Глубокий прикус: причины, симптомы и лечение
Добавил пользователь Евгений Кузнецов Обновлено: 27.01.2026
При смыкании челюстей, если передние зубы верхнего ряда закрывают нижние зубы не более чем на одну треть их высоты, а резцы обоих рядов плотно сомкнуты - такое положение зубных рядов означает, что прикус в норме.
Многие пациенты, посетив стоматолога с определенной проблемой удивляются, почему врач рекомендует консультацию специалиста-ортондонта по поводу неправильного прикуса.
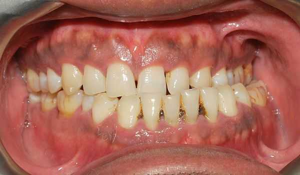
Глубокий прикус - патология ортодонтического характера. Понятие подразумевает нарушение в развитие зубочелюстной системы, при котором верхняя челюсть выдвинута вперед, а ее фронтальные зубы перекрывают зубы нижней челюсти практически на всю высоту коронки:
Глубокий прикус, в первую очередь, это зубная аномалия в переднем отделе. Она может быть как самостоятельная аномалия развития, так и сочетанная аномалия с дистальной окклюзией - то есть с дистальным прикусом, когда у пациента:
- заднее положение нижней челюсти,
- нижние зубы “бьют” в нёбо,
- а для верхних зубов стопора нет, и они прорезываются себе вниз как им удобно.
Поэтому при глубоком прикусе заметно:
- чрезмерное прорезывание передних зубов,
- в боковом отделе укорочение высоты зубов
В результате пациент получает либо травматический прикус, когда у него бьются нижние резцы в нёбо, либо у него идет смыкание “резец в резец”, но опять же все равно чрезмерное прорезывание фронтальной группы зубов.
Нужно смотреть, в чем причина глубокого прикуса. Об этом поговорим подробнее чуть ниже, но в целом это:
- либо недопрорезывание боковых зубов,
- либо это сверхпрорезывание во фронтальной группе - в передней группе зубов.
То есть при глубоком прикусе нужно изучать проблему, от устранения которой и уже будет вытекать соответствующее правильное лечение.
С такой аномалией как глубокий прикус зубов знакомы более половины всего человечества. Она встречается как у детей, так и у взрослых и имеет разную степень развития.
Глубокий прикус, скученность, сужение зубных рядов, эффект Попова Годона, смещение центральной линии, генерализованный пародонтит, протрузия, адентия
Глубокое резцовое перекрытие, сужение обоих зубных рядов, ротация и девиация нижней челюсти, смещение центральной линии
Записаться на прием сейчас!
Симптомы глубокого прикуса
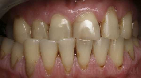
Начальная степень глубокого прикуса выражается образованием небольших эстетических дефектов передних зубов - трещинки, мелкие сколы эмали.
Глубокий прикус средней тяжести - интенсивное стирание эмали на внутренней стороне верхних зубов и на внешней стороне зубов нижней челюсти.
Кроме этого, у пациента возникают проблемы жевательного и логопедического характера.
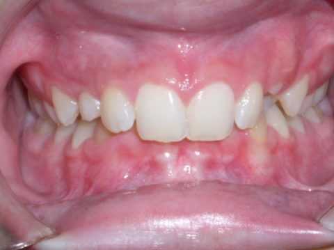
Признаки глубокого прикуса тяжелой формы проявляются в изменениях пропорции лица - оно приобретает профиль «птицы».
Как меняется лицо при глубоком прикусе:
- Верхняя челюсть сильно выдвинута вперед.
- Нижняя часть слишком узкая и слабо развита.
- Верхняя губа нависает над нижней, а рот постоянно приоткрыт.
- Подбородок немного скошен.
- При улыбке видны все зубы верхнего фронтального ряда до шейки.
Такие симптомы считаются серьезной патологией, которая нуждается в безотлагательном исправлении. Лечение глубокого прикуса позволит избежать травмирования слизистой и решить сопутствующие заболеванию проблемы.
Нарушения развития зубочелюстной системы делятся на: генетические, переданные наследственным путем и приобретенные. Такие аномалии чаще встречаются:
- у детей - более 50%,
- доля подростков и взрослых составляет около 30%.
Причины глубокого прикуса у детей
На развитие зубочелюстной системы влияют несколько основных факторов:
- Наследственность - высокая вероятность того, что родители, имеющие такие проблемы с зубами, передают ее своим детям.
- Вскармливание - как правило, развитие глубокого прикуса зубов наблюдается у ребенка, находящегося на искусственном вскармливании, без соблюдения техники «грудного» кормления.
- Неправильное дыхание - воспаления носа заставляют ребенка дышать ртом , что так же может привести к деформации челюсти.
- Вредные привычки - постоянное нахождение во рту пустышки, сосание большого пальчика. Дети часто грызут игрушки, когда режутся зубки.
- Особенности прорезывания зубов - нарушение сроков появления зубов, кариозные разрушения молочных зубов и их раннее выпадение.
- Аномалия позвоночника, нарушения осанки.
- Отсутствие в питании жесткой пищи.
Очень важно еще в младенческом возрасте контролировать процесс развития прикуса, особенно если такая проблема существует у родителей. Формирование челюсти у детей заканчивается в 15, иногда - в 13 лет. Поэтому корректировать развитие прикуса лучше в детском возрасте, когда вся костная система человека еще растет.
На заметку: легкая степень глубокого прикуса у ребенка, обнаруженная в процессе смены зубов - нормальное явление и не требует какого-либо лечения. В это время, важно использовать профилактические меры: ввод в рацион твердых продуктов - морковь, яблоки, активность жевательной функции стимулирует рост и правильное формирование зубов.
Мягкая пища в рационе у ребенка: в чем опасность для прикуса?
Дети, которые являются “мягкоежками”, не жуют твердую пищу, а в рационе преобладает блендированная еда - они тоже находятся в группе риска относительно формирования именно глубокого прикуса. И в целом у таких детей происходит недоразвитие зубочелюстной системы, потому что у них идет деградация зубочелюстной системы, у них уже нет необходимости пережевывать жесткую пищу, и у таких детей в рационе преобладают углеводы.
Зубы мудрости при глубоком прикусе
Заставить кушать что-то жесткое, например свежие фрукты-овощи, в настоящее время для основной массы детей проблематично. У них не работает ВНЧС, у них не работают мышцы должным образом. И отсюда у появляется глобальная проблема - в перспективе отсутствие места для зубов мудрости. Как раз перестройка зубочелюстной системы приводит к тому, что уже сейчас у таких детей нет места в челюсти для зубов мудрости. И когда «восьмерки» начинают прорезываться:
- они приводят к скученному положению все остальные зубы,
- они выводят из строя ВНЧС сустав.
И получается в дальнейшем довольно тяжелое лечение на брекет-системе, более усложненное, чем оно могло бы быть. Поэтому, что касается зубов мудрости - в таких ситуациях от них нужно избавляться, потому что в зубочелюстной системе места нет. Это где-то 99% снимков как раз показывают то, что дефицит места для зубов мудрости 100%.
Диагностика глубокого прикуса и лечение
Степень тяжести заболевания, причины и принцип исправления аномалии прикуса, доктор определяет при тщательном осмотре полости рта пациента. Для детального изучения патологии, ортопед рекомендует аппаратное исследование с использованием КТ и рентгенографии.
Как исправляется глубокий прикус
Детям с дефектом зубочелюстной системы в возрасте от 5 и до 11 лет, ортодонт восстанавливает форму челюсти при помощи ортодонтических пластин. Изготавливаются зубные накладки строго индивидуально. Дальнейшее развитие дефекта, предупреждает специальная система фиксации. Для эффективности лечения, ребенок должен носить конструкцию постоянно, даже в ночное время.
Как лечится глубокий прикус у подростков и взрослых
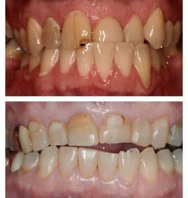
Взрослым пациентам, для исправления глубокого прикуса обычно рекомендуется ношение брекет-систем. Такая методика позволяет выровнять расположение зубов и вернуть равномерную нагрузку на все жевательные единицы.
Тяжелая форма деформации челюстно-лицевого скелета может быть исправлена только путем хирургического вмешательства. В этом случае проводится операция, для исправления глубокого прикуса, выполняется установка титановых пластин для закрепления челюстной кости. Это очень длительный процесс, только предоперационный период займет больше года.
При легкой стадии глубокого прикуса и для закрепления проведенного лечения используются капы/элайнеры.
Выбор метода лечения зависит от клинической картины формирования прикуса. Иногда врач принимает решение удалить зуб, чтобы была возможность для правильного размещения других.
Что такое прикус и его основные виды читайте в нашей статье
Ортодонт-центр «Ортодонтика» успешно лечит пациентов с 1999 года . Специализация клиники в области ортодонтии позволяет предоставить исключительно высокий уровень исправления глубокого прикуса.
Главный врач клиники — опытнейший специалист, врач высшей категории — Полунова Оксана Васильевна, стаж работы в ортодонтии более 27 лет . Все ее ассистенты и помощники - дипломированные врачи-ортодонты, в т.ч. кандидаты медицинских наук.
Полунова Оксана Васильевна уже в 2007 году получила сертификат Мастер-класс Инкогнито, пройдя стажировку в Германии в клинике др. Вихмана в г.Бад-Эссен, а с 2016 года производителем этой системы компанией 3M Unitec ей присвоено звание Эксперт Incognito и WIN .
Стаж работы Оксаны Васильевны с лингвальными брекет-системами - более 22 лет. Это САМЫЙ БОЛЬШОЙ экспертный опыт в Москве.
Неправильный прикус
Неправильный прикус - аномальное смыкание зубных рядов, обусловленное челюстно-лицевой деформацией. Проявляется эстетическими недостатками внешнего вида, нарушением дыхания, мимики, жевания, речи. Может являться риск-фактором развития частых респираторных заболеваний, болезней ЖКТ, кариеса. Диагностируется в ходе ортодонтического обследования, включающего изготовление и анализ диагностических моделей, ТРГ, ортопантомографию, КТ челюстей. Коррекция неправильного прикуса может проводиться при помощи специальных аппаратов и капп, ретейнеров и брекет-систем.
МКБ-10


Общие сведения
Прикус является основным параметром нормального развития и функционирования зубочелюстной системы. Ортогнатический прикус, при котором верхние зубы слегка прикрывают нижние, считается нормой, такой прикус встречается у большинства людей. Неправильный прикус развивается в силу генетической детерминированности, при наличии привычки сосать палец, вследстивие хронического нарушения носового дыхания. Коррекцией прикуса занимается ортодонт.
Причины неправильного прикуса
Основной причиной формирования неправильного прикуса является наследственная предрасположенность. Неправильный уход за ребенком в период формирования прикуса может привести к различным дефектам зубочелюстной системы. В период новорожденности верхняя челюсть ребенка больше, чем нижняя. За счет естественного вскармливания к концу первого года жизни челюсти выравниваются. Если во время сосания груди ребенок малоактивен, то выравнивание челюстей произойдет не в полном объеме, что чревато развитием неправильного прикуса.
Испорченная осанка может повлиять на формирование прикуса в дошкольном и младшем школьном возрасте. Из-за неправильного положения голова уходит вперед туловища, что может спровоцировать деформацию челюсти и формирование неправильного прикуса.
Частые заболевания, протекающие с нарушением носового дыхания, в сочетании с другими факторами увеличивают риск развития одного из типов неправильного прикуса. Мягкие ткани губ, языка и щек принимают участие в формировании челюстей, и, если носовое дыхание нарушено, а рот постоянно приоткрыт, развитие челюстей происходит с отклонениями.
Патогенез
Существует пять периодов формирования правильного ортогнатического прикуса, если имеются отклонения в каком-либо из периодов, то возможно формирование неправильного прикуса и других аномалий зубочелюстной системы:
- Первый период с рождения до полугода;
- С 6 месяцев до трех лет происходит формирование временного прикуса - это второй период на протяжении которого прорезываются все временные зубы.
- Третий период от 3 до 6-ти лет является подготовительным, так как начинается активный рост челюстей для дальнейшего прорезывания постоянных зубов.
- С 6-ти до 12-ти лет наблюдается активный рост челюстей и параллельно прорезываются постоянные зубы, поэтому этот период называется смешанным.
- И пятый период с 12-ти до 16-ти лет характеризуется окончательным формированием прикуса и заменой всех временных зубов на постоянные.
Если имеются нарушения роста челюстей или нарушения в прорезывании зубов, то это может привести к формированию неправильного прикуса. Например, к скученности зубов, это происходит, если постоянные зубы прорезывались вовремя и крупные, а рост челюсти приостановился. Иногда нарушение роста челюсти может закончиться отсутствием клыков, резцов или премоляров или же формированием промежутков и диастем.
Классификация
Неправильный прикус из-за нарушения роста челюстей может проявляться отклонением от нормального расположения зубов и повороту части зубов на одной из челюстей. Иногда резцы одной челюсти значительно перекрывают другую; в редких случаях формируется открытый неправильный прикус, когда резцы не смыкаются совсем. Виды неправильного прикуса:
- При дистальном неправильном прикусе верхняя челюсть чрезмерно развита или наоборот отмечается недоразвитие нижней челюсти.
- При мезиальном прикусе вперед выдвинута нижняя челюсть.
- При глубоком прикусе верхние зубы закрывают нижнее более чем на половину.
- Открытый неправильный прикус формируется, если большая часть зубов при соприкосновении челюстей не смыкается.
- Если формируется одностороннее недоразвитие одного из зубных рядов, то такой прикус называют перекрестным.
- Дистопией называют неправильный прикус, при котором зубы занимают не свое место в ряду.

КТ черепа (3D-рендеринг). Прогнатический прикус, зубы верхней челюсти (красная стрелка) выстоят кпереди, отсутствует контакт резцовых краев при смыкании.
Симптомы неправильного прикуса
Неправильный прикус является как эстетическим недостатком, так и причиной нарушения носового дыхания, речевых и мимических нарушений. Иногда неправильный прикус ведет к развитию ЛОР-заболеваний и частым респираторным вирусным инфекциям, что заканчивается формированием хронических отитов, гайморитов, синуситов и фарингитов.
При неправильном прикусе пища плохо пережевывается, так как зубы смыкаются не полностью или же вообще отсутствует контакт между ними. Это может стать причиной заболеваний желудочно-кишечного тракта и кариеса, так как должный уход за полостью рта невозможен.
Диагностика
Диагностикой и коррекцией неправильного прикуса занимается ортодонтия. На первом этапе происходит подготовка к ортодонтическому лечению, которая включает в себя комплекс диагностических мероприятий, по результатам которых и определяется степень сложности терапии. Для этого делают ортопантомограмму (панорамный снимок), радиовизиографию или же используют данные компьютерной томографии. Снимки позволяют увидеть и оценить степень изменений в зубочелюстной системе.

КТ черепа. Прогнатический прикус, зубы верхней челюсти (красная стрелка) выстоят кпереди (этот же пациент).
Коррекция неправильного прикуса
Перед основным лечением проводят санацию полости рта: лечение кариеса и профессиональную гигиену полости рта. Важно лечение сопутствующих заболеваний, которые могут обостриться в процессе установки брекетов. На период коррекции неправильного прикуса необходимо отказаться от газированных напитков, вязкой пищи, жевательной резинки, орехов, конфет и меда, так как эти продукты трудно счищаются с зубной эмали и могут повредить брекет-систему.
Длительность ортодонтического лечения - от полугода до 2-х лет. Все это время необходимо уделять особое внимание уходу за ортодонтическими аппаратами. Эффективность коррекции неправильного прикуса зависит от того, насколько качественно и регулярно производился уход за ними.
Установка брекетов
Во время основного этапа коррекции неправильного прикуса производят установку брекетов, для их фиксации используются клеевые композиты. Однако, в зависимости от типа брекетов используются разные методики установки. Каждый вестибулярный брекет наклеивают на переднюю поверхность зубов, которые нуждаются в коррекции, далее на них крепят опорные кольца, а в замочки продевают силовую дугу. Дуга изготавливается из материалов, обладающих эластичностью и упругостью, за счет чего она стремиться занять ту форму, которую ей придали первоначально.
Лингвальные брекеты установить сложнее, так как внутренний рельеф зубного ряда разнообразнее. Вначале делается слепок зубных рядов, после чего брекет-система отрабатывается на данной конструкции и только потом фиксируется клеем на внутренней поверхности зубов.
Процесс установки брекетов безболезненный и редко сопровождается неприятными ощущениями. Однако в течение недели у пациента может наблюдаться болевой синдром, который рекомендуется купировать анальгетиками, в случае же сильных болей необходимо обратиться к врачу, который занимается коррекцией неправильного прикуса.
При ношении брекет-систем доступ к зубам затруднен, что может способствовать развитию кариеса. Чистку зубов необходимо производить после каждого приема пищи и использовать специальные щетки для пациентов, проходящих курс коррекции неправильного прикуса. Использование суперфлоссов, которые благодаря твердому кончику, легко продеваются между зубами у края десны, помогает удалить остатки пищи с участков, которые недоступны для чистки зубной щеткой и ершиком.
Ретенционный период
Третий период является восстановительным, или ретенционным. Мероприятия, проводящиеся в этот период направлены на закрепление полученного с помощью брекетов результатов. При неправильном прикусе после резкого снятия брекетов зубы через некоторое время вновь займут свое положение, во избежание чего используют ретейнеры, период ношения которых в 2 раза дольше, чем период ношения брекетов.
Длительность ношения ретейнеров зависит от общего состояния зубочелюстной системы, от возраста пациента и от наличия у него системных заболеваний. Ретейнеры могут быть съемными и несъемными, несъемные аппараты крепятся аналогично брекетам на лингвальную поверхность зубов, что делает их незаметными для окружающих. Съемные же ретейнеры представляют собой ортодонтические пластинки, которые крепятся на ночь. Давление, смещающее нижнюю челюсть, создается за счет пластиковых дуг и капп. Силиконовые ретейнеры становятся более популярными, так как практически не заметны во время разговора и при улыбке.
Профилактика
При искусственном вскармливании дырочка в соске должна быть маленькой, чтобы ребенок прилагал усилия для высасывания, чрезмерно большая дырочка не требует активных жевательных и сосательных движений, поэтому челюсть не развивается.
Ребенок не должен все время спать в одной позе, поэтому родителям необходимо контролировать положение ребенка во время сна. В целом же постель должна быть удобной, но не чрезмерно мягкой, тело ребенка во сне расслабленным, кроме этого ребенок не должен подкладывать под щеку кулачок или игрушки. Необходимо пресекать у ребенка вредные привычки сосать палец, пустышку и посторонние предметы. Это приводит к тому, что зубы отодвигаются так далеко, как позволяет размер пустышки. В результате формируется щель между верхним и нижним зубным рядом.
Неправильный прикус у детей
Неправильный прикус у детей - аномальное смыкание зубных рядов при привычном неподвижном положении нижней челюсти. Неправильный прикус у детей сопровождается несвоевременным прорезыванием, скученностью и дистопией зубов; наличием трем и диастем между зубами; болями в области челюсти, головными болями; дефектами звукопроизношения; повышенным риском развития кариеса, пародонтита, заболеваний ВНЧС. Определение неправильного прикуса у детей проводится ортдонтом на основании осмотра и выполнения ортопантомограммы, телерентгенограммы, снятия диагностических моделей. Для исправления неправильного прикуса у детей используются брекет-системы, съемные аппараты, миотерапия, хирургическое лечение.

Неправильным прикусом у детей называют такое взаимное расположение зубов верхней и нижней челюсти, которое не отвечает физиологическим нормам и функциональным потребностям. В стоматологии и ортодонтии за норму принят так называемый ортогнатический прикус, при котором верхние резцы перекрывают нижние примерно на треть высоты зубных коронок (1,5-3 мм). По статистике, около 35% детей имеют проблемы с прикусом той или иной степени выраженности и нуждаются в консультации детского ортодонта. Неправильный прикус у ребенка является не просто эстетическим недостатком, а может приводить к серьезным заболеваниям зубочелюстной, дыхательной, пищеварительной, опорно-двигательной систем, нарушениям речи, психологическому дискомфорту.

Причины неправильного прикуса у детей
Формирование патологического прикуса у детей может начинаться уже в младенчестве. Чаще всего неправильный прикус диагностируется у детей, получающих искусственное вскармливание. Дело в том, что у новорожденных нижняя челюсть несколько укорочена по отношению к верхней, и на первом году жизни, в процессе естественного вскармливания, происходит выравнивание размеров челюстей. Сосание материнской груди сопровождается активной работой лицевых мышц и движениями нижней челюсти, что способствует ее развитию. Напротив, кормление из бутылочки не требует от ребенка усиленного сосания и задействования нижней челюсти, поэтому она продолжает отставать в размерах от верхней челюсти.
Однако слишком долгое (свыше 1,5 лет) грудное вскармливание детей также может привести к формированию у них неправильного прикуса. К тому же, в этом возрасте в рационе ребенка обязательно должна присутствовать плотная, твердая пища, требующая тщательного пережевывания. В противном случае недостаточная нагрузка на жевательный аппарат также послужит развитию у детей неправильного прикуса.
Неблагоприятным образом на развитии зубочелюстной системы ребенка сказываются вредные оральные привычки: частое и бесконтрольное использование соски, прикусывание губ, сосание пальца или игрушек, бруксизм, привычки грызть ногти и карандаши и пр. В этих случаях также возможно образование диастемы. Способствовать возникновению неправильного прикуса у детей может однообразное положение головки ребенка во время кормления или сна (запрокидывание головки назад или опускание на грудь, привычка спать в одной и той же позе, подкладывание руки под щеку и т. п.).
Тесная взаимосвязь отмечается между состоянием прикуса и характером дыхания ребенка. Нарушение носового дыхания (при аденоидах у детей, хроническом рините, искривлении носовой перегородки, полипах полости носа) и дыхание через рот приводит к неправильному положению языка, несмыканию губ и зубов на фронтальном участке и формированию аномального прикуса у детей. В свою очередь, неправильный прикус также способствует переходу к ротовому дыханию, уменьшению объема носовых полостей и сужению носовых ходов, слабому обогреву и увлажнению воздушной струи, недостаточной бактериостатической и бактерицидной функции слизистой оболочки и частым респираторным заболеваниям - ангинам, ларингитам, трахеитам, бронхитам и пневмониям.
Немаловажную роль в формировании неправильного прикуса у детей играет преждевременная потеря молочных зубов, нарушение сроков прорезывания зубов вследствие нехватки в организме минеральных веществ (фтора, кальция), адентия, множественный кариес, короткая уздечка языка, травмы челюсти. В некоторых случаях неправильный прикус наследуется детьми от родителей. Относительно редко неправильный прикус у детей являются следствием врожденных дефектов, таких как расщелины неба или недоразвитие челюстей.
Классификация неправильного прикуса у детей
К нормальным видам прикуса, обеспечивающим правильное функционирование зубочелюстной системы, относят ортогнатический, прогенический, прямой и бипрогнатический. Среди вариантов неправильного прикуса у детей выделяют следующие основные разновидности:
- дистальный прикус (прогнатия) - резкое выступание верхней челюсти вперед, ее преобладание над нижней челюстью
- мезиальный прикус (прогения) - резкое выступание нижней челюсти вперед, ее преобладание над верхней
- глубокий прикус - глубокое (более чем на 50%) перекрытие верхними резцами нижних
- перекрестный прикус - нарушение нормального соотношения зубных дуг, их смещение вбок относительно друг друга
- открытый прикус - несмыкание верхних и нижних резцов при сомкнутых коренных зубах (открытый передний прикус) или несмыкание коренных зубов при сомкнутых резцах (открытый боковой прикус).
Симптомы неправильного прикуса у детей
К очевидным признакам неправильного прикуса у ребенка следует отнести выдвижение челюстей вперед или назад, неровные зубные ряды, чрезмерная скученность зубов, гипердентия (наличием «лишних», сверхкомплектных зубов), дистопия (неправильное расположение зубов), наличие диастем и трем между зубами. Дети с неправильным прикусом могут жаловаться на трудности с жеванием и глотанием пищи, постоянное прикусывание языка или щек, боль в челюсти и мышцах лица, регулярные головные боли.
Внимательные родители смогут заподозрить проблему неправильного прикуса у своих детей по некоторым косвенным признакам: преобладанию ротового дыхания, заметному напряжению губ и подбородка при глотании, изменению профиля, несимметричности лица, нарушению сроков прорезывания молочных и постоянных зубов.
Однако внешние признаки неправильного прикуса у детей - это всего лишь «вершина айсберга»; гораздо более драматическими могут быть отдаленные последствия. Дети с неправильным прикусом, как правило, «обречены» на быстрое стирание зубной эмали и возникновение гиперестезии зубов. Неприятными спутниками неправильного прикуса у детей служат частые травмы языка и щек, травматические язвы в полости рта, язвенный гингивит, пародонтит, пародонтоз, заболевания височно-нижнечелюстного сустава и др.
Наличие переднего открытого прикуса у детей затрудняет надкусывание пищи; наличие открытого бокового прикуса ограничивает жевание, а наличие дистального и глубокого прикуса ухудшает дыхание. Некачественное пережевывание пищи сопровождается проблемами с пищеварением, нарушение дыхания способствует возникновению частых ОРВИ. Все виды неправильного прикуса в той или иной степени приводят к нарушению звукопроизношения, нечеткости речи, обусловливая наличие у детей механической дислалии.
Дети с неправильным прикусом чувствуют свою физическую неполноценность на фоне сверстников, что постепенно приводит к вторичным психологическим проблемам: замкнутости, унынию, раздражительности.
Диагностика неправильного прикуса у детей
Дети с неправильным прикусом должны быть обследованы детским отоларингологом, детским стоматологом, детским пародонтологом, логопедом. Основная роль в выявлении вида и степени нарушения прикуса принадлежит детскому ортодонту.
С целью проведения подробных расчетов и составления грамотного плана лечения проводится панорамный снимок (ортопантомограмма), рентгенография черепа в боковой проекции (телерентгенограмма), фотографирование лица в фас и профиль. На основании снятого альгинатного слепка изготавливается диагностическая гипсовая модель зубных рядов. Для получения дополнительных данных о неправильном прикусе у детей может потребоваться компьютерная томография, миография. После сбора всех необходимых данных производится компьютерное моделирование результатов лечения.
Лечение неправильного прикуса у детей
Исправление неправильного прикуса у детей происходит гораздо быстрее, чем у взрослых, поэтому исправление зубочелюстных аномалий необходимо проводить как можно раньше, желательно с возраста 5-6 лет. Перед началом ортодонтического лечения неправильного прикуса у детей необходимо проведение полной санации полости рта: терапии кариеса и болезней десен, профессиональной гигиенической чистки полости рта с последующей реминерализующей терапией. В случае скученности или гипердентии может потребоваться удаление зубов.
Возможности современной ортодонтии позволяют применять для коррекции неправильного прикуса у детей различные методики. На ранних стадиях, в период временного прикуса используется миотерапия - специальная лечебная гимнастика для тренировки мимических и жевательных мышц.
Детям в возрасте 5-12 лет, имеющим неправильный прикус, может быть рекомендовано ношение преортодонтического трейнера - функционального аппарата из эластичного силикона. Удобство трейнеров заключается в том, что они используются только во время сна и 1 час в течение дня; при этом эффективно воздействуют на мышцы и зубочелюстную систему, отучают детей от вредных оральных привычек.
Начиная с 11-12-летнего возраста, для коррекции неправильного прикуса у детей могут применяться ортодонтические пластинки - съемные аппараты. С помощью съемных пластинок можно повернуть и переместить зубы, сузить или расширить зубную дугу. Примерно с этого же возраста для исправления неправильного прикуса у детей применяется несъемная аппаратура - брекет-системы, представляющие собой маленькие замочки, с помощью которых каждый зуб соединяется со специальной дугой, корректирующей положение зубов. По окончании основного периода, для закрепления правильного положения зубов, возникает необходимость в ношении ретейнера или ретенционной каппы. Весь период исправления неправильного прикуса у детей с помощью брекет-системы в среднем занимает около 2-х лет.
Логопедические занятия по коррекции дислалии следует начинать, не дожидаясь окончания ортодонтического лечения. В редких и особо тяжелых случаях детям с неправильным прикусом может потребоваться помощь челюстно-лицевого хирурга и хирургическое лечение (устранение аномалий челюстей, уранопластика, велофарингопластика).
Профилактика неправильного прикуса у детей
В большинстве случаев родители в состоянии предупредить формирование неправильного прикуса у детей. Для этого желательно осуществлять грудное вскармливание, а в случае кормления ребенка смесью следует использовать соску с небольшим отверстием для стимуляции активного сосания. Необходимо своевременно отучать ребенка от соски, не культивировать вредные привычки, приучать к твердой пище, следить за сменой позы ребенка во время сна, прививать навыки ухода за полостью рта. После появления первых зубов (не позднее 1 года) рекомендуется посетить детского стоматолога, а в 5-6 лет - детского ортодонта.
Перекрёстный прикус - симптомы и лечение
Что такое перекрёстный прикус? Причины возникновения, диагностику и методы лечения разберем в статье доктора Журавской Натальи Сергеевны, ортодонта со стажем в 6 лет.
Над статьей доктора Журавской Натальи Сергеевны работали литературный редактор Маргарита Тихонова , научный редактор Сергей Федосов

Определение болезни. Причины заболевания
Перекрёстный прикус — это зубочелюстная аномалия в поперечной плоскости, при которой размер или положение челюстей изменяется по горизонтали. У людей с таким прикусом наблюдается обратное смыкание зубов с одной или двух сторон, в переднем или боковых отделах.

Известно, что перекрёстный прикус встречается реже других патологий. Частота случаев зависит от возраста: у детей и подростков она составляет 0,39-1,9 % от общего числа заболеваний, у взрослых — 3 % [6] [7] [9] [10] .
Причины развития такого типа нарушения прикуса могут быть врождёнными и приобретёнными. К основным факторам относят [15] :
- Наследственность и врождённые аномалии развития, в том числе:
- задержка роста;
- укорочение или рост тела челюсти с одной стороны;
- нарушение обмена кальция в организме;
- уменьшение размеров одной половины лица (лицевая гемиатрофия или болезнь Парри — Ромберга);
- неправильная последовательность прорезывания зубов;
- нарушения прорезывания зубов — нетипичное расположение зачатков зубов, ретенированные зубы, поздняя смена молочных зубов на коренные.
- Функциональные причины и вредные привычки:
- неправильная позиция ребёнка во время сна — лёжа только на одном боку, подкладывая руку или кулака под щеку;
- гримасничанье, подпирание щеки рукой, сосание пальцев, щёк, губ, языка или предметов, одежды;
- нарушение носового дыхания, неправильное глотание;
- скрежет зубами (бруксизм);
- дисбаланс в работе жевательных мышц;
- неравномерный контакт одного зубного ряда с другим, нестёршиеся бугры молочных зубов. и его осложнения:
- раннее разрушение и потеря молочных моляров ("жевательных" зубов).
- Суставные нарушения:
- неподвижность височно-нижнечелюстного сустава.
- Иные причины:
- травмирование;
- воспаление, из-за которого нарушается рост челюсти;
- остаточные дефекты на нёбе после пластики его расщелины;
- новообразования.
Чаще всего (в 77 % случаев) перекрёстный прикус является следствием бокового смещения нижней челюсти [13] [14] .

При обнаружении схожих симптомов проконсультируйтесь у врача. Не занимайтесь самолечением - это опасно для вашего здоровья!
Симптомы перекрёстного прикуса
Развитие перекрёстного прикуса не происходит одномоментно — на появление выраженных его лицевых и ротовых симптомов нужно время.
Лицевые признаки
Помимо выраженной асимметрии развиваются и другие нарушения формы лица:
- смещение линии улыбки;
- разная высота уголков губ;
- смещение подбородка в сторону и другие видимые изменения.
Иногда пациенты обращают внимание на смещение или несоответствие центральной линии зубов верхней и/или нижней челюсти с центральной линией лица.

Ротовые признаки
При перекрёстном прикусе часто нарушается движение нижней челюсти и функции височно-нижнечелюстных суставов, особенно в случае аномалии прикуса со смещением нижней челюсти в сторону.

При открывании рта может возникать хруст и боль. Иногда нижняя челюсть блокируется и её движение в поперечной плоскости затрудняется. Это ведёт к неравномерному распределению нагрузки на зубы в момент жевания, а со временем — к травматической окклюзии (неправильному контакту одной челюсти с другой) и заболеванию тканей зубов и пародонта.
Неполноценная окклюзия зубов также может влиять на характер жевания и провоцировать хроническое напряжение мышц и, как следствие, появление болей. [1] [2] [5]
Нередкий признак прогрессирующей патологии с осложнениями — это некариозные поражения твёрдых тканей зубов: клиновидные дефекты, сколы эмали, патологическая стираемость зубов, недолговечность ортопедических конструкций или пломб.

Нередко пациенты жалуются на прикусывание слизистой оболочки щёк и отмечают неправильное произношение звуков речи.
Патогенез перекрёстного прикуса
На патогенез перекрёстного прикуса влияет сочетание различных анатомических нарушений [2] [8] [12] . Например, он может возникнуть в результате сужения или расширения базиса челюстей. Это происходит при наличии врождённых аномалиях: задержке роста, нарушении обмена кальция в организме и других причин. При этом развитие челюстей нарушается симметрично, но иногда возможно одностороннее недоразвитие (например, при лицевой гемиатрофии).

Ещё один анатомический фактор развития перекрёстного прикуса — нарушения в пределах зубных дуг и альвеолярных отростков, к которым крепятся зубы. Пусковыми механизмами в таких случаях становятся зачатки зубов, расположенные в нетипичном месте, их ретенция, прорезывание зубов в неправильном порядке, запоздалое появление коренных зубов на месте молочных, раннее разрушение жевательных зубов.

Функциональные причины и вредные привычки могут приводить как к изменению базиса челюстей, так к зубным и альвеолярным нарушениям. В этом случае ключевую роль в формировании патологии будут играть продолжительность действия привычки и возраст пациента.
Сбой работы височно-нижнечелюстного сустава может быть связан с его различными патологиями:
- хроническими заболеваниями сустава (артритом или артрозом);
- наследственными аномалиями (асимметрия ветвей нижней челюсти, аномалиями формы или размеров головок сустава);
- функциональными деформациями, возникшими, например, вследствие лечения кариеса и его осложнений.
При хроническом течении эти нарушения становятся причиной смещения челюстей, нарушения смыкания зубов и формирования перекрёстного прикуса [3] [4] [11] .
Наиболее редкими механизмом, приводящими к перекрёстному прикусу считаются травмы, остаточные дефекты после хирургических вмешательств, новообразования и прочие деформации (например, вследствие осложнённого воспалительного процесса).
Классификация и стадии развития перекрёстного прикуса
Перекрёстный прикус имеет различные формы. Все они могут быть односторонними и двусторонними, симметричными и асимметричными, а также сочетанными. В некоторых случаях сопровождаются смещением нижней челюсти [4] [5] [9] .
В зависимости от расположения зубов при при смыкании челюстей выделяют три типа перекрёстного прикуса:
- Буккальный — когда верхний зубной ряд сужен, а нижний ряд расширен с одной или двух сторон. При смыкании челюстей щёчные бугры нижних зубов перекрывают верхние. Этот тип может быть как со смещением нижней челюсти, так и без него.
- Лингвальный — когда верхний зубной ряд расширен, а нижний сужен также с одной или обеих сторон. При смыкании челюстей нёбные бугры верхних зубов перекрывают щёчные бугры нижних.
- Буккально-лингвальный — сочетает в себе признаки первых двух типов.

По причинам возникновения также различают три типа перекрёстного прикуса:
- Гнатический — возникает при недоразвитии или чрезмерном развитии базиса челюсти, т. е. нарушается форма альвеолярной дуги или других частей верхней и нижней челюсти.
- Зубоальвеолярный — когда основная причина неправильного перекрытия ряда связана с нетипичным положением или нарушением формы и размера зуба (чаще всего корней). При этом сужение или расширение зубоальвеолярной дуги может наблюдаться как на одной, так и на обеих челюстях.
- Суставной — боковое смещение нижней челюсти за счёт различных нарушений в височно-нижнечелюстном суставном комплексе (недоразвитие, деформации или смещения структур). Челюсть может быть сдвинута не только в сторону, но и по диагонали.

Осложнения перекрёстного прикуса
Положение зубов и челюстей в перекрёстном прикусе напрямую влияет на распределение жевательной нагрузки и направление действий жевательных сил. В процессе адаптации к особенностям прикуса организм постепенно переходит в стадию декомпенсации и возникает перегрузка всех структур челюстно-лицевого комплекса. Именно она ведёт к осложнениям, в том числе необратимым.
Осложнения со стороны твёрдых тканей зубов и пародонта
Эмаль — самая прочная ткань в организме, но под влиянием постоянно повышенной нагрузки на ней появляются микротрещины, которые затем приводят к сколам, появлению клиновидных дефектов и повышенной чувствительности зубов.

Периодонтальные связки, окружающие зуб, также имеют свой функциональный запас. При чрезмерной нагрузке, особенно на отдельные группы зубов, в этих связках развивается защитная реакция. Она может проявляется воспалением и дальнейшим разрушением структур.
Нарушение функции мышц
Изменения в работе мышц в перспективе приводят к появлению стойких парафункций тканей — неосознанной активности некоторых мышц, которая не связана с жеванием или речью и трудно поддаётся самоконтролю. Постоянное перенапряжение одних групп мышц при наличии перекрёстного прикуса ведёт к их гипертрофии и гиперфункции, что в дальнейшем может стать причиной бруксизма, стойких мышечных болей и зажимов [1] [5] [9] [12] .

Изменения в височно-нижнечелюстном суставе
При нарушении функций или ограничении подвижности головок и суставных элементов развивается гипомобильность сустава, нарушается трофика его тканей. В зависимости от индивидуальных особенностей организма это может приводить к смещениям диска, появлению болей, хрустов и щелчков в суставе, а позже — к атрофии и деформации диска и суставных поверхностей [1] [2] .
Диагностика перекрёстного прикуса
Диагностика перекрёстного прикуса не составляет труда для специалиста.
Сбор анамнеза и истории развития заболевания часто помогает выявить истинные причины патологии. Диагностически важен характер болей, беспокоящих пациента, усталость мышц, хруст и щелчки в суставе.
Клинический осмотр лица помогает выявить выраженную асимметрию и пропорциональные несоответствия. При осмотре полости рта определяют тип перекрёстного прикуса. Оценивается состояние твёрдых тканей зубов: обнаруженные клиновидные дефекты, патологическая стираемость, сколы эмали, а также короткий срок службы пломб может косвенно свидетельствовать о наличии окклюзионных перегрузок, тем самым подтверждая поставленный диагноз. Слизистая губ и щёк нередко имеет отпечатки зубов из-за накусывания слизистой в месте перекрёстного положения зубов.
Наблюдение за характером движений суставов, функциональные пробы и рентгенологические исследования (особенно ортопантомография) позволяют обнаружить осложнения со стороны височно-нижнечелюстного сустава и мышечной функции [4] [7] [8] [9] [12] . По показаниям проводятся КТ и МРТ данной области в положении открытого и закрытого рта.

Электромиография и аксилография также проводятся по показаниям и являются дополнительными методами диагностики [5] [8] .
Перекрёстный прикус может быть ложным — такое состояние называют вынужденным смещением челюсти. Отличить его помогает регистрация преждевременных и суперконтактов с помощью окклюзиограммы или специализированного оборудования T-scan.

Иногда для подтверждения диагноза требуется зарегистрировать положение челюстей относительно структур черепа. Для этого верхнюю челюсть фиксирую с помощью лицевой дуги, а для нижней челюсти используют прикусные шаблоны или регистраторы прикуса.

Лечение перекрёстного прикуса
Лечение перекрёстного прикуса напрямую зависит от возраста пациента, исходной клинической ситуации, материального и технического обеспечения.
Для исправления прикуса используют съёмные и несъёмные ортодонтические пластинки из пластмассы с различными видами крепления (кламмеры, минивинты, ортодонтические кольца и коронки), а также другие конструкции с активными элементами (винтами и пружинами). Такие аппараты могут быть одночелюстными, двучелюстными и одночелюстными с межчелюстным действием.


Самая распространённая ортодонтическая аппаратура для исправления прикуса — брекет-системы. Для этого используются различные дополнительные приспособления: кнопки и крючки, эластики и эластичные цепочки.
Срок лечения брекет-системами в среднем составляет 15-18 месяцев и проводится в обязательном порядке на двух челюстях с последующим ношением ретейнера (шины) не менее 1,5 сроков активного периода лечения.

Сейчас большую популярность набирает лечение с помощью элайнеров — прозрачных капп с заложенной траекторией перемещения зубов. Этот метод, как и другие, имеет свои преимущества и недостатки. При грамотном планировании лечения и ответственном подходе пациента добиться ожидаемых результатов можно за 12-15 месяцев.
Во время лечения к основные ортодонтические конструкции могут дополняться минивинтами. Чаще они применяются у взрослых пациентов для более стабильной опоры и прогнозируемого результата.
Прогноз. Профилактика
При своевременно начатом лечении перекрёстного прикуса, т. е. до развития дистрофических процессов и необратимых изменений, прогноз благоприятный независимо от возраста пациента [3] [7] [11] [12] .
Иногда для исправления патологии необходим более комплексный подход с привлечением других специалистов — остеопата, стоматолога-хирурга, стоматолога-терапевта, логопеда, отоларинголога и других.
Профилактика делится на первичную и вторичную. Первая включает в себя меры по предотвращению появления патологии прикуса:
- выявление групп риска;
- диспансерное наблюдение;
- отказ от вредных привычек и факторов, влияющих на полноценное развитие челюстно-лицевой области.

Вторичная профилактика направлена на то, чтобы не допустить развития осложнений уже существующей патологии. Для уменьшения факторов риска рекомендуется:
Глубокий прикус: причины появления, симптомы, способы устранения патологии

Встречаемость патологий окклюзии зубов, групп и альвеолярных дуг достаточно высока. Глубокий прикус у ребенка может сформироваться чаще на фоне соматических заболеваний.
При данной форме отмечается превышение степени перекрытия верхними резцами нижних, переходящее порой до травмирования слизистой. Для профилактики развития осложнений важно вовремя начать лечение.
Что провоцирует
Все причины, способствующие развитию можно подразделить на 3 группы:
- по генетике;
- в процессе эмбриогенеза;
- после рождения.
Особенности влияния различных факторов на становление глубокого прикуса:
| Генетика | Эмбриональное развитие плода | После родов |
| По родительской линии могут передаться расположение костных структур лицевого черепа, а также нарушения зубов и челюстей: заячья губа, волчья пасть | Токсикоз | Нарушения усвоения кальция, фосфора: прямое воздействие на формирование скелета |
| От матери могут оказать влияние хронические болезни в период беременности: эндокринная патология, дефекты метаболизма, анемия, ОРВИ | Изменения в закладке и формировании систем | Аномалии на фоне патологий дыхательной и пищеварительной систем, приводящие к нарушениям в сосании, глотании и речи. |
| Болезни уха, горла, носа и желудочно-кишечного тракта | ||
| Вредные пристрастия: использование пустышки больше положенного по возрасту времени, сосание пальцев | ||
| Аномалии зубов, диастема, множественный кариес, частичная адентия (врожденная), неправильное прикрепление уздечек губ и языка, слизистых тяжей | ||
| Прорезывание и замена зубов не по сроку | ||
| Воспалительные заболевания челюстей, переломы | ||
| Нарушения в опорно-двигательном аппарата врожденного и приобретенного характеров |

Взаимосвязь видов и симптоматических проявлений
Обратите внимание! От того, в каком состояния находится режуще-бугорковый контакт возможно развитие нескольких вариаций глубокого прикуса.
Варианты патологического смыкания:
- контакт отсутствует, верхние резцы значительно перекрывают нижние;
- глубокое резцовое перекрытие: режущая поверхность нижних резцов касается небных бугорков верхних;
- травмирующий: окклюзионная поверхность зуба касается десны или неба.

Уровень контакта режущей поверхности и бугорков с обозначением травмирования альвеолярного отростка в фас и профиль.
Такие формы прикуса могут быть врожденными или переходить друг в друга на фоне проведенного лечения. Обычно перемены отмечаются при наличии патологической стираемости, выполнении большого количества экстракций зубов. В ряде случаев возможно сочетание сильного перекрытия с одновременным наличием промежутков в боковом отделе.
Помимо прочего дифференциальная диагностика глубокого прикуса проводится по изменению соотношения в сагиттальной плоскости в виде следующих окклюзий:
От степени соотношения зависит выраженность лицевых признаков. Основное отличие нейтральной позиции от дистальной проявляется в расположении нижней челюсти и подбородка последней кзади.
- по лицевым признакам: уменьшение высоты нижнего отдела лица, ненормальное расположение губ;
- возникновение сложностей в процессе откусывания, пережевывания, глотания пищи;
- нарушение в дыхании и артикуляции;
- повышение стираемости зубов;
- патологии тканей пародонта, в особенности при травмирующей форме: частые воспаления десен, увеличение подвижности зубов.
Лечение
Лечить дизокклюзию, применяя различные конструкции, начинают в зависимости от возраста, причины и проявлений (лицевых и ротовых). Используют: пластинки, каппы, брекет-системы и иные устройства.
У детей
Обратите внимание! Исправление нарушенного смыкания челюстей лучше всего выполнять в период временного и сменного прикусов, в особенности при прорезывании вторых постоянных моляров.
Тактика вмешательства будет различаться в следующих возрастных группах:
- с 2 до 6 лет;
- с 6 до 12;
- старше 12.
У детей до 6 лет в основном применяют средства (пластинки) и методы по устранению действия причинного фактора. Также стимулирование расположения челюстей в правильном соотношении достигают, выполняя упражнения при глубоком прикусе.
- увеличение содержания в рационе твердых продуктов;
- санация полости рта, регулярные медосмотры у врача стоматолога, выполнение временного протезирования при ранней утрате молочного зуба;
- коррекция уздечек;
- нейтрализация вредных привычек.
Если патология осложнена дистальным расположением челюсти, то в тактику вмешательства добавляют конструкции, позволяющие произвести следующие изменения:
- расширение или сдерживание зубной дуги: в зависимости от состояния челюсти;
- устранение аномалии переднего отдела;
- вытягивание нижней челюсти кпереди;
- исправление нарушений в высоте окклюзии.
После 6 лет в лечение глубокого прикуса у детей включают: каппы, ретейнеры, съемные пластинки вестибулярного типа и иные устройства. Инструкция по ношению в каждом случае индивидуальная.
После 12 лет возможно применение брекет-систем с расположением на внешней или внутренней поверхностях зубов. Наибольший эффект оказывает лингвальная фиксация аппарата в особенности, когда выполняется исправление глубокого открытого прикуса в боковых отделах челюсти.

У взрослых
В настоящее время самым эффективным исправление глубокого прикуса у взрослых будет на фоне использование брекетов. Съемные устройства оказывают влияние только в период роста кости челюсти. Миогимнастика позволит только укрепить мышечный аппарат, но не появлияет на структуру окклюзии.
Как вариант быстрого устранения используется коррекция на имплантатах, операция. Цена имплантации достаточно высока и не каждый может себе это позволить.

В случае если пациент хочет быстро избавиться от патологии глубокого перекрытия, то врач может предложить зафиксировать виниры. Однако данная процедура не устраняет причину заболевания и потому носит только временный характер.

Проблемы протезирования при глубоком прикусе обусловлены сложностью создания оптимальной окклюзии без оказания воздействия на височно-нижнечелюстной сустав (ВНЧС). Данное образование, без устранения основной причины патологии, примет на себя ведущую нагрузку, что впоследствии вызовет воспалительные и дистрофические изменения в структуре тканей.
Срок лечения глубокого прикуса в каждом случае проходит индивидуально. Временной интервал находится в зависимости от уровня развития дизокклюзии, наличии отягчающей симптоматики и возраста. В среднем этот промежуток составляет 3-6 лет, с обязательным добавлением периода для ретенции (1-2 года).
Лечение глубокого прикуса у взрослых также необходимо, как и у детей. При отсутствии вмешательства возможно развитие осложнений, причиняющих массу неудобств в осуществлении повседневной деятельности, подробнее об этом на видео в этой статье.
Читайте также:
- Виды операций при деструктивном туберкулезе. Осложнения операций при деструктивном туберкулезе
- Виды наследственных полиневропатий. Амиотрофии. Лечение наследственных полиневропатий.
- Гебефрения
- Случай реабилитации пациента с тяжелой степенью пародонтита при помощи имплантации с немедленной нагрузкой
- Диагностика эластофибромы грудной клетки на КТ, МРТ, ПЭТ
