Синдром повторного сотрясения головного мозга на КТ, МРТ
Добавил пользователь Владимир З. Обновлено: 21.01.2026
МРТ головного мозга после травм, ушибов, сотрясения, аневризм, при кистах
Перечень внутримозговой патологии достаточно обширный. Большинство нозологических форм содержит жидкость.
МРТ центральной нервной системы позволяет увидеть не только заболевания мягких тканей. Снимки показывают аневризмы, кисты, сотрясение, отеки. Высокопольные томографы визуализируют даже переломы после травм, ушиба черепа. На МРТ центральной нервной системы цена зависит от того, какие именно области входят в комплекс - головной мозга, сосуды, позвоночник, сосуды шеи и пр.
Какие заболевания мозга видны на МРТ
Комплекс симптомов, при которых назначается магнитно-резонансная томография головы:
- Ослабление дыхания;
- Рвотный рефлекс;
- Потеря зрения, речи;
- Шаткость походки вследствие поражения мозжечка;
- Подергивание зрачков;
- Косоглазие;
- Отсутствие глотательного рефлекса;
- Затруднение выведения кала;
- Периодическая потеря сознания;
- Частые головные боли.
Описанные клинические проявления могут быть последствием ушиба мозга, черепно-мозговой травмы, инсульта, тяжелых ударов головы.
Возникновение МР-сканирования позволило диагностировать патологические изменения при рассеянном склерозе (разрушение миелиновых оболочек нервов). После ушиба головные боли появляются в поздней стадии, когда возникают выраженные нарушения микроциркуляции. Контакты мест разрушения нервных волокон обуславливают «замыкание» с последующей неврологической симптоматикой. Обширное нарушение нервной иннервации сопровождается сужением сосудов. Аномальная микроциркуляция провоцирует головные боли, мышечные расстройства, зрительные, слуховые нарушения.
МРТ головы при травмах и ушибах

Мозговые симптомы после ушибов и травм разнообразны. Проявления зависят от функциональных и органических изменений мозгового вещества. Легкое сотрясение мозга редко сопровождается потерей сознания. Чаще после ушиба черепа появляются головные боли, рвота, тошнота. Через несколько недель симптомы исчезают самостоятельно. Течение патологии контролирует невропатологами.
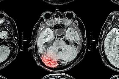
Осложнения сотрясения - мелкие кровоизлияния внутрь подпаутинного пространства. Гиперинтенсивные очаги мозга на МРТ ограничены. Усиленные пятна после сотрясения сочетаются с участками нормального или сниженного сигнала. Динамическое наблюдение позволяет визуализировать нормализацию состояния. Патология сохраняется при разрыве сосуда, расслоении сосудистой стенки (аневризме).
Осложнения после сотрясения мозга МРТ верифицирует четко. Ушиб средней степени характеризуется повышением температуры, затруднением дыхания, сердечной аритмией, подергиванием зрачков, потерей чувствительности конечностей. Глазной нистагм сопровождается движением вправо-влево, что для невропатолога является признаком повреждений мозговой ткани.
Выраженные проблемы внутримозговой микроциркуляции возникают при кровоизлиянии, пропитывании паренхимы мозга. При грамотном лечении изменения быстро проходят.
Контрастное МРТ при сотрясении головного мозга тяжелой степени оценивает состояние сосудов, желудочков, позволяет изучить размеры патологического очага, расположение.
Тяжелый ушиб головного мозга сопровождается блокадой проходимости бронхов из-за поражения соответствующего центра. Недостаток поступления кислорода, сопутствующие артериальные разрывы, аневризмы приводят к мышечным судорогам, парезам конечностей из-за подавления функциональных мозговых центров.
Сильный ушиб головного мозга может привести к переломам, обширным кровоизлияниям. Интенсивные очаги головного мозга на МРТ возникают вследствие скопления крови внутри подпаутинного пространства. Неоднородная плотность магнитно-резонансных томограмм характеризуется возникновением на снимках участков темного, белого цвета. Гиперинтенсивные пятна не имеют четких границ. Изображения свидетельствуют об отеках, скоплении кровяных сгустков.
Повторную МРТ при сотрясении мозга делают через 40 дней. К этому сроку отек исчезает, головные боли проходят. Длительное течение заболевания ожидаемо при переломе черепа с увеличением внутричерепного давления.
Венозные и артериальные аневризмы на МР-томограммах

Аневризматические расширения сосудов имеют особую морфологию - шейка, тело, купол. Причиной заболевания являются отложения жировых комплексов внутри сосудистой стенки. Болезнь называется атеросклерозом, обуславливает много осложнений со стороны мозга, сердца. Повреждение стенки приводит к нарушению проницаемости. Попадание внутрь интерстиция крови обуславливает расслоение. Между отдельными слоями скапливаются сгустки, форменные элементы. Движение крови создает давление на тонкую стенку. В определенный момент сосуд может не выдержать. Появление небольшого разрыва сопровождается кровоизлиянием. Массивное кровотечение приводит к гибели.
Контрастное МРТ для аневризмы мозга - оптимальный вариант диагностики патологии. Томограммы отражают полную морфологию - мешотчатое, веретеновидное расширение артериальной стенки. Даже нативное МР-сканирование позволяет достоверно верифицировать аневризму. Контрастирование улучшает визуализацию.
Томограммы показывают размеры аневризмы. Образование свыше 10 мм опасно разрывом.
Практические особенности МРТ аневризмы после травмы:
- Пространственную структуру, взаимосвязи отдельных деталей выявляет МР-ангиография. Болюсная инъекция контрастного препарата создает четкое изображение артерий и вен;
- Тромбированное и нетромбированное аневризматическое расширение выявляют путем изготовления множества срезов. Режим трехмерного моделирования позволяет построить пространственную проекцию объекта. Процедура помогает определить форму, размеры аневризмы;
- Комбинированное исследование (КТ и МРТ) после травм головы позволяет диагностировать тромбированные области артерии, измерить длину шейки, верифицировать размеры.
После тяжелой травмы ангиография проводится с целью изучения пространственных связей между разными физиологическими и патологическими образованиями. Магнитно-резонансная нейровизуализация проводится для верификации разрыва, тромбоза, аневризматического расширения артерии. Исследование дополнительно обнаруживает целый список патологии.
Спазматические сокращения артерий, вен отдельных мозговых сегментов диагностируются сочетанием методов - МР-ангиография, КТ-ангиография, катетеризационная ангиография. По рекомендации врача лучевой диагностики могут назначаться дополнительные обследования (МР-спектроскопия, трактография).
Магнитно-резонансная томография мозговой кисты

Небольшая киста головного мозга не представляет опасности при локализации вне функциональных центров. Морфологически образование имеет вид полости с жидким внутренним содержимым. Пузырь может находиться внутри белого или серого вещества всю жизнь. Если образуется после травмы, увеличивается в размерах, требуется динамический контроль полости.
Воспалительные кисты формируют бактерии, паразиты (эхинококк, альвеококк). После подавления инфекции образования спадаются.
Аутоиммунные кисты постепенно прогрессируют. Динамическое выполнение МРТ помогает отслеживать состояние пузыря. При растущем образовании потребуется оперативное лечение. Абсолютная норма на фоне аутоиммунного повреждения мозговой ткани требует повторной магнитно-резонансной томографии не позднее 1 года.
Образование антител к мозговым нейронам, анализ крови на инфекции - дополнительные способы верификации патологических изменений. После проведения МРТ аневризмы потребуется лабораторная оценка показателей холестерина, свертываемости крови.
Периодические подъемы давления опасны разрывом мозговых артерий с развитием геморрагического или ишемического инсульта. Классическая МР-ангиография помогает получить максимальную информацию о патологии.
Звоните нам по телефону 8 (812) 241-10-46 с 7:00 до 00:00 или оставьте заявку на сайте в любое удобное время
Синдром повторного сотрясения (СПС)
Повторные травмы головы в период до восстановления головного мозга после предыдущего травмирующего воздействия (окно уязвимости) может привести к выраженному отеку головного мозга, стойкой нетрудоспособности или смерти.
Синонимы
Эпидемиология
Наиболее часто встречается у юношей, занимающихся контактными видами спорта
Также может встречаться:
- У Детей раннего возраста, подвергшихся жестокому обращению
- У Пациентов пожилого возраста, подвергшихся повторным падениям, ударам головы
Патология
Предшествующая черепно-мозговая травма открывает «окно уязвимости». Если повторная травма (удар) возникает в период до полного восстановления головного мозга после предыдущей, что может привести к синдрому повторного сотрясения. Потеря ауторегуляции, как следствие застой крови, как следствие повышения ВЧД и дислокационный синдром. Может отражать экситотоксикационную черепно-мозговую травму с увеличенным высвобождением, «утечкой» или снижением обратного захвата глутамата.
Макроскопические особенности
- Субдуральная гематома малых размеров
- Отек и гиперемия подлежащего гематоме головного мозга
- ± вторичные инфаркты
- ± латеральное, центральное вклинение, вклинение миндалин мозжечка
Клинические проявления
Наиболее частые признаки/симптомы
- Интенсивная головная боль
- Рвота
- Нарушения сознания
- Возможно развитие внезапного коллапса, кома
Радиологические находки
Острая субдуральная гематома (оСДГ) малых размеров, но при этом визуализируется непропорциональный повреждению масс-эффект. Степень смещения срединных структур (подфальксное вклинение) больше, чем характерно для острой субдуральной гематомы. Отек ипсилатерального полушария головного мозга. Развитие отека мозга может быть внезапным и стремительным.
Лёгкая черепно-мозговая травма : клинические рекомендации
Лёгкая черепно-мозговая травма : клинические рекомендации / Потапов А.А., Лихтерман Л.Б., Кравчук А.Д. и др. — М.: Ассоциации нейрохирургов России, 2016. — 23 с.
Лёгкая черепно-мозговая травма : клинические рекомендации / Потапов А.А., Лихтерман Л.Б., Кравчук А.Д., Охлопков В.А., Александрова Е.В., Филатова М.М., Маряхин А.Д., Латышев Я.А. — 2016.
библиографическое описание:
Лёгкая черепно-мозговая травма : клинические рекомендации / Потапов А.А., Лихтерман Л.Б., Кравчук А.Д., Охлопков В.А., Александрова Е.В., Филатова М.М., Маряхин А.Д., Латышев Я.А. — 2016.код для вставки на форум:
Ассоциация нейрохирургов России
КЛИНИЧЕСКИЕ РЕКОМЕНДАЦИИ
ЛЁГКАЯ ЧЕРЕПНО-МОЗГОВАЯ ТРАВМАКлинические рекомендации утверждены на XXXXIII Пленуме Правления Ассоциации нейрохирургов России г. Санкт-Петербург, 15 апреля 2016 г.
Коллектив авторов:
Потапов Александр Александрович — академик РАН, доктор медицинских наук, профессор, директор ФГАУ «НИИ нейрохирургии им. акад. Н.Н.Бурденко» Минздрава России
Лихтерман Леонид Болеславович — доктор медицинских наук, профессор, главный научный сотрудник отделения нейротравматологии ФГАУ «НИИ нейрохирургии им. акад. Н.Н. Бурденко» Минздрава России
Кравчук Александр Дмитриевич — доктор медицинских наук,профессор, заведующий отделением нейротравматологии ФГАУ «НИИ нейрохирургии им. акад. Н.Н. Бурденко» Минздрава России
Охлопков Владимир Александрович — кандидат медицинских наук, доцент кафедры нейрохирургии РМАПО, врач-нейрохирург отделения нейроттравматологии ФГАУ «НИИ нейрохирургии им. акад. Н.Н.Бурденко» Минздрава России
Александрова Евгения Владимировна — кандидат медицинских наук, научный сотрудник отделения нейроттравматологии ФГАУ «НИИ нейрохирургии им. акад. Н.Н. Бурденко» Минздрава России
Филатова Марина Михайловна — кандидат медицинских наук, врач- невролог, консультативного отделения лечебно-диагностического центра “Патеро Клиник”, Москва.
Маряхин Алексей Дмитриевич — врач-нейрохирург отделения нейротравматологии ФГАУ «НИИ нейрохирургии им. акад. Н.Н. Бурденко» Минздрава России
Латышев Ярослав Александрович — врач-нейрохирург отделения нейротравматологии ФГАУ «НИИ нейрохирургии им. акад. Н.Н. Бурденко» Минздрава России
1. Определение и формы легкой черепно-мозговой травмы (ЛЧМТ)
Лёгкая травма головного мозга (легкая черепно-мозговая травма, ЛЧМТ) - остро развившееся нарушение функции мозга, являющееся следствием тупого удара с внезапным ускорением, торможением или ротацией головы, при котором пациент при поступлении в стационар находится в ясном сознании или уровень бодрствования снижен до умеренного оглушения, при этом может отмечаться кратковременная потеря сознания (до 30 минут) и/или амнезия (до 24 часов). У большинства пациентов восстановление после ЛЧМТ происходит в короткие сроки (в течение 1-2 недель), однако у 5-20% пострадавших могут отмечаться более длительные физические, когнитивные, эмоциональные и поведенческие расстройства, которые носят название постконтузионного синдрома. Его симптомы могут включать головную боль, головокружение, тошноту, нарушения координации, снижение аппетита, сонливость, нарушения зрения и слуха, когнитивные и поведенческие расстройства - быструю утомляемость, тревожность, депрессию, раздражительность, нарушения памяти, концентрации внимания и трудности принятия решений. В целом, наиболее подвержены формированию посттравматического синдрома женщины, лица пожилой возрастной группы, с низким уровнем образования и предшествующим анамнезом психических заболеваний (Mott TF et al., 2012). Исторически для градации степеней тяжести ЧМТ использовалась шкала комы Глазго (ШКГ) (Teasdale G.M. и Jennett B., 1974), согласно которой легкой ЧМТ соответствует оценка 13-15 баллов в первые 30 минут после травмы (Vos P.E. и соавт., 2002, 2012). Однако, зачастую, пациенты с одинаковой оценкой по ШКГ имеют различное функциональное состояние и исход. Учитывая ограниченность ШКГ, в течение последнего десятилетия в оценку тяжести травмы мозга были включены и другие показатели, такие как длительность потери сознания и посттравматической амнезии.
С точки зрения наличия структурных повреждений мозга по данным методов нейровизуализации ЛЧМТ включает в себя: сотрясение - наиболее лёгкая клиническая форма диффузного транзиторного повреждения мозга, в основе которого лежат метаболические, ионные, нейротрансмиттерные нарушения и нейровоспаление, характеризующаяся отсутствием изменений на КТ и МРТ; и ушиб мозга лёгкой степени (1 вида) - форма ЛЧМТ, характеризующаяся минимальным очаговым повреждением вещества мозга с макроструктурными изменениями (ограниченные разрывы пиальных сосудов, мелкие геморрагии, локальный отёк мозга), наличием гиподенсивной зоны на КТ-томограммах или однородными очаговыми изменениями интенсивности сигнала в соответствующих режимах МРТ. Ушиб мозга лёгкой степени происходит в результате как непосредственного воздействия механической энергии на вещество мозга, так и удара о противолежащие стенки черепа или большой серповидный отросток, мозжечковый намёт.
Существуют определённые критерии разграничения сотрясения мозга с ушибом и другими формами острой травмы. При сотрясении переломы костей черепа отсутствуют. Давление и состав цереброспинальной жидкости без отклонений. КТ у пациентов с сотрясением не обнаруживает травматических изменений в веществе мозга (плотность серого и белого веществ остаётся в пределах нормы - соответственно 33-45 и 29-36 H) и ликворных пространствах. Данные стандартных режимов магнитно- резонансной томографии (с напряжением поля 1-1,5 Т) при сотрясении мозга также не выявляют какой-либо паренхиматозной очаговой патологии на макроуровне.
При ушибе мозга лёгкой степени возможны переломы костей свода черепа и субарахноидальное кровоизлияние. КТ в половине наблюдений выявляет в мозговом веществе ограниченную зону пониженной плотности, близкую по денситометрическим показателям к отёку головного мозга (от 18 до 28 Н). При этом возможны, как показали патологоанатомические исследования, точечные диапедезные кровоизлияния, для визуализации которых недостаточна разрешающая способность КТ. В другой половине наблюдений ушиб мозга лёгкой степени не сопровождается очевидными изменениями КТ картины, что связано с ограничениями метода. Отёк мозга при ушибе лёгкой степени может быть не только локальным, но и более распространённым. Он проявляется умеренным объёмным эффектом в виде сужения ликворных пространств. Эти изменения обнаруживаются уже в первые часы после травмы, обычно достигают максимума на 3 сутки и исчезают через 2 недели, не оставляя следов. Локальный отёк при ушибе мозга легкой степени может быть также изоденсивным, и тогда диагноз основывается на объёмном его эффекте, а также результатах динамики КТ.
2. Классификация
2.1 Классификация ЛЧМТ и факторы риска (рекомендации тип А)
С учётом большой социальной значимости лёгкой ЧМТ в 1999 г. под эгидой Европейской Федерации Неврологических Сообществ (EFNS) была сформирована «Рабочая группа по легкой ЧМТ» («Task force on Mild Traumatic Brain Injury»). В 2002 году EFNS на основе клинических данных разработала категоризацию ЛЧМТ, согласно которой в зависимости от оценки по ШКГ (13-15 баллов), наличия/отсутствия потери сознания
длительностью до 30 минут, посттравматической амнезии длительностью до 60 минут, двенадцати факторов риска были выделены четыре степени тяжести ЛЧМТ. Однако, проведенное независимое мультицентровое исследование на 3181 пациенте с легкой ЧМТ (CHIP) показало наряду со 100% чувствительности данных критериев оценки низкую специфичность (Smits M et al., 2007). В связи с этими данными в 2012 году рекомендации по классификации, диагностике и лечению ЛЧМТ были пересмотрены: уменьшено количество категорий до трех, среди факторов риска выделены основные и дополнительные.
Пересмотренная и дополненная EFNS в 2012 году классификация и факторы риска представлены в табл. 1 и 2. (Vos P.E. et al, 2012).
Синдром повторного сотрясения головного мозга на КТ, МРТ
Ваша заявка принята!
Благодарим за обращение.
В ближайшее время с вами свяжется наш специалист.
Сотрясение головного мозга: классификация, симптомы диагностика
Распространенность инвалидности и летальности после черепно-мозговых травм (сотрясения, отеков мозга) в Российской Федерации превышает пятьдесят процентов у людей до 35 лет. Согласно статистике примерно половина людей после сотрясения головного мозга погибает при несвоевременном оказании квалифицированной медицинской помощи.
Сотрясение головного мозга возникает не только при переломах костей черепа. Сильное внешнее воздействие на черепную коробку способно привести к противоудару, когда масса мозга резко перемещается к костям. В месте соприкосновения возникает кровотечение, гематома, отек.
![Картинки по запросу сотрясение головного мозга мрт]()
МРТ головы после сотрясения: этапы формирования отеков
Сотрясение головного мозга - что это такое
Клинические проявления заболевания обусловлены разносторонними изменениями:
- Разрывы мелких и крупных сосудов;
- Рассечение нервных волокон;
- Отечность мозговой паренхимы;
- Воспалительные процессы;
- Инфицирование тканей.
Дополнительная «плюс-ткань» обуславливает смещение головного мозга. Состояние обусловлено вклиниванием основного вещества в отверстие основания черепа. Перемещение мозжечка в большое затылочное отверстие опасно летальным исходом из-за ингибирования дыхательного и сердечнососудистого центров.
Легкие повреждения обуславливают неврологические симптомы. Тяжелые расстройства возникают при осложнениях, возникающих по причине формирования:
- Внутримозговых гематом (эпидуральная, субдуральная);
- Кровоизлияний;
- Отеков мозга;
- Повышения внутричерепного давления.
Дополнительные патологические симптомы возникают по причине сопутствующих осложнений на фоне нарушений свертываемости крови, диффузных изменений внутримозговой паренхимы, повреждения черепных нервов.
При патологии средней тяжести сотрясений возникают неврологические расстройства:
- Потеря слуха, зрения;
- Патология подвижности;
- Расстройства памяти;
- Нарушение интеллекта;
- Спутанность сознания.
Тяжелые поражения приводят к коматозному состоянию.
Классификация видов сотрясений по МКБ 10
Перед описанием особенностей кодировки по международной классификации заболеваний десятого пересмотра требуется определить характер изменений:
Шифр нозологии под названием «сотрясением головного мозга» -- «S06». Наименование по латинице «commotio cerebri». При описании диагноза требуется выявить:
- Отек мозга травматический - «S06.1»;
- Травма головного мозга диффузная - «S06.2»;
- Очаговое травматическое повреждение - «S06.3»;
- Кровоизлияние эпидуральное - «S06.4».
При определении степени повреждений следует верифицировать контузию и разрывы. Травматическое повреждение сопровождается рядом изменений - церебральным разрывом, контузией, внутримозговым кровоизлиянием.
Основные симптомы сотрясения головного мозга
Определение диагноза клиническими методами базируется на выявлении ряда неврологических расстройств:
- Головокружение;
- Болевые ощущения при движении глаз;
- Рвотный рефлекс, тошнота;
- Слабость и повышение температуры;
- Нарушения дыхания;
- Бессонница.
Тяжелые травмы черепа сопровождаются поражением внутримозговых сосудов, отеком мозговой ткани, сопутствующим инфекционным и воспалительным изменениям. Тяжелая степень сопровождается контузией, ушибом мозговых тканей. Особенность клинической симптоматики выраженных нарушений - кровотечение из носа, полости рта, ушей.
Появление контузии характеризуется эпилептическими приступами, параличом конечностей. При диффузных кровоизлияниях формируется потеря интеллекта, памяти, развиваются неврологические расстройства.
Внутримозговое сотрясение является самым легким из всех видов закрытой черепно-мозговой травмы. Нужно учитывать отдаленные симптомы заболевания, возникающие через несколько месяцев после первичной травмы. Для исключения негативных последствий требуется проведение дополнительных высокоточных исследований - компьютерной и магнитно-резонансной томографии (КТ и МРТ).
Клинические признаки сотрясения мозга
Определение неврологических симптомов черепно-мозговой травмы (ЧМТ) позволяет своевременно верифицировать нозологию:
- Боязнь света;
- Расширение зрачков;
- Нарушение координации при ходьбе;
- Расстройство памяти;
- Головокружение и головная боль;
- Общая слабость;
- Постепенное погружение в коматозное состояние.
Возникновение любого из описанных признаков после черепно-мозговой травмы требует немедленного оказания первой помощи:
- Человек укладывается на правую или левую сторону;
- Для снижения отечности к области лба прикладывается холодная повязка;
- Снять или расстегнуть рубашку, которая затрудняет дыхательную функцию;
- При необходимости сделать массаж сердца и провести искусственную легочную вентиляцию.
Процедуры выполняются в домашних условиях до приезда бригады скорой помощи. Внимательное отношение к состоянию человека после удара по черепной коробке, раннее лечение предотвращает летальный исход.
Особенности мозгового сотрясения у детей
Первые симптомы у детей появляются рано - сразу после удара. Первые признаки сотрясения мозга у ребенка:
- Бледности кожи;
- Вялость и слабость;
- Жалобы на головокружение;
- Синюшность кожи;
- Шум в ушах;
- Рези внутри глаз.
Подозрение на внутримозговое сотрясение требует консультации невролога и травматолога. Специалисты назначат необходимые виды клинико-инструментальной диагностики:
- Люмбальная пункция;
- Компьютерная и магнитно-резонансная томография (КТ и МРТ);
- Эхоэнцефалография;
- Электроэнцефалография.
Во время госпитализации диагностические способы позволяют оценить эффективность лечения ноотропами, седативными препаратами, дегидратационной терапией, местной гипотермией.
У грудных детей возможно появление неспецифичной симптоматики:
- Отсутствие аппетита;
- Частые срыгивания;
- Раздражительность и беспричинный плач;
- Мутность сознания.
У старших детей появляются сопутствующие признаки:
- Холодный пот;
- Синюшность кожи;
- Сопор и оглушение;
- Многократная рвота;
- Повышенное давление внутри глазных яблок;
- Внутриушной шум.
Множественные сопутствующие симптомы могут приводить к антеградной и ретроградной амнезии.
Комплексные нарушения при патологии:
- Расходящееся косоглазие;
- Глазодвигательные расстройства;
- Парез взора;
- Лабильность пульса;
- Снижение артериального давления;
- Увеличение температуры (гипертермия).
Симптомы сотрясения головного мозга сложнее выявить у грудничков. Чем меньше малыш, тем труднее верифицировать клинику нозологии.
Симптомы сотрясения у взрослого человека
Многочисленные признаки заболевания у взрослых людей не позволяют поставить диагноз при внешнем осмотре, изучении симптоматики. Частые сотрясения прослеживаются у боксеров. Частые удары по голове характеризуются постепенным развитием энцефалопатии.
Симптомы патологии у взрослого человека:
- Потеря равновесия;
- Легкое отставание одной ноги при ходьбе;
- Замедление движений;
- Обеднение речи;
- Замедление психической реакции;
- Дрожание головы и конечностей.
Описанные признаки появляются при среднем или тяжелом сотрясении. Проявления легкой формы у взрослого человека:
- Появление психических расстройств после употребления спиртных напитков, инфекционных заболеваний;
- Обострение вазомоторных реакций с головной болью, гиперемией кожных покровов при физических действиях (наклоны, бег, поднятие тяжестей);
- Внезапная раздражительность, склонность к мышечным судорогам;
- Формирование параноидальных черт личности (неврозы, страхи, тревоги, эмоциональная неустойчивость).
Распространенным проявлением умеренного сотрясения мозга является посткоммоционный синдром, возникающий через несколько недель или месяцев после травмы черепа. Психотерапевтическое лечение заболевания оказывается неэффективным.
Степени сотрясения мозга
У детей признаки сотрясения головного мозга считаются вариантом закрытой черепно-мозговой травмы с признаками компрессии внутримозговых образований, повреждения мозжечка. Симптомы патологии специалисты разделяют на три степени:
- Легкая - проявления сохраняются лишь 15 минут после травмы, нет нарушений сознания;
- Средняя (II степень) - симптоматика держится несколько часов, отсутствует патология сознательной сферы;
- Тяжелая (III) - ребенок теряет сознание сразу или через некоторое время после удара.
При легкой стадии отсутствует поражение костей черепа, возникают небольшие функциональные расстройства.
Последствия сотрясений головного мозга
Травматические повреждения тяжелой стадии могут приводить к летальному исходу и полному выздоровлению с одинаковой вероятностью. Функционирование мозговой сферы путем координации, комплексного замещения функциональности одного активного центра другим. Особое анатомическое строение обеспечивает возможность компенсации функции утраченного центра за счет других структур.
По мере старения переключение задач из одной области на другую уменьшается. Функциональные зоны стареют, появляются стойкие дефекты речевой активности, психические проблемы.
Повреждение речевой зоны у ребенка сопровождается формированием стойкого дефекта речевой активности. Из-за повышенной реактивности, восстановительной способности мозговой паренхимы реабилитация после сотрясения способствует восстановлению большей части потерянной функции.
Тяжелая травма сопровождается потерей памяти, расстройством интеллектуальной способности. У части детей возникает посттравматический синдром с неврологическими расстройствами - головокружением, головными болями, расстройством сна.
Осложнением тяжелых травм являются хронические вегетативные нарушения - продолжительные потери сознания с сохранением качества сна, сердечнососудистой и дыхательной деятельности. Состояние сохраняется из-за нормализации деятельности ствола, полушарий. Изменения могут сохраняться длительно, но при квалифицированном уходе есть вероятность восстановления большинства утраченных функций.
Какие методы диагностики сотрясения мозга
После оказания первой помощи на месте больного незамедлительно доставляют в лечебное заведение. Первоначальная диагностика - проверка функций жизнедеятельности:
- Особенности газообмена;
- Падение артериального давления;
- Проверка частоты сердечных сокращений.
При необходимости диагностика осуществляется во время пребывания человека под аппаратами искусственной вентиляции легких.
Оценка состояния головного мозга после повреждения осуществляется лучевыми способами нейровизуализации - МСКТ головного мозга и МРТ. Перед томографией рекомендуется выполнения рентгенографии черепа с целью верификации переломов. Формирование отеков головного мозга без лечения приводит к нарастанию симптоматики.
У детей после поступления в стационар проверяют ряд признаков:
- Глазодвигательные рефлексы;
- Мышечный тонус;
- Ладонно-подбородочный рефлекс;
- Расположение языка.
У детей первого-второго года жизни сохраняются роднички, через которые можно сделать ультразвуковое обследование.
Перечень методов диагностики сотрясения мозга:
- Эхоэнцефалография проводится для определения смещения мозговых структур;
- Нейросонография - у детей до двух лет определяет кровоизлияние, отеки, гематомы;
- Рентгенограграфию черепа в двух проекциях делают для выявления переломов черепа, шейных позвонков;
- Компьютерная и магнитно-резонансная томография назначается для определения состояния костей свода черепа, выявления изменений мозговой паренхимы, верификации сопутствующих изменений;
- Люмбальная пункция - способ верификации воспалительных процессов, кровоизлияний. Исследование обнаруживает менингит, хронические кровоизлияния внутрь белого и серого вещества;
- Электроэнцефалография определяет биоэлектрическую проводимость ткани, которая изменяется при демиелинизации, повреждении нервных клеток, эпилептической активности мозговой ткани.
Значительную роль в спасении жизни человеку играет внимание окружающих людей к состоянию потерпевшего человека. При любом виде сотрясения следует провести диагностику для исключения опасных осложнений.
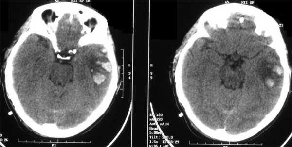
КТ и МРТ при сотрясении головного мозга
![КТ и МРТ при сотрясении головного мозга]()
Ежегодно в России от занятий спортом около полумиллиона людей получают черепно-мозговую травму и сотрясение головного мозга. По результатам обследования на КТ и МРТ при сотрясении головного мозга врачи травматологи и неврологи могут ответить пациенту на вопрос, насколько опасным оказалась для него эта травма, и каковы её последствия.
Диагностика головного мозга при сотрясенииКакой метод диагностики - КТ или МРТ выбрать врачу при сотрясении головного мозга сильно зависит от того, как была получена травма, и как мозг человека в каждом индивидуальном случае отреагировал на удар. В большинстве случаев сразу после сотрясения или при потере сознания пациентом невролог скорее всего назначит компьютерную томографию головного мозга. Её можно сделать пациенту быстро, и она сразу даст ответ на критические для доктора вопросы:
- есть ли перелом пластин черепа
- есть ли угроза кровоизлияния и гематомы мозга.
А вот чтобы оценить состояние вещества и сосудистого русла головного мозга, а также проследить динамику после сотрясения головного мозга, МРТ головного мозга будет наиболее подходящим видом диагностики.
БЕСПЛАТНАЯ
КОНСУЛЬТАЦИЯ О ДИАГНОСТИКЕЕсли сомневаетесь, запишитесь на бесплатную консультацию.
Или проконсультируйтесь по телефону
Что такое сотрясение головного мозгаЧеловеческий мозг состоит из мягкой жировой ткани, по консистенции похожей на желе. Расположен он внутри защитных мембран и черепа. Все это должно обеспечить головному мозгу безопасное существование. Но даже малейшее внезапное столкновение или удар в голову может сместить мозг внутри черепной коробки. В отличие от желе, ткани головного мозга неоднородны. Мозг состоит из сложной нервной системы с более чем 90 миллионами нейронов, использующих длинные аксоны для передачи сигналов внутри организма и контроля тела. Такая структура весьма сложная и хрупкая, так что любое негативное воздействие на неё может повлиять на нейтронную сеть.
Симптомы сотрясения головного мозга- потемнение в глазах;
- головная боль;
- нечеткое или расплывчатое зрение;
- проблемы с равновесием;
- изменении настроения и поведения;
- проблемы с памятью, мышлением и сном.
Иногда сотрясение головного мозга может протекать вообще бессимптомно. Мозг каждого человека уникален, поэтому и реакция каждого пациента на сотрясение головного мозга может быть совершенно разной. В этом и заключается основная трудность в диагностике сотрясения головного мозга. И только с помощью аппаратных форм диагностики врачи могут оценить степень повреждения структур головного мозга после травмы и назначить релевантную терапию.
Показывает ли МРТ и КТ сотрясение головного мозгаКак правило, при подозрении на сотрясение головного мозга используют как МРТ, так и КТ. Эти два принципиально разных вида томографии в сумме смогут показать полную картину того, что случилось с головным мозгом человека при травме, и каких последствий следует ожидать. КТ при сотрясении головного мозга поможет оценить состояние всех костных структур черепной коробки и ответить на вопрос, есть ли черепные трещины и переломы в результате удара. Также компьютерная томография четко покажет угрозу возникновения кровоизлияния, если сосуды головы были повреждены при сотрясении. МРТ после сотрясения головного мозга даст исчерпывающую информацию о состоянии вещества головного мозга и сосудистого русла. Она также будет использоваться доктором как ежегодная контрольная форма обследования, чтобы наблюдать за состоянием головного мозга после травмы.
Следует помнить, что в отдельных случаях симптомы сотрясения головного мозга могут развиваться довольно медленно, и дегенеративные изменения в мозгу случаются через несколько месяцев или лет после момента удара. Иногда сотрясение головного мозга может возникнуть, когда не было прямого сильного воздействия на голову. Такие травмы обладают едва заметными симптомами, но могут приводить к гораздо более серьезным последствиям. Особенно, если это происходит неоднократно. Как пример можно взять футболистов, которым часто приходится принимать мяч головой. При помощи диффузионной МРТ во время исследования 2013 года ученые оценивали, какое влияние игра оказала на мозг футболистов.
В ходе МРТ обследования головы медики смотрели, как слабые, но неоднократные удары меча по голове могут изменить структуру мозга. В результате было обнаружено, что спортсмены, которые взаимодействовали с мячом головой более 1800 раз за год, повредили целостность структур своих аксонов. От этого у игроков заметно ухудшились результаты тестов на память и концентрацию. Этот эксперимент наглядно показал, как даже при отсутствии формальной травмы любые воздействия на мозг человека оставляют свой негативный след. Поэтому, если Вы занимаетесь активными видами спорта, где задействованы спина и голова, в обязательном порядке раз в год в качестве профилактики развития болезней головного мозга нужно проходить комплексное обследование головы на МРТ и КТ.
Неприятные последствия сотрясения головного мозгаПосле сотрясения некоторые люди могут испытывать посткоммоционный синдром (ПКС). Это грозит человеку постоянными головными болями, проблемами с концентрацией и поведенческими изменениями, которые могут проявляться в течение нескольких месяцев или лет после черепно-мозговой травмы. Медицинская статистика показывает, что имея сотрясение головного мозга, раннее возвращение к сильным нагрузкам или занятию активными видами спорта увеличивает риски появления ПКС. Поэтому так важно терпеливо соблюдать предписанный неврологом постельный режим в течение 7-10 дней после сотрясения.
Также из-за черепно-мозговой травмы у человека может развиться энцефалопатия (невоспалительное заболевание мозга). Больные этим недугом страдают от резкой смены настроения, проблем с мышлением и памятью, что в свою очередь может привести к деменции и слабоумию. Считается, что виной тому тау-белок (MAPT). В частности, он нужен для поддержания крошечных трубочек внутри аксонов. Врачи утверждают, что удары в голову способны повредить эти микротрубочки, что вызывает скопление тау-белков и нарушение коммуникационных функций нейронов. Чтобы избежать возможных отрицательных последствий после черепно-мозговой травмы, больному, даже если травма прошла на первый взгляд бессимптомно, обязательно нужно обратиться к неврологу и сделать КТ и МРТ после сотрясения головного мозга.
Читайте также:


