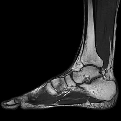
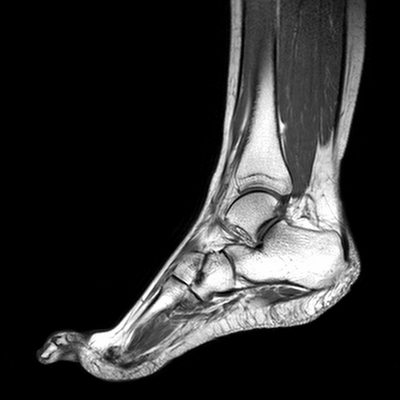
Рентгтенограмма, КТ, МРТ при добавочных мышцах голеностопного сустава и стопы
Добавил пользователь Евгений Кузнецов Обновлено: 22.01.2026
Магнитно-резонансная томография является самым точным методом диагностики состояния мягких тканей в современной медицине. Она часто используется в ортопедии и травматологии, сосудистой хирургии, онкологии, спортивной, восстановительной медицине и дает возможность повысить эффективность диагностики и лечения.
Какие заболевания покажет МРТ ног
МРТ нижних конечностей позволяет оценить состояние всех мягких тканей в области ног: мышц, кожи, связочного аппарата, суставов, хрящей, сосудисто-нервных пучков, костной ткани, лимфатических узлов. К преимуществам данного исследования относятся:
- высокая точность;
- неинвазивность;
- безвредность для пациента;
- безболезненность;
- определение патологии на ранних стадиях.
Травмы
С помощью МРТ диагностируют переломы, вывихи, ущемление мягких тканей между костями или их отломками, растяжения мышц, сухожилий, частичный или полный разрыв связок. Видны структуры, которые находятся внутри суставов.
Не всегда заживление после получения травмы проходит быстро. Бывают случаи неправильного сращения кости, формирования ложного сустава, ущемление нерва рубцами. Разобраться, почему не восстановились функции нижней конечности в полном объеме, помогает МРТ.

МРТ голеностопного сустава в корональной плоскости.
Отмечается поперечный стресс-перелом дистальных отделов малоберцовой кости.
Опухоли
Встречаются довольно безобидные небольшие липомы (доброкачественная опухоль из жировых клеток), гемангиомы (опухоль из кровеносных сосудов). Они имеют вид округлых образований на поверхности кожи или в глубине тканей ноги. Их несложно удалить через небольшой разрез.
Злокачественные опухоли могут развиться из любой ткани - жировой, мышечной, хрящевой, соединительной ткани, нервов, кровеносных сосудов. Их можно увидеть на МРТ по своему специфическому строению и усиленному кровоснабжению. Уточняют размеры, расположение, отношение с другими тканями и органами, наличие метастазов при помощи МРТ с применением контраста.
Сосудистая патология в области ног
Что показывает МРТ сосудов нижних конечностей:
- Поражение крупных сосудов бывает при атеросклерозе. На МРТ видны неровные контуры бедренной, подколенной артерий. Изъеденные сосудистые стенки связаны с отложением атеросклеротических бляшек. В зависимости от степени стеноза и протяженности выбирают лечение: при начальных стадиях консервативное, если просвет сильно сужен, приходится оперировать и заменять сосуды на искусственные. Это позволит восстановить нормальное кровоснабжение всех нижележащих отделов ноги, не допустить тяжелых осложнений - атрофии, гангрены, инвалидности.
- Мелкие сосуды поражаются при сахарном диабете. Проявляется это как диабетическая стопа. Из-за ухудшения питания развиваются сначала поверхностные дефекты кожи, которые быстро распространяются вглубь. Развивается некроз подкожной клетчатки, мышц, сухожилий, костей. При плохом исходе процесс заканчивается гангреной пальцев, стопы, ампутацией. При диабете ткани плохо заживают, поэтому процесс необходимо лечить как можно раньше.
- Возможны воспалительные изменения стенок артерий иммунного, инфекционного характера.
- Врожденные аномалии развития сосудов - аневризмы, мальформации. Их лучше видно при контрастном МРТ.
Воспалительные явления
Воспалительный процесс в суставах наблюдается при ревматизме, ревматоидном артрите, подагре, инфекционных артритах. При этом суставы опухают, болят, кожа над ними горячая, красная, отечная. На снимках МРТ специалист видит выпот внутри сустава, утолщение синовиальной оболочки, усиленный МР-сигнал от окружающих сустав мягких тканей из-за их отека.
Миозиты возможны при переохлаждении, перенапряжении, вирусных инфекциях. Человека мучают боли, возможно сдавление нервов между пучками отечных мышц. Например, при грушевидном синдроме сдавливается седалищный нерв.
Видны изменения при воспалении в костях - остеомиелит.
Повреждения нервов
Возможны защемления, сдавления, разрыв нервных путей после полученных травм. В тех местах, где нервы проходят в узких замкнутых пространствах, развивается туннельный синдром: нерв сдавливается, отчего человек все время испытывает сильные боли.
Сканирование выявляет воспаление, опухоль нерва, дегенеративные процессы.
Когда назначают МРТ нижних конечностей?
Показания для проведения исследования определяет врач. МРТ ноги помогает разобраться в причинах болезни, уточнить локализацию, распространенность патологического процесса. Обязательно МРТ проводят до операции и после нее, для контроля за развитием онкологии, при негативных последствиях травм.
Чаще всего на МРТ направляют при таких жалобах:
- Человек чувствует боль в ногах. Для поражения крупных сосудов характерна перемежающаяся хромота. Человек может пройти несколько шагов, после чего появляется боль. Вынужден остановиться, а когда боль проходит, все повторяется. Боли, вызванные поражением нервной ткани, особенно сильные, жгучие, стреляющие. Болезненные ощущения могут беспокоить в области суставов: одного или сразу нескольких. Мышечные боли связаны с неудобным вынужденным положением при работе, перегрузках у спортсменов, вирусными заболеваниями.
- Нарушение движений: уменьшается объем или развивается гипермобильность в суставе. Чаще всего затруднено вставание, ходьба по лестнице. Движения сопровождаются щелчками, хрустом, заклиниванием. Возможна гипотрофия мышечной ткани. Из-за денервации, обменных, наследственных нарушений мышцы уменьшаются в объеме, слабеют, уменьшается процент мышечной массы по отношению к жировой и соединительной ткани. Проблема может быть с суставами, мышечной тканью или двигательными нервами. МРТ выявляет причину ограничения движений.
- Чувствительные нарушения проявляются при повреждении чувствительных нервных волокон: человек отмечает парестезии - покалывание, онемение, ползание мурашек по коже, нарушается температурная, болевая чувствительность. МРТ помогает показать, какой нерв поврежден, на каком уровне, характер изменений в нервной ткани (воспаление, отек, сдавление, ишемия, опухоль, травма).
- Травмы. Вовремя выявленные изменения в мягких тканях, которые произошли в результате механического воздействия, намного уменьшают период выздоровления. На МРТ можно контролировать процесс образования костной мозоли, нет ли ущемления нервов, сосудов, мышц. Кроме костных изменений, которые легко выявить на рентгене, довольно часто присутствуют растяжения или разрыв связок, сухожилий, капсулы сустава. Эти проблемы не видны при других исследованиях, кроме МРТ. Если их выявить сразу после травмы, подключаются физиотерапевтические, консервативные, иногда хирургические методы восстановления. В результате выше процент полного восстановления.
- Изменения, которые видны на коже, заставляют предполагать заболевание ног. МРТ подтверждает или опровергает эти предположения. На коже могут быть трофические язвы из-за нарушения кровообращения в нижних конечностях или иннервации. При болезнях вен, суставов кожа отекает, возможны побледнение, покраснение кожных покровов. Язвы характерны на стопах для диабета, на МРТ можно измерить глубину распространения процесса, определить наличие некротических изменений.
Если врач предполагает опухоли, болезни сосудов ног, следует сделать контрастную МРТ, так как при введении контрастного вещества сосуды лучше визуализируются. Вместе с ними хорошо выделяется и опухолевый очаг из-за усиленного кровоснабжения. На снимках также визуализируется наличие метастазов, их расположение, размеры.
Пациенту могут назначить МРТ нижних конечностей полностью или определенного участка:
- МРТ тазобедренного сустава покажет дисплазию в этой области, синдром грушевидной мышцы. Исследование показывает степень сдавления нерва между мышечными волокнами и связкой. При переломе шейки бедра у пожилых людей выявляет гематомы, повреждения мягких тканей.
- МРТ тканей бедра делают при травмах этой области, опухолях, выявляет фибросаркому.
- МРТ коленного сустава помогает оценить состояние всех внутрисуставных структур: связок, менисков. Определяет степень дегенерации сустава или повреждения при травме. МРТ обязательно делают перед вмешательством на колене. Это помогает выбрать, какие структуры подлежат восстановлению, а какие требуют замены на искусственные или аутотрансплантаты.
- МРТ голени обнаруживает опухоли, изменения сосудов в этой области, контузию и воспаление мышц.
- МРТ голеностопного сустава и стопы позволяет хорошо рассмотреть эту область, так как рентген часто не выявляет проблему (не позволяют оценить состояние окружающих мягких тканей). На МРТ стопы хорошо просматриваются сухожилия, связки, суставы предплюсны и т.д. Можно видеть толщину и состояние хрящей, наличие выпота внутри суставов, крови, отек тканей, опухоли. Диагностируют пяточную шпору, болезнь Севера, подошвенный фасциит, плоскостопие, врожденные аномалии развития, нарушение кровоснабжения, опухоли, воспалительные, дегенеративные процессы, инородные тела в этой области, диабетическую стопу.

МРТ плечевого сустава в корональной плоскости. Отмечается вколоченный перелом хирургической шейки плечевой кости.
Как проходит МРТ мягких тканей конечностей?
Специальной подготовки к МРТ ног не требуется. Перед использованием контрастного препарата за 6 - 8 часов не рекомендован прием пищи, чтобы не возникла тошнота. Противопоказаниями к проведению процедуры являются беременность, кормление ребенка грудью, аллергия на гадолиний, тяжелая патология почек, гемолитическая анемия.
Перед тем, как делают МРТ ног, врач тщательно расспрашивает пациента о наличии металлических имплантатов или медицинских клипс внутри организма. Металл внутри тела является наиболее частым и серьезным противопоказанием к проведению МРТ. Под действием сильного магнитного поля металлический предмет может сдвинуться и травмировать мягкие ткани и сосуды, а электронные приборы типа кардиостимулятора, помпы для введения инсулина испортятся.
У закрытого томографа есть ограничения по весу (120 - 150 кг) и по окружности (150 см). Если человек по этим параметрам не подходит (большой вес или объем талии), ему назначается диагностика на томографе открытого типа.
Пациента обследуют в лежачем положении, сканируют область ног. Результаты в виде серии снимков, сделанных через определенные промежутки и под нужным углом, поступают в компьютер для обработки.
Расшифровка МРТ нижних конечностей
Расшифровывает снимки томографии нижних конечностей специалист лучевой диагностики. На это может уйти от 1 до 3 часов в зависимости от сложности патологического процесса. Результаты записываются на диск и другие электронные носители информации. Для более точной оценки снимков и видео рекомендуют брать с собой результаты исследований:
- предшествующих МРТ мягких тканей конечностей;
- ангиографии сосудов нижних конечностей;
- рентгеновских снимков или КТ;
- УЗИ тканей нижних конечностей с допплерографией.
МРТ или КТ ног?
Метод обследования выбирает врач, учитывая диагноз, противопоказания. КТ предпочтительнее, если есть необходимость выявить изменения костной ткани: остеофиты, переломы, трещины, образование ложного сустава, аномалии развития, формы, строения костей, остеомиелит, опухоли костей голени и бедра, стопы. КТ может назначаться в случае наличия металлических элементов в теле, которые нельзя извлечь.
МРТ мягких тканей делают, чтобы оценить состояние сухожилий, мышц, хрящей, нарушения в кровотоке и иннервации. МРТ выбирают для диагностики тех пациентов, которым нельзя подвергаться рентгеновскому облучению (беременные, дети).
Сколько по времени делается МРТ ноги?
Время обследования от 20 минут (без контраста), МРТ с контрастом может занять примерно 40 минут. Стоимость процедуры отличается в разных центрах, зависит от области обследования, использования контрастного вещества. Пациент может испытывать дискомфорт от шума томографа, поэтому выдают беруши или наушники. Связь с врачом поддерживается на протяжении всего сеанса. Можно сообщить врачу об ухудшении самочувствия. Для получения изображения хорошего качества необходимо лежать неподвижно.
МРТ является одним из самых востребованных, точных, ранних методов диагностики.

МРТ голеностопного сустава в сагиттальной плоскости. Отмечается полный разрыв пяточного сухожилия с признаками повреждения паратенона, реактивного паратендинита.
Что показывает МРТ голеностопного сустава
МРТ - безвредное исследование с высокой степенью информативности. То, что показывает МРТ голеностопного сустава, помогает врачам в диагностике заболеваний, в наблюдении за развитием патологического процесса, результатами лечения. Особая роль принадлежит МР исследованию при подготовке к оперативному лечению.
МРТ не делается ургентно или при первом обращении больного за медицинской помощью. Сначала врач изучает жалобы, как появились и развивались симптомы заболевания, проводит осмотр, пальпацию, исследует объем движений в суставе и степень болезненности.
Первым методом, к которому прибегает врач, является рентген как самый недорогой и достаточно информативный метод визуализации. На снимках можно будет определить перелом, вывих, большие трещины, объемные образования в области сустава.

Вторым по частоте методом исследования идет УЗИ. При этом можно измерить толщину тканей - капсулы, хряща, сухожилия, определить ширину суставной щели, кисты, опухоли, увеличение количества внутрисуставной жидкости.
Какие заболевания покажет МРТ голеностопного сустава?
Но самым точным диагностическим методом является МРТ. При этом на снимках можно выявить изменения в структуре тканей менее 1 мм. Поэтому любая патология на МРТ будет видна намного раньше, чем при других методах исследования. А это большое преимущество в лечении, ведь чем раньше начать его, тем оно эффективнее. Иногда на ранней стадии можно обойтись без хирургического лечения. В случаях выявления опухолей шансы излечиться намного выше, при этом методы будут более щадящими, меньше объем оперативного вмешательства.
Поэтому МРТ широко используют в ортопедии и травматологии, онкологии. Вот, что показывает МРТ голеностопа:
Воспалительные болезни - артриты, бурситы, тендовагиниты, синовииты, фасцииты, васкулиты.
Опухоли доброкачественные и злокачественные мягких тканей и костей - остеомы, хондромы, саркомы, гемангиомы, фибромы, остеосаркому, наличие метастазов, стадию заболевания.
Синдром диабетической стопы - глубину поражения тканей, наличие некротических изменений в мягких тканях и костях.
Травматические повреждения голеностопа, щиколотки, пальцев стопы.
Инородные тела в этой области, в том числе в полости сустава, кроме случаев, когда они из металла.
Вальгусная деформация стопы, степень выраженности.
Артрозы при возрастных изменениях, из-за хронического воспаления, после травм. Иногда развивается пяточная шпора, импиджмент синдром голеностопного сустава - сближение таранной и большеберцовой костей, защемление между ними других тканей. При подагре страдает больше всего плюснефаланговый сустав большого пальца стопы.
Когда назначают МРТ голеностопного сустава?
Магнитно-резонансную томографию делают в следующих случаях:
Состояние после травм голеностопа, чтобы выявить наличие и характер поражения связок (растяжение, разрыв), мышц (ушибы, размозжение, некроз), сухожилий, сосудов (кровоизлияния в мягкие ткани), костей, суставов (вывихи, подвывихи, внутрисуставные переломы). Перелом обычно хорошо виден на рентгенограмме, но сопутствующие повреждения окружающих тканей видны только на МРТ.
Если область сустава отекает, кожа покраснела, горячая, беспокоит боль в покое и при движении, это говорит о воспалении. МРТ покажет степень выраженности воспалительных изменений, какие именно ткани затронуты. Это напрямую влияет на тактику лечения и выбор препаратов. Суставы воспаляются при ревматических процессах, нарушении обмена (подагра), аллергических и инфекционных артритах.
При дегенеративно-дистрофических процессах человек жалуется на боль в стопе, лодыжках, хруст в суставе, заклинивание, ограничение движений. Боль максимально выражена в начале движения, затем постепенно проходит по мере того, как человек «расходится». На МР снимках видно, насколько разрушен хрящ, есть ли изменения костной ткани под хрящевым слоем. Сначала хрящ истончается, сужается щель между суставными концами костей. Затем видны небольшие очаги разрушения хрящевой пластины, которые постепенно увеличиваются. Компенсаторно увеличивается плотность костной ткани на границе с хрящом. Могут выявляться очаги рассасывания в кости, экзостозы - костные наросты, которые травмируют соседние ткани.
Когда в области сустава видно образование, оно может быть болезненным, или боль при пальпации отсутствует. МРТ позволяет дифференцировать кисты от опухолей, определять их точное расположение, размеры. Данные о характере кровоснабжения, границах опухоли, состоянии окружающих тканей позволяют судить о том, это доброкачественное или злокачественное образование. Для уточнения часто прибегают к введению контраста. Он по кровеносным сосудам попадает в очаг и накапливается там. Опухоль можно рассмотреть более детально.
Аномалии развития определяют сразу после рождения. Серьезные отклонения требуют оперативного вмешательства, чтобы человек смог в дальнейшем полноценно стоять, ходить.
Бывает, что после травмы боль длительное время не проходит. Определить, в чем именно причина, помогает МРТ. Если нерв или сосуд ущемляется между костями или отечными тканями, человек чувствует боль, онемение, сложности при движении ногой, стопа может отекать, быть бледной, холодной, синеватого оттенка.
В профилактических целях МРТ рекомендуют проходить людям, если на голеностоп приходится повышенная нагрузка. Один раз в год советуют сделать МР снимки спортсменам, людям с избыточным весом, больным сахарным диабетом и другими подтвержденными метаболическими нарушениями, ревматическими болезнями.
МРТ голеностопного сустава, как проходит?
Процедура, то есть как делают МРТ голеностопного сустава, практически не отличается от обследования любой другой анатомической области. Необходимо снять все изделия из металла (часы, украшения, убрать телефон, ключи, банковские карты). Если металлические предметы находятся внутри тела пациента, от процедуры, скорее всего, в целях безопасности больного, придется отказаться. Это решит врач после предоставления специальных документов на изделие (клипсы сосудов, ЭКС, зубные и слуховые протезы, штифты, искусственные суставы и т. д.).

Человек остается в свободной одежде, подходящей для проведения МРТ. Ложится на стол. Врач или ассистент фиксируют ногу в нужном положении. Его тело, руки тоже фиксируют ремнями. Получить качественные снимки можно при неподвижности больного во время процедуры. Поэтому 30 - 60 минут (столько длится исследование) необходимо постараться лежать спокойно.
Стол заезжает в трубу - устройство, в котором создается сильное магнитное поле. Возбужденные атомы водорода в тканях и органах в ответ на воздействие магнитного поля испускают сигналы, которые и улавливает прибор. По ним компьютер воссоздает картину тканей в исследуемой области. Отдельные фото снимки объединяются в трехмерное изображение. Сустав можно исследовать в разных плоскостях.
Это и делает исследование таким ценным: как будто можно заглянуть внутрь голеностопного сустава и рассмотреть любое место с разных сторон с увеличением. Особенно ценная информация для хирургов: видны индивидуальные анатомические особенности строения сустава, места прохождения сосудов, нервов, их состояние. Врач планирует, исходя из полученной информации, оптимальный доступ к патологическому очагу, объем оперативного вмешательства, время, необходимое для выполнения манипуляций.
Если есть подозрение на опухоль или сосудистую патологию, проводят контрастное исследование. В вену вводят контраст на основе гадолиния и изучают анатомическую область по мере поступления в нее контраста и накопления. Иногда контраст вводят непосредственно в сустав. Это указывает врач ортопед-травматолог в направлении на МРТ.
Противопоказано введение контрастного вещества:
- при беременности;
- кормящим;
- людям с выраженными нарушениями почек.
Если запланировано введение контраста, в течение 6 - 8 часов до обследования не нужно есть. Гадолиний содержащие контрастные средства редко вызывает аллергию. Выводится из организма за 1 - 2 суток. Чтобы избежать возможных осложнений со стороны почек, людям с проблемами выделительной системы должны в ходе подготовки проводить дополнительные лабораторные тесты.
Детям, людям возбужденным, с психическими заболеваниями, которым сложно выдержать нужное время без движений, проводят седацию, то есть дают успокоительные средства перед исследованием.
Если человек крупного телосложения, не помещается внутрь томографа, ему можно пройти МРТ на аппаратах открытого типа. Ее точность несколько ниже, чем при закрытой МРТ, так как аппарат создает магнитное поле меньшей напряженности. Но это все равно более информативно, чем рентген, УЗИ, КТ.
Расшифровка МРТ голеностопного сустава
Расшифровкой занимается специалист функциональной диагностики и лечащий врач, который направил на МРТ. Детальные снимки и комментарии к ним подтверждают предполагаемую причину болезни или опровергают ее, уточняют уже известный диагноз. Для качественной интерпретации результата следует учитывать клиническую картину, лабораторные данные, результаты других исследований или проведенных ранее МРТ.
Важное преимущество МР исследования - то, что его можно проводить столько раз, сколько это требуется, не причиняя вреда больному. При МРТ нет лучевого воздействия на организм, поэтому такое исследование безопасно. По показаниям его проводят детям, беременным во 2 и 3 триместрах. Часто назначают серию МРТ с промежутком в недели, месяцы. Это покажет процесс в динамике, реакцию очага на терапию, развитие осложнений или улучшение. Сравнивают несколько снимков, полученных последовательно при различных обследованиях.
МРТ или КТ голеностопного сустава?
Если у пациента есть серьезные противопоказания для МРТ (металлические элементы внутри организма), можно как альтернативу назначить КТ. Как и рентген, это лучевой метод воздействия. Он хорошо показывает состояние твердых тканей - костей, косвенно позволяет судить о толщине хрящей. Однако его нельзя назначать так часто, как МРТ, потому что лучевая нагрузка для организма в больших количествах вредит.
Метод диагностики определяет врач: если есть подозрение на переломы, трещины, опухоли, кисты, некроз кости, выбор будет в пользу КТ. Когда нужно в подробностях рассмотреть мягкие ткани, образующие сустав, и вокруг него, предпочтение отдают МРТ.
В некоторых случаях использование этих сложных методов вообще не понадобится, так как врачу понятна клиническая картина, уточнений не требуется. Поэтому не следует самостоятельно назначать себе обследование и тем более лечение.
Следует обращаться в клинику. Точность исследования, кроме профессионализма врачей, зависит от модели томографа. При индукции магнитного поля у аппарата 1,5 Тесла качество снимков будет выше, лучше детализация, чем при использовании низкопольных томографов.
УЗИ, рентген, МРТ или КТ голеностопного сустава - что лучше выбрать?

МРТ и КТ голеностопного сустава в медицинских центрах являются приоритетными методом обследования повреждений суставных и тканевых структур зоны соединения ноги и стопы.
На долю повреждений данной области приходится до 25% от общего количества травм опорно-двигательного аппарата и 40-60% - от числа повреждений нижней конечности. Особенностью переломов костей голеностопного сустава является высокая частота внутрисуставных повреждений, что существенно отягощает течение заболевания, ухудшает прогноз лечения и реабилитации таких больных. Учитывая, что в результате травмы страдают разные структуры голеностопа (костные, связочный аппарат, хрящевые суставные поверхности, синдесмозы), у врачей часто возникает необходимость детальной анатомической оценки полученных повреждений как с помощью компьютерной, так и с помощью магнитно-резонансной томографии. Комплексный подход в диагностике повреждений голеностопного сустава и стопы является необходимым инструментом для получения наиболее достоверного диагностического заключения с учетом патологии костей, суставов и сухожильно-связочного аппарата. И здесь приоритетный выбор МРТ и КТ аппарата для исследования зоны лодыжки и ступни обоснован высоким качеством и детализацией информации на выходе, отсутствием явного вреда для здоровья и возможностью за один сеанс получить анатомически развернутую картину происходящего.
Рентген, УЗИ, МРТ или КТ - что лучше покажет голеностопный сустав?
Для диагностического исследования зоны голеностопа в арсенале у ортопеда, хирурга, травматолога или флеболога есть:
- Магнитно-резонансная томография голеностопного сустава;
- Компьютерная томография голеностопного сустава;
- Рентгенография голеностопного сустава;
- УЗИ голеностопа; .
Ультразвуковое исследование помогает в случае, если необходимо оценить состояние сосудов нижних конечностей и мягких тканей мышц. К сожалению, в остальном возможности УЗИ в изучении состояния хряща и суставной сумки ограничены топографо-анатомическими особенностями данной зоны. Ультразвуковое исследование позволяет визуализировать наружный кортикальный слой костных составляющих и внесуставные стабилизаторы, кроме гиалинового хряща, и только если аппарат имеет возможности панорамного и трехмерного сканирования. КТ и рентген способны визуализировать травмы костей. Если необходимо оценить состояние мягких тканей (связки, суставные хрящи, сухожилия, нервные волокна) или оценить голеностоп в комплексе врачи предпочитают сделать МРТ голеностопного сустава и стопы.
Рентген или МРТ голеностопного сустава - что лучше выбрать?
Рентгенография не является достаточным методом диагностики повреждений голеностопа. Во многих случаях в результате использования одной классической рентгенографии врачам не удается определить наличие повреждений мягкотканных и хрящевых структур, что приводит к неправильному выбору варианта лечения. Также рентген не видит минимальные костные повреждения. Их можно хорошо визуализировать только при МРТ и КТ.
Томография сустава актуальна, в первую очередь, для ранней диагностики скрытых и не явно проявляющихся травм голеностопа, которыми согласно статистике страдает более 60% населения. К примеру, поврежденные в результате травм связки иногда не вызывают сильной боли и лишь незначительно ограничивают подвижность сустава. Впоследствии вовремя не обнаруженные микротравмы стопы и лодыжки становятся причиной патологических изменений сустава у 80% пациентов, что влечет за собой в дальнейшем постоянные хронические боли, инвалидность и дегенеративные изменения структур.
Вторая причина сделать МРТ или КТ голеностопного сустава - это изолированные травмы голеностопного сустава. Они составляют по разным данным от 4 до 32% всех травм костно-мышечной системы. Здесь МРТ голеностопного сустава является наиболее универсальным методом визуализации повреждений всех структур, а КТ голеностопа позволяет детализировать (оценить степень и распространенность) минимальные костные переломы.
МРТ или КТ голеностопа - что лучше?
Оптимальным видом лучевого исследования для выявления изменений в голеностопе является МРТ. К сожалению, ни УЗИ, ни рентген, ни даже КТ не в состоянии выявить и полноценно оценить небольшой очаг поражения в мягких тканях, его влияние на соседние суставы и взаимосвязь с прилегающими структурами. На такую обширную зону покрытия разных тканей способна лишь магнитно-резонансная томография голеностопа, которая с помощью магнита и радиоволн получает детализированные снимки всех суставных тканей в разных плоскостях. МРТ диагностирует даже самые незначительные травмы и трещины, нарушения связок и сухожилий, показывает четкую картину дегенеративных расстройств в суставах и нарушений целостности поверхности суставов, ущемления нервов или разрыв.
Что МРТ голеностопного сустава покажет лучше, чем КТ голеностопа?
МРТ голеностопа настоятельно рекомендуют сделать, если пациент жалуется:
- на отек или увеличение массы в области лодыжки;
- даже незначительную потерю подвижности сустава;
- необъяснимую боль, которая не проходит в результате лечения.
МР исследование голеностопного сустава оправдано в случаях вывиха лодыжки 2 и 3 степени, чтобы исключить сочетанные травмы, такие, как разорванное сухожилие, повреждение хрящевой ткани. Кроме того, томографию голеностопного сустава назначают пациентам с врожденными аномалиями стопы и признаках травмы мышц, хрящей и связок стопы и лодыжки. Также врач может назначить МР сканирование, чтобы оценить инфекцию или абсцесс, дифференцировать отек и опухолевидные образования, а также с целью контроля эффективности лечебных мероприятий или в качестве полноценной диагностики перед операционным вмешательством.
МРТ голеностопного сустава
КТ голеностопного сустава
Что КТ голеностопного сустава покажет лучше, чем МРТ голеностопа?
КТ голеностопа является самым точным способом диагностировать повреждения костей. Именно ее назначит врач-травматолог при:
- переломах плюсневой и передней пяточной кости и вывихах;
- подозрении на костную инфекцию или остеомиелит;
- костной боли в суставе, сопровождаемой лихорадкой.
Прямыми показаниями для первичной КТ голеностопного сустава и стопы являются:
КТ и МРТ травме голеностопного сустава - что покажет

МРТ и КТ голеностопного сустава являются аппаратными методами диагностики травмы голеностопа. Исходя из первичных симптомов, истории болезни, противопоказаний и диагностических целей, врач ортопед назначает необходимые способы обследования. В большинстве случаев, МРТ голеностопного сустава выбирается как первичный метод диагностики. Если травма носит костный характер, назначается КТ голеностопного сустава и рентгена голеностопа.
МРТ или КТ при травме голеностопного сустава - что лучше выбрать?
КТ и МРТ - это два основных метода экспертной диагностики повреждений в зоне голеностопа. Магнитно-резонансная томография хорошо визуализирует мягкие ткани, поэтому будет являться приоритетным методом диагностики травм мышц, сухожилий, хрящей. КТ позволяет очень точно оценить состояние костной ткани, поэтому она будет предпочтительным методом диагностики переломов в зоне голеностопа. Дополнительными преимуществами КТ в диагностике голеностопной травмы:
- продолжительность процедуры всего 2-3 минуты;
- проведение точного сканирования без хирургического вмешательства;
- отсутствие дискомфорта во время КТ;
- никаких требований к предварительной подготовке пациента;
- быстрая доступность результатов сканирования.
По этой причине компьютерная томография является предпочтительной формой исследования в экстренных ситуациях, когда травматологу необходимо принимать быстрые меры.
Дополнительными преимуществами МРТ в диагностике травмы голеностопа являются:
- высокая детализация мягких структур;
- отсутствие лучевой нагрузки на организм;
- возможность неоднократного проведения обследования для оценки динамики заживления тканей после травмы;
- быстрая доступность результатов сканирования.
Какое обследование лучше выбрать при травме голеностопа?
Виды травмы голеностопа
Предпочтительная форма диагностики
Растяжения связочного аппарата
Магнитно-резонансная томография или Компьютерная томография
Разница между МРТ и КТ
Компьютерная томография и магнитно-резонансная томография используются для получения изображений органов и тканей в трехмерной проекции. Разница в томографии заключается в том, что при МРТ используются радиоволны, а при КТ - рентгеновские лучи для получения изображения. Хотя оба томографических метода имеют высокую информативность, есть диагностические различия, которые могут сделать каждый из них более подходящим вариантом в зависимости от обстоятельств.
КТ-сканирование более быстрая форма диагностики, чем магнитно-резонансная томография, и обычно используется для экстренного обследования. При использовании как КТ, так и МРТ существуют определенные риски. Они зависят от типа визуализации, а также от способа ее проведения. К рискам КТ относятся: вред для внутриутробного ребенка при беременности и доза радиации. Риски МРТ включают реакции на металлические импланты в теле из-за сильного магнитного поля, громкий шум от аппарата, повышенная, клаустрофобические риски.
Если врачу нужны более детальные изображения мягких тканей, связок или органов высоким состоянием воды, обычно назначается магнитно-резонансная томография. Если необходимо получить хорошие изображение костных структур и полых органов, обычно рекомендуется компьютерная томография.
Что показывает КТ голеностопного сустава? Как проходит, подготовка и противопоказания.

Компьютерная томография (КТ) голеностопного сустава - рентгенологический вид исследования, основанный на передаче информации о состоянии внутренних структур голеностопа с последующей секторальной цифровой обработкой. Результаты исследований анализируются путём осмотра детальных фрагментов - срезов. Аппарат КТ Сименс, установленный в нашем центре, позволяет получать субмиллиметровые срезы, толщиной от 0,5 мм и выявлять мельчайшие изменения структуры исследуемого сустава.
Что показывает КТ голеностопного сустава
Голеностоп - достаточно хрупкое соединение целого ряда небольших суставов. Некоторые кости имеют сравнительно малый размер и могут плохо попадать в определённые проекции на обычных рентгеновских исследованиях. Компьютерная томография голеностопного сустава лишена этого недостатка - благодаря постпрограммной обработке можно не только подробно рассмотреть состояние и структуру костной суставной составляющей со всех сторон в разных плоскостях, но и выстроить трехмерное изображение сустава - 3D модель.

Томограмма голеностопного сустава
Травмы и различные повреждения голеностопа требуют незамедлительного обследования. Голеностопный сустав наряду со своей хрупкостью несёт колоссальные нагрузки и часто подвергается повреждениям разной степени выраженности. Своевременность выявления и анализа разрушений во многом определяет дальнейшую успешность лечения и восстановления нарушенной функции. Перед тем как принять лечебные меры, необходимо детально понять и проанализировать возникшую проблему. С этой целью современной медициной активно и успешно используется компьютерная томография голеностопного сустава.
Компьютерная томография голеностопного сустава, безопасность метода
Аппарат, на котором производится компьютерное исследование, называется томограф. Он состоит из нескольких частей, связанных между собой:
трубка рентгеновского аппарата - непосредственный источник лучей, направляющий их сквозь толщу тела человека;
рамка Гентри - рамка, которая получает обратный поток обработанных сигналов. Именно внутри неё находится механизм, благодаря которому идёт перемещение одной или нескольких рентгеновских трубок в процессе исследования пациента;
система преобразования и анализа полученных данных - комплекс аппаратов, который оценивает полученную рентгенологическую шифровку и преобразует её в данные о состоянии исследуемого фрагмента тела;
подвижной компьютерный операционный стол (транспортер) - непосредственное место укладки пациента на исследование. В процессе прохождения КТ стол сдвигает тело пациента относительно требуемого прибором смоделированного информационного поля;
компьютерная программа расшифровки окончательного анализа и выдачи данных.
Получение информации о состоянии здоровья или наличии патологии в голеностопном суставе основано на способности разных видов тканей к поглощению и пропуску определённой дозы рентгеновского излучения, которое является потоком частиц с большим энергетическим и частотным зарядом.

Томограф, используемый в нашем центре
Специализированные датчики во время процедуры активно регистрируют уровни уменьшения или увеличения количества частиц во время их прохождения через разные среды человеческого организма. Наибольшей степенью поглощения высокочастотной энергии обладают костные ткани организма, а наименьшей - органы, содержащие единые или множественные воздушные полости.
Методика используется уже многие десятилетия и доказала свою высочайшую информативность в диагностике многих заболеваний, а также абсолютную безопасность при разумном подходе - КТ голеностопа выполняется только при наличии показаний, не стоит делать исследование просто так.
Как проводится КТ голеностопного сустава
После оформления документов пациент приглашается в зал с томографической установкой и укладывается на стол томографа. Голеностоп надежно фиксируется в специальных подставках во избежание двигательных артефактов, а остальные части тела обязательно укрываются свинцовым фартуком. Пациент проводит в кабинете приблизительно 10-15 минут по времени, в зависимости от сложности клинического случая. Если появляется подозрение на патологию сосудов или онкологическое новообразование - внутривенно вводят контрастное вещество с целью уточнения диагноза.
Для достижения максимальной корректности данных в нашем центре используется постпрограммная обработка полученных изображений. В результате сканирования все снимки выполняются в аксиальной плоскости, а затем компьютерные программы выстраивают горизонтальную и фронтальную проекции так, чтобы врач смог оценить строение голеностопа со всех сторон.
Для более точного проведения КТ голеностопного сустава предпочтительно выполнение исследования на мультиспиральных томографах - именно такой установлен в нашем центре “Магнит” - Siemens Somatom Emotion 16. Этот вид томографов является оптимальным для КТ голеностопа по соотношению цены и качества полученных изображений.

Процедура выполнения КТ голеностопного сустава
При сложной томографической картине, в особенности при подозрении на онкологическое новообразование, при проведении исследования допускается применение контрастного вещества. Препарат вводится внутривенно и позволяет более точно проанализировать стадию образования и локализацию метастазов, а также оценить состояние сосудов и обнаружить нарушения тока крови в области исследования, вызванное атеросклерозом или тромбозами.
Компьютерная томография голеностопного сустава: показания и противопоказания к исследованию
Голеностопный сустав относится к группе анатомически сложных суставов. Ввиду того, что в составляющие его части входит не пара, а сразу несколько костных сочленений, патологии тоже могут быть разными. В основном их можно объединить в три группы:
патологии тканей, без затрагивания костной структуры: растяжения и разрывы связок, внешние и внутренние повреждения мышечных слоёв и сосудов;
патология костной системы без затрагивания поверхностных мягких тканей ( чаще всего это онкологические процессы);
комбинированная патология мягких и костных тканей: переломы, смещения, открытые повреждения, вывихи и подвывихи.
При первом варианте компьютерная томография голеностопного сустава не используется, предпочтение отдается магнитно-резонансной томографии, имеющей большее сродство к мягким тканям. Но при втором и третьем вариантах без компьютерного исследования бывает очень сложно обойтись.

3D-модель голеностопа (вид спереди и сзади). Стрелками указаны места переломов
Показания к проведению компьютерной томографии голеностопного сустава
Основными показаниями к проведению данного вида исследования будут:
открытые и закрытые переломы голеностопного сустава;
вывихи и подвывихи голеностопа;
подозрения на трещину кости, образовавшуюся в результате удара или травмы;
сопутствующий с переломом разрыв мягких тканей и сосудов;
подозрение на онкологическую опухоль в кости или хряще;
Также компьютерная томография может использоваться:
в качестве комплексного исследования при сложных повреждениях, полученных во время катастрофы;
как дополнительное исследование перед предстоящей операцией на соседних зонах.
Противопоказания к проведению компьютерной томографии голеностопного сустава
Поскольку для диагностики применяется рентгеновское излучение, существует ряд противопоказаний:
беременность в любом триместре;
период грудного вскармливания - нужно временно прекратить кормления и минимум дважды сцеживать молоко;
детский возраст до 5 лет;
недавно проведённые другие рентгенологические исследования (флюорография - менее 4-х месяцев назад, остальные виды - менее 6 месяцев назад), при условии, что КТ голеностопа планируется самостоятельно, без врачебных рекомендаций и показаний;
психические заболевания исследуемого: аутизм, выраженная клаустрофобия, эпилепсия, шизофрения - только с согласия соответствующего врача;
наличие металлических вставок, протезов или других элементов после металлоостеосинтеза в зоне сканирования - эти моменты важно согласовать до исследования, так как они могут затруднить описание.
Подготовка к КТ-исследованию
Перед любым исследованием важна подготовка к нему, однако перед КТ голеностопа она минимальна - достаточно прийти вовремя и взять с собой все медицинские документы, касающиеся области исследования, чтобы наш врач-диагност мог оценить всю картину в комплексе. Обследование не предполагает боли, не требуется соблюдения диетических режимов или предварительной сдачи анализов. КТ голеностопа может проводиться сразу в день записи.
Проведение КТ голеностопного сустава в Санкт Петербурге.
В этом месяце действует специальная цена на КТ голеностопа - процедуру можно пройти всего за 2450 рублей.
Результаты проведённого исследования можно получить в виде цифровой записи на предоставленный нашим центром CD-носитель либо, при желании, распечатать на пленке. Врач, проводивший исследование, проконсультирует после получения результатов и подскажет, требуют ли выявленные изменения дальнейшего лечения или все в порядке.
Читайте также:
