Синдром Фрайберга-Келера (Freiberg-Kohler) - синонимы, авторы, клиника
Добавил пользователь Евгений Кузнецов Обновлено: 06.01.2026
Болезнь Келлера 2 (в отечественной литературе) или болезнь Фрайберга (во всём остальном мире), является следствием развития аваскулярного некроза (или по сути инфаркта) головки 2, реже 3 плюсневой кости стопы. Заболевание проходит ряд последовательных стадий. Первая фаза - дебют заболевания, чаще всего происходит в возрасте 13-18 лет, в 4 раза чаще у девочек. Характеризуется появлением занчительной боли и отёка в проекции поражённой головки плюсневой кости.
Первая фаза болезни келлера 2, или болезни фрайберга.
В нашей стране лечение в таких случаях 100% консервативное - это разгрузка, функциональный покой, использование дополнительной опоры, физиотерапевтическое лечение, обезболивающие таблетки и мази.
Как альтернатива в зарубежной литературе предложены такие вмешательства как декомпрессирующая остеотомия. Суть декомпрессии сводится к тому чтобы соединить участок кости лишенный кровоснабжения из-за тромбоза сосудов с окружающей, здоровой костью. Это можно сделать при помощи спицы, сверла, или даже толстой иглы от шприца. Ожидаемый результат вмешательства - уменьшение зоны ишемии, а в случае раннего вмешательства - реваскуляризация пораженной головки.
Вторая фаза болезни келлера 2, или болезни фрайберга.
Мозаичная хондроплатика - может быть использована на 2 -й стадии заболевания, когда боль и отёк уже регрессировали, и сформировался очаг некроза кости и надлежащего хряща. Для этого требуется взять небольшой костно-хрящевой столбик из другого места - например из коленного сустава, или преахиллярной области, и заменить им поражённую зону головки.
На 3-4 стадии происходит постепенный коллапс верхней части головки и развитие грубого артроза, с формированием крупных костных разрастаний, которые постепенно начинают блокировать движения в суставе. На этой фазе болезни пациенты как правило никогда не обращаются за медицинской помощью, так как болевая симптоматика минимальная, а постепенное прогрессирование ограничения амплитуды их не беспокоит.
На 5 стадии заболевания, когда происходит практически полное прекращение движений в суставе, пациенты начинают снова искать врача. Это связано с тем что для ходьбы нужно хотя бы 10 градусов тыльного сгибания, и когда палец проходит эту точку "невозврата" у человека и начинаются реальные проблемы.
Ниже приведу клинический пример лечения пациентки с данной патологией.
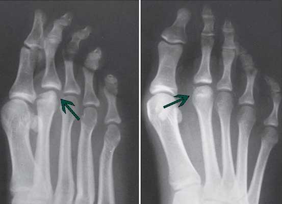
По классике, начало заболевания у неё произошло в возрасте 15 лет. Несколько месяцев были выраженные боли, она хромала, лечилась у детского ортопеда физиотерапией, была освобождена от физкультуры. Примерно через год боли прошли, и практически не беспокоили её на протяжении 30 лет. Но в течение последних 10 из них она начала отмечать прогрессирующее ограничение амплитуды движений.
На приём она обратилась уже с полным отсутствием тыльного сгибания. При осмотре под кожей был виден огромный экзостоз - который блокировал сгибание пальца.

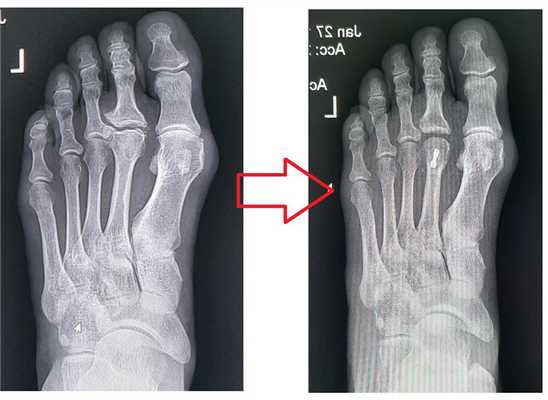
Принято решение оп роведении хирургического вмешательства - резекции экзостоза, клиновидной остеотомии головки 2 плюсневой кости с фиксацией винтом.
Внешний вид костного разростания на операции.

Внешний вид после удаления всего лишнего и фиксации винтом

И самое главное - амплитуда движений после операции

Реабилитационный период при такой операции сравнительно небольшой. 4 недели рекомендуется ходить в специальной обуи - ботинках барука, начиная с 2 дня от операции пациент начинает занятия лечебной физкультурой, постепенно увеличивая амплитуду движений по мере спадения отёка. с 5 недели уже можно ходить в обычной обуви, а через 12 недель активно заниматься спортом.

Операция технически не сложная, быстрая, может быть выполнена под местной и проводниковой анестезией, позволяет восстановить нормальную амплитуду движений и вернуться к нормальной жизни и занятиям спортом. Если вы страдаете от болезни Келлера 2 (болезни Фрайберга) обращайтесь, мы обязательно вам поможем.
Болезнь Келлера
Болезнь Келлера — это хроническое дистрофическое заболевание костей стопы, приводящее к их асептическому некрозу. Заболевание может протекать с поражением ладьевидной кости (болезнь Келлера I) или плюсневых костей (болезнь Келлера II). Болезнь Келера проявляется отечностью и болями в стопе в области пораженной кости, усилением болевого синдрома при ходьбе и его прогрессированием с течением времени, изменением походки и хромотой при одностороннем поражении. Характерным признаком является отсутствие воспалительных изменений пораженной области. Диагностика заболевания основывается на данных рентгенологического исследования. Лечение состоит в снятии нагрузки с пораженной стопы путем ее иммобилизации и последующей восстановительной терапии (лечебная гимнастика, физиотерапия, массаж).
МКБ-10

Общие сведения
Заболевание, описанное Келлером в 1908 году, получило название болезнь Келлера I. Оно представляет собой асептический некроз ладьевидной кости, а болезнь Келлера II — асептический некроз головок костей плюсны. Дегенеративно-дистрофические процессы в костной ткани, лежащие в основе данной патологии, послужили основанием для ее причисления к группе остеохондропатий, куда также входят болезнь Кальве, болезнь Тиманна и болезнь Шляттера. Страдают преимущественно пациенты детского и подросткового возраста.

Причины
Как и этиология других остеохондропатий, факторы, вызывающие болезнь Келлера, пока окончательно не изучены. Большинство исследователей склонны считать основной причиной некротических изменений костной ткани нарушение ее питания за счет расстройств местного кровоснабжения. Расстройства васкуляризации кости, в свою очередь, могут быть обусловлены следующими состояниями:
- врожденные особенности кровообращения пораженной области;
- наличие продольного или поперечного плоскостопия;
- ношение неудобной или слишком тесной обуви;
- повторные травмы: ушибы, подвывихи или вывихи стопы, переломы костей стопы и т. п.
Роль способствующих факторов в развитии болезни Келлера могут играть различные обменные нарушения и эндокринопатии (гипотиреоз, сахарный диабет, ожирение).
Патогенез
Из-за локальных нарушений кровоснабжения в губчатом веществе ладьевидной или плюсневой кости формируется участок некроза. Затем начинается процесс репарации, однако из-за сохраняющихся расстройств кровоснабжения, которые усугубляются местным отеком, спазмом или парезом мелких артерий, полноценного восстановления костной ткани не происходит. Зона некроза постепенно распространяется до кортикального слоя.
В результате снижения механической прочности кости образуются импрессионные (вдавленные) патологические переломы. В последующем участки некроза замещаются соединительной тканью. Начинаются интенсивные процессы репарации, которые через 1-3 года с момента начала заболевания завершаются восстановлением костной ткани. При этом кость в различной степени деформируется из-за предыдущих вдавленных переломов и дефрагментации.
Классификация
В своем развитии заболевание проходит определенные фазы, установление которых необходимо для подбора оптимальной тактики лечения. В отечественной травматологии и ортопедии применяют следующий вариант стадирования патологии:
- 1 стадия (некроза) - асептическое разрушение кости, обусловленное сосудистыми нарушениями.
- 2 стадия (импрессионных переломов) - возникновение патологических переломов.
- 3 стадия (фрагментации) - кость разделяется на фрагменты.
- 4 стадия (репарации) - отмечается интенсивный рост соединительной ткани и ее постепенное замещение костной тканью, не имеющей нормальной структуры.
- 5 стадия (консолидации) - структура костной ткани восстанавливается с сохранением формы кости или развитием деформаций разной степени тяжести.
Симптомы болезни Келлера
Болезнь Келлера I
Чаще диагностируется у мальчиков 3-7 лет. Патология характеризуется появлением на тыльной стороне стопы ближе к ее внутреннему краю припухлости, обусловленной отечностью тканей этой области. Отсутствие покраснения кожи и местного повышения температуры в зоне отека свидетельствует в пользу невоспалительного характера происходящих изменений.
Отмечается болезненность пораженной зоны при прощупывании и при нагрузке на стопу, утомляемость ребенка при ходьбе. Чтобы избежать боли, дети ставят ногу с упором на наружный край стопы. Может наблюдаться хромота. Со временем боль усиливается и приобретает постоянный характер, не исчезая даже при полном покое. Болезнь Келлера I длится в среднем около года и может привести к стойкой деформации ладьевидной кости.
Болезнь Келлера II
Обычно выявляется у девочек 10-15 лет. Заболевание проявляется припухлостью и болезненностью в области пораженной плюсневой кости. Чаще всего встречается поражение II и III плюсневых костей. Возможен двусторонний характер патологических изменений. При этом симптомы воспаления не наблюдаются. Болезнь Келлера начинается с появления неинтенсивного болевого синдрома, поначалу проявляющегося лишь при нагрузке на передние отделы стопы.
Характерно усиление боли при прощупывании пораженной области и во время ходьбы, особенно по неровному грунту или в обуви со слишком тонкой и мягкой подошвой. Со временем пациенты начинают жаловаться на то, что боль в стопе становится постоянной, более интенсивной и сохраняется даже в покое. Отмечается укорочение пальца, который примыкает к головке подвергшейся некрозу плюсневой кости. Объем движений в суставе, сформированном пораженной плюсневой костью, ограничивается. Болезнь Келлера II протекает в среднем в течение 2-3 лет.
Осложнения
В число возможных осложнений болезни Келлера входят артрозы мелких суставов стопы. Возможно ограничение движений. У некоторых пациентов возникают боли, обусловленные деформацией свода стопы и патологическим перераспределением нагрузки. Типично усиление болевого синдрома после нагрузки (стояния, длительной ходьбы). Все перечисленное может накладывать определенные ограничения при выборе профессии, возможности заниматься различными видами спорта и пр.
Диагностика
Болезнь Келлера диагностируется клинически и рентгенологически. Детский ортопед выясняет жалобы и анамнез заболевания, проводит объективный осмотр. Основным методом исследования является рентгенография стопы:
- Болезнь КеллераI. На рентгенограммах вначале отмечается остеопороз ладьевидной кости, вызванный асептическим разрушением ее губчатого вещества. Затем выявляется уплотнение точек окостенения, сплющивание и уплотнение ладьевидной кости. Позже наблюдается дефрагментация ладьевидной кости, т. е. ее распад на отдельные костные фрагменты в результате прогрессирования некротического процесса.
- Болезнь КеллераII. На снимках выявляются патологические изменения в головке пораженной плюсневой кости. В зависимости от срока заболевания может обнаруживаться остеопороз, уплотнение и деформация головки плюсневой кости, ее патологический перелом и дефрагментация.
Дифференциальная диагностика
При первом типе болезни Келлера может потребоваться дифференцировка с индивидуальными особенностями окостенения ладьевидной кости (многоядерным, замедленным), туберкулезным поражением. Второй тип заболевания дифференцируют с маршевой стопой, остеофитами, костным туберкулезом, инфекционным артритом и последствиями переломов.

Лечение болезни Келлера
Лечение патологии длительное (до полного восстановления структуры кости), обычно проводится в амбулаторных условиях, включает в себя специальный охранительный режим, иммобилизацию, ЛФК и физиотерапию. Медикаментозное лечение назначается при наличии показаний. Хирургические вмешательства требуются редко.
Консервативное лечение
На начальной стадии болезнь Келдера лечится путем разгрузки пораженной некрозом кости, что позволяет предотвратить прогрессирование некроза и остановить деформацию костных структур. Это достигается ограничением физической нагрузки и иммобилизацией стопы. В последующем нагрузку постепенно увеличивают. В периоде восстановления возрастает значимость немедикаментозных методов лечения. Программа терапии включает следующие мероприятия:
- Иммобилизация. При болезни Келлера I на стопу накладывается гипсовая повязка, моделирующая продольный свод стопы. Ее ношение рекомендовано в течение 4-8 недель. При болезни Келлера II иммобилизация достигается ношением гипсового сапожка в течение 1 месяца. В этот период пациент может передвигаться при помощи костылей.
- Ограничение нагрузки. После снятия гипса для уменьшения нагрузки на стопу во время ходьбы необходимо пользоваться специальными супинаторами. Рекомендуется избегать прыжков, длительной ходьбы и бега.
- Лекарственная терапия. Для купирования болевого синдрома применяются анальгетики. Для устранения отека могут назначаться противовоспалительные средства. Для нормализации метаболических процессов используются витаминные комплексы, медикаменты, содержащие кальций и фосфор.
- Физиотерапия. После периода иммобилизации проводят комплекс физиотерапевтических и гимнастических лечебных мероприятий, направленных на восстановление функции стопы. Лечение болезни Келлера осуществляется с применением массажа стопы, рефлексотерапии, магнитотерапии, грязелечения, ножных ванн и лечебной физкультуры.
Правильно проведенная терапия приводит к сокращению сроков протекания болезни Келлера, предупреждает необратимую деформацию кости и способствует полному восстановлению функции стопы.
Хирургическое лечение
Если, несмотря на проводимое консервативное лечение, развивается деформирующий остеоартроз пораженного сустава, то рассматривается вопрос об оперативном лечении. Методом выбора является артропластика суставов стопы, предусматривающая ремоделирование суставных поверхностей, иссечение участков фиброза.
КТ стопы. Болезнь Келера-2 (остеохондропатия головки 3-й плюсневой кости: снижение высоты головки вследствие остеонекроза, с наличием свободного костно-хрящевого фрагмента).
Прогноз и профилактика
Прогноз определяется временем начала лечебных мероприятий, соблюдением рекомендаций врача-ортопеда, наличием остаточных явлений. Предупредить болезнь Келлера у ребенка поможет правильный подбор обуви, которая должна соответствовать размеру ноги, быть удобной и не слишком жесткой. Следует избегать травм стопы, а при их получении незамедлительно обращаться к травматологу и следовать всем его рекомендациям. Поскольку болезнь Келлера связана с плоскостопием, то его своевременное лечение также имеет профилактическое значение.
Болезнь Келлера-Фрайберга

Остеохондропатия головки плюсневой кости (болезнь Келлера-Фрайберга) чаще всего поражает головку второй плюсневой кости, однако примерно в четверти случаев поражается третья и еще реже четвертая плюсневая кость.
Заболевание чаще встречается в подростковом возрасте, частота его среди лиц женского и мужского пола составляет 5:1. Болезнь впервые описана в 1914 году, однако ее причины до сих пор до конца не изучен.
Фрейберг считал, что причиной заболевания является некроз кости в результате повторяющейся микротравматизации, причиной которой является относительно высокая длина второй плюсневой кости по сравнению с остальными. Эта теория в последующем получила подтверждение в ряде исследований.
Некоторые ученые считают, что головка второй плюсневой кости часто испытывает дефицит кровоснабжения приводящего в свою очередь к разрушению суставных поверхностей.
Есть мнение, что возможными причинами болезни является генетическая предрасположенность.
На основании рентгенологических изменений костей врачи выделяют 5 стадий в течении заболевания.
I стадия характеризуется формированием трещины в головке плюсневой кости. Это становится причиной воспаления, которое на рентгенограмме проявляется расширением суставной щели плюсне фалангового сустава.
На II стадии головка плюсневой кости уплощается вследствие рассасывания ее центральной части.

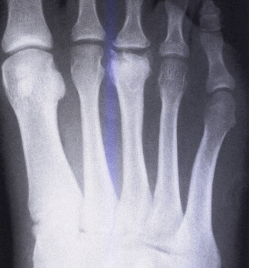
Рентгенологические признаки болезни Келлера. Ранние стадии заболевания характеризуются остеолизом и центральным коллапсом головки
III стадия характеризуется продолжающейся деформацией всей головки. Немного хряща остается на подошвенной поверхности головки.
В IV стадию формируются переломы измененной субхондральной кости, приводя к появлению в полости сустава свободных тел.
На V стадии головка плюсневой кости значительно уплощена и расширена, суставная щели сужена, появляются грубые вторичные артрозные изменения.

Рентгенологические признаки болезни Келлера. Поздние стадии заболевания: центральный коллапс и остеолиз головки.
Клиническая картина обычно характеризуется болью, отеком и ограничением движений в пораженном суставе. Симптомы усиливаются при физической активности и уменьшаются в покое.
При осмотре стопы отмечается увеличение объема второго плюсне-фалангового сустава вследствие синовита.

Местная температура тканей нередко повышена. Движения в суставе ограничены из-за боли. При длительном течении заболевания на подошвенной поверхности стопы под головкой соответствующей плюсневой кости может формироваться натоптыш, причиной которого обычно является деформация кости.
Диагноз подтверждается рентгенологически на основании признаков остеосклероза (уплотнения) на ранних стадиях заболевания и разрушения головки плюсневой кости на поздних стадиях. Определенной диагностической ценностью могут обладать радиоизотопные методы и МРТ, однако стандартной рентгенографии, тщательно собранного анамнеза и осмотра обычно бывает достаточно для постановки правильного диагноза.

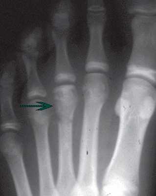
Рентгенограмма на которой отмечается формирование крупного остеофита (стрелка) в области третьего плюснефалангового сустава.
Лечение направлено в первую очередь на устранение имеющихся у пациента дискомфортных ощущений. На ранней стадии заболевания, особенно когда еще нет значительной деформации головки плюсневой кости, показана фиксация короткой шиной, допускающей возможность нагрузки, или использование жесткой послеоперационной обуви, позволяющей уменьшить нагрузку на пораженный сустав. При прогрессировании заболевания или, когда пациент обращается за помощью уже по прошествии острой фазы заболевания с нарастающей деформацией головки плюсневой кости, может быть показано оперативное лечение.
На ранней стадии заболевания (чаще всего это II стадия) операция включает дебридмент (чистку) сустава и резекцию (удаление) гипертрофированной кости.
В случаях более выраженного поражения сустава предложен целый ряд вариантов хирургического лечения, включающий остеохондропластику, декомпрессию головки, артроскопический дебридмент сустава, и различные остеотомии плюсневой кости.
Последние включают укорачивающие остеотомии, позволяющие разгрузить головку, и тыльные закрывающиеся клиновидные остеотомии, целью которых является переориентирование нагружаемой суставной поверхности головки плюсневой кости.
Принцип переориентирования более здоровой подошвенной поверхности головки плюсневой кости является вполне оправданным, а частота отличных и хороших результатов этих операций, очень высока.
Выполняется небольшой разрез кожи в области сустава. Выполняется осмотр сустава. Синовиальная ткань удаляется. При обнаружении по краям головки плюсневой кости костных разрастаний они удаляются. После этого объем движения пальца в плюсне-фаланговом суставе увеличивается до 80-90°.
Иногда, у молодых и физически активных пациентов, желающих сохранить приемлемый объем движений в плюснефаланговом суставе может быть выполнена интерпозиционная артропластика.
Во время этой операции из сухожильного лоскута формируется спейсер (прокладка) в виде «клубка», которая помещается в сустав. Результаты это операции очень хороши.
Послеоперационный период
Примерно в течение 10 дней после операции стопа фиксируется давящей повязкой, и пациент передвигается в послеоперационной обуви. Затем пациент начинает активные и пассивные упражнения, направленные на достижение максимально возможного объема движений в суставе.
Результаты операции
Операция чаще всего позволяет добиться удовлетворительного симптоматического эффекта. Движения восстанавливаются в объеме, достаточном для удовлетворительной функции стопы.
Некоторые врачи рекомендуют резецировать головку плюсневой кости и замещать ее эндопротезом, однако мы не считаем, что подобная операции может быть показана при данном заболевании.
Иногда единственной проблемой пациента является свободный фрагмент в полости сустава, и тогда бывает достаточно удалить только его, чтобы пациенту стало гораздо легче.
Выполняется маленький разрез над головкой плюсневой кости. Далее производится дебридмент (чистка) сустава, удаляются все свободные внутрисуставные тела.
В области тыльной поверхности головки вырезается костный клин шириной 5-7 мм. Не разрушенная подошвенная поверхность головки плюсневой кости разворачивается к тылу. Остеотомия фиксируется спицами. винтами или биоабсорбируемыми пинами. Стопа фиксируется гипсовой шиной, допускающей возможность нагрузки. Пациенту разрешают ходить с нагрузкой только на пятку.

Тыльная закрывающаяся клиновидная остеотомия. А, Заштрихованная зона головки представляет собой участок измененного хряща. В, Резекция измененного хряща и клиновидная остеотомия головки. С, Внутренняя фиксация 2-4 биоабсорбируемыми пинами.
Через 4 недели после операции пациенты начинают ходить в обычной обуви с ограничением нагрузки на передний отдел стопы, начинаются упражнения, направленные на восстановление движений в переднем отделе стопы. Полная нагрузка допускается при наличии рентгенологических признаков консолидации.
Результаты
После операции отмечается достаточно высокая частота удовлетворенности пациентов, купирования болевого синдрома и возвращения к физической активности при минимальном уровне осложнений.
Синдром Стерджа-Вебера
Синдром Стерджа-Вебера — врожденный ангиоматоз, поражающий кожу, органы зрения и центральную нервную систему. Проявляется множественными врожденными ангиомами лицевой области, стойким эпилептическим синдромом, глаукомой, олигофренией, другими неврологическими и офтальмологическими симптомами. В ходе диагностики выполняется рентгенография черепа, КТ или МРТ церебральных структур, офтальмоскопия, измерение внутриглазного давления, гониоскопия, УЗИ глаза. Лечение включает противоэпилептическую терапию, консервативное и хирургическое лечение глаукомы, симптоматическую терапию. Прогноз во многих случаях неблагоприятный.

Синдром Стерджа-Вебера — редко встречающееся врожденное ангиоматозное поражение церебральных оболочек, кожи и глаз. Распространенность находится на уровне 1 случай на 100 тыс. населения. Впервые пациента с таким синдромом описал в 1879 г. Стердж, затем в 1922 г. Вебер указал рентгенологические признаки, выявляемые при данном синдроме. В 1934 г. Краббе предположил, что у пациентов, наряду с ангиомами кожи, имеется ангиоматоз церебральных оболочек. В честь этих исследователей заболевание получило название синдром Стерджа-Вебера-Краббе. В связи с тем, что ангиомы лица локализуются в области иннервации кожи 1-ой и 2-ой ветвью тройничного нерва, в неврологии заболевание также известно под названием энцефалотригеминальный ангиоматоз. Наряду с нейрофиброматозом Реклингхаузена, синдромом Луи-Бар, туберозным склерозом, болезнью Гиппеля-Линдау и др., синдром Стерджа-Вебера входит в группу факоматозов — прогрессирующих нейрокожных заболеваний.

Причины синдрома Стерджа-Вебера
Синдром Стерджа-Вебера возникает в результате нарушений эмбрионального развития, приводящих к сбою дифференцировки экто- и мезодермальных листков. Большинство случаев составляет спорадическое появление синдрома, реже отмечается аутосомное (не сцепленное с полом) доминантное или рецессивное наследование с частичной пенетрантностью. Считается, что спорадические случаи обусловлены негативным воздействием на плод в эмбриональном периоде. Вредоносными факторами могут выступать экзо- и эндогенные интоксикации беременной, в том числе никотин, алкоголь, наркотики, различные медикаменты; внутриутробные инфекции; дисметаболические нарушения у будущей матери (например, некомпенсированный сахарный диабет или гипертиреоз).
Морфологическим субстратом заболевания является ангиоматоз — формирование и рост множественных сосудистых опухолей (ангиом), располагающихся на коже лица и в церебральных оболочках. Как правило, ангиоматоз оболочек затрагивает их конвекситальную часть, более часто наблюдается в затылочной и теменных зонах. Обычно ангиоматоз лица и ангиоматоз мозговых оболочек имеют гомолатеральное расположение, т. е. находятся на одной стороне. Однако нередко отмечается двусторонний характер поражения. В церебральных тканях, расположенных под ангиоматозно измененным участком оболочки развиваются дегенеративные процессы, происходит атрофия и избыточный рост глии, формируются кальцификаты.
Симптомы синдрома Стерджа-Вебера
Самым ярким признаком, характеризующим синдром Стерджа-Вебера, выступает ангиоматоз кожи лица. У всех пациентов сосудистое пятно является врожденным. Со временем оно может увеличиваться в размерах. Локализуется, как правило, в скуловой и подглазничной области. Бледнеет при надавливании. В начале имеет розовую окраску, затем приобретает ярко-красный или красно-вишневый оттенок. Внешний вид и распространенность ангиом различны, они могут представлять собой мелкие рассеянные очажки или сливаться в одно большое пятно, т. н. «пламенеющий невус». Ангиоматоз может охватывать полость носа, глотку, полость рта. В 70% случаев синдрома ангиоматоз является односторонним. В 40% изменения на лице сочетаются с ангиомами туловища и конечностей. Возможны и другие дерматологические симптомы: врожденные гемангиомы, локальные отеки мягких тканей, невусы, зоны гипо- и гиперпигментации. По некоторым данным в 5% случаев синдром Стерджа-Вебера протекает без характерного «пламенеющего невуса» на лице.
От 75% до 85% случаев энцефалотригеминального ангиоматоза протекают с судорожным синдромом, дебютирующим на первом году жизни. Характерны эпиприступы джексоновского типа, во время которых судороги охватывают конечности, контрлатеральные (противоположные) расположению ангиоматоза церебральных оболочек. Эпилепсия приводит к задержке психического развития, олигофрении, в отдельных случаях вплоть до идиотии. Может наблюдаться гидроцефалия, гемипарез и гемиатрофия контрлатеральных оболочечной ангиоме конечностей.
Со стороны органа зрения могут наблюдаться ангиомы сосудистой оболочки глаза, гетерохромия радужки, гемианопсия, колобомы. Примерно у трети больных диагностируется глаукома, которая вызывает помутнение роговицы, а в ряде случаев приводит к формированию гидрофтальма. В некоторых случаях синдром Стерджа-Вебера сочетается с дисплазией лицевого черепа, проявляющейся асимметрией лица; в других — с врожденным пороком сердца.
Патогномоничная триада проявлений синдрома («пламенеющий невус», нарушения зрения, неврологическая симптоматика) наблюдается лишь у пятой части больных. В остальных случаях сочетание симптомов значительно варьирует, в связи с чем на сегодняшний день выделено 10 клинических форм синдром Стерджа-Вебера. Нередки абортивные варианты синдрома, при которых клинические симптомы выражены лишь частично и в легкой степени.
Диагностика синдрома Стерджа-Вебера
Диагностировать синдром Стерджа-Вебера возможно по характерному сочетанию симптомов: наличию кожного лицевого ангиоматоза, эпиприступов и других неврологических проявлений, а также офтальмологической патологии (в первую очередь, глаукомы). Диагностический поиск проводится коллегиально неврологом, эпилептологом, офтальмологом и дерматологом.
При проведении рентгенографии черепа обнаруживаются зоны обызвествления коры, имеющие вид двойных контуров, как бы обводящих извилины в области церебрального поражения. КТ головного мозга визуализирует еще более обширные зоны кальцификации, чем показывает рентгенография. МРТ головного мозга выявляет участки дегенерации и атрофии церебрального вещества, истончения коры; позволяет исключить другие заболевания (внутримозговую опухоль, абсцесс головного мозга, церебральную кисту).
Электроэнцефалография дает возможность определить характер биоэлектрической активности мозга и диагностировать эпи-активность. Офтальмологическое обследование состоит из проверки остроты зрения, периметрии, измерения внутриглазного давления, офтальмоскопии и гониоскопии (при сохранности прозрачности роговицы), ультразвуковой биометрии глаза, АВ-сканирования.
Лечение и прогноз синдрома Стерджа-Вебера
В настоящее время синдром Стерджа-Вебера не имеет эффективного лечения. Терапия направлена на купирование основных проявлений. Проводится антиконвульсантная терапия вальпроатами, карбамазепином, леветирацетамом, топираматом.
Эписиндром зачастую оказывается резистентным к проводимому противоэпилептическому лечению, что требует перехода с монотерапии на прием комбинации из двух препаратов. В качестве одного из способов лечения применяется рентген-облучение черепа над пораженной ангиоматозом областью. По показаниям нейрохирургами может быть рассмотрен вопрос о проведении оперативного лечения эпилепсии.
Лечение глаукомы состоит в инстилляции глазных капель, снижающих секрецию внутриглазной жидкости: бримонидина, тимолола, дорзоламида, бринзоламид и пр. Однако подобная консервативная терапия зачастую оказывается малоэффективной. В таких случаях офтальмохирургами проводится хирургическое лечение глаукомы: трабекулотомия или трабекулэктомия.
К сожалению, при выраженной клинике синдром Стерджа-Вебера имеет неблагоприятный прогноз. Некупируемый эпилептический синдром приводит к выраженной олигофрении. Возможна потеря зрения, интракраниальные сосудистые нарушения, влекущие за собой вероятность развития инсульта.
Болезнь Келера
Болезнь Келера (также встречается название «болезнь Келлера») относится к остеохондропатиям и представляет собой патологию костей стоп. Остеохондропатия — это заболевание, при котором происходит асептический, то есть неинфекционный, некроз участка кости из-за нарушения его питания. Если поражаются ладьевидные кости, то говорят о болезни Келера I, а если плюсневые в области головок — Келера II.

Первый, относительно редкий, тип заболевания охарактеризован А Келером (А. Кohler) в 1908 году. Патология встречается преимущественно у мальчиков в возрасте от 3 до 7 лет и носит односторонний характер.

Остеохондропатия головки плюсневой кости «открыта» Фрейбергом в 1914 году и А.Келером в 1920 году. Поэтому она также называется болезнью Фрайберга или Фрайберга-Келера. По распространенности патология занимает четвертое место среди всех остеохондропатий. Поражение встречается преимущественно у лиц женского пола 10-ти - 20-тилетнего возраста и локализуется в эпифизе (входящем в суставную полость закругленном конце) головки второй, реже третьей, кости плюсны. Известны единичные эпизоды вовлечения в патологический процесс головок четвертой и пятой костей, а также одновременное поражение второй и третьей.

Как и в случае других остеохондропатий, причины болезни Келера остаются до конца не выясненными. Принято считать, что в развитии заболевания основную роль играет нарушение питания костной ткани из-за локального расстройства кровообращения. Такое расстройство может быть спровоцировано:
- наследственными особенностями;
- острой или хронической травматизацией стопы;
- наличием плоскостопия;
- нарушениями костной структуры из-за инфекционного процесса, рахита и пр.;
- ношением неудобной обуви;
- обменными нарушениями и пр.
Симптомы
Болезнь Келера I проявляется отечностью и болевыми ощущениями, усиливающимися при движении. Больной пытается ходить, опираясь только на наружную часть стопы. Примерно в течение 8-12 месяцев признаки проходят, а весь период заболевания составляет до 2,5 лет.

Начало болезни Келера II характеризуется болезненностью при ходьбе, возникающей у основания второго-третьего пальца. Затем боли усиливаются (особенно при ходьбе босиком или в обуви с мягкой подошвой, при движении по неровной поверхности), появляется прихрамывание, на верхней стороне стопы возникает припухлость. Больные стараются ходить с опорой на пятку. Спустя два года симптомы проходят, но могут проявиться опять из-за возникновения артроза соответсвующего сустава.

Диагноз устанавливается по результатам рентгенологического обследования, при котором четко прослеживается стадийность развития патологии:
- асептический некроз (разрушение) костной ткани;
- развитие импрессионных (возникающих из-за вдавления кости при нагрузке) переломов;
- отделение участков поврежденных тканей (фрагментация);
- образование и рост соединительной ткани с последующей ее заменой на новую костную (репарация);
- восстановление костной структуры в исходной форме или в измененном виде.
Лечение
Прогноз болезни Келера благоприятный для обоих вариантов. Однако в случае отсутствия лечения она может привести к:
- деформации ладьевидной кости, болевому синдрому и плоскостопию при первом типе;
- артрозу с сопутствующими проявлениями при втором.
Чтобы предупредить осложнения и ускорить выздоровление, в Первой Медицинской Клинике успешно применяются нехирургические методы. На ранних стадиях проблемы основная роль отводится исключению нагрузки на стопу путем иммобилизации гипсом на срок не более одного месяца. В дальнейшем рекомендуется сохранять двигательный покой, ношение специальной обуви и индивидуальных ортопедических стелек.

Дальнейшие терапевтические мероприятия направлены на:
- нормализацию питания тканей в пораженном участке путем активизации обменных процессов и кровоснабжения;
- стимуляцию рассасывания некротизированных фрагментов;
- активизацию процессов тканевой регенерации;
- устранение сопутствующего мышечного спазма и пр.
С этой целью в лечебный курс могут включаться такие методы, как:
- лечебный массаж;
- ЛФК;
- мануальная терапия и остеопатия;
- ударно-волновая терапия;
- локальная инъекционная терапия;
- лечебные блокады (инъекции анестетиков в область максимальной болезненности);
- инъекции хондропротекторов и препаратов гиалуроновой кислоты;
- аутоплазмотерапия;
- лечение биоимплантом Bio-Osteo;
- рефлексотерапия и пр.
Оперативное лечение при болезни Келера применяется в исключительных случаях при выраженных деформациях кости, мешающих нормальной активности пациента. В нашей клинике для таких случаев проводится индивидуально разработанный курс реабилитации, позволяющий значительно облегчить и ускорить восстановление.
Необходимый объем терапевтической помощи может определить только специалист после проведения диагностических процедур. При появлении признаков болезни Келера рекомендуем своевременно обратиться в Первую Медицинскую Клинику.
Читайте также:
