Синдром Килайдити (Chilaiditi) - синонимы, авторы, клиника
Добавил пользователь Владимир З. Обновлено: 31.10.2025
Другие названия патологии - острый эпидермальный некролиз или токсический эпидермальный некролиз. Это тяжелое заболевание, которое имеет токсико-аллергическое происхождение, т. е. патологические изменения в организме больного обусловлены не только непосредственно аллергической реакцией, но и поражением организма токсическими веществами, образующимися в ходе аллергического воспаления. Характеризуется оно отслойкой поверхностного слоя кожи от нижележащих, в дальнейшем происходит его омертвление.
Что провоцирует / Причины Синдрома Лайелла:
Основная и самая важная роль в развитии патологии принадлежит различным лекарственным препаратам. На первом месте по частоте вызываемых аллергических реакций стоят сульфаниламидные антибактериальные средства. Затем по убыванию следуют: пенициллины, тетрациклины, эритромицины, противосудорожные препараты, противовоспалительные, обезболивающие, противотуберкулезные средства. В настоящее же время зафиксированы и описаны случаи развития тяжелой реакции на применение таких "безобидных" препаратов, как витамины и биологически активные добавки, средства для рентгеноконтрастирования, противостолбнячная сыворотка и др.
Патогенез (что происходит?) во время Синдрома Лайелла:
Признаки заболевания развиваются достаточно быстро - как правило, от приема провоцирующего препарата до развития характерного поражения проходит от нескольких часов до 1 недели. В некоторых случаях заболевание может развиваться в несколько более поздние сроки. Очень важная роль в развитии синдрома Лайелла принадлежит индивидуальным свойствам организма, его повышенной аллергической чувствительности. Это является генетически предопределенным признаком.
В организме таких субъектов имеют место нарушения процесса обезвреживания вредных продуктов обмена веществ, в результате чего лекарство, попавшее в организм, присоединяет к себе белок, входящий в состав поверхностного слоя кожи. На данное новое получившееся вещество и развивается в итоге иммунный ответ. Кожа больного как бы становится одним большим аллергеном. Реакции в организме, происходящие при этом, в некоторой степени можно приравнять к реакциям, развивающимся в результате иммунного ответа на внедренный в организм чужеродный трансплантат. Таким "трансплантатом" в данном случае является собственная кожа. У всех больных эпидермальным некролизом имеются указания на те или иные аллергические реакции, развивавшиеся ранее после приема различных лекарственных препаратов.
В основе всех изменений в организме больного лежит иммунологическая реакция, известная под названием феномена Шварцмана-Санарелли. При этом происходят нарушение превращения в организме белковых веществ, нарушение регуляции их распада, которая начинает осуществляться очень быстро и бесконтрольно. В итоге в жидкостях, содержащихся в организме, начинается накопление продуктов данного распада, оказывающих токсическое воздействие на органы и системы. В то же время функции органов, ответственных за обезвреживание токсинов и их выведение из организма, в очень значительной степени нарушаются, в организме происходят очень сильные сдвиги в балансе воды, солей и минеральных веществ. В итоге всех указанных патологических процессов состояние больного постоянно ухудшается и часто заканчивается гибелью. Поэтому все такие больные нуждаются в немедленном проведении экстренной интенсивной терапии в соответствующих медицинских учреждениях. В среднем, по данным разных авторов, погибает около 1/4-3/4 всех больных с синдромом Лайелла.
Симптомы Синдрома Лайелла:
Заболевание чаще всего поражает детей и молодых людей. Все признаки развиваются в течение очень короткого промежутка времени. Уже спустя 1-3 дня от начала заболевания состояние больного становится крайне тяжелым, в эти сроки может наступить даже гибель. Внезапно, без видимой на то причины, температура тела повышается до 39-40 °С, иногда выше. Развивающиеся затем высыпания покрывают кожу туловища, рук и ног. Они очень обильные, множественные и представляют собой пятна покраснения с участками отека небольших размеров.
Постепенно они увеличиваются, как бы растекаясь по коже, сливаются между собой. В итоге на теле образуются крупные очаги поражения. Спустя примерно 2 суток на пораженной коже в области очагов начинают появляться пузыри, имеющие различные размеры. Величина их в ряде случаев может достигать ладони больного. Кожа, покрывающая их, дряблая, истончена, очень легко рвется при механической травме. Спустя довольно короткое время вся кожа больного принимает такой вид, как будто она была ошпарена кипятком. Такая же картина характерна для ожога II степени. Вся кожа принимает красный цвет, при дотрагивании до нее определяется резкая болезненность. Во время прикосновения ее очень легко сдвинуть, она сморщивается, т. е. выявляется так называемый симптом "смоченного белья". На пальцах ступней и кистей поверхностный слой кожи очень легко отслаивается и отпадает, полностью сохраняя их форму. В некоторых случаях возможно появление большого количества очень мелких кровоизлияний на коже всего тела.
Несколько отличается от вышеописанной картина, которая развивается на слизистых оболочках ротовой полости. Здесь в большом количестве возникают поверхностные дефекты, которые болезненны при дотрагивании, очень легко кровоточат при травмировании. На губах появляются точно такие же образования, покрываясь в дальнейшем грубыми толстыми корками, что значительно затрудняет прием пищи больным. Патологический процесс при синдроме Лайелла затрагивает не только ротовую полость, но и слизистые оболочки других областей: могут поражаться глотка, гортань, трахея, бронхи, пищевод, желудок, кишечник, мочевой пузырь и мочеиспускательный канал. Очень часто также патологические очаги появляются на конъюнктивах и в области наружных половых органов, что проявляется в виде воспалительных процессов в данных областях.
При рассматривании под микроскопом материала, полученного от больного, оказывается, что весь поверхностный слой его кожи подвергается гибели, а непосредственно в нем и глубже имеется большое количество крупных пузырей. При исследовании их содержимого оказывается, что оно абсолютно стерильно, т. е. совершенно не содержит патологических микроорганизмов. Более глубокие слои кожи отечные, в них расположено большое количество мигрировавших сюда из кровотока иммунных клеток. Самые большие их скопления находятся вокруг кожных сосудов. Стенка последних также сильно набухает.
Общее самочувствие больного в процессе заболевания ухудшается очень быстро, буквально на глазах. В конце концов, оно становится крайне тяжелым. До очень больших показателей повышается температура тела, появляются сильные головные боли, нарушается ориентация в пространстве и времени. Больной становится сонливым, появляются признаки обезвоживания организма: постоянная мучительная жажда, уменьшение количества слюны и пота, сгущение крови, которое ведет к нарушению нормального кровотока в органах и тканях, работы сердца и почек. Токсическое поражение организма больного также проявляется в виде выпадения волос и ногтей. В ряде случаев у больного отмечается одновременное очень сильное поражение таких жизненно важных органов, как печень, легкие, почки. Тяжесть состояния больного с синдромом Лайелла объясняется такими факторами, как обезвоживание организма, нарушение равновесия воды, солей и минеральных веществ, токсическое поражение продуктами распада тканей собственных органов, нарушение превращения в организме белков, неконтролируемые процессы их распада. В органах и тканях организма накапливается большое количество белков мелких размеров, образующихся в процессе распада более крупных белковых веществ.
Количество лейкоцитов в крови нарастает в очень значительной степени, что говорит о сильно выраженных воспалительных процессах.
Очень информативными в отношении постановки диагноза, контроля состояния больного и качества проводимой терапии являются различные лабораторные исследования. При их проведении можно выявить повышение в крови количества лейкоцитов, появление их незрелых молодых форм, повышение скорости оседания эритроцитов, являющееся также признаком воспалительного процесса, повышение свертываемости крови, снижение в ней содержания белка и питательных веществ, но в то же время повышение белковых антител, повышение количества билирубина (нарушение функции печени), мочевины (нарушение функции почек), азота, повышение активности некоторых ферментов в крови.
При заболевании сильно нарушается функция почек, что можно выявить при исследовании анализа мочи. В моче повышается количество белка и выявляются примеси крови, говорящие о повышении проницаемости почечного фильтра.
Если больной вовремя не получает должной медицинской помощи, то его состояние продолжает ухудшаться, заболевание развивается дальше, признаки его все более нарастают. При этом возможно развитие ряда тяжелых осложнений, таких как отек легких, гибель ткани почек, воспаление почечных лоханок, воспаление легких, присоединение инфекционных осложнений. Последнее наиболее неблагоприятно, так как иммунные силы организма больного очень сильно ослаблены, в итоге патологические микроорганизмы способны проникать в кровоток, размножаться там, распространяясь во все органы и системы. При такой картине гибель больного очень вероятна. Бактерии в крови в большом количестве выделяют токсические продукты своего обмена веществ, что может приводить к развитию шокового состояния. Наиболее критическим периодом, во время которого развиваются вышеописанные осложнения, является 2-3-я неделя от момента развития заболевания. В этот период больной нуждается в особо внимательном наблюдении и интенсивных терапевтических мероприятиях. В настоящее время, когда методики лечения синдрома Лайелла наиболее совершенны, проводятся с применением самых современных лекарственных средств, смертность таких больных остается довольно высокой и составляет примерно 1/3 часть всех заболевших. Вероятность гибели очень сильно возрастает тогда, когда диагноз заболевания был поставлен слишком поздно, при проведении неграмотного лечения, при гибели больше половины от всего кожного покрова больного. В постановке диагноза эпидермального некролиза основная роль принадлежит расспросу, осмотру больного, оценке данных лабораторных исследований.
Очень часто перед врачом-дерматологом стоит вопрос о том, какое лекарственное вещество привело к развитию заболевания. При оказании помощи приходится использовать те или иные медикаментозные препараты, однако, применяя препарат, вызвавший у данного больного аллергию, можно привести к значительному ухудшению его состояния. С диагностической целью у данных больных применяется постановка иммунологических тестов. При этом в присутствии провоцирующего лекарственного вещества начинается интенсивное размножение иммунных клеток крови.
Иногда синдром Лайелла приходится отличать от таких схожих заболеваний, как буллезная разновидность много-морфной экссудативной эритемы, пузырчатка и др.
Лечение Синдрома Лайелла:
Во-первых, при появлении первых признаков рассматриваемой патологии необходимы прекращение введения больному аллергогенного лекарственного препарата и его немедленная доставка в стационар, желательно сразу в отделение интенсивной терапии. Здесь в дальнейшем производится активная борьба с поражением организма токсическими продуктами распада тканей и белковых веществ, нарушением свертываемости крови, производится поддержка баланса воды, солей и других минеральных веществ, белкового баланса, а также нормального функционального состояния жизненно важных органов. Опишем ниже некоторые методики интенсивной терапии, которые применяются в следующих случаях и используют различные способы очистки крови от токсических веществ.
- Экстракорпоральная гемосорбция. Является одним из самых эффективных средств, применяемых с целью терапии синдрома Лайелла. Эта методика является ранней и должна по возможности проводиться уже в первые 2 суток от начала заболевания, так как именно в эти сроки является наиболее действенной. Если лечение начато вовремя, то уже после 2- 3 указанных процедур происходит практически полное выздоровление больного. После 3-5 дней от начала болезни состояние больного становится намного более тяжелым, успевают нарасти признаки токсического поражения организма. В этих случаях уже необходимо проведение 5-6 сеансов процедуры, между которыми следует делать небольшие перерывы.
- Плазмаферез. Данная процедура действует на организм больного сразу в двух направлениях. Во-первых, она способствует выведению из организма токсических продуктов, коими являются собственные и бактериальные токсины, аллергены, циркулирующие в крови иммунные комплексы, активные иммунные клетки. Во-вторых, во время процедуры производится нормализация нарушенной иммунной защиты организма. В ранние сроки процедура также проводится 2-3 раза, при этом используются и другие медикаментозные методики лечения. После этого состояние больного нормализуется.
- Терапия, направленная на нормализацию и поддержание баланса воды, солей и белковых веществ. Данное направление лечения таких больных является очень важным, так как указанные патологические сдвиги во многом определяют тяжесть состояния больного и дальнейший прогноз. В организм постоянно должна вводиться жидкость, как правило, в объемах 2 л в сутки. С этой целью применяются различные специальные растворы для внутривенных вливаний. Данное мероприятие является довольно простым, однако оно способно значительно улучшить прогноз в отношении выздоровления и дальнейшей жизни пациента. Следует только помнить о том, что при введении в организм больших количеств жидкости всегда необходимо следить за регулярностью и объемами мочеиспускания.
- Борьба с распадом кожи и собственных тканей организма. С этими целями вводятся лекарственные препараты, содержащие вещества, подавляющие работу ферментов, ответственных за разрушение тканей.
- Препараты гормонов коры надпочечников. Применение их является обязательным у больных с синдромом Лайелла. Эти вещества обладают наиболее сильным противоаллергическим и противовоспалительным действием. На время острого периода заболевания назначаются наиболее высокие дозы этих препаратов, которые затем постепенно снижаются. В первые дни должны применяться только инъекционные формы гормонов. В дальнейшем, после стабилизации состояния, они назначаются в таблетках.
- Препараты, поддерживающие функции печени и почек.
- Антибиотики. Назначаются с профилактическими целями и при присоединении инфекционных осложнений. Следует очень строго избегать назначения препаратов, если в прошлом у больного на них имелись аллергические реакции.
- Минеральные вещества. Назначение их вполне обоснованно и напрямую вытекает из механизма развития самого заболевания. Назначаются в основном препараты кальция, калия, магния. Одновременно назначаются мочегонные препараты.
- Вещества, снижающие свертываемость крови.
- Гипербарическая оксигенация. Современная методика заключается в том, что больной помещается в специальный аппарат, в котором имеется кислород под повышенным давлением. Применение данной методики у больных с синдромом Лайелла очень хорошо себя зарекомендовало.
Все больные нуждаются в постоянном наблюдении за работой жизненно важных органов, особенно сердечно-сосудистой системы. Это производится в отделении интенсивной терапии при помощи специального оборудования.
Главная роль принадлежит уходу за такими больными. В палате, где они находятся, обязательно должно быть тепло, она должна быть непременно оборудована бактерицидными ультрафиолетовыми лампами. Желательно поместить тут также специальный согревающий каркас, который применяется у больных с ожогами. Больному постоянно подаются обильное питье, жидкая пища. Повязки и белье больного должны быть абсолютно стерильными.
Непосредственно на области поражения на коже применяются различные аэрозоли с гормонами коры надпочечников, препаратами, способствующими заживлению ран, антибактериальными препаратами. Для слизистой оболочки полости рта назначаются полоскания отварами трав, к которым относят ромашку, шалфей и др. Для ускорения процессов заживления производится смазывание дефектов яичным желтком.
Профилактика Синдрома Лайелла:
При различных заболеваниях лекарственные препараты должны назначаться больному по строгим показаниям и только врачом-специалистом. Ни в коем случае не стоит одновременно проводить терапию какого-либо заболевания более чем 5-7 различными препаратами. Всегда при назначении лекарств следует учитывать имевшиеся ранее случаи аллергии на лекарственные средства. Недопустимым является самолечение, особенно лиц, страдающих аллергией.
К каким докторам следует обращаться если у Вас Синдром Лайелла:
Вас что-то беспокоит? Вы хотите узнать более детальную информацию о Синдрома Лайелла, ее причинах, симптомах, методах лечения и профилактики, ходе течения болезни и соблюдении диеты после нее? Или же Вам необходим осмотр? Вы можете записаться на прием к доктору .
Синдром Хилаидити
Хилаидити синдром — нетипичное расположение печеночного угла толстой кишки между печенью и диафрагмой.
Содержание
С постоянной фиксацией (фиксация спайками) и перемежающийся.
Клинические проявления
Чувство тяжести и боли в правом подреберье, запоры, частичная и даже полная кишечная непроходимость, уменьшение высоты печеночной тупости (если кишка содержит газ). Печеночная тупость может уменьшаться (или отсутствовать) также при эмфиземе легких, атрофическом циррозе печени и перфорации желудочно-кишечного тракта.
Диагностика
Выявляется при абдоминальном рентгене, рентгене груди. Хорошо помогает в диагностике компьютерная томография.
Синдром затрудняет УЗИ диагностику органов брюшной полости. При данном синдроме через УЗИ плохо просматривается и диагностируется печень, желчные пути и поджелудочная железа.
Причины
Выявляется у пациентов которые имеют нетипичную длинную и мобильную толстую кишку, а так же у пациентов с хроническими заболеваниями, такими как: эмфизема или цирроз печени.
Эпидемиология
Выявляется у 0,1 %-1 % пациентов при абдоминальном рентгене.
История названия
Название произошло от имени греческого рентгенолога Dimitrios Chilaiditi, который выявил и описал данный синдром впервые в Вене в 1910 году.
Чилайдитский синдром
Сдвиньте рентген того же пациента, что и на картинке выше. Под правой частью диафрагмы видна небольшая полумесяца воздуха, вызванная знаком Чилайдити. Однако он может быть легко ошибочно принят за свободный интра-абдоминальный воздух (pneumoperitoneum), который может быть ошибочно отнесен к кишечной перфорации. Chilaiditi syndrome является редким состоянием, когда боль возникает из-за петли большого интестина (обычно чрескожной толстой кишки) между диафрагмой и ливером, видимой на в абдоминальном рентгене или луче.
Обычно это не вызывает симптомов, и это называется признаком Чилайдити. Знак может постоянно присутствовать, или спорадически. Эту аномальную варианту иногда принимают за более серьезное состояние наличия воздуха под диафрагмой (pneumoperitoneum), которое обычно является признаком перфорации кишечника, возможно, приводящей к сургическим .
Синдром Chilaiditi относится только к ациям при наличии знака Chilaiditi. К ним относятся абдоминальные боли, кручение кишечника (trans colon volvulus) или одышка.
Точная причина не всегда известна, но она может возникать у пациентов с длинной и подвижной толстой кишкой (дооколон), хроническим заболеванием слизистой оболочки, таким как эмпгисема, или проблемами печени, такими как цирроз и асцит. Признак Chilaiditi, как правило, не связан с симптомами и чаще всего является инентальным обнаружением у нормальных людей.
Считается, что отсутствие или слабость связки, приостанавливающей транс-ободочную кишку или связку фальки, также способствует этому состоянию. Также может быть связана с относительной атрофией медиального сегмента левой ломбы ливера. В этом случае положение желчной лестницы часто также аномально - оно часто располагается переднее по отношению к ливеру, а не постериор.
Количество случаев (inti ) на абдоминале или в честе X-rais составляет около 0,1%, но может составлять до 1% в сериях пожилых людей. Сообщалось также о детях.
История
Знак Чилайдити назван в честь греческого радиолога Димитриоса Чилаидити, родившегося в 1883 году, который впервые описал его, когда работал в Вене в 1910 году.
Синонимы
Синонимы включают в себя interpositio hepatodiaphrag ca, субпхреновое смещение толстой кишки, субпхреновое interp syndrome и pseudopneumoperitoneum.
Chilaiditi's syndrome
Chilaiditi syndrome — Classification and external resources Chest X ray showing obvious Chilaiditi s sign, or presence of gas in the right colic angle between the liver and right hemidiaphragm. DiseasesDB … Wikipedia
Chilaiditi-Syndrom — Klassifikation nach ICD 10 Q43.3 Angeborene Fehlbildungen, die die Darmfixation betreffen … Deutsch Wikipedia
syndrome — The aggregate of symptoms and signs associated with any morbid process, and constituting together the picture of the disease. SEE ALSO: disease. [G. s., a running together, tumultuous concourse; (in med.) a concurrence of symptoms, fr. syn,… … Medical dictionary
Chilaiditi — Demetrius, Austrian radiologist, *1883. See C. syndrome … Medical dictionary
Chilaiditi syndrome — interposition of the colon between the liver and diaphragm. Usually the condition is asymptomatic in adults, but symptoms are evident in children and include vomiting, abdominal pain, anorexia, constipation, and aerophagia. Signs include… … Medical dictionary
Chilaiditisyndrom — Klassifikation nach ICD 10 Q43.3 Angeborene Fehlbildungen, die die Darmfixation betreffen … Deutsch Wikipedia
List of eponymous diseases — An eponymous disease is one that has been named after the person who first described the condition. This usually involves publishing an article in a respected medical journal. Rarely an eponymous disease may be named after a patient (examples… … Wikipedia
Baroda Medical College — Established 1949 Type State University[1] Endowment I … Wikipedia
Dolichocolon — This article is about dolichocolon in a medical context, not about the fly genus in the family of Tachinidae. Dolichocolon Classification and external resources ICD 10 Q43.8 ICD 9 … Wikipedia
Dietmar Wittmann — Dietmar H. Wittmann, M.D., Ph.D., FACS is an academic surgeon specializing in complex abdominal surgery. He was associated with the following medical schools: University of Hamburg, Germany, University of Düsseldorf, Germany, University of… … Wikipedia
Журнал «Здоровье ребенка» 5(20) 2009
Гепато-диафрагмальная интерпозиция толстой кишки (синдром Chilaiditi) у детей
Авторы: Грона В.Н., Литовка В.К., Латышов К.В., Грона К.В. Донецкий национальный медицинский университет им. М. Горького, Областная детская клиническая больница, г. Донецк
Версия для печати
В клинике детской хирургии Донецкого национального медицинского университета им. М. Горького за последние 20 лет лечилось 7 детей с синдромом Chilaiditi. Приведено описание одного случая заболевания у ребенка, подвергшегося хирургическому лечению. Наступило выздоровление.
синдром Chilaiditi, толстая кишка, печень, дети.
Интерпозиция толстой кишки (ИТК), характеризующаяся патологическим расположением участков толстой кишки между печенью и диафрагмой у детей, относится не только к редким, но и малоизвестным для широкого круга врачей заболеваниям. Рентгенологическую картину этой патологии в 1909 году впервые описал D. Chilaiditi. В последующем этот синдром получил его имя. Мы полагаем, что редкость этой нозологии, с одной стороны, объясняется отсутствием достаточной информации в отечественной литературе, а с другой стороны — малой частотой собственных наблюдений, т.к. порой не всегда диагностируется данный синдром. Это можно в какой-то степени объяснить тем, что далеко не каждый ребенок, страдающий рецидивирующими болями в животе и нарушением стула, подвергается специальным методам обследования, и, возможно, среди этой многочисленной группы больных имеются дети, боль и запоры у которых связаны с перемежающейся ИТК между печенью и диафрагмой.
С 1990 по 2009 гг. мы наблюдали еще пять случаев синдрома Chilaiditi, один ребенок подвергся оперативному лечению.
Располагая 7 случаями данной патологии, мы все же решили восполнить информационный пробел, касающийся синдрома Chilaiditi, чтобы привлечь внимание педиатров, гастроэнтерологов, рентгенологов и детских хирургов к данному заболеванию. Тем более что условиями для возникновения этого синдрома в детском возрасте могут быть как заболевания бронхолегочной системы, так и брюшной полости.
К такому состоянию могут привести и абдоминальные заболевания, сопровождающиеся повышением давления как в самом просвете кишечника (мегадолихоколон, обтурационная кишечная непроходимость), так и в брюшной полости в результате висцеро-абдоминальной диспропорции, у больных, перенесших операцию по поводу омфалоцеле больших размеров, гастрошизиса. Подобный вариант может возникнуть при асците различного происхождения.
Анализ семи наблюдений показал, что причина топографо-анатомических нарушений, приведших к развитию синдрома Chilaiditi, была различной. В трех случаях дети страдали бронхиальной астмой, у одного пациента был хронический аллергический бронхит. Порок развития толстой кишки — мегадолихоколон — установлен у двух больных, одна девочка перенесла операцию по поводу омфалоцеле больших размеров.
Характерной клинической симптоматики для данного синдрома нет. Чаще всего дети жаловались на боли в животе рецидивирующего характера, вздутие живота с асимметрией, задержку стула и газов. Отмечался гипертимпанизм в правом подреберье. В случае ущемления толстой кишки между печенью и диафрагмой развивалась клиника хронической или острой кишечной непроходимости.
Подробное изучение анамнеза жизни позволило интерпретировать симптомы, не характерные для основного заболевания, как проявление синдрома Chilaiditi, в связи с чем рекомендованы специальные виды исследований. Решающими методами в диагностике ИТК являются рентгенография и ультразвуковое исследование (УЗИ) органов брюшной полости.

При рентгенографии органов грудной клетки под правым куполом диафрагмы определялось скопление газа с характерной для толстой кишки гаустрацией и нормальные, четкие контуры купола диафрагмы (рис. 1). УЗИ позволяло определить положение печени, ее смещение, а порой и ротацию, наличие перистальтики в отделе толстой кишки, внедрившейся в правое поддиафрагмальное пространство.
Несмотря на информативность рентгенологических и сонографических данных синдрома Chilaiditi, необходимо проводить дифференциальную диагностику с поддиафрагмальным абсцессом, скоплением свободного газа при перфорации полого органа, диафрагмальной грыжей. Различают бессимптомное течение ИТК при перемежающейся форме, когда кишка периодически самопроизвольно уходит из-под диафрагмы. Перемежающуюся форму ИТК мы чаще всего встречали у детей с бронхолегочной патологией. При постоянной форме ИТК (чаще на фоне абдоминальных причин) толстая кишка остается всегда интерпозицированной, вызывая при этом клинику кишечной непроходимости, которую мы наблюдали в двух случаях. У одного больного ее удалось разрешить консервативно, другой ребенок был оперирован. Приводим выписку из истории болезни оперированного нами пациента.
Ребенок К., 12 лет (история болезни № 3169), переведен в клинику детской хирургии 27.03.2009 г. из гастроэнтерологического отделения ОДКБ с жалобами на периодические боли в животе, резкое вздутие живота, запоры, гипотрофию II степени.
Из анамнеза известно, что мальчик болен на протяжении последних пяти лет, когда появились вышеуказанные жалобы. Неоднократно обследовался в соматических отделениях детских больниц с подозрением на различную патологию желудочно-кишечного тракта, выставлялся диагноз гиперпластического гиперацидного гастрита. Проводимое лечение эффекта не оказывало. В связи с этим больной был направлен в отделение гастроэнтерологии ОДКБ с подозрением на синдром нарушенного кишечного всасывания. Мальчик был проконсультирован детским хирургом, заподозрен порок развития толстой кишки, ребенка перевели в хирургическую клинику.

В момент перевода в клинику самочувствие ребенка удовлетворительное. Выглядел младше своих лет, несколько отставал в психомоторном развитии. Рост пациента 117 см , масса тела 17 кг . Кожные покровы бледные, пониженного питания. Показатели гемодинамики и физикальное обследование грудной клетки без патологии. Живот с дряблой передней стенкой, резко увеличен в объеме, при пальпации мягкий, безболезненный (рис. 2).
При раздражении передней брюшной стенки начинали контурироваться петли кишечника и в это же время выслушивались усиленные перистальтические шумы. Перкуторно был выражен гипертимпанизм на всем протяжении. Пропальпировать внутренние органы из-за выраженного метеоризма не представлялось возможным.

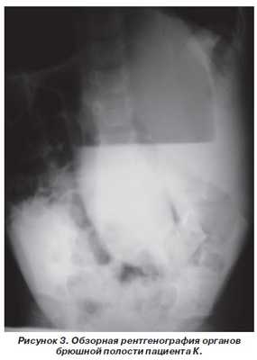
Произведена обзорная рентгенография брюшной полости, был выявлен гиперпневматоз тонкой и толстой кишки. Просвет толстой кишки расширен до 11 см с горизонтальным уровнем в мезогастрии справа. Под правым куполом диафрагмы газ в петле толстой кишки. Печень смещена книзу и медиально, ее верхний край на уровне Th11 (рис. 3).
При ирригоскопии от 31.03.09 г. контрастом выполнилась левая половина толстой кишки. Дальше контраст не проник. Участков аганглиоза нет (рис. 4).
Установлен диагноз: врожденный долихоколон, интерпозиция левой половины толстой кишки между печенью и диафрагмой, хроническая кишечная непроходимость, что явилось показанием к оперативному лечению. После предоперационной подготовки 02.04.09 г. произведена операция: лапаротомия, гепатопексия, ретроградная интубация толстой кишки (хирург проф. В.Н. Грона).
Разрезом длиной до 18 см произведена верхнесрединная лапаротомия. По вскрытию брюшины в рану предлежат расширенные до 6 см , заполненные газом петли тонкой кишки. При их извлечении из брюшной полости установлено, что печень занимает срединное положение, ротирована, ее висцеральная поверхность направлена в область левого фланка. Из правой поддиафрагмальной области извлечена толстая кишка (восходящий отдел и правая половина поперечно-ободочной кишки), которая резко расширена, до 15 см в диаметре (заполнена газом), удлинена, с истонченными стенками. После извлечения из-под диафрагмального пространства петли толстой кишки заполнили всю брюшную полость (рис. 5).

Произведена ретроградная трансректальная интубация толстой кишки кишечным зондом до баугиниевой заслонки. Толстая кишка опорожнилась от газа и спалась. Дальнейшей ревизией установлено, что ротированная печень занимает центральное положение. Серповидная ее связка истончена и удлинена до 6 см . Также удлинена и правая треугольная связка. Определялось свободное поддиафрагмальное пространство. Произведена гепатопексия путем наложения гофрирующих швов на серповидную и треугольную связки, подшивания их к диафрагме отдельными узловатыми швами. Латеральный край правой доли печени фиксирован по окружности к диафрагме отдельными швами. После выполненной гепатопексии печень заняла нормальное анатомо-топографическое положение. Рана послойно ушита наглухо.
Послеоперационный период протекал удовлетворительно. Зонд из толстой кишки самопроизвольно изгнался на пятые сутки. 15.04.09 г. больной в удовлетворительном состоянии выписан домой. Выставлен клинический диагноз: долихоколон, синдром Chilaiditi, хроническая кишечная непроходимость, вторичный колит.
Ребенок осмотрен через четыре месяца. Жалоб нет, живот нормальной конфигурации, печень не пальпируется, пациент находится на обычном пищевом рационе, набрал 4 кг массы тела, стул регулярный.
В данном случае ИТК осложнилась кишечной непроходимостью. Некоторые авторы считают, что операцией выбора при ИТК является резекция интерпозицированной толстой кишки. С этим утверждением никак нельзя согласиться. Мы полагаем, что главной задачей во время операции является ликвидация свободного пространства между печенью и диафрагмой. Это достигается только гепатопексией.

Если во время операции у ребенка выражено лишь расширение толстой кишки, то интубации, дополненной фармакотерапией, вполне достаточно, чтобы привести к сокращению ее просвета и избежать обширной резекции. В качестве альтернативного метода в подобной ситуации может служить наложение цекостомы. Резекция кишки должна производиться в том случае, если имеется ее анатомическая неполноценность.
Выявленная при рентгенологическом исследовании ИТК с бессимптомным течением в хирургическом вмешательстве не нуждается. В таком случае проводится лечение основного заболевания, послужившего причиной возникновения ИТК.
Эти дети нуждаются в динамическом наблюдении педиатра, а родителям должно быть известно, что у их ребенка имеет место вариант патологии брюшной полости, чтобы они могли поставить в известность врача в случае появления абдоминальных симптомов.
1. Григович И.Н. Редкие хирургические заболевания пищеварительного тракта у детей. — Л.: Медицина, 1985. — 287 с.
Читайте также:
- Биохимическая регуляция мозгового кровотока. Влияние углекислого газа и кислорода
- Влияние факторов внешней среды на мускулатуру.
- Синдром Бувре (Bouveret)
- Заболеваемость в Китае. Сердечно-сосудистые заболевания в Южной Азии и Индии
- Влияние радия на костный мозг. Развитие остеосарком под действием радия
