Синдром Лефгрена (Lofgren) - синонимы, авторы, клиника
Добавил пользователь Евгений Кузнецов Обновлено: 13.12.2025
сочетание двустороннего увеличения бронхолегочных лимфатических узлов и высыпаний на коже типа узловатой эритемы; сопровождается лихорадкой, слабостью, болями в суставах; происхождение Л. с. неясно; встречается чаще у женщин.
1. Малая медицинская энциклопедия. — М.: Медицинская энциклопедия. 1991—96 гг. 2. Первая медицинская помощь. — М.: Большая Российская Энциклопедия. 1994 г. 3. Энциклопедический словарь медицинских терминов. — М.: Советская энциклопедия. — 1982—1984 гг .
Смотреть что такое "Лефгрена синдром" в других словарях:
Лефгрена синдром — (S. Н. Lofgren, шведский терапевт) сочетание двустороннего увеличения бронхолегочных лимфатических узлов и высыпаний на коже типа узловатой эритемы; сопровождается лихорадкой, слабостью, болями в суставах; происхождение Л. с. неясно; встречается… … Большой медицинский словарь
ЛЕФГРЕНА СИНДРОМ — (описан шведским терапевтом S. Н. Lofgren, 1910-1978) - одна из клинических форм саркоидоза: сочетание двустороннего увеличения прикорневых бронхолегочных лимфатических узлов, высыпаний на коже типа узловатой эритемы и артралгий; часто… … Энциклопедический словарь по психологии и педагогике
Саркоидоз — I Саркоидоз (sarcoidosis; греч. sarx, sarkos мясо, плоть + eidos вид+ ōsis; синоним: болезнь Бека, болезнь Бенье Бека Шауманна, доброкачественный лимфогранулематоз, хронический эпителиоидно клеточный ретикулоэндотелиоз и др.) системное… … Медицинская энциклопедия
ЛЕФГРЕНА СИНДРОМ
Лефгрена синдром (S. H. Lofgren, совр. шведский терапевт; син.: двусторонний корневой синдром, синдром билатеральной гилюсной лимфомы, доброкачественная криптогенная медиастинальная аденопатия) — симптомокомплекс, характеризующийся поражением кожи по типу узловатой эритемы в сочетании с увеличением прикорневых легочных лимфатических узлов.
Этиология и патогенез
Предполагается бактериальная (стрептококковая) или вирусная инфекция, не исключено наличие аллергического компонента. В литературе существует мнение, что синдром является проявлением острого медиастинально-легочного саркоидоза с неспецифическим поражением кожи.
Патогистология: в узлах кожи на ранней стадии Лефгрена синдрома наблюдается острое воспаление в сетчатом слое дермы и гиподерме с инфильтратом, содержащим лимфоциты, нейтрофилы и гистиоциты, на более поздней стадии инфильтрат состоит из эпителиоидных клеток, клеток Лангханса и лимфоцитов. Описания патогистологии легочных лимфатических узлов в литературе нет.
Клиническая картина
Болеют чаще взрослые, преимущественно женщины. Лефгрена синдром характеризуется острым началом, протекает в большинстве случаев доброкачественно и обычно полностью регрессирует во всех своих проявлениях в течение нескольких недель, реже месяцев.
Заболевание проявляется узловатой эритемой (воспалительными болезненными узлами от 1 до 6 см величиной) обычно на нижних конечностях, двусторонним массивным симметричным увеличением паратрахеальных и бронхопульмональных лимф, узлов и нарушением общего состояния больного: лихорадкой, слабостью, вялостью, артралгиями, миалгиями, головными болями, распирающими болями за грудиной. Отмечается эозинофилия, моноцитоз, повышенная РОЭ, увеличение альфа- и гамма-глобулинов.
Диагноз ставится на основании характерных для узловатой эритемы проявлений на коже, увеличения бронхопульмональных лимф, узлов, определяемых рентгенологически. Дифференциальный диагноз проводят с туберкулезом лимф, узлов (см. Лимфаденит), лимфогранулематозом (см.); элементы узловатой эритемы дифференцируют с индуративным туберкулезом кожи (см.), узловатым периартериитом (см. Периартериит узелковый). Туберкулиновые пробы, как правило, отрицательные, реже слабоположительные.
Лечение
Назначают преднизолон, дексаметазон, триамцинолон (в суточной дозе 20—30 мг в пересчете на преднизолон), антибиотики (пенициллин, эритромицин, олететрин и др. до 1 млн. ЕД в сутки), витамины (аскорутин и др.); наружно кортикостероидные мази (синалар, флуцинар, локакортен), компрессы с 10% глицериновым р-ром ихтиола.
Прогноз благоприятный — полное излечение через несколько недель или месяцев.
Профилактика не разработана.
Библиогр.: Антонов В. А., Мощенко В. С. и Антонова Г. К. О синдроме Лефгрена, Тер. арх., т. 48, № 8, с. 148, 1976; Макаренко В. Н. Случай синдрома Лефгрена, Вестн, дерм, и вен., № 8, с. 77, 1976; Шапошников О. К. Хроническая узловатая эритема, Л., 1971. библиогр.; Hlige W., Hiige H. a. Zaumseil J. Zur Klinik und Therapie des Lofgren-Syndroms, Dtsch. Gesundh.-Wes., Bd 29, S. 1689, 1974, Bibliogr.; Kerley P Etiology of erythema nodosum, Brit. J. Radiol., v. 16, p. 199, 1943; Lofgren S. Erythema nodosum. Acta med. scand., suppl. 174, p. 1, 1946; Lofgren S. a. Lund-back H. The bilateral hilar lymphoma syndrome, ibid., v. 142, p. 265. 1952.
Синдром Лефгрена (Lofgren) - синонимы, авторы, клиника
Представлены история описания, клиническое и прогностическое значение синдрома Лефгрена. Данный синдром ассоциируется с острым течением саркоидоза. Его основным симптомом является узловатая эритема. Узловатая эритема, как и синдром Лефгрена в целом, - маркер благоприятного течения саркоидоза с низким риском прогрессирования легочного интерстициального поражения.
Синдром Лефгрена — клинический вариант саркоидоза, отражающий его острое начало и как правило — благоприятное течение с высокой вероятностью ремиссии, в т. ч. спонтанной.
Ключевые признаки синдрома Лефгрена:
- узловатая эритема;
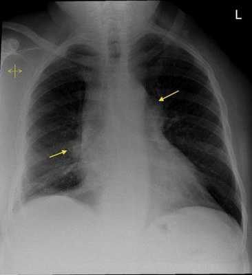
- двусторонняя симметричная внутригрудная лимфаденопатия на рентгенограммах грудной клетки, выполненных в прямой проекции, имеющая характерный вид "крыльев бабочки";
- клинические (лихорадка, артралгии, потеря массы тела) и лабораторные (увеличение СОЭ, сывороточной концентрации С-реактивного белка, гиперфибри-ногенемия) маркеры острофазового ответа.
Данное сочетание симптомов впервые описано шведским интернистом Свеном Лефгреном (Sven Havlar Lofgren, 1910-1978). В своей докторской диссертации, защищенной в Стокгольме в 1946 г., С. Лефгрен подробно описал этиологические и патогенетические варианты узловатой эритемы у 185 пациентов, обследованных им лично: большинство данных, полученных в ходе выполнения указанной диссертационной работы, сохраняют определенное клиническое значение до настоящего времени.
С. Лефгрен был шестым ребенком в семье. После окончания школы с отличием изучал медицину в Karolinska institute (Стокгольм) и в 1935 г. получил лицензию на врачебную практику. Одиннадцать лет спустя после зашиты докторской диссертации получил звание доцента по внутренним болезням. В 1971 г. С. Лефгрену за заслуги было присвоено звание профессора, крайне редко присуждаемое в Швеции врачам, не работающим непосредственно в университетских клиниках. С. Лефгрен в течение всей жизни работал в Стокгольме в госпитале Святого Горана.
Его заслуги в области изучения саркоидоза были признаны медицинским сообществом: в 1963 г. ему было доверено руководство проведением Международного конгресса по саркоидозу в Стокгольме, который прошел с большим успехом и оказался рекордным по числу участников. С. Лефгрен был широко известен как выдающийся клиницист, его отличали верность профессии, преданность воспитавшей его научной клинической школе и неподдельный патриотизм.
Значение выделенного С. Лефгреном синдрома чрезвычайно велико: своевременное распознавание узловатой эритемы — его ключевого признака — сегодня позволяет рационально определить план обследования, который всегда должен включать рентгенографию и по возможности компьютерную томографию органов грудной клетки, как правило "открывающих" диагноз саркоидоза. Опыт обследования больших групп пациентов с узловатой эритемой показал, что саркоидоз нередко лидирует в структуре ее причин, заметно превосходя, в частности, ревматическую лихорадку и туберкулез, а также болезнь Крона. У представителей некоторых национальностей, проживающих в Средиземноморье (особенно у жителей Турции), одной из самых частых причин узловатой эритемы может также быть болезнь Бехчета. Необходимо помнить о возможности паранеопластической узловатой эритемы, а также о потенциальной связи ее приемом некоторых лекарственных препаратов (иодиды, бромиды, эстроген-содержащие препараты). Тем не менее зачастую узловатая эритема оказывается связанной именно с синдромом Лефгрена — "острым" вариантом клинического течения саркоидоза.
Типичная локализация узловатой эритемы — голени и тыльная поверхность стоп; расположение ее элементов в области голеностопных и коленных суставов — может значительно ограничивать их подвижность в связи с отеком и болезненностью. Элементы узловатой эритемы синюшны, горячи на ощупь; пациент может ощущать боль даже при легком прикосновении к ним. После регресса элементов узловатой эритемы рубцы не образуются, определенное время может сохраняться гиперпигментация.
Морфологически узловатая эритема представляет собой очаги септального панникулита, сочетающегося с продуктивным васкулитом. В отличие от вариантов специфического саркоидного поражения кожи (бляшки, папулы, ознобленная волчанка, подкожный саркоид Дарье—Русси) при морфологическом исследовании образцов ткани кожи, полученных при биопсии участков узловатой эритемы, саркоидных гранулем выявить не удается.
Узловатая эритема, как и синдром Лефгрена в целом, — маркер благоприятного течения саркоидоза с низким риском прогрессирования легочного интерстициального поражения, тем более развития внелеточных проявлений заболевания. Синдром Лефгрена с узловатой эритемой чаше наблюдается у женщин и носителей определенных вариантов генов главного комплекса гистосовместимости (HLA- DRB1*03 и HLADQB1*02), также кодирующих воспалительные цитокины (альфа-фактор некроза опухолей альфа) и молекулы адгезии (Е-селектин). Дальнейшее изучение генетических маркеров предрасположенности к синдрому Лефгрена чрезвычайно актуально, поскольку может позволить приблизиться к пониманию закономерностей, детерминирующих течение саркоидоза, и фармакологическому управлению ими. Синдром Лефгрена практически не встречается в ассоциации с маркерами неблагоприятного течения саркоидоза, в частности у афроамериканцев, у которых это заболевание характеризуется быстропрогрессирующим течением с развитием тяжело дыхательной недостаточности, инвалидизирующего поражения глаз со слепотой и разнообразных, нередко фатальных, внелегочных проявлений, например поражения сердца.
Синдром Лефгрена — надежный ориентир при принятии решения о тактике лечения саркоидоза. Назначение глюкокортикостероидов perosили внутривенно считают непоказанным; возможно местное применение их в виде мазей. С целью уменьшения выраженности болевого синдрома и устранения лихорадки применяют нестероидные противовоспалительные препараты. У большинства пациентов с синдромом Лефгрена наблюдаются спонтанная ремиссия или даже регресс саркоидного поражения внутригрудных лимфатических узлов без развития очевидной интерстициальной диссеминации.
Лефгрена синдром: причины, клиника, лечение, профилактика
Системные заболевания всегда были загадкой для медицинского мира. Одним из них является саркоидоз, который не имеет обоснованной этиологии, а проявляется в виде воспаления соединительной ткани в различных органах и тканях с образованием гранулем. Лефгрена синдром — это особое течение саркоидоза, поражающие кожные покровы, внутригрудинные лимфатические узлы, а также суставы.
Причины развития
В основе патогенеза лежит развитие аутоиммунной реакции. В иммунной системе происходит сбой, и лейкоциты начинают поражать здоровые клетки легких, суставов, кожи.

Лефгрена синдром чаще всего развивается у женщин молодого возраста (20-35 лет). Дети, как правило, им не болеют. Лефгрена синдром начинается остро, а затем постепенно клинические проявления могут сами проходить. Зачастую наблюдается благоприятное течение заболевания.
Кроме вирусной и бактериальной теории развития саркоидоза, существует также мнение о том, что заболевание развивается у лиц, длительно контактирующих с летучими химическими веществами на заводах. Не стоит выпускать из вида и наследственный фактор. Именно поэтому саркоидоз является полиэтиологическим аутоиммунным заболеванием.
Клинические проявления
Синдром Лефгрена при саркоидозе проявляется полисимптомно. Клинические проявления начинаются остро. У человека появляется узловатая эритема на теле, она имеет склонность распространяться на конечности, спину, живот, шею. Узлы имеют форму овала, их диаметр может доходить до 6 сантиметров. Стоит заметить, что в месте образования эритем не наступает некроз.
Основным проявление считается поражение бронхиальных и трахеальных лимфоузлов. Это составляет большую опасность для больного:
- появляется кашель;
- изредка увеличивается температура тела;
- ухудшается самочувствие;
- возникает ночная потливость;
- ухудшается качество сна;
- происходит потеря веса;
- человек испытывает беспокойство.
Позже Лефгрена синдром характеризуется поражением суставов. Они становятся отёчными болезненными, а подвижность ухудшается. Объективно удается заметить увеличение лимфатических узлов шеи, а также в подмышечных впадинах.

Как диагностировать?
Лефгрена синдром устанавливается на основе лабораторной диагностики и осмотра больного врачом-терапевтом. Узловатая эритема играет большое значение в диагностике данной формы саркоидоза. Тем не менее, врачу необходимо дифференцировать заболевание от туберкулеза или дерматовенерологических недугов.
Лабораторный анализ крови покажет:
- увеличение СОЭ;
- лейкоцитоз;
- появление гамма-глобулинов.
На рентгенологическом снимке можно заметить характерное увеличенние лимфоузлов, а также фиброзные отложения. Это помогает убедиться в случае поражения легких.
Слабо выраженная форма требует проведения бронхоскопии с прицельной биопсией. При исследование легочной ткани удается увидеть характерную гистологическую структуру саркоидоза: обнаруживаются элементы эпителиоидной гранулемы.

Прогноз и осложнения заболевания
В индивидуальном порядке протекает синдром Лефгрена. Сколько длится и каковы прогнозы, возможно ответить только по определенным критериям. Известно, что чем старше человек, тем неблагоприятнее прогноз. Если не обратиться вовремя к врачу, то синдром затягивается, а к нему присоединяются осложнения:
- бронхообструкция;
- дыхательная недостаточность;
- развитие "легочного сердца";
- эмфизема легких;
- присоединение бактериальной флоры.
Дыхательная недостаточность развивается после бронхообструкции. Состояние больного постепенно ухудшается, поскольку легкие начинают заменяться соединительной тканью, процесс может остановиться спонтанно спустя 1-2 года.
Постепенно сердце начинает увеличиваются из-за недостатка кислорода в крови. Однако не следует игнорировать обращение за медицинской помощью, ведь сейчас Лефгрена синдром поддается лечению.

К сожалению, медки не могут полностью излечить саркоидоз, поскольку этиология его полностью не известна. Но врачи назначают специальную терапию, которая способна остановить развитие процесса, контролировать синдром Лефгрена. Лечение начинается с назначения стероидных противовоспалительных средств для снижение иммунитета. Также назначаются витаминные комплексы, антиоксиданты, иммунодепрессанты.
Курс лечения длиться в среднем 8 месяцев. Все зависит от индивидуальных особенностей иммунной системы. Обязательным выступает диспансерное наблюдение за больными врачом-пульмунологом, в идеале оно длится 5 лет.

Какая профилактика?
Чтобы не допустить развитие саркоидоза, в первую очередь следует следить за своим образом жизни. Питание должно быть сбалансированным, содержать жиры, белки, углеводы в оптимальном соотношении.
Людям, предрасположенным к саркоидозу, следует отказаться от курения, контакта с агрессивными химическими веществами.
Синдром Лёфгрена - Löfgren syndrome
Синдром Лёфгрена это разновидность острого саркоидоз, [1] воспалительное заболевание, характеризующееся отеком лимфатический узел в груди нежные красные узелки на голенях, высокая температура и артрит. [2] Это чаще встречается у женщин, чем у мужчин, и чаще встречается у людей скандинавского, ирландского, африканского и пуэрториканского происхождения. Описан в 1953 г. [3] к Свен Халвар Лёфгрен, шведский клиницист. [4] Некоторые считают, что это условие неточно определено. [5]
Содержание
Признаки и симптомы
Он характеризуется увеличением лимфатический узел рядом с внутренним граница легких (называется "веселый лимфаденопатия ") как видно на рентгеновский снимок, и нежные красные узелки (узловатая эритема ) обычно присутствуют на голенях, преимущественно у женщин. Он также может сопровождаться артрит (более заметен у мужчин) и высокая температура. Артрит часто бывает острым и поражает нижние конечности. [2]
Синдром Лёфгрена состоит из триады: узловатая эритема, двусторонняя внутригрудная лимфаденопатия на рентгенограмма грудной клетки, и боль в суставах. [ нужна цитата ]
Генетика
Недавние исследования показали, что HLA-DQB1 * 03 тесно связан с синдромом Лёфгрена. Это связано с HLA-DRB1 *03. [6]
Диагностика
Триада узловатой эритемы, острого артрита и двусторонней внутригрудной лимфаденопатии очень специфична (> 95%) для диагностики синдрома Лёфгрена. Когда присутствует триада, дальнейшее тестирование с дополнительной визуализацией и лабораторными исследованиями не требуется. [ нужна цитата ]
НПВП (нестероидные противовоспалительные препараты ) являются обычным рекомендованным лечением синдрома Лёфгрена. [ нужна цитата ] Колхицин или низкая доза преднизон также могут быть использованы.
Прогноз
Синдром Лёфгрена связан с хорошим прогнозом: у> 90% пациентов болезнь проходит в течение 2 лет. Напротив, пациенты с обезображивающим состоянием кожи ознобленная волчанка или сердечные или неврологические поражения редко приводят к ремиссии заболевания. [ нужна цитата ]
Читайте также:
