Симптом переливания или перемещения жидкости в брюшной полости. Симптом растянутой пружины на рентгенограмме
Добавил пользователь Владимир З. Обновлено: 02.11.2025
Лапароцентез - хирургическая процедура, которое представляет собой прокол брюшной стенки для извлечения патологического содержимого (например, при асците).
Причиной возникновения асцита является нарушение оттока венозной крови через печень и повышение давления в сосудистых коллекторах живота, в результате чего перитонеальная жидкость просачивается в брюшную полость.
В зависимости от количества жидкости в полости врач принимает решение о назначении лапароцентеза. В тех случаях, когда количество жидкости не очень большое, пациенту назначаются мочегонные средства, с помощью которых за некоторое время можно избавиться от лишней воды естественным путем. Вместе с тем, встречаются случаи, когда количество жидкости в брюшной полости достигает 15-20 л, и без лапароцентеза не обойтись.
Показания и противопоказания к лапароцентезу
В Юсуповской больнице врачи могут назначать лапароцентез не только при асците, но и для обнаружения, исключения или удаления патологического содержимого в брюшной полости. Показаниями к проведению этой процедуры являются:
- наличие закрытой травмы живота, если установить повреждения не удалось с помощью рентгеновских, клинических и лабораторных исследований;
- наличие повреждений нескольких органов;
- травма, осложненная шоком или коматозным состоянием;
- закрытая травма живота у пациентов в тяжелом алкогольном или наркотическом опьянении;
- стремительное угасание жизненных функций при травмах головы, груди и конечностей;
- проникающие раны в грудную клетку с возможным повреждением диафрагмы;
- подозрение на внутрибрюшное кровотечение, разрыв кисты;
- скопление свободной жидкости в брюшной полости - асцит (наиболее частая причина применения лапароцентеза).
В каждой клинической ситуации к решению вопроса о проведении лапароцентеза доктор подходит индивидуально. Если есть резерв времени, то лапароцентезу предшествует тщательное исследование (лабораторная диагностика, ультразвуковое исследование) и сбор анамнеза. В критических ситуациях, когда речь идет о жизни пациента, лапароцентез позволяет быстро обнаружить причину патологии и принять своевременные меры.
Среди противопоказаний к лапароцентезу отмечают спаечную болезнь, выраженный метеоризм, высокий процент повреждения стенок кишечника, наличие опухолей больших размеров в брюшной полости, присутствие воспалительных и гнойных процессов, наличие послеоперационной вентральной грыжи.
Подготовка к процедуре лапароцентеза
Перед лапароцентезом доктор назначает ряд необходимых анализов и диагностических процедур, среди которых:
- физический осмотр;
- анализ на свертываемость крови;
- рентгеновское обследование;
- УЗИ;
Все диагностические процедуры можно пройти на месте, ведь оснащение Юсуповской больницы находится на высоте. Здесь есть все необходимое оборудование новейших образцов, которое позволяет быстро и точно установить диагноз с минимальным негативным воздействием на организм пациента.
Также пациент должен сообщить врачу об аллергии на препараты, беременности или если он уже принимает медикаменты. Непосредственно перед процедурой нужно опорожнить мочевой пузырь и кишечник, а за 12 часов до операции не есть и не пить.
Техника выполнения лапароцентеза
Такое мини-вмешательство, как лапароцентез, осуществляется под местной анестезией, при этом пациент чаще находится в положении сидя, иногда его кладут на спину. Область, где будет производиться прокол, очищается и стерилизуется. После введения анестетика специальной иглой производится прокол внизу живота (примерно посредине между пупком и лобком), куда вводят небольшую трубку. С ее помощью будет удаляться жидкость. Количество выведенной жидкости за одну процедуру в среднем колеблется от 3 до 5 л, но в более тяжелых случаях доктор может принять решение и об извлечении 10 л.
Обычно лапароцентез занимает около получаса, но может длиться больше. Время будет зависеть от объема удаляемой жидкости и состояния пациента.
После завершения процедуры место прокола туго перевязывают. У пациента всегда измеряют температуру, пульс, давление. Перед лапароцентезом и после него измеряют вес.
После лапароцентеза образцы полученной жидкости исследуют для определения ее происхождения (цитологическое исследование). Пациенту не придется искать учреждение, где смогут исследовать полученную жидкость, ведь на базе Юсуповской больницы есть собственная лаборатория.
Если жидкость имеет отечную природу, то это может «говорить» о сердечной недостаточности, циррозе печени или нефротическом синдроме. При получении жидкости воспалительной природы следует говорить о наличии опухолей или метастазов в органах брюшной полости.
Осложнения при лапароцентезе
Процент возникновения осложнений при проведении лапароцентеза в Юсуповской больнице очень низкий (меньше 1%), но никакая операция не может гарантировать их отсутствие. Среди осложнений у пациента может возникнуть:
- кровотечение;
- случайный прокол органов, расположенных в брюшной полости;
- инфекция.
Увеличивается риск осложнений при беременности, проведении операции с полным мочевым пузырем, кровотечении и плохом питании. Поэтому, по возможности, стоит исключить эти факторы.
Что делать после операции: несколько нюансов
В домашних условиях нужно соблюдать рекомендации врача и по возможности взять несколько отгулов.
Немедленно стоит обратиться в больницу, если наблюдаются симптомы:
- лихорадка, озноб и другие признаки инфекции;
- выбухание брюшной стенки;
- покраснение, сильная боль, опухоль в месте прокола;
- болезненные ощущения, которые не проходят даже после приема обезболивающих средств;
- слабость и боль в груди, одышка, кашель.
Стоимость лапароцентеза
Цена лапароцентеза зависит от сложности операции, анестезии и клиники, в которой проводилась процедура. Более подробно узнать о стоимости процедуры можно по телефону.
В Юсуповской больнице лапароцентез проводят достаточно часто. В клинике работают врачи высшей категории и кандидаты медицинских наук, у которых большой практический опыт.
Список литературы
Профильные специалисты
Заместитель главного врача по медицинской части. Врач-терапевт, кардиолог, онколог.
Гидроторакс
Информацию из данного раздела нельзя использовать для самодиагностики и самолечения. В случае боли или иного обострения заболевания диагностические исследования должен назначать только лечащий врач. Для постановки диагноза и правильного назначения лечения следует обращаться к Вашему лечащему врачу.
Для корректной оценки результатов ваших анализов в динамике предпочтительно делать исследования в одной и той же лаборатории, так как в разных лабораториях для выполнения одноименных анализов могут применяться разные методы исследования и единицы измерения.
Гидроторакс: причины появления, при каких заболеваниях возникает, диагностика и способы лечения.
Определение
Гидротораксом называют патологическое состояние, характеризующееся скоплением избыточной жидкости в плевральной полости. Термин «гидроторакс» состоит из двух греческих корней: «hydor» - вода, «thorax» ‒ грудная клетка, что переводе буквально означает «грудная водянка».
Легкое человека покрыто двумя листками серозной оболочки - плеврой. Один из них плотно покрывает поверхность легких и их сосудов. Второй плотно прилежит к ребрам и органам, которые располагаются между легкими (сердцу, пищеводу, лимфоузлам и др.).
Основная задача плевры - участие в акте дыхания. В норме полость плевры содержит небольшое количество серозной жидкости, за счет которой листки легко скользят относительно друг друга, оберегая органы от излишнего трения и травмирования при дыхании. Если уровень жидкости между листками плевры превышает физиологическую норму, то говорят о наличии гидроторакса, что сопровождается характерной симптоматикой дыхательной недостаточности (одышкой, тяжестью в груди, цианозом носогубного треугольника).
Плевральный выпот вырабатывают капилляры межреберных артерий, а выводится лишняя жидкость лимфатической системой.
Накопление жидкости происходит только в случае увеличения ее поступления в полость плевры или блокирования ее обратного оттока.
При гидротораксе накапливающаяся жидкость имеет невоспалительный характер (транссудат) в отличие от экссудативного плеврита, при котором выпот имеет воспалительное происхождение (экссудат). Транссудат представляет собой прозрачную бесцветную или слегка желтоватую жидкость, имеет щелочную реакцию, уровень белка в нем не более 3%. Количество транссудата весьма вариабельно и может достигать нескольких литров.

Все неудобства и проблемы, которые вызывает гидроторакс, носят механический характер. Накапливаясь в плевральной полости, жидкость начинает давить на легкие и органы средостения. Большой объем жидкости в плевральной полости может спровоцировать тяжелое осложнение - острую дыхательную недостаточность, угрожающую жизни пациента. Кроме того, существует высокий риск смещения органов средостения, нарушения кровообращения и развития тяжелой сердечной патологии.
В отдельных случаях может происходить вторичное инфицирование с развитием гнойного воспалительного процесса в плевральной полости (эмпиемы плевры).
Разновидности гидроторакса
Классификация гидроторакса основывается на объеме и расположении жидкости:
- малый гидроторакс — жидкость находится в пределах реберно-диафрагмального синуса;
- средний гидроторакс — скопление жидкости наблюдается от угла до уровня середины лопатки;
- большой гидроторакс — уровень жидкости выше середины лопатки.
С учетом количества транссудата различают гидроторакс:
- осумкованный - ограничен спайками или другими тканями от большего участка плевральной щели, может находиться на любой поверхности плевры;
- частичный;
- тотальный.
Гидроторакс не является самостоятельным заболеванием, то есть развивается непременно на фоне другой болезни. Причиной его возникновения всегда оказывается хроническое или осложненное заболевание внутренних органов, а также побочный эффект от лечения. К основным причинам гидроторакса относят:
- нарушения проницаемости сосудистой стенки;
- расстройства лимфатического оттока;
- нарушения обмена электролитов;
- увеличения продукции альдостерона;
- повышения давления в системе сосудов малого круга кровообращения;
- физиологически низкого давления в плевральной полости.
Хроническая сердечная недостаточность, которая может быть связана с ишемической болезнью, пороками сердца, констриктивным перикардитом, миокардитами, хронической обструктивной болезнью легких.
Накопление транссудата в межплевральном пространстве происходит по причине венозного застоя в большом круге кровообращения.
Почечная недостаточность, которую сопровождает нефротический синдром. Является следствием болезней почек различного характера, которые предусматривают поражение почечных клубочков: гломерулонефритов, амилоидоза почек, коллагенозов, токсической нефропатии и др.
На фоне гипопротеинемии и гипоальбуминемии развиваются генерализованные отеки, гидроперикард, гидроторакс, асцит.
Алиментарная дистрофия, связанная с неполноценностью или недостаточностью питания (тяжелая форма белково-энергетической недостаточности). В этом случае выпот в плевральную полость напрямую связан с дефицитом витаминов В и С, снижением оттока лимфы.
Цирроз печени. Гидроторакс развивается у 5-10% больных в терминальной фазе цирроза печени, что указывает на наличие застойных явлений в системе крови. Он обусловлен гипоальбуминемией, портальной гипертензией, сопутствующим асцитом. Является следствием попадания асцитической жидкости из брюшной полости в плевральную через диафрагму.
Перитонеальный диализ. Эта процедура подразумевает ввод в брюшную полость большого объема жидкости, а потом ее удаление. Гидроторакс возникает вследствие перемещения диализирующего раствора из брюшной полости в плевральную. При этом в 90% случаев развивается правосторонний гидроторакс.
Опухоли. При онкологических заболеваниях часто наблюдается рецидивирующий гидроторакс, причиной которого может быть не только само злокачественное новообразование, но и его лечение с помощью лучевой или химиотерапии. Еще одна возможная причина - нарушение работы лимфатической системы из-за поражения лимфоузлов метастазами или прорастания раковой опухоли. Чаще всего скопление жидкости в легких происходит при раке легкого, молочной железы, яичника, желудка, тела и шейки матки, при меланомах, лимфомах, саркомах, лейкемии. При злокачественной опухоли плевры (мезотелиоме) повышается проницаемость сосудистой стенки капилляров. Жидкость из крови активно поступает в легкие, а ее откачка лимфатической системой, напротив, ухудшается. В результате возникает застой и скопление жидкости.
Микседема — недостаток гормонов щитовидной железы. Механизм образования транссудата при тяжелом гипотиреозе неизвестен. Предполагается, что это связано с застоем лимфы ввиду снижения выработки тиреоидных гормонов.
Тромбоэмболия легочной артерии. Выпот может иметь как характер транссудата, так и экссудата. Первый характерен для острого легочного сердца, второй - для инфаркта легкого.
Гидроторакс плода во время беременности. Причиной плеврального выпота у плода могут быть генетические проблемы; инфекции и пороки развития, особенно сердца или легких; ситуации, когда при резус-конфликте нарушается работа системы кровообращения. У новорожденных детей гидроторакс может возникнуть при обвитой пуповине или родовых травмах.
К каким врачам обращаться при гидротораксе
На наличие плеврального выпота указывают данные физикального осмотра и текущие жалобы пациента.

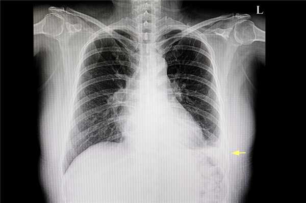
Рентгенологическое изображение легкого пациента, где виден плевральный выпот (желтая стрелка)
Первичный осмотр проводит врач-терапевт , врач общей практики или пульмонолог . Дальнейшее ведение больных осуществляется профильным специалистом: кардиологом , гепатологом, нефрологом, эндокринологом . В стационаре пациента наблюдает торакальный хирург.
Диагностика и обследования при гидротораксе
Симптомы гидроторакса становятся следствием сдавливания легких скопившейся жидкостью. Пациентов беспокоит чувство тяжести, давления в груди, сухой кашель, одышка. Если в плевральной полости накапливается большое количество транссудата, затрудняется отток крови из шейных вен. Тогда становится заметным их набухание. Наблюдается тотальная отечность тканей, скопление жидкости в брюшной полости, иногда - в перикарде. Характерными объективными признаками являются тахипноэ, асимметрия грудной клетки, ограничение подвижности пораженной стороны при дыхании, цианоз кожных покровов.
Врач выявляет наличие лишней жидкости в плевральной полости на начальных этапах осмотра. Специалист осматривает грудную клетку, проводит перкуссию (выстукивание) и аускультацию (выслушивание стетоскопом).
Для подтверждения гидроторакса применяется следующий диагностический алгоритм:
- Ультразвуковое исследование плевральных полостей позволяет выявить наличие даже минимального объема выпота в грудной полости, с высокой точностью определить его количество. Кроме того, ультразвук используется для постановки метки и контроля при проведении плевральной пункции.
Исследование плевральной полости для диагностики различные патологии легких, включая травматические повреждения плевры.
Жидкость в брюшной полости
Жидкость в брюшной полости: причины появления, при каких заболеваниях возникает, диагностика и способы лечения.
Определение
Состояние, при котором накапливается жидкость в брюшной полости, называется асцитом. Очень небольшое количество жидкости присутствует в полости брюшины всегда. Эта жидкость - следствие естественного процесса фильтрации крови через кровеносные сосуды.
Однако при некоторых заболеваниях жидкость либо начинает вырабатываться в избыточном количестве, либо перестает всасываться. В результате она постепенно накапливается в брюшине и давит на внутренние органы, серьезно нарушая их работу.

Разновидности асцита
По объему жидкости:
- небольшое количество;
- умеренное количество;
- значительное количество.
- стерильное содержимое (отсутствие бактериальной составляющей);
- инфицированное содержимое (может быть связано с прободением кишечника или желудка, а также с травмой живота и проникающим ранением);
- спонтанный бактериальный перитонит.
- асцит, поддающийся медикаментозной терапии;
- рефрактерный асцит - то есть не поддающийся лекарственной терапии или возвращающийся вновь спустя короткое время после лечения.

Онкологические процессы в организме также способны стать причиной асцита. Однако, как и в случае с заболеваниями печени, жидкость в брюшной полости появляется лишь по мере прогрессирования болезни. В первую очередь, следует обращать внимание на такие симптомы, как снижение массы тела, аппетита, повышенную утомляемость, болевой синдром, нарушение работы кишечника.
Хронические заболевания сердечно-сосудистой системы приводят к застою крови в левом круге кровообращения, вследствие чего внутрибрюшная жидкость начинает вырабатываться интенсивнее. Появлению асцита всегда предшествует длительная история сердечно-сосудистого заболевания.
Ухудшение состояния происходит постепенно и не очень заметно для больного, поэтому важно не нарушать врачебные предписания и обращаться за врачебной помощью своевременно.
Больного должна насторожить нарастающая слабость, появление или усиление одышки, ночного кашля, изменение привычных цифр артериального давления, появление или увеличение отеков на ногах, которые сначала становятся более выраженными к вечеру, а затем не проходят совсем.
Механизм данного процесса объясняется массивной потерей белка из-за неправильной работы почек и, соответственно, ухудшением всасывания жидкости. Кроме того, отечность присутствует на лице, шее, нижних конечностях, жидкость может скапливаться в грудной полости и полости сердца.
Асцит сопровождает ряд инфекционно-воспалительных заболеваний. По-прежнему довольно часто во врачебной практике встречается туберкулез, течение которого связано с поражением лимфатических узлов брюшной полости, что приводит к сдавливанию внутренних органов, в результате чего наблюдается скопление внутрибрюшной жидкости. Туберкулез обычно начинается с жалоб пациента на повышенную утомляемость, чрезмерную потливость, особенно в ночное время, снижение аппетита и похудение, длительное повышение температуры тела в пределах 37,3-38,3°С. У части больных наблюдаются несильные боли в животе без четкой локализации. Появление таких симптомов требует скорейшего обращения к врачу.
Хронический панкреатит иногда сопровождается асцитом. Такое состояние особенно характерно для людей, злоупотребляющих алкоголем. Накоплению жидкости в брюшной полости предшествуют интенсивные боли в животе.
Длительное голодание может приводить к появлению жидкости в брюшной полости за счет снижения уровня белка и нарушения процесса всасывания жидкости.
В этом случае объем жидкости будет небольшим, однако появление подобного симптома говорит о серьезных нарушениях в работе всего организма. Данное состояние потребует в дальнейшем проведения серьезного и длительного лечения под тщательным контролем множества лабораторных показателей.
Заболевания, приводящие к асциту
Некоторые онкологические заболевания.
Болезни поджелудочной железы.
Недоедание и истощение.
Заболевания эндокринной системы.
Гинекологические заболевания (эндометриоз, кисты и опухоли яичников).
К каким врачам обращаться при асците
Появление жидкости в брюшной полости является симптомом заболеваний, как правило, требующих госпитализации и длительного лечения. Постановкой диагноза и назначением терапии занимаются следующие специалисты: врач-гастроэнтеролог , онколог, кардиолог, эндокринолог, нефролог, пульмонолог, хирург, гинеколог.
Диагностика и обследования при асците
Тщательный сбор анамнеза с учетом всех жалоб пациента, осмотр и проведение дополнительной диагностики помогают установить правильный и своевременный диагноз.
- Клинический анализ крови с развернутой лейкоцитарной формулой (для выявления воспалительных изменений при различных инфекционно-воспалительных заболеваниях.
Синонимы: Общий анализ крови, ОАК. Full blood count, FBC, Complete blood count (CBC) with differential white blood cell count (CBC with diff), Hemogram. Краткое описание исследования Клинический анализ крови: общий.
Деформация грудной клетки
Деформация грудной клетки: причины появления, при каких заболеваниях возникает, диагностика и способы лечения.
Определение
Под деформацией грудной клетки понимают различные по степени выраженности изменения формы ее костных структур, в некоторых случаях проявляющиеся не только косметическим дефектом, но и приводящие к функциональным нарушениям со стороны дыхательной и сердечно-сосудистой систем за счет сдавления и смещения органов грудной полости. Грудная клетка - часть туловища, образованная соединенными между собой с помощью суставов грудиной, ребрами, позвонками, а также мышцами.
Иными словами, грудная клетка представляет собой костно-мышечный каркас, защищающий жизненно важные органы от внешних воздействий.

Грудная клетка меняется по мере роста и развития человека, а у взрослых людей ее форма и величина зависят от пола, развития мускулатуры и органов дыхания, рода деятельности, образа жизни. Форма грудной клетки имеет несколько вариантов нормы: плоская, цилиндрическая и коническая.
Разновидности деформаций грудной клетки
Все деформации грудной клетки делят по происхождению на врожденные и приобретенные. К врожденным дефектам относят воронкообразную, килевидную, комбинированную деформации грудной клетки и более редкие дефекты развития. Воронкообразная грудная клетка характеризуется западением грудины и передней грудной стенки. Это самая частая деформация - она составляет около 80% от всех деформаций (встречается в 3 раза чаще у мальчиков) и в 25% случаев носит наследственный характер.

Воронкообразная грудная клетка
Килевидная грудная клетка увеличена в переднезадней своей части, грудина выступает вперед в виде киля. Встречается с частотой от 6 до 20%, чаще у представителей мужского пола.
Приобретенной деформацией грудной клетки может быть ладьевидная, эмфизематозная, или бочкообразная, паралитическая, кифосколиотическая, а также килевидная грудная клетка (рахитическая).
По форме деформации подразделяют на симметричные и асимметричные.
Для определения степени выраженности деформации проводят рентгенографию грудной клетки или компьютерную томографию (КТ).
На рентгенограмме вычисляют отношение наименьшего размера между грудиной и телом позвонка к наибольшему, что является индексом Гижицкой. В зависимости от полученного значения выделяют четыре степени деформации. При проведении компьютерной томографии определяется индекс Галлера (компьютерно-томографический индекс), который равен отношению горизонтального расстояния между внутренней частью ребер к расстоянию между грудиной и телом позвонка в месте наибольшего западения грудины.
По стадии деформации бывают компенсированными, субкомпенсированными и декомпенсированными. При компенсированной деформации косметический дефект незначителен, одышки и учащенного сердцебиения не наблюдается. При субкомпенсированной деформации косметический дефект выраженный, есть одышка и тахикардия при физической нагрузке. При декомпенсированной деформации косметический дефект обезображивающий, одышка и тахикардия присутствуют в покое.
Возможные причины деформации грудной клетки
Врожденные деформации грудной клетки связаны с генетической аномалией развития хрящевой и костной ткани, а также нередко сочетаются с дефектами соединительной ткани (при наследственных заболеваниях: синдромах Марфана, Элерса-Данло и др.). Одни виды деформаций можно диагностировать в грудном или раннем детском возрасте (реберно-мышечный дефект, расщелина грудины). Другие дебютируют и прогрессируют в периоды ускоренного роста организма, в основном такие скачки происходят в возрасте 5-6, 8-10, 13-15 лет.
Приобретенные деформации грудной клетки возникают в результате внешних воздействий (травм, ожогов, оперативных вмешательств, например, по поводу кардиологической патологии) или перенесенных заболеваний (чаще воспалительного характера или инфекционных, связанных с нарушением обмена кальция).
Заболевания, при которых возникает деформация грудной клетки
К заболеваниям, вызывающим деформацию грудной клетки и связанным с нарушением кальциевого обмена, относят рахит.
Рахит - заболевание детского возраста, при котором вследствие различных причин у интенсивно растущего организма возникает полигиповитаминоз с преимущественным снижением уровня витамина D - кости теряют минеральную плотность и деформируются в процессе роста ребенка, грудная клетка приобретает килевидную форму. В настоящее время деформации встречаются реже, т.к. рахит распознается на ранних стадиях.
Для сирингомиелии характерно наличие полости, заполненной жидкостью, расположенной в спинном мозге. Заболевание может возникнуть из-за нарушения развития эмбриона, в связи с родовой травмой, травмой спинного мозга, препятствием оттока спинномозговой жидкости. Стенки полости оттесняют окружающие ткани, которые состоят из нервных клеток и проводящих путей нервной системы. Вследствие этого нарушается иннервация мышц, в том числе образующих каркас грудной клетки. На поздних стадиях это может привести к искривлению позвоночника и формированию ладьевидного вдавления на передней поверхности грудной клетки.
Остеомиелит - инфекционно-воспалительное гнойно-некротическое поражение костной ткани, возбудителями которого могут быть стафилококки, стрептококки, кишечная палочка и др.
Остеомиелит ребер возникает крайне редко, чаще является посттравматическим, реже - бактериальным, когда бактерии попадают в костную ткань с током крови или распространяются контактно (например, при гнойном поражении оболочки легких).
В остром периоде на первый план выступают такие симптомы, как повышение температуры тела до 39-40°C, боль, покраснение, отек в области пораженного ребра.
Среди инфекционных заболеваний особое значение имеет туберкулез. К деформациям грудной клетки может привести не только туберкулез легких (на поздних стадиях), но и туберкулез костей (грудины, ребер, позвонков). Процесс протекает по типу остеомиелита, но вызывает его специфический возбудитель - палочка Коха. При туберкулезе ребер или грудины внешне определяется припухлость и болезненность в области поражения. При туберкулезе позвоночника поражаются и разрушаются тела позвонков, что проявляется болью, на поздних стадиях деформируется позвоночный столб. Заболевание сопровождается повышением температуры тела до 37,2-37,6°С, общим недомоганием, ночной потливостью, отсутствием аппетита, потерей веса.
Эмфизема легких - заболевание, при котором необратимо разрушаются и теряют эластичность стенки альвеол, структурных элементов легочной ткани, нарушается газообмен и возникает повышенная воздушность легких. Эмфизема может возникнуть самостоятельно или на фоне обструктивных болезней легких.
Из-за повышенной воздушности легочной ткани грудная клетка увеличивается в объеме, как бы застывая на вдохе (становится бочкообразной).
При заболеваниях легких и плевры, приводящих к формированию в них соединительной ткани и уменьшению их размеров, грудная клетка деформируется по типу паралитической - уменьшается, уплощается, на стороне поражения втягиваются межреберные промежутки.
К каким врачам обращаться при деформации грудной клетки
Первичную оценку состояния может провести терапевт , врач общей практики, педиатр . При наличии показаний пациента направляют к узким специалистам, таким как хирург, травматолог-ортопед, фтизиатр, онколог, кардиолог , психолог, генетик, эндокринолог , отоларинголог и др.
Диагностика и обследования при деформации грудной клетки
До назначения лечения врачу необходимо оценить вид и форму косметического дефекта, выяснить, когда и при каких обстоятельствах он возник.
Следует обязательно сообщить врачу о других симптомах, если таковые имеются: общей слабости и утомляемости, эпизодах повышения температуры тела, одышке, учащенном сердцебиении.
При необходимости для оценки состояния внутренних органов или уточнения показаний для хирургического лечения специалист назначит дополнительные методы обследования: рентгенографию грудной клетки в двух проекциях с расчетом индексов, общий анализ крови с лейкоцитарной формулой и СОЭ, общий анализ мочи, спирографию, электрокардиографию, эхокардиографию (ЭхоКГ) компьютерную томографию органов грудной клетки и средостения, магнитно-резонансную томографию грудной клетки.
Рентгенологическое исследование структуры легких с целью диагностики различных патологий.
Перитонит: что это за болезнь и какие имеет симптомы
Перитонит - опасное заболевание, которое унесло жизни миллионов людей. Опасность заключается в быстром развитии симптомов перитонита брюшной полости, которые внезапно возникают на фоне полного благополучия. Симптомы перитонита брюшной полости у взрослых зависят от причин заболевания, а также от стадии перитонита.
- Болевой синдром. Для перитонита характерно внезапное начало с появления боли в области живота. Признаки перитонита локализуются в месте первичного очага воспаления. В последующем болевая симптоматика носит разлитой характер. Усиление боли происходит при перемене положения тела, сопровождаясь напряжением передней брюшной стенки. От причины заболевания зависит выраженность и характер боли. Наиболее болезненным считается разрушение поджелудочной железы, так как ферменты попадают на брюшину. При внешнем осмотре определяется напряжение мышц передней брюшной стенки, что является признаком раздражения.
- Повышение температуры тела. Гипертермия относится к интоксикационному синдрому. Как правило, температура повышается до тридцати девяти градусов, что обуславливает патогенность инфекционного агента;
- Тахикардия. Перитонит обладает неспецифическим симптомом в виде учащения пульса. Это отражает выраженность интоксикации;
- Падение артериального давления. Такой признак является плохим прогностическим критерием для пациента. Терминальная стадия патологии выражается в низких цифрах давления, так как компенсаторные реакции организма не справляются с воспалительным процессом;
- Чувство жажды. Обильное питье не приносит облегчения. На ранних этапах язык при осмотре будет обложен обильным сухим белым налетом, в последующем налет приобретает бурый оттенок;
- Сухость кожи. При перитоните такие симптомы у взрослых наблюдаются при обезвоживании. У пациента заостряются черты лица, а слизистые отчетливо выделяются;
- Судорожный синдром. Наблюдается при наращении водно-электролитного баланса. Такие подергивания чаще всего локализуются на нижних конечностях. По мере прогрессирования заболевания судороги имеют тенденцию к распространяются вверх;
- Олигурия. Воспаление брюшины имеет симптомы, указывающие на снижение суточного объема мочеиспускания. В результате токсины, которые в норме выводятся из организма мочой, задерживаются в пациенте;
- Мнимое благополучие. Признаки перитонита брюшной полости как у женщин, так и мужчин затихают, после выраженной клинической симптоматики. Такой светлый промежуток является опасным состоянием, так как в этот период многие пациенты могут отказаться от необходимой госпитализации в стационар. Состояние может продолжаться около трех часов, а затем болевой синдром возвращается с новой силой;
- Нарушение перистальтики. Характеризуется как у взрослых, так и детей, замедлением или же полным прекращением перистальтических волн. В таком случае перистальтику не удается прослушать даже фонендоскопом;
- Раздражение брюшины. Симптоматика обусловлена индивидуальными человеческими особенностями. При повышенном болевом пороге пациенты менее чувствительны к болевой симптоматике, легче переносят это состояние. Такое поведение влечет за собой позднее обращение за медицинской помощью, что влияет на исход заболевания;
- Спутанность сознания. На фоне выраженного болевого и интоксикационного синдрома происходит каскад биохимических реакций, что обуславливает нарушение сознания. Больной не ориентирован во времени и пространстве. Однако это происходит лишь при прогрессировании патологии.
Классическая симптоматика острого живота наблюдается при разлитом перитоните. Признаки перитонита являются важными диагностическими критериями при постановке диагноза.

Клиническая картина неспецифического перитонита
Хронический неспецифический перитонит имеет стертую клиническую картину. Плавное развитие патологии объясняется отсутствием типичных симптомов: острой боли в животе, тошноты и рвоты. На начальных стадиях организм больного компенсаторно справляется с действием токсинов, которые выделяет возбудитель. Сильная интоксикация может привести к развитию астенического синдрома. Такое специфическое заболевание имеют следующие признаки:
- Существенное снижение массы тела;
- Повышение температуры тела до тридцати восьми градусов;
- Общая слабость организма;
- Повышенная утомляемость;
- Сонливость;
- Эпизодический болевой синдром;
- Повышенная потливость;
- Одышка при выполнение физических упражнений;
- Нарушение стула.
Основными причинами хронического неспецифического перитонита являются туберкулезная палочка и пневмококки.
Серозно-фибринозный и серозный перитонит
Серозно-фибринозный перитонит - это патология, в основе которой лежит воспалительный процесс листков брюшины, сопровождающийся скоплением серозного-фиброзного экссудата в брюшинной полости. Для заболевания характерен сильный болевой синдром в брюшной полости, напряжение мышц живота, тошнота, рвота, расстройство стула, повышение температуры тела и ухудшение общего состояния больного.
Серозный перитонит-воспалительный процесс, при котором наблюдается серозный экссудат в брюшной полости.
Главной причиной развития всех перитонитов является инфицирование листков брюшины в результате попадания в брюшную полость бактериальных микроорганизмов.
Основными причинами развития перитонитов считаются:
- Острый или хронический аппендицит;
- Тупое и проникающее травматическое повреждение живота;
- Острые воспалительные процессы внутренних женских половых органов;
- Прободение в желудочно-кишечном тракте язвенных образований;
- Повреждение стенок кишечника или желчевыводящих путей.
Среди бактериальных микроорганизмов, которые могут вызвать развитие перитонита, отмечают как грамотрицательные, так и грамположительные бактерии. В связи с этим значительно усложняется подбор антибактериальной терапии.
Основываясь на механизме попадания патогенной флоры в брюшную полость, перитониты делят на два типа: первичные и вторичные.
Первичный перитонит развивается при распространении инфекции из других очагов заражения в организме.
Вторичные перитониты являются осложнением местных заболеваний желудочно-кишечного тракта.
Местный серозно-фибринозный\серозный перитонит
Местный перитонит - это воспалительный процесс брюшины, ограниченный конкретным участком и локализующееся в окружности органа, который является причиной патологического процесса.
Местный серозно-фибринозный перитонит возникает благодаря развитию спаечного процесса и способности брюшины отграничивать воспалительный процесс. Чаще всего местный серозный перитонит тесно связан с острым заболеванием того или иного органа брюшной полости (желудка, двенадцатиперстной кишки, желчного пузыря, сегмента тонкой или толстой кишки, органов малого таза, почек).
Главной причиной развития таких перитонитов является перфорация при язвенной болезни полого органа (желудок, двенадцатиперстная кишка, язвенном колите, гангренозном аппендиците и прочее). Местные воспалительные процессы в брюшной полости гораздо легче протекают, нежели разлитой перитонит, в некоторых случаях больные даже сохраняют трудоспособность. Однако даже при таком течении заболевания, несвоевременная диагностика и лечение могут привести к деструктивному процессу и формированию абсцессов в брюшной полости.
Клиническая картина
Для постановления диагноза врачу необходимо детально собрать анамнез заболевания. Чаще всего пациенты с серозно-фибринозным перитонитом отмечают следующие жалобы:
- Боль в животе, локализация которых зависит от очага воспаления;
- Тошнота;
- Рвота (возможно с примесью желчи и содержимым толстого кишечника);
- Страдальческое лицо;
- Бледные кожные покровы;
- Холодный пот;
- Обездвиженность;
- Вынужденное положение тела (на спине или на боку с приведенными ногами к животу);
- Повышение температуры тела;
- Падение артериального давления;
- Нарушение сознания (при прогрессировании состояния больного);
- Заостренные черты лица;
- Желтушный оттенок кожных покровов и слизистых;
- Вздутие живота.
Диагностика
Постановка диагноза серозно-фибринозного перитонита связана с определенными трудностями, поэтому этим процессом должен заниматься только квалифицированный врач. В Юсуповской больнице специалисты каждый день сталкиваются с различными неотложными состояниями, которые требуют немедленной диагностики и лечения. В больнице имеется инновационное оборудование, которое успешно применяется в диагностических целях для скорейшего получения результатов.
После сбора анамнестических данных, для полноты обследования врачи применяют:
- Пальпацию и аускультацию, для определения характерных симптомов заболевания. При выслушивании кишечных шумов отмечается «шум плеска» из-за накопления в брюшной полости свободной жидкости. Шумы, как правило, ослаблены или же полностью отсутствуют.
- Рентгенологическое исследования органов брюшной полости. Характерным признаком поддиафрагмальной язвы является наличие прослойки воздуха. Специфический симптом «чаш» - при кишечной непроходимости.
Гнойный перитонит: симптомы заболевания
Гнойный перитонит - воспалительное поражение брюшины, которое протекает с участием флоры гноеродной природы. Это инфекционно-неспецифическое или специфическое поражение, возникающее как следствие острых хирургических патологий или травматизации органов брюшной полости.
Наиболее часто развитие острого гнойного перитонита связано с следующими причинами:
- Нарушение целостности стенки органа брюшной полости и попаданием его содержимого на брюшину (чаще всего при гангренозно-перфоративном аппендиците, перфорации язвы желудка и двенадцатиперстной кишки, перфоративном холецистите, повреждение кишечника инородным телом, разрыве дивертикула желудка или кишечника, при прорастании стенки желудка или кишки опухолью с развитием перфорации);
- Переход воспаления с очага инфекции на один из листов брюшины без нарушения целостности органа (при флегмонозном аппендиците, воспалительном гинекологическом заболевании, гнойном холецистите, панкреатите);
- Травмы органов брюшной полости. При нарушении целостности органа во время или после операции (гнойный перитонит после операции возникает, если не соблюдаются правила асептики и антисептики, нарушается послеоперационный уход за пациентом);
- Обсеменение органов несколькими видами бактерий (стафилококки, стрептококки, кишечная палочка, энтерококки, протеи, синегнойная палочка, клостридии, пневмококки, микобактерии туберкулеза, нейссерии гонореи).
Начало острого гнойного перитонита характеризуется симптомами основного заболевания, в дальнейшем присоединяются специфическая симптоматика воспаления брюшины. Основными симптомами являются:
- Боль в животе (имеет точную локализацию, очень интенсивная, усиливается при любых физических нагрузках, чихании или кашле). Если интенсивность боли уменьшается или вовсе исчезает на фоне ухудшения состояния, то это является плохим прогностическим признаком, так как свидетельствует о некрозе брюшины и ее нервных окончаний;
- Тошнота, рвота (вначале содержимым желудка, а потом кишечника и каловым содержимым). Такое состояние связано с парезом кишечника;
- Обезвоживание;
- Выраженный метеоризм (из-за пареза кишечника);
- Вынужденное положение больного на боку с подтянутыми к груди коленями (в результате уменьшается натяжение брюшины);
- Сухость и бледность кожных покровов, возможен мраморный рисунок, акроцианоз (синюшность);
- Холодные и влажные конечности;
- Обложение языка грязно-серым налетом;
- Неприятный запах изо рта;
- Тахикардия, повышение артериального давления;
- Беспокойство, чувство страха;
- Увеличение частоты дыхания;
- Полиорганная недостаточность (из-за выраженного водно-ионного дефицита). Проявляется спутанностью сознания вплоть до комы, развитием судорог;
- Усиление перистальтики (сокращение стенок кишечника);
- Темно-коричневая моча (при обезвоживании и интоксикации);
- Перестают отходить газы и стул.
При пальпации живота возникает выраженное напряжение брюшных мышц (живот становится доскообразным), положительный симптом Щеткина-Блюмберга (при нажатии на брюшную стенку отмечается сильная боль, которая усиливается при резком снятии руки). Обнаруживается тимпанит (звонкий звук, характерный для большого количества газа) при перкуссии. В отдельных местах отмечается притупление звука (при выпоте в брюшной полости). На поздних этапах гнойного перитонита слышен шум плеска, шум падающей капли.

Диагностика гнойного перитонита
При подозрении на развитие гнойного перитонита диагностические мероприятия должны осуществляться очень быстро, поскольку хирургическое вмешательство, проведенное в первые сутки, гарантирует выздоровление в 95% случаев. Больным в срочном порядке показано:
- Ультразвуковая диагностика органов брюшной полости (визуализируются раздутые петли кишечника, выпот в брюшную полость, состояние перистальтики);
- Обзорная рентгенография органов брюшной полости (выявляются кишечные арки, затемнения в определенных местах, свидетельствующие о наличии жидкости, уровни патологического содержимого);
- Мультисрезовая спиральная компьютерная томография (удается детально осмотреть органы брюшной полости, наличие выпота);
- Консультация эндоскописта (с целью проведения диагностической лапароскопии). Благодаря данному методу виден источник развития гнойного перитонита, воспалительный процесс, гнойно-фибринозный выпот. Полученные данные отправляют в лабораторию для определения чувствительности микрофлоры к антибиотикам;
- Общий анализ крови (лейкоцитоз, анемия, тромбоцитопения);
- Биохимический анализ крови (снижение уровня натрия, калия, хлора).
Лечение перитонита в Москве
Перитонит требует немедленной терапии, сразу после подтверждения диагноза. Несвоевременная диагностика повышает риск осложнений и летального исхода. Лечение может проводиться как консервативно, так и оперативно, в зависимости от многих факторов заболевания.
Оперативное лечение. В терапии острой патологии применяется лапаротомия, несмотря на современные малоинвазивные хирургические виды лечения- лапароскопия. К преимуществам такого вида оперативного вмешательства является быстрота доступа и обширность операционного поля. Хирург ликвидирует причину заболевания, после чего орошает брюшную полость антисептическими средствами. Такой вид лечения является лидирующим;
Консервативное лечение. Такое лечение сочетается с хирургическим, целью которого является эрадикация возбудителя инфекции, восстановление функций организма. Терапию дополняют антибиотиками и антибактериальными средствами. Наибольшая биодоступность достигается при внутривенном введении препаратов. Инфузионными растворами восстанавливают водно-электролитный баланс. Также применяются диуретические средства и антикоагулянты, нестероидных противовоспалительные средства, противорвотных препаратов.
В Юсуповской больнице собраны наилучшие врачи разных направлений, которые достигают успеха в лечении экстренных патологий. Специалисты Юсуповской больницы в своей работе используют современные технические новинки для диагностических и лечебных целей. Постоянно проходят курсы за рубежом и пользуется в своей практике новыми европейскими схемами терапии. Если Вы хотите больше узнать о перитоните, симптомах у взрослых и их причины, обратитесь в нашу больницу. Записаться на прием или консультацию к специалисту Юсуповской больницы Вы можете по телефону.
Читайте также:
