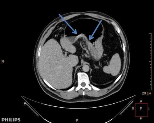
Рентгенограмма, КТ, УЗИ при раке пищевода
Добавил пользователь Евгений Кузнецов Обновлено: 28.11.2025
Рак желудка представляет собой злокачественное поражение эпителия слизистой оболочки органа. По статистике, рак желудка находится в пятерке «лидеров» среди всех онкологических заболеваний по частоте возникновения и занимает второе место по частоте смертельных исходов.
В большинстве случаев столь плачевная статистика связана со сложностями ранней диагностики.
Что такое рак желудка?
Рак желудка — это злокачественная опухоль, формирующаяся из клеток слизистой оболочки органа.
Несмотря на распространенность этого типа новообразований, каждый случай требует индивидуального подхода и разработки стратегии диагностики, лечения, а также тщательного стадирования. По мере развития, новообразование прорастает стенку желудка, может распространяться на соседние органы, метастазировать в отдаленные внутренние органы
Характерные черты заболевания
Рак желудка имеет ряд специфических черт:
- Чаще всего поражает пациентов старше 55 лет. В последние годы болезнь стала «молодеть», в редких случаях заболеть может даже ребенок.
- Мужчины страдают раком желудка чаще женщин.
- Часто протекает без выраженных симптомов или имеет скудную симптоматику, в связи с чем диагностика на ранних стадиях затруднена.
Причины рака желудка
Среди причин рака желудка называют:
- Преклонный возраст
- Осложненная наследственность
- Неправильное питание, гиподинамия, ожирение
- Наличие хронических заболеваний ЖКТ
- Полипоз желудка
- Курение, злоупотребление алкоголем
Виды рака желудка
В подавляющем большинстве, около 90% всех клинических случаев, речь идет об аденокарциноме.
Помимо аденокарциномы выделяют и другие виды опухоли желудка:
- Плоскоклеточный рак.
- Дифференцированный рак желудка.
- Железисто-плоскоклеточный рак и др.
По формам роста выделяют:
- Грибовидные опухоли. Такая опухоль склонна к позднему метастазированию, имеет экзофитный рост, четко отграничена от окружающих тканей.
- Опухоль изъязвленная. Имеет блюдцеобразную форму, углубление по центру. Также как и в первом случае четко отграничена от окружающих тканей и поздно метастазирует.
- Язвенно-инфильтративная опухоль. Прорастает стенки органа, не имеет четких границ.
- Диффузно-инфильтративная опухоль. Представляет собой смешанную форму. Имеет вид многочисленных изъязвлений, склонна к инфильтративному росту.
Исходя из расположения, могут быть:
- Опухоль дна желудка.
- Передней стенки.
- Задней стенки.
- Кардиальной зоны.
- Малой кривизны.
- Большой кривизны.
- Пилорической части.
Симптомы и первые признаки
- Чувство слабости.
- Нарушения со стороны психики: апатичность, индифферентное отношение к окружающему миру, депрессивное состояние.
- Чувство распирания в надчревной области.
- Диспепсические явления, среди которых: тошнота, длительно протекающая изжога.
- Резкое снижение веса (немотивированное, вне диеты).
- Болевой синдром различной степени интенсивности.
- Нарушения сна.
- Чувство переполненности желудка, плохой аппетит.
Отличить признаки рака желудка не просто. Точку в вопросе ставят диагностические мероприятия.
На развитых стадиях заболевания наблюдаются следующие симптомы опухоли желудка:
- Резкое снижение массы тела.
- Рвота без облегчения состояния.
- Тошнота.
- Ноющие боли, иррадиирующие в спину, поясницу. Чем более развита опухоль, тем интенсивнее боль.
- Кровотечения из ЖКТ, обусловленные разрушением сосудов. Проявляются рвота с кровью, черный стул и т.д.
- Анемия.
Как выглядит рак желудка?
На представленном фото рака желудка представлен внешний вид опухоли по стадиям развития.

Диагностика
Диагностика необходима, чтобы ответить на следующие вопросы:
- Оценка размеров злокачественной опухоли и ее распространенности.
- Определение локализации процесса.

Диагностика включает в себя два типа исследований: Выявление опухоли и оценку степени распространения опухолевого процесса для выработки оптимальной тактики лечения.
Методы диагностики
- Рентгенография желудка. Заключается в рентгенографическом исследовании органа с применением специального контрастирующего вещества, которое пациент выпивает до проведения процедуры. Это безболезненный и информативный способ обследования.
- ФГДС (фиброгастродуоденоскопия). Минимально инвазивное исследование, в ходе которого в желудок больного вводится специальный гибкий зонд с источником света и миниатюрной камерой. Позволяет визуально оценить состояние пищевода, желудка, начальных отделов тонкого кишечника. Параллельно с выполнением исследования производится забор биоматериала.
- Биопсия. Суть этого исследования состоит в заборе участка ткани для гистологического анализа. Может проводиться как во время ФГДС, так и в процессе проведения операции.
- Компьютерная томография. Дает возможность получить детальнейшие изображения структур желудка. Процедура абсолютно безболезненна и длится не долее 10-15 минут.
- Эндоузи (эндоскопическое ультразвуковое исследование). Процедура по своему характеру схожа с ФГДС, однако аппарат для ее проведения имеет дополнительный датчик, позволяющий более детально оценить глубину прорастания опухоли в слои стеки желудка.
- Лапароскопия. Минимально инвазивная операция, проводимая как в диагностических, так и в лечебных целях. Суть ее состоит во введении в брюшную полость через точечные разрезы специальных инструментов. Проводится под общим наркозом.

Оценка общего состояния здоровья больного.
- Общий анализ крови. Проводится с целью оценить количество гемоглобина, форменных элементов крови (лейкоцитов, эритроцитов, тромбоцитов). Для точности исследование следует выполнять натощак.
- Биохимия крови. Проводится для оценки количества АЛТ, АСТ, билирубина, амилазы, билирубина, глюкозы, альбумина и других показателей.
- Общий анализ мочи. Проводится для оценки работы выделительной системы человека.
- ФВД (функция внешнего дыхания). Проводится для оценки состояния легких. Суть исследования состоит в определении жизненного объема легких.
- Электрокардиография. Назначается для оценки функционального состояния сердца.
- ЭхоКГ (эхокардиография). Назначается для оценки анатомии и функционального состояния сердца.
Диагноз «рак желудка» выставляется только после полного обследования, в том числе обязательного гистологического исследования.
Методы лечения
Возможны следующие методы лечения рака желудка:
- Основным методом лечения больных раком желудка является хирургический.
Операция может производиться классическим либо лапароскопическим способами. В ходе хирургического вмешательства может быть удалена часть желудка или весь желудок, части окружающих органов, лимфоузлы и т.д. Все зависит от размера новообразования и его распространенности на другие органы.

Также может применяться в качестве паллиативной меры химиотерапия.
Прогноз рака желудка
Выживаемость зависит от степени распространения опухолевого процесса и общего состояния больного. В целом, можно представить следующие цифры прогноза при раке желудка:
- При I стадии заболевания пятилетняя выживаемость максимальна и достигает 90%.Около трех четвертей пациентов добиваются полного излечения.
- При IV стадии прогноз крайне неблагоприятный: смертность достигает 95%.
Противопоказания при лечении рака желудка
Существует несколько противопоказаний для оперативного вмешательства:
- Тяжелое состояние больного при болезнях сердца, легких, почек, печени.
- Наличие генерализованного опухолевого процесса.
В первом случае при переходе основных заболеваний в фазу компенсации возможно поставить вопрос о возможности хирургического лечения.
Лечение после операции
- Химиотерапия. Это внутривенное введение специальных препаратов, убивающих раковые клетки. Применяется после операции или в качестве самостоятельного метода терапии.
- Лучевая терапия. Применяется при диффузно растущих опухолях как метод дополнительного лечения либо назначается в паллиативных целях.
- Эндоскопические манипуляции. Применяются для улучшения состояния больных, не способных питаться естественным путем и т.д.
Профилактика рака желудка
Профилактика предполагает изменение рациона. В нем должно быть больше растительной пищи. Не стоит злоупотреблять копчеными, жареными и жирными продуктами. Они обладают канцерогенными свойствами. Также нельзя переедать. На алиментарные причины приходится порядка 35% всех случаев возникновения рака.
Необходимо отказаться от злоупотребления алкоголем, курения. Также важно своевременно лечить воспалительные заболевания желудка, такие как гастрит. Хронический воспалительный процесс — это благодатная почва для развития рака желудка.
Рак желудка — тяжелая и крайне опасная патология. Для ее лечения необходимо приложить максимум усилий, но не всегда это бывает оправдано. Куда проще предотвратить страшную болезнь. Чтобы это сделать, достаточно придерживаться указанных рекомендаций, и каждый год проходить профилактические осмотры.
Диагностика рака пищевода
В диагностике рака пищевода основными исследованиями являются рентгенологическое и эндоскопическое исследования, а так же мультиспиральная компьютерная томография (МСКТ), которая позволяет определить распространение опухолевого процесса и делать предположение о наличии регионарных и отдаленных метастазов опухоли.
Наиболее часто рак пищевода выявляют при рутинной эзофагогастродуоденоскопии. Крайне важно вовремя выполнить эндоскопическое исследование пищевода и желудка, при появлении таких симптомов, как затруднение прохождения пищи по пищеводу, ощущение кома за грудиной. Многие пациенты бояться проходить исследования, опасаясь болезненных ощущений, однако в настоящее время многие клиники предлагают возможность выполнения процедуры под наркозом, когда человек находится в состоянии сна.
Эзофагогастродуоденоскопия (ЭГДС, ФГДС) позволяет не только выявить место расположения опухоли в пищеводе, но так же оценить протяженность поражения и характер ее роста. Однако самое важное то, что при эндоскопическом исследование возможно выполнить забор образца ткани опухоли (биопсия) для последующего исследования и определения клеточного типа опухоли (гистологическое исследование). Гистологическое исследование играет решающую роль в определении дальнейшей тактики лечения больного.
Рентгенологическое исследование пищевода, желудка и двенадцатиперстной кишки с контрастным веществом (сульфатом бария) имитирует прием человеком пищи, при этом за счет приема через рот контрастного вещества «прокрашиваются» измененные участки пищевода. Исследование позволяет наглядно оценить локализацию и протяженность опухолевого поражения органа и степень сужения его просвета.
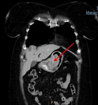
Мультиспиральная компьютерная томография (МСКТ) с внутривенным контрастированием является обязательным методом диагностики рака пищевода. Необходимо выполнять МСКТ как органов грудной клетки, так и брюшной полости. МСКТ обязательно надо выполнять с внутривенным введением контрастного вещества, так как опухоль и лимфатические узлы накапливают рентгеноконтрастный радиофармпрепарат. Проведение исследования без контрастного вещества не информативно. Мультиспиральная компьютерная томография позволяет определить точные верхние и нижние границы опухоли, глубину прорастания опухоли в стенку пищевода, распространение опухоли на соседние органы и структуры. Так же по результатам исследования можно сделать выводы о наличии поражения регионарных лимфатических узлов (наличие метастазов), а так же о вторичном распространении (метастазировании) опухоли в органы мишени (печень, легкие, кости скелета и др.). Результаты МСКТ принципиально важны для правильного стадирования опухолевого процесса и определения дальнейшей тактики лечения, решения вопроса о возможности выполнения радикального хирургического вмешательства.
Трахеобронхоскопию необходимо выполнять при раке среднего и особенно верхнего грудного отделов пищевода с целью выявления опухолевой инвазии в трахею и бронхи, что принципиально может повлиять на тактику дальнейшего лечения и объем оперативного вмешательства.
Рак пищевода
Рак пищевода представляет собой опухоль злокачественного характера, происходящую из эпителиальных клеток пищевода. Заболевание берет начало с внутреннего слоя, то есть слизистой оболочки, а затем распространяется наружу, преодолевая подслизистый и мышечный слои.

Существует два основных вида такого заболевания:
- Плоскоклеточный рак. Он возникает из клеток, составляющих слизистую оболочку пищевода. Чаще всего встречается в зоне шеи, а также двух верхних третей грудной клетки.
- Аденокарцинома, другими словами - железистый рак. Чаще всего диагностируется в нижней трети пищевода. Вначале происходит замещение железистого эпителия плоскоклеточным (при пищеводе Барретта).
Статистика
Чаще всего (до 80% случаев) новообразование находится в нижне- и среднегрудном отделах пищевода. С частотой 10-15% случаев диагностируется рак шейного отдела пищевода.
Факторы риска
Основные факторы риска возникновения и развития такой болезни:
- мужской пол, потому что мужчины чаще подвержены вредным привычкам - курению и употреблению спиртного в больших количествах;
- возраст - чем он больше, тем выше риск, лишь 15% пациентов были младше 55-ти лет;
- избыточная масса тела;
- курение и злоупотребление спиртным;
- употребление очень горячих напитков и еды;
- пищевод Барретта (когда в нижней части пищевода возникает клеточное перерождение, вызываемое кислотным повреждением хронической формы);
- рефлюкс;
- ахалазия (когда нарушена запирательная функция отверстия между желудком и пищеводом);
- рубцы в пищеводе, приведшие к его сужению;
- синдром Пламмера-Винсона (для такого синдрома характерна триада, то есть три вида нарушений одновременно: нарушенная глотательная функция, суженный пищевод, железодефицитная анемия);
- контакт с химикатами.
Примерно у 1/3 заболевших диагностирован ВПЧ (вирус папилломы человека).
Риск заболеть этим видом рака можно снизить, если разнообразно питаться, не пить крепкий алкоголь, а при наличии синдрома Барретта отслеживать изменения в слизистой оболочке.
Скрининг этого заболевания не проводится. Однако при повышенном риске появления рака пищевода рекомендуется проходить эндоскопическое исследование, при необходимости с биопсией подозрительной зоны.
Симптомы
Обычно рак пищевода обнаруживается на поздних стадиях, когда терапия уже осложнена, или случайно.
Наиболее частая симптоматика включает следующее:
- Дисфагия. Этот симптом представляет собой нарушенную функцию глотания. Пациенты описывают свое состояние как ощущение «комка в горле». Заболевшие начинают уменьшать порции пищи, избегают твердой еды. На поздних стадиях возможно употребление только жидкой пищи.
- Повышенное слюноотделение. Больше слюны в ротовой полости начинает вырабатываться для того, чтобы помочь продвинуться пищевому комку через суженный просвет пищевода.
- Дискомфорт и боль в грудине. Эти симптомы не всегда относятся к раку пищевода, они могут вызываться межреберной невралгией, стенокардией, гастроэзофагеальным рефлюксом. Поэтому не являются специфическими.
- Снижение массы тела. При затрудненном глотании и общей слабости заболевший человек начинает отказываться от еды, поэтому похудение часто сопровождает рак пищевода.
Есть и более редкие симптомы:
- кашель;
- икота;
- хриплый голос;
- рвота;
- костные боли (при наличии метастазов);
- пищеводное кровотечение (после того как кровь проходит по ЖКТ, стул окрашивается в черный цвет);
- как следствие кровотечения - анемия (человек становится бледным, слабым, быстро утомляется, испытывает постоянную сонливость).
Важно! Наличие подобных симптомов еще не означает рак. Однако нужно обязательно обратиться к врачу и обследоваться.
Классификация рака пищевода
По области возникновения:
- внутригрудной отдел пищевода;
- шейный отдел (от нижней границы перстневидного хряща до входа в грудную полость);
- верхняя грудная зона (от входа в грудную полость до области бифуркации трахеи);
- средняя грудная область (проксимальная часть пищевода распространяется от зоны бифуркации трахеи до соединения пищевода с желудком);
- нижняя грудная область (дистальная часть пищевода примерно 10 см в длине, включая абдоминальную часть пищевода, распространяется от зоны бифуркации трахеи до соединения пищевода и желудка).
По характеру роста опухоли:
- в просвет пищевода (экзофитный);
- язвенный (эндофитный);
- круговая форма (инфильтративный склерозирующий).
По степени дифференцировки новообразования:
- степень не определена - Gx;
- высокодифференцированное образование - G1;
- умеренно дифференцированное - G2;
- малодифференцированное - G3;
- недифференцируемое - G4.

Стадии рака пищевода

Предлагаем ознакомиться с таблицей стадирования заболевания:

Диагностирование осуществляется инструментальными и лабораторными методами.
- Рентгенография с бариевым контрастом. Пациент принимает внутрь сульфат бария, который обволакивает стенки пищевода. Это позволяет увидеть на снимке рельеф стенок и обнаружить сужение просвета. На ранней стадии рак может иметь вид небольших круглых выпуклостей, то есть бляшек. На поздней стадии развития новообразование принимает вид большой опухоли неправильной формы, которая может вызывать сильное сужение пищевода. Рентгенография также позволяет диагностировать трахеопищеводную фистулу, то есть когда из-за разрушения новообразованием стенки пищевода на всю толщину пищевод начинает сообщаться с трахеей.

Рентгенодиагностика рака пищевода

Эндоскопическая картина аденокарциномы

Эндоскопическая картина плоскоклеточного рака
Лабораторные исследования
- Клинический анализ крови. Позволяет выявить анемию, которая возникает из-за кровотечения или скудного рациона.
- Биохимический анализ крови. Он показывает состояние внутренних органов, а именно почек, печени и др.
- Анализ на онкомаркеры СА 19-9, РЭА.
- Исследование биоматериала, взятого во время биопсии. В нем определяют рецепторы белка HER2. При их наличии против новообразования можно использовать таргетную терапию.
Лечение
Основной метод лечения - хирургическая операция, однако комплексный подход позволяет улучшить результаты. Поэтому различные методики комбинируются.
Хирургическое лечение
В ходе операции удаляют пищевод целиком или его часть, все зависит от распространенности и локализации патологического процесса.
Когда опухоль находится в шейном отделе, удаляют большую часть пищевода. После этого желудок поднимают и подшивают к оставшейся части пищевода. Кроме того, вместо удаленной части методом пластической операции может быть использована часть толстой или тонкой кишки. При возможности выполнения резекции шейного отдела пищевода может быть выполнена пластика кишкой с микрососудистым анастомозом сосудов на шее.

При локализации опухоли в шейном отделе пищевода с большим распространением приходится выполнять операцию в объеме: удаления фаринголарингоэктомии с одномоментной пластикой пищевода желудочным трансплантатом, с пришиванием его к корню языка.
Хирургическое вмешательство по удалению части пищевода с последующим замещением трансплантатом может быть проведено открытым способом или методом торакоскопии и лапароскопии.
При любом типе вмешательства удаляют регионарные лимфоузлы, которые потом исследуют в лаборатории методом гистологии. Если в них обнаруживаются раковые клетки, то после операции пациенту прописывают лучевое лечение или химиотерапию в комбинации с ЛТ.
Также существуют паллиативные операции. Их проводят для того, чтобы пациент мог питаться, если из-за опухоли он не может глотать. Этот тип вмешательства называется гастростома, то есть введение через переднюю брюшную стенку в желудок специальной трубки для питания.
Лучевая терапия
Применяется ионизирующее излучение с целью уничтожения клеток новообразования. Такая терапия может проводиться:
- Тем пациентам, которым по состоянию здоровья нельзя делать операцию. В этом случае облучение, обычно вместе с химиотерапией, представляет собой основную методику лечения.
- При локализации опухоли в области шейного отдела пищевода химиолучевая терапия является первым этапом комбинированного метода лечения.
- Перед операцией вместе с химиотерапией. Это нужно, чтобы уменьшить опухоль и обеспечить ее лучшее удаление (называется «неоадъювантная терапия»).
- После хирургического вмешательства вместе с химиотерапией. Таким образом воздействуют на остаточную опухоль, которую нельзя было увидеть во время операции (носит название «адъювантная терапия»).
- Для облегчения симптоматики при распространенном раке пищевода. Позволяет снизить интенсивность болевого синдрома, устранить кровотечение и трудности с глотанием. В данном случае это паллиативная терапия.
Разновидности лучевого лечения:
- Наружное (дистанционное). Источник ионизирующего излучения находится на расстоянии от пациента.
- Контактное (называется «брахитерапия»). Источник излучения эндоскопическим методом размещается как можно ближе к новообразованию. Ионизирующие лучи проходят малое расстояние, поэтому достигают опухоли, но мало затрагивают расположенные рядом ткани. Лечение позволяет уменьшить новообразование и восстановить проходимость.

Дозное распределение, получаемое при дистанционной конформной лучевой терапии и внутрипросветной брахитерапии
Химиотерапия
Данная методика представляет собой введение в организм препаратов, затормаживающих жизнедеятельность опухолевых клеток или уничтожающих их. Лекарственные средства принимаются внутрь или вводятся в вену, после чего попадают в кровоток и достигают почти всех областей организма.
Химиотерапия осуществляется циклами. Это связано с тем, что действие препарата направлено на те клетки, которые постоянно делятся. Введение повторяется через определенное число дней, что связано с клеточным циклом. Циклы химиотерапии, как правило, имеют продолжительность 2-4 недели, больным обычно показано несколько циклов.
Как и облучение, химиотерапия показана в адъювантном и неоадъвантном режимах. Также она применяется, чтобы облегчить симптоматику тем больным, у которых рак распространен и не поддается хирургическому лечению.
- «Цисплатин» и «5-фторурацил» («5-FU»);
- «Паклитаксел» и «Карбоплатин»;
- «Цисплатин» совместно с «Капецитабином»;
- схема ECF: «Эпирубицин», «Цисплатин» и «5-FU»;
- схема DCF: «Доцетаксел», «Цисплатин» и «5-FU»;
- «Оксалиплатин» совместно либо с «Капецитабином», либо с «5-FU»;
- «Иринотекан».
Таргетная терапия
Направлена на блокировку роста новообразования путем воздействия на определенные мишени, то есть на те молекулы, которыми определяются деление и рост опухоли. Если в биоматериале, взятом методом биопсии, находят такие белковые молекулы, то может быть эффективна именно таргетная терапия.
Паллиативные методы
При проведении паллиативной терапии применяют следующие методики:
- Бужирование, то есть расширение пищевода.
- Установку стентов эндоскопическим методом. Стенты - это полые цилиндры, которые устанавливаются в просвет пищевода, чтобы обеспечить проходимость пищи.

Стентирование рака пищевода
Лечение рака пищевода изменяется в зависимости от стадии
0 стадия
Опухоль на этой стадии - это не истинный рак. В ней содержатся аномальные клетки. Такое состояние называют «дисплазией», это разновидность предраковых заболеваний. Аномальные клетки имеют вид раковых, но встречаются только во внутренней оболочке пищевода (эпителии), они не растут в глубокие слои пищевода.
Обычно применяются эндоскопические методики лечения:
- PDT, или фотодинамическая терапия;
- RFA, то есть радиочастотная абляция;
- EMR, эндоскопическое удаление опухоли слизистой оболочки (после этого обеспечивается длительное наблюдение с применением эндоскопии, чтобы вовремя заметить рецидив, если он возникнет).
I стадия
Новообразование затрагивает мышечную или собственную пластинку слизистой, но не поражает другие органы и лимфоузлы.
- Рак T1. Заболевание на ранней стадии, когда оно находится только в небольшой зоне слизистой и не достигло подслизистой основы (новообразования Т1а), может быть удалено путем эндоскопической резекции в рамках слизистой или подслизистого слоя. Иногда медики рекомендуют хирургически удалить часть пищевода, а затем провести облучение и химиотерапию.
- Рак Т2. Опухоль затрагивает мышечную пластинку слизистой. Таким пациентам перед операцией проводятся химиотерапия и облучение. Исключительно хирургическое удаление рекомендовано, только когда новообразование менее 2 см в размере.
Когда рак локализуется в зоне шеи, вместо операции в качестве основного метода лечения могут быть рекомендованы облучение и химиотерапия.
II и III стадии
На второй стадии опухоль распространяется на главный мышечный слой пищевода либо его наружную оболочку. Также новообразование поражает 1 или 2 расположенных рядом лимфоузла.
При третьей стадии новообразование прорастает на наружную оболочку пищевода, может распространяться на соседние органы, им поражены регионарные лимфоузлы. Рекомендовано комбинированное лечение, которое включает операцию и предваряющие ее химиотерапию либо химиотерапию в сочетании с облучением. Если по состоянию здоровья для пациента есть риск не пережить операцию, то химиотерапия в сочетании с облучением становится основным методом лечения.
IV стадия
Рак затрагивает отдаленные лимфоузлы, есть метастазы в отдаленных органах (легких, печени). На такой стадии основная цель лечения - как можно более долгий контроль над распространением и размером новообразования. Пациентам проводится симптоматическое лечение для облегчения боли, восстановления возможности питаться и др. Применяется лучевая терапия и химиотерапия.
Профилактика
Чтобы предупредить такое заболевание, нужно исключить алкоголь и курение, контролировать массу тела. Если у человека присутствует повышенный риск развития этого типа рака (это такие патологии, как пищевод Барретта, ахалазия кардии, стриктуры пищевода, хронические эзофагит), то он должен регулярно обследоваться с обязательным применением эндоскопии.
Важно! Если рано диагностировать рак пищевода, то его можно вылечить с вероятностью от 85% до 100%.
Когда лечение рака завершено, нужно регулярно проходить контрольные обследования:
- После радикального лечения, сочетающего хирургию, химиотерапию и лучевую терапию: в первые 2 года - каждые 3-6 месяцев, в следующие 3-5 лет - каждые 6-12 месяцев, затем - каждый год.
- Тем, у кого был обнаружен ранний рак и кто подвергся эндоскопическому удалению слизистой: в первый год - каждые 3 месяца эндоскопическое обследование, во 2-й и 3-й годы - каждые полгода, затем - каждый год.


Авторская публикация:
Бекяшева Зоя Салаватовна
Ординатор хирургического отделения опухолей головы и шеи
НМИЦ онкологии им Н.Н. Петрова

Под научной редакцией:
Раджабова Замира Ахмедовна
Заведующий отделением опухолей головы и шеи, врач-онколог, научный сотрудник, доцент, кандидат наук
НМИЦ онкологии им. Н.Н. Петрова
Что вам необходимо сделать
Если вы хотите узнать побольше о бесплатных возможностях ФБГУ НМИЦ онкологии им. Н.Н. Петрова Минздрава России, получить очную или заочную консультацию по диагностике и лечению, записаться на приём, ознакомьтесь с информацией на официальном сайте.
Если вы хотите общаться с нами через социальные сети, обратите внимание на аккаунты в ВКонтакте и Одноклассники.
Сто оттенков лучевой диагностики: у каждого вида рака — свой «золотой стандарт» исследования
8 ноября — День рентгенолога. В этот день, в 1895 году, немецкий физик Вильгельм Конрад Рентген, проводя очередной эксперимент, открыл рентгеновское излучение. Сегодня это самый доступный и распространенный метод диагностики в мире.
Ни один метод лучевой диагностики не является универсальным, каждый имеет свои преимущества и недостатки, поэтому в реальной клинической практике врачи применяют все возможности медицинской визуализации, обсуждая в рамках мультидисциплинарной команды оптимальный алгоритм обследования пациента. С помощью Сергея Сергеевича Багненко, доктора медицинских наук, профессора, заведующего научным отделением диагностической и интервенционной радиологии НМИЦ онкологии им. Н.Н. Петрова, разбираемся, какие лучевые исследования нужно делать при конкретных онкопатологиях.

Методы лучевого исследования
Принято считать, что всего существует пять методов лучевой диагностики. В целом, деление базируется на видах лучевого воздействия, которое применяется в том или ином случае.
Рентгеновский метод — рентгеновское излучение, ультразвуковое (УЗИ) - ультразвуковые волны, МРТ - электромагнитные колебания, радионуклидный метод (позитронно-эмиссионная томография — ПЭТ, одно-фотонная эмиссионная томография - ОФЭКТ) — гамма и другие виды ионизирующего воздействия. Исключение - компьютерная томография (КТ). Данный вариант лучевой визуализации в своей основе предполагает рентгеновское излучение, и должен был бы относиться к рентгеновскому, однако его появление настолько расширило возможности классической рентгенодиагностики, что в свое время было принято решение вынести КТ в самостоятельный метод.
По большому счету, задачи, которые они выполняют, следующие:
Рентгенодиагностика — оценка состояния костей и органов грудной клетки, как правило, в рамках первичной диагностики, а также желудочно-кишечного тракта, желчных протоков и сосудов, если речь идет о рентген-контрастных методиках.
УЗИ — первичная диагностика практически любой онкопатологии, а также экспертная оценка при злокачественных поражениях щитовидной и паращитовидных желез, наружных половых органах, опухолях мягких тканей, имеющих поверхностное расположение, в том числе патологии молочных желез.
КТ — анализ состояния грудной клетки, скелета и органов живота в рамках предоперационного планирования (инвазия сосудов, поражение лимфатических узлов и пр.)
МРТ — головной, спинной мозг, молочные железы, связки и мышцы, органы малого таза и другие мягкотканные структуры.
Радионуклидный метод — решение отдельных вопросов дифференциальной диагностики (доброкачественный/злокачественный процесс и др.), оценка функционального состояния органов, а также стадирование онкологического заболевания (визуализация отдаленных метастазов и пр.).

Независимо от конкретного варианта лучевой диагностики, нативное исследование (без применения контрастных веществ) изредка может быть оправдано, однако в подавляющем большинстве случаев, особенно, если речь идет об онкопатологии, применение контрастных препаратов является обязательным.
Виды рака и методы лучевой диагностики
Рассмотрим лучевую диагностику по отдельным анатомическим локализациям.

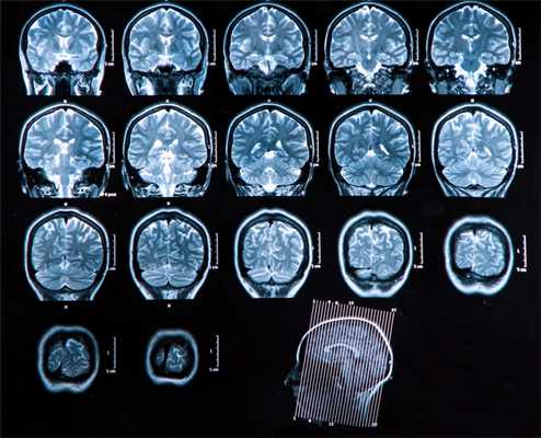
Головной мозг
Основной метод оценки непосредственно вещества головного мозга (в том числе первичных опухолей и метастазов) — МРТ с применением контрастного усиления.
Вопросы стадирования (поиск отдаленных метастазов) лучше всего решаются с помощью ПЭТ, в том числе с метионином.
Компьютерная томография используется как дополнительный метод в случае, если требуется оценка состояния костных структур, а также при наличии абсолютных противопоказаний к МРТ исследованию (наличие металла в теле — например, кардиостимулятора, ферромагнитных инородных металлических соединений: пластины, протезы, импланты и т.п.)
Первичный метод диагностики опухолей шеи — УЗИ.
Экспертная оценка - МРТ с контрастом.
КТ используется, когда необходимо оценить процесс разрушения (деструкции) костной ткани, требуется детальный анализ состояния гортани, а также есть показания к выполнению исследования сосудов (КТ-ангиография).
Радионуклидная диагностика - определение наличия онкологического процесса как такового, а также стадирование заболевания (применяются различные фармпрепараты: 18F-дезоксиглюкоза, метионин и пр.).
Щитовидная железа
Основной метод диагностики опухолевого процесса в щитовидной и паращитовидных железах — УЗИ. Отсутствие лучевой нагрузки, высокая разрешающая способность, а также доступность оборудования являются очевидными достоинствами эхографии. Особенно справедлив данный тезис, если речь идет об УЗИ с контрастным усилением и применением эластографии. Так называемое, мультипараметрическое УЗИ, то есть вариант исследования с включением в процедуру максимально количества различных методик, является наиболее перспективным вариантом реализации сонографической диагностики, особенно при злокачественной патологии.
Радионуклидная диагностика (к примеру, ПЭТ с 18F-DOPA) информативна в рамках подтверждения злокачественного характера имеющегося процесса, а также для выявления отдаленных метастазов.
Грудная клетка
С момента своего открытия (ровно 101 год назад) и по сей день рентгенодиагностика сохраняет свою актуальность (прежде всего, как метод первичной визуализации) в рамках оценки состояния легких и костной ткани. Однако «золотым стандартом» в данных областях заслужено стала КТ, базирующаяся на рентгеновском излучении, но существенно расширившая возможности классической рентгенографии. Компьютерная томография позволяет детально проанализировать состояние органов грудной клетки, оценить стадию и распространенность патологического процесса, вовлечение сосудов и других тканей, ответ на проводимую терапию.
У пациентов с острой патологией (например, реанимационных больных) может быть оправдано применение УЗИ (плевриты и др.).
МРТ эффективно для диагностики нейрогенных образований, которые располагаются в заднем средостении, а также как дополнительный метод диагностики при стадировании других опухолей средостения, например, рака пищевода.

Молочная железа
В настоящее время основными методами исследования молочных желез являются: маммография, УЗИ и МРТ. Все они обладают очевидными достоинствами и активно конкурируют между собой. Классическим вариантом визуализации (широкодоступным и понятным подавляющему большинству специалистов) является рентгеновская маммография.
УЗИ - неинвазивный метод, не предполагающий лучевую нагрузку, обладающий чрезвычайно высокими характеристиками в плане разрешающей способности изображений. Многие учреждения именно сонографический вариант диагностики рассматривают как «золотой стандарт», однако «операторозависимость» (когда два разных специалиста могут по-разному трактовать увиденное), а также невозможность оценить результаты другим специалистом (альтернативное мнение), ограничивают «зону ответственности» ультразвуковой диагностики.
МРТ решает большинство рассматриваемых вопросов, также не предполагает лучевой нагрузки, но имеет определенные ограничения в плане доступности и стоимости процедуры.
Печень
Первичная диагностика - УЗИ.
Экспертная оценка — КТ/МРТ с динамическим контрастированием.
КТ - доступнее, необременительна для пациента (само сканирование происходит за считанные секунды/минуты), позволяет в ходе одного визита исследовать в том числе легкие (что часто требуется в рамках онкоскриннинга).Это более простой, а потому более стандартизированный метод, который позволяет детально оценить состояние сосудов, что крайне важно при предоперационном планировании. Независимо от того, в каком центре проводится исследование, качество собранных данных будет, как правило, на достаточном уровне.
МРТ дает максимум информации в плане выявления и дифференциальной диагностики очаговой патологии печени, особенно если сканирование проводится с гепатотропными контрастными препаратами. Не предполагает лучевой нагрузки (то есть безвредно), а потому может выполняться многократно, в том числе беременным и детям. Однако многое зависит от того, в каком конкретно центре выполнено исследование (аппарато- и операторозависимость), занимает больше времени (сложности при обследовании пожилых, ослабленных пациентов), имеет ограничения в плане исследования легких (МРТ легких обычно не проводится и для их анализа приходится совершить визит в КТ отделение), имеет абсолютные противопоказания (например, металл в теле), уступает КТ в отношении предоперационной оценки.
Поджелудочная железа
По большому счету ситуация аналогична применяемым методам лучевой диагностики печени, однако есть некоторые нюансы. Так, из-за центрального расположения органа в теле визуализация при УЗИ может быть затруднена (тучные пациенты, при метеоризме — вздутие кишечника). Локальные обызвествления значительно лучше выявляются при КТ.
МРТ эффективнее для дифференциальной диагностики выявленных изменений.
Почки
Основные методы диагностики опухоли почки — КТ, МРТ и радионуклидный. Только в совокупности эти три составляющие могут дать врачам-онкологам полную информацию о состоянии органов. Традиционное УЗИ активно применяется для первичной оценки зоны интереса. Большие перспективы связывают с внедрением в клиническую практику УЗИ с контрастным усилением, однако по ряду технических моментов доступность данной методики сейчас ограничена.
Малый таз
«Золотым стандартом» оценки состояния органов малого таза, независимо от пола пациента, считают МРТ. И женские и мужские внутренние половые органы лучше всего оценивать с помощью МРТ с динамическим контрастированием. Впрочем, существуют ситуации, когда КТ может дать ценную дополнительную информацию.

Суставы и кости
В онкологической практике основными методами диагностики опухолей костно-мышечной системы являются МРТ и КТ.
Определенный приоритет имеет МРТ, однако, если требуется детальная оценка структуры кости или речь идет о параметрах деструкции, без КТ не обойтись.
Также в НИМЦ онкологии им. Петрова используется SLOT-рентгенография костей, когда с помощью специальной методики вся конечность, позвоночник или весь скелет целиком визуализируются на одном рентгеновском изображении. Этот метод позволяет точно определить параметры опухоли и соотнести ее с размером кости, что чрезвычайно важно хирургам при планировании вмешательства, подбора протеза или изготовления импланта.
Сосуды
Определенную информацию о состоянии некоторых сосудов можно получить при допплерографическом УЗИ, однако в онкологической практике чаще требуется более детальная информация и приходится прибегать к ангиографическим методикам.
Наиболее информативны - артериография на фоне плоскодетекторной компьютерной томографии (ПДКТ-артериография) и селективная цифровая субтракционная ангиография (ЦСА).
В 2021 году в НМИЦ онкологии им. Н.Н. Петрова в рентгеноперационной отделения рентгенохирургических методов диагностики и лечения был установлен современный ангиографический комплекс Artis Zee Flor (Siemens), позволяющий выполнять весь спектр диагностических и лечебных вмешательств, применяемых в интервенционной онкологии (в том числе с использованием ПДКТ-артериографии, ЦСА, внутрисосудистой и чрескожной 3D навигации). Однако основным недостатком данных методов визуализации является их инвазивность, требующая госпитализации пациентов для проведения вмешательства с соблюдением строгих правил асептики и антисептики.
Поэтому в рутинной практике чаще прибегают к менее инвазивным КТ-ангиографии и неинвазивной МР-ангиографии. Эти варианты визуализации позволяют проследить ход сосудов, выявить наличие тромбов, оценить наличие и степень опухолевой инвазии. КТ быстрее и обеспечивает более высокое пространственное разрешение изображений. Если применение йодсодержащих контрастов противопоказано (аллергические реакции, почечная недостаточность), выполняют магнитно-резонансное исследование. Современные технологии позволяют проводить сканирование с ЭКГ синхронизацией (требуется при изучении сосудов сердца), а также выполнять бесконтрастную МР-ангиографию (без введения контрастных препаратов в сосудистое русло).
Спинной мозг
Основной метод диагностики опухолей в спинном мозге — МРТ с контрастом. Он позволяет определить локализацию патологического процесса (интрамедуллярный или экстрамедуллярный, то есть находящийся в структуре спинного мозга или вне его), оценить его распространённость, вовлечение соседних структур. Если есть противопоказания к МРТ, а также, когда нужно детально разобраться с состоянием расположенных рядом позвонков, проводят КТ.
Пациенту важно помнить, что любые обследования, их последовательность и объем должен назначить врач-онколог. В подавляющем большинстве случаев диагностика нужна не сама по себе, а для планирования лечения, которое будет проводить соответствующий врач. Поэтому «назначенные» самостоятельно процедуры без предварительной консультации со специалистом могут быть абсолютно не информативны, то есть бесполезны, а с учетом возможной лучевой нагрузки даже вредны.


Автор:
Ирина Фигурина
специалист по связям с общественностью НМИЦ онкологии им. Н. Н. Петрова
Оренбургский государственный университет, факультет филологии
Рак пищевода - злокачественная опухоль, формирующаяся из разросшегося и переродившегося эпителия стенки пищевода. Клинически рак пищевода проявляется прогрессирующими расстройствами глотания и, как следствие, снижением массы тела в результате недостаточного питания. Первоначально, как правило, обнаруживают опухолевое образование при рентгенографии, эндоскопическом исследовании, КТ или УЗИ. Диагноз - рак пищевода - устанавливают после проведения гистологического исследования биоптата новообразования на предмет обнаружения злокачественных клеток.


Общие сведения
Как и всякое злокачественное новообразование, рак пищевода имеет тем более неблагоприятный прогноз, чем позднее выявлено заболевание. Раннее обнаружение рака способствует более выраженному эффекту, опухоли на 3-4 стадии обычно не подлежат полному излечению. При прорастании раковой опухолью стенок пищевода поражаются окружающие ткани средостения, трахею, бронхи, крупные сосуды, лимфатические узлы. Опухоль склонна к метастазированию в легкие, печень, может распространяться по пищеварительному тракту в желудок и кишечник.
Факторы риска развития рака пищевода

В настоящее время механизмы развития рака пищевода до конца не изучены. Факторами, способствующими возникновению злокачественной опухоли, являются: курение, злоупотребление алкоголем, употребление излишне горячей и слишком холодной пищи, производственные вредности (вдыхание токсических газов), содержание тяжелых металлов в питьевой воде, химические ожоги пищевода при проглатывании едких веществ.
Регулярное вдыхание воздуха, содержащего пылевую взвесь вредных веществ (при проживании в задымленной местности, работе в непроветриваемых помещениях с высокой концентрацией производственной пыли), также может способствовать развитию рака.
Заболеваниями, способствующими развитию рака пищевода, является гастроэзофагеальная болезнь, ожирение, кератодермия. Грыжи пищевода, ахлозия (расслабление нижнего сфинктера пищевода) способствуют регулярному рефлюксу - забросу содержимого желудка в пищевод, что в свою очередь ведет к развитию специфического состояния: болезни Барретта.
Болезнь Баррета (пищевод Баррета) характеризуется перерождением эпителиальной выстилки пищевода по типу желудочного эпителия. Это состояние считают предраковым, как и большинство эпителиальных дисплазий (нарушений развития ткани). Отмечено, что рак пищевода чаще возникает у лиц старше 45 лет, мужчины страдают им в три раза чаще женщин.
Развитию рака способствует питание, содержащее недостаточное количество овощей, зелени, белка, минералов и витаминов. Нерегулярное питание, склонность к перееданию также оказывают негативное влияние на стенки пищевода, что может способствовать снижению защитных свойств. Одним из факторов озлокачествления предраковых образований является снижение иммунитета.
Рак пищевода классифицируется согласно международной номенклатуре TNM для злокачественных новообразований:
- по стадии (Т0 - предрак, карцинома, неинвазивная эпителиальная опухоль, Т1 - рак поражает слизистую, Т2 - опухоль прорастает в подслизистый слой, Т3 - поражены слои вплоть до мышечного, Т4 - проникновение опухоли сквозь все слои стенки пищевода в окружающие ткани);
- по распространению метастазов в региональных лимфоузлах (N0 - нет метастазов, N1 - есть метастазы);
- по распространению метастазов в отдаленных органах (М1 - есть, М0 - нет метастазов).
Также рак может классифицироваться по стадиям от первой до четвертой в зависимости от распространенности опухоли в стенке и ее метастазирования.
Симптомы рака пищевода
Рак пищевода ранних стадий чаще всего не проявляется клинически, симптоматика начинает проявляться при наличии уже довольно крупной опухоли, мешающей продвижению пищи. Самым распространенным симптомом рака пищевода является расстройство глотания - дисфагия. Больные стремятся принимать жидкую пищу, более твердая застревает в пищеводе, создавая ощущение «комка» за грудиной.
При прогрессировании опухоли может отмечаться болезненность за грудиной, в глотке. Боль может отдавать в верхнюю часть спины. Снижение проходимости пищевода способствует возникновению рвоты. Как правило, продолжительный недостаток питания (связанный с затрудненным приемом пищи) приводит к общей дистрофии: снижению массы тела, расстройству работы органов и систем.
Часто рак пищевода сопровождается постоянным сухим кашлем (возникает рефлекторно как следствие раздражения трахеи), охриплостью (хронический ларингит). На терминальных стадиях развития опухоли в рвоте и кашле можно обнаружить кровь. Все клинические проявления рака пищевода неспецифичны, но требуют безотлагательного обращения к врачу. Регулярного диспансерного наблюдения у гастроэнтеролога требуют больные, страдающие болезнью Баррета, как лица с высоким риском развития рака пищевода.
Как всякое новообразование, опухоль пищевода можно назвать злокачественной только после проведения биопсии и выявления раковых клеток. Для визуализации опухли применяются: рентгенография легких (иногда можно увидеть формирование очагов рака в легких и средостении), контрастная рентгенография с барием позволяет обнаружить опухолевое образование на стенках пищевода. Эндоскопическое исследование (эзофагоскопия) позволяет детально осмотреть внутреннюю стенку, слизистую, обнаружить новообразование, исследовать его размер, форму, поверхность, наличие или отсутствие изъязвлений, некротизированных участков, кровоточивости. При эндоскопическом ультразвуковом исследовании можно определить глубину прорастания опухоли в стенку пищевода и окружающие ткани и органы.
УЗИ брюшной полости дает информацию о наличие метастазов рака пищевода. МСКТ и магнитно-резонансная томография позволяет получить детальные снимки внутренних органов, выявить изменения лимфоузлов, органов средостения, состояние сосудов и прилегающих тканей. Позитронно-эмиссионная томография (ПЭТ) дополняет эти исследования, выявляя злокачественные ткани. При лабораторном исследовании крови определяется присутствие онкомаркеров.

Лечение рака пищевода
Тактика лечения рака пищевода зависит от его локализации, размера, степени инфильтрации стенки пищевода и окружающих тканей опухолью, наличием или отсутствием метастазов в лимфоузлах и других органах, общего состояния организма. Как правило, в выборе терапии принимает участие несколько специалистов: гастроэнтеролог, онколог, хирург, специалист по лучевой терапии (радиолог). В большинстве случаев комбинируют все три основных методики лечения злокачественных новообразований: хирургическое удаление опухоли и пораженных тканей, радио-лучевая терапия и химиотерапия.
Хирургическое лечение рака пищевода заключается в резекции части пищевода с опухолью и прилежащими тканями, удаление располагающихся рядом лимфатических узлов. После чего оставшийся участок пищевода соединяют с желудком. При этом для пластики пищевода могут использовать как ткань самого желудка, так и кишечную трубку. Если опухоль не подлежит полному удалению, то ее иссекают частично, чтобы освободить просвет пищевода.
В послеоперационном периоде пациенты питаются парентерально, пока не восстановится возможность употреблять пищу обычным способом. Для предупреждения развития инфекции в послеоперационном периоде больным назначают антибиотикотерапию. Для уничтожения оставшихся злокачественных клеток дополнительно возможно проведение курса лучевой терапии.
Лучевая противораковая терапия заключается в облучении пораженного участка тела рентгеновским излучением высокой интенсивности. Существует внешняя радиационная терапия (облучение проводят из внешнего источника в область проекции облучаемого органа) и внутренняя радиотерапия (облучение введенными в организм радиоактивными имплантантами). Нередко лучевая терапия становится методикой выбора при невозможности осуществления хирургического удаления опухоли.
Химиотерапия при раке пищевода применяется в качестве вспомогательного метода подавления активности раковых клеток. Химиотерапию проводят с помощью сильных цитотоксических препаратов. Больным, которым невозможно произвести хирургическую коррекцию просвета пищевода, с целью облегчения глотания показана фотодинамическая терапия. Эта методика заключается в ведении в опухолевую ткань светочувствительного вещества, после чего воздействуют на рак лазером, разрушая его. Однако добиться с помощью этой методики полного уничтожения злокачественного образования нельзя - это паллиативная терапия. По окончании курса противоопухолевого лечения все больные обязательно находятся на онкологическом учете и регулярно проходят комплексное обследование.
Осложнения рака пищевода и его лечения
Основное осложнение рака пищевода - это похудание, возникающее в результате прогрессирующей дисфагии. Также могут возникать различные алиментарные расстройства (алиментарная дистрофия, гиповитаминоз) как следствие недостаточности питания. Злокачественная опухоль может осложняться присоединением бактериальной инфекции. Помимо этого, опухоль может изъязвляться и кровоточить.
Химиотерапия зачастую сопровождается выраженными побочными эффектами: облысение (алопеция), тошнота и рвота, диарея, общая слабость, головные боли. Пациенты, которым проводилась фотодинамическая терапия, должны избегать прямых солнечных лучей в ближайшие месяцы, поскольку их кожа приобретает особую чувствительность к свету.
Прогноз при раке пищевода
Излечение рака пищевода возможно на ранних стадиях, когда злокачественный процесс ограничен стенкой пищевода. В таких случаях хирургическое иссечение опухоли в сочетании с радио-лучевой терапией дает весьма положительный эффект, есть все шансы к полному выздоровлению. Когда рак обнаружен уже на стадии метастазирования и опухоль прорастает в глубокие слои, прогноз неблагоприятный, полное излечение, как правило, невозможно.
В тяжелых случаях, старческом возрасте и при невозможности полного удаления опухоли применяют паллиативное лечение для восстановления нормального питания. Выживаемость пациентов с неоперированным раком пищевода не превышает 5%.
Профилактика рака пищевода
Специфической профилактики рака пищевода не существует. Желательно избегать курения и злоупотребления алкоголем, регулярно проводить обследование пищеварительного тракта на предмет заболеваний, являющихся предраковыми состояниями, следить за своим весом.
В случае имеющейся гастроэзофагеальной болезни регулярно проводить эндоскопическое обследование. Больным с пищеводом Баррета показана ежегодная биопсия.
Читайте также:
- Техника пальпации поперечной ободочной кишки. Исследование толстой кишки по Образцову
- Вестибулит. Доброкачественные новообразования наружных половых органов.
- ЭКГ при переднем инфаркте миокарда. Пример обширного инфаркта передней и переднебоковой стенки
- Меланоз курильщиков. Меланотическое пятно полости рта. Невус полости рта. Сложный невус полости рта.
- Гипоплазия почек
