Сдавление головного мозга. Острые травматические гематомы.
Добавил пользователь Евгений Кузнецов Обновлено: 21.11.2025
Внутримозговая гематома — ограниченное скопление крови в веществе головного мозга, оказывающее сдавливающее, смещающее и повреждающее воздействие на расположенную вблизи мозговую ткань. Внутримозговая гематома клинически характеризуется общемозговыми и очаговыми симптомами, которые зависят от места расположения гематомы и ее объема. Наиболее достоверно внутримозговая гематома диагностируется сочетанным применением КТ и МРТ головного мозга, а также ангиографического исследования сосудов мозга. Небольшая внутримозговая гематома может быть пролечена консервативно, большая внутримозговая гематома — только хирургически, путем удаления или аспирации.
МКБ-10


Общие сведения
Внутримозговая (интрапаренхиматозная) гематома - разновидность внутричерепной гематомы, характеризующаяся скоплением крови в паренхиме мозга. Чаще имеет посттравматическое происхождение. В структуре всех внутричерепных гематом внутримозговые кровоизлияния составляют порядка 30%. В несколько раз чаще диагностируются у мужчин. Возрастной пик приходится на молодой трудоспособный возраст - от 35 до 50 лет. Представляют серьезную опасность в связи с тяжестью развивающихся церебральных нарушений и высоким процентом летальности.

Причины
В зависимости от генеза внутричерепные гематомы могут быть посттравматическими и нетравматическими. Внутримозговая гематома может образоваться в результате:
- ЧМТ. Чаще всего излитию крови способствует разрыв церебрального сосуда в момент черепно-мозговой травмы или посттравматическое диапедезное кровотечение в контузионном очаге.
- Патологии церебральных сосудов. Непосредственная причина - разрыв аневризмы головного мозга или артерио-венозной мальформации.
- Аррозивного кровотечения. Деструкция сосудистой стенки может развиваться при внутримозговой опухоли, из-за чрезмерного повышения внутрисосудистого давления при артериальной гипертензии и/или нарушения эластичности сосудистой стенки при атеросклерозе, системных васкулитах, диабетической макроангиопатии и др.
- Изменений свойств крови. Внутримозговая гематома может быть связана с изменением реалогических свойств крови при гемофилии, лейкемии, заболеваниях печени (хроническом гепатите, циррозе), лечении антикоагулянтами и т. п.
Патогенез
Внутримозговая гематома может состоять как из жидкой, так и из свернувшейся крови. В некоторых случаях помимо крови внутримозговая гематома содержит мозговой детрит, по своему количеству значительно уступающий объему скопившейся в гематоме крови. Количество крови, которое вмещает внутримозговая гематома, колеблется от 1 до 100 мл. Увеличение размеров внутримозговой гематомы происходит, как правило, в течение 2-3 часов после начала кровотечения, а при нарушении свертывания крови и дольше.
Образовавшаяся внутримозговая гематома сдавливает окружающие ее мозговые ткани, приводя к их повреждению и некрозу. Наряду с этим внутримозговая гематома вызывает повышение внутричерепного давления и может стать причиной отека головного мозга. Внутримозговая гематома значительных размеров может приводить к смещению структур головного мозга и развитию так называемого дислокационного синдрома. Кроме того, кровотечение приводит к рефлекторному спазму сосудов головного мозга и ишемии, в первую очередь в расположенных вблизи гематомы областях.
Ишемия является дополнительным повреждающим фактором, приводящим к распространению патологических изменений далеко за пределы образующейся гематомы. Примерно в 14% наблюдений внутримозговая гематома прорывается в желудочки головного мозга, приводя к кровоизлиянию в желудочки. Согласно некоторым данным в 23% случаев внутримозговая гематома сочетается с образованием в оболочках головного мозга субдуральной, эпидуральной или эпи-субдуральной гематомы.
Классификация
На сегодняшний день клиническая неврология использует несколько классификаций внутримозговых гематом, дающих представление о их различных характеристиках: расположении, размерах, этиологии. В зависимости от локализации выделяют центральную, субкортикальную и кортико-субкортикальную внутримозговую гематому, а также гематому мозжечка. Различают лобарные, медиальные, латеральные и смешанные внутримозговые гематомы. По размеру внутримозговая гематома может классифицироваться как:
- малая (до 20 мл, диаметр по КТ не более 3 см)
- средняя (20-50 мл, КТ-диаметр 3-4,5 см)
- большая (>50 мл, КТ-диаметр >4,5 см).
По причине возникновения внутримозговая гематома может быть посттравматической, гипертензионной, аневризматической, опухолевой и пр. Для посттравматической гематомы применяется классификация по времени ее возникновения. Первичная внутримозговая гематома образуется сразу же после ЧМТ, отсроченная внутримозговая гематома — через сутки и более.
Симптомы внутримозговой гематомы
Общемозговые симптомы
В большинстве случаев интрапаренхиматозная гематома сопровождается выраженной общемозговой симптоматикой. У пациентов наблюдается головокружение, интенсивная головная боль, тошнота и рвота. Более половины случаев внутримозговой гематомы характеризуется нарушением сознания от сопора до комы. Иногда угнетению сознания предшествует период психомоторного возбуждения. Образование внутримозговой гематомы может протекать с наличием стертого светлого промежутка в состоянии пациента, с более длительным светлым промежутком или без него.
Очаговые симптомы
Очаговая симптоматика внутримозговой гематомы зависит от ее объема и локализации. Так, при небольших гематомах в области внутренней капсулы имеет место более выраженный неврологический дефицит, чем при значительно больших гематомах, локализующихся в менее значимых в функциональном плане участках мозга. Наиболее часто внутримозговая гематома сопровождается гемипарезом, афазией (расстройством речи), нарушениями чувствительности, не симметричностью сухожильных рефлексов правых и левых конечностей, судорожными эпилептическими приступами. Могут наблюдаться анизокория, гемианопсия, лобные симптомы: расстройство критики и памяти, нарушение поведения.
Дислокационный синдром
Обширная внутримозговая гематома быстро приводит к появлению дислокационного синдрома, возникающего в результате смещения мозговых структур. Вызывая увеличение объема содержимого черепной коробки, внутримозговая гематома приводит к смещению мозговых структур в каудальном направлении и вклинению миндалин мозжечка в большое затылочное отверстие. Следствием этого является сдавление продолговатого мозга, клинически проявляющееся стволовой симптоматикой: нистагмом, нарушением глотания (дисфагией), расстройством дыхательного ритма, диплопией, тугоухостью, вестибулярной атаксией, гипо- или аносмией, косоглазием и опущением верхнего века, брадикардией, гипертермией и подъемом артериального давления.
Кровоизлияние в желудочки
Внутримозговая гематома с прорывом крови в желудочки характеризуется гипертермией, быстро развивающимся угнетением сознания вплоть до комы, наличием менингеальных симптомов, горметоническими судорогами — приступообразным повышением тонуса мышц конечностей, в результате которого руки оказываются согнуты и приведены к туловищу, а ноги максимально разогнуты.
Внутримозговая гематома отсроченного характера клинически проявляется отсутствием улучшения в состоянии пациента или резким ухудшением его состояния спустя сутки и более после полученной травмы.
Диагностика
Современные методы нейровизуализации позволяют не только диагностировать внутримозговую гематому, но и выявить причину ее появления. Ведущим диагностическим методом являются:
- КТ головного мозга. Как правило, на томограммах внутримозговая гематома имеет вид очага гомогенной плотности округлой или овальной формы. Если гематома сформировалась в результате ушиба головного мозга, то она обычно имеет неровный контур. С течением времени происходит уменьшение плотности гематомы до изоплотного состояния, при котором ее плотность соответствует плотности мозговой ткани. Для малых гематом этот период составляет 2-3 недели, а для средних — до 5 недель.
- МРТ головного мозга. При уменьшении плотности гематома лучше визуализируется при помощи МРТ, хотя в начальном периоде применение МРТ может привести к ошибочному диагнозу в пользу опухоли с кровоизлиянием. Поэтому, при наличие такой возможности, многие неврологи и нейрохирурги предпочитают использовать в ходе диагностики оба способа нейровизуализации (КТ и МРТ).
- Церебральная ангиография. С целью выявления сосудистых нарушений, обусловленных рефлекторным ангиоспазмом, а также для диагностики аневризм и артерио-венозных мальформаций применяется ангиография головного мозга или магнитно-резонансная ангиография (МРА). Самостоятельно применяться в диагностике внутримозговой гематомы ангиография не может, поскольку не дает возможности точно отдифференцировать участок ушиба головного мозга от гематомы.

Дифференцировать внутримозговую гематому следует с опухолью полушарий мозга, очагом ушиба мозга, ишемическим инсультом, кистой и абсцессом головного мозга.
Лечение внутримозговой гематомы
Консервативная терапия
Внутримозговая гематома может быть пролечена консервативным или оперативным способом. Решение о выборе лечебной тактики обычно принимает нейрохирург. Проведение консервативной терапии под контролем КТ возможно при диаметре внутримозговой гематомы до 3 см, удовлетворительном состоянии сознания пациента, отсутствии клинических данных за дислокационный синдром и сдавление продолговатого мозга. В рамках консервативной терапии осуществляется введение гемостатиков и препаратов, уменьшающих проницаемость сосудов. Необходима профилактика тромбоэмболии, коррекция артериального давления. Для снижения внутричерепного давления под контролем электролитного состава крови применяют диуретики.
Нейрохирургическое лечение
Большой диаметр внутримозговой гематомы, выраженная очаговая симптоматика, нарушение сознания являются показанием к хирургическому лечению. Наличие признаков сдавления ствола мозга и/или дислокационного синдрома служит поводом для неотложного оперативного вмешательства:
- Транскраниальное удаление. Является операцией выбора при гематомах различной локализации и размера.
- Эндоскопическая эвакуация. Менее травматичный способ хирургического лечения внутримозговой гематомы. Применяется при наличии технической возможности.
- Стереотаксическая аспирация. Применима в отношении гематом малого размера, сопровождающихся значительным неврологическим дефицитом.
При множественных гематомах удалению зачастую подлежит лишь наибольшая из них. Если внутримозговая гематома сочетается с гематомой оболочек того же полушария, то ее удаление производится совместно с удалением субдуральной гематомы. Если внутримозговая гематома малого или среднего размера локализуется на другой стороне от гематомы оболочек, то она может не удаляться.
Прогноз и профилактика
К основным факторам, от которых зависит прогноз, относятся: размер и расположение гематомы, возраст пациента, наличие сопутствующей патологии (ожирения, гипертонической болезни, сахарного диабета и др.), степень и длительность нарушения сознания, сочетание внутримозговой гематомы с гематомами оболочек, своевременность и адекватность оказанной медицинской помощи. Наиболее неблагоприятен прогноз в отношении гематом, прорывающихся в желудочки головного мозга. Основные причины летального исхода — это отек и дислокация головного мозга. Около 10-15% пациентов с геморрагическим инсультом погибают от рецидива кровоизлияния, а примерно 70% имеют стойкий инвалидизирующий неврологический дефицит. Профилактика заключается в предотвращении травм головы, профилактике и своевременном лечении цереброваскулярных заболеваний.
Субдуральная гематома
Субдуральная гематома — ограниченное внутричерепное скопление крови, локализующееся между твердой и арахноидальной мозговыми оболочками. В большинстве случаев является следствием травмы. Проявляется вариативными по форме и длительности нарушениями сознания и психики, головной болью, рвотами, очаговым неврологическим дефицитом (мидриаз, гемипарез, экстрапирамидные расстройства). Решающую роль в диагностике имеют данные КТ или МРТ. В легких случаях достаточным является консервативное лечение (антифибринолитическое, противоотечное, симптоматическое), но чаще требуется хирургическое удаление гематомы.



Субдуральная гематома — локальное скопление крови, находящееся между твердой и паутинной (арахноидальной) церебральными оболочками. Составляет около 40% от всех внутричерепных кровоизлияний, к которым также относятся эпидуральные и внутримозговые гематомы, желудочковые и субарахноидальные кровоизлияния. В преобладающем большинстве наблюдений субдуральная гематома выступает следствием черепно-мозговой травмы, частота ее встречаемости при тяжелой ЧМТ доходит до 22%. Гематомы субдуральной локализации могут возникать в любом возрасте, но чаще наблюдаются у людей старше 40 лет. Среди пациентов соотношение мужчин к женщинам составляет 3:1.
Субдуральные гематомы классифицируют на острые (проявляющиеся в первые 3-е суток ЧМТ), подострые (проявляющиеся в период от 3-х суток до 2-х недель с момента травмы) и хронические (проявляющиеся позднее 2-х недель). Согласно МКБ-10, выделяют нетравматическое и травматическое субдуральное кровоизлияние с наличием/отсутствием проникающей в череп раны. В клинической практике субдуральная гематома является предметом изучения для специалистов в области травматологии, нейрохирургии и неврологии.

Субдуральная гематома формируется преимущественно вследствие возникающего в результате ЧМТ разрыва интракраниальных вен, проходящих в субдуральном пространстве. Гораздо реже она возникает вследствие сосудистой церебральной патологии (артерио-венозных мальформаций и аневризм церебральных сосудов, гипертонической болезни, системного васкулита) и нарушений свертывания крови (коагулопатии, терапии антикоагулянтами). Отличием от эпидуральной гематомы является возможность двустороннего образования субдуральной гематомы.
Субдуральная гематома на стороне действия повреждающего агента (гомолатеральная гематома) образуется при малоподвижной голове и небольшой площади контакта с травмирующим предметом. Формирование гематомы возможно и без прямого контакта черепа с травмирующим фактором. Это может произойти при резкой остановке или перемене направления движения. Например, во время езды в транспорте, при падении на ягодицы или на ноги. Происходящее при этом резкое встряхивание головы обуславливает смещение полушарий мозга внутри черепной коробки, влекущее за собой разрыв интракраниальных вен.
Субдуральная гематома, противоположная стороне повреждения, носит название контрлатеральной. Она формируется при ударе черепа о массивный малоподвижный объект или при действии на неподвижную голову травмирующего предмета с большой площадью контакта. Контрлатеральная субдуральная гематома часто связана с разрывом вен, которые впадают в сагиттальный венозный синус. Намного реже гематомы субдурального пространства обусловлены непосредственным травмированием вен и артерий мозговой коры, происходящем при разрыве твердой церебральной оболочки. На практике часто наблюдаются двусторонние субдуральные гематомы, что связано с одновременным приложением нескольких механизмов травмирования.
Острая субдуральная гематома формируется преимущественно при тяжелой ЧМТ, подострая или хроническая — при легких формах ЧМТ. Хроническая субдуральная гематома заключена в капсулу, которая образуется спустя неделю после травмы благодаря активации фибробластов твердой оболочки мозга. Ее клинические проявления обусловлены нарастающим увеличением объема.

Симптомы
Среди общемозговых проявлений отмечаются расстройства сознания, нарушения психики, цефалгия (головная боль) и рвота. В классическом варианте характерна трёхфазность нарушений сознания: утрата сознания после ЧМТ, последующее восстановление на какое-то время, обозначаемое как светлый промежуток, затем повторная утрата сознания. Однако классическая клиника встречается достаточно редко. Если субдуральное кровоизлияние сочетается с ушибом головного мозга, то светлый промежуток вообще отсутствует. В других случаях он имеет стертый характер.
Длительность светлого промежутка весьма вариабельна: при острой гематоме — несколько минут или часов, при подострой — до нескольких суток, при хронической — несколько недель или месяцев, а иногда и несколько лет. В случае длительного светлого промежутка хронической гематомы его окончание может быть спровоцировано перепадами артериального давления, повторной травмой и др. факторами.
Среди нарушений сознания преобладают дезинтеграционные проявления: сумеречное состояние, делирий, аменция, онейроид. Возможны расстройства памяти, корсаковский синдром, «лобная» психика (эйфория, отсутствие критики, нелепое поведение). Зачастую отмечается психомоторное возбуждение. В ряде случаев наблюдаются генерализованные эпиприступы.
Пациенты, если возможен контакт, жалуются на головную боль, дискомфорт при движении глазными яблоками, головокружение, иррадиацию боли в затылок и глаза, гиперчувствительность к свету. Во многих случаях больные указывают на усиление цефалгии после рвоты. Отмечается ретроградная амнезия. При хронических гематомах возможно снижение зрения. Острые субдуральные гематомы, приводящие к компрессии мозга и масс-эффекту (дислокационному синдрому), сопровождаются признаками поражения мозгового ствола: артериальной гипотонией или гипертензией, дыхательными нарушениями, генерализованными расстройствами тонуса мышц и рефлексов.
Наиболее важным очаговым симптомом выступает мидриаз (расширение зрачка). В 60% случаев острая субдуральная гематома характеризуется мидриазом на стороне ее локализации. Мидриаз противоположного зрачка встречается при сочетании гематомы с очагом ушиба в другом полушарии. Мидриаз, сопровождающийся отсутствием или снижением реакции на свет, типичен для острых гематом, с сохранной реакцией на свет — для подострых и хронических. Мидриаз может сочетаться с птозом и глазодвигательными нарушениями.
Среди очаговой симптоматики можно отметить центральный гемипарез и недостаточность VII пары (лицевого нерва). Нарушения речи, как правило, возникают, если субдуральная гематома располагается в оболочках доминантного полушария. Сенсорные расстройства наблюдаются реже пирамидных нарушений, затрагивают как поверхностные, так и глубокие виды чувствительности. В ряде случаев имеет место экстапирамидный симптомокомплекс в виде пластического тонуса мышц, оральных автоматизмов, появления хватательного рефлекса.
Вариабельность клинической картины затрудняет распознавание субдуральных кровоизлияний. При диагностике неврологом учитываются: характер травмы, динамика нарушения сознания, наличие светлого промежутка, проявления «лобной» психики, данные неврологического статуса. Всем пациентам в обязательном порядке проводится рентгенография черепа. В отсутствие других способов распознаванию гематомы может способствовать Эхо-ЭГ. Вспомогательным методом диагностики хронических гематом выступает офтальмоскопия. На глазном дне офтальмолог зачастую определяет застойные диски зрительных нервов с их частичной атрофией. При проведении ангиографии церебральных сосудов выявляется характерный «симптом каймы» - серповидная зона аваскуляризации.
Решающими методами в диагностике субдуральной гематомы являются КТ и МРТ головного мозга. В диагностике острых гематом предпочтение отдается КТ головного мозга, которая в таких случаях выявляет однородную зону повышенной плотности, имеющую серповидную форму. С течением времени происходит разуплотнение гематомы и распад кровяных пигментов, в связи с чем через 1-6 нед. она перестает отличается по плотности от окружающих тканей. В подобной ситуации диагноз основывается на смещении латеральный отделов мозга в медиальном направлении и признаках сдавления бокового желудочка.

При проведении МРТ может наблюдаться пониженная контрастность зоны острой гематомы; хронические субдуральные гематомы, как правило, отличаются гиперинтенсивностью в Т2 режиме. В затруднительных случаях помогает МРТ с контрастированием. Интенсивное накопление контраста капсулой гематомы позволяет дифференцировать ее от арахноидальной кисты или субдуральной гигромы.
Лечение
Консервативная терапия осуществляется у пациентов без нарушений сознания, имеющих гематому толщиной не более 1 см, сопровождающуюся смещением церебральных структур до 3 мм. Консервативное лечение и наблюдение в динамике с МРТ или КТ контролем показано также пациентам в коме или сопоре при объеме гематомы до 40 мл и внутричерепном давлении ниже 25 мм рт. ст. Схема лечения включает: антифибринолитические препараты (аминокапроновую кислоту, викасол, апротинин), нифедипин или нимодипин для профилактики вазоспазма, маннитол для предупреждения отека мозга, симптоматические средства (противосудорожные, анальгетики, седативные, противорвотные).
Острая и подострая субдуральная гематома с признаками сдавления головного мозга и дислокации, наличием очаговой симптоматики или выраженной внутричерепной гипертензии являются показанием к проведению срочного хирургического лечения. При быстром нарастании дислокационного синдрома проводится ургентное эндоскопическое удаление гематомы через фрезевое отверстие. При стабилизации состояния пациента нейрохирургами осуществляется широкая краниотомия с удалением субдуральной гематомы и очагов размозжения. Хроническая гематома требует хирургического лечения при нарастании ее объема и появлении застойных дисков при офтальмоскопии. В таких случаях она подлежит наружному дренированию.
Число смертельных исходов составляет 50-90% и наиболее высоко у пожилых пациентов. Следует отметить, что летальность обуславливает не столько субдуральная гематома, сколько травматические повреждения тканей мозга. Причиной смерти также являются: дислокация мозговых структур, вторичная церебральная ишемия, отек головного мозга. Угроза смертельного исхода остается и после хирургического лечения, поскольку в послеоперационном периоде возможно нарастание церебрального отека. Наиболее благоприятные исходы отмечаются при проведении операции в первые 6 ч. с момента ЧМТ. В легких случаях при успешном консервативном лечении субдуральная гематома рассасывается в течение месяца. Возможна ее трансформация в хроническую гематому.
Профилактика субдуральных кровоизлияний тесно связана с предупреждением травматизма вообще и травм головы в частности. К мерам безопасности относятся: ношение шлемов при езде на мотоцикле, велосипеде, роликах, скейте; ношение касок на стройке, при восхождении в горах, занятии байдарочным спортом и другими видами экстрима.
Сдавление головного мозга
Сдавление головного мозга — острая или хроническая компрессия тканей головного мозга, развивающаяся вследствие черепно-мозговой травмы, наличия в полости черепа объемного образования, гидроцефалии или отека мозга. В узком значении под сдавлением мозга понимают форму тяжелой ЧМТ. Клинически сдавление головного мозга проявляется тяжелыми общемозговыми симптомами вплоть до развития комы. Очаговые симптомы зависят от топических характеристик патологического процесса. Характерным, но не обязательным, признаком является наличие в клинике светлого промежутка. Основу диагностики составляет КТ и МРТ головного мозга. Лечение зачастую хирургическое, направлено на удаление образования, обусловившего сдавление, и устранение гидроцефалии.


Сдавление головного мозга — это жизненно опасное состояние, возникающее вследствие компрессии церебральных тканей и прогрессирующего повышения внутричерепного давления. Компрессия приводит к некрозу и гибели мозговых клеток, что выражается формированием зачастую необратимого неврологического дефицита. В широком смысле сдавление головного мозга может отмечаться при многих патологических процессах, происходящих внутри черепной коробки. В узком смысле острое сдавление головного мозга понимается как одна из клинических форм тяжелой черепно-мозговой травмы.
По статистике около 5% ЧМТ протекает со сдавлением мозга. Летальность при тяжелой травме составляет от 30% до 50%, инвалидизация после ЧМТ доходит до 30%. Улучшение исходов ЧМТ и снижение летальности является важной задачей современной травматологии, неврологии и неотложной нейрохирургии.

Причины сдавления головного мозга
Вследствие ограниченного пространства внутри черепной коробки, любое объемное образование внутри черепа приводит к компрессии мозговых тканей. В роли подобного образования может выступать внутримозговая опухоль (глиома, астроцитома, аденома гипофиза и др.), опухоли мозговых оболочек, гематомы, скопление крови, излившейся в результате геморрагического инсульта, церебральная киста, абсцесс головного мозга. Кроме того, значительное повышение внутричерепного давления и компрессия головного мозга могут быть обусловлены выраженной гидроцефалией, отеком головного мозга.
Медленно растущие опухоли, кисты, постепенно нарастающая гидроцефалия, формирующиеся абсцессы вызывают хроническое сдавление головного мозга, при котором медленно усугубляющаяся компрессия дает возможность нейронам в определенной степени адаптироваться к возникшим патологическим условиям. Острое сдавление головного мозга при ЧМТ, отеке мозга, окклюзионной гидроцефалии, инсульте связано с быстрым нарастанием внутричерепного давления и приводит к массовой гибели мозговых клеток.
Острая компрессия мозга наиболее часто возникает в результате черепно-мозговой травмы. Ее самой распространенной причиной выступает посттравматическая гематома. В зависимости от места расположения она может быть суб- и эпидуральной, внутримозговой и внутрижелудочковой. Компрессия мозга бывает вызвана вдавлением осколков или внутричерепным накоплением воздуха (пневмоцефалией), происходящими при переломе черепа. В некоторых случаях сдавление головного мозга обусловлено нарастающей в объеме гигромой, которая образуется при клапанном надрыве твердой оболочки мозга и повреждении субарахноидальных цистерн, содержащих ликвор. Через дефект твердой мозговой оболочки происходит всасывание под нее цереброспинальной жидкости из субарахноидального пространства. Таким образом формируется субдуральная гигрома.
Симптомы сдавления головного мозга
Клиническая картина сдавления мозга зависит от этиологии, локализации сдавливающего образования, его размеров и скорости увеличения, а также от компенсаторных способностей мозга. Патогномоничным для большинства посттравматических гематом и гигром является наличие т. н. «светлого промежутка», когда пострадавший находится в сознании без проявления признаков тяжелого поражения мозга. Длительность светлого промежутка может варьировать от минут до 36-48 часов. Субарахноидальное кровоизлияние и формирование субдуральной гематомы могут сопровождаться светлым промежутком длительностью до 6-7 суток. При тяжелом поражении головного мозга (ушиб головного мозга тяжелой степени, аксональное повреждение) светлый промежуток, как правило, отсутствует.
Острое сдавление головного мозга обычно манифестирует многократной рвотой, постоянной интенсивной головной болью и психомоторным возбуждением с нарушением сна, иногда бредовым и/или галлюцинаторным синдромами. Позже возбуждение переходит в общее торможение, проявляющееся апатией, вялостью, заторможенностью. Происходит нарушение сознания, которое прогрессирует от сопора до комы. Разлитое торможение в ЦНС сопровождается дыхательными и сердечно-сосудистыми расстройствами, которые также обусловлены возникающим масс-эффектом. Последний представляет собой смещение церебральных структур по направлению к большому затылочному отверстию, происходящее из-за повышенного внутричерепного давления. Результатом является пролабирование и ущемление продолговатого мозга в затылочном отверстии с нарушением работы находящихся в нем центров, регулирующих дыхательную и сердечную деятельность.
Происходит расстройство ритма дыхания. Тахипноэ (учащение дыхания) достигает 60 в мин., сопровождается шумным вдохом и выдохом, наблюдается дыхание Чейна—Стокса. Постепенно уменьшается ЧСС, брадикардия доходит до 40 уд/мин. и ниже, значительно падает скорость кровотока, наблюдается артериальная гипертензия. В легких развивается застойная пневмония, отек легких. Аускультативно слышны множественные влажные хрипы. Кожа конечностей и лица становиться цианотичной. Температура тела поднимается до 40—41°С. Определяются менингеальные симптомы. В терминальной стадии появляется тахикардия, артериальная гипотония. Пульс становится нитевидным, появляются эпизоды апноэ (задержки дыхания), продолжительность которых растет.
Параллельно на фоне общемозговых симптомов возникают и усугубляются очаговые. Они всецело зависят от топики патологического процесса. На стороне очага возможны опущение верхнего века, диплопия, косоглазие, мидриаз, центральный лицевой парез (асимметрия лица, лагофтальм, «парусящая» щека), на противоположной стороне (гетеролатерально) — парезы, параличи, сухожильная гипо- или арефлексия, гипестезия. Могут отмечаться эпилептические приступы, горметонические судороги (пароксизмы мышечной гипертонии), тетрапарез, расстройства координации, бульбарный синдром (дизартрия, нарушения глотания, дисфония).
В диагностике сдавления мозга невролог полагается на данные анамнеза и неврологического осмотра. Если в силу своего состояния пациент не может быть опрошен, по возможности проводят опрос родственников или лиц, находившихся рядом с пострадавшим в момент травмы и в период после нее. Неврологический статус может указывать на топику патологического процесса, однако не позволяет точно установить его характер. В случаях, когда сдавление головного мозга обусловлено ЧМТ, пациент должен быть осмотрен травматологом.
Перечень инструментальных методов диагностики должен быть ограничен только самыми необходимыми и экстренными исследованиями. Раньше он включал эхоэнцефалографию и люмбальную пункцию. Первая позволяла выявить масс-эффект — смещение серединного М-эхо, вторая — повышенное ликворное давление, наличие крови в цереброспинальной жидкости. Сегодня доступность методов нейровизуализации исключает необходимость проведения подобных исследований. В зависимости от показаний пациенту проводится МРТ или КТ головного мозга, а иногда — оба этих исследования. В экстренных ситуациях существенно сократить время проведения томографии позволяет спиральная КТ мозга.
КТ головного мозга дает возможность установить вид, расположение и размер внутричерепного образования, оценить степень дислокации церебральных структур и диагностировать наличие отека мозга. Перфузионная КТ позволяет оценить церебральную перфузию и кровоток, выявить вторичную ишемию. МРТ головного мозга более чувствительна в определении участков мозговой ишемии и очагов ушиба, направления дислокации мозговых тканей. Диффузионно-взвешенная МРТ дает возможность исследовать состояние проводящих путей мозга, установить степень их компрессии.

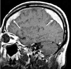
МРТ ГМ. Сдавление височной доли (зеленая стрелка) головного мозга объемным образованием (красная стрелка)
Лечение сдавления головного мозга
Выбор лечебной тактики осуществляется на основании клинических и томографических данных. Консервативная терапия включает дегидратационное и гемостатическое лечение, нормализацию гемодинамики, купирование дыхательных расстройств (при необходимости проведение ИВЛ), профилактическую антибактериальную терапию, при наличии судорог — противосудорожное лечение и т. п. Обязательно проводится мониторинг АД и внутричерепного давления.
Показания к хирургическому лечению определяет нейрохирург. К ним относятся: большой объем гематомы, дислокационный синдром, смещение церебральных структур более 5 мм, компрессия охватывающей мозговой цистерны, стойкое некупируемое увеличение внутричерепного давления более 20 мм рт. ст., окклюзионная гидроцефалия. В отношении гематом возможна транскраниальная или эндоскопическая эвакуация, при внутримозговой гематоме сложной локализации — ее стереотаксическая аспирация.
При сочетании посттравматической гематомы с размозжением тканей мозга, операцию дополняют удалением участков размозжения, что проводится с применением микрохирургической техники. При церебральном абсцессе производят его тотальное удаление, при опухоли — ее как можно более радикальное иссечение. При наличии гидроцефалии, причину которой не удается устранить, показано проведение шунтирующей операции (вентикулоперитонеального или люмбоперитонеального шунтирования).
Сдавление головного мозга всегда имеет серьезный прогноз. Отмечена корреляция исходов сдавления с оценкой состояния пациентов по шкале Глазго. Чем ниже балы, тем выше вероятность летального исхода или перехода в вегетативное состояние — невозможность продуктивной ментальной активности при сохранении вегетативной и рефлекторной функции.
Среди выживших пациентов наблюдается высокий процент инвалидизации. Могут отмечаться тяжелые двигательные нарушения, эпиприступы, нарушения психики, речевые расстройства. В тоже время, благодаря современным подходам к диагностике и лечению удалось снизить показатели смертности и увеличить объем восстановления неврологического дефицита у пациентов со сдавлением мозга. Профилактика церебральной компрессии сводится к профилактике травматизма, своевременному и адекватному лечению внутричерепной патологии.
Гематома головного мозга - симптомы и лечение
Что такое гематома головного мозга? Причины возникновения, диагностику и методы лечения разберем в статье доктора Яковлева Дмитрия Вячеславовича, нейрохирурга со стажем в 11 лет.
Над статьей доктора Яковлева Дмитрия Вячеславовича работали литературный редактор Вера Васина , научный редактор Сергей Федосов и шеф-редактор Лада Родчанина

Определение болезни. Причины заболевания
Гематома головного мозга — это грозное патологическое состояние, при котором кровь изливается из повреждённого сосуда внутрь черепной коробки. Скапливаясь во внутричерепном пространстве или в веществе головного мозга, кровь сдавливает мозг и повреждает его. Стремительно появляются и прогрессируют неврологические симптомы, столь же быстро, а иногда и молниеносно, гематома приводит к угнетению сознания, вплоть до комы. Данное состояние является тяжёлым и зачастую угрожает жизни, поэтому требует своевременной диагностики и лечения [1] .

Согласно зарубежным источникам:
- ежегодно инсульт головного мозга с формированием гематомы случается у 2400 человек из 1 млн жителей западных развитых стран ;
- из них более 700 человек ежегодно погибает;
- менее половины из этих 2400 человек восстанавливаются и способны полноценно обслуживать себя [11] .
Причины развития гематомы головного мозга:
- Основная — артериальная гипертензия и атеросклеротическая болезнь[2] . Риск инсульта с формированием гематомы среди пациентов с артериальной гипертензией составляет 60 %;
- Пороки развития сосудов головного мозга. К ним относят аневризму (выпячивание стенок мозговых артерий) и артериовенозную мальформацию (патологическое переплетение артерий и вен).

- Опухоли головного мозга, воспалительные заболевания сосудов, нарушения свёртывающей системы крови с повышением кровоточивости.
- Препараты, повышающие кровоточивость: антикоагулянты, антиагреганты и фибринолитики. Эти медикаменты назначают пациентам со склонностью к образованию тромбов и после тяжёлых шунтирующих операций. Приём лекарств необходим, но риск развития гематомы головного мозга при этом возрастает.
- Черепно-мозговые травмы. Гематомы возникают в 55 % всех случаев черепно-мозговых травм и являются причиной 2/3 смертей при данных повреждениях [12] . Травмы мозга — одна из самых частых причин смерти в развитых странах. По статистике они находятся на третьем месте после летальных исходов от сердечно-сосудистых заболеваний и онкологии [7] .
Причины развития гематом головного мозга зависят от возраста пациента:
- у детей — пороки развития сосудов головного мозга и болезни системы крови [3] ;
- у молодых взрослых — артериальная гипертензия, алкогольная и наркотическая интоксикации;
- у лиц среднего и пожилого возраста — артериальная гипертензия, опухоли головного мозга, артериовенозные мальформации и аневризмы.

При обнаружении схожих симптомов проконсультируйтесь у врача. Не занимайтесь самолечением - это опасно для вашего здоровья!
Симптомы гематомы головного мозга
Гематома головного мозга проявляется различными способами. Симптомы делятся на две группы:
1. Общемозговые — головная боль, головокружение, тошнота или рвота. Вызваны значительным повышением внутричерепного давления.
2. Очаговые — слабость в руке или ноге, нарушение зрения или движений глаз и др. Напрямую зависят от расположения гематомы.
Симптомы острой нетравматической гематомы:
- интенсивная головная боль, вызванная физической нагрузкой, эмоциональным перенапряжением, повышенным артериальным давлением [3] ;
- тошнота, рвота;
- нарушение речи;
- слабость в руке или ноге;
- асимметрия лица;
- крайне важные и тяжёлые признаки — судороги, кратковременная потеря или стойкое угнетение сознания, кома;
- пульсирующий шум в голове, нарушение координации или зрения, икота.
Патогенез гематомы головного мозга
К кровоизлиянию могут приводить травмы и различные заболевания. Однако при патологии всегда повреждается кровеносный сосуд и внутри или снаружи от вещества головного мозга скапливается кровь, для которой в норме нет места. Она сдавливает головной мозг и повреждает его отделы.
При внутримозговом кровоизлиянии гематома может формироваться в больших полушариях головного мозга и мозжечке. Расположение влияет на клиническую картину и косвенно указывает на причину кровоизлияния:
- гематомы, вызванные повышенным артериальным давлением, располагаются в глубоких отделах полушарий головного мозга вблизи таламуса или в мозжечке;

- более поверхностно локализованы гематомы, связанные с разрывом аневризм головного мозга, амилоидной ангиопатией (заболеванием мелких сосудов мозга), длительным приёмом препаратов, влияющих на свёртываемость крови, кавернозной ангиомой (сосудистой опухолью) или кровоизлиянием в опухоль;

- для артериовенозных мальформаций характерно расположение гематомы под корой головного мозга, а также прорыв крови в полость между мозговыми оболочками.

Классификация и стадии развития гематомы головного мозга
Все гематомы головного мозга подразделяются на две группы:
- нетравматические, или спонтанные;
- травматические, возникшие при травме.
По локализации во внутричерепном пространстве выделяют:
- эпидуральные гематомы — располагаются между внутренней поверхностью костей черепа и твёрдой мозговой оболочкой;
- субдуральные — локализованы между твёрдой мозговой оболочкой и веществом головного мозга;
- внутримозговые гематомы — залегают в веществе головного мозга.

По срокам давности гематомы головного мозга подразделяются на три типа:
- острые — обнаружены в течение трёх суток после возникновения;
- подострые — выявлены через 3-21 день после травмы;
- хронические — после травмы и появления гематомы прошло более 21 дня.
Врач может определить приблизительный возраст гематомы по снимкам компьютерной и магнитно-резонансной томографии (КТ и МРТ). От срока давности зависит выбор методов лечения.
По глубине расположения гематомы делятся на два вида:
- поверхностные (подкорковые);
- глубокие (в центральных отделах полушария).
Внутримозговые кровоизлияния, приводящие к гематомам, разделяют на две группы:
- первичные, вызванные артериальной гипертензией (70-90 % всех внутримозговых гематом) [9] ;
- вторичные, связанные с нарушениями свёртываемости крови, сосудистой патологией и кровоизлиянием в опухоль.
Существует два механизма развития кровоизлияния:
- излившаяся кровь расслаивает вещество головного мозга и формирует полость с жидкой средой и кровяными свёртками;
- кровь пропитывает вещество мозга, перемешиваясь с ним.
Осложнения гематомы головного мозга
Внутричерепная гематома как частое последствие черепно-мозговых травм вызывает ряд нарушений, связанных с работой мозга. Так как череп является замкнутой жёсткой костной структурой, он не способен растягиваться и увеличиваться в объёме. Поэтому образовавшееся внутри черепной коробки скопление крови давит на головной мозг, спинномозговую жидкость и сосуды головного мозга, вытесняя и занимая их место. Именно из-за этого состояние пациента осложняется ещё сильнее [4] [5] .

Вне зависимости от того, вызвана гематома травмой или заболеванием, проявление патологии схожее. Гематома вызывает следующие нарушения:
- Двигательные и чувствительные нарушения, например в ногах и руках. Возникают вследствие ограниченного проведения нервных импульсов.
- Гибель клеток мозга и отёк в результате сдавления сосудов головного мозга, ухудшения кровоснабжения и оттока крови.
- Смещение участков головного мозга.
- Повышение внутричерепного давления.
- Нарушение движения спинномозговой жидкости внутри черепа.
- Самое опасное последствие — вклинение ствола головного мозга в большое затылочное отверстие. Это приводит к остановке дыхания и сердечно-сосудистой деятельности.
Все вышеперечисленные процессы взаимосвязаны и влияют друг на друга. Последствия различаются в зависимости от объёма гематомы, расположения, наличия прорыва крови в желудочковую систему, нарушения циркуляции спинномозговой жидкости и других факторов. В самом худшем варианте — это смерть.
Часто после травмы головы с повреждением сосудов гематома развивается в течение трёх часов. Однако известны случаи отсроченных гематом, возникших через 72 часа. Невозможно точно указать время, когда гематома начнёт ухудшать состояние пациента, так как это зависит от её объёма. Малые гематомы, расположенные вне зон, регулирующих деятельность мышц и органов чувств, могут остаться незамеченными без проведения КТ и МРТ исследований.
Диагностика гематомы головного мозга
Как правило, пациенты или их родственники (если пациент находится в бессознательном состоянии) сперва сталкиваются не с неврологом или нейрохирургом, а с врачом скорой помощи, общей практики или терапевтом. Врач предполагает наличие внутричерепного кровоизлияния на основании состояния пациента, жалоб и сведений, полученных от него и сопровождающих лиц. В некоторых случаях определить гематому оказывается сложной задачей, и дальнейшую диагностику проводят врач-невролог или нейрохирург.
Для определения степени поражения головного мозга невролог и нейрохирург проводят оценку неврологического статуса (осмотр, проверка рефлексов). После этого подбирается тактика лечения.
Для подтверждения или опровержения гематомы, определения её расположения, сроков появления, размеров, степени сдавления головного мозга применяют методы нейровизуализации:
- Бесконтрастная компьютерная томография (КТ) — достоверный способ диагностики острых гематом головного мозга. КТ позволяет распознать гематому, её объём, воздействие на различные структуры головного мозга. На основании снимков КТ нейрохирург определяет тактику и объём оперативного вмешательства. Большинство стационаров, особенно оказывающих экстренную помощь, оснащены КТ аппаратами. Однако в хронической стадии и при пороках сосудов головного мозга без кровоизлияния КТ может не предоставить врачу нужной информации. В этих случаях применяют МРТ [8] .
- Магнитно-резонансная томография (МРТ) позволяет более подробно рассмотреть мягкотканные структуры. Поэтому в случае затруднений при диагностике, несмотря на проведённое КТ исследование, врач может назначить МРТ.

- Церебральная ангиография (золотой стандарт визуализации аневризм головного мозга [10] ), магнитно-резонансная ангиография (МРА) или КТ-ангиография дополняют МРТ исследования для определения патологии сосудов головного мозга. Преимущество КТ-ангиографии — возможность получить 3D-модель сосудов головного мозга и определить расположение относительно сосудистых или костных структур.
Ранее для диагностики широко применяли люмбальную пункцию. Однако этот метод имеет существенные недостатки и постепенно вытесняется вышеперечисленными, хотя в лечебных учреждениях, не оснащённых КТ и МРТ аппаратурой, применяется до сих пор.
Лечение гематомы головного мозга
Выделяют два вида лечения: консервативное и хирургическое.
Консервативное лечение
Методы консервативного (медикаментозного) лечения нормализуют жизненные функции организма:
- поддерживают артериальное давление на необходимом уровне: так, чтобы кровоснабжение головного мозга сохранялось, но объём гематомы при этом не увеличивался;
- воздействуют на свёртывающую систему крови;
- предотвращают и устраняют отёки;
- укрепляют сосудистую стенку.
Это крайне важный и ответственный этап лечения. Все мероприятия проводит врач, глубоко анализируя патогенетические процессы в организме человека. Многие методы основаны на лабораторных данных. Консервативную терапию ни в коей мере не могут контролировать или регулировать родственники либо сочувствующие лица из-за отсутствия у них этих знаний. Например снижение давления при гипотензивной терапии не должно быть резким. Его понижают до уровня, который не совпадает с показателями нормы для здорового человека. Давление поддерживают в определённых пределах: оно не должно быть слишком высоким, но и слишком низким. Это позволяет снизить риск продолжения кровоизлияния и сохранить адекватное кровенаполнение головного мозга для его защиты от вторичного повреждения из-за кислородного голодания.
Консервативные методы применяют для лечения в следующих случаях:
- гематомы небольших размеров и не оказывают значительного давления на мозг;
- гематомы не вызывают смещение структур головного мозга, грубого угнетения сознания, сопровождаются умеренными неврологическими нарушениями.
Хирургическое лечение
Хирургическое лечение заключается в механическом удалении гематомы. В результате прекращается давление гематомы на мозг.

Применяют несколько методов хирургичекого удаления внутримозговых гематом:
- Пункционный метод — выкачивание жидкой части гематомы (аспирация) через отверстие. Однако удалить всю гематому таким способом невозможно, так как обычно она на 80 % состоит из кровяных сгустков, а жидкий компонент составляет 20 % и меньше. Метод применяют только при тяжёлой форме заболевания для спасения жизни. Если после операции состояние пациента не улучшается, то используют радикальные методы удаления.
- Открытый метод — традиционный способ удаления гематомы путем создания отверстия в костной ткани черепа (трепанации), рассечения участка мозга (энцефалотомии) и аспирации отсосом как жидкой крови, так и её сгустков. Метод позволяет полностью удалить гематому. Однако сопровождается дополнительной хирургической травмой мозга, что приводит к нарастанию отёка, усилению смещения и деформации структур мозга и нередко вызывает повторное кровоизлияние.
- Эндоскопический метод — перспективная технология удаления внутримозговых гематом. Совмещает низкую травматичность пункционного метода с возможностью полного удаления гематомы. Но метод можно применять только при условии прозрачности среды в зоне операции. Например, при кровотечении проведение операции затруднено, а часто и невозможно.
- Стереотаксический метод — проводят при помощи специальных инструментов, погружённых в головной мозг через отверстие диаметром 5-10 мм. Особенность метода — перенос координат гематомы с помощью компьютерной томографии или рентгенографии. Технология уменьшила летальность глубоких гематом на 22 % в сравнении с консервативными методами лечения. Однако в 10-16 % случаев возможны повторные кровоизлияния в первые несколько суток после операции.
- Нейронавигационный метод — применяют нейронавигационные системы: ОртiсаI Тracking System «Radionics Inc» Compass Cygnus PFS System, «Compass» Vectorvision ВrаinLАВ. Метод с высокой точностью определяет расположение гематомы. Технология особенно эффективна при очагах в функционально значимых зонах мозга. Её широкое применение пока невозможно из-за высокой стоимости оборудования и ограниченного опыта операций у врачей [13] .
Тактика оперативного вмешательства, его объём, меры для устранения сдавления головного мозга, сроки проведения операции и многое другое зависят от конкретной ситуации. Решение принимает врач-нейрохирург на основании состояния пациента, лабораторных данных и КТ/МРТ снимков.
Прогноз. Профилактика
Гематома головного мозга — это результат патологических изменений в организме, которые формируются постепенно под влияние различных причин. Поэтому прогноз в каждом конкретном случае будет различаться [3] .
Исход во многом зависит от объёма и расположения гематомы. Быстрое ухудшение состояния с угнетением сознания является негативным признаком. Согласно зарубежным источникам, гематомы головного мозга в 55 % случаев приводят к значительному ухудшению состояния пациента и смерти [6] . Поэтому очень важно незамедлительно доставить пациента в специализированный стационар и оказать медицинскую помощь.
После выздоровления могут остаться последствия повреждения мозговой ткани: слабость в руке или ноге, когнитивные расстройства (нарушение мышления, памяти, снижение критики к своему состоянию и поведению).
Профилактика заболевания заключается в здоровом образе жизни в любом возрасте и внимательном отношении к своему состоянию в случае уже имеющихся болезней. Нередко пациенты с артериальной гипертензией не посещают кардиолога и терапевта, не контролируют уровень давления и показатели крови. Пациенты с сахарным диабетом зачастую игнорируют рекомендации эндокринолога, способствуя ухудшению своего состояния. Конечно, длительный приём препаратов и соблюдение диеты могут быть психологическим испытанием для человека, но это важный шаг к сохранению своего здоровья.
Сдавление головного мозга. Острые травматические гематомы.

НЕЙРОХИРУРГИЧЕСКОЕ ОТДЕЛЕНИЕ ВХОДИТ В СОСТАВ КРУПНЕЙШЕГО В РОССИИ МНОГОПРОФИЛЬНОГО НАУЧНОГО ЦЕНТРА ХИРУРГИИ АКАДЕМИИ МЕДИЦИНСКИХ НАУК И ЗАНИМАЕТСЯ ЛЕЧЕНИЕМ РАЗЛИЧНЫХ ЗАБОЛЕВАНИЙ ГОЛОВНОГО МОЗГА, СПИННОГО МОЗГА И ПЕРИФЕРИЧЕСКОЙ НЕРВНОЙ СИСТЕМЫ.
Травматические внутричерепные гематомы

Ежегодно в России черепно-мозговую травму (ЧМТ) получают около 600 тыс. человек. 50 тыс. из них погибают, а еще 50 тыс. становятся инвалидами.
Частота ЧМТ у мужчин в два раза превышает таковую у женщин с сохранением этой зависимости во всех возрастных группах.
Причинами ЧМТ чаще всего являются автомобильная травма и бытовой травматизм.
Для ЧМТ характерно трехфазное изменение сознания: первичная кратковременная утрата его в момент травмы, последующее восстановление (светлый промежуток) и, спустя тот или иной срок, повторная утрата сознания. Однако такое классическое развитие изменений состояиня сознания наблюдается далеко не всегда. Часто встречаются случаи, протекающие без светлого промежутка, или же он является стертым. Порой может отсутствовать первичная утрата сознания. Продолжительность светлого промежутка (как при полном, так и при частичном восстановлении сознания) у большинства больных с острыми ЭДГ измеряется несколькими часами или даже минутами.
Больные после перенесенной травмы, доступные контакту, как правило, жалуются на головную боль с нарастающей интенсивностью. Во многих случаях головная боль имеет яркий оболочечный оттенок, иррадиирует в глазные яблоки, в челюсти, сопровождается светобоязнью, гиперестезией с характерными мимическими реакциями. Головная боль обычно постоянная с периодическими кризоподобными обострениями, нередко сопровождается многократной рвотой. Пострадавшие при сильной боли стонут, требуют помощи, хватаются руками за голову, мечутся в постели, лишаются сна.
После черепно-мозговой травмы у пациентов часто встречается брадикардия (почти у 1/2 больных частота пульса не превышает 60 ударов в минуту), примерно в 1/4 наблюдений отмечается повышение максимального артериального давления выше 150 мм рт. ст.
У пострадавших с травматическими гематомами гематомами почти всегда удается выявить ту или инуюочаговую симптоматику. Среди признаков поражения полушарий мозга первое место принадлежит двигательным растройствам (слабость в руке и ноге, чаще противоположных стороне гематомы). Выраженность этих растройств бывает различной — от анизорефлексии до гемиплегии (паралича).
Изредка в клиничской картине внутричерепных гематом встречаются симптомы раздражения коры мозга в виде общих или фокальных эпилептических припадков.
Среди краниобазальных симптомов наиболее важная роль в клинике ЧМТ придается расширению одного зрачка со снижением или утратой реакции его на свет.
По клинической картине черепно-мозговая травма делится:
1. Очаговая
• ушибы мозга (легкой, средней, тяжелой степени),
• внутричерепные гематомы (эпидуральные, субдуральные, внутримозговые),
• субдуральные гигромы,
• вдавленные переломы,
• сдавление головы;
2. Диффузная
• сотрясение мозга,
• диффузное аксональное повреждение,
• субарахноидальное кровоизлияние.
В настоящее время золотым стандартом, при обследовании больных с черепно-мозговой травмой, является следующий комплекс обследований:
1. Клинический осмотр нейрохирурга.
2. Рентгенография черепа в двух (как минимум) проекциях.
3. Эхоэнцефалография.
4. КТ (компьютерная томография) головного мозга.
Вопрос о дополнительных методах обследования решается индивидуально.
Очень часто эпидуральные гематомы сопровождаются переломом костей черепа.
К ушибам головного мозга относят возникшиеочаговые макроструктурные повреждения его вещества в результате травмы.
По принятой в России единой клинической классификации черепно-мозговой травмы очаговые ушибы мозга разделяют на три степени по тяжести: 1) легкие, 2) среднетяжелые и 3) тяжелые.
КТ головного мозга. Ушиб головного мозга тяжелой степени, внутримозговые гематомы обеих лобных долей.
Эпидуральные гематомы представляют обусловленное травмой скопление крови, располагающееся между внутренней поверхностью костей черепа и твердой мозговой оболочкой, вызывающее местную и общую компрессию головного мозга.
Частота эпидуральных гематом среди наблюдений первично госпитализированных пострадавших с ЧМТ колеблется в широких пределах от 0,54% до 9%.
Причины возникновения эпидуральных гематом. Возникающая во время травмы временная локальная деформация черепа, часто со вдавленным переломом костей черепа и разрывом сосудов твердой мозговой оболочки приводит к п оступлению из поврежденного сосуда крови, которая отслаивая ТМО, распространяется в пределах черепных швов, где оболочка плотно сращена с внутренней костной пластинкой. По этой причине эпидуральные гематомы имеют меньшую площадь распространения и большую толщину, чем субдуральные.
КТ головного мозга. Острая эпидуральная гематома в левой затылочной области с дислокацией головного мозга и его сдавлением.
Субдуральные гематомы представляют собой обусловленное травмой объемное скопление крови, располагающееся между твердой и паутинной мозговыми оболочками и вызывающие местную и общую компрессию головного мозга.
Субдуральные гематомы встречаются чаще, чем эпидуральные. На изолированные СДГ приходится примерно 2/5 общего количества случаев компримирующих мозг внутричерепных кровоизлияний; они занимают первое место в кругу различных видов гематом.
КТ головного мозга. Острая субдуральная гематома в правой лобно-теменно-височной области с дислокацией головного мозга и его сдавлением.
Посттравматические хронические субдуральные гематомы - инкапсулированное объемное кровоизлияние, располагающееся под твердой мозговой оболочкой и вызывающее местную и общую компрессию головного мозга. Частота этих гематом колеблется от 2 до 13 случаев на 100 000 населения в год, существенно повышаясь у лиц пожилого и старческого возраста.
Хронические субдуральные гематомы отличаются от острых и подострых травматических гематом отграничительной капсулой, возникающей, обычно, через 2 недели после травмы, которая определяющей все особенности их патогенеза, клинического течения и тактики лечения. Объем ХСГ колеблется от 50 мл до 250 мл и чаще составляет 100-150 мл.
Если раньше хронические субдуральные гематомы выявлялись исключительно у лиц пожилого и старческого возраста, то в настоящее время они значительно “помолодели”, встречаясь достаточно часто у лиц молодого и среднего возраста, а также у детей.
Этличительный клинический признак этих гематом в том, что светлый промежуток может длиться неделями, месяцами и даже годами. Клиническая манифестация исключительно полиморфна. Наблюдается как постепенное развитие компрессионного сидрома, так и внезапное резкое ухудшение состояния больного до сопора и комы спонтанно или под влиянием разных дополнительных факторов (легкая повторная травма головы, перегревание на солнце, употребление алкоголя, простудные заболевания и др.).
Клиническая картина при этом может напоминать различные заболевания центральной нервной системы: доброкачественные и злокачественные Опухоль головного мозга, и др.
В период развернутой клинической картины хронической субдуральной гематомы часты изменения сознания в виде оглушения или аментивной спутанности с нарушением памяти, ориентировки.
Повреждения структур задней черепной ямки (ЗЧЯ) являются одним из тяжелых видов черепно-мозговой травмы (ЧМТ). Их особенность заключается в исключительно трудной клинической диагностике и высокой летальности. До появления компьютерной томографии летальность при травме ЗЧЯ приближалась к 100%.
Для клинической картины повреждений структур ЗЧЯ характерно тяжелое состояние, возникающее сразу после травмы,: угнетение сознания, сочетание общемозговой, менингеальной, мозжечковой, стволовой симптоматики вследствие быстрой компрессии ствола мозга и нарушений ликвороциркуляции. При наличии значительных повреждений вещества большого мозга присоединяются полушарные симптомы.
Близость расположения повреждений структур ЗЧЯ к ликворопроводящим путям обуславливает их компрессию и нарушение ликвороциркуляции гематомой малого объема. Острая окклюзионная гидроцефалия - одно из наиболее тяжелых осложнений повреждений структур ЗЧЯ - выявляется у 40%.
Всем больным с клиническими признаками сдавления головного мозга, а так же при выявлении этого сдавления на КТ или МРТ у тяжелых больных показана срочная операция - удаление гематомы.
Читайте также:
- Прогноз множественного рака тонкой кишки. Пример множественных опухолей тонкой кишки
- Синдром Конради-Хюнерманна (Conradi-Hunermann)
- Причины аномалий развития плода. Риск пороков развития плода
- Патогенез поражений туберкулеза. Клинические проявления туберкулеза. Очаг Гона. Формы туберкулеза.
- Частота первично множественного рака толстой кишки. Причины множественного рака толстой кишки
