Симптомы в рентгенографии и КТ органов грудной клетки
Добавил пользователь Евгений Кузнецов Обновлено: 01.01.2026
Рентгенография грудной клетки - это метод диагностики, позволяющий получить изображение органов грудной полости с помощью облучения рентгеновыми лучами. Различные ткани организма в зависимости от своей плотности по-разному пропускают рентгеновы лучи, а значит, по-разному отображаются на снимке (рентгенограмме).
Рентген грудной клетки дает возможность изучить костные структуры (ребра, грудину, позвоночник), легкие, плевру, бронхи и трахею, сердце и средостение, а также оценить состояние мягких тканей этой области.
Прежде всего, рентген грудной клетки используется для диагностики заболеваний легких.
Часто возникает вопрос, что лучше сделать рентген легких или флюорографию? Свои преимущества есть у каждого метода. Обычно флюорография используется для общей оценки состояния легких: есть ли признаки патологии или нет. Рентген легких позволяет получить более качественное изображение, а значит его диагностическая ценность выше. Зато флюорография дешевле.
Что показывает рентген грудной клетки?
Рентген грудной клетки способен выявить:
- присутствие в легких очагов воспаления, в том числе характерных для таких заболеваний как пневмония и туберкулёз;
- наличие опухолевых образований и отеков, которые могут быть следствием сердечной недостаточности;
- наличие патологических скоплений газов и жидкостей;
- скопление жидкости в околосердечной сумке, увеличение размера сердца, аорты и лимфатических узлов;
- инородные предметы в легких, пищеводе и дыхательных путях.
Какие заболевания помогает диагностировать рентген грудной клетки?

Рентген грудной клетки
Рентген грудной клетки назначается в целях диагностики и оценки состояния при таких заболеваниях, как:
- пневмония. В сложных случаях данные рентгена легких являются базовыми для постановки диагноза острой пневмонии;
- туберкулёз;
- воспалительные заболевания плевры (плеврит, эмпиема плевры);
- опухолевые заболевания легких, бронхов, трахеи;
- тромбоэмболия легочной артерии;
- профессиональные заболевания легких, вызванные длительным вдыханием пыли и других мелких частиц;
- пневмотракс (механический разрыв легочной ткани);
- паразитарные заболевания грудной клетки (эхинококкоз);
- заболевания грудного отдела позвоночника.
Показания к назначению рентгена легких (рентгена грудной клетки)
Показаниями к рентгену легких являются:
- длительный кашель;
- отхаркивание большого количества мокроты;
- кровь в мокроте;
- одышка;
- систематические боли в груди или боли в области спины;
- длительное повышение температуры тела.
Как делается рентген легких (рентген грудной клетки)
В большинстве случаев специальной подготовки к рентгену грудной клетки не требуется.
Необходимо будет раздеться до пояса, а также снять все металлические предметы и украшения. Рентгенография обычно делается в передней или задней проекции в положении стоя. В некоторых случаях рентген делается в боковой проекции, в том числе в положении лежа. В момент, когда делается снимок, нельзя двигаться. Надо быть готовым на некоторое время задержать дыхание.
Где сделать рентген грудной клетки в Москве?
Сделать рентген легких(обзорную рентгенографию грудной клетки) вы можете в рентгенологическом отделении любой из поликлиник «Семейного доктора».
Оставьте телефон -
и мы Вам перезвоним
Не занимайтесь самолечением. Обратитесь к нашим специалистам, которые правильно поставят диагноз и назначат лечение.
Что показывает КТ грудной клетки, подготовка, показания и противопоказания

КТ органов грудной клетки - усовершенствованный способ рентгенографической визуализации, который использует излучение для создания детальных изображений грудины, грудино-ключичных суставов, ребер, прилежащих мягких тканей и органов (в первую очередь, легких).
Исследование проводят, если после выполненной обычной рентгенографии причина жалоб осталась неясной или есть подозрение на патологический процесс в данной области. Компьютерная томография органов грудной клетки может быть выполнена в качестве альтернативы МРТ, если у пациента есть противопоказания к проведению магнитно-резонансного сканирования. Для лучшей визуализации возможно введение контрастного вещества. Основным преимуществом КТ является его способность одновременно демонстрировать кости, мягкие ткани (при контрастировании) и кровеносные сосуды.
Что показывает КТ грудной клетки

Мультиспиральная КТ грудной клетки, 3D-реконструкция
Специалисты выделяют в средостении три области: центральное (сосудистое пространство с перикардом и его содержимым, сосудами и лимфатическими узлами), переднее (жировая клетчатка, вилочковая железа, внутренние грудные артерии и лимфоидные ткани) и заднее (трахея, пищевод, нисходящая часть грудной аорты, лимфоузлы и паравертебральные пространства грудной клетки). Соответственно, все патологические процессы, которые протекают в данных зонах, могут быть видны.
Грудина, ребра и их сочленения - основные структуры передней стенки грудной клетки - подвержены различным анатомическим аномалиям и патологическим процессам, которые в некоторых случаях требуют лечения. Врач обосновано направит на диагностическую процедуру, если у пациента имеет место необъяснимый длительный кашель, загрудинные боли, кровохарканье, увеличение регионарных лимфоузлов, ограничение в движении плеча, скованность в области грудного отдела позвоночника и др. КТ органов грудной клетки и средостения может показать следующие изменения:
Остеоартроз (остеоартрит) - распространенная патология, затрагивающая чаще грудино-ключичные суставы. На компьютерной томограмме, в отличие от рентгенограммы, можно увидеть субхондральный склероз, кисты, сужение суставной щели и изменения в волокнистой хрящевой ткани диска. Серонегативные артриты, подагра и некоторые иные заболевания также могут затрагивать соединения отделов грудины между собой и с окружающими костными структурами, что убедительно видно на КТ.
Ранняя диагностика септического артрита грудино-ключичного сустава важна для своевременного начала лечения, так как существует высокий риск осложнений - целлюлита, остеомиелита, медиастинита, септического шока. В запущенных случаях можно увидеть абсцесс и формирование свищевого хода. Изменения, которые видны при КТ органов грудной клетки, включают воспалительные процессы в твердых структурах (разрушение суставных поверхностей, расширение суставной щели), в органах и тканях (диффузная инфильтрация, скопление жидкости, газа, размытость границ, реактивное увеличение лимфоузлов). Осложнившуюся пневмонию, плеврит, абсцесс легкого и мягких тканей грудной клетки можно диагностировать с помощью КТ. Исследование также показывает изменения со стороны сердца и клапанного аппарата.
Острые и травматические состояния.
В результате сильного физического воздействия (чаще - вследствие ДТП) возникают один или несколько переломов грудины. Компьютерная томография позволяет диагностировать сочетанные травмы (повреждения ребер, грудного отдела позвоночника, легких и сердца) и осложнения (легочные ателектазы, гемо- и пневмоторакс, гемоперикард). Спонтанные переломы грудины возникают при наличии новообразования (множественная миелома, метастазирование), остеопороза и могут имитировать острые коронарные заболевания. С помощью КТ грудной клетки возможна диагностика врожденных аномалий сосудов или приобретенных патологий: тромбоэмболии легочной артерии, диссекции аорты и пр. По данным КТ ОГК выявляют причины ишемии, дисфункцию сердечных клапанов.
После выполнения стернотомии (операция обеспечивает лучший доступ к сердцу) есть вероятность осложнений: расхождения краев раны, вторичный остеомиелит грудины или ребер, медиастинит и медиастинальная гематома, плевральный выпот. После хирургических вмешательств на сердце и сосудах могут развиться неблагоприятные последствия (инфицирование электродов кардиостимулятора, инфекционно-воспалительные осложнения и пр.). Эти состояния с помощью КТ дифференцируют с нормальными послеоперационными изменениями. У таких пациентов выполняют компьютерное сканирование в динамике. Осложнения могут присутствовать и после вмешательств на легких и прочих структурах. В экстренных ситуациях преимущество КТ - быстрота получения результатов.
Новообразования и метастазирование.
Большинство неопластических процессов грудины носит метастатический характер, что объясняется прямым проникновением из соседних органов или гематогенным путем. Рак молочной и щитовидной желез, легкого, почки, толстой кишки и лимфомы - самые распространенные источники метастазов грудины. КТ грудной клетки с контрастом - золотой стандарт в диагностике рака легких, позволяет увидеть изменения на начальной стадии, при которой возможно радикальное лечение. Компьютерное сканирование показывает также новообразования средостения, которые многообразны по морфологии и генезу. Наиболее часто встречаются тимомы, кисты, нейрогенные опухоли, злокачественные лимфомы. С помощью сканирования при дисфагии можно предположить рак пищевода, но во всех случаях окнчательный диагноз подтверждает морфологическое исследование.
Нередко пациенты задают вопрос: “Что сделать - КТ или МРТ органов грудной клетки?” К каждому исследованию есть свои показания и противопоказания, но способы часто являются взаимодополняющими. Специалисты диагностического центра могут подсказать, что предпочтительнее в каждом конкретном случае, но лучше, если на руках будет направление от лечащего врача.
Как делают КТ органов грудной клетки

Положение пациента во время КТ грудной клетки
На диагностическую процедуру необходимо предварительно записаться, но возможно выполнение в день обращения, по жизненным показаниям. Современные КТ-сканеры могут исследовать большие участки тела всего за несколько секунд, что особенно подходит для пациентов, испытывающих трудности с длительной неподвижностью и маленьких детей. Рентген-техник размещает пациента на столе, для обеспечения неподвижности возможно использование фиксирующих ремней и подушек. Излишняя мобильность приводит к появлению размытости на изображениях. Наблюдение за ходом процедуры ведется из смежного кабинета, через стекло. Для экстренных случаев есть кнопка связи с персоналом. Стол с пациентом скользит вглубь томографа, вокруг тела начинает вращаться множество рентгеновских датчиков, передавая изображения поперечного сечения грудной клетки на экран монитора. Снимки с помощью специальной компьютерной программы могут быть переформатированы в другие плоскости. Полученные в результате диагностики данные легко перенести на любой носитель или распечатать. Неприятных ощущений во время КТ органов грудной клетки и средостения нет, технический шум, который производит работающее оборудование, можно нивелировать, если воспользоваться наушниками. Сканирование длится менее минуты, вся процедура с подготовкой и укладкой занимает не более получаса.
Для улучшения визуализации в некоторых случаях (преимущественно, в диагностике злокачественных новообразований и для оценки динамики после проведения химиолучевой терапии) выполняют КТ органов грудной клетки с контрастом. Препарат вводят внутривенно, перед этим обязательно оценивают уровень креатинина в крови. Усиленная радиофармпрепаратом компьютерная томография помогает уточнить диагноз при туберкулезе (количество очагов, их расположение, состояние лимфоузлов), но окончательная верификация происходит после оценки результатов комплексного обследования (пробы Манту, диаскинтеста, и, при необходимости, биопсии). Воспаление и повреждение паренхимы легких обычно хорошо видны на КТ без контрастного усиления. Если есть опасения по поводу осложнений, радиофармпрепарат может помочь дополнительно определить степень выраженности патологического процесса.
КТ органов грудной клетки детям проводят исключительно по жизненным показаниям в специальных диагностических центрах при педиатрических клиниках.
Подготовка к исследованию

Перед прохождением диагностики убедитесь в отсутствии противопоказаний
Каких-либо длительных мероприятий подготовка к КТ грудины не подразумевает, для нативного исследования достаточно выбрать удобную одежду без металла, снять украшения. Если предстоит введение контрастного вещества, за 40-50 минут до начала процедуры необходимо неплотно перекусить, что поможет предотвратить или уменьшить вегетативные реакции (легкую тошноту, слюнотечение, головокружение). Пациенты, страдающие сахарным диабетом и принимающие Метформин, по согласованию с эндокринологом должны отказаться от препарата за 48 часов до процедуры. Во время лактации рекомендуют сделать запас молока на два кормления.
Показания и противопоказания к КТ грудины
КТ грудины входит в компьютерное сканирование грудной клетки. Диагностика не является рутинным методом обследования и выполняется, если причина заболевания остается неясной или изменения на рентгенограммах требуют уточнения.
Перечислим основные показания к КТ грудины и грудной клетки:
подозрение на патологический процесс в легких, плевре, сердце, грудине, суставах, средостении;
пред- и послеоперационное обследование;
определение зоны для лучевого воздействия при злокачественных новообразованиях соответствующей области;
отслеживание динамики после проведенного лечения.
Противопоказания к КТ грудины и грудной полости
Современная аппаратура позволяет минимизировать лучевую нагрузку по сравнению с обычной рентгенографией в 1,5-2 раза: КТ ОГК безопасна для большинства людей. Исключение - беременные женщины и дети в возрасте до 14 лет. По техническим причинам диагностическая процедура невыполнима у пациентов с выраженным ожирением (выше 150 кг).
Противопоказания к выполнению контрастирования:
хроническая почечная недостаточность с повышением уровня креатинина;
Введение индикаторного препарата недопустимо, если во время или после предыдущего контрастирования развилась серьезная реакция гиперчувствительности по типу отека Квинке или анафилаксии. Небольшая тошнота, металлический привкус, головокружение, приливы жара рассматриваются как вариант нормы и не являются противопоказаниями к КТ с усилением.
Фото томографии грудной клетки
Расшифровка снимков происходит в тот же день. Полученные изображения анализирует врач-рентгенолог, который и выдает заключение. Определить верный диагноз непросто, ведь среди нескольких десятков оттенков черного, серого и белого необходимо вычленить несоответствующий норме и интерпретировать результат. Представим Вашему вниманию несколько фото томографии грудной клетки:

КТ без контраста у пациента с интерстициальным заболеванием легких в анамнезе и трансплантацией правого легкого показывает суженный участок анастомоза правого бронха (красная стрелка). Собственное левое легкое уменьшено в размерах, с признаками бронхоэктазов, бронхиолоэктазов (черная стрелка). Сужение центрального дыхательного пути на выдохе у трансплантированного легкого (синяя стрелка).

Выпот (красные стрелки) в обеих плевральных полостях.
КТ органов грудной клетки, что показывает, с контрастом или без

КТ органов грудной клетки - высокоинформативное рентгенологическое исследование, которое позволяет установить диагноз в самых тяжелых случаях. Врач назначает компьютерное сканирование, если есть жалобы со стороны сердца, легких, костно-суставных структур данной области, подозрение на опухолевый процесс и пр. КТ грудной клетки может выполняться нативно (без усиления), этого достаточно для оценки легких, но необходимость четкой визуализации сосудов, новообразований и степени их инвазии (проникновения в соседние ткани) подразумевает введение контрастного препарата.
Что показывает КТ
КТ органов грудной клетки показывает патологические процессы в средостении, легких, последствия травм, состояние лимфоидной ткани, индивидуальные анатомические особенности, которые помогают в планировании операции и пр. С помощью КТ можно наблюдать за болезнью в динамике, в том числе после выполненной терапии.
МРТ или КТ органов грудной клетки
Часто пациентов волнует вопрос: “Что лучше - КТ или МРТ?” Специалисты считают, что эти два исследования дополняют друг друга. Компьютерное сканирование подразумевает использование рентгеновского облучения, а при МРТ изображения получают благодаря магнитному полю. Лучевая нагрузка на организм нежелательна в период гестации и в детском возрасте до 14 лет, а магнитно-резонансное обследование невозможно сделать пациентам с установленными имплантами (кардиостимуляторами, инсулиновыми помпами, ортопротезами и пр.). КТ длится несколько минут, что делает ее незаменимой в ургентных ситуациях - при травмах, кровотечении, сердечно-сосудистых катастрофах.
В КТ органов грудной клетки входит оценка следующих органов и структур:
трахеи, бронхов, легких и плевры;
сердца и сосудов;
грудины, ребер и грудного отдела позвоночника;
Эти же структуры видны на МР-томограммах, но в диагностике патологий костной ткани КТ остается исследованием выбора.

В клинике “Магнит” установлен современный и безопасный томограф Siemens Somatom Emotion (16-срезовой)
В назначенное время пациента укладывают на стол томографа в горизонтальное положение. Для обеспечения неподвижности могут использовать фиксирующие ремни и валики, это необходимо для предотвращения артефактов (дефектов) на пленках, которые затрудняют диагностику. Если КТ органов грудной клетки (ОГК) выполняют с контрастированием - вводят внутривенно фармпрепарат одномоментно или болюсно (с помощью инжектора, который подает усилитель в определенные фазы исследования).
Стол перемещает пациента вглубь томографа, внутри кольца которого вокруг исследуемой области начинают вращаться датчики, улавливающие ответ органов и систем на ионизирующий поток частиц, испускаемых лучевой трубкой. Данные передаются на компьютер, а специальная программа выстраивает изображения. Современная МСКТ (мультиспиральная компьютерная томография), использующая множество детекторов, позволяет минимизировать лучевую нагрузку, что делает безопасным прохождение обследования для большинства пациентов. Болевых ощущений нет, для нивелирования механического шума от работы оборудования можно воспользоваться наушниками. Общение с персоналом проходит по громкой связи, под рукой есть ”тревожная кнопка”. Исследование занимает 15-20 минут, после КТ органов грудной клетки пациент может заниматься привычными делами.
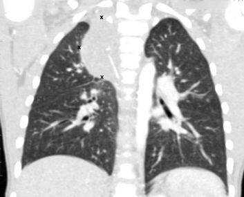
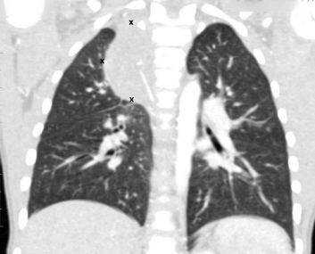
КТ органов грудной клетки при туберкулезе
Очаговые изменения на КТ легких, подозрительные на туберкулезное поражение (выделено красным)
Туберкулез поражает пациентов любого возраста и пола, легкие вовлекаются в процесс наиболее часто. Болезнь считают социально опасной, так как при несвоевременной диагностике открытой формы (выделение микобактерий в окружающую среду при кашле) высок риск инфицирования окружающих людей. КТ органов грудной клетки при туберкулезе назначают в следующих ситуациях:
скрининговая рентгенография показала подозрительные на рассматриваемую патологию изменения;
у пациента положительные результаты лабораторных анализов на туберкулез (проба Манту, диаскинтест) при неоднозначных признаках на флюорограмме;
отслеживание динамики после проведенной специфической терапии;
в качестве предоперационной диагностики для выявления анатомических особенностей кровоснабжения и иннервации очагов, локализации патологии.
КТ органов грудной клетки с контрастированием

Болюсное контрастирование позволяет получить высококачественные томограммы, обеспечивая поступление препарата в нужные фазы исследования
Введение контраста при КТ - необходимая мера, если запланировано исследовать сосуды, мягкие ткани, выяснить местоположение опухоли и ее взаимоотношения с близлежащими структурами или метастазирование. МРТ для диагностики неопластических процессов предпочтительнее, но компьютерная томография помогает установить причину, когда к проведению магнитного сканирования есть противопоказания. КТ органов грудной клетки с контрастом способствует получению более информативных томограмм для оценки патологий сосудов. Выполнить дифференциальную диагностику заболеваний, анализируя результаты снимков, полученных после усиления, легче. Врачам часто приходится по данным КТ ОГК различать изменения, типичные для туберкулезной каверны, от раковой опухоли, бронхоплевральный свищ от абсцесса легкого, эмфизему от напряженной кисты и пр.
Подготовка к КТ органов грудной клетки с контрастом:
сдача анализа крови на уровень креатинина (можно сделать экспресс-методом за дополнительную плату перед исследованием в диагностическом центре “Магнит”);
перерыв в приеме сахароснижающих препаратов (Метформин и его аналоги) после разрешения эндокринолога;
отказ от лактации на 12 часов после выполнения КТ органов грудной клетки с введением контраста и предварительный запас молока на два последующих кормления.
КТ органов грудной клетки средостения
В центральной части грудной полости может развиваться множество патологий, которым необходима рентгенологическая оценка. КТ органов средостения - синонимичное название компьютерного сканирования грудной клетки: на томограммах видны все структуры, заключенные внутри реберно-грудинного каркаса.
КТ органов грудной клетки детям

КТ детям проводят в исключительных ситуациях, угрожающих жизни
Низкодозовую КТ органов грудной клетки детям выполняют по жизненным показаниям, если другие, не связанные с рентгеновским облучением, способы визуализации недоступны. Направление на КТ ребенку выдает консилиум врачей, чаще диагностику выполняют во время госпитализации в профильные педиатрические клиники. Основные причины для прохождения компьютерной томографии у детей:
опухоль органов грудной полости;
легочная форма туберкулеза;
диагностика врожденных пороков развития респираторных путей;
вдыхание инородного тела.
Обеспечение неподвижности во время исследования в несознательном возрасте требует выполнения седации. Диагностическая процедура проходит под наблюдением реаниматолога-анестезиолога.

Неплотный прием пищи предотвратит неприятные ощущения, которые могут развиться на введение контрастного препарата
Нативная КТ ОГК в экстренной ситуации может выполняться без всякой подготовки, но напомним о некоторых нюансах, которые сделают диагностическую процедуру более комфортной и информативной:
Одежда. Учитывая, что придется несколько минут лежать на столе, для удобства выберите просторное платье, свободные брюки и свитер. Если после КТ необходимо вернуться на работу, подразумевающую дресс-код, перед исследованием можно переодеться в специальный одноразовый халат. Все металлические детали (включая украшения, косточки бюстгальтера, пирсинг) приводят к появлению артефактов, поэтому их снимают перед процедурой.
Еда. Не стоит объедаться перед исследованием. На это есть две причины: переполненный желудок приведет к дискомфорту, сдавит органы грудной полости и сделает невозможным введение контраста из-за риска рвоты. Даже если Вы идете на КТ ОГК без усиления, часто после оценки нативных томограмм (при визуализации подозрительных объектов), может потребоваться контрастирование. Нельзя приходить на обследование голодным: фармпрепарат провоцирует развитие у некоторых людей вегетативных реакций: тошноты, слюноотечения, головокружения, поэтому оптимальным будет легкий завтрак.
Все выписные эпикризы, результаты предыдущих исследований и направление от врача возьмите с собой.
Показания и противопоказания

Врач перед направлением на рентгеновское исследование учитывает соотношение риска и пользы от диагностики
Показания к КТ органов грудной клетки - жалобы со стороны легких и органов и структур средостения, которые нельзя трактовать однозначно после оценки результатов первичных исследований: рентгенографии, УЗИ и пр. КТ ОГК можно сделать в качестве дополнительной диагностики, если есть:
кровохарканье, одышка, снижение дыхательных экскурсий грудной клетки, кашель, хрипы;
ограничение подвижности и боль в суставах плечевого пояса, грудного отдела позвоночника, пальпируемые образования и посттравматические боли в области грудной клетки, крепитации ребер (характерный хрустящий звук при переломах) и пр.;
затрудненность при глотании, в случае подозрения на стеноз пищевода;
загрудинные боли, усиливающиеся при движении, чувство нехватки воздуха;
увеличение шейных, надключичных и подключичных лимфатических узлов.
Противопоказания
Компьютерная томография не является преимущественным исследованием для беременных и детей младше 14 лет. КТ с контрастом стараются не проводить этой категории лиц и пациентам с отягощенным анамнезом, в который входит:
гиперфункция щитовидной железы;
аллергия на йодсодержащие вещества;
урологическая и нефрологическая патология с нарушением функции почек;
сердечно-сосудистые заболевания в стадии декомпенсации.
Результат КТ ОГК будет готов через 90-120 минут, в диагностическом центре “Магнит” в СПб полученные данные в сомнительных ситуациях оцениваются коллегиально. Представим на обозрение несколько томограмм, которые демонстрируют патологические процессы в грудной клетке:

КТ органов грудной клетки демонстрирует опухоль средостения (границы выделены маркерами)
КТ или рентген легких: что лучше?
В чем разница между этими методами обследования? Когда лучше делать КТ легких, а когда рентгенографию? Подробнее рассмотрим в этой статье.
Чем отличается КТ от рентгена легких?
Компьютерная томография — это современный метод лучевой диагностки различных заболеваний, в основе которого лежит рентгенография. . Метод был разработан и предложен учеными, лауреатами Нобелевской премии Г. Хаунсфилдом и А. Кормаком в 1972 году. Классическая рентгенография была изобретена в 1896 году, чаще всего она применялась в стоматологии и для исследования легких, поскольку на рубеже XIX-XX вв. смертность от пневмонии, туберкулеза и астмы была крайне велика.
Ключевое отличие цифрового рентгена от компьютерной томографии легких — траектория прохождения рентгеновских лучей и техника визуализации. В процессе обычной рентгенографии Х-лучи проходят через исследуемый участок тела перпендикулярно всего один раз, поэтому рентгенограмма представляет собой двухмерное однослойное изображение. Рентген легких — наиболее доступное по цене исследование, которое часто назначается в первую очередь, если у пациента есть признаки пневмонии, туберкулеза, обструктивной болезни легких, опухолей. Проблема данного вида диагностики заключается в том, что, например, при пневмонии на рентгене достоверно можно определить только поражение легких III и IV степени, а тени от крупных органов могут затенять другие ткани.
Сканы КТ отличаются более высокой четкостью изображений и информативностью. В ходе компьютерной томографии рентгеновская трубка вместе с чувствительными датчиками совершает несколько оборотов по спиральной траектории, сканируя исследуемую область. Аппарат КТ делает множество сканов толщиной до 1 мм, на основании которых воссоздается трехмерная модель легких, сосудов, органов и костей грудной клетки в высоком разрешении. Таким образом после компьютерной обработки изображений ткани и органы можно исследовать в трех проекциях, эффект наложения теней от органов в случае с компьютерной томографией отсутствует.
Высокая четкость изображения при компьютерной томографии связана с техникой проведения диагностики и физическими свойствами излучения. Рентген обладает 20% коэффициентом ослабления, в то время как томография - коэффициентом 0,5%, а следовательно и более высокой разрешающей способностью.
И рентгенографию, и компьютерную томографию можно делать с контрастированием. Рентгенография или КТ легких с контрастом поможет визуализировать сосуды и опухоли. Однако первичная дифференциация новообразований на доброкачественные и онкогенные возможна только в рамках КТ, что также связано с качеством изображений.
Поскольку рентгенограмма грудной клетки в сущности представляет 1 снимок, а томограмм делают множество, то и излучение при КТ легких выше из-за многократной экспозиции. В среднем, за одну процедуру рентгена легких пациент получает 0,1 мЗв облучения, во время КТ легких - 2,5 мЗв. Однако эта доза ионизирующего излучения безопасна для пациента. В год допустимо делать КТ-сканирование 5 зон. Направляя на тот или иной рентгенографический метод обследования, врачи всегда руководствуются критерием целесообразности и безопасности пациента.
В специализированном центре КТ «Ами» процедура проходит на аппарате нового поколения Siemens Somatom go.Now со сниженной лучевой нагрузкой.
Что лучше: КТ или рентген легких?
КТ легких и рентгенография назначаются при воспалении легких, туберкулезе, бронхиальной астме. Оба исследования показывают состояние легких, бронхов, трахеи, средостения. И на КТ, и на рентгене выявляют опухоли, инородные предметы в полости легких и дыхательных путях. Как и компьютерная томография, рентген показывает скопления жидкости в альвеолах или фиброз (поражение легких при пневмонии), наличие эмфиземы (хронический бронхит курильщика), отек и саркоидоз легких (гранулемы и узловые новообразования легких).
Однако большинство медиков склоняются к мнению, что если есть возможность сделать КТ легких вместо рентгена, то лучше исследовать органы грудной клетки именно так. Во-первых, врач точно не пропустит заболевание или опухоль в начальной стадии. Во-вторых, после КТ легких уже нет необходимости в дополнительном уточняющем обследовании (кроме лабораторной диагностики, поскольку инфекционные, вирусные и бактериальные агенты-возбудители определяют с помощью анализа биологического материала). В-третьих, небольшие кальцификаты, деструкции и опухоли видны только на сканах КТ.
Согласно докладам Всемирной организации здравоохранения, рак легких по-прежнему представляет угрозу для жизни и здоровья миллионов людей. Поэтому пациентам старше 40 лет, особенно попадающим в группу риска, рекомендован ежегодный профилактический скрининг. Флюорография и рентген считаются традиционным методом профилактики, однако лучше всего для этой цели подойдет низкодозная компьютерная томография легких.
Плюсы рентгена легких
- Низкая цена обследования.
- Облучение около 0,1 мЗв.
- Аппаратами для рентгена оснащены многие медицинские учреждения.
Минусы рентгена легких
- Малая информативность.
- Низкая специфичность.
- Двухмерные снимки, подозрительные участки могут быть закрыты тенями органов.
- Не показывает пневмонии, опухоли и другие патологии легких на ранних стадиях. Также для обследования лимфатических узлов более информативна КТ.
- Невозможно дать первичную оценку новообразованиям, дифференцировать их на доброкачественные и онкогенные.
- Есть вероятность получения неполной картины.
Плюсы КТ легких
- Трехмерное (пространственное) изображение легких, исчерпывающая информативность.
- Показывает заболевания и патологии легких на ранних стадиях.
- Ранняя диагностика рака легких.
- Врач может первично дифференцировать новообразования.
- Назначается при атипичном течении заболеваний, в качестве уточняющего метода обследования после рентгена.
Минусы КТ легких
- Более высокая цена.
- Более высокая доза ионизирующего излучения.
- Сравнительно невысокая распространенность медицинских центров, оснащенных томографами.
Что информативнее: КТ легких или рентген?
Компьютерная томография - наиболее современный и информативный рентгенологический метод обследования. На сканах в трех проекциях визуализируются мягкие ткани, внутренние органы, кости и сосуды. Двухмерная рентгенография дает более общее представление о состоянии легких, однако иногда этого достаточно для последующего успешного лечения пациента.
Не опасно ли делать КТ легких после рентгена?
Ионизирующее (рентгеновское) излучение не полезно для человека, а в избыточном количестве вызывает радиационный синдром и может стать «спусковым механизмом» для развития онкологических заболеваний у пациентов, предрасположенных к ним. Согласно действующим «Нормам радиационной безопасности» в год допустимо до 30-50 мВз излучения, но не следует забывать и о естественном радиационном фоне. КТ легких (около 2,5 мЗв) после рентгена (около 0,1 мЗв) безопасно, и такая прецизионная диагностика может спасти пациенту жизнь.
Однако, чтобы избежать дополнительной лучевой нагрузки, наиболее целесообразно сразу сделать КТ легких, не прибегая к рентгену.
Что лучше делать при воспалении легких: КТ или рентген?
Назначить КТ или рентген легких при пневмонии сможет только врач после изучения симптомов, лабораторных анализов, индивидуальной клинической картины пациента. Наличие жидкости или гноя в альвеолах, а также фиброз визуализируется и на рентгенограмме и на сканах КТ. Однако традиционного рентгена при пневмонии I-II степени может быть недостаточно, в то время как на КТ она видна более определенно как «матовые стекла». При атипичной пневмонии и при коронавирусе рекомендуется сделать КТ легких.
Можно ли сделать КТ легких вместо рентгена?
Да, КТ легких может заменить рентген. Однако врач, назначающий то или иное исследование, всегда учитывает индивидуальные особенности пациента, например, сколько рентгенологических исследований уже было проведено в течение года, нет ли противопоказаний к КТ. Также ионизирующее излучение вредно для беременных женщин и плода, поэтому в этом случае при пневмонии предпочтительнее МРТ легких.
Что показывает КТ легких при коронавирусе?
Легочная ткань обладает белковыми рецепторами ACE2, к которым прикрепляется вирион, благодаря прочным белковым шипам, по аналогии с пневмовирусом SARS-CoV-1, впервые обнаруженным у летучих мышей.
Помимо удушья и острого респираторного дистресс-синдрома (ОРДС), высокий риск смертности от COVID-19 сопряжен и с другими, нелегочными осложнениями: миокардитом, тромбозом внутренних органов, ДВС-синдромом. Однако по данным Уханьского технологического университета, у 92 из 100 китайских пациентов, госпитализированных по поводу коронавируса, компьютерная томография выявляет повреждение легких. Большую опасность для жизни и здоровья представляет острый респираторный дистресс-синдром (ОРДС) — это обширный двусторонний воспалительный процесс с полисегментарный очагами инфильтрации, который приводит к отеку легких и острой дыхательной недостаточности.
Коронавирус проникает в организм человека через носовую полость, слизистую глаз или рот и, когда достигает легких, провоцирует у большинства больных обширный воспалительный процесс — альвеолы (воздушные пузырьки легочной ткани) заполняются жидким экссудатом или соединительной тканью. Эти пораженные участки легких, более не участвующие в дыхательном процессе, врачи видят на посрезовой КТ легких в виде «матовых стекол», симптома «булыжной мостовой». Также коронавирус часто сопровождается плевральным выпотом.
По результатам томографии также оценивают тяжесть заболевания, то есть степень поражения легких: КТ-0, КТ-1, КТ-2, КТ-3, КТ-4. Подробнее о «рисунке» коронавирусной пневмонии и диагностических возможностях компьютерной томографии — в этой статье.
Когда необходимо сделать КТ легких при коронавирусе?
Обычно при подозрении на вирусную пневмонию КТ легких назначается лечащим врачом — терапевтом или инфекционистом. Больным пациентам нет необходимости ждать результатов ПЦР до 14 дней — томография покажет даже минимальное поражение легких (до 5%), при этом паттерн пневмонии, вызванной коронавирусом, виден довольно ясно. КТ легких рекомендовано делать на 5-7 день проявления симптомов острого респираторного заболевания.
Ключевое отличие компьютерной томографии от рентгена состоит в том, что КТ показывает первую степень поражения легких (до 25%), а по результатам обследования возможна дифференциальная постановка диагноза, то есть по специфическому клиническому рисунку на КТ можно отличить коронавирусную пневмонию от бактериальной и какой-либо другой без лабораторной диагностики. Однако не у всех пациентов, зараженных коронавирусом, развивается поражение легких с характерной симптоматикой.
КТ легких рекомендуется делать при наличии следующих симптомов:
- Высокая температура (более 37,5°);
- Затрудненное дыхание, одышка;
- Кашель;
- Ощущение сдавливания в грудной клетке;
- Низкий уровень сатурации крови кислородом (менее 95%) по результатам пульсоксиметрии;
- Повышенная утомляемость, слабость.
Пациентам с выраженными симптомами и подозрением на коронавирус нет необходимости ждать результатов ПЦР-диагностики. Компьютерная томография покажет очаги воспаления и инфильтрации легких, фиброз, степень их распространенности. Таким образом пациент сможет не теряя времени приступить к лечению под контролем лечащего врача. Поражение легких более 50% по результатам КТ может быть показанием к госпитализации.
Важно! При наличии вышеуказанных симптомов нет необходимости ждать результатов теста на коронавирус, чтобы проверить легкие на КТ. Преимущество компьютерной томографии легких перед рентгеном и флюорографий заключается в том, что диагностика покажет воспалительные процессы даже когда они только начались (на 5-7 день с момента проявления симптомов ОРЗ).
Поражение легких при коронавирусе
В 2020 году была разработана эмпирическая шкала визуальной оценки легких, в которой КТ-0, КТ-1, КТ-2, КТ-3 и КТ-4 соответствуют стадии заболевания и, соответственно, степени поражения легких.
Врач изучает каждую долю легкого (всего 5) на посрезовых сканах в поперечной и фронтальных плоскостях и оценивает объем поражения каждой по пятибалльной шкале. Если признаки воспаления отсутствуют, рентгенолог присваивает значение 0 и так далее. Если воспалительные очаги и инфильтраты присутствуют в нескольких сегментах, такую пневмонию называют полисегментарной. При коронавирусе пациентам чаще всего диагностируют двустороннюю полисегментарную пневмонию. При своевременном обращении за медицинской помощью распространение инфекции в легких можно остановить.
Степени поражения легких при коронавирусе на КТ
В заключении КТ легких пациенты видят аббревиатуры: КТ-0, КТ-1, КТ-2, КТ-3 и КТ-4 Что они обозначают?
- КТ-0 —очаги воспаления и инфильтраты не выявлены, легкие «чистые»;
- КТ-1 —поражение легких до 25%;
- КТ-2 —поражение легких 25-50%;
- КТ-3 —поражение легких 50-75%;
- КТ-4 —поражение легких > 75%.
По данным исследования «Time Course of Lung Changes at Chest CT during Recovery from Coronavirus Disease 2019 (COVID-19)», опубликованного в июле 2020 года в международном журнале Radiology, максимальное поражение легких (пик пневмонии) у большинства пациентов наблюдается на 10 день заболевания. В выборку не вошли пациенты со специфическими осложнениями, такими как ОРДС, кардиогенный отек легкого, тромбоз, тяжелые последствия которых носят непредсказуемый характер.
Как коронавирус выглядит на КТ?
При коронавирусе на КТ отчетливо и ясно визуализируются инфильтраты в легких — участки, заполненные экссудатом (жидкостью, кровью, гноем), вследствие чего дыхание затруднено.
Особенно наглядно они представлены на 3D-реконструкции дыхательных путей. Такое изображение получается после компьютерной обработки сканов. Эти данные тоже записываются на диск, и пациент может посмотреть визуализацию его собственных легких.
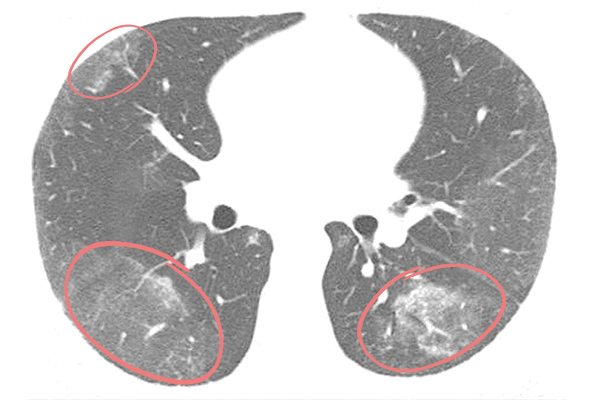
По данным актуальных исследований, публикуемых в журнале Radiology, вирусная пневмония, вызванная COVID-19, чаще всего проявляется на КТ изображениях в виде двухсторонних затемнений по типу «матового стекла» и уплотнений легочной ткани, например, утолщения альвеолярных перегородок. На томограммах это, напротив, более светлые участки, поскольку они свидетельствуют о повышенной плотности легочной ткани, а она хуже пропускает рентгеновские лучи.
Наличие одиночного очага поражения по типу «матового стекла» в правой нижней доле легкого может быть интерпретировано как начальное, самое первое проявление вирусной пневмонии.
Отметим, что «матовые стекла» не являются специфическим признаком пневмонии при коронавирусе. Этот признак характерен для опухолей, кровоизлияний и других инфекций. По результатам КТ легких возможна лишь первичная дифференциальная диагностика пневмоний (бактериальной, вызванной пневмококком, грибками и др.). «Рисунок» этих заболеваний может лишь незначительно различаться. Чтобы врачи могли правильно поставить диагноз, пациенту следует пройти дополнительное обследование, например, сделать ПЦР. Лабораторная диагностика поможет выявить специфического возбудителя воспаления легких.
Когда заболевание переходит в более позднюю стадию, рисунок становится более специфическим. Коронавирусную пневмонию на КТ легких определяют по следующим признакам.
Матовое стекло при коронавирусе
«Матовые стекла» считаются основным признаком поражения легких при пневмонии. Так называют участки легочной ткани, в которых альвеолы заполнены жидкостью — это инфильтраты. Название отсылает непосредственно к визуализации этого признака при лучевой диагностике. Уплотнения по типу «матового стекла» напоминают беловатый налет, легочная ткань — светлая.

«Матовые стекла» при коронавирусе обычно локализуются с обеих сторон (двусторонняя пневмония) в нижних и боковых отделах, ближе к плевре либо сконцентрированы вокруг бронхов. При этом сохраняется видимость сосудов, бронхов и их стенок. По количеству и размерам инфильтратов определяют степень поражения легких.
Консолидация матовых стекол
Признак, который чаще всего наблюдается при среднетяжелом поражении легких. Матовых стекол уже достаточно много, и на некоторых участках можно наблюдать их объединение. Видимость воздушных просветов бронхов сохраняется, но сосуды и стенки бронхов в зоне уплотнения не видны.
Симптом булыжной мостовой
Симптом «булыжной мостовой» также называют «лоскутным одеялом». Легочная ткань на томограммах визуализируется в виде ячеек и приобретает сходство с брусчаткой. Такой рисунок наблюдается при утолщении межальвеолярных перегородок. Обширное воспаление затрагивает интерстиций, вследствие чего он уплотняется, нарушаются обменные процессы в тканях: в альвеолах накапливаются белки и липиды, сокращается воздушное пространство.
Симптом «булыжной мостовой» в сочетании с «матовыми стеклами» указывает на тяжелую, пиковую стадию пневмонии. Наблюдается на 10-12 день заболевания. При благоприятном разрешении проходит на 14-30 день.
Симптом воздушной бронхограммы
Воздушная бронхограмма — рентгенологический термин, который означает, что на фоне плотной и безвоздушной ткани легких с инфильтратами («матовых стекол» с консолидацией), сохраняется воздушное пространство в просвете бронхов. Этот отдел дыхательных путей полностью или частично визуализируются на КТ.
С одной стороны, воздушная бронхограмма говорит о проходимости проксимальных дыхательных путей, с другой — указывает на масштабную обструкцию легких, при которой практически отсутствует альвеолярный воздух.
Фиброз легких
Фиброз — это патологическое разрастание соединительной ткани, которое приводит к уменьшению размера альвеолярных пузырьков, то есть воздушного пространства. У некоторых пациентов организм таким образом реагирует на инфекционное воспаление или механическую травму. Фиброз легких напоминает рубцы и требует самостоятельного лечения. Последствия такого осложнения пневмонии могут быть необратимыми.
Симптом обратного гало
Симптом «обратного ободка» или «гало» представляет собой уплотнение легочной ткани вокруг очага воспаления. Свидетельствует о прогрессирующей пневмонии. На томограммах визуализируется светлым кольцом или ободком, опоясывающим «матовое стекло» в форме практически правильного круга или эллипса.
Симптом плеврального выпота
Плевральный выпот — это скопление жидкого экссудата в плевральной полости. Плевра представляет собой серозную оболочку, которая покрывает поверхность легких и внутреннюю часть грудной клетки. Патологическая жидкость скапливается в пространстве между легкими и грудной клеткой. В норме здесь содержится немного жидкости, около 3-5 мл, — она необходима для амортизации и уменьшения трения дыхательного органа о ребра. Дополнительная жидкость затрудняет дыхание и вызывает сдавление легких.
Важно! Интерпретировать результаты КТ легких может только врач-рентгенолог. Компьютерная томография показывает поражение легких при вирусной пневмонии. Чтобы достоверно определить тип инфекционного возбудителя воспаления легких, пациенту следует сделать ПЦР.
Галина: Здравствуйте! Сегодня восьмой день, как заболела мама и сегодня мы сделали КТ. Вот наше заключение. Пожалуйста,разъясните, мне, что мы имеем.Заключение:изменения лёгких обусловлены воспалительным процессом вирусной этиологии с вовлечением до 28%обьема лёгочной паренхимы-КТ2. Спасибо огромное, очень вам благодарна. еще.
Здравствуйте, Галина, благодарим за вопрос! Период с 7 по 10 день болезни новой коронавирусной инфекцией обычно самые сложные. Важно вызвать терапевта на дом или прийти на амбулаторный прием в специализированное медицинское учреждение в Вашем населенном пункте, где ведется прием пациентов с COVID-19. Если врач-рентгенолог указал в заключении, что воспаление легких вызвано вирусной инфекцией, то скорее всего это коронавирус.
Не тревожьтесь, 28% воспаления не опасны, маловероятно, что при условии правильного лечения уже будет значительно больше. Но мы бы рекомендовали на всякий случай также дома измерять сатурацию (норма 95 и выше, если нет хронических заболеваний дыхательных путей в анамнезе) и артериальное давление. При отклонениях от нормы следует звонить в скорую.
Также мы бы рекомендовали контрольное КТ через месяц, чтобы исключить фиброзные изменения и иные патологии легких после болезни. Особенно в том случае, если будут какие-либо жалобы (одышка, сокращение глубины вдоха и др).
Желаем Вам и вашим близким крепкого здоровья!
Здравствуйте! Сегодня восьмой день, как заболела мама и сегодня мы сделали КТ. Вот наше заключение. Пожалуйста,разъясните, мне, что мы имеем.Заключение:изменения лёгких обусловлены воспалительным процессом вирусной этиологии с вовлечением до 28%обьема лёгочной паренхимы-КТ2. Спасибо огромное, очень вам благодарна.
Читайте также:
