Синдром Хашимото (Hashimoto) - синонимы, авторы, клиника
Добавил пользователь Евгений Кузнецов Обновлено: 21.11.2025
У кого чаще возникают симптомы тиреоидита Хашимото ?
Патология как минимум в 8 раз чаще встречается у женщин, чем у мужчин. Хотя заболевание может возникать у подростков или молодых женщин, оно чаще выявляется в возрасте от 40 до 60 лет. Вероятность развития болезни увеличивается, если болезнь есть у других членов семьи или выявлены другие аутоиммунные заболевания. Состояния, связанные с болезнью Хашимото, включают:
- болезнь Аддисона - гормональные нарушения из-за проблем с надпочечниками;
- аутоиммунный гепатит - заболевание, при котором иммунная система атакует печень;
- глютеновая болезнь - расстройство пищеварения, связанное с реакцией на глютен;
- волчанка - хроническое расстройство, которое может затронуть многие части тела;
- злокачественная анемия - заболевание, вызванное дефицитом витамина B12;
- ревматоидный артрит, поражающий суставы, а иногда и другие системы организма;
- синдром Шегрена - заболевание, вызывающее сухость в глазах и во рту.
- сахарный диабет 1 типа - заболевание, которое обуславливаются высоким уровнем глюкозы плазмы из-за того, что в поджелудочной железе не вырабатывается инсулин - гормон, в норме проводящий глюкозу из крови в мышцы.
- Витилиго - состояние, при котором участки кожи не пигментированы.
В большинстве случаев внешние признаки тиреоидита Хашимото развиваются из-за наличия гипотиреоза. Низкий уровень гормонов щитовидной железы также провоцирует высокий уровень холестерина, что может привести к сердечным заболеваниям. В редких случаях тяжелый нелеченый гипотиреоз может привести к микседемной коме, крайней форме гипотиреоза, при которой функции организма замедляются до такой степени, что становятся опасны для жизни.
Каковы симптомы болезни Хашимото?
Внешние проявления тиреоидита Хашимото, как правило длительное время отсутствуют. Поскольку болезнь медленно прогрессирует, щитовидная железа обычно увеличивается в размерах, и передняя часть шеи может выглядеть опухшей. Увеличение органа, называемое зобом, может вызывать чувство сдавления в горле, хотя не вызывает боли. Постепенно повреждение щитовидной железы приводит к ее сокращению и исчезновению зоба. Гипотиреоз при болезни Хашимото часто имеет субклинический характер - легкий и бессимптомный, особенно на ранних стадиях болезни. По мере прогрессирования гипотиреоза могут появиться один или несколько из следующих симптомов:
- усталость;
- увеличение веса, проблемы с переносимостью холода;
- суставные и мышечные боли;
- запоры;
- сухость, истончение волос;
- обильные или нерегулярные менструации;
- проблемы с беременностью;
- депрессия;
- проблемы с памятью;
- замедленная частота сердцебиения.
Исследователи еще не изучили, почему у человека развиваются аутоиммунные расстройства, такие как болезнь Хашимото. Эти расстройства, вероятно, являются результатом комбинации генов и внешнего триггера, например, какого-либо вируса.
Диагностика тиреоидита Хашимото
Врач начнет диагностику с истории болезни и медицинского осмотра, назначит один или несколько анализов крови, чтобы выяснить, есть ли гипотиреоз. Иногда назначаются дополнительные анализы крови для поиска антитиреоидных антител к тиреопероксидазе (ТПО), которые есть почти у всех людей с болезнью Хашимото. Рекомендуется ультразвуковое исследование щитовидной железы. Ультразвук также может исключить другие причины увеличения щитовидной железы, например, узелки - небольшие образования или кисты. Как лечить тиреоидит Хашимото Лечение обычно зависит от того, насколько повреждена щитовидная железа и от тяжести гипотиреоза. Если функции не нарушены, врач может просто наблюдать за состоянием, чтобы увидеть, ухудшится ли заболевание. Гипотиреоз лечится путем замены гормона, который щитовидная железа больше не может вырабатывать. Назначается левотироксин - лекарство аналог гормона щитовидной железы. Врач может порекомендовать принимать лекарство утром перед едой. Примерно через 6-8 недель после начала приема гормона щитовидной железы назначается анализ крови и при необходимости корректируется доза. Каждый раз, когда меняется доза, проводится повторный анализ крови. Как только пациент достигнет целевой дозы, которая работает, врач будет повторять анализ крови через 6 месяцев, а затем один раз в год.
Текст: Алена Парецкая.
Парецкая Елена Михайловна (творческий псевдоним Алена Парецкая) Образование: ВолГМУ (Волгоградский государственный медицинский университет)
Врач-педиатр, диетолог, действующий член ассоциации МАКМАХ, сертифицированный консультант по грудному вскармливанию ВОЗ/ЮНИСЕФ. Общий врачебный стаж - 15 лет. С 2009 года - автор и редактор научных и популярных изданий по широкому кругу вопросов здоровья.
ХАСИМОТО БОЛЕЗНЬ
Хасимото болезнь (H. Hashimoto, японский хирург и патолог, 1881 — 1934; синоним: аутоиммунный тиреоидит, аутоаллергический тиреоидит, лимфоцитарный тиреоидит, лимфоматозный зоб, зоб Хасимото, хронический негнойный тиреоидит, хронический неспецифический тиреоидит, лимфоаденоидный тиреоидит) — аутоиммунное заболевание щитовидной железы, приводящее, как правило, к нарушению ее функции.
Заболевание описано в 1912 году Хасимото. Чаще развивается у женщин в возрасте 40—50 лет, но нередко встречается в детском и юношеском возрасте.
Содержание
Этиология и патогенез
Хасимото болезнь является аутоиммунной болезнью (см. Аутоаллергические болезни). Аутоиммунный характер заболевания подтверждается наличием в сыворотке крови больных антител к тиреоглобулину, микросомальному и другим антигенам щитовидной железы (см.), наличием аутоантител к щитовидной железе у родственников больных, увеличением размеров вилочковой железы (см.), наличием гипергаммаглобулинемии (см. Иммуноглобулин), присутствием иммуноглобулинов в ткани щитовидной железы, лимфоклеточной и плазмоцитарно-клеточной инфильтрацией щитовидной железы больных Хасимото болезнью, сочетанием Хасимото болезни с другими аутоиммунными заболеваниями (ревматоидным артритом, пернициозной анемией, аддисоновой болезнью и др.), а также возможностью создания экспериментальных моделей Хасимото болезни путем иммунизации животных тиреоглобулином собственной щитовидной железы. В патогенезе Хасимото болезни много общего с диффузным токсическим зобом (см. Зоб диффузный токсический). Оба заболевания связаны с наличием специфического дефекта иммунологической защиты организма, который характеризуется появлением самореактивных «запретных» клонов тимус зависимых лимфоцитов — Т-лимфоцитов (см. Иммунокомпетентные клетки). Существующая в здоровом организме система супрессоров подавляет активность T-лимфоцитов и предупреждает их взаимодействие с комплементарными антигенами щитовидной железы. При Хасимото болезни в результате дефекта этой системы (вероятно, генетического) нарушается иммунологическая толерантность (см. Толерантность иммунологическая), и «запретные» клоны T-лимфоцитов взаимодействуют с комплементарными антигенами клеток щитовидной железы, обусловливая тем самым локальный клеточноопосредованный иммунный ответ. При этом Т-лимфоциты взаимодействуют с В-лимфоцитами с последующей трансформацией последних в плазматические клетки (см.), которые образуют поликлональные аутоантитела (см.) к щитовидной железе. Последние оказывают на клетки фолликулов щитовидной железы деструктивное действие. В сыворотке крови больных Хасимото болезнью постоянно обнаруживаются аутоантитела к тиреоглобцлину (см.), компонентам коллоида щитовидной железы, микросомам железистых клеток, тироксину (см.) и трийодтиронину (см.), рецепторам тиреотропного гормона гипофиза на мембранах тиреоцитов, свидетельствующие о том, что в патогенезе Хасимото болезни имеет значение не только клеточно-опосредованный, но и гуморальный иммунитет.
Провоцирующим моментом в развитии Хасимото болезни может служить любое повреждение, вызывающее нарушение целостности щитовидной железы и поступление тиреоглобулина в кровь (операция, применение радиоактивных изотопов, воспаление, неадекватное лечение тиреостатическими препаратами или препаратами йода, при эндемическом или спорадическом зобе, травмы). Определенное значение имеют недостаточное поступление в организм йода (см.), а также наследственная предрасположенность к нарушениям иммунологической толерантности, о чем свидетельствуют наблюдения за однояйцовыми близнецами и родственниками больных Хасимото болезнью, наличие ассоциаций между некоторыми антигенами гистосовместимости (см. Иммунитет трансплантационный) и развитием заболевания.
Прогрессирование аутоиммунного процесса приводит к выраженным деструктивным изменениям в щитовидной железе и развитию гипотиреоза (см.). Развитие гипотиреоза при Хасимото болезни связано: с нарушением биосинтеза гормонов щитовидной железы в результате лимфоцитарной инфильтрации, разрушения тиреоидной ткани и последующей атрофии органа; с присутствием иммуноглобулинов. блокирующих связывание тиреотропного гормона с рецепторами; с блокированием йодом, высвобождающимся из разрушенной тиреоидной ткани, биол. эффекта тиреотропного гормона; с ингибированием соматостатином, синтезируемым паракриновыми клетками щитовидной железы, образования и выделения трийодтиронина и тетрайодтиронина.
Развитие гипертиреоза (см. Тиреотоксикоз) при Хасимото болезни обусловлено синтезом антител, стимулирующих пролиферацию и гиперфункцию тиреоцитов (тиреоидстимулирующих антител), что сближает патогенетически Хасимото болезнь с диффузным токсическим зобом. Гипертиреоз, возникающий в начале заболевания, связан с разрушением фолликулов щитовидной железы и выходом больших количеств тироксина и трийодтиронина в кровь.
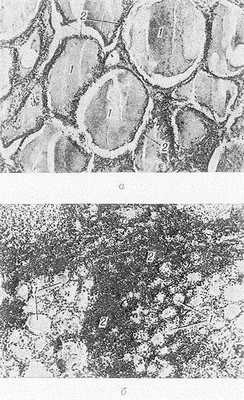
Патологическая анатомия

Рис. Микропрепараты щитовидной железы в норме (а) и при болезни Хасимото (б): а — фолликулы щитовидной железы заполнены коллоидом (1) и выстланы эпителием (2); б — фолликулы щитовидной железы резко уменьшены в размерах, содержат бледный коллоид (1), в строме наблюдается диффузная инфильтрация лимфоидными и плазматическими клетками (2), окраска гематоксилин-эозином; х 70.
Выделяют гипертрофическую и атрофическую формы заболевания. При гипертрофической форме Хасимото болезни щитовидная железа увеличена в размерах уже на ранних стадиях заболевания. Как правило, увеличиваются обе доли, редко только пирамидальная доля. Железа плотная, поверхность ее бугристая, на разрезе выражено дольчатое строение, имеет бело-мраморный, реже бледно-розовый цвет. В ряде случаев в щитовидной железе имеются узлы. При микроскопическом исследовании обнаруживают выраженную лимфоидную инфильтрацию с формированием лимфоидных фолликулов и значительной примесью плазматических клеток, деструкцию тиреоидных фолликулов, исчезновение коллоида, присутствие в полости тиреоидных фолликулов крупных многоядерных клеток, трансформацию фолликулярного эпителия в крупные многоядерные клетки с оксифильно окрашенной протоплазмой — клетки Гюртле — Асканази; местами — гиперплазию тиреоцитов. В интерстициальной ткани наряду с лимфоидной инфильтрацией отмечаются выраженные в разной степени явления склероза (рис.). При гистохимическом исследовании в тиреоцитах обнаруживают уменьшение активности пероксидазы (см.) и кислой фосфатазы (см.), вплоть до полного их исчезновения. При электронно-микроскопическом исследовании отмечается кистозное расширение элементов эндоплазматического ретикулума (см.).
Для атрофической формы, кроме того, характерно разрастание фиброзной ткани, замещающей тиреоидную.
Клиническая картина
Заболевание обычно развивается постепенно в течение нескольких лет, хотя возможно и более быстрое развитие болезни. Доклиническая (латентная) стадия характеризуется иммунными сдвигами и морфологическими нарушениями — повышением титра антител к тиреоидным антигенам и иммуноглобулинов крови, развитием лимфо-плазмоцитарной инфильтрации щитовидной железы. Функция щитовидной железы в этой стадии не нарушена. В дальнейшем клин, проявления зависят от формы заболевания (гипертрофическая или атрофическая) и функционального состояния щитовидной железы.
Атрофическая форма встречается чаще у лиц пожилого возраста и, как правило, проявляется вялостью, слабостью, сонливостью, снижением работоспособности, понижением слуха, сухостью кожи, отечностью лица, изменением тембра и охриплостью голоса, брадикардней и другими признаками гипотиреоза (см.).
При гипертрофической форме одним из наиболее ранних и характерных признаков заболевания является увеличение щитовидной железы. Больные жалуются также на ощущение давления, иногда боли в области шеи, осиплость голоса, обусловленную сдавлением ветвей возвратного гортанного нерва увеличенной щитовидной железой или с отеком слизистой оболочки гортани. Щитовидная железа увеличена, плотная, с неровной поверхностью, подвижная, чаще безболезненная. Регионарные лимфатические узлы не увеличены. В зависимости от функционального состояния щитовидной железы при гипертрофической форме Хасимото болезни выделяют гипертиреоидную, гипотиреоидную и эутиреоидную формы. Часто — это фазы одного и того же процесса. Гипертиреоидная форма Хасимото болезни (хашитоксикоз) проявляется тиреотоксикозом легкой, реже средней тяжести (недомогание, потливость, повышение температуры, похудание, сердцебиение и другие симптомы тиреотоксикоза). В дальнейшем тиреотоксикоз сменяется гипотиреозом, однако проявления тиреотоксикоза могут периодически повторяться на протяжении всего заболевания. Гипотиреоидная форма характеризуется признаками гипотиреоза. При эутиреоидиой форме плотная щитовидная железа в течение многих лет может быть единственным признаком Хасимото болезни. Иногда эутиреоидная форма Хасимото болезни сочетается с явлениями эндокринной офтальмопатии, проявляющейся экзофтальмом (см.) и офтальмоплегией (см.).
Выделяют Хасимото болезнь у детей и юношей. Заболевание характеризуется менее выраженным, чем у взрослых, увеличением щитовидной железы без нарушения ее функции, более низким титром или отсутствием антитиреоидных антител.
Течение Хасимото болезни медленное, прогрессирующее с исходом в гипотиреоз.
Диагноз ставят на основании анамнеза, осмотра (увеличенная плотная, подвижная щитовидная железа), клинической картины и данных лабораторных, иммунологических, цитологических и других методов исследования.
У больных Хасимото болезнью отмечается частое повышение титра антитиреоидных антител (к тиреоглобулину, микро-сомам железистых клеток, к I и II компонентам коллоида), увеличение уровня тиреотропного гормона в крови (иногда даже на фоне эутиреоидного состояния), снижение содержания α1-, α2- и β-глобулинов, повышение содержания γ-глобулинов (в первую очередь IgM и IgG) в крови, лимфоцитоз, моноцитопения, иногда ускорение РОЭ, на более поздних стадиях — гипохромная анемия.
При радиоизотопном исследовании поглощение 131 I щитовидной железой в большинстве случаев нормальное, особенно на ранних стадиях развития болезни. У некоторых больных отмечается снижение поглощения 131 I через 24 часа после введения препарата. В случаях хашитоксикоза поглощение 131 I может быть нормальным или слегка повышенным. После введения тиреотропного гормона (см.) поглощение радиоактивного йода не увеличивается, как это наблюдается в норме. На сканограмме (см. Сканирование) определяется нечеткость контуров щитовидной железы, мозаичность накопления радиоактивного йода.
При рентгенологическом исследовании в отдельных случаях наблюдается сужение и (или) смещение трахеи и пищевода из-за сдавления их увеличенной плотной щитовидной железой.
В ряде случаев диагностике помогает проведение пробного лечения преднизолоном (по 15—20 мг в сутки в течение 7 —10 дней). При наличии Хасимото болезни зоб может уменьшиться в размерах, стать менее плотным.
Большое значение для постановки диагноза, особенно у детей, имеет аспирационная биопсия (см.); при этом необходимо правильно определить место пункции. При микроскопическом исследовании полученного материала обнаруживают большое количество лимфоидных элементов, среди которых встречаются клетки светлых центров лимфоидных фолликулов, плазматические клетки, а также макрофаги и многоядерные гистиоциты. На этом фоне встречаются редкие скопления фолликулярных клеток и (или) клеток Гюртле — Асканази. Обычно существует корреляция между данными цитологического исследования и повышенным титром антитиреоидных антител (чаще микросомальных).
Для выявления Хасимото болезни на ранних стадиях необходимо учитывать лиц с факторами риска. К ним относятся люди, болевшие диффузным токсическим зобом, перенесшие операцию на щитовидной железе, больные с различными формами зоба (см.), родственники больных Хасимото болезнью и диффузным токсическим зобом, а также лица, страдающие другими аутоиммунными заболеваниями, особенно миастенией (см.), витилиго (см,), acanthosis nigricans (см.) и др.
Дифференциальную диагностику проводят со спорадическим зобом (см. Зоб спорадический), чаще конгломератным, раком щитовидной железы (см. Щитовидная железа, опухоли), диффузным токсическим зобом (см. Зоб диффузный токсический), тиреоидитом Риделя и специфическими тиреоидитами (см. Тиреоидит).
При эутиреоидной форме спорадического зоба щитовидная железа обычно эластична и не достигает плотности, наблюдаемой у больных Хасимото болезнью, титр антител к тиреоглобулину и микросомальным элементам щитовидной железы низкий или не определяется. При аспирационной биопсии щитовидной железы не выявляют специфичных для Хасимото болезни изменений.
Рак щитовидной железы характеризуется каменистой плотностью железы, малой ее подвижностью, увеличением регионарных лимфатических узлов. На сканограмме отмечаются размытость и неравномерность контуров щитовидной железы, участки с отсутствием поглощения радиоактивного изотопа. Титр аутоантител низкий. При проведении пробного лечения преднизолоном у больных раком щитовидной железы эффекта не наблюдается.
При дифференцировании Хасимото болезни с диффузным токсическим зобом учитывают анамнестические данные (для диффузного токсического зоба не характерно длительное отсутствие нарушения функции щитовидной железы или снижение ее, а также склонность проявлений тиреотоксикоза к спонтанному регрессированию), нарастающее похудание, выраженные изменения сердечно-сосудистой и нервной системы, отсутствие высокого титра антител (особенно микросомальных), данные цитологического исследования, показатели радиоизотопического исследования.
При фиброзном тиреоидите Риделя щитовидная железа каменистой плотности, титр аутоантител несколько повышен, но значительно ниже, чем при Хасимото болезни.
При дифференциальной диагностике Хасимото болезни со специфическими тиреоидитами (туберкулезным, сифилитическим) учитывают анамнез и результаты серологических и специфических проб, а также данные цитологического исследования материала, взятого при пункции. Лечение Лечение направлено на устранение недостатка собственных гормонов щитовидной железы и снижение активности аутоиммунных процессов в щитовидной железе. Назначают препараты тиреоидных гормонов (тиреоидин, трийодтиронин) в сочетании с глюкокортикоидными гормонами. Прием тиреоидных гормонов начинают с малых доз (тиреоидин — по 25—100 мг, трийодтиронин — по 10—25 мкг в сутки), постепенно повышая дозы соответственно до 200—300 мг и 50 —100 мкг в сутки. Лечение препаратами тиреоидных гормонов проводится под, контролем пульса, АД и ЭКГ. При лечении тиреоидином эффект отмечается обычно, когда доза достигает 100—200 мг в сутки, при лечении трийодтиронином — 25 — 50 мкг в сутки. В дальнейшем назначают поддерживающие дозы: тиреоидина 50—100 мг в сутки, трийодтиронина 10—25 мкг в сутки. Поддерживающие дозы тиреоидных гормонов больные должны получать постоянно. Кортикостероиды (преднизолон) назначают по 20—30 мг в сутки с постепенным снижением дозы в течение 1,5—2 мес. Применяют также электрофонофорез с гидрокортизоном на область щитовидной железы. Иногда с целью повышения активности Т-супрессоров назначают иммуностимуляторы — левамизол и др.
Критериями эффективности лечения являются уменьшение размеров зоба вплоть до нормальной величины щитовидной железы, снижение титра антител к тиреоглобулину и микросомальным элементам щитовидной железы, хорошее самочувствие больного.
Оперативное лечение Хасимото болезни проводят при сдавлении увеличенной щитовидной железой органов шеи, зобе больших размеров и подозрении на его малигнизацию. Вопрос об объеме оперативного вмешательства решается индивидуально с учетом размеров зоба и данных цитологического исследования (экспресс-биопсия). Чаще производят субтотальную резекцию щитовидной железы (см. Щитовидная железа, операции), реже — ее экстирпацию (см. Тиреоидэктомия). В послеоперационном периоде назначаются препараты тиреоидных гормонов.
Больные Хасимото болезнью должны находиться на диспансерном наблюдении у эндокринолога.
Прогноз
Прогноз для жизни благоприятный. Трудоспособность зависит от степени гипотиреоза. При своевременно начатом лечении в отдельных случаях возможно полное выздоровление.
Профилактика
Профилактика заключается в своевременном и эффективном лечении острых инфекционных болезней, санации хронических очагов инфекции, особенно у лиц с факторами риска по Хасимото болезни.
Библиогр.: Ефимов А. С., Боднар П. Н. и Зелинский Б. А. Эндокринология, Киев, 1983; 3ефирова Г. С., Шепеткова Л. В. и Ибрагимова В. Г. Аутоиммунный тиреоидит, Казанск. мед. журн., т. 60, № 4, с. 26, 1979; Левит И. Д. Применение ас пи рационной пункции щитовидной железы и определение циркулирующих в крови тиреоидных аутоантител для диагностики аутоиммунного тиреоидита, Сов. мед., № 1, с. 82, 1982; Раскин А. М. Аутоиммунные процессы в патологии щитовидной железы, Л., 1973; Спесивцева В. Г. Аутоиммунный тиреоидит (клиника, диагностика, лечение), Сов. мед., № 12, с. 59, 1983; De Groot L. J. a. Stanburу J. В. The thyroid and its diseases, N. Y., 1975; Doniach D. a. Roitt I. M. Auto-immunity in Hashimoto’s disease and its implications, J. clin. Endocr., V. 77, p. 1293, 1957; D oniach D., Bottazzo G. F. a. Russell R. C. Goitrous autoimmune thyroiditis (Hashimoto’s disease), Clin. Endocr. Metabol., v. 8, p. 63, 1979; H a-shimoto H. Zur Kenntnis des lympho-matosen Veranderung der Schilddriise < Struma lymphomatosa), Arch. klin. Chir., Bd 97, S. 219, 1912; Hjort Т., Lauridsen U. B. a. Persson I. Thyroid antibodies and thyroglobulin-like products in serum during antithyroid therapy, Acta med. scand., v. 188, p. 431, 1970; Knecht H., Saremalsani P. a. Hedinger C. Immunohistological findings in Hashimoto’s thyroiditis, focal limphocytic thyroiditis and thyroiditis de Quervain, Virchows Arch. path. Anat., Bd 393, S. 215, 1981; Roitt I. M.a. o. Auto-antibodies in Hashimoto’s disease (lymphadenoid goitre), Lancet, v. 271, p. 820, 1956; Vодpe R. Auto-immunity in the endocrine system, В. a. o., 1981.
Аутоиммунный тиреоидит (тиреоидит Хашимото) - симптомы и лечение
Что такое аутоиммунный тиреоидит (тиреоидит Хашимото)? Причины возникновения, диагностику и методы лечения разберем в статье доктора Сивова А. А., эндокринолога со стажем в 13 лет.
Над статьей доктора Сивова А. А. работали литературный редактор Елена Бережная , научный редактор Сергей Федосов
Определение болезни. Причины заболевания
Хронический аутоиммунный (лимфоматозный) тиреоидит (ХАИТ) — хроническое заболевание щитовидной железы аутоиммунного происхождения, было описано Х. Хасимото в 1912 г. Заболевание чаще наблюдается у женщин и наиболее часто диагностируется среди известных патологий щитовидной железы. Аутоиммунный тиреоидит выявляется у одной из 10-30 взрослых женщин. [1]
Рассматриваемое заболевание аутоиммунной природы, и для него обязательно присутствие антител. Впервые опубликовали данные об обнаружении антител к ткани щитовидной железы в сыворотке у пациентов с аутоиммунным тиреоидитом в 1956 году. Впоследствии выяснилось, что аутоиммунный тиреоидит подразумевает наличие антител к тиреоглобулину, второму коллоидному антигену и тиреопероксидазе (микросомальному антигену).
Провоцирующие факторы
Сегодня принято считать, что апоптоз, то есть программируемая гибель фолликулярных клеток щитовидной железы — одна из главных причин аутоиммунного тиреоидита и других патологий щитовидной железы. [2] Предполагается, что запуску апоптоза способствуют вирусы и генетические нарушения.
Чем опасен тиреоидит во время беременности
Аутоиммунный тиреоидит у женщины никак не отражается на возможности забеременеть и родить здорового ребёнка при условии, что у пациентки нормальный уровень гормонов — тиреотропный гормон (ТТГ) до 2,5 мЕд/л, в том числе в первом триместре беременности.
При гормональном нарушении возможны следующие осложнения:
- ;
- выкидыш;
- преждевременные роды;
- проблемы со сном;
- поздний токсикоз; ;
- кровотечения после родов;
- гипоксия плода;
- неонатальный тиреотоксикоз.
При обнаружении схожих симптомов проконсультируйтесь у врача. Не занимайтесь самолечением - это опасно для вашего здоровья!
Симптомы аутоиммунного тиреоидита
Изначально, на протяжении некоторого времени, больные не высказывают никаких жалоб. Постепенно с течением времени регистрируют медленное развитие клинической картины снижения функции щитовидной железы, вместе с тем в части ситуаций будет отмечаться прогрессирующее уменьшение размеров железы или же наоборот ее увеличение. [3]
Клинические проявления при хроническом аутоиммунном тиреоидите начинают появляться с нарушением функции щитовидной железы, но в части ситуаций симптомов может и не быть. Все симптомы аутоиммунного тиреоидита щитовидной железы неспецифические, т. е. могут быть при многообразных заболеваниях. Но несмотря на это, все же обозначим клинические проявления, имея которые следует обратиться к эндокринологу для обследования.

Патогенез аутоиммунного тиреоидита
Эндогенный (внутренний) критерий наследования аутоиммунных заболеваний взаимосвязан с клонами Т-лимфоцитов.
- Чтобы произошло развитие хронического заболевания с учетом имеющейся наследственной предрасположенности, нужно влияние экзогенных факторов (вирусных и любых других инфекций, фармпрепаратов), которые способствуют активации Т-лимфоцитов, те впоследствии активируют В-лимфоциты, запуская цепную реакцию.
- Далее Т-клетки, кооперируясь с антитиреоидными антителами, воздействуют на эпителиальные клетки фолликулов, содействуя их деструкции, вследствие чего снижается численность правильно функционирующих структурных единиц щитовидной железы. [1][4]
Количество антитиреоидных антител при этом заболевании непосредственно отражает выраженность аутоиммунного процесса и иногда имеет склонность уменьшаться по мере увеличения продолжительности заболевания. Только присутствия антитиреоидных антител недостаточно, чтобы травмировать структурные элементы щитовидной железы.
Для реализации токсических свойств имеющимся антителам необходимо вступить во взаимодействие с Т-лимфоцитами, которые чувствительны к антигенам щитовидной железы при ХАИТ, чего не бывает при наличии обычного зоба или если патология щитовидной железы не выявлена.
В норме все клетки имеют иммунологическую нечувствительность к другим клеткам собственного организма, которая приобретается во время внутриутробного развития (еще до рождения), во время взаимодействия зрелых лимфоцитов со своими антигенами. Любые нарушения в данном взаимодействии и синтез особых клонов Т-лимфоцитов, которые вступают во взаимодействие со своими же антигенами, и могут стать той причиной, которая приводит к нарушению иммунологической нечувствительности и впоследствии привести к формированию любых аутоиммунных патологий, включая и ХАИТ.

Классификация и стадии развития аутоиммунного тиреоидита
Формы ХАИТ с учетом объема железы и данных клиники:
- Гипертрофическая (тиреоидит Хасимото). Наиболее распространена. Щитовидная железа отличается плотностью, увеличена до II или III степени. Функция железы чаще не изменена, однако в большинстве ситуаций регистрируют тиреотоксикоз или гипотиреоз. Встречается у 15-20% больных.
- Атрофическая. Щитовидная железа в норме или незначительно увеличена, а на момент осмотра может быть даже уменьшена. Функционально — гипотиреоз. Встречается у 80-85% пациентов.
Еще одна классификация аутоиммунного тиреоидита щитовидной железы: [2]

Фазы ХАИТ с учетом клинической картины заболевания:
- Эутиреоидная. Бессимптомное продолжительное (иногда пожизненное) течение, без изменений в функции щитовидной железы.
- Субклиническая. Если заболевание прогрессирует, то поскольку происходит деструкция клеток щитовидной железы и уменьшается уровень тиреоидных гормонов, повышается синтез тиреотропного гормона (ТТГ), который в свою очередь чрезмерно стимулирует щитовидную железу, благодаря чему организм поддерживает на нормальном уровне секрецию Т4.
- Фаза тиреотоксикоза. Поскольку заболевание продолжает развиваться, в кровь высвобождаются имеющиеся тиреоидные гормоны и формируется тиреотоксикоз. Не считая этого, в кровь попадают разрушенные части внутренних структур фолликулярных клеток, в результате образуются антитела к клеткам щитовидной железы. Когда при прогрессирующей деструкции щитовидной железы концентрация гормонопродуцирующих клеток снижается ниже допустимого предела, концентрация в крови Т4 стремительно уменьшается, развивается стадия явного гипотиреоза.
- Фаза гипотиреоза. Продолжается приблизительно в течение года, чаще всего после этого происходит восстановление функции щитовидной железы. Иногда гипотиреоидная фаза продолжается всю жизнь.
ХАИТ преимущественно протекает только с одной фазой заболевания. [5]
Осложнения аутоиммунного тиреоидита
ХАИТ — условно безопасное заболевание, не приводящее к осложнениям только при условии сохранения необходимой концентрации гормонов в крови, т. е. эутиреоидного состояния. И, соответственно, тогда никаких осложнений не развивается. Но при наступлении гипотиреоза могут наблюдаться осложнения. При отсутствии лечения гипотиреоза могут возникать осложнения: нарушение репродуктивной функции, выраженное снижение памяти, вплоть до слабоумия, анемия, но самое грозное и тяжелое осложнение гипотиреоза — гипотиреоидная или мексидематозная кома — возникает при резкой недостаточности гормонов щитовидной железы. [5] [6]

Диагностика аутоиммунного тиреоидита
Диагностика ХАИТ состоит из нескольких пунктов. Для определения данного заболевания у больного необходим минимум один большой критерий, если таких критериев не обнаружено, то диагноз лишь вероятен. [1]
Большие диагностические критерии:
- первичный гипотиреоз (причем возможен как манифестный, так и устойчивый субклинический);
- присутствие антител к ткани щитовидной железы;
- ультразвуковые критерии аутоиммунной патологии.
Пальпация щитовидной железы
Какие анализы нужны, чтобы определить АИТ
Для установления аутоиммунного тиреоидита необходимо сдать кровь на тиреотропный гормон ( ТТГ), тироксин свободный (Т4 свободный) и антитела к тиреопероксидазе (ТПО). Если антитела к ТПО повышены, но ТТГ в пределах нормы, то диагноз АИТ носит вероятный характер.
Нужно заметить, что при обнаружении у больного гипотиреоза манифестного или стабильного субклинического, диагностирование аутоиммунного тиреоидита важно для установления причины уменьшения функции железы, но несмотря на это постановка диагноза никак не меняет терапевтических методов. Лечение заключается в употреблении заместительной гормональной терапии препаратами тиреоидных гормонов.
Использование пункционной биопсии щитовидной железы не показано для установления хронического аутоиммунного тиреоидита. Ее необходимо проводить, только если имеются узлы щитовидной железы, более 1 см в диаметре.
Важно отметить, что нет надобности контролировать в течение болезни количество имеющихся антител к щитовидной железе, потому что данная процедура не имеет диагностической роли для анализа прогрессирования аутоиммунного тиреоидита. [7]
Лечение аутоиммунного тиреоидита
Терапия аутоиммунного тиреоидита щитовидной железы неспецифическая. При формировании фазы тиреотоксикоза достаточно применения симптоматической терапии. При формировании гипотиреоза главным вариантом медикаментозной терапии является назначение тиреоидных гормонов. Сейчас в аптечной сети РФ возможно приобрести только таблетки Левотироксина натрия (L-тироксин и Эутирокс). Применение таблетированных препаратов тиреоидных гормонов нивелирует клинику гипотиреоза и при гипертрофической форме аутоиммунного тиреоидита вызывает уменьшение объема щитовидной железы до допустимых значений.
В случае обнаружения у пациента манифестного гипотиреоза (повышение уровня тиреотропного гормона и снижение концентрации Т4 свободного) необходимо использование в лечении левотироксина натрия в средней дозе 1,6 - 1,8 мкг/кг массы тела пациента. Показателем правильности назначенного лечения будет являться уверенное удержание в пределах референсных значений тиреотропного гормона в крови больного.
Когда у больного диагностирован субклинический гипотиреоз (увеличена концентрация ТТГ в совокупности с неизмененной концентрацией Т4 свободного), необходимо:
- Спустя 3-6 месяцев вторично провести гормональное обследование для доказательства наличия изменения функции щитовидной железы;
- Когда в течение беременности у пациентки обнаружено увеличение уровня тиреотропного гормона, даже при сохраненной концентрации Т4 свободного, назначить левотироксин натрия в полной расчетной заместительной дозе сразу же;
- Лечение левотироксином натрия нужно при постоянном субклиническом гипотиреозе (увеличение концентрации тиреотропного гормона в крови свыше 10 мЕд/л, и еще в ситуациях не менее двукратного определения концентрации тиреотропного гормона между 5 - 10 мЕд/л), но если этим больным более 55 лет и у них имеются сердечно-сосудистые патологии, лечение левотироксином натрия назначается только при отличной переносимости лекарства и при отсутствии сведений о декомпенсации данных болезней на фоне приема тироксина;
- Показатель достаточности лечения субклинического гипотиреоза представляет собой стабильное удержание уровня ТТГ в пределах референсных значений в крови.
Если у женщин перед планированием беременности, выявлены антитела к ткани щитовидной железы и/или ультразвуковые признаки аутоиммунного тиреоидита, нужно определить гормональную функцию щитовидной железы (концентрацию тиреотропного гормона и концентрацию Т4 свободного) и обязательно определять уровень гормонов в каждом триместре беременности. [8]
Если поставлен диагноз аутоиммунный тиреоидит, но не выявляются изменения в работе щитовидной железы, применение препаратов левотироксина натрия не показано. [9] Оно возможно иногда в исключительных ситуациях внушительного увеличения объема щитовидной железы, спровоцированного аутоиммунным тиреоидитом, при этом решение принимается по каждому пациенту индивидуально. [10]
Физиологическое количество калия йодита (приблизительно 200 мкг/сутки) не могут спровоцировать формирование гипотиреоза и не осуществляют негативного воздействия на функцию щитовидной железы при ранее развившемся гипотиреозе, вызванном аутоиммунным тиреоидитом.
Питание при аутоиммунном тиреоидите
Продуктов, которые влияют на течение аутоиммунного тиреоидита, не существует. Глютен или лактоза не имеют отношения к гипотиреозу на фоне АИТ. Поэтому рекомендации по питанию для людей с аутоиммунным тиреоидитом такие же, как и для всех остальных: разнообразное сбалансированное питание с достаточным употреблением воды.
Существуют ли народные способы лечения
Аутоиммунный тиреоидит лечат только медицинскими препаратами, которые назначает эндокринолог. Отсутствие адекватной терапии может грозить опасными осложнениями: нарушением репродуктивной функции, выраженным снижением памяти (вплоть до слабоумия), анемией и комой, которая возникает при резкой недостаточности гормонов щитовидной железы.
Прогноз. Профилактика
Хронический аутоиммунный тиреоидит прогрессирует обычно крайне медленно, с развитием гипотиреоидного состояния спустя несколько лет. В отдельных ситуациях состояние и трудоспособность сохраняются в течение 15-18 лет, даже с учетом непродолжительных обострений. В фазе обострения тиреоидита регистрируются симптомы невыраженного либо гипотиреоза, либо тиреотоксикоза.
Сегодня методов профилактики хронического аутоиммунного тиреоидита не найдено.
Болезнь Хасимото — хронический лимфоцитарный тиреоидит: диагностика и лечение

Общие симптомы болезни Хасимото: выпадение волос, сухость кожи, тяжелые месячные, усталость, мышечные боли, высокий уровень холестерина, проблемы с концентрацией и памятью.
Каковы причины болезни Хасимото? Какие анализы нужно делать и как лечить хронический лимфоцитарный тиреоидит?
Что такое болезнь Хасимото?
Болезнь Хасимото была впервые описана в 1912 году японским хирургом Хакару Хашимото, который исследовал образцы тканей щитовидной железы и обнаружил новый тип тиреоидита. Другие названия заболевания: хронический лимфоцитарный тиреоидит, лимфоцитарный зоб хашимото, тиреоидит Хашимото.
Первоначально открытие Хасимото не получило признания. Лишь в 1930-х годах термин «тиреоидит Хашимото» был принят в медицинском мире.
Хасимото — это аутоиммунное заболевание — оно относится к группе заболеваний, при которых иммунная система разрушает собственные клетки. Болезнь заключается в повышенном количестве антител против TPO-Ab, направленных против пероксидазы щитовидной железы человека. В результате этого процесса нарушается выработка гормонов щитовидной железы, и как следствие, развивается гипотиреоз.
Примеры других аутоиммунных заболеваний, которые могут сочетаться с хашимото: диабет 1 типа, красная волчанка, болезнь Крона, болезнь Аддисона, рассеянный склероз, ревматоидный артрит.
Болезнь Хасимото — симптомы
Симптомы болезни Хашимото могут быть самыми разными, при этом на ранних стадиях заболевания они вообще могут не проявляться. Первые симптомы обычно связаны с гипотиреозом.
Первые симптомы болезни Хашимото:
- постоянное чувство усталости и слабости;
- дремота;
- проблемы с концентрацией внимания;
- проблемы с кожей (сухая кожа);
- выпадение волос;
- перепады настроения, склонность к депрессии;
- высокий уровень холестерина;
- проблемы с весом (увеличение веса);
- боль в суставах;
- мышечная боль;
- тяжелые месячные, нарушения менструального цикла;
- снижение толерантности к холоду;
- хрипота.


Иногда одним из первых симптомов хашимото является симметричное увеличение щитовидной железы (щитовидки). По мере развития заболевания размер щитовидной железы постепенно возвращается к норме.
Тяжесть других симптомов зависит от того, насколько нестабильным является гормональный баланс. Чем тяжелее гипотиреоз, тем тяжелее симптомы.
Регулировка уровня гормонов и соответствующее лечение облегчают симптомы хашимото — но пациенту требуется длительное наблюдение у эндокринолога.
Какие анализы сделать при болезни Хашимото?
Диагностика болезни Хасимото начинается с изучения истории болезни. К сожалению, диагноз обычно ставится на очень поздней стадии развития болезни, когда появляются симптомы гипотиреоза.
Базовое обследование при подозрении на болезнь Хасимото:
- Пальпация — чаще всего при этом тесте обнаруживается увеличение щитовидной железы, поражение не болезненное.
- Анализ крови на анти-тиреотропные антитела против ТПО, антитела против ТГ (повышенная концентрация); — T3 и fT3 (трийодтиронин) и T4 и fT4 (тироксин)
- УЗИ щитовидной железы.

Дополнительно может назначаться тонкоигольная биопсия щитовидки. Обследование показано, когда ультразвуковое исследование показывает наличие узелков. Пробы взятые при биопсии отправляют на гистопатологическое исследование.
Болезнь Хасимото — лечение и прогноз
Эффективного метода лечения хашимото до сих пор не существует. Терапия состоит, главным образом, в лечении последствий заболевания, то есть в лечении гипотиреоза.
Пациентам, у которых анализы крови показывают присутствие антител, но в то же время дисфункция щитовидной железы не обнаружена, показано систематическое проведение тестов на состояние щитовидной железы.
Если поставлен диагноз — гипотиреоз, то чаще всего назначается фармакологическая терапия , которая включает в себя прием недостающих гормонов.

Фармакологическая терапия
Ключевой препарат в лечении хашимото в европейских клиниках — левотироксин. Это стабильная форма синтетического аналога природного тироксина. Препараты с левотироксином (левотироксин натрия, Levothyroxinum natricum) обладают сходными свойствами с гормоном, вырабатываемым щитовидной железой, и используются в качестве гормональной заместительной терапии при гипотиреозе, при хроническом тиреоидите (болезнь Хашимото) и раке щитовидной железы.
Если болезнь Хашимото лечится правильно, она не вызывает серьезных последствий. Очень редко тиреоидит прогрессирует до первичной злокачественной лимфомы щитовидной железы или папиллярного рака щитовидки.
Диета при болезни Хасимото
Использование правильно сбалансированной диеты — важная поддержка в лечении хашимото. При этом использовать ограничительную элиминационную диету (если не обнаружена пищевая аллергия) нет необходимости.
Хашимото — болезнь, разрушающая щитовидную железу

Болезнь Хашимото (также известная как тиреоидит Хашимото) — одно из наиболее часто диагностируемых заболеваний щитовидной железы. Хашимото — это аутоиммунное заболевание. Воспаление при болезни Хашимото постепенно разрушает щитовидную железу, нарушая ее работу и выработку гормонов.
Общие симптомы Хашимото включают: усталость, проблемы с менструацией, мышечные боли, проблемы с концентрацией внимания, чувство холода. Иногда заболевание протекает
бессимптомно. Как диагностируется и лечится болезнь Хашимото? Какая диета рекомендуется?
Пациентов с болезнью Хашимото становится все больше, но остро ощущается нехватка эндокринологов, которые могли бы обуздать это «модное» заболевание.
Пациенты мало знают о щитовидной железе и вырабатываемых ею гормонах. Социологические опросы показывают, что только около 10% людей могут точно указать, где находится щитовидная железа, и определить ее функции в организме. Практически во всех случаях это пациенты, которые уже сталкиваются с гиперактивностью или недостаточной активностью железы и находятся под наблюдением врача.
Хотя болезнь Хашимото в последнее время диагностируется у гораздо большего числа людей, чем в предыдущие десятилетия, она все еще остается немного загадочной — из-за странно звучащего, но запоминающегося названия и неясных механизмов развития.
Что такое щитовидная железа и как она работает?
Щитовидная железа — одна из тех желез, работа которых влияет буквально на весь организм. Проблемы из-за этой патологии проявляются в области ЖКТ, кожи, сердца, репродуктивной системы и психики.

Щитовидная железа
Гормоны, вырабатываемые щитовидной железой, то есть свободный трийодтиронин (FT3) и свободный тироксин (FT4), стимулируют развитие и рост организма, контролируют метаболические и энергетические процессы и важны для развития центральной нервной системы.
Уровень их концентрации в организме непостоянен. Незначительные колебания могут быть вызваны различными причинами, такими как состояние гидратации и кислотно-щелочной баланс организма, и не интерпретируются как фактор, определяющий болезнь. Многие врачи считают, что болезнь Хашимото или хроническое лимфоцитарное воспаление щитовидной железы обычно протекает бессимптомно.
Однако, если пациент сообщает о тревожных симптомах, они обычно включают мышечные боли, ощущение холода (в то время как другие ощущают тепло), чрезмерное менструальное кровотечение, отек ног и лица, грубая и сухая кожа, подавленное настроение. Многие женщины испытывают алопецию на внешней стороне бровей, а также увеличение веса, ломкость волос и ослабление ногтей.
У любого пациента симптомы могут проявляться в любой конфигурации или не проявляться вообще, и поэтому диагноз никогда не основывается исключительно на симптомах, о которых сообщает пациент.
Болезнь Хашимото — название и история болезни
Болезнь Хашимото названа в честь японского хирурга доктора Хакару Хашимото. В 1912 году доктор описал несколько случаев заболевания, даже не предполагая, что его открытие сделает такую головокружительную «карьеру» в 21 веке.
Врач использовал термин « лимфоматозный зоб », который иногда используется до сих пор, но широко известен как болезнь Хашимото. В настоящее время, по оценкам ученых, этой патологией затронуты 4-12% населения, и болезнь начинает приобретать черты цивилизационной болезни. К сожалению, и врачи, и пациенты до сих пор недооценивают эту проблему.

Лимфоматозный зоб
Без лечения болезнь Хашимото серьезно снижает уровень жизни пациента, а кроме того, гипотиреоз может привести к развитию атеросклероза, сердечного приступа, остеопороза или тяжелой депрессии.
Болезнь Хашимото — аутоиммунное заболевание
Болезнь Хашимото имеет аутоиммунный фон, то есть она связана с нарушениями иммунной системы, которая вместо защиты организма от инфекций вызывает воспаление в собственных тканях.
Болезнь Хашимото — причины
Пораженная щитовидная железа становится неспособной эффективно синтезировать гормоны. Среди возможных причин такого «нелогичного», аутоагрессивного поведения организма врачи упоминают генетические факторы, а также ситуации, связанные с образом жизни пациента, в первую очередь эмоциональные проблемы, стрессы, неправильное питание и недостаток физической активности, стимуляторы, нарушения сна и другие.
На возникновение болезни Хашимото также может повлиять беременность, выкидыш, отказ от контрацепции или менопауза, которые связаны с изменениями гормонального баланса организма.
Возможны две формы заболевания: щитовидная железа значительно разрастается и возникает зоб или, наоборот, сморщивается и перерождается.
Болезнь Хашимото — симптомы
Пациентов могут беспокоить:
- усталость ;
- слабость;
- мышечные боли;
- проблемы с концентрацией;
- ощущение холода (в то время как другим людям тепло);
- сонливость;
- проблемы с пищеварением;
- слишком сильное менструальное кровотечение;
- охриплость без видимой причины;
- отек ног, лица;
- проблемы с кожей (шероховатость и сухость кожи).


Возможные психические симптомы болезни Хашимото:
- депрессии;
- перепады настроения;
- психоз.
Пациенты также жалуются на замедление физического и умственного развития, нервозность, раздражительность, нарушение концентрации внимания и связанные с этим проблемы в школе или на работе.
Болезнь Хашимото очень часто сопровождается периодами обострения и ремиссии и может протекать бессимптомно в течение многих лет, не влияя на работу щитовидной железы. Редко вызывает гиперактивность щитовидной железы и в большинстве случаев приводит к гипотиреозу.
Кто подвержен риску Болезни Хашимото?
Болезнь Хашимото обычно диагностируется у женщин старше 50 лет, но все чаще она встречается у 20- и 30-летних, и даже у детей. Нередко можно услышать о больных мужчинах.
Все указывает на то, что случаев заболевания будет все больше, более того, данные о количестве пациентов, вероятно, сильно занижены из-за отсутствия профилактических тестов на заболевания щитовидной железы.
Болезнь Хашимото — исследования, результаты
Пациенты, подозревающие, что у них болезнь Хашимото, обычно обращаются к эндокринологу. Тот назначает анализы , чтобы проверить уровень ТТГ, тиреотропина, гормона, вырабатываемого гипофизом, который контролирует работу щитовидной железы. Чем менее активны клетки и гормоны щитовидной железы, тем сильнее стимуляция гипофиза и выше концентрация ТТГ.

Анализы на гормоны щитовидной железы
Норма для взрослого человека составляет 0,27-4,2 мМЕ / л (эти значения могут отличаться в отдельных диагностических учреждениях), но большинство врачей проявляют бдительность, когда концентрация ТТГ у пациента превышает 3 мМЕ / л. Однако стоит отметить, что уровень ТТГ может повышаться и по другим причинам, например, в результате приема определенных лекарств, из-за сильного стресса или другого острого заболевания.
Поэтому очень важно попытаться провести всю панель диагностики щитовидной железы в диагностике — помимо определения ТТГ, также измеряются гормоны щитовидной железы FT3 и FT4, а также концентрация антител к щитовидной железе в сыворотке, в случае с Хашимото, в основном антитела к тироид-пероксидазе (анти-ТПО).
Обычно проводится ультразвуковое сканирование щитовидной железы. Эндокринолог может также проверить уровень железа, витамина D3 и B12 и кортизола. Важно, чтобы интерпретацией результатов занимался эндокринолог (а не семейный врач), так как подводить итоги всех этих анализов может только узкопрофильный специалист.
Болезнь Хашимото — лечение
Лечение болезни Хашимото основано на ограничительном балансировании уровней гормонов путем введения их пациенту в искусственной форме. Вначале врач может также порекомендовать прием противовоспалительных препаратов, позже обычно вводят суточную дозу гормона щитовидной железы левотироксина.
Препарат обычно хорошо переносится и при правильной дозировке позволяет пациенту вести нормальный, активный образ жизни. Однако такая терапия длится всю жизнь, так как поврежденная щитовидная железа никогда не регенерирует и не начнет производить гормоны, которые отсутствуют в организме.
Каждому пациенту, принимающему искусственный левотироксин, необходимо каждые несколько месяцев проверять уровень гормонов в крови, чтобы врач мог скорректировать дозу препарата.
Диета для поддержки лечения
Новое исследование показывает, что факторы питания могут оказывать значительное влияние на возникновение болезни Хашимото и ее последующее развитие.
Среди диетических ошибок, связанных с Хашимото, прежде всего отмечаются, чрезмерное потребление йода, алкоголя и продуктов с высокой степенью обработки, а также дефицит селена, железа, цинка и витамина D3.
Фармакологическое лечение левотироксином должно сопровождаться правильно сбалансированной диетой, которая является богатым источником питательных веществ, необходимых для правильного синтеза гормонов щитовидной железы Т3 и Т4.
Пациентам с Хашимото рекомендуется: есть 4-5 раз в день с регулярными интервалами . В еде должно быть достаточное количество:
- йода;
- селена;
- железа;
- цинка;
- витамина D3 (добавки с сентября по апрель);
- антиоксидантов и полиненасыщенных жирных кислот омега-3;
- пищевых волокон (> 25 г в день);
- белков животного происхождения (особенно яйца и нежирное мясо) и растительного происхождения (их можно найти, например, в миндале, грецких орехах или семенах льна).
Врачи рекомендуют ограничить потребление сои и продуктов из нее, и исключить продукты с высокой степенью обработки, богатые рафинированным сахаром, насыщенными жирными кислотами и трансжирными кислотами.
В некоторых случаях вы можете рассмотреть возможность безглютеновой диеты, полезной, в частности, для восстановления здорового веса. Некоторые специалисты также советуют избегать избытка коровьего молока и его продуктов, а также сырых овощей, богатых гойтрогенами, которые вредят щитовидной железе — в первую очередь, брокколи, брюссельской капусты, шпината, цветной капусты. Но эти овощи становятся безвредными при приготовлении.
И самое главное — каждый пациент с Хашимото должен бросить курить, потому что в сигаретном дыме есть тиоцианины, то есть химические соединения, которые могут усугубить гипотиреоз и образование зоба.
Читайте также:
- Диагностика перфорации пищевода при травме. Принципы
- Артериовенозная мальформация головного мозга на КТ, ангиограмме
- Топография грудной клетки. Проекция органов на грудную клетку. Проекций органов грудной полости. Ориентировочные линии грудной клетки.
- Синдром Кули (Cooley)
- Диагностика халькоза глаз. Проявления
