Результаты реконструктивных операций на челюсти. Значение реконструкций челюсти
Добавил пользователь Владимир З. Обновлено: 22.01.2026
Исправление прикуса хирургическим путем
Самой главной проблемой при неправильном прикусе становится невозможность полноценно пережевывать и глотать пищу, в связи с чем, начинаются проблемы с желудочно-кишечным трактом и зубами. Кроме того, нарушения прикуса вызывают асимметрию овала лица, нарушается речь, появляются боли как в зубах, так и в районе ушей и челюсти, иногда повреждается височно-нижнечелюстной сустав.
Хирургическое исправление зубочелюстных патологий называется остеотомией. Данный вид операций предполагает проведение различного рода манипуляций путем хирургического вмешательства в костную ткань: наращивание кости, изменение формы подбородка, удлинение либо укорачивание челюсти, удаление зубов и др. Все операции по исправлению аномалий прикуса проводятся строго по медицинским показаниям, поскольку любое хирургическое вмешательство является большим стрессом для всего организма и требует длительного восстановления.

В каких случаях проводят челюстно-лицевые операции

- при наличии мезиального прикуса, т.е. когда сильно выдвинута вперед нижняя челюсть;
- при дистальном (прогнатическом) прикусе, когда выдвинута вперед верхняя челюсть, а нижняя недоразвита;
- при открытом боковом прикусе: когда нет контакта между жевательными зубами при смыкании челюстей, в связи с чем, процесс пережевывания затруднен;
- при открытом фронтальном прикусе: при смыкании зубов между верхними и нижними центральными зубами образуется щель, по форме напоминающая арку. При этом человеку трудно смыкать губы, говорить и жевать;
- при дисплазии (недоразвитии) подбородка с искажением овала лица;
- при глубоком прикусе: при недостаточной высоте лица, когда верхние зубы более чем на половину находят при смыкании на нижний ряд;
- при врожденной асимметрии лица либо после травмирования;
- при аномалиях челюсти, полученных при рождении;
- при различных аномалиях свода черепа;
- при сильных травмах лица и черепа;
- при деформации альвеолярного отростка;
- при трудностях с глотанием;
- при дополнительно выросших зубах, расположенных за пределами зубного ряда.
Противопоказания к зубочелюстной операции
Как видно список зубочелюстных аномалий и дефектов прикуса достаточно большой, однако не во всех случаях можно проводить хирургическое вмешательство по ряду причин, к которым относятся:
- заболевания крови и сахарный диабет;
- онкологические болезни, ВИЧ, туберкулез;
- заболевания сердечно-сосудистой и нервной системы;
- болезни щитовидной железы;
- плохая гигиена полости рта;
- возраст до 18 лет;
- любые инфекционные болезни.
Подготовка и проведение операции.
Перед проведением операции требуется полностью обследовать пациента с целью сдачи всех необходимых анализов, выявления причин деформаций и наличия возможных заболеваний, при которых операцию проводить не следует, а также смоделировать с помощью компьютера будущее лицо правильной формы. На основе моделирования врач составляет план лечения и составляет план дальнейших манипуляций.
Хирургическое исправление прикуса и аномального строения челюсти проводят используя общий наркоз.
Виды хирургического вмешательства
В зависимости от типа и оттого, насколько выражена патология проводят разные манипуляции, которые делят на четыре основных вида:
- Остеотомия на нижней челюсти.
- Остеотомия на верхней челюсти.
- Гениопластика
- Сегментарная остеотомия
Остеотомия на нижней челюсти
Данная операция проводится путем хирургических надрезов кости, которая расположена позади жевательной группы зубов. Таким образом, челюсть устанавливается в правильное положение, при этом костные фрагменты соединяют с помощью пластин, изготовленных из титана до того момента, пока не вырастет костная ткань.

Остеотомия на верхней челюсти
В этом случае надрезы проводят над зубами, чуть ниже края глазниц. При этом челюстно-лицевой хирург может беспрепятственно сдвигать кость , одновременно перемещая небо и верхние зубы челюсти. Для закрепления правильно положения костные фрагменты скрепляют при помощи винтов, шин либо титановых пластин. Подробнее тут.

Гениопластика
Ментопластика подбородка (исправление формы подбородка). Во время операции отсекается часть костной ткани, которая затем устанавливается в правильном положении.

Сегментарная остеотомия
При данном хирургическом вмешательстве челюстная кость рассекается на сегменты, которые затем сопоставляют в нужном положении вместе с зубами и фиксируются.
Особенности проведения остеотомии при разных патологиях челюсти и прикуса.
Далее мы опишем, как проводят хирургические операции при лечении разных патологий прикуса.


Хирургическое исправление мезиального прикуса.При слабой степени выраженности мезиальной окклюзии обходятся удалением нескольких зубов. При серьезном смещении нижней челюсти проводят иссечение костных тканей, изменяя размер и положение челюсти. При этом происходит одновременное перемещение мягких тканей лица и дна ротовой полости.
Хирургическое лечение открытого фронтального прикуса. При проведении данной операции разрезаются мягкие ткани на верхней челюсти, расположенные в зоне носовой перегородки, после чего оголяют кость, отодвигая при этом разрезанные ткани. Часть кости ампутируют, а челюсть отодвигают в нужное положение, которое фиксируется пластиной с шурупами.

Лечение бокового открытого прикуса. Для исправления данной аномалии прикуса применяют дистракционный остеогенез, при котором восстанавливается структура и удлиняется кость. Операцию проводят следующим образом: открывают кость, в месте ее деформации она ломается симметрично дуге челюсти, затем устанавливают дистракторы, создающие необходимое давление на костные элементы, тем самым исправляется их положение вплоть до полного смыкания челюстей и одновременно стимулируется рост новой костной ткани.

Хирургическое исправление подбородка (устранение дисплазии). В ходе операции проводят следующие манипуляции: рассекают мягкие ткани подбородка для доступа к кости и придания ей подвижности, затем подбородок устанавливается в правильное положение, после чего фиксируется пластиной из титана.
Реабилитационный период.
Так как челюстно-лицевые операции считаются довольно сложными, то восстановительный период проходит довольно долго, как правило, он длится от 5-6 месяцев.
Сразу после операции пациенту на щеки и подбородок накладывается шина, затем назначается курс антибиотиков для снижения риска возможных осложнений и инфицирования.
После того, как действие наркоза проходит, появляются следующие симптомы:
- проблемы с речью;
- онемение в местах, где производилось хирургическое вмешательство;
- закладывает нос;
- приступы тошноты, а иногда и рвота;
- микротравмы в виде отеков, а также синяки в районе губ и щек;
- боль и дискомфорт при движении челюстей;
- боли, а также першение в горле как следствие использования в ходе операции интубационной трубки.
Обычно все эти симптомы проходят в течение первого месяца, одновременно нужно соблюдать диету в виде употребления мягкой пюреобразной пищи. Если у пациента установлены брекеты, то на них надевают резинки, при этом требуется постоянное наблюдение лечащего врача.
В виду сложности проведения гигиенических процедур рекомендуется в первые недели после операции полоскать рот антисептическими растворами.
Спустя две недели снимаются швы и шина, и фиксирующие элементы- пластины и винты удаляются по прошествии 4-х месяцев.
Таким образом, хирургическое вмешательство зачастую становится единственным средством для эффективного устранения врожденных либо приобретенных дефектов челюсти и прикуса. При этом человек получает не только красивую улыбку, но и возвращается к нормальной полноценной жизни благодаря восстановленной жевательной функции и правильной речи.
Реконструкция верхней челюсти
Восстановление формы и функции верхней челюсти собственными тканями.
Чаще всего реконструкция верхней челюсти выполняется после резекции опухоли твёрдого нёба, носа, гайморовой пазухи и других опухолей, распространившихся на верхнюю челюсть. Намного реже реконструкция связана с травмами или врождёнными аномалиями.
Анатомия верхней челюсти
Верхняя челюсть - парная кость, располагается в центре лицевого скелета.
Верхняя челюсть участвует в жевательном процессе, в образовании полости носа, полости рта, глазниц, имеет сложную форму:
Через подглазничные отверстия выходят кровеносные сосуды и подглазничный нерв, отвечающий за чувствительность зубов верхней челюсти, кожи и слизистой оболочки рта, носа.
Верхняя челюсть отделяет полость рта от полости носа:
Варианты резекции верхней челюсти
В зависимости от локализации и размера опухоли выделяют 6 классов резекции в вертикальной плоскости (I-VI) и 4 класса - в горизонтальной плоскости (a-d):
Если не выполнять реконструкцию, то пациент столкнётся с рядом проблем:
- Асимметрия лица - без костной поддержки мягкие ткани проваливаются внутрь;
- Асимметрия положения глаз - при III и IV классе резекции глазное яблоко теряет опорность, проваливается внутрь и вниз;
- Трудности разговора и приёма пищи - между полостью рта и полостью носа после резекции может возникнуть сквозное отверстие, из-за которого голос становится гнусавым, а пища попадает из полости рта в полость носа.
В некоторых случаях реконструкция необходима по жизненным показаниям. Например, когда после операции остаются открытые кровеносные сосуды.
Варианты реконструкции верхней челюсти разными лоскутами. A - малоберцовый/лучевой лоскут, B - лопаточный лоскут, C - лоскут гребня подвздошной кости. Изображение: ©Lancet Oncol 2010; 11: 1001-08
Реконструкция может быть выполнена одновременно с резекцией опухоли верхней челюсти. Реконструктивный этап длится 8 часов.
Суть реконструкции - забираем кожно-костно-мышечный лоскут в одном месте и пересаживаем в другое. При этом возникают две проблемы:
- Откуда и как забрать лоскут;
- Как обеспечить питание пересаженного лоскута.
Для реконструкции верхней челюсти используются лоскуты с ноги, руки, лопатки или тазовой кости:
Реконструкция ВНЧС аллопластическим протезом (анализ 4 клинических случаев)
Повреждения анатомических структур височно-нижнечелюстного сустава (ВНЧС) могут возникнуть в результате травмы, неопластического поражения, резорбции или анкилоза, которые, таким образом, аргументируют потребность в хирургическом вмешательстве, направленном на удаление пораженных тканей и реконструкцию сустава. Последняя манипуляция может проводиться с целью улучшения формы и функции нижней челюсти, уменьшения болевых ощущений и восстановления пораженной области, с целью реализации оптимального подхода к реабилитации в диапазоне обоснованных финансовых затрат, а также для профилактики возможных осложнений.

Тотальная реконструкция ВНЧС с использованием аллопластических материалов является вариантом лечения, направленным на восстановление анатомически и патологически скомпрометированных клинических случаев. Для реализации данной процедуры доступны такие хирургические системы как TMJ Concepts (Вентура, Калифорния, США), TMJ Implants (Golden, CO, США) и Biomet (Джексонвиль, Флорида, США). В отличие от индивидуально спроектированного протеза по типу TMJ Concepts, Biomet представляет собой стандартизированную систему, состоящую из двух компонентов: суставной ямки и компонентов нижней челюсти, которые доступны в нескольких размерах. Используя шаблоны, хирурги могут выбирать компоненты подходящего размера прямо во время операции. Стандартные протезы характеризуются более низкой стоимостью, обеспечивая еще и сокращение общего времени лечения, а также являются более универсальными в использовании. В последнее время значительно возросло использование именно аллопластической системы TMJ (Biomet), которая, по данным проведенных клинических исследований, демонстрирует стабильные и удовлетворительные результаты.
В данной статье представлены результаты лечения четырех пациентов, которым провели реконструкцию ВНЧС посредством системы Biomet в случаях травмы, опухоли, резорбции и анкилоза височно-нижнечелюстного сустава.
Клинический случай 1
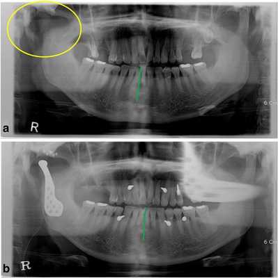
52-летний мужчина обратился за помощью по причине нарушения прикуса после кондилэктомии. Он упал вниз по лестнице и сломал нижнюю челюсть в области шейки суставного отростка. В больнице ему провели открытую редукцию поврежденной области с фиксацией частей сустава. После операции произошло инфицирование области правого ВНЧС, из-за чего пришлось провести удаление суставного отростка. Через месяц после оперативного вмешательства он обратился за помощью в стоматологическую клинику Университета Йонсей. В состояние покоя его нижняя челюсть была смещена вправо, а окклюзионное соотношение челюстей было нарушено вследствие кондилэктомии (фото 1а).
Фото 1.
а) Смещение нижней челюсти вправо (зеленая линия) в результате кондилэктомии (желтый круг).
b) Панорамная рентгенограмма, полученная через 1 день после операции, продемонстрировала восстановление окклюзионного соотношения (зеленая линия). Для стабилизации окклюзии во время операции были использованы межчелюстные фиксационные винты.

Диапазон раскрытия рта был ограничен расстоянием в 30 мм. После назначения пероральных антибиотиков с целью обеспечения инфекционного контроля была запланирована операция по реконструкции правого ВНЧС с использованием суставного протеза. Во время операции хирурги обеспечивали стабилизацию окклюзии путем межчелюстной фиксации для восстановления первоначального соотношения верхней и нижней челюстей. Установку суставного протеза проводили через два разреза: один - в околоушной области, другой - в подчелюстной по Risdon. Панорамная рентгенограмма, полученная через день после операции, подтвердила восстановление нормального окклюзионного соотношения (фото 1b). Через 3 дня пациента выписали без каких-либо осложнений послеоперационных осложнений, обеспечивая наблюдение на протяжении одного года. Протез функционировал достаточно хорошо, а восстановленная окклюзия оставалась стабильной, хотя максимальное открытие полости рта так и не удалось увеличить более чем до 30 мм.
Клинический случай 2
34-летнему мужчине был поставлен диагноз аденоидной кистозной карциномы правого внешнего слухового канала. Ему была проведена операция по удалению карциномы с кондилэктомией правого суставного отростка в отделении отоларингологии (фото 2а). После операции окклюзия стабилизировалась посредством межчелюстных фиксационных винтов и эластичных лент. Ограничений при открытии рта у данного пациента не наблюдалось, однако при открытии рта наблюдалось смещение челюсти в правую сторону. Для поддержки стабильной окклюзии без использования фиксационных межчелюстных винтов через 8 месяцев после первичного вмешательства планировалось провести реконструкцию ВНЧС. После хирургической коррекции сустава межчелюстные винты были удалены, а у пациента было подтверждено стабильное состояние межчелюстного соотношения (фото 2b).
Фото 2.
а) Правый мыщелок был удален (желтый круг) из-за карциномы наружного слухового канала. Для поддержания окклюзии в течение 8 месяцев использовались межчелюстные фиксационные винты и эластичные ленты.
b) Через 1 месяц после реконструкции TMJ фиксационные винты были удалены, а окклюзия оставалась в стабильном состоянии.

Через три месяца в области вмешательства появились болевые ощущения и развилась небольшая припухлость. Несмотря на использование антибиотиков и НПВП, симптомы продолжали сохранятся. Была проведена компьютерная томография (КТ) интересующей области, однако из-за имеющихся артефактов, спровоцированных металлическим протезом, никаких нарушений обнаружить не удалось. Спустя четыре месяца магнитно-резонансная томография (МРТ) помогла диагностировать рецидив опухоли вдоль височной мышцы. В ходе дополнительных операций были удалены и опухоль, и протез, однако у пациента продолжают проявляться рецидивы неопластического поражения в височной области и на участке правого ВНЧС.
Клинический случай 3
53-летняя женщина с ревматоидным артритом руки, запястья и плеча, обратилась за помощью по причине болевых ощущений в обоих ВНЧС. Она страдала от ревматоидного артрита в течение 1 года и принимала противовоспалительные препараты. КТ-диагностика подтвердила ревматоидное поражение обоих ВНЧС (фото 3а). У пациентки отмечалось ограниченное открывание полости рта (максимально до 23 мм), а болевые ощущения усиливались при движениях нижней челюсти. Для облегчения болевых симптомов было начато изготовление шины и проведен артроцентез обоих ВНЧС. Симптомы улучшились, однако у пациентки медленно начал развиваться передний прикус. Вертикальное перекрытие изменилось от начальных -6 мм до 0 мм (фото 3b).
Фото 3.
а) КТ-срезы, демонстрирующие сплющивание суставных головок, нерегулярность суставной поверхности и сужение суставных пространств.
b) Передний открытый прикус, который раздвинулся во время лечения с использованием шины.
с) Закрытие переднего открытого прикуса без прогрессирования нарушения в будущем.

Чтобы предотвратить прогрессирование патологии, была запланирована реконструкция ВНЧС. Во время операции было выполнено заднее перемещение верхней челюсти посредством остеотомии по Le Fort I, поскольку верхние передние зубы пациентки находились в состоянии протрузии. После резекции обоих мыщелков реконструкция ВНЧС с использованием протеза проводилась посредством вращения нижней челюсти против часовой стрелки для закрытия переднего открытого укуса (фото 3с). С момента операции на данный момент прошло уже 2 года, и в данный период не было отмечено никаких признаков воспалительного поражения области вмешательства. Симптомов прогрессирования открытого прикуса также не наблюдалось.
Клинический случай 4
41-летний мужчина, страдающий анкилозирующим спондилитом с 31-летнего возраста, обратился за помощью по причине болевых ощущений в области правого ВНЧС и ограниченного открывания рта (до 25 мм), при котором также наблюдалось отклонение нижней челюсти вправо. В ходе анализа КТ-изображений был заподозрен анкилоз правого ВНЧС, вторичный по отношению к анкилозирующему спондилиту (фото 4).
Фото 4. Корональный КТ-срез, демонстрирующий анкилоз правого ВНЧС.

Для профилактики повторного анкилоза ВНЧС была запланирована реконструкция сустава. Во время операции удалили волокнистую ткань и анкилозированный суставной отросток, обрезали суставную ямку и провели установку протеза. Спустя три месяца после операции открывание рта увеличилось до 36 мм, но челюсть при этом все еще продолжала отклонятся в правую сторону. Ни симптомов воспаления, ни признаков гетеротопического формирования костной ткани в области правого ВНЧС в течение последующего года не отмечалось. Пациент находился под периодическим наблюдением с учетом риска развития анкилоза вокруг установленного протеза, а также вероятности появления патологического очага с левой стороны челюсти из-за анкилозирующего спондилита.
Реконструкция ВНЧС с использованием аллопластических протезов показана в случаях специфического поражения и при патологиях, которые провоцируют необоротное повреждение суставов. В данной статье представлен анализ четырех случаев реконструкции ВНЧС при различных патологиях.
В клиническом случае 1 пациент перенес травму, и после хирургического вмешательства с целью фиксации элементов зубочелюстного аппарата у него произошло инфицирование области вмешательства. Данный факт стал причиной проведения кондилэктомии. Перед установкой протеза обеспечили необходимое фоновый прием антибиотиков, что помогло снизить риск инфицирования участка операции, а значит - повысило успешность проводимых хирургических процедур. Основной жалобой пациента в данном случае было нарушение прикуса после кондилэктомии. Благодаря реконструкции ВНЧС, удалось восстановить нужное межоклюзионное соотношение, хотя открытие рта так и осталось ограниченным. Возможно, такой исход был спровоцирован инфицированием области вмешательства после первичной кондилэктомии.
В клиническом случае 2 ВНЧС был резецирован по причине карциномы наружного слухового прохода. Хотя реконструктивная хирургия сустава и прошла успешно, пациент продолжал страдать от рецидивов опухоли. Из-за металлических артефактов врачу не удалось провести первичную диагностику рецидива опухоли с помощью КТ.
Аллопластический протез является вариантом восстановления ВНЧС после резекции опухоли в смежных областях, но он не подходит пациентам, которым может понадобиться повторное проведение КТ или МРТ для диагностики дальнейших патологических изменений. Тяжелое воспалительное заболевание суставов является еще одним показателем для восстановления сустава с использованием аллопластических материалов.
В клиническом случае 3 тяжелое воспаление ВНЧС вызвало резорбцию суставов на фоне ревматоидного артрита. Планировалось, что аллопластическая реконструкция ВНЧС прекратит прогрессирование заболевания, которое усугубилось и проявилось в виде переднего открытого прикуса. Проведенные ранее исследования указывают на то, что аллопластическая реконструкция ВНЧС при тяжелых воспалительных заболеваниях суставов демонстрирует весьма успешные и прогнозируемые результаты реабилитации. Ротация нижней челюсти против часовой стрелки считается дестабилизирующим фактором в ортогенетической хирургии, однако, использование протеза помогает достичь стабилизации функции суставов с минимальным риском рецидива. В ходе двухгодичного мониторинга у пациента не отмечалось никаких признаков повторного поражения. Анкилоз ВНЧС также является одним из показаний для проведения реконструкции сустава, особенно у пациентов с рецидивирующим фиброзом и костным анкилозом.
В клиническом случае 4, учитывая наличие фоновой патологии англизирующего спондилоартрита, риск повторного анкилоза ВНЧС после артропластики оставался достаточно высоким. После тотальной реконструкции сустава удалось восстановить прежний диапазон открывания рта, но челюсть пациента при этом продолжала отклонятся в пораженную сторону. В отличие от естественного сустава, который функционирует как в ротационном, так и в трансляционном направлениях, протез может функционировать только по вращательной траектории из-за потери прикрепления боковой крыловидной мышцы.
Выводы
Реконструкция ВНЧС посредством аллопластического протеза показана при специфических поражениях и патологиях сустава, которые провоцируют необратимое изменение их структуры. При адекватном планировании хирургического вмешательства и понимании функциональных ограничений суставных протезов, аллопластический аналог ВНЧС является безопасным и эффективным вариантом реабилитации комплексной функции зубочелюстного аппарата.
Результаты реконструктивных операций на челюсти. Значение реконструкций челюсти
ФГБОУ ВО «Самарский государственный медицинский университет» Минздрава РФ, Самара, Россия
Реконструкция посттравматических и постоперационных дефектов нижней челюсти
Журнал: Хирургия. Журнал им. Н.И. Пирогова. 2017;(7): 69‑72
Одной из наиболее актуальных в реконструкции дефектов нижней челюсти является проблема восстановления ее анатомического оптимума и функциональной целостности [1]. Дефекты нижней челюсти могут быть вызваны травмой, дисплазией тканей, атрофией, постлучевым некрозом, доброкачественным или злокачественным новообразованием [2—5].
В современной медицине для реконструкции нижней челюсти широко используют реконструктивные пластины, васкуляризированные и неваскуляризированные аутологичные костные трансплантаты, дистракционные методы костной пластики. Однако проблема выбора оптимального метода восстановления нижней челюсти все еще остается актуальной [6—11].
Трансплантаты на основе аутологичной костной ткани признаны «золотым стандартом» костной пластики в свя-зи с их высокой биологической совместимостью, остеоиндуктивным и остеокондуктивным потенциалами [12]. В настоящее время забор аутогенных костных трансплантатов в челюстно-лицевой хирургии производится как из внутриротовых, так и из внеротовых оперативных доступов, последние применяют в случае замещения значительных объемов дефектов нижней челюсти. Традиционно в качестве донорских зон при восстановлении непрерывности нижней челюсти используют лопаточную и малоберцовую кости, ребро, гребень подвздошной кости.
Трансплантаты на основе малоберцовой кости имеют ряд преимуществ: достаточную длину, облегчающую проведение многочисленных остеотомий для их адаптации; оптимальную высоту и ширину костной ткани, которые необходимы для дальнейшей реабилитации пациента с использованием дентальных имплантатов; низкий процент осложнений и удобное расположение донорской зоны для забора материала; хорошую васкуляризацию [13].
Неваскуляризированные костные трансплантаты широко применяют при отсроченных реконструкциях мелких посттравматических дефектов, обеспечивая основу для «ползучей» регенерации костной ткани.
Сегментарные дефекты нижней челюсти имеют различную длину. Более мелкие дефекты (менее 6 см) со здоровыми прилегающими мягкими тканями часто восстанавливаются с помощью костного трансплантата, полученного из гребня подвздошной кости. Использование трансплантата из этой зоны обеспечивает достаточный объем костной ткани для остеоинтеграции дентальных имплантатов [14, 15].
Тем не менее свободные неваскуляризированные трансплантаты имеют ряд таких недостатков, как низкая интенсивность регенерации, замедленная интеграция с окружающими тканями, увеличение риска инфицирования и резорбция костной ткани [16, 17].
Появление микрососудистой хирургии позволило совершить революцию при реконструкции дефектов нижней челюсти, особенно после применения лучевой терапии [18]. Васкуляризированные костные трансплантаты за счет наличия кровоснабжения имеют значительное биологическое преимущество, которое сокращает сроки их интеграции. Результаты применения васкуляризированных малоберцовых трансплантатов оказались заметно лучше неваскуляризированных вариантов, в том числе и реконструктивных пластин с костными трансплантатами при восстановлении дефектов нижней челюсти длиной более 6 см, распространяющихся на подбородочную область [19, 20]. Сравнение эффективности применения неваскуляризированных и васкуляризированных костных трансплантатов показало превосходство последних (успех в 69% против 96%) [19], а также доказало улучшение функциональных и эстетических параметров лица [26]. Оптимальными зонами для забора васкуляризированных трансплантатов являются малоберцовые кости, кости предплечья, лопатка и гребень подвздошной кости [27—30], однако малоберцовый трансплантат наиболее популярен при реконструкции нижней челюсти. Тем не менее его забор является одной из сложных процедур в челюстно-лицевой хирургии. По этой причине неваскуляризированные трансплантаты могут быть разумной альтернативой в некоторых ситуациях, с учетом размера дефекта костных и мягких тканей [30, 31].
Одним из недостатков трансплантата малоберцовой кости является несоответствие высоты нативной нижней челюсти и пересаженной малоберцовой кости, особенно во фронтальном отделе внутрикостной части дентального имплантата, как он проходит между верхней частью. Для устранения одного из главных недостатков малоберцового трансплантата, а именно его сравнительно небольшого диаметра сечения, производят продольную остеотомию малоберцовой кости с формированием двух фрагментов. Данные фрагменты фиксируют внахлест по их длине вдоль нижнего контура нижней челюсти и альвеолярного отростка [32—36]. Эта методика позволяет получить больший объем костного трансплантата, что способствует стабильности будущих дентальных имплантатов [37]. При этом снижение высоты малоберцового трансплантата способствует уменьшению вертикального размера костной ткани для зубных имплантатов, что приводит к увеличению их крутящего момента и уменьшению площади контакта поверхности дентального имплантата с костной тканью. Этот незаполненный объем также может привести к потере высоты нижнего отдела лица [38—39]. По мере необходимости для улучшения эстетических параметров реконструктивного вмешательства используется модификация операции с расщепленным малоберцовым трансплантатом, заключающаяся в одномоментной немедленной дентальной имплантации [40—42].
По данным ряда авторов, восстановление эстетического оптимума лица не должно быть единственным стандартом для оценки результатов реконструкции нижней челюсти, во внимание должны быть приняты функциональные и рецепторные параметры воспринимающей зоны реципиента. Нижнеальвеолярный нерв имеет важное значение в иннервации тканей челюстно-лицевой области, что определяет важность его реконструкции. Реберный трансплантат хорошо зарекомендовал себя для этих целей при реконструкции нижней челюсти. На основании данных клинических исследований было выявлено несколько преимуществ этого трансплантата: легкость забора и инсталляции; наличие тонкой кожи лоскута, которая подходит для пластики слизистой оболочки полости рта; адекватное кровоснабжение лоскута для его выживания; оптимальное восстановление функциональных и рецептивных свойств реконструируемой нижней зоны лица [43]. Однако этот тип трансплантата имеет некоторые недостатки. Он ограничен длиной ребра, при этом трудно получить достаточный объем костной ткани для замещения значительного дефекта нижней челюсти. В отличие от этого малоберцовый трансплантат может достигать в длину 25 см, что достаточно для реконструкции значительных дефектов нижней челюсти. По сравнению с малоберцовым трансплантатом кортикальная пластинка ребра значительно тоньше и более хрупкая, что делает ее менее подходящей для последующей дентальной имплантации [44].
Одной из основных проблем при фиксации аутотрансплантатов с помощью пластин и винтов из материала Ti-6Al-4V являются экранирование и концентрация напряжения, вызванного разностью модулей эластичности костной ткани и фиксирующих устройств. Как правило, для иммобилизации трансплантатов используются остеофиксаторы, изготовленные из материала класса 5 (Ti-6Al-4V) [45—48]. Ti-6Al-4V — это наиболее распространенный сплав титана, поскольку он имеет уникальные характеристики: биосовместимость, пластичность, высокую прочность, легкий вес, износостойкость [45]. Так как эти остеофиксаторы часто остаются в зоне реконструкции нижней челюсти после интеграции трансплантатов с воспринимающим ложем, они могут в дальнейшем вызвать стресс экранирования и концентрацию напряжений [46—48]. Это может привести к резорбции костной ткани [49] и в последующем к дезинтеграции имплантата [50]. Доказано, что более равномерное распределение напряжений происходит вдоль нижней челюсти при использовании двух наложенных друг на друга фрагментов малоберцового трансплантата. Использование тонких фиксирующих пластин (толщиной от 1,5 до 1 мм) более перспективно, поскольку они обеспечивают пониженную нагрузку на малоберцовый трансплантат после окончания периода интеграции, обеспечивая достаточную иммобилизацию [51, 52].
Забор аутологичных костных трансплантатов часто бывает невозможен в связи с неблагоприятным прогнозом, технологическими трудностями, наличием противопоказаний. В таких ситуациях методом выбора реконструкции нижней челюсти могут быть реконструктивные пластины. Степень успеха их применения при реконструкции нижней челюсти увеличилась в результате достижений в области дизайна и применения новых материалов. Тем не менее частота осложнений, связанных с использованием реконструктивных пластин, в современной челюстно-лицевой хирургии довольно высока [52]. По данным одних исследователей, переломы пластины отмечаются примерно через 10 мес после ее инсталляции [51]. Другие исследования свидетельствуют о переломах большинства пластин в течение первых 6 мес после операции [48—50]. Установлено, что жевательное давление может способствовать воздействию вертикальных нагрузок на пластины, что приводит к резорбции костной ткани вокруг фиксирующих винтов [21]. В другом исследовании большинство осложнений развилось в местах, подверженных большему воздействию поперечных сил [25]. Кроме того, установка реконструктивной пластины может приводить к дистрофическим изменениям мелких сосудов в зоне пластики лица, снижая плотность их гладких мышц, утолщая поперечник сосуда в направлении эндотелиальной стенки, что в дальнейшем может стать причиной прогрессирующей окклюзии и фиброза сосуда [23].
Вопрос эффективности применения костных трансплантатов в сочетании с реконструктивной пластиной для восстановления дефектов нижней челюсти остается спорным. Некоторые авторы сообщают об отсутствии статистической значимости в различии [22], в то время как другие обнаружили более высокую частоту переломов пластины после операций без одновременного применения костных трансплантатов [24]. В этом исследовании наблюдалась тенденция к снижению риска перелома пластины у пациентов, которым проводили костную пластику. Такой результат также не был статистически значимым и не было выявлено никаких существенных различий в выживаемости пластины в зависимости от возраста, пола и размера дефекта.
Компьютерное виртуальное планирование реконструкций дефектов нижней челюсти с костными трансплантатами и использование режущих направляющих при резекции, осуществляемых с помощью системы автоматизированного проектирования и автоматизированного производства (CAD/CAM), завоевали популярность в последние годы и в настоящее время все чаще используются в рутинной клинической практике [6, 24].
Применение этих технологий позволяет изменять формирование углов отверстий для винтов в пластине и костном ложе (более 15°), особенно при инсталляции в области ветви нижней челюсти в каудальном направлении. Такая угловая фиксация может способствовать увеличению первичной устойчивости винтов внутри кости, уменьшению их количества и таким образом улучшению стабильности всей системы, состоящей из костной ткани, винтов и пластины [22]. В связи с этим использование технологий CAD/CAM является перспективным направлением в реконструкции нижней челюсти [6, 24].
Таким образом, проблема реконструкции дефектов нижней челюсти остается актуальной. По нашему мнению, дальнейшие исследования будут направлены на разработку новых методов костной пластики послерезекционных дефектов нижней челюсти и выявление дополнительных факторов, участвующих в долгосрочных показателях выживаемости трансплантата при использовании различных алгоритмов реконструкции.
Вертикальная 3D аугментация верхней и нижней челюстей в целях подготовки к дентальной имплантации

Наибольшей актуальностью среди разнообразной проблематики в современной челюстно-лицевой хирургии являются повреждения костей лицевого черепа, которые ориентированы в вертикальной плоскости и требуют вертикального восстановления, то есть мероприятий по наращиванию по вертикали.
Подавляющая часть среди всех оперативных вмешательств по данному направлению, производимых при имплантации стоматологического типа в области пластики костных тканей направлены на аугментацию в вертикальном направлении по проекции пазухи верхней челюсти, для чего часто используется синус-лифтинг, кроме того, используется и наращивание высоты альвеолярного гребня по щечно-оральному направлению. Имплантаты могут быть изготовлены из имеющей искусственное происхождение костной стружки. Направлением основного смысла данной статьи будет наращивание объема альвеолярного отростка сверху вниз для обеспечения основания для устойчивого результата дентальной имплантации.
Расстояние между альвеолярным отростком (его гребнем) и пазухой верхней челюсти часто уменьшается по причине атрофии отделов челюстей, не имеющих зубов, которая может быть очень значительной. Также увеличивается расстояние до донной поверхности грушевидного отверт на верхней челюсти и до нижнечелюстного канала.
Альвеолярный гребень хорошо поддается трехмерной реконструкции - в иностранной стоматологической литературе и в отечественных исследованиях по этому поводу описано множество способов для наращивания высоты альвеолярного гребня, причем описания касаются как исполнения такой операции на нижней челюсти, что несколько проще, так и на верхней, что из-за особенностей ее расположения может оказаться несколько сложнее. Ниже мы рассмотрим те из них, которые получили в силу своих особенностей наибольшую популярность у хирургов, а также позволим себе осветить недостатки.
При проведении операции на нижней челюсти, для преодоления ограничений анатомического характера, которые диктуются нижнечелюстным каналом, часто используют усиление из титана в виде мембраны. Также могут использоваться аутогенная кость, ее заменитель, дистракционный остеогенез, а также костная регенерация при условии ее направления в вертикальной плоскости. Кроме перечисленного, могут устанавливаться костные блоки различных размеров, причем конкретная ширина и длина могут диктоваться каждым конкретным случаем и быть довольно малы.
В две тысячи четвертом году М. Сарторив и С. Лонгони предложили методику лечения дефектов нижней челюсти с обеих сторон, согласно предложенному ими способу в области жевательных движений применять сетки с основой из титана, а также материал аллокостного типа с деминерализацией. Для изготовления и обработки такого рода материалов применяется метод холодной сушки.
Основным недостатком данной методики является необходимость применения гиперкоррекции аллокостного материала так, что он может потерять примерно половину объема ввиду процесса рассасывания. Еще одним значительным минусом является эффект расхождения края ран, который проявляется в области под сеткой при использовании этого метода.
Годом позднее, С. Трасартив и К. Марчетти представили публике метод резорбции кости, применяемый в виде операции «сэндвич», который формируется в нижней челюсти, в ее боковых отделах. Для этого берутся костные блоки из подвздошной кости с перемежением остеотомии. Основными негативными сторонами данного метода то, что операция становится недоступной, если имеется остаточная кость до сосудисто-нервного пучка нижней челюсти. Кроме того, при остеотомии слизистая с язычной стороны, расположенная от верхнего костного фрагмента, должна быть сохранена в прикрепленном состоянии.
Проверенный временем метод остеогенеза дистракционного типа впервые был предложен широкой публике больше полувека назад - в середине 50-х годов. Автором этого метода является профессор Г. Илизаров. Согласно результатам его труда, если фрагменты и обломки сломанных костей при помощи специального приспособления медленно раздвигать друг от друга, то в промежутке между ними будет формироваться костная ткань, которая после процесса костного созревания претерпевает превращение в нормальную взрослую кость.
Однако при применении такой методики в проекции дистрактора с большой долей вероятности останутся свищевые ходы, что приведет к частым воспалительным процессам, протекающим в окружающих место операции мягких тканях. Кроме того, такой способ лечения является весьма дискомфортным для того, кто ему подвергается, может обернуться эстетическим изъяном, и обязательно завершится длительным периодом лечения. Кроме того, при ретракции вероятным является причинение перелома нижней челюсти.
Дистракционный остеогенез. Метод дистракции впервые был предложен профессором Г. Илизаровым в 50-ых годах прошлого столетия. Он писал, что при медленном растяжении друг от друга фрагментов и обломков сломанных костей специальным приспособлением, в образовавшемся пространстве между ними формируется новая молодая костная ткань, которая впоследствии преобразуется в зрелую кость. Недостатки методики: образование свищевых ходов в проекции дистрактора, частые явления воспаления со стороны окружающих мягких тканей, дискомфорт для пациента и эстетический изъян,длительность лечения, опасность перелома нижней челюсти при ретракции.

Перелом челюсти у пациента с дистрактором, служащим для вертикальной реконструкции
Вертикальная направленная костная регенерация (НКР), используемая многими хирургами-имплантологами, также является непредсказуемой. При данной методике используется искусственная костная ткань в сочетании с аутокостью и мембраной резорбируемой или нерезорбируемой укрепленной титановой сеткой. Недостатки: сомнительная плотность полученной костной ткани и высокая степень резорбции.
Атрофированный альвеолярный отросток нижней челюсти
Вертикальная реконструкция с помощью костного материала и мембраны, укрепленной титаном
Майкл С. Блок в 2011 г. считает наиболее целесообразной остеотомию по ЛефорI (нижнее или верхнее перемещение верхней челюсти) с постановкой костного аутотрансплантата в образовавшийся промежуток. Недостатки: травматичность операции, достаточно трудно получить согласие пациента.[1].
ЛефорI, з афиксированный гребень подвздошной кости
При постановке коротких или тонких имплантатов. Недостатки: в случае с короткими имплантатами не всегда возможна установка, когда до нижнечелюстного нерва менее 5-6 мм, когда из-за значительной атрофии и пневматизации пазухи остаточная кость в области дна гайморовой пазухи составляет менее 1мм, невозможно добиться первичной стабильности имплантатов. Что касается тонких имплантатов, то они уступает по протетикетолстым.
При наличии остаточной костной ткани в проекции верхнечелюстной пазухи 0,5 мм для первичной стабильности имплантатов необходимо использовать костный блок с ветви нижней челюсти и одновременно выполнить синус-лифтинг и установку дентальных имплантатов. Недостаток метода — невозможность постановки имплантата по середине косного блока так, как мешают винты для фиксации трансплантата.
Синус-лифтинг, наличие костной перегородки. Зафиксированный нижнечелюстной костный блок и установленные имплантаты. Рана ушита пародонтологическими и узловыми швами

Ортопантомограмма после операции
Таким образом, наш опыт применения известных методов вертикальной аугментации показал, что они имеют ряд недостатков и это позволяет сделать вывод, что при реконструкции альвеолярного гребня верхней и нижней челюстей хороший результат возможен при использовании аутотрансплантатов, которые являются единственным источником остеогенных клеток и считаются «золотым стандартом» в реконструктивных операциях: теменная область, гребень подвздошной кости, нижнечелюстные блоки.
На основании вышеизложенного, мы разработали два принципиально новых способа для вертикальной аугментации альвеолярного отростка верхней и нижней челюстей с целью последующей дентальной имплантации. Первый метод на верхней челюсти:при наличии протяженного дефекта и остаточной костной ткани менее 0,5мм над верхнечелюстной пазухой из-за значительной атрофии костной ткани и пневматизации пазухи [6], при невозможности выполнить успешный синус-лифтинг из-за нестабильности костного материала и последующую дентальную имплантацию. Второй метод на нижней челюсти позволяет при наличии остаточной костной ткани в боковых отделах над нижнечелюстным сосудисто-нервным пучком менее 5-6 мм восстановить костную ткань для установки имплантатов.
Материал и методики
В 2010 — 2011 гг. в отделении пластической и челюстно-лицевой хирургии РНЦХ им. акад. Б.В. Петровского выполнено 15 операций на верхней челюсти с использованием гребня подвздошной кости и 20 операций на нижней челюсти с теменными аутотрансплантатами, во всех клинических ситуациях была достигнута возможность постановки дентальных имплантатов.
Для устранения вертикального дефицита костной ткани в зоне постановки имплантатов в проекции нижнечелюстного сосудисто-нервного пучка, мы использовали пересадку теменных аутотрансплантатов с язычной и вестибулярных сторон. Между костными блоками выполнялась утрамбовка костной стружки (см. рис. 8,9). Спустя 6 месяцев мы убирали скелетные винты, и устанавливали дентальные имплантаты.
Для воссоздания альвеолярного отростка в проекции гайморовой пазухи при протяженных дефектах и выраженной атрофии 0,5мм использовали гребень подвздошной кости с остеотомией передней стенки верхнечелюстного синуса и фиксацией трансплантата к небной кости. Через 6 месяцев выполнили установку имплантатов (см. рис. 14, 15, 16).
Пациент А., 59 лет обратился в клинику для изготовления несъемных протезов на нижней челюсти. У пациента отмечалась атрофия костной ткани, до нижнечелюстного канала 2-3мм.
Тактика выбора лечения: трехмерная реконструкция альвеолярного отростка в боковых участках нижнечелюстными кортикальными аутоблоками невозможна из-за недостаточного объема донорской костной ткани.
В данном случае мы выбрали теменную кость, так как резорбция костных трансплантатов внутримембранного происхождения происходит медленнее, чем энхондрального [5].
Для доступа и забора, теменных аутотрансплантатов использовали полувенечный разрез. Выполнили забор 4-х теменных аутотрасплантатов размерами 4*2,5 см и 3*2 см в количестве 3 и 1 соответственно.
Доступ для забора и забранные костные теменные аутотрасплантаты
Забранные костные блоки были зафиксированы. После фиксации костных блоков пространство между аутотрасплантатами (вестибулярным и язычным) аугментировано аутостружкой, смешанной с венозной кровью.
Фиксация костных аутотрасплантатов с ветибулярной и язычной стороны, аугментация аутостружкой, схема фиксации трансплантатов с вестибулярной и язычной сторон
Аналогичная операция выполнена слева. Раны ушиты п-образными и узловыми швами, без натяжения с созданием слизисто-надкостничных «мешочков».

Ортопантомограмма пациента А. после операции
Через 6 месяцев выполнена дентальная имплантация. При имплантации отмечено хорошее кровоснабжение костной ткани, которая по свойствам была схожа с нижнечелюстной. Отрицательной стороной данного способа является необходимость выполнения вестибулопластики на этапе установки формирователей десны.
Дентальная имплантация пациент А. через 6 месяцев

Ортопантомограмма пациента А. после дентальной имплантации
Пациент Б., 32 года обратился в клинику с целью установки дентальных имплантатов в области зубов 25,26,27. На ортопантомограмме и КТ-граммах отмечена высота дна гайморовой пазухи менее 0,5мм, что называется симптомом «яичной скорлупы».

Ортопонтомограмма пациента Б. пациента до операции
Выполнен трапециевидный разрез от 23 до 27 отслоен слизисто-надкостничный лоскут. Отмечен сквозной дефект передней стенки верхнечелюстной пазухи, что затрудняет успешный синус-лифтинг. Выполнена остеотомия передней стенки и дна верхнечелюстной пазухи. Выполнен забор аутотрансплантата с гребня подвздошной кости согласно дефекту альвеолярного отростка верхней челюсти. Выполнена моделировка, и фиксация трансплантата к небной стенке верхней челюсти длинными винтами, передняя стенка верхнечелюстного синуса возвращена на место и зафиксирована. Раны ушиты пародонтологическими и узловыми швами.
Этапы: разрез и отслойка тканей, забор, фиксация гребня подвздошной кости
Таким образом, поскольку подвздошная кость является энхондральной, покрывая с вестибулярной и небной сторон кортикальными пластинами, мы придаем ей свойства мембранозной кости.
Ортопантомограмма после операции и зафиксированный костный трансплантат
Через 4 месяца выполнена дентальная имплантация. При формировании ложа для имплантатов отмечалось хорошее кровоснабжение трансплантата и увеличение плотности костной ткани.

Ортопантомограмма пациента Б. после операции
Пациент В., 70 лет обратился в частную стоматологическую клинику. У пациента отметили наличие односторонней атрофии по вертикали альвеолярного отростка нижней челюсти. Выполнили вертикальную реконструкцию нижнечелюстными блоками в условиях местной анестезии.

Ортопантомограмма пациента В. до операции

Нижнечелюстные костные блоки и зафиксированные трансплантаты с вестибулярной и язычной сторон
Расщепленные свободные костные трансплантаты с ветвей нижней челюсти были зафиксированы с вестибулярной и язычной сторон, пространство между трансплантатами аугментировано ксеногенным материалом «БиОсс». Раны ушиты П-образными и узловыми швами с формированием слизисто-мышечных «мешочков».
Результаты
С 2010 г. по 2011 г. в отделении пластической и челюстно-лицевой хирургии РНЦХ им. акад. Б.В. Петровского выполнено 15 операций на верхней челюсти с использованием гребня подвздошной кости и 20 операций на нижней челюсти с теменными аутотрансплантатами. Во всех клинических ситуациях была достигнута возможность постановки дентальных имплантатов.
Разработанный метод трехмерной вертикальной реконструкции нижней челюсти теменными трансплантатами позволяет увеличить высоту челюсти в боковых отделах до 10-15 мм, ширину до 10-13 мм по нашей практике. Особенностью и новизной данной операции является фиксация костного трансплантата с язычной стороны.
Выводы
Разработанные методы вертикальной аугментации дают положительный отдаленный результат с сохранением объема и плотностикостной ткани в целях дентальной имплантации и несъемного протезирования.Данные способы позволяют получить истинную кость для дентальной имплантации, и на наш взгляд являются оптимальным методом выбора.
Читайте также:
- Серная пробка. Клиника и прогноз серной пробки
- Факторы роста яичников. Инсулиноподобные и эпидермальный факторы роста
- Эффективность раннего обнаружения поражения коронарных сосудов. Рекомендации по диагностике поражений коронарных сосудов.
- КТ при врожденном стенозе грушевидного отверстия носа
- Синдром Бострупа (Baastrup)
