Симптомы и клиника болезней средней черепной ямки
Добавил пользователь Владимир З. Обновлено: 19.12.2025
ФГБУ "НИИ нейрохирургии им. акад. Н.Н. Бурденко" РАМН, Москва
ГБУ НИИ нейрохирургии им. Н.Н. Бурденко
НИИ нейрохирургии им. акад. Н.Н. Бурденко РАМН, Москва
ФГБУ "НИИ нейрохирургии им. акад. Н.Н. Бурденко" РАМН, Москва;
Отделение нейрохирургии Нижегородского научно-исследовательского института травматологии и ортопедии
МРНЦ им. А.Ф. Цыба - филиал ФГБУ «НМИРЦ» Минздрава России, Москва, Россия
Эпидемиология, диагностика, клиническая симптоматика и классификация первичных злокачественных опухолей, поражающих основание черепа
Журнал: Журнал «Вопросы нейрохирургии» имени Н.Н. Бурденко. 2016;80(3): 106‑113
В обзоре литературы представлена современная информация по распространенности, встречаемости, клиническим проявлениям, диагностике и классификации первичных злокачественных опухолей, поражающих основание черепа (ПЗООЧ). В структуре общей онкологической заболеваемости злокачественные опухоли головы и шеи составляют 5% всех ежегодных смертей от рака в США, они одни из пяти самых встречаемых групп опухолей у мужчин во всем мире. Чаще всего эти опухоли возникают на шестой декаде жизни, и в 2 раза чаще у мужчин, чем у женщин. В России по состоянию на 2012 г. заболеваемость ПЗООЧ составила 0,62% от всех впервые выявленных злокачественных опухолей и насчитывает 0,66 случая на 100 000 населения, значительно превышая общемировой уровень (0,44 на 100 000). Среди всех злокачественных опухолей основания черепа примерно половина имеет эпителиальную природу и поражает передние отделы основания черепа. Наиболее частыми гистологическими вариантами являются плоскоклеточный рак, аденокарцинома и неходжкинская B-клеточная лимфома. Лечение опухолей, поражающих основание черепа, является междисциплинарной проблемой и входит в сферу интересов отоларингологов, стоматологов, офтальмологов, нейрохирургов, пластических хирургов, радиологов, химиотерапевтов. На начальном этапе обследования наиболее важными для верификации, определения стадийности и выработки правильной тактики лечения онкологического процесса являются: физикальный и эндоскопические осмотры; эндоскопическая трансназальная биопсия опухоли; КТ и МРТ; ПЭТ/КТ (позитронно-эмиссионная томография с компьютерной томографией); УЗИ. В обзоре приведены критерии стадийности по системе TNM для злокачественных опухолей полости носа и околоносовых пазух в соответствии с 7-й версией TNM рекомендаций Американского объединенного комитета по раку (AJCC). В зависимости от локализации (опухоли верхнечелюстной пазухи, полости носа или лабиринта решетчатых костей) и гистологической структуры опухоли стадирование по классификации TNM различается и соответственно изменяются тактика комплексного лечения и группа прогноза.
Эпидемиология
В структуре общей онкологической заболеваемости злокачественные опухоли головы и шеи составляют 5% всех ежегодных смертей от рака в США. Эти злокачественные опухоли входят в список пяти самых встречаемых опухолей у мужчин во всем мире и занимают 6-7-е место по распространенности среди всех злокачественных новообразований [1]. По данным литературы, при адекватном комплексном лечении 5-летняя выживаемость больных с раком головы и шеи составляет 80%. Средний возраст при диагностировании плоскоклеточного рака головы и шеи составляет примерно 60 лет, однако частота заболевания людей среднего возраста (моложе 45 лет) начинает возрастать, что, вероятно, связано с распространением вируса папилломы человека (ВПЧ) [2].
Публикации, посвященные опухолям головы и шеи, распространяющимся на основание черепа, малочисленны [3]. Следует отметить, что опухоли основания черепа многообразны по морфологической структуре и локализации. Чаще всего встречаются эпителиальные раки, исходящие из околоносовых пазух, при этом их трудно дифференцировать с опухолями верхних отделов носоглотки. Морфологически эти новообразования могут быть очень близки, но между ними имеются принципиальные различия в лечении и исходах заболевания. Кроме того, в области головы и шеи могут встречаться опухоли, исходящие из костной и хрящевой ткани. Как правило, эти опухоли злокачественны и способны к метастазированию.
Опухоли могут проникать интракраниально, разрушая кости основания черепа или распространяясь через естественные отверстия (периневрально), поражая несколько анатомических зон, при этом нередко страдают функционально важные структуры основания черепа. Распространение опухоли на наружное основание, область подвисочной и крылонебной ямок, глазницу в сочетании с интракраниальным ростом требует согласованных действий онкологов и нейрохирургов, а также радиологов и химиотерапевтов [4].
Среди всех злокачественных опухолей, поражающих основание черепа, примерно половина имеет эпителиальную природу и поражает передние отделы основания черепа [5]. Подавляющее большинство этих опухолей развиваются из слизистой оболочки полости носа и околоносовых пазух.
Злокачественные опухоли околоносовых пазух, поражающие основание черепа, составляют 0,2% от всех злокачественных опухолей и 3-5% от злокачественных новообразований, поражающих верхние дыхательные пути. Наиболее частым источником этих опухолей является верхнечелюстная пазуха и слизистая оболочка полости носа. Чаще всего они возникают на шестой декаде жизни, и у мужчин в 2 раза чаще, чем у женщин. По последним данным, у мужчин наблюдается рост заболеваемости [6], который, помимо ВПЧ, обусловлен другими канцерогенными факторами. Так, формальдегид достоверно повышает риск развития плоскоклеточного рака и аденокарциномы. Иприт, асбест, никель и радий вызывают развитие плоскоклеточного рака, а древесная пыль и работы с кожей предрасполагают к развитию аденокарциномы [7]. Доказанным является влияние ВПЧ на малигнизацию процесса при инвертированной папилломе и плоскоклеточном раке [8]. Известно также, что ВПЧ-индуцированный плоскоклеточный рак околоносовых пазух имеет лучший прогноз по сравнению с другими формами [9].
В России по состоянию на 2012 г. заболеваемость злокачественными опухолями полости носа, околоносовых пазух, носоглотки и среднего уха составляет 0,54% от всех впервые выявленных злокачественных опухолей. Заболеваемость мужчин в 2 раза превышает заболеваемость женщин, общая заболеваемость составляет 0,66 случая на 100 000 населения, значительно превышая общемировой уровень (0,44 на 100 000) [10].
В 46% случаев источником опухолей является полость носа, в 33% - верхнечелюстная пазуха, другие локализации составляют 20%. Самые распространенные гистологические варианты: плоскоклеточный рак - 42%; неходжкинская В-клеточная лимфома - 11%; аденокарцинома - 10%. При исходном росте опухоли в полости носа быстрое появление симптомов обструкции дыхательных путей позволяет раньше установить диагноз, что отражается в статистике распределения по классификации TNM. Так, встречаемость T1 и Т4 опухолей полости носа составляет 44,9 и 22,5% соответственно. Опухоли околоносовых пазух длительно растут бессимптомно, поэтому чаще обнаруживаются на поздних стадиях: встречаемость T1 и Т4 опухолей околоносовых пазух составляет 10 и 55% соответственно. Та же закономерность прослеживается и в отношении стадий заболевания: опухоли полости носа IV стадии составляют 21%, в то время как опухоли IV стадии околоносовых пазух составляют в среднем 52%. При установлении диагноза опухоль часто не имеет регионарных и отдаленных метастазов. Так, регионарное метастазирование отмечается в среднем в 20% случаев, а отдаленное - лишь в 10%. Общая 5-летняя выживаемость на фоне комплексного лечения при злокачественных опухолях полости носа и околоносовых пазух составляет 55,8%. Она выше при опухолях полости носа (68%), чем при опухолях околоносовых пазух (от 42 до 48%). Наиболее благоприятным гистологическим вариантом с точки зрения общей 5-летней выживаемости среди наиболее распространенных эпителиальных опухолей является аденокарцинома (63,7%), затем следуют плоскоклеточный рак (53%) и все остальные эпителиальные опухоли (37,8%) [11].
В настоящее время, по данным Национального института здоровья США, проводится более 900 активных клинических исследований по злокачественным новообразованиям указанной локализации, однако какого-то однозначного алгоритма диагностики и лечения не разработано, например, больные раком основной пазухи из подавляющего большинства таких исследований исключаются.
В период с 2000 по 2015 г. в России было выполнено 9 научных исследований по данной проблеме: 3 исследования - в НИИ нейрохирургии им. Н.Н. Бурденко 14; 2 работы - в Российском онкологическом научном центре им. Н.Н. Блохина (Москва) [15, 16]; по одной работе в Российском научно-исследовательском нейрохирургическом институте им. проф. А.Л. Поленова (Санкт-Петербург) [17], Северном государственном медицинском университете (Архангельск) [18], Медицинском радиологическом научном центре РАМН (Обнинск) [19], Институте повышения квалификации ФМБА (Москва) [20].
В этих работах были затронуты преимущественно хирургические аспекты лечения больных со злокачественными опухолями основания черепа, а также вопросы химиотерапии и лучевой терапии опухолей без интракраниального роста.
Нозологические формы первичных злокачественных опухолей, поражающих основание черепа
Первичные злокачественные опухоли, поражающие основание черепа (ПЗООЧ), являются гетерогенной группой опухолей, что обусловлено широким разнообразием тканей, локализующихся в этой анатомически сложной области. При интракраниальной инвазии опухоли пациенту необходима, в дополнение к онкологической, нейрохирургическая помощь, которая в ряде случаев носит экстренный характер при наличии признаков внутричерепной гипертензии и вклинения. Переход в плоскоклеточную форму рака органов головы и шеи является финальной точкой процесса изменения тканей эпителия из нормального состояния в гиперплазию, дисплазию, карциному in situ и, наконец, инвазивную карциному [21]. Появляющиеся частичные повреждения хромосом ассоциированы с различными стадиями развития опухоли. Основные генетические изменения, включая потерю гетерозиготности определенных хромосом (3p14, 9p21, 17p13, 8p, 11q, 13q, 14Q, 6р, 4q27 и 10q23) и увеличение экспрессии, удаление, усиление регулирования или снижение регулирования некоторых онкогенов или опухолевых супрессоров, в том числе рецептора эндотелиального фактора роста (EGFR), р53, Rb, p65, циклооксигеназы 2 (ЦОГ-2), р16, циклина D1 и фосфатазы, гомолога ангиотензина (PTEN), являются характерными для каждой из патологических стадий данного заболевания [21].
Основные гистологические группы первичных синоназальных злокачественных опухолей отличаются выраженным разнообразием и описаны в классификации ВОЗ [22].
1. Эпителиальные опухоли
• Плоскоклеточный рак (карцинома)
• Опухоли слюнных желез
• Синоназальная недифференцированная карцинома (sinonasalis undifferent carcinoma, SNUC)
2. Нейроэктодермальные опухоли
3. Нейроэндокринные опухоли
• Синоназальная нейроэндокринная карцинома (sinonasalis neuroendocrine carcinoma - SNEC)
Менингиома средней черепной ямки
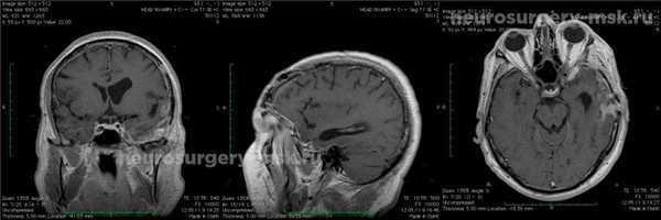
Симптомы: систематические боли головные, возникновение проблем в произношении слов, возникновение слабости мышц - данное проявление коснулось именно правой руки, возникли определенные асимметричные явления в мимике лица.
Диагностирование: МРТ, производилось с усилением контрастного типа.

Менингиома средней черепной ямки (до операции)
Лечение: на основании произведенных исследований назначено оперативное вмешательство.
После удаления образования отмечается быстрое восстановление силы мышц в работе правой руки. Полностью прекратились боли головного типа, устранены все нарушения речевого характера. После удаления менингиомы средней черепной ямки производится контроль посредством МРТ.

Менингиома средней черепной ямки (после операции)
Общая информация
Патологии средней черепной ямки сочетаются с возникновением различных нарушений неврологического характера. Нередко проявляются проблемы с памятью, возникают определенные нарушения речевого типа, также проявляются боли головного характера, потеря сознания, эпилептические симптомы. Так как образование растет достаточно медленно, то проявления на первых стадиях развития являются практически незаметными. Соответственно, если головные боли человека беспокоят достаточно существенное количество времени (они формируются на основании сдавливания), то следует обратиться к врачу. Врач непременно должен внимательно изучить симптоматику и произвести обследование, которое может стать основой диагностирования опухолевого образования.
На ранних стадиях операция по иссечению опухоли средней черепной ямки является более простой и не требует серьезного травматизма. На более поздних стадиях процесс лечения будет сочетаться с обязательным облучением, чтобы исключить формирование рецидивных образований.
Нередко бывают ситуации, когда оперативное вмешательство является невозможным по причине того, что менингиома является очень крупной или же затрагивает окружающие вены и кровеносные сосуды или же они располагаются в местах, где есть большая вероятность травмировать важные отделы мозга. В данном случае используется радиохирургия стереотаксическая, которая позволяет убрать поражение и восстановить нормальную жизнь человека. Также данная методика будет применяться в том случае, если невозможно осуществить полное отсечение опухолевых тканей.
Если же такое внедрение также является невозможным, то применяется терапия лучевого характера.
Нужно отметить, что менингиома чаще всего проявляется у женщин в возрасте от 40 до 60 лет, поэтому врачи говорят о том, что существует неоспоримая взаимосвязь с женскими гормонами, а также присутствует возрастной фактор. Также причиной образования могут быть старые серьезные травмы. Нередко такая патология диагностируется у тех, кто проходил лечение облучением или же получил определенное облучение по месту работы, у тех, кто все время соприкасается с токсическими веществами.
Симптоматика заболевания может быть достаточно разной, так как изначально она зависит от того, где именно располагается новообразование. Поэтому при обращении пациента врачу нужно быть предельно внимательным. Ведь именно на начальной стадии развития патологии можно обойтись минимальным количеством методов воздействия, достигая поставленных целей. После проведения операции назначается терапевтическое лечение. Кроме того, пациент все время находится под наблюдением, что позволяет оперативно отреагировать в том случае, если образование восстановит свой рост. Поэтому нужно все время контролировать пациента даже в том случае, если у него не отмечается никакой симптоматики и период восстановления после операции протекает невероятно успешно.
Арахноидальная киста головного мозга
Арахноидальная киста головного мозга — заполненное цереброспинальной жидкостью образование, располагающееся между дупликатурой арахноидальной оболочки. Может иметь врожденную и вторичную природу. Зачастую протекает латентно, без клинических проявлений. При увеличении объема киста дебютирует симптомами внутричерепной гипертензии, судорожными пароксизмами и очаговым неврологическим дефицитом. Диагностируется в основном по данным МРТ головного мозга. При нарастании клинических симптомов требуется хирургическое лечение — дренирование кисты, ее фенестрация, иссечение или шунтирование.
МКБ-10


Общие сведения
Арахноидальная киста головного мозга представляет собой ограниченное скопление цереброспинальной жидкости (ликвора) в толще покрывающих головной мозг оболочек. Свое название киста получила в связи с локализацией в арахноидальной церебральной оболочке. В месте образования кисты арахноидальная оболочка утолщена и имеет дупликатуру, т. е. разделяется на два листка, между которыми накапливается цереброспинальная жидкость. Как правило, кисты имеют малый объем, но при скоплении в них большого количества ликвора, они оказывают компрессионное воздействие на подлежащую кору головного мозга. Это приводит к манифестации клинических проявлений интракраниального (внутричерепного) объемного образования.
Арахноидальная киста головного мозга может иметь различное месторасположение. Наиболее часто такие кисты находятся в области мостомозжечкового угла, сильвиевой борозды и над турецким седлом (супраселлярно). По имеющимся данным около 4% населения имеют арахноидальные кисты, но далеко не у всех они дают какие-либо клинические проявления. Более подвержены возникновению кист лица мужского пола.

Классификация арахноидальных кист
Этиологическая классификация учитывает происхождение арахноидальных церебральных кист. По своему происхождению они могут быть первичными, или врожденными, и вторичными, или приобретенными. Первичные кисты относятся к аномалиям развития головного мозга, вторичные возникают как следствие травматических повреждений, воспалительных процессов или кровотечений, происходящих в церебральных оболочках.
Морфологически выделяют простые и сложные арахноидальные кисты. В первом случае полость кисты выслана клетками арахноидальной оболочки, имеющими способность продуцировать цереброспинальную жидкость. Во втором случае в структуру кисты входят и другие ткани, например, глиальные элементы. Морфологическая классификация арахноидальных кист не имеет актуального значения в практической неврологии, в то время как этиологическая классификация обязательно учитывается при постановке развернутого диагноза.
Клинически арахноидальные кисты подразделяют на прогрессирующие и замершие. Прогрессирующие кисты отличаются нарастанием неврологической симптоматики, обусловленным увеличением объема кисты. Замершие кисты не увеличиваются в размерах и обычно имеют латентное течение. Определение вида арахноидальной кисты в соответствии с данной классификацией имеет первостепенное значение для выбора адекватной тактики лечения.
Причины возникновения арахноидальной кисты
Врожденные арахноидальные кисты формируются вследствие нарушений в процессе внутриутробного развития головного мозга. К факторам, обуславливающим их образование, относятся различные вредоносные воздействия на плод, происходящие в период беременности. Это могут быть внутриутробные инфекции (токсоплазмоз, краснуха, герпес, цитомегалия и др.), интоксикации (профессиональные вредности, алкоголизм, курение, наркомания, прием фармпрепаратов с тератогенным эффектом), радиоактивное облучение, перегревание (посещение беременной женщиной сауны или бани, избыточная инсоляция, привычка принимать горячие ванны). Кисты, локализующиеся в арахноидальной оболочке, зачастую отмечаются у пациентов с синдромом Марфана и гипогенезией мозолистого тела.
Приобретенные арахноидальные кисты возникают после черепно-мозговых травм (сотрясения головного мозга, ушиба головного мозга), а также могут являться следствием операций на головном мозге. Формирование вторичной кисты возможно после перенесенного менингита, арахноидита или менингоэнцефалита. Образование арахноидальной кисты может наблюдаться после разрешения субарахноидального кровоизлияния или субдуральной гематомы. Факторы, способные спровоцировать формирование арахноидальной кисты, могут также вызвать прогрессирующий рост объема ранее существующего в арахноидальной оболочке небольшого субклинического кистозного образования за счет гиперпродукции и скопления в нем цереброспинальной жидкости.
Симптомы арахноидальной кисты
В большинстве случаев арахноидальная киста головного мозга имеет незначительный объем и никак не проявляет себя клинически. Врожденная киста может быть случайной находкой при выполнении нейросонографии через родничок или МРТ головного мозга в связи с другой интракраниальной патологией. Возможен ее клинический дебют при инфекционном, сосудистом или травматическом поражении головного мозга.
При увеличении количества находящегося внутри кисты ликвора и соответственно размеров самой кисты появляются симптомы повышенного внутричерепного давления и очаговые неврологические проявления, характер которых зависит от места расположения кисты. Пациента беспокоят головные боли (цефалгии), периодическое головокружение, шум в ушах, ощущение «тяжелой головы», иногда — чувство пульсации в голове, неустойчивость ходьбы.
С нарастанием объема кисты происходит усугубление указанной симптоматики. Цефалгия приобретает постоянный и интенсивный характер, сопровождается тошнотой, давлением на глазные яблоки, рвотой. Возможны развитие тугоухости (падения слуха), понижение остроты зрения, двоение или возникновение «пятен» в полях зрения, онемение тех или иных конечностей, вестибулярная атаксия, дизартрия. Могут отмечаться гемипарезы — снижение мышечной силы в руке и ноге одной половины тела. Нередки эпизоды возникновения судорожных приступов и синкопальных состояний (обмороков). В отдельных случаях наблюдается галлюцинаторный синдром. У детей появляется задержка психического развития.
Усугубление неврологической симптоматики свидетельствует о дальнейшем росте размеров арахноидальной кисты и прогрессирующем сдавлении головного мозга. Значительное увеличение объема кисты опасно возможностью ее разрыва, влекущего за собой смерть пациента. Длительное существование церебральной компрессии приводит к необратимым дегенеративным процессам в мозговых тканях с формированием стойкого неврологического дефицита.
Диагностика арахноидальной кисты
Клиника арахноидальной кисты не имеет специфичных проявлений и соответствует клинической картине, общей для большинства объемных образований головного мозга. К последним относятся внутримозговые и оболочечные гематомы, первичные и метастатические опухоли мозга, абсцесс головного мозга, внутримозговая киста. Осмотр невролога и первичное неврологическое обследование (электроэнцефалография, реоэнцефалография и эхо-энцефалография) позволяют установить наличие интракраниального образования с внутричерепной гипертензией и существующую судорожную активность головного мозга. Для уточнения характера объемного образования и его локализации необходимо проведение МРТ, СКТ головного мозга или КТ.

Оптимальным диагностическим методом для распознавания арахноидальных кист выступает МРТ головного мозга с контрастированием. Использование контрастных веществ позволяет отдифференцировать кисту от опухоли головного мозга. Основным критерием арахноидальной кисты, отличающим ее от опухоли, является отсутствие способности накапливать контраст. При помощи МРТ проводится дифференциальная диагностика с субдуральной гематомой, субарахноидальным кровоизлиянием, субдуральной гигромой, абсцессом, инсультом, энцефалитом и др. церебральными заболеваниями.
Лечение арахноидальной кисты
Замершие арахноидальные кисты с субклиническим течением не нуждаются в терапии. Пациентам рекомендовано наблюдение невролога и ежегодное прохождение МРТ для динамического контроля размеров кисты. Прогрессирующие арахноидальные кисты, кисты, сопровождающиеся эпилепсией и/или значительным повышением внутричерепного давления, не купируемым консервативными методами терапии, подлежат хирургическому лечению. Для решения вопроса о целесообразности хирургического лечения арахноидальной кисты и выборе оптимального способа его осуществления проводится консультация нейрохирурга.
При наличии кровоизлияния в область арахноидальной кисты и при ее разрыве показано полное иссечение кисты. Однако такой метод лечения является высоко травматичным и требует длительного восстановительного периода. Поэтому при отсутствии осложнений предпочтение отдается эндоскопическому вмешательству с т. н. фенестрацией кисты. Операция проводится через фрезевое отверстие и заключается в аспирации содержимого кисты с последующим созданием отверстий, соединяющих полость кисты с желудочком мозга и/или субарахноидальным пространством. В некоторых случаях применяют шунтирующую операцию - кистоперитонеальное шунтирование, в результате которой цереброспинальная жидкость из полости кисты оттекает в брюшную полость, где всасывается. Недостатком подобных операций является вероятность нарушения проходимости шунта.
Прогноз
Арахноидальная киста головного мозга может иметь самое различное течение. Во многих случаях она бессимптомно существует на протяжении всей жизни пациента. Опасность представляют прогрессирующие арахноидальные кисты. При запоздалой диагностике они могут служить причиной инвалидизирующего неврологического дефицита и даже летального исхода. Своевременное проведение хирургического лечения кисты, как правило, приводит к выздоровлению. Осложнением может явиться рецидив кисты.
Профилактика
Профилактика врожденных арахноидальных кист, как и предупреждение прочих пороков внутриутробного развития, включает корректное ведение беременности и соблюдение беременной специального охранительного режима, исключающего вредные воздействия на плод. Профилактикой приобретенных арахноидальных кист выступает правильное и своевременное лечение травм, воспалительных и сосудистых церебральных заболеваний.
Арахноидит
Арахноидит — аутоиммунное воспалительное поражение паутинной оболочки мозга, приводящее к образованию в ней спаек и кист. Клинически арахноидит проявляется ликворно-гипертензионным, астеническим или неврастеническим синдромами, а также очаговой симптоматикой (поражение черепно-мозговых нервов, пирамидные нарушения, мозжечковые расстройства), зависящей от преимущественной локализации процесса. Диагноз арахноидита устанавливается на основании анамнеза, оценки неврологического и психического статуса пациента, данных Эхо-ЭГ, ЭЭГ, люмбальной пункции, офтальмологического и отоларингологического обследования, МРТ и КТ головного мозга, КТ-цистернографии. Лечится арахноидит в основном комплексной медикаментозной терапией, включающей противовоспалительные, дегидратационные, противоаллергические, антиэпилептические, рассасывающие и нейропротекторные препараты.

На сегодняшний день в неврологии различают истинный арахноидит, имеющий аутоиммунный генез, и резидуальные состояния, обусловленные фиброзными изменениями паутинной оболочки после перенесенной черепно-мозговой травмы или нейроинфекции (нейросифилис, бруцеллез, ботулизм, туберкулез и др.). В первом случае арахноидит носит диффузный характер и отличается прогрессирующим или интермитирующим течением, во втором — часто имеет локальный характер и не сопровождается прогредиентностью течения. Среди органических поражений ЦНС истинный арахноидит составляет до 5% случаев. Наиболее часто арахноидит наблюдается среди детей и молодых людей в возрасте до 40 лет. Мужчины заболевают в 2 раза чаще женщин.
Причины возникновения арахноидита
Примерно у 55-60% больных арахноидит связан с перенесенным ранее инфекционным заболеванием.
Вирусные инфекции:
Хронические гнойные очаги в области черепа:
В 30% арахноидит является следствием перенесенной черепно-мозговой травмы, чаще всего субарахноидального кровоизлияния или ушиба головного мозга, хотя вероятность возникновения арахноидита не зависит от тяжести полученных повреждений.
В 10-15% случаев арахноидит не имеет точно установленной этиологии.
Предрасполагающими к развитию арахноидита факторами является хроническое переутомление, различные интоксикации (в т. ч. алкоголизм), тяжелый физический труд в неблагоприятных климатических условиях, частые ОРВИ, повторные травмы не зависимо от их локализации.
Патогенез арахноидита
Паутинная оболочка располагается между твердой и мягкой мозговыми оболочками. Она не сращена с ними, но плотно прилегает к мягкой мозговой оболочке в местах, где последняя покрывает выпуклую поверхность извилин головного мозга. В отличие от мягкой мозговой оболочки паутинная не заходит в мозговые извилины и под ней в этой области образуются заполненные цереброспинальной жидкостью подпаутинные пространства. Эти пространства сообщаются между собой и с полостью IV желудочка. Из подпаутинных пространств через грануляции паутинной оболочки, а также по периневральным и периваскулярным щелям происходит отток цереброспинальной жидкости из полости черепа.
Под воздействием различных этиофакторов в организме начинают вырабатываться антитела к собственной паутинной оболочке, вызывающие ее аутоиммунное воспаление — арахноидит. Арахноидит сопровождается утолщением и помутнением паутинной оболочки, образованием в ней соединительнотканных спаек и кистозных расширений. Спайки, образованием которых характеризуется арахноидит, приводят к облитерации указанных путей оттока цереброспинальной жидкости с развитием гидроцефалии и ликворно-гипертензионных кризов, обуславливающих возникновение общемозговой симптоматики. Сопровождающая арахноидит очаговая симптоматика связана с раздражающим воздействием и вовлечением в спаечный процесс подлежащих мозговых структур.
Классификация арахноидита
В клинической практике арахноидит классифицируют по локализации. Выделяют церебральный и спинальный арахноидит. Первый в свою очередь подразделяется на конвекситальный, базилярный и арахноидит задней черепной ямки, хотя при диффузном характере процесса не всегда возможно такое разделение. По особенностям патогенеза и морфологических изменений арахноидит делят на слипчивый, слипчиво-кистозный и кистозный.
Симптомы арахноидита
Клиническая картина арахноидита разворачивается спустя значительный промежуток времени от воздействия вызвавшего его фактора. Это время обусловлено происходящими аутоиммунными процессами и может отличаться в зависимости от того, чем именно был спровоцирован арахноидит. Так, после перенесенного гриппа арахноидит проявляется спустя 3-12 месяцев, а после черепно-мозговой травмы в среднем через 1-2 года. В типичных случаях арахноидит характеризуется постепенным малозаметным началом с появлением и нарастанием симптомов, характерных для астении или неврастении: повышенная утомляемость, слабость, нарушения сна, раздражительность, повышенная эмоциональная лабильность. На этом фоне возможно появление эпилептических приступов. Со временем начинают проявляться общемозговые и местные (очаговые) симптомы, сопровождающие арахноидит.
Общемозговые симптомы арахноидита
Общемозговая симптоматика вызвана нарушением ликвородинамики и в большинстве случаев проявляется ликворно-гипертензионным синдромом. В 80% случаев имеющие арахноидит пациенты жалуются на достаточно интенсивную распирающую головную боль, наиболее выраженную в утреннее время и усиливающуюся при кашле, натуживании, физических усилиях. С повышением внутричерепного давления связаны также болезненность при движении глазных яблок, ощущение давления на глаза, тошнота, рвота.
Зачастую арахноидит сопровождается шумом в ушах, понижением слуха и несистемным головокружением, что требует исключения у пациента заболеваний уха (кохлеарного неврита, хронического среднего отита, адгезивного отита, лабиринтита). Возможно возникновение чрезмерной сенсорной возбудимости (плохой переносимости резких звуков, шума, яркого света), вегетативных расстройств и типичных для вегето-сосудистой дистонии вегетативных кризов.
Зачастую арахноидит сопровождается периодически возникающим резким усугублением ликвородинамических нарушений, что клинически проявляется в виде ликвородинамического криза — внезапного приступа интенсивной головной боли с тошнотой, головокружением и рвотой. Подобные приступы могут происходить до 1-2 раз в месяц (арахноидит с редкими кризами), 3-4 раза в месяц (арахноидит с кризами средней частоты) и свыше 4 раз в месяц (арахноидит с частыми кризами). В зависимости от выраженности симптомов ликвородинамические кризы подразделяют на легкие, средней тяжести и тяжелые. Тяжелый ликвородинамический криз может длиться до 2 суток, сопровождается общей слабостью и неоднократной рвотой.
Очаговые симптомы арахноидита
Очаговая симптоматика арахноидита может быть различной в зависимости от его преимущественной локализации.
Конвекситальный арахноидит может проявляться легкими и среднетяжелыми нарушениями двигательной активности и чувствительности в одной или обеих конечностях с противоположной стороны. В 35% арахноидит этой локализации сопровождается эпилептическими приступами. Обычно имеет место полиморфизм эпиприступов. Наряду с первично- и вторично генерализованными наблюдаются психомоторные простые и сложные приступы. После приступа возможно возникновение временного неврологического дефицита.
Базилярный арахноидит может быть распространенным или локализоваться преимущественно в оптико-хиазмальной области, передней или средней черепной ямке. Его клиника обусловлена в основном поражением расположенных на основании мозга I, III и IV пары черепно-мозговых нервов. Могут возникать признаки пирамидной недостаточности. Арахноидит передней черепной ямки чаще протекает с нарушениями памяти и внимания, снижением умственной работоспособности. Оптико-хиазмальный арахноидит характеризуется прогрессирующим снижением остроты зрения и сужением зрительных полей. Указанные изменения чаще всего носят двусторонний характер. Оптико-хиазмальный арахноидит может сопровождаться поражением расположенного в этой области гипофиза и приводить к появлению эндокринно-обменного синдрома, сходного с проявлениями аденомы гипофиза.
Арахноидит задней черепной ямки часто имеет тяжелое течение, сходное с опухолями головного мозга этой локализации. Арахноидит мосто-мозжечкового угла, как правило, начинает проявляться поражением слухового нерва. Однако возможно начало с невралгии тройничного нерва. Затем появляются симптомы центрального неврита лицевого нерва. При арахноидите большой цистерны на первый план выходит выраженный ликворно-гипертензионный синдром с тяжелыми ликвородинамическими кризами. Характерны мозжечковые расстройства: нарушения координации, нистагм и мозжечковая атаксия. Арахноидит в области большой цистерны может осложниться развитием окклюзионной гидроцефалии и образованием сирингомиелитической кисты.
Диагностика арахноидита
Установить истинный арахноидит невролог может только после комплексного обследования пациента и сопоставления анамнестических данных, результатов неврологического осмотра и инструментальных исследований. При сборе анамнеза обращают внимание на постепенное развитие симптомов заболевания и их прогрессирующий характер, недавно перенесенные инфекции или черепно-мозговые травмы. Исследование неврологического статуса позволяет выявить нарушения со стороны черепно-мозговых нервов, определить очаговый неврологический дефицит, психо-эмоциональные и мнестические расстройства.
Рентгенография черепа в диагностике арахноидита является малоинформативным исследованием. Она может выявлять лишь признаки длительно существовавшей внутричерепной гипертензии: пальцевые вдавления, остеопороз спинки турецкого седла. О наличие гидроцефалии можно судить по данным Эхо-ЭГ. При помощи ЭЭГ у больных с конвекситальным арахноидитом выявляют очаговую ирритацию и эпилептическую активность.
Пациенты с подозрением на арахноидит в обязательном порядке должны быть осмотрены офтальмологом. У половины пациентов, имеющих арахноидит задней черепной ямки, при офтальмоскопии отмечаются застойные явления в области диска зрительного нерва. Оптико-хиазмальный арахноидит характеризуется выявляемым при периметрии концентрическим или битемпоральным сужением полей зрения, а также наличием центральных скотом.
Нарушения слуха и шум в ухе являются поводом для консультации отоларинголога. Тип и степень тугоухости устанавливаются при помощи пороговой аудиометрии. Для определения уровня поражения слухового анализатора производится электрокохлеография, исследование слуховых вызванных потенциалов, акустическая импедансометрия.
КТ и МРТ головного мозга позволяют выявить морфологические изменения, которые сопровождают арахноидит (спаечный процесс, наличие кист, атрофические изменения), определить характер и степень гидроцефалии, исключить объемные процессы (гематому, опухоль, абсцесс головного мозга). Изменения формы подпаутинных пространств могут быть выявлены в ходе КТ-цистернографии.
Люмбальная пункция позволяет получить точные сведения о размере внутричерепного давления. Исследование ликвора при активном арахноидите обычно выявляет увеличение белка до 0,6 г/л и количества клеток, а также повышенное содержание нейромедиаторов (например. серотонина). Оно помогает дифференцировать арахноидит от других церебральных заболеваний.
Лечение арахноидита
Терапия арахноидита обычно проводится в стационаре. Она зависит от этиологии и степени активности заболевания. Схема медикаментозного лечения пациентов, имеющих арахноидит, может включать:
- противовоспалительную терапию глюкокортикостероидными препаратами (метилпреднизолон, преднизолон), рассасывающие средства (гиалуронидазу, йодвисмутат хинина, пирогенал)
- противоэпилептические препараты (карбамазепин, леветирацетам и др.)
- дегидратационные препараты (в зависимости от степени повышения внутричерепного давления — маннит, ацетазоламид, фуросемид)
- нейропротекторы и метаболиты (пирацетам, мельдоний, гинкго билоба, гидролизат головного мозга свиньи и пр.)
- противоаллергические медикаменты (клемастин, лоратадин, мебгидролин, хифенадин)
- психотропы (антидепрессанты, транквилизаторы, седативные).
Обязательным моментом в лечении арахноидита является санация имеющихся очагов гнойной инфекции (отит, синусит и т. п.).
Тяжелый оптико-хаозмальный арахноидит или арахноидит задней черепной ямки в случае прогрессирующего снижения зрения или окклюзионной гидроцефалии являются показанием для проведения хирургического лечения. Операция может заключаться в восстановлении проходимости основных ликворных путей, удалении кист или разъединении спаек, приводящих к сдавлению расположенных рядом мозговых структур. С целью уменьшения гидроцефалии при арахноидите возможно применение шунтирующих операций, направленных на создание альтернативных путей оттока цереброспинальной жидкости: кистоперитонеальное, вентрикулоперитонеальное или люмбоперитонеальное шунтирование.
Синдром затылочного мыщелка как клиническое проявление метастазов в основание черепа

Синдром затылочного мыщелка (СЗМ), обусловленный метастатическим поражением основания черепа, развивается при локализации патологического очага в области затылочного мыщелка. Впервые СЗМ был описан Greenberg в 1981 г. Наблюдая 43 случая метастатических опухолей основания черепа различной локализации, автор выделил 5 характерных симптомокомплексов - офтальмический, селлярно - параселлярный, средней черепной ямки, югулярный, затылочного мыщелка (Greenberg, 1981). В последующих описаниях метастазов основания черепа прочие авторы также придерживались данной классификации. Синдром затылочного мыщелка встречается при метастазах основания черепа относительно часто - от 10% до 21% случаев. По данным H. Greenberg и соавт. , - СЗМ наблюдался в 21% случаев, по наблюдениям F. Laigle-Donadey - в 16%, по исследованиям K. Mitsuya СЗМ описан в 10% случаев (Greenberg, 1981; Laigle - Donadey, 2005; Mitsuya, 2011). СЗМ является одним из стереотипных и легко узнаваемых синдромов поражения основания черепа. Характерной особенностью является сочетание одностороннего периферического пареза подъязычного нерва с болями в шейно - затылочной области со стороны поражения, усиливающихся при поворотах головы (Capobianco, 2002; Greenbeg, 1981).
У больных с известным онкологическим анамнезом проявление СЗМ является достоверным признаком метастаза в основание черепа. До 30% случаев СЗМ является первым проявлением онкологического заболевания (Moeller, 2007).
Материал и методы
С 2001 по 2013 гг. нами наблюдались 163 больных с различными метастатическими опухолями в основании черепа. Среди них синдром затылочного мыщелка наблюдался у 9 (5, 5%) больных. Опухоли были представлены метастазами рака щитовидной железы (2), легкого (1), молочной железы (1), почечноклеточного рака (1), лейомиосаркомы матки (1), злокачественной гистиоцитомы (1) и метастазами из неустановленного очага (2). Средний возраст больных составлял 50 лет (минимальный 30, макисмальный 61). Соотношение мужчин/женщин составляет 2/1. Общее состояние больных, оцененное по шкале Карновского в целом лучше по сравнению с общей группой. Только у 2 больных индекс Карновоского был 2, в остальных 7 случаях выше 80. Интраоперационно в 7 случаях выявлено не только поражение костных структур, но и прилегающей ТМО, в одной случае так же полушария мозжечка. В 2 случаях опухоль была отграницена только в костных структурах.
Во всех наблюдениях в клинической картине были 2 основных синдромов - односторонний болевой синдром в шейно - затылорчной области и синдром гомолатерального поражения подъязычного нерва. Во всех случаях болевой синдром предшествовал неврологической симптоматике и опережал от 2 недель до 2 месяцев. В 2 наблюдениях при распространении метастаза в область яремного отверстия к синдрому затылочного мыщелка присоединялся синдром яремного отверстия в виде поражения 9, 10, 11 нервов. В последних 2 случаях, когда вследствие метастатического поражения возникает сочетанное поражение 4 каудальных нервов описывался синдром Collet - Sicard.
В 5 случаях оперативное вмешательство ограничивалось только биопсией или парциальной резекцией опухоли, в 2 случаях выполнено тотальное и в 2 наблюдениях субтотальное удаление метастаза. Данные о проведении лучевой терапии имеется в 2 случаях - в одном случае она была проведена по месту жительства, во втором случае в НИИ нейрохирургии им. акад. Н. Н. Бурденко. У 5 больных метастаз в основании черепа сочетался с другими отдаленными метастазами - в легких и в позвонках. Катамнез прослеживался в 4 случаях. Один из пациентов с множественными метастазами в легких и в позвоночнике скончалась через 3 месяца после оперативного вмешательства из - за экстракраниальной прогрессии заболевания. В остальных случаях больные наблюдались в течение 10-15 месяцев с контролем роста опухоли. Ниже приводится описание случая метастаза лейомиосаркомы матки в мыщелок затылочной кости, клинический проявившийся синдромом затылочного мыщелка.
Результаты собственных исследований и их обсуждение
Описание случая: больная 57 лет, поступила в клинику с жалобами на постоянные боли в правой затылочной области, распространяющиеся в правую лобную область, усиливающиеся при поворотах головы. Больная также отмечала отклонение языка вправо и нарушение артикуляции (рис. 1).
Из анамнеза известно, что в сентябре 2011 перенесла экстирпацию матки и верхней трети влагалища с придатками в связи с лейомиосаркомой тела матки. В регионарных лимфоузлах признаков опухолевого роста не было обнаружено. После операции проведена дистанционная гамма-терапия. Через 3 месяца после экстирпации матки появились боли в правой затылочной области, иррадиирущие в правую лобную область. Через 10 дней после появления болей стала нечеткой речь, больная обратила внимание на отклонение языка вправо. При МРТ головного мозга с внутривенным контрастированием выявлена опухоль краниовертебрального перехода справа. Опухоль располагалась в основном экстракраниально, распространялась на чешую затылочной кости, на правый мыщелок и интракраниально. Опухоль интенсивно негомогенно накапливала контрастное вещество (рис. 2). При КТ выявлено разрушение чешуи затылочной кости без признаков деструкции мыщелка (рис. 3). Сцинтиграфия костей показала накопления радиофармпрепарата только в проекции опухоли.
При осмотре больной в неврологическом статусе был выявлен периферический парез XII н. справа, проявляющийся гипотрофией правой половины языка и легкой дизартрией; также определялась болезненность при пальпации в шейно-затылочной области справа, нарастание болей при поворотах головы.
С целью гистологической верификации опухоли и уменьшения ее объема произведено нейрохирургическое вмешательство. В положении больной на операционном столе лежа на спине с поворотом головы влево выполнен линейный парамедианный разрез в правой затылочной области. Под мышцами шеи выявлена плотная округлая практически аваскулярная опухоль серой окраски. Опухоль отделена от окружающих здоровых тканей и удалена фрагментированием. После удаления основной массы опухоли обнажилось правое атланто - окципитальное сочленение. Признаков деструкции мыщелка затылочной кости не обнаружено. Выполнена резекция пораженных участков чешуи затылочной кости до визуально здоровой костной ткани. Удалены интракраниальные части опухоли до здоровой твердой мозговой оболочки. Твердая мозговая оболочка не была проращена опухолью, не вскрывалась.
После оперативного вмешательства регрессировали боли в шейно - затылочной области. Сохранялись признаки периферического пареза правого подъязычного нерва.
Гистологически и иммуногистохиимчески определен метастаз лейомиосаркомы. В клетках опухоли выявлена положительная экспрессия виментина, гладкомышечного актина и десмина (рис. 4). Экспрессии меланоцитарного маркера НМВ-45, общего лейкоцитарного антигена CD45, ЕМА, цитокератинов СК7 и СК20, а также экспрессии миогенина не выявлено.
После операции проведен курс стереотаксической радиотерапии на область остаточной опухоли и послеоперационного ложа задней черепной ямки с краевым захватом 2мм. Облучение осуществлялось на линейном ускорителе «Novalis» с микромультилепестковым коллиматором. Облучение проводилось с 8 фигурных полей с 1 изоцентром. Проведено 7 фракции по 5Гр до СОД ср. =35 Гр.
При контрольной МРТ через 3 месяца после курса лучевой терапии выявлена положительная динамика в виде выраженного регресса остаточной опухоли в области краниовертебрального перехода справа (рис. 5).
В литературе описаны разные причины изолированного поражения подъязычного нерва, среди которых опухоли носоглотки, ствола головного мозга, травмы и огнестрельные ранения кранио-вертебрального перехода, Guillain-Barre нейропатия, рассеянный склероз, истерия, мальформация Киари (Keane, 1996).
Анализируя 100 случаев за 26 лет, авторы отмечают более 10 причин поражения XII- нерва. В 49 случаях причиной поражения подъязычного нерва были новообразования, в 12 наблюдениях - метастатические опухоли (Keane, 1996).
В литературе описаны 27 случаев СЗМ вследствие метастатического поражения основания черепа (Moeller, 2007).
Таблица 1 - Литературные и наши данные синдром затылочного мыщелка при метастатическом поражении основания черепа.
Читайте также:
- Пример первично множественного рака пищевода. Пример синхронного рака пищевода
- Симптомы спастической дисфонии (нарушения голоса) и его лечение
- Техника, этапы операции панладьевидного артродеза при болезни Мюллера-Вайсса
- ЭКГ трех стандартных отведений. Грудные отведения электрокардиограммы
- Случай симптоматического злоупотребления алкоголем на фоне тревожно-депрессивного расстройства
