Ретинобластома у детей: клиника, диагностика
Добавил пользователь Евгений Кузнецов Обновлено: 21.01.2026
Ретинобластома - злокачественная опухоль сетчатой оболочки глаза (рак сетчатки). Заболевание является врожденным и чаще всего диагностируется у детей, однако выявить его сразу после рождения ребенка достаточно сложно. Обычно опухоль сетчатки обнаруживается в два года, когда происходит пик заболевания. Практически 98% случаев ретинобластомы диагностируется до пяти лет.
Данный вид рака распространен по всему миру. С этим заболеванием рождается примерно один из 20 тыс. детей. При этом, мальчики и девочки болеют одинаково часто. В 20-30% случаев болезнь носит билатеральный характер, поражая оба глаза. Характерно, что подобные случаи, выявляются значительно раньше.
Причины ретинобластомы
Среди причин развития ретинобластомы, принято выделять наследственные и внешние факторы. При этом, в соответствии с причиной, определяют 2 формы заболевания:
- Наследственная ретинобластома составляет примерно 60-70% случаев и носит генетический характер. У родителей, в детстве болевших ретинобластомой, дети тоже рождаются с этим недугом. Данная форма заболевания развивается достаточно быстро, как правило, поражая оба глаза, и со временем, проникая в ближайшие ткани. Наследственную ретинобластому, обычно сопровождает «букет» других пороков развития, таких как кортикальный детский гиперостоз, расщелина нёба, пороки сердца и предрасположенность к возникновению опухолей в остальных тканях и органах.
- Спорадическая ретнобластома возникает случайно, как результат неблагоприятного воздействия экологической среды и генномодифицированных продуктов. В случае этой формы заболевания, поражается обычно только один глаз. Проявляется спорадическая опухоль намного позже наследственной и лечится проще.
Симптомы заболевания
В своем развитии ретинобластома глаза проходит 4 стадии заболевания:
Стадия покоя. Симптоматика заболевания на данной стадии определяется лишь при тщательном офтальмологическом осмотре, когда можно выявить «кошачий глаз» или лейкокорию (белый зрачковый рефлекс, обусловленный просвечиванием опухоли через зрачок) и потерю бокового и центрального зрения, иногда сопровождающихся косоглазием.
Стадия глаукомы. Ретинобластома на этой стадии проявляется: слезотечением, светобоязнью, гиперемией глаза, уевитом, иридоциклитом. Кроме того, возникает местный болевой синдром, отток жидкости затрудняется, увеличивается уровень ВГД. Как правило, эта стадия характеризуется формированием вторичной глаукомы.
Стадия прорастания. Эта стадия сопровождается экзофтальмом, или выпячиванием (смещением глаза). При этом, наблюдается прорастание опухоли в придаточные пазухи, а также полости между оболочками головного мозга ребенка.
Стадия метастазирования. Проникновение метастазов в печень, кости и головной мозг, приводит к ухудшению общего состояния больного: появляется общая слабость, возникает интоксикация, головные боли.
Диагностика
В связи с тем, что симптом «кошачьего глаза», потеря зрения и косоглазие - проявления довольно заметные, рак сетчатки глаза достаточно легко диагностируется на первых стадиях развития. Квалифицированный офтальмолог выявляет опухоль даже весьма маленького размера.
Для оценки распространенности опухоли, назначаются следующие диагностические исследования:
- Магнитно-резонансная и компьютерная томография пораженного глаза (глаз).
- Пункция головного мозга (с целью выявления степени поражения);
- Рентген легких;
- УЗИ брюшной полости (с целью выявления очагов метастаз);
- Анализ мочи и крови (с целью оценки работы внутренних органов).
У детей ретинобластома нередко сопровождается сбоями функций других органов, поэтому в комплекс диагностических мероприятий включают консультации с неврологом и ЛОР-врачом.
Дети, чьи родители перенесли в детстве рак сетчатки, должны браться с рождения под особый контроль, ввиду того, что заболевание передается по наследству.
Лечение ретинобластомы
Раковая опухоль сетчатки лечится сообразно стадии заболевания, с применением следующих методов:
- Лучевой терапии;
- Оперативного вмешательства;
- Лекарственной химиотерапии;
- Криотерапии;
- Лазерной коагуляции сетчатки;
- Термотерапии.
При верном сочетании всех вышеуказанных методов, зачастую удается достичь успеха и сохранить зрение глаза. При поражении опухолью обоих глаз, то для каждого из них подбирается отдельный метод лечение в соответствии с показаниями.
Очень часто, ретинобластому у детей лечат посредством лучевой терапии. Подобный вид опухоли весьма чувствителен к воздействию радиолучей. В этой связи, метод считается достаточно эффективным, правда, высокие дозы излучения могут привести к возникновению катаракты и вторичных опухолей костей. Локализованная лучевая терапия делает риск подобных осложнений значительно ниже.
Специалисты отдают предпочтение консервативному лечению ретинобластомы. Так опухоли, локализованные в передней области сетчатки, размер которых не превышает 7мм, лечат криотерапией. Поражения задних отделов, величиной до 4мм - фотокоагуляцией. Возможно также применение термотерапии - воздействия на пораженный участок ультразвуковым и инфракрасным излучениями.
В случае обширного поражения опухолью, присоединившейся глаукомы и невозможности восстановления зрения, как правило прибегают к хирургическому удалению глаза, с последующим протезированием.
Наличие массивного поражения и региональных метастаз, с инвазией зрительного нерва, требует назначения химиотерапии с сочетанием цитостатиков.
Профилактика и прогнозы
При своевременной диагностике ретинобластомы на ее ранней стадии, существует возможность излечения заболевания при помощи лучевой терапии, фоокоагуляции, криотерапии (органосохраняющие методы). Хирургическое удаление глаза, также обеспечивает излечение, правда оставляет косметический дефект, сопровождающийся дискомфортом.
При таких осложнениях ретинобластомы у детей, как: инвазия хориоидальной оболочки, прорастание опухоли в ЗН и экстрасклеральное распространение новообразования, прогноз заболевания неутешительный.
В качестве эффективной профилактики рака сетчатки глаза необходимо проводить обязательные офтальмологические обследования с начала жизни ребенка, особенно, если в семье встречалось данное заболевание.
Обратившись в Московскую Глазную Клинику, каждый пациент может быть уверен, что за результаты хирургического вмешательства будут ответственны высококвалифицированные рефракционные хирурги - одни из лучших российских специалистов в данной области. Уверенности в правильном выборе, безусловно, прибавит высокая репутация клиники и тысячи благодарных пациентов. Самое современное оборудование для диагностики и лечения заболеваний глаз, одни из лучших специалистов и индивидуальный подход к проблемам каждого пациента - гарантия высоких результатов лечения в Московской Глазной Клинике.
Ретинобластома
Ретинобластома - злокачественное внутриглазное новообразование, развивающееся из нейроэктодермы сетчатки и встречающееся преимущественно у детей раннего возраста. Для клиники ретинобластомы характерна потеря центрального и бинокулярного зрения, боль, лейкокория, развитие косоглазия, экзофтальма, вторичного воспаления и глаукомы. Обследование при подозрении на ретинобластому включает исследование зрения, измерение внутриглазного давления, осмотр глазного дна, проведение УЗИ глаза, рентгенографии орбиты и придаточных пазух носа, КТ головного мозга, люмбальной пункции. Пациентам с ретинобластомой выполняется фотокоагуляция, криотерапия опухоли; при невозможности сохранения органа зрения - энуклеация пораженного глаза с последующим глазопротезированием.
Общие сведения
Ретинобластома - злокачественное новообразование детского возраста, поражающее сетчатку, сосудистую оболочку глаза, орбиту и часто дающее отдаленные метастазы. На долю ретинобластомы приходится 2,5-4,5% случаев всех злокачественных новообразований у детей до 15 лет. В большинстве случаев ретинобластома развивается в возрасте до 5 лет, пик заболеваемости приходится на 2-3 года. В офтальмологии опухоль с одинаковой частотой встречается у девочек и мальчиков.
В 50-60% случаев ретинобластомы имеют генетическое (врожденное) происхождение. Более половины детей с ретинобластомой рождается от родителей, имевших в детстве аналогичное заболевание. Врожденная ретинобластома обычно выявляется у детей в возрасте до 30 месяцев. В этом случае ретинобластома, как правило, сочетается с другими врожденными аномалиями - пороками сердца, расщелинами неба («волчьей пастью»), кортикальным детским гиперостозом и др. У больных с генетической формой ретинобластомы имеется повышенный риск развития злокачественных новообразований другой локализации.
Спорадические случаи ретинобластомы встречаются реже и возникают по неизвестным причинам. К числу факторов риска негенетической формы ретинобластомы принято относить высокий возраст родителей, их занятость на металлургических производствах, неблагоприятные экологические и алиментарные факторы, вызывающие аберрации в хромосомах ретинальных и половых клеток. Данная форма опухоли проявляется у детей более старшего возраста и крайне редко - у взрослых.
Современные воззрения на гистогенез ретинобластомы позволяют ее отнести к опухолям нейроэктодермального происхождения. Ретинобластома может исходить из клеток любого ядерного (зернистого) слоя сетчатки. При микроскопическом исследовании определяются отсутствие стромы, очаги некроза и кальцификаты, разная степень дифференцировки опухолевых клеток.
Для ретинобластомы характерен быстрый рост, метастазирование по зрительному нерву в головной мозг, а также гематогенное распространение в костный мозг и трубчатые кости.
Классификация ретинобластомы
По происхождению ретинобластомы делятся на наследственные и спорадические. Наследственные ретинобластомы обычно поражают одновременно оба глаза. Спорадические ретинобластомы, как правило, поражают один глаз и развиваются локально, с образованием единичного (унилатерального) опухолевого узла.
По степени дифференцировки опухолевых клеток различают дифференцированную форму опухоли - ретиноцитому и недифференцированную форму - ретинобластому, которая встречается чаще и является более злокачественной.
Ретинобластома может иметь эндофитный тип роста в направлении центра глазного яблока: при этом происходит разрушение слоев сетчатки и стекловидного тела. При другом варианте роста - экзофитном, ретинобластома инфильтрирует сетчатку, распространяясь в субретинальное пространство. Экзофитные опухоли могут вызывать отслойку сетчатки и скопление транссудата в субретинальном пространстве. В редких случаях (1-2%) встречается инфильтративная форма ретинобластомы, которая ведет к диффузному истончению сетчатки, накоплению экссудата в передних отделах глаза, развитию передних спаек и псевдогипопиона.
Согласно клинической классификации ретинобластомы по системе TNM, выделяют степени развития первичной опухоли:
- Т1 - ретинобластома занимает до 25% глазного дна
- Т2 - ретинобластома распространяется на площадь более 25%, но менее 50% поверхности сетчатки
- ТЗ - ретинобластома распространяется более чем на половину сетчатки или выходит за ее пределы, но сохраняет интраокулярное расположение
- Т4 - ретинобластома выходит за пределы орбиты.
- N1 - имеются метастазы в регионарных (околоушных, подчелюстных, шейных) лимфоузлах.
- Ml - определяются отдаленные метастазы ретинобластомы в головном мозге, костном мозге, костях, печени и др. органах.
Симптомы ретинобластомы
В клиническом течении ретинобластомы различают четыре последовательные стадии.
I - стадия покоя. В этом периоде субъективные симптомы отсутствуют. При осмотре пораженного глаза выявляется лейкокория (симптом «кошачьего глаза») - белый зрачковый рефлекс, обусловленный просвечиванием опухолевой массы через зрачок. К ранним признакам ретинобластомы относят потерю центрального и бинокулярного зрения, вследствие чего может развиваться косоглазие.
II - стадия глаукомы. Сопровождается воспалительными явлениями в глазу - гиперемией, светобоязнью, слезотечением, развитием иридоциклита и увеита. На фоне опухолевой инвазии отмечается локальный болевой синдром. Разрушение ретинобластомой трабекулярного аппарата приводит к затруднению оттока ВГЖ, увеличению внутриглазного давления и возникновению вторичной глаукомы.
III - стадия прорастания. Характеризуется развитием экзофтальма различной степени выраженности, инвазией мягких тканей орбиты и разрушением ее стенок, прорастанием ретинобластомы в придаточные пазухи и субарахноидальное пространство.
IV - стадия метастазирования. Протекает с выявлением отдаленных диссеминированных очагов в костном мозге, печени, трубчатых костях, головном мозге, костях черепа. Распространение ретинобластомы происходит по мягкой мозговой оболочке, зрительному нерву, лимфогенным и гематогенным путем. На этой стадии страдает общее состояние пациента: развивается интоксикация, слабость, мозговые симптомы (тошнота, рвота, головная боль).
Диагностика ретинобластомы
Дети с семейным анамнезом ретинобластомы должны находиться под постоянным наблюдением офтальмолога. На развитие ретинобластомы обычно указывает триада симптомов: лейкокория, косоглазие, расширение зрачка с ослаблением его реакции на свет. При появлении данных признаков проводится тщательное офтальмологическое обследование ребенка, включающее биомикроскопию, прямую и обратную офтальмоскопию, визометрию, тонометрию, гониоскопию, исследование бинокулярного зрения, экзофтальмометрию, измерение угла косоглазия. При помутнении оптических сред важная роль в выявлении ретинобластомы принадлежит УЗИ глаза.
Интраокулярная биопсия может привести к диссеминации злокачественных клеток внутри глаза, поэтому к ее проведению прибегают только при наличии абсолютных показаний. Для оценки распространенности ретинобластомы используются рентгенография орбиты, рентгенография околоносовых пазух, КТ и МРТ головного мозга, сцинтиграфия печени, остеосцинтиграфия. Для оценки возможного отдаленного метастазирования прибегают к выполнению люмбальной пункции с исследованием цереброспинальной жидкости; пункции костного мозга и исследованию миелограммы.
В процессе диагностики ретинобластому следует дифференцировать от рубцовой ретинопатии, дисплазии сетчатки, гамартом, мягкотканных сарком, метастазов нейробластомы, поражений орбиты при лимфоме и лейкемии.
Дети с ретинобластомой должны быть проконсультированы неврологом и отоларингологом.
Лечение ретинобластомы проводится с учетом стадии опухолевого поражения. При этом может использоваться хирургическое вмешательство, лучевая и лекарственная химиотерапия, лазеркоагуляция, криотерапия, термотерапия. Правильное сочетание этих методов во многих случаях позволяет сохранить глаз и зрение. В случает двусторонней ретинобластомы, в отношении каждого глаза определяется дифференцированная тактика в зависимости от степени его поражения опухолью.
В настоящее время офтальмохирурги и офтальмоонкологи стремятся придерживаться максимально консервативного ведения ретинобластомы. При поражениях переднего участка сетчатки и диаметре опухоли до 7 мм прибегают к криодеструкции ретинобластомы; при поражении задних отделов и размерах опухоли до 4 мм показана фотокоагуляция. Возможно проведение термотерапии - комплексного воздействия на опухоль с помощью микроволновой терапии, ультразвукового и инфракрасного излучения.
При массивном внутриглазном поражении, развитии глаукомы, утрате и невозможности восстановления зрения прибегают к энуклеации глаза с последующим глазопротезированием. При экстраокулярном распространении ретинобластомы показана экзентерация глазницы.
Ретинобластома чрезвычайно чувствительна к лучевому лечению. Лучевая терапия при ретинобластоме позволяет добиться хороших результатов в сочетании с органосохраняющими и хирургическими методами лечения. При этом возможно как наружное дистанционное, так и контактное облучение с помощью аппликаций радиоактивных веществ. Осложнением лучевой терапии может являться развитие постлучевой катаракты, лучевого кератита, ксероза.
Химиотерапия в лечении ретинобластомы используется при массивном внутриглазном поражении, опухолевой инвазии зрительного нерва, региональных метастазах. Наиболее эффективным признано сочетание нескольких цитостатиков (винкристина, этопозида, карбоплатина).
Прогноз и профилактика ретинобластомы
При своевременной диагностике и выявлении ретинобластомы на ранней стадии возможно стойкое излечение пациента с помощью органосохраняющих методов - фотокоагуляции, криотерапии, лучевой терапии. При энуклеации глаза также наблюдается высокая выживаемость, однако данная операция сопровождается потерей глаза как органа зрения и образованием косметического дефекта. Факторами неблагоприятного прогноза ретинобластомы служат прорастание опухоли в зрительный нерв, инвазия хориоидальной оболочки, экстрасклеральное распространение опухоли, двустороннее поражение.
Для профилактики ретинобластомы необходимо медико-генетическое консультирование семей с наследственными случаями рака сетчатки, обследование детей раннего возраста из групп риска.
Ретинобластома: клиника, диагностика и лечение
Ретинобластома - эмбриональная детская опухоль сетчатки глаза. Среди всех детских злокачественных новообразований, поражающих глазное яблоко, ретинобластома имеет наибольшее распространение.
На протяжении последнего десятилетия частота выявления данной патологии увеличивается. В настоящее время встречаемость ретинобластомы составляет 1 случай на 10-20 тысяч живых новорожденных.
Шестьдесят процентов выявленных опухолей являются ненаследственными (спорадическими); остальные 40% составляют наследственно-обусловленные формы.

Около 90% случаев ретинобластомы диагностируются до 3 лет. Пик заболевания - 2 года. Заболевание одинаково часто выявляется среди мальчиков и девочек.
Билатеральное (двухстороннее) поражение встречается у четверти больных наследственно-обусловленной формой. У 25% больных с наследственной формой заболевания встречается двухсторонняя (мед. - «билатеральная») локализация.
Причины. Роль наследственности в заболеваемости ретинобластомой.
Ген этого заболевания называется «ген Rb». Это один из первых открытых и более всего изученных генов, отвечающих за развитие онкологических заболеваний. Его характеристики:
- располагается в срединном отделе длинного плеча хромосомы 13q14.1;
- состоит из 27 экзонов;
- занимает 180000 пар нуклеотидов геномной ДНК;
- в норме экспрессируется в клетках всего организма.
Большая часть наследственных и спорадических фактов заболевания обуславливаются делецией в срединном участке длинного плеча хромосомы 13.
В 1971 году Knudson выдвинул гипотезу, согласно которой есть единый механизм формирования ретинобластомы - как наследственной, так и нет, - связанный с инактивацией или утратой двух аллелей гена Rb.
Когда происходит герминальная мутация, все ретинобласты гетерозиготного носителя уже обладают инактивированным аллелем Rb. Чтобы сформировалась ретинобластома, будет достаточно лишь одной телесной мутации, которая затронет оставшуюся копию гена. Переход Rb из гетерозиготного состояния в гомозиготное и является причиной инактивации двух аллелей Rb. Этим и инициируется злокачественное перерождение клетки.
Ненаследственная форма чаще всего проявляется односторонним новообразованием. Ее обнаруживают в 60% случаев. Возникает такая патология в первые 3 года жизни. Данная форма объясняется мутацией в двух аллелях RB1 гена, однако лишь в клетках сетчатки.
Двустороннее поражение может объясняться тем, что в половых клетках родителей присутствует непроявившаяся мутация. Ее они передали ребенку, и возникла болезнь. Также объяснить возникновение такой ретинобластомы можно мутацией de novo, происходящей на ранних стадиях развития эмбриона.
То есть, билатеральные формы патологии при спорадическом типе следует относить к врожденным формам.
Особенности клиники наследственных форм - это:
- ранний возраст заболевающих;
- многофокусность;
- двухстороннее расположение;
- мультицентрический рост новообразования с преобладанием смешанных и экзофитных форм;
- наличие у кого-то в семье такой же опухоли;
- молекулярные и хромосомные аномалии Rb гена.
Если в поколениях не было такого заболевания, характер опухоли односторонний и однофокусный, то можно предполагать, что мутация возникла в родословной впервые.
- сниженная острота зрения;
- лейкокория (вы можете увидеть на рис. 1 этот симптом, называемый также «кошачий глаз»), то есть свечение зрачка бело-желтым цветом, когда от поверхности опухоли отражается свет, это нередко заметно на фотографиях;
- косоглазие;
- ослабление прямой реакции зрачка на свет;
- расширение зрачка.

Рис. 1. Симптом «кошачьего глаза»
По мере того, как новообразование растет и распространяется, формируются: вторичная (на фоне основного заболевания) глаукома, буфтальм (у маленьких детей - увеличение глазного яблока), воспалительные изменения (иридоциклит, увеит). Когда возникает отек орбитальной клетчатки, есть вероятность выпячивания глаза (экзофтальма).
АВС (Амстердам)
В Амстердаме в 2001-м году предложили международную классификацию интраокулярной (внутриглазной) ретинобластомы. Главная цель этой классификации - определить четкие показания к тому, чтобы проводить органосохраняющую терапию. Если поражение двухстороннее, то классификация применяется отдельно к каждому глазу.
Клинические группы, в соответствии с классификацией:
- А - интраретинальные новообразования до 3 мм в размере, располагающиеся в 1,5 мм от диска зрительного нерва и более 3 мм от центральной ямки.
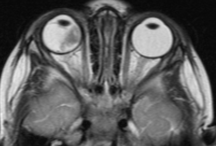
- В - остальные опухоли, располагающиеся отдельно, ограниченные сетчаткой с вероятным наличие субретинальной жидкости в не более чем 3 мм от основы опухоли, не сопровождающееся субретинальным обсеменением (рис. 2).
- С - раздельные опухоли с местным обсеменением стекловидного тела над новообразованием и субретинальным обсеменением в не более чем 3 мм от образования с вероятностью наличия жидкости в субретинальном пространстве в 3-6 мм от основания опухоли.
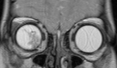
- D - рассеянные опухоли с крупными опухолевыми массами, разнокалиберными отсевами в стекловидном теле и/или субретинальном пространстве в более чем 3 мм от новообразования с субретинальной жидкостью более 6 мм от образования, включая полную отслойку сетчатки (рис. 3 и 4).
- Е - определяется одним из перечисленных ниже факторов неблагоприятного прогноза:
- новообразование прилегает к хрусталику;
- неоваскулярная глаукома;
- высыхание, утрата функции глаза (фтизис);
- кровоизлияние, ввиду которого утрачена прозрачность стекловидного тела;
- опухоль, располагающаяся кпереди от передней поверхности стекловидного тела и также захватывающая цилиарное тело и переднюю часть глаза;
- некротизированная опухоль с асептическим целлюлитом орбиты;
- ретинобластома в диффузной инфильтративной форме.
![]()
Применяются следующие клинические методы:
- сбор анамнеза;
- оценка жалоб ребенка;
- физикальный осмотр;
- инструментальные обследования.
Особое внимание врач обращает на наличие наследственного фактора.
Проводится окулистом с медикаментозным расширением зрачка. Врач осматривает глаз с боковым освещением, делает биомикроскопию, офтальмоскопию, тонометрию. Если обследуется совсем маленький ребенок, то применяется наркотический сон.
Является обязательным исследованием, в соответствии со стандартом обследования при таком заболевании. Одной из самых информативных методик признана УЗ-биолокация. Благодаря ей, выявляются плюс-ткани, и это позволяет отличить ретинобластому от отслойки сетчатки, эндофтальмита, фиброза стекловидного тела, ретролентальной фиброплазии.
Чтобы определить величину затухания УЗ в опухоли используют квантитативную эхографию. Для получения информации о динамике злокачественного процесса важное значение имеет УЗ-эхобиометрия. С ее помощью определяют степень проминенции (т. е. то, насколько оно выступающее) новообразования.
МРТ головного мозга и орбит
Магнитно-резонансная томография дает возможность в деталях увидеть распространение процесса за пределы глазного яблока и точно определить стадию болезни. Такое исследование нужно проводить всем пациентам, у которых ретинобластома диагностирована впервые. Контраст при МРТ повышает информативность.
![Визуализация ретинобластомы с помощью МРТ. Клиническая группа В]()
Рис. 2. Визуализация ретинобластомы с помощью МРТ. Клиническая группа В
![Визуализация ретинобластомы с помощью МРТ. Размеры образования соответствуют клинической группе D]()
Рис. 3. Визуализация ретинобластомы с помощью МРТ. Размеры образования соответствуют клинической группе D
![Визуализация ретинобластомы с помощью МРТ. Фронтальное изображение орбит. Клиническая группа D]()
Рис. 4. Визуализация ретинобластомы с помощью МРТ. Фронтальное изображение орбит. Клиническая группа D
Исследование спинномозговой жидкости, костного мозга
Проводится больным, у которых процесс достаточно сильно распространен, чтобы уточнить, есть ли дистантные (удаленные от очага) метастазы.
Цитология цереброспинальной жидкости при прорастании новообразований в субарахноидальное пространство позволяет обнаружить клетки опухоли.
Методы лечения
Сегодня самое пристальное внимание уделяется органосохраняющим методикам. Кроме местной и системной химиотерапии, лучевой терапии, если есть показания, применяются:- фотокоагуляция (удаление новообразования путем воздействия на него мощным световым потоком);
- криодеструкция (разрушение опухоли холодом);
- лазерная деструкция (удаление опухоли лазером).
Принципы органосохраняющей терапии при лечении ретинобластомы
- Больным из группы А проводят только местное лечение (лазерную коагуляцию, криодеструкцию, диатермокоагуляцию).
- Больным из группы В показано 6 курсов двухкомпонентной ПХТ (полихимиотерапии), а также дополнительно - одна из методик местного лечения (лазерная деструкция, криодеструкция, брахитерапия).
- Тем, кто относится к группам С и D, назначаются 6 курсов ПХТ, состоящей из трех компонентов. Лечение дополняют местной химиотерапией и, если существует необходимость, физическими способами деструкции опухоли.
Пациентам из группы Е показана энуклеация (то есть удаление глазного яблока, предполагающее также пересечение наружных глазных мышц и зрительного нерва). В течение 5-7 дней после хирургического вмешательства выполняют глазное протезирование. Подбор постоянного протеза осуществляется в течение 1,5 месяцев после операции.
Энуклеация глаза имеет четкие показания:
- пациент должен относиться к группе Е по амстердамской классификации АВС;
- двусторонняя форма заболевания, необратимая утрата функции одного глаза;
- отсутствие возможности после консервативного лечения оценить степень поражения глаза ввиду катаракты или кровоизлияния в стекловидное тело;
- если поражение обоих глаз зашло слишком далеко и нет шанса восстановить зрение, проводится двусторонняя энуклеация (удаляются оба глаза).
Хирургическое лечение сочетается с ПХТ, облучением, лазерной деструкцией и др.
ПХТ (консервативная терапия) после энуклеации
Показана в следующих случаях:
- прорастание опухоли в зрительный нерв и экстрабульбарное распространение;
- большие или множественные узлы новообразования, локализация опухоли в перипапиллярной зоне, интраокулярная диссеминация (распространение) процесса в радужку, стекловидное тело и др., вовлечение в злокачественный процесс хориоидеи и зрительного нерва.
Если имеет место ретроламинарное распространение образования, то ПХТ дополняется лучевым лечением.
Если опухоль прорастает до линии резекции зрительного нерва и/или имеет место экстрасклеральное распространение, то таких пациентов относят к группе высокого риска. Им показана дистанционная лучевая терапия в сочетании с ПХТ, а затем - высокодозная ПХТ с последующей аутотрансплантацией (пересадкой собственных) периферических стволовых клеток крови.Предлагаем ознакомиться с несколькими наиболее часто применяемыми схемами ПХТ, которые показаны при данном заболевании:
- «Циклофосфан» в дозировке 400 мг/м2 в день. Если вес ребенка - менее 12 кг, то дозировка рассчитывается как 13 мг на кг веса в сутки. Дни 1-5, внутривенно, капельно.«Карбоплатин» в дозировке 500 мг/м2. Если вес ребенка - до 12 кг, то рассчитывается как 12 мг на кг веса в сутки. 5-й день, внутривенно, капельно.
Локальная (местная) химиотерапия
Данная химиотерапия показана пациентам из групп С и D в сочетании с системной ПХТ. Методика заключается в том, что с помощью супертонкого катетера через внутреннюю сонную и бедренную артерию прямо в устье глазной артерии вводится цитостатический препарат под названием «Мелфалан». Перед этим проводится каротидная ангиография внутренней сонной артерии, чтобы визуализировать строение сосудов.
Химиотерапия «Мелфаланом» (селективная внутриартериальная) проводится через 3-4 недели после 1-го курса системной химиотерапии. Дозировка составляет 5-7,5 мг/м2:
- дозировка 5 мг/м2 показана, когда одновременно лечатся оба глаза;
- если поражен только один, то нужно вводить 7,5 мг/м2.
В стекловидное тело (мед. - «интравитреально») вводится 16 мкг «Мелфалана» (это 0,05 мл). Эта концентрация эффективна по отношению к опухолевым отсевам и безопасна.
Физические методы лечения
К ним относятся:
- лазерная деструкция;
- фотокоагуляция;
- криодеструкция;
- транссклеральная диатермокоагуляция.
Рассмотрим данные методики подробно.
Выполняется на аргоне, может применяться для терапии заболевания в 1-й стадии и при небольших опухолевых узлах. При двусторонних ретинобластомах для терапии оставшегося глаза данную методику применяют в комплексе с другими. Наиболее часто ее сочетают с облучением, химиотерапией. Обычно - на последних этапах лечения.
Преимущество такой технологии - выраженная реакция тканей, находящихся вблизи очага поражения. Это позволяет проводить лазерную деструкцию, когда опухоли располагаются рядом со зрительным нервом.
Сочетается с другими методиками (ПХТ, лучевым лечением и др.) на последних этапах терапии. Рекомендуется применять данный метод при 1-й стадии болезни и небольших опухолях: выстояние узла - до 8 мм, поражение глазного дна - до 25% площади.
Вначале формируют двойной вал коагулянтов вокруг образования, чтобы нарушить его кровоснабжение и создать хориоретинальный барьер. Когда пройдет 3-4 недели, начинают разрушающую коагуляцию («выпаривание») опухолевой ткани. Для этого нужно 2-7 сеансов с перерывом в 3-4 недели. В течение всего курса рассасываются кровоизлияния и отечность.
Методика противопоказана, когда:
- новообразование расположено близко к диску зрительного нерва и макулярной зоне;
- опухоль большая.
Показано применение этой методики в сочетании с фотокоагуляцией. Охлаждающими веществами выступают углекислый газ и жидкий азот.
- размер опухоли от 0,5 до 7 диаметра диска зрительного нерва, образование «вдается, вминается» (то есть «проминирует») на 3-3,5 мм.
Преимущество перед диатермокоагуляцией - меньшее повреждение склеры.
Данная методика направлена на то, чтобы разрушить сосуды, которые питают опухоль, а также коагулировать («выпарить») опухолевую ткань. Применяется в сочетании с фотокоагуляцией.
Показания ограничены только случаями неэффективности других методов. Это связано с малой эффективностью и выраженной послеоперационной реакцией у пациентов.Может проводиться в качестве профилактического воздействия после операции. Делается каждый день со 2-3-го послеоперационных дней. Разовая экспозиционная доза - 1,8 Гр, суммарная очаговая - 35-50 Гр. Курс терапии составляет 1-2 серии облучения с интервалом 1,5-2 месяца.
Чтобы профилактировать появление катаракты в зоне воздействия и лучевой кератит, при двусторонней форме заболевания по каплям вливают 2%-й только что приготовленный раствор «Цистеина» или 1%-й р-р «Тауфона» перед каждым сеансом. Дозировка - 2 капли 6 раз с интервалом 15 минут.
![]()
Наблюдение, объем и сроки обследования
При обнаружении болезни на ранних стадиях выживаемость достигает 100%.
После окончания лечения за детьми с этим заболеванием обеспечивается диспансерное наблюдение у окулиста в поликлинике и в онкодиспансере по месту жительства. Специалист (врач-окулист) должен осматривать ребенка 1 раз в 2 месяца в 1-й год после окончания терапии, а затем:
- во 2-й год - 1 раз в 3 месяца;
- в следующие 2 года - 1 раз в 6 месяцев;
- далее - 1 раз в год.
С такой же периодичностью должны проводиться и осмотры онкологом.
Офтальмологическое исследование проводится с медикаментозным расширением зрачка. Детей младшего возраста обследуют в состоянии наркотического сна.
Если в семье были случаи ретинобластомы, то впервые офтальмолог должен осмотреть ребенка еще в роддоме.
Больные постоянно состоят на учете.
Также под диспансерным наблюдением должны находиться маленькие дети, появившиеся на свет в семьях, в которых есть больные ретинобластомой.
![Ретинобластома: клиника, диагностика и лечение]()
![]()
Авторская публикация:
Иванова Светлана Вячеславовна
Врач-детский онколог, научный сотрудник, кандидат наук
НМИЦ онкологии им Н.Н. Петрова![]()
Под научной редакцией:
Кулева Светлана Александровна
Заведующий отделением, врач- детский онколог, ведущий научный сотрудник, профессор
НМИЦ онкологии им. Н.Н. ПетроваЧто вам необходимо сделать
Если вы хотите узнать побольше о бесплатных возможностях ФБГУ НМИЦ онкологии им. Н.Н. Петрова Минздрава России, получить очную или заочную консультацию по диагностике и лечению, записаться на приём, ознакомьтесь с информацией на официальном сайте.
Если вы хотите общаться с нами через социальные сети, обратите внимание на аккаунты в ВКонтакте и Одноклассники.
Ретинобластома у детей: клиника, диагностика
![«Надо всегда давать людям надежду». Заведующая детским онкологическим отделением Центра Светлана Александровна Кулева - о больных детях, их родителях и вере в лучшее]()
«Надо всегда давать людям надежду». Заведующая детским онкологическим отделением Центра Светлана Александровна Кулева - о больных детях, их родителях и вере в лучшее
Детский онколог борется за жизнь ребенка любыми способами и в большинстве случаев выигрывает эту битву со смертью. Детский рак давно перестал быть приговором. О.
Саркома Юинга: диагностика и лечение
Что такое саркома Юинга Саркома Юинга - злокачественное новообразование, поражающее, в первую очередь, костную ткань, реже может образовываться из.
Доктор, что это значит? Краткий онкологический словарь гематолога
Человек, столкнувшийся с диагнозом рак, постоянно находится в тесном контакте с врачом. Построение доверительных отношений между пациентом и доктором — важная.
Остеогенная саркома у детей
Остеогенная саркома — это высокоагрессивная злокачественная опухоль, клетки которой образуют так называемый опухолевый остеоид (незрелая костная ткань). Это.
Подростковый рак
Онкологическая заболеваемость среди подростков и молодых людей растет во всем мире. Ее структура отличается от таковой в других возрастных группах - по мере.
![Лейкозы у детей: симптомы, диагностика, лечение]()
Лейкозы у детей: симптомы, диагностика, лечение
Лейкозы относятся к большой группе злокачественных новообразований системы крови под названием «гемобластозы». Лейкоз (от греческого слова «leukos» —.
![Генетик НМИЦ детской онкологии им. Дмитрия Рогачева рассказал о наследственном раке у детей]()
Генетик НМИЦ детской онкологии им. Дмитрия Рогачева рассказал о наследственном раке у детей
Обмен опытом между врачами - один из аспектов успешного лечения онкологических пациентов. Специалисты НМИЦ онкологии им. Н.Н. Петрова регулярно проводят.
![Нейробластома]()
Нейробластома
Нейробластома - эмбриональная опухоль, возникающая в процессе внутриутробного или раннего постнатального периода жизни из стволовых нервных клеток -.
![Симптомы коронавируса у детей: что нужно знать родителям, чтобы предотвратить заражение онкобольного ребенка?]()
Симптомы коронавируса у детей: что нужно знать родителям, чтобы предотвратить заражение онкобольного ребенка?
В декабре 2019 года новая коронавирусная инфекция, впоследствии названная COVID-19, захватила провинцию Китая Хубей, город Ухань. Легкую и среднетяжелую форму.
![Юлия Уринова: «Никогда нельзя опускать руки, надо хвататься за любую возможность»]()
Юлия Уринова: «Никогда нельзя опускать руки, надо хвататься за любую возможность»
Пятилетний Никита Уринов, пациент детского отделения онкологии НМИЦ им. Н.Н. Петрова, завершивший лечение нейробластомы левого надпочечника 1,5 года назад, прошёл.
![Сергей Розенгард: «Выдержка — самое важное в нашей работе»]()
Сергей Розенгард: «Выдержка — самое важное в нашей работе»
Почти четверть жизни Сергей Аркадьевич Розенгард посвятил врачебной деятельности. В 1996 году он окончил Педиатрическую академию и начал свой профессиональный.
![Редкая профессия: детский онколог]()
Редкая профессия: детский онколог
Каждый день специалисты отделения химиотерапии и комбинированного лечения злокачественных опухолей у детей НМИЦ онкологии им. Н.Н. Петрова борются за жизнь.
![Ретинобластома: клиника, диагностика и лечение]()
Что такое ретинобластома? Ретинобластома - эмбриональная детская опухоль сетчатки глаза. Среди всех детских злокачественных новообразований, поражающих.
![Герминогенные опухоли у детей]()
Герминогенные опухоли у детей
К таким опухолям относятся злокачественные и доброкачественные образования, формирующиеся из первичных половых клеток. В период формирования и развития.
![Нефробластома]()
Нефробластома
UPD 13.04.2021 Нефробластома, или опухоль Вилмса - опухоль почки, составляет 6% от всех злокачественных опухолей детского возраста. Опухоль названа по фамилии немецкого.
Екатерина Викторовна Костромина: «Область применения ультразвукового исследования безгранична, и с каждым годом открываются новые возможности»
Ежегодно 29 октября врачи ультразвуковой диагностики отмечают свой профессиональный праздник. Часто именно от врачей этой специальности зависит своевременное обнаружение серьезного заболевания, а значит, и шансы на успешное его излечение. Мы поговорили с Екатериной Викторовной Костроминой, кандидатом медицинских наук, врачом ультразвуковой диагностики, врачом-рентгенологом, старшим научным сотрудником НМИЦ онкологии им. Н.Н. Петрова о том, что такое УЗИ, кому и когда его делать, надо ли к нему готовиться и почему наблюдаться в динамике лучше у одного врача-диагноста.
![]()
- Екатерина Викторовна, расскажите, пожалуйста, что такое УЗИ? На чем основан этот метод исследования?
- Ультразвуковое исследование - это неинвазивное, то есть без использования игл и хирургических инструментов, исследование органов и тканей, основанное на принципе эхолокации. Когда с помощью специального прибора происходит передача ультразвуковых волн в направлении исследуемой области, а они отражаются от стенок органов. Изображение, полученное в результате, выводится на экран монитора и позволяет делать выводы о состоянии этих органов. С помощью этого метода диагностируются большинство заболеваний органов брюшной полости, мочевыделительной системы, щитовидной железы, слюнных и молочных желез. Широко применяется УЗИ в гинекологии, урологии. Врачи могут обследовать практически любой орган или патологическое образование и их составляющие, оценить структуру, эластичность, однородность, положение в теле, кровоснабжение и множество других параметров.
- В чем отличие УЗИ от других методов диагностики, например, КТ, МРТ, рентгенологического исследования?
- УЗИ применяется в первичной диагностике. С его помощью хорошо визуализировать поверхностные органы, такие как молочная железа, щитовидная железа, поверхностно расположенные лимфатические узлы, в этих случаях диагностическая точность достаточно высокая. А при компьютерной томографии или магнитно-резонансной томографии мы видим уже распространенность опухолевого процесса. Но в отличие от КТ и МРТ, ультразвуковая диагностика не позволяет достаточно точно визуализировать первичные данные при исследовании толстой кишки и желудка, не позволяет детально рассмотреть патологию и изменения при распространенности процесса.
- В чем преимущества УЗИ как метода диагностики?
- УЗИ - это один из наиболее безопасных и доступных диагностических методов. Портативные модели ультразвуковых аппаратов позволяют проводить исследования даже у постели больного. Ультразвуковая диагностика обладает целым рядом достоинств. Это и высокая информативность, и абсолютная безвредность для пациента. Не выявлено ни одного противопоказания к произведению ультразвуковой диагностики. Отсутствие лучевой нагрузки дает возможность проводить неограниченное количество исследований. УЗИ позволяет диагностировать патологии на ранних стадиях развития и проводить динамическое наблюдение. Также немаловажно и то, что этим методом можно проводить диагностику у детей с первых дней жизни. Это достаточно простое в проведении исследование, которое дает быстрые результаты. Его можно записать на DVD-диск или обычную флешку, а полученные данные могут использовать другие специалисты на своих консультациях. Сегодня ультразвуковая диагностика - один из основных инструментов современной медицины, и заключения врачей ультразвуковой диагностики помогают врачам многих специальностей в постановке правильного диагноза. Область применения ультразвукового исследования безгранична и с каждым годом открываются новые возможности этого метода.
- У врачей УЗИ диагностики есть специализации?
- Есть врач ультразвуковой диагностики общей практики, когда один специалист может смотреть различные органы, поверхностные - молочную железу, лимфатические узлы, щитовидную железу, также органы брюшной полости и забрюшинного пространства, малого таза и сосудов. Специализация - это, как правило, акушерские приемы, исследование сердца, функциональная диагностика. Также есть специалисты, которые являются признанными экспертами в определенной области, например, опухоль молочной железы. То есть здесь подход, как правило, мультимодальный. Например, доктор является экспертом в интерпретации ультразвуковой диагностики, он же может визуализировать маммографические исследования, заниматься биопсией, интерпретировать МРТ. Есть врач лучевой диагностики, который совмещает в себе сертификацию ультразвукового врача и рентгенолога. В нашем отделении таких врачей достаточно много. Я занимаюсь диагностикой опухолей головы и шеи, могу интерпретировать и магнитно-резонансные сканы, чтобы оценить патологические объекты, которые мне интересны. У нас есть к.м.н. Екатерина Александровна Бусько, которая занимается мультимодальным подходом в изучении опухолей молочной железы. Есть к.м.н. Ирина Евгеньевна Мешкова, которая занимается патологиями малого таза, она также онколог-гинеколог. То есть многие наши врачи являются экспертами в своей нозологической единице. Наши молодые врачи Кадырлеев Роман Андреевич и Козубова Ксения Вячеславовна, также занимаются разработкой своих научных тем и написанием кандидатских диссертаций, думаю, мы скоро увидим их в рядах врачей-экспертов.
![]()
- Сложилась практика, когда врачи-специалисты делают УЗИ самостоятельно. В чем преимущества или недостатки?
- Чаще самостоятельно используют ультразвуковую диагностику гинекологи и урологи. Возможно, они могут не обладать такими знаниями, которые нужны для дифференциальной диагностики онкологических процессов. В то же время для пациента это удобно - он получает на одном приеме и осмотр, и первичное ультразвуковое исследование. А далее если ему нужны какие-то дополнительные методики, он будет направлен в специализированное онкологическое учреждение, где ему будет проведена уже дополнительная диагностика. Возможно, будет проведено еще одно УЗИ, а затем взяты биоматериалы и установлен или опровергнут диагноз.
- Как выбрать своего врача УЗИ, по каким критериям?
- Обычно на УЗ-исследование направляет клиницист. И, как правило, у него есть врач ультразвуковой диагностики, которому он доверяет и к которому направляет пациентов, поскольку хорошо знает его положительные и отрицательные диагностические качества. Чаще всего клиницисты - это оперирующие хирурги, и они знают, правильно ли конкретный врач ультразвуковой диагностики интерпретирует диагнозы, поэтому могут высказаться в пользу того или другого врача УЗИ. Также мы живем в эпоху глобальной информации - много социальных сетей, групп, сообществ, форумов, где пациент может почитать положительные или отрицательные отзывы о любом специалисте и решить, будет он наблюдаться у него или нет. Пациенты нередко сами рекомендуют своим друзьям и родственникам доктора, который, на их взгляд, не ошибся в их диагнозе или в результатах динамического наблюдения.
- Проводите ли вы УЗ- диагностику маленьким пациентам?
- Да, я занимаюсь в том числе и патологией детей. У меня есть наработки, когда дети вылечились в нашем учреждении, у них полная хорошая ремиссия, они полностью восстановлены после оперативных вмешательств. Они выросли, стали сами родителями и уже приводят своих детей на скрининг, потому что знают, что их патология может генетически отразиться и на ребенке. Речь идет, в первую очередь, об опухоли Вильмса (нефробластоме). Эти родители знают, что в первые три месяца жизни ребенка нужно посетить врача ультразвуковой диагностики.
- Отличается ли УЗИ исследования для взрослых пациентов от детей?
- Для работы с детьми необходимо знать анатомо-физиологические особенности ребенка от первых дней жизни до подросткового возраста. Также нужно обладать определенными способностями, чтобы уговорить этого маленького человечка спокойно пройти исследование без медикаментозного воздействия, чтобы мы на 100% могли быть уверены, что диагностика выполнена правильно.
- Действительно ли лучше ходить к одному доктору, если для наблюдения потребуется несколько раз сделать УЗИ?
- Да, в динамике лучше наблюдаться у одного врача, если вы ему доверяете. Один и тот же доктор по своей записи может определить, как именно он измерял и интерпретировал, и точнее отследить динамику процесса.
- Понятно, что на диагностику люди чаще всего идут, когда у них уже что-то очевидное - и визуализируется, и прощупывается. А есть ли смысл профилактически проходить УЗИ, когда тебя еще ничего не беспокоит?
- Да, и это называется диспансеризация. УЗИ - не является методом скрининга, им у нас является только маммография молочной железы. Но в диспансерное наблюдение у женщин до 40 лет входит именно УЗИ, поскольку маммографию делают женщинам после 40 лет, из-за того, что у них железистая ткань более плотная и можно пропустить на этом фоне минимальные патологические изменения. Существует скрининг детей с 7 до 14 лет, где УЗИ делают для исследования брюшной полости, сердца и щитовидной железы. Наверное, все уже знают, что любая женщина должна раз в год делать УЗИ малого таза для выявления возможных патологических изменений. А те, кто действительно интересуются своим здоровьем, как правило, раз в год проходят полное ультразвуковое исследование - смотрят щитовидную железу, брюшную полость, для женщин - молочные железы и малый таз. Мужчины проверяют органы мошонки и всех остальных локализаций. При диспансерном наблюдении иногда мы выявляем опухоли от 5 мм -10 мм в щитовидной железе, молочной железе или брюшной полости. Это самая ранняя стадия, когда при правильном подходе к хирургическому лечению, мы можем прогнозировать, что у этого пациента будет достигнута ремиссия заболевания, и он будет долго и счастливо жить.
- Как подготовиться к УЗ-исследованию?
- Такие органы как щитовидная железа, сосудистая система, лимфатические узлы подготовки не требуют. Если в молочной железе образование не пальпируется (не ощущается пальцами при надавливании), то исследование делают на 7-10 день менструального цикла, как и на органах малого таза. Также органы малого таза мы исследуем трансабдоминальным датчиком при полном мочевом пузыре. Это делается для визуализации мочевого пузыря, окружающих тканей, высоко расположенных структур малого таза, парааортальных и подвздошных лимфатических узлов. А уже потом мы досматриваем пациентку трансвагинально. При полном мочевом пузыре проводится исследование органов малого таза и у мужчин. УЗ-диагностику брюшной полости рекомендуется проводить натощак, и если есть тенденция к газообразованию, то рекомендуется не есть хлеб, фрукты, овощи. Других рекомендаций по подготовке к УЗИ нет.
- Раскройте тайну, чем таким нас всех мажут при проведении УЗИ и для чего?
- При проведении УЗИ используется специальный эхогель. Это жидкостная структура с пропиленгликолем, иногда туда добавляют антисептик. Дело в том, что физиологически ультразвуковая волна не проходит через воздушную среду, и чтобы составить связку кожи и датчика, мы должны пациенту наложить определенное количество эхогеля для лучшей визуализации.
- Можно ли по УЗИ отличить злокачественную опухоль от доброкачественной, поставить точный диагноз?
- Онкопациенту лучше проходить УЗ-исследование в специализированном медицинском учреждении или можно в любой клинике по месту жительства?
![]()
- Да, пациент может пройти УЗИ по месту жительства, если ему это удобно. Например, если нет возможности приехать к нам из региона. Но всё равно надо стремиться попасть именно в специализированные онкологические центры, потому что у врачей, которые здесь работают, есть специальные знания по профилю «онкология» и большая «насмотренность», опыт интерпретации онкологических патологий.
- Изменилась ли диагностическая точность оборудования за последние пять или десять лет?
- Однозначно. Раньше, чтобы произошли изменения, требовались годы, сейчас в течение короткого периода могут быть внедрены сразу несколько новых технологий. В последние годы в медицинскую практику входят инновационные методики и технологии УЗ-диагностики.
Например, эластография применяется одновременно с традиционным УЗИ и дает возможность с помощью специального датчика оценить эластичность тканей исследуемого органа с вычислением коэффициента жесткости тканей. После компьютерной обработки изображение выводится на экран. Высокая жесткость образования свидетельствует о высокой вероятности его злокачественного происхождения. В НМИЦ онкологии проводится компрессионная эластография образований молочной железы, щитовидной железы, мягких тканей, лимфатических узлов, предстательной железы, мошонки. Наш НМИЦ был одним из первых в России, где стали применять контрастно-усиленное ультразвуковое исследование (эхоконтрастирование). Это передовая технология лучевой диагностики, основанная на внутривенном введении эхоконтрастных веществ. При этом существенно улучшается визуализация кровотока, значительно повышается чувствительность доплеровских методов, таких как - ЦДК и ЭДК; обеспечивается возможность наблюдения всех фаз контрастирования сосудов в режиме реального времени; возрастает точность оценки стенотических поражений кровеносных сосудов. Появляется возможность оценки перфузии органов, улучшается контрастное разрешение между нормальной и пораженной тканью, что способствует повышению точности диагностики и различных заболеваний, особенно злокачественных опухолей. Уже вышел ряд диссертационных работ на эту тему. Сейчас лицензия препарата эхоконтраста приостановлена на территории РФ, но мы надеемся, что в ближайшее время, а именно в первой декаде 2022 года этот вопрос решится, и мы сможем использовать методику эхоконтрастирования как в рутинной практике, так и в научных исследованиях.- Почему вы выбрали именно эту специализацию?
- Я потомственный врач. Мама была врачом-рентгенологом и врачом ультразвуковой диагностики, а папа - стоматологом. И мама привела меня сюда, в институт. Когда я пришла изучать рентгенологию, то уже в тот далекий 1993 год здесь были самые передовые на тот момент ультразвуковые аппараты. Я увидела эти исследования и захотела изучить и ультразвуковое направление. Прошла первичную специализацию по ультразвуковой диагностике, а также по рентгенологии. И будучи клиническим ординатором, уже могла помогать в отделении с визуализацией именно ультразвуковым методом. А потом совмещала рентгенологические исследования и ультразвуковые. Сейчас моя дочь учится на первом курсе Первого медицинского университета. Но, скорей всего, она не станет диагностом, поскольку ей больше по душе хирургия и онкология.
- Востребована ли эта специальность врача ультразвуковой диагностики сейчас? Как проходит подготовка молодых кадров?
- Да, востребована. В нашем НМИЦ сейчас по этому направлению учатся несколько клинических ординаторов, которые пришли к нам в отделение, также мы взаимодействуем и с другими учреждениями, чтобы их клинические ординаторы увидели онкопатологию, поскольку не везде она есть в необходимом для обучения количестве. У нас есть учебно-методический центр, в котором мы готовим врачей по первичной специализации по ультразвуковой диагностике и по повышению квалификации. На обучение приезжают из всех регионов. Мы выезжаем в регионы, которые курирует наш Центр по СЗФО. Осуществляем диагностику, отвечаем на вопросы врачей, которых интересует это направление. Проводим вебинары для специалистов, выступаем на научных конференциях с докладами и мастер-классами. Я являюсь доцентом учебно-методического отдела нашего НМИЦ и доцентом преподавателем в Санкт-Петербургском государственном педиатрическом медицинском университете. Но занимаюсь не со студентами, а с теми, кто уже получил профессию врача и находится на первичной специализации, либо на повышении квалификации.
- Вы много лет занимаетесь ультразвуковой диагностикой. Чем она вас так привлекает?
- Это динамическое исследование. Всё происходит в реальном времени. Но самое большое достижение УЗ-диагностики это то, что мы общаемся с пациентами, сразу собираем анамнез, можем в реальном времени оценить интерпретацию органов и систем и затем уже разработать диагностический ряд для дальнейшего исследования. А потом ведем свою картотеку и наблюдаем этих пациентов в динамике. Наши пациенты от нас не уходят, многие - в ремиссии и наблюдаются по пять, 10 и 20 лет. Это позволяет почувствовать профессиональный азарт.
![]()
Беседовала
НАТАЛЬЯ СУББОТИНА
специалист по связям с общественностью НМИЦ онкологии им. Н. Н. Петрова
Кемеровский государственный университет, факультет филологии и журналистики, отделение журналистикиЧитайте также:























