Синдром Рассела (Russell) - синонимы, авторы, клиника
Добавил пользователь Владимир З. Обновлено: 21.01.2026
Автор статьи: Алена Арико (эксперт по эндокринологии).
Синдром Рассела-Сильвера связан с хромосомной аномалией. По непонятной причине ребёнок наследует от матери обе хромосомы во 2-ой, 7-ой, и 17-ой паре. Генетический материал от отца в них полностью отсутствует.
В некоторых случаях оба родителя оказываются абсолютно здоровыми. Это означает, что в период беременности на плод было оказано неблагоприятное воздействие. Установлена закономерность: практически все дети были рождены от матерей, чья беременность протекала с угрозой выкидыша. В качестве возможных факторов риска рассматривают:
- вирусные инфекции;
- токсикоз первой половины беременности;
- родственные браки;
- возраст родителей до 17-ти и после 35-ти лет;
- бесконтрольное применение препаратов;
- употребление алкоголя, наркотиков;
- курение;
- контакт с токсичными веществами;
- облучение; .
Чаще всего ребенок уже рождается с низкой массой тела (до 2,5 кг) и маленьким ростом (до 45 см) даже при доношенной беременности.
Встречаются случаи, когда замедленные темпы развития проявляются к полугоду. Для детей с типичными проявлениями болезни характерны такие признаки:
- уменьшенная лицевая часть черепа и преобладание мозговой;
- треугольная форма лица с маленьким подбородком, мелкими чертами, асимметрия;
- уголки рта опущены, ротовое отверстие непропорционально маленькое;
- нёбо высокое, с расщелиной;
- склеры глаз с голубоватым оттенком;
- конечности могут быть несимметричными, мизинец искривлен, а 2-ой и 3-ий пальцы сросшиеся;
- у мальчиков отверстие мочеиспускательного канала расположено не в обычном месте, мошонка и половой член недоразвиты, яички могут быть не опущены;
- грудная клетка узкая;
- присутствуют пороки сердца: провисание створок клапана, открытое овальное окно;
- нарушения ритма и проводимость в сердечной мышце;
- пигментные пятна на коже цвета «кофе с молоком»;
- искривление позвоночника;
- нефропатия, аномальное строение почек.
В дальнейшем отмечается позднее закрытие родничков, неправильный рост зубов, трудности кормления, потливость головы и туловища, склонность к падению сахара крови. Дети с трудом начинают сидеть и ходить, отстают от сверстников в приобретении двигательных навыков. Хотя интеллект у большинства сохранён, но при обучении бывают сложности в усвоении нового материала.
У детей с синдромом Рассела-Сильвера отмечается преждевременное половое развитие: ранние месячные у девочек, у мальчиков - рост волос на лице, ломка голоса.
Диагностика состояния пациента включает:
- измерение анатомический параметров тела;
- рентгенография скелета;
- анализ крови на соматотропин и ИФР, пролактина, половые гормоны;
- гликемический профиль: проводится тест с сахарной нагрузкой;
- генетическое исследование;
- УЗИ органов брюшной полости, надпочечников, щитовидной железы;
- ЭКГ, ЭХОКГ;
- КТ и МРТ.
Лечение больного направлено на нормализацию внешнего вида и повышение качества жизни. Низкий рост ребенка является показанием для введения аналога естественного гормона роста. Его целесообразно применять как можно раньше, длительными курсами.
Для коррекции раннего полового созревания гормональные средства обычно не используют, так как процесс начинается после 6-ти лет. При обнаружении снижения функции щитовидной железы и надпочечников рекомендуют заместительную терапию.
Дети с синдромом Рассела-Сильвера часто имеют сниженный аппетит, отказываются от еды. Им показано общеукрепляющее лечение, оно помогает ускорить рост тела на фоне инъекций соматотропина. Возможно курсовое применение:
- витаминных комплексов с минералами («Центрум» для детей), фолиевой кислоты;
- нейротропных средств : «Пантогам», «Кортексин»;
- стимуляторов обмена веществ: «Элькар», «Актовегин».
Крайне важно обеспечить ребенку полноценное питание с достаточным содержанием белка (мясо птицы, рыба, молочные продукты), фруктов и овощей, зелени и орехов.
Физические методы помогают улучшить функции мышечной системы, нормализуют вегетативную регуляцию, улучшают кровоснабжение тканей. Для этих целей назначают:
- электрофорез с прозерином, миостимуляцию;
- синусоидальные модулированные токи на конечности в тонизирующем режиме;
- рефлексотерапию, массаж;
- дарсонвализацию;
- ванны с хвоей, розмарином, жемчужные;
- контрастный или подводный душ.
Хорошие результаты дает комплексное санаторно-курортное лечение.
Так как заболевание относится к генетической патологии, то средствами народной медицины можно только подействовать на симптоматику. Рекомендуют:
- при заболевании почек: настой брусничного листа, полевой хвощ, листья березы;
- насыщение витаминами: чай из черноплодной рябины, шиповника, черники;
- повышение тонуса: сок из моркови, яблок, томатов, отвар из зёрен овса;
- для ускорения роста тела: кедровые орехи, льняное масло.
Хирургическое вмешательство показано пациентам с костными деформациями:
- аномальное строение челюсти и зубов;
- расщелина верхнего нёба;
- тугоподвижность суставов;
- искривления конечностей;
- сращение пальцев;
- изменение строения половых органов.
В раннем детском возрасте преимущественно корректируют дефекты скелета, а при наступлении подросткового периода - анатомические отклонения половой системы.
Само заболевание не представляет собой угрозу для жизнедеятельности. Встречаются мягкие и развернутые формы. В первом случае состояние может быть полностью компенсировано за счет своевременной терапии. При развернутом синдроме отмечаются аномалии строения внутренних органов и костей скелета. В этой ситуации прогноз определяется наличием осложнений.
Такие дети даже при продолжительной ремиссии должны периодически проходить комплексное обследование у эндокринолога, невропатолога, кардиолога, нефролога, гастроэнтеролога.
Читайте подробнее в нашей статье о синдроме Сильвера.
Причины развития синдрома Рассела-Сильвера
Это заболевание связано с хромосомной аномалией. Точный механизм его развития до конца не изучен. По непонятной причине ребенок наследует от матери обе хромосомы во 2-ой, 7-ой, и 17-ой паре. Генетический материал от отца в них полностью отсутствует.
В некоторых случаях оба родителя оказываются абсолютно здоровыми. Это означает, что в период беременности на плод было оказано неблагоприятное воздействие. Результатом является:
- снижение образования гормона роста;
- избыток гонадотропных гормонов гипофиза;
- нарушение углеводного обмена;
- патологическое формирование скелета;
- пороки строения внутренних органов.
Рекомендуем прочитать статью о нарушении работы гипофиза. Из нее вы узнаете о причинах нарушения работы гипофиза, какие заболевания возникают при изменениях, симптомах у женщин и мужчин, а также о методах диагностики и лечения данной патологии.
А здесь подробнее о синдроме Прадера.
Чаще всего ребенок уже рождается с низкой массой тела (до 2,5 кг) и маленьким ростом (до 45 см) даже при доношенной беременности. Встречаются случаи, когда замедленные темпы развития проявляются к полугоду. Для детей с типичными проявлениями болезни характерны такие признаки:
- уменьшенная лицевая часть черепа и преобладание мозговой;
- треугольная форма лица с маленьким подбородком, мелкими чертами, асимметрия;
- уголки рта опущены, ротовое отверстие непропорционально маленькое;
- нёбо высокое, с расщелиной;
- склеры глаз с голубоватым оттенком;
- конечности могут быть несимметричными, мизинец искривлен, а 2-ой и 3-ий пальцы сросшиеся;
- у мальчиков отверстие мочеиспускательного канала расположено не в обычном месте, мошонка и половой член недоразвиты, яички могут быть не опущены;
- грудная клетка узкая;
- пороки сердца: провисание створок клапана, открытое овальное окно;
- нарушения ритма и проводимость в сердечной мышце;
- пигментные пятна на коже цвета «кофе с молоком»;
- искривление позвоночника;
- нефропатия, аномальное строение почек.
В дальнейшем отмечается позднее закрытие родничков, неправильный рост зубов, трудности кормления, потливость головы и туловища, склонность к падению сахара крови. Дети с трудом начинают сидеть и ходить, отстают от сверстников в приобретении двигательных навыков. Хотя интеллект у большинства сохранен, но при обучении бывают сложности в усвоении нового материала.
Факторы риска
Хотя окончательной причины развития синдрома пока не найдено, установлена закономерность: практически все дети были рождены от матерей, чья беременность протекала с угрозой выкидыша. В качестве возможных факторов риска рассматривают:
- вирусные инфекции;
- токсикоз первой половины беременности;
- родственные браки;
- возраст родителей до 17-ти и после 35-ти лет;
- бесконтрольное применение препаратов;
- употребление алкоголя, наркотиков;
- курение;
- контакт с токсичными веществами;
- облучение;
- сахарный диабет.

Диагностика состояния
Для подтверждения синдрома Сильвера и выявления степени аномалий показаны следующие методы обследования:
- измерение анатомических параметров тела;
- рентгенография скелета;
- анализ крови на соматотропин и ИФР, пролактин, половые гормоны;
- гликемический профиль: тест с сахарной нагрузкой;
- генетическое исследование;
- УЗИ органов брюшной полости, надпочечников, щитовидной железы;
- ЭКГ, ЭХОКГ;
- КТ и МРТ.
Лечение больного
Терапия направлена на нормализацию внешнего вида и повышение качества жизни. Для этого назначают медикаменты, оперативную коррекцию. Для общего улучшения состояния применяют физиотерапевтические методы и народные средства.
Медикаментозная терапия
Низкий рост ребенка является показанием для введения аналога естественного гормона роста. Его целесообразно применять как можно раньше, длительными курсами. Для коррекции раннего полового созревания гормональные средства обычно не используют, так как процесс начинается после 6-ти лет. При обнаружении снижения функции щитовидной железы и надпочечников рекомендуют заместительную терапию.
Дети с синдромом Сильвера часто имеют сниженный аппетит, отказываются от еды. Им показано общеукрепляющее лечение, оно помогает ускорить рост тела на фоне инъекций соматотропина. Возможно курсовое применение:
- витаминных комплексов с минералами («Центрум» для детей), фолиевой кислоты;
- нейротропных средств: «Пантогам», «Кортексин»;
- стимуляторов обмена веществ: «Элькар», «Актовегин».

Физиотерапевтическое лечение
Физические методы терапии помогают улучшить функции мышечной системы, нормализуют вегетативную регуляцию, улучшают кровоснабжение тканей. Для этих целей назначают:
Народная медицина
Хирургическое вмешательство
Оперативному лечению подлежат пациенты с костными деформациями:
Сколько живут с синдромом Рассела-Сильвера
Само заболевание не представляет собой угрозу для жизнедеятельности. Встречаются мягкие и развернутые формы. В первом случае состояние может быть полностью компенсировано за счет своевременной терапии. Пациенты могут вести обычный образ жизни, женщины вынашивают и рожают здоровых детей.
При развернутом синдроме отмечаются аномалии строения внутренних органов и костей скелета. В этой ситуации прогноз определяется наличием осложнений: нарушениями функции почек, печени, поджелудочной и щитовидной железы, сердечной недостаточностью. Такие дети даже при продолжительной ремиссии должны периодически проходить комплексное обследование у эндокринолога, невропатолога, кардиолога, нефролога, гастроэнтеролога.

Регулярные консультации у специалистов
Профилактика развития
Для предупреждения аномалий развития рекомендуется:
- планирование беременности;
- консультация медицинского генетика;
- питание при подготовке к вынашиванию ребенка с достаточным содержанием белка, витаминов и антиоксидантов: рыба, нежирное мясо, свежие овощи, зелень, ягодные и фруктовые соки;
- применение фолиевой кислоты и витаминных комплексов на протяжении 2-3-х месяцев до зачатия;
- исключение контакта с больными вирусными и бактериальными инфекциями, токсическими вещевыми на производстве;
- закаливание;
- ежедневная физическая активность;
- полный отказ от алкоголя, курения, наркотиков, бесконтрольного применения медикаментов.
Рекомендуем прочитать статью об адреногенитальном синдроме. Из нее вы узнаете о механизме развития, симптомах у девочек и мальчиков, формах врожденной патологии, а также о скрининге и лечении адреногенитального синдрома.
А здесь подробнее о гипофизарном нанизме.
Синдром Рассела-Сильвера является врожденной генетической аномалией, при которой дети отстают в росте и развитии. Характеризуется типичными изменениями лицевой части черепа, деформациями кистей, конечностей, пороками строения внутренних органов. С 5-6-ти лет отмечается быстрое половое созревание. Для выявления болезни исследуют содержание гормонов в крови, проводят рентгенографию скелета.
Показана генетическая диагностика. Терапия направлена на восстановление нормального роста при помощи аналога соматостатина, назначают также общеукрепляющий курс, санаторно-курортное лечение, корректирующие операции.
Расселла синдром
Син.: детский диэнцефальный синдром; истощающий диэнцефальный синдром; парамедианный диэнцефальный синдром.
Редкий синдром (всего в мире описано около 100 случаев), дебютирующий в возрасте от 2 месяцев до 5 лет. Развивавшиеся до этого нормально дети начинают отставать в физическом развитии, терять вес (несмотря на сохраняющийся, и даже повышенный аппетит).
Девочка 20 месяцев до развития синдрома Расселла (источник: Salmon M.A. Russell’s diencephalic syndrome of early childhood // Journal of Neurology, Neurosurgery and Psychiatry, 1972. - Vol.35. - P.196-201)
Та же девочка в 23 месяца, дебют синдрома Расселла: обращает на себя внимание стремительное развитие выраженной кахексии (источник: Salmon M.A. Russell’s diencephalic syndrome of early childhood // Journal of Neurology, Neurosurgery and Psychiatry, 1972. - Vol.35. - P.196-201)
Появляется несвойственная до этого гиперактивность, дети становятся возбуждёнными, общительными, эйфоричными (но не агрессивными), часто такая гиперактивность проявляется в ночное время, а днём дети сонливы. Возможна повторная рвота, нарушения зрения. В неврологическом статусе отмечаются весьма незначительные отклонения, как правило, в виде нистагма и/или атаксии; возможно выявление атрофии зрительных нервов, гидроцефалии, снижение когнитивных функций различной степени выраженности. В целом дети сохраняют хорошее самочувствие («счастливый эмоциональный ребёнок») и подвижность вплоть до финальных стадий болезни; характерна бледность кожных покровов при отсутствии анемии. Полидипсии, полиурии, центральной гипертермии не наблюдается.
Синдром характерен для супраселлярных опухолей передних отделов гипоталамуса, распространяющихся кверху и деформирующих дно третьего желудочка, а также кпереди, компремируя зрительные пути. В единичном случае у больного была обнаружена срединная астроцитома мозжечка. Гистологически опухоли представлены в основном астроцитомами, однако, описаны также олигодендроглиомы, спонгиобластомы и эпендимомы.

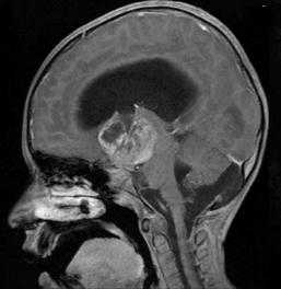
МРТ головы в сагиттальной проекции, Т1-взвешенное изображение после усиления гадолиний-содержащим контрастом: видно накапливающее контраст супраселлярное новообразование с сопутствующей гидроцефалией. Снимок девочки 7 лет с клиническими проявлениями синдрома Рассела, дебютировавшими с годовалого возраста (источник: Crawford J.R., Shayan K., Levy M.L. Delayed presentation of diencephalic syndrome associated with leptomeningeal dissemination in a child // BMJ Case Rep Published online 01/02/2013)
Проявления синдрома Расселла настолько характерны, что его диагностика не представляет затруднений. Патогномоничным и уникальным для него является сочетание выраженной кахексии с гиперактивностью и прекрасным самочувствием ребёнка, что резко контрастирует с картиной кахексии, встречающейся при хроническом голодании, выраженной мальабсорбции, гастроэнтеритах, онкологических заболеваниях в целом, нервной анорексии, тиреотоксикозе и сахарном диабете. Большое значение имеет отсутствие (за исключением, разве что, нистагма) какой-либо отчётливой неврологической симптоматики. Лабораторным тестом, подтверждающим диагноз синдрома Расселла, является существенное повышение уровня соматотропного гормона сыворотки крови, сравнимое с таковым при акромегалии. Интересно, что в отличие от акромегалии, при синдроме Расселла сохраняются (а не возрастают) нормальные темпы роста ребёнка.
Впервые описан английским педиатром еврейского происхождения Александером Расселом в 1948г. в его докторской диссертации (A. Russell: Diencephalic Syndrome of Hyperkinetic Emaciation. Doctoral dissertation, 1948), а также в 1951г. в журнальной публикации (Russell A.A. A diencephalic syndrome of emaciation in infancy and childhood // Arch. Dis. Child., 1951. - Vol.26. - P.274). Встречающийся иногда в литературе термин «синдром Баттена - Расселла - Коллиера», вероятно, является ошибочным, вследствие неправильного применения эпонимического синонима подострой комбинированной дегенерации спинного мозга (синдром Дана(-Лихтгейма)(-Путнема)) по именам одних из описавших её авторов (Russell J.S.R., Batten F.E., Collier J. Subacute combined degeneration of spinal cord // Brain, 1900. - Vol.23. - P.39-110).
Синдром Рассела-Сильвера
Синдром Рассела-Сильвера - это редкое генетическое нарушение, характеризующееся задержкой внутриутробного развития и постнатальной низкорослостью. Другими фенотипическими маркерами синдрома являются макроцефалия, лицо треугольной формы, нарушение пропорций тела, клинодактилия, пигментные пятна на коже. На диагностическом этапе учитываются клинические симптомы, проводится исследование эндокринной функции, определение костного возраста, генетические исследования. Лечение ограничено симптоматическими мерами (гормонотерапия, корригирующие операции, физиотерапия).
МКБ-10
Общие сведения
Заболевание названо в честь врачей-педиатров, описавших его практически одновременно, но независимо друг от друга: Г. Сильвера (1953 г.) и А. Рассела (1954 г.). Синдром встречается с частотой 1 случай на 30-100 000 новорожденных. Половых и национальных различий в распространенности не отмечено. Патологию отличает клиническая неоднородность и широкий спектр проявлений, затрагивающих практически все системы органов: сердечно-сосудистую, эндокринную, костно-мышечную, мочеполовую, нервную и др. Ведение детей с синдром Рассела-Сильвера требует квалифицированного междисциплинарного подхода.
Причины
Генетические аномалии, лежащие в основе синдрома Рассела-Сильвера, различны - именно этот фактор обусловливает гетерогенность проявлений и тяжести патологии. Наиболее распространенными генетическими вариациями являются гипометилирование генов на хромосоме 11p15 (наблюдается у 30-60% пациентов) и однородительская материнская дисомия по 7-й хромосоме (встречается у 5-10% пациентов). Тем не менее, примерно у 40% детей молекулярно-генетическая основа синдрома Сильвера-Рассела остается невыясненной.
Как правило, генетические дефекты возникают случайно, однако известны отдельные случаи наследственной передачи патологических генов. Случайные мутации обусловлены патологией беременности или неблагоприятными внешними воздействиями в ранние периоды эмбриогенеза.
Патогенез
В настоящее время считается, что развитие синдрома Рассела-Сильвера обусловлено нарушением геномного импринтинга - активности генов в зависимости от их материнского или отцовского происхождения. И в 7, и в 11 хромосоме располагаются кластеры импринтируемых генов. Часть детей с данной патологией имеет мультилокусное нарушение импринтинга в нескольких областях или на других хромосомах.
В области хромосомы 11p15. 5. находятся два центра импринтинга − ICR1 и ICR2. Центр ICR1 обеспечивает активность генов, играющих важнейшую роль в регуляции роста плода. В частности, это материнский ген H19 (ген скелетной мускулатуры) и отцовский ‒ IGF2 (инсулиноподобный фактор роста 2, ИФР2). Гипометилирование приводит к их инактивации и задержке роста. Известно, что генетические абберации данного локуса также связаны с развитием синдрома Беквита-Видемана, напротив, характеризующегося макросомией.
Около 10% людей с синдромом Сильвера-Рассела имеют обе копии материнской 7 хромосомы, а не по одной копии от каждого родителя. Это называется однородительской материнской дисомией. На 7-ой хромосоме в сегменте 7р11.2 расположены импринтированные гены IGFBP1 (белок, связывающий ИФР1), IGFR (рецептор ИФР) и GRB10 (белок, связывающий гормон роста 10), которые также ответственны за рост и развитие организма. Точный механизм, посредством которого эти гены вызывают нарушения роста, до конца не изучены.
Классификация
В литературе и научных публикациях упоминается о двух клинических формах синдрома Рассела-Сильвера: «тяжелой» и «мягкой». Считается, что дефекты седьмой хромосомы в большинстве случаев связаны с более легким течением синдрома. Это выражается в отсутствии серьезных аномалий развития внутренних органов и не столь выраженном дефиците соматотропного гормона.
Симптомы
Физическое и психическое развитие
Дети с синдромом Рассела-Сильвера рождаются маловесными (менее 2500 г), небольшого роста (менее 45 см). Примерно треть из них появляется на свет недоношенными, однако даже в этих случаях отмечается несоответствие антропометрических показателей сроку гестации. Данное состояние расценивается как примордиальный нанизм. Дети отличаются пониженным аппетитом, плохо набирают вес.
Телосложение больных чаще асимметричное по типу гемигипоплазии. Дефицит роста сохраняется на протяжении всей жизни. В зарубежных исследованиях сообщается, что рост взрослых с синдромом Сильвера-Рассела, не получавших лечения гормоном роста, составляет примерно 150 см у мужчин и 140 см у женщин.
Фенотипические особенности
Больные синдромом Рассела-Сильвера отличаются наличием ряда характерных стигм дизэмбриогенеза. В их числе относительная макроцефалия с выступающими лобными буграми, лицо в форме треугольника, лопоухость, готическое небо и др. Часто имеются пороки зубо-челюстной системы: недоразвитие нижней челюсти, микродентия, скученность зубов. У детей маленький рот с тонкими губами с опущенными вниз уголками («рот карпа»). На коже определяются пигментные пятна типа «кофе с молоком».
Скелетные аномалии
У пациентов имеются множественные отклонения в развитии костной системы. Типично позднее зарастание родничков. Рентгенологически определяются добавочные пястные кости, остеопороз, задержка костного возраста по сравнению с паспортным. Возможен врожденный вывих бедра, плоскостопие. Характерными признаками синдрома Рассела-Сильвера служат клинодактилия мизинцев кистей, синдактилия 1-го и 2-го пальцев стоп. Грудная клетка узкая, воронкообразная, трубчатые кости конечностей укорочены, имеется поясничный гиперлордоз.
Аномалии внутренних органов
Синдром ассоциирован с различными патологиями внутренних органов. Кардиальные нарушения чаще всего представлены синусовой аритмией, блокадой ножек пучка Гиса, сердечными пороками (пролапсом митрального или трикуспидального клапана, дополнительной хордой желудочка). Большой вариативностью и степенью тяжести отличаются сопутствующие патологии ЖКТ - от гастроэзофагеального рефлюкса и дискинезии ЖВП до гепатоцеллюлярной карциномы.
Наиболее частыми аномалиями мочеполовой системы при синдроме Сильвера-Рассела являются недоразвитие гениталий, гипоспадия, крипторхизм, аплазия матки. Ренальные синдромы включают почечный канальцевый ацидоз, метаболическую нефропатию и др.
Нервно-психическое развитие
В младенчестве и раннем детстве пациенты могут иметь задержку моторного развития из-за выраженной мышечной гипотонии, асимметрии конечностей. Также нередко встречается отставание развития речи, особенно у пациентов с дефектом 7 хромосомы, перинатальным поражением ЦНС. У большинства больных интеллект близок к норме, однако встречаются случаи, протекающие с ЗПР, поведенческими нарушениями, расстройствами аутистического спектра.
Эндокринная дисфункция
Гормональный профиль пациентов показывает наличие у них дефицита соматотропного гормона, инсулиноподобного фактора роста 1, гиперпролактинемии. Примерно в 30% случаев отмечено преждевременное половое созревание: ранние менструации у девочек, оволосение и мутация голоса - у мальчиков. Младенцы и дети подвержены развитию ночных эпизодов гипогликемии. Однако во взрослом возрасте увеличивается риск метаболических расстройств и нарушения толерантности к глюкозе.
Осложнения
Множественные структурные патологии органов и функциональные расстройства у лиц с синдромом Рассела-Сильвера обусловливают риск развития различных осложнений. Асимметрия тела и ортопедические проблемы связаны с повышенным травматизмом вследствие сложностей с удержанием равновесия и ходьбой. Сердечно-сосудистые и почечные аномалии могут вызвать недостаточность работы органов (ХСН, ХПН). Из-за метаболических нарушений пациенты старшего возраста склонны к набору лишнего веса, повышенному кровяному давлению, гиперлипидемии. Отмечена корреляция синдрома с опухолевыми процессами (рак печени, рак яичка, аденома гипофиза).
Диагностика
Клинические критерии, необходимые для установления диагноза синдрома Рассела-Сильвера, включают микросомию при рождении, характерные фенотипические признаки (диспропорции тела, треугольное лицо, клинодактилия и др.). При первичном обращении проводится антропометрия, оценка роста и развития ребенка. Для подтверждения диагностической гипотезы требуется консультация генетика, а также лабораторно-инструментальное дообследование:
- Рентгенография.Рентген кистей рук позволяет выявить несоответствие биологического возраста с паспортному. Другие исследования скелета необходимы для обнаружения аномалий опорно-двигательного аппарата: выполняется Rg черепа, челюстей, позвоночника, грудной клетки, стоп, суставов. Функциональное состояние органов оценивается с помощью рентгенографии желудка, экскреторной урографии.
- Лабораторная диагностика. Назначается анализ гормонального профиля: соматотропина, соматомедина С, пролактина, гонадотропинов, ТТГ. С целью определения степени дефицита СТГ выполняются стимуляционные фармакологические пробы. При склонности к гипогликемии осуществляется суточный мониторинг глюкозы.
- Генетические исследования. Определяется кариотип пациентов (при синдроме Рассела-Сильвера выявляется нормальный женский или мужской кариотип). Ключевым моментом в установлении диагноза служит молекулярно-генетический анализ, позволяющий выявить хромосомные нарушения.
- Исследование внутренних органов. Скрининговым методом выявления пороков внутренних органов служит сонография. Наиболее информативными являются УЗИ брюшной полости и почек, УЗИ мошонки, УЗИ матки и придатков, ЭхоКГ. Для установления причин соматотропной недостаточности показана МРТ гипофиза. Нарушения сердечного ритма фиксируются при проведении ЭКГ или ХМ ЭКГ.
Дифференциальная диагностика
Новорожденных с синдромом Рассела-Сильвера, необходимо отличать от детей с маловесностью и низкорослостью, вызванных другими причинами:
- идиопатической ЗВУР;
- синдромом Блума;
- синдром Ниймеген;
- 3М-синдромом;
- нанизмом Mulibrey;
- неонатальной прогерией.
Лечение синдрома Рассела-Сильвера
Радикальное излечение и полное выздоровление невозможно. Терапия носит поддерживающий характер, направлена на улучшение внешнего вида, предупреждение осложнений и повышение качества жизни. Пациентов с синдромом Сильвера-Рассела наблюдают врачи-эндокринологи, ортопеды, урологи, педиатры. Основные направления лечения включают:
- Нутритивную поддержку. В первые годы жизни важнейшей задачей является обеспечение нормального питания ребенка. Это необходимо как для адекватного роста и набора массы тела, так и для предупреждения гипогликемии. Если ребенок отказывается от еды, используется парентеральное питание, кормление через назогастральный зонд.
- Заместительную гормонотерапию. С целью оптимизации роста, увеличения мышечной массы, улучшения двигательной функции назначается терапия рекомбинантным гормоном роста человека (РГРЧ). Для нормального полового развития применяется лечение гонадостероидами (тестостерон, синестрол, ХГЧ). При дефиците ТТГ используются тиреоидные гормоны.
- Симптоматическое лечение. Пациентам с ГЭРБ назначается терапия Н2-блокаторами или ингибиторами протонной помпы. Возможно проведение хирургического лечения - фундопликации. Пациентам с ортопедическими проблемами показано ношение лечебной обуви, стелек. Стоматологические проблемы могут потребовать ортодонтического лечения. Мальчикам необходима хирургическая коррекция гипоспадии, крипторхизма.
- Реабилитационные мероприятия. Улучшить двигательные функции, стимулировать физическое развитие помогает общий массаж, физиопроцедуры (электрофорез, парафиновые аппликации), лечебная физкультура, гидрокинезиотерапия.
Прогноз и профилактика
Большинство взрослых людей с синдромом Рассела-Сильвера, получающих необходимое лечение, имеют приемлемое качество жизни и нормальную фертильность. Значительная часть аномалий поддается коррекции, что позволяет пациентам вести полноценную жизнь. Однако рост таких больных все равно отстает от средних значений в популяции.
Профилактика тесно связана с антенатальными мероприятиями, в первую очередь - предупреждением осложнений беременности. Заподозрить синдром Рассела-Сильвера у плода позволяет пренатальная ультразвуковая и генетическая диагностика. В этом случае родителей предупреждают о возможных отклонениях в физическом развитии ребенка, однако синдром не является абсолютным показанием к досрочному прерыванию беременности. Вероятность рождения второго ребенка с такой же патологией в одной семье крайне низкая.
1. Cиндром Сильвера-Рассела у ребенка двух лет: клинический случай из практики/ Крючкова Т.А., Мезенцева О.А.// Научные ведомости Белгородского государственного университета. Серия: Медицина. Фармация. - 2016.
2. Синдром Сильвера-Рассела: клиникогенетический анализ/ Коровкина Е.А., Жилина С.С., Конюхова М.Б.// Педиатрия. Журнал им. Г.Н. Сперанского. - 2011.
3. Случай дилатационной кардиомиопатии у девочки 3 лет с синдромом Сильвера-Рассела/ Лебеденко А.А., Сарычев А.М., Тарасова Е.А. и др.// Медицинский вестник юга России. - 2012.
4. Diagnosis and management of Silver-Russell syndrome: first international consensus statement/ E. L. Wakeling, F. Brioude, I. Netchine// Nature Reviews Endocrinologyvolume. - 13 (2017).
Синдром Рассела-Сильвера (сокр. СРС) — редкое заболевание, характеризующееся задержкой внутриутробного развития (ЗВУР), плохим ростом после рождения, относительно большим размером головы, треугольным лицом, выступающим лбом (если смотреть сбоку), асимметрией тела и значительными трудностями при кормлении. Широкий спектр аномалий варьируется как по частоте, так и по степени тяжести от одного больного человека к другому. Большинство больных с СРС имеют нормальный интеллект, но страдают задержкой моторики и/или речи.
СРС является генетически гетерогенным расстройством, что означает, что причиной расстройства, как известно, являются различные генетические аномалии. Аномалии, связанные с хромосомами 7 или 11, были обнаружены у 60% пациентов с заболеванием. Однако примерно у 40% пациентов с клиническим диагнозом СРС основная причина все еще не известна.
Были опубликованы согласованные руководящие принципы, в которых даются рекомендации относительно исследования, диагностики и лечения людей с СРС. Лечение детей с СРС следует начинать как можно раньше и часто требует участия многих специалистов в области здравоохранения.
Синдром Рассела-Сильвера был впервые описан Сильвером в 1953 г. и Расселом в 1954 г. Сначала считалось, что они описывают два отдельных расстройства; докторам потребовалось почти 20 лет, чтобы понять, что они видели разные аспекты одного и того же заболевания. Это расстройство обычно называют синдромом Рассела-Сильвера в США и синдромом Сильвера-Рассела в Европе.
Признаки и симптомы
Симптомы СРС сильно различаются от человека к человеку. Некоторые из них больных страдаю незначительно; у других могут быть серьезные осложнения. Широкий спектр потенциальных функций может влиять на множество различных частей тела. Важно отметить, что у больных не будет всех симптомов, описанные ниже. Пострадавшие люди/родители должны поговорить со своим врачом и медицинской командой о своем конкретном случае, связанных с ним симптомах и общем прогнозе. При соответствующей медицинской помощи большинство людей с СРС будут жить полноценной продуктивной жизнью.
Рост и половое созревание: почти все дети с СРС имеют массу тела при рождении 1,5-2,5 кг даже при доношенных сроках. После рождения вес часто продолжает падать дальше от нормального значения. Родители часто сообщают о плохом аппетите (некоторые дети никогда не плачут из-за еды), и борьба за то, чтобы ребенок с СРС набрал вес, является одной из их основных проблем. Требуется особая осторожность, чтобы обеспечить адекватное питание и калорийность.
Рост ребенка обычно также ниже, но не всегда. Скорость роста в зависимости от длины тела/роста остается медленнее, чем обычно, в младенчестве и детстве, без «догоняющего» роста. Большинство детей с синдромом Сильвера-Рассела не страдают дефицитом гормона роста, и исследования показали, что их реакция на терапию гормоном роста статистически не отличается от реакции тех, кто испытывает дефицит гормона роста.
Имеется лишь ограниченная информация об окончательном росте лиц с СРС, которые не получали лечение гормоном роста (ГР), однако в одном исследовании сообщалось, что у мужчин он примерно 5 футов (151 см) и 4 фута 7 дюймов (140 см) у женщин.

Асимметрия: у многих детей с синдромом Сильвера-Рассела вся или часть одной стороны тела меньше другой (асимметрия). Это результат недоразвития одной стороны тела (гемигипотрофия). Степень и серьезность асимметрии чрезвычайно разнообразны. В большинстве случаев асимметрия обнаруживается только в длине ноги или длины руки, но у некоторых детей поражается вся одна сторона тела. В результате люди могут испытывать трудности с равновесием и ходьбой. Любого ребенка со значительной асимметрией необходимо регулярно показывать ортопеду. Хотя у большинства детей асимметрия очевидна при рождении, она может проявиться не раньше, чем в детстве. Асимметрия также может улучшаться с возрастом. Лечение гормоном роста, по-видимому, не увеличивает серьезность асимметрии.
Черепно-лицевые особенности: у больных детей, особенно в младенчестве и раннем детстве наблюдаются характерные черепно-лицевые аномалии. Наиболее частая — большая голова относительно тела. Окружность головы почти всегда намного выше на кривой роста, чем вес или длина (это называется относительной макроцефалией). Это, наряду с тенденцией к уменьшению челюсти (микрогнатия), приводит к типичной треугольной форме лица, наблюдаемой у детей синдромом Сильвера-Рассела. Относительно большой размер головы может привести к тому, что у ребенка с СРС может быть ошибочно диагностирована гидроцефалия — состояние, при котором накопление чрезмерного количества спинномозговой жидкости (СМЖ) в черепе вызывает давление на ткани мозга. К тому же, больные дети могут иметь отсроченное закрытие «мягкого пятна» (переднего родничка) на макушке головы, где встречаются два фиброзных сустава (шва) черепа. Еще одна распространенная черта лица — это аномально выступающий лоб, который выступает вперед, если смотреть на лицо сбоку. Другие черепно-лицевые особенности, связанные с СРС, встречаются реже, но могут включать
- синеватое изменение цвета белков глаз (голубая склера) в младенчестве;
- маленький ротик;
- опущенные уголки рта;
- высокое узкое нёбо.
Эти характерные черты лица с возрастом обычно становятся менее заметными.
Сообщалось о различных стоматологических аномалиях, включая отсутствие зубов, аномально маленькие зубы (микродонтия) и скученность зубов.
Проблемы с кормлением: у детей с СРС часто встречаются желудочно-кишечные проблемы. Они могут включать воспаление трубки, по которой пища переносится изо рта в желудок (эзофагит), обратный ток содержимого желудка или тонкого кишечника в пищевод (гастроэзофагеальный рефлюкс), задержка опорожнения желудка (когда проглоченная пища дольше, чем обычно, переваривается, заставляя ребенка чувствовать себя полным) и неспособность набрать вес или расти с ожидаемой скоростью для возраста и пола (неспособность развиваться). Некоторые дети с СРС просто никогда не испытывают чувства голода в раннем детстве, в то время как у других может развиться отвращение к еде.
Как это ни парадоксально, но некоторые дети позже переедают. Из-за низкой мышечной массы важно соблюдать осторожность, чтобы дети с заболеванием не набирали слишком много жировой массы. Есть также свидетельства того, что быстрое увеличение веса в раннем детстве может привести к проблемам с обменом веществ в организме и повышению риска высокого кровяного давления и сердечных заболеваний в более позднем возрасте. Дети с синдромом Сильвера-Рассела должны хорошо питаться, но оставаться худыми.
Гипогликемия: младенцы и дети с СРС имеют повышенный риск гипогликемии (повторяющиеся эпизоды необычно низкого уровня сахара в крови). Вероятно, это связано с отсутствием подкожного жира и плохим аппетитом. Гипогликемия обычно возникает, когда больной младенец не ест в течение длительного периода времени (голодание). Симптомы, связанные с гипогликемией, включают слабость, голод, головокружение, потливость и/или головные боли. Однако важно отметить, что исследования показали, что у младенцев с СРС были обнаружены эпизоды ночной гипогликемии с незначительными физическими симптомами или их отсутствием. Чрезмерное потоотделение также наблюдается у некоторых детей с СРС без гипогликемии.
Нейроразвитие: навыки моторного развития могут быть задержаны из-за низкого мышечного тонуса (гипотония) и относительно большого размера головы, особенно в младенчестве и раннем детстве. Задержка в развитии речи также распространена, особенно у пациентов с материнской однородительской дисомией хромосомы 7 (см. «Причины» ниже). Раннее вмешательство (физиотерапия, трудотерапия и/или логопедия) имеет большое значение, и родители должны обратиться к своему педиатру за дополнительной информацией.
Большинство детей с СРС имеют нормальный интеллект. Однако есть данные о различиях в частоте обучения и/или поведенческих проблем, включая аутистический спектр, между различными генетическими подтипами заболевания, с большим риском для детей с материнской однородительской дисомией хромосомы 7.
Дополнительные патология: другие особенности описывались в медицинской литературе с разной частотой.
Ортопедические проблемы, связанные с заболеванием, помимо асимметрии тела, включают искривление позвоночника (сколиоз) и иногда вывих бедра. Также распространены незначительные аномалии кисти и/или стопы, в том числе короткие и изогнутые 5-е пальцы (клинодактилия), пальцы, которые зафиксированы в согнутом положении и не могут быть полностью выпрямлены (камптодактилия), и перепонки на втором и третьем пальцах ноги (синдактилия).
Сообщалось о различных патологиях, влияющих на органы репродукции и мочевыделительной системы (мочеполовые аномалии), включая неспособность одного или обоих семенников опускаться в мошонку (крипторхизм) и неправильное расположение отверстия для мочевыводящих путей на нижней стороне полового члена (гипоспадия) или недоразвитие матки и верхней части влагалища (синдром Майера-Рокитанского-Кюстера-Хаузера). Также могут наблюдаться структурные аномалии почек. Аномалии мочеполовой системы также чаще встречаются у детей, рожденных малыми для гестационного возраста и не имеющих СРС.
К другим врожденным аномалиям, которые реже сообщаются при СРС, относятся структурные пороки сердца и волчья пасть (отверстие в небе). Врожденные аномалии чаще встречаются у детей с потерей метилирования хромосомы 11p15 (см. «Причины» ниже).
За последние несколько лет стало возможным подтвердить клинический диагноз генетическим тестированием примерно у 60% людей с СРС. В настоящее время известно, что два основных генетических изменения (включая хромосому 7 и хромосому 11) вызывают синдром Рассела-Сильвера. Они специфичны для данного состояния и не наблюдаются у большинства детей с задержкой внутриутробного развития (ЗВУР).
Хромосомы, присутствующие в ядре клеток человека, несут генетическую информацию (гены) для каждого человека. Обычно у нас 46 хромосом. Пары человеческих хромосом пронумерованы от 1 до 22, а половые хромосомы обозначены X и Y. У мужчин одна X и одна Y хромосома, а у женщин две X хромосомы. У каждой хромосомы есть короткое плечо, обозначенное буквой «p», и длинное плечо, обозначенное буквой «q». Хромосомы далее подразделяются на множество пронумерованных полос. Например, «хромосома 11p15.5» относится к полосе 15.5 на коротком плече хромосомы 11. Пронумерованные полосы указывают местоположение тысяч генов, присутствующих на каждой хромосоме.
У каждого есть две копии каждого гена: одна унаследована от отца, а другая — от матери. В большинстве случаев оба гена «включены» или активны. Однако некоторые гены преимущественно заглушаются или «выключаются» в зависимости от того, от какого родителя этот ген произошел (геномный импринтинг). Геномный импринтинг контролируется химическими переключателями посредством процесса, называемого метилированием. Правильный генетический импринтинг необходим для нормального развития. Проблемы с импринтингом были связаны с несколькими расстройствами, включая синдром Рассела-Сильвера.
Хромосома 11: импринтированные гены обычно сгруппированы. Несколько импринтированных генов обнаруживаются в кластере на хромосоме 11p15.5. Кластер разделен на две функциональные области, известные как области центра импринтинга (ICR1 и ICR2). Исследователи идентифицировали несколько импринтированных генов, регулируемых этими импринтирующими центрами. Эти гены играют решающую роль в регуляции роста плода. Также было показано, что аномалии в этой области вызывают синдром Беквита-Видемана, расстройство импринтинга, которое приводит к чрезмерному росту.
Около 30-60% детей с СРС имеют изменения (потеря метилирования (англ. loss of methylation [LOM])/гипометилирование), затрагивающие область ICR1 на хромосоме 11 (11p15 LOM). Это, в свою очередь, влияет на активность двух генов (материнский H19 и отцовский IGF2), которые, как полагают, играют роль в развитии СРС. Необходимы дальнейшие исследования, чтобы узнать больше о роли этих генов и сложных генетических механизмах, ответственных за СРС.
Примерно у 1% людей с СРС были выявлены мутации в генах пути IGF2 ( IGF2 , HMGA2 , PLAG1 ) или CDKN1C. Мутации одного гена чаще всего встречаются в редких семейных случаях СРС .
Хромосома 7: было обнаружено, что около 5-10% людей с СРС имеют обе копии хромосомы 7 от их матери, а не по одной от каждого родителя. Это называется материнской однородительской дисомией хромосомы 7. Точный способ влияния этого фактора на рост и развитие не до конца понятен, хотя, скорее всего, она связано с повышенной активностью материнского экспрессированного гена(ов) и/или недостаточной активностью отцовского экспрессированного гена(ов) на хромосоме 7.
Клиническая СРС: генетика, лежащая в основе синдрома Рассела-Сильвера, сложна, и конкретные причины развития симптомов этого расстройства полностью не изучены. В настоящее время результаты генетических тестов являются нормальными примерно у 40% детей с клиническим диагнозом СРС. Ученным требуется дополнительная работа, чтобы попытаться определить первопричину в этой группе детей.
Другие нарушения импринтинга: редко другие нарушения геномного импринтинга могут приводить к клиническим проявлениям СРС. Для детей с перекрывающимися признаками может быть рассмотрена возможность проведения дополнительного обследования на наличие этих заболеваний. Например, изменения, затрагивающие импринтированную область хромосомы 14q32, приводят к состоянию, известному как синдром Темпла. У детей с этим заболеванием обычно есть ЗВУР, плохой постнатальный рост, низкий мышечный тонус, задержка в развитии моторики и раннее половое созревание — все это особенности, которые можно увидеть при СРС. Асимметрия редко встречается при синдроме Темпла.
Около 25-30% детей с СРС из-за потери метилирования 11p15 также имеют потерю метилирования в других импринтирующих регионах на ICR2 и/или других хромосомах. Это известно как нарушение импринтинга нескольких локусов. Клиническое значение этого открытия еще недостаточно изучено.
Затронутые группы населения
Синдром Рассела-Сильвера встречается во всех популяциях и поражает мужчин и женщин в равном количестве. В прошлом у многих младенцев с ЗВУР и относительно большой окружностью головы неправильно диагностировали СРС. Из-за сложности диагностики другие случаи могут остаться нераспознанными, недиагностированными или ошибочно диагностированными, что затрудняет определение истинной частоты расстройства в общей популяции. Последние данные показывают, что около 1 из 15 000 детей имеют СРС.
В течение многих лет диагноз синдрома Сильвера-Рассела был клиническим. Однако это привело к наложению синдромов с аналогичными клиническими признаками, такими как синдром Темпла и синдром микроделеции 12q14. В 2017 году был опубликован международный консенсус с подробным описанием шагов, которые врачи должны предпринять для диагностики синдрома Сильвера-Рассела. Теперь рекомендуется сначала проверить потерю метилирования 11p15 и mUPD7. Если они отрицательны, следует провести тестирование на mUPD16, mUPD20. Также следует рассмотреть возможность тестирования на 14q32, чтобы исключить синдром Темпла в качестве дифференциального диагноза. Если результаты этих анализов не принесут результатов, необходимо поставить клинический диагноз.
Стандартные методы лечения
Ранняя диагностика и вмешательство могут помочь улучшить рост и гарантировать, что затронутые дети полностью раскроют свой потенциал.
У детей с СРС необходимо тщательно контролировать потребление калорий, чтобы обеспечить им наилучшие возможности для роста. Если ребенок не переносит пероральное кормление, можно использовать энтеральное питание, такое как чрескожная эндоскопическая гастростомия.
У детей с разницей в длине конечностей или сколиозом физиотерапия может облегчить проблемы, вызванные этими симптомами. В более тяжелых случаях может потребоваться операция по удлинению конечностей. Чтобы предотвратить ухудшение осанки, детям с разной длиной ног может потребоваться приподнять обувь.
Терапия гормоном роста часто назначается как часть лечения синдрома Сильвера-Рассела. Гормоны вводятся в виде инъекций, как правило, ежедневно с 2 лет до подросткового возраста. Терапия может быть эффективной, даже если у пациента нет дефицита гормона роста. Было показано, что терапия гормоном роста увеличивает скорость роста пациентов и, следовательно, способствует «догоняющему» росту. Это может позволить ребенку начать обучение с нормального роста, повысив его самооценку и улучшив взаимодействие с другими детьми. Влияние терапии гормоном роста на зрелый и окончательный рост пока не определено. Есть некоторые теории, предполагающие, что терапия также способствует развитию мышц и контролю гипогликемии.
Прогноз
Помимо небольшого роста и худого телосложения, долгосрочный прогноз благоприятен.
Синдром Рассела (Russell) - синонимы, авторы, клиника
Синдром Сильвера — Рассела — это наследственное заболевание, проявляющееся внутриутробной задержкой развития в сочетании с низкорослостью и другими стигмами дизэмбриогенеза. В статье представлено описание этой редкой генетической патологии, выявленной у 7-месячного ребенка. Описана динамика физического и неврологического статуса, результаты клинического и лабораторно-инструментального обследования, особенности ведения пациентки Подозрение на генетическую патологию возникло лишь при втором посещении кабинета катамнеза, ближе к 7 мес. жизни, в связи с отставанием в физическом развитии и имеющимися стигмами дизэмбриогенеза. В связи с очень несимметричными пропорциями тела (большая голова относительно тела) в возрасте 5 мес предположили наличие гидроцефалии, которая была отвергнута на основании данных нейросонографии Окончательный диагноз подтвержден результатами генетического исследования, выявившего аномальное метилирование гена Н19 методом микросателлитного анализа локуса 7-й хромосомы.
Ключевые слова: синдром Сильвера — Рассела, ребенок, задержка внутриутробного развития, псевдогидроцефалия, карликовость, генетическое консультирование.
N.R. Khafizova, D.R. Merzlyakova, Yu.F. Safina
Bashkir State Medical University, Ufa, Russian Federation
Russel - Silver syndrome (RSS) is a hereditary disease manifesting with intrauterine growth retardation, dwarfism, and other stigmas of embryopathy. We describe this rare genetic condition in a 7-month-old baby. The changes in physical condition and neurological status, clinical signs, laboratory tests, and management strategy are addressed. A genetic condition was suggested through an arrested development and stigmas of embryopathy only at the age of 7 months. At the age of 5 months, hydrocephaly was suspected due to asymmetrical proportions of the body (the relatively large size of head compared to a small body). However, neurosonography ruled out this diagnosis. Genetic testing for microsatellite loci on chromosome 7, which identified abnormal methylation of H19 gene verified the final diagnosis.
Keywords: Russel - Silver syndrome, child, intrauterine growth retardation, pseudohydrocephalus, dwarfism, genetic counseling.
Введение
В качестве примера приводим описание катамнестического наблюдения ребенка с ССР в условиях ГБУЗ РДКБ г. Уфы.
Клиническое наблюдение
В 5 мес. мама больной девочки обратилась в кабинет катамнеза с жалобами на задержку физического и моторного развития ее ребенка.
Из анамнеза: ребенок от матери 22 лет, семья полная, проживает в одном из районов Республики Башкортостан, материально-бытовые условия удовлетворительные. Бесплодие, не поддающееся лечению. Данная беременность первая, наступила в результате экстракорпорального оплодотворения, протекала на фоне фетоплацентарной недостаточности и плацентарных нарушений 2-й степени. Роды оперативные, на сроке 34 нед.
При рождении выставлен диагноз: задержка внутриутробного развития 3-й степени, симметричная форма
Интранатальная асфиксия с оценкой по шкале Апгар 4/5 баллов. Масса тела при рождении 1110 г, рост 36 см. Сразу после рождения проводились реанимационные мероприятия в связи с дыхательными нарушениями. Девочка была переведена на аппаратное дыхание, выхаживалась в кувезе, получала зондовое кормление грудным материнским молоком. Первые 11 дней жизни ребенок провел в отделении реанимации новорожденных с диагнозом: врожденная пневмония на фоне пневмопатии. Недоношенность 34 нед. Задержка внутриутробного развития 3-й степени по гипопластическому типу. Множественные стигмы дизэмбриогенеза
На 12-е сутки жизни девочка переведена в отделение патологии новорожденных ГБУЗ РКБ им. Г.Г. Куватова, где находилась в течение месяца на долечивании и выхаживании. Заключительный клинический диагноз: основной — задержка внутриутробного развития по гипопластическому типу; сопутствующий — респираторный дистресс-синдром, осложненный пневмонией тяжелой степени, острое течение, дыхательная недостаточность 0-й степени, дыхательная недостаточность 3-й степени (ИВЛ) нивелирована (реконвалесцент). Ранняя анемия недоношенных тяжелой степени, купирована. Церебральная ишемия 1-й степени, острый период, синдром угнетения. Преретинопатия недоношенных. Функционирующий артериальный проток. Врожденная аномалия развития шейного отдела позвоночника. Гипоплазия шейных позвонков. Укорочение левых верхних и нижних конечностей (гемигипоплазия). Незрелость тазобедренных суставов. Задержка внутриутробного развития, врожденная гипотрофия 3-й степени. Постнатальная гипотрофия 1-й степени. Постконцептуальный возраст 40 нед.
В связи с текущей дезинфекцией родильного дома ребенок переведен для дальнейшего наблюдения и лечения в отделение патологии новорожденных ГБУЗ РДКБ г. Уфы, где находился 12 дней с основным диагнозом: недоношенность 34 нед и сопутствующим диагнозом: задержка внутриутробного развития. Гипотрофия 3-й степени. Перинатальное поражение ЦНС, острый период, синдром двигательных нарушений.
На 52-х сутках жизни состояние ребенка стабилизировалось, масса тела составила 1990 г, рост — 39 см; девочку с мамой выписали домой. Были даны рекомендации:
1) наблюдение участкового педиатра в группе здоровья 2Б; 2) свободное грудное вскармливание; 3) ежедневные прогулки от 15-30 мин до 4-5 ч, дробно, в теплую погоду;
4) ежедневные гигиенические ванны; 4) общие анализы крови и мочи ежемесячно; 5) медицинский отвод от профпрививок до 6 мес.; 5) эхоКГ в 6 мес.; 6) наблюдение невролога, окулиста, ортопеда по месту жительства; 7) витамин D (колекальциферол 15000 МЕ/мл) по 2 капли 1 р/день per os круглогодично; фолиевая кислота по 1/4 таблетки 2 р/день per os; эубиотики per os по инструкции.
В 5 мес. мама девочки обратилась в кабинет катамнеза, масса тела на момент обращения составила 2920 г, рост — 39,5 см, окружность груди — 31 см. Неврологический статус: ребенок активен, сознание ясное. Физическое развитие оценено как очень низкое, дисгармоничное. Гипотрофия 2-й степени. В связи с очень несимметричными пропорциями тела (большая голова относительно тела) предположили наличие гидроцефалии (рис. 1).

Девочку в экстренном порядке направили на нейросонографию, по результатам проведенного обследования патологии не выявлено. Заключение невролога: психомоторное развитие соответствует скорригированному возрасту, неврологический статус удовлетворительный. На консультации у гастроэнтеролога патология со стороны ЖКТ исключена, для кормления ребенка рекомендована смесь «Альфаре», прикорм — овощное пюре, каши, блюда коррекции, витамин D, массаж общеукрепляющий. В последующем девочка начала набирать вес. При втором посещении кабинета катамнеза в 6,5 мес.: физическое развитие очень низкое, масса тела 3172 г, рост 51 см, окружность головы 40 см, окружность груди 32 см. При осмотре определены характерные стигмы дизэмбриогенеза: карликовость, асимметрия рук, треугольные контуры лица с высоким лбом и мелкими чертами, маленький рот, узкие губы с опущенными углами, микрогнатия нижней челюсти, оттопыренные уши. Ярко выраженные лобные бугры черепа, мозговая часть черепа непропорционально велика по отношению к лицевой, что создает картину псевдогидроцефалии. Девочка активна, голову держит, сидит с поддержкой, следит за игрушками, контактна.
Результаты лабораторных и инструментальных исследований, проведенных в кабинете катамнеза
Клинический анализ крови и мочи: показатели в пределах нормы. Биохимическое исследование крови патологии не выявило. Копрограмма в норме.
Нейросонография: боковые желудочки не расширены. Сосудистые сплетения с четкими ровными контурами Мозговой кровоток при допплерометрии не изменен. Электроэнцефалография: нейрофизиологическая незрелость, ирритативные изменения ритма. Отоакустическая эмиссия: тест пройден ЭхоКГ: ультразвуковые признаки открытого овального окна (0,2 мм). ЭКГ: синусовая тахикардия, ЧСС 140 в минуту, ЭОС вертикальная, повышение электрических потенциалов межжелудочковой перегородки УЗИ органов брюшной полости, почек, тимуса, тазобедренных суставов: структурных изменений не выявлено.
Ребенок направлен в республиканский генетический центр, где выставлен диагноз ССР (возраст девочки на этот момент составил 7 мес.). Кровь пробанда и родителей исследована в ФГБНУ «МГНЦ», получено заключение: аномальное метилирование гена Н19 (определено методом микросателлитного анализа локуса 7-й хромосомы). Данное молекулярно-генетическое обследование позволило подтвердить наличие ССР и выставить диагноз: Q87.1 Синдромы врожденных аномалий, проявляющихся преимущественно карликовостью. Синдром Сильвера — Рассела, аномальное метилирование гена Н19.
Заключение
Представленное клиническое наблюдение недоношенного ребенка первого года жизни демонстрирует нетяжелое течение ССР. Подозрение на генетическую патологию возникло лишь при втором посещении кабинета катамнеза, ближе к 7 мес жизни, в связи с отставанием в физическом развитии и имеющимися стигмами дизэмбриогенеза. Многие симптомы — признаки задержки внутриутробного развития, низкая прибавка массы тела и отставание в росте после рождения — могут быть проявлением других заболеваний, характерных для маловесных и недоношенных детей. Выявленные многочисленные стигмы дизэмбриогенеза должны мотивировать неонатолога и педиатра на проведение как можно более ранней консультации генетика с дальнейшим молекулярно-генетическим обследованием с целью своевременной диагностики наследственного заболевания.
Сведения об авторах:
Хафизова Наиля Римовна — к.м.н., доцент кафедры педиатрии с курсом ИДПО ФГБУ ВО БГМУ Минздрава России; 450008, Россия, г. Уфа, ул. Ленина, д. 3; ORCID iD 0000-0002-1452-9998.
Мерзлякова Динара Рафкатовна — аспирант кафедры педиатрии с курсом ИДПО ФГБУ ВО БГМУ Минздрава России; 450008, Россия, г. Уфа, ул. Ленина, д. 3; ORCID iD 0000-0001-9037-7124.
Сафина Юлия Фагилевна — клинический ординатор кафедры педиатрии с курсом ИДПО ФГБОУ ВО БГМУ Минздрава России; 450008, Россия, г. Уфа, ул. Ленина, д 3.
About the authors:
Nailya R. Khafizova — Cand. of Sci. (Med.), associate professor of the Department of Pediatrics with the Course of Additional Professional Education, Bashkir State Medical University; 3, Lenin str., Ufa, 450008, Russian Federation; ORCID iD 0000-0002-1452-9998.
Dinara R. Merzlyakova — post-graduate student of the Department of Pediatrics with the Course of Additional Professional Education, Bashkir State Medical University; 3, Lenin str., Ufa, 450008, Russian Federation; ORCID iD 0000-0001-9037-7124.
Yuliya F. Safina — clnical resident of the Department of Pediatrics with the Course of Additional Professional Education, Bashkir State Medical University; 3, Lenin str., Ufa, 450008, Russian Federation.
Читайте также:
- Генетически модифицированные мыши в изучении сердечно-сосудистых заболеваний. Трансгенные мыши
- Диагностика болезни Гентингтона по КТ, МРТ головного мозга
- Разрыв сухожилия длинной головки двуглавой мышцы плеча (проксимальный): атлас фотографий
- Функция надпочечников, синтез ГКС на фоне лечения хронического гастрита
- Пути выведения радиоактивных веществ из организма. Лучевая болезнь
