Виды легочной гипертензии. Классификация легочной гипертензии
Добавил пользователь Евгений Кузнецов Обновлено: 01.11.2025
В отделении кардиологии Юсуповской больницы созданы все необходимые условия для лечения пациентов с легочной гипертензией. Она возникает у пациентов, страдающих заболеваниями, характеризующимися прогрессирующим повышением легочного сосудистого сопротивления и давления в легочной артерии, которое приводит к развитию правожелудочковой сердечной недостаточности и преждевременной смерти пациентов. Кардиологи устанавливают диагноз в соответствии с Российскими рекомендациями по диагностике и лечению легочной гипертензии. Уровень среднего давления в легочной артерии устанавливают в покое и при физической нагрузке или по данным катетеризации правых отделов сердца. Для оценки прироста давления в легочной артерии на высоте физической нагрузки проводят специальные исследования.
При обнаружении тех или иных патологических изменений, которые указывают на наличие легочной гипертензии, кардиологи Юсуповской больницы проводят электрокардиографию, векторкардиографию, фонокардиографию с помощью новейшей аппаратуры. Причину легочной гипертензии уточняют с помощью рентгенографии органов грудной клетки, выполненной с использованием аппаратуры с высокой разрешающей способностью, чреспищеводной Эхокардиографии, допплерографии. Верификацию диагноза проводят верификацию диагноза с помощью катетеризации правых отделов сердца проводят больных с мягкой легочной гипертензией по данным допплеровского исследования, которые имеют второй или третий функциональный класс, для определения тактики лечения. С помощью острых фармакологических проб определяют потенциальный эффект лечения антагонистами кальция.
Для лечения больных легочной гипертензией кардиологи применяют новейшие антикоагулянты, сердечные гликозиды, проводят кислородотерапию с помощью современных аппаратов. Поддерживающая терапия проводится пероральными антикоагулянтами и дезагрегантами, диуретиками, сердечными гликозидами. Специфическое лечение заключается в терапии простаноидами, антагонистами рецепторов эндотелина, ингибиторами фосфодиэстеразы 5-го типа.
Чтобы предотвратить возникновение пневмонии, которая является основной причиной летального исхода у больных легочной гипертензией, кардиологи рекомендуют пациентам проводить вакцинацию от гриппа и пневмококковой инфекции. Если больные нуждаются в выполнении оперативного вмешательства под обезболиванием, анестезиологи отдают предпочтение эпидуральной анестезии, которая переносится больными легочной гипертензией лучше, чем наркоз.
Наши специалисты

Цены на услуги *
*Информация на сайте носит исключительно ознакомительный характер. Все материалы и цены, размещенные на сайте, не являются публичной офертой, определяемой положениями ст. 437 ГК РФ. Для получения точной информации обратитесь к сотрудникам клиники или посетите нашу клинику.
Легочная гипертензия
Легочная гипертония - это болезнь, которая связана с высоким давлением в артериях легкого, выше 25 мм рт. ст. Это тяжелое заболевание без своевременного и надлежащего лечения может вызвать повреждение правых отделов сердца. Повышенная нагрузка на стенки артерий легкого, вызывает утолщение стенок, которые становятся плотными и не могут расширяться, чтобы пропустить необходимое количество крови. Это влечет за собой снижение количества проходящей по артериям крови. Повышается нагрузка на правые отделы сердца, что приводи к постепенному ослабеванию мышц сердца и влечет за собой появление такого осложнения как сердечная недостаточность.
Повышенное давление в артериях легкого относится к редким заболеваниям, которым болеют люди любых возрастов, но чаще встречается у людей, которые имеют другие заболевания сердца или легких. Для выявления причин возникновения легочной гипертензии врачи Юсуповской больницы используют современное оборудование, что позволяет в краткие сроки выставить точный диагноз и начать правильное лечение. При развитии тяжелых симптомов легочной гипертонии Юсуповская больница готова принять пациента в любое время.
Палаты интенсивной терапии оснащены всем необходимым для оказания экстренной помощи людям с тяжелым течением заболевания. Специалисты Юсуповской больницы имеют высшую категорию и научную степень, постоянно повышают свою квалификацию в лучших зарубежных клиниках, что дает возможность применять самые современные методы и оборудование для лечения симптомов легочной гипертонии.

Причины и факторы риска легочной гипертензии
Легочная гипертензия разделяется на пять групп, что зависит от первопричины возникновения:
- Первая группа: легочная артериальная гипертензия (ЛАГ).
Заболевание вызвано изменениями в мелких ветвях артерий легкого. Стенки артерий становятся толстыми и жесткими, уменьшая пространство для прохождения крови и повышая кровяное давления. В редких случаях ЛАГ может передаваться по наследству. Данный тип легочной болезни называют наследственным. Употребление наркотиков или определенных токсинов, расстройство функции щитовидной железы, серповидноклеточная анемия могут вызвать развитие ЛАГ. Заболевания, а именно: склеродермия, ВИЧ, цирроз печени (портальная гипертензия), системная красная волчанка или врожденные нарушения в структуре сердца, являются провоцирующими факторами формирования ЛАГ.
- Вторая группа: легочная гипертензия, связана с поражением левых камер сердца.
Считается, что проблемы с левыми отделами сердца являются наиболее частой причиной легочной гипертонии. Поражение митрального и аортального клапанов приводит к нарушению функции левого желудочка.
- Третья группа: Легочная гипертензия, связана с заболеванием легких.
Хроническое обструктивное заболевание легких (ХОЗЛ), фиброз легких (замещение ткани легкого рубцовой тканью), затрудняют получение достаточного количества кислорода, апноэ во время сна, люди, которые находятся на большой высоте, имеют повышенный риск развития заболевания.
- Четвертая группа: легочная гипертензия, вызванная тромбами в ветвях артерий легкого.
Тромбы, которые длительно находятся в артериях легких, блокируя или нарушая прохождение крови (тромбоэмболия артерий легкого), вызывает развитие хронической тромбоэмболической легочной гипертензией.
- Пятая группа: Легочная гипертензия, связанная с другими заболеваниями, которые мнение распространенные, а именно: саркоидоз - заболевание, которое вызывает воспаление различных органов, в том числе легких, сжатие артерий легкого опухолью.
Синдром Эйзенменгера - врожденная болезнь сердца, которая провоцирует повышение давления в артериях легкого. Это связано с нарушением целостности перегородки, которая расположена между желудочками, наличие отверстия в перегородке нарушает нормальную циркуляцию крови в сердце. Это вызывает смешивание обогащенной кислородом крови с кровью, которая бедная на кислород. Из-за дефекта в межжелудочковой перегородке нарушено кровообращение и кровь, которая должна была распространиться по всему организму, возвращается в легкое, тем самым вызывая повышенное давление в артериях легких.
Риск возникновения легочной гипертензии повышается у людей следующих категорий:
- страдающих избыточной массой тела,
- страдающих одним из заболеваний, которое может спровоцировать развитие легочной гипертензии,
- имеющих семейный анамнез данного заболевания,
- употребляющих наркотики,
- употребляющих препараты для снижения аппетита.
Симптомы легочной гипертензии
Легочная гипертензия имеет такие симптомы:
- прерывистое дыхание,
- общую слабость,
- головокружение,
- обморок,
- боль в груди (стенокардия),
- учащение сердцебиения,
- кашель,
- асцит (скопление жидкости в животе),
- отек нижних конечностей,
- бледность губ и конечностей (акроцианоз).
Симптомы усиливаются при выполнении упражнений, что вызывает ограничение в активности пациента.
Осложнения легочной гипертензии:
- увеличение размеров сердца (утолщение стенок правого желудочка),
- формирование сгустков крови,
- тромбоэмболия артерий легкого,
- развитие аритмии,
- кровотечение из легких.
Диагностика легочной гипертензии
На ранней стадии легочная гипертония трудно поддается диагностике, потому что симптомы похожи на симптомы других болезней легкого или сердца. Для выявления легочной гипертонии врачи Юсуповской больницы пользуются современным оборудованием, что позволяет точно выставить правильный диагноз. На первом визите, врач расспрашивает пациента по поводу семейного анамнеза и факторов риска, проводит сбор жалоб по поводу данной болезни.
Для выявления легочной гипертонии используют современный аппарат ЭхоКГ - данный метод обследования позволяет определить размеры сердца, толщину и функцию правого желудочка. Исследование позволяет выявить начальные изменения в сердце, и заподозрить развитие легочной гипертонии на ранних стадиях. Выполнение эхокардиографии до и после физической нагрузки дает возможность определить, насколько хорошо работает сердце и легкие в условиях физической нагрузки.
Выполнение рутинных методов обследования, таких как рентгенография органов грудной полости, электрокардиография позволяет выявить структурные изменения в легких, сердце, определить аномальный ритм сердца, признаки расширения или деформации правого желудочка.
Для установки диагноза и степени тяжести легочной гипертонии, специалисты Юсуповской больницы проводят катетеризацию правых отделов сердца. Процедура включает в себя постановку тонкого катетера в вену шеи, руки или паха, постепенно продвигая, достигают полости правого желудочка, а затем и полости легочной артерии. Исследование позволяет измерить давление в артериях легкого и правом желудочке и установить правильный диагноз.
Кардиологи Юсуповской больницы широко применяют новый аппарат компьютерной томографии для выявления структурных изменений в сердце и для обнаружения тромбов в артериях легкого. Магнитно-резонансная томография дает возможность проверить функцию правого желудочка и кровоток в артериях легкого. Для определения объема и функции легких используют спирометрию. Для определения нарушений в работе сердца, активности мозга, уровня кислорода во время сна, используют полисомнографию.
При наличии легочной гипертонии у членов семьи врач Юсуповской больницы может порекомендовать выполнить генетический тест, это позволит определить наличие генов, связанных с развитием легочной гипертензии.
Все обследования выполняются на новом, высококачественном оборудовании, это позволяет выявить заболевания на начальных этапах. В Юсуповской больнице разработаны программы по обследованию людей, имеющих риск развития легочной гипертонии. Записаться на консультацию к кардиологу можно на сайте Юсуповской больницы.

Лечение
Сегодня нет такого метода лечения, который позволит вылечить легочную гипертензию. Но правильно подобранным лечением возможно контролировать развитие нежелательных проявлений легочной гипертонии и улучшить качество жизни пациента. Для подбора оптимальной схемы лечения, нужно некоторое время, чтобы выполнить коррекцию дозы препаратов.
В Юсуповской больнице пациенты находятся под круглосуточным наблюдением врача, для вызова медсестры в палатах размещены специальные кнопки, что дает возможность постоянно контролировать состояние здоровья пациента. На начальных проявлениях врачи Юсуповской больницы занимаются лечением болезни, которая вызвала легочную гипертензию. Для лечения легочной гипертонии применяются самые современные препараты. Это дает возможность добиться стабильного течения заболевания на длительный промежуток времени. В лечении используют препараты, расширяющие сосуды легкого, антикоагулянты, мочегонные препараты, кислородная терапия.
Если консервативное лечение не дает ожидаемого эффекта, применяется хирургические методы лечения, в частности, предсердная септикостомия. Это хирургический метод лечения на открытом сердце; хирург создает отверстие между правым и левым предсердиями, что позволит снизить давление на правые отделы сердца. Пересадка сердца или доли легкого может иметь хорошие результаты в лечении молодых пациентов, которые имеют легочную артериальную гипертензию. Но оперативное лечение имеет риск развития послеоперационных осложнений, таких как: нарушение сердечного ритма, отторжение трансплантанта, инфицирование. Для лечения тяжелых больных Юсуповская больница предоставляет комфортные палаты интенсивной терапии, которые оснащены современным оборудованием. Уход за тяжелобольными выполняют опытные медсестры и сиделки.
Что такое умеренная и артериальная легочная гипертензия
Конечно, многие жители нашей планеты даже не знают о данном заболевании, но легочная гипертензия — серьезный и опасный недуг, требующий незамедлительного лечения при первых же «звонках» данного вида гипертонии. Данная болезнь представляет собой патологическое состояние, характеризующееся скачком кровеносного давления в артериях легочного бассейна. К основным причинам недуга пациентов, у которых обнаруживают данный тип гипертонии, относят аномалию строения артерий в органах дыхания, в результате чего происходит сужение просвета в одном из сосудов. В связи с этим у больного наблюдается постоянное увеличение кровеносного давления в бассейне легких.
Все вышеперечисленные факторы влияют на то, что сначала наблюдается уплотнение стенок правого желудочка, а далее у многих пациентов диагностируется его правожелудочковая недостаточность, часто приводящая к скорой смерти. Статистика говорит, что легочная артериальная гипертензия диагностируется чаще у представительниц прекрасного пола среднего возраста, мужчины на треть реже страдают от указанного недуга. Самым страшным является то, что указанное лёгочное заболевание протекает без ярких симптомов, поэтому диагностируют этот вид гипертензии уже в запущенных стадиях, когда наблюдаются приступы отека органов дыхания, наступление гипертонического криза, либо происходит кровохарканье из разрыва капилляров. Поэтому так важно знать, что это такое — легочная гипертензия и ее симптомы.
Классификация заболевания
Специалисты выделяют четыре типа указанного заболевания, которые зависят от тяжести течения патологии вышеуказанной болезни.

Классификация легочной гипертензии:
- легочная гипертензия 1 степени характеризуется тем, что пациент не испытывает никаких неприятных ощущений при умеренной двигательной активности, у него не наблюдается одышка, отсутствуют болевые ощущения в районе груди, нет слабости или сильной усталости;
- умеренная легочная гипертензия представляет собой картину, когда при небольшом увеличении привычной физической активности отсутствуют вышеперечисленные признаки заболевания, а при значительном увеличении двигательной активности появляется легкое головокружение, одышка, пациент быстро устает;
- в третьей степени легочной гипертензии даже незначительная нагрузка вызывает болевые ощущения, головокружение и одышку;
- четвертая степень заболевания характеризуется тем, что вышеуказанные признаки могут проявляться у пациента даже в состоянии покоя.
Также легочная гипертензия имеет классификацию по течению указанного заболевания легких, она подразделяется на течение в остром и хроническом периоде. Острая форма чаще наступает в результате перенесенного инфаркта миокарда либо гипертонического криза, также спровоцировать острую стадию может в результате тромбэмболии легочной артерии и т.д. Хроническая гипертензия развивается на фоне повышения кровеносного давления в левом предсердии, в результате обструктивных легочных заболеваний, а также по иной причине, вызывающей сужение артерии в легких.
Причины данного вида гипертензии
Все ее причины связаны с патологиями, при которых наступает резкое сужение легочной артерии.
Указанную гипертонию вызывают как первичные (врожденные) аномалии работы легких, так и вторичные, т.е. связанные с иными заболеваниями.
Повышенное кровеносное давление в легочной артерии могут вызываться по различным причинам, основные факторы, повышающие давление в легких:
- сердечная недостаточность;
- тяжелые заболевания печени;
- васкулиты;
- патологии дыхательной системы;
- различные врожденные заболевания сердца;
- нарушения обмена веществ;
- апноэ;
- синдром заболевания легочной гипертензии часто наблюдает у проживающих в высокогорных районах;
- различные патологии крови и кровеносных сосудов;
- некоторые аутоиммунные заболевания;
- ВИЧ, СПИД;
- редкие генетические аномалии.
Как видно, развивается легочная гипертензия из-за причин различного характера.
Симптомы
Как упоминалось выше, симптомы легочной гипертензии сложно определить на ранних стадиях развития, данное заболевание легких может протекать бессимптомно и выявляется уже через длительное время. Самые первые симптомы не имеют яркой специфики и могут напоминать признаки других патологий дыхательной или сердечно-сосудистой системы.
Все указанные факторы не позволяют диагностировать ее на начальных стадиях развития.
Основные признаки легочной гипертензии:
- первый симптом заболевания — одышка, которая вначале возникает при повышении физической нагрузки, а с течением заболевания наблюдается и в состоянии покоя пациента;
- постоянное чувство усталости;
- навязчивый кашель;
- частые головокружения;
- обморочные состояния;
- если диагностирована легочная гипертензия поздно что порой ведет к разрыву капилляров в легких и появляется кровохарканье, также отмечаются сильные отеки ног, асцит.
Заболевание у детей
Бывают случаи, когда диагностируется легочная гипертензия у новорожденных, ее проявление обуславливается врожденными пороками сердца, также играет значительную роль в развитии данного заболевания у ребенка наследственный фактор.
Нередко легочная гипертензия у детей возникает на фоне перенесенных болезней дыхательной системы: пневмонии, бронхита, осложнений после гриппа или ОРВИ.
Первым симптомом того, как проявляется легочная гипертензия новорожденных является возникновение одышки, реже заболевания начинается с обмороков.
В остальное течение болезни у новорожденного протекает схоже с клинической картиной взрослого пациента.
Осложнения заболевания
Наиболее частым осложнением легочной гипертонии и у новорождённых, и у взрослых является развитие сердечной недостаточности правого желудочка, которая сопровождается мерцательной аритмией. При более тяжелом течении болезни может развиться тромбоз легочных артериол.
Также осложнения при легочном заболевании увеличивает риск развития гипертонического криза, который сопровождается приступами удушья, особенно в ночное время, может развиться отек легких, сильный кашель с приступом кровохарканья.
При этом гипертонический криз может закончиться непроизвольным опорожнением мочевого пузыря или актом дефекации.
А в результате тромбэмболии артерии лёгкое может перестать выполнять свою функцию, что ведет к летальному исходу пациента.
Диагностика
При диагностике указанного заболевания используются следующие методы исследования:
- рентгенография легких позволяет выявить увеличение легочной артерии и увидеть ее аневризму;
- УЗИ сердца определяет толщину его стенок, а допплерография может выявить нарушение кровообращения;
- ЭКГ эффективна на ранних стадиях развития заболевания, данный метод исследования позволяет определить первые признаки правожелудочковой гипертрофии;
- спирография помогает определить степень дыхательной недостаточности у пациента;
- для обнаружения патологии также используется пульмональная томография;
- также исследования включают в себя общий и биохимический анализ крови.
Некоторые специалисты, проводят тест на ходьбу в течение 6 минут, таким образом врач может определить, какую физическую нагрузку выдерживает больной.
А для исследования легочных тканей у пациентов применяют биопсию, однако указанное дорогостоящее исследования проводят только в специализированных клиниках.
А чтобы произвести замер насыщения кислородом крови врач может ввести катетер в полость сердца, данная диагностика проводится при выявлении вторичной гипертензии.
Прогноз выживаемости пациентов
Теперь вы знаете, что такое легочная гипертензия, это опасное заболевание, которое в случае осложнения ее течения может привести к летальному исходу. По последним исследованиям, специалисты выявили, что без лечения срок жизни пациента составляет не более 2-2,5 лет. К сожалению, и с должной терапией прогноз данного вида гипертонии неутешителен, после проведения медикаментозного лечения пациент может прожить не более 5-6 лет, с каждым годом нарастает сердечная недостаточность.
Больные, у которых данная болезнь развивается на фоне врожденного порока сердца обычно не доживают и до 35 лет.
Однако, чтобы продлить себе годы жизни, лечить легочную гипертензию нужно, существует несколько способов лечения и профилактики заболевания.
Прежде чем мы поговорим о том, как лечить данное заболевание легких, перечислим все признаки, при обнаружении которых необходимо срочно обратиться к врачу-пульмонологу:
- если появляется сильная одышка при выполнении физических нагрузок в повседневном режиме, нехватка воздуха нарастает в результате увеличенного объема двигательной активности;
- возникновение болей непонятного характера за грудиной;
- постоянное чувство сонливости или появление хронической усталости;
- наблюдаются сильные отеки нижних конечностей.
Если при проведении детального исследования диагностируется легочная гипертензия то лечение, которое может назначить врач включает:
- Благоприятный прогноз для пациентов, у которых была на ранних стадий выявлена указанное легочное заболевание, означает что у больного еще есть шанс избавиться от недуга навсегда. В таких случаях врач назначает курс вазодилатирующих препаратов, действие которых направлено на расслабление гладкомышечного слоя сосудов. К таким средствам относятся Нифедипин, Празозин.
- Для снижения вязкости крови назначаются препараты: ацетилсалициловая кислота, Дипиридамол.
- Кислородная терапия.
- Часто производится вакцинация для профилактики ОРВИ и иных инфекционных заболеваний.
- Врачом пациенту назначается диета, при которой ограничивается потребление соли, также контролируется уровень выпиваемой жидкости (во всех ее видах), до полутора литров в сутки.
- Лечение легочной гипертензии у пациентов женского пола подразумевает применений контрацептивов, т.к. беременность и последующие роды могут сильно осложнить течение указанного заболевания, вплоть до летального исхода.
- При диагностировании болезни врач может запретить любые физические нагрузки.
- Также используются методы оперативного лечения, самым частым является трансплантация легких или сердца.
Что же касается методов народной медицины, то при данном виде заболевания они неэффективны, а могут только усугубить течение болезни из-за аллергической реакции на какой-либо компоненты народного рецепта.
Иногда пациенты могут применять грудные сборы для уменьшения кашля, но только крайне осторожно, лучше начать прием отвара с одной чайной ложки.
Также в редких случаях используются мочегонные средства, чтобы убрать сильные отеки ног.
Однако специалисты рекомендуют не использовать народное целительство при указанном типе гипертонии. Ведь если не сделать диагностику вовремя и упустить начальные стадии развития болезни, можно навсегда потерять шанс на выздоровление. Поэтому при первых же признаках легочной гипертонии необходимо незамедлительно обращаться к компетентному врачу-пульмонологу.
Профилактика
Каждому человеку можно существенно снизить риск развития данного заболевания легких. Для этого необходимо пациентам с различными степенями легочной гипертензии соблюдать несколько правил:
- отказаться от вредных привычек (табакокурение, чрезмерное употребление алкоголя), придерживать правил здоровое питания;
- каждое утро выполнять легкие физические упражнения;
- регулярно проходить профилактические осмотры у врача-пульмонолога;
- если у человека наблюдаются хронические заболевания дыхательной системы, необходимо строго следить за их течением;
- должна быть регулярная двигательная активность в умеренном режиме;
- также необходимо исключать ситуации, которые могут подвергать человека сильном и длительному стрессу (конфликты в семье, на работе).
Но самое главное, что должен помнить любой пациент, причины легочной гипертензии — самые разнообразные, и при первых же «звоночках» этого коварного недуга нужно в экстренном порядке обратиться к квалифицированному специалисту для прохождения детального обследования. Ведь только при диагностировании заболевания на ранних стадиях есть высокие шансы на успешное выздоровление, при выявлении недуга на поздних стадиях в 50% случаев ведет к летальному исходу в течение 5 лет после возникновения данного вида гипертензии. И ни в коем случае не занимайтесь самолечением, грамотное комплексное лечение может подобрать только врач, дозировка тех или иных лекарственных препаратов зависит от степени тяжести заболевания и типа сопутствующих патологий.
Что такое легочная гипертензия?
Легочная гипертензия - опасное для жизни состояние, вызванное сужением легочных артерий. В медицинской практике существует как самостоятельное заболевание, но чаще - это следствие тяжелых заболеваний сердца или легких. Хотя заболевание «легочная гипертензия» (ЛГ) было описано более 100 лет назад, до сих пор нет исчерпывающего объяснения патогенеза.
Процесс выявления заболевания занимает достаточно длительный период времени: от первой консультации до постановки диагноза проходит в среднем два года. При этом одна из форм - идиопатическая - приводит к смерти в течение 3 лет, если не предпринимать никаких мер. Поэтому требуется незамедлительное обращение к специалисту при возникновении первых симптомов. Тщательное обследование позволит назначить курс лечения, в который могут входить диуретические средства.

Общие сведения
У здорового человека давление в легочной артерии находится в пределах 20 мм рт. ст. Согласно определению, давление в легочной артерии выше 25 мм рт. ст. называется легочной гипертензией. Значения от 20 до 24 мм рт. ст. представляют собой «серую зону», для которой в настоящее время нет адекватного определения. Различают две формы заболевания: острую и хроническую.
Хроническая или изолированная развивается идиопатическим путем (чрезвычайно редкое заболевание с частотой 1-2 случая на миллион), то есть без видимой причины.
Острая возникает в результате массивной тромбоэмболии легочной артерии, пневмоторакса или тяжелого приступа астмы. Без экстренной медицинской помощи застой крови в правом желудочке создает большую нагрузку на сердечную мышцу, что приводит к острой сердечной недостаточности и смерти.
Это состояние провоцирует ряд факторов:
- пороки сердца, приобретенные сердечные заболевания, вызывающие необратимое скопление крови в легких;
- аутоиммунные болезни (склеродермия, красная волчанка);
- инфекции (ВИЧ, шистосомоз); ;
- подавители аппетита, амфетамины.
При длительном воздействии ЛГ на организм нарушается регуляция роста клеток в кровеносных сосудах. Поскольку сосудисто-активные вещества-посредники вместе с другими факторами создают благоприятные условия для сильного роста эндотелиальных и гладкомышечных клеток, стенки сосудов утолщаются, что сужает кровоток.
В долгосрочной перспективе мышцы также превращаются в соединительную ткань. Кровеносные сосуды теряют эластичность, перестают перенаправлять временно увеличившийся кровоток. Это сокращает время, в течение которого кровь вступает в контакт с богатым кислородом воздухом. Результат - гипоксия.
Типы легочной гипертензии
В 2013 году после Всемирной конференции по легочной гипертензии в Вене международная группа ученых дополнила клиническую классификацию типов легочной гипертензии. Каждому типу соответствуют определенные критерии, симптомы и сопоставимый ответ на лекарственную терапию.
- Легочная артериальная гипертензия, в частности, идиопатическая форма. Изменения происходят исключительно в легочной сосудистой сети.
- Легочная гипертензия, вызванная болезнями левых отделов сердца.
- Легочная гипертензия, вызванная заболеванием легких и/или недостатком кислорода (гипоксия).
- Хроническая тромбоэмболическая легочная гипертензия (ХТЛГ) - заболевание развивается в результате часто повторяющихся тромбоэмболий легочной артерии. Исследования показали, что около 25% людей с ХТЛГ не имели ранее клинических симптомов тромбоэмболии легочной артерии.
- Легочная гипертензия с неясным или многофакторным механизмом.
Легочная гипертензия все еще слишком редко распознается несмотря на значительные достижения в диагностике. Клиническая картина развивается очень медленно, а основные признаки схожи с аналогичными симптомами других заболеваний легких.
Симптомы обычно незаметны и проявляются только тогда, когда потеряно более 60% сосудистого русла легких. Одышка (особенно одышка, связанная с физической нагрузкой) - частый ранний симптом, но не ключевой. Другими симптомами являются усталость, снижение работоспособности, боль в груди, повторяющиеся обмороки во время упражнений и приступов кашля, кровохарканье (возможно при всех формах легочной гипертензии) и головокружение.
На поздних стадиях характерны отек ног, асцит, защемление шейных вен, гепатомегалия и цианоз, которые также являются признаками декомпенсации правых отделов сердца.
В дополнение к клинической классификации Нью-Йоркская ассоциация здравоохранения разделила легочную гипертензию на четыре функциональных класса в зависимости от степени тяжести.
- Класс I - без ограничения физических нагрузок. Типичные симптомы - усталость, одышка, боль в груди, слабость - отсутствуют при обычных физических нагрузках.
- Класс II - умеренные ограничения физической активности. Симптомы возникают при обычной деятельности, в состоянии покоя - отсутствуют.
- Класс III - значительные ограничения физической активности. Даже незначительная активность вызывает усталость и одышку, в состоянии покоя симптомы отсутствуют. Насыщение крови кислородом составляет около 60%. На данном этапе существует острая необходимость в терапии.
- Класс IV - недостаточность правых отделов сердца, физические нагрузки запрещены. Сатурация ниже 50%.
Исследование сердца (эхокардиография) позволяет измерить кровяное давление в малом круге кровообращения и исключить такие заболевания, как слабость сердечной мышцы. Диагноз «легочная гипертензия» ставится только при положительном результате катетеризации правых отделов сердца.
Рентген грудной клетки идентифицирует до 90% случаев. Клиническая картина - резкие изменения диаметра легочных кровеносных сосудов с расширенными центральными легочными артериями и потерей периферических кровеносных сосудов. Также просматривается увеличение правого предсердия и/или желудочка.
Еще один информативный способ диагностики - спиральная компьютерная томография с внутривенным введением контрастного вещества. КТ особенно подходит для оценки паренхимы легких и сосудов вокруг сердца.
Анализ крови применяется и для диагностики легочной гипертензии. На поздней стадии, связанной с врожденным пороком сердца или гипоксемией, анализ крови показывает полиглобулию и гематокрит > 50%.
Для оценки изменения функциональных возможностей проводят тест с 6-минутной ходьбой и эргометрию.
Для оценки успешности лечения используется исследование гемодинамики.
Лечение легочной гипертензии
В случае одышки и других тяжелых симптомов основное внимание уделяется симптоматическому лечению. В этих случаях применяют терапию кислородом и диуретиками для дренирования. Реабилитация с помощью дыхательной гимнастики и лечебной физкультуры помогает восстановить и поддерживать качества жизни после повреждения легких.
Для лечения легочной гипертензии рекомендуется длительная кислородная терапия не менее 16 часов в день. Эффективность данного метода доказана исследованиями: благодаря терапии пациенты могут пешком преодолевать большие расстояния, вести активную общественную жизнь, самостоятельно заботиться о себе.
Кислородная терапия
Кислородная терапия представляет собой подачу концентрированного кислорода с помощью специального устройства - кислородного концентратора. Устройство работает от электричества и фильтрует кислород из воздуха. Таким образом, содержание кислорода в воздухе, подаваемом через носовую канюлю, увеличивается до 96%. Преимущество концентраторов состоит в том, что они не требуют дозаправки. Бывают стационарные и мобильные концентраторы: стационарные подходят для ночного использования, небольшие портативные устройства можно использовать в дороге, а заряжать от прикуривателя.
Кроме этого, для кислородной терапии используются системы с жидким кислородом, который заправляется из бытового бака в небольшие емкости весом 2-6 кг, а также газовые баллоны.
Медикаментозная терапия
- Антикоагулянты - назначаются для устранения тромботического поражения сосудов. Препараты снижают частоту венозных обструкций.
- Диуретики - выводят лишнюю жидкость из организма, скапливающуюся из-за сердечной недостаточности.
- Кальциевые блокаторы - блокируют всасывание кальция клетками, в долгосрочной перспективе способствуют расширению кровеносных сосудов.
- Синтетический простациклин и аналоги простациклина обладают сосудорасширяющим, антипролиферативным, противовоспалительным и антикоагулянтным действием. Препараты предназначены для пациентов только с III и IV стадиями.
Хирургия
Пересадка легких. Если лекарственная терапия безуспешна, трансплантация легких - последний вариант. Средняя продолжительность жизни после трансплантации составляет 5 лет. Операция довольно опасна, так как успешными бывают только 45% случаев из 100%.
Легочная эндартерэктомия - хирургическое удаление пробок, закупоривающих легочные сосуды. Возможна установка баллонного катетера. В зависимости от центра поражения хирургическая летальность составляет от 5 до 24%.
Септостомия предсердий - показана при правосторонней сердечной недостаточности и частых обмороках. Цель - снизить конечное диастолическое давление в правом желудочке.
Легочная гипертензия

Легочная гипертензия — это заболевание, при котором давление крови в артериях легких (легочные артерии) является патологически высоким.
Многие заболевания могут вызвать легочную гипертензию.
Обычно люди испытывают одышку даже при незначительной физической нагрузке и упадок сил, а некоторые люди даже при легкой физической нагрузке чувствуют головокружение или утомляемость.
Данные рентгенологического исследования органов грудной клетки, электрокардиографии (ЭКГ) и эхокардиографии подсказывают вероятный диагноз, но для его подтверждения требуется измерение давления в правом желудочке и легочной артерии.
Полезным является лечение, направленное на устранение причины, и применение лекарственных препаратов, которые улучшают кровоток в легких.
Кровь движется от правой стороны сердца через легочные артерии в мелкие кровеносные сосуды легких (капилляры), где из крови удаляется углекислый газ и она обогащается кислородом. Как правило, давление в легочных артериях низкое, что позволяет правой стороне сердца быть менее мускулистой, чем левая сторона (поскольку для проталкивания крови сквозь легкие через легочные артерии необходимо относительно небольшое количество мышц и усилий). В противоположность этому, левая сторона сердца содержит больше мышечной массы, поскольку она должна проталкивать кровь через весь организм, преодолевая гораздо более высокое давление.
Если давление крови в легочных артериях возрастает до достаточно высокого уровня, то это заболевание называется легочной гипертензией. При легочной гипертензии правая сторона сердца должна работать более активно, чтобы проталкивать кровь через легочные артерии. Со временем правый желудочек утолщается и расширяется, и развивается легочное сердце Легочное сердце Легочное сердце — расширение и утолщение правого желудочка сердца в результате сопутствующего заболевания легких, которое является причиной легочной гипертензии (высокого давления в легких). Прочитайте дополнительные сведения , приводя к правосторонней сердечной недостаточности Легочная гипертензия .
Причины легочной гипертензии
Согласно современной классификации, легочная гипертензия делится на 5 групп в соответствии с причиной болезни:
легочная артериальная гипертензия;
левосторонняя сердечная недостаточность;
заболевания легких или низкий уровень кислорода в крови;
хроническое заболевание, которое приводит к образованию сгустков крови;
Легочная артериальная гипертензия может быть вызвана многими разными заболеваниями. Иногда она возникает без очевидной причины (идиопатическая). Женщины страдают от идиопатической легочной гипертензии в два раза чаще, чем мужчины, и средний возраст постановки диагноза составляет примерно 35 лет. Недавно было установлено большое количество генетических мутаций в семьях с этим заболеванием (наследственное). Фактический механизм, с помощью которого эти наследственные генетические мутации вызывают легочную гипертензию, пока не известен. Ряд препаратов и токсинов, таких как фенфлурамин (и другие родственные лекарственные препараты для снижения веса), амфетамины, кокаин и селективные ингибиторы обратного захвата серотонина (СИОЗС), были идентифицированы как факторы риска легочной артериальной гипертензии. Если СИОЗС принимают беременные женщины после 20-й недели беременности, риск развития легочной гипертензии у новорожденного выше нормы. Легочная артериальная гипертензия также может развиться у людей с некоторыми заболеваниями, например, с портальной гипертензией Портальная гипертензия Портальная гипертензия представляет собой аномально повышенное давление в воротной вене (крупная вена, несущая кровь от кишечника в печень) и ее ветвях. Цирроз (рубцевание, которое деформирует. Прочитайте дополнительные сведения , ВИЧ-инфекцией Инфекция, вызванная вирусом иммунодефицита человека (ВИЧ) Вирус иммунодефицита человека (ВИЧ) — это вирус, который постепенно разрушает некоторые лейкоциты и может привести к развитию синдрома приобретенного иммунодефицита (СПИД). ВИЧ-инфекция передается. Прочитайте дополнительные сведения (склеродермией).
Левосторонняя сердечная недостаточность Легочная гипертензия — одна из наиболее частых причин легочной гипертензии. Левосторонняя сердечная недостаточность может возникать у людей с длительным повышением артериального давления Повышенное артериальное давление Повышенное артериальное давление (гипертензия) — это состояние, при котором артерии постоянно подвергаются чрезмерно высокому давлению крови. Часто причину повышения артериального давления определить. Прочитайте дополнительные сведения . Когда левая половина сердца не в состоянии надлежащим образом перекачивать кровь по организму, кровь застаивается в легких и повышает там давление. Неспособность сердца надлежащим образом расслабиться также может привести к накоплению крови в легких, что способствует развитию легочной гипертензии.
Заболевания легких или низкие уровни кислорода в крови также могут быть причиной легочной гипертензии. Когда легкие повреждены заболеванием, требуется больше усилий для перекачивания крови через них. Одним из наиболее распространенных заболеваний является хроническая обструктивная болезнь легких (ХОБЛ Хроническая обструктивная болезнь легких (ХОБЛ) ). Со временем ХОБЛ разрушает в легких небольшие воздухоносные мешочки (альвеолы) вместе с их мелкими кровеносными сосудами (капиллярами). Единственной важной причиной легочной гипертензии при ХОБЛ является сужение легочных артерий, которое развивается в результате низкого уровня кислорода в крови. Другие факторы, которые снижают уровни кислорода в крови, например, синдром апноэ во сне Синдром апноэ во сне Синдром апноэ во сне — это серьезное заболевание, при котором дыхание неоднократно останавливается на достаточно продолжительное время, нарушая сон; часто из-за этого временно понижается уровень. Прочитайте дополнительные сведения , легочной гистиоцитоз из клеток Лангерганса Легочной гистиоцитоз из клеток Лангерганса Легочной гистиоцитоз из клеток Лангерганса — это заболевание, при котором клетки, называемые «гистиоцитами» и «эозинофилами» (разновидности лейкоцитов), размножаются в легких, часто вызывая. Прочитайте дополнительные сведения (гранулематоз) и чрезмерная потеря легочной ткани в результате хирургического вмешательства или травмы.
Некоторые хронические заболевания могут становиться причиной повторного (хронического) образования сгустков крови, обычно в глубоких венах ног (тромбоз глубоких вен Тромбоз глубоких вен (ТГВ) Тромбоз глубоких вен — это образование сгустков крови (тромбов) в глубоких венах, как правило, ног. Сгустки крови могут образовываться в венах при повреждении вены, нарушениях свертываемости. Прочитайте дополнительные сведения К заболеваниям, которые могут вызывать легочную гипертензию посредством других механизмов, относятся болезни крови (гематологические; например, хроническая гемолитическая анемия, миелопролиферативные заболевания Общее описание миелопролиферативных новообразований При миелопролиферативных новообразованиях (миело = костный мозг, пролиферативный = быстро размножающийся, новообразование = новое патологическое образование) кроветворные клетки костного мозга. Прочитайте дополнительные сведения и спленэктомия), системные заболевания (например, саркоидоз Саркоидоз Саркоидоз — это заболевание, при котором патологические скопления воспалительных клеток (гранулемы) образуются во многих органах тела. Саркоидоз обычно развивается у людей в возрасте от 20 до. Прочитайте дополнительные сведенияОдышка при физической нагрузке является наиболее частым симптомом легочной гипертензии, который развивается практически у всех, кто страдает от этого заболевания. Некоторые люди чувствуют предобморочное состояние или утомляемость при физической нагрузке. Человек, скорее всего, чувствует слабость, поскольку ткани организма не получают достаточно кислорода. Другие симптомы, такие, как кашель (изредка с кровохарканьем) и свистящие хрипы, обычно вызваны основным заболеванием легких. Отек, особенно ног, может возникнуть из-за просачивания жидкости из кровеносных сосудов в ткани. Отек обычно является признаком того, что развилась правосторонняя сердечная недостаточность. В редких случаях у людей с легочной гипертензией возникает охриплость.
Легочная гипертензия после тромбоэмболии

Хроническая тромбоэмболическая легочная гипертензия - форма легочной гипертензии, при которой хроническая закупорка крупных и средних ветвей легочных артерий приводят к прогрессирующему повышению легочного сосудистого сопротивления и давления в легочной артерии с нарушением функции правых отделов сердца и последующей сердечной недостаточности. Данный вариант является уникальной формой легочной гипертензии, поскольку она потенциально излечима с помощью хирургического лечения.
Диагноз тромбоэмболической легочной гипертензии чаще устанавливается в возрасте 45-60 лет. Средний возраст российских пациентов на момент установления диагноза по данным Национального регистра составляет 45,8 лет. Считается, что распространенность патологии в популяции среди женщин и мужчин равномерная. Заболевание неуклонно прогрессирует и при отсутствии полноценного лечения приводит к гибели пациентов в течение нескольких лет.
Лечение в Инновационном сосудистом центре
В нашей клинике лечение постэмболической легочной гипертензии проводистя эндоваскулярными методами - это балонная ангиопластика сужений легочных артерий. Подобный подход позволяет значительно снизить риск хирургического вмешательства (летальность при открытых операциях составляет около 10%), улучшить качество и продлить жизнь пациентов на длительный срок.
Проведению операции предшествует датальное обследование и дооперационная оценка, которая позволяет точно установить клиническую форму заболевания и возможности его эндоваскулярного лечения. Наша клиника является уникальным учреждением, выполняющим подобные вмешательства тяжелым больным с легочной гипертензией.
Причины и факторы риска
Основной причиной тромбоэмболической легочной гипертензии является тромботическая закупорка легочных артерий, которая возникает после эпизодов тромбоэмболии (отрыва тромбов) из вен конечностей или внутренних органов. Неодостаточное рассасывание тромботических масс в легочных артериях приводит к их постепенному зарастанию и изменениям всей системы легочного кровообращения. Развивается повышение давления в легочной артерии, развитие недостаточности правого желудочка, застою крови в венах и формированию тяжелой сердечной недостаточности.
Изменения легочных артерий при формировании легочной гипертензии можно условно разделить на два компонента. Первый компонент включает изменения крупных сосудов до уровня субсегментарных ветвей. Патологические поражения представлены в виде организованных тромбов, плотно прикрепленных к сосудистой стенке легочных артерий эластического типа. Они могут полностью закрывать просвет или образовать различные степени стеноза, сети и тяжи. Второй компонент- это изменения мелких легочных сосудов и микрососудистого русла.
Преобладание изменений в крупных артериях свидетельствует о "классической" - форме постэмболической легочной гипертензии, которые возможно эффективно лечить хирургическими методами. Доминирование второго компонента характерно для дистальной формы заболевания, которая считается неоперабельной.
Прогрессирование заболевания
Отеки нижних конечностей, асцит, снижение аппетита, выраженная слабость свидетельствуют о дисфункции правого желудочка, нарастании недостаточности трехстворчатого клапана. Для оценки динамики течения заболевания и эффективности проводимой терапии необходимо количественно оценивать толерантность к физическим нагрузкам (функциональный класс, тест 6-минутной ходьбы).
Функциональный резерв кровообращения постепенно снижается, что приводит к развитию осложнений в других органах и системах и постепенно ведет к неблагоприятному исходу.
Осложнения
Постепенно развивается сердечная недостаточность в большом круге кровообращения, которая проявляется увеличением печени и селезенки, значительным отеком нижних конечностей, накоплением жидкости в животе (асцит), которое может достигать очень больших степеней и вызывать дополнительные нарушения дыхания.
Крайняя степень правожелудочковой недостаточности приводит к скоплению жидкости во всех тканях и органах большого круга кровообращения (анасарка), постепенно развивается недостаточность функции внутренних органов (цирроз печени, почечная недостаточность).
Прогноз при легочной гипертензии
При отсутствии лечения прогноз заболевания неблагоприятный и зависит от степени легочной гипертензии. По данным зарубежных исследований десятилетняя выживаемость больных с неоперированной постэмболической легочной гипертензией составляет 5 - 20% и зависит от степени повышения давления в легочной артерии. Своевременное восстановление проходимости легочных артерий стабилизирует и улучшает состояние больных. У успешно оперированных пациентов прогноз соответствует среднему по популяции.
Преимущества лечения в клинике
![Сцинтиграфия легких]()
Жалобы и симптомы
Одышка инспираторного характера выражена в различной степени: от минимальной, возникающей при интенсивной нагрузке,до имеющей место в покое и при незначительных усилиях. Она отмечается у 98% больных на момент установления диагноза легочной гипертензии. Как правило, с течением болезни одышка прогрессивно нарастает. Приступов удушья обычно не наблюдается.
Боли в груди отмечаются у 28% пациентов обычно имеют неопределенный характер: давящие, ноющие, колющие, сжимающие; без четкого начала, продолжительностью от нескольких минут до суток. У ряда пациентов могут появляться приступы напоминающие стенокардию, что может маскировать ишемическую болезнь сердца и даже острый инфаркт миокарда.
Головокружения и обмороки отмечаются у 10% больных с тромбоэмболической легочной гипертензией чаще всего после физической нагрузки.
Кашель отмечается у 38% больных. Он связан как с застойными явлениями, так и с присоединением воспалительных изменений в легких.
Кровохарканье наблюдается у 18% больных.
Функциональная классификация легочной гипертензии
отсутствует ограничение физической активности. Обычная физическая активность не вызывает появление одышки, слабости, боли в грудной клетке, головокружения
некоторое снижение физической активности. Обычная физическая активность сопровождается появлением одышки, слабости, боли в грудной клетке, головокружения
выраженное ограничение физической активности. Небольшая физическая активность вызывает появление одышки, слабости, боли в грудной клетке, головокружения
неспособность выполнять любую физическую нагрузку без вышеперечисленных клинических симптомов. Одышка или слабость могут присутствовать даже в покое, дискомфорт возрастает при минимальной нагрузке
Опрос и осмотр пациента
Следует выяснить были ли у пациента эпизоды тромбозов глубоких вен, внезапных отеков ног, тромбофлебиты. У многих больных прослеживается семейный анамнез внезапной смерти, сердечно-сосудистой патологии и повышенной наклонности к тромбообразованию.
Объективным доказательством перенесенной тромбоэмболии легочной артерии (ТЭЛА) становится совпадение по времени клиники тромбоза вен нижних конечностей и появления одышки. В ближайшие месяцы после ТЭЛА у больных можно выявить период, когда состояние остается стабильным и малосимптомным. Это связано с тем, что правый желудочек справляется с нагрузкой и позволяет сохранить хорошую переносимость физических нагрузок до момента развития прогрессирующего ремоделирования легочных сосудов. Практически единственным надежным доказательством перенесенной ТЭЛА могут стать данные перфузионной сцинтиграфии или компьютерной томографии легких, проведенной во время острого эпизода ТЭЛА.
При общем осмотре пациентов с ХТЭЛГ может определяться синюшность (цианоз). При развитии правожелудочковой сердечной недостаточности отмечаются набухшие шейные вены, увеличение печени, периферические отеки, водянка живота.
Неинвазивная диагностика
Электрокардиография(ЭКГ) выявляет признаки гипертрофии и перегрузки правого желудочка, дилатации и гипертрофии правого предсердия (p-pulmonale), отклонение электрической оси сердца вправо.
Рентгенография органов грудной клетки позволяет уточнить этиологию ЛГ: выявить интерстициальные заболевания легких, приобретенные и врожденные пороки сердца, а также судить о тяжести ЛГ. Основными рентгенологическими признаками ЛГ являются выбухание ствола и левой ветви легочной артерии, которые формируют в прямой проекции II дугу по левому контуру сердца, расширение корней легких, увеличение правых отделов сердца. У больных постэмболической легочной гипертензией можно выявить признаки, указывающие на наличие тромбов в крупных ветвях легочной артерии (ЛА)- расширение ствола и главных ветвей ЛА, симптом деформации и укорочения корня. Специфическим признаком является обеднение легочного рисунка в зоне нарушенного кровоснабжения.
Эхокардиография (ЭхоКГ) - УЗИ сердца считается наиболее ценным неинвазивным методом диагностики ЛГ, так как не только позволяет оценить уровень давления в легочной артерии, но и дает важную информацию о причине и осложнениях ЛГ. С помощью этого метода можно исключить поражения митрального, аортального клапанов, болезни миокарда, врожденные пороки сердца с шунтированием крови, приводящие к развитию ЛГ. К сожалению, метод не позволяет дифференцировать постэмболической легочной гипертензии от других форм прекапиллярной ЛГ. Исключение составляют редкие случаи наличия массивных тромбов в стволе и основных ветвях ЛА в непосредственной близости от бифуркации.
Установление клинического класса и верификация диагноза
Легочные функциональные тесты позволяют выявить обструктивные или рестриктивные изменения с целью дифференциальной диагностики ЛГ и уточнения тяжести поражения легких. Для больных характерно уменьшение диффузионной способности легких в отношении монооксида углерода (40-80% от нормы), небольшое или умеренное снижение легочных объемов, нормальное или незначительно сниженное PaO2 и обычно сниженное из-за альвеолярной гипервентиляции PaСO2.
Вентиляционно-перфузионная сцинтиграфия легких является методом скрининга для исключения хронической тромбоэмболии как причины легочной гипертензии. У больных после тромбоэмболии обнаруживаются дефекты перфузии в долевых и сегментарных зонах при отсутствии нарушений вентиляции. Перфузионная сцинтиграфия исторически стала одним из первых методов обнаружения дефектов перфузии легочной паренхимы при ТЭЛА. Изображения, получаемые при острой ТЭЛА и ХТЭЛГ, существенно различаются. Дефекты перфузии при острой ТЭЛА более четко очерчены и резко контрастируют с нормально функционирующей тканью. При ХТЭЛГ дефекты перфузии очерчены не четко и часто не соответствуют зоне кровоснабжения крупной легочной артерии.

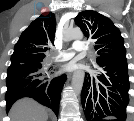
Компьютерная томография и КТ-ангиопульмонография
Основными задачами ангиографической диагностики являются определение степени тяжести легочной гипертензии, уточнение характера поражения легочного русла посредством ангиопульмонографии, выявление/исключение коронарной болезни. Проведение катетеризации в изолированном виде без качественной ангиопульмонографии у больного с четкими признаками ХТЭЛГ нецелесообразно. Это исследование должно дать четкую информацию врачам для решения вопроса об операбельности больного и тяжести его состояния. Гемодинамическими критериями постэмболической легочной гипертензии, выявляемыми при катетеризации правых отделов сердца, являются: среднее давление в легочной артерии (ДЛА) выше 25 мм рт. ст., давление заклинивания легочной артерии (ДЗЛА) ≤ 15 мм рт. ст., ЛСС > 2 ЕД. по Вуду (160 дин. сек см- 5 ) при наличии множественных стенозирующих и/или окклюзирующих поражений ветвей легочной артерии различного калибра.
Читайте также:
- Зубная боль. Реактивные изменения препарирования зубов
- Появление III и IV тона сердца при тиреотоксикозе. Гиперфункция миокарда при тиреотоксикозе
- Синдром Эванса (Evans)
- Велосипед спасет от варикоза и инфаркта. Чем полезно катание на велосипеде?
- Требования к местной механической вентиляции. Общая механическая вентиляция

