Зубная боль. Реактивные изменения препарирования зубов
Добавил пользователь Евгений Кузнецов Обновлено: 21.11.2025
При лечении запущенного кариеса и пульпита во многих случаях приходится депульпировать зуб. Для умерщвления нервно-сосудистого пучка и купирования боли стоматологи иногда используют мышьяковистые пасты с антисептиками и анестетиками. Специалист:
- вскрывает пульпу и удаляет поврежденные участки дентина,
- рассчитывает дозировку препарата и закладывает его в открытые каналы,
- производит фиксацию пасты временной пломбой с целью герметизации.
Препарат с мышьяком постепенно девитализируют нерв, что приводит к исчезновению болей. Длительность воздействия стоматологических паст зависит от их точного состава, степени повреждения зуба, общего количества корней. Обычно неприятные ощущения длятся от 2-3 часов до нескольких суток, после чего нерв окончательно отмирает.
К сожалению, процесс девитализации пульпы может проходить с осложнениями, поэтому болевые ощущения сохраняются дольше положенного срока. Мы расскажем, почему болит зуб после мышьяка и что предпринимать в таких случаях.
Причины болевых ощущений
В норме некротизация пульпы при использовании препарата с мышьяком длится 1-2 дня. В течение этого периода времени могут сохраняться неприятные ощущения, но боль постепенно стихает и исчезает полностью. Если этого не происходит, значит, процесс идет с нарушениями.
Причин, почему болит зуб после закладки мышьяка, может быть несколько:
- врач допустил ошибку — не вскрыл пульпу или неправильно рассчитал дозировку препарата;
- организм отреагировал повышением чувствительности на введение мышьяка;
- временная пломба вызывает раздражение десны и травмирует ее;
- воспалительный процесс вышел за пределы пульпы и затронул глубоко расположенные ткани;
- начался некроз кости;
- развилась аллергия на препарат или пломбировочный материал — на ее возникновение указывает ощущение горечи в области корня языка.
Точную причину болей можно определить только по результатам осмотра и диагностики, поэтому обязательно посетите стоматологическую клинику. Если боль сопровождается другими симптомами — подъемом температуры и отечностью десны, не дожидайтесь назначенной даты повторного приема и срочно обратитесь к стоматологу.
Способы уменьшения боли
Не всегда при болях в зубе после закладки мышьяковистой пасты удается сразу попасть на прием к специалисту. Если нет возможности поехать в клинику немедленно, примите следующие меры:
- уменьшите жевательную нагрузку на пораженный зуб — пережевывайте пищу на другой стороне;
- примите обезболивающий препарат — любое нестероидное противовоспалительное средство;
- прополоскайте рот содовым раствором, отваром на основе цветков ромашки, календулы или шалфея.
Ни в коем случае нельзя превышать предельно допустимую дозировку обезболивающих препаратов, делать теплые компрессы на область поражения, надавливать пальцами на поврежденный зуб. Это может привести к различным осложнениям, спровоцировать развитие флегмоны или абсцесса, затруднить проведение дальнейшего лечения.
Обращение к стоматологу
Опытный врач-стоматолог определит причину болей и устранит ее. На приеме специалист осмотрит поврежденный зуб, снимет временную пломбу, извлечет лекарственный препарат, оценит состояние пульпы и окружающих тканей. По результатам диагностики врач:
- повторно заложит в подготовленную полость зуба пасту с мышьяком, если дозировка была недостаточной;
- подберет другой метод девитализации пульпы.
После отмирания нерва его извлекают, производят механическую и медикаментозную обработку корневых каналов и пломбируют их с использованием современных материалов, осуществляют рентген-контроль. Последний этап восстановления зуба — постановка постоянной пломбы.
Клиника «Дент Престиж» приглашает пройти лечение и реставрацию зубов по современным методикам. Заботимся о комфорте пациентов и предлагаем все виды стоматологических услуг. Адрес и телефон стоматологии недалеко от м. Братиславская приведены на сайте.
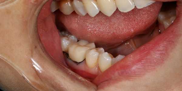
Почему ноют зубы после обточки?
Препарирование зубов — один из этапов ортопедического лечения. Это необходимая процедура при подготовке к установке коронок, культевых вкладок и виниров. Ее суть заключается в снятии части твердых тканей для придания зубным единицам нужной формы и надежной фиксации протезов. Она легко переносится, так как проводится с применением анестезии. Если зубы сильно повреждены, их, как правило, депульпируют. Однако большинство стоматологов стараются сохранить пульпу, так как она отвечает за кровоснабжение и питание тканей.
После обточки ноют зубы? Боль мешает есть, разговаривать и засыпать? Узнайте, почему возникают неприятные ощущения после подготовки к протезированию и как от них избавиться.
Причины боли после обточки
Дискомфорт в ротовой полости после частичного удаления эмали и дентина — распространенное явление. Если пульпа не была удалена, препарированный зуб может болеть в течение 3-7 дней. Неприятные ощущения обостряются при употреблении холодных и горячих напитков, жесткой пищи, кислых продуктов и сладостей. Это вариант нормы, так как повышенная чувствительность обусловлена истончением твердой ткани.
Причиной болей может быть нарушение техники препарирования зубов. Если врач работал без остановки, мог произойти перегрев тканей. В таком случае неприятные ощущения беспокоят в течение всего дня, а не только в ответ на внешние раздражители. Болезненность также может быть связана со снятием слишком толстого слоя дентина и оголением нерва зуба. Единственный вариант решения проблемы — удаление пульпы.
После обточки может болеть не только зуб, но и десна, если во время процедуры была использована ретракционная нить. Она отодвигает край десны и нередко травмирует ее.
Рекомендации стоматологов
Чтобы после обточки зубы не болели, соблюдайте следующие правила:
- используйте щетку с мягкой щетиной,
- ешьте теплые блюда и пейте напитки комнатной температуры,
- на время исключите из рациона твердые продукты,
- дышите носом, а не ртом,
- носите временные протезы.
При появлении дискомфорта обращайтесь к специалисту.
Когда необходима помощь врача?
Если зубы после обточки ноют дольше 7 дней, следует записаться на прием к лечащему врачу. Поводом для обращения к специалисту также может быть:
- воспаление и кровоточивость десен,
- появление новообразований на слизистой оболочке,
- неприятный запах изо рта,
- боли при жевании и чистке зубов.
Перечисленные симптомы нельзя игнорировать. Даже при незначительном дискомфорте лучше проконсультироваться с врачом, чтобы исключить развитие серьезных заболеваний.
Запись к стоматологу
Ищете, где недорого проводят протезирование недалеко от м. Братиславская? Приглашаем на консультацию в стоматологическую клинику «Дент Престиж». Средний стаж наших стоматологов-ортопедов составляет около 20 лет. Высококвалифицированные специалисты помогут восстановить целостность зубного ряда и вернуть красивую улыбку. Мы устанавливаем культевые вкладки, разные коронки и виниры. Врачи подберут подходящий способ протезирования с учетом клинической картины и финансовых возможностей пациента.
Записаться на бесплатную консультацию в стоматологию в районе Марьино можно онлайн и по указанному телефону. Стоимость протезирования зависит от многих факторов и рассчитывается индивидуально для каждого клиента. Ознакомиться с ориентировочными ценами на услуги можно в прайс-листе. Нужна дополнительная информация о предложениях? Свяжитесь с администратором клиники.
Что делать если болит зуб под пломбой
Для восстановления функций и формы зуба, разрушенного кариесом, стоматологи рекомендуют пройти процедуру пломбирования. При ней врач удаляет кариозную зубную поверхность без удаления нерва, вычищает пораженное болезнью место, заполняя его пломбировочным материалом. Установленная на зуб пломба защищает его от повторного инфицирования кариесом и оберегает чувствительные ткани на пломбированной зубной единице.
Зачастую пациенты после данной процедуры ощущают зубную боль под пломбой. Если процесс пломбирования был проведен правильно - в соответствии со стоматологическим протоколом, то болезненные ощущения должны быстро пройти.
Однако, что делать, если болит зуб под пломбой продолжительное время? Запломбированный зуб может болеть по нескольким причинам:

- Некорректный диагноз, после которого зуб болит под пломбой.
- Ошибки стоматолога во время проведения пломбирования, что говорит о некомпетентности врача.
- Использование некачественных пломбировочных материалов.
- Аллергическая реакция или полимеризационный стресс. Особенно этот фактор заметен при боли после световой пломбы.
- Перегрев зуба с пломбой.
- Несоответствие установленной пломбы прикусу.
- Плохая зачистка кариозных поражений.
Чтобы узнать почему болит зуб после процедуры пломбирования, необходимо, в первую очередь, выявить причину возникновения болевых ощущений.
Важно! Стоит учитывать, что продолжительная зубная боль после установки пломбы, которая сохраняется более одного дня, относится к стоматологическому отклонению. Пациент должен обратится в клинику без промедления за медицинской помощью.
Вопросы и ответы по: болит зуб под пломбой
Наиболее частые вопросы, которые задают пациенты после пломбирования зуба, касаются болезненных ощущений.
- Вопрос: «Месяц назад мне с помощью пасты для убивания нерва и установки временной пломбы залечили зуб, а он болит при нажатии. Также возле него напухла десна со стороны щеки. После выпадения временной пломбы, новую я не устанавливала. Что делать? Это связано с корнем или нервами?»
Ответ: «Скорее всего, воспалилась надкостница, так как вовремя не пролечили каналы. Нужно было их долечить и поставить постоянную пломбу. В вашем случае нужно удалять зуб, но, если обратиться срочно к врачу, то есть небольшой шанс его сохранить.» - Вопрос: «Может ли болеть зуб после пломбирования? Прошло уже 2 часа после того, как поставили пломбу, но я чувствую небольшую боль.»
Ответ: «Несильная боль в запломбированном зубе - это естественная физиологическая реакция на оперативное вмешательство в зубную полость. Периодические болезненные ощущения могут ощущаться на протяжении 2 месяцев до полного заживления. Они пройдут, если только боль не станет более сильной и нарастающей.» - Вопрос: «Вчера поставили пломбу, а зуб все-равно болит. Возле него появилась небольшая сыпь и зуд. Нет сил больше терпеть, что делать?»
Ответ: «Нужно обратиться к врачу для замены пломбы. У вас развилась аллергическая реакция на нее. Это достаточно редкое явление.» - Вопрос: «Неделю назад мне лечили кариес и поставили пломбу на 6 единицу внизу. Но зуб не перестал болеть. Особенно он беспокоит ночью, от пульсирующей боли не могу спать. Должен ли болеть зуб после пломбирования?»
Ответ: «Скорей всего, стоматолог Вам лечил глубокий кариес на фоне периодонтита или хронического пульпита и допустил ошибку, руководствуясь только визуальным осмотром ротовой полости. В любом случае, необходимо было делать рентгеновский снимок пораженного кариесом зуба. Нужно срочно убрать пломбу и пролечить каналы.» - Вопрос: «2 недели назад поставили без удаления нерва постоянную пломбу, но мне до сих пор больно жевать. К тому же, зуб реагирует на холодную и горячую пищу и временами появляется ноющая боль.»
Ответ: «Такие симптомы могут указывать на развитие хронического пульпита или развития абсцесса внутри зуба.»
Если появились различные боли в зубе после процедуры пломбирования, то единственная рекомендация - обратиться к квалифицированному специалисту. Ведь причины могут быть совершенно разные.
Болит зуб после удаления нерва и пломбирования
Разобраться с тем, почему болит зуб после удаления нерва и пломбирования его каналов поможет только врач-стоматолог после обследования. Самостоятельно лечить зубы без определения диагноза - крайне не рекомендуется.
В стоматологической практике процедура лечения каналов зуба посредством удаления нерва относится к достаточно сложным манипуляциям. Нередки случаи врачебной ошибки. Они чреваты различными осложнениями, при которых запломбированный зуб продолжает болеть.
Основной причиной того, что беспокоит «мертвый зуб» (без нерва) является:

- выведение пломбировочного материала за верхушку зуба - это происходит вследствие неправильного определения
- рабочей зубной длины;
- врач неправильно запломбировал канал;
- в канале произошел отлом инструмента;
- корневая перфорация зуба;
- если зуб ноет, то возможна аллергия на пломбировочный материал.
Стоит учитывать, что зуб под пломбой может болеть и без нерва. Ведь при процедуре изъятия из корневого канала достают лишь его небольшую часть, которая ответвляется от главного нервного ствола. К тому же, при удалении и пломбировке каналов - повреждаются зубные ткани. Когда на зуб воздействует анестетик, то боль - не чувствуется, она начинает быть ощутима после отхода от анестезии. Такие болезненные ощущения называют постпломбировочными.
После удаления нерва нередко могут беспокоить и соседние зубы, но создается такое ощущение, что болит именно пролеченный зуб. Опытный врач осмотрит зубной ряд для выявления и устранения данной проблемы. Однако, стоит «забить» тревогу, когда нерв удален давно, а зуб продолжает болеть - этот симптом может сигнализировать о развитии хронического пульпита или периодонтита.
Почему болит нерв под пломбой
Если после процедуры пломбирования в зубе болит нерв, то стоит обратить внимание на то, какая именно боль возникает - пульсирующая, периодическая, возрастающая. Причины этой боли могут быть только 2: естественная и вследствие нарушений при проведении процедуры лечения и пломбирования каналов, а также некорректно поставленный диагноз.
Болит зуб после пломбирования каналов
Часто пациентов стоматологической клиники беспокоит вопрос - почему болит зуб после ввода пломбировочного материала в канал зуба после удаления нерва. Так как любое вмешательство в организм имеет свои последствия, так и зубная боль является «отголоском» процедуры пломбирования.

Самыми распространенными причинами того, что зуб ноет после пломбировки каналов есть:
- ожоги и пересушивание дентина;
- аллергическая реакция на пломбировочный материал;
- разгерметизация пломбы;
- изменение прикуса;
- воздействие полимерализационных ламп;
- усадка пломбы.
Стоматолог обычно после процедуры консультирует о том, сколько болит по времени зуб под пломбой. Однако, если вы ощущаете нарастающие боли в запломбированном зубе больше 2 недель, нужно срочно обратиться к врачу. Такие боли могут возникать при отломе в канале инструмента, перфорации корней, а также неправильном лечении пульпита.
Почему болит десна после пломбирования зуба
Как правило, десна после пломбирования зуба не должна долго болеть. Но, если она все-таки болит, то нужно скорее распознать причину этому и устранить ее. Десна болит только в трех случаях:
- отторжение зубом установленной пломбы;
- непредвиденный прокол щеки шприцом во время укола антистетика, что может привести к воспалительному процессу в нем;
- неправильное лечение (нарушение техники пломбирования или неверный диагноз).

В такой ситуации требуется только квалифицированная помощь врача для устранения болевых ощущений.
Важно! Щеку для снятия боли категорически запрещается греть, иначе это может причинить более серьезные последствия. Можно только полоскать теплым содовым раствором.
Никогда нельзя заниматься самолечением, такие действия могут привести к плачевным результатам. Не стоит затягивать визит в стоматологическую клинику при малейших признаках «неправильной», ноющей боли в зубе под пломбой. Только квалифицированное обследование может выявить признаки «зарождения» хронических стоматологических заболеваний.
Наша клиника «Дент Престиж» предлагает лечение, отбеливание, удаление зубов в Южном Бутово или Марьино и другие стоматологические услуги по оптимальным ценам.
Пульсирующая боль в зубе: причины, как снять и лечение
Острые инфекционные процессы зубов и десен, травмы, длительно нелеченые заболевания - все это служит причинами появления пульсирующей зубной боли. Даже невыраженные болевые ощущения способны привести к ограничению жевательной функции и ухудшению общего состояния. С целью предупреждения развития серьезных осложнений важно своевременно обращаться к стоматологу и не забывать про профилактические осмотры.
Содержание

Юрина Светлана Викторовна
Опыт работы — 17 лет

Маметьев Евгений Сергеевич
Опыт работы — 14 лет

Литвин Ирина Борисовна
Опыт работы — 31 год

Радько Оксана Юрьевна

Горбачева Ирина Ивановна
Опыт работы — 26 лет

Рачкова Ульяна Вячеславовна

Сорокин Александр Максимович
Опыт работы — 9 лет

Гусарова Еленa Сергеевнa
Опыт работы — 11 лет

Карагулова Милана Зауровна
Опыт работы — 5 лет

Полунина Анастасия Викторовна
Опыт работы — 8 лет

Сорокина Алеся Николаевна

Герасимова Яна Олеговна

Юнаева Стелла Владимировна
Опыт работы — 21 год
Что означает пульсирующая боль в зубе
Неприятные болевые ощущения в области зуба, характеризующиеся чередованием периодов усиления и затихания боли, называются пульсирующими. Они свойственны не только заболеваниям зубочелюстной системы, но и могут быть признаком патологий головы и шеи. Считается, что болевые импульсы соответствуют такту биения сердца или пульсу.
Причины пульсирующей зубной боли
Непосредственной причиной острой пульсирующей боли в зубе является раздражение нервного пучка в мягких тканях. Человек может ощущать боли при чистке зубов, приеме пищи, употреблении холодных и горячих напитков. Продолжительность неприятных ощущений варьируется от нескольких минут до нескольких часов.
Кариес
Некротический процесс в твердых тканях зуба носит название кариес. В развитии заболевания выделяют 4 стадии:
Пульсирующая зубная боль появляется при переходе кариеса их среднего в глубокий. Это происходит вследствие разрушения тканей, окружающих пульпу, а также ее инфицирования. Боли носят кратковременный характер и усиливаются при воздействии на зуб температурных раздражителей, кислых продуктов, сладостей.
Острый пульпит
Пульпит - это воспалительный процесс, развивающийся в пульпе зуба. При этом боль иррадиирует в области виска, уха, глаза, носа или шеи. Неприятные ощущения носят преходящий характер, и могут на длительное время затихать. К усилению боли приводят преимущественно термические раздражители.
Причинами острого пульпита служат следующие состояния:
- Нелеченый кариес. .
- Инфицирование через корневой канал.
- Травматизация пульпы.
- Некачественное пломбирование корневых каналов.
Нередко боли возникают в ночное время, в положении лежа или в период максимальной физической активности.
Острый периодонтит
Воспаление корня зуба и прилежащих к нему тканях - это острый периодонтит. Данное заболевание является результатом несвоевременного лечения кариеса или пульпита. Инфицирование периодонта происходит вследствие попадания патогенной микрофлоры в кариозную полость, образовавшуюся в зубе.
Проникая в пульповую камеру, инфекция поражает пульпу (сосуды и нервы), а затем через апикальное отверстие верхушки корня попадает в периодонт (ткань, окружающая корень зуба).
При остром периодонтите у пациента отмечается следующая клиническая картина:
- Болезненность десны при ее пальпации в области пораженного кариесом зуба (возникает при приеме пищи, разговоре).
- Отечность и покраснение десны вплоть до синюшности.
- Выделение гноя из пародонтального кармана.
- Повышение температуры до 39 градусов.
- Сильные головные боли, нарушение сна.
Некоторые пациенты во время приема отмечают, будто зуб находится несколько выше остальных в зубном ряду (вследствие сильных пульсирующих болей).
Периостит
Воспаление надкостницы тела челюсти и альвеолярного отростка - это периостит. Причинами заболевания служат:
- Хронический периодонтит.
- Альвеолит.
- Пародонтит.
- Киста челюсти.
Нередко к периоститу приводят воспалительные процессы слизистой оболочки вокруг прорезывающегося 8 зуба (зуба мудрости) и острые респираторные инфекции.
Основными клиническими признаками заболевания являются:
Дополнительно, пациенты ощущают общую слабость, незначительное повышение температуры и головные боли.
Пародонтит
К причинам, вызывающим пародонтит, можно отнести следующие:
- Склероз сосудов.
- Снижение иммунитета.
- Гиповитаминоз.
- Плохая гигиена полости рта.
- Зубной камень.
- Нарушение питания тканей пародонта.
На ранних стадиях пародонтит проявляется кровотечением десен. На поздних - выпадением зубов.
Лечение заболевания заключается в тщательной очистке зубодесневых карманов от поддесневого налета и бактерий, соблюдении гигиены полости рта, антибактериальной и противовирусной терапии. При тяжелых формах периодонтита требуется хирургическое вмешательство (лоскутная операция, костный трансплантат).
Корневая киста
Воспалительный процесс в тканях периодонта с образованием гранулемы - это корневая киста. Она является следствием хронического гранулематозного периодонтита, в развитии которого выделяют 3 этапа:
- Уплотнение периодонта с формированием гранулемы размером не более 5 мм.
- Развитие кистогранулемы, достигающей 1 сантиметра в диаметре.
- Образование кисты - полостного образования, которое имеет соединительнотканную капсулу, выстланную изнутри слизистой тканью, вырабатывающей жидкость. Экссудат, в свою очередь, оказывает давление на прилегающие ткани и разрушает их.
Хронический гранулематозный периодонтит на ранних стадиях развития протекает бессимптомно. Диагностировать заболевание можно лишь в период обострения (появление сильной пульсирующей боли зуба, гиперемии десны, кровотечения с небольшим количеством гноя). Провоцирующими факторами обострения являются переохлаждение, психоэмоциональное перенапряжение, острые респираторные вирусные заболевания.
Истончение, повреждение зубной эмали
Эмаль - это твердая ткань зуба, защищающая от химических, температурных раздражителей и воздействия патогенной микрофлоры. С возрастом эмаль истончается, зубы становятся более уязвимыми к стоматологическим заболеваниям. Однако данный процесс наблюдается и в детском, юном возрастах.
Повреждение эмали провоцируют следующие факторы:
- Употребление газированных напитков, сладких, кислых и твердых продуктов.
- Дефицит витамина С и минералов (кальция, фтора, фосфора).
- Монодиета.
- Наследственный фактор.
- Заболевания ЖКТ (повышение кислотности, вязкости слюны, снижение ее выработки).
- Вредные привычки, использование зубов не по назначению (открывание бутылок).
- Температурные перепады (прием холодной пищи после горячего напитка).
В терапии патологий эмали используют укрепляющие аппликации, запечатывание дентинных канальцев. При необходимости проводят восстановление зуба. В более тяжелых случаях применяют ортопедическое лечение.
Механическое поражение зуба вследствие травмы
Травма зуба - часто встречающаяся проблема у спортсменов и детей дошкольного возраста. Ее классифицируют на следующие виды:
- Ушиб зуба.
- Вывих зуба: вколоченный, полный, неполный.
- Перелом зуба: перелом коронки или корня.
Пульсирующая боль после удаления зуба
Боли пульсирующего характера после удаления зуба - это естественный процесс, так как в это время происходит заживление и восстановление тканей. Если после операции экстракции не следовать рекомендациям стоматолога-хирурга, то это чревато развитием осложнений (альвеолита).
Пульсирующая боль в зубе после пломбирования
Боль в запломбированном зубе не всегда является ошибкой врача. В данной ситуации важно учитывать два главных момента в лечении:
- Во время лечения в полость зуба накладывают девитализирующее средство (для умертвления сосудисто-нервного пучка), которое будет находиться под временной пломбой. Боль в зубе может сохраняться в течение 2-3 дней.
- Если была поставлена постоянная пломба, но боли не стихли в течение 2 суток, то нужно немедленно обратиться ко врачу.
Пульсирующая боль под коронкой
Появление тупой пульсирующей боли в зубе под коронкой является результатом некачественной работы врача стоматолога - инфицирования корневого канала во время чистки. Выход из данной ситуации - срочное обращение к специалисту и устранение причины болей. В противном случае есть риск потери зуба.
Пульсирующая боль в зубе после чистки каналов
Чистка каналов - это сложная и трудоемкая процедура в лечении зубов. Врачу приходится работать с той частью зуба, которую достаточно трудно увидеть.
Основными причинами пульсирующей боли могут быть:
- Некачественно проведенное лечение.
- Отлом инструмента в корневом канале.
- Инфицирование.
Чтобы провести обработку корневой системы, необходимо отпрепарировать зуб, очистить канал и поставить пломбу. Даже при профессиональной чистке и пломбировке каналов могут возникать болевые ощущения, сохраняющиеся в течение 3 дней. При этом с каждым последующим днем боль будет ослабевать. Если по истечении 3 дней дискомфорт в зубе без нерва не исчезли, нужно срочно обратиться к врачу.
Пульсирующая боль в нижней челюсти
Не всегда пульсирующая боль в нижней челюсти является признаком стоматологического заболевания. Причины, на которые следует обратить внимание:
- Бруксизм (непроизвольное скрежетание зубами во сне). Для устранения данной проблемы врачи рекомендуют надевать каппы перед сном.
- Остеомиелит - инфекционный процесс, распространяющийся гематогенным путем. Поражает кости и прилегающие ткани.
- Дисфункция височно-нижнечелюстного сустава. Иногда данное заболевание может приводить к заклиниванию челюсти.
- Поражения ротовой полости: заболевания десен, кариес зубов, абсцессы.
Профилактика появления болей заключается в профессиональной гигиене полости рта и посещении стоматолога 1 раз в полгода.
Пульсация без боли
Данное явление характерно для апикального периодонтита. Гнойное содержимое скапливается в периодонтальных тканях и дает ощущение пульсации. Даже если при таком состоянии боли не чувствуются, вероятность развития патологического процесса есть.
Как снять пульсирующую боль в зубе
Порой ноющая пульсирующая боль в зубе настолько невыносима, что мешает не только есть, говорить, но и спать. Если дискомфорт настигает в ночное время или нет возможности посетить стоматолога, то врачи рекомендуют использовать обезболивающие препараты.
Медикаменты
Из лекарственных препаратов применяют противовоспалительные, анальгезирующие, жаропонижающие средства.
Нестероидные противовоспалительные препараты
Действие нестероидных противовоспалительных препаратов направлено на снятие болевого симптома, снижение температуры тела и устранение воспаления. Эффективными представителями данной группы являются: «Кетанов», «Ибупрофен», «Кеторолак», «Диклофенак», «Индометацин», «Найз». Активность лекарственных средств составляет несколько часов.
Анальгетики, антипиретики
Обезболить зуб и избавиться от высокой температуры помогают анальгетические средства, такие как: «Анальгин», «Парацетамол», «Аспирин», «Цитрамон».
Перед применением обезболивающих средств следует обязательно проконсультироваться со стоматологом. Также важно помнить, что временное устранение боли - это не лечение. После мнимого благополучия могут развиться серьезные осложнения. Верная тактика при появлении пульсирующей боли - посещение специалиста.
Народные средства
Успокоить боль на короткий промежуток времени можно с помощью народных методов. Среди эффективных домашних средств выделяют:
Способы лечения
Схему лечения составляют на основе собранного анамнеза и осмотра полости рта. Для подтверждения диагноза, определения точного места воспаления и визуализации анатомических особенностей зуба, врач направляет пациента на рентген исследование. Комплексная терапия включает в себя этапы:
- Устранение первопричины.
- Антибиотикотерапия.
- Противовоспалительная терапия.
Дополнительно важно следить за гигиеной полости рта и регулярно посещать врача-стоматолога.
Возможные осложнения
Среди серьезных осложнений, развивающихся при самолечении или вовсе отсутствии терапии, являются:
- Яркая болевая реакция зубов на химические, температурные и физические раздражители.
- Переход кариеса в тяжелые формы (из среднего в глубокий).
- Формирование абсцесса вследствие осложненного кариеса.
Оказание помощи в наших клиниках
Пульсирующая зубная боль - это серьезная проблема, которая требует оказания неотложной помощи. Не стоит затягивать с походом к специалисту и доверяться лишь народным методам лечения.
В наших клиниках в Москве квалифицированные стоматологи проводят консультации, диагностику и составляют схемы лечения индивидуально для каждого пациента. Многолетняя практика врачей и использование современных эффективных препаратов - залог отличного результата и сияющей улыбки.
Чтобы записаться на прием или более подробно узнать об услугах, вы можете связаться с нами по телефону или оставить заявку на сайте.
Возможно Вам будет интересно
Источники информации
- Хирургическая стоматология. Учебник./Под ред. Робустовой Т.Г. — М.: Медицина, 2015.
- Хирургическая стоматология. Учебник / Под ред. Афанасьева В. В. - . - М.: ГЭОТАР-Медиа, 2016. — 400 с.
- Руководство по челюстно-лицевой хирургии и хирургической стоматологии. Тимофеев А.А. 2002
- 25doctors: Пульсирующая зубная боль: причины и лечение
- Healthline: 8 причин пульсирующей зубной боли
Вопросы и ответы
✅ Почему пульсирует зуб и болит при нажатии?
При заболеваниях периодонта пульсирующая, ноющая боль при надавливании неизбежна, так как в периодонтальных тканях развивается воспалительный процесс. Он является следствием попадания патогенной микрофлоры через корневые каналы. Ощущение пульсации зуба - это серьезный повод для посещения врача-стоматолога, даже если боль на некоторое время стихает. На приеме специалист сможет выявить кариес на ранних стадиях и остановить прогрессирование кариозного поражения.
стоматолог‑ортопед, стоматолог‑терапевт, врач высшей категории
Статью проверил эксперт
Климович Виктория Борисовна
Квалифицированный специалист в области ортодонтии, челюстно-лицевой хирургии и эстетической реставрации зубов, опыт работы - 11 лет
Апикальный периодонтит ( Верхушечный периодонтит )
Апикальный периодонтит - это воспаление соединительнотканного комплекса, образующего зубодесневую связку (периодонт), локализующееся вокруг верхушки корня. В острой форме апикальный периодонтит проявляет себя болью и отеком в области поражения, реакцией на горячее, высокой температурой тела и общим недомоганием. Диагностируется апикальный периодонтит во время стоматологического осмотра на основании анамнеза, выявленных клинических проявлений и рентгенологического исследования. Лечение апикального периодонтита заключается в препарировании зуба, обработке каналов, применении противовоспалительных и антибактериальных препаратов, проведении физиотерапии и последующем пломбировании каналов и коронки зуба.
МКБ-10



Общие сведения
Апикальный (верхушечный) периодонтит - поражение тканей зубодесневой связки, при котором вокруг верхушки корня образуется очаг воспаления и происходит последующая постепенная деструкция периодонта. Это наиболее часто встречающаяся в терапевтической стоматологии форма периодонтита: ее диагностируют примерно у 30% пациентов в возрасте 21-60 лет. Чаще всего апикальный периодонтит является осложнением пульпита. Заболевание опасно своими последствиями - в случае отсутствия своевременного лечения апикальный периодонтит может переходить в хроническую форму, чреватую образованием гранулем, кист и свищей, а также осложняться периоститом, околочелюстным абсцессом, флегмоной, остеомиелитом челюсти и сепсисом. Развитие апикального периодонтита особенно опасно во время беременности.

Причины
На основании этиологического критерия выделяют три основных вида апикального периодонтита: инфекционный, медикаментозный и травматический. Нужно отметить, что периодонтиты травматической и медикаментозной этиологии довольно быстро переходят в инфекционную форму:
- Инфекционный периодонтит обычно является осложнением запущенного пульпита. При этом происходит гибель зубного нерва, вследствие чего патогенная микрофлора (чаще всего - стрептококки, стафилококки и анаэробные бактерии) распространяется в ткани периодонтальной связки через апикальное отверстие, формируя вокруг верхушки корня зуба очаг воспаления.
- Травматический периодонтитобычно становится следствием механических повреждений (травм зубов), в том числе - ушибов, микротравм, перелома зуба и т. п.
- Медикаментозный апикальный периодонтитобусловлен попаданием в ткани периодонта сильнодействующих препаратов или раздражающих веществ; наиболее часто возникает вследствие некорректного лечения пульпита.
Классификация
Инфекционная, травматическая, медикаментозная формы апикального периодонтита по пути проникновения инфекции относятся к интрадентальным. Существуют также экстрадентальные апикальные периодонтиты, развитие которых связано с переходом воспалительного процесса из окружающих зубы тканей, например, при гайморите или остеомиелите.
Широко распространена в настоящее время классификация по И.Г. Лукомскому, которая дифференцирует острые и хронические верхушечные периодонтиты по характеру патологического процесса и возможным осложнениям:
- Острый апикальный периодонтит по виду экссудации делится на серозный и гнойный, клиника которых сопровождается значительными болезненными проявлениями;
- Хронический апикальный периодонтит может быть гранулирующим, гранулематозным и фиброзным.

Симптомы
Острый апикальный периодонтит
Проявляет себя нарастающей ноющей болью в области поражения, усиливающейся от прикосновения. Пациенты отмечают чувство «выпирания» зуба из зубного ряда, болезненность реакции на температурные раздражители, особенно на горячее. Впоследствии боль значительно усиливается, становится пульсирующей, нередко иррадирует в близлежащие анатомические области, что говорит о перетекании патологического процесса в стадию гнойного воспаления. Наблюдается повышение подвижности больного зуба, отек тканей вокруг него и увеличение подчелюстных лимфатических узлов.
Ухудшается общее самочувствие, повышается температура тела (до 37-38 °C), нередко возникаете головная боль. Острая форма заболевания продолжается от 2-3 до 14 дней. При отсутствии адекватного лечения острый периодонтит может переходить в хроническую форму с образованием свища или кисты, а также осложняться более серьезными патологиями, например, околочелюстным абсцессом, флегмоной, остеомиелитом и др.
Хронический апикальный периодонтит
Может протекать практически бессимптомно, время от времени проявляя себя обострениями, сопровождающимися симптоматикой острой формы заболевания. Периоды ремиссии характеризуются незначительными болевыми ощущениями во время еды, появлением свищей на десне и неприятного запаха из полости рта. Хронический гранулирующий периодонтит проявляет себя непостоянными слабыми болями при надкусывании и чувством распирания. Этим признакам часто сопутствует формирование на десне свища с гнойным отделяемым, который через какое-то время исчезает.
В случае хронического гранулематозного периодонтита явные симптомы чаще всего отсутствуют, изредка возникают неприятные ощущения, но они незначительны. Если гранулема локализуется в области буккальных корней моляров и премоляров верхней челюсти, нередко наблюдается выбухание костной ткани в соответствии с проекцией верхушек корней. При отсутствии правильного лечения гранулема со временем переходит в кистогранулему или околокорневую кисту.
Хронический фиброзный периодонтит также не сопровождается явной симптоматикой: коронка зуба интактна, зондирование и перкуссия безболезненны, отсутствует реакция на изменения температуры. Характерно наличие глубокой кариозной полости, в которой зачастую находится некротизированная пульпа с гангренозным запахом.
Диагностика
Апикальный периодонтит диагностируется врачом-стоматологом на основании анамнеза, выявленных клинических проявлений заболевания и результатов рентгенологических исследований. Для точной диагностики проводится:
- Электроодонтометрия. С помощью ЭОД определяется степень поражения пульпы. Для острых форм периодонтита характерны показания ЭОД в интервале 180-200 мкА, для хронических - 100-160 мкА.
- Рентгенография зуба. В случае хронического гранулирующего периодонтита в апикальной области обнаруживается участок разрежения костной ткани с нечеткими границами размерами от 1 до 8 мм. Хронический гранулематозный периодонтит характеризуется ясно очерченными округлыми контурами области разрушения костной структуры вокруг верхушки корня зуба. Хронический фиброзный периодонтит на рентгенограмме проявляет себя расширенным периодонтальным пространством в апикальной области при отсутствии резорбции костной стенки альвеолы.
Дифференциальная диагностика
Острый апикальный периодонтит необходимо дифференцировать от похожих по симптоматике заболеваний:
- гнойного диффузного пульпита;
- острого верхнечелюстного синусита;
- околокорневой кисты;
- остеомиелита и периостита.

Лечение апикального периодонтита
Лечение любой формы апикального периодонтита проводится в несколько посещений и включает в себя три основных этапа:
- Механическую подготовку. На первом этапе под местной анестезией производится вскрытие пораженного зуба и очистка полости от остатков погибшей пульпы и кариозных тканей, после чего осуществляется обработка и расширение корневых каналов - создаются условия для оттока экссудата.
- Антисептическую обработку. Для дезинфекции каналов часто применяется ультразвуковая терапия. В дальнейшем в область корня зуба помещаются противовоспалительные и антибактериальные препараты в виде паст.
- Пломбирование каналов. Если воспалительный процесс в периодонте удалось купировать, на заключительном этапе лечения проводят тщательное пломбирование корневых каналов с последующим рентгенологическим контролем качества. При успешности манипуляций, лечение завершается установкой постоянной пломбы, а в случае сильного разрушения зуба его закрывают коронкой.
Комплексное лечение включает в себя также полоскания полости рта теплой минеральной водой и отварами лекарственных растений (ромашки, эвкалипта), прием сульфаниламидных препаратов, а при необходимости - антибиотиков широкого спектра действия (например, доксициклина или цефалексина). Широко применяются физиотерапевтические процедуры: УВЧ, инфракрасное лазерное воздействие, соллюкс и пр.
Вовремя проведенное лечение, как правило, демонстрирует свою эффективность - по статистике апикальный периодонтит полностью излечивается в 85% случаев. При вовлечении в воспалительный процесс костной ткани в результате неправильного или несвоевременного лечения терапевтическими методами зачастую добиться успеха в лечении не удается. В этой ситуации прибегают к хирургическому вмешательству - резекции верхушки корня или цистэктомии. Если все лечебные мероприятия оказываются безрезультатными, больной зуб удаляют.
Прогноз и профилактика
Своевременное обращение к стоматологу и вовремя начатое лечение острого апикального периодонтита, как правило, обеспечивают положительный прогноз и позволяют избежать перехода заболевания в хроническую форму, периостита, остеомиелита, абсцесса, флегмоны и сепсиса. Однако при запущенных формах хронических периодонтитов отсутствие адекватного лечения повышает риск осложнений: гранулем, кист и пр., которые часто приводят к необходимости удаления пораженного зуба.
Важнейшими мерами по профилактике апикального периодонтита являются простые правила гигиены, которые позволяют препятствовать возникновению заболеваний зубов, а также регулярное посещение стоматолога для проведения профилактического осмотра и своевременного лечения возникающих очагов кариеса. Кроме того, для предупреждения развития осложнений острого периодонтита следует как можно скорее обратиться к специалисту.
1. Клинические аспекты патогенеза апикальных периодонтитов/ С. В. Латышева, Т. В. Будевская, Л. Л. Александрова - 2009.
3. Эффективность комплексного лечения хронических апикальных периодонтитов/ О.Э. Турсуналиев, К.Б. Куттубаева, Н.Ю. Сушко// Вестник Казахского Национального медицинского университета. - 2015.
Читайте также:
