Рентгенограмма, УЗИ при зернистоклеточной опухоли пищевода
Добавил пользователь Евгений Кузнецов Обновлено: 07.01.2026
Рак желудка представляет собой злокачественное поражение эпителия слизистой оболочки органа. По статистике, рак желудка находится в пятерке «лидеров» среди всех онкологических заболеваний по частоте возникновения и занимает второе место по частоте смертельных исходов.
В большинстве случаев столь плачевная статистика связана со сложностями ранней диагностики.
Что такое рак желудка?
Рак желудка — это злокачественная опухоль, формирующаяся из клеток слизистой оболочки органа.
Несмотря на распространенность этого типа новообразований, каждый случай требует индивидуального подхода и разработки стратегии диагностики, лечения, а также тщательного стадирования. По мере развития, новообразование прорастает стенку желудка, может распространяться на соседние органы, метастазировать в отдаленные внутренние органы
Характерные черты заболевания
Рак желудка имеет ряд специфических черт:
- Чаще всего поражает пациентов старше 55 лет. В последние годы болезнь стала «молодеть», в редких случаях заболеть может даже ребенок.
- Мужчины страдают раком желудка чаще женщин.
- Часто протекает без выраженных симптомов или имеет скудную симптоматику, в связи с чем диагностика на ранних стадиях затруднена.
Причины рака желудка
Среди причин рака желудка называют:
- Преклонный возраст
- Осложненная наследственность
- Неправильное питание, гиподинамия, ожирение
- Наличие хронических заболеваний ЖКТ
- Полипоз желудка
- Курение, злоупотребление алкоголем
Виды рака желудка
В подавляющем большинстве, около 90% всех клинических случаев, речь идет об аденокарциноме.
Помимо аденокарциномы выделяют и другие виды опухоли желудка:
- Плоскоклеточный рак.
- Дифференцированный рак желудка.
- Железисто-плоскоклеточный рак и др.
По формам роста выделяют:
- Грибовидные опухоли. Такая опухоль склонна к позднему метастазированию, имеет экзофитный рост, четко отграничена от окружающих тканей.
- Опухоль изъязвленная. Имеет блюдцеобразную форму, углубление по центру. Также как и в первом случае четко отграничена от окружающих тканей и поздно метастазирует.
- Язвенно-инфильтративная опухоль. Прорастает стенки органа, не имеет четких границ.
- Диффузно-инфильтративная опухоль. Представляет собой смешанную форму. Имеет вид многочисленных изъязвлений, склонна к инфильтративному росту.
Исходя из расположения, могут быть:
- Опухоль дна желудка.
- Передней стенки.
- Задней стенки.
- Кардиальной зоны.
- Малой кривизны.
- Большой кривизны.
- Пилорической части.
Симптомы и первые признаки
- Чувство слабости.
- Нарушения со стороны психики: апатичность, индифферентное отношение к окружающему миру, депрессивное состояние.
- Чувство распирания в надчревной области.
- Диспепсические явления, среди которых: тошнота, длительно протекающая изжога.
- Резкое снижение веса (немотивированное, вне диеты).
- Болевой синдром различной степени интенсивности.
- Нарушения сна.
- Чувство переполненности желудка, плохой аппетит.
Отличить признаки рака желудка не просто. Точку в вопросе ставят диагностические мероприятия.
На развитых стадиях заболевания наблюдаются следующие симптомы опухоли желудка:
- Резкое снижение массы тела.
- Рвота без облегчения состояния.
- Тошнота.
- Ноющие боли, иррадиирующие в спину, поясницу. Чем более развита опухоль, тем интенсивнее боль.
- Кровотечения из ЖКТ, обусловленные разрушением сосудов. Проявляются рвота с кровью, черный стул и т.д.
- Анемия.
Как выглядит рак желудка?
На представленном фото рака желудка представлен внешний вид опухоли по стадиям развития.

Диагностика
Диагностика необходима, чтобы ответить на следующие вопросы:
- Оценка размеров злокачественной опухоли и ее распространенности.
- Определение локализации процесса.

Диагностика включает в себя два типа исследований: Выявление опухоли и оценку степени распространения опухолевого процесса для выработки оптимальной тактики лечения.
Методы диагностики
- Рентгенография желудка. Заключается в рентгенографическом исследовании органа с применением специального контрастирующего вещества, которое пациент выпивает до проведения процедуры. Это безболезненный и информативный способ обследования.
- ФГДС (фиброгастродуоденоскопия). Минимально инвазивное исследование, в ходе которого в желудок больного вводится специальный гибкий зонд с источником света и миниатюрной камерой. Позволяет визуально оценить состояние пищевода, желудка, начальных отделов тонкого кишечника. Параллельно с выполнением исследования производится забор биоматериала.
- Биопсия. Суть этого исследования состоит в заборе участка ткани для гистологического анализа. Может проводиться как во время ФГДС, так и в процессе проведения операции.
- Компьютерная томография. Дает возможность получить детальнейшие изображения структур желудка. Процедура абсолютно безболезненна и длится не долее 10-15 минут.
- Эндоузи (эндоскопическое ультразвуковое исследование). Процедура по своему характеру схожа с ФГДС, однако аппарат для ее проведения имеет дополнительный датчик, позволяющий более детально оценить глубину прорастания опухоли в слои стеки желудка.
- Лапароскопия. Минимально инвазивная операция, проводимая как в диагностических, так и в лечебных целях. Суть ее состоит во введении в брюшную полость через точечные разрезы специальных инструментов. Проводится под общим наркозом.

Оценка общего состояния здоровья больного.
- Общий анализ крови. Проводится с целью оценить количество гемоглобина, форменных элементов крови (лейкоцитов, эритроцитов, тромбоцитов). Для точности исследование следует выполнять натощак.
- Биохимия крови. Проводится для оценки количества АЛТ, АСТ, билирубина, амилазы, билирубина, глюкозы, альбумина и других показателей.
- Общий анализ мочи. Проводится для оценки работы выделительной системы человека.
- ФВД (функция внешнего дыхания). Проводится для оценки состояния легких. Суть исследования состоит в определении жизненного объема легких.
- Электрокардиография. Назначается для оценки функционального состояния сердца.
- ЭхоКГ (эхокардиография). Назначается для оценки анатомии и функционального состояния сердца.
Диагноз «рак желудка» выставляется только после полного обследования, в том числе обязательного гистологического исследования.
Методы лечения
Возможны следующие методы лечения рака желудка:
- Основным методом лечения больных раком желудка является хирургический.
Операция может производиться классическим либо лапароскопическим способами. В ходе хирургического вмешательства может быть удалена часть желудка или весь желудок, части окружающих органов, лимфоузлы и т.д. Все зависит от размера новообразования и его распространенности на другие органы.

Также может применяться в качестве паллиативной меры химиотерапия.
Прогноз рака желудка
Выживаемость зависит от степени распространения опухолевого процесса и общего состояния больного. В целом, можно представить следующие цифры прогноза при раке желудка:
- При I стадии заболевания пятилетняя выживаемость максимальна и достигает 90%.Около трех четвертей пациентов добиваются полного излечения.
- При IV стадии прогноз крайне неблагоприятный: смертность достигает 95%.
Противопоказания при лечении рака желудка
Существует несколько противопоказаний для оперативного вмешательства:
- Тяжелое состояние больного при болезнях сердца, легких, почек, печени.
- Наличие генерализованного опухолевого процесса.
В первом случае при переходе основных заболеваний в фазу компенсации возможно поставить вопрос о возможности хирургического лечения.
Лечение после операции
- Химиотерапия. Это внутривенное введение специальных препаратов, убивающих раковые клетки. Применяется после операции или в качестве самостоятельного метода терапии.
- Лучевая терапия. Применяется при диффузно растущих опухолях как метод дополнительного лечения либо назначается в паллиативных целях.
- Эндоскопические манипуляции. Применяются для улучшения состояния больных, не способных питаться естественным путем и т.д.
Профилактика рака желудка
Профилактика предполагает изменение рациона. В нем должно быть больше растительной пищи. Не стоит злоупотреблять копчеными, жареными и жирными продуктами. Они обладают канцерогенными свойствами. Также нельзя переедать. На алиментарные причины приходится порядка 35% всех случаев возникновения рака.
Необходимо отказаться от злоупотребления алкоголем, курения. Также важно своевременно лечить воспалительные заболевания желудка, такие как гастрит. Хронический воспалительный процесс — это благодатная почва для развития рака желудка.
Рак желудка — тяжелая и крайне опасная патология. Для ее лечения необходимо приложить максимум усилий, но не всегда это бывает оправдано. Куда проще предотвратить страшную болезнь. Чтобы это сделать, достаточно придерживаться указанных рекомендаций, и каждый год проходить профилактические осмотры.
Рентген пищевода в Москве
Рентгенография пищевода - это метод лучевой диагностики, который направлен на визуализацию пищевод при прохождении через него взвеси бария. Помогает определить месторасположение данного органа, структуру стенок и сфинктеров, размер просвета, а также сделать вывод об особенностях его моторики. Позволяет выявить воспаление, дивертикулы, новообразования, грыжу пищеводного отверстия диафрагмы, разрыв пищевода, аномалии развития, язвы, кровотечения и перфорацию стенки. Эзофагография с барием обычно выполняется в виде самостоятельной процедуры, иногда сочетается с рентгеном желудка. Стоимость учитывает динамическую рентгеноскопию, выполнение рентгенограмм, способ контрастирования (барий, водорастворимый контраст).
Стоимость рентгенографии пищевода в Москве
- без контраста ~ 1 921р. 343 цены
- с барием ~ 2 383р. 171 цена
Рентгеноскопия пищевода. Рентгеноскопия желудка и двенадцатиперстной кишки. С контрастированием (без учета контрастного вещества)

Рентгенография пищевода - это метод лучевой диагностики, который направлен на визуализацию пищевода при прохождении через него взвеси бария. Помогает определить месторасположение данного органа, структуру стенок и сфинктеров, размер просвета, а также сделать вывод об особенностях его моторики. Позволяет выявить воспаление, дивертикулы, новообразования, грыжу пищеводного отверстия диафрагмы, разрыв пищевода, аномалии развития, язвы, кровотечения и перфорацию стенки. Эзофагография с барием обычно выполняется в виде самостоятельной процедуры, иногда сочетается с рентгеном желудка. Стоимость учитывает динамическую рентгеноскопию, выполнение рентгенограмм, способ контрастирования (барий, водорастворимый контраст).
Показания
Рентгенография пищевода с контрастированием показана больным с признаками нарушения функций этого органа. Процедура назначается лицам, у которых впервые возникла дисфагия, включающая в себя такие симптомы как нарушение акта глотания, боль за грудиной после приема пищи, чувство «комка в горле», рвота только что принятой или частично переваренной пищей, изжога, потеря массы тела. Рентгенография пищевода с барием проводится при подозрении на:
- язвенную болезнь пищевода;
- перфорацию язвы или кровотечение из верхних отделов желудочно-кишечного тракта;
- дивертикулы пищевода;
- эзофагеальный стеноз;
- новообразования пищевода;
- гастроэзофагеальную рефлюксную болезнь.
Процедуру выполняют при травмах грудной клетки с признаками разрыва пищевода или грыжи пищеводного отверстия диафрагмы. С профилактической целью рентгенография с барием применяется после проведенных оперативных вмешательств и у пациентов с врожденными пороками развития пищевода или диафрагмы.
Противопоказания
Рентгенография пищевода противопоказана женщинам на любом сроке беременности, пациентам в нестабильном или критическом состоянии, детям младшей возрастной категории. Использование контрастного усиления (бария сульфата) запрещено у лиц с аллергией на барий, больных с кишечной непроходимостью и муковисцидозом, пищеводно-трахеальными свищами.
Подготовка
Предварительные инструментальные исследования, как правило, не проводятся, исключение может составлять обзорная рентгенография ОГК. В большинстве случаев рентгенография пищевода не требует специфической подготовки. Иногда больному рекомендуют воздержаться от приема пищи за 4-6 часов до начала процедуры. Перед началом исследования пациенту нужно раздеться до пояса. Для лучшей визуализации структуры пищевода и оценки его моторной функции во время исследования необходимо дробно выпить 200 мл бария сульфата - густой белой жидкости с привкусом металла.
Методика проведения
Перед началом исследования выполняется обзорная рентгеноскопия грудной клетки. Затем больному дают выпить небольшой глоток бариевого контраста. Рентгенолог на мониторе рентгеновской установки прослеживает акт глотания и скорость продвижения бария в желудок. После того как больной выпивает всю бариевую взвесь, выполняют снимки в прямой, боковых, косой проекциях. Рентгенография пищевода проводится в положении стоя, иногда - лежа.
Длительность процедуры - несколько минут. Данная диагностическая методика не вызывает неприятных ощущений у пациента. Получить готовый снимок «на руки» можно через 20-40 минут. При необходимости дополнительного описания снимка врачом-рентгенологом данное время может увеличиваться до 1 часа (при большой загруженности специалиста - до суток).
Интерпретация результатов
При описании снимков пищевода рентгенолог указывает характеристики акта глотания, состояние стенок пищевода; наличие стенозов и выпячиваний, свищей и язв, опухолевых деформаций; рельеф слизистой в патологически измененной зоне. По результатам рентгенографии пищевода с барием могут быть выявлены следующие патологические изменения, характерные для определенных заболеваний:
Рентгенограмма, УЗИ при зернистоклеточной опухоли пищевода
ГБУЗ города Москвы «Научно-исследовательский институт скорой помощи им. Н.В. Склифосовского ДЗМ»
Эндоскопическое лечение зернистоклеточной опухоли пищевода (клинический случай)
Журнал: Доказательная гастроэнтерология. 2020;9(3): 67‑72
ЦЕЛЬ СТАТЬИ
Обратить внимание врачей-эндоскопистов, торакальных хирургов, онкологов на сложность дифференциальной диагностики неэпителиальных (мезенхимальных) новообразований пищевода и продемонстрировать современные возможности гибкой эндоскопии при лечении этих пациентов. Представлен клинический случай успешного эндоскопического лечения пациента с зернистоклеточной опухолью пищевода. Зернистоклеточная опухоль (опухоль Абрикосова, зернистоклеточная миобластома) относится к группе доброкачественных неэпителиальных опухолей и крайне редко локализуется в пищеводе. Подобные новообразования в пищеводе, как правило, не имеют характерных клинических проявлений и обычно обнаруживаются случайно при эндоскопическом исследовании. Современные минимально инвазивные методы лечения, такие как резекция слизистой оболочки и диссекция в подслизистом слое, успешно применяются для лечения данной патологии.
Дата принятия в печать:
Зернистоклеточная опухоль (ЗКО) — это редкая доброкачественная опухоль, впервые описана отечественным патоморфологом А.И. Абрикосовым в 1926 г. ЗКО имеют нейрогенное происхождение и развиваются из шванновских клеток с гранулированной цитоплазмой [1]. ЗКО могут возникнуть в любом возрасте, но преимущественно встречаются на 4—6-м десятилетиях жизни. Частота выявления заболевания среди женщин в 3 раза выше [2]. ЗКО обнаруживаются почти во всех органах и тканях, но наиболее часто локализуются в коже, подкожной клетчатке (от 33 до 44% случаев) и языке (23—35% случаев) [3]. В желудочно-кишечном тракте (ЖКТ) данные новообразования встречаются достаточно редко (около 8% всех случаев). ЗКО пищевода, о которой впервые сообщил А.И. Абрикосов в 1931 г. [2], является наиболее распространенным типом такой опухоли в ЖКТ. По различным данным, ЗКО пищевода составляют примерно одну треть всех случаев ЗКО в ЖКТ и около 1% всех доброкачественных опухолей пищевода [1]. Подобные новообразования в пищеводе не имеют характерных клинических проявлений, обычно протекают бессимптомно и обнаруживаются случайно при эндоскопическом исследовании [3]. В большинстве случаев ЗКО пищевода солитарные и чаще всего располагаются в средней и дистальной части пищевода в виде узелка или бляшки небольших размеров серовато-белого или желтого цвета; как правило, они ограничены подслизистым слоем [4, 5]. Большинство ЗКО пищевода имеют доброкачественное клиническое течение, однако примерно в 1,5—2,7% всех случаев, описанных в литературе, отмечается злокачественная дегенерация с 5-летней выживаемостью менее 35% [6]. Диагностика ЗКО затруднительна и основывается на данных гистологического исследования. Дифференциальная диагностика ЗКО проводится со многими заболеваниями, в том числе со злокачественными ЗКО, гиберномой, метастазами злокачественных новообразований, лейомиомой, нейрофибромой, дерматофибромой, ангиолипомой и т.д. [7, 8]. Современные минимально инвазивные методы лечения, такие как резекция слизистой оболочки и диссекция в подслизистом слое, успешно применяются для лечения данной патологии [7, 8].
Клиническое наблюдение
Пациент Т., 48 лет, поступил в ГБУЗ «НИИ СП им. Н.В. Склифосовского ДЗМ» с жалобами на боль за грудиной после приема пищи, тошноту, изжогу и отрыжку, периодически отмечал чувство кома в горле. Пациент госпитализирован с диагнозом эзофагит с болевым синдромом, код по МКБ 10 (К20). Из анамнеза известно, что при эзофагогастродуоденоскопии (ЭГДС) 6 мес назад в амбулаторных условиях выявлено новообразование пищевода.
По данным ЭГДС, выполненной при поступлении: на фоне недостаточности кардии и неэрозивного рефлюкс-эзофагита на уровне 33 см от резцов по заднеправой стенке пищевода расположено экзофитное новообразование полиповидной формы размером 8×5 мм белесой окраски, выступающее в просвет на 4—5 мм, симптом шатра отрицательный (рис. 1, 2). Поверхность новообразования гладкая, сосудистый рисунок прослеживается.

Рис. 1. Новообразование по заднеправой стенке пищевода. Фото авторов.

Рис. 2. Новообразование по заднеправой стенке пищевода. Фото авторов.
Пациенту выполнена эндоскопическая ультрасонография (ЭУС): при сканировании мини-зондом UM-G 20-29 R частотой 20 MHz определяется гипоэхогенное образование овальной формы с четкими контурами, однородной консистенции, расположенное в толще слизистой оболочки и подслизистого слоя пищевода, при этом оно интимно прилежит к мышечной стенке, что не позволяет исключить инвазию образования в мышечный слой. Заключение ЭУС: неэпителиальное новообразование пищевода, исходящее из глубокого слоя слизистой оболочки и подслизистого слоя. При компьютерной томографии органов грудной клетки патологии не выявлено. По данным выполненной ранее щипцовой биопсии и гистологического исследования определена морфологическая принадлежность образования — шваннома.
По результатам комплексного обследования установлен диагноз: экзофитное неэпителиальное новообразование слизистой оболочки грудного отдела пищевода с инвазией в подслизистый слой. Наличие опухолевого образования пищевода и онконастороженность пациента явились показанием к эндоскопической операции.
На основании данных ЭУС (инвазия образования в подслизистый слой, невозможность исключить инвазию в мышечный слой) принято решение выполнить эндоскопическое удаление опухоли методом диссекции в подслизистом слое (ESD, endoscopic submucosal dissection).
В условиях хирургической операционной под эндотрахеальным наркозом в положении пациента на спине выполнено эндоскопическое удаление образования. Видеогастроскоп Olympus GIF-Н180J (Olympus, Япония) с фиксированным на дистальном конце прозрачным пластиковым колпачком проведен в просвет пищевода. По заднеправой стенке пищевода визуализировалось ранее выявленное экзофитное новообразование.
При помощи электрохирургического ножа DualKnife (Olympus, Япония) выполнена разметка границ по окружности новообразования (рис. 3). С помощью инъекционной иглы проксимальнее образования по заднеправой стенке пищевода сделана инъекция стерильного физиологического раствора, подкрашенного индигокармином, до образования плотного подслизистого инфильтрата.

Рис. 3. Разметка границ по окружности новообразования. Фото авторов.
Произведено рассечение слизистой оболочки пищевода по проксимальной полуокружности образования ножом DualKnife (режим Endo Cut Q Effect 3, ERBE VIO 300D) (рис. 4). Далее выполнена последовательная диссекция образования в подслизистом слое при помощи электрохирургического ножа DualKnife (режим Spray Coag Effect 2, ERBE VIO 300D).

Рис. 4. Рассечение слизистой оболочки пищевода. Фото авторов.
Образование извлечено с помощью эндоскопической петли и направлено на гистологическое исследование. На месте удаленного образования определялся дефект слизистой оболочки до 2 см в диаметре без визуальных признаков повреждения мышечного слоя стенки пищевода (рис. 5). В послеоперационном периоде пациенту рекомендована щадящая диета с исключением грубой пищи, проведена антисекреторная терапия ингибиторами протонного насоса. В 1-е сутки после операции ESD выполнено рентгенологическое контрастное исследование с целью исключения перфорации стенки пищевода с учетом первого опыта диссекции. Затекания контрастного вещества за контуры пищевода не отмечалось (рис. 6, 7).

Рис. 5. Дефект слизистой оболочки пищевода. Фото авторов.

Рис. 6. Контрастная рентгенограмма пищевода. Затекания контрастного вещества за контуры пищевода нет.

Рис. 7. Контрастная рентгенограмма пищевода. Затекания контрастного вещества за контуры пищевода нет.
Пациент выписан в удовлетворительном состоянии на 3-и сутки после операции. Для оценки динамики рубцевания и исключения рубцового сужения просвета пищевода на уровне диссекции на 5-е сутки выполнена ЭГДС, при которой выявлено, что дефект слизистой оболочки пищевода покрыт фибрином (рис. 8).

Рис. 8. Дефект слизистой оболочки пищевода, покрытый фибрином. Фото авторов.
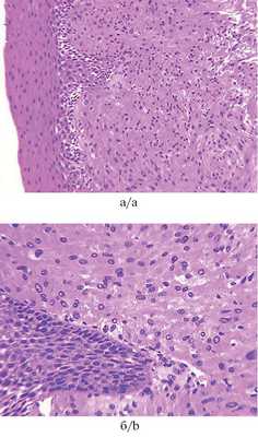
При гистологическом исследовании удаленного новообразования установлено, что опухолевый узел состоит из гладкомышечных клеток веретенообразной формы, собирающихся в пучки, хаотично расположенных в нежноволокнистой строме (рис. 9а). Опухолевые клетки отличаются от нормальных большим размером за счет выраженной цитоплазмы, округлостью ядер и краевым расположением хроматина в них, без увеличения числа митозов (рис. 9б). Опухоль локализовалась под многослойным плоским эпителием с реактивными изменениями базального слоя в виде акантоза.

Рис. 9. Микропрепараты. Зернистоклеточная опухоль собственной мышечной пластинки слизистой оболочки пищевода (а, б).
Окраска гематоксилином и эозином; ×400.
При контрольной ЭГДС через год зафиксирована полная эпителизация слизистой оболочки пищевода без патологических образований, грубой рубцовой деформации и сужения просвета (рис. 10).

Рис. 10. Полная эпителизация слизистой оболочки пищевода. Фото авторов.
Зернистоклеточная опухоль пищевода является достаточно редкой патологией ЖКТ, которая зачастую не имеет каких-либо клинических проявлений. Большинство ЗКО пищевода протекают бессимптомно и обнаруживаются случайно при эндоскопическом исследовании по другим показаниям. Клинические симптомы, связанные с ЗКО, зависят от размера опухоли; небольшие опухоли (менее 1 см) протекают бессимптомно, а более крупные опухоли (более 1 см) могут вызывать дисфагию [2].
Выбор метода лечения ЗКО остается спорным. Существует несколько подходов: консервативный с регулярным эндоскопическим наблюдением при опухолях диаметром не более 10 мм без признаков злокачественных изменений; хирургическое удаление опухоли размерами более 20 мм в диаметре, имеющей клинические проявления, или при наличии подозрения на озлокачествление. По мнению некоторых авторов, если злокачественных изменений в удаленном материале не обнаружено, дополнительных вмешательств или наблюдения не требуется [7].
Эндоскопическая ультрасонография является одним из информативных методов диагностики, она дает возможность принять решение о выборе метода лечения. Эндоскопическая резекция слизистой оболочки (EMR, endoscopic mucosal resection) считается эффективным методом эндоскопического удаления ЗКО при отсутствии инвазии в мышечный слой [9, 10]. При этом частота осложнений, по данным H. Makuuchi, достигает 4,8% (из них перфорация составляет 0,7%, кровотечение — 3,1%, стриктура — 1,6%) [11].
Относительно недавно для удаления новообразований пищевода стали использовать ESD, при которой пораженная слизистая оболочка рассекается и удаляется с использованием различных эндоскопических электрохирургических ножей. Применение ESD позволяет более надежно удалить новообразование одним блоком. По мнению H. Takahashi и соавт., частота осложнений после ESD и EMR отличается незначительно [12].
В представленном нами клиническом наблюдении показанием к эндоскопической операции явились наличие новообразования и онконастороженность пациента, а выбор метода пал на ESD, так как при ЭУС не удалось четко дифференцировать степень инвазии в мышечный слой и существовал риск неполного удаления опухоли при EMR.
Применение метода ESD позволило безопасно и под визуальным контролем иссечь новообразование в подслизистом слое и удалить его единым блоком.
Заключение
Эзофагогастродуоденоскопия с ультрасонографией позволяет определить локализацию и глубину инвазии неэпителиальных новообразований пищевода. Эндоскопическая диссекция в подслизистом слое является эффективным и безопасным минимально инвазивным методом лечения неэпителиальной опухоли пищевода.
Рак пищевода
Рак пищевода - злокачественная опухоль, формирующаяся из разросшегося и переродившегося эпителия стенки пищевода. Клинически рак пищевода проявляется прогрессирующими расстройствами глотания и, как следствие, снижением массы тела в результате недостаточного питания. Первоначально, как правило, обнаруживают опухолевое образование при рентгенографии, эндоскопическом исследовании, КТ или УЗИ. Диагноз - рак пищевода - устанавливают после проведения гистологического исследования биоптата новообразования на предмет обнаружения злокачественных клеток.


Общие сведения
Как и всякое злокачественное новообразование, рак пищевода имеет тем более неблагоприятный прогноз, чем позднее выявлено заболевание. Раннее обнаружение рака способствует более выраженному эффекту, опухоли на 3-4 стадии обычно не подлежат полному излечению. При прорастании раковой опухолью стенок пищевода поражаются окружающие ткани средостения, трахею, бронхи, крупные сосуды, лимфатические узлы. Опухоль склонна к метастазированию в легкие, печень, может распространяться по пищеварительному тракту в желудок и кишечник.
Факторы риска развития рака пищевода

В настоящее время механизмы развития рака пищевода до конца не изучены. Факторами, способствующими возникновению злокачественной опухоли, являются: курение, злоупотребление алкоголем, употребление излишне горячей и слишком холодной пищи, производственные вредности (вдыхание токсических газов), содержание тяжелых металлов в питьевой воде, химические ожоги пищевода при проглатывании едких веществ.
Регулярное вдыхание воздуха, содержащего пылевую взвесь вредных веществ (при проживании в задымленной местности, работе в непроветриваемых помещениях с высокой концентрацией производственной пыли), также может способствовать развитию рака.
Заболеваниями, способствующими развитию рака пищевода, является гастроэзофагеальная болезнь, ожирение, кератодермия. Грыжи пищевода, ахлозия (расслабление нижнего сфинктера пищевода) способствуют регулярному рефлюксу - забросу содержимого желудка в пищевод, что в свою очередь ведет к развитию специфического состояния: болезни Барретта.
Болезнь Баррета (пищевод Баррета) характеризуется перерождением эпителиальной выстилки пищевода по типу желудочного эпителия. Это состояние считают предраковым, как и большинство эпителиальных дисплазий (нарушений развития ткани). Отмечено, что рак пищевода чаще возникает у лиц старше 45 лет, мужчины страдают им в три раза чаще женщин.
Развитию рака способствует питание, содержащее недостаточное количество овощей, зелени, белка, минералов и витаминов. Нерегулярное питание, склонность к перееданию также оказывают негативное влияние на стенки пищевода, что может способствовать снижению защитных свойств. Одним из факторов озлокачествления предраковых образований является снижение иммунитета.
Классификация рака пищевода
Рак пищевода классифицируется согласно международной номенклатуре TNM для злокачественных новообразований:
- по стадии (Т0 - предрак, карцинома, неинвазивная эпителиальная опухоль, Т1 - рак поражает слизистую, Т2 - опухоль прорастает в подслизистый слой, Т3 - поражены слои вплоть до мышечного, Т4 - проникновение опухоли сквозь все слои стенки пищевода в окружающие ткани);
- по распространению метастазов в региональных лимфоузлах (N0 - нет метастазов, N1 - есть метастазы);
- по распространению метастазов в отдаленных органах (М1 - есть, М0 - нет метастазов).
Также рак может классифицироваться по стадиям от первой до четвертой в зависимости от распространенности опухоли в стенке и ее метастазирования.
Симптомы рака пищевода
Рак пищевода ранних стадий чаще всего не проявляется клинически, симптоматика начинает проявляться при наличии уже довольно крупной опухоли, мешающей продвижению пищи. Самым распространенным симптомом рака пищевода является расстройство глотания - дисфагия. Больные стремятся принимать жидкую пищу, более твердая застревает в пищеводе, создавая ощущение «комка» за грудиной.
При прогрессировании опухоли может отмечаться болезненность за грудиной, в глотке. Боль может отдавать в верхнюю часть спины. Снижение проходимости пищевода способствует возникновению рвоты. Как правило, продолжительный недостаток питания (связанный с затрудненным приемом пищи) приводит к общей дистрофии: снижению массы тела, расстройству работы органов и систем.
Часто рак пищевода сопровождается постоянным сухим кашлем (возникает рефлекторно как следствие раздражения трахеи), охриплостью (хронический ларингит). На терминальных стадиях развития опухоли в рвоте и кашле можно обнаружить кровь. Все клинические проявления рака пищевода неспецифичны, но требуют безотлагательного обращения к врачу. Регулярного диспансерного наблюдения у гастроэнтеролога требуют больные, страдающие болезнью Баррета, как лица с высоким риском развития рака пищевода.
Как всякое новообразование, опухоль пищевода можно назвать злокачественной только после проведения биопсии и выявления раковых клеток. Для визуализации опухли применяются: рентгенография легких (иногда можно увидеть формирование очагов рака в легких и средостении), контрастная рентгенография с барием позволяет обнаружить опухолевое образование на стенках пищевода. Эндоскопическое исследование (эзофагоскопия) позволяет детально осмотреть внутреннюю стенку, слизистую, обнаружить новообразование, исследовать его размер, форму, поверхность, наличие или отсутствие изъязвлений, некротизированных участков, кровоточивости. При эндоскопическом ультразвуковом исследовании можно определить глубину прорастания опухоли в стенку пищевода и окружающие ткани и органы.
УЗИ брюшной полости дает информацию о наличие метастазов рака пищевода. МСКТ и магнитно-резонансная томография позволяет получить детальные снимки внутренних органов, выявить изменения лимфоузлов, органов средостения, состояние сосудов и прилегающих тканей. Позитронно-эмиссионная томография (ПЭТ) дополняет эти исследования, выявляя злокачественные ткани. При лабораторном исследовании крови определяется присутствие онкомаркеров.

Лечение рака пищевода
Тактика лечения рака пищевода зависит от его локализации, размера, степени инфильтрации стенки пищевода и окружающих тканей опухолью, наличием или отсутствием метастазов в лимфоузлах и других органах, общего состояния организма. Как правило, в выборе терапии принимает участие несколько специалистов: гастроэнтеролог, онколог, хирург, специалист по лучевой терапии (радиолог). В большинстве случаев комбинируют все три основных методики лечения злокачественных новообразований: хирургическое удаление опухоли и пораженных тканей, радио-лучевая терапия и химиотерапия.
Хирургическое лечение рака пищевода заключается в резекции части пищевода с опухолью и прилежащими тканями, удаление располагающихся рядом лимфатических узлов. После чего оставшийся участок пищевода соединяют с желудком. При этом для пластики пищевода могут использовать как ткань самого желудка, так и кишечную трубку. Если опухоль не подлежит полному удалению, то ее иссекают частично, чтобы освободить просвет пищевода.
В послеоперационном периоде пациенты питаются парентерально, пока не восстановится возможность употреблять пищу обычным способом. Для предупреждения развития инфекции в послеоперационном периоде больным назначают антибиотикотерапию. Для уничтожения оставшихся злокачественных клеток дополнительно возможно проведение курса лучевой терапии.
Лучевая противораковая терапия заключается в облучении пораженного участка тела рентгеновским излучением высокой интенсивности. Существует внешняя радиационная терапия (облучение проводят из внешнего источника в область проекции облучаемого органа) и внутренняя радиотерапия (облучение введенными в организм радиоактивными имплантантами). Нередко лучевая терапия становится методикой выбора при невозможности осуществления хирургического удаления опухоли.
Химиотерапия при раке пищевода применяется в качестве вспомогательного метода подавления активности раковых клеток. Химиотерапию проводят с помощью сильных цитотоксических препаратов. Больным, которым невозможно произвести хирургическую коррекцию просвета пищевода, с целью облегчения глотания показана фотодинамическая терапия. Эта методика заключается в ведении в опухолевую ткань светочувствительного вещества, после чего воздействуют на рак лазером, разрушая его. Однако добиться с помощью этой методики полного уничтожения злокачественного образования нельзя - это паллиативная терапия. По окончании курса противоопухолевого лечения все больные обязательно находятся на онкологическом учете и регулярно проходят комплексное обследование.
Осложнения рака пищевода и его лечения
Основное осложнение рака пищевода - это похудание, возникающее в результате прогрессирующей дисфагии. Также могут возникать различные алиментарные расстройства (алиментарная дистрофия, гиповитаминоз) как следствие недостаточности питания. Злокачественная опухоль может осложняться присоединением бактериальной инфекции. Помимо этого, опухоль может изъязвляться и кровоточить.
Химиотерапия зачастую сопровождается выраженными побочными эффектами: облысение (алопеция), тошнота и рвота, диарея, общая слабость, головные боли. Пациенты, которым проводилась фотодинамическая терапия, должны избегать прямых солнечных лучей в ближайшие месяцы, поскольку их кожа приобретает особую чувствительность к свету.
Прогноз при раке пищевода
Излечение рака пищевода возможно на ранних стадиях, когда злокачественный процесс ограничен стенкой пищевода. В таких случаях хирургическое иссечение опухоли в сочетании с радио-лучевой терапией дает весьма положительный эффект, есть все шансы к полному выздоровлению. Когда рак обнаружен уже на стадии метастазирования и опухоль прорастает в глубокие слои, прогноз неблагоприятный, полное излечение, как правило, невозможно.
В тяжелых случаях, старческом возрасте и при невозможности полного удаления опухоли применяют паллиативное лечение для восстановления нормального питания. Выживаемость пациентов с неоперированным раком пищевода не превышает 5%.
Профилактика рака пищевода
Специфической профилактики рака пищевода не существует. Желательно избегать курения и злоупотребления алкоголем, регулярно проводить обследование пищеварительного тракта на предмет заболеваний, являющихся предраковыми состояниями, следить за своим весом.
В случае имеющейся гастроэзофагеальной болезни регулярно проводить эндоскопическое обследование. Больным с пищеводом Баррета показана ежегодная биопсия.
Опухоль Абрикосова ( Зернисто-клеточная опухоль )
Опухоль Абрикосова - это зернисто-клеточное новообразование, которое поражает кожу, подкожную клетчатку и внутренние органы. Гистологическое происхождение и этиологические факторы заболевания пока точно не установлены. Доброкачественные варианты патологии имеют малосимптомное течение, опухоли поверхностной локализации проявляются в виде плотного безболезненного узла. Для диагностики патологии Абрикосова назначают микроскопический и иммуногистохимический анализ, инструментальные методы визуализации. Лечение предполагает хирургическое иссечение опухолевой ткани, в стандартных случаях медикаментозная терапия не применяется.
МКБ-10



Опухоль получила свое название в честь российского патологоанатома А.И. Абрикосова, который детально изучил особенности новообразования и в 1926 году выделил его в отдельную нозологическую единицу. Зернисто-клеточные опухоли (ЗКО) составляют до 10% среди всех доброкачественных новообразований. Они в основном диагностируются у пациентов 30-50 лет, женщины болеют 3 раза чаще мужчин. Актуальность проблемы в практической онкологии связана с частым рецидивированием новообразования после его удаления, риском злокачественной трансформации.

Причины
Природа развития опухоли Абрикосова пока точно не установлена. Ранее считалось, что новообразование возникает из миобластов - молодых веретеновидных мышечных клеток. По современным представлениям, патология имеет гистиоцитарное или нейрогенное происхождение. Источником для ее развития выступают шванновские клетки (леммоциты), которые входят в состав миелиновой оболочки периферических нервов.
Патанатомия
Несмотря на неясность этиопатогенеза, ЗКО имеют характерную микроскопическую структуру, которая облегчает диагностику. Объемное образование состоит из крупных многоугольных клеток, в цитоплазме которых расположены множественные включения. Клетки формируют отдельные гнезда, ленты и пучки. Клеточные ядра мелкие, имеют округлую форму и интенсивную окраску. Между зернистыми клетками располагаются «угловатые тельца» - гистиоциты треугольной формы.
Покрывающие ЗКО эпителиальные клетки также имеют особое микроскопическое строение. Эпителий подвергается метаплазии и псевдоэпителиоматозной гиперплазии. При беглом осмотре клеток под микроскопом создается картина плоскоклеточного рака кожи, однако отсутствие ядерной атипии и множественных митозов позволяет опровергнуть этот диагноз. Активную гиперплазию связывают с гиперэкспрессией эпидермального и трансформирующего факторов роста.

Классификация
Согласно международной классификации заболеваний (МКБ-10), опухоль Абрикосова относят к доброкачественным новообразованиям рта и ротоглотки. Особое внимание врачей привлекают злокачественные виды ЗКО, которые составляют около 2% от всех случаев заболевания. Они в основном располагаются в мягких тканях нижних конечностей. По гистологическим признакам выделяют 2 варианта злокачественных опухолей:
- Первый тип. Злокачественные клетки не имеют резко выраженных признаков атипии, число митозов составляет не более 2 на 10 полей зрения. Присутствуют явные клинические симптомы инвазивного роста, такие как быстрое увеличение образования в размерах, изъязвление, кровотечение.
- Второй тип. Новообразование имеет явные признаки злокачественности и зачастую выявляется на этапе метастазирования. При иммунологической диагностике определяется большое число маркеров пролиферации Ki-67 и выраженная экспрессия р53.
Симптомы опухоли Абрикосова
Более 70% случаев локализованы в области головы и шеи, до 30% пациентов имеют ЗКО в толще языка. К менее типичным локализациям относят кожу и подкожную клетчатку на конечностях, область молочных желез у женщин. Изредка опухоль Абрикосова поражает внутренние органы, чаще всего дыхательную систему — гортань, трахею, бронхи, пищеварительную систему — пищевод и толстую кишку. До 10% случаев проявляются множественными узлами в коже и внутренних органах.
Доброкачественное образование в коже и подкожной клетчатке представлено узлом плотноэластической консистенции и не доставляет дискомфорта больному. При злокачественном течении кожной опухоли Абрикосова клинические симптомы более выражены. Пациенты замечают бляшку или узел на коже, который быстро увеличивается в размерах, покрывается язвами и кровоточит. Патология сопровождается болями, которые усиливаются при прикосновениях и надавливании на пораженную зону.
Клинические проявления связаны с расположением новообразования в определенном участке внутреннего органа. Симптоматика будет зависеть от размера ЗКО. При опухоли Абрикосова в органах дыхания пациенты жалуются на одышку, приступы удушья, сухой кашель. Нарушение вентиляции становится причиной частых и затяжных пневмоний. Поражение желудочно-кишечного тракта появляется болями в животе, задержкой стула, признаками кишечной непроходимости.
Осложнения
Доброкачественные варианты опухоли Абрикосова имеют благоприятное течение, при небольших и средних размерах они не нарушают работу организма. Вызывают опасения крупные новообразования, которые перекрывают просвет дыхательных путей или пищеварительного тракта, становятся причиной серьезных функциональных нарушений в организме. Несмотря на доброкачественный характер, после хирургического лечения зернисто-клеточная опухоль может рецидивировать.
Злокачественные ЗКО отличаются осложненным течением. Они многократно рецидивируют после удаления, вызывают множественные метастазы в течение первых 2-х лет от начала заболевания. Метастазы способны поражать все органы и ткани, нарушая их функции и затрудняя подбор эффективных методов терапии. Около 60% пациентов со злокачественными опухолями Абрикосова погибают в течение первых 3-х лет от онкологических осложнений.
За первичной консультацией пациенты обращаются к дерматологу, терапевту или пульмонологу, что зависит от локализации новообразования и клинических симптомов. Далее проводится расширенное обследование у врача-онколога, чтобы подтвердить диагноз ЗКО Абрикосова, исключить другие варианты злокачественных процессов. Диагностическая программа состоит из следующих методов:
- Инструментальная визуализация. При кожной локализации новообразования основную роль играет цифровая дерматоскопия. Для выявления опухоли во внутренних органах назначается рентгенография легких и ЖКТ, эндоскопические методы (бронхоскопия, ЭФГДС, колоноскопия). Для уточнения диагноза используют компьютерную и магнитно-резонансную томографию пораженной зоны тела.
- Электронная микроскопия. Ценную информацию для постановки диагноза дает выявление многоугольных клеток, «угловатых телец», типичных патологий эпителиального слоя. При опухоли Абрикосова в клетках визуализируются осмиофильные гранулы, которые содержат разрушенные клеточные фрагменты.
- Иммуногистохимическое исследование. Диагностика назначается для определения происхождения опухолевых клеток, идентификации ряда протеинов и нейроспецифических маркеров. Зачастую в клетках одновременно присутствуют признаки дифференцировки в гистиоцитарном и нейрогенном направлениях.
Дифференциальная диагностика
При постановке диагноза необходимо отличать ЗКО от метастазов рака молочной железы, меланомы кожи, неврилеммомы. Необходимо исключить малакоплакию, онкоцитарный карциноид и онкоцитому. Дифференцировку проводят с новообразованиями мягких тканей: дерматофибромой, лейомиомой. Диагностические сложности возникают при сочетании опухоли Абрикосова с другими новообразованиями, в частности с герминогенным раком яичка, лимфомой Ходжкина, раком бронхов.

Лечение опухоли Абрикосова
По возможности всем пациентам проводится оперативное удаление новообразования. При отсутствии явных признаков озлокачествления выполняется щадящий вариант операции с иссечением в пределах здоровых тканей. При локализации опухоли в стенке пищеварительного или дыхательного тракта применяют эндоскопические методы удаления, которые имеют лучший функциональный результат и короткий реабилитационный период.
Вероятность развития рецидивов в течение 4-х лет после проведения операции составляет 9-15%. Максимальному риску подвергаются люди, у которых проводилась экономная резекция тканей с сохранением части опухолевых клеток по краям операционного поля. При множественных очагах ЗКО Абрикосова проводятся внутриочаговые инъекции глюкокортикостероидов. Применение химиотерапии и лучевой терапии неэффективно, поэтому лечение злокачественных форм пока отсутствует.
Прогноз и профилактика
При доброкачественных зернисто-клеточных опухолях продолжительность и качество жизни пациентов существенно не страдают, хотя возможны нарушения дыхания и пищеварения при соответствующих локализациях новообразования. Злокачественная форма ЗКО Абрикосова имеет крайне неблагоприятный прогноз, уровень 5-летней выживаемости составляет 35%. Профилактика заболевания не разработана ввиду отсутствия четких этиологических факторов.
1. Эндоскопическое лечение зернисто-клеточной опухоли пищевода (клинический случай)/ А.М. Гасанов// Доказательная гастроэнтерология. - 2020. - №3.
3. Зернисто-клеточная опухоль дыхательных путей/ И.В. Двораковская, Б.М. Ариэль, А.Н. Орлов, Л.В. Качан// Архив патологии. - 2013. - №3.
4. Наблюдение опухоли Абрикосова у ребенка/ В.К. Литовка, И.П. Журило, К.В. Латышов// Здоровье ребенка. - 2007. - №4.
Читайте также:
- Мочевые пути при аденоме простаты. Сократительная функция мочевого пузыря при аденоме
- Варикозное расширение вен. Причины варикозной болезни вен нижних конечностей
- УЗИ, МРТ бертиниевой колонны в почке
- Старческие изменения желудочно-кишечного тракта, обмена веществ. Особенности
- Геномный импринтинг в родословных. Примеры
