Рентгенологические методы исследования легких. Рентгеноскопия и ее проекции
Добавил пользователь Евгений Кузнецов Обновлено: 31.01.2026
Первичный метод лучевого исследования легких - рентгенография органов грудной клетки. Рентгенография грудной клетки, безусловно, показана при клиническом подозрении на болезни легких, при травме грудной клетки и политравме, у больных с неясной причиной лихорадки, при онкологических заболеваниях.
Рентгенография бывает обзорной и прицельной. Обзорные снимки, как правило, должны выполняться в двух проекциях - прямой и боковой (исследуемой стороной к кассете). На обзорных рентгенограммах грудной клетки всегда будут видны как передние, так и задние отделы ребер, ключица, лопатка, позвоночник и грудина, независимо от проекции снимка. Этим отличается обзорная рентгенограмма от томограммы.
Томография. Данная методика является следующим этапом в рентгенологическом обследовании. Чаще выполняется продольная прямая томография. Срединный срез выполняется на уровне половины толщины грудной клетки; середина передне-заднего диаметра (от спины к грудине) у взрослого равна - 9-12 см. Передний срез на 2 см ближе от срединного кпереди и задний срез на 2 см кзади от срединного. На срединной томограмме не будут выявляться тени ни передних, ни задних отделов ребер, будут видны только “обрубки” ребер; на передней томограмме хорошо будут видны передние отделы ребер, а на задней томограмме, наоборот, будут видны задние отделы ребер и не будет отображения передних отделов ребер. Обычно по этим основным признакам наиболее просто можно опознать топографические срезы легких. Продольная томография применяется для:
Оценки просветов бронхов.
Уточнения структуры патологического образования (распад, обызвествления, просветы бронхов в нем).
Выявления опухолевого узла на фоне обтурационных изменений.
Визуализация увеличенных лимфатических узлов в корнях и средостении.
КТ. Компьютерная томография обеспечивает диагностическую информацию, недостижимую другими методами. КТ применяется для:
Выявления патологических изменений, скрытых плевральным экссудатом.
Оценки мелкоочаговых диссеминаций и диффузных интерстициальных поражений легких.
Дифференциации солидных и жидкостных образований в легких.
Выявления очаговых поражений размером до 15 мм.
Выявления более крупных фокусов поражения с неблагоприятным для диагностики расположением или слабым повышением плотности.
Визуализации патологических образований средостения.
Оценки внутригрудных лимфатических узлов. При КТ визуализируются лимфатические узлы корней легких размером, начиная с 10 мм (при обычной томографии - не менее 20 мм). При размере меньше 1 см они расцениваются как нормальные; от 1 до 1,5 см - как подозрительные; более крупные - как определенно патологические.
Решения тех же вопросов, что и при обычной томографии и при ее неинформативности.
В случае возможного хирургического или лучевого лечения.
Рентгеноскопия. Просвечивание органов грудной клетки как первичное исследование не проводится. Ее преимущество в получении изображения в режиме реального времени, оценке движения структур грудной клетки, многоосевом исследовании, что обеспечивает адекватную пространственную ориентацию и выбор оптимальной проекции для прицельных снимков. Кроме этого, под контролем рентгеноскопии проводятся пункции и другие манипуляции на органах грудной клетки. Рентгеноскопия проводится с использованием УРИ.
Флюорография. Как скрининговый метод визуализации легких флюорография дополняется полноформатной рентгенографией в неясных случаях, при отсутствии положительной динамики в течение 10-14 дней или во всех случаях выявленных патологических изменений и при негативных данных, расходящихся с клинической картиной. У детей флюорография не применяется из-за более высокой, чем при рентгенографии лучевой нагрузки.
Бронхография. Метод контрастного исследования бронхиального дерева называется бронхографией. Контрастным веществом для бронхографии чаще всего является йодолипол - органическое соединение йода и растительного масла, с содержанием йода до 40 % (йодолипол). Введение контрастного вещества в трахеобронхиальное дерево производится разными способами. Наиболее широкое распространение получили методы с использованием катетеров - трансназальная катетеризация бронхов под местной анестезией и бронхография поднаркозная. После введения контрастного вещества в трахеобронхиальное дерево делаются серийные снимки с учетом последовательности контрастирования бронхиальной системы.
В результате развития бронхоскопии, основанной на волоконной оптике, диагностическая ценность бронхографии снизилась. Для большинства больных необходимость в проведении бронхографии возникает лишь в тех случаях, когда бронхоскопия не дает удовлетворительных результатов.
Ангиопульмонография - методика контрастного исследования сосудов малого круга кровообращения. Чаще используется селективная ангиопульмонография, заключающаяся во введении рентгеноконтрастного катетера в кубитальную вену с последующим проведением его через правые полости сердца избирательно к левому или правому стволу легочной артерии. Следующим этапом исследования является введение 15-20 мл 70% водного раствора контрастного вещества под давлением и проведение серийных снимков. Показаниями для этого метода являются заболевания легочных сосудов: эмболия, артериовенозные аневризмы, варикозное расширение легочных вен и т.д.
Методы рентгенологического исследования органов дыхания
Актуальность рассматриваемой проблемы чрезвычайно велика. С одной стороны, она обусловлена недостаточным изучением роли рентгенологического исследования в профилактике и ранней диагностике заболеваний органов дыхания. С другой стороны, в последнее время, особенно в индустриально развитых странах, наблюдается значительный рост заболеваний дыхательной системы.
Такой подъем заболеваемости связан в первую очередь с постоянно увеличивающейся загрязненностью окружающего воздуха, курением, растущей аллергизацией населения (прежде всего за счет продуктов бытовой химии).
Раннее выявление заболеваний с целью эффективного их лечения и предупреждения, опасных для жизни осложнений всегда являлось приоритетом отечественной медицины. Большинство заболеваний легче предотвратить, чем лечить, а лечение на ранних стадиях обычно более эффективное и менее затратное по сравнению с запущенными стадиями. Все это в совокупности определяет актуальность выбранной темы.
Важную роль в раннем выявлении заболевания играет правильное проведение рентгенологического исследования. В связи с этим возникла необходимость показать значимость не только рентгенологического исследования, как метода диагностики заболеваний органов дыхания, но и алгоритм его проведения.
Цель исследования: показать практическую значимость алгоритма проведения рентгенологического исследования в диагностике и профилактике заболеваний органов дыхания у населения.
1.Провести анализ литературных источников по теме рентгенологического исследования заболеваний органов дыхания.
2.Изучить методы рентгенологического исследования заболеваний органов дыхания.
3.Оценить частоту использования рентгенологического исследования в диагностике заболеваний органов дыхания.
4.Определить значимость рентгенологического исследования в диагностике и профилактике заболеваний органов дыхания
5.Показать роль среднего медицинского персонала в качестве проведения рентгенологического исследования органов дыхания.
6.Разработать наглядное пособие для пациентов о важности флюорографии, как метода исследования органов дыхания и необходимости ее проведения.
1.Логический (анализ литературных источников).
2. Статистический (статистические данные).
3. Социологический (анкетирование пациентов).
Объект исследования: деятельность медицинской сестры по проведению рентгенологического исследования органов дыхания.
Предмет исследования: алгоритмы проведения рентгенологического исследования органов дыхания.
Проблема исследования: углубленное изучение значимости рентгенологического исследования в диагностике и профилактике заболеваний органов дыхания у населения.
Теоретическая и практическая значимость: данная работа поможет медицинскому персоналу в гигиеническом обучении населения (покажет важность флюорографии, как метода исследования органов дыхания и необходимости ее проведения).
Глава 1. Ренген-исследование, как метод диагностики заболеваний органов дыхания
Рентгенологическое исследование: понятие, функции
Рентгенологическое исследование — это применение рентгеновского излучения в медицине для изучения строения и функции различных органов и систем и распознавания заболеваний. Рентгенологическое исследование основано на неодинаковом поглощении рентгеновского излучения разными органами и тканями в зависимости от их объема и химического состава.
Принципом рентгенологического исследования является наличие четырех звеньев: источник, объект, приемник излучения и считыватель информации (врач). Источником излучения служит рентгеновская трубка. Объектом исследования является больной, направленный для выявления патологических изменений в его организме. Кроме того, обследуют и здоровых людей для выявления скрыто протекающих заболеваний. В качестве приемника излучения применяют флюороскопический экран или кассету с пленкой. При помощи экрана производят рентгеноскопию, а при помощи пленки — рентгенографию.
Рентгенологическое исследование позволяет изучать морфологию и функцию различных систем и органов в целостном организме без нарушения его жизнедеятельности. Оно дает возможность рассматривать органы и системы в различные возрастные периоды, позволяет выявлять даже небольшие отклонения от нормальной картины и тем самым ставить своевременный и точный диагноз ряда заболеваний.
Методы рентгенологического исследования органов дыхания
Все многочисленные методы рентгенологического исследования разделяют на общие и специальные.
К общим относятся методы, предназначенные для изучения любых анатомических областей и выполняемые на рентгеновских аппаратах общего назначения (рентгеноскопия и рентгенография). Также к общим следует отнести и ряд методов, при которых также возможно изучение любых анатомических областей, но требуются либо особая аппаратура (флюорография, рентгенография с прямым увеличением изображения), либо дополнительные приспособления к обычным рентгеновским аппаратам (томография, электрорентгенография). Иногда эти методы называют также частными.
1.Рентгеноскопия (рентгеновское просвечивание) — метод рентгенологического исследования, при котором изображение объекта получают на светящемся (флуоресцентном) экране. Со стороны, обращенной к врачу, экран покрыт свинцовым стеклом, предохраняющим врача от прямого воздействия рентгеновского излучения. Флуоресцентный экран светится слабо, поэтому рентгеноскопию выполняют в затемненном помещении.
Рентгеноскопия является наиболее простым и доступным методом диагностики. При рентгеноскопии грудной клетки тщательно оценивают особенности строения грудной клетки, различные деформации ее, которые могут влиять на расположение органов в средостении. При исследовании легких обращают внимание на состояние корней легких, пульсацию их, оценивают структурность тени корня, при увеличении его изучают легочный рисунок, в частности, правильность ветвления сосудов, калибр их и др. (Приложение 1).
У рентгеноскопии много достоинств. Она легко выполнима, общедоступна, экономична. Ее можно произвести в рентгеновском кабинете, в перевязочной, в палате (с помощью передвижного рентгеновского аппарата).
Однако у обычной рентгеноскопии есть слабые стороны. Она связана с более высокой лучевой нагрузкой, чем рентгенография. Она требует затемнения кабинета и тщательной темновой адаптации врача. После нее не остается документа (снимка), который мог бы храниться и был бы пригоден для повторного рассмотрения. Но самое главное в другом: на экране для просвечивания мелкие детали изображения не удается различить. В силу высокой лучевой нагрузки и низкой разрешающей способности рентгеноскопию не разрешается применять для проверочных исследований здоровых людей.
2.Рентгенография - метод рентгенологического исследования, при котором получается статическое изображение объекта, зафиксированное на каком-либо носителе информации. Такими носителями могут быть рентгеновская пленка, фотопленка, цифровой детектор и др. На рентгенограммах можно получить изображение любой анатомической области. Снимки всей анатомической области (голова, грудь, живот) называют обзорными (Приложение 2). Снимки с изображением небольшой части анатомической области, которая наиболее интересует врача, называют прицельными (Приложение 3).
Метод рентгенографии применяют повсеместно. Он доступен для всех лечебных учреждений, прост и необременителен для пациента. Снимки можно производить в стационарном рентгеновском кабинете, в палате, в операционной, в реанимационном отделении. Рентгенограмма является документом, который может храниться продолжительное время, использоваться для сопоставления с повторными рентгенограммами и предъявляться для обсуждения неограниченному числу специалистов.
Показания к рентгенографии весьма широки, но в каждом отдельном случае должны быть обоснованы, так как рентгенологическое исследование сопряжено с лучевой нагрузкой. Относительными противопоказаниями служат крайне тяжелое или сильно возбужденное состояние больного, а также острые состояния, требующие экстренной хирургической помощи (например, кровотечение из крупного сосуда, открытый пневмоторакс).
Рентгенография грудной клетки способствует выявлению патологических изменений мягких тканей, костей грудной клетки и анатомических структур, расположенных в грудной полости (легких, плевры, средостения). Наиболее часто при рентгенографии диагностируются пневмония.
Преимущества рентгенографии перед рентгеноскопией:
- большая разрешающая способность;
- возможность оценки многими исследователями и ретроспективного изучения изображения;
- возможность длительного хранения и сравнения изображения с повторными снимками в процессе динамического наблюдения за больным;
- уменьшение лучевой нагрузки на пациента.
К недостаткам рентгенографии следует отнести увеличение материальных затрат при ее применении (рентгенографическая пленка, фотореактивы и др.) и получение желаемого изображения не сразу, а через определенное время.
3. Электрорентгенография — метод получения рентгеновского изображения на полупроводниковых пластинах с последующим перенесением его на бумагу.
Электрорентгенографическое изображение отличается от пленочного двумя главными особенностями. Первая заключается в его большой фотографической широте - на электрорентгенограмме хорошо отображаются как плотные образования, в частности кости, так и мягкие ткани. Вторая особенность - феномен подчеркивания контуров. На границе тканей разной плотности они кажутся как бы подрисованными.
Положительными сторонами электрорентгенографии являются: 1)экономичность (дешевая бумага, на 1000 и более снимков); 2)быстрота получения изображения - всего 2,5-3 мин; 3)исследование осуществляется в незатемненном помещении; 4)«сухой» характер получения изображения; 5) хранение электрорентгенограмм намного проще, чем рентгеновских пленок.
На электрорентгенограммах органов дыхания яснее виден легочный рисунок удается увидеть легочные артерии и вены. Более отчетливо определяются контуры всех патологических образований — наличие включений, деструкции, изменений в окружающей легочной ткани и корне легкого, «дорожка» к корню, особенности патологических изменений стенки и просвета бронхов. При сравнении обычных рентгенограмм с электрорентгенограммами у больных с центральными и периферическими доброкачественными опухолями легких выявились существенные преимущества электрорентгенографии. В случаях центральных опухолей значительно лучше видна эндобронхиальная часть, ее контуры, характер основания, степень инфильтрации стенки бронха, расширение или сужение просвета бронха и изменения в корне легкого (Приложение 4). При периферических опухолях достигается очень четкое изображение контуров опухоли и включений в ней. Электрорентгенография выдержала проверку временем и в настоящее время повседневно применяется при всех патологических образованиях в легких (Приложение 5).
4.Флюорография - метод рентгенологического исследования, заключающийся в фотографировании изображения с рентгеновского флуоресцентного экрана на фотопленку небольшого формата. Здоровые легкие на снимке будут выглядеть как рисунок однородной, равномерной ткани. На флюорограмме больных легких в местах поражения будут видны либо затемненные (свидетельствующие о воспалении тканей), либо, наоборот, слишком высветленные пятна. Темное пятно говорит о том, что плотность легочных тканей увеличена, а выбеленный рисунок свидетельствует о повышенной «воздушности» легочных тканей.
Основным назначением флюорографии в нашей стране является проведение массовых проверочных рентгенологических исследований, главным образом для выявления скрыто протекающих поражений легких. Такую флюорографию называют проверочной или профилактической. Она является способом отбора из популяции лиц с подозрением на заболевание, а также способом диспансерного наблюдения за людьми с неактивными и остаточными туберкулезными изменениями в легких, пневмосклерозами, рака и т.д. Периодичность проверочных обследований определяют с учетом возраста людей, характера их трудовой деятельности, местных эпидемиологических условий.
Важные достоинства флюорографии — это возможность обследования большого числа лиц в течение короткого времени (высокая пропускная способность), экономичность, удобство хранения флюорограмм. Сопоставление флюорограмм, произведенных при очередном проверочном обследовании, с флюорограммами предыдущих лет позволяет рано выявлять минимальные патологические изменения в органах. Этот прием получил название ретроспективного анализа флюорограмм.
5.Дигитальная (цифровая) рентгенография. Описанные выше системы получения рентгеновского изображения относятся к так называемой обычной рентгенологии. Но в семействе этих систем быстро растет и развивается новый ребенок. Это - дигитальные (цифровые) способы получения изображений (от англ. digit — цифра). Во всех дигитальных устройствах изображение строится в принципе одинаково. Каждая «дигитальная» картинка состоит из множества отдельных точек. Цифровая информация поступает затем в компьютер, где обрабатывается по заранее составленным программам. Программу выбирает врач, исходя из задач исследования. С помощью компьютера можно улучшить качество изображения: повысить его контрастность, очистить его от помех, выделить в нем интересующие врача детали или контуры.
К специальным методам относятся те, которые позволяют получить изображение на специальных установках, предназначенных для исследования определенных органов и областей (маммография, ортопантомография).
Ортопантомография - это вариант зонографии, позволяющий получить развернутое плоскостное изображение челюстей. Методика позволяет исследовать и другие отделы лицевого скелета (околоносовые пазухи, глазницы).
Маммография - рентгенологическое исследование молочной железы. Оно выполняется для изучения структуры молочной железы при обнаружении в ней уплотнений, а также с профилактической целью.
К специальным методикам относится также большая группа рентген контрастных исследований, при которых изображения получаются с применением искусственного контрастирования (бронхография, ангиография, экскреторная урография и др.). Методика заключается во введении в организм веществ, которые поглощают (или, наоборот, пропускают) излучение гораздо сильнее (или слабее), чем исследуемый орган.
Рентгенография легких

Обзорная рентгенография легких - общее рентгеновское обследование органов грудной клетки в прямой проекции. Она позволяет оценить состояние органов дыхания, сердца, диафрагмы. Является методом скриннинговой диагностики для исключения серьезных проблем с легкими и сердцем при подготовке к большим хирургическим операциям. При подозрении на какую-либо патологию назначаются дополнительные проекции для рентгеновских снимков.
Как проводится ренгенография легких
Процедура не требует специальной подготовки. Необходимо снять все металлические предметы с исследуемой зоны, чтобы не вызывать засвечивание изображения. Процесс выполнения рентгенографии не представляет сложностей. Рентгенолаборант устанавливает пациента на подставку или подкладывает кассету с пленкой под спину сидящего или лежащего пациента. Во время снимка необходима задержка дыхания, чтобы изображение не размазалось. Все исследование занимает 2-3 минуты.
После исследования
После проявки снимок отправится на расшифровку к врачу-рентгенологу. Изучив полученную картину, он сформирует протокол исследования и заключение по полученной рентгенограмме. Врач-рентгенолог на пишет диагноз, он должен описать полученную картину, так как рентгенография легких - это исследование, диагноз ставит только лечащий врач на основании результатов исследований.
Рентгенография грудной клетки
Рентгенография грудной клетки - это метод диагностики, позволяющий получить изображение органов грудной полости с помощью облучения рентгеновыми лучами. Различные ткани организма в зависимости от своей плотности по-разному пропускают рентгеновы лучи, а значит, по-разному отображаются на снимке (рентгенограмме).
Рентген грудной клетки дает возможность изучить костные структуры (ребра, грудину, позвоночник), легкие, плевру, бронхи и трахею, сердце и средостение, а также оценить состояние мягких тканей этой области.
Прежде всего, рентген грудной клетки используется для диагностики заболеваний легких.
Часто возникает вопрос, что лучше сделать рентген легких или флюорографию? Свои преимущества есть у каждого метода. Обычно флюорография используется для общей оценки состояния легких: есть ли признаки патологии или нет. Рентген легких позволяет получить более качественное изображение, а значит его диагностическая ценность выше. Зато флюорография дешевле.
Что показывает рентген грудной клетки?
Рентген грудной клетки способен выявить:
- присутствие в легких очагов воспаления, в том числе характерных для таких заболеваний как пневмония и туберкулёз;
- наличие опухолевых образований и отеков, которые могут быть следствием сердечной недостаточности;
- наличие патологических скоплений газов и жидкостей;
- скопление жидкости в околосердечной сумке, увеличение размера сердца, аорты и лимфатических узлов;
- инородные предметы в легких, пищеводе и дыхательных путях.
Какие заболевания помогает диагностировать рентген грудной клетки?

Рентген грудной клетки
Рентген грудной клетки назначается в целях диагностики и оценки состояния при таких заболеваниях, как:
- пневмония. В сложных случаях данные рентгена легких являются базовыми для постановки диагноза острой пневмонии;
- туберкулёз;
- воспалительные заболевания плевры (плеврит, эмпиема плевры);
- опухолевые заболевания легких, бронхов, трахеи;
- тромбоэмболия легочной артерии;
- профессиональные заболевания легких, вызванные длительным вдыханием пыли и других мелких частиц;
- пневмотракс (механический разрыв легочной ткани);
- паразитарные заболевания грудной клетки (эхинококкоз);
- заболевания грудного отдела позвоночника.
Показания к назначению рентгена легких (рентгена грудной клетки)
Показаниями к рентгену легких являются:
- длительный кашель;
- отхаркивание большого количества мокроты;
- кровь в мокроте;
- одышка;
- систематические боли в груди или боли в области спины;
- длительное повышение температуры тела.
Как делается рентген легких (рентген грудной клетки)
В большинстве случаев специальной подготовки к рентгену грудной клетки не требуется.
Необходимо будет раздеться до пояса, а также снять все металлические предметы и украшения. Рентгенография обычно делается в передней или задней проекции в положении стоя. В некоторых случаях рентген делается в боковой проекции, в том числе в положении лежа. В момент, когда делается снимок, нельзя двигаться. Надо быть готовым на некоторое время задержать дыхание.
Где сделать рентген грудной клетки в Москве?
Сделать рентген легких(обзорную рентгенографию грудной клетки) вы можете в рентгенологическом отделении любой из поликлиник «Семейного доктора».
Оставьте телефон -
и мы Вам перезвоним
Не занимайтесь самолечением. Обратитесь к нашим специалистам, которые правильно поставят диагноз и назначат лечение.
163 Глава 3. Лучевая диагностика повреждений и заболеваний легких
Методы рентгенологических исследований легких. Лучевое исследование легких играет большую роль в современной клинической практике. Преимущественно выполняются рентгенологические исследования.
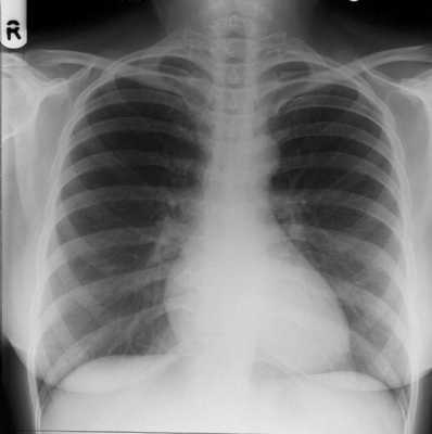
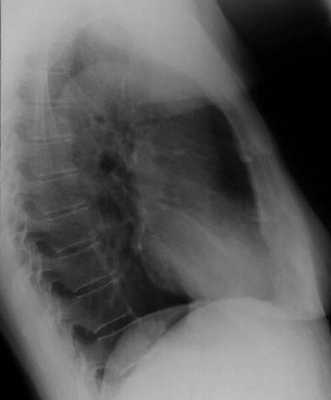
Рентгенография бывает обзорной и прицельной. Обзорные снимки, как правило, должны выполняться в двух проекциях - прямой и боковой (исследуемой стороной к кассете). На обзорных рентгенограммах грудной клетки всегда будут видны как передние, так и задние отделы ребер, ключица, лопатка, позвоночник и грудина, независимо от проекции снимка (рис. 3.1 и 3.2). Этим отличается обзорная рентгенограмма от томограммы.
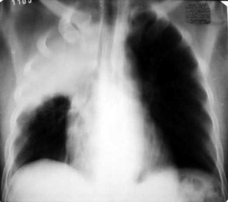
Томография. Данная методика является следующим этапом в рентгенологическом обследовании (рис. 3.3). Чаще используется продольная прямая томография. Срединный срез производится на уровне половины толщины грудной клетки; середина передне-заднего диаметра (от спины к грудине) у взрослого равна 9-12 см.

Рис. 3.1. Обзорная рентгенограмма легких в прямой проекции. Норма (см. текст).

Рис. 3.2. Обзорная рентгенограмма легких в правой боковой проекции. Норма (см. текст).

Рис. 3.3. Продольная томограмма грудной клетки на уровне бифуркации трахеи. Правая верхняя доля уменьшена в размерах, интенсивно гомогенно затемнена. Нижняя граница затемнения вогнута. Средостение смещено вправо. Просвет правого верхнедолевого бронха не визуализируется. Обтурационный ателектаз верхней доли правого легкого.
Передний срез находится на 2 см ближе от срединного кпереди, и задний срез − на 2 см кзади от срединного. На срединной томограмме не будут выявляться тени ни передних, ни задних отделов ребер, на передней томограмме хорошо визуализируются передние отделы ребер, а на задней томограмме, наоборот, задние отделы ребер. Обычно по этим основным признакам наиболее просто можно опознать топографические срезы легких. Продольная томография применяется для:
− детализации топографии, формы, размеров, структуры патологических образований гортани, трахеи и бронхов, корней легких, легочных сосудов, лимфатических узлов, плевры и средостения;
− изучения структуры патологического образования в легочной паренхиме (наличие и особенность деструкции, кальцинации);
− уточнения связи патологического образования с корнем легкого, с сосудами средостения, грудной стенкой;
− выявления патологического процесса при недостаточно информативных рентгенограммах;
− оценки эффективности лечения.
КТ. Компьютерная томография обеспечивает диагностическую информацию, недостижимую другими методами (рис. 3.4).

Рис. 3.4. Компьютерная томограмма грудной клетки на уровне бифуркации трахеи. Увеличенные лимфатические узлы средостения (стрелки). Лимфома Ходжкина.
КТ применяется для:
− выявления патологических изменений, скрытых плевральным экссудатом;
− оценки мелкоочаговых диссеминаций и диффузных интерстициальных поражений легких;
− дифференциации солидных и жидкостных образований в легких;
− выявления очаговых поражений размером до 15 мм;
− выявления более крупных фокусов поражения с неблагоприятным для диагностики расположением или слабым повышением плотности;
− визуализации патологических образований средостения;
− оценки внутригрудных лимфатических узлов. При КТ визуализируются лимфатические узлы корней легких размером, начиная с 10 мм (при обычной томографии - не менее 20 мм). При размере меньше 1 см они расцениваются как нормальные; от 1 до 1,5 см - как подозрительные; более крупные - как определенно патологические;
− решения тех же вопросов, что и при обычной томографии и при ее неинформативности;
− в случае возможного хирургического или лучевого лечения.
Рентгеноскопия. Просвечивание органов грудной клетки как первичное исследование не проводится. Ее преимущество в получении изображения в режиме реального времени, оценке движения структур грудной клетки, многоосевом исследовании, что обеспечивает адекватную пространственную ориентацию и выбор оптимальной проекции для прицельных снимков. Кроме этого, под контролем рентгеноскопии выполняются пункции и другие манипуляции на органах грудной клетки. Рентгеноскопия проводится с использованием ЭОУ.
Флюорография. Как скрининговый метод визуализации легких, флюорография дополняется полноформатной рентгенографией в неясных случаях, при отсутствии положительной динамики в течение 10-14 дней или во всех случаях выявленных патологических изменений и при негативных данных, расходящихся с клинической картиной. У детей флюорография не применяется из-за более высокой, чем при рентгенографии, лучевой нагрузки.
Бронхография. Метод контрастного исследования бронхиального дерева называется бронхографией. Контрастным веществом для бронхографии чаще всего является йодолипол - органическое соединение йода и растительного масла с содержанием йода до 40 % (йодолипол). Введение контрастного вещества в трахеобронхиальное дерево производится разными способами. Наиболее широкое распространение получили методы с использованием катетеров - трансназальная катетеризация бронхов под местной анестезией и бронхография поднаркозная. После введения контрастного вещества в трахеобронхиальное дерево делаются серийные снимки с учетом последовательности контрастирования бронхиальной системы.
Радионуклидные исследования органов дыхания. Методы радионуклидной диагностики направлены на изучение трех главных физиологических процессов, составляющих основу внешнего дыхания: альвеолярной вентиляции, альвеолярно-капиллярной диффузии и капиллярного кровотока (перфузии) системы легочных артерий. В настоящее время практическая медицина не располагает более информативными методами регистрации регионарного кровотока и вентиляции в легких.
Для осуществления такого рода исследований используют два основных вида РФП: радиоактивные газы и радиоактивные частицы.
Регионарная вентиляция. Используют радиоактивный газ 133 Xе (Т½ биол. - 1 мин, Т½ физ. - 5,27 дня,-, β-излучение). Изучение альвеолярной вентиляции и капиллярного кровотока с применением 133 Xе осуществляется на многодетекторных сцинтилляционных приборах либо гамма-камере.
Радиоспирография (радиопневмография)
При интратрахеальном введении 133 Xе распространяется по различным зонам легких, соответственно уровню вентиляции этих зон. Патологические процессы в легких, которые ведут к локальному или диффузному нарушению вентиляции, уменьшают количество газа, поступающего в пораженные отделы. Это регистрируется с помощью радиодиагностической аппаратуры. Внешняя регистрация-излучения ксенона позволяет получить графическую запись уровня вентиляции и кровотока в любом заданном участке легкого.
Пациент вдыхает 133 Xе, при наступлении плато делает глубокий вдох и выдох (максимально). Сразу после вымывания проводят 2-й этап: внутривенно вводят изотонический раствор NаСl с растворенным в нем 133 Xе, который диффундирует в альвеолы и выдыхается.
Для оценки регионарной вентиляции определяют следующие показатели:
− жизненную емкость легких (ЖЕЛ), в %;
− общую емкость легких (ОЕЛ); в %,
− остаточный объем легких (ОО);
− время полувыведения индикатора.
Для оценки артериального кровотока определяют:
− время полувыделения индикатора.
Внутрилегочная динамика 133 Xе зависит от степени участия альвеол во внешнем дыхании и от проницаемости альвеолярно-капиллярной мембраны.
Высота амплитуды прямо пропорциональна количеству радионуклида и, следовательно, массе крови.
В настоящее время более часто для исследования вентиляционной функции легких применяется «Технегаз», представляющий собой нано частицы (5-30 нм в поперечнике и 3 нм толщиной), состоящие из 99m Тс, окруженного углеродной оболочкой, которые помещаются в инертный газ аргон. «Технегаз» ингаляционно вводится в легкие (рис. 3.5.).
Рис. 3.5. Ингаляционная сцинтиграфия (вверху) с «Технегазом». Нормальное распределение РФП в легких. Исследование артериальной перфузии легких после внутривенного введения макроагрегата альбумина человеческой сыворотки, меченного 99 m Тс (внизу). Определяются дефекты перфузии в правом и левом легких. Двухсторонняя тромбоэмболия ветвей легочных артерий.
Перфузионная сцинтиграфия легких. Применяется для изучения легочного кровотока, как правило, с целью диагностики тромбоэмболии легочной артерии. Используется РФП - 99m Тс - макроагрегат человеческой сыворотки. Принцип метода заключается во временной блокаде незначительной части легочных капилляров. Через несколько часов после инъекции белковые частицы разрушаются энзимами крови и макрофагами. Нарушения капиллярного кровотока сопровождаются изменением нормального накопления РФП в легких.
Магнитно-резонансная томография в диагностике заболеваний органов дыхания
Применение МРТ ограничено, главным образом, визуализацией патологических образований средостения и корней легких, поражений грудной стенки, выявлением и характеристикой заболеваний крупных сосудов грудной полости, особенно аорты. Клиническое значение МРТ легочной паренхимы невелико.
Ультразвуковое исследование в диагностике заболеваний органов дыхания. Этот метод имеет ограниченное значение в диагностике большинства заболеваний органов грудной клетки (за исключением болезней сердечно-сосудистой системы). С его помощью можно получить информацию относительно образований, соприкасающихся с грудной клеткой или заключенных в ней, о плевральной полости (жидкости и плотных образованиях) и диафрагме (о движении и форме), а также об образованиях, располагающихся в определенных отделах средостения (например, о вилочковой железе).
Читайте также:
