Примеры лучевой диагностики инсульта по КТ, МРТ
Добавил пользователь Евгений Кузнецов Обновлено: 21.11.2025
Данный системный подход на основе презентации Majda Thurnher и адаптирован для Radiology Assistant Robin Smithus.
Содержание.
Введение.
- 1) исключить кровотечение.
- 2) дифференцировать мертвую ткань головного мозга и ткань в риске-пенумбры.
- 3) выявить стеноз или окклюзию экстра- и интракраниальных артерий.
Пенумбра: Окклюзия в СМА. Черным указано ткань с необратимыми изменениями или мертвая ткань. Красным выделена ткань-риска или пенумбра.
Ранние признаки инсульта на КТ.
КТ является золотым стандартом для выявления геморрагии в первые 24 часа. Геморрагии также выявляются на МРТ. На КТ возможно определить 60% инфарктов в первые 3-6 часов, остальную часть возможно выявить впервые 24 часа. Общая чувствительность КТ при диагностике инфаркта составляет 64% и специфичность 85%. Ниже представлены ранние признаки на КТ.
КТ ранние признаки инсульта.
- — Зона с гиподенсной плотностью головного мозга.
- — Обскурация чечевицеобразных ядер.
- — Симптом плотной СМА.
- — Островковый ленточный симптом.
- — Потеря островковых очертаний.
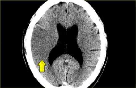
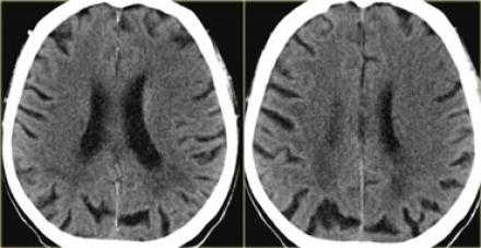
Гиподенсная зона головного мозга.
Причиной, по которой визуализируется зона ишемии с цитотоксическим отеком, является нарушение работы натрий-калиевого насоса, что в свою очередь связано со снижением количества АТФ. Увеличение содержания воды в мозге на 1% приводит к снижению плотности головного мозга на КТ на 2,5 единицы Хаусфильда. У пациента выше представленного гиподенсивная область головного мозга в правом полушарии. Вытекающий диагноз из данных находок — инфаркт так, как локализация средней мозговой артерии и вовлечение в патологический процесс белого и серого вещества, что типично для инфаркта. Обнаружение в первые 6 часов гиподенсной зоны является специфичным признаком необратимого ишемического повреждения мозга. У пациентов с клиникой инсульта и выявленным гиподенсной областью впервые 6 часов есть риск увеличения зона ишемии, ухудшения симптоматики и кровотечения, а также данная группа пациентов имеет более хуже ответ на проводимую медикаментозную терапию в сравнении с пациентами с клиникой инсульта, у которых данная область не выявлена. Таким образом выявления гиподенсной зоны является неблагоприятным прогнозом. Соответственно, что если гиподенсная зона не выявлена, это благоприятный прогноз.

У данного пациента выявлен гиподенсная область — это инфаркт в области средней мозговой артерии — безвозвратная ишемия головного мозга.
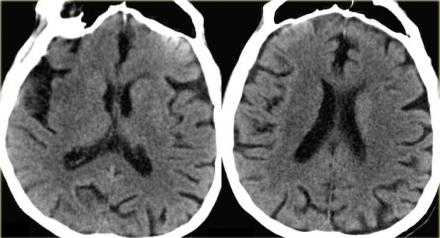
Обскурация чечевицеобразного ядра.
Обскурация чечевицеобразного ядра также ещё называют симптом расплывшегося пятна базальных ядер и является важным признаком инфаркта. Данный симптом является одним из ранних изменений при инсульте и часто встречаемым признаком инфаркта. Базальные ганглии также часто поражаются при инсульте в средней мозговой артерии.

Обскурация чечевицеобразного ядра.
Островковый ленточный симптом.
Данный симптом включает в себя: гиподенсную зону и отек коры головного мозга в области островка. Данный симптом также относится к ранним проявлениям ишемии в средней мозговой артерии. Область головного мозга, относящаяся к средней мозговой артерии, очень чув- ствительна к гипоксии в связи с тем, что СМА не имеет коллатералей. Дифференциацию стоит проводить с поражением ГМ при герпесном энцефалите.
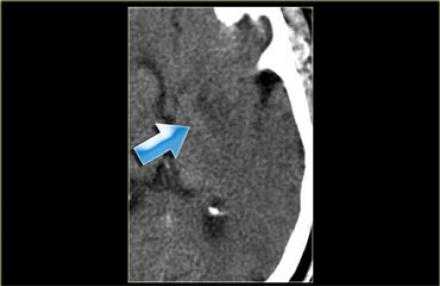
Симптом плотной СМА.
Данный симптом проявляется в следствии тромбирования или эмболизации СМА. У ниже представленного пациента симптом плотной СМА. На КТ ангиография визуализируется окклюзия СМА.

Гемморагический инсульт.

КТА и КТ-перфузия.
После того, как лучевой диагност обнаружил область ишемии, используя КТ-ангиографию ищет тот сосуд, который вовлечён в патологический процесс.

В данном случае признаки инфаркта едва уловимые. Гиподенсная зона в островковой области справа. В данном случае эти изменения соответствуют инфаркту, но у пожилых пациентов с лейкоэнцефалопатией тяжело отдифференцировать эти две разные патологии.
Вышележащие изображения — КТ-ангиография. После выполнения КТА — диагноз инфаркта в области СМА, как на ладоне.
КТ-перфузия (КТП).
При использовании КТ и МРТ-диффузии мы можем с уверенностью найти ту зону, которая ишемизирована, но не сможем сказать о зоне большой ишемической пенумбры (ткань риска).
При помощи перфузии можем ответить на вопрос, какая ткань находится в риске. По статистике 26% пациентам следовало бы выполнить перфузию для уточнения диагноза. Возможности МРТ перфузии и КТ сопоставимы.
Было проведено исследование для сравнения КТ и МРТ, при котором было установлено, что для выполнения КТ, КТА и КТП при условии, что у вас хорошо сложенная команда, требуется 15 минут. В данном случае была выполнена только КТ так, как выявлено кровоизлияние. В этом случае изначально выполнены КТ без контрастирования и КТ-перфузия так, как выявлен дефект перфузии было целесообразно выполнение КТ-ангиографии, на которой выявлено диссекция левой внутренней артерии.

МРТ при диагностике острого нарушения мозгового кровообращения.
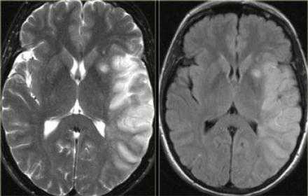
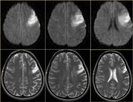
На PD/T2WI и FLAIR выглядит гиперинтенсивно. На PD/T2WI и FLAIR последовательностях возможно диагностировать до 80% инфарктов впервые 24 часа, но впервые 2-4 часа после инсульта изображение также может быть неоднозначным. На PD/T2WI и FLAIR продемонстрировано гиперинтенсивность в районе левой средней мозговой артерии. Обратите внимание на вовлечение в процесс лентиформного ядра и островковой доли. Область с гиперинтенсивным сигналом на PD/T2WI и FLAIR соответствует гиподенсивной области на КТ, что в свою очередь прямой признак гибели клеток мозга.

Диффузно-взвешенное изображение.
DWI наиболее чувствительна к инсульту. В результате цитотоксического отека возникает дисбаланс внеклеточной воды к Броуновскому движению, поэтому данные изменения выявляются отлично на DWI. В норме протоны воды диффундируют внеклеточно, поэтому теряется сигнал. Высокая интенсивность сигнала на DWI указывает на ограничение протонов воды диффундировать внеклеточно.
Представлены ДВИ инфаркт передней, задней, средней мозговой артерии.

Обратите внимание на изображение и предположите, где патология. После продолжите чтение. Вывод:
Есть некоторая гиподенсность и отек в левой лобной доли со старостью борозд в сравнении с контр-латеральной стороной. Далее DWI снимки того же пациента. После просмотра DWI нет сомнения, что это инфаркт. Именно поэтому DWI называют инсульт последовательностью.
Когда мы сравниваем результаты на T2WI и DWI во времени, мы заметим следующее: В острой фазе T2WI норма, но со временем зона инфаркта станет гиперинтенсивной. Гиперинтенсивность на T2WI достигает своего максимума между 7 и 30 дней. После этого сигнал начинает угасать. На DWI гиперинтенсивная область в острой фазе, а затем становится более интенсивной с максимумом на 7 дней. На DWI у пациента с инфарктом головного мозга визуализируется гиперинтенсивная область примерно на 3 недели после начала заболевания (при инфаркте спинного мозга на DWI визуализируется гиперинтенсивная область на одну неделю!). На ADC будет сигнал низкой интенсивности с минимальной интенсивностью в первые 24 часа, после сигнал будет увеличиваться в интенсивности и, наконец, становится максимально интенсивным в хроническую стадию.

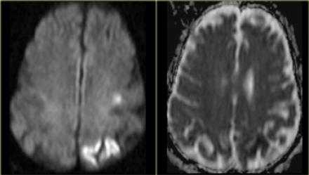
Псевдо-улучшение на DWI.
Псевдо-улучшение наблюдается на 10-15 день. Слева показана норма на DWI. На T2WI там могут быть гиперинтенсивная область в правой затылочной доле в сосудистой территории задней мозговой артерии. В T1WI после введения контрастного препарата на основе гадолиния визуализируется повышение сигнала (зона инфаркта указана стрелкой).
Прежде считалось, что гиперинтенсивный сигнал на DWI — это мертвые ткани. Новейшие исследования доказывают, что некоторые очаги из них вероятно могут быть потенциально обратимым повреждениям. Это наглядно показано, если сравнить изображения одного и того же пациента DWI в острейшую фазу и Т2WI в хроническую фазу. Размер поражения на DWI намного больше.

МРТ перфузия.
Перфузия на МРТ сопоставима с КТ-перфузией. При МР-перфузии используется болюс с контрастным веществом Gd-DTPA. Т2 последовательности более чувствительны к изменению сигнала, поэтому используются для МР-перфузии.

Зона с дефектом перфузии является безвозвратно ишемизированной тканью или зоной пенумбры (ткань риска). При комбинировании диффузно-взвешенного изображения и перфузии есть возможность отдифференцировать зоны пенумбры и зоны безвозвратной ишемии.

На нижележащих изображениях слева представлена диффузно-взвешенное изображение, на котором возможно выявить ишемизированную ткань. Среднее изображение соответствует мр- перфузии, на котором визуализируется огромная область гипоперфузии. На крайне правом изображении diffusion-perfusion mismatch визуализируется зона ткани-риска, которая отмечена синим и возможно будет сохранена после терапии.

Ниже представлены изображения пациента, у которого были установлены неврологические проявления около часа назад. Постарайтесь выявить патологические изменения, а после продолжите чтение.

Данные изображения соответствуют норме, поэтому следует перейти к диффузно-взвешенному изображению. Взгляните на следующие изображения.

На DWI выявляется зона ограничения диффузии, и если после выполнения перфузии не будет выявляться зона перфузии, то следовательно нет смысла выполнять тромболизис.
На выше лежащих изображениях визуализируется инфаркт в бассейне СМА. На КТ четко визуализируются необратимые изменения. Далее представлены DWI и перфузия. При сопоставлении зон становится ясно, что не нужно выполнять тромболизис

При ознакомлении с перфузионными изображениями, то визуализируется несоответствие. В левом полушарии выявлена область гипоперфузии. Данный пациент абсолютный кандидат на тромболитическую терапию.
Диагностика инсульта на КТ
Инсульт (инфаркт головного мозга) — это острое нарушение мозгового кровообращения (ОНМК), которое приводит к ишемии и некрозу клеток головного мозга, кровоизлияниям, и относится к потенциально опасным для жизни состояниям.
При ишемическом инсульте нарушение мозгового кровообращения вызвано закупоркой или патологическим сужением одного из сосудов, в результате чего клетки погибают из-за нехватки глюкозы и кислорода. Ишемический инсульт называют «инфарктом мозга», и это наиболее распространенный вид ОНМК. О геморрагическом инсульте говорят в случае, если произошел разрыв сосудов, при этом важно исключить обширное кровоизлияние в головной мозг.
Если у пострадавшего выражены некоторые признаки инсульта, например, спутанность сознания, парез конечностей, головная боль, неконтролируемая асимметрия движений и мимики, однако эти симптомы быстро проходят, а не сохраняются в течение всего дня, тогда говорят о транзиторных ишемических атаках. По-другому ТИА называют «микроинсультом». Иногда микроинсульт ошибочно объясняют как обычную реакцию на усталость, хронический стресс, высокие нагрузки — в этой связи проблема остается без должного внимания. Однако транзиторные ишемические атаки имеют последствия и достоверно увеличивают вероятность инсульта у пациента в будущем.
На сегодняшний день КТ является основным методом нейровизуализации при инсульте. Своевременная диагностика ОНМК, исследование анатомических структур головного мозга и сосудов, питающих орган, имеет значение не только для дальнейшего лечения, но и обладает прогностическим потенциалом. В этой статье мы расскажем, когда лучше делать КТ головного мозга, какие признаки указывают на высокий риск инсультов, а также подробнее о видах ОНМК.
Опасен ли инсульт?
В России показатель летальных исходов при инсультах практически в 2,5 раза превышает общемировой показатель. В последние 20 лет наблюдается тенденция к росту распространенности ОНМК — как среди мужчин, так и среди женщин.
По данным Оксфордского университета, смертность от всех видов инсульта на протяжении первой недели достигает 12%, первого месяца — 19%, первого года — 31%. Российские исследователи пришли к выводу, что около 40-45% пациентов, перенесших мозговой инсульт, погибают в течение первого года. Повторный инсульт в последующие годы случается у каждого пятого, при этом наиболее опасны эти эпизоды в течение года после первого случая.
Приблизительно 85% этих инсультов обусловлено ишемией головного мозга в связи с закупоркой сосудов. Последняя чаще всего вызвана атеросклерозом. При этом отсутствует культура профилактики и диагностики заболеваний сосудистой системы. В свою очередь, патологии сосудистого русла с трудом поддаются лечению, а некоторые патологические изменения носят необратимый характер. Больные гипертонической болезнью и атеросклерозом часто погибают от развившихся мозговых инсультов.
По статистике, только 15-20% пациентов, выживших после инсульта, сохраняют трудоспособность. Остальные пожизненно остаются инвалидами — нуждаются в лекарствах и помощи. Инсульт затрагивает не только двигательные, но и чувственные функции. В первую очередь страдает интеллект — когнитивные способности, память, восприятие пространства и др. Инсульт сопряжен с высоким риском развития слабоумия. От ОНМК не застрахованы ни пожилые, ни молодые люди, ни дети.
При отсутствии медицинской помощи и неблагоприятном исходе терапии ситуация со временем усугубляется: постепенно уменьшается снабжение органа кислородом и глюкозой, в зоне инфаркта (состоит из ядра и пенумбры) происходит некроз клеток, а область поражения расширяется. При этом меняется плотность вещества головного мозга, в паренхиме накапливаются токсичные вещества и свободные радикалы: супероксид, перекись водорода. Они нарушают работу митохондрий и нейронов, вступают в реакции с различными клеточными компонентами и поддерживают цикл дальнейшей дезинтеграции клеток, а также провоцируют воспаление. Таким образом, головной мозг постепенно погибает, «отключая» жизненно важные функции.
Среди пациентов, переживших острое нарушение мозгового кровообращения однажды, существует довольно высокая вероятность повторного инсульта.
Нельзя однозначно ответить на вопрос, какой инфаркт опаснее: ишемический или геморрагический. Все зависит от индивидуальной клинической картины. Однако геморрагическому инсульту может сопутствовать обширное кровоизлияние в мозг с последующим образованием гематом, рубца, кистозного новообразования.
Именно кровоизлияние в мозг необходимо исключить на КТ после инсульта — лучше всего уже в первые часы с момента проявления симптомов.
Ишемический и геморрагический инсульт
Два основных вида ОНМК. В некоторых случаях пациенту диагностируют инфаркт мозга смешанного типа с признаками ишемического и геморрагического инсульта.
Геморрагический инсульт
Геморрагический инсульт диагностируют, когда произошел разрыв кровеносных сосудов (преимущественно в области аневризм), что привело к субарахноидальному кровоизлиянию в мозг, геморрагическому пропитыванию вещества мозга, образованию гематом.
К главным причинам геморрагического инсульта относится артериальная гипертензия и разрыв аневризм интракраниальных сосудов.
Ишемический инсульт
Ишемический инсульт развивается из-за критического сужения (закупорки) сосуда головного мозга. В результате клетки мозга не получают кислород и питательные вещества вместе с током крови. Из-за этого клетки голодают и отмирают.
К главным причинам ишемического инсульта относится тромбоз артерий с выраженными признаками атеросклероза с формированием холестериновых бляшек, отложением солей кальция и разрастанием соединительной ткани. В первую очередь патологические изменения затрагивают брахиоцефальные артерии.
К отягчающим обстоятельствам, приближающим вероятность инсульта относятся:
- Возраст старше 50 лет;
- Транзиторные ишемические атаки в анамнезе;
- Некоторые сердечно-сосудистые заболевания (гипертония, инфаркт миокарда);
- Сахарный диабет;
- Некоторые заболевания, не связанные с сердечно-сосудистой системой и ЦНС (лейкемия, расслоение артерий);
- Наследственность;
- Курение;
- Злоупотребление алкоголем;
- Интоксикация организма;
- Систематическое отсутствие сна, отдыха, стресс, повышенные нагрузки;
- Неправильное питание (много холестерина в рационе);
- Гиподинамия.
Со стороны разница во внешних проявлениях ишемического и геморрагического инсульта практически отсутствует, и в этом заключается проблема. КТ головного мозга при геморрагическом инсульте лучше проходить сразу после проявления признаков ОНМК. Как правило, пациента на скорой сразу госпитализируют в больницу, оснащенную аппаратами КТ или МРТ. Кровоизлияние в мозг, отеки и гематомы врач-рентгенолог увидит сразу.
Но если пациенту с ишемическим инфарктом головного мозга сразу или в первые часы проведут сканирование, то врач не увидит ничего. Первые признаки ишемического инсульта на КТ проявляются только через 4-5 часов.
Хотя ишемический и геморрагический инсульт начинаются преимущественно из-за проблем с сосудами, однако относятся к заболеваниям ЦНС.
Симптомы инсульта
Про инсульт говорят в том случае, если признаки неврологических нарушений у пациента сохраняются более суток. К общим симптомам инсультов относятся:
- Внезапная слабость, онемение конечностей;
- Головокружение, нарушение координации, потемнение в глазах;
- Спутанность сознания, невнятная речь;
- Человек не может улыбнуться двумя уголками губ: привычка выходит кривой и асимметричной;
- Человек не может поднять обе руки вверх;
- Внезапная сильная головная боль
В отличие от ишемического инсульта, при геморрагическом:
1. Симптомы проявляются более остро и тяжело, удар инсульта более резкий, а не вялотекущий.
2. Присутствует ощущение прилива крови лицу (возможно покраснение кожных покровов), очень сильная головная боль.
3. Преобладает общемозговая симптоматика, то есть нарушение сознания и дыхания, судороги во всем теле, тошнота. Для ишемического инсульта более характерны очаговые симптомы, а именно парез и онемение конечностей.
Что показывает КТ при инсульте?
КТ при инсульте показывает очаги поражения, отвечающие за бассейн кровоснабжения мозговых артерий и патогенетические подтипы инсульта, а также признаки, связанные с кровоизлиянием в мозговую паренхиму, систему желудочков мозга, межоболочечные пространства.
По изменению плотности структур головного мозга определяют наличие гиподенсивных и гиперденсивных участков, характерных для ишемического и геморрагического инсульта соответственно. Врач-рентгенолог может не только определить вид и стадию инсульта, но и выявить причину ОНМК. На КТ можно увидеть повреждение тканей разной морфологии. Метод позволяет визуализировать сосуды и осмотреть их на предмет тромбов, стенозов, сдавливания опухолями.
Более того, КТ головного мозга позволяет оценить значение анатомического интракраниального резерва и плотности ствола головного мозга по шкале Хаунсфилда. Эти данные важны с прогностической точки зрения.
Значение анатомического интракраниального резерва измеряется на КТ (МСКТ) в аксиальной проекции и является взаимным соотношением таких параметров, как битемпоральное расстояние, ширина тенториального отверстия, диаметр большого затылочного отверстия.
В рамках исследований, проведенных Котовым М.А. — главным врачом центра КТ «Ами», кандидатом мед. наук, автором патентов РФ «Способ прогнозирования исхода ишемического инсульта головного мозга» и «Способ определения степени мозжечково-тенториального ущемления ствола головного мозга» — были подтверждены важные диагностические гипотезы и выявлено, что у пациентов со значением АИР 5,22 прогноз при инсульте наименее благоприятный. У таких пациентов диаметр затылочного отверстия менее 3,04 см, а плотность ствола головного мозга по шкале Хаунсфилда повышена.
Основных методов диагностики три: УЗДГ, КТ или МРТ. При инсульте необходимо оценить изменения в головном мозге и измерить интенсивность кровотока. Для последней задачи используют УЗДГ, для визуальной оценки всех остальных признаков — КТ или МРТ. Предпочтение отдается КТ, что объясняется суммарно более высокой информативностью и удобством проведения у пациентов в первые часы после ОНМК.
Однако, как мы уже отметили, ранние признаки ишемического инсульта визуализируются на КТ только через 4-5 часов. Ранний признак ишемического инсульта — сдавление корковых борозд — будет виден на КТ в случае цитотоксического отека, в результате которого происходит увеличение объема внутриклеточной жидкости, что приводит, в свою очередь, к набуханию извилин коры.
КТ показывает участки ишемии в головном мозге. По плотности тканей, а также по изменению плотности белого и серого вещества (измеряется по шкале Хаунсфилда, рассчитывается при компьютерной обработке КТ-сканов) устанавливают вид и стадию инсульта. Механика развития инсульта по стадиям следующая:
1 стадия инсульта
В первые часы после инфаркта показатель плотности ткани мозга находится в пределах нормы.
2 стадия инсульта
Нарастает цитотоксический отек мозга, наблюдается некротическая гибель вещества мозга (визуализируется участками затемнения). На КТ мы увидим, что плотность белого и серого вещества мозга снижается. При этом гибнут элементы нервной ткани, образуются макрофаги.
3 стадия инсульта
На 5-е сутки после инсульта начинаются процессы разрушения тканей мозга и реактивные изменения в сером веществе. Образуются новые сосуды и капилляры. Однако они нежизнеспособны и разрушаются. Если бы рассматривали их под микроскопом, то увидели бы кровоизлияния из этих сосудов. Плотность серого вещества мозга увеличивается («эффект затуманивания»). Наблюдается более заметное изменение плотности по шкале Хаунсфилда серого и белого вещества.
4 стадия инсульта
Лакунарные инфаркты на КТ представляют собой небольшие зоны (от 5 до 10 мм) со сниженной плотностью ткани. В дальнейшем формируются псевдокисты (лакуны).
Нужно ли делать КТ после инсульта?
После первой диагностики инсульта на КТ — выявления очагов поражения мозга и определения вида (геморрагический или ишемический инсульт) — важно отслеживать динамику изменений раз в год или чаще, по показаниям лечащего врача (невролога). КТ можно заменить на МРТ, что будет в равной степени информативно.
Текст подготовил
Котов Максим Анатольевич, главный врач центра КТ «Ами», кандидат медицинских наук, доцент. Стаж 20 лет
- Campbell B., De Silva D., Macleod M., Coutts S., Schwamm L., Davis S., Donnan G. Ischaemic stroke, 2019.
- Bouchez L., Sztajzel R., Vargas M. CT imaging selection in acute stroke, 2016.
- Kamalian S., Lev M., Stroke Imaging, 2019.
- Котов М.А. Возможности компьютерной томографии в прогнозировании летального исхода инсульта / Дневник казанской медицинской школы. — 2017. — №. 2. — С. 76-80.
- Котов М.А. Показатели и значение интракраниального анатомического резерва, у пациентов с острым нарушением мозгового кровообращения / Журнал научных статей Здоровье и образование в XXI веке.Т. 18, № 2., 2016. — С. 229-233.
- Котов М.А. Лучевые предикторы исходов ишемического инсульта / Дневник казанской медицинской школы. — 2018. — №. 2. - С. 86-89.
- Котов М.А. Предикторы раннего летального исхода острого нарушения мозгового кровообращения, выявляемые при компьютерной томографии / Материалы VIII Научно-практической конференции Поленовские чтения, Российский нейрохирургический журнал им. проф. А.Л. Поленова, специальный выпуск. — 2018, — Т.Х, С. 129.
- Котов М.А. Возможности компьютерной томографии в оценке риска развития острого нарушения мозгового кровообращения / Вестник Северо-Западного государственного медицинского университета им. И.И. Мечникова. 2017. Т. 9. № 4. — С. 35-38.
- Kotov M.A. Brain dislocation morphometry at neurology and neurosurgery from the standpoint of evidence-based medicine / Global Science and Innovation // Materials of the V international scientific conference. - Chicago, 2015. — Р. 207-212.
Мы перезвоним, подберём удобное для записи время и ответим на вопросы.
Оператор обрабатывает входящие заявки с 8:00 до 22:00
Нажимая на кнопку, вы даете согласие на обработку персональных данных в соответствии с Федеральным законом от 27.07.2006 г. № 152-ФЗ «О персональных данных».
Если вы оставили ее с 8:00 до 22:00, мы перезвоним вам для уточнения деталей в течение 15 минут.
Инсульт на МРТ головного мозга
Магнитно-резонансная томография - один из самых точных и достоверных способов диагностики инсульта. Первые признаки инсульта на МРТ снимках головного мозга появляются уже в первые минуты после начала острого нарушения мозгового кровообращения. Традиционно для диагностики инсульта в первые несколько часов используется компьютерная томография, как более доступный, экономичный и быстрый метод. МРТ, по сравнению с КТ, не только точнее, но и информативнее.
Что такое инсульт
Инсульт - острая патология головного мозга, которая сопровождается тромбозом/закупоркой (ишемический инсульт) или разрывом артерий с последующим внутримозговым или субарахноидальным кровотечением (геморрагический инсульт). Возникающее в результате острое нарушение мозгового кровообращения приводит к отёку мозга, некрозу участков белого или серого вещества, гибели нервных клеток. Симптомы инсульта - внезапная сильная головная боль, помутнение и потеря сознания, тошнота, рвота, паралич конечностей и т.п. неврологические признаки. Острые нарушения мозгового кровообращения находятся на 2 месте по смертности после ишемической болезни сердца - ежегодно из-за инсультов погибает около 6-7 миллионов человек. Опаснее всего геморрагический инсульт с летальностью 40%.

Основные причины инсультов - атеросклероз и гипертоническая болезнь. Отложения холестерина в стенках сосудов нарушают кровообращение, способствуют образованию тромбов, снижают прочность и гибкость артериальной стенки, легко рвущейся при повышении артериального давления.
Можно ли делать МРТ после инсульта
Магнитно-резонансная томография не является противопоказанием при инсульте, если состояние больного стабильно и не требует интенсивной терапии и реанимационных мероприятий, таких как искусственная вентиляция лёгких. Более того, применение МРТ в диагностике острых нарушений мозгового кровообращения позволяет уточнить диагноз, выявить наличие тромбов, атеросклеротических бляшек и обнаружить источник кровоизлияния. Однако если состояние пациента нестабильно и требует интенсивной терапии, от магнитно-резонансной томографии приходится отказываться в пользу менее точной, но более быстрой компьютерной томографии.
Магнитно-резонансная томография при инсульте используется не только для диагностики, но и для оценки динамики восстановления пострадавшей части головного мозга через несколько дней, недель и даже месяцев. Метод идеально подходит для этой цели, так как компьютерная томография не может применяться с такой частотой из-за облучения, и уступает по точности МРТ.
Диагностика инсультов на МРТ
Для диагностики инсульта проводится стандартная магнитно-резонансная томография головного мозга. Применение контраста позволяет увеличить чувствительность метода в спорных случаях - симптомы, похожие на острое нарушение мозгового кровообращения, могут возникать при опухолях, резком снижении уровня глюкозы крови у больных сахарным диабетом и других болезнях.
Какое МРТ делать при инсульте? При подозрении на инсульт исследование проводится в нескольких режимах, в том числе обязательно в ангио-режиме для поиска сосудистой патологии, послужившей причиной заболевания (тромбоз, эмболия, аневризма сосуда или сосудистая мальформация, атеросклероз артерий головного мозга).
80% всех инсультов происходит по ишемическому типу. Основная причина ишемического инсульта - тромбоз артерий головного мозга. Реже причиной острого нарушения мозгового кровообращения по ишемическому типу может служить длительный спазм артерий или резкое снижение артериального давления. Закупорка артерии, питающей соответствующий участок головного мозга, приводит к гибели нервных клеток и некрозу тканей. Тяжесть состояния определяется тем, какой сосуд был блокирован, и за что отвечают участки мозга, попавшие в зону некроза.
Признаки ишемического инсульта на МРТ головного мозга
В первые минуты после закупорки сосуда прекращение поступления крови к тканям головного мозга приводит к ишемии или недостатку кислорода и питательных веществ. Если сосуд был перекрыт не полностью, и какая-то часть крови продолжает поступать, ишемия может сохраняться в течении нескольких часов или даже дней - такое состояние называют транзиторной ишемической атакой. Однако если тромб перекрыл артерию полностью, уже через 5-10 минут ишемия приводит к гибели нервных клеток и некрозу тканей мозга - необратимому состоянию.

Изменения на МРТ после ишемического инсульта - в стандартных режимах на снимках отсутствуют явные изменения, однако в некоторых режимах (DWI, ADC) уже через несколько минут после начала инсульта видны четкие признаки ишемии и некроза. В ангио-режиме можно обнаружить тромб, вызывавший закупорку артерии, определить его расположение, протяженность, от которых будет зависеть прогноз.
Через 6 часов после начала острого нарушения мозгового кровообращения по ишемическому инсульту начинают появляться структурные изменения, видные и в других режимах МРТ (FLAIR, T2). Оборудование “видит” участок мозга, подвергшийся некрозу, из-за отека тканей. Такая картина сохраняется на протяжении 1-2 недель. Через 3 недели картина начинает приходить в норму, однако отмерший участок мозга никогда не будет прежним, что частично видно на снимках вне зависимости от того, сколько времени прошло. Если некроз возник в зонах мозга, отвечающих за речь, слух, зрение, двигательную активность, восстановление соответствующих функций может занять месяцы и годы или же не произойти никогда.
Геморрагические инсульты или внутримозговые кровоизлияния составляют 15% всех острых нарушений мозгового кровообращения. Непосредственная причина - разрыв артерий головного мозга, ослабленных атеросклеротическими изменениями и повышением артериального давления. Гипертоническая болезнь - один из главных факторов риска геморрагического инсульта.
Признаки геморрагического инсульта на МРТ головного мозга
Изменения на МРТ после геморрагического инсульта появляются на снимках уже через несколько минут после начала болезни. Магнитно-резонансная томография имеет отдельный режим (SWI) для обнаружения крови, что позволяет с высокой точностью установить факт наличия кровоизлияния в головной мозг. Причем расположение, объём и протяженность гематомы имеют прогностическое значение. В сосудистом режиме обнаруживаются артерии головного мозга, с явными признаками атеросклероза.

Через 1-2 часа после кровоизлияния кровь сворачивается, из-за чего соответствующие изменения начинают появляться и на снимках, сделанных в обычных режимах. Область гематомы изменяется, вокруг нее появляется кольцо, обусловленное отеком мозга и нарушением кровообращения. В центре - неоднородная масса, соответствующая сгустку крови. Такая картина сохраняется на протяжении нескольких дней или даже недель и соответствует тяжелому поражению мозга. В некоторых случаях возможно проведение хирургического удаления гематомы, однако на практике из-за высокой летальности (40-70%) и тяжелого состояния пациента такие операции проводятся редко.
Субарахноидальные кровоизлияния
Субарахноидальные кровоизлияния - один из вариант геморрагического инсульта, однако источником кровотечения в этому случае служат разрывы аневризм артерий, расположенных на основании головного мозга. Гематома при субарахноидальном кровоизлиянии находится между мягкой и паутинной мозговой оболочкой. Предрасполагающим фактором также служит гипертоническая болезнь.

Изменения на МРТ после этого типа геморрагического инсульта видны сразу после начала болезни (в режимах SWI и FLAIR). Магнитно-резонансная томография легко обнаруживает кровь в субарахноидальном пространстве. В ангио-режиме можно увидеть непосредственную причину кровоизлияния - аневризму или другой источник кровотечения. В первые несколько дней на МРТ-снимках также могут обнаруживаться ишемические изменения, связанные с реактивным спазмом артерий головного мозга. Как и в случае с геморрагическими инсультами, субарахноидальное кровоизлияние уже через несколько часов видно в других режимах, из-за сворачивания крови.
Острая гипертоническая энцефалопатия
Острая гипертоническая энцефалопатия - патологическое состояние, возникающие из-за повышенного артериального давления (АД выше 200/130 мм. ртутного столба, реже при более низком давлении). Характеризуется возникновением участков ишемии в тканях головного мозга, вплоть до образования микроскопических кровоизлияний. В норме при повышении артериального давления происходит спазм мелких артерий головного мозга, однако при острой гипертонической энцефалопатии этот же спазм может стать запредельным, что и приводит к возникновению участков тканей мозга, испытывающих недостаток кислорода. Резкое расширение спазмированных артерий ведет к отеку мозга. Острая гипертоническая энцефалопатия - предвестник геморрагического инсульта.

На МРТ-снимках признаки гипертонической энцефалопатия проявляются в виде множественных очагов ишемии/микроскопических кровоизлияний в тканях головного мозга. В ангио-режиме одновременно обнаруживается спазм одних и расширение других артерий.
Что показывает МРТ при инсульте и после него
Магнитно-резонансная томография при инсульте позволяет выяснить, какой участок головного мозга был затронут острым нарушением мозгового кровообращения, какова его протяженность, расположение и объём. Вместе с другими прогностическими признаками эти данные важны для последующего прогноза и оценки состояния больного, выбора тактики лечения и оценки результатов терапии.
МРТ также отлично подходит для динамического наблюдения за результатами лечения. Исследование можно повторять столько раз, сколько это необходимо врачу, без вреда для здоровья пациента. Наблюдая за изменениями на снимках, можно оценить эффективность лечения, и при необходимости провести его коррекцию. Все, что покажет МРТ при инсульте, может помочь врачам, в том числе и при подготовке к хирургическому лечению.
Как выглядит инсульт фотоснимках МРТ головного мозга
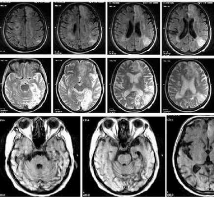
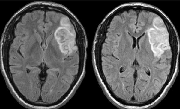
Геморрагический и ишемический инсульты на большинстве МРТ снимках головного мозга видны в виде пятен неправильной формы, имеющих более темную или более яркую окраску, в зависимости от выбранного режима исследования. Локализация, размер и форма очагов соответствует месту расположения, объёму и границам пораженных тканей.

Диагностика заболеваний центральной нервной системы (ЦНС) с помощью магнитно-резонансной томографии позволяет выявлять и дифференцировать патологические процессы на ранних этапах развития.

Серия снимков МРТ при подозрении на инсульт
Для визуализации состояния церебрального вещества и сосудов головного мозга используют индукционное поле. Под действием направленного электромагнитного импульса атомы водорода в молекулах воды меняют положение, возвращаясь затем на место. Резонанс заряженных частиц фиксируют при помощи чувствительных датчиков и обрабатывают посредством сложных программных алгоритмов.
Диагностика инсультов с использованием МРТ является эффективным способом определения патологических изменений состояния внутричерепных сосудов и оценки последствий нарушения мозгового кровообращения. Магнитно-резонансную томографию головы назначают для уточнения диагноза при недостаточной информативности проводимого обследования и в случае первичного обращения к специалисту. Направление на процедуру может дать невропатолог, нейрохирург, онколог, травматолог.
Что такое инсульт?
Острое нарушение мозгового кровообращения (ОНМК) раньше называли апоплексией, что в переводе с греческого языка означает «паралич». Заболевание относят к тяжелым цереброваскулярным патологиям, сопровождающимся высокой летальностью. 70-80% пациентов, перенесших инсульт, становятся инвалидами.
Клиническая картина представлена очаговыми и общемозговыми неврологическими симптомами. Первыми признаками заболевания являются:
слабость, возможен обморок;
резкое возбуждение или сонливость на начальном этапе;
сильная головная боль;
головокружение, потеря ориентации в пространстве и времени;
потливость, учащение сердцебиения, сухость во рту и другие вегетативные нарушения.
На фоне развития общемозговых симптомов возникают очаговые неврологические явления, характер которых зависит от локализации поврежденного сосуда. При нарушении кровоснабжения в затылочной зоне и области мозжечка наблюдают усиливающуюся мышечную слабость верхних и нижних конечностей, шаткость походки, парестезию рук и ног.

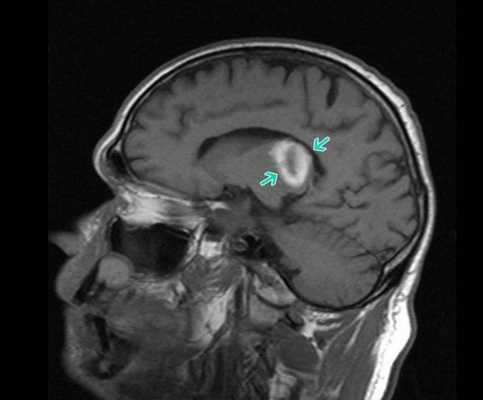
Очаг ишемии и некроза головного мозга (показан стрелками) на МРТ
Повреждения вертебрально-базилярного круга приводят к головокружениям, потере равновесия, возможна рвота. Ухудшается зрение, страдают мышцы глаза с пораженной стороны, снижается чувствительность половины тела.
Пациент не может повторить простую фразу, не отвечает на вопросы. При попытке улыбнуться один угол рта остается опущенным, кончик языка смещается в сторону поражения.
В зависимости от патогенеза заболевания различают четыре основных вида инсульта:
острая гипертоническая энцефалопатия.
В развитии ишемического инсульта значительную роль играют патологии магистральных сосудов. Инфаркт головного мозга возникает при стенозе или тромбозе брахиоцефальных и внутричерепных (интракраниальных) артерий. Недостаток кислорода и питательных веществ вызывает некроз церебральных клеток, что приводит к развитию неврологических нарушений. Причинами выраженной гипоксии служат атеросклероз, эмболии, резкое снижение артериального давления (АД). В диагностике ишемического инсульта используют МРТ, КТ головного мозга, другие методы инструментальных исследований. Прогноз во многом зависит от возможности дифференцировать заболевание на ранних стадиях.
Геморрагический инсульт возникает при внутримозговом кровоизлиянии, которое приводит к гибели нервных клеток. Заболевание развивается на фоне гипертонической болезни, вызывающей спазмы и параличи внутричерепных артерий. Стенки сосудов становятся проницаемы для плазмы и форменных элементов, утрачивают тонус и пассивно расширяются при повышении АД.

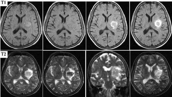
Картина развития ишемического инсульта на МРТ (Т1- и Т2-взвешенные изображения)
Субарахноидальное кровоизлияние возникает при разрыве аневризмы, артериовенозных мальформациях, злокачественных заболеваниях или по причине черепно-мозговой травмы. Неврологические симптомы появляются при компрессии церебрального вещества вследствие образования гематом в зоне мягкой паутинной оболочки.
Острая гипертоническая энцефалопатия развивается на фоне стойкой артериальной гипертензии. Длительное повышение АД приводит к прогрессирующему поражению тканей головного мозга. В случае неэффективного лечения гипертоническая энцефалопатия заканчивается ишемическим или геморрагическим инсультом, отеком церебральных структур, возможен летальный исход. Опасность состояния заключается в отсутствии выраженной клинической картины.
МРТ диагностика позволяет своевременно выявить инсульт и назначить результативное лечение. Объем и характер врачебной помощи зависят от стадии заболевания. Различают следующие периоды развития патологического процесса:
период отдаленных последствий.
Сроки восстановления зависят от локализации и размера очага некроза, возраста пациента, эффективности лечебных процедур и других факторов.
МРТ после инсульта, можно ли делать?
Магнитно-резонансная томография не оказывает негативного воздействия на здоровье пациента. При подозрении на развитие некроза ткани головного мозга сканирование поможет определить характер и интенсивность патологического процесса.

Признаки острого нарушения мозгового кровообращения на МРТ
Заболевание необходимо дифференцировать от поражений церебральных структур, вызванных:
приступом эпилепсии и пр.
МРТ при инсульте головного мозга отличается высокой результативностью в период восстановления. В остром периоде сканирование используют при подозрении на ишемическое поражение, характеризующееся дезориентацией пациента без потери сознания и отсутствием выраженной головной боли. МРТ позволяет уточнить локализацию патологического очага, детально изучить поврежденные участки мозга.
Что показывает МРТ после инсульта?
Томограммы визуализируют состояние внутричерепных сосудов, белого и серого церебрального вещества, коры головного мозга. Патогенез заболевания определяет, что показывает МРТ при инсульте того или иного типа.
В результате сканирования врач получает фотографии тонких срезов сканируемой зоны, толщина слоя составляет от 1 мм. Послойные снимки показывают изучаемый участок в трех взаимно перпендикулярных проекциях (боковой, центральной, поперечной). При необходимости уточнения расположения церебральных структур и определения взаимодействия патологического очага и здоровой ткани выстраивают 3D-модель головного мозга.

Внутримозговое кровоизлияние на МРТ
В остром периоде магнитно-резонансная томография помогает выявить причины инсульта. На основании томограмм врач оценивает характер кровоснабжения головного мозга, состояние стенок, тонус, просвет внутричерепных артерий.
При развитии очага некроза определяют расположение, размеры, степень поражения церебрального вещества.
МРТ после инсульта назначают в реабилитационном периоде. Обследование помогает контролировать процессы восстановления поврежденных участков, своевременно диагностировать развитие отдаленных последствий.
Признаки инсульта на МРТ
С помощью магнитно-резонансной томографии острое нарушение мозгового кровообращения можно определить после появления первых клинических симптомов.
Инсульт на МРТ головного мозга имеет следующие характерные признаки:
тромбоз, эмболия, аневризма кровеносного сосуда;
отек головного мозга;
некроз церебрального вещества (гиперинтенсивный очаг на Т2-взвешенных изображениях);
смещение пораженных мозговых структур в сторону здоровой ткани;
формирование колликвационных кист.
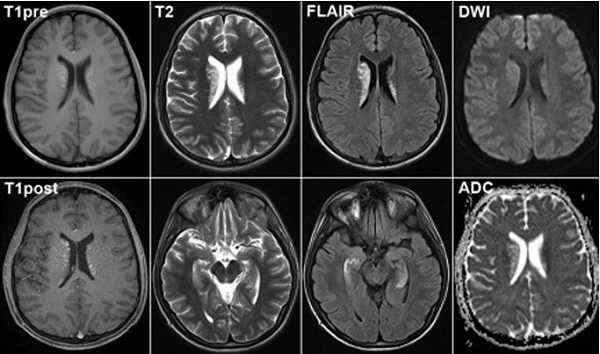
В острейшем периоде (первые 6 часов) проводят диффузно-взвешенную (ДВ) МРТ. Полученные снимки отражают патологические изменения мозгового вещества через 5 минут после появления признаков инсульта. ДВ-изображения помогают определить область поражения, показывают отек тканей вокруг очага, смещение церебральных структур.
Острый период (1-7 день) характеризуется появлением четко ограниченных светлых участков на МРТ в Т2-взвешенном режиме. На Т1 ВИ очаги некроза имеют гипоинтенсивный сигнал.

Головной мозг на МРТ при разных режимах сканирования
В течение следующих двух недель зона отека на снимках уменьшается, область поражения видна отчетливо. Для раннего реабилитационного периода характерно появление кисты, сформированной на месте некротизированной ткани. Позднее наблюдается образование альтернативных нейронных связей, которые позволяют восстановить утраченные функции головного мозга.
Дифференциальные признаки инсульта на МРТ позволяют уточнить характер заболевания в первые часы, когда возможны применение тромболизиса и регенерация участков, пострадавших от ишемии.
Картина МР-сканирования при ОНМК зависит от вида процесса. Различный патогенез приводит к появлению на снимках МРТ дополнительных признаков инсульта. Большей информативностью магнитно-резонансная томография обладает в отношении инфаркта головного мозга, диагностика которого может представлять трудности ввиду отсутствия на ранней стадии выраженной клинической картины.
Для заболевания характерно появление очагов некроза, вызванного нарушением кровоснабжения определенного участка мозга. В острой стадии наблюдается утолщение извилин коры головного мозга, стирается граница между серым и белым веществом. В период восстановления зону инфаркта определяют как участок кистозного или глиозного перерождения.
Для лакунарного инсульта, представляющего разновидность ишемии, характерно появление небольших (до 20 мм) очагов и кровоизлияний в области глубинных структур головного мозга. Причиной служит тромбоз мелкой внутричерепной артерии, вызвавший образование кисты (лакуны).

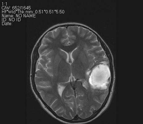
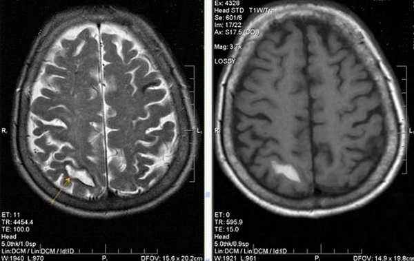
Интракраниальное кровоизлияние на МРТ (стрелка указывает на гематому)
Кровоизлияния слабо определяются на магнитно-резонансных томограммах. При геморрагическом инсульте на МРТ гематомы представлены очерченными очагами с усилением сигнала (Т1-взвешенный режим).
Паренхиматозное кровоизлияние отличается скоплением крови непосредственно в ткани головного мозга. Перифокальный отек выглядит как участок пониженной плотности, имеющий округлую форму.
Очаги некроза возникают под паутинной оболочкой головного мозга. На МРТ картина субарахноидального кровоизлияния похожа на изменения, характерные для геморрагического инсульта. Снимки визуализируют зону поражения и позволяют определить причину заболевания.
Внутримозговое кровоизлияние требует проведения контрольных сканирований. При увеличении гематомы возможно усиление компрессии окружающих структур и распространение перифокального отека.
МРТ головного мозга показывает характерное для инсульта повышение сигнала на Т2 ВИ, локализованного преимущественно в области теменно-затылочных отделов, моста, мозжечка. На ДВ-изображениях отсутствуют признаки диффузии.
В зависимости от картины МРТ, сделанной после инсульта, определяют, какой характер, ишемический или геморрагический, имеет патологический процесс. Информация о причинах развития заболевания необходима для выбора наиболее результативного метода лечения.
Как выглядит инсульт на фотоснимках МРТ головного мозга?
Монохромные изображения позволяют выявить измененные участки, которые отличаются по цвету от здоровых тканей. Очаги ишемии и кровоизлияния имеют четкие границы, позволяя уточнить степень поражения мозговых структур.

Инфаркт головного мозга на МРТ
Томограммы визуализируют патологии внутричерепных кровеносных сосудов, помогая в определении причин развития ОНМК. Для повышения информативности используют контрастное магнитно-резонансное сканирование.
Нужно ли делать МРТ при инсульте, решает врач с учетом клинической картины заболевания. Метод обладает высокой эффективностью. Но так как продолжительность сеанса составляет от 15 до 30 минут, пациентам в тяжелом состоянии проводят альтернативное КТ-исследование.
КТ или МРТ при инсульте — что выбрать

По частоте острых нарушений мозгового кровообращения РФ занимает одно из лидирующих мест в мире. В первые месяцы после инсульта смертность составляет около 30%, а в дальнейшем периоде полностью трудоспособными остаются всего 15-20% пациентов. Поэтому так важно своевременно выявить заболевание и разработать план адекватной терапии.
Современные диагностические методы МРТ и КТ, позволяют получить четкие послойные снимки в различных проекциях и выявить патологические очаги в головном мозге.
КТ и МРТ помогают уточнить характер инсульта и отличить заболевание от других состояний, к примеру, опухолевые процессы головного мозга.
Компьютерная томография при ОНМК
КТ — рентгенологический метод обследования, при котором в отличие от классического рентгена, за один оборот трубки делаются десятки снимков. Диагностика считается быстрой и информативной. Всего за пять минут врач сможет получить снимки. Считается, что в остром состоянии лучше проводить именно рентгенологический метод исследованием с контрастом, поскольку МРТ занимает слишком много времени.
Геморрагический инсульт виден на томографии как очаг повышенной плотности, именно там и расположено кровоизлияние. Спустя 10-12 часов после начала патологического процесса вокруг больших очагов возникают признаки отека.
Перед диагностикой доктор обязательно произведет осмотр больного и постарается определить тип инсульта. К косвенным признакам геморрагического инсульта относится сильная головная боль и спазмирование (твердость) мышц шеи. А вот при ишемическом процессе возникают только неврологические симптомы.
В первые часы заболевания МРТ не позволяет выявить очаги, что обусловлено особенностью работы прибора. Однако важно помнить, что при ишемическом инсульте, наоборот, не показательно КТ.
Магнитно-резонансная томография при ОНМК
МРТ — методика обследования, в основе которой лежит действие сильного магнитного поля на атомы водорода в теле человека. Исследование полностью безопасно и не имеет вредного облучения.
Через четыре часа на магнитно-резонансной томографии можно определить участки гиперинтенсивности и признаки обескровливания, а значит диагностировать ишемический инсульт.
В позднем периоде заболевания, МРТ всегда информативнее КТ. Врачи отмечают, что черты перенесенных кровоизлияний сохраняются на МР-изображениях даже спустя несколько лет.
Магнитно-резонансная томография также используется для оценки динамики лечения и решения вопроса о хирургическом вмешательстве при субарахноидальных кровоизлияниях.
Микроинсульт
Микроинсульт — заболевание, обусловленного мелкоочаговым инфарктом мозга или кровоизлиянием. Пациенты могут даже не заметить его проявлений, поскольку симптоматика обычно проходит в течение суток.
Микроинсульт является тревожным признаком, поэтому при появлении ассиметрии лица, разнице зрачков, кратковременной потери памяти стоит обязательно посетить невролога.
При подозрении на данное заболевание применяется МРТ, обследование способно визуализировать точечные кровоизлияния в мозг.
Результаты — что выбрать КТ или МРТ
Итак, как мы видим, и КТ и МРТ одинаково способны качественно визуализировать головной мозг, особенно при применении контрастного препарата.
При выборе обследования, важно помнить, что в первые часы лучше сделать компьютерную томографию, чтобы оперативно решить вопрос о постановке диагноза.
В тех случаях, когда пациент доставлен в больницу уже достаточно поздно, единственно правильным вариантом становится проведение магнитно-резонансной томографии.
Читайте также:
- Лечение аутоиммунной тромбоцитопении. Особенности терапии беременных
- Влияние аппаратуры на ткани пародонта. Теории перестройки костной ткани альвеолы.
- Как гармонично воспитывать ребенка? Наказание в воспитании детей
- Признаки пороков развития головного мозга на МРТ, КТ
- Гипероксалурическая хроническая обструктивная болезнь легких.

