Синдром Гарсена (Garcin) - синонимы, авторы, клиника
Добавил пользователь Владимир З. Обновлено: 21.01.2026
Гарсена синдром (Син.: Бертолотти - Гарсена синдром; Гийена - Алажуанина - Гарсена синдром; Хартманна синдром; Шминке синдром) — один из синдромов сочетанного поражения краниальных нервов.
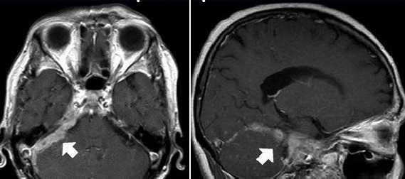
Характеризуется односторонним поражением всех черепных нервов при плоских (метастатических) опухолях в области одной половины основания черепа, чаще саркоматозного характера. Клинически проявляется односторонним поражением всех краниальных нервов, отсутствием признаков повышенного внутричерепного давления, отсутствием признаков поражения пирамидных и чувствительных путей. Лишь в терминальных стадиях могут появляться застойные диски и симптомы сдавления пирамидного пути. Описан французским неврологом Реймоном Гарсеном в 1927г. (Garcin R. Le syndrome paralytique unilatéral globale des nerfs craniens. Thèse de Paris, 1927). Немецким патологом А.Шминке была описана недифференцированная лимфоэпителиальная карцинома носоглотки с метастазами в регионарные лимфоузлы и развитием множественного поражения черепных нервов.
Синдром Гарсена

При данном синдроме характерно одностороннее поражение, на стороне разрастания опухолевого процесса. Характерно расстройство обоняния и зрения, снижение слуха и расстройство равновесия и координации, односторонний парез либо параличи мягкого нёба. Возможно развитие паралича глотки и гортани, односторонняя парестезия (нарушение чувствительности) лица. В ряде случаев бывает одностороннее нарушение жевательной и мимической функций. Возможна инверсия вкуса (расстройство) в области задней трети языка на стороне поражения черепно-мозговых нервов.
Диагностика
Консультация лор врача, отомикроскопическое исследование, акуметрическое исследование слуха, аудиометрическое исследование слуха, импедансометрическое исследование, исследование в позе Ромберга, воздушная нистагмометрия, консультация отоневролога, консультация невролога.
Информацию из данного раздела нельзя использовать для самодиагностики и самолечения. В случае боли или иного обострения заболевания диагностические исследования должен назначать только лечащий врач. Для постановки диагноза и правильного назначения лечения следует обращаться к Вашему лечащему врачу.
ГАРСЕНА СИНДРОМ
ГАРСЕНА СИНДРОМ (по имени описавшего его французского невролога R. Garcin, 1897-1971) - одностороннее множественное поражение черепных нервов (чаще - языкоглоточного, блуждающего, добавочного, подъязычного, слухового, лицевого и отводящего); наблюдается при опухолях носоглотки и основания черепа, чаще - саркомах.
R. Garcin. Le syndrome paralytique unilateral globale des nerfs craniens. These de Paris, 1927.
Энциклопедический словарь по психологии и педагогике . 2013 .
Смотреть что такое "ГАРСЕНА СИНДРОМ" в других словарях:
Гарсена синдром — (R. Garsin, 1875 1971, франц. врач) одностороннее множественное поражение черепных нервов без признаков повышения внутричерепного давления и проводниковых нарушений; наблюдается при опухолях основания черепа … Большой медицинский словарь
Черепны́е не́рвы — (nervi craniales; синоним черепно мозговые нервы) нервы, отходящие от головного мозга или входящие в него. Различают 12 пар Ч. н., которые иннервируют кожу, мышцы, железы (слезные и слюнные) и другие органы головы и шеи, а также ряд органов… … Медицинская энциклопедия
одностороннее множественное поражение черепных нервов без признаков повышения внутричерепного давления и проводниковых нарушений; наблюдается при опухолях основания черепа.
1. Малая медицинская энциклопедия. — М.: Медицинская энциклопедия. 1991—96 гг. 2. Первая медицинская помощь. — М.: Большая Российская Энциклопедия. 1994 г. 3. Энциклопедический словарь медицинских терминов. — М.: Советская энциклопедия. — 1982—1984 гг .
ГАРСЕНА СИНДРОМ — (по имени описавшего его французского невролога R. Garcin, 1897-1971) - одностороннее множественное поражение черепных нервов (чаще - языкоглоточного, блуждающего, добавочного, подъязычного, слухового, лицевого и отводящего); наблюдается при… … Энциклопедический словарь по психологии и педагогике
Гарсена синдром (R. Garsin, 1875-1971, франц. врач) одностороннее множественное поражение черепных нервов без признаков повышения внутричерепного давления и проводниковых нарушений; наблюдается при опухолях основания черепа.
Большой медицинский словарь . 2000 .
Читайте также:
- Полость рта у новорожденного. Особенности полости рта у новорожденного.
- Дефундация матки. Высокая надвлагалищкая ампутация матки. Удаление матки с оставлением лоскутов.
- Допплерометрия при гемолитической болезни плода. Оценка гематокрита плода
- Оптимальная температура для тренировки. Закаливание зимним воздухом
- Деформирующий остеоартроз
