Синдром предплюсневого канала
Добавил пользователь Евгений Кузнецов Обновлено: 11.12.2025

Синдром пазухи предплюсны представляет собой совокупность (группу) различных недугов, характеризующуюся локальными (местными) болевыми ощущениями в районе подтаранного сустава.
Хотя, по сей день, точные причины данного синдрома до конца не выявлены, специалисты склонны полагать, что заболевание может являться следствием артрофиброза, дегенерации подтаранного сустава, а также разрыва связок и пр.
При этом, оптимально точно определить источник проблемы, позволяют артроскопические и лучевые диагностические методики (например, МРТ).
Основная информация
Впервые синдром был упомянут в середине 20 века, как группа состояний, сопровождающаяся болевыми и иными дискомфортными ощущениями снаружи голеностопа, а также в районе пазухи предплюсны, размещенной между 2-мя отделами подтаранного сустава и состоящей из сосудов и жировой клетчатки.
Причины возникновения и развития синдрома
Со временем специалистами было замечено, что, при наличии синдрома, у пациентов наблюдаются существенные изменения образующих пазуху мягких тканей, а также дегенерация нервных волокон, расположенных в районе предплюсны. Этот факт дает возможность считать, что травмирование нервных окончаний, а также сопряженная с этим потеря чувствительности могут напрямую влиять на развитие синдрома.
Еще одной вероятной причиной появления и прогрессирования данного состояния могут являться фиброзы (особенно посттравматического типа), кистозные образования, травмы сгибателя пальцев и пр.
Особенности диагностирования
Отеки различной степени, а также локальные болевые ощущения в районе заднего отдела стопы и снаружи голеностопа являются одними из ключевых показателей наличия синдрома.
При этом, при выявлении (диагностировании) недуга, оптимально эффективной методикой является МРТ.
Особенности лечения
Консервативная методика
Одной из наиболее результативных процедур, применяемых при устранении недуга, является инъекция кортизона и анестетиков. Как показывает практика, у ряда людей уже после нескольких уколов полностью исчезает симптоматика. В случае, если такой метод не приносит какого-либо эффекта (даже кратковременного) - специалист может усомниться в корректности диагноза.
Однако, при наличии временного облегчения и последующего возврата боли и дискомфортных ощущений, пациенту назначается хирургическое вмешательство.
Хирургическая методика
Суть хирургической операции, при наличии синдрома пазухи предплюсны, заключается в обнаружении, а также последующем иссечении ее содержимого (жировой подушки).
На сегодняшний момент, наиболее популярной методикой ревизии и устранения недуга, гарантирующей позитивные результаты в 92% случаев, заслуженно считается артроскопия подтаранного сустава. Как правило, именно применение артроскопического оборудования позволяет специалистам выполнять поистине широкий перечень вмешательств - хондропластику, дебридмент и т.д.
Стоимость услуг
Первичное посещение лечащего специалиста
- Ознакомление с жалобами пациента, а также изучение происхождения заболевания
- Осмотр
- Симптоматика недуга
- Изучение данных, полученных при анализе крови, а также рентгене, КТ и МРТ
- Постановка диагноза
- Определение тактики лечения
Повторное посещение специалиста
- Уточнение и подробное изучение данных исследований, полученных при первом посещении лечащего специалиста
- Постановка диагноза
- Определение методики лечения
«Блокада» глюкокортикоидами (цена препарата не учитывается)
- Инъекция анестезионного препарата местного действия
- Локальная инъекция препарата «Дипроспан»
PRP-терапия и плазмолифтинг
- Консультация лечащего врача
- Забор крови
- Приготовление плазмы, обогащенной тромбоцитами
- Инъекция полученной плазмы в больной участок
- Нахождение в медицинском заведении
- Эпидуральный анестезионный препарат
- Хирургическое вмешательство по методике артроскопии
- Расходные (операционные) материалы
Послеоперационное посещение специалиста
- Послеоперационный осмотр
- Ознакомление с данными результатов КТ, МРТ, рентгена
- Рекомендации по восстановлению
- Инъекция препарата на основе гиалуроновой кислоты
- Удаление наложенных швов
Отзывы о враче
Меня зовут Воробьева Елена. В августе 2021 Денис Сергеевич сделал мне операцию по замене тазобедренного сустава. В феврале 2022 года я пришла на очередной осмотр. Доктор сказал, что у меня все абсолютно .
Обратился к Денису Сергеевичу на консультацию по поводу проведения эндопротезирования коленного сустава. Ранее в той же клинике был поставлен диагноз гонартроз с рекомендацией оперироваться. Доктор .
У бабушки (91 год) был сложный перелом плеча со смещением. Никто не брался ей помочь, а в больницу с ковидом отправлять бабушку было страшно. Несколько врачей сказали, что ничем помочь не могут. От .
Мне, Митрополевский Татьяне Валентиновне, 1949 г. Рождения, была выполнена операция тотального цементного эндопротезирования левого тазобедренного сустава. Первая аналогичная операция на правом суставе .
Проживаю в Ростовской области. Последние два года очень беспокоила боль в тазобедренном суставе, уже ничего не помогало, и я решилась на эндопротезирование. По совету ростовского хирурга обратилась .
Больше года ежеминутно я чувствовала мигрирующую боль в области таза, боль усиливалась после сидения и лежания на боку. Прошла весь путь врачей от гинекологии, урологии, проктологии, неврологии и тому .
Обратилась к врачу с сильнейшей болью в тазобедренного суставе, практически не могла ходить. Денис Сергеевич внимательно осмотрел, назначил обследование, по результатам которого провел манипуляции .
Якушев Денис Сергеевич - травматолог-ортопед, но ещё и врач и человек с большой буквы. В 2016 году доктор Якушев Д.С. прооперировал тазобедренный сустав справа у моей мамы. Операция была экстренная .
Очень понравилось всё! Врач подробно рассказал обо всем, объяснил ситуацию. Понятно и доступно! Внимательность, профессионализм! Приятно было пообщаться. Специалиста рекомендую на все 100%!
Хочу сказать большое спасибо Якушеву Денису Сергеевичу! Обратился к нему с отрывом сухожилия бицепса. Диагноз был поставлен очень оперативно и сразу назначена плановая операция. Операцию сделали по .
Мне понравился весь мед персонал, а главное, мой лечащий врач - Якушев Денис Сергеевич. Этот человек на своем месте. Я живу в ростовской обл., хорошие люди дали номер телефона Денис Сергеевич, созвонились .
Хотим выразить огромную благодарность Якушеву Денису Сергеевичу! Спасибо Вам большое за Ваш профессионализм и внимательность, за теплое, доброжелательное отношение к нам и желание помочь! Пациенту .
С 2011 года у моей свекрови (сейчас ей 70 лет) появились сильнейшие боли в правой ноге в области бедра и колена. Мы с мужем неоднократно ее записывали к различным травматологам-ортопедам и неврологам .
Народ! Спешу сообщить, что наша медицина жива, пока у неё есть такие доктора, как Якушев Денис Сергеевич - Травматолог-ортопед, не ошиблась, именно с большой буквы. 28.01.2020 доктор Якушев Д.С.
В январе 2020 г. мужу сделали операцию по замене правого тазобедренного сустава в ФНКЦ МФБА России. Оперировал травматолог-ортопед Якушев Денис Сергеевич. Операция прошла прекрасно, всего за 1 ч. 10 .
Синдром тарзального канала

Синдром тарзального канала (СТК), либо, как еще называют данный недуг - туннельный синдром предплюсны, представляет собой заболевание, сопровождаемое дискомфортными и болевыми ощущениями, спровоцированными чрезмерным сдавливанием и натяжением расположенного в канале предплюсны большеберцового нерва.
Проходящий по поверхностям таранной и пяточной костей (в задней части лодыжки), канал предплюсны ограничивается удерживателем сухожилий-сгибателей. Постоянное раздражение находящегося в канале нерва вызывает стопное онемение и, соответственно, боль в данной области.
К основным причинам возникновения туннельного синдрома могут относиться, как формирование в канале ганглионарных кистозных образований, так и различного рода деформационные изменения голеностопа и самой стопы, вызывающие уменьшение канала и натяжение нерва.
Анатомические и функциональные особенности голеностопа
С точки зрения анатомии, канал предплюсны представляет собой пространство, где размещены сухожилия сгибателей пальцев (в том числе и первого), а также большеберцовые нерв и артерия. В свою очередь, большеберцовый нерв подразделяется на латеральный, пяточный и медиальный нервы.

Рис 1. Анатомические особенности канала предплюсны.
Удерживатель сгибателей представляет собой связку, которая, в норме, ограничивает канал предплюсны, а также удерживает находящиеся в нем анатомические элементы. Однако, при этом, именно связка может спровоцировать различного рода нарушения анатомической структуры голеностопа и стопы путем патологического сжимания содержимого канала.
Итогом такого сжимания становится регулярное чрезмерное растяжение расположенного в нем нерва, переходящего, со временем, в СТК.
К другим причинам возникновения СТК, хотя и несколько реже, может относиться наличие остеофитов, различного рода кистозных образований, а также гипертрофических изменений сухожилий, также сдавливающих нерв, нарушающих его кровоснабжение, и ведущих к развитию ишемии.
Распространенность СТК
Согласно многочисленным медицинским наблюдениям, СТК можно отнести к достаточно редким недугам. Например, в США ему подвержены порядка 200000 человек.
Предшествующие синдрому состояния могут представлять из себя, как уже было отмечено выше, различного рода образования (опухоли, кисты, отечности), повреждения и травмы стопы и голеностопа, вызванные плоскостопием деформационные изменения и т.д.
Кроме того, имеют место быть и другие виды состояний, провоцирующие развитие СТК:
- подошвенный фасциит и теносиновит - по симптоматике данного типа заболевания во многом идентичны СТК;
- радикулит поясничного типа и, зачастую сопряженная с сахарным диабетом, периферическая нейропатия.
Факторы риска и профилактика синдрома
Замечено, что наиболее часто синдром предплюсны сопровождает пациентов, которым приходится, в силу профессиональной или бытовой деятельности, много стоять на ногах. Именно интенсивные и постоянные нагрузки, особенно в совокупности с плоскостопием, артритом, ожирением и сахарным диабетом, в достаточной мере влияют на развитие СТК.
Особенности симптоматики
Основными симптомами, при наличии синдрома, являются жжение и простреливающие болевые ощущения, а также парестезии в районе пятки и подошвы. При этом, у пациентов с плоскостопием в положении стоя, либо при ходьбе, может наблюдаться усиление сдавливания и натяжения нерва. Такое сдавливание провоцирует развитие ишемии собственных мышечных тканей стопы, и, как следствие, возникновение мышечных судорог.
Особенности диагностирования СТК
Диагностика синдрома начинается с пальпации (ощупывании) района канала предплюсны, проводимой с целью определения степени чувствительности стопы.
Рис 2. Иррадиация болевых ощущений при наличии синдрома тарзального канала.
Визуально определяемые атрофические изменения мышечных тканей стопы, как и когтеобразная деформация пальцев, могут говорить о хроническом сдавливании нерва.
При этом, рентгенографические исследования (МРТ, КТ, УЗИ) стопных отделов под нагрузкой, позволяют выявить наличие/отсутствие различных деформационных изменений, остеофитов, переломов, а также иных видов проблем, провоцирующих изменение нормальной формы канала предплюсны.
Как правило, рентген помогает специалисту получить оптимально корректную информацию и, на ее основе, применить наиболее эффективную тактику лечения - консервативную, либо хирургическую.

Рис 3. МР-признаки наличия жидкостного ганглия, оказывающего патологическое давление на большеберцовый нерв.
Методики лечения СКТ
При выявлении у пациента тех или иных видов объемных образований, способствующих развитию СКТ, специалисты рекомендуют незамедлительно провести их хирургическое устранение. В случаях же отсутствия таких образований - больному назначается, в первую очередь, консервативное лечение.
Главной задачей устранения недугов по консервативным методикам является уменьшение тракционного воздействия на те или иные анатомические элементы стопы (в том числе и на нерв).
Здесь, весьма эффективным считается:
- применение специально подобранной обычной или ортопедической обуви, а также стелек, позволяющих максимально равномерно распределить нагрузки на стопу;
- снижение избыточного веса;
- выполнение физиотерапевтических процедур и упражнений;
- ограничение некоторых видов двигательных функций;
- локальное введение препаратов на основе кортикостероидов с целью временного уменьшения отечности и многое другое.
В случаях неэффективного консервативного лечения, пациенту показана хирургическая операция.
Лечение СКТ хирургическими методиками рекомендуется достаточно редко и показано, как было сказано выше, при наличии кист, доброкачественных опухолей, а также иных видов объемных образований, сдавливающих нерв.
При подобных операциях на канале предплюсны, специалистом выполняется иссечение удерживателя сгибателей с целью освобождения нерва, а также его ответвлений, расположенных в пределах прилегающих участков.
Первичное посещение кабинета специалиста
- Ознакомление с происхождением (историей) недуга, выявление основных жалоб пациента и т.д
- Осмотр в клинических условиях
- Симптоматика заболевания
- Ознакомление с результатами гематологических анализов, данных рентгенографических исследований (УЗИ, МРТ, КТ)
- Диагностика
- Назначение лечения
Повторное посещение кабинета специалиста
- Анализ результатов диагностики, проведенной при первом посещении кабинета специалиста
- Конкретизация (уточнение) диагноза
- Назначение лечения
Постановка «блокады» (без учета стоимости препарата «Дипроспан»)
- Введение анестезионного препарата местного действия
- Локальная инъекция препарата «Дипроспан»
- Консультационный прием специалиста
- Забор крови
- Получение плазмы, обогащенной тромбоцитами
- Инъекция полученной плазмы в пораженный участок
Артроскопическая операция по устранению синдрома пазухи предплюсны
- Пребывание в стационаре клиники
- Введение эпидурального анестезионного препарата
- Хирургическое вмешательство по методике артроскопии
- Расходные (операционные) материалы
- Осмотр в клинических условиях и плантоскопия
- Изготовление стелек
- Расходные материалы
- Предоставление рекомендаций по профилактике заболеваний голеностопа и стоп
Послеоперационное посещение кабинета врача
- Послеоперационный осмотр в клинических условиях
- Ознакомление с послеоперационными результатами рентгенограмм, МРТ, КТ
- Предоставление рекомендаций по реабилитации
- Внутрисуставное введение препарата на основе гиалуроновой кислоты (в случае необходимости)
- Снятие операционных швов
Синдром запястного канала (туннельный синдром) - симптомы и лечение
Что такое синдром запястного канала (туннельный синдром)? Причины возникновения, диагностику и методы лечения разберем в статье доктора Михайлюка Игоря Геннадьевича, невролога со стажем в 13 лет.
Над статьей доктора Михайлюка Игоря Геннадьевича работали литературный редактор Маргарита Тихонова , научный редактор Сергей Федосов и шеф-редактор Лада Родчанина
Определение болезни. Причины заболевания
Синдром запястного канала — это наиболее распространённая форма туннельных синдромов, которая возникает в результате сдавления срединного нерва в месте его прохождения через такой анатомический "туннель", как запястный канал [1] .

Средняя распространённость синдрома составляет 1-5,8 % [2] [3] , при этом она может значительно отличаться в зависимости от социальной группы человека и факторов риска, которым он подвергается [4] .
Основными факторами риска, предрасполагающими к развитию синдрома запястного канала, являются:
- возраст от 40 до 60 лет;
- женский пол; или избыточная масса тела;
- сахарный диабет; и курение[4][5][6] ;
- профессиональные факторы: интенсивная нагрузка на лучезапястный сустав во время физически сложной работы ( механик, слесарь ), удерживание кисти в неудобном положении, особенно в позиции сгибания или разгибания (фотограф, музыкант, швея), воздействие локальной или общей вибрации ( бурильщик, шлифовщик, асфальтоукладчик, водитель ), а также работа, связанная с длительным пребыванием за компьютером (программист, редактор, наборщик) [7][8][9] .
В большинстве случаев встречается так называемая идиопатическая форма синдрома запястного канала, при которой установить причину имеющихся симптомов не удаётся [5] . При этом, по данным компьютерной томографии, у таких пациентов имеется врождённая узость канала запястья [10] . Поэтому основная роль в формировании идиопатической формы синдрома, вероятно, принадлежит врождённым неизменяемым факторам (например, наследственности) [11] .
Вторичная форма синдрома запястного канала может возникать при поражении различных анатомических структур, которые расположены в запястном канале, в ходе некоторых заболеваний и состояний:
- системные заболевания соединительной ткани (например, ревматоидный артрит);
- тендовагинит мышц-сгибателей кисти (воспаление сухожилия мышцы и её оболочки);
- заболевания эндокринной системы;
- гиповитаминозы (нехватка витаминов в организме);
- беременность [3][5] .
При обнаружении схожих симптомов проконсультируйтесь у врача. Не занимайтесь самолечением - это опасно для вашего здоровья!
Симптомы синдрома запястного канала
Симптомы заболевания включают в себя чувствительные нарушения: онемение и парестезии (мурашки, покалывание, жжение) в области иннервации срединного нерва на кисти, т. е. в области пальцев с первого по четвёрты й.

Дополнительно человек может испытывать ноющие, иногда жгучие болевые ощущения в этой области. При этом заподозрить именно синдром запястного канала, а не другое заболевание с похожими симптомами, позволяют следующие характеристики этих проявлений [12] :
- Нарушения чувствительности в виде онемения или парестезий, которые присутствуют минимум в двух пальцах с первого по четвёртый в течение по крайней мере одного месяца. Указанные симптомы могут появляться периодически или быть постоянными. Причём если сейчас симптомы присутствуют постоянно, то перед этим обязательно был период, когда они возникали периодически. Для соблюдения этого критерия недостаточно одной боли — ей обязательно должны сопутствовать онемение и парестезии.
- Онемение и парестезии становятся сильнее под влиянием хотя бы одного из указанных факторов: сон, удержание руки в одном положении, многократно повторяющиеся движения кисти.
- Онемение и парестезии уменьшаются под влиянием минимум одного из указанных факторов: смена положения или встряхивание руки, фиксация лучезапястного сустава ортезом (специальным приспособлением).
- Болевой синдром (при наличии) должен быть более выраженным в пальцах, области кисти и лучезапястного сустава, чем в предплечье, плече и шее.
При выраженной степени повреждения срединного нерва в области прохождения его через запястный канал может присутствовать слабость мышц, за движения которых отвечает срединный нерв. Чаще всего, это мышцы возвышения большого пальца. Однако из-за часто встречающихся анастомозов (соединений) между срединным и локтевым нервом могут встречаться нетипичные для поражения срединного нерва варианты слабости мышц [13] .

Патогенез синдрома запястного канала
В основе развития чувствительных нарушений лежит повышение давления тканей внутри запястного канала, из-за чего и происходит сдавливание нервного ствола окружающими тканями [5] [14] . Такое давление снижает подвижность нерва, в связи с чем во время движений в лучезапястном суставе он подвергается микротравматизации. Вместе с этим из-за повышения давления в этой области страдает циркуляция венозной и артериальной крови и процесс аксонального транспорта — распространения нервного импульса. Это, в свою очередь, вызывает запуск биомеханические и структурные изменения в области запястного канала [5] [14] [15] .

По причине недостатка поступления крови в нервном стволе начинают происходить биохимические изменения. Периоды снижения (ишемии) и возобновления кровотока приводят к оксидантному повреждению на клеточном и тканевом уровне, при этом в первую очередь повреждаются волокна, покрытые миелиновой оболочкой (защитным слоем) [16] . Возникшая ишемия и оксидантное повреждение усиливают выработку таких веществ, как цитокины и простагландины E2, которые отвечают за развитие боли [5] .
Чередование периодов ишемии и восстановления кровообращения создаёт отрицательное внутритканевое давление, а это в свою очередь приводит к отёку синовиальных оболочек (внутренних слоёв суставных капсул). В итоге содержимое запястного канала сдавливается ещё больше [5] [14] .
Если сдавление срединного нерва сохраняется довольно долго, то чрезмерный синтез белка интерлейкина-6 приводит к образованию рубцовой ткани внутри и вокруг нервного ствола. Это происходит из-за того, что данное вещество стимулирует увеличение количества фибробластов и разрастанию соединительной ткани [5] .
Классификация и стадии развития синдрома запястного канала
На начальной стадии заболевания обычно присутствуют только симптомы нарушения чувствительности — онемение или парестезии, иногда сопровождающиеся болью, которые возникают периодически, чаще ночью, при удержании руки долгое время в одном положении, выполнении многократно повторяющихся движений в лучезапястном суставе. Со временем эти симптомы становятся постоянными, и при дальнейшем прогрессировании заболевания возникает слабость мышц, за движение которых отвечает срединный нерв, с их последующей истощением [5] .

Чёткой взаимосвязи между степенью синдрома по данным электронейромиографии и выраженностью клинических симптомов заболевания в исследованиях выявлено не было. Это объясняют повреждением тонких нервных волокон типа Аδ и С, проводимость которых электронейромиография оценить не может. Удаётся зафиксировать изменения только при повреждении Аβ-волокон, которое при синдроме запястного канала возникает обычно значительно позже, чем первые симптомы заболевания [5] .
Ещё одной причиной, вызывающей несоответствие клинических симптомов со степенями нарушения проводимости по срединному нерву в области запястного канала, является вариабельность иннервации кисти локтевым и срединным нервом [13] .
Деление патологического процесса синдрома на стадии является важной задачей, которую только предстоит решить. Она поможет принимать решение о выборе тактики лечения — использовать консервативные методы имеет смысл только на начальных стадиях заболевания [12] .
Осложнения синдрома запястного канала
Главным осложнением синдрома запястного канала является необратимое поражение срединного нерва. Оно приводит к стойким расстройствам чувствительности в области иннервации данного нерва, а также к слабости мышц кисти, за движение которых он отвечает.

Срединный нерв на кисти иннервирует мышцы возвышения большого пальца, а также первые две червеобразные мышцы. Поэтому при повреждении нерва может нарушаться функция указанных мышц, что приводит к нарушению сгибания, отведения, противопоставления большого пальца (соприкосновение его подушечки с подушечками других пальцев), а также сгибания указательного и среднего пальцев. Параллельно со слабостью развивается гипотрофия указанных мышц (истончение и уменьшение мышечных волокон).
Всё это в конечном итоге приводит к невозможности нормально пользоваться рукой и развитию специфичной форме кисти, которая получила образное название "обезьянья лапа".

У некоторых пациентов помимо указанных нарушений также может наблюдаться развитие стойкого хронического болевого синдрома в области кисти и запястья, который с трудом поддаётся лечению [5] .
Для предупреждения развития данных осложнений важно вовремя провести правильную диагностику состояния и назначить корректное лечение.
Диагностика синдрома запястного канала
В основе диагностики поражения срединного нерва лежат клинические и электрофизиологические критерии.
Осмотр пациента направлен не только на выявление симптомов, характерных для синдрома запястного канала (онемение, парестезии, боль), но и на то, чтобы исключить другие возможные пр ичины жалоб: шейную радикулопатию, отражённую боль при миофасциальном или фасеточном синдроме, диабетическую нейропатию, множественную мононейропатию, плечевую плексопатию, синдром верхней аппертуры грудной клетки, иррадиацию боли при эпикондилите.
Физикальный осмотр включает оценку чувствительности в области иннервации срединного нерва, мануальное тестирование силы мышц, а также специальные провокационные тесты, при выполнении которых у людей с с индромом запястного канала имеющиеся симптомы нарастают. Наиболее часто используют тест Тинеля, при котором лёгкое постукивание над запястным каналом вызывает покалывание и прострелы в пальцы, либо тест Фалена, при котором удержание запястья в максимально согнутом состоянии в течение 30 секунд приводит к появлению или усилению имеющихся у пациента жалоб [5] .

Чаще всего для инструментальной диагностики синдрома применяют метод стимуляционной электронейромиографии. При его выполнении срединный нерв с помощью электрического тока стимулируется в определённых местах. Вызванные таким образом потенциалы регистрируются и анализируются. Так можно определить место сдавления нерва, степень поражения сенсорных и моторных волокон, а также морфологический тип поражения (поражение миелиновых оболочек или отростков нервных клеток) [5] [12] [21] .
Несмотря на то, что метод электронейромиографии является достаточно чувствительным и специфичным, его нельзя использовать в отрыве от клинических симптомов заболевания, так как известно множество вариантов нарушений проведения импульса по периферическим нервам без клинических признаков того или иного заболевания.
В последнее время в процессе диагностики синдрома запястного канала всё чаще используют УЗИ, а также КТ и МРТ. Их применение оправдано, так как они помогают выявить морфологические изменения срединного нерва и окружающих его структур, а также те или иные аномалии в области канала запястья, которые могут вызывать клинические симптомы у данных пациентов [22] .
Однако применение КТ и МРТ в диагностике синдрома запястного канала ограничено из-за высокой стоимости по сравнению с другими методами и высоких требований к способности аппаратуры. Поэтому методом выбора, позволяющим исключить структурную патологию в области запястного канала, является УЗИ.
Лечение синдрома запястного канала
Начальным методом терапии пациентов с синдромом запястного канала может стать изменение повседневной активности, исключение вредных профессиональных факторов, эргономичная организация рабочего места при работе за компьютером — использование специальных мышек, ковриков и клавиатур [23] .

Следующим методом, показавшим свою эффективность и безопасность, является ортезирование запястья, при котором лучезапястный сустав помещается в нейтральное положение. Таким образом минимизируется негативное воздействие на срединный нерв со стороны окружающих его структур [5] .

В комплексном лечении могут использоваться и многие другие методики: мануальная терапия, физиотерапия, кинезиотейпирование, однако данные об их эффективности противоречивы [5] .
В качестве терапии у пациентов с синдромом запястного канала также используется медикаментозное лечение. Оно направлено на уменьшение воспаления и отёка в области запястного канала, что приводит к купированию симптомов.
В клинической практике применяется достаточно большое количество лекарственных средств, однако для большинства препаратов эффект является кратковременным и малозначительным. Исключением являются препараты кортикостероидов, особенно при локальном применении в форме медикаментозных параневральных блокад (введение анестетика в пространство около почек) [5] .
Также существует большое разнообразие методов оперативного лечен ия, которые отличаются лишь вариантами оперативного доступа [24] . Однако в основе любого вмешательства лежит рассечение поперечной связки запястного канала и освобождение срединного нерва от компрессии (сдавления) окружающими тканями.

Выбор варианта операции и техники лечения зависит от многих факторов:
- степени сдавления срединного нерва;
- наличия сопутствующих заболеваний;
- особенностей анатомии запястного канала;
- предпочтений хирурга [25] .
Хирургическое вмешательство — радикальный метод лечения, который позволяет нормализовать давление внутри запястного канала. Эффект от оперативного лечения превосходит все существующие в данный момент консервативные методы. Кроме того, уже через две недели после операции люди могут вернуться к своей профессиональной деятельности. Однако не смотря на широкое распространение синдрома запястного канала до сих пор нет единой тактики определения показаний к выполнению операции. Различные авторы предлагают свои критерии, которые позволяют отобрать пациентов для оперативного лечения, и в каждом случае решение принимается индивидуально [2] [5] .
Не смотря на разнообразие методов, единого подхода к лечению пациентов с синдромом запястного канала не существует.
Одна точка зрения заключается в том, что оперативное лечение должно использоваться только в крайнем случае: при неэффективности проведённого консервативного лечения и при наличии выраженной симптоматики в виде слабости и гипотрофии мышц [26] .
Также существует мнение, что несмотря на большое разнообразие консервативных методов лечения их эффективность крайне низка, поэтому достигнутый результат лечения является кратковременным. В связи с этим не рекомендуется затягивать с хирургическим вмешательством, так как оно является наиболее эффективным методом лечения [2] [5] .
Прогноз. Профилактика
Синдром запястного канала является прогрессирующим состоянием. Без лечения со временем он может привести к стойкому повреждению срединного нерва и, как следствие, нарушению функции кисти из-за невозможности сгибать с первого по третий палец, а также приводить и противопоставлять большой палец, который выполняет важную роль в повседневной жизни любого человека.
Пока нет достоверных научных данных о том, может ли какое-либо консервативное лечение предотвратить прогрессирование заболевания. Даже при хирургическом лечении и высвобождении срединного нерва от сдавливающих его структур в 1/3 случаев возможен рецидив заболевания в первые пять лет после операции [27] .
К осложнениям оперативного лечения синдрома относят:
- кровотечение и образование гематомы в области послеоперационной раны;
- инфекционные осложнения;
- образование рубцов и спаек в области разреза;
- повреждение чувствительных ветвей срединного нерва, следствием чего может стать стойкое онемение в области иннервации срединного нерва [5] .

Учитывая, что синдром запястного канала часто связан с анатомической узостью запястного канала, методы надёжной профилактики заболевания пока не разработаны. Поэтому предупреждение развития синдрома может быть направлена только на коррекцию таких факторов риска, как избыточный вес или ожирение, повышенный уровень гликемии при сахарном диабете, злоупотребление алкоголем, курение, вредные производственные факторы, включающие чрезмерную нагрузку на лучезапястный сустав. К сожалению, эффективность всех этих мероприятий часто оказывается крайне низкой [4] [5] [9] .
Стеноз позвоночного канала (спинальный стеноз) - симптомы и лечение
Что такое стеноз позвоночного канала (спинальный стеноз)? Причины возникновения, диагностику и методы лечения разберем в статье доктора Мажейко Людмилы Ивановны, невролога со стажем в 42 года.
Над статьей доктора Мажейко Людмилы Ивановны работали литературный редактор Елена Бережная , научный редактор Сергей Федосов
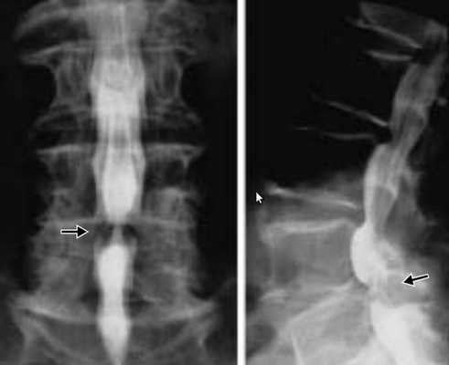
Стеноз позвоночного канала — это состояние, когда размеры позвоночного канала на поперечном срезе уменьшаются, либо уменьшаются размеры межпозвонковых отверстий, в результате чего сдавливается содержимое канала (спинной мозг, корешки) . Как правило, стеноз позвоночного канала выявляется на уровне нижних поясничных позвонков, реже — в шейном и грудном отделах позвоночника.

Позвоночный (спинномозговой) канал — это пространство внутри позвоночного столба, которое спереди образуют тела позвонков и межпозвонковые диски, с боков и сзади — дуги позвонков, соединенные желтой связкой. На поперечном срезе он треугольной или овальной формы. [1]
Позвоночный канал составляют: спинной мозг с корешками, окруженными оболочками мозга, а также жировая и рыхлая соединительная ткань с артериями, венами и нервами. От спинного мозга отходят парные нервные корешки, окруженные твердой мозговой оболочкой, каждый из которых выходит за пределы спинномозгового канала через свое отверстие. Спинной мозг продолжается от большого затылочного отверстия до второго поясничного позвонка. Ниже второго поясничного позвонка в позвоночном канале расположен "конский хвост" — пучок из корешков четырех нижних поясничных, пяти крестцовых и копчиковых корешков спинного мозга.

Функции спинного мозга:
- проводниковая — проведение нервного импульса от центра к периферии и обратно;
- рефлекторная — формирование ответной реакции нервной системы на раздражение.
Стеноз бывает врожденным и приобретенным. Врожденный (первичный) формируется на 3-6 неделе внутриутробного развития зародыша человека. Причинами этого нарушения могут быть генетический фактор, а также инфекционные и токсические факторы, влияющие на формирование позвоночника.
Причины врожденного стеноза:
- Врожденная хондродистрофия (ахондроплазия) — внутриутробное нарушение роста костей, при котором позвоночный канал сужается из-за сращения позвонков, укорочения и утолщения дуг позвонков.
- Диастематомиелия — разделение позвоночного канала внутренней перегородкой, которая состоит из хрящевой или костной ткани, раздвоение спинного мозга.
Причины приобретенного (вторичного) стеноза:
- травматическое смещение позвонков и их отломков, внутриканальные гематомы;
- дегенеративно-дистрофические изменения межпозвонковых суставов в виде костных разрастаний, направленных внутрь позвоночного канала (фасеточная артропатия);
- выпадение межпозвонковой грыжи, ее окостенение или секвестрирование вследствие дископатии;
- переднее смещение позвонка (спондилолистез) вследствие анатомического дефекта дуги позвонка;
- утолщение и обызвествление желтых связок позвоночника вследствие их воспаления или дистрофии;
- утолщение капсулы межпозвонковых суставов вследствие их воспаления при болезни Бехтерева и других воспалительных процессах;
- огрубение передней продольной связки (болезнь Форестье);
- застойное полнокровие вен внутри позвоночного канала;
- рубцовые изменения и внедрение стальных конструкций внутри позвоночного канала вследствие операций на позвоночнике;
- опухоли и кисты внутри позвоночного канала и др.
Зачастую на формирование стеноза позвоночного канала оказывают влияние как врожденные, так и приобретенные факторы. Страдают стенозом преимущественно пожилые люди, так как у них имеют место возрастные дегенеративные заболевания позвоночника. Частота заболевания резко возрастает у людей старше 50 лет и в данной возрастной группе составляет от 1.8 до 8%. [2] Наиболее часто встречающийся приобретённый стеноз позвоночного канала — это последняя стадия остеохондроза позвоночника, когда разрастается костная ткань тел позвонков и остеофитов.
У многих людей без врожденных нарушений развития позвоночника встречается конституционально анатомически более узкий позвоночный канал, чем в среднем. Нормальная глубина позвоночного канала в поясничном отделе составляет 13-25 мм, в шейном — 15-20 мм.
В шейном отделе позвоночника данную особенность костной структуры канала можно обнаружить на боковых рентгенограммах путем расчета и оценки индекса М.Н.Чайковского. Индекс Чайковского — это отношение сагиттального размера позвоночного канала к сагиттальному размеру тела позвонка на уровне данного конкретного позвонка без учета краевых костных разрастаний. На рентгенограмме измеряется сагиттальный диаметр позвоночного канала (а) и сагиттальный размер тела позвонка (б), первое число делится на второе (а:б).
Измерение сагиттального размера позвоночного канала и тела позвонка

- 0,9 до 1,1 — позвоночный канал обычной глубины;
- меньше 0,85 (согласно некоторым авторам — 0,75) — конституционально узкий позвоночный канал.
Симптомы стеноза позвоночного канала
Развитие позвоночного стеноза происходит медленно и может занимать долгие годы. Симптомы стеноза позвоночного канала в поясничном и грудном отделах — постепенно нарастающая боль в спине, в ногах, возникающие поначалу иключительно при ходьбе. Болезненные ощущения без четкой локализации часто обозначаются больным человеком как неприятное ощущение. При ходьбе происходит нарастание слабости в ногах (нейрогенная перемежающая хромота), которая вынуждает человека остановиться, сесть или даже лечь. Облегчает ходьбу легкое сгибание в коленях и тазобедренных суставах, а также если одновременно наклонить корпус вперед. Этим можно объяснить и то обстоятельство, что человек с позвоночным стенозом не жалуется на недомогание, если длительно находится за рулем. [3]
Характерны чувствительные расстройства — онемение, ощущение мурашек и снижение чувствительности в нижних конечностях.
Симптомы проявляются с одной либо с двух сторон. Часто нарушается функция тазовых органов (задержка или внезапные позывы на мочеиспускание, дефекацию, снижение потенции). Если длительно сдавливаются нервные корешки на поясничном уровне, постепенно худеют нижние конечности.

Если стеноз развился на грудном уровне, то в ногах нарастают спастические явления.
Стеноз позвоночного канала на шейном уровне протекает чаще всего незаметно, симптомы болезни появляются уже в запущенной стадии заболевания. Это сильные боли в шее, как односторонние, так и двусторонние, отдающие в лопатки, плечи, руки, затылок. Боли могут проявляться во всем теле в виде болезненных спазмов. Боли усиливаются при определенных движениях шеей, при этом появляется слабость и онемение в руках, ощущение мурашек. В ногах может возникать ощущение «ватности», человек часто спотыкается. Характерны запоры и задержки мочеиспускания. Прогрессирующее сдавление спинного мозга на нижне-шейном уровне приводит к развитию вялости в руках и спастического состояния мышц в ногах. Если сдавление на уровне 3-4 шейного позвонка, то может наблюдаться нарушение функции дыхания и спастические явления в руках и ногах. [4]
Патогенез стеноза позвоночного канала
Вокруг спинного мозга и корешков в норме должно оставаться свободное (резервное) пространство, в котором важен каждый миллиметр. В резервном пространстве располагаются сосуды. Если в позвоночный канал внедряются костные, хрящевые или мягкотканные структуры, резервное пространство уменьшается или исчезает. Если просвет позвоночного канала патологически сужается, происходит нарушение кровообращения спинного мозга и корешков, нарушается циркуляция спинномозговой жидкости. [5] Сдавлению подвергаются сосуды и нервные элементы — спинной мозг или корешки. Внутри позвоночного канала повышается давление, так как сосудистое русло испытывает хронический застой. Нервные элементы постоянно испытывают недостаток кровоснабжения и кислородный дефицит, в результате серьезно нарушается их функция. Длительное нарушения питания нервных элементов сопровождается разрастанием рубцовой ткани, образованием спаек (рубцово-спаечный эпидурит) , [6] что еще более сдавливает содержимое позвоночного канала.
Вследствие этого развиваются двигательные, чувствительные, вегетативные и трофические нарушения. Сдавление корешков зачастую становится причиной выраженного болевого синдрома.
Классификация и стадии развития стеноза позвоночного канала
В зависимости от локализации выделяют центральный и латеральный стеноз позвоночного канала.
Центральный стеноз — уменьшение переднезаднего размера позвоночного канала.
- относительный стеноз — переднезадний размер составляет менее 12 мм.
- абсолютный — менее 10 мм.
Латеральный стеноз — уменьшение размеров межпозвонкового отверстия до 4 мм и менее.
Если уменьшаются все размеры позвоночного канала, это комбинированный стеноз.
Осложнения стеноза позвоночного канала
Осложнения при стенозе позвоночного канала отмечаются в результате дополнительной травмы позвоночника — падение с высоты, автодорожная, спортивная травма и др. Происходит усиление сдавления спинного мозга гематомой, рубцами, смещенным позвонком или его отломком. Осложнения при неустановленном диагнозе «позвоночный стеноз» могут давать сеансы мануальной терапии, которые часто применяются при болях в позвоночнике.
Но гораздо чаще встречаются осложнения оперативного лечения стеноза. Наиболее тяжелыми из них являются следующие:
- медленно прогрессирующий спаечный процесс в позвоночном канале, дополнительно сдавливающий спинной мозг и корешки;
- парезы, параличи конечностей;
- тазовые расстройства вследствие повреждения корешков спинного мозга хирургическим инструментом.
Воспалительные процессы в позвонках, оболочках и спинном мозге встречаются редко, так как после операции широко применяются антибиотики. Часто осложнения операций дают более тяжелые последствия, чем само заболевание. [7]
Диагностика стеноза позвоночного канала
Если появляются характерные жалобы, необходимы дополнительные методы обследования, которые позволят не только измерить размеры позвоночного канала, но и выявить причины, вызывающие компрессию нервных элементов внутри позвоночного канала.
- рентгенография пояснично-крестцового отдела позвоночника;
- компьютерная томография (КТ);
- магнитно-резонансная томография (МРТ).

Для оценки состояния спинного мозга и нервной проводимости используются:
- электронейромиография;
- миелография;
- сцинтиграфия. [8][9]

Позвоночный стеноз диагностируют по совокупности выявленных признаков сужения позвоночного канала при наличии характерных клинических данных.
Лечение стеноза позвоночного канала
Консервативное лечение применяют на ранней стадии заболевания (незначительный позвоночный стеноз), когда беспокоят только боли в пояснице и ногах, а выраженные неврологические нарушения отсутствуют.
Медикаментозная терапия:
- нестероидные противовоспалительные препараты (таблетки, капсулы, инъекции, гели, пластыри) помогают снять воспаление и купировать боль;
- миорелаксанты — препараты, снимающие мышечное напряжение;
- витамины группы В;
- сосудистые и мочегонные средства;
- для снятия болевого синдрома и отека эффективны медикаментозные блокады с местными анестетиками и гормонами.

Физиотерапевтические процедуры:
- электрофорез;
- амплипульс;
- магнитотерапия;
- водо- и грязелечение.
Показана дозированная лечебная физкультура и легкий массаж.
При стенозе позвоночного канала в любой стадии противопоказана мануальная терапия!
Если консервативное лечение оказывается неэффективным, боли и парезы нарастают, нарушаются функции тазовых органов, это является показанием для оперативного лечения (открытые и эндоскопические операции), цель которого — снять компрессию спинного мозга и нервных корешков.
Оперативные методы:
- декомпрессионная ламинэктомия — удаление части дуги позвонка, остистого отростка, части желтой связки, межпозвонковых суставов, которое дополняется стабилизирующей операцией с использованием металлических пластин, укрепляющих позвоночный столб;
- микрохирургическая декомпрессия и установка систем межостистой динамической фиксации, позволяющей сохранить возможность сгибания и разгибания позвоночника;
- дискэктомия, эндоскопическая микродискэктомия, лазерная вапоризация пораженного диска и другие операции по удалению грыжи, иногда они дополняют ламинэктомию. [11]

Как правило, оперативное лечение приводит к выздоровлению. После операции пациенты нуждаются в длительном восстановительном лечении в условиях реабилитационного отделения и санатория. Часть пациентов после операции имеют осложнения — усиление рубцовых изменений в позвоночном канале, приводящие к вторичному стенозу. Встречаются осложнения в виде воспаления, повреждения корешков и нервов с клиникой парезов рук и ног, нарушения функции тазовых органов. [12]
Прогноз течения данного заболевания зависит от причины, особенностей течения и давности заболевания. Прогноз благоприятный при своевременной диагностике заболевания, в зависимости от его причины, на ранних стадиях всегда можно подобрать пациенту адекватное консервативное или оперативное лечение. В этом заключается профилактика выраженных болей и тяжелых неврологических осложнений. Несвоевременная диагностика, грубые мануальные вмешательства, осложнения операций делают прогноз неблагоприятным, приводя больного к стойкой инвалидности.
Синдром тарзального канала - симптомы и лечение
Что такое синдром тарзального канала? Причины возникновения, диагностику и методы лечения разберем в статье доктора Шагжиева Дамдина Валерьевича, невролога со стажем в 12 лет.
Над статьей доктора Шагжиева Дамдина Валерьевича работали литературный редактор Маргарита Тихонова , научный редактор Сергей Федосов
Синдром тарзального (предплюсневого) канала — это периферическая мононевропатия нижней конечности, которая возникает в результате сдавления большеберцового нерва, проявляющаяся болью в области голеностопного сустава по внутренней стороне стопы.

Существует ряд других названий этой патологии: синдром ущемления большеберцового нерва, синдром канала Рише, синдром предплюсневого канала. [9]
Возникновение компрессии не зависит от возраста и пола, так как в большинстве случаев связано с травматическим повреждением голеностопного сустава или вялотекущим субклиническим, а затем декомпенсированным процессом невропатии.
Сдавление нерва происходит по ряду причин:
- ;
- опухоли мягких тканей — саркомы мышц, жировой ткани и сухожилий;
- опухоли нерва и его оболочки;
- патология сосудов (варикозное расширение вен);
- доброкачественные костные образования в тарзальном туннеле (экзостозы);
- травма сустава или мышц при заваливании стопы внутрь;
- осложнение после оперативного лечение голеностопного сустава.
По статистике, около 1/4 пациентов с синдромом тарзального канала в анамнезе имели травматическое повреждение в области лодыжки. [11]
К факторам риска развития синдрома или усиления его течения относят некоторые системные фоновые заболевания:
- ;
- гипотиреоз; ;
- мукополисахаридоз; .
При гипотериозе возможен отёк и уплотнения тканей в результате накопления глюкозаминогликанов и гиалуроновой кислоты, сопровождающийся задержкой жидкости. [13]
Сахарный диабет пагубно влияет на периферические нервы вследствие хронического повышение уровня глюкозы. Это вызывает образование сорбита — побочный путь утилизации глюкозы. Он накапливается в больших концентрациях, повышая осмотическое давление внутри клетки и вызывая её отек. Также к механизмам повреждения нерва относят ангиопатию и сужение просвета периневральных и эндоневральных сосудов в дебюте сахарного диабета. [14]
Симптомы синдрома тарзального канала
Поражение заднего большеберцового нерва может быть двухсторонним. При его сдавлении возникают:
- чувство боли в задней области голени;
- покалывание и жжение подошвы и пальцев ног (парестезии);
- снижение мышечной силы при сгибании пальцев стопы;
- изменения походки — она становится болезненной, щадящей, больной старается не нагружать травмированную ногу.
Боль при данном синдроме является ведущим признаком поражения периферического нерва. Она выражается в виде жгучих или ноющих ощущений, распространяющихся по задней области голени. Может локализоваться в области подошвы, стопы, пальцев и в любом месте вдоль хода большеберцового нерва.

Болезненное ощущение провоцируется давлением на канал, физической нагрузкой, ходьбой, постукиванием, различными движениями голеностопного сустава — приземлением, отталкиванием и разгибанием стопы. Также боль может приносить неудобство в ночное время.
Болезненные парестезии — постоянные ощущения онемения, ползания мурашек, прокалывания, жжения, усиливающиеся при ходьбе — локализуются в пальцах стопы и зонах иннервации подошвы:
- в области латерального подошвенного нерва;
- в области медиального подошвенного нерва;
- изредка в области пяточного нерва. [1]

Также при данном синдроме нередко наблюдается лёгкий парез сгибателей пальцев (“кошачья лапа”) и трофические изменения кожи стопы.

В связи с компрессией (сдавлением) нерва происходит ослабление нервно-мышечного сигнала, и развести пальцы в сторону становится довольно трудно. Это приводит к гипотрофии, а иногда и к атрофии мышц сгибателей пальцев стопы.
Патогенез синдрома тарзального канала
Чтобы понять, как происходит повреждение нерва и какие процессы этому способствуют, нужно рассмотреть нормальное строение периферического нерва. Он напоминает кабель, состоящий из нервных пучков различного диаметра, окружённых соединительнотканной оболочкой — эпиневрием. Эта соединительная ткань представляет собой нерыхлую, насыщенную жиром оболочку, усиленную продольными и поперечными коллагеновыми волокнами. В мышечных ложах эпиневрий выполняет функции амортизатора — смягчает нагрузки. Истинную оболочку нерва составляет периневрий — многослойная ткань с циркулярным строением, состоящая из уплощённых клеток, которые покрыты с обеих сторон базальной мембраной. [12]

Одной из ветвей периферической нервной системы является большеберцовый нерв. Он начинается в пояснично-крестцовом сплетении спинномозговых корешков, проходит посередине вниз к подколенной ямке латеральнее (как бы в стороне) и поверхностнее подколенных сосудов. [4] Затем нерв спускается между обеими головками икроножной мышцы, проникает под сухожильную дугу камболовидной мышцы, после чего спускается между последней и глубокой мышцами к медиальной лодыжке голени.
На уровне голеностопного сустава большеберцовый нерв проходит через жёсткий остеофиброзный туннель — тарзальный канал. [1] Это пространство спереди ограничено большеберцовой костью, а снаружи — задним отростком таранной кости и пяточной костью, а также удерживателем сгибателей (сухожилий).

Канал делиться на два этажа:
- верхний (залодыжечный);
- нижний (подлодыжечный).
Анатомически в канале сосуществуют несколько сухожилий мышц: задняя большеберцовая, сгибатель большого пальца и длинный сгибатель пальцев. [8] [9] Причём короткий и длинный сгибатели большого пальца стопы являются основными мышцами, которые получают иннервацию после выхода нерва из канала предплюсны.
Ишемическая компрессия содержимого тарзального канала приводит к изменению кровообращения в стопе и слабости короткого сгибателя большого пальца стопы. Хроническое сдавление в результате нарушения той же иннервации способствует деформации по типу молоткообразных (кошачьих) пальцев. Также отмечается, что патология сопутствует почти каждому случаю вальгусной деформации стопы.
Классификация и стадии развития синдрома тарзального канала
Специальной классификации синдрома не существует. Он является разновидностью компрессионной нейропатии нижних конечностей. Помимо него существуют:
- Парестетическая мералгия Бернгардта-Рота — сдавление наружного кожного нерва бедра, который образуется из L2-L3 и проходит под путарную связку, где подвергается компрессии. Клинически проявляется парестезиями, а затем и болью в области передней боковой поверхности бедра.
- Метатарзалгия Мортона — сдавление подошвенных пальцевых нервов в области IV плюснефалангового сустава. Проявляется болью и парестезиями в области головок III-IV плюсневых костей.
- Синдром ущемления малоберцового нерва в области подколенной ямки и под длинной малоберцовой мышцей. Малоберцовый нерв идёт из L4-L5. Сдавление происходит в месте прохода малоберцового нерва под сухожилием двуглавой мышцы бедра. Проявляется слабостью сгибателей стопы, болью и парестезиями в области передней поверхности голени.
Осложнения синдрома тарзального канала
- Травмирование. На фоне слабости или пареза сгибателей стопы может возникнуть травма или растяжение связочного аппарата голеностопного сустава. Также возможны частые падения.
- Осложнения после проведения блокад тарзального канала. [9] Такие осложнения называются ятрогенными. Их клинические проявления возникают непосредственно сразу после процедуры или спустя некоторое время (в основном в течение нескольких недель) с постепенным нарастанием симптоматики, т. е. вышеописанные жалобы усугубляются и носят более стойкий характер.
- Анталгические контрактуры — рефлекторное ограничение движения. Возникает при длительной защитной позе.
- Защитная поза — положение тела, возникающее в случае длительного течения заболевания, в котором пациент максимально возможно чувствует себя комфортно.
- Каузалгическая боль — это жгучая интенсивная боль с локальными вазомоторными, трофическими проявлениями. Согласно одной из теорий, механизм её возникновения связан с нейрогенным асептическим воспалением, возникающим в результате высвобождения в зоне повреждения биологически активных веществ (гистамина, простагландинов, цитокинов). Это приводит к вегетативным нарушениям. Афферентная импульсация активизирует центральные структуры головного мозга: таламус и центральную кору головного мозга.
- Развитие диабетической язвы — возникает в результате повышенного травматизма за счёт сниженной чувствительности подошвы и недостаточной иннервации.

Диагностика синдрома тарзального канала
В первую очередь следует визуально определить состояние пациента: обратить внимание на его положение во время движения, как осуществляется ходьба, есть ли дисфункции мышц, деформация голеностопного сустава или другие неврологические отклонения при движении. Если при определённом положении стопы во время движения возникает боль, то пациент нуждается в углубленном осмотре и оценке этих движений.
Затем производится физикальный осмотр пациента в положении сидя для определения состояния стопы в целом. В запущенных случаях может наблюдаться нарушение мышц стопы, вплоть до атрофии, что приводит к молоткообразной деформации пальцев.

Одними из типичных провокационных проб являются постукивание (синдром Тинеля) и сдавление (синдром Гольдберга) большеберцового нерва — вызывают боль и парестезии в подошвенной части стопы. Также используется турникетный (манжеточный) тест. [1] Стоит отметить, что при синдроме тарзального канала отсутствует ахилловый рефлекс, но при этом частично сохраняется активное приведение стопы и сгибание в голеностопном суставе.

В дополнение к осмотру используют электронейромиографию (ЭНМГ) нижних конечностей: на наличие проблемы будет указывать снижение скорости проведения импульсов по чувствительным волокнам позади медиальной лодыжки.

При подозрении травматической природы синдрома проводится рентгенография голеностопного сустава и стопы. Во время исследования также можно обнаружить костные выступы и остеофиты.

Для выявления патологий мягких тканей проводят МРТ голеностопного сустава стопы: могут быть обнаружены тендинит (дистрофия сухожилия), теносиновит (воспаление сухожилия), липомы или другие новообразования, варикозное расширение вен и кисты ганглиев.
Ещё один достоверный и ранний способ диагностики — это мышечное тестирование:
- тест для короткого сгибателя пальцев — пациенту предлагают сгибать среднюю фалангу II-IV пальцев, исследователь фиксирует проксимальные фаланги в разогнутом состоянии и препятствует движению средних;
- тест для длинного сгибателя пальцев — пациенту предлагают сгибать ногтевые фаланги II-IV пальцев, исследователь препятствует этому движению и держит проксимальные фаланги;
- тест для короткого сгибателя большого пальца — пациенту предлагают сгибать проксимальную фалангу большого пальца при разогнутой дистальной, исследователь препятствует этому движению;
- тест длинного сгибателя большого пальца — пациенту предлагают согнуть концевую фалангу большого пальца, исследователь препятствует этому движению и держит проксимальную фалангу разогнутой.
Существует тест оценки тяжести тарзального туннельного синдрома — это нингидриновая проба. [11] Оценка в 10 баллов указывает на нормальную стопу, оценка в 0 баллов говорит о наиболее выраженной патологии стопы.
Читайте также:
- Операция при пупочной грыже у детей. Фундопликация у детей
- Болезнь Стилла: причины, симптомы и лечение
- Интраоперационная ишемия головного мозга при операции на аневризме. Диагностика
- Простой нетоксический зоб
- Субъективное сенсорное восприятие. Абсолютный порог ощущения. Дифференциальный порог. Порог различения. Закон Вебера. Закон Вебера—Фехнера. Шкала Стивенса.
