Симптом воздушного серпа на рентгенограмме органов грудной клетки
Добавил пользователь Владимир З. Обновлено: 01.02.2026
Информацию из данного раздела нельзя использовать для самодиагностики и самолечения. В случае боли или иного обострения заболевания диагностические исследования должен назначать только лечащий врач. Для постановки диагноза и правильного назначения лечения следует обращаться к Вашему лечащему врачу.
Для корректной оценки результатов ваших анализов в динамике предпочтительно делать исследования в одной и той же лаборатории, так как в разных лабораториях для выполнения одноименных анализов могут применяться разные методы исследования и единицы измерения.
Деформация грудной клетки: причины появления, при каких заболеваниях возникает, диагностика и способы лечения.
Определение
Под деформацией грудной клетки понимают различные по степени выраженности изменения формы ее костных структур, в некоторых случаях проявляющиеся не только косметическим дефектом, но и приводящие к функциональным нарушениям со стороны дыхательной и сердечно-сосудистой систем за счет сдавления и смещения органов грудной полости. Грудная клетка - часть туловища, образованная соединенными между собой с помощью суставов грудиной, ребрами, позвонками, а также мышцами.
Иными словами, грудная клетка представляет собой костно-мышечный каркас, защищающий жизненно важные органы от внешних воздействий.

Грудная клетка меняется по мере роста и развития человека, а у взрослых людей ее форма и величина зависят от пола, развития мускулатуры и органов дыхания, рода деятельности, образа жизни. Форма грудной клетки имеет несколько вариантов нормы: плоская, цилиндрическая и коническая.
Разновидности деформаций грудной клетки
Все деформации грудной клетки делят по происхождению на врожденные и приобретенные. К врожденным дефектам относят воронкообразную, килевидную, комбинированную деформации грудной клетки и более редкие дефекты развития. Воронкообразная грудная клетка характеризуется западением грудины и передней грудной стенки. Это самая частая деформация - она составляет около 80% от всех деформаций (встречается в 3 раза чаще у мальчиков) и в 25% случаев носит наследственный характер.

Воронкообразная грудная клетка
Килевидная грудная клетка увеличена в переднезадней своей части, грудина выступает вперед в виде киля. Встречается с частотой от 6 до 20%, чаще у представителей мужского пола.
Приобретенной деформацией грудной клетки может быть ладьевидная, эмфизематозная, или бочкообразная, паралитическая, кифосколиотическая, а также килевидная грудная клетка (рахитическая).
По форме деформации подразделяют на симметричные и асимметричные.
Для определения степени выраженности деформации проводят рентгенографию грудной клетки или компьютерную томографию (КТ).
На рентгенограмме вычисляют отношение наименьшего размера между грудиной и телом позвонка к наибольшему, что является индексом Гижицкой. В зависимости от полученного значения выделяют четыре степени деформации. При проведении компьютерной томографии определяется индекс Галлера (компьютерно-томографический индекс), который равен отношению горизонтального расстояния между внутренней частью ребер к расстоянию между грудиной и телом позвонка в месте наибольшего западения грудины.
По стадии деформации бывают компенсированными, субкомпенсированными и декомпенсированными. При компенсированной деформации косметический дефект незначителен, одышки и учащенного сердцебиения не наблюдается. При субкомпенсированной деформации косметический дефект выраженный, есть одышка и тахикардия при физической нагрузке. При декомпенсированной деформации косметический дефект обезображивающий, одышка и тахикардия присутствуют в покое.
Возможные причины деформации грудной клетки
Врожденные деформации грудной клетки связаны с генетической аномалией развития хрящевой и костной ткани, а также нередко сочетаются с дефектами соединительной ткани (при наследственных заболеваниях: синдромах Марфана, Элерса-Данло и др.). Одни виды деформаций можно диагностировать в грудном или раннем детском возрасте (реберно-мышечный дефект, расщелина грудины). Другие дебютируют и прогрессируют в периоды ускоренного роста организма, в основном такие скачки происходят в возрасте 5-6, 8-10, 13-15 лет.
Приобретенные деформации грудной клетки возникают в результате внешних воздействий (травм, ожогов, оперативных вмешательств, например, по поводу кардиологической патологии) или перенесенных заболеваний (чаще воспалительного характера или инфекционных, связанных с нарушением обмена кальция).
Заболевания, при которых возникает деформация грудной клетки
К заболеваниям, вызывающим деформацию грудной клетки и связанным с нарушением кальциевого обмена, относят рахит.
Рахит - заболевание детского возраста, при котором вследствие различных причин у интенсивно растущего организма возникает полигиповитаминоз с преимущественным снижением уровня витамина D - кости теряют минеральную плотность и деформируются в процессе роста ребенка, грудная клетка приобретает килевидную форму. В настоящее время деформации встречаются реже, т.к. рахит распознается на ранних стадиях.
Для сирингомиелии характерно наличие полости, заполненной жидкостью, расположенной в спинном мозге. Заболевание может возникнуть из-за нарушения развития эмбриона, в связи с родовой травмой, травмой спинного мозга, препятствием оттока спинномозговой жидкости. Стенки полости оттесняют окружающие ткани, которые состоят из нервных клеток и проводящих путей нервной системы. Вследствие этого нарушается иннервация мышц, в том числе образующих каркас грудной клетки. На поздних стадиях это может привести к искривлению позвоночника и формированию ладьевидного вдавления на передней поверхности грудной клетки.
Остеомиелит - инфекционно-воспалительное гнойно-некротическое поражение костной ткани, возбудителями которого могут быть стафилококки, стрептококки, кишечная палочка и др.
Остеомиелит ребер возникает крайне редко, чаще является посттравматическим, реже - бактериальным, когда бактерии попадают в костную ткань с током крови или распространяются контактно (например, при гнойном поражении оболочки легких).
В остром периоде на первый план выступают такие симптомы, как повышение температуры тела до 39-40°C, боль, покраснение, отек в области пораженного ребра.
Среди инфекционных заболеваний особое значение имеет туберкулез. К деформациям грудной клетки может привести не только туберкулез легких (на поздних стадиях), но и туберкулез костей (грудины, ребер, позвонков). Процесс протекает по типу остеомиелита, но вызывает его специфический возбудитель - палочка Коха. При туберкулезе ребер или грудины внешне определяется припухлость и болезненность в области поражения. При туберкулезе позвоночника поражаются и разрушаются тела позвонков, что проявляется болью, на поздних стадиях деформируется позвоночный столб. Заболевание сопровождается повышением температуры тела до 37,2-37,6°С, общим недомоганием, ночной потливостью, отсутствием аппетита, потерей веса.
Эмфизема легких - заболевание, при котором необратимо разрушаются и теряют эластичность стенки альвеол, структурных элементов легочной ткани, нарушается газообмен и возникает повышенная воздушность легких. Эмфизема может возникнуть самостоятельно или на фоне обструктивных болезней легких.
Из-за повышенной воздушности легочной ткани грудная клетка увеличивается в объеме, как бы застывая на вдохе (становится бочкообразной).
При заболеваниях легких и плевры, приводящих к формированию в них соединительной ткани и уменьшению их размеров, грудная клетка деформируется по типу паралитической - уменьшается, уплощается, на стороне поражения втягиваются межреберные промежутки.
К каким врачам обращаться при деформации грудной клетки
Первичную оценку состояния может провести терапевт , врач общей практики, педиатр . При наличии показаний пациента направляют к узким специалистам, таким как хирург, травматолог-ортопед, фтизиатр, онколог, кардиолог , психолог, генетик, эндокринолог , отоларинголог и др.
Диагностика и обследования при деформации грудной клетки
До назначения лечения врачу необходимо оценить вид и форму косметического дефекта, выяснить, когда и при каких обстоятельствах он возник.
Следует обязательно сообщить врачу о других симптомах, если таковые имеются: общей слабости и утомляемости, эпизодах повышения температуры тела, одышке, учащенном сердцебиении.
При необходимости для оценки состояния внутренних органов или уточнения показаний для хирургического лечения специалист назначит дополнительные методы обследования: рентгенографию грудной клетки в двух проекциях с расчетом индексов, общий анализ крови с лейкоцитарной формулой и СОЭ, общий анализ мочи, спирографию, электрокардиографию, эхокардиографию (ЭхоКГ) компьютерную томографию органов грудной клетки и средостения, магнитно-резонансную томографию грудной клетки.
Рентгенологическое исследование структуры легких с целью диагностики различных патологий.
Ателектаз
Ателектаз — это спадение всего легкого (коллапс) или его части вследствие нарушения вентиляции , обусловленной обтурацией бронха или сдавлением легкого .
Во многих случаях ателектаз является первым признаком рака легких, поэтому очень важно выявить специфичные для ателектаза и дисектаза изменения.
Ключевые изменения на рентгенограмме представлены ниже:
- Уменьшение легкого в объеме, как следствие подъем купола диафрагмы, смещение средостения в патологическую сторону, смещение горизонтальной и косой междолевой щели.
- Безвоздушный участок легкого с отсутствием вентиляции.

Долевой ателектаз.
Долевой ателектаз или коллапс доли является важной находкой на рентгенограмме органов грудной полости и имеет сравнительно небольшой дифференциальный ряд.
Наиболее частыми причинами ателектаза является:
- Бронхиальная карцинома у курящих.
- «Слизистая пробка» у пациентов на ИВЛ и астматиков.
- Неправильное положение эндотрахеальной трубки.
- Инородное тело (чаще у детей).
На схеме ниже представлены находки при долевом ателектазе различной локализации.
- ПВД — правое легкое верхняя доля.
- ЛВД — левое легкое верхняя доля.
- СрД — правое легкое средняя доля.
- ПНД — правое легкое нижняя доля.
- ЛНД — левое легкое нижняя доля.

Ателектаз верхней доли правого легкого.
Оцените ниже лежащие изображения, а после продолжите чтение.

- Трехгранное затенение.
- Подъем правого корня легкого
- Облитерация загрудинного пространства (указано стрелкой).
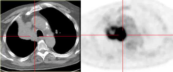
На ПЭТ/КТ визуализируется опухоль легкого с обструкцией правого верхнедолевого бронха, как следствие ателектаз верхний доли правого легкого.

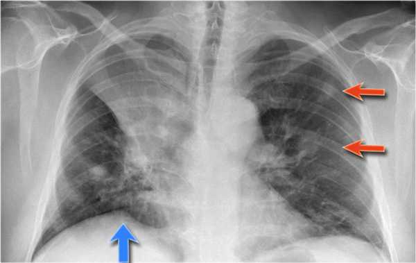
Также очень частым проявлением ателектаза является подъем диафрагмы, что хорошо визуализируется на ниже представленной рентгенограмме (указано синий стрелкой).

У данного пациента карцинома легкого с билатеральным метастазированием в легкие (указано красными стрелкам).
Ателектаз средней доли правого легкого.

- Симптом силуэта — нечеткие границы правых отделов сердца.
- Трехгранные изменения высокой плотности, визуализирующиеся на боковой рентгенограмме, являются результатом ателектаза средней доли правого легкого.
При ателектазе средней доли правого легкого подъем диафрагмы навсегда значительно выражен.
Ателектаз нижней доли правого легкого.
На нижепредставленой рентгенограмме пациента 70 лет, упавшего с лестницы, в плевральной полости определяется скопление жидкости, предположительно являющейся кровью.

Это ателектаз нижней доли правого легкого.
Обратите внимание на правую границу сердца. Правая междолевая артерия не видна потому, как она не окружена воздушной легочной тканью, а закрыта спавшейся нижней долей правого легкого.
Ниже представлены последующие рентгенограммы органов грудной полости того же пациента, на которых ателектаз разрешен.
Обратите внимание на правую междолевую артерию (красная стрелка) и границы правых отделов сердца (синяя стрелка).


- Минимальное уменьшение объема легкого без подъема левого купола диафрагма.
- В загрудинном пространстве визуализируются изменения высокой плотности, которые спавшейся верхней доли левого легкого.
- Корень левого легкого патологичен, что может соответствовать образованию, обтурирующее просвет бронха.
- Выше перечисленные находки наводят на мысль, что это ателектаз верхней доли левого легкого.
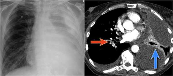
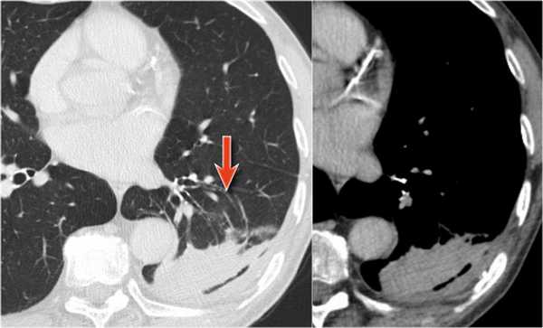
На КТ снимках синей стрелкой указан долевой ателектаз, а красной стрелкой опухоль, которая обтурирует левый верхний долевой бронх (центральный рак легкого.

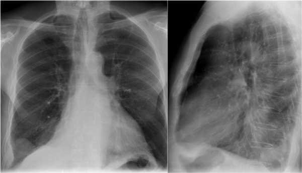
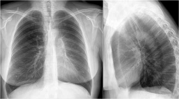
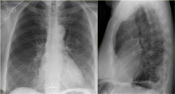
Ателектаз верхней доли левого легкого с типичным симптомом воздушного серпа (Luftsichel sign — luft(air)+sichel(sickle)), обусловленный гипервентиляцией верхнего сегмента нижней доли левого легкого на фоне коллапса верхний доли левого легкого. Гипервентилируемый

сегмент визуализируется на прямой рентгенограмме от дуги аорты до апикальной части легкого.

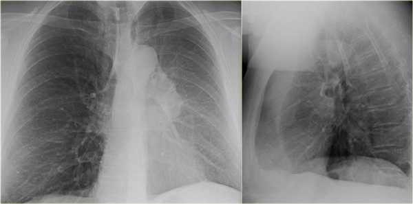
- В левом легком патологические изменения высокой плотности с потерей силуэта контуров сердца.
- Высокое стояние диафрагмы левого легкого.
- Смещение вниз косой щели.
- Низкое расположение правого корня легкого.
Данные изменения характерны при тотальном ателектазе верхней доли левого легкого и частичный ателектаз правого легкого. Так контуры сердца справа хорошо визуализируются то, можно сказать, что частичный ателектаз не средней доли, а нижней доли правого легкого.

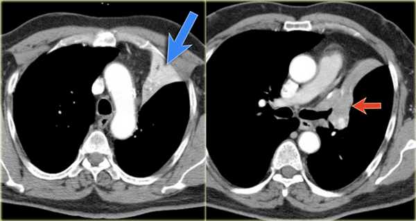
Оцените нижележащие ПЭТ/КТ изображения. Легочная карцинома обтурирующая левый верхнедолевой бронх и правый верхнедолевой бронх. Множественные метастазы в кости. Стрелкой указан метастаз в ребро.
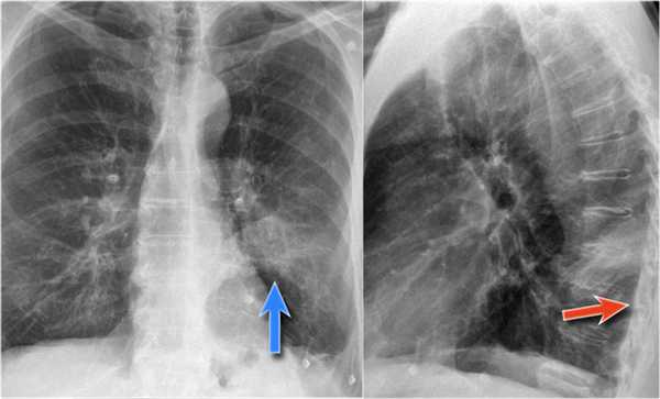
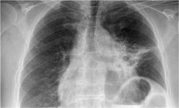
Симптом воздушного серпа (luft sichel sign) — это симптом, который возможно встретить на рентгенограмме органов грудной полости при ателектазе верхней доли левого легкого.
Изменения на рентгенограмме обусловлены гипервентиляцией верхнего сегмента нижней доли левого легкого, который смещается к сзади и кверху, и тем самым располагается между коллабированной долей легких и средостением. На фронтальной рентгенограмме сегмент визуализируется от дуги аорты до апикальной части левого легкого.

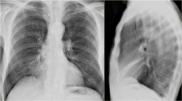
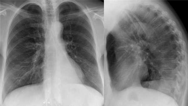
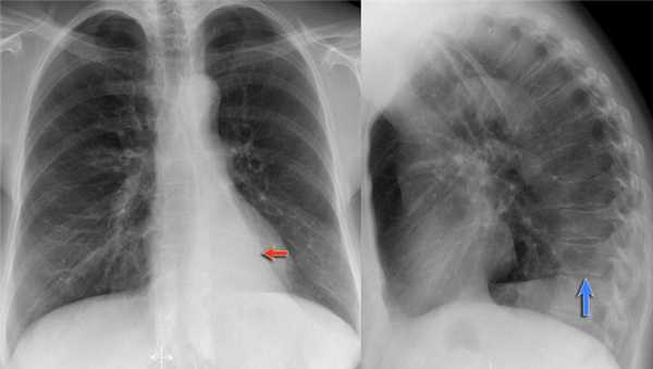
На рентгенограмме представлен тотальный коллапс верхней доли левого легкого. Обратите внимание на высокое стояние левого корня легкого. Спавшаяся верхняя доля левого легкого расположено позади грудины. В данном случае компенсаторная гипервентиляция нижней доли левого легкого повлияло на то, что позиция диафрагмы и средостения в норме.

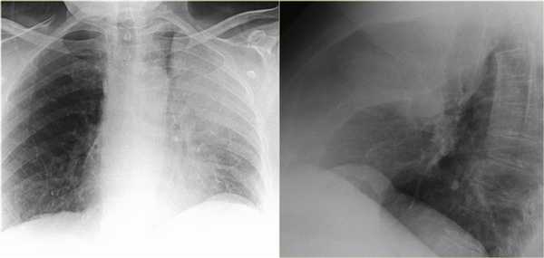
Ателектаз нижней доли левого легкого


На рентгенограмме визуализируются изменения трехгранной формы высокой плотности, расположенные позади тени сердца, что хорошо выявляется на боковом снимке. На боковом снимке при оценке контура диафрагмы спереди назад определяется все менее четко. Исходя из названия раздела напрашивается диагноз — ателектаз нижней доли левого легкого. В норме прозрачность легкого внизу выше, а в нашем случае наоборот (синяя стрелка).
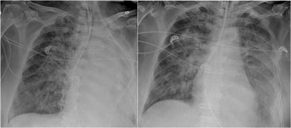
На рентгенограмме органов грудной клетки определяется тотальный ателектаз правого легкого со смещением средостения вправо. На втором снимке представлен тот же пациент, но после лечения. Легкое воздушное и положение средостения в норме. Распространенной причиной тотального ателектаза является неправильно установленная вентиляционная трубка, которая расположена слишком низко и тем самым обтурирует главный бронх.

На ниже представленном снимке представлен пациент с тяжелой бронхопневмонией и тотальным ателектазом. Причиной ателектаза явилось обтурация бронха слизью. После отсасывания мокроты аэрация левого легкого была восстановлена.

На ниже представленной рентгенограмме пациента с карциноматозом плевры левое легкое полностью компрессируется плевральной жидкостью (левый гемоторакс). В выше представленных случаях был обтурационный ателектаз, а в этом компрессионный, что лучше визуализируется на КТ (синяя стрелка). КТ данному пациенту также проводили по причине легочного эмболизма (красная стрелка).

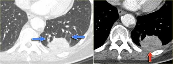
Округлый ателектаз
- утолщение плевры
- образование, исходящее из плевры
- симптом хвоста кометы

Локальный плеврит является причиной утолщения плевры. Далее происходит инвагинация субплевральной легочной паренхимы с характерным дугообразным искривлением сосудов, и ателектаз принимает округлую форму. Симптом хвоста кометы — это симптом, который визуализируется в виде кометообразного хвоста из сосудов и воздухоносных путей, направленных к корню легкого.
На боковой рентгенограмме выявляется образование, которое исходит из плевры. На первый взгляд — это образование, исходящее из плевры.

Далее перейдите к оценки КТ-снимков.
На КТ четко выявлено, что это образование легкого. Для многих данные изменения на КТ заставили бы задуматься о раке легкого. Красной стрелкой указана утолщение плевры, а синими стрелками указаны сосуды вокруг данного образования, что называют хвостом кометы.
Всякий раз, когда встречается образование, сочлененное с плеврой, а также похожее на рак легкого, то не забудьте об округлом ателектазе.
Округлый ателектаз — это доброкачественные изменения, которые на последующих снимках не изменяются в размерах и чаще встречаются у пациентов, которые имели контакт с асбестом.

В левой нижней доле визуализируются изменения высокой плотности. На фронтальной рентгенограмме данное образование выглядит схоже с консолидацией так, как на боковой границы острые, то скорее это образование. Красной стрелкой указано утолщение плевры.

Несмотря на то, что легочный рак находится на вершине нашего дифференциального ряда, данные изменения характерны для округлого ателектаза, что хорошо визуализируется на КТ (утолщение плевры, овальная форма, симптом хвоста кометы).

Дисковидный ателектаз частая находка на рентгенограмме органов грудной полости, которая проявляется линейной тенью толщиной 1-3 мм в базальной части легких. Обычно данные изменения не имеют клинического значения и часто встречаются у пожилых и курящих пациентов. Также данные изменения встречаются у пациентов с плохим общим состоянии после полостных операций так, как им приходится дышать поверхностно.

Несмотря на то, что дисковидный ателектаз не специфичен для ТЭЛА ниже представлены рентгенограмма и КТ-снимок пациента с эмболией легочной артерии.


Ателектаз на фоне фиброза легочной паренхимы, который встречается на лучевой терапии и при хронических инфекциях таких, как туберкулез. Обратите внимание на снимок пациента, которому выполняли лучевую терапию по поводу рака легкого. Изменения высокой плотности с уменьшением в объеме легкого.
Ниже представлен снимок пациента с туберкулезом, на котором визуализируется ателектаз верхней доли правого легкого, а также обратите внимание на девиацию трахеи.
Воздушного полумесяца признак (грудная клетка / air-crescent sign)
Признак воздушного полумесяца (син. Симптом серпа) — радиологический признак некоторых заболеваний, проявляется в виде воздушной прослойки серповидной формы, окружающей мягкотканный компонент патологической полости, выявляется при рентгенографии и компьютерной томографии. Считается характерным признаком извазивного легочного аспергиллеза, может встречаться при опухолях склонных к распаду и образованию полостей, абсцессах и некоторых других инфекционных процессах. Данный признак считается хорошим маркером иммунного ответа при легочном аспергилезе, так отражает лимфоцитарную активность и рассасывание некротизированных тканей, что приводит к ретракции некротизированного центра с заполнением воздухом пространства между зоной некроза и грануляционной тканью [2].
Причины [2,3]:
- - часто ошибочно описывается как признак погремушки Monad sign
- ангиоинвазивный аспергиллез
- более редкие причины
- Расмуссена аневризма в туберкулезной полости
- легочный абсцесс
- бронхогенная карцинома
- легочная гангрена
- легочная гематома
Данный признак схож с признаком погремушки у пациентов с аспергилломой (аспергиллёзная мицетома) в легочной полости.
Системный подход
Рентгенография органов грудной клетки
Системный подход в анализе рентгенограм грудной клетки применяется, что бы не пропустить важных структур, а гибкий подход необходим при различных клинических ситуациях.
Хотя не существует единного согласованного порядка анализа изображений, вы можете найти множество примеров описаний рентгенограм грудной клетки.
Ниже предствлен краткий пример.
Контрольный список анатомических структур
1. Трахея и крупные бронхи
3. Легочные поля
5. Доли легких/междолевые щели
6. Реберно-диафрагмальные синусы
10. Мягкие ткани
11. Костный каркас
Это руководство поможет вам выработать собственную систему анализа, начиная с анализа данных о пациенте, данных о изображении и его качестве. Далее вы изучите где и какие патологические изменения могут быть описаны. В руководстве также обсуждается обзор “слепых” зон, где легко патологический процесс легко пропустить. Ваши результаты будут выше если Вы сумеете проанализировать и связать клинические данные с рентгенологическими находками.
Контрольный список для системного похода
- Идентификация пациента
- Анализ данных о изображении
- Оценка качества изображения
- Локализация и описание очевидной патологии
- Системный осмотр анатомических структур
- Осмотр легочных полей
- Рассмотреть клинические вопросы
Данные о пациенте и изображении
Иденитфикаторы пациента и дата
Идентификация пациента должна проводится до интерпретации рентгеновского изображения. Дата обследования, а так же, обязательно, время, должны быть отмечены, так как пациенту может выполняляться более чем одна рентгенограмма в один и тот же день.
Проекция изображения
Отметьте в какой проекции, передней-задней или задне-передней, сделан снимок; стоя, лежа или сидя; стационарным или передвижным аппаратом.
Аннотации на изображении
Полезная инофрмация часто отображена на изображении. Елси проекция не отмечана, вероятно изображение сделано в стандартной передне-задней проекции (PA). При наличии маркеров стороны, обратите внимание на корректность их положения.
Ключевые моменты
- Обратите внимание на данные о пациенте
- Отметьте дату и время снимка
- Обратите внимание на проекцию
- Аннотации снимка несут полезную информацию
Эта рентгенограмма грудной клетки выполнена палатным аппаратом, в положении пациента на спине, в 11:25 в реанимационной палате отделения неотложной помощи. Указаны ФИО пациена, порядковый номер и дата рождения.
Обратите внимание, метка стороны расположена правильно.
Качество изображения
Необходимо всегда оценивать качество изображения, поскольку невозможно ответить на клинические вопросы при неадекватном качестве снимка.
Необходимо обратить внимание на разворот грудной клетки, глубину вдоха и адекватность проникающей способности рентгеновского излучения.
- Оценка качества снимка
- Опишите наличие медицинских инструментов, приборов и инородных тел
- Возможет ответ на поставленную клиническую задачу?
- Разворот - остистые отростки находятся посередине между медиальных концов ключиц
- Степень вдоха - 5-7 ребра пересекают диафрагму по срединной линии?
- Проникающая способность - позвоночный столб виден позади тени сердца?
Артефакты
Когда вы описываете рентгенограмму грудной клетки, хорошей практикой является коментирование наличие любого артефакта.
Ниже представлен пример.
Положение центрального катетера ? наведите курсор на изображение
- Слева конец яремного катетера (красный круг) в левой подключичной вене
- Его положение должно проходить по прерывистой линии в область верхней полой вены (красный овал)
- Обычно центральный катетер распологается справа (зеленая линия)
- Так же видна кислородная трубка (отмечена голубым цветом)
Большое количество рентгенограмм выполняется для оценки положения медицинского оборудования, такого как назогастаральный зонд или центральный катетер. Если вы оцениваете рентгенограмму грудной клетки с данной целью не забывайте оценивать все изображение системно.
Очевидная патология
Целесообразно начинать анализ с наиболее выраженной патологии. Однако, после его выполнение важно продолжить анализ остальных частей изображения в соответствии с контрольным списком. Помните что более видная патология может не иметь клинического значения.
Например, не совершайте ошибку уделяя большую часть времени для безукоснительного следования системному подходу, игнорируя очевидную патологию.
Правило можно обозначить как - не игнорируй "слона" на изображении - опишите его длинный хобот, его большие уши, бивни и грубую, серую кожу и у вас увеличится вероятность диагностировать "животное" с которым вы имеете дело, но затем вы должны продолжить анализ с помощью системного подхода, чтобы смотреть остальные части изображения.
Не игнорируйте "слона" на рентгенограмме! Если на изображении видна патология, не игнорируйте ее! Детально опишите ее, затем продолжите системный анализ изображения.
Описание патологии
Искусство радиологии, не просто в констатировании и описании патологических признаков, но знание как связать значение этих патологических признаков и знание какие из них могут быть опущены. Во-первых, описание рентгенологических признаков может быть трудным и многие студенты-медики хотят получить четкие терминологические правила. Однако в действительности четких правил нет. Основные сложности начинаются при описании патологии легочной паренхимы. То что один рентгенолог описывает как "затемнение" други могут называеть "сниженим пневматизации", или "инфильтрацией". В действительности все эти термины допустимы.
Описание патологии по рентгенограмме грудной клетки можно сравните с описанием кожной сыпи у дерматологического пациента. Внимание должно быть направлено на такие признаки как количество, локализация, размер, форма, плотность и структура.
- 'Затемнение, снижение пневматизации, инфильтрация?' - Называйте как вам удобней!
- Характеристики патологии направят вас к правильному диагнозу.
Описание патологии
- Вовлечение тканей и органов - Легкое, сердце, аорта, кости и т.д.
- Размер - Крупный/Мелкий/Разнокалиберный
- Положение - Справа/Слева - односторонний или унилатеральный/двусторонний или билатеральный
- Количество - Единичный/Множественный
- Распределение - локальное или фокальное/диффузное
- Положение - Кпереди/Кзади/сегменты легких и т.д.
- Форма - Круглая/Серповидная/и т.д.
- Край - Ровный/Неровный/Спикулообразный звездчатый
- Паттерн - Узловой/Ретикулярный(сетчатый)
- Плотность - воздушная/жировая/мягкотканная/кальцнат/металлическая
"тени затемнения снижение пневматизации очаги"
- Локализация - легочные поля
- Размер - малый (
Ловушки
Реберно-диафрагмальные углы притуплены и вы можете предположить наличие плеврального выпота.
Однако системный анализ показывает что диафрагмальная линия расположена ниже 7-го ребра по среднеключичной линии (белая стрелка), а должна распологаться не ниже красной линии.
Плеврального выпота нет.
Заключение:
- гиперпневматизация легочной ткани при эмфиземе
Расположение изменений
Кроме определения стороны выявленных изменений, необходимо оценивать локализацию в передне-задней проекции. Снимок в боковой проекции помогает определить локализацию изменений в 3-х мерном пространстве, но это так же возможно и по прямому снимку, при знание рентген-анатомии и понимании контуров теней.
Признак контура
Признак контура - ошибочное название, правильнее его называть признаком "утраты контура". Нормальные соседние анатомические структуры различной плотности образуют четкие "силуэты" или контуры. Нарушение нормальных границ может помочь определить положение патологического процесса.
Например, сердце ( мягкотканной плотности, белый цвет) граничит с легочной тканью (водздушной плотности, темного цвета). Четкий контур, или "силуэт" образуется на стыке двух тканей различной плотности. Потеря четкого контура правых отделов сердца (образованного правым предсердием), предпологает локализацию заболевания в правой средней доле, которая прилежит к правому предсердию. Потеря разности плотности левого контура сердца указывает на патологию язычковых отделов (часть верхнй доли левого легкого, которая окружает левый желудочек).
- признак контура может помочь определить положение патологического процесса
- левая граница сердца - локализация в язычковых сегментах
- правая граница сердца - средняя доля правого легкого
- левый купол диафрагма - левая нижняя доля
- правый купол диафрагма - правая нижняя доля
- дуга аорты - левая верхняя доля/средние отделы средостения
- нисходящая аорта - левая нижняя доля
- Right paratracheal stripe - правая верхняя доле/переднее средостение
- околопозовночные линии - средния доля/заднее средостение
- купол диафрагмы - нижняя доля легкого
Симулирующие признак контура изменения наведите курсор на изображение
Симулирующие признак контура изменения
- 1 - левая граница сердца - локализация в язычковых сегментах
- 2 - купол диафрагмы - нижняя доля легкого
- 3 - паратрахеальная линия - паратрахеальная локализация
- 4 - стенки грудной клетки - легкое, плевра или ребро
Обратите внимание
Если вы видетие признак "потери силуэта", вы не можете локализовать ткань в которой локализуется патологический процесс. Чаще патология локализуется в легком, но и другие ткани и органы: плевра, структуры средостения, сосуд или сердце, могут симулировать заболевания легких.
- 5 - дуга аорты - переднее средностение или верхняя доля левого
- 6 - околопозвоночная линия - задние отделы гемиторакса
- 7 - правая граница сердца - средняя доля правого легкого
- 8 - уплотнение над горизонтальной междолевой щелью - передний сегмент верхней доли правого легкого *
Осмотр легочных полей
После систематического полного осмотра грудной клетки, стоит повторно проверить области которые могут скрывать важную патологию.
Всегда стоит дважды удостовериться в отсутствует пневмоторакс или пневмоперитонеум. А указание на их отсутствие в описательной части, является хорошей практикой.
Пневмоторакс легко выявляется в области верхушек на передне-задней рентгенограмме. Пневмоперитонеум (свободный газ под диафрагмой), виден только при рентгенографии выполненной стоя
Другие зоны на которые стоит обратить внимание включают мягкие ткани, кости, заднее средостение и границы изображения.
- Верхушки - Пневмоторакс?
- Кости/Мягкие ткани - Переломы/уплотнения?
- Тень сердца - Консолидации/объемные образования
- Дифрагма - Пневмоперитонеум?
- Края изображения - неожиданные находки
Осмотр областей - Верхушки наведите курсор на изображение
Осмотр областей - Верхушки
Небольшой пневмоторакс справа.
Пневмоторакс, зачастую, очень трудновыявляемая находка и может быть замечен только при повторном осмотре области верхушек легких.
Так же вы должны осмотреть область верхушек для поиска опухолей.
Осмотр областей - Кости наведите курсор на изображение
Осмотр областей - Кости
Костная патология может быть слабозаметной на рентгеннограмме грудной клетки.
Представления деструкция I ребра справа в результате метастатического поражения.
Сравните эту область мягкотканной плотности без четких контуров, с нормальным I ребром слева.
Осмотр областей - Тень сердца наведите курсор на изображение
Осмотр областей - Тень сердца
Зона позади сердца имеет повышенную плотность, а левый купол диафрагмы не имеет четких контуров до среднеключичной линии (круг).
Это признаки вызваны консолидацией в левой нижней доле.
Так же есть реактивный выпот (стрелка).
Осмотр областей - Диафрагма наведите курсор на изображение
Осмотр областей - Диафрагма
Проверяйте каждую рентгенограмму грудной клетки на наличие пневмоперитонеума (головки стрелок).
Иногда патологические изменения видны в области желудка (*), в данном случае область не изменена.
Осмотр областей - Края изображения наведите курсор на изображение
Осмотр областей - Края изображения
Хорошо если вы обратили внимание на малый плевральный выпот слева (стрелка).
Вы обратили внимание на отсутствующую правую плечевую кость?!
У пациента в анамнезе резекция злокачественной опухоли правой плечевой кости (красная область). Обратите внимание на хирургические клипсы (белые).
Клинические задачи
По началу, большинство студентов думает, что рентгенография дает точные ответы без соспоставления с клиническими данными. Иногда это может быть так, но в идеале рентгенография всегда должна интерпретироваться с полным сопоставлением с клиническими данными. Большинство рентгенологическиз заключений могыт быть даны только в свете клинических даных. Таким образом, вы всегда должны быть обеспечены конкретными клиническими данными, при запросе рентгенологического исследования.
Часто результаты будут подтверждать предварительный диагноз, а отсутствие изменений улучшать прогноз, так как опытный клиницист зачастую занает диагноз до проведения рентгенологического обследования, а использует его для уточнения степени и локализации патологического процесса.
Таким образом результаты должны интерпретироваться только в сопоставлении с клиническими данными. Помните, лечит пациента не рентгенолог. Иногда будут попадаться случайные находки, которые потребудт внимательного отношения, особенно если их можно интепритировать двояко или если они будут несоответствовать клиническим данным.
Расшифровка рентгена грудной клетки в Уфе

Рентгенография применяется для обследования органов грудной клетки, оценки состояния лёгких, бронхов, трахеи, лимфоузлов, костей, сердечно-сосудистой системы. Современное медицинское оборудование позволяет получить четкое изображение внутренних органов в нужной проекции, что значительно упрощает и ускоряет постановку точного диагноза. Рентгенография даёт возможность выявить различные патологии, новообразования, воспаления, механические повреждения и пр.
Порядок проведения рентгенографии грудной клетки
Предварительная подготовка пациента перед проведением обследования не требуется. Не допускается наличие на теле металлических предметов (нательные кресты, украшения и пр.).
Обследование проходит в отдельном кабинете, где расположено соответствующее оборудование. Необходимо следовать указаниям врача, занять требуемое положение перед сканирующим аппаратом, по команде задержать дыхание. Чаще всего перед задержкой требуется сделать неглубокий вдох. Пациент не должен сильно напрягаться при вдохе, так как это приводит к искаженному расположению органов грудной клетки на снимке.
Чаще всего врачу требуется рентгенограмма в прямой проекции, изображение в боковой проекции нужно значительно реже. При правильно проведённом обследовании четко заметны рёбра, сердце, органы дыхания, частично — кости плечевого пояса.
Длительность исследования — около 1 минуты. После получения снимка, врач делает расшифровку, и доводит до пациента результаты обследования, передает подробное заключение.
Доктора отделения


Результаты исследования органов грудной клетки и расшифровка рентгенограммы
После получения снимка, рентгенолог делает заключение и передаёт его лечащему врачу, который направил пациента для прохождения рентгенографии. Описание содержит информацию о расположении и размере сердца, органах дыхания, состоянии сосудистой и лимфатической системы. При наличии инородных предметов, затемнений, новообразований, это также отмечается в описании результатов исследования.
Рентгенография легких позволяет оценить их состояние размер, форму, структуру тканей, а также расположение прочих органов грудной клетки. Для получения наиболее полной информации о состоянии лёгких, врачу необходима рентгенограмма в 2 проекциях, где чётко просматривается лёгочная ткань, купола диафрагмы, тень сердца и органов средостения, кости позвоночника, плечевого пояса, грудины. Изображение различных органов и костей наложено друг на друга.
Для корректной расшифровки изображения необходимо четкое представление о том, как на рентгенограмме выглядят здоровые органы грудной клетки. К примеру, даже малозаметные затемнения, просветления, ассиметричный легочный рисунок может свидетельствовать о серьёзном заболевании. Регулярное проведение обследований позволяет выявить патологии на ранней стадии и незамедлительно приступить к лечению.
При расшифровке рентгенолог оценивает качество снимка. Неправильное проведение процедуры (некорректное расположение пациента, неверная проекция и пр.) не позволяет составить точное заключение, поэтому может потребоваться повторное обследование.
Причиной некорректного результата обследования могут стать:
- Дополнительные артефакты — тени различных металлических изделий, которые могут заслонять собой очаги патологий и нарушают целостное восприятие снимка врачом
- Полнота снимка — из-за неправильного расположения экрана могут быть некорректно отображены верхушки, поля, синусы диафрагмы
- Недостаточно четкое и контрастное изображение — проявляется при неправильном выборе режима рентген-аппарата. Современное оборудование позволяет выбирать дозу излучения для людей различной комплекции. К примеру, для пациентов со значительной массой тела, ожирением, требуется более сильное излучение для получения четкой рентгенограммы. При оцифровке изображения возможно изменение контрастности снимка
- Положение тела — при неправильном расположении пациента, несвоевременном выдохе, раскрытии лопаток, некорректной установке экрана или рентгенологической трубки рентгенограмма с большой вероятностью будет искажена
Протокол расшифровки рентгенограммы
Любой квалифицированный врач-терапевт распознает на рентгенограмме серьёзные патологические изменения и повреждения. Однако для составления подробного заключения и выявления заболеваний на ранней стадии необходим детальный анализ рентгенограммы. Для удобства рентгенологов разработан алгоритм, по которому составляется протокол расшифровки.
- Точное название обследования — указывается анатомическая область снимка, в какой проекции (боковая, прямая) он выполнен
- Оценка симметрии лёгочных полей
- Выявлены или нет патологические поля (очаговые, диффузные инфильтративные), просветления в ткани лёгких
- Описание лёгочного рисунка (если он нарушен, то это указывает на патологические изменения сосудов лёгких)
- Описание корней лёгких — нарушена или нет структура лимфоузлов, присутствуют или нет патологические изменения крупных бронхов
- Описание тени органов средостения — особенно важно при диагностике заболеваний сердца
- Описание дуги желудочков сердца, крупных сосудов
- Состояние диафрагмы и легочно-диафрагмальных узлов синусов — даётся оценка симметрии стояния диафрагмы, угол синуса, заполнен он или нет (присутствие выпота при плеврите)
Воспалительные процессы и туберкулёз
При анализе рентгенограммы следует чётко разделять заболевания, связанные с воспалением тканей, и туберкулёз лёгких. Туберкулома в большинстве случаев локализована на верхушках лёгочных путей, тень от неё округлая, чаще с просветлением в центре — очагом деструкции. Чётко заметны расширенные корни лёгких.
Воспаление лёгких (пневмония) чётко визуализируется на рентгенограмме. Выглядит как инфильтративная тень на фоне усиления рисунка лёгких, очаг пневмонии нередко окружен просветлениями — локальная компенсаторная эмфизема.
Стоимость услуг
Читайте также:
- Тактика при позднем распозновании повреждения холедоха. Операции по восстановлению холедоха.
- Аномалии развития почек эмбриона. Формы патологии почек плода
- Болезнь Такаясу (неспецифический аортоартериит): причины, симптомы и лечение
- Лечение супрахориоидальных кровоизлияний. Техника операции
- Полнота нозогнозии. Согласие на лечение как уступка окружающим
