Рентгенограмма при переломе дистального эпиметафиза лучевой кости (переломе луча в типичном месте)
Добавил пользователь Владимир З. Обновлено: 17.12.2025
Перелом лучевой кости в «типичном месте», или перелом типа Коллеса (Colles), или перелом дистального метаэпифиза лучевой кости - самая частая травма верхней конечности. Как правило, эти повреждения лечат консервативно в травматологических пунктах. При этом под местной анестезией устраняют смещение костных отломков с фиксацией кисти в положении сгибания гипсовой лонгетой на срок до 1,5 месяцев. Почему же частота неблагоприятных исходов в лечении таких переломов достигает 75% случаев?
Прежде всего, это связано с большой долей так называемых «нестабильных» переломов, которые с трудом или вообще не поддаются консервативному лечению. Врачам приходится с большим трудом устранять смещение отломков и, даже при хорошей репозиции, через 5-10 дней часто происходит вторичное смещение отломков лучевой кости. Это побуждает травматологов прибегать к повторной закрытой репозиции, но она, как правило, не дает желаемого результата, а риск осложнений велик.
Основные осложнения при этом повреждении:
• синдром запястного (карпального) канала с невропатией срединного нерва и другие туннельные синдромы (болезнь Де Кервена, стенозирующий лигаментит, синдром ложа Гийона);
• комплексный регионарный болевой синдром, или синдром Зудека;
• контрактура Дюпюитрена;
• стойкие контрактуры (тугоподвижность) суставов кисти и пальцев;
• спонтанный разрыв сухожилия длинного разгибателя большого пальца;
• неправильное сращение с формированием «штыкообразной» деформации;
• деформирующий артроз лучезапястного сустава и как следствие - боль и ограничение подвижности в запястье,
снижение силы кисти, нарушение функции всей верхней конечности.
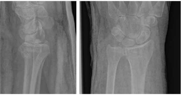
Рис. 1. Внутрисуставной нестабильный перелом лучевой кости.
Рис. 2. . тот же перелом после закрытой репозиции (полного сопоставления отломков нет).
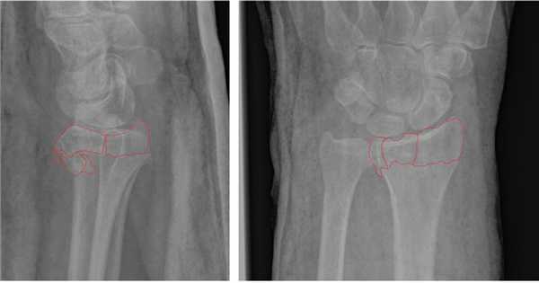
Рис. 3. Рентгенограмма кистевого сустава через 5 месяцев после травмы: имеется внутрисуставное смещение, деформация сустава.
Избежать этих осложнений можно даже при сложном повреждении, если вовремя правильно поставить диагноз и прогнозировать течение перелома. Сделать это может опытный травматолог-ортопед или кистевой хирург.
Если поставлен диагноз «нестабильного перелома лучевой кости в типичном месте» , показано хирургическое лечение в специализированной клинике. Вовремя выполненная операция позволяет свести к минимуму риск описанных выше осложнений. Операция малотравматична, выполняется 1,5-2 часа (в зависимости от сложности перелома), с применением современных способов обезболивания (регионарное и внутривенное). Прочная фиксация костных фрагментов дает возможность рано отказаться от гипса и пользоваться рукой буквально в первые дни после вмешательства. Установленные имплантаты в абсолютном большинстве случаев не нуждаются в удалении.
Рис. 4. Компьютерная томограмма с нестабильным переломом лучевой кости.
Рис. 5. Состояние после операции: полное восстановление структуры лучевой кости.
При застарелых повреждениях выполняют реконструктивные операции: устранение деформации с пластикой костного дефекта и остеосинтезом. Эти операции сложнее и травматичнее, чем выполненные в «свежих» случаях. Однако, и после них результаты гораздо лучше, чем при посттравматических «штыкообразных» деформациях запястья.
Следует помнить, что вовремя полученная Вами информация о характере переломе и его последствиях поможет Вам с помощью специалиста по хирургии кисти выбрать правильную тактику лечения.
Переломы лучевой кости руки в типичном месте
Переломы дистального отдела лучевой кости руки являются наиболее распространенными переломами предплечья и составляет около 16% от всех переломов костей скелета. Как правило, вызваны падением на вытянутую руку. Описание и классификация этих переломов основывается на наличии осколков, линии перелома, смещении отломков, внутрисуставной или внесуставного характера и наличием сопутствующего перелома локтевой кости предплечья.
Неправильное сращение дистального отдела лучевой кости после нелеченных переломов, либо вторично сместившихся, достигает 89% и сопровождается угловой и ротационной деформацией области лучезапястного сустава, укорочением лучевой кости и импакцией (упирается) локтевой кости в запястье. Оно вызывает среднезапястную и лучезапястную нестабильность, неравномерное распределение нагрузки на связочный аппарат и суставной хрящ лучезапястного и дистального лучелоктевого суставов. Это обусловливает боль в локтевой части запястья при нагрузке, снижение силы кисти, уменьшение объема движений в кистевом суставе и развитие деформирующего артроза.
Рентген анатомия лучезапястного сустава
Наклон суставной поверхности лучевой кости в прямой проекции в норме составляет 15-25º. Измеряется он по отношению перпендикуляра оси лучевой кости и линии вдоль суставной поверхности. Изменение угла наклона суставной поверхности нижней трети лучевой кости является признаком перелома, как свежего так и давно сросшегося.
Ладонный наклон измеряется в боковой проекции по отношению касательной линия проведенной по ладонному и тыльному возвышениям суставной поверхности лучевой кости к осевой линии лучевой кости. Нормальный угол составляет 10-15º. Явное изменение углов является признаком перелома.
Виды переломов луча (краткая классификация)
Перелом дистального отдела лучевой кости почти всегда происходит около 2-3 см от лучезапястного сустава.
Перелом Коллеса
Один из наиболее распространенных переломов дистального отдела лучевой кости - «перелом Коллеса», при котором отломок (сломанный фрагмент) дистального отдела лучевой кости смещен к тыльной поверхности предплечья. Этот перелом был впервые описан в 1814 году ирландским хирургом и анатомом, Авраамом Коллесом.
Перелом Смита
Роберт Смит описал подобный перелом лучевой кости в 1847 году. Воздействие на тыльную поверхность кисти считается причиной такого перелома. Перелом Смита - это противоположность перелома Коллеса, следовательно, дистальный отломок смещается к ладонной поверхности.
Классификация переломов лучевой кости руки:
Другая классификация переломов лучевой кости:
• Внутрисуставной перелом: Перелом луча, при котором линия перелома распространяется на лучезапястный сустав.
• Внесуставных переломов: Перелом, который не распространяется на суставную поверхность.
• Открытый перелом: Когда имеется повреждение кожи. Повреждение кожи может быть, как снаружи до кости (первично открытый перелом), так и повреждение костью изнутри (вторично открытый перелом). Эти виды переломов требуют незамедлительного медицинского вмешательства из-за риска инфекции и серьезных проблем с заживлением раны и сращением перелома.
• Оскольчатый перелом. Когда кость сломана на 3 и более фрагментов.
Важно, классифицировать переломы лучевой ксоти руки, поскольку каждый вид перелома нужно лечить, придерживаясь определенных стандартов и тактики. Внутрисуставные переломы, открытые переломы, оскольчатые переломы, переломы лучевой кости со смещением нельзя оставлять без лечения, будь то закрытая репозиция (устранение смещения) перелома или операция. Иначе функция кисти может не восстановиться в полном объеме.
Иногда, перелом лучевой кости сопровождается переломом соседней - локтевой кости.
Причины переломов луча
Наиболее распространенной причиной переломов дистального отдела лучевой кости является падения на вытянутую руку.
Остеопороз (заболевание, при котором кости становятся хрупкими и более вероятно ломкими при значительных нагрузках, ударах) может способствовать перелому при незначительном падении на руку. Поэтому чаще данные переломы возникают у людей старше 60 лет.
Перелом лучевой кости, безусловно, может произойти и у здоровых, молодых людей, если сила воздействия достаточно велика. Например, автомобильная аварии, падения с велосипеда, производственные травмы.
Симптомы переломов лучевой кости руки
Перелом дистального отдела лучевой кости обычно вызывает:
• Немедленную боль;
• Кровоизлияние;
• Отек;
• Крепитация отломков (хруст);
• Онемение пальцев (редко);
• Во многих случаях сопровождается смещением отломков и как следствие деформации в области лучезапястного сустава.
Диагностика переломов
Большинство переломов дистального отдела лучевой диагностируются обычной рентгенографией в 2-х проекциях. Компьютерная томография (КТ) необходима при внутрисуставных переломах.
Задержка диагностики переломов дистального отдела лучевой кости руки может привести к значительной заболеваемости.
Компьютерная томография (КТ) используется для планирования оперативного ремонта, обеспечивая повышенную точность оценки выравнивания суставной поверхности при внутрисуставном переломе. Так же в послеоперационном периоде, для определения состоявшегося сращения перелома.
После травмы запястья необходимо исключить перелом, даже если боль не очень интенсивная и нет видимой деформации, просто в данной ситуации экстренности нет. Нужно приложить лед через полотенце, придать руке возвышенное положение (согнуть в локте) и обратиться к травматологу.
Но если травма очень болезненна, запястье деформировано, имеется онемение или пальцы бледные, необходимо в экстренном порядке обратиться в травматологический пункт или вызвать скорую помощь.
Для подтверждения диагноза выполняются рентгенограммы лучезапястного сустава в 2-х проекциях. Рентген являются наиболее распространенным и широко доступным диагностическим методом визуализации костей.
Лечение переломов лучевой кости
Лечение переломов любых костей состоит оценки характера перелома и выборе тактики.
Цель состоит в том, чтобы вернуть пациента до уровня функционирования. Роль врача в том, чтобы разъяснить пациенту все варианты лечения, роль пациента в том, чтобы выбрать вариант, который лучше всего отвечает его потребностям и пожеланиям.
Есть много вариантов лечения перелом дистального отдела лучевой кости. Выбор зависит от многих факторов, таких как характер перелома, возраст и уровень активности пациента. Об этом подробнее описано в лечении.
Консервативное лечение переломов луча
Переломы луча в типичном месте без смещения, как правило фиксируются гипсовой или полимерной повязкой во избежание смещения. Если перелом лучевой кости со смещением, то отломки должны быть возвращены в их правильное анатомическое положение и фиксированы до сращения перелома. Иначе есть риск ограничения движений кисти, быстрейшего развития артроза поврежденного сустава.
Распространенное у обывателя понятие «вправление перелома» -неверное. Устранение смещения отломков правильно называть -репозиция.
После репозиции костных отломков рука фиксируется гипсовой лонгетой в определенном положении (зависит от вида перелома). Лонгетная повязка обычно используется в течение первых нескольких дней, в период нарастания отека. После этого имеется возможность поменять лонгету на гипсовую циркулярную повязку или полимерный бинт. Иммобилизация при переломах луча продолжается в среднем 4-5 недель.
В зависимости от характера перелома могут понадобиться контрольные рентгенограммы через 10, 21 и 30 дней после репозиции. Это необходимо для того, чтобы вовремя определить вторичное смещение в гипсе и принять соответствующие меры: повторное устранение смещения или операция.
Повязка снимается через 4-5 недель после перелома. Назначается ЛФК лучезапястного сустава для наилучшей реабилитации.
Хирургическое лечение переломов луча
Иногда смещение настолько критично и нестабильно, что не может быть устранено или держаться в правильном положении в гипсе. В этом случае может потребоваться чрескожная фиксация спицами или операция: открытая репозиция, накостный остеосинтез пластиной и винтами. В ходе этой операции устраняют смещение отломков и скрепляют кость металлической конструкцией, выбор которой определяется характером перелома. Операционный доступ: 1. Тыльный; 2. Ладонный. Сочетание обоих доступов. Положение пациента на спине. Обезболивание: проводниковая анестезия. Операция выполняется в кратчайшие сроки с использованием современных методик и имплантов. Импланты производства Швейцария и Германия. Материал имплантов: титан или медицинская сталь. Все операции ведутся под контролем ЭОПа (электронно-оптического преобразователя).
Закрытая репозиция и чрескожная фиксация спицами
Была популярна на протяжении многих лет и продолжает оставаться одним из самых популярных методов в международном масштабе.
Сначала врач закрыто устраняет смещение отломков, затем через отломки в определенных (учитывая характер перелома) направлениях просверливаются спицы.
Плюсы: малая травматичность, быстрота, легкость, дешевизна, отсутствие разреза и как следствие послеоперационного рубца
Минусы: невозможность начала ранней разработки лучезапястного сустава, вследствие чего риск возникновения необратимой контрактуры (отсутствие движений в суставе).
Открытая репозиция перелома лучевой кости
Открытая репозиция накостный остеосинтез пластиной и винтами. Операция включает в себя хирургический разрез, доступ к сломанной кости аккуратно отводя сухожилия, сосуды и нервы, мобилизацию костных отломков, устранение смещения и фиксация в правильном положении. Сломанные кости фиксируются титановыми пластинами, ввиду этого пациенту разрешается ранняя разработка движений в лучезапястном суставе.
До операции:
После операции:
До операции:
После операции
Восстановление после перелома лучевой кости
Поскольку виды переломов дистального отдела лучевой кости настолько разнообразны, как и методы их лечения, то и реабилитация различна для каждого пациента.
Устранение боли
Интенсивность боли при переломе постепенно стихает в течение нескольких дней.
Холод местно в первые сутки по 15 минут через каждый час, покой, возвышенное положение руки (согнутую в локте на уровне сердца) и НПВП во многом устраняют боль полностью. Но болевой порог у всех разный и некоторым пациентам необходимы сильные обезболивающие препараты, приобрести которые можно только по рецепту.
Возможные осложнения
При консервативном лечении гипсовой или полимерной повязкой необходимо следить за кистью. Наблюдать, не отекают, не бледнеют ли пальцы, сохранена ли чувствительность кисти.
• Если давит гипс это может быть признаком сдавления мягких тканей, сосудов, нервов и повлечь за собой необратимые последствия. При появлении подобных симптомов необходимо срочно обратиться к врачу.
• Нагноение в области металлоконструкции (крайне редко);
• Повреждение сосудов, нервов, сухожилий (ятрогенное осложнение);
Реабилитация после перелома лучевой кости руки
Большинство пациентов возвращаются к своей повседневной деятельности после перелома дистального отдела лучевой кости через 1,5 - 2 месяца. Безусловно сроки реабилитации после перелома лучевой кости зависят от многих факторов: от характера травмы, метода лечения, реакции организма на повреждение.
Почти все пациенты имеют ограничение движений в запястье после иммобилизации. И многое зависит от пациента, его настойчивости в восстановлении амплитуды движений при переломе лучевой кости. Если пациент прооперирован с использованием пластины, то как правило врач назначает ЛФК лучезапястного сустава уже со первой недели после операции.
Операция при переломе луча в типичном месте
Перелом лучевой кости в нижней трети - одна из самых частых травм в структуре переломов костей скелета. Во многих случаях данный вид травмы лечится консервативно в гипсовой повязке, с неудовлетворительными результатами, формированием грубого посттравматического артроза, деформации, и длительного реабилитационного периода, который продолжается до года и более. Во многом это обусловлено трудностями первичной диагностики, когда из-за недостаточно ясной рентгенологической картины, доктор склонен неправильно оценивать тяжесть перелома.
Перелом лучевой кости, оперировать или не оперировать? Такой вопрос часто встаёт перед травматологом-ортопедом. Существуют разные подходы к лечению этого вида травмы. Тактика очень сильно отличается в зависимости от лечебного учреждения, в которое вы обратились и от того, к какому врачу вы попали.
Так при одинаковом морфологическом типе перелома, например внутрисуставном переломе с дефектом тыльного кортекса (23 - С2 по классификации международной ассоциации остеосинтеза) вы можете получить совершенно различное лечение. Так в деревенском травм-пункте вам наложат гипс на 3 недели, в региональной больнице могут положить дистракционный аппарат из двух полуколец, а в столичной клинике более вероятно предложат открытую репозицию и остеосинтез пластиной.
Ниже представим клинический пример различных подходов к лечению данной патологии. Отследим, каким образом исходно одинаковые типы переломов ведут себя в гипсе и после накостного остеосинтеза.

На представленной рентгенограмме не тренированный глаз может вообще не увидеть перелома, хотя врач травматолог и квалифицированный рентгенолог заметят насколько «просела» суставная поверхность лучевой кости, и отметят, что она развёрнута в тыльную сторону на 10 градусов (в норме она должна смотреть в ладонную сторону). Если присмотреться повнимательнее становятся видны линии перелома.

Намного более отчётливо степень нестабильности этих костных фрагментов видна под ЭОП-ом при выполнении функциональных проб. При тыльном сгибании определяется значительное количество мелких фрагментов тыльной кортикальной пластинки и внутрисуставной, оскольчатый характер перелома.

В такой ситуации лечение консервативным способом, гипсовой повязкой, не может дать надёжного результата. При оскольчатом характере перелома с дефектом тыльной кортикальной пластинки у дистального метаэпифиза просто нет надёжной опоры, и в итоге происходит усугубление смещения, суставная поверхность ещё больше наклоняется в тыльную сторону.
Несмотря на это многие травматологи продолжают лечить такие переломы методом гипсовой иммобилизации. В конечном итоге перелом срастается с грубым смещением, суставная поверхность оказывается развёрнута в тыльную и лучевую сторону.

Формируется грубый артроз лучезапястного сустава. Клинически это проявляется визуально деформацией в области лучезапястного сустава, ограничением амплитуды движений, болью при физической нагрузке.
По этой причине в нашей клинике мы предпочитаем лечить такие типы переломов оперативно. Для фиксации данного типа повреждений предпочтительно использовать пластины с угловой стабильностью с дистальным расположением винтов, которые можно ввести субхондрально, ближе к суставной поверхности. В своей практике мы используем пластины фирмы Synthes - 2.4mm Variable Angle LCP® Volar Rim Distal Radius System.

Такой тип фиксации позволяет добиться стабилизации перелома, отказаться от гипсовой иммобилизации и начать раннюю разработку движений в лучезапястном суставе, что в конечном счёте приводит к отличным функциональным результатам. Оперативное вмешательство целесообразно проводить непосредственно в день травмы, до нарастания отёка, оптимально - в первые 6 часов после травмы.

Остеосинтез позволяет восстановить нормальную анатомию, утраченную при травме. Благодаря этому возможно правильное распределение нагрузки, и восстановление полного, безболезненного объёма движений. Риски хирургии минимальные, при должном знании анатомии повреждение сосудисто-нервных пучков, срединного и лучевого нерва. Практически исключено. Не стоит использовать слишком длинные винты. Так как они будут раздражать сухожилия на тыльной поверхности лучезапястного сустава и нижней трети предплечья. Для уменьшения риска КРБС, формирования синдрома карпального канала, следует бережно обращаться с тканями, использовать вакуумные дренажи, назначать в послеоперационном периоде препараты аскорбиновой кислоты.

Конечно консервативный метод всё равно имеет право на существование, так как во первых он дёшев, во вторых не требует от врача особой квалификации, в третьих лишён рисков, связанных с самой хирургией. Для пациентов с низкими функциональными запросами (пожилой, малоактивный, «домашний» пациент, с букетом сопутсвующих болячек) он иногда является методом выбора ввиду высоких анестезиологических рисков и низкого уровня ожиданий пациента.
Перелом лучезапястного сустава
Лучезапястный сустав соединяет кисть с предплечьем. Его образовывают несколько костей, две из которых - полулунная и ладьевидная - травмируются наиболее часто. Перелом лучезапястного сустава чаще встречается у женщин, особенно пожилых, в связи с недостатком кальция и ослаблением костей. У мужчин кости прочнее и крупнее, а возрастные гормональные изменения выражены не так явно.
Отсутствие правильного и своевременного лечения впоследствии может стать причиной:
- Боли при функционировании;
- Ограничения объема совершаемых движений;
- Развития артроза;
- Слабости кисти.
Травмирование сустава руки является следствием повышенной нагрузки в результате падения или резкого упора на кисть.
Еще одна причина - остеопороз - заболевание, которое сопровождается повышенной хрупкостью костей.

Симптомы перелома
- Кисть теряет возможность выполнять свои функции. Возникает отек.
- Перелом костей лучезапястного сустава сопровождает сильная боль.
- После перелома визуально определяется деформация сустава. Возникает ощущение покалывания в области перелома и онемение пальцев.
- При открытом переломе может возникнуть кровоизлияние.

Диагностика
Поскольку переломимеет признаки, сходные с ушибом или растяжением, поставить диагноз может только специалист.
В соответствии с признаками заболевания можно обращаться к врачам:
- хирургу или травматологу - если у пациента механическая травма;
- ревматологу, терапевту, урологу или дерматологу - при артрозе, артрите или бурсите.
При внутрисуставном переломе назначают КТ или МРТ.
При необходимости проводят дополнительное обследование.
Первая помощь заключается в следующих действиях:
- Обезболивание;
- Иммобилизация руки при помощи накладывания шины на ладонную поверхность и прибинтовывания руки;
- Госпитализация в стационарное отделение (травматологическое).

Лечение перелома лучезапястного сустава
При переломе костей лучезапястного сустава используют консервативное или хирургическое лечение, в зависимости от серьёзности заболевания. Фиксация производится при помощи ортеза (фиксатора).
Если у пациента закрытый перелом без смещения, накладывают гипс или полимерную повязку на несколько недель - до того времени, когда кости полностью срастутся. При переломе со смещением, когда образованы отломки, важно придать им правильное положение и зафиксировать, чтобы исключить артроз. В некоторых случаях проводится операция. В это время необходим контролирующий рентген для исключения повторного смещения.
После наложения фиксирующей повязки возможны болезненные ощущения. В этом случае прикладывают холодные компрессы, используют противовоспалительные средства.
Гипс не должен давить руку. При онемении кисти и повышенной бледности кожи необходимо обратиться к врачу.
Восстановительный период
После удаления фиксирующей конструкции рекомендуются восстановительные процедуры.
Пациент и в более ранний период может самостоятельно начинать реабилитацию:
- Со второго дня после получения травмы двигать суставом и пальцами, насколько это можно сделать;
- Через две недели после травмы пытаться сжимать кулак, избегая напряжения травмированных мышц.
- Проходить сеансы магнитотерапии.
После снятия гипса рекомендуется восстановительная терапия:
- Электрофорез;
- Лечебные грязи;
- УВЧ;
- Соленые ванны;
- Озокерит;
- Массаж;
- Лечебная физкультура на основе специально подобранных упражнений.

Комплекс ЛФК врач подбирает для каждого случая отдельно.
Скорость восстановления в значительной степени зависит от характера травмы.Если следовать рекомендациям врача, то разработка после перелома пройдет успешно, исключая негативные последствия - развитие контрактуры и артроза.
Перелом дистального метаэпифиза лучевой кости (перелом лучевой кости «в типичном месте»)
Перелом дистального метаэпифиза лучевой кости («луч в типичном месте»)
Дистальный метаэпифиз - это нижний конец лучевой кости, расположенный рядом с кистью.
Перелом «луча в типичном месте» обычно возникает при прямом падении на вытянутую руку. Помимо резкой боли в руке, может появиться штыкообразная деформация, изменение положения кисти. В процесс перелома бывают вовлечены нервы и сосуды запястья, которые могут быть поджаты отломками, что проявляется онемением в пальцах, похолоданием кисти.

Для уточнения характера перелома и выбора дальнейшей тактики лечения используется рентгенография, в ряде случаев - компьютерная томография. Иногда требуется УЗИ кистевого сустава.
Поскольку лучевая кость примыкает к кисти, очень важно восстановить анатомию и объем движений в суставе, чтобы в дальнейшем избежать проблем с ним. Раньше такие переломы лечили консервативно, т. е. в гипсовой повязке, но часто отломки смещались, кость срасталась неправильно, что в дальнейшем сказывалось на функции конечности - рука не сгибалась и/или не разгибалась до конца - формировалась тугоподвижность сустава (контрактура), оставался болевой синдром. К тому же длительное пребывание в гипсе отрицательно сказывалось на кожных покровах.
Длительность больничного листа при переломе дистального метаэпифиза лучевой кости зависит от рода деятельности пациента. К примеру, для офисных работников средний срок нетрудоспособности - 1,5 месяца. Для профессий, связанных с физической нагрузкой, срок нетрудоспособности может быть увеличен.
Консервативное лечение перелома лучевой кости в типичном месте (гипсовая повязка)
При переломах без смещения можно предложить консервативное лечение - в гипсовой повязке. Средний срок пребывания в гипсе - 6-8 недель. Это редко проходит для конечности бесследно - после консервативного лечения сустав требует разработки движений, реабилитации. При лечении перелома даже с небольшим смещением в гипсе может произойти вторичное смещение отломков.

Оперативное лечение перелома лучевой кости в типичном месте (остеосинтез)
Практически все переломы лучевой кости со смещением требуют оперативного лечения - сопоставления и фиксирования отломков кости - остеосинтеза. Именно этот метод позволяет восстановить функцию кисти наиболее полноценно и добиться хороших функциональных результатов.
Лучевая кость полностью срастается примерно за 6-8 недель. Спустя этот срок пациент может начинать полноценно пользоваться рукой. Но разрабатывать руку с помощью определенных, рекомендованных врачом, упражнений, благодаря использованию фиксаторов можно уже спустя 1-2 недели после вмешательства. Легкие спортивные физические нагрузки можно начинать примерно спустя 3 месяца после операции.
В зависимости от типа перелома (оскольчатый, многооскольчатый, со значительным или незначительным смещением) можно выделить несколько возможных вариантов фиксации - пластиной, фиксированной винтами; аппаратом внешней фиксации; винтами; спицами.
В ряде случаев при выраженном отеке накладывается аппарат внешней фиксации, а после спадения отека он заменяется на пластину (или другой фиксатор в зависимости от типа перелома).
Остеосинтез лучевой кости пластиной
При значительном смещении отломков используется остеосинтез лучевой кости металлической пластиной, специально изготовленной для данного сегмента. После сопоставления отломков пластина фиксируется винтами к поврежденной кости. После установки пластины накладываются на кожу накладываются швы на 2 недели, а также гипсовая лонгета примерно на тот же срок. После операции назначается лекарственная терапия: обезболивающие препараты, препараты кальция для более быстрого срастания костей, при необходимости - препараты местного действия для уменьшения отека. Средний срок пребывания в стационаре - 7 дней. Швы снимаются в амбулаторном режиме спустя 2 недели. Рука носится в возвышенном положении на косыночной повязке. Необходимости в удалении пластины нет.

Аппарат внешней фиксации
В ряде случаев - в пожилом возрасте, при выраженном отеке кисти и лучезапястного сустава, делать доступ для установки пластины бывает нежелательно в силу различных факторов (отек, состояние кожи). В таких случаях устанавливают аппарат внешней фиксации - он фиксирует отломки с помощью спиц, которые проходят через кожу в кость. Аппарат выступает над кожей небольшим блоком (около 12 см длиной и 3 см высотой). Преимущество этого вида остеосинтеза в том, что нет необходимости делать большие разрезы, однако за аппаратом нужно следить - делать перевязки, чтобы спицы не воспалились.
После операции рука 2 недели находится в лонгете, потом пациент начинает разрабатывать лучезапястный сустав в аппарате, который этому не препятствует.
Аппарат внешней фиксации удаляется примерно через 6 недель, после рентген-контроля, в условиях стационара. Операция снятия аппарата внешней фиксации не занимает много времени и достаточно легко переносится пациентом. Средний срок госпитализации 5-7 дней, длительность больничного листа - около 1,5 месяцев. Перевязки надо делать через день, в амбулаторном режиме. Рука носится в возвышенном положении на косыночной повязке.
Фиксация спицами, или винтами
При незначительном смещении отломков лучевая кость фиксируется спицами или винтами через небольшие проколы кожи. Примерно на 2 недели накладывается гипсовая лонгета, затем человек начинает разрабатывать руку. Спустя 6-8 недель спицы извлекаются.
В ряде случаев возможно применение саморассасывающихся имплантов, удалять которые не нужно.
Застарелые, неправильно сросшиеся переломы лучевой кости
При застарелых неправильно сросшихся переломах могут беспокоить болевые ощущения, присутствовать ограничения движения - тугоподвижность сустава, и другие неприятные последствия (онемение и отечность пальцев кисти). В подобных случаях рекомендовано оперативное лечение, чаще всего - с фиксацией пластиной. Кость разобщается, выставляется в правильное положение и фиксируется. Если есть зона дефекта кости - например, если кость срослась с укорочением, этот дефект заполняется либо собственной костью человека (трансплантат берется, как правило, из гребня подвздошной кости), либо искусственной костью, которая за 2 года перестраивается в собственную костную ткань.
Дальнейшее послеоперационное и восстановительное лечение при застарелых и неправильно сросшихся переломах дистального метаэпифиза лучевой кости аналогичны описанным выше. Однако, учитывая застарелый характер повреждения, может потребоваться более длительная реабилитация.
Анестезия при оперативном лечении перелома дистального метаэпифиза лучевой кости
Для проведения всех вышеописанных операций, как правило, используется проводниковая анестезия - раствор анестетика вводится в зону плечевого сплетения, где проходят нервы, которые иннервируют всю верхнюю конечность (отвечают за ее чувствительность и движения), и рука полностью немеет. Подобная анестезия достаточно легко переносится, длится 4-6 часов. Фактически это разновидность местной анестезии. Кроме того, делается премедикация - успокаивающий укол, и во время операции человек спит своим сном. Возможно применение общей анестезии. Окончательный выбор метода анестезии определяется врачом-анестезиологом накануне операции.
Читайте также:
- Биохимические исследования в неврологии. Оценка свертываемости в неврологии
- Регуляция диаметра зрачка. Реакции зрачка на свет
- Примеры лучевой диагностики инсульта по КТ, МРТ
- Артрит при воспалительном заболевании кишечника
- Агрегация тромбоцитов при тяжелой декомпрессии. Активность лейкоцитов при декомпрессии
