Синдром Воренже (Woringer) - синонимы, авторы, клиника
Добавил пользователь Владимир З. Обновлено: 13.12.2025
Синдром Потрие-Воренже (L. М. Pautrier, 1876--1959, франц. дерматолог; F. Woringer, совр. франц. дерматолог; син.: лимфаденопатия дерматопатическая, ретикулез кожи липомеланотический) - локальное или диффузное увеличение лимфатических узлов, наблюдающееся при некоторых дерматозах (диффузном нейродермите, эритродермиях, экземах и др.) и обусловленное гиперплазией стромы.
Википедия
Статьи для врачей
- 12.02.2105 Восприятие марки настроено позитивно. Диктат потребителя
- 12.02.2105 Восприятие марки настроено позитивно. Диктат потребителя
- 12.02.2105 Восприятие марки настроено позитивно. Диктат потребителя
Статьи для пациентов
SPRINT: О целевом уровне артериального давления у пожилых
Антидепрессанты. Влияние на сон и когнитивные функции у пожилых
IDSA/ ATS. Рекомендации по лечению внутрибольничных пневмоний
Головная боль у взрослых. Виды головных болей.
Головная боль. Вопросы и ответы
Мигрень
Болезнь Альцгеймера и антидепрессанты
Артериальная гипертензия. Какое из имеющихся руководств лучше
Насыщенные жиры и риск сердечно-сосудистых заболеваний. Первые шаги революции?
Cиндром флоккулонодулярный
Синдром флоккулонодулярный (syndromum flocculonodulare; анат. flocculus cerebelli клочок мозжечка + nodulus cerebelli узелок мозжечка) - статическая атаксия с нарушением походки при отсутствии гипотон.
Санитарно-противоэпидемический отряд армейский, фронтовой
Санитарно-противоэпидемический отряд армейский, фронтовой (истор.) - санитарно-эпидемиологическое учреждение армии (фронта), предназначавшееся для организации и проведения мероприятий по санитарно-гиг.
Популяция изогенная
Популяция изогенная (греч. isos одинаковый + -genes порождаемый, возникающий) - популяция, все особи которой генетически идентичны, т. е. гомозиготны по большинству локусов; может возникнуть при длите.
Синдром Потрие-Воренже
Потрие-Воренже синдром — (L. М. Pautrier, 1876 1959, франц. дерматолог; F. Woringer, совр. франц. дерматолог; син.: лимфаденопатия дерматопатическая, ретикулез кожи липомеланотический) локальное или диффузное увеличение лимфатических узлов, наблюдающееся при некоторых… … Большой медицинский словарь
Список заболеваний и синдромов — Это служебный список статей, созданный для координации работ по развитию темы. Данное предупреждение не ус … Википедия
лимфаденопатия дерматопатическая — (lymphadenopathia dermatopathica; лимфадено + греч. pathos страдание, болезнь) см. Потрие Воренже синдром … Большой медицинский словарь
ретикулез кожи липомеланотический — (reticulosis cutis lipomelanotica) см. Потрие Воренже синдром … Большой медицинский словарь
Лимфаденопати́я дерматопати́ческая — (lymphadenopathia dermatopathica; Лимфадено + греч. pathos страдание, болезнь) см. Потрие Воренже синдром … Медицинская энциклопедия
Ретикулёз ко́жи липомеланоти́ческий — (reticulosis cutis lipomelanotica) см. Потрие Воренже синдром … Медицинская энциклопедия
ЛИПОМЕЛАНОТИЧЕСКИЙ РЕТИКУЛЁЗ
ЛИПОМЕЛАНОТИЧЕСКИЙ РЕТИКУЛЁЗ (греч. lipos жир + melas, melanos черный; лат. reticulum сеточка + -osis; син.: синдром Потрие—Воренже, липомеланотический гиперпластический ретикулит, липомеланотическая лимфаденопатия, пигментированная лимфогранулема с генерализованными кожными явлениями, доброкачественный гиперпластический ретикулогистиоцитоз с меланодермией, лимфаденическая эритродермия, дерматопатическая лимфаденопатия, дерматопатический лимфаденит) — неспецифическая доброкачественная реактивная ретикулярная гиперплазия поверхностных лимфатических узлов, сопровождающая различные хронические болезни кожи.
В 1932 г. Потрие и Воренже (L. М. Pautrier, F. Woringer) сообщили о своеобразной гистопатологической структуре лимф, узлов у больных генерализованными зудящими дерматозами, к-рую они в 1937 г. на основании наиболее характерного признака (гиперплазии ретикулярных клеток с накоплением в них липидов и меланина) назвали липомеланотическим ретикулезом. В 1942 г. Хервитт (E. S. Hurwitt) описал аналогичный синдром как дерматопатический лимфаденит. Последнее название представляется более целесообразным, т. к. оно отражает сущность патол, процесса, который не является ретикулезом в истинном смысле слова.
Этиология и патогенез
Причинами развития Л. р. являются различные хрон, дерматозы (см.), особенно протекающие с явлениями эритродермии и сопровождающиеся упорным зудом. Так, Л. р. наблюдается у больных эритродермией, развившейся при рецидивах экземы, нейродермита, красного плоского лишая, псориаза, а также при упорном генерализованном зуде, грибовидном микозе и др.
Развитие Л. р. связывают с проникновением в лимф, узлы меланина, что подтверждается в экспериментах при парентеральном введении морским свинкам экстракта меланина, вызывающего у них трансформацию лимф, узлов по типу дерматопатического лимфаденита. По мнению Потрие и Воренже, при развитии Л. р. в пораженной коже активизируются меланофаги и усиливается транспортировка меланина по лимф, сосудам в регионарные узлы. Происхождение жировых веществ, обнаруживаемых в лимф, узлах, остается неясным. Однако накопление липидов и меланина в лимф, узлах не является строго обязательным.
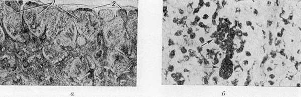
Патогистология

Микропрепараты лимфатического узла больного липомеланотическим ретикулезом: а — обширная ретикулярная гиперплазия (1) и сохранившаяся капсула (2), X 13; б — отложения меланина внутри и внеклеточно (указано стрелками), х 750.
Капсула лимф, узла сохранена, периаденит отсутствует. Структура узла, как правило, не нарушена. Иногда она может быть стертой. В корковом веществе — скопление ретикулярных клеток с веерообразно расположенными новообразованными капиллярами. Синусы сохранены, хотя нередко бывают замаскированы воспалительным инфильтратом, состоящим из лимфоцитов и в меньшей степени эозинофилов, нейтрофилов и плазматических клеток. Лимф, фолликулы могут быть гиперплазированы (рис., а), однако в периферических зонах лимф, узла они чаще кажутся атрофичными в результате их сдавливания ретикулярными клетками. В большинстве случаев часть ретикулярных клеток содержит фагоцитированные меланин, липиды, иногда гемосидерин. Меланин обнаруживается и внеклеточно (рис., б).
Описаны случаи трансформации Л. р. в лейкоз, лимфогранулематоз, лимфосаркому. Блюфарб и Уэбстер (S. М. Bluefarb, G. R. Webster, 1950) отождествляли Л. р. с фолликулярной лимфомой Брилла—Симмерса. Ряд исследователей, напр. Раппопорт (Н. Rappoport, 1966) и Добреску (G. Dobrescu) с соавт. (1975), рассматривает Л. р. как процесс, который не малигнизируется даже в тех случаях, когда сопровождает злокачественно текущие заболевания.
Некоторые авторы полагают, что дерматопатический лимфаденит, развивающийся при системных опухолевых или лейкемических поражениях кожи, относить к Л. р. не следует.
Понятие «липомеланотический ретикулез» они ограничивают лишь аденопатией, сопровождающей «банальные» дерматозы.
Клинические проявления
В наибольшей степени страдают подмышечные и шейные лимфатические узлы. При локализации дерматоза на нижних конечностях Л. р. ограничивается пахово-бедренной областью. С другой стороны, Л. р. может проявляться полиаденопатией. Глубокие лимф, узлы в процесс не вовлекаются. Лимф, узлы увеличиваются до размеров 3—4 см в диаметре, плотные, безболезненные, друг с другом не спаиваются и не нагнаиваются. С разрешением причинного дерматоза аденопатия регрессирует.
Ряд авторов отмечает как характерный признак Л. р. гиперпигментацию кожного покрова, подчеркивая параллелизм ее развития с отложением меланина в лимф, узлах.
Диагноз основывается на клин. проявлениях, обязательно подтвержденных гистол, исследованием лимф, узлов.
Л. р. дифференцируют с лимфогранулематозом (см.), фолликулярной лимфомой Брилла—Симмерса (см. Лимфома гигантофолликулярная) и специфическим поражением лимф, узлов при грибовидном микозе (см. Микоз грибовидный). Для Л. р. характерна сохранность структуры и капсулы лимф, узлов и интенсивный фагоцитоз меланина и липидов ретикулярными клетками, для лимфогранулематоза — клетки Березовского—Штернберга, для грибовидного микоза — «микозные» клетки. Ретикулярные клетки при Л. р. обычно крупнее, чем опухолевые клетки грибовидного микоза, и имеют четко выраженную вакуолизированную и часто пенистую цитоплазму.
Лечение и прогноз зависят от характера дерматоза, на фоне к-рого развился Л. р. (напр., экзема, нейродермит, псориаз и др.).
Профилактика состоит в своевременном лечении дерматозов, сопровождающихся Л. р.
Библиография: Шапошников О. К. и Родионов А. Н. Дерматопатический лимфаденит, Вестн, дерм, и вен., № 9, с. 22, 1978, библиогр.; Dobrescu G., Dobrescu AI. si Petrescu-B a r s u M. Consideratii anatomoclinice asupra reticulozei lipomelanice (Pautrier— Woringer), Derm.-Yener. (Buc.), y. 20, p. 187, 1975; Pautrier L. M. et Woringer F. Note preliminaire sur un tableau histologique particulier de lesions ganglionnaires accompagnant des eruptions dermatologiques generalisees, prurigineu-ses, de types cliniques differents, Bull. Soc. frang. Derm. Syph., t. 39, p. 947, 1932; o н и ш e, A propos de la r^ticulose lipo-melanique, ibid., p. 456, 1954.
Синдром Потрие-Воранже
Синдром Потрие-Воренже, (иначе липомеланотический ретикулёз или распространенные кожные проявления пигментированной лимфогранулемы), является неспецифическим заболеванием, характеризующимся доброкачественным увеличением лимфатических узлов, сопровождающих разного рода хронические кожные заболевания. Основное отличие синдрома Потрие - Воранже от истинного редикулёза заключается в доброкачественности патологического процесса.
Симптомы синдрома Потрие-Воранже
Симптомы синдрома Потрие-Воранже проявляются на фоне различных дерматозов. Преимущественно наблюдается увеличение шейных и подмышечных лимфатических узлов. Если дерматоз локализуется в области нижних конечностей, дерматопатический лимфоденит (синоним синдром Потрие-Воранже) ограничивается пахово-бедренной областью. Может присутствовать полиаденопатия, причем в процесс не втягиваются глубокие лимфатические узлы. Ни нагноений, ни болезненности при этом не наблюдается. Процесс принимает обратный характер по мере разрешения основного заболевания - дерматоза. Кроме того, при синдроме Потрие-Воранже может иметь место повышение пигментации кожного покрова, что свидетельствует об отложении меланина в лимфатических узлах.
Лечение синдрома Потрие-Воранже
Лечение синдрома Потрие-Воранже наши специалисты проводят адекватно причине возникновения липомеланотического синдрома. Основной целью лечебной тактики в таких ситуациях являются те дерматозы, на фоне которых развивается дерматопатический лимфоденит. Схема лечения зависит от характера и тяжести основного заболевания. Таким заболеванием может быть псориаз, нейродермит, экзема и т.п. Правильная диагностика позволяет исключить грибковые микозы, лимфогранулематоз и другие заболевания, требующие иной стратегии лечения. Во избежание ошибок в диагностике и неправильного лечения всегда следует обращаться к профессионалам.
Синдром Картагенера ( Двигательная цилиопатия , Первичная цилиарная дискинезия , Синдром Зиверта-Картагенера , Синдром неподвижных ресничек )
Синдром Картагенера - это генетическая патология цилиарного аппарата, ведущая к развитию хронических риносинуситов, бронхитов, бронхоэктазов, сочетающаяся с обратным расположением органокомплекса «сердце-лёгкие». Заболевание дебютирует в младенческом возрасте и характеризуется частыми гнойно-воспалительными процессами верхних и нижних дыхательных путей. Диагностируется с помощью лучевых методов исследования органов грудной клетки, биопсии слизистых оболочек бронхов или носа. В консервативной терапии используются антибиотики, кортикостероиды, бронхолитики. При необходимости выполняются хирургические операции в области назальных синусов, частичная резекция лёгких.
МКБ-10
Общие сведения
Синдром Картагенера (триада Зиверта-Картагенера, синдром неподвижных ресничек) относится к наследственным болезням из группы первичных цилиарных дискинезий. Одним из первых в 1902 году заболевание описал российский врач А.К. Зиверт. В 1933 году швейцарский терапевт М. Картагенер детально изучил триаду и доказал её наследственную природу. Синдром Зиверта-Картагенера является редкой генетической патологией и встречается у 1 новорождённого на 25 000 - 50 000 родившихся живыми детей. У 50% пациентов с данным пороком встречается полная транспозиция (зеркальное расположение) внутренних органов. Патология нередко сочетается с другими врождёнными аномалиями (полидактилия, «заячья губа», глухонемота и прочие).
Причины
Причиной возникновения триады Картагенера являются мутации генов, отвечающих за нормальное функционирование ресничек и жгутиков различных клеток человеческого организма. Генетические дефекты передаются по аутосомно-рецессивному типу наследования. Первичная цилиарная дискинезия наблюдается у нескольких членов одной семьи. Заболевание проявляется у половины носителей мутантных генов. У родственников больного могут отсутствовать один или несколько признаков классической триады.
Патогенез
Из-за генетического дефекта нарушается синтез структурных белков жгутиков и ресничек. Цилиарный аппарат больного неподвижен или колеблется асинхронно. Во внутриутробном периоде из-за неправильного движения реснитчатого эпителия эмбриона должным образом не выполняется поворот внутренних органов, что приводит к их полному или частичному обратному расположению.
Неспособность мерцательного эпителия дыхательных путей к синхронному движению резко снижает дренажную функцию респираторной системы. Мокрота застаивается. При присоединении вторичной инфекции легко возникают очаги воспаления, формируются бронхоэктазы. Неподвижность или аномальное колебание ресничек эпителия, выстилающего придаточные пазухи носа и евстахиеву трубу, провоцирует рецидивирующие синуситы, евстахииты и отиты. Отсутствие или дисфункция жгутиков сперматозоидов затрудняет их передвижение и является причиной снижения способности к оплодотворению у мужчин.
Симптомы
С первых месяцев жизни у детей с синдромом Картагенера неподвижных ресничек возникают частые рецидивирующие эпизоды насморка и кашля, сопровождающиеся подъёмом температуры до фебрильных цифр. Выделения из носа обычно бывают гнойного характера. Нередко к явлениям ринита присоединяются признаки евстахиита и отита. Дети испытывают головные боли распирающего характера, пульсирующую «стреляющую» боль в ушах.
К 2-3 летнему возрасту у ребёнка происходит хронизация бронхита, кашель становится постоянным. Отделяется слизисто-гнойная (жёлто-зелёная) мокрота. Присоединяется синдром обструкции верхних дыхательных путей. Больного периодически беспокоят приступы мучительного непродуктивного кашля, одышка при физической нагрузке. Рецидивирующие пневмонии носят затяжной характер. Увеличивается количество госпитализаций, удлиняются сроки лечения в стационаре. Синусит также приобретает хроническое течение. В полости носа и придаточных пазухах нередко разрастаются полипы. Появляется постоянная заложенность носа.
Из-за хронического кислородного голодания и частых респираторных инфекций страдает общее развитие ребёнка. У таких пациентов снижается аппетит, выявляется недостаточная масса тела, отставание в росте. Наблюдается общая слабость, повышенная утомляемость, ухудшаются способности к обучению. Синдром Картагенера часто является причиной бесплодия у взрослых мужчин.
Осложнения
Острые респираторные заболевания часто встречаются в младшей возрастной группе. По этой причине синдром Зиверта во всём мире выявляется у детей в основном в 3,5-4-летнем возрасте. К этому времени успевают сформироваться бронхоэктазы. Последствия болезни разнообразны. Хроническое воспаление среднего уха приводит к тугоухости или глухоте. Риносинуситы, полипозные разрастания в носу и его придаточных пазухах вызывают резкое снижение обоняния. Бронхоэктазы являются очагом хронической инфекции и провоцируют развитие грозных осложнений. У пациентов с триадой Картагенера часто развивается системный амилоидоз, формируется лёгочно-сердечная и почечная недостаточность. Нередко случаются эпизоды кровохарканья.
Диагностика
Врачи-педиатры первыми сталкиваются с проявлениями триады Картагенера у маленьких пациентов. При осмотре таких детей можно выявить признаки хронической гипоксии. Губы, носогубный треугольник, кончики пальцев приобретают синюшный оттенок. Дистальные фаланги пальцев рук утолщаются подобно барабанным палочкам, ногти приобретают вид часовых стёкол (синдром Мари-Бамбергера). Для окончательного подтверждения диагноза выполняются:
- Физикальное исследование. Перкуторно выявляется смещение кардиальной тупости вправо. При аускультации лёгких выслушиваются жёсткое дыхание и обилие сухих и влажных мелко- и среднепузырчатых хрипов, которые могут исчезать после откашливания. Сердечный толчок и верхушечный тон определяются в 5-ом межрёберном промежутке справа от грудины.
- Лучевая диагностика. На рентгенограмме грудной клетки наблюдаются правостороннее расположение тени сердца, зеркальная транспозиция лёгких. При исследовании назальных синусов часто выявляется недоразвитие фронтальных пазух. Компьютерная томография грудной полости помогает уточнить локализацию и распространённость бронхоэктазий.
- Функциональные методы исследования. Носят вспомогательный характер. На ЭКГ определяется декстрокардия - противоположное направление основных зубцов, признаки лёгочного сердца. При спирометрии (выполняется у детей от 5 лет и старше) выявляется снижение функции внешнего дыхания преимущественно по обструктивному типу.
- Биопсия. Забор материала производится в период ремиссии, не ранее 4-6 недель после купирования обострения. Биоптат слизистой оболочки носа или бронха исследуется с помощью электронной и световой микроскопии. Выявляются аномалии строения цилиарного аппарата, анализируются частота и синхронность колебания ресничек.
Возможно генетическое подтверждение диагноза, однако для синдрома неподвижных ресничек такой метод исследования считается нецелесообразным. Детские пульмонологи дифференцируют синдром Картагенера с муковисцидозом, кистозной гипоплазией лёгких, бронхоэктазами другой этиологии, бронхиальной астмой и первичными иммунодефицитными состояниями.
Лечение синдрома Картагенера
Заболевание генетической природы полностью излечить невозможно. Терапевтические мероприятия выполняются для улучшения качества жизни пациента, сохранения трудоспособности и минимизации последствий. Наследственный синдром является полиорганной патологией. В лечебном процессе также принимают участие оториноларингологи, при необходимости - и другие специалисты. Для первичного подбора базисной терапии лёгочных проявлений показана госпитализация в отделение пульмонологии. Осуществляется длительное консервативное ведение пациента. Используются следующие основные группы лекарственных средств:
- Антибактериальные препараты. При обострении бронхолёгочной патологии и гнойно-воспалительных процессов назальных придаточных пазух необходимы антибиотики. Препарат выбирают с учётом чувствительности микроорганизмов и применяют в зависимости от состояния пациента внутрь или парентерально.
- Кортикостероиды и бронхолитики. Показанием для назначения ингаляционных кортикостероидов, бета-адреномиметиков и холинолитиков является бронхоспастический синдром. При тяжёлой обструкции дыхательных путей применяют препараты системного действия. Топические назальные кортикостероидные гормоны рекомендуются при сочетании полипозного синусита с аллергическим ринитом.
- Муколитики. Назначают профилактическими курсами и при лечении обострений. Предпочтение отдаётся препаратам карбоцистеина, ацетилцистеина, амброксола. Рекомендуется пероральный приём. Исследования использования муколитиков при лечении цилиарных дискинезий в педиатрии доказали неэффективность их ингаляционного введения.
В лечении триады Зиверта-Картагенера широко применяются кинезитерапия, массаж грудной клетки, при необходимости выполняется бронхоальвеолярный лаваж. Иногда для улучшения носового дыхания, аэрации и дренажа назального синуса необходима хирургическая коррекция. В современной оториноларингологии такие операции выполняются преимущественно малоинвазивным эндоскопическим методом. Редко, при выраженных нагноительных процессах осуществляется резекция участка лёгочной ткани. При тяжёлой лёгочно-сердечной недостаточности возможна одномоментная трансплантация комплекса сердце-лёгкие.
Прогноз и профилактика
Прогноз заболевания зависит от распространённости бронхоэктазий, наличия лёгочного сердца и других осложнений. Полного выздоровления не происходит, но своевременная диагностика, чёткое выполнение врачебных рекомендаций позволяют значительно продлить жизнь пациента, улучшить её качество, полностью или частично сохранить трудоспособность.
В качестве первичной профилактики родителям больного ребёнка рекомендуется генетическое обследование перед планированием новой беременности. Пациенту необходимо получать полноценное высококалорийное питание, вести здоровый образ жизни. Для предупреждения обострений показана ежедневная ирригационная терапия - промывание носа и горла солевым раствором. Назначаются курсовые реабилитационные мероприятия. Желательна сезонная профилактическая вакцинация против пневмококка и гриппа.
1. Случай синдрома Картагенера у новорожденного ребенка/ Лебеденко А.А., Козырева Т.Б., Шокарев А.В., Тараканова Т.Д., Касьян М.С., Носова Е.В., Козырева Н.О.// Журнал фундаментальной медицины и биологии. - 2013 - №4.
4. Компьютерно томографическая характеристика легких и околоносовых пазух при синдроме Зиверта-Картагенера/ Маряшева Ю.А., Соколина И.А., Леонович А.Е., Кокина Н.И., Шехтер А.И.// Радиология - практика. - 2005 - №3.
Читайте также:
