Съемный аппарат с выдвигателем. Изготовление съемного аппарата для лечения небного прикуса
Добавил пользователь Валентин П. Обновлено: 02.11.2025
Ортодонтическое лечение, необходимое для исправления прикуса и неправильного положения зубов - это не только брекет-системы, основной период использования которых - период постоянного прикуса. В сменном и временном прикусе, а также при заболеваниях твердых тканей зубов, аллергических реакциях на металл, как правило, применяются конструктивно более простые, но весьма эффективные в своих показаниях съемные аппараты. Как следует из названия, такие конструкции можно и даже нужно снимать во время еды и чистки зубов, и в этом их весомое преимущество. Способ фиксации съемных ортодонтических аппаратов во рту максимально прост, а быстрое привыкание создает дополнительные удобства использования для пациентов.
Механизм лечения

Съемные ортодонтические аппараты делятся на аппараты:
1 . Механического действия - оказывают влияние на зубы и зубные ряды посредством механических элементов. Это различные виды пластиночных аппаратов.
2. Функционального действия.- регулируют нарушенные функции, влияющие на формирование прикуса, и за счет этого предотвращают или устраняют развитие зубочелюстной аномалии. К этой группе можно отнести трейнеры, регуляторы функций, индивидуальные функциональные аппараты.
3. Комбинированные - сочетают в себе свойства механических и функциональных одновременно.
Съемные ортодонтические аппараты стандартизированных систем подбираются врачом по размеру, жесткости и другим параметрам а индивидуальные изготавливаются по слепкам в зуботехнической лаборатории. Чаще всего такие конструкции используются в детском и подростковом возрасте, помогая челюстям сформироваться в нужном смыкании. Благодаря этому постоянные зубы получают возможность расти в правильном, физиологичном положении. У взрослых людей эти конструкции могут использоваться как дополнительные методы в исправлении прикуса.
Съемные ортодонтические аппараты прежде всего устраняют причины неправильного прикуса, позволяя зубам вернуться на место самостоятельно. Пластинки и трейнеры решают и другие задачи: налаживают функции речи, дыхания и глотания, корректируют положение языка, уменьшают давление челюстных мышц на зубы. Часто они незаменимы для того, чтобы закрепить результат лечения брекетами.
Вовремя начатое лечение съемными аппаратами для исправления прикуса на этапах временного и сменного прикуса, позволяют предотвратить развитие аномалий прикуса, облегчить и сократить время лечения данного заболевания в период постоянного прикуса.
Часто своевременное лечение в период временного и сменного прикуса приводит к формированию правильного постоянного прикуса.
Показания
Лечение патологии прикуса у детей в период временного и сменного прикуса 3, 5 -10 лет
Ширина челюсти, не дающая зубам расти правильно (слишком узкая или слишком широкая)
Неправильное положение нижней челюсти
Показания в качестве вспомогательных аппаратов
Неправильное положение зубов
Серьезные дефекты прикуса у взрослых, требующие сложного лечения
Закрепление успешного выправления зубов во время ретенционного периода

Пластинки. Съемные ортодонтические аппараты механического вида действия. Состоят из пластиковой биосовместимой основы, на которую устанавливаются механические элементы (пружины, винты, дуги). Могут перемещать как отдельные зубы, так и влиять на форму зубного ряда.
Благодаря пластинкам можно решать следующие ортодонтические проблемы:
корректировать форму челюстной кости,
стимулировать или тормозить развитие челюстей,
предотвращать сдвижение зубов в неправильном направлении,
корректировать ширину неба,
держать зубы в нужном положении, чтобы закрепить физиологичный прикус.
Исправлять прикус пластинками можно с 6-7 до 12-13 лет, то есть в период, когда молочные зубы сменяются постоянными. В это время зубочелюстная система активно растет, и на этот процесс можно легко влиять без брекетов. Обычно дети быстро адаптируются к съемным аппаратам, и исправление прикуса проходит комфортно. К тому же, пластинки менее заметны на зубах, чем брекеты.
Трейнеры. Это эластичные силиконовые аппараты, которые помогают устранить сами причины неправильного прикуса и показаны:
при открытом или глубоком прикусе,
скученности передних резцов на нижней челюсти,
неправильном положении нижней челюсти,
нарушении носового дыхания,
нарушении механизма глотания,
для устранения вредных привычек,
для закрепления результатов лечения.
Трейнеры полезны тем, что «приучают» мышцы челюстей к правильной работе. Это предупреждает рецидивы, которые иногда случаются после пластинок или брекетов. Трейнер надевают на ночь и на 3-4 часа в дневное время. На протяжении сна трейнер нормализует дыхательную и глотательную функции и тренирует язык.
К другим видам съемных ортодонтических аппаратов относят различные лицевые (вне полости рта) дуги и маски, небные бюгели, функциональные аппараты. Каждый из них решает свой спектр задач, исправляя положение зубов, тренируя мышцы, задавая нужное направление развитию челюстей.
Особенности ношения и эффективность
Главное правило пользования съемными ортодонтическими аппаратами - регулярность их ношения. Возможность снимать конструкции - это искушение для детей, поэтому в этом вопросе важна самодисциплина ребенка и достаточный контроль со стороны родителей. В зависимости от вида съемный ортодонтический аппарат надо носить от 12 до 24 часов в сутки. Хранить его нужно в специальном контейнере, защищающем от бактерий, а чистить обычной щеткой.
Если регулярно носить пластинки, трейнеры или капы в течение полугода или больше, строго соблюдая рекомендации врача, можно добиться стойких и очень успешных результатов.
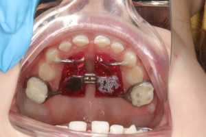
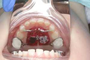
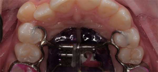
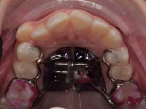
Расширения нёба аппаратом Дерихсвайлера

Конструкция аппарата Дерихсвайлера
- Основа - пластина изготовлена из металла или пластмассы. Если остановиться на выборе материала, то металл - это достаточно жёсткий материал, поэтому может вызвать определённый дискомфорт. Однако применение металлических конструкций значительно сокращает сроки лечения. Если говорить о пластмассовых аппаратах - удобны при использовании, но неспособны обеспечить должное давление, благодаря чему сроки исправления дефектов увеличиваются в разы. Также существуют комбинированные варианты.
- В середине основы расположен металлический винт, аппарат дерихсвайлера подкручивать придётся самостоятельно, чтоб увеличить площадь пластины (принцип работы системы рассмотрим ниже).
- По краям основа имеет кольца-крючки (своеобразные дуги фиксаторы), изготовленные из металла в 1-1,2 мм. Эти фиксаторы крепятся к молярам или премолярам. В зависимости от вида патологии могут крепиться и на клыки.
- Как дополнительные элементы конструкция может иметь разнообразные пружинки и винты. Их задача поспособствовать удалению или предотвращению образования щелей между зубами. Иногда в процессе расширения нёба, такой эффект возникает благодаря смещению зубных единиц.
Аппарат Дерихсвайлера изготовляется индивидуально, с учётом размеров ротовой полости и существующих проблем у пациента.
Принцип работы
Из школьной программы можно вспомнить, что верхняя челюсть человека это две половинки соединённые между собой эластичным швом. Чтоб увеличить размеры нёбо, достаточно этот шов разорвать. Именно эту работу и выполняет «Дерихсвайлер». Конечно, разрыв шва можно провести и хирургическим путём, но данная конструкция сделает это без оперативного вмешательства с постепенным воздействием.
Аппарат устанавливается так, чтоб его основа была по центру нёба. Фиксация основы производится благодаря кольцам, которые надеваются на опорные зубы. Установленный аппарат создаёт определённое давление на челюстные дуги, постепенно расширяя верхнюю челюсть в поперечном направлении и тем самым делая её шире. Увеличивается нагрузка давления при помощи металлического винта, который находится в основе системы. Пациенту составляется график, когда именно и насколько нужно сделать обороты винта.

Когда половинки челюсти расходятся, на месте шва начинает образовываться свободное пространство. Постепенно оно заполняется новообразовавшейся костной тканью, которая костенеет и не позволяет в будущем двум половинкам принять прежнее положение. В процессе расширения нёба, между зубными единицами начнёт образовываться свободное пространство. Особенно это заметно между передними резцами. Этого не избежать. Решается проблема дальнейшей корректировкой брекетами (или иными ортодонтическими конструкциями).
Лучше лечение начинать в период молочного и переменного прикусов, когда половинки ещё полностью не срослись. Тогда шов ещё не окостенел. Поэтому лечение подобной конструкцией рекомендуется проводить до 18 лет. Максимальный возраст пациента не должен превышать 23 года.
- неверное соотношение обеих челюстей, когда верхняя челюсть уже нижней;
- верхний ряд зубных единиц выражается их скученностью;
- при выраженном перекрёстном прикусе;
- патологическое расположение клыков на верхней челюсти (когда клыкам не остаётся места для правильного расположения).
Из противопоказаний к установке можно отметить: возраст пациента, превышающий 23 года, возможная аллергическая реакция, вызываемая металлическими частями конструкции.
Преимущества, а также недостатки
- Быстрые результаты. Уже через 2 недели после фиксации системы можно наблюдать изменения в размере нёба.
- Короткие сроки лечения. В большинстве случаев для получения положительного результата хватает 2 месяца. Правда, для его устойчивости придётся ещё проносить конструкцию месяца 3, но винт уже не подкручивается, поэтому и давление на челюсть не оказывается.
- Быстрая адаптация. Из отзывов пациентов - давление на зубные ряды сильно ощущается первые 20 мин после подкручивания винта.
- Конструкцию Дерихсвайлера можно устанавливать одновременно с брекет системами. Тем самым сокращая период лечения и исправления патологий прикуса.
Говоря о недостатках. Пациенты, которые уже воспользовались подобными системами, отмечают: незначительные натирания языка об конструкцию, неудобства при подкручивании винта, нарушения в дикции и затруднения при еде, а также частые посещения стоматолога. Также к недостаткам системы можно отнести возможное осложнение такого лечения.
Вообще, осложнения от применения аппарата Дерихсвайлера редкий случай, и чаще возникает как исключение. Заключается оно в полном раскрытии нёба. Чтоб предупредить такой конечный результат лечения по расширению нёба, желательно начинать лечение до момента, когда полностью сформируются коренные зубы.

Аппарат Дерихсвайлера изготовление и установка
- Перед изготовлением и установкой препарата, врачу потребуется немного раздвинуть опорные зубы. Для этого между зубными единицами устанавливаются специальные сепарационные кольца - колечки из резины. Эта процедура займёт 5-10 мин. Зубы начнут смещаться, а пациент первое время будет ощущаться ноющую боль. На время ношения колечек нельзя употреблять вяжущую пищу и жвачки. Если резинка вывалится, её можно установить самостоятельно. Для этого можно воспользоваться обычными нитками. Аккуратно устанавливая резинку растягивая её края.
- На втором этапе врач вынимает резиновые кольца, и создают слепок для будущей конструкции. После этого кольца размещают по своим местам. Период, когда изготавливается система, можно посвятить основательной чистке зубов. Образовавшиеся промежутки как раз помогут добраться до труднодоступных мест.
- После изготовления конструкции происходит её примерка. Если всё подошло идеально, аппарат устанавливается и фиксируется. Первое подкручивания винта производит сам врач, подбирая оптимальную силу воздействия конструкции на челюсть. Затем процедуру подкручивания будет проводить сам пациент. Для этого врач создаёт определённый график, которого нужно обязательно придерживаться. Для каждого пациента он свой. Если говорить о средних показателях, вначале процедура повторяется 1 раз на 3 дня, в последующем ежедневно.
Наблюдать первые результаты можно уже через 2-3 недели. Не забываем, чтоб образовавшаяся на месте шва щель заполнилась новой костной массой, нужно дополнительное время. Общие сроки ношения аппарата в среднем составляют полгода.

Ранняя диагностика и профилактика как залог успешного лечения
Чтоб не допустить формирование узкого нёба, нужно знать причины развития этой патологии. Некоторые из них можно будет избежать, а некоторые станут поводом к раннему обращению за помощью.
Аппарат Дерихсвайлера относится к одному из самых эффективных способов устранить проблему патологии узкого нёба. Конструкция часто является единственным вариантом, когда без её применения невозможно осуществить исправление прикуса. Для пациента, который хочет получить положительный результат быстро, это отличное решение.
Аппарат Марко Росса, аппарат Хааса зачем они нужны?

Аппарат Марко Росса и аппарат Хааса - несъёмные ортодонтические аппараты, которые позволяют в большом объёме расширить верхнюю челюсть.
Если обратиться к истории, то считается, что аппарат быстрого нёбного расширения (БНР, ещё одно название) придумал итальянский доктор Марко Росса, а ортодонт Эндрю Хаас его модифицировал, заменив титановый винт на более мощный и прочный винт Хайрекс. Т.е. это одна и та же ортодонтическая конструкция.
Классический аппарат состоит из винта хайрекс, пластмассового базиса, опорный колец на молочные моляры и направляющих к молочным к клыкам.
Но, конечно же, в зависимости от клинических ситуаций могут быть индивидуальные модификации. Например, при преждевременном удалении молочных зубов. В таких случаях опорные кольца изготавливаются на постоянные шестые зубы.
Аппарат Хааса один из немногих ортодонтических аппаратов , который позволяет достигнуть скелетного расширения в период активного роста ребёнка. Чем это обусловлено? Верхняя челюсть состоит из двух половин, которые связаны нёбным швом (хрящ). Именно он является зоной роста верхней челюсти. Воздействуя на эту зону : разрывая, растягивая её, стимулируется скелетное расширение. Но оно возможно до определённого возраста, пока шов не окостенеет. Поэтому данный ортодонтический аппарат используется в среднем от 5 до 12 лет.
Изготавливается аппарат Хааса только по индивидуальным оттиском ребёнка, чаще всего в 2 этапа:
- Снятие оттисков с обеих челюстей и подбор индивидуальных опорных колец
- Снятие оттиска с верхней челюсти, на которой установлены уже индивидуальные кольца
И уже по гипсовой модели с опорными кольцами изготавливается аппарат в лаборатории.
Ребёнок сам выбирает цвет и героя, который будет жить у него в полости рта.
Далее конструкция фиксируется в полости рта и врач проводит обучение родителей активации винта и даёт рекоммендации.
⠀
В каких случаях показано применение аппарата Хааса?
1. Резкое сужение верхней челюсти


2. Большой дефицит места для постоянных зубов




После установки врач-ортодонт обучает родителей активировать винт в полости рта ребёнка специальным ключом.
Активации чаще всего производятся 1-2 раза в день. Сроки активации в среднем 3-4 недели. За это время винт практически полностью раскручивается. Но помним, что это стандартый протокол лечения, могут быть индивидуальные корректировки в зависимости от конкретной ситуации в полости рта.
Далее винт «стабилизируется», т.е. заливается специальным материалом для того, чтобы после прекращения его раскручивания он стал неподвижным.
Достаточно часто при лечении на аппарате Хааса мы наблюдаем положительные изменения и на нижней челюсти, хотя никаких конструкций для неё не использовали. Почему так происходит?
У детей в период активного роста очень хорошо проходит саморегуляция и когда нижняя челюсть высвобождается из «оков» маленькой и узкой верхней, она реализует свои потенциалы физиологического роста, расширяется, положение зубов улучшается.
Что такое аппарат Хааса и зачем он нужен?

Добрый день, сегодня я вам расскажу про аппарат Хааса.
Что такое аппарат Хааса и зачем он нужен?

Данная конструкция представляет собой несъемную конструкцию на верхнюю челюсть и предназначен для расширения верхней челюсти. Аппарат более известен в модификации Марко Росса.
Аппарат Хааса состоит из колец на первые постоянные моляры или вторые молочные моляры и дополнительных лапок на молочные клыки или колец на первые премоляры, а так же имеет пластмассовый базис с винтом Hyrex, который плотно прилегает к слизистой оболочке неба.
Принцип действия аппарата Хааса
основан на активации винта и последующем расширением челюсти. За счет пластмассового базиса нагрузка передается не только на зубы, но и на костные структуры неба, что позволяет
получить более прогнозируемый результат.
Когда применяется аппарат Хааса? - самый оптимальный возраст для использования 6-8 лет. Однако данная конструкция применяется и в более позднем возрасте у детей и подростков, а так же у взрослых пациентов.
Показания к использованию ортодонтического аппарата Хааса:
- Скученное положение резцов
- Сужение верхней челюсти
- Готическое небо
- Двухсторонний перекрестный прикус

Преимущества аппарата Хааса:
- Эстетика - аппарат невиден при улыбке
- Простота использования - родителям не нужно контролировать ношение аппарата
- Комфорт ребенка - пластмассовый базис на небе гораздо меньше, чем в съемном
- Хорошая фиксация - аппарат не может упасть во время активных игр ребенка или купания в море
- Быстрая адаптация
Недостатки аппарата Хааса:
- Требует тщательной гигиены, использования ирригатора
- Психологический аспект - для некоторых детей может быть некомфортно, что они не могут самостоятельно снять аппарат ( однако, таких меньшинство)
- Возможен дефект слизистой от плотного контакта пластмассового базиса с небом (быстро заживает после снятия).
Как подкручивать аппарат Хааса? - для этого есть специальный ключ, которым родители самостоятельно активируют аппарат по схеме доктора.

Первая активация обычно самая сложная для родителей, поэтому я напишу несколько рекомендация по активации аппарата:
1. Посадите ребенка или можно положить на кровать
2. Настройте освещение — можно фонарик или настольную лампу, чтобы хорошо увидеть аппарат и место постановки ключа.
3. Необходимо найти винт и паз — дырочку, которая находится ближе к вам.
4. Вставьте туда ключ, проверьте, что он хорошо там фиксируется
5. Придерживая пластмассовый базис аппарата пальцами второй руки, прокрутите ключ до упора в сторону неба
6. При полной активации вы должны увидеть новый паз
7. Аккуратно достаньте ключ в направлении неба. В этот момент главное - не скрутить винт обратно. Это может произойти, если вы не достали ключ из паза и начали вынимать из полости рта.

Чаще всего аппарат Хааса применяется в детской ортодонтии. Именно в данном возрасте мы можем влиять на рост челюстей, тем самым создавая место для постоянных зубов и корректируя прикус. Дети могут самостоятельно выбрать любимый цвет и картинку для аппарата. Результаты лечения более стабильны и прогнозируемы. Однако аппарат Хааса может применяться во взрослом возрасте. Так как костные структуры уже все сформированы, использование этого аппарата возможно только совместно с хирургически-ассоциированным послаблением небного шва. Показания к применению такие же, как и в детском возрасте. В результате, пациент получит широкую красивую улыбку.
Несъемный аппарат Хааса или Марко Росса - один из самых часто применяемых аппаратов для
лечения детей в настоящее время.
Несъемные аппараты у детей

Видов ортодонтических патологий очень много. Каждый случай имеет свои индивидуальные особенности, следовательно, и методы их решения!
⠀
Сегодня подробно остановимся на несъёмных ортодонтических аппаратах у детей.
⠀
Чаще всего в практике мы используем 2 вида таких аппаратов:
➖ быстрые небные расширители(БНР)
➖ и дистализаторы.
⠀
Выбор конструкции зависит от клинической картины и возраста пациента.
⠀
Используются от 5 до 12 лет.
⠀
Изготавливаются только по индивидуальным оттискам
⠀
Ребёнок сам выбирает цвет и героя, который будет жить у него в полости рта
⠀
Быстрые нёбные расширители: аппарат Хааса, аппарат Дерихсвайлера, аппарат Марко Росса, аппарат Макнамара — несъёмные аппараты на верхнюю челюсть со специальным винтом, который раскручивают родители специальным ключом 2 раза в день, в среднем, в течение месяца.
⠀
В каких случаях показано их использование?
⠀
🔹Резкое сужение верхней челюсти
🔸Большой дефицит места для постоянных зубов
🔹Перекрестный прикус
🔸Один из этапов лечения мезиального прикуса (нижняя челюсть перекрывает верхнюю)
🔹Сужение верхней челюсти, отягощенное ЛОР патологией
⠀
Аппараты для дистализации моляров (Pendulum, Pendex) применяются для коррекции дистального прикуса, когда верхняя челюсть «уходит» вперёд, с протрузией передних зубов верхней челюсти (когда резцы имеют наклон вперёд, в сторону губ).
⠀
Несъёмные аппараты у детей позволяют
✔️в сложных ситуациях достаточно быстро достичь отличного результата,
✔️расширить верхнюю челюсть, создать место для постоянных зубов
✔️значительно облегчить лечение пациента на брекет-системе или элайнерах в постоянном прикусе
✔️помочь языку занять правильное положение, нормализовать сон и устранить храп и ночное апноэ у ребёнка
Читайте также:
- Синдром Страхана-Скотта (Strachan-Scott)
- Туберкулин. История туберкулинодиагностики.
- Лучевые признаки персистенции правой пупочной вены
- Протезирование зубов мостовидными протезами. Изготовление, плюсы, минусы мостовидных протезов
- Геморрагическая лихорадка с почечным синдромом (ГЛПС): причины, симптомы и лечение
