Симптомы остеомиелита костей черепа и нижней челюсти при воспалении пазухи носа
Добавил пользователь Валентин П. Обновлено: 22.11.2025
Кафедра общей хирургии Московской медицинской академии им. И.М. Сеченова, ГКБ №23 им. «Медсантруд», Москва
Кафедра общей хирургии Первого Московского государственного медицинского университета им. И.М. Сеченова
Кафедра общей хирургии лечебного факультета Первого Московского государственного медицинского университета им. И.М. Сеченова
Диагностика и лечение остеомиелита костей черепа.
Журнал: Хирургия. Журнал им. Н.И. Пирогова. 2012;(12): 62‑64
Липатов К.В., Комарова Е.А., Введенская О.В., Догузова Н.В. Диагностика и лечение остеомиелита костей черепа.. Хирургия. Журнал им. Н.И. Пирогова. 2012;(12):62‑64.
Lipatov KV, Komarova EA, Vvedenskaia OV, Doguzova NV. Diagnostics and treatment of cranial ostheomyelitis. Pirogov Russian Journal of Surgery = Khirurgiya. Zurnal im. N.I. Pirogova. 2012;(12):62‑64. (In Russ.).
Остеомиелит представляет собой гнойное или гнойно-некротическое поражение костной ткани, костного мозга, надкостницы, окружающих мягких тканей и принципиально может поражать любую кость, однако наиболее часто в воспалительный процесс вовлекаются длинные трубчатые кости [2]. Остеомиелит костей черепа - редкое заболевание, распространенность его составляет 1,5%, а среди наблюдений остеомиелита плоских костей - 3% [5, 6]. По данным зарубежных авторов, ежегодно регистрируется от 57 до 95 наблюдений остеомиелита черепа [5]. Летальность при возникновении интракраниальных осложнений достигает 20-40% [1, 8]. Недостаточность клинического опыта, особенности строения и расположения костей черепа (губчатая структура кости, соседство с важными анатомическими структурами и головным мозгом, небольшой массив покрывающих кости мягких тканей) приводят к определенным трудностям в диагностике и лечении остеомиелита черепа. Ранняя диагностика и адекватное лечение данного заболевания позволят предотвратить развитие неврологических осложнений и существенно уменьшить летальность.
Причиной остеомиелита черепа могут быть осложненная травма, перенесенное оперативное вмешательство на костях черепа, гнойные заболевания мягких тканей головы и придаточных пазух носа 5. Гематогенный остеомиелит черепа возникает крайне редко по причине устойчивости к инфекции плоских костей. Предрасполагающими факторами развития остеомиелита черепа, ведущими к снижению васкуляризации кости, являются сахарный диабет, анемия, диспротеинемия, воздействие ионизирующего излучения, опухолевое поражение кости, остеопороз, болезнь Педжета 7. Остеомиелит черепа может наблюдаться в любом возрасте, но преимущественно им страдают дети и молодые люди. Наиболее часто поражаются лобная, височная и теменная кости [1, 3]. Остеомиелит черепа протекает в острой, подострой и хронической формах, характеризующихся определенными клиническими и структурными изменениями [3]. При этом в зависимости от характера и распространенности патологического процесса различают поверхностный и глубокий остеомиелит, последний подразделяется на ограниченный и диффузный [3]. Поверхностная форма остеомиелита черепа характеризуется вовлечением в патологический процесс поверхностной костной пластинки, в то время как при глубоких остеомиелитах поражаются все слои кости. Поражение наружной костной пластинки часто приводит к формированию поднадкостничного абсцесса, который при расплавлении надкостницы становится подапоневротическим, а затем и подкожным. Поражение внутренней костной пластинки делает возможным распространение гнойно-септического процесса на оболочки и вещество мозга, что обусловливает возникновение зачастую фатальных интракраниальных осложнений в виде менингита, абсцесса мозга, тромбоза синусов, менингита. Диффузные формы глубоких остеомиелитов возникают, как правило, при тромбофлебите диплоических вен, что приводит к «метастазированию» инфекции и обширному поражению кости 1.
Клиническая картина остеомиелита черепа зависит от этиологии, распространенности и характера патологического процесса и характеризуется преобладанием местных воспалительных изменений. Поражение наружной костной пластинки характеризуется отеком мягких тканей и формированием подкожного или подапоневротического абсцесса, глубокой - локальной головной болью, болезненностью при постукивании по пораженной области [1, 4]. Хронический остеомиелит черепа нередко проявляется формированием свища. При возникновении внутричерепных осложнений присоединяются общемозговая и очаговая симптоматика, выраженные признаки интоксикации, ухудшается общее состояние больного.
Рентгенологическая картина остеомиелита черепа проявляется лишь по прошествии 2-3 нед от начала заболевания, позволяет диагностировать преимущественно грубые изменения и характеризуется неоднородностью костной структуры при остром процессе и утолщением, секвестрацией, нечеткостью контуров, дефектом кости в случае хронизации [2, 5]. В связи с определенными недостатками метода на современном этапе целесообразно использовать компьютерную и магнитно-резонансную томографию, позволяющую выявить структурные изменения кости и окружающих мягких тканей даже на ранних стадиях заболевания.
Лечение остеомиелита черепа подразделяется на хирургическое и общее. Радикальное оперативное лечение проводят при условии стихания воспалительного процесса, оно заключается в остеонекрэктомии и хирургической обработке окружающих мягких тканей. При поверхностном остеомиелите кусачками удаляют пораженную кость до ее неизмененных структур, рану санируют растворами антисептиков, дренируют и ушивают наглухо.
В случае глубокого остеомиелита широко обнажают остеомиелитический очаг, удаляют секвестры наружной и внутренней костных пластинок, скусывают пораженные края кости до визуально неизмененных тканей, проводят ревизию эпидурального пространства и удаляют все гнойные грануляции с поверхности твердой мозговой оболочки, рану дренируют и ушивают наглухо. Краниопластику производят не ранее чем через 6 мес при условии отсутствия прогрессирования воспалительного процесса в кости [1, 3, 7]. Хирургическое лечение дополняют антибактериальной, дезинтоксикационной, корригирующей терапией.
Приводим клиническое наблюдение.
Больной Я., 22 лет, поступил в клинику с направляющим диагнозом: нагноившаяся атерома лобной области. При поступлении предъявлял жалобы на отек лица, наличие болезненного уплотнения в области лба. Из анамнеза: считает себя больным в течение 2 сут, когда без видимой причины отметил появление описанных выше жалоб. Данное заболевание - впервые, ранее никаких изменений в лобной области не отмечал. В детстве перенес ушиб области лба, за медицинской помощью не обращался. При поступлении общее состояние удовлетворительное. Температура тела 37 °С. В области лба слева на границе с волосистой частью головы имеется умеренно болезненный инфильтрат плотной консистенции размером 3×1,5 см, кожные покровы над ним не изменены. Симптом флюктуации отрицательный. Лабораторных признаков воспаления не выявлено. Так как на момент поступления убедительные данные, свидетельствующие о процессе, отсутствовали, начата антибактериальная, противовоспалительная терапия. Однако в ходе динамического наблюдения (в течение суток от момента госпитализации) отмечена отрицательная динамика со стороны местного статуса в виде прогрессирования воспалительных явлений, в связи с чем больной оперирован в экстренном порядке: под внутривенным наркозом произведено вскрытие гнойника. Интраоперационно выявлен подкожно расположенный гнойник объемом до 20 мл, в дне раны имелся дефект наружной костной пластинки лобной кости с неровными краями, лишенный надкостницы, диаметром до 2 см. Произведены биопсия кости и посев со стенок гнойника. Операция завершена санацией и дренированием раны салфетками, смоченными антисептическим раствором. С учетом интраоперационных данных в раннем послеоперационном периоде больному с целью уточнения диагноза выполнена компьютерная томография черепа (см. рисунок), Рисунок 1. Компьютерная томограмма черепа. а - сагиттальный срез: дефект лобной кости с деструкцией наружной и внутренней пластинок. Рисунок 1. Компьютерная томограмма черепа. б - фронтальный срез: остеомиелит лобной кости с разрушением наружной костной пластинки, абсцесс мягких тканей головы. Рисунок 1. Компьютерная томограмма черепа. в - горизонтальный срез: сквозной дефект лобной кости. Рисунок 1. Компьютерная томограмма черепа. г - фронтальный срез: деструкция лобной кости с разрушением внутренней костной пластинки. Рисунок 1. Компьютерная томограмма черепа. д - трехмерная реконструкция: сквозной дефект лобной кости. при которой выявлена деструкция лобной кости в виде сквозного костного дефекта размером 19×15 мм, что требовало проведения дифференциальной диагностики между остеомиелитом и новообразованием лобной кости. Выполнена сцинтиграфия скелета, при которой выявлен единственный очаг гиперфиксации радиофармпрепарата в лобной области слева. В ходе патогистологического исследования обнаружены кровоизлияния и признаки острого воспаления в костной ткани. Таким образом, на основании клинико-анамнестических, интраоперационных и ряда инструментальных данных у больного установлен диагноз гематогенного остеомиелита лобной кости, параоссального абсцесса. В послеоперационном периоде на фоне антибактериальной (с учетом данных антибиотикограммы), противовоспалительной терапии, местного лечения достигнута положительная динамика в течении раневого процесса, полностью ликвидированы воспалительные явления. Больной выписан под амбулаторное наблюдение хирургом с рекомендацией консультации нейрохирурга для решения вопроса о радикальном хирургическом лечении.
Приведено наблюдение острого гематогенного остеомиелита лобной кости у молодого человека, не отягощенного хроническими заболеваниями. Гематогенный характер патологического процесса установлен с помощью исключения других возможных путей попадания инфекции в кость. Клиническая картина заболевания не позволяла установить диагноз остеомиелита лобной кости в предоперационном периоде, однако и не соответствовала полностью локальному гнойному процессу в мягких тканях лобной области. В качестве дополнительного инструментального метода исследования с целью уточнения диагноза мы использовали компьютерную томографию, позволившую детально изучить изменения кости. Онкологическая настороженность потребовала выполнения также сцинтиграфии скелета и гистологического исследования. Комплексное консервативное лечение, проводимое в послеоперационном периоде, позволило добиться полной ликвидации воспалительных явлений и перехода раневого процесса во вторую фазу. Радикальное хирургическое лечение предпочтительнее выполнять в условиях отделения нейрохирургии при полном стихании воспалительного процесса, в связи с чем пациенту рекомендована консультация нейрохирурга.
Таким образом, распространенность остеомиелита черепа невелика, однако топографоанатомические особенности данной области, опасность интракраниальных осложнений диктуют необходимость своевременной диагностики и адекватного лечения данного заболевания. Ранняя диагностика остеомиелита черепа с привлечением современных инструментальных методов обследования, радикальная хирургическая обработка в сочетании с рациональной антибиотикотерапией позволят значительно улучшить результаты лечения таких больных.
Остеомиелит челюсти - симптомы и лечение
Что такое остеомиелит челюсти? Причины возникновения, диагностику и методы лечения разберем в статье доктора Дунаевской Натальи Вадимовны, стоматолога-ортопеда со стажем в 16 лет.
Над статьей доктора Дунаевской Натальи Вадимовны работали литературный редактор Вера Васина , научный редактор Пётр Козлов и шеф-редактор Маргарита Тихонова

Определение болезни. Причины заболевания
Остеомиелит челюсти (osteomyelitis of the jaws) — это гнойно-некротический процесс, который развивается в кости и костном мозге челюсти с вовлечением окружающих мягких тканей. Другое название заболевания — «некроз челюсти».
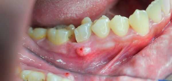
При острой форме остеомиелита в области повреждённого зуба возникает боль, которая усиливается при надавливании на челюсть. Наблюдается выраженный отёк, покраснение и припухлость, лицо становится несимметричным. Пациент жалуется на головные боли и общую слабость, температура тела повышается до 39 °C.
![Остеомилеит челюсти [19]](/pimg3/simptomi-osteomielita-kostey-4A3FFF2.jpg)
Распространённость
Острым и хроническим остеомиелитом болеют люди всех возрастов и обоих полов. Однако чаще заболевание встречается у мужчин, потому что они, как правило, несвоевременно обращаются за медицинской помощью [8] . Средний возраст пациентов составляет 39 лет [7] .
Выделяют следующие виды остеомиелита челюсти:
- Одонтогенные — развиваются из-за инфекции в зубе и составляют 74,2 % от всех случаев остеомиелита [18] .
- Травматические — возникают после травмы, например при переломе челюсти. Зачастую заболевание развивается, когда пациент обращается в больницу только на 7-10-й день после повреждения [5] .
- Гематогенные — инфекция попадает с током крови из какого-либо органа. Встречаются при хронических и острых инфекциях: скарлатине, дифтерии и хроническом тонзиллите.
Согласно статистике, 15 % больных остеомиелитом поступают в отделение в состоянии алкогольного опьянения и при опросе указывают на частый приём алкогольных напитков, 13 % сейчас или в прошлом употребляли наркотики, следовательно страдают иммунодефицитами.
У 45,7 % больных остеомиелитом, поступивших в стационар, выявлено обострение хронического процесса и нагноение мягких тканей, из которых 47,6 % случаев составляют флегмоны, а 52,4 % — абсцессы.
У 13 % пациентов с остеомиелитом челюсти выявляются гепатиты В и С, а у 2 % — ВИЧ-инфекция [5] .
Причины остеомиелита челюсти
- Позднее обращение к стоматологу — зуб долго болел, но дискомфорт подавлялся домашними методами лечения, например полосканиями с содой и солью.
- Хронические инфекционные и вирусные болезни: тонзиллит, синусит, гайморит и ангина.
- Инъекции или переливание крови, при которых инфекция может попасть в кровоток. В стоматологии часто применяют плазмолифтинг — в область слизистой оболочки дёсен инъекционно вводят обогащённую тромбоцитами плазму собственной крови пациента. При нарушении правил безопасности микробы могут попасть в кровоток.
- Травматизм, частые переломы и ранения.
- Туберкулёз и сифилис суставов.
- Аллергия.
- Иммунодефицит на фоне заболеваний или длительного приёма некоторых препаратов, например при химиотерапии.
- Стрессы, физическое и нервное истощение. При длительном стрессе нарушаются защитные функции организма и человек становится восприимчивым к инфекциям [17] .
- В очень редких случаях — нарушение функции височно-нижнечелюстного сустава.
При обнаружении схожих симптомов проконсультируйтесь у врача. Не занимайтесь самолечением - это опасно для вашего здоровья!
Симптомы остеомиелита челюсти
Симптомы зависят от типа остеомиелита, течения болезни и степени поражения тканей.
Симптомы острой формы остеомиелита подразделяются на два вида:
- Местные симптомы:
- В области повреждённого зуба возникает боль. Она усиливается при ощупывании, постукивании и лёгком надавливании на челюсть и мягкие ткани. Неприятные ощущения чаще более выражены на участках рядом с больным зубом и снижаются при давлении на него.
- Поражённый зуб постепенно расшатывается, и возникает синдром «клавиш» — соседние зубы тоже становятся подвижными.
- Шейные и подчелюстные лимфатические узлы увеличиваются и болят.
- В некоторых случаях нарушается чувствительность губ и ухудшаются вкусовые ощущения.
- Общие симптомы:
- возникают головные боли, особенно в области висков;
- развивается общая слабость и утомляемость, нарушается сон;
- температура тела повышается до 39 °C.
После острой стадии наступает подострая. На десне образуется гнойничок или свищ, через который гнойные выделения и воспалительная жидкость выходят наружу.

Затем боль утихает, но очаг инфекции остаётся, поэтому сохраняется высокая температура и нарастает слабость. Если в этот период не обратиться к врачу, то инфекция распространится по всему организму и человек может погибнуть.
Хроническая форма длится от нескольких месяцев до нескольких лет. Описанные выше симптомы то появляются, то стихают или даже полностью исчезают. При длительном течении болезни зубы становятся подвижными, челюсть утолщается и могут измениться контуры лица.
Как правило, при хроническом остеомиелите пациенты не обращают внимания на болезненные симптомы, а повышение температуры и слабость связывают с простудными заболеваниями [4] .
Патогенез остеомиелита челюсти
Выделяют три теории происхождения остеомиелита:
- Инфекционно-эмболическая теория. Основоположники этой теории считали, что костная ткань воспаляется из-за нарушения кровоснабжения. Инфекция оседает в кровеносных сосудах и закупоривает мелкие капилляры. В результате этого питательные вещества и кислород не поступают к кости, возникает гнойное воспаление и некроз. Данная теория признана некорректной после того, как было подробно исследовано строение кровеносной системы, костей и окружающих тканей [7] .
- Нервно-трофическая теория. Её приверженцы полагают, что остеомиелит развивается при обострениях болезней зубов, например при периодонтите. Также к болезни приводят нарушения в работе иммунной системы. При частых обострениях заболеваний зубов наступает сенсибилизация — иммунные клетки перестают распознавать инфекцию и развивается гнойно-некротический процесс.
- Гематогенная теория. Первоначально воспаление развивается в костном мозге и проявляется отёком и покраснением кожи. Из-за отёка увеличивается внутрикостное давление и, как следствие, сдавливаются сосуды в костном канале. Это приводит к закупорке сосудов и развитию гнойно-некротического процесса [13][14][15] .
Остальные причины — травмы, аллергия, стрессы, нарушение функции височно-нижнечелюстного сустава — провоцируют развитие остеомиелита без хронического воспаления в зубе. Такой остеомиелит можно отнести к неодонтогенному: травматическому и аллергическому. Но и в этом случае заболевание развивается на фоне нарушенного движения крови по сосудам, ухудшения её свёртываемости и гнойно-некротических процессов.
Классификация и стадии развития остеомиелита челюсти
Остеомиелит классифицируют в зависимости от распространённости, источника инфицирования и рентгенологических признаков.
Виды остеомиелита челюсти
Отдельно выделяют нетипичный остеомиелит челюсти, когда процесс протекает бессимптомно: температура тела не повышается, костная ткань разрушается незначительно, свищи не образуются. Такую форму называют первично-хроническим остеомиелитом [7] [8] .
Стадии остеомиелита челюстей
- Острая — длится 14 суток.
- Подострая — наступает на 15-20-е сутки.
- Хроническая — от 30 суток до нескольких лет.
- Обострение хронического остеомиелита [8] .
Осложнения остеомиелита челюсти
Среди осложнений остеомиелита можно выделить местные и общие. Местные возникают непосредственно в полости рта, а общие затрагивают весь организм. Общие осложнения приводят к тяжёлым последствиям, долго лечатся и иногда заканчиваются гибелью пациента.
Местные осложнения:
- разрушение кости;
- выпадение зубов из-за увеличения их подвижности;
- хроническое воспаление в полости рта;
- появление кист внутри челюсти, что характерно для острой фазы заболевания;
- контрактура височно-нижнечелюстного сустава — состояние, при котором сложно или невозможно открыть рот; ;
- флегмона — разлитое гнойное воспаление мягких тканей;
- лимфаденит — множественное увеличение лимфатических узлов [4][9] .

Общие осложнения:
Диагностика остеомиелита челюсти
Диагностика заболевания включает:
- сбор жалоб;
- визуальный осмотр;
- лабораторные исследования;
- инструментальные методы.
Сбор жалоб
Пациенты обычно жалуются на слабость, недомогание, плохое самочувствие и высокую температуру тела. Они отмечают, что зуб стал подвижным, нарушилась речь, трудно открывать рот и принимать пищу. Некоторые пациенты указывают на отёк лица с «больной» стороны.
- спрашивает о недавних травмах челюстно-лицевой области;
- выясняет, есть ли общие соматические заболевания, например сахарный диабет, болезни мочеполовой системы и желчнокаменная болезнь;
- уточняет, когда возникли симптомы, проявились ли они впервые или уже были раньше;
- узнаёт, как давно пациент посещал стоматолога.
Осмотр
Врач обращает внимание на бледность кожи и асимметричность лица, вызванную отёком мягких тканей. При ощупывании выявляется, что регионарные лимфатические узлы с поражённой стороны увеличены и болезненны. Пациент с трудом открывает рот, язык обложен налётом, изо рта исходит неприятный запах [7] .
При осмотре полости рта заметны покраснение и отёк слизистой оболочки в области больного зуба и близлежащих тканей. Зуб разрушен, подвижен при пальпации, боль усиливается при постукивании по нему. Подвижными и болезненными также могут быть несколько неповреждённых зубов в зоне поражения.
Лабораторные исследования
- Общий анализ крови. На активный воспалительный процесс указывают:
- повышение СОЭ до 40-70 мм/ч;
- лейкоцитоз, сдвиг лейкоцитарной формулы влево;
- положительная проба на С-реактивный белок;
- уменьшение альбуминов и повышение глобулинов;
- рост показателей активности щелочной и кислой фосфатазы.
- Биохимический анализ крови — позволяет исключить сахарный диабет и оценить функции почек и печени.
- Общий анализ мочи — при остеомиелите в ней появляется белок, клетки крови, гиалиновые и зернистые цилиндры.
Инструментальные методы диагностики
Компьютерная томография (КТ) — самый информативный метод диагностики остеомиелита челюсти. Это 3D-исследование, которое позволяет определить очаг инфекции и степень выраженности воспаления, его длительность и характер. С помощью КТ можно выявить не только крупные, но и мелкие образования, единичные и групповые, а также проанализировать, насколько далеко распространилась инфекция.

В некоторых случаях в свищевой ход вводят контрастное вещество. Такой метод исследования с контрастом называется фистулографией [9] [10] .
Рентгенография в первую неделю, как правило, не выявляет изменения в кости — в этот период воспалена только верхушка корня зуба. К концу второй недели кость разрушается и становится прозрачнее.
Дифференциальная диагностика
- между видами остеомиелита: одонтогенным, травматическим и гематогенным;
- острым периоститом;
- добро- и злокачественными новообразованиями;
- поражением полости рта специфическими инфекционными заболеваниями: туберкулёзом, сифилисом, актиномикозом.
Лечение остеомиелита челюсти
Лечение проводится только в стационаре под наблюдением врача и может быть медикаментозным и хирургическим [9] . По отдельности эти методы мало результативны и даже могут навредить пациенту. Схемы лечения зависят от стадии заболевания.
Лечение острого и подострого остеомиелита
При первом посещении срочно удаляют запущенный повреждённый зуб. Затем полость рта тщательно промывают антибиотиками. Это необходимо сделать, чтобы убрать из раны микробов и гной.
В следующие дни рану обрабатывают дезинфицирующими средствами и вводят инъекции противомикробных препаратов. С их помощью удаётся воздействовать непосредственно на очаг инфекции и не дать ей распространиться. В дополнение к основному лечению применяют питательные составы с витаминами С и группы В.
На подострой стадии болезни важно сдержать распространение инфекции и не дать воспалению перейти на окружающие ткани.
Для этого применяют:
- капельницы с антибиотиками;
- препараты, снижающие или подавляющие воспаление;
- резиновый дренаж для оттока экссудата.

Также в кровоток вводят витаминные комплексы и препараты, очищающие организм от микробов и продуктов их жизнедеятельности. Конкретные лекарства и дозировки подбирает лечащий врач.
Дополнительной терапией после основного лечения могут стать методы физиотерапии: УВЧ-терапия или лечение непостоянными токами. Считается, что они ускоряют процессы заживления [7] [16] .
Лечение хронического остеомиелита
При появлении некротизированных полостей с распадом кости и окружающих её тканей потребуется операция. Для этого повреждённую область рассекают, поражённые участки убирают и накладывают шину. В дальнейшем с помощью рентгенологических методов врач контролирует, как восстанавливается костная ткань [11] .
Чтобы помочь организму бороться с инфекцией, дополнительно принимают антибиотики в таблетках. Чаще всего назначают Метронидазол и усиливают его эффект препаратами из группы цефалоспоринов 3-4-го поколения.
Если состояние пациента не улучшается, то добавляют фторхинолоны или Рифампицин. Основная задача антибиотиков — не дать бактериям размножаться [7] . Лекарства помогают уменьшить воспаление и удержать патологический процесс в пределах поражённого участка.
Также ротовую полость ежедневно обрабатывают бактерицидными средствами, применяют капельницы с витаминами и плазмозамещающими жидкостями, которые очищают организм от токсинов.
Дополнительно рекомендовано полоскать рот настоями ромашки, зверобоя, мяты и окопника. Фитосредства уменьшают воспаление, ускоряют выздоровление и практически не имеют побочных эффектов.
Прогноз. Профилактика
Если пациент при первых признаках остеомиелита обращается к врачу, то прогноз благоприятный. Если же болезнь запущена, то делать какие-либо выводы сложно: неизвестно, хватит ли у организма сил для борьбы с инфекцией. В тяжёлых случаях могут развиться опасные осложнения, от которых человек может погибнуть [9] .
Самым непредсказуемым является гематогенный остеомиелит. Развитие всех других форм, как правило, можно предотвратить. Для этого достаточно придерживаться простых правил:
Этмоидит ( Этмоидальный синусит )
Этмоидит - это воспаление слизистой оболочки ячеек решетчатого синуса. Клинически проявляется головной болью с эпицентром в области переносицы, усугублением болевых ощущений при наклоне головы, интоксикационным синдромом, патологическими выделениями из носа, нарушением обоняния, чувством «заложенности». При обследовании больного ведущее значение имеют жалобы, анамнез заболевания, риноскопия, общеклинические лабораторные тесты, рентгенография, КТ или МРТ. В ходе лечения применяются антибиотики, симптоматические средства, физиотерапевтические процедуры, при необходимости выполняется оперативное вмешательство.
МКБ-10


Общие сведения
Этмоидит, или этмоидальный синусит, является одним из наименее распространенных синуситов. Хроническая форма встречается несколько реже острой, составляет порядка 45-48% от общего количества воспалительных процессов в области решетчатой пазухи. Чаще всего болезнь диагностируется у детей в возрасте до 6-7 лет, что связано со скарлатинозной инфекцией. У этой же категории пациентов отмечается наиболее высокая вероятность развития осложнений - примерно в 5-15% случаев. Среди представителей мужского и женского пола патология встречается с одинаковой частотой. Наблюдается сезонность - острые процессы и обострения хронических этмоидитов чаще регистрируются в холодное время года (осенью и зимой).

Причины этмоидита
Первичное воспаление клеток решетчатого лабиринта выявляется редко. Обычно этмоидит становится осложнением вирусных инфекций носоглотки и верхних отделов дыхательной системы: ОРВИ, аденовирусного и риновирусного воспаления носовой полости, гриппа. Реже заболевание провоцируется патогенными стафилококками, стрептококками, гемофильной палочкой, грибами или их комбинациями. У детей пусковыми факторами могут быть скарлатина, корь, краснуха и другие инфекции детского возраста. Возникновению воспалительного процесса в синусе способствуют:
- Недостаточность иммунитета. Этмоидит развивается на фоне угнетения активности местного и общего иммунитета. Эти состояния могут быть обусловлены длительной или бесконтрольной антибактериальной терапией, ВИЧ-инфекцией, сахарным диабетом или другими эндокринопатиями. Реже в роли предрасполагающих факторов выступают онкологические процессы, гемобластозы, декомпенсированные хронические соматические заболевания, первичные генетически обусловленные иммунодефициты.
- Хронические ЛОР-патологии. Инфицированию решетчатого синуса способствуют вялотекущие или часто рецидивирующие риниты (в том числе - аллергического происхождения), гаймориты, фронтиты, ларингиты, фарингиты, тубоотиты, различные варианты тонзиллитов. В детском возрасте большое значение имеют аденоидные разрастания, аденоидиты.
- Аномалии развития. Одним из важных этиофакторов этмоидита является нарушение полноценного дренирования полости решетчатого лабиринта. Данное состояние наблюдается при врожденных пороках носоглотки: слишком узких входных отверстиях ячеек, сужении среднего носового хода, деформации носовой перегородки.
- Травматические повреждения. Ухудшение дренажа пазухи и создание благоприятных условий для патогенной флоры отмечается при травматических деформациях с нарушением нормальной конфигурации решетчатой кости, которые наблюдаются при тяжелых черепно-мозговых травмах, обширных оперативных вмешательствах в лицевой области.
Патогенез
Ведущую роль в патогенезе этмоидита играет прекращение аэрации пазухи в комбинации с проникновением в ее полость патогенных вирусов или кокковой микрофлоры. Поскольку поражение решетчатого лабиринта в большинстве случаев является вторичным процессом, его локализация зависит от первичного очага: при гайморитах и фронтитах воспаление возникает в передних ячейках, при сфеноидитах, фарингитах - в задних.
Проникая в пазуху, вирусы или бактерии провоцируют воспалительную реакцию, которая сопровождается отеком слизистой оболочки и реакцией экссудации. Патологоанатомическая особенность заболевания - быстрое развитие отечного набухания за счет рыхлости стромы слизистой. Эти явления, в свою очередь, еще больше ухудшают аэрацию и естественное дренирование.
Нарушение нормальной вентиляции приводит к изменению характера потока воздуха, что усугубляет повреждения слизистой и замыкает «порочный круг». Дальнейшее развитие этмоидита характеризуется полной закупоркой входных отверстий, местной гипоксией и снижением парциального давления внутри решетчатого лабиринта.
Остатки кислорода всасываются слизистыми оболочками, вследствие чего запускается анаэробный гликолиз. Продукты метаболизма смещают кислотно-основное равновесие и приводят к метаболическому ацидозу, что влечет за собой снижение активности лизоцима - фермента, отвечающего за местный иммунитет. Сочетание перечисленных факторов становится причиной прогрессирования воспалительных реакций, размножения гноеродной флоры.
Классификация
С учетом характера воспалительной реакции, распространенности процесса и формирующихся в пазухе изменений в клинической практике выделяют несколько разновидностей заболевания. По локализации этмоидит может быть правосторонним, левосторонним, двухсторонним. В зависимости от особенностей воспаления различают следующие варианты поражения решетчатого синуса:
- Катаральный. Характеризуется продукцией большого количества катарального отделяемого, его скоплением в полости пазухи и выходом через носовые ходы. Внешне отделяемое выглядит как светлая, полупрозрачная масса жидкой консистенции.
- Гнойный. Сопровождается выделением умеренного количества гнойного экссудата. Морфологически отделяемое представляет собой буро-желтую, зеленую или светло-коричневую субстанцию жидкой или густой консистенции.
- Отечно-катаральный. Отличительная черта - превалирование отека слизистых оболочек над процессами экссудации. Наблюдается небольшое количество катарального или гнойного отделяемого на фоне болей и выраженного синдрома интоксикации.
- Полипозный или гиперпластический. Встречается при хроническом этмоидите. Проявляется гиперплазией внутренней оболочки синуса по типу равномерного утолщения, формированием полипозных образований на ножке или широкой основе.
Симптомы этмоидита
Поскольку воспаление решетчатого синуса является преимущественно вторичным, начальные признаки заболевания остаются незамеченными, ранние симптомы «накладываются» на клинические проявления первичных патологий. Чаще всего наблюдается сильная головная боль. По описанию пациентов, ее эпицентр находится «глубоко в переносице» или «внутри за глазами». Характерная особенность - усиление боли при наклонах головы вперед и вниз.
Помимо болевого синдрома отмечаются нарушения или утрата обоняния, заложенность носа, затруднение носового дыхания, экссудативные выделения различного характера, обычно - без запаха. Выявляется синдром системной интоксикации, включающий гипертермию в пределах 37,5-38,5° С, общую слабость, утрату аппетита, бессонницу, раздражительность.
О хроническом этмоидите говорят при сохранении симптомов заболевания на протяжении 12 и более недель на фоне проводимой терапии. В стадии ремиссии симптоматика отсутствует, реже определяется периодическая слабовыраженная разлитая головная боль. При обострениях болевые ощущения такие же, как при острой форме. Возобновляющиеся носовые выделения имеют неприятный запах, часто скудные, высыхают на слизистых оболочках носа, образуя корки.
Вовлечение в процесс задних ячеек приводит к накоплению экссудативных масс в носоглотке, преимущественно в утреннее время, сразу после пробуждения. Клинически это проявляется чувством «комка», который практически не откашливается.
Осложнения
Осложнения обусловлены деструкцией стенок лабиринта при отсутствии соответствующего лечения или выборе неправильной терапевтической тактики (самолечении). Кариес стенок пазухи приводит к эмпиеме и прорыву гнойных масс в прилегающую орбитальную полость, в результате чего развивается ретробульбарный абсцесс или флегмона глазницы, характеризующиеся экзофтальмом, отеком век, дистопией глазного яблока кнаружи, концентрическим сужением зрительных полей, появлением скотом и усилением болевых ощущений. Редко процесс распространяется в полость черепа, провоцируя разлитой гнойный менингит, абсцесс головного мозга, арахноидит, энцефалит, тромбозы венозных синусов.
Диагностика
Диагноз выставляется при сопоставлении анамнестических сведений, результатов физикальных, лабораторных и инструментальных методов исследования. Во время первичного приема отоларинголог уточняет жалобы и обстоятельства, на фоне которых развилось текущее состояние: предшествующие ОРВИ, травмы, иммунодефицит, наличие пороков развития и ранее перенесенных оперативных вмешательств в области лица. Диагностическая программа включает в себя:
- Переднюю риноскопию. При визуальном осмотре полости носа - риноскопии - отмечается диффузный умеренный отек и покраснение слизистых оболочек средних отделов. Под средней раковиной могут выявляться патологические выделения. При гиперпластической форме возможно наличие полипозных разрастаний.
- Общеклинические анализы. В ОАК определяется лейкоцитоз на уровне 10-13×10 9 /л, сдвиг лейкоцитарной формулы влево с повышением количества палочкоядерных и юных нейтрофилов от 5% и от 2% соответственно, увеличение СОЭ от 10 мм/ч и выше. Выраженность изменений зависит от активности воспалительного процесса.
- Рентген пазух.Рентгенография придаточных пазух - базовый метод диагностики при этмоидите. Рентгенологически поражение ячеек лабиринта проявляется затемнением их просвета, снижением пневматизации, неровностью и утолщением или дефектами костных стенок. При эмпиеме возможна визуализация уровня жидкости.
- Томография.Компьютерная томография синусов используется при низкой информативности рентгенографии, признаках орбитальных или внутричерепных осложнений. Кроме того, исследование применяется для достоверной дифференциальной диагностики с другими патологиями. При необходимости сочетается с МРТ придаточных пазух носа.
- Пункцию решетчатой пазухи. Назначается сравнительно редко для определения характера патологического процесса путем забора материала для бактериологического, цитологического и гистологического анализа.
- Бактериологическое исследование. Проводится с целью идентификации патогенной флоры, подбора наиболее эффективного антибактериального препарата. Исследуемый материал - содержимое ячеек лабиринта, получаемое при пункции, реже - выделения из носа.

Дифференциальная диагностика острого этмоидита осуществляется с остеомиелитом фронтального отростка верхней челюсти, периоститом носовых костей, патологиями верхних зубов, воспалением носослезного мешка, нагноением врожденной кисты спинки носа и стрептококковым поражением кожи лица.
Хронический вариант заболевания требует дифференциации с другими формами синуситов, хроническим ринофарингитом, гипертрофическим ринитом, разрастанием аденоидных вегетаций, аденоидитом, кистой Торнвальда, доброкачественными или злокачественными новообразованиями носоглотки, носовых ходов.
Лечение этмоидита
Лечение легких форм патологии производится в амбулаторных условиях. Среднетяжелые, тяжелые и осложнённые этмоидиты требуют госпитализации пациента в отоларингологический стационар. Основными целями проводимой терапии являются купирование воспалительного процесса, восстановление нормальной аэрации, эвакуация жидкости из пазухи, предотвращение потенциальных осложнений. Программа лечения состоит из следующих пунктов:
- Антибактериальные препараты. Эмпирическая антибиотикотерапия проводится средствами широкого спектра: цефалоспоринами II-III поколения, защищенными аминопенициллинами. При получении результатов бактериологического посева схема лечения корректируется в соответствии с чувствительностью микрофлоры.
- Симптоматические средства. Для устранения отека назначаются сосудосуживающие капли, ватно-марлевые турунды c раствором адреналина, Н1-гистаминоблокаторы. При болевом синдроме и гипертермии используются НПВС. Для укрепления иммунитета применяются поливитамины и иммуномодуляторы.
- Оперативное лечение. К хирургическому вмешательству прибегают при хронических этмоидитах. Суть методики заключается в раскрытии ячеек внутриносовым (эндоскопическим) или внешним способом, дренировании их полостей с дальнейшим промыванием. При необходимости в ходе операции выполняют септопластику, полипотомию, иссечение тканей гипертрофированной нижней носовой раковины.
- Физиотерапия. Назначается после купирования острой фазы воспалительного процесса с целью ускорения процессов репарации и регенерации. Представлена электрофорезом с антибактериальными препаратами, фонофорезом с кортикостероидами, УВЧ, гелий-неоновым лазером.
Прогноз и профилактика
Прогноз при корректной, своевременно начатой терапии острого этмоидита благоприятный - в исходе наблюдается полное излечение. При хронических формах адекватная терапия позволяет достичь стойкой ремиссии. Неспецифические профилактические мероприятия основываются на укреплении общих защитных сил организма, предотвращении переохлаждения, полноценном лечении других отоларингологических патологий, системных заболеваний, эндокринопатий, вторичных иммунодефицитов. Большое значение в профилактике синусита имеют соблюдения рекомендаций относительно приема назначенных препаратов, ранняя коррекция врожденных аномалий развития анатомических структур области носоглотки, предотвращение травм лица.
2. Клинические, анатомические, бактериологические и генетические особенности хронического бактериального и полипозного этмоидита: Автореферат диссертации/ Воробьева А.А. - 2014.
3. Клинические особенности этмоидита в зависимости от анатомического строения решетчатого лабиринта/ Пискунов И.С., Мезенцева О.Ю., Воробьева А.А. - 2012. - Т.20, №2.
4. Диагностика и хирургическое лечение воспалительных заболеваний пазух решетчатой кости: Автореферат диссертации/ Морозов С.А. - 2003.
Остеомиелит
Остеомиелит - воспаление костного мозга, при котором обычно поражаются все элементы кости (надкостница, губчатое и компактное вещество). В зависимости от этиологии остеомиелита он подразделяется на неспецифический и специфический (туберкулезный, сифилитический, бруцеллезный и т. п.); посттравматический, гематогеный, послеоперационный, контактный. Клиническая картина зависит от вида остеомиелита и его формы (острая или хроническая). Основу лечения острого остеомиелита составляет вскрытие и санация всех гнойников, при хроническом остеомиелите - удаление полостей, свищей и секвестров.


Остеомиелит (от лат. osteon кость + myelos костный мозг + itis воспаление) - воспаление костного мозга, при котором обычно поражаются все элементы кости (надкостница, губчатое и компактное вещество). По статистике, остеомиелит после травм и операций составляет 6,5% всех болезней опорно-двигательного аппарата. Чаще поражает бедренную и плечевую кость, кости голени, позвонки, нижнечелюстные суставы и верхнюю челюсть. После открытых переломов диафиза трубчатых костей посттравматический остеомиелит возникает в 16,3% случаев. Мужчины болеют остеомиелитом чаще женщин, дети и пожилые - чаще людей молодого и среднего возраста.
Выделяют неспецифический и специфический остеомиелит. Неспецифический остеомиелит вызывают гноеродные бактерии: золотистый стафилококк (90% случаев), стрептококк, кишечная палочка, реже - грибки. Специфический остеомиелит возникает при туберкулезе костей и суставов, бруцеллезе, сифилисе и т. д.
В зависимости от пути, которым микробы проникают в кость, различают эндогенный (гематогенный) и экзогенный остеомиелит. При гематогенном остеомиелите возбудители гнойной инфекции заносятся через кровь из удаленного очага (фурункул, панариций, абсцесс, флегмона, инфицированная рана или ссадина, тонзиллит, синусит, кариозные зубы и пр.). При экзогенном остеомиелите инфекция проникает в кость при ранении, операции или распространяется с окружающих органов и мягких тканей.
В начальных стадиях экзогенный и эндогенный остеомиелит различаются не только по происхождению, но и по проявлениям. Затем отличия сглаживаются и обе формы болезни протекают одинаково. Выделяют следующие формы экзогенного остеомиелита:
- посттравматический (после открытых переломов);
- огнестрельный (после огнестрельных переломов);
- послеоперационный (после проведения спиц или операций на костях);
- контактный (при переходе воспаления с окружающих тканей).
Как правило, остеомиелит вначале протекает остро. В благоприятных случаях заканчивается выздоровлением, в неблагоприятных - переходит в хронический. При атипичных формах остеомиелита (абсцессе Броди, альбуминозном остеомиелите Оллье, склерозирующем остеомиелите Гарре) и некоторых инфекционных болезнях (сифилисе, туберкулезе и др.) острая фаза воспаления отсутствует, процесс носит первично-хронический характер.
Острый остеомиелит
Проявления острого остеомиелита зависят от пути проникновения инфекции, общего состояния организма, обширности травматического поражения кости и окружающих мягких тканей. На рентгенограммах изменения видны спустя 2-3 недели с начала заболевания.
Гематогенный остеомиелит
Как правило, развивается в детском возрасте, причем треть пациентов заболевает в возрасте до 1 года. Достаточно редкие случаи развития гематогенного остеомиелита у взрослых на самом деле являются рецидивами болезни, перенесенной в детском возрасте. Чаще поражает большеберцовую и бедренную кости. Возможно множественное поражение костей.
Из удаленного очага воспаления (абсцесс мягких тканей, флегмона, инфицированная рана) микробы с кровью разносятся по организму. В длинных трубчатых костях, особенно - в их средней части хорошо развита широкая сеть сосудов, в которой скорость кровотока замедляется. Возбудители инфекции оседают в губчатом веществе кости. При неблагоприятных условиях (переохлаждение, снижение иммунитета) микробы начинают усиленно размножаться, развивается гематогенный остеомиелит. Выделяют три формы заболевания:
Септико-пиемическая форма. Характерно острое начало и выраженная интоксикация. Температура тела поднимается до 39—40°, сопровождается ознобом, головной болью и повторной рвотой. Возможны потеря сознания, бред, судороги, гемолитическая желтуха. Лицо больного бледное, губы и слизистые оболочки синюшны, кожа сухая. Пульс учащенный, давление снижено. Селезенка и печень увеличиваются, иногда развивается бронхопневмония.
На 1-2 сутки болезни появляется точно локализованная, резкая, сверлящая, распирающая или рвущая, усиливающаяся при малейших движениях боль в области поражения. Мягкие ткани конечности отечны, кожа горячая, красная, напряженная. При распространении на близлежащие суставы развивается гнойный артрит.
Через 1-2 недели в центре поражения формируется очаг флюктуации (жидкость в мягких тканях). Гной проникает в мышцы, образуется межмышечная флегмона. Если флегмону не вскрыть, она может вскрыться самостоятельно с образованием свища или прогрессировать, приводя к развитию параартикулярной флегмоны, вторичного гнойного артрита или сепсиса.
Местная форма. Общее состояние страдает меньше, иногда остается удовлетворительным. Преобладают признаки местного воспаления кости и мягких тканей.
Адинамическая (токсическая) форма. Встречается редко. Характеризуется молниеносным началом. Преобладают симптомы острого сепсиса: резкое повышение температуры, тяжелый токсикоз, судороги, потеря сознания, выраженное снижение артериального давления, острая сердечно-сосудистая недостаточность. Признаки костного воспаления слабые, появляются поздно, что затрудняет постановку диагноза и проведение лечения.
Посттравматический остеомиелит
Возникает при открытых переломах костей. Развитию болезни способствует загрязнение раны в момент травмы. Риск развития остеомиелита увеличивается при оскольчатых переломах, обширных повреждениях мягких тканей, тяжелых сопутствующих повреждениях, сосудистой недостаточности, снижении иммунитета.
Посттравматический остеомиелит поражает все отделы кости. При линейных переломах зона воспаления обычно ограничена местом перелома, при оскольчатых переломах гнойный процесс склонен к распространению. Сопровождается гектической лихорадкой, выраженной интоксикацией (слабость, разбитость, головная боль и т. д.), анемией, лейкоцитозом, повышением СОЭ. Ткани в области перелома отечны, гиперемированы, резко болезненны. Из раны выделяется большое количество гноя.

МРТ стопы. Остеомиелит таранной и большеберцовой кости с наличием обширной зоны деструкции костной ткани.
Огнестрельный остеомиелит
Чаще возникает при обширных поражениях костей и мягких тканей. Развитию остеомиелита способствует психологический стресс, снижение сопротивляемости организма и недостаточная обработка раны.
Общие симптомы сходны с посттравматическим остеомиелитом. Местная симптоматика при остром огнестрельном остеомиелите нередко выражена слабо. Отек конечности умеренный, обильное гнойное отделяемое отсутствует. О развитии остеомиелита свидетельствует изменение раневой поверхности, которая становится тусклой и покрывается серым налетом. В последующем воспаление распространяется на все слои кости.
Несмотря на наличие очага инфекции, при огнестрельном остеомиелите обычно наступает сращение кости (исключение - значительная раздробленность кости, большое смещение отломков). При этом гнойные очаги оказываются в костной мозоли.
Послеоперационный остеомиелит
Является разновидностью посттравматического остеомиелита. Возникает после операций по остеосинтезу закрытых переломов, ортопедических операций, проведения спиц при наложении компрессионно-дистракционных аппаратов или наложении скелетного вытяжения (спицевой остеомиелит). Как правило, развитие остеомиелита вызвано несоблюдением правил асептики или большой травматичностью операции.
Контактный остеомиелит
Возникает при гнойных процессах окружающих кость мягких тканей. Особенно часто инфекция распространяется с мягких тканей на кость при панариции, абсцессах и флегмонах кисти, обширных ранах волосистой части головы. Сопровождается увеличением отека, усилением болей в области повреждения и образованием свищей.
Лечение
Только в стационаре в отделении травматологии. Выполняют иммобилизацию конечности. Проводят массивную антибиотикотерапию с учетом чувствительности микроорганизмов. Для уменьшения интоксикации, восполнения объема крови и улучшения местного кровообращения переливают плазму, гемодез, 10% раствор альбумина. При сепсисе применяют методы экстракорпоральной гемокоррекции: гемосорбцию и лимфосорбцию.
Обязательным условием успешного лечения острого остеомиелита является дренирование гнойного очага. На ранних стадиях в кости делают трепанационные отверстия с последующим промыванием растворами антибиотиков и протеолитических ферментов. При гнойных артритах выполняют повторные пункции сустава для удаления гноя и введения антибиотиков, в некоторых случаях показана артротомия. При распространении процесса на мягкие ткани образовавшиеся гнойники вскрывают с последующим открытым промыванием.
Хронический остеомиелит
При небольших очагах воспаления, комплексном и своевременном лечении, преимущественно у молодых пациентов восстановление костной ткани преобладает над ее разрушением. Очаги некроза полностью замещаются вновь образованной костью, наступает выздоровление. Если этого не произошло (примерно в 30% случаев), острый остеомиелит переходит в хроническую форму.
Примерно к 4 неделе при всех формах острого остеомиелита происходит секвестрация - образование омертвевшего участка кости, окруженного измененной костной тканью. На 2-3 месяц заболевания секвестры окончательно отделяются, на месте разрушения кости формируется полость и процесс становится хроническим.
Симптомы
При переходе острого остеомиелита в хронический состояние пациента улучшается. Боли уменьшаются, становятся ноющими. Формируются свищевые ходы, которые могут выглядеть, как сложная система каналов и выходить на поверхность кожи далеко от места повреждения. Из свищей выделяется умеренное количество гнойного отделяемого.
В период ремиссии состояние пациента удовлетворительное. Боли исчезают, отделяемое из свищей становится скудным. Иногда свищи закрываются. Продолжительность ремиссии при остеомиелите колеблется от нескольких недель до нескольких десятков лет, зависит от общего состояния и возраста больного, локализации очага и т. д.
Развитию рецидива способствуют сопутствующие заболевания, снижение иммунитета и закрытие свища, приводящее к скоплению гноя в образовавшейся костной полости. Рецидив болезни напоминает стертую картину острого остеомиелита, сопровождается гипертермией, общей интоксикацией, лейкоцитозом, повышением СОЭ. Конечность становится болезненной, горячей, краснеет и отекает. Состояние пациента улучшается после открытия свища или вскрытия гнойника.

КТ стопы. Посттравматический хронический остеомиелит пяточной кости с наличием секвестра (красная стрелка) и свищевого хода (синяя стрелка).
Осложнения
Хронический остеомиелит часто осложняется переломами, образованием ложных суставов, деформацией кости, контрактурами, гнойным артритом, малигнизацией (злокачественным перерождением тканей). Постоянно существующий очаг инфекции влияет на весь организм, вызывая амилоидоз почек и изменения внутренних органов. В период рецидива и при ослаблении организма возможен сепсис.
Диагностика
Постановка диагноза при хроническом остеомиелите в большинстве случаев не вызывает затруднений. Для подтверждения проводят МРТ, КТ или рентгенографию. Для выявления свищевых ходов и их связи с остеомиелитическим очагом выполняют фистулографию.
Операция показана при наличии остеомиелитических полостей и язв, гнойных свищей, секвестров, ложных суставах, частых рецидивах с интоксикацией, выраженной болью и нарушением функции конечности, малигнизации, нарушении деятельности других органов и систем вследствие хронической гнойной инфекции.
Выполняют некрэктомию (секвестрэктомию) - удаление секвестров, грануляций, остеомиелитических полостей вместе с внутренними стенками и иссечение свищей с последующим промывным дренированием. После санации полостей проводят костную пластику.
4. Острый остеомиелит: клинический протокол/ Экспертная комиссия по вопросам развития здравоохранения - 2013
Читайте также:
- Эстрогены в профилактике остеопороза, рака матки и молочных желез. Прогноз, профилактика климакса
- Синдром Мора. Рото-лице-пальцевой или OFD II синдром
- Механизмы поражения глаз при демодекозе. Патогенез
- Глубокий прикус: причины, симптомы и лечение
- Техника, этапы операции по поводу бурсита локтевого сустава
