Результаты операции Якобеуса. Механическая сторона операции Якобеуса
Добавил пользователь Валентин П. Обновлено: 22.11.2025
Коллапсотерапия (лат. collapsus ослабевший, упавший + греч. therapeia лечение) — методы лечения туберкулеза путем достижения временного или постоянного спадения (уменьшения объема) пораженного легкого.
Впервые Коллапсотерапия в виде искусственного пневмоторакса была теоретически обоснована К. К. Зейдлицем (1842); искусственный пневмоторакс введен в практику в 1882 г. Форланини (G. Forlanini).
Лечебный эффект Коллапсотерапии заключается в том, что наступает рассасывание воспалительных туберкулезных инфильтратов и заживление каверны. Наиболее распространенными теориями механизма действия К. являются: функциональный покой пораженного легкого, лимфатический стаз, венозный застой в спавшемся легком, перегибы мелких бронхов, нейротрофические изменения в спавшейся легочной ткани. Один из этих факторов или все вместе стимулируют репаративные процессы в пораженном легком, приводящие в большом проценте случаев к излечению от активного туберкулеза легких.
Достигнуть спадения (коллапса) легкого позволяют следующие методы: введение воздуха в плевральную полость путем прокола иглой грудной стенки (см. Пневмоторакс искусственный); резекция задних отделов ребер над пораженным отделом легкого — экстраплевральная торакопластика (см.); отслоение париетальной плевры вместе с пораженным участком легкого и создание полости между грудной стенкой и отслоенной плеврой, в к-рую периодически вводится воздух,— экстраплевральный пневмоторакс; пересечение диафрагмального нерва (см. Френикотомия) или его алкоголизация в области шеи с целью создания паралича и подъема купола диафрагмы; повторные введения e брюшную полость воздуха через прокол иглой брюшной стенки с целью временного подъема купола диафрагмы (см. Пневмоперитонеум). Для каждого метода разработаны показания.
Из всех методов К. наибольшее значение приобрел искусственный пневмоторакс. До появления специфических противотуберкулезных химиопрепаратов он был основным методом лечения различных форм легочного туберкулеза. Его роль особенно возросла после разработки Якобеусом (H. Ch. Jacobaeus, 1913) метода закрытого пережигания плевральных сращений гальванокаутером. Л. К. Богуш (1945) широко применял гидравлическую препаровку плевральных сращений, вдвое увеличивающую эффективность операции Якобеуса.
При облитерации плевральной полости и невозможности наложения искусственного пневмоторакса у больных деструктивным туберкулезом легких широкое применение получили торакопластика и экстраплевральный пневмолиз (см.). Эти операции позволяют избирательно коллабировать пораженную часть легкого (селективная К.). Экстраплевральный пневмолиз применяется при ограниченных деструктивных процессах с небольшими кавернами в верхней доле легкого (верхний пневмолиз) или в VI сегменте (нижний пневмолиз). Л. К. Богуш (1950) усовершенствовал и упростил эту операцию, предложив подмышечный оперативный доступ и отслаивание париетальной плевры марлевым тупфером под контролем освещения лампочкой торакоскопа. Для стабилизации образованной экстраплевральной полости и удержания соответствующей части легкого в коллабированном состоянии в полость периодически вводят воздух (экстраплевральный пневмоторакс); созданную полость можно заполнить стерильным вазелиновым маслом — олеоторакс (см.).
Торакопластика с поднадкостничной резекцией пяти — семи верхних ребер применяется при фиброзно-кавернозном туберкулезе верхних долей легких. При поражении всего легкого производится тотальная торакопластика.
При кровотечении из каверны показания к наложению искусственного пневмоторакса, экстраплевральному пневмолизу или торакопластике могут быть срочными. Возможны двусторонний экстраплевральный пневмолиз, двусторонняя ограниченная торакопластика, а также сочетание пневмолиза на одной стороне с торакопластикой на другой.
С начала 50-х гг. 20 в. показания к К. резко сужены во всех случаях благодаря успехам химиотерапии туберкулеза и широкому применению резекции легких. Сохраняют значение пневмоперитонеум, который накладывают при инфильтративно-пневмоническом туберкулезе в фазе распада и обсеменения и при кровотечениях из каверн в нижней доле, а также торакопластика, к-рая по частоте применения занимает второе место после резекции легких среди методов хирургического лечения легочного туберкулеза.
Коллапсотерапия противопоказана при больших и гигантских кавернах, бронхостенозе, циррозе легкого, а также при выраженной дыхательной недостаточности (см.).
Библиография: Богуш Л. К. О гидравлической препаровке плевральных сращений, Пробл, туб., № 5, с. 29, 1949; Михайлов Ф. А. Искусственный пневмоторакс при туберкулезе легких, Свердловск, 1946; Многотомное руководство по хирургии, под ред. Б. В. Петровского, т. 5, с. 523, М.—Л., 1960; Стойко Н. Г. Хирургическое лечение легочного туберкулеза, М., 1949, библиогр.; Хрущева Т. Н. Экстраплевральный пневмоторакс и олеоторакс, М., 1952, библиогр.; Bier А., Вraun H. u. Kummell H. I. Chirurgische Operationslehre, Bd 3, T. 1, S. 381, Lpz., 1971, Bibliogr.; Malluche H. Die Pneumolyse, Lpz., 1957, Bibliogr.
Торакоскопия: суть процедуры, показания, техника, результат и восстановление после

Все материалы на сайте подготовлены специалистами в области хирургии, анатомии и профильных дисциплинах. Все рекомендации носят ориентировочный характер и без консультации лечащего врача неприменимы.
Автор: Аверина Олеся Валерьевна, к.м.н., врач-патолог, преподаватель кафедры пат. анатомии и патологической физиологии, для Операция.Инфо ©
Торакоскопией называют хирургическую манипуляцию, в ходе которой врач производит осмотр грудных полостей, средостения, перикарда торакоскопом — аппаратом для эндоскопических исследований. Процедура проводится сквозь прокол стенки грудной клетки и носит как диагностический, так и лечебный характер.
Видеоторакоскопия прочно входит в повседневную практику пульмонологов и хирургов всего мира, постепенно вытесняя очень травматичные доступы. Посредством малоинвазивной операции можно лечить многие заболевания, которые еще совсем недавно требовали больших разрезов, сопровождались тяжелыми осложнениями и длительным болезненным восстановлением.
Методика эндоскопического исследования грудных полостей имеет более чем вековую историю. Впервые она была проведена в рамках эксперимента в 1901 году, а уже спустя 9 лет Г. Х. Якобеус применил ее как диагностический прием при осмотре пациента с туберкулезом. Чуть позже аппарат был усовершенствован и назван торакоскопом, при помощи которого стали производить биопсию тканей.
С начала прошлого столетия торакоскопия применялась в основном при туберкулезе — для рассечения плевральных спаек, создания лечебного пневмоторакса. Со второй половины ХХ века туберкулез стали лечить эффективными лекарственными препаратами, а торакоскопия стала применяться в качестве диагностической процедуры при патологии плевральных листков, воспалительных процессах органов грудной клетки, травмах.
Сегодня торакоскопия — это не только способ осмотреть, что происходит внутри плевральных полостей, но и возможность прицельно получить ткани для гистологического исследования и даже провести хирургические манипуляции сквозь небольшие проколы.
Современные видеокамеры дают высококачественное цветное изображение, которое видит не только хирург, но и его помощники, что позволяет проводить полноценные операции — торакоскопическая хирургия. Торакоскопия может избавить от необходимости проведения травматичного вмешательства, показания и к ней не ограничиваются лишь необходимостью диагностики.
Особенности и преимущества торакоскопии
- Обнаружение патологических изменений в серозной оболочке легкого, средостении, диафрагме, сердечной сорочке;
- Получение фрагмента измененных тканей для морфологического анализа;
- Удаление избытка плеврального содержимого;
- Иссечение кисты, буллы, заполненной воздухом (при эмфиземе, врожденных аномалиях);
- Удаление участка легочной ткани.

Торакоскопия успешно применяется современными пульмонологами благодаря массе неоспоримых преимуществ, коими считаются:
- Возможность многократного увеличения изображения, получаемого видеокамерой;
- Возможность забора биопсийного материала;
- Низкая травматичность и хорошая переносимость пациентами;
- Небольшая продолжительность вмешательства при диагностике;
- Минимальная вероятность осложнений;
- Более короткая реабилитация;
- Хороший косметический результат.
Среди недостатков метода можно назвать дороговизну оборудования и необходимость наличия квалифицированного хирурга, владеющего этой техникой, а также ограниченность применения при некоторых заболеваниях грудной полости.
Показания и противопоказания к торакоскопии

плевральный выпот на рентгеновском снимке
Перечисленные причины обычно приводят к диагностической торакоскопии, тогда как необходимость рассечения рубцовых сращений, удаления воздуха или иного содержимого, иссечение кист или опухолей — показания к лечебной торакоскопической операции.
Перечень случаев, когда может быть применена малоинвазивная методика, постепенно расширяется с усовершенствованием применяемого оборудования и инструментов, накоплением опыта торакоскопии при самой разной патологии. Среди пациентов не только взрослые, но и дети, которым торакоскопические операции проводят исключительно под общей анестезией.

- Скоплении крови в сердечной сумке;
- Острой коронарной недостаточности;
- Нарушении ритма сердца;
- Выраженном расстройстве гемокоагуляции;
- Остром инфекционном заболевании;
- Декомпенсированной патологии сердца, почек, печени, легких;
- Гнойничковом поражении кожи в местах, где предполагается делать проколы;
- Патологии единственного легкого;
- Невозможности однолегочной вентиляции;
- Острой дыхательной недостаточности;
- Выраженной спаечной болезни со сращением плевральных листков;
- Острой хирургической патологии брюшной полости (кровотечение, перитонит);
- Коме;
- Некоторых психических заболеваниях, при которых нарушен контакт с пациентом.
От операции придется отказаться при категорическом нежелании ее проводить со стороны пациента, но если показания для торакоскопии достаточно серьезны, то лечащий врач постарается объяснить важность манипуляции, добившись от пациента его добровольного согласия.
Подготовка к торакоскопии
Подготовка к торакоскопическим процедурам включает тщательное обследование пациента, консультации узких специалистов для выяснения показаний и противопоказаний, факторов риска осложнений и выбора объема вмешательства.

Если лечащий врач считает торакоскопию легких необходимой, он должен подробно объяснить пациенту смысл этой манипуляции и ее цель. В обязательном порядке пациент информируется о возможных осложнениях, а также в возможности перехода к открытой операции, если эндоскопического доступа окажется недостаточно. После беседы и первичного осмотра хирург заручается письменным согласием пациента на проведения манипуляции.
Все вопросы касательно торакоскопии следует не стесняться задавать заблаговременно. Излишние и подчас необоснованные страхи, ошибочные сведения, почерпнутые из интернета, способны вселить в пациента ненужный страх и волнение, развеять которые — задача грамотного врача. Слишком мнительным индивидам могут быть назначены легкие успокоительные средства.
- Электрокардиографию;
- Рентгенографию органов грудной клетки;
- Спирометрические исследования;
- Анализ на свертываемость крови;
- Общеклинические исследования крови и мочи;
- Анализы на гепатиты, ВИЧ, сифилис.
Подобный стандартный перечень процедур проводится перед любым другим диагностическим или лечебным вмешательством. Большинство исследований можно пройти заблаговременно по месту жительства. За 2 недели до процедуры отменяется прием кроверазжижающих средств.
Лечащий врач заблаговременно обязательно поинтересуется, нет ли аллергии на что бы то ни было, в особенности — лекарства, средства для местной анестезии. Анестезиолог исходя из осмотра и беседы с пациентом выберет оптимальный путь анальгезии, который поможет наиболее комфортно перенести вмешательство.
Перед торакоскопической операцией в назначенный срок пациент приходит с результатами анализов в клинику, где его еще раз осматривают хирург и анестезиолог, определяющие время операции. В других случаях торакоскопия назначается пациентам, уже находящимся на стационарном лечении и прошедшим подготовку в стенах клиники.
Накануне процедуры рекомендуется не нагружать себя избытком воды и пищи, время между ужином и операцией не должно быть менее 12 часов. Утром в день торакоскопии есть и пить будет нельзя, что связано с предстоящей анестезией и потенциальной возможностью перехода от торакоскопии к открытой операции.
Как проводится торакоскопия?
Торакоскопия — это малоинвазивная операция, поэтому проводится она только в стационаре и в операционной или ином помещении, которое оснащено необходимым оборудованием:
- Аппаратура для освещения, монитор;
- Аспиратор, троакары, зажимы, коагуляторы и другие инструменты;
- Эндоскоп, эндовидеокамера;
- Стерильный перевязочный материал, салфетки, перчатки.
В помещении, где будет проводится торакоскопия, соблюдаются стерильные условия. Средний и младший медицинский персонал следит за чистотой, своевременной обработкой и подготовкой инструментов, помогает хирургу во время процедуры.
От хирурга, проводящего торакоскопию, требуется крайняя аккуратность, точность движений и высокое мастерство, поскольку манипулируя в ограниченном пространстве он рискует повредить рядом расположенные структуры.
Как правило, торакоскопические вмешательства проводятся под общей анестезией ввиду необходимости односторонней легочной вентиляции и довольно большой продолжительности операции, во время которой пациент должен сохранять неподвижность. В редких случаях (биопсия плевры, например, противопоказания к общему наркозу), возможна местная анестезия.
- Пациент снимает одежду с верхней половины тела, ложится на здоровый бок, под который кладут валик, руку поднимает к голове, мужчинам медсестра удаляет волосяной покров в области предстоящих проколов;
- Местное обезболивание достигается инфильтрацией тканей новокаином, лидокаином, тримекаином, при необходимости общей анестезии вводятся соответствующие препараты внутривенно, а в трахею помещается интубационная трубка для обеспечения вентиляции легкого на противоположной операции стороне;

точки доступа при торакоскопии
Диагностическая торакоскопия может длиться до 2 часов, а торакоскопическая хирургическая операция — до 2,5 — 3 часов. После манипуляции пациента на некоторое время оставляют под наблюдением: на протяжении 1-го часа — каждые 15 минут, затем каждые полчаса, а спустя 3 часа после вмешательства — ежечасно. Если возникнет сильная болезненность, будут введены обезболивающие средства. В клинике придется провести от нескольких суток до 2 недель.
Послеоперационный период и осложнения
- Кровотечения — из-за травмы межреберных, внутрилегочных сосудов, недостаточного гемостаза в ходе операции;
- Попадание воздуха под кожу грудной стенки;
- Гнойное воспаление в местах проколов в межреберьях;
- Воздушная эмболия при попадании в кровоток воздуха из разрушенной буллы, при травме легкого инструментарием;
- Скопление воздуха в плевральной полости;
- Повреждение диафрагмы.
Осложнения более вероятны при тяжелой патологии легких, выраженном спаечном процессе, опухолевых разрастаниях. Реже они вызваны неаккуратными действиями хирурга или техническими погрешностями при проведении торакоскопии. Одним из последствий может стать хроническая болезненность, возникновение которой связано с характером поражения легких или плевры и мало зависит от степени мастерства хирурга.

Послеоперационный период протекает в зависимости от того, по какой причине была назначена торакоскопия. Если процедура носила исключительно диагностический характер, а выявленные изменения не сказываются существенным образом на состоянии обследуемого, то вскоре можно будет покинуть клинику, вернувшись лишь для того, чтобы снять швы.
Торакоскопия по поводу серьезной патологии, сопровождающаяся элементами хирургического лечения, потребует более длительного восстановления. В первые дни пациент будет оправляться от наркоза, принимать противовоспалительные средства и анальгетики, затем лечение и наблюдение будут скорректированы в соответствии с диагнозом.
Боли после торакоскопии — не такая уж и редкость. По некоторым данным, их испытывает едва ли не пятая часть всех пациентов, прошедших эту процедуру. Боли могут носить хронический характер, больше выражены при наличии рубцовых сращений в плевре, при воспалительном процессе. Однако не стоит заранее пугаться и настраиваться на негатив: в каждом случае и заболевание, и восстановительный период протекают по-своему, и совсем не обязательно, чтобы боли непременно возникли.
Результатом диагностической торакоскопии может быть заключение о полном здоровье пациента, и тогда причину его симптомов нужно будет искать в других органах. В противном случае хирург обнаружить зоны воспаления, деструктивно-язвенных процессов, нагноение, кровоточивость, опухоль и т. д. Результаты торакоскопии будут подробно расписаны в протоколе обследования.
Если в ходе процедуры был произведен забор биопсийного материала, то спустя 7-10 дней можно будет получить ответ патоморфолога. Цитологическое исследование содержимого проводится обычно в тот же день. Эти диагностические методы чаще всего используются на этапе поиска злокачественного новообразования.
Таким образом, торакоскопия малоинвазивна, не требует больших разрезов и длительной госпитализации, однако способна дать огромный объем информации касательно происходящего в грудных полостях, легочной ткани, структурах средостения. Кроме того, она может стать и одним из этапов лечения, поэтому методики эндоскопической торакальной хирургии все чаще используются хирургами в повседневной практике.
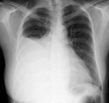
Результаты операции Якобеуса. Механическая сторона операции Якобеуса
Подготовка к операции Якобеуса заключается прежде всего в постепенном доведении давления в плевральной полости до нуля, чтобы вскрытие ее не повлекло значительного изменения дыхания. Для этого увеличивают количество вводимого воздуха и частоту поддуваний, в течение 10—15 дней достигая выравнивания давления.
Если при этом больной испытывает тягостные ощущения или одышку, то операция откладывается до момента привыкания к большому коллапсу или вообще отменяется. Нужно, чтобы толщина слоя воздуха между грудной стенкой и легким была не менее 4 см. Если в плевральной полости имеется выпот, то стараются уменьшить его путем осторожных отсасываний с введением антибиотиков. При наличии других временных противопоказаний в предоперационном периоде пытаются ликвидировать их соответствующей терапией.
Для торакоскопии употребляются торакоскопы различной конструкции.
Торакоскоп с боковой оптикой создает видимость с углом зрения в 60°. Направление оптики отмечено на окуляре пуговкой. Недостатком этого то-ракоскопа является то, что при боковой оптике не видны предметы, расположенные впереди инструмента, искажается перспектива, т. е. отдаленные предметы кажутся слишком маленькими, а близко расположенные —слишком большими и, наконец, значительно искажается форма предмета. Преимуществом является возможность рассмотреть предметы, расположенные рядом с торакоскопом, а также возможность исследовать их со всех сторон при незначительном перемещении торакоскопа.

Торакоскоп с прямой оптикой позволяет видеть предметы в неискаженном виде, имеет угол зрения в 110°, но не дает возможности видеть предметы, расположенные рядом с торакоскопом. Обследование с помощью торакоскопа с прямой оптикой требует больших и неудобных его перемещений.
Инструмент, служащий для разрушения сращений, называется каутер. Он представляет собой изогнутый проводник, заканчивающийся на конце платиновой петлей. Каутер вводится вместе с футляром — тонкой трубкой, служащей проводником для каутера. Наконец, для прокалывания грудной стенки применяются специальные троакары, состоящие из стилета и канюли.
Подача тока для лампочки торакоскопа и для нагревания петли каутера осуществляется через обычный трансформатор, используемый для эндоскопии.
Стерилизация торакоскопов, каутеров и шнуров производится в парах формалина в закрытом сосуде или в спирте. Стилет, канюли и футляры стерилизуются кипячением. Торакоскопии производятся в затемненной операционной.
Операция Якобеуса
Википедия
Статьи для врачей
- 12.02.2105 Восприятие марки настроено позитивно. Диктат потребителя
- 12.02.2105 Восприятие марки настроено позитивно. Диктат потребителя
- 12.02.2105 Восприятие марки настроено позитивно. Диктат потребителя
Статьи для пациентов
SPRINT: О целевом уровне артериального давления у пожилых
Антидепрессанты. Влияние на сон и когнитивные функции у пожилых
IDSA/ ATS. Рекомендации по лечению внутрибольничных пневмоний
Головная боль у взрослых. Виды головных болей.
Головная боль. Вопросы и ответы
Мигрень
Болезнь Альцгеймера и антидепрессанты
Артериальная гипертензия. Какое из имеющихся руководств лучше
Насыщенные жиры и риск сердечно-сосудистых заболеваний. Первые шаги революции?
Терпены
Терпены - группа природных ненасыщенных углеводородов, содержащихся гл. обр. в эфирных маслах (камфора, ментол и др.); применяются, напр., при изготовлении лекарственных средств и инсектицидов.
Тандлера схема
Тандлера схема (J. Tandler, 1869-1936, австрийский анатом) - схема расчета проекции долей и извилин большого мозга на кости черепа по наружным костным ориентирам.
Сустав локтевой
Сустав локтевой (a. cubiti, PNA, BNA, JNA) - сложный сустав, объединяющий плечелоктевой, плечелучевой и проксимальный лучелоктевой сустав, заключенные в одну суставную капсулу; в суставе локтевом возм.
Виды операций при вальгусной деформации большого пальца стопы
Как сказал мой один знакомый, очень хороший ЛОР-врач по поводу возможности консервативного лечения искривленной перегородки носа: «Если на улице упал забор, нужно вызывать спецтехнику и ставить его на место». Оперировать. Без вариантов. Также и с вальгусной деформацией. Не стоит надеяться, что различные ортопедические средства (стельки, вкладыши) решат проблему. Да, все это хорошо на ранних стадиях, но если вы читаете эту статью, то вероятно методы консервативной терапии себя уже исчерпали.
Чем всегда нравилась травматология, так это тем, что в ней переплетены врачевание и ремесло. Причем ремесло на грани искусства. Это все хорошо видно в способах хирургической коррекции Hallux valgus: у врача каждый случай будет уникальным! Коррекция каждой стопы будет иметь свои особенности.
Сейчас известно более 200 методик оперативного лечения вальгусной деформации (по другим источникам — более 300). Многие из них приводили к плохому прогнозу в лечении ввиду того, что к моменту их появления не понимали механизма формирования вальгусной деформации. Другие техники были мало отличимы от «оригинала», дополненные авторскими «штрихами». Развитие хирургии — это метод проб и подбора лучших вариантов. Стоит отметить лишь те немногие методики, которые были проверены временем, усовершенствованы и применяются в настоящее время. И что еще очень важно: косметическая хирургия совершенно неуместна при Hallux valgus. Чтобы появились показания к операции, пациента должна беспокоить боль, которая не корректируется обычной сменой обуви и ортопедическими изделиями.
Операции при вальгусной деформации можно разделить на группы: операции на мягких тканях, операции на костях и их комбинации.
Операции на мягких тканях
Операция Сильвера (Silver)

Суть методики — отсечение сухожилия приводящей мышцы большого пальца стопы. Как правило является одним их этапов комбинированных методик.
Операция Мак-Брайда (Mc.Bride)

Сухожилие приводящей мышцы не просто отсекается, а переносится. Довольно часто сочетается с операцией Шеде.
На рисунке изображено создание «тоннеля» через головку плюсневой кости и проведение сухожилия приводящей мышцы через него. В разных модификациях Мак Брайда сухожилие может подшиваться к капсуле и головке плюсневой кости, либо фиксироваться на тыльной стороне головки. У модификаций та же цель: уменьшить угол между плюсневыми костями.
Операция Манна (R.A. Mann)

Операция дистального высвобождения мягких тканей (Distal soft tissue procedure). Является на настоящее время неотъемлемой частью многих комбинированных операций. Цель процедуры — восстановление положения сесамовидных костей в области большого пальца.
Сесамовидные кости при вальгусной деформации смещаются латерально. Возврат их в прежнее анатомическое положение осуществляется путем отсечения сухожилия приводящей мышцы большого пальца от латеральной сесамовидной кости, иссечение латеральной коллатеральной связки, выполнение послабляющих разрезов на наружной поверхности капсулы сустава и пересечение плюснесесамовидной связки. Возможно выполнение ее через артроскоп. В таком случае значительно уменьшается травматичность операции.
Операции на костях
Клиновидная остеотомия Акина (Akin)
Небольшая по объему и технически относительно простая операция. Производится клиновидная резекция в области проксимальной фаланги большого пальца. Обычно сейчас применяется в комбинации с другими методиками. Изолированно применяется при межфаланговом вальгусе.
Техника операции. Проводится продольный разрез над головкой плюсневой кости, затем разрез продлевается дистально. Резекция начинается отступом от сустава на 5-7 мм. Само основание клина обычно 3-4 мм. Костные фрагменты фиксируются спицами, швами, или специальными скобками.
Операция Шеде-Брандеса

Эту методику можно назвать «классической». Несмотря на то, что имеет ряд недостатков, применяется до сих пор. Суть операции — удаление внутренней части головки первой плюсневой кости. Это и есть удаление той самой косточки. Как по словам некоторых пациентов «просто взять и отрезать шишку». Операция Шеде в чистом виде. В 1929 году Брандес рекомендовал резецировать основание проксимально фаланги большого пальца.
Отношения специалистов к методике Шеде-Брандеса неоднозначны, тем более, что выглядит она «калечаще». И хотя есть наблюдения за отдаленными результатами лечения (до 23 лет), имеющими положительный результат (Кудинский Ю.Г., 1967 год), все же имеются и более прохладные отзывы.
К положительным моментам операции можно отнести ее относительную простоту. К тому же может выполняться без наложения жгута (важно для пациентов с хронической венозной и артериальной недостаточностью) и без сложного инструмента и металлоконструкций. Быстрый срок восстановления. Не противопоказана пациентам с остеопорозом, поэтому часто выполняется пожилым пациентам. Минусы операции лежат в особенностях техники. Удаление основания фаланги приводит к нарушению функции переката стопы. К тому же укорачивается большой палец (особенно у пациентов с античной формой стопы, которым показания ограничены). Также не увеличивает объем движения в большом пальце при его ригидности, Hallux rigidus («болезнь сборщика мидий»). При ригидности первый этап выполняется по Келлеру. Категория пациентов: малоподвижные и пожилые люди с признаками артроза в плюснефаланговом суставе
Артродез плюснефалангового сустава

Суть операции заключается в фиксации головки плюсневой кости о основной фаланги большого пальца, в результате чего сустав становится неподвижным соединением.
Цель такого вмешательства — сделать сустав при выраженной вальгусной деформации прочно выровненным и неподвижным. В последующем в большинстве случаев снимается болевой синдром, так как устраняется движение в измененном суставе. Артродез большого пальца стопы обычно выполняется у пациентов, у которых уже есть выраженный артроз или тяжелая форма Hallux rigidus. Однако это вмешательство может быть успешно использовано при тяжелой вальгусной деформации (Hallux valgus).
Чтобы превратить две кости в суставе в неподвижное соединение, нужно с суставной поверхности полностью удалить хрящ — это приведет к срастанию. Кости нужно сопоставить таким образом, чтобы обеспечить максимально выгодное функциональное положение. Соединение фиксируется при помощи двух или трех винтов, хотя нередко используется металлическая пластина для стабилизации соединения.
В зависимости от возраста и общего состояния больного, на восстановление уходит 6-12 недель. В течение этого времени допускается ходьба с упором на пятку. Или же носится специальная ортопедическая обувь, типа Cam Walker Boots.
Какие могут быть осложнения?
Осложнения возникают редко и связаны обычно с проблемами с заживлением раны или с нарушением срастания стабилизируемых костей. Что касается специфических проблем, то для хирурга важной задачей является правильный выбор угла отклонения большого пальца. В противном случае возникает чрезмерная нагрузка неподвижный палец при ходьбе.
Шевронная остеотомия

Ее еще называют остеотомией Остина (osteotomy Austin), так как впервые была произведена врачом Dale W.Austin в 1962 году в США. Название «шевронная» — в честь военной нашивки США, шеврона, V-образной формы.
Основное преимущество шевронной остеотомии — относительная простота выполнения операции и длительно сохраняющийся положительный результат.
Есть различные варианты этой операции. Разница заключается изменением площади срезов. Или изменением длины плеч этой буквы «V». Площади сечения могут быть одинаковыми, а могут быть разными. Такие различия вариантов связаны с совершенствованием методики к различным клиническим ситуациям. Варианты шевронной остеотомии в основном связаны с изменением направления и длины распила костей.
Показания для остеотомии Остина
Операция рекомендована лицам, имеющим вальгусную деформацию легкой и умеренной степени (при угле рассогласования 1 и 2 плюсневой кости не более 17 градусов). Хороший результат бывает при отсутствии выраженных изменений в головке плюсневой кости.
Техника операции.
Производится Y-образный разрез капсулы сустава (так называемый «доступ шампанского»).
Затем производится высвобождение наружной поверхности головки плюсневой кости от сухожилия.
Затем следует основной этап операции — производится V-образный распил, который отделяет головку первой плюсневой кости.
Далее производится смещение головки кнаружи и фиксация ее винтом или шовным материалом. Оставшаяся выступающая внутрь кость иссекается.
В последующем восстанавливается капсула сустава, стабилизируется медиальная коллатеральная связка и накладываются швы на кожу.
Реабилитация.
После операции Остина пациентом практически на следующий день разрешают ходить, но только с упором на пятку и в обуви на жесткой подошве. Разумеется, физическую активность после операции следует ограничить. В обычной обуви ходить можно через 1,5 месяца. Полностью здоровыми пациенты себя чувствуют через 3-4 месяца. В редких случаях восстановление может продолжаться до 9 месяцев. Очень долго сохраняется отек в области операции (усиление кровообращения и формирование костной мозоли).
Какие осложнения бывают после шевронной остеотомии
Если говорить о редких, но очень опасных заболеваниях, неспецифичных для хирургии и травматологии: инфекционные осложнения, травматизация нерва и тромбоз глубоких вен.
Когда речь идет о специфических осложнениях операции Остина, говорят о неправильном расположении после операции головки плюсневой кости. Крайне редко требуется повторная операция. Менее чем у 3% пациентов описано нарушение кровообращения в головке плюсневой кости. Последствия этого очень различны. И еще. При ослаблении капсулы сустава возможно другое трудно корректируемое состояние — hallux varus (hallux valgus наоборот)
Операция Лудлоффа и операция Мау (operation Mau)
Остеотомия SCARF

Эта операция была предложена в 1926 году доктором Майером (Mayer), но активно метод стал применяться с 70 годов. В России эта методика появилась еще позже: хирурги начали осваивать ее лишь с 2000 года.
Сам по себе термин SCARF описывает форму разреза кости, которую использует хирург во время операции. Термин имеет архитектурные и столярные корни и определяется как «соединение, сделанное выемкой, канавкой, скрепляя две части вместе с формированием прочного непрерывного элемента». Если проще, то это способ соединения деревянного бруса без увеличения сечения.
Когда подобный Z-образный распил применяется в травматологии стопы, говорят о SCARF остеотомии.
Большой плюс скарф-остеотомии в том что имеется возможность смещать костный фрагмент в трех плоскостях и возможности врача в моделировании анатомии очень расширены.
Остеотомия включает Z-образный разрез первой плюсневой кости, который затем может быть перемещен и закреплен в новом положении. Фиксация осуществляется обычно двумя винтами. В последующем удаляется избыточная кость с внутренней поверхности. Во время операции проводится коррекция коллатеральных связок, идущих по боковым поверхностям пальца. Операция нередко сочетается с другими методиками, например остеотомия проксимальной фаланги по Akin.
Восстановление при операции продолжается около 6 недель
Современные операции с применением микроинструментов, а также стабилизаторов из стальной проволоки Trightrope

Это уже малоинвазивная хирургия при Hallux valgus. Еще ее называют хирургией «через замочную скважину» (keyhole surgery).
Коррекция проводится через 3-4 очень маленьких разреза, длиной 3-4 миллиметра. Через микроразрезы вводятся рабочие инструменты, в том числе микрофрезы для резки костей. Операция контролируется путем рентгеноскопии (или посредством камеры эндоскопа).
Заключение
Стоит отметить общие особенности всех операций при Hallux valgus. Кожа боковой и тыльной поверхности стопы довольно тонкая и это затрудняет заживление ран. Кроме того, кровообращение в тканях стопы хуже из-за удаления от сердца. И наконец, из всех частей тела стопа подвергается наибольшим механическим нагрузкам. По этим причинам могут быть проблемы с заживлением раны. Чтобы избежать проблем, необходимо соблюдать ряд мер. Продолжительность ишемии должна быть как можно короче. Лучше всего это достигается оборачиванием жгута вокруг стопы после стерильной обработки. Разрез должен обеспечивать прямой доступ к месту операции без чрезмерного натяжения тканей. По возможности следует избегать гемостаз с помощью электрокоагуляции. Чтобы избежать мацерации следует использовать сухие бинты. Швы нужно оставить на месте до 14 дней. Ноге после операции необходимо придать возвышенное положение.
Если вы нашли опечатку в тексте, пожалуйста, сообщите мне об этом. Выделите фрагмент текста и нажмите Ctrl+Enter.
Читайте также:
- Иммунная система пищеварительного тракта.
- Устранение гнойной интоксикации. Воздействие на очаг воспаления легких
- Поперечная блокада сердца в послеоперационном периоде. Острый печеночно-почечный синдром
- Гистошизотропные средства для лечения малярии. Гамонтотропные препараты при лечении малярии.
- Рубцы после ранений лица. Рубцовые контрактуры
