наружной резорбции:
- Поверхностная резорбция. Как правило, затрагивает только цемент зуба. Этот процесс может начаться при поверхностном повреждении зуба из-за травмы или ортодонтического лечения. Повреждения маленькие и нечасто выявляются. Резорбции подвергается прежде всего верхушка корня зуба. Очень редко повреждения обнаруживают со стороны полости рта и с внешней стороны. Жевание не нарушается. При устранении причины, которая запускает резорбцию, например после окончания ортодонтического лечения, участок резорбции восстанавливается самостоятельно. Поверхностные резорбции встречаются чаще, чем воспалительные и заместительные.
- Воспалительная резорбция. Это самый быстрый и агрессивный тип наружной резорбции. Причиной обычно является инфекция в пульпе. Наружная воспалительная резорбция поражает большую площадь твёрдых тканей зуба.
- Заместительная резорбция (анкилоз). При этом типе резорбции ткань зуба замещается костью, в результате чего зуб теряет физиологическую подвижность. Это хронический процесс, который чаще всего происходит после вывиха зуба и его реплантации, т. е. возвращения в лунку. Причиной считается повреждение периодонта на наружной поверхности корня. Заместительная резорбция со временем не исчезает и приводит к полному замещению тканей зуба. Процесс заместительной резорбции может быть в состоянии ремиссии, такую резорбцию называют транзиторной. Если зуб полностью замещается костью, говорят о прогрессирующей резорбции.
- Инвазивная цервикальная резорбция. Это один из вариантов наружной резорбции, который начинается с шейки зуба. Встречается очень редко. Процесс может возникать на любом зубе. Причиной является повреждение цемента в области шейки зуба в результате травмы, ортодонтического лечения или внутрикоронального отбеливания. Без лечения инвазивная резорбция приводит к разрушению и значительной потере твёрдых тканей зубов [4][25] .

Осложнения резорбции корня зуба
Осложнением резорбции можно считать состояние зуба, при котором появляются клинические симптомы. Если резорбция становится заметна невооружённым глазом или начинает влиять на чувствительность зубов, то чаще всего на этом этапе восстановить корень уже невозможно, зуб придётся удалить.
Внутренняя резорбция без соответствующего лечения переходит во внешнюю и приводит к перелому зуба [3] .

Диагностика резорбции корня зуба
Резорбция корня зуба протекает бессимптомно, пациент ни на что не жалуется. При осмотре можно диагностировать цервикальную резорбцию, если в толще эмали видно розовое пятно.
Часто резорбцию выявляют случайно при рентгенологическом исследовании по другому поводу [23] . На рентгенограмме внутренняя и внешняя резорбция будут выглядеть по-разному.
Рентгенологические признаки наружной и внутренней резорбции корня зуба

Воспалительная и заместительная резорбция рентгенологически очень похожи. Но при заместительной резорбции из-за образования кости на снимке не видно просветления в области периодонтальной щели.
Рентгеновское обследование зубов (дентальные рентгенограммы) — самым простой, быстрый и доступный метод диагностики. Но в сложных случаях, когда не удаётся поставить диагноз, лучше использовать компьютерную томографию (КТ). Этот метод более информативный [22] [23] [26] .
Лечение резорбции корня зуба
Лечение направлено на устранение причин резорбции и её последствий, а также на восстановление функции зуба.
При резорбции корня нет стандартного протокола лечения. Метод будет зависеть от многих факторов: вида резорбции, величины поражения, состояния пульпы и наличия адекватного доступа.
Внутренняя резорбция. Эта форма болезни лечится пломбированием корневых каналов гуттаперчей с применением минерал триоксид агрегата (МТА) и композитных герметиков.
Часто врачи применяют при лечении резорбции временные пломбировочные материалы, содержащие кальций. Однако такое пломбирование каналов на долгий период (больше трёх месяцев) может снизить эластичность дентина и привести к образованию трещин корня зуба [32] .
При внутренней резорбции с перфорацией, которая сообщается с ротовой полостью, проводится хирургическое лечение: выкраивается и отслаивается слизисто-надкостичный лоскут, с помощью алмазного бора удаляется патологически изменённая ткань в области резорбции. Отверстие в корне зуба закрывается специальным материалом, затем слизисто-надкостничный лоскут ушивается. Период восстановления тканей у каждого человека индивидуальный, но в среднем он составляет 2 - 3 недели.
Наружная воспалительная резорбция. При лечении такой резорбции обязательно нужно устранить причину её появления — инфекцию. Для этого необходимо тщательно механически и медикаментозно обработать и запломбировать корневые каналы. Можно на три недели поставить временную пломбу с кальцием. При воспалении в корневых каналах местно возникает сдвиг Ph в кислую сторону, а временная пломба с кальцием создаёт щелочную среду и тем самым уничтожает бактерии. Процесс может сопровождаться небольшой ноющей болью.
Заместительная резорбция. Остановить этот тип резорбции невозможно. Скорость замещения зуба костной тканью зависит от возраста: чем моложе пациент, тем быстрее будет протекать резорбция. У взрослых зуб может много лет сохранять свои функции прежде, чем полностью будет замещён. Рекомендуется придерживаться выжидательной тактики. Когда коронка зуба будет держаться только за счёт зубо-десневого прикрепления, её нужно будет удалить, затем установить имплантат [6] [27] .
Чтобы предотвратить или задержать развитие заместительной резорбции после полного вывиха зуба и реплантации, перед возвращением зуба в лунку на корень можно нанести препарат Emdogain [8] .
Цервикальная резорбция. Наиболее эффективным методом лечения цервикальной резорбции является удаление поражённой ткани. После этого дефект зуба обрабатывают по принципам препарирования кариозных полостей и восстанавливают анатомическую форму зуба [19] .
Этот вид резорбции лечится с помощью «сэндвич-техники» с использованием стеклоиономерных цементов и композитных материалов, а также с применением МТА ( минерал триоксид агрегата) как дезинфицирующего и биосовместимого материала, который положительно влияет на результат лечения.
Прогноз. Профилактика
Наиболее благоприятный прогноз при лечении внутренней резорбции, которая не сообщается с ротовой полостью. Рецидив может произойти при попадании инфекции в герметично запломбированный канал.
Все виды наружной резорбции хуже поддаются лечению, рецидивы случаются чаще, поэтому и прогноз менее благоприятный. Когда именно может развиться рецидив, сказать невозможно, каждый случай индивидуален.
Профилактика резорбции корня зуба
Своевременное и адекватное эндодонтическое лечение травмированного зуба может предотвратить воспалительную резорбцию. Также лечение корневых каналов помогает не допустить потерю костной ткани и появление перфораций корня зуба.
Если процесс запущен, есть перфорация и утрачено большое количество тканей, перед эндодонтическим лечением лучше восстановить их целостность с помощью МТА или биокерамики [31] .
Рентгенограмма, КТ при внутренней и наружной резорбции зуба
ФГБУ «Центральный научно-исследовательский институт стоматологии и челюстно-лицевой хирургии» Минздрава России, Москва, Россия, Центральная клиническая больница РАН, поликлиника № 3, Москва, Россия
Особенности рентгенологической картины на этапах эндодонтического лечения
Журнал: Стоматология. 2015;94(4): 39‑43
Оценена достоверность информации о состоянии корневых каналов зубов перед проведением эндодонтического лечения и в его процессе, полученной при использовании распространенных в стоматологии рентгенологических методик и конусно-лучевой компьютерной томографии. Изучены возможности получения объективной рентгенологической информации на этапах эндодонтического лечения.
Несмотря на совершенствование технологий обработки и обтурации корневых каналов (КК), после эндодонтического лечения нередко возникают осложнения, приводящие к удалению зубов [5, 7, 14, 17]. Одна из причин неадекватного эндодонтического лечения — необъективность данных рентгенологического исследования [2, 4, 11, 18].
Использование рентгенодиагностических методик перед эндодонтическим лечением и на его этапах рассматривается в качестве обязательной составляющей обследования пациентов, так как рентгенологический метод имеет важное значение для выявления особенностей КК при планировании эндодонтического лечения и оценки его качества [1, 6, 8, 12]. В эндодонтической практике в основном применяется внутриротовая рентгенография и несколько реже — ортопантомография, для которых характерны проекционные искажения изображения, влияющие на объективность получаемой информации [3, 10, 19].
В настоящее время хорошо заметна тенденция к расширению границ применения при диагностике в стоматологии компьютерной томографии (КТ), что обусловлено увеличением количества диагностических центров, оснащенных конусно-лучевыми компьютерными томографами, а также сопоставимостью доз лучевой нагрузки на пациентов при использовании конусно-лучевой КТ (КЛКТ) и традиционно применяемых в стоматологии рентгенологических методик [9, 13, 15, 16, 20].
Цель настоящего исследования — определение возможности получения объективной информации о состоянии КК зубов при эндодонтическом лечении путем оценки достоверности используемых в стоматологии рентгенологических методик.
Для выявления закономерностей отображения КК, в том числе — запломбированных, изучены 374 внутриротовые периапикальные рентгенограммы, 53 ортопантомограммы (ОПМГ), 47 КТ до и после эндодонтического лечения 194 пациентов. В экспериментальных условиях на скелетированных челюстях с зубами выполнено 127 внутриротовых периапикальных рентгенограмм, 26 рентгенограмм при съемке параллельной техникой, 32 ОПМГ, 1434 КЛКТ-среза.
Данные КЛКТ сопоставляли с результатами эндодонтического лечения, внутриротовой съемки и ОПМГ. Определяли влияние информативности рентгенологических методик на качество эндодонтического лечения с учетом временных затрат на обнаружение КК зубов.
Используемые методики рентгенологического исследования применялись по общепринятым правилам геометрии съемки.
Внутриротовая рентгенография проводилась на дентальных аппаратах Minrey фирмы «Soredex» (Финляндия) и Heliodent DS фирмы «Sirona Dental System GmbH» (Германия), ортопантомография — на аппаратах Proscan фирмы «Planmeca» (Финляндия) и Orthophos XG5 DS Ceph фирмы «Sirona Dental System GmbH» (Германия). Применялись конусно-лучевые компьютерные томографы New Tom 3G (NIM S.r.I., Италия) и Vatech Pax Reve 3D («E-WOO Technology», Корея). Условия съемки на этих аппаратах соответствовали рекомендациям фирм-изготовителей.
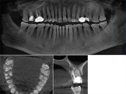
Выявлено, что у зубов с необтурированными КК при использовании распространенной в эндодонтической практике внутриротовой периапикальной рентгенографии, как правило, невозможно отчетливо визуализировать в каждом корне более 1 КК. В большинстве случаев это происходит из-за суммирования теней КК в каждом корне зуба (рис. 1, а; 2, а). В зоне нижней трети корней зубов отображение КК становилось нечетким либо вообще отсутствовало. При рентгенографии параллельной техникой изображение корней зубов было более качественным, чем при периапикальной съемке, но имело аналогичные закономерности (см. рис. 1, б). Использование для раздельной визуализации КК периапикальной рентгенографии в косой проекции приводило к ухудшению изображения нижних отделов корней всех групп зубов. На ОПМН КК зубов визуализировались недостаточно отчетливо (см. рис. 1, в).

Рис. 1. Исследование первого моляра верхней челюсти в эксперименте. При внутриротовой периапикальной рентгенографии (а), рентгенографии, выполненной параллельной техникой (б), в мезиальном щечном корне виден 1 КК; на фрагменте ОПМГ КК различаются нечетко (в); при КЛКТ на аксиальных срезах выявляются в мезиальном щечном корне 2 КК (г) и апикальные отверстия в дистальном щечном корне (д), на косом срезе определяется расположение корневых каналов (е).

Рис. 2. Исследование зуба 3.6. На внутриротовой периапикальной рентгенограмме (а) создается картина наличия только 1 канала в каждом из корней зуба; по данным аксиального среза КТ (б) отчетливо визуализируются по 2 КК в каждом из корней.
Рентгеновская КТ с построением аксиальных и косых срезов (см. рис. 1, г, д, е; 2, б) в сравнении с внутриротовой рентгенографией предоставляла объективные сведения о строении корней всех групп зубов. Информация о строении корней зубов, полученная при КТ перед эндодонтическими манипуляциями, позволяла заранее спланировать рациональную тактику лечения. В процессе эндодонтического лечения данные КТ способствовали сокращению времени на выявление устьев КК и повышению качества эндодонтического лечения.
При исследовании зубов с обтурированными КК выявлено следующее. На периапикальных рентгенограммах зуба, у которого 1 из 2 КК не был запломбирован, изображение незапломбированного КК часто отсутствовало. Это обусловливалось тем, что необтурированный КК находился за или перед обтурированным каналом корня. По той же причине наблюдалось суммирование теней 2 обтурированных КК в 1 корне зуба.
Использование периапикальных снимков в косой проекции позволяло получить раздельное отображение 2 запломбированных КК, однако в апикальном отделе корней тени пломбировочного материала в 2 КК часто суммировались при их локализации в действительности на расстоянии друг от друга.
На периапикальной рентгенограмме зуба, верхушка корня которого была уплощена или апикальное отверстие находилось на вестибулярной или небной (язычной) поверхностях корня на расстоянии от рентгеновской верхушки корня, возникала картина недопломбированного КК (рис. 3, а, б).

Рис. 3. Внутриротовая периапикальная рентгенография. Варианты отображения пломбировочного материала в КК: а — КК открывается на верхушке корня; из-за уплощения верхушки корня КК выглядит недопломбированным; б — КК открывается на вестибулярной поверхности корня; ложная картина не полностью запломбированного КК.
При внутриротовой рентгенографии объективную оценку качества лечения затрудняло наслоение интенсивных теней скуло-альвеолярного гребня и дна верхнечелюстной пазухи на изображение апикального отдела корней моляров верхней челюсти.
На ОПМГ нечеткость отображения переднего отдела челюстей в большинстве случаев не позволяла достоверно определить степень обтурации КК резцов и клыков, нередко возникала ложная картина недопломбированных КК. Из-за неравномерного попадания в выделяемый слой премоляров и моляров челюстей тени их адекватно обтурированных КК становились нечеткими и неоднородными, иногда — прерывистыми.
При интерпретации рентгеновских снимков в эндодонтической практике нередко возникает вопрос о принадлежности интенсивной линейной тени в КК зуба к фрагменту эндодонтического инструмента или гуттаперчевого штифта. Полученные данные свидетельствуют о сходстве рентгеновского изображения пломбировочной пасты и гуттаперчевых штифтов с фрагментами концевых отделов эндодонтических инструментов, имеющих размер 0,10—0,17 мм и менее, которые на снимках отображались в виде ровных линейных теней (рис. 4, а, б). Убедительная картина наличия в корнях зубов фрагментов инструментов для прохождения и расширения КК возникала, когда размер этих инструментов более 0,20 мм. Боковые поверхности инструментов таких размеров визуализировались в виде неровных винтообразных теней (см. рис. 4, в, г). Каналонаполнитель определялся по характерным волнообразным контурам (см. рис. 4, д). По интенсивности и конфигурации тени с гуттаперчевыми штифтами (см. рис. 4, е) были сходны некоторые инструменты, имеющие размеры >0,25 мм (см. рис. 4, ж, з, и).

Рис. 4. Рентгенологическое изображение эндодонтических инструментов. а — FlexoFile 015; б — FlexoFile 017; в — ProFile 020; г — HedstroemFile 025; д — Lentulo № 1 (025); е — Gutta Percha (гуттаперчевые штифты) 2% 025; ж — ProTaper F 2; з — Spreader 025; и — K-Files 030. Объяснения в тексте.
Обтурированный перфорационный канал в боковых стенках корней зубов на внутриротовых периапикальных рентгенограммах выявлялся только при правильно выбранной проекции съемки (рис. 5, а, б). При перфорации вестибулярной или язычной (небной) стенок корней зубов тень пломбировочного материала или эндодонтического инструмента находилась в пределах контуров корня, что не позволяло составить объективное представление о наличии перфорации (рис. 6, а, б).

Рис. 5. Отображение перфорации корня зуба 1.2 в зависимости от проекции съемки. а — на внутриротовой периапикальной рентгенограмме тень пломбировочного материала видна в пределах корня зуба; б — на периапикальной рентгенограмме в косой проекции — картина перфорации корня зуба.

Рис. 6. Исследование зуба 2.1. а — на внутриротовой периапикальной рентгенограмме тень концевого отдела корневой иглы отображается в проекции корня зуба; б — на косом срезе КЛКТ определяется перфорация вестибулярной стенки корня зуба.
ОПМГ достоверно передавали взаимоотношение выведенного из КК пломбировочного материала с корнями зубов и анатомическими деталями зубочелюстных сегментов. В большинстве случаев отображение пломбировочного материала в проекции дна верхнечелюстных пазух или нижнечелюстного канала не позволяло определить, находится пломбировочный материал вне или внутри этих анатомических образований. В подобной ситуации данные КЛКТ приобретали решающее значение (рис. 7, а, б).

Рис. 7. Исследование области зуба 2.7 и дна верхнечелюстной пазухи слева. а — на фрагменте ОПМГ в проекции дна верхнечелюстной пазухи виден пломбировочный материал, выведенный из корня 2.7; создается ложное впечатление о проникновении пломбировочного материала в пазуху; б — на косом срезе КЛКТ пломбировочный материал, выведенный из небного корня зуба 2.7, располагается вне пазухи, у ее внутренней стенки.
КЛКТ предоставляла достоверные сведения о качестве обтурации КК всех групп зубов, наличии незапломбированных и неправильно запломбированных КК (рис. 8, а, б, в), перфорации корней зубов (см. рис. 6, б).

Рис. 8. КЛКТ. а — не запломбирован небный корень зуба 1.6; б — щечные корни зуба 1.7 обтурированы не на всем протяжении; в — неоднородное заполнение пломбировочным материалом КК зуба 2.6.
При возникновении трудностей, связанных с клиническим обнаружением устьев корневых КК и трактовкой клинических ситуаций при уже проведенном эндодонтическом лечении, результаты распространенных на практике рентгеностоматологических методик нередко предоставляли ограниченную информацию. В таких случаях только применение КЛКТ давало возможность получить полное представление об интересующей нас области и сократить временные затраты на поиск устьев КК.
Принимая во внимание эффективность КТ, следует отметить, что эта методика имеет ряд особенностей, отражающихся на ее диагностических возможностях. Так, в сравнении с внутриротовыми рентгенограммами на КТ трещины корней зубов и находящиеся в слое пломбировочного материала фрагменты эндодонтических инструментов обычно не идентифицировались. Эффект очагового снижения плотности в зоне интенсивных теней пломбировочного материала (артефакт) создавал ложную картину неполностью запломбированных КК.
Следует отметить, что диагностическая ценность КЛКТ в значительной степени зависела от правильности постпроцессорной обработки изображения, некорректное выполнение которой может обусловить недостоверную картину обтурации КК.
Не всегда является достаточной информация на серии распечатанных на пленку КТ-изображений; поэтому целесообразно разнопроекционное и многосрезовое изучение рентгеноскиалогической картины за монитором компьютера, осуществляемое клиницистом совместно с врачом-рентгенологом.
Проведенные исследования свидетельствуют о том, что традиционные рентгенологические методики, использующиеся в стоматологии, предоставляют ограниченную информацию о топографии и качестве обтурации КК зубов. Применение КЛКТ значительно повышает информированность врача-стоматолога о трудностях, с которыми он может встретиться при выполнении эндодонтических манипуляций, а также о результатах лечения. Для получения объективной информации при эндодонтическом лечении целесообразно сочетать методики внутриротовой рентгенографии и КЛКТ, дополняющие друг друга.
Компьютерная томография в эндодонтии: образец современного лечения
Рентгенография является важным аспектом успешной диагностики одонтогенной и неодонтогенной патологии, лечении пульповой камеры и корневых каналов через коронковый доступ, биомеханической обработки корневых каналов, окончательной обтурации каналов и оценки проведенного лечения. Изображения требуются на протяжении всего эндодонтического лечения. Получение снимка до вмешательства требуется для правильной оценки твердых тканей зуба и альвеолярного отростка, а также степени патологического повреждения и постановки верного диагноза. Далее получение изображений на протяжении всего лечения также является необходимым. Изготовление снимка по окончанию лечения позволяет оценить проведенные манипуляции. Kells впервые сообщил об использование токопроводящего проводника в корневом канале в «радиограмме» в 1899 году.

С тех пор радиология всегда играла ключевую роль в эндодонтии. Теперь, столетие спустя, на основе первых попыток были изобретены компьютерная томография (КТ) и микро-КТ, а презентация в 1996 конусно-лучевой компьютерной томографии (КЛКТ) позволила получать 3D изображения, так необходимые в стоматологической практике.
Эта новая возможность получения изображения в трехмерном измерении значительно повысила уровень терапии в стоматологии по всему миру. КЛКТ постепенно становится золотым стандартом в обеспечении точной постановки диагноза, составления плана лечения и проведения лечения. Конусно-лучевая техника на настоящий момент имеет множество областей применения в стоматологии, это и планирование имплантации, хирургическая оценка патологии, оценка ВНЧС, выявление роста и развития для ортодонтических целей, дооперативная, оперативная и послеоперативная оценка при краниофациальной травме, краниофациальная реконструкция и хирургия полости рта. Вдобавок, КЛКТ используется для выявления точной локализации инородного тела в мягких тканях, выявлении расщепленной губы и неба, а также глубины кариозного поражения. КЛКТ становится типичным инструментом в деятельности хирурга, особенно имплантолога.
Ограниченность двухмерных изображений
Изображение, полученное на обычном радиографе представляет собой двухмерную (2D) интерпретацию трехмерного (3D) объекта. Характеристики трехмерного объекта, такие как сложная дентальная анатомия и строение окружающих тканей, могут быть трудно различимы в качестве «теней» 2D снимка, что может привести к неправильному эндодонтическому лечению. При анализе 2D снимка все изображения весьма вольно интерпретируются, внося аспект субъективности. Ограниченность дентальной рентгенографии также может быть обусловлена ошибкой рентгенолога. Любые неточности в получении изображения, начиная от неправильной ангуляции и заканчивая неверной конфигурацией зуба по отношению к сенсору, могут приводить к ошибкам при интерпретации снимков. Такие изображения плохого качества имеют артефакты и способствуют неправильной постановке диагноза. Многие исследователи, в том числе Goldman, подтвердили низкую корреляцию (47%) среди всех специалистов, проводивших лечение периапикальной патологии, прибегая к дентальной рентгенографии.
Конусно-лучевая компьютерная томография
КЛКТ используется в стоматологии начиная с 1981 года. В отличие от обычного КТ, которое создает изображение на разных слоях, КЛКТ создает изображение в 3D пикселях называемых воксель. Так как эти воксели являются изотропичными, объект тщательно измеряется в различных направлениях. Это позволяет визуализировать геометрически неискаженное изображение челюстно-лицевой области, которое возможно просматривать при разных углах. Вдобавок для обеспечения высокого разрешения изображения, КЛКТ доступно для просмотра с разных точек (FOV) для применения в различных ситуациях. В эндодонтии аппарат с ограниченным FOV обычно является достаточным. Обычно, чем меньше объем скана, чем выше пространственное разрешение изображения. Так как ранний симптом периапикальной патологии это прерывистость твердой пластинки и расширение периодонтальной щели, оптимальным разрешением при получении КЛКТ изображения, применяемом в эндодонтии, не должно превышать 200 нм - средняя ширина периодонтального пространства. 3D Accuitomo (K Morita, Corporation, Kyoto, Japan) - первая из малых FOV систем - обеспечивает разрешение в 0,125 мм. Orthophos XG3D (Sirons Germany) также обеспечивает получение FOV 5*5 специально для эндодонтических целей.
КЛКТ дает гораздо меньшую радиационную нагрузку, чем обычный КТ. Экспозиционная доза при проведении цифровой радиографии сравнима с получение обычных диагностических панорамных или прицельных снимков. Получение изображений для всей полости рта облучает примерно на 150 usv. Очевидно, что скан КЛКТ одного зуба с высоким разрешением, примененный в диагностическом процессе, заменяет 3 прицельных снимка. Трудно представить, что экспозиционная доза может быть более важным моментом, чем получение КЛКТ в благоразумной манере для получения информации, которая просто недоступно при работе с другими приборами.
КЛКТ в эндодонтии
1. Оценка морфологии корневого канала
Успех эндодонтического лечения зависит от обнаружения всех корневых каналов, а затем их оценки, очистки, обработке и обтурации. Частота встречаемости второго мезиобуккального канала (MB2) в верхних первых молярах варьирует от 69% до 93% в зависимости от выбранного метода исследования. Эта вариабельность возникает в букколингвальной плоскости, где наложение анатомических структур препятствует определению структур с малой разницей в плотности тени. Обычная рентгенография в самом лучшем случае может выявить только 55% этих конфигураций.
Ramamurthy и Matherene описывают ограниченность 2D изображений для определения MB2 каналов (Фото 1).
Фото 1: изображение MB2 в обоих первых молярах

Исследование, проведенное Neelkantan среди индийской популяции, обнаружило, что MB2 канал наиболее типичен для первого верхнего моляра по сравнению со вторым. Также IV анатомический тип канала встречается чаще, чем в монголоидной популяции.
Baratto Filho исследовали внутреннюю морфологию удаленных первых моляров верхней челюсти, сравнивая с данными, полученными при осмотре в микроскоп и при получении изображений КЛКТ ex vivo. Отчеты показали наличие 4-х каналов в 67,14% зубов и дополнительные корневые каналы в 92,85 % случаев в мезиобуккальном корне. Клиническая оценка показала слегка сниженный общий показатель (53,26%), но повышенный показатель выявления MB2 (95,63%), в то время как применение КЛКТ показало 37,05%. Ученые сделали вывод, что КЛКТ является хорошим методом для начальной оценки внутренней морфологии первого верхнего моляр, но для выявления устьев самым оптимальным способом является применение микроскопа. КЛКТ также применялся для выявления высокой встречаемости дистолингвального канала у Тайванцев, выявления аномалий в системе корневых каналов нижних премоляров, и помощи в выявлении искривлении корня (Фото 2).
Фото 2: Аксиальное изображение каналов C-формы во вторых молярах

С изобретением нового программного обеспечения для КЛКТ Orthophps CG3D/Galelios (Sirona, Germany) рабочая длина каналов также стала осуществляема. Но точность этих данных в клинической работе еще должна быть подтверждена (Фото 3).
Фото 3: Инструмент для измерения длинны корневого канала

2. Патологии в периапикальных тканях
Наиболее частым патологическим состоянием, затрагивающим зубы является воспалительные процессы пульпы и периапикальных областей. Технология КЛКТ теперь предоставляет клиницисту возможность обозревать нужную зону в трех различных плоскостях, тем самым получая 3D информацию. Поражения, заключенные в губчатом веществе кости с малым количеством или отсутствием кортикальной пластинки, на обычной пленке могут быть диагностированы с большим трудом. Lofthag-Hansen, Stavropoulos и Wenzel сравнили точность получаемых данных при КЛКТ с ограниченным FOV и обычными снимками.
Ученые сообщили, что КЛКТ предоставляет более точные диагностические данные (61%) по сравнения с цифровыми (39%) и обычными (44%) рентгенограммами. Но, несмотря на то, что данные КЛКТ являются более точными, исследователи не призывают к полному вытеснению обычной внутриротовой рентгенографии для выявления периапикальных изменений в обычной клинической практике из-за финансовой и вредностной составляющих. Estrela и коллеги предложили использовать периапикальные индексы, основанные на КЛКТ, для идентификации патологий (Фото 4-6).
Фото 4: Периапикальная киста в переднем сегменте нижней челюсти
А: 3D изображение, показывающее большую кистозную полость
B: Изображение секционного распила, показывающее утрату кортикальной пластинки
C: Аксиальный вид, демонстрирующий утрату кортикальной пластинки с лабиальной стороны и интактную пластинку с лингвальной.

Фото 5: Хронические периапикальные абсцессы около первого правого нижнего моляра

Фото 6: Поражение периодонтальных тканей около левого верхнего второго моляра

Система индексов КЛКТ состоит из 6 ступеней (0-5), исходящих из определения самого большого размера повреждения в каком либо из измерений, и принятие в расчет расширение и разрушение кортикальной кости.
Применяя данный индекс, Low пришел к выводу, что в обнаружение периапикальных патологий лучше использовать КЛКТ недели обычную рентгенографию.
КЛКТ с градиентом теней может оказать помощь в дифференциальном диагнозе кисты и гранулемы. В целом способность выявлять патологии у КЛКТ так же высока, как и у простой КТ. Этот способ может стать важным для пациентов, обращающихся с болевым синдромом или с неточно локализованными жалобами в области ранее леченных или не леченных зубов, на обычном рентгене которых патология не выявляется.
3. Переломы корня
Достаточно тщательно изучена польза и важность КЛКТ в процессе постановки диагноза и ведения зубоальвеолярной травмы, особенно переломах корня, люксации, смещения и переломе альвеолярного отростка.
КЛКТ найдено применение конкретно при диагностике перелома корня зубов.
(Фото 7,8) Высокая важность КЛКТ в определении вертикальных и горизонтальных переломов корня были также описаны в литературе. Элиминация наложения анатомических структур позволяет клиницисту четко анализировать перелом. Вдобавок, 3D реконструкция может быть осуществлена как зубочелюстной системы, так и альвеолярной кости.
Фото 7: Перелом корня в эндодонтически леченом верхнем правом втором моляре
А: ОПГ, показывающая ранее леченые каналы верхнего правого первого моляра
B: Аксиальное изображение, демонстрирующее линию перелома по небному корню
С: Секционный снимок, показывающий косую линию перелома небного корня

Фото 8: горизонтальный перелом правого верхнего центрального моляра
А: 3D изображение, демонстрирующее линию перелома у соединения средней и апикальной трети корня
B: Аксиальный снимок, показывающий горизонтальную линию перелома в передней части верхнего правого центрального резца
С: Косая линия отлома, распространяющаяся от мезиального каря центрального резца на секционном снимке.

4. Резорбция корня
Резорбция корня это утрата твердых тканей зуба в результате активности остеокластов. Это может происходить в рамках физиологического или патологического процесса. Корневая резорбция может быть классифицирована на внешнюю и внутреннюю, в зависимости от локализации процесса относительно поверхности корня. Первые данные о внутренней резорбции получены в 1830. В сравнении с внешней резорбцией внутренняя является весьма редким процессом, этиология которого до конца не изучена. Точность КЛКТ при определении дефектов поверхности хоть и является более высокой по сравнению со стандартной техникой, но, все же, не идеальна и повышается при повышении разрешения вокселей снимка. КЛКТ также показала свою состоятельность при оценке постортодонтической апикальной резорбции, в частности корней латеральных резцов верхней челюсти при импактных клыках.
На КЛКТ внешняя резорбция проявляется как неравномерная рентгенопрозрачность и интактный канал зуба, внутренняя же резорбция выглядит как четкий очаг без прослеживания корневого канала.
КЛКТ с успехом применяется для определения внутренней резорбции и дифференциации ее от внешней. Обычная рентгенография часто не может выявить верный объем распространения, локализации и источник резорбтивного процесса. КЛКТ помогает в определении с тактикой лечения, а также предлагает составить верный прогноз на основе активности и распространенности поражения. И лечение, и результат лечения таким образом становятся более предсказуемыми.
5. Послеоперационная оценка
Мониторинг заживляющего процесса апикальных поражений является важным аспектом в послеоперационном этапе эндодонтии. Также адекватная обтурация корневого канала - это важная детерминанта эндодонтического успеха. Можно заявить, что КЛКТ весьма полезна как при начале лечения, так и при отслеживании последующего состояния зуба. Sogur сообщает, что изображения, полученные при обычном рентгенологическом исследовании в послеоперационном периоде являются более информативными, чем КЛКТ. Этот факт ученый объясняет наличием большого количества артефактов на снимках КЛКТ, обусловленных присутствием гуттаперчи и силлера в каналах (Фото 9).
Фото 9: Артефакты обтурированных корневых каналов

Применение КЛКТ в определение точного места перфорации и ее роли в дальнейшем плане лечения проиллюстрировал Young (Фото 10).
Фото 10: Перфорация корня, хорошо заметная на аксиальном снимке

Преоперативная оценка периапикальных тканей является важным этапом для предотвращения осложнений. Близкое расположение апекса к нижнечелюстному каналу, ментальному отверстию и гайморовой пазухе может быть оценено именно на снимках КЛКТ. Rigolone был первым, кто описал важность КЛКТ для планирования эндодонтического вмешательства.
Важность КЛКТ для апикальной хирургии зубов, близко прилежащих к верхнечелюстной пазухе, последовательно была показана Nakata, который продемонстрировал клинический случай локализации перирадикулярной патологии у конкретного корня. Tsurumachi и Honda описали применение КЛКТ в локализации отломка эндодонтического инструмента, прошедшего в верхнечелюстную пазуху.
Заключение
Несмотря на очевидные преимущества технологии КЛКТ в стоматологии, можно также отметить и некоторые недостатки и ограничения. Технология КЛКТ на настоящий момент не является широко доступной. Постепенно с внедрением и осваиванием специалистами КЛКТ станет более распространенным способом диагностики. Хотя эта техника находится на рынке уже несколько лет, она продолжает оставаться дорогостоящей. Для большинства эндодонтических манипуляций достаточно только малое FOV 4*4 мм.
Лимитирование FOV позволяет не только сократить дозу облучения, время сканирования и артефакты, но также сфокусироваться на структурах, знакомых стоматологам. Что же ожидается в будущем касательно эндодонтии к КЛКТ? Захотят ли стоматологи сами приобретать аппарат или получать снимки специального радиолога из центра, не известно. Совершенно ясно только одно: все больше и больше стоматологов внедряют в свою практику применение КЛКТ.
Автор: Sushma Prashant Jaju, BDS, MDS
Operative Dentistry and Endodontics, Dentocare multispeciality Dental Clinic, Nashik, Maharashtra, India
Читайте также:
