Случай лечения периодонтита, удаления жевательного зуба и одномоментной имплантации
Добавил пользователь Валентин П. Обновлено: 22.01.2026
В каких случаях периодонтит поддается лечению, а в каких случаях необходимо прибегать к удалению зуба с возможной последующей имплантацией? На этот вопрос отвечает хирург-имплантолог Немецкого имплантологического центра Глеб Валерьевич Колушев:
В некоторых случаях причиной удаления зуба служит периодонтит.
Периодонтит развивается как осложнение кариеса, когда в случае отсутствия должного лечения или некачественного лечения нерв в зубе погибает, и воспалительный процесс через каналы зуба выходит за его пределы в костную прилегающую ткань.
В большинстве случаев периодонит лечится консервативно, т.е. терапевтически:
- эндодонтическое лечение,
- удаление разлагающихся нервов,
- перелечивание каналов, если ранее было некачественное лечение.
В этих случаях периодонтита мы можем пойти двумя путями:
Первый путь . Мы пытаемся спасти этот зуб и можем предложить такую процедуру как резекция верхушки корня зуба. В этом случае мы отрезаем верхнюю часть корня, на котором имеется непроходящий воспалительный процесс, убираем/выскабливаем всю инфекцию, промываем/прочищаем и пломбируем корневой канал с обратной стороны. В таком сценарии развития лечения периодонтита мы можем надеяться на выздоровление, которое наступает в большинстве случаев.
Если мы не уверены в этой процедуре, если разрушения очень сильные или процесс распространяется на зону, где корни расходятся между собой (имеется бифуркация корней)
Небольшое пояснение к вышесказанному: у человека есть зубы с одним корнем, двумя корнями, тремя корнями.
Второй путь . Так вот, если воспаление слишком сильно распространено, то в этом случае можем говорить об удалении зуба , а также тогда, когда в случае проведенной резекции верхушки корня через некоторое время появляется повторный воспалительный процесс.
Преимущества имплантации с хроническим периодонтитом
При хроническом периодонтите в тканях периодонта развивается очаг воспаления. Он может формироваться долго, несколько лет, оставаясь незаметным — без повышения чувствительности, болезненных ощущений, реакции на температурные раздражители, надавливание и т.п. В других случаях воспаление протекает остро: коронка становится болезненной, десна краснеет и опухает, на ней формируется свищ. Периодонтит опасен постепенным изменением структуры окружающих зуб тканей:
- разрушаются связки, которые удерживают зуб в лунке;
- рассасывается образованная альвеолярными отростками кортикальная пластинка;
- начинается деструкция костной ткани.

Появление хронического периодонтита возможно на ранее вылеченных от кариеса, пульпита зубах. Причиной может быть некачественное эндодонтическое лечение или постепенный износ пломбировочного материала, при котором в коронке образуются пустоты, микротрещины. Инфекция проникает в дентин и ткани периодонта через них и провоцирует серьезные осложнения.
Варианты лечения
Если зуб, в окружающих тканях которого выявлен хронический периодонтит, ранее был пролечен, возможны два варианта.
Перелечивание. Выполняется распломбировка корневых каналов, повторное удаление пораженных тканей, антисептическая обработка, использование местных противовоспалительных средств. После того, как воспаление будет снято, выполняют повторное пломбирование. Это — сравнительно быстрый вариант, в ряде случаев лечение можно выполнить за 2-3 визита, но прогноз при перелечивании не всегда благоприятный:
- доступ к пораженным тканям может быть усложнен. При серьезной стадии воспаления их объем увеличивается настолько, что сохранить зуб без риска повторного воспаления нельзя;
- структурные изменения в тканях периодонта влияют на эффективность лечения: зуб уже не так надежно удерживается в лунке, не может полноценно воспринимать жевательную нагрузку. Процессы деструкции могут продолжаться даже после качественного перелечивания.
В норме перелечивание зуба с хроническим периодонтитом занимает несколько месяцев. На первом приеме выполняется распломбировка корневых каналов, удаление пораженных тканей, антисептическая обработка. Пациенту назначают курс антибиотиков, антигистаминных, нестероидных противовоспалительных препаратов. Через несколько дней выполняется пломбировка корневых каналов лечебным составом с установкой временной пломбы. Постоянная пломбировка каналов и реставрация коронки возможны через 2-3 месяца при условии успешного лечения. На каждом этапе выполняется рентгенографический контроль. К моменту установки постоянной пломбы должна начаться регенерация костной ткани, а воспаление должно полностью пройти.
На практике эндодонтическое лечение депульпированных зубов с периодонтитом выполнять нежелательно. При таком подходе сохраняется риск осложнений: формирования флегмон, периостита, остеомиелита челюсти, гайморита, менингита, одонтогенного сепсиса и т.п.
У вас есть вопросы об имплантации?
Мы перезвоним в течение 30 секунд
Имплантация. Раньше выполнялась только при условии, что сохранить перелеченный зуб не удалось, и периодонтит прогрессирует. Сейчас имплантация рассматривается как приоритетный способ лечения в таких случаях. Она предполагает удаление пораженного зуба, полное снятие воспаления, установку импланта и, после успешной остеоинтеграции, установку искусственной коронки.

Преимущества имплантации:
- прогноз лечения для пациента улучшается. Удаление пораженного зуба и его замена ортопедической конструкцией исключает дальнейшее развитие периодонтита;
- восстановление нормального состояния зубочелюстной системы. Имплант полностью воспринимает и передает жевательную нагрузку костной ткани, периодонту. Это восстанавливает их нормальную функциональность, стимулирует регенерацию;
- большая надежность. Даже после качественного перелечивания зуб с периодонтитом теряет «запас прочности», срок его службы ограничен. В большинстве случаев эндодонтическое лечение только откладывает момент, когда потребуется удаление с последующей имплантацией. Пациент теряет время, состояние периодонта продолжает ухудшаться, а проведение имплантации в будущем становится более сложным. Выполняя имплантацию сразу, пациент получает более надежный результат;
- риск осложнений минимален. Подготовка к установке импланта требует строгого соблюдения протокола, который исключает повторное воспаление периодонта, убирает факторы, провоцирующие воспалительный процесс. Пациент получает более эффективное лечение периодонтита, при котором риск осложнений намного снижается.
Имплантация при периодонтите в случаях, если уже проводилось лечение, — более надежный вариант. Он выгоднее финансово — многоэтапное эндодонтическое лечение с учетом риска осложнений, развития системных заболеваний требует больших расходов. Клиника «Дентоспас» выполняет имплантацию с использованием надежных ортопедических конструкций, со строгим соблюдением рекомендованного производителем протокола, с полным восстановлением нормального состояния зубочелюстной системы.
Случай обострения хронического периодонтита после восстановления жевательной нагрузки на зубы

В частную поликлинику "Наша Клиника-Дент" 14 марта 2019 года обратилась женщина 43 лет с жалобой на нарастающий отёк правой щеки.
Жалобы
При опросе женщина указала на боль при смыкании челюстей справа. Реакцию на температурные и химические раздражители отрицала.
Анамнез
Более пяти лет назад 17 зуб пролечен по поводу осложнённого кариеса. При прохождении профилактических осмотров стоматолог-терапевт неоднократно рекомендовал пациентке протезирование боковых отделов обеих челюстей. Месяц назад пациентка обратилась в стороннюю клинику для протезирования. Во время ношения временных конструкций жалоб не было. 7 марта 2019 года проведена фиксация металлокерамических коронок на 18, 17, 16, 15, 14, 13, 12, 11, 21, 22, 23, 24, 25, 26, 27, 28 зубы на верхней челюсти.
Обследование
Конфигурация лица изменена за счёт отёка верхней половины правой щеки. Поднижнечелюстные лимфатические узлы увеличены, при пальпации болезненны. Слизистая полости рта физиологической окраски. На альвеолярном отростке в проекции корней 16 и 17 зубов имеется свищевой ход с гнойным отделяемым. 18, 17, 16, 15, 14 зубы восстановлены ортопедическими конструкциями хорошего качества. Межзубные промежутки спаяны. Зондирование зубов по границе коронка/зуб безболезненно. Реакция на холодовой раздражитель отсутствует. Перкуссия (постукивание) 18 зуба болезненна, 16, 17 зубов — резко болезненна. Пародонтальный карман (пространство между зубом и десной ) в области 18, 17, 16, 15, 14 зубов — 2-3 мм.
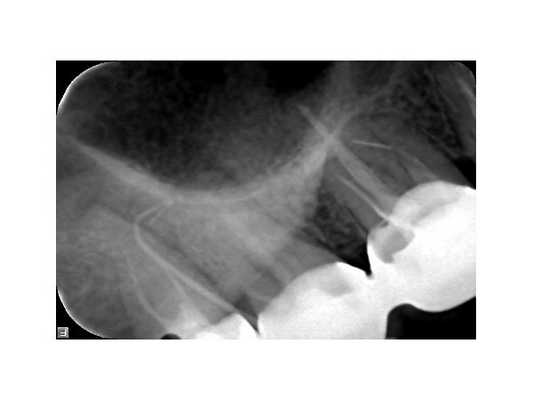
В поликлинике "Наша Клиника-Дент" проведено визиографическое обследование свищевого хода, предварительно в него был введён гуттаперчевый штифт для уточнения локализации воспалительного процесса. Выявлен очаг воспаления в области корней 17 зуба. Также обнаружен участок повышенной плотности, по конфигурации соответствующий фрагменту инструмента в мезиально-щёчном корне 16 зуба.
Диагноз


После снятия коронки и старой пломбы. Видно кариес, который мог быть дополнительным источником инфекции.





Лечение
- Ревизия корневых каналов 17 зуба, временное протезирование, динамическое наблюдение через 6, 12, 24 месяца. При отсутствии симптомов и положительной динамике — через 6 месяцев замена временной коронки на постоянную. При сохранении симптомов, прогрессировании очага деструкции — удаление зуба и замещение дефекта ортопедической конструкцией.
- Удаление 17 зуба, замена ортопедической конструкции на мостовидную с опорами на 18 и 16 зуб, либо имплантация.
- Врач-ортопед отсепарировал (отделил) 17 зуб от соседних и снял постоянную ортопедическую конструкцию. Изоляция произведена системой коффердам (пластиной из латекста).
- После снятия пломбы — некрэктомия (удаление нежизнеспособных тканей), восстановление стенки для проведения эндодонтического лечения (лечения корневых каналов).
- Дезобтурация (удаление старой пломбы) корневых каналов, заполненных резорцин-формалиновым цементом.
- Обработка каналов эндодонтическим инструментом Profile: 40.04 (размер 40, конусность 0,4) — щёчные каналы, 45.04 (размер 45, конусность 0,4) — нёбный канал.
- Медикаментозная обработка гипохлоритом натрия 3 %, ЭДТА 18 %, активация растворов.
- Обтурация (пломбирование) гидроокисью кальция на 3 недели. Антибиотики не назначались.
Второе посещение. Отёк прошёл в течение четырёх дней. При повторном посещении свищ сохранялся. Боль при перкуссии отсутствовала. Проведена антисептическая обработка гипохлоритом натрия 3 %, ЭДТА 18%, активация растворов. Выполнена обтурация гидроокисью кальция на 3 недели. Антибиотики не назначались.
Третье посещение. Свищ отсутствует, перкуссия безболезненна. Проведена антисептическая обработка каналов, латеральная конденсация гуттаперчи + AH-plus ( методика пломбирования корневых каналов) .
Рекомендовано посещение врача-ортопеда для изготовления временной ортопедической конструкции на 17 зуб. Контрольный осмотр и КЛКТ назначены на сентябрь 2019 года.
После протезирования временной коронкой пациентка не предъявляла жалоб. На контрольной томограмме в сентябре 2019 года наблюдается уменьшение очага деструкции, восстановление дна гайморовой пазухи. Рекомендовано обратиться к врачу-ортопеду для протезирования постоянной ортопедической конструкцией. Осмотр в марте 2020 года.
Заключение
Данный клинический случай подтверждает необходимость трёхкратного контроля депульпированных зубов перед протезированием. Также требуется контроль проведённого эндодонтического лечения, так как возможно прогрессирование инфекции без клинических признаков и при отсутствии жалоб со стороны пациента.
Периодонтит - симптомы и лечение
Что такое периодонтит? Причины возникновения, диагностику и методы лечения разберем в статье доктора Козлова Владимира Игоревича, стоматолога со стажем в 17 лет.
Над статьей доктора Козлова Владимира Игоревича работали литературный редактор Маргарита Тихонова , научный редактор Сергей Федосов

Определение болезни. Причины заболевания
Периодонтит — это заболевание, вызванное бактериями, травмой или лекарственными препаратами, в результате которого происходит воспаление комплекса соединительной ткани (периодонта), расположенной между цементом зуба и зубной альвеолой. [9] [20]

В общей структуре стоматологических заболеваний периодонтит встречается во всех возрастных группах пациентов и составляет 25-30% от общего числа обращений в стоматологические учреждения. [3]
В зависимости от причин возникновения выделяют три типа периодонтита:
- Травматический периодонтит — может развиться как при однократном сильном механическом воздействии (ушиб, удар, попадание косточки), так и при неоднократных небольших механических повреждениях (например, при постоянном откусывании нитей швеёй).
- Медикаментозный периодонтит — возникает в результате выхода сильнодействующих препаратов из корневого канала в ткани периодонта (например, когда в зубе было оставлено лекарство, а следующий приём состоялся позже, чем это было показано по инструкции безопасного периода нахождения препарата в канале). [11]

Пути инфицирования тканей периодонта:
- внутризубной — выход токсинов и бактерий через систему корневого канала после инфицирования пульпы и её некротизации в ткани периодонта;
- внезубной — переход воспаления из окружающих тканей (остеомиелит, остит, гайморит, пародонтит и т. д.).
Крайне редко возможно инфицирование тканей периодонта гематогенным (через кровь) и лимфогенными путями.
При обнаружении схожих симптомов проконсультируйтесь у врача. Не занимайтесь самолечением - это опасно для вашего здоровья!
Симптомы периодонтита
Проявления заболевания напрямую зависят от его формы.
Хронические формы периодонтита в большинстве случаев протекают бессимптомно и выявляются во время рентгенологического исследования либо при обострении.
Признаки острого периодонтита и обострения его хронической формы:
- боль в зубе (причём чаще всего можно точно указать, какой именно зуб болит) — в начале заболевания боль слабо выраженная, ноющая, но позднее она становится более интенсивной, рвущей и пульсирующей;
- боль при жевании и прикосновении к зубу;
- чувство "выросшего зуба" — ощущение, что зуб стал длиннее других и первым смыкается с зубами-антагонистами;
- наличие большой кариозной полости в больном зубе или его предшествующее лечение по поводу глубокого кариеса или пульпита;
- иногда возникает отёк мягких тканей в области поражённого зуба — связано с выходом воспалительного экссудата (жидкости) из очага, находящегося в периодонте, в поднадкостничное пространство или мягкие ткани;
- открытие свищевого хода, чаще всего располагающегося на десне в проекции корня поражённого зуба (может возникнуть при обострении хронического периодонтита);
- отсутствие реакции больного зуба на холодное, горячее, сладкое или кислое;
- возможная подвижность зуба, связанная с инфильтрацией периодонта.

Патогенез периодонтита
Острый верхушечный периодонтит
После повреждения периодонта по одной из указанных выше причин возникает кратковременный интенсивный тканевый ответ. Этот процесс сопровождается клиническими симптомами острого периодонтита. [7]
Ответ ткани, как правило, ограничен периодонтальной связкой. Он приводит к типичным нервно-сосудистым реакциям воспаления, которые проявляются гиперемией (переполнением кровью), застоем сосудов, отёком периодонтальной связки и экстравазацией (вытеканием в ткани) нейтрофилов. Поскольку целостность кости, цемента и дентина ещё не нарушена, периапикальные изменения на этом этапе не обнаруживаются при рентгенологическом исследовании.
Если воспаление было вызвано неинфекционными раздражителями, то поражение может исчезнуть, а структура апикального периодонта восстанавливается. [13] [14]
Когда происходит инфицирование, нейтрофилы не только борются с микроорганизмами, но также выделяют лейкотриены и простагландины. Первые привлекают больше нейтрофилов и макрофагов в область поражения, а вторые активируют остеокласты — клетки, участвующие в разрушении костной ткани. Так, через несколько дней кость, окружающая периодонт, может резорбироваться (раствориться), тогда в области верхушки корня рентгенологически обнаруживается расширение периодонтальной щели. [15]

Нейтрофилы погибают в месте воспаления и высвобождают из своих гранул ферменты, которые вызывают разрушение внеклеточных матриксов и клеток. Такое "расщепление" тканей предотвращает распространение инфекции в другие части тела и обеспечивает пространство для проникновения защитных клеток.

Во время острой фазы макрофаги также появляются в периодонте. Они продуцируют провоспалительные и хемотаксические (аллергические) цитокины. Эти молекулы усиливают местный сосудистый ответ, разрушение кости и деградацию внеклеточных матриц, а также могут заставить гепатоциты повысить выработку белков острой фазы.
Острый первичный периодонтит имеет несколько возможных исходов:
- самопроизвольное заживление;
- дальнейшее усиление и распространение в кости (альвеолярный абсцесс);
- выход наружу (образование свищей или синусового тракта);
- хронизация процесса. [19]
Хронический периодонтит
Длительное присутствие микробных раздражителей приводит к сдвигу в сторону макрофагов, лимфоцитов (Т-клеток) и плазматических клеток, которые инкапсулировуются в коллагеновой соединительной ткани.
Провоспалительные цитокины (клетки иммунной системы) являются мощными стимуляторами лимфоцитов. Активированные Т-клетки продуцируют множество цитокинов, которые снижают выработку провоспалительных цитокинов, что приводит к подавлению процесса разрушения кости. Напротив, полученные из Т-клеток цитокины могут одновременно усиливать выработку факторов роста соединительной ткани, что оказывает стимулирующее и пролиферативное воздействие на фибробласты и микроциркуляторное русло.
Возможность подавления деструктивного процесса объясняет отсутствие или замедленную резорбцию кости и восстановление коллагеновой соединительной ткани во время хронической фазы заболевания. Следовательно, хронические поражения могут оставаться бессимптомными в течение длительного времени без существенных изменений на рентгенограмме. [21]
Равновесие, существующее в периодонте, может быть нарушено одним или несколькими факторами, например, микроорганизмами, «размещёнными» внутри корневого канала. Они продвигаются в периодонт, и поражение самопроизвольно становится острым с повторным появлением симптомов.
В результате во время этих острых эпизодов микроорганизмы могут быть обнаружены в костной ткани, окружающей периодонт, с быстрым увеличением рентгенологических проявлений. Эта рентгенографическая картина обусловлена разрушением апикальной кости, которое происходит быстро во время острых фаз и относительно неактивно на протяжении хронического периода. Следовательно, прогрессирование заболевания не является непрерывным, а происходит прерывистыми скачками после периодов "стабильности".
Цитологические исследования показывают, что около 45% всех хронических периодонтитов эпителизированы. Когда эпителиальные клетки начинают разрастаться, они могут делать это во всех направлениях случайным образом, образуя неправильную эпителиальную массу, в которую попадают сосудистая и инфильтрированная соединительная ткань. При некоторых поражениях эпителий может врастать во вход корневого канала, образуя пломбоподобное уплотнение на апикальном отверстии.
Классификация и стадии развития периодонтита
Классификация периодонтитов главным образом отображает причину воспаления, и что именно происходит в тканях пародонта. Самой распространённой классификацией, используемой на практике, является классификация И.Г. Лукомского: [17]
- Острый верхушечный (апикальный) периодонтит:
- серозный;
- гнойный.
- Хронический верхушечный (апикальный) периодонтит:
- фиброзный;
- гранулирующий;
- гранулематозный.
- Обострение хронического периодонтита.
Также при постановке диагноза используется классификация по МКБ-10:
K04.4 Острый апикальный периодонтит пульпарного происхождения:
K04.5 Хронический апикальный периодонтит:
- апикальная или периапикальная гранулема;
- апикальный периодонтит БДУ.
K04.6 Периапикальный абсцесс с полостью:
- зубной (дентальный) абсцесс с полостью;
- дентоальвеолярный абсцесс с полостью.
K04.7 Периапикальный абсцесс без полости:
- зубной (дентальный) абсцесс БДУ;
- дентоальвеолярный абсцесс БДУ;
- периaпикальный абсцесс БДУ.
K04.8 Корневая киста:
- апикальная (периодонтальная) киста;
- периaпикaльная киста;
- остаточная корневая киста.
Осложнения периодонтита
Осложнения периодонтита зависят от причинного зуба, локализации воспалительного очага, формы и стадии заболевания. Условно можно разделить все осложнения на несколько групп. [8]
Осложнения, вызванные распространением инфекции из периодонтального очага:
- Одонтогенный периостит — распространение воспалительного процесса на надкостницу альвеолярного отростка и тела челюсти из периодонтального (одонтогенного) очага.
- Одонтогенный абсцесс — формирование ограниченного полостного гнойного очага, возникающего в результате гнойного расплавления подслизистой, подкожной, межмышечной, межфасциальной клетчатки, лимфоузлов, мышечной ткани или кости. Формирование абсцессов преимущественно происходит в околочелюстных мягких тканях.
- Одонтогенная флегмона — формирование разлитого гнойного воспаления клетчатки, расположенной под кожей, слизистой оболочкой, между мышцами и фасциями.
- Одонтогенный гайморит — формирование воспаления в гайморовой пазухе, вызванное распространением инфекции из периодонтального (одонтогенного) очага.
- Одонтогенный лимфаденит — формирование воспаления в регионарных лимфатических узлах, вызванного распространением инфекции из периодонтального (одонтогенного) очага.
- Одонтогенный остеомиелит — гнойное воспаление челюстной кости (одновременно всех её структурных компонентов) с развитием участков остеонекроза.
Осложнение, вызванное деструктивными изменениями в перерадикулярной кости:
- Вторичная адентия — потеря одного или нескольких зубов, причиной которой служит разрушение костной ткани, окружающей корень зуба, препятствующее дальнейшему функционированию такого зуба.
Осложнение, вызванное формированием свищевого хода:
- Кожные свищи — образование свищевого хода, открывающегося на поверхность кожи.

Диагностика периодонтита
Диагностика периодонтита проводится на основании жалоб пациента, анамнеза заболевания, оценки общесоматического статуса, осмотра головы и шеи, полости рта, зуба, его перкуссии, зондирования и термопробы, электроодонтодиагностики (ЭОМ) и рентгенологического исследования. [10]
ЭОМ — это метод стоматологического исследования, основанный на определении порогового возбуждения болевых и тактильных рецепторов пульпы зуба при прохождении через неё электрического тока.

Диагностические признаки острого периодонтита:
Диагностические признаки хронического периодонтита:
Диагностические признаки обострения хронического периодонтита
Чаще всего клиническая картина соответствует острому периодонтиту, за исключением того, что всегда рентгенологически выявляются изменения в тканях периодонта, характерные для той или иной формы периодонтита. [12]
Лечение периодонтита
Лечение периодонтита направлено на устранение причин, механизмов и проявлений заболевания. Методы лечения бывают терапевтическими, хирургическими и комбинированными.
Терапевтическое лечение
Данный метод лечения нацелен на устранение патогенной микрофлоры, находящейся в эндодонте — комплексе поражённых тканей, включающем пульпу и дентин, которые связаны между собой морфологически и функционально. Поэтому иначе такое лечение называют эндодонтическим. [16]
Этапы эндодонтического лечения:
- адекватное обезболивание;
- изоляция зуба или нескольких зубов, в которых будут проводится манипуляции, от полости рта;
- создание эндодонтического доступа (иссечение твёрдых тканей зуба или пломбировочного материала, закрывающих доступ в систему корневого канала;
- прохождение и определение длинны корневого канала (это длинна от устья до верхушки корня);
- создание корневого канала определённого диаметра и формы;
- введение в корневой канал лекарственных препаратов;
- пломбирование корневого канала;
- восстановление анатомии и функции зуба с помощью пломбировочного материала или ортопедической конструкции.

Хирургическое лечение
К оперативному лечению прибегают только в случаях неэффективности или невозможности терапевтического лечения.
К хирургическим методам лечения относятся:
- удаление части корня зуба (резекция) — позволяет сохранить зуб, даже если у верхушки корня присуствовала киста;


- удаление зуба целиком, с последующим замещением утраченного зуба.

Прогноз. Профилактика
Течение и прогноз периодонтита, безусловно, зависят от своевременности обращения к стоматологу и качества проведенного им лечения. При эффективном лечении каналов происходит восстановление участка разрушенной кости, и зуб сохраняет свои функциональные свойства. При несвоевременном обращении пациента или безуспешном лечении высока вероятность потери зуба, а осложнения хронического периодонтита могут представлять серьёзную угрозу здоровью и жизни.
Для профилактики периодонтита необходимо тщательно ухаживать за полостью рта, регулярно проводить осмотры у врача-стоматолога и своевременно лечить одонтогенные очаги инфекции, такие как кариес и пульпит. [2] [5] [6]
Одномоментная имплантация

Одномоментной (моментальной) имплантацией называется восстановление зубов, когда имплант устанавливается в лунку сразу после удаления родного зуба, в связи с чем данная процедура происходит за одно посещение врача.
Наиболее часто используется в местах, где важна эстетическая составляющая, то есть в зоне улыбки.
Моментальная имплантация более предпочтительнее двухэтапной в случаях, когда необходимо одновременно восстановить несколько зубов.
Эта методика позволяет сократить период реабилитации пациента, а иногда и сразу установить временный протез, с которым человек может незамедлительно начать жевать.
Восстановление зуба сразу после его удаления позволяет избежать процесса наращивания костной ткани, так как не происходит ее убыли, вследствие чего десна не разрезается и меньше травмируется.
Виды одномоментной имплантации

В зависимости от выбранного протокола существует три основных вида моментальной имплантации.
- Двухэтапный классический метод — заключается в том, что после установки импланта десна зашивается и пациент ходит до полного его приживления без установки временного протеза. После того как все полностью заживет, а имплант срастается с костной тканью, десну снова разрезают сверху устанавливается абатмент — промежуточный элемент соединяющий между собой корень импланта с коронкой или протезом. Через 4-6 месяцев после того, как имплант полностью врастет в костную ткань и сможет выдерживать нагрузки, вместо временной коронки устанавливают постоянную коронку из выбранного пациентом материала.
- Имплантация с использованием формирователя десны - метод аналогичен предыдущему, отличаясь лишь тем, что сразу с имплантом устанавливают формирователь десны. Он позволяет десне за время приживления не изменить аккуратный внешний вид мягких тканей в месте имплантации. В зависимости от ситуации формирователь десны может быть стандартным или изготовленным индивидуально.
- Одномоментная имплантация с немедленной нагрузкой — вместе с установкой импланта на него сразу надевается переходник-абатмент, на который устанавливается временная коронка. Чтобы избежать сразу большой нагрузки на имплант, коронку делают из облегченного материала, чаще всего пластмассы. Данный вид имплантации сразу восстанавливает эстетические и жевательные функции пациенту, ускоряет приживление, но подходит не во всех случаях.
Показания и противопоказания к одномоментной имплантации

Показания к моментальной имплантации такие же, как и к классической:
- значительное разрушение зуба, когда его невозможно восстановить иными методами, например с помощью коронки;
- образование кисты на корне зуба или другие заболевания, при которых требуется удаление зуба;
- расшатанность зуба вследствие травмы или заболевания десен, когда нет возможности укрепить зуб;
- пульпит или периодонтит при искривленных каналах, когда выполнить лечение зуба невозможно;
- адентия — отсутствие опорных зубов вокруг пораженного, что затрудняет установку мостовидного протеза.
Во всех вышеперечисленных случаях требуется удаление зуба и для его восстановления можно применить одномоментную имплантацию.
Противопоказания к проведению одномоментной имплантации
Ввиду того, что одномоментная имплантация это хирургическое вмешательство, то существуют противопоказания к ее выполнению. Их можно разделить на два вида:
- абсолютные — при которых проведение имплантации невозможно;
- относительные - имплантацию провести можно, но только после устранения препятствий к операции.

Абсолютные противопоказания
К ним можно отнести:
- наличие заболеваний связанных с плохой свертываемостью крови;
- постоянная атрофия (убыль) костной ткани;
- аллергия или непереносимость материалов используемых для имплантации;
- непереносимость медикаментов используемых для анестезии;
- некомпенсированный сахарный диабет;
- патология щитовидной железы;
- туберкулез открытой формы;
- наличие остеопороза;
- онкологические заболевания в полости рта;
- низкий иммунитет, вследствие чего снижается способность к заживлению;
- возраст меньше 18 лет;
- перенесенные менее полугода назад инфаркты, инсульты, гипертонические кризы;
- серьезные психические отклонения.
Относительные противопоказания
К ним относятся:
- наличие зубного камня и налета;
- воспаление десен — пародонтит или гингивит;
- серьезные патологии прикуса;
- беременность и кормление грудью;
- обострение хронических заболеваний;
- злоупотребление алкоголем и курением;
- артрит или артроз ВНЧС.
После устранения вышеперечисленных условий можно заняться восстановлением зуба.
Существует также ряд противопоказаний, которые в целом не относятся к имплантации, но имеют отношение непосредственно к методике одномоментного восстановления зуба.
- недостаточный объем костной ткани, который может быть врожденным, даже без атрофии;
- воспаление в месте удаления зуба;
- слишком большая лунка после удаления зуба;
- разрушенная перегородка между корнями зуба, что может привести к тому, что имплант встанет криво, так как он устанавливается в отверстие одного корня.
Таким образом, имплантация полностью не противопоказана, ее просто придется отодвинуть на срок, необходимый для устранения вышеперечисленных проблем.
Осложнения после одномоментной имплантации
Несмотря на то, что одномоментная имплантация позволяет в кратчайший срок восстановить эстетичный вид и жевательные функции, иногда после процедуры наблюдаются осложнения.
Самым распространенным является воспаление десны и костной ткани, что может привести к ухудшению общего состояния мягких тканей десны, в том числе и к отторжению импланта. Однако, при соблюдении необходимых норм, процент отторжения импланта при одномоментной имплантации гораздо меньше, чем при двухэтапной. Этот риск оправдан, когда требуется получить быстрый и эстетичный результат.
Также неблагоприятным моментом может оказаться попадание бактерий в область установки импланта, это чревато воспалением кости и дальнейшем появлением гноя.
В первые дни после операции, возможно появление отека и боли, и в зависимости от индивидуальных особенностей организма может быть повышение температуры. Эти симптомы обычно проходят в течение нескольких дней.
Реабилитация после операции
Чтобы период реабилитации не затянулся надолго, необходимо строго соблюдать рекомендации врача, а именно:
- в первый месяц желательно придерживаться щадящей диеты — не употреблять твердую, острую, соленую, горячую или холодную пищу;
- гигиеническую чистку зубов проводить через 15-20 минут после каждого приема пищи, используя щетки не с жесткой щетиной;
- в случае появления кровоточивости делать аппликации с антисептиком;
- использовать ирригатор вместе с ополаскивателем (состав оговаривается с врачом, чтобы не произошло окисление штифтов);
- впервые две недели избегать больших физических нагрузок, отказаться от занятий спортом (особенно касается единоборств);
- стараться избегать стрессовых ситуаций;
- на месяц отказаться от авиаперелетов, посещения бань, саун и других мероприятий способных вызвать перепады артериального давления;
- полный запрет налагается на употребление алкоголя и курение.
Если строго следовать данным рекомендациям то период восстановления и привыкания к протезу, особенно первые месяц, пройдет без происшествий, а результатом будет — красивая улыбка.
В первый год рекомендуется ежемесячно посещать кабинет стоматолога с целью профилактического осмотра, а дальше составляется индивидуальный график, но не реже чем один раз в 5-6 месяцев.
Читайте также:
- Синдром ангиогемофилии
- Порфиромонады. Род porphyromonas. Свойства порфиромонад. Диагностика порфиромонад. Лечение поражений порфиромонадами.
- Сдвиг эмоционального состояния. Анализ эмоционального состояния
- Ребенок и алкоголь. Как избежать знакомства?
- Диагностика солярного синдрома. Заболевания брюшной стенки
