Случай опухоли краниовертебрального перехода, скрывающейся за диагнозом шейного остеохондроза
Добавил пользователь Евгений Кузнецов Обновлено: 22.11.2025
ДИАГНОЗ КЛИНИЧЕСКИЙ: Аномалия Арнольда-Киари I типа. Прогрессирующая каудальная дистопия гипертрофированных миндаликов мозжечка с компрессией большой цистерны мозга, нижних отделов IV желудочка, продолговатого и спинного мозга. Вторичная сирингомиелия. Умеренно выраженный бульбарный синдром. Вестибуло-атаксический синдром.
Особенности течения заболевания.
Поступила в НХО РКБ ФГБУЗ ЮОМЦ ФМБА РФ с жалобами на головную боль, головокружение, шаткость при ходьбе, периодическую тошноту и рвоту, чувство комка в горле, периодическое поперхивание в покое и приеме жидкой пищи.
Анамнез заболевания: Считает себя больной в течение нескольких лет, периодически лечится по поводу шейного остеохондроза. Последние месяцы отмечает усиление головных болей, общей слабости, появление шаткости при ходьбе, чувства комка в горле, периодическое поперхивание в покое, при сгибании головы и приеме жидкой пищи. МРТ головного мозга и шейного отдела выявило признаки синдрома Арнольда-Киари с опущением миндалик мозжечка и развитием вторичной сирингомиелии. Госпитализирована в отделение нейрохирургии РКБ ФГУ ЮОМЦ ФМБА России для оперативного лечения.
Неврологический статус при поступлении: общее состояние удовлетворительное, сознание ясное. Выражен общемозговой синдром в виде цефалгии преимущественно затылочной локализации, головокружении, периодической тошноты и рвоты. Зрачки D=S, глазодвижение не страдает. ЧМН - отмечается парез небной занавески слева. Легкий бульбарный синдром. Сухожильные рефлексы и тонус конечностей повышены D=S. Двигательная дисфункция в иде слабости в руках, больше справа, чувствительные нарушени в виде «полукуртки». Умеренно выраженный горизонтальный нистагм. Выраженная шаткость и отклонение в позе Ромберга, больше влево, ПНП с интенцией с обеих сторон, больше слева. Нарушения функций органов малого таза нет. Вегетативно-трофических расстройств нет. Менингеальных знаков нет. Судорог на момент осмотра нет.
МРТ краниовертебрального перехода и верхнешейного отдела позвоночника больной перед операцией:

В нейрохирургическом отделении РКБ ФГБУЗ ЮОМЦ ФМБА РФ больной было выполнено оперативное вмешательство:
1) Иссечение участка широкой фасции правого бедра в качестве аутотрансплантата.
2) Срединная субокципитальная краниотомия, расширенная декомпрессия задней черепной ямки и краниовертебрального перехода с резекцией задней дужки атланта и аркотомией дужки аксиса, менингоарахнолизис большой цистерны мозга, микрохирургическая субпиальная резекция гипертрофированных миндаликов мозжечка, аутопластика дуральной воронки краниовертебрального перехода аутотрансплантатом широкой фасции бедра.
Ход операции: Под общим эндотрахеальным наркозом из линейного разреза кожи и мягких тканей в проекции переднее-латеральных отделов средней трети правого бедра произведено выделение участка широкой фасции правого бедра размерами 5х5 см, который был иссечен и изъят в качестве аутотрансплантата для пластики задней черепной ямки. Гемостаз. Рана ушита послойно с оставлением активного трубочного дренажа. Наложена асептическая повязка. Под общим эндотрахеальным наркозом в положении больной сидя на операционном столе из линейного разреза кожи и мягких тканей в затылочной области по Наффцигеру-Тауну выполнена типичная срединная субокципитальная краниотомия с резекция задней дужки атланта, задних отделов большого затылочного отверстия и части чешуи затылочной кости с обеих сторон. Обнаружено, что краниовертебральный переход узкий, деформирован, задняя дужка С2-позвонка значительно утолщена, компримирует ТМО краниовертебрального перехода, в связи с чем произведена щадящая арктомия верхних отделов С2. ТМО визуально утолщена, дуральная воронка краниовертебрального перехода заметно сужена. ТМО вскрыта линейным разрезом с дополнительным расширением воронки поперечными разрезами с обнажением нижних отделов обоих полушарий мозжечка, миндалик, структур краниовертебрального перехода. После вскрытия ТМО и разведения ее на держалках диастаз ее краев до 2.5 см. Паутинная оболочка большой цистерны несколько утолщена, матовая, выбухает в разрез ТМО, не пульсирует, под ней просвечиваются гипертрофированные дистопированные каудально миндалики мозжечка. Рассечена арахноидея, после чего полностью обнажена большая цистерна мозга. Спонтанное поступление ликвора слабое. Обнаружено, что вся большая цистерна выполнена увеличенными и опущенными миндаликами мозжечка. С помощью операционного микроскопа и микронейрохирургической техники спайки рассечены, выполнен менингоарахнолизис большой цистерны мозга. После достижения подвижности миндалик и их ревизии обнаружено, что они дистопированы до уровня С2-позвонка, компримируют продолговатый мозга, спаяны медиально с задними нижними мозжечковыми артериями с обеих сторон, блокируя апертуру выхода из 4-го желудочка. Миндалики разведены, микрохирургически отделены от стволовых артерий и продолговатого мозга, после чего выполнена их субпиальная резекция с обеих сторон вплоть до задней поверхности продолговатого мозга. После резекции миндалик разблокирован 4 желудочек, получен свободный ток ликвора, большая цистерна полностью освобождена. При ревизии отверстия выхода IV желудочка отмечено восстановление ликвородинамики. Ствол мозга и верхнешейные сегменты спинного мозга без видимых патологических изменений. Гемостаз на поверхности резецированных миндалик выполнен диатермией на цифрах АД 120/70 мм.рт.ст. С помощью аутотрансплантата широкой фасции бедра, размером 5,0х4,0 см, произведена широкая пластика дуральной воронки с увеличением ее окружности минимум до 3-4 см (трансплантат вшит по периметру ТМО отдельными частыми узловыми атравматическими швами викрил 5.0). Визуально ликвореи по краям шва нет. Края швов герметезированы биологическим клеем. Этапный гемостаз. Рана ушита послойно наглухо. Наложена асептическая повязка. Кровопотеря минимальная.
Оперировал: руководитель отделения нейрохирургии, нейрохирург, д.м.н. К.Г. Айрапетов.
Течение послеоперационного периода гладкое, без осложнений. Больная выписана из отделения в удовлетворительном состоянии на 12-е сутки после операции, с существенным улучшением под наблюдение невролога.
МРТ-контроль краниовертебрального перехода и верхнешейного отдела позвоночника у данной больной спустя 8 месяцев после операции (отмечается расширение большой цистерны мозга и уменьшение сирингомиелитической кисты верхнешейного отдела спинного мозга):

Состояние больной при осмотре спустя 8 месяцев после операции удовлетворительное, больная была госпитализирована повторно для курса нейрореабилитации.
Случай опухоли краниовертебрального перехода, скрывающейся за диагнозом шейного остеохондроза
Болезненность появилась около трёх месяцев назад без видимых причин, ранее боли в шее не беспокоили. Первоначально обратился в местную больницу. Врачом было назначено МРТ головного мозга и шейного отдела позвоночника. МРТ головного мозга выявила признаки изменений вещества головного мозга дисциркуляторного характера и атрофические изменения больших полушарий мозга. На МРТ шейного отдела позвоночника выявлены признаки остеохондроза, грыжи дисков С4-С5, С5-С6, С6-С7, относительный стеноз позвоночного канала на уровне С2-Th1, спондилёз С2-С7 и спондилоартроз С3-С7. В связи с обнаруженными изменениями было проведено стандартное лечение, которое включало приём НПВС, витамины группы В, физиотерапию, массаж и даже мануальную терапию. Несмотря на лечение боли не уменьшились и даже усилились, что и заставило мужчину обратиться в клинику.
Туберкулёз, гепатит, аллергические заболевания отрицает. Наследственность не отягощена. В семье длительной головной болью никто не страдал.
Обследование
При осмотре обращало на себя внимание анталгическая установка головы (т. е. поза, при которой боли в шее были минимальны) и резкие болезненные ощущения при поворотах головы в стороны и запрокидывании её назад. Симптом Спурлинга положительный. Шейные паравертебральные точки болезненны в верхнешейных сегментах, значительно болезненны затылочные точки. Чувствительность сохранена. В двигательной сфере также изменений выявлено не было. Сухожильные рефлексы умеренно живые, без чёткой разницы сторон. Статика и координация в норме. Функции тазовых органов не нарушены.
При сопоставлении данных клинического обследования с ранее полученной МРТ-картиной были выявлены некоторые несоответствия. В частности, на МРТ шейного отдела наибольшие изменения в виде грыж дисков С4-С7 касались средне- и нижнешейного отделов позвоночника, в то время как болевые ощущения локализовались в ином месте — в зоне иннервации С1-С2 корешков. Кроме того, настораживала резкая болезненность при поворотах головы в стороны и запрокидывании её назад. Пациенту было предложено целенаправленно пройти компьютерную томографию краниовертебрального перехода. Заключение: КТ-признаки объёмного образования основания черепа с деструкцией ската и мыщелка затылочной кости справа.
Диагноз
Опухоль неуточнённой локализации. Вторичная цервикокраниалгия. Сопутствующий диагноз: шейный остеохондроз.
Лечение
В связи с выраженным болевым синдромом было назначено симптоматическое лечение: воротник Шанца, приём габапентина, наклеивание пластыря "Версатис" на область локализации боли. Также пациент направлен на консультацию к нейрохирургу. В НИИ нейрохирургии РАМН выполнена биопсия образования. Гистологически выявлена аденокарцинома (железистый рак) с множественными метастазами (в т. ч. краниовертебральной локализации). Далее онкологами был проведён поиск первичной опухоли, однако её обнаружить не удалось.
Заключение
Данный случай показывает, насколько важно проводить дополнительное целенаправленное обследование (например, КТ краниовертебрального перехода) при несоответствии клинических проявлений и уровня поражённых остеохондрозом дисков. Также необходимо помнить, что причиной болей в шее (и спине) могут быть не только дегенеративные заболевания позвоночника (как остеохондроз), но и другие, менее частые, но не менее важные причины.
Опухоль спинного мозга - симптомы и лечение
Что такое опухоль спинного мозга? Причины возникновения, диагностику и методы лечения разберем в статье доктора Ярикова Антона Викторовича, нейрохирурга со стажем в 10 лет.
Над статьей доктора Ярикова Антона Викторовича работали литературный редактор Вера Васина , научный редактор Сергей Федосов и шеф-редактор Лада Родчанина
Определение болезни. Причины заболевания
Опухоли спинного мозга — это первичные и вторичные новообразования в спинном мозге и окружающих его тканях [1] .
Первичные (интрамедуллярные) опухоли, как правило, доброкачественные, а вторичные (экстрамедуллярные) — метастатические, т. е. злокачественные [14] . Первичные опухоли растут из клеток спинного мозга, его оболочек или корешков. Вторичные — это метастазы опухолей, возникших в других частях тела, поэтому они всегда злокачественные.

Распространённость
Опухоли спинного мозга чаще выявляются в возрасте 30-50 лет. За год диагноз ставят в 1-1,3 случаях на 100 000 населения [2] .
Опухоли спинного мозга составляют 10-15 % опухолей ЦНС. Среди них:
- поражение шейного отдела спинного мозга (19-37 %);
- грудного отдела (27-47 %);
- пояснично-крестцового отдела (23-33 %);
- конского хвоста и терминальной нити (11 %) [3][4] .
Более 80 % опухолей спинного мозга развиваются из его оболочек, сосудов, эпидуральной клетчатки и нервных корешков. И только 15-20 % случаев составляют интрамедуллярные опухоли, которые растут внутри ткани спинного мозга.
Факторы риска
Достоверные причины появления опухолей спинного мозга до сих пор неизвестны. В качестве факторов риска выступают [1] [4] :
- генетическая предрасположенность;
- воздействие канцерогенных веществ (нефтепродуктов, красителей);
- лимфома (злокачественная опухоль лимфатической системы);
- болезнь Гиппеля — Ландау (наследственный опухолевый синдром, предполагающий развитие доброкачественных и злокачественных новообразований);
- нейрофиброматоз II типа (генетическое заболевание, при котором образуются множественные доброкачественные опухоли, преимущественно шванномы и менингиомы в ЦНС и по ходу периферических нервов);
- неблагоприятные экологические условия (радиация, химические загрязнения);
- нездоровый образ жизни (алкоголизм, курение, неправильное питание);
- низкий иммунитет;
- регулярный стресс;
- избыточное пребывание на солнце;
- воздействие высоковольтных линий (согласно последним исследованиям, связь между влиянием линий электропередач и развитием опухолей не выявлена [15][18] — Прим. ред.).
При обнаружении схожих симптомов проконсультируйтесь у врача. Не занимайтесь самолечением - это опасно для вашего здоровья!
Симптомы опухоли спинного мозга
- Болевой синдром. Самая частая жалоба — это боль. Изначально она возникает на том уровне позвоночника, где образовалась опухоль. На ранней стадии боль бывает разной интенсивности, но без выраженных неврологических расстройств. Поэтому многие пациенты лечатся от других болезней: дегенеративно-дистрофического заболевания позвоночника, остеопороза, рассеянного склероза и обращаются к нейрохирургу с уже развившимся неврологическим дефицитом (сенсорными и моторными нарушениями). Боль усиливается при чихании, кашле, физических нагрузках, наклонах головы и в ночное время [5][6] .
- Двигательные нарушения. Следующая по частоте жалоба — мышечная слабость. Обычно появляется через некоторое время после чувствительных симптомов. Также встречаются: атрофия мышц, мышечные подёргивания и внезапное сокращение расслабленной мышцы [7] .
- Безболевые чувствительные нарушения. Выпадение поверхностной чувствительности при сохранении глубокой: восприимчивость к боли и температурным колебаниям снижается, но к лёгким прикосновениям остаётся на прежнем уровне [8] .
- Расстройства функции сфинктеров. Зачастую урогенитальных, реже — анальных. Распространены задержка или недержание мочи.
- Сколиоз или другая деформация позвоночника, возникшая из-за болей, двигательных нарушений и деструкции позвонков.
Новообразования спинного мозга нельзя обнаружить по внешним признакам. Визуально можно определить только опухоль в позвонках или рядом с ними.
Патогенез опухоли спинного мозга
Появление опухолей вызвано изменениями в генах, которые контролируют работу клеток, особенно их рост и деление. Генетические нарушения могут быть унаследованы от родителей или возникать в течение жизни из-за ошибок при делении клеток или из-за повреждения ДНК под воздействием окружающей среды [17] .

Доброкачественные и злокачественные образования
Опухоли делятся на доброкачественные и злокачественные. Большинство первичных новообразований, которые развиваются из спинного мозга, его оболочки и/или корешков, — доброкачественные. В отличие от злокачественных опухолей для них не характерна инвазия — способность клеток опухоли отделяться от неё и проникать в окружающие ткани. Как правило, инвазия — это первый этап сложного процесса, приводящего к появлению метастазов. Метастатическая опухоль содержит клетки, подобные клеткам первичной опухоли [1] . Когда клетки отрываются от раковой опухоли, они могут перемещаться в другие области тела через кровоток или лимфатическую систему. Оттуда они могут попасть в любой орган или ткань [15] .

В спинной мозг чаще метастазируют опухоли молочной железы (21 %), лёгких (19 %), простаты (7,5 %), почек (5 %), желудочно-кишечного тракта (4,5 %) и щитовидной железы (2,5 %) [16] .
Скорость роста опухоли зависит от типа ткани и расположения новообразования [1] . Симптомы развиваются быстро, если опухоль злокачественная.
Новообразование со временем увеличивается и давит на содержимое позвоночного канала. Сильная боль возникает при опухолях в области шейного отдела и конского хвоста. Боль может быть односторонней, когда опухоль развивается на боковой поверхности спинного мозга и сдавливает корешок; двусторонние боли в начале заболевания служат указанием на заднюю локализацию опухоли.
Опухоли задней поверхности спинного мозга вызывают утрату суставно-мышечного чувства и чувствительности к вибрации. Заднебоковая локализация опухоли проявляется болевым корешковым (радикулярным) синдромом, пониженной чувствительностью в этой области с последующим её полным выпадением.
По мере развития опухоли возникают и другие симптомы, которые указывают на сдавление спинного мозга. Синдром половинного поражения спинного мозга проявляется слабостью мышц с непроизвольными сокращениями, выпадением глубокой чувствительности (ощущения массы тела, вибрации, давления), нарушением способности понимать через прикосновения, что пишут или рисуют на коже (графестезия). Кроме того, притупляются болевые, температурные, реже тактильные ощущения в противоположной стороне тела.
Стадия парапареза (снижения мышечной силы) самая длительная, и неврологические симптомы в этом периоде зависят от локализации опухоли. Средняя продолжительность этой стадии - 2-3 года, при новообразованиях конского хвоста - до 10 и более лет [8] .
Классификация и стадии развития опухоли спинного мозга
Заболевание классифицируют по следующим признакам:
- расположения опухоли по отношению к спинному мозгу, оболочкам и позвоночнику;
- гистологическое строение (из клеток каких тканей состоит опухоль);
- уровень локализации [1][8] .
По происхождению опухоли делятся на две группы:
- первичные — развиваются из спинного мозга, его оболочки и/или корешков.
- вторичные — образуются вне спинного мозга и являются метастазами других опухолей [1] .
По локализации [4] :
- интрамедуллярные опухоли — формируются из клеток мозгового вещества и растут внутри спинного мозга;
- экстрамедуллярные опухоли могут быть экстрадуральными (располагаются над твёрдой мозговой оболочкой) и интрадуральными, или субдуральными (локализуются под твёрдой мозговой оболочкой).

По отношению к стороне спинного мозга [3] [4] :
- дорсальные (задние);
- дорсолатеральные (заднебоковые);
- латеральные (боковые);
- вентральные (передние).
- вентролатеральные (переднебоковые).
По топографической локализации [8] :
- шейного отдела;
- грудного отдела;
- поясничного отдела;
- крестцового отдела.
По гистологической характеристике [1] [8] :
- менингиома (из клеток оболочек головного и спинного мозга);
- невринома (из клеток, образующих миелиновую оболочку нервов);
- эпендимома (из клеток центрального канала спинного мозга);
- астроцитома (из вспомогательных клеток нервной ткани);
- олигодендроглиомы (из олигодендроцитов — клеток нейроглии);
- ганглиоглиома (из нейрональных клеток и глии);
- гемангиобластома (из капиллярных каналов);
- дермоид (из клеток соединительной ткани и эпителия);
- эпидермоид (из клеток кожи);
- медуллобластомы (из эмбриональных клеток);
- тератома (из гоноцитов — первичных половых клеток ); (из эндотелиальных клеток);
- глиобластома (из вспомогательных глиальных клеток);
- липома (из жировых клеток);
- субэпендимома (клетки эпителиальной мембраны, выстилающей центральный канал спинного мозга);
- метастазы (лимфома, саркома, рак лёгкого, предстательной железы, почек, меланома).
Cтадии развития заболевания представлены в таблице [8] :
| Стадии развития заболевания | Проявления |
|---|---|
| 1. Радикулярная | 1. Слабая по интенсивности боль в области спины. Пациент может 10—15 лет не обращается к нейрохирургу или неврологу, так как не подозревает о проблеме. |
| 2. Броун-Секаровская | 1. Спастический парез со стороны опухоли. 2. Выпадение глубокой чувствительности (чувства массы тела, давления и вибрации, мышечно-суставные расстройства). 3. Нарушение графестезии. 4. Притупление болевого, температурного и реже тактильного восприятия с противоположной стороны тела. |
| 3. Парапарез или паралич | 1. Функциональные нарушения вегетативной системы, органов таза. 2. Выраженные сенсомоторные расстройства. 3. Паралич конечностей — как временный, так и постоянный. 4. Если опухоль злокачественная, то паралич наступает в течение 3-4 месяцев. Длительность жизни составляет полгода-год. |
Осложнения опухоли спинного мозга
Заболевание может приводить к следующим осложнениям [1] [2] :
- нарушение движений, парезы и параличи;
- снижение моторной функции кишечника;
- инвалидность из-за потери трудоспособности;
- недержание или задержка кала или мочи;
- нарушения чувствительности;
- сильная боль, которую не удаётся устранить;
- озлокачествление опухоли;
- венозные тромбоэмболические осложнения из-за снижения мышечной силы и нехватки двигательной активности;
- воспалительные осложнения (пневмония, инфекции мочеполовой системы и другие);
- пролежни;
- сепсис;
- переломы позвонков (метастазы могут прорастать в тела позвонков и приводить к переломам).
Сирингомиелический синдром при опухоли
Сирингомиелией называют образование полостей в спинном мозге, наполненных жидкостью. Они могут возникать как осложнение опухолей — примерно в 30 % случаев новообразования спинного мозга приводят к их появлению [19] .
Полости сдавливают спинной мозг, при этом сначала поражаются нервные волокна, несущие в мозг информацию о температуре и боли. Затем повреждаются волокна, передающие сигналы из мозга к мышцам. В результате пациенты становятся менее чувствительны к температуре и боли, их руки и ноги слабеют.
Диагностика опухоли спинного мозга
Когда следует обращаться к врачу
К доктору нужно обратиться при появлении первых симптомов: боли в спине, мышечной слабости и нарушении чувствительности.
Обследование и постановка диагноза
Диагностика опухоли спинного мозга проходит в несколько этапов:
1. Сбор анамнеза и жалоб. Уточняется начало развития заболевания, наличие болевого синдрома и неврологического дефицита, сроков его возникновения. Оценивают влияние клинических проявлений на качество жизни больного. Подробно собирается информация о сопутствующих патологиях [1] .
2. Неврологическое исследование. Проверяется чувствительность частей тела, рефлексы, уровень мышечной силы. Оценивают неврологические нарушения и общее состояние по следующим шкалам: ASIA, Frankel, Klekamp — Samii, Brice, MacKissock, EGOS и Karnofsky [9] [10] .
3. Магнитно-резонансная томография (МРТ) с контрастным усилением. На данный момент это основной метод диагностики новообразований спинного мозга. МРТ позволяет визуализировать весь спинной мозг и позвоночник и определить локализацию опухоли. Накопление контрастного вещества определяет не только распространение, но и гистологическую структуру опухоли [5] [6] .

4. КТ-миелография. Применяют для выявления границ опухоли. Метод заключается в контрастировании субарахноидального пространства (полости со спинномозговой жидкостью между мягкой и паутинной оболочками спинного мозга) водорастворимыми веществами. В комбинации с МРТ или КТ позволяет значительно улучшить диагностику опухолей спинного мозга, особенно в окружающих его тканях.
5. Диффузионно-взвешенная МРТ. Позволяет оценить состояние опухолевой ткани путём мониторинга движения свободных молекул воды на клеточном уровне [5] [6] [10] .
6. Диффузионно-тензорная МРТ. Это разновидность диффузионно-взвешенной МРТ, которая позволяет визуализировать проводящие пути спинного мозга [11] [12] .
7. Сцинтиграфия. В организм вводят радиоактивные изотопы и по излучению от них получают двумерное изображение. Методом определяют распространение опухоли и количество метастатических очагов [9] .
8. Прямая ангиография. Рентгенологическая методика с введением контрастного вещества. Показана в редких случаях, в основном при подозрении на артериовенозную мальформацию спинного мозга [1] .
Дифференциальную диагностику проводят с рассеянным склерозом, спинальным лептоменингитом, миелитом, миелопатией, сирингомиелией, нейросифилисом, спинальным инсультом [3] .
Лечение опухоли спинного мозга
Диагноз "опухоль спинного мозга" зачастую предполагает нейрохирургическое вмешательство. Если пациент находится в тяжёлом соматическом, то хирургическое лечение противопоказано.
Операция
Она состоит двух этапов:
Нейрохирург, оперируя опухоль, стремится устранить сдавление спинного мозга, полностью удалить новообразование и, по возможности, избежать развития нового неврологического дефицита. Основные цели оперативного лечения:
- повысить уровень качества жизни;
- устранить болевой синдром;
- уменьшить неврологические симптомы;
- сократить период стационарного лечения.
За последние два десятилетия с развитием микронейрохирургической техники, интраоперационной нейровизуализации и нейронавигации хирургическое лечение опухолей спинного мозга стало значительно эффективнее [7] [13] . Нейрофизиологический мониторинг при удалении опухоли позволяет наблюдать за областями проводящих путей. Интраоперационное ультразвуковое сканирование даёт возможность проводить вскрытие твёрдой мозговой оболочки точно над опухолью. Ультразвуковая интраоперационная визуализация помогает спланировать вскрытие твёрдой мозговой оболочки и уточнить доступ в зависимости от расположения опухоли и её размера [7] [10] .

Интраоперационная мультиспиральная КТ позволяет чётко определить уровень расположения опухоли, уменьшить объём рассечения мягких тканей и костной резекции и снизить риск осложнений. Применение интраоперационного КТ и навигационной системы обеспечивает снижение лучевой нагрузки на медицинский персонал и пациента [13] .
Лучевая терапия и химиотерапия
При злокачественных опухолях кроме хирургического лечения больному назначают лучевую терапию и химиотерапию. Влияние химиотерапии на прогноз и результаты лечения на сегодняшний день не доказаны. Лучевую терапию проводят в том числе с помощью стереотаксической радиотерапии — высокоточной лучевой терапии. [9] . В этом случае лечение проводят нейрохирурги вместе с онкологами. При некоторых метастатических опухолях прибегают к гормональной терапии.
На настоящий момент лучевую терапию при опухолях спинного мозга не рассматривают в качестве первичного лечебного воздействия из-за её низкой продуктивности.
Стереотаксическая радиотерапия. Этот способ считается лучшим из всех известных медицине на сегодняшний день. Радиотерапию назначают пациентам, опухоли которых неоперабельны. Суть лечения в том, чтобы целенаправленным потоком гамма-излучения вызвать разрушение опухоли, не затрагивая при этом здоровые клетки.

Прогноз. Профилактика
Прогноз зависит от возраста пациента, уровня неврологического дефицита, размеров опухоли, степени повреждения спинного мозга и разрушения позвоночника [1] [8] . При своевременном удалении экстрамедуллярной опухоли пациент может полностью восстановиться. При интрамедуллярных опухолях прогноз значительно хуже, полное выздоровление не происходит. Прогноз неблагоприятен при метастазах. При неоперабельной злокачественной опухоли пациенту присваивают I группу инвалидности бессрочно.
Реабилитация после удаления опухоли
После удаления опухоли пациенту необходима реабилитация, чтобы восстановиться как на физическом, так и на психологическом уровне. Для реабилитации назначаются лечебная физкультура, корсетотерапия и психологическая помощь, пациент учится ходить заново.

Профилактика
Для профилактики заболевания, начиная с раннего возраста, следует соблюдать основные правила:
ФГБНУ «НИИ нейрохирургии им. акад. Н.Н. Бурденко», Москва, Россия
ФГБУ "НИИ нейрохирургии им. акад. Н.Н. Бурденко" РАМН, Москва
Злокачественная опухоль оболочек периферических нервов, развившаяся из слухового нерва: случай из практики и обзор литературы
Журнал: Журнал «Вопросы нейрохирургии» имени Н.Н. Бурденко. 2017;81(4): 95‑100
НИИ нейрохирургии им. акад. Н.Н. Бурденко РАМН, Москва
Авторами представлен редкий случай наблюдения пациентки со злокачественной опухолью периферического нерва, развившейся из слухо-вестибулярного нерва, а также обзор литературы, включающий 30 известных случаев данной патологии.
ФГАУ «НИИ нейрохирургии им. акад. Н.Н. Бурденко» Минздрава России, Москва, Россия
Список сокращений:
MPNST — злокачественная опухоль оболочек периферических нервов
МРТ — магнитно-резонансная томография
КТ — компьютерная томография
Злокачественная опухоль оболочек периферических нервов — malignant peripheral nerve sheath tumor (MPNST) относится к редкой и гетерогенной группе мезенхимальных злокачественных новообразований, рассматриваемых в большинстве публикаций как саркоматозный процесс. Эта группа опухолей составляет 5—10% всех сарком мягких тканей, с примерной частотой встречаемости 1 человек на 1 млн населения в год [1—4].
Последняя редакция морфологической классификации ВОЗ определяет два подтипа злокачественных опухолей оболочки периферического нерва: эпителиоидная MPNST и MPNST с периневральной дифференциацией, которые признаются достаточно различными по клиническому течению. Другие подтипы MPNST, такие как опухоль Тритона, железистая MPNST и др., которые ранее рассматривались отдельно, в настоящее время расцениваются как гистологические варианты [5]. MPNST могут развиваться как первично из клеток оболочки периферического нерва, так и при малигнизации нейрофибром и шванном [3]. Большинство MPNST развивается в толще мягких тканей из проксимальных частей периферических нервов верхних и нижних конечностей. Наиболее часто поражаются седалищные нервы, плечевое сплетение, крестцовое сплетение. Черепные нервы являются источником роста опухоли в менее чем 5% случаев [3, 6, 7]. Из интракраниальных MPNST чаще поражаются лицевой и слуховой нервы [2, 4]. На 1041 вестибулярную шванному приходится 1 случай MPNST слухового нерва [1]. До 50% MPNST развиваются у пациентов с нейрофиброматозом [8, 9].
Стоит отметить, что литературы по интракраниальным MPNST, в частности по опухолям, происходящим из акустико-фациальной группы нервов, крайне мало. В основном публикации представляют «случай из практики», и лишь в единичных работах анализируются серии наблюдений [1, 4].
Основными факторами риска возникновения MPNST являются нейрофиброматоз 1-го типа и предшествующее радиологическое лечение. В 8—13% случаев у пациентов с НФ 1-го типа в течение жизни развивается MPNST [10]. Большинство источников литературы [8, 9] представляют случаи малигнизации доброкачественных неврином или нейрофибром. Риск трансформации вестибулярной шванномы в MPNST после проведения радиологического лечения составляет от 1/500 до 1/2000 случаев [11—13]. В единичных исследованиях [4, 13—15] сообщается о развитии MPNST без предшествующего лучевого лечения.
Дифференциальный диагноз MPNST включает невриному, параганглиому, гемангиому, эпендимому, ангиолипому, солитарную фиброзную опухоль, лимфому, гемангиоперицитому, каверному, атипичную или анапластическую менингиому, бифросаркому, синовиальную саркому, меланому.
Метастазирование MPNST осуществляется как гематогенным путем, так и с током ликвора [6].
Лечение пациентов с данной патологией включает в первую очередь хирургическое удаление опухоли. Цель хирургического вмешательства — тотальное удаление, но и оно не предотвращает рецидива. В большинстве случаев радикальное удаление выполнить не удается ввиду инфильтративного роста опухоли. Радикальность в этом случае приводит к грубой инвалидизации или летальному исходу. Оперативное лечение необходимо дополнять лучевой терапией. Применение химиотерапии и ее эффективность оспариваются частью специалистов [1, 6].
Наиболее современное исследование, посвященное MPNST, представляет анализ 24 случаев MPNST слухового нерва, возникших без предшествующего хирургического и лучевого лечения [1]. Распределение пациентов по полу в серии наблюдений было равнозначное. Средний возраст пациентов на момент установления диагноза составил 44 года, что было примерно на 10 лет меньше, чем при спорадической вестибулярной шванноме [1, 16]. В клинической картине заболевания, помимо кохлеовестибулярного синдрома, выявлялся паралич лицевого нерва. По данным нейровизуализации определялись такие признаки, как нечеткость границ опухоли, отек ствола головного мозга, полости распада в опухоли [1].
Прогноз у пациентов с MPNST крайне неблагоприятный. Медиана продолжительности жизни с момента установления диагноза составляет 3 мес. Наиболее значимыми факторами, влияющими на эффективность лечения, признаются тотальное удаление, радиотерапевтическое лечение, женский пол [17].
Клиническое наблюдение
Пациентка К., 19 лет, поступила 02.03.16 в ННПЦН им. акад. Н.Н. Бурденко с жалобами на головокружения, боль в лице и области уха, слабость лицевой мускулатуры, сильную головную боль, тошноту и рвоту, двоение предметов перед глазами, онемение на лице.
Появление первых симптомов — сильной стреляющей боли в правом ухе и головокружений — отмечено 17.11.15 на фоне острой респираторной инфекции. Через 3 дня присоединилась сильная головная боль с тошнотой, рвотой, стал быстро снижаться слух на правое ухо. Впервые выполненная МРТ головного мозга 27.11.15 показала изменения в области правого внутреннего слухового прохода.
В результате выполненной 02.12.15 МРТ головного мозга с контрастным усилением, показавшей наличие интраканальной опухоли, распространяющейся в сторону мостомозжечковой цистерны, заподозрена невринома слухового нерва. Было принято решение проводить динамическое наблюдение. Однако 14.12.15 остро развилась слабость лицевой мускулатуры, стала нарастать интенсивность головокружений. Внепланово была выполнена контрольная МРТ головного мозга 13.01.16, где отмечалось увеличение экстраканальной части опухоли почти в 2 раза. В течение подготовки к хирургическому лечению отмечалось значительное ухудшение состояния: нарастание статодинамических нарушений, увеличение выраженности симптоматики со стороны правого мостомозжечкового угла, появление бульбарных нарушений, выраженных общемозговых симптомов. По МРТ головного мозга от 22.02.16 отмечалась прогрессия экстраканальной части опухоли до 3 см. На фоне терапии глюкокортикоидами, обезболивающими и противорвотными препаратами состояние пациентки стабилизировалось.
Пациентка поступила в ННПЦН им. акад. Н.Н. Бурденко в тяжелом состоянии. В клинической картине заболевания выявлялась развернутая симптоматика поражения правого мостомозжечкового угла в виде недостаточности тройничного, лицевого (паралич лицевой мускулатуры справа), слухового (глухота) нервов, бульбарных нарушений, правосторонней гемиатаксии. Также выявлялась выраженная общемозговая симптоматика, представленная головной болью, тошнотой и рвотой, локальными болями в области уха.
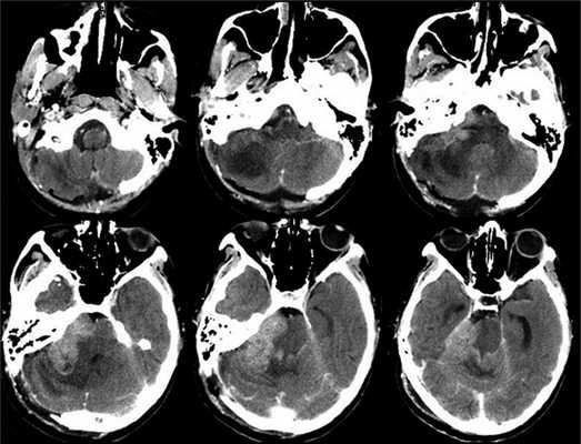
Учитывая темп развития симптомов, был заподозрен злокачественный характер опухоли. В день поступления (02.03.16) пациентке выполнена МРТ головного мозга и спинного мозга с контрастным усилением. Была выявлена диссеминация процесса с появлением опухоли в левом внутреннем слуховом проходе, множественных очагов патологического накопления контрастного вещества оболочек спинного мозга. Динамика распространения первичного очага и метастазирование представлены на рис. 1 и 2.

Рис 2. МРТ от 02.03.2016 - метастазирование опухоли по оболочкам спинного мозга (указаны стрелками).
Учитывая распространенность патологического процесса, низкий уровень статуса по шкале Карновского (40 баллов), было принято решение о паллиативной операции — расширенной декомпрессии задней черепной ямки от правого сигмовидного синуса до середины левой гемисферы мозжечка и краниовертебрального перехода, частичном удалении опухоли с экспансивной пластикой твердой мозговой оболочки.

Рис. 3. Рис 3. КТ головного мозга, выполненная на 6-е сутки после операции. Признаки быстрого продолженного роста опухоли.
Таким образом, от появления симптомов до выявления опухоли на МРТ головного мозга прошло 10 дней, а длительность заболевания до летального исхода составила 136 дней.
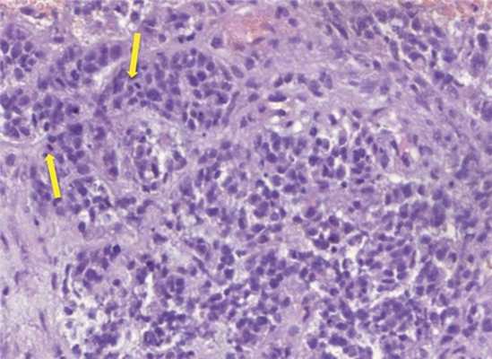
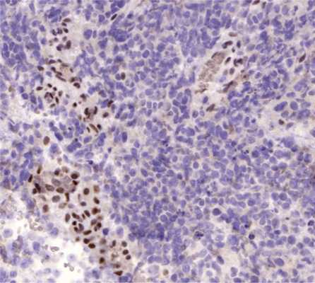
Морфологическое исследование выявило злокачественную опухоль с кровоизлияниями и некрозами. Опухоль состояла из биполярных клеток с удлиненными отростками и овальными полиморфными ядрами, клетки местами формировали альвеолярные структуры. Фигуры митозов были видимы даже при относительно небольшом увеличении (рис. 4). Иммуногистохимическое исследование выявило: положительную экспрессию эпителиальных маркеров — цитокератина АЕ1/3 (+++) и эпителиального мембранного антигена EMA (++), гладкомышечного актина SMA (++), синаптофизина syn (+) в опухолевых клетках; экспрессию CD34 (+) в эндотелии сосудов. Экспрессии S100, глиофибриллярного кислого белка GFAP, общего лейкоцитарного антигена CD45 в опухолевых клетках не выявлено. Также в опухолевых клетках отсутствовала экспрессия INI1 при сохранной экспрессии антитела в эндотелии сосудов (рис. 5). Индекс мечения пролиферативного маркера Ki-67 — более 90% (рис. 6). Проводился дифференциальный диагноз между атипической тератоидно-рабдоидной опухолью, эпителиоидной саркомой, эпителиоидной злокачественной опухолью оболочек периферического нерва. Заключение: учитывая возраст, характер роста и распространение опухоли, иммуногистохимические данные более соответствуют диагнозу «эпителиоидная злокачественная опухоль периферического нерва (WHO grade IV)». Аутопсия не производилась.

Рис. 4. Гистологический препарат опухоли. Окраска гематоксилином и эозином, увеличение Х300. Альвеолярные структуры и митозы (указаны стрелками).

Рис. 5. Гистологический препарат опухоли. Иммуногистохимическое исследование, увеличение Х300. Отсутствие экспрессии INI1 в ядрах опухолевых клеток при сохранной экспрессии в эндотелии сосудов (внутренний контроль корректной работы антитела).

Рис. 6. Гистологический препарат опухоли. Иммуногистохимическое исследование, увеличение Х200. Высокий индекс мечения пролиферативного маркера Ki-67.
MPNST являются малоизученными опухолями, что связано с низкой частотой встречаемости (очень редко встречается MPNST слухо-вестибулярного нерва) и крайне неблагоприятным исходом. Выраженность симптоматики уже на ранних стадиях заболевания зачастую помогает диагностировать опухоль, когда она небольших размеров. Дифференциальный диагноз, в частности с невриномой слухового нерва, создает трудности в планировании оперативного лечения. К моменту операции пациенты имеют опухоли большого размера и признаки метастазирования по центральной нервной системе. Оперативное лечение на ранних этапах при условии радикального удаления и проведения последующей лучевой терапии увеличивает продолжительность жизни от 1 года до 3 лет. При отсутствии оперативного лечения в среднем через 3 мес после начала заболевания наступает летальный исход. Применение химиотерапии в настоящее время оспаривается.
MPNST, развивающаяся из VIII пары черепных нервов, является редкой опухолью, представляющей большие трудности в хирургическом удалении и последующем адъювантном лечении. Отсутствие хирургического лечения приводит к летальному исходу в короткие сроки. Даже тотальное удаление опухоли не предотвращает развития рецидива. Прогноз заболевания неблагоприятный.
Авторы заявляют об отсутствии конфликта интересов.
Комментарий
МРТ краниовертебрального перехода что показывает
Краниовертебральный переход − это место соединения черепа с шейным отделом позвоночника. МРТ краниовертебрального перехода делают с целью изучения всех его структур:
- костей;
- суставов;
- связок;
- сосудов;
- мышц и жировой клетчатки;
- спинного и продолговатого мозга, мозжечка.

Область краниовертебрального перехода: C1 − первый шейный позвонок (атлант), C2 − второй шейный позвонок (аксис).
Кости, относящиеся к данной анатомической области:
- затылочная;
- первый шейный позвонок (атлант);
- второй шейный позвонок (аксис).
Атланто-затылочный сустав является бездисковым и обеспечивает кивательные и незначительные боковые движения головы.
Соединение атланта и аксиса формируется тремя мелкими бездисковыми суставами и дает возможность совершать вращательные движения головой. Стабилизируют эти сочленения связки и мышцы. Внутри позвонков расположен костный канал, в котором проходит сосудисто-нервный пучок.
Патологии этой области имеют очень разнообразные симптомы, а внедрение МРТ-диагностики позволяет четко определить причину проблемы. Данный метод − единственный способ четко визуализировать связочный аппарат.
Аномалии краниовертебрального перехода
Врожденные появляются при воздействии на плод в период его развития неблагоприятных факторов или генетических отклонений.
Приобретенные могут появиться в результате:
- травм (иногда родовых);
- аутоиммунных процессов (ревматоидный артрит, болезнь Бехтерева);
- дегенеративных заболеваний (остеопороз, артроз);
- инфекционных заболеваний (остеомиелит, туберкулез);
- опухолей и метастазов.

Опухоль краниовертебральной области (обозначена стрелкой)
Платибазия
Достаточно частая аномалия, характеризующаяся уплощением основания черепа. Может быть врожденной или приобретенной в результате рахита, остеопороза, длительной внутричерепной гипертензии в раннем возрасте и других причин.
Платибазия I и II степени определяется только на МРТ и может не иметь клинических проявлений. При III степени уменьшается объем задней черепной ямки и появляются неврологические симптомы:
- распирающие головные боли;
- тошнота, рвота;
- боль в глазных яблоках;
- колебания артериального давления;
- приливы жара и холода.
Базилярная импрессия
Часто сочетается с платибазией. Это выпячивание зубовидного отростка аксиса в большое затылочное отверстие, что приводит к сдавлению нервов, сосудов, нарушению оттока спинномозговой жидкости. Проявляться может только к 15 − 25 годам.
Ее клинические проявления:
- онемение конечностей, нарушение координации;
- затруднение глотания;
- боль в шее и затылке, особенно при поворотах головы;
- глазодвигательные нарушения;
- изменение чувствительности кожи лица;
- снижение слуха;
- осиплость голоса.
Данная аномалия бывает как врожденной, так и приобретенной на фоне таких заболеваний, как остеопороз, болезнь Педжета, остеомиелит, гиперпаратиреоз, опухоли.

На МРТ краниовертебрального перехода − платибазия и базилярная импрессия при несовершенном остеогенезе
Ассимиляция атланта
Врожденная аномалия − сращение первого шейного позвонка с затылочной костью. Это может приводить к компрессии спинного мозга и ущемлению продолговатого мозга. Кроме того, данное состояние приводит к развитию патологической подвижности в нижней части шейного отдела позвоночника и перегрузке межпозвонковых дисков, вызывая их дегенерацию.
Для данного заболевания характерно длительное бессимптомное течение и манифестация в зрелом возрасте, когда снижаются компенсаторные возможности нервной ткани. Наиболее частые проявления ассимиляции атланта:
- скачки артериального давления;
- нарушения сна;
- приступы головной боли;
- гипертонус мышц шеи;
- расстройства речи, осиплость голоса;
- тошнота, потливость, тахикардия;
- затруднение глотания, поперхивание во время еды;
- тугоухость, головокружение.
У детей эта аномалия обычно диагностируется не ранее 9 − 10 лет.
МРТ-диагностика позволяет дифференцировать ассимиляцию атланта от рассеянного склероза, остеохондроза, арахноидита, абсцесса и опухоли.
Атланто-аксиальная дислокация
Это нарушение соотношения между первым и вторым шейным позвонками. Чаще всего − это смещение атланта вперед по отношению к аксису.
Не является самостоятельным заболеванием, а появляется как следствие травм и некоторых патологий (ревматоидное поражение, несовершенный остеогенез, болезнь Марфана, травмы).
На КТ и рентгенографии за счет наложения других костных структур (сосцевидный отросток, нижняя челюсть) диагностика может быть неверной, поэтому вывихи часто диагностируют спустя несколько лет после травмы. За это время позвонки жестко фиксируются в неправильном положении, что делает невозможным их безоперационное вправление.
Для выбора тактики лечения важна следующая классификация:
- Нестабильная (вывих атланта).
- Стабильная (застарелый вывих):
- без компрессии спинного мозга;
- с компрессией спинного мозга.
При данной патологии принципиально важно оценить состояние связочного аппарата, что позволяет сделать только магнитно-резонансная томография.
Аномалия Арнольда-Киари
Это врожденный порок развития, при котором мозжечок и продолговатый мозг расположены атипично (в позвоночном канале).
До появления метода МРТ диагностика данной патологии вызывала большие затруднения, так как другие способы лучевой диагностики не дают четкой визуализации этих структур. В 80% случаев аномалия Арнольда-Киари сочетается с сирингомиелией (множественные кисты в спинном мозге), которая тоже диагностируется только на МРТ.
МРТ краниовертебрального перехода, как делают
Во время процедуры пациент лежит на кушетке, расположенной внутри магнитного контура. Для получения качественных снимков необходимо сохранять неподвижное положение тела. Контакт с врачом поддерживается по специальной аудиосвязи. Томография длится около 15 минут и переносится очень комфортно. Перед процедурой нужно будет снять все металлические украшения и детали одежды, выложить банковские и другие магнитные карты. После окончания сканирования врач делает описание снимков в течение 20 минут, а получить результаты можно в любом удобном формате.
Показания и противопоказания к МРТ краниовертебрального перехода
Жалобы пациентов, имеющих патологию этой области могут быть очень разнообразны. В некоторых случаях возможно бессимптомное течение, клинические признаки могут проявиться в зрелом возрасте после травмы или инфекционного заболевания, сопровождающегося сильным кашлем.
У детей можно предположить краниовертебральную аномалию при наличии:
- неправильной посадки головы;
- ограничении подвижности в шейном отделе позвоночника;
- врожденной кривошеи;
- низкой границе роста волос на затылке;
- неправильного прикуса;
- стридора (свистящего шумного дыхания) или других дыхательных расстройств.
Симптомы, при которых необходимо проведение МРТ краниовертебральной области у лиц любого возраста:
- приступообразные боли в шейно-затылочной области;
- атаксия − нарушение точности и ловкости движений при сохранении мышечной силы, отсутствие равновесия в положении стоя и при ходьбе;
- ухудшение слуха, головокружения;
- нарушения в работе глазодвигательных мышц, нистагм (неконтролируемые колебательные движения глазных яблок);
- повторные обмороки;
- транзиторные ишемические атаки;
- нарушение зрения при поворотах головы.
Не распознанные вовремя аномалии краниовертебральной зоны могут создавать высокий риск серьезных осложнений при любой легкой травме. В данном случае ранняя диагностика помогает избежать фатальных последствий.
Противопоказанием для проведения МРТ-диагностики являются:
- наличие ферромагнитных металлов в теле пациента;
- установленные кардиостимуляторы, инсулиновые помпы, слуховые импланты и сосудистые клипсы на артериях мозга;
- беременность в первом триместре;
- невозможность сохранять неподвижное положение в замкнутом пространстве в течение 15 минут;
- вес пациента более 130 кг.
Подготовка к МРТ краниовертебрального перехода
Нет необходимости проведения какой-либо особой подготовки. Непосредственно перед процедурой необходимо сообщить врачу существовании имплантов или инородных тел, предоставить результаты ранее проведенных исследований (при их наличии).
Расшифровка МРТ головного мозга с краниовертебральным переходом
Магнитно-резонансное обследование позволяет определить, есть ли компрессия ствола мозга и области его перехода в спинной мозг. В норме отверстие затылочной кости имеет достаточный диаметр для правильного положения сосудисто-нервных образований и свободной циркуляции спинномозговой жидкости.
При патологиях этой зоны возможно сужение спинномозгового канала, перегибы ствола мозга, приводящие к нарушению кровообращения и оттока спинномозговой жидкости.
После проведения процедуры сканирования, врач подробно описывает все анатомические структуры и обнаруженные отклонения. Получить снимки и заключение можно в любом удобном формате.
МРТ краниовертебрального перехода − наиболее надежная и безопасная диагностика при подозрении на патологию данной области.
Читайте также:
- Синдром Русси-Корниля (Roussy-Cornil)
- Регуляция женского месячного полового ритма. Женские половые гормоны
- Нарушение речи при мозговых дисплазиях и после прививок
- Причины otopathia interna. Нарушения слуха и вестибулярной функции при артериосклерозе
- Головокружение. Причины головокружения. Отогенное головокружение. Центральное головокружение.
