Случай развития синдрома Гийена Барре на фоне перенесенной коронавирусной инфекции
Добавил пользователь Владимир З. Обновлено: 30.10.2025
Ключевые слова: COVID-19, SARS-CoV-2, синдром Гийена — Барре, внутривенный иммуноглобулин, плазмообмен, антитела к ганглиозидам.
Guillain-Barré syndrome and COVID-19: clinical cases
S.A. Bondar, A.L. Maslyansky, A.Yu. Smirnova, M.A. Novozhilova, K.V. Simakov, S.N. Yanishevskiy, A.O. Konradi
V.A. Almazov National Medical Research Center, Saint Petersburg
Keywords: COVID-19, SARS-CoV-2, Gu illain-Barré syndrome, intravenous immunoglobulin, plasmapheresis, antibodies to gangliosides.
For citation: Bondar S.A., Maslyansky A.L., Smirnova A.Yu. et al. Guillain-Barré syndrome and COVID-19: clinical cases. RMJ. 2021;5:60-64.
Введение
В настоящее время СГБ трактуется как вариант постинфекционных аутоиммунных нейропатий. В большинстве случаев манифестации СГБ предшествует инфекция Campylobacter jejuni [3]. Цитомегаловирус, вирус Эпштейна — Барр, вирус Зика, вирус гепатита Е, вирус гриппа А, Mycoplasma pneumoniae также ассоциированы с СГБ [4]. У небольшого количества пациентов СГБ развивается после других провоцирующих событий, таких как вакцинация и операции [5, 6].
Согласно имеющимся экспериментальным и клиническим данным патогенез СГБ обусловлен не прямым невропатическим действием инфекционного агента, а иммунным ответом на предшествующую инфекцию с перекрестным реагированием с компонентами периферических нервов по механизму молекулярной мимикрии [4]. Иммунный ответ может быть направлен на миелин или аксоны периферических нервов, что приводит к демиелинизирующей и аксональной формам СГБ [3]. Вероятно, этот патогенез относится и к SARS-CoV-2-индуцированному СГБ, учитывая сроки развития данного состояния (обычно после 10-го дня от начала COVID-19) и отсутствие РНК возбудителя в ликворе пациентов [2].
Особенности иммунопатогенеза COVID-19 определяют риск развития на его фоне не только СГБ, но и таких аутоиммунных заболеваний и синдромов, как антифосфолипидный синдром, болезнь Кавасаки и иммунные цитопении [7]. Очевидно, что спектр возможных аутоиммунных ассоциаций СГБ в настоящее время окончательно не определен. По данным греческих исследователей, при обследовании небольшой когорты пациентов с COVID-19 тяжелого течения (29 пациентов), не имевших анамнестических указаний на аутоиммунную/ревматическую патологию, антинуклеарные антитела были обнаружены у 10 (34%) пациентов, антинейтрофильные цитоплазматические антитела — у 2 (7%, у одного из них в высоком титре), антикардиолипиновые антитела — 
у 10 (34%), антитела к циклическому цитруллинированному пептиду — у 1 (3%) пациента [8].
Для накопления данных о СГБ как одном из аутоиммунных проявлений COVID-19 приводим описание двух случаев заболевания у пациентов нашего стационара.
Клиническое наблюдение № 1
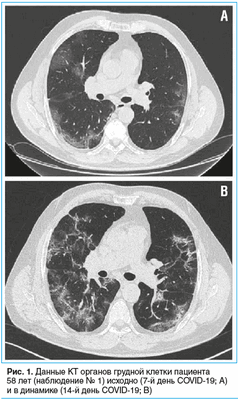
Пациент 58 лет был госпитализирован в инфекционное отделение с вероятным диагнозом COVID-19. За неделю до госпитализации возник сухой кашель, имело место повышение температуры тела до 38,0 °C. При компьютерной томографии (КТ) органов грудной клетки выявлены двусторонние интерстициальные изменения легочной ткани по типу матового стекла, поражение легочной ткани составило 68% (рис. 1А).

 
При поступлении: температура тела 38,8 °C, сатурация кислорода (SpO2) при дыхании комнатным воздухом 88%, частота дыхательных движений (ЧДД) 16 в минуту, частота сердечных сокращений (ЧСС) 104 в минуту, артериальное давление (АД) 130/80 мм рт. ст. Пациент не имел вредных привычек и сопутствующих заболеваний, за исключением ожирения (ИМТ 31,8 кг/м 2 ). Отмечались следующие клинически значимые отклонения в лабораторных показателях: повышение уровня нейтрофилов (6,35×10 9 /л, норма 2,0-5,8×10 9 /л), лимфоцитопения (0,56×10 9 /л, норма 1,2-3,2×10 9 /л) при нормальном уровне лейкоцитов (7,3×10 9 /л, норма 4,0-9,0×10 9 /л), повышение уровня фибриногена (7,3 г/л, норма 1,9-4,3 г/л), C-реактивного белка (СРБ) (127,2 мг/л, норма 0-5,0 мг/л), ферритина (689 нг/мл, норма 30-400 нг/мл).
Пациенту была назначена терапия азитромицином, гидроксихлорохином, дексаметазоном и эноксапарином натрия, проводилась кислородотерапия (при инсуффляции кислородом SpO2 95%). Диагноз COVID-19 был подтвержден положительным результатом исследования орофарингеального мазка на SARS-CoV-2, выполненного методом полимеразной цепной реакции в реальном времени (ПЦР-РВ). В последующем этиотропная терапия была заменена на лопинавир/ритонавир и интерферон β-1b в связи с развитием одышки, увеличением общего объема поражения легочной ткани до 80% и появлением свежих участков интерстициальных изменений в легких при повторной КТ органов грудной клетки (рис. 1B).
На 13-й день от манифестации COVID-19 у пациента впервые возникли неврологические симптомы: боль в нижней части спины, слабость в нижних конечностях. В течение последующих нескольких дней отмечалось прогрессирование мышечной слабости в нижних конечностях и ее появление в верхних конечностях, вплоть до невозможности самостоятельно сидеть и вставать; кроме того, возникла давящая боль в левой половине грудной клетки и наблюдалось периодическое повышение АД в пределах значений, соответствующих 1-й степени артериальной гипертонии. На ЭКГ отклонения от нормы не наблюдались, тропонин в сыворотке крови не обнаружен, что позволило исключить острый коронарный синдром. При лабораторном обследовании также был выявлен тромбоцитоз (572×10 9 /л, норма 150-400×10 9 /л), повышение уровня аланинаминотрансферазы (АлАТ) (88,1 Ед/л, норма 0,0-41,0 Ед/л), ферритина (1046 нг/мл), снижение содержания СРБ (16,3 мг/л).
При неврологическом осмотре выявлено: мышечная сила — 2 балла в нижних конечностях и 3 балла в верхних конечностях по 5-балльной шкале, глубокие рефлексы снижены, более выраженное снижение — в нижних конечностях. Исследование спинномозговой жидкости (СМЖ): цитоз 13×10 6 /л (норма 0,0-4,0×10 9 /л), белок 2,49 г/л (норма 0,15-0,45 г/л). Таким образом, учитывая прогрессирующую двигательную слабость восходящего характера с развитием тетрапареза, снижение глубоких сухожильных рефлексов, умеренный плеоцитоз и повышение уровня белка в СМЖ — диагностические критерии СГБ, был установлен диагноз [1]. В пользу диагноза СГБ также свидетельствовали симметричность поражений и наличие боли [2]. Было начато лечение внутривенным иммуноглобулином (ВВИГ) в дозе 0,4 г/кг в сутки в течение 5 дней.
На 3-й день от начала терапии ВВИГ появилась осиплость голоса без нарастания одышки, но улучшились значения лабораторных показателей: нормализация содержания CРБ (1,0 мг/л), повышение уровня лимфоцитов (1,02×10 9 /л). На КТ органов грудной клетки — положительная динамика в виде значительного снижения плотности, уменьшения протяженности изменений в легких с наличием линейных консолидаций преимущественно в задних отделах легких, объем поражения уменьшился до 65%. После завершения курса терапии ВВИГ у пациента появились галлюцинации, дезориентация в пространстве и времени, дестабилизация гемодинамики с тахикардией 130 уд/мин, снижением АД до 65/30 мм рт. ст., тахипноэ (ЧДД 38 в минуту) с SpO2 68%, хрипы в легких, макрогематурия. Была начата инвазивная вентиляция легких (ИВЛ), инотропная поддержка допамином, норэпинефрином.
Также отмечалась задержка мочи с развитием острого почечного повреждения (ОПП), соответствующего II стадии (повышение уровня креатинина сыворотки крови в 2,1 раза по сравнению с исходным уровнем в течение 7 дней, с 66 мкмоль/л до 141 мкмоль/л), со значительным повышением уровня мочевины (36,6 ммоль/л, норма 3,0-9,2 ммоль/л), гиперкалиемией (6,1 ммоль/л, норма 3,5-5,0 ммоль/л), гипонатриемией (127 ммоль/л, норма 135-150 ммоль/л). Отмечались значительный лейкоцитоз (45,9×10 9 /л) за счет нейтрофилов (41,6×10 9 /л) с повышением уровня прокальцитонина до 1,2 нг/мл (норма 0,0-0,5 нг/мл), лейкоцитурия (76 в п/зр, норма0-5 в п/зр) и бактериурия (бактерии сплошь в п/зр, норма 0-2 в п/зр). В связи с наличием бактериальной инфекции заподозрен сепсис. Оценка по шкале SOFA составила 6 баллов, что делало правомочным диагноз сепсиса. Была начата терапия меропенемом с дальнейшим добавлением фосфомицина.
На фоне антибактериальной, инфузионной, трансфузионной терапии отмечалось улучшение состояния пациента, регресс лейкоцитурии, частичное восстановление функции почек (креатинин 41 мкмоль/л, скорость клубочковой фильтрации 123 мл / мин / 1,73 м 2 , мочевина 4,4 ммоль/л при сохранении задержки мочи), были прекращены ИВЛ и инотропная поддержка.
С 22-го дня от манифестации СГБ — повышение мышечной силы, сначала мышц верхних конечностей, затем нижних. На 46-й день была выполнена электронейромиография (ЭНМГ) (табл. 1), полученные данные соответствовали критериям диффузного первично-демиелинизирующего поражения периферических нервов с вторичным аксональным повреждением [9].

 
Проводилось восстановительное лечение (лечебная гимнастика). На 46-й день мышечная сила в левой верхней конечности — 3 из 5 баллов (максимальное снижение за время заболевания до 2 баллов), в правой — 2 из 5 баллов (максимальное снижение до 2 баллов), в нижних конечностях — 1 из 5 баллов (максимальное снижение до 0 баллов).
Клиническое наблюдение № 2
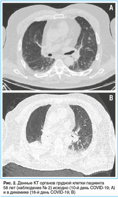
При поступлении: температура тела 36,5 °C, SpO2 при дыхании комнатным воздухом 97%, ЧДД 18 в минуту, ЧСС 100 в минуту, АД 140/80 мм рт. ст. ИМТ 38,1 кг/м 2 . Пациент имел в анамнезе артериальную гипертонию, принимал эналаприл. Неврологический осмотр: нарушение чувствительности по полиневритическому типу, сенситивная атаксия без изменений мышечной силы. На КТ органов грудной клетки определялись субплеврально расположенные участки интерстициальной инфильтрации по типу матового стекла, поражение легочной ткани составляло 15% (рис. 2А). РНК SARS-CoV-2 из материала орофарингеального мазка методом ПЦР-РВ не обнаружена.

 
В лабораторных показателях имелись следующие отклонения от нормальных значений: повышение уровней фибриногена (4,96 г/л), D-димера (1361,7 нг/мл), 
ферритина (1252 нг/мл), ИЛ-6 (95,4 пг/мл, норма 0,0-3,3 пг/мл), АлАТ (57,2 Ед/л, норма 0,0-41,0 Ед/л), аспартатаминотрансферазы (АсАТ) (48,3 Ед/л, норма 0,0-38,0 Ед/л), тромбоцитоз (465×10 9 /л). Начато лечение гидроксихлорохином, азитромицином, надропарином кальция.
На 5-й день от появления неврологических симптомов возникла слабость в нижних и верхних конечностях. Выявлено снижение мышечной силы как в верхних (4 из 5 баллов), так и в нижних (4 из 5 баллов) конечностях. При КТ головного мозга без внутривенного контрастирования патологических изменений не было за исключением умеренного расширения субарахноидальных пространств. Мышечная слабость быстро прогрессировала. На 7-й день мышечная сила в верхних и нижних конечностях составляла 1 из 5 баллов, глубокие рефлексы нижних и верхних конечностей были крайне слабыми, отсутствовали коленные и ахилловы рефлексы, выявлялось нарушение тактильной, болевой чувствительности по полиневритическому типу («перчатки» и «носки»), у пациента появилось ощущение неполного вдоха (SpO2 92% на фоне инсуффляции кислородом через носовые канюли со скоростью 10 л/мин). Выполнено исследование СМЖ: цитоз 10 6 /л, белок 0,82 г/л. Таким образом, с учетом прогрессирующей мышечной слабости с развитием тетрапареза, снижения глубоких сухожильных рефлексов, повышения содержания белка в СМЖ без плеоцитоза (альбумино-цитологическая диссоциация), был установлен диагноз СГБ. Антитела к ганглиозидам (GM1, GM2, GM3, GDa, GDb, GT1b, GQ1b) отсутствовали. Возможности проведения ЭНМГ с целью уточнения варианта заболевания не было.
В течение двух дней после постановки диагноза — снижение кашлевого, небного рефлексов, прогрессирование нарушения чувствительности до уровня коленных суставов, снижение мышечной силы до 0/5 баллов в нижних и верхних конечностях, отсутствие глубоких рефлексов на нижних конечностях, возникновение дизартрии, прогрессирование дыхательной недостаточности (SpO2 90% на фоне инсуффляции кислородом через носовые канюли со скоростью 8 л/мин в прон-позиции, ЧДД 26 в минуту). У пациента развилось ОПП, соответствующее III стадии (повышение уровня креатинина сыворотки крови в 4,6 раза по сравнению с исходным уровнем в течение 7 дней, с 82,4 мкмоль/л до 381,0 мкмоль/л), с повышением уровня мочевины до 15,2 ммоль/л. Отмечалось нарастание уровня фибриногена (5,9 г/л), ЛДГ (434,8 Ед/л, норма 135-225 Ед/л), ферритина (1975 мкг/л), снижение содержания ИЛ-6 (19,1 пг/мл), СРБ был незначительно повышен (7,0 мг/л). При исследовании газового состава артериальной крови выявлен метаболический ацидоз без респираторной компенсации: pH 7,24, HCO3 - 19,5 ммоль/л, pCO2 46,9 мм рт. ст.
Далее — резкое снижение SpO2 до 60%, дыхание Чейна — Стокса, дестабилизация гемодинамики (АД 70/50 мм рт. ст.). Потребовалось проведение ИВЛ, инотропной поддержки норэпинефрином. Было начато лечение СГБ плазмообменом. Оба метода лечения СГБ — ВВИГ и плазмообмен — были доступны, и для них не было противопоказаний. Однако, принимая во внимание значительное нарушение функции почек, в данной клинической ситуации предпочтительным казался плазмообмен (выполнено 5 сеансов).
Повторная КТ органов грудной клетки: ателектаз нижней доли правого легкого, положительная динамика в виде субтотального регресса двусторонней полисегментарной вирусной пневмонии (рис. 2B). В общем анализе крови — лейкоцитоз (22,8×10 9 /л), преимущественно за счет нейтрофилов (20,4×10 9 /л). Был диагностирован диффузный двусторонний эндобронхит, начата антибактериальная терапия эртапенемом. Неоднократно рецидивировала фебрильная лихорадка (40,0 °C), которую не удавалось снизить антипиретическими препаратами; для достижения управляемой нормотермии применялся аппарат Arctic Sun.
В обоих клинических наблюдениях имелись типичные проявления COVID-19: респираторные симптомы (одышка, сухой кашель), лимфоцитопения, интерстициальная пневмония с изменениями легочной ткани по типу матового стекла. Пациенты — мужчины 58 лет, что характерно для случаев СГБ, развившихся на фоне COVID-19 (преобладающий возраст больше 50 лет, средний возраст 58,7 года). Интервал от 5 до 13 дней от появления первых симптомов COVID-19 до манифестации СГБ схож с интервалом при СГБ, возникающем после других инфек-ций [2, 11]. На фоне симптомов СГБ определялся тромбоцитоз, вероятно, как реакция на инфекцию. У наших пациентов СГБ протекал более тяжело — им потребовалось проведение ИВЛ, у обоих развились сепсис и ОПП, приведшие к смерти одного из пациентов. В первом клиническом случае цитоз в СМЖ составлял более 5×10 6 /л, но менее 50×10 6 /л (13×10 6 /л), что редко встречается при СГБ как на фоне COVID-19 (6%), так и после других перенесенных инфекций (15%), но не исключает данного диагноза [12].
Антитела к ганглиозидам могут быть связаны с различными формами СГБ [3]. Однако лабораторное тестирование на антитела к ганглиозидам, отличным от GQ1b (ассоциированы с синдромом Миллера — Фишера, являющегося вариантом СГБ), обычно не проводится из-за ограниченной клинической применимости. Безусловно, столкнувшись с новым заболеванием, COVID-19, развитием на его фоне СГБ и неполным пониманием патогенеза обоих состояний, мы предположили, что продукция антител может отличаться от таковой в тех случаях, когда СГБ развивается после иных инфекций. Согласно данным J.B. Caress et al. [2] антитела к ганглиозидам отсутствовали у 15 из 17 пациентов. В нашем случае определение антител к ганглиозидам выполнялось одному пациенту и они не были обнаружены.
Заключение
Недостатком обследования наших пациентов является невыполнение ЭНМГ и определения антител к ганглиозидам у второго пациента, отсутствие исследования СМЖ на SARS-CoV-2 у обоих пациентов, что позволило нам установить точный вариант заболевания лишь у одного пациента и ограничило в понимании патогенеза СГБ при COVID-19. Однако представленные нами наблюдения будут вкладом в накопление данных и помогут при проведении дополнительных исследований.
Случай развития синдрома Гийена — Барре на фоне перенесённой коронавирусной инфекции
В мае 2021 года пациентка И. обратилась на станцию скорой медицинской помощи г. Владимира с жалобами на слабость и онемение ног и рук.
Жалобы
Женщина рассказала, что из-за слабости в мышцах не может нормально стоять, ходить и удерживать предметы в руках, например мобильный телефон или стакан воды. Также у пациентки дрожали руки и ноги и кружилась голова.
На фоне выраженной слабости повысилось артериальное давление (АД): при нормальном рабочем АД 120-130/70 мм рт. ст. в последние 2-3 дня до обращения АД держалось на уровне 170-180/100 мм рт. ст. и плохо снижалось на фоне приёма Капотена (Каптоприла) и Моксонидина.
Анамнез
В середине мая 2021 года у пациентки поднялась температура тела до 39 °C, появился небольшой сухой кашель и одышка. В течение 5 дней женщина принимала нестероидные противовоспалительные средства (НПВС) и Арбидол, но температура не падала ниже 38,5 °C, при этом кашель сохранялся и нарастала одышка.
Анализ на коронавирусную инфекцию оказался положительным. Степень насыщения крови кислородом (сатурация) была в пределах 93-94 % при норме в 95-98 %. На основании этих результатов больную направили на лечение в ковидный госпиталь.
Там проводилась противовирусная терапия Фавипиравиром, инъекциями кортикостероидов, жаропонижающими препаратами и антибиотиками. На фоне лечения температура тела нормализовалась, перестала беспокоить одышка. Сатурация поднялась до 97 %.
Через несколько дней после выписки температуры тела снова поднялась до 38,7 °C. На фоне приёма НПВС снижалась до нормальной.
Спустя пять дней температура нормализовалась, состояние оставалось удовлетворительным, жалоб не было.
Через полторы недели после выписки (т. е. через 5 дней после нормализации температуры) пациентка заметила покалывание в ногах и руках. На следующий день после появления этих симптомов онемели ноги, в них появилась слабость. Вечером из-за сильной слабости женщина не смогла встать с кровати.
В этот же день к пациентке приезжал невролог из частной клиники. Врач зафиксировал парез (снижение мышечной силы) рук и ног. Пациентке рекомендована госпитализация в неврологическое отделение, однако из-за сохраняющегося положительного анализа на коронавирусную инфекцию женщину снова направили в ковидный госпиталь.
Хронические заболевания: постинфарктный кардиосклероз (инфаркт миокарда неизвестной давности), жёлчнокаменная болезнь (ЖКБ). Хронический альвеолит (воспаление лёгочных пузырьков — альвеол).
Из-за депрессии в течение последних 20 лет по рекомендации психотерапевта женщина постоянно принимает на ночь по 200 мг Сероквеля (Кветиапина).
Обследование
- При поступлении сознание пациентки ясное. Нарушений речи и ориентации в месте, времени, личности нет, речь не изменена. Нистагма (быстрых, колебательных движений глаз) нет.
- Снижена двигательная активность рук и ног: пациентка не может ходить и одеваться без посторонней помощи.
- В правой руке и ноге нарушена чувствительность.
- Состояние кожи: цвет бледно-розовый, влажность нормальная, синюшность отсутствует.
- Температура тела 36,7 °C.
- Состояние органов дыхания: сатурация 95 %, дыхание самостоятельное, ритм регулярный, частота дыхательных движений (ЧДД) 19 в минуту, при выслушивании дыхание жёсткое.
- Состояние сердечно-сосудистой системы: артериальное давление 190/100 мм рт. ст.
- Живот мягкий, безболезненный, стул и мочеиспускание контролирует.
Пациентке провели лабораторную и инструментальную диагностику. Также женщину консультировали невролог и инфекционист.
- В общем анализе крови был повышенный уровень лейкоцитов и ускорение скорости оседания эритроцитов (СОЭ). Это указывало на инфекционно-воспалительный процесс.
- В биохимическом анализе крови отмечалось повышение С-реактивного белка.
- Мультиспиральная компьютерная томография ( МСКТ) лёгких. Сохранялась картина «матового стекла» (участки уплотнения лёгочной ткани, которые выглядят как мутноватый налёт), но по сравнению с предыдущим исследованием 2 недели назад динамика была положительной.
- Компьютерная и магнитно-резонансная томография (КТ и МРТ) головного мозга. Признаков острого нарушения мозгового кровотока не выявлено. Обнаружено внутричерепное образование, возможно, кальцинированная венозная мальформация или менингиома.
- Ультразвуковое исследование ( УЗИ) сердца. Видны признаки перенесённого инфаркта миокарда неизвестной давности.
- УЗИ брахиоцефальных и лучевых артерий с проведением. Признаков значимых нарушений кровообращения не выявлено.
- УЗИ органов брюшной полости. Наблюдаются изменения ткани печени и поджелудочной железы, а также пневматоз петель кишечника (образование в кишечной стенке кист, заполненных газом).
- УЗИ почек, надпочечников и забрюшинного пространства. Видны изменения обеих почек.
- УЗИ вен нижних конечностей. Признаков тромбоза глубоких и поверхностных вен ног не получено.
Инфекционист сделал заключение о перенесённой коронавирусной инфекции, невролог диагностировал синдром Гийена — Барре как осложнение инфекции.
Диагноз
- D43.0 Парасагиттальная менингиома средней трети верхнего сагиттального синуса.
- U07.1 Коронавирусная инфекция, реконвалесцент (выздоровление).
- I25.1 Ишемическая болезнь сердца (ИБС). напряжения, функциональный класс 2 (загрудинные боли возникают при обычной ходьбе, когда человек проходит больше 200 метров).
- Постинфарктный и атеросклеротический кардиосклероз.
- Хроническая сердечная недостаточность, функциональный класс 2 (незначительное ограничение физической активности: в покое симптомы отсутствуют, привычная физическая активность сопровождается утомляемостью, одышкой или сердцебиением).
- Недостаточность кровообращения IIА (умеренные признаки недостаточности кровообращения в покое только в одном из отделов сердечно-сосудистой системы).
Лечение
28 и 30 мая пациентке сделали плазмообмен (плазмоферез). Суть процедуры в том, что у пациента берут жидкую часть крови (плазму), очищают её от токсинов, цитокинов и обломков повреждённых клеток с помощью специального аппарата с фильтрами и возвращают больному. Процедура протекала без осложнений.
Медикаментозное лечение было направлено на восстановление нервной и сердечно-сосудистой систем, в том числе на снижение артериального давления. Пациентке назначили:
- 500 мг — подъязычно, 2 раза в сутки (утром и вечером). 4000 анти-ХА МЕ — подкожно, 2 раза в сутки (утром и вечером), для профилактики тромбоза, который может развиваться после коронавирусной инфекции. 100 мг — внутрь, 1 раз в сутки (вечером), для профилактики тромбоза. 20 мг — внутрь, 1 раз в сутки (вечером). 40 мг — внутрь, 1 раз в сутки (вечером), для снижения холестерина. Препарат входит в рекомендации по лечению коронавирусной инфекции как снижающий вирусную нагрузку. 500 мл — внутривенно капельно, 1 раз в сутки (утром) в течение 6 дней, для выведения токсинов из организма.  
- Дабигатрана этексилат 110 мг — внутрь, 2 раза в сутки (утром и вечером), постоянно. Назначен в последние дни госпитализации для дальнейшей профилактики тромбоэмболических осложнений.
Также пациентка занималась лечебной физкультурой, которая рекомендована при заболеваниях верхних дыхательных путей.
На фоне терапии у пациентки улучшилась чувствительность, увеличилась сила мышц в руках и ногах, появились живые симметричные сухожильные рефлексы. Лабораторные данные указывали на снижение воспалительного процесса.
За время стационарного лечения состояние пациентки улучшилось: после проведённого плазмофереза увеличилась сила в руках и ногах, повысилась способность переносить физические нагрузки. Больная может себя обслуживать, свободно самостоятельно ходит, одевается и ест. Состояние органов дыхания и сердечно-сосудистой системы не ухудшилось.
Реабилитационный потенциал удовлетворительный, т. е. пациентка может полностью восстановиться. Прогноз благоприятный: все функции нервной системы восстановятся через 3-4 недели.
Пациентка нуждается в дальнейшей реабилитации. Необходимо провести 2-3 курса сосудистого лечения с применением таких препаратов, как Мексидол, Цераксон (Цитиколин), Церебролизин и другими, с перерывами в 1-2 месяца. Также пациентке рекомендована лечебная физкультура, массаж, физиотерапия, желательно в условиях специализированного санаторно-курортного учреждения. Противопоказаний для реабилитационного восстановительного лечения нет.
Заключение
Синдром Гийена — Барре — это острое аутоиммунное поражение периферической нервной системы, которое проявляется слабостью мышц и нарушением чувствительности. Он является частой причиной острых параличей. Без лечения синдром может привести к летальному исходу. Поэтому люди с этим заболеванием должны находиться под наблюдением врача и проходить специализированное лечение.
Уже известно, что коронавирусная инфекция может вызвать различные неврологические осложнения: искажение чувства вкуса, потерю обоняния, снижение слуха и др. Поэтому наиболее вероятно, что в этом случае именно подтверждённый вирус SARS-CoV-2 запустил начало аутоиммунного процесса. Врачи разных стран сообщают, что проблема развития синдрома Гийена — Барре на фоне перенесённой коронавирусной инфекции очень актуальна.
У пациентки болезнь заподозрили на основании симптомов и данных анамнеза. Диагноз установили по международным критериям Всемирной организации здравоохранения от 1993 года и критериям Брайтона. Правильно и своевременно установленный диагноз позволил провести эффективное лечение.
Синдром Гийена — Барре - симптомы и лечение
Что такое синдром Гийена — Барре? Причины возникновения, диагностику и методы лечения разберем в статье доктора Жуйкова Александра Вячеславовича, невролога со стажем в 21 год.
Над статьей доктора Жуйкова Александра Вячеславовича работали литературный редактор Елена Бережная , научный редактор Сергей Федосов
Определение болезни. Причины заболевания
Синдром Гийена — Барре (ГБС) — острое аутоиммунное заболевание, которое охватывает группу острых нарушений периферической нервной системы. Характеризуется мышечной слабостью, а также болью и ползанием мурашек в начале болезни из-за поражения чувствительных волокон. Каждый вариант нарушений характеризуется особенностями патофизиологии и клинического распределения слабости в конечностях и черепных нервах.

Распространённость синдрома Гийена — Барре
Синдром Гийена — Барре встречается в 1-2 случаях на 100 000 населения в год. [10]
Причины синдрома Гийена — Барре
Точная причина синдрома Гийена — Барре неизвестна. Но у 70% пациентов с ГБС наблюдались предшествующие инфекционные заболевания: респираторные, желудочно-кишечные инфекции, вирус Зика. Также синдром Гийена — Барре может развиться после заражения коронавирусом. [9]
При обнаружении схожих симптомов проконсультируйтесь у врача. Не занимайтесь самолечением - это опасно для вашего здоровья!
Симптомы синдрома Гийена — Барре
Симптомы ОРВИ или расстройства желудочно-кишечного тракта отмечаются у 2/3 пациентов. Первыми симптомами ГБС являются парестезии пальцев конечностей, за которыми следует прогрессирующая слабость мышц нижних конечностей и нарушения походки. Болезнь прогрессирует в течение нескольких часов или дней, возникает слабость верхних конечностей и развиваются паралич черепных нервов. Параличи обычно симметричны и носят, конечно, периферический характер. У половины пациентов боль может быть первоначальной жалобой, что затрудняет диагноз. Атаксия и боль чаще встречаются у детей, чем у взрослых. Задержка мочи наблюдается у 10%-15% больных. Поражение вегетативных нервов проявляются головокружениями, гипертонией, чрезмерным потоотделением и тахикардией.
При объективном обследовании выявляется восходящая мышечная слабость, а также арефлексия. Сухожильные рефлексы нижних конечностей отсутствуют, но рефлексы верхней конечности могут вызываться. Мышечная слабость может задействовать и респираторные мышцы. Поражение черепных нервов отмечается в 35-50%, вегетативная нестабильность в 26%-50%, атаксия — в 23%, дизестезия — в 20% случаев. [1]
Наиболее распространенными признаками вегетативной дисфункции являются синусовая тахикардия или брадикардия и артериальная гипертония. У пациентов с тяжелой вегетативной дисфункцией наблюдаются изменения периферического вазомоторного тонуса с гипотензией и лабильностью артериального давления.
Нечастые варианты клинического течения болезни включают лихорадку в начале неврологических симптомов, тяжелую сенсорную недостаточность с болью (миалгии и артралгии, менингизм, корешковая боль), дисфункции сфинктеров.
Возможность ГБС должна рассматриваться у любого пациента с быстрым развитием острой нервно-мышечной слабости. На ранней стадии ГБС следует отличать от других заболеваний с прогрессирующей симметричной мышечной слабостью, включая поперечный миелит и миелопатию, острую токсическую или дифтеритическую полиневропатию, порфирию, миастению и нарушения электролитного обмена (например, гипокалиемия).
Патогенез синдрома Гийена — Барре
Нейрофизиологические процессы, лежащие в основе ГБС, подразделяются на несколько подтипов. Наиболее распространенные подтипы включают:
- острую воспалительную демиелинизирующую полирадикулопатию;
- острую двигательную аксональную невропатию;
- острую моторную и сенсорную аксональную нейропатию;
- синдром Миллера-Фишера, как вариант ГБС, характеризуется триадой признаков: офтальмоплегия, атаксия и арефлексия.

Считается, что ГБС развивается вследствие выработки антител против белка инфекционного агента, которые перекрестно реагируют с ганглиозидами нервных волокон человека. Аутоантитела связываются с миелиновыми антигенами и активируют комплемент, с формированием мембранно-атакующего комплекса на внешней поверхности клеток Шванна. Повреждение оболочек нервных стволов приводит к нарушениям проводимости и мышечной слабости (на поздней стадии может происходить и аксональная дегенерация). Демиелинизирующее поражение наблюдается по всей длине периферического нерва, включая нервные корешки.

Поражаются все типы нервов, в том числе вегетативные, моторные и сенсорные волокна. Вовлечение двигательных нервов происходит значительно чаще, чем сенсорных.

Классификация и стадии развития синдрома Гийена — Барре
В Международной классификации болезней (МКБ-10) синдром Гийена — Барре кодируется как G61.0.
Основные виды синдрома Гийена — Барре:
- Острая воспалительная демиелинизирующая полирадикулоневропатия (ОВДП) — самая распространённая форма в Северной Америке и Европе. Основным признаком ОВДП является мышечная слабость, которая сперва возникает в нижней части тела, а затем распространяется вверх.
- Синдром Миллера Фишера — проявляется параличом глаз и неустойчивостью походки. Эта форма более распространена в Азии.
- Острая моторная аксональная невропатия (ОМАН) и острая моторно-сенсорная аксональная невропатия (ОМСАН) — чаще встречаются в Китае, Японии и Мексике. [8]
Осложнения синдрома Гийена — Барре
Пациенты с ГБС подвержены риску опасных для жизни респираторных осложнений и вегетативных нарушений.
Показания для перевода в отделение интенсивной терапии включают:
- быстрое прогрессирование моторной слабости с поражением респираторных мышц;
- вентиляционную дыхательную недостаточность;
- пневмонию;
- бульбарные расстройства;
- тяжелую вегетативную недостаточность.
Осложнения проводимого лечения, требующие интенсивной терапии, включают перегрузку жидкостью, анафилаксию на введение внутривенного иммуноглобулина или гемодинамические нарушения при проведении плазмафереза.
У 15%-25% детей с ГБС развивается декомпенсированная дыхательная недостаточность, которая требует механической вентиляции легких. [2] Респираторные нарушения чаще встречается у детей с быстрым прогрессированием заболевания, слабостью верхних конечностей, вегетативной дисфункцией и поражениями черепных нервов. Интубация трахеи может потребоваться у больных для защиты дыхательных путей, проведения механической вентиляции легких. При ГБС быстрое прогрессирование, двусторонний паралич лицевого нерва и вегетативная дисфункция предопределяют повышенную вероятность интубации. Необходимо планирование ранней интубации для минимизации риска осложнений и необходимости проведения экстренной интубации.
Вегетативная дисфункция повышает риск эндотрахеальной интубации. С другой стороны, дисавтономия может увеличить риск гемодинамических реакций на препараты, используемые для индукции анестезии во время интубации.
Признаки, указывающие на необходимость механической вентиляции легких: [4]
- вентиляционная дыхательная недостаточность;
- увеличение потребности в кислороде для поддержания SpO2 выше 92%;
- признаки альвеолярной гиповентиляции (PCO2 выше 50 мм. рт. ст.);
- быстрое снижение жизненной емкости на 50% по сравнению с исходным уровнем;
- невозможность кашля
Вегетативная дисфункция является основным фактором смертности при ГБС. Фатальный сердечно-сосудистый коллапс из-за вегетативной дисфункции наблюдается у 2%-10% тяжелобольных пациентов. [3] Мониторинг частоты сердечных сокращений, артериального давления и электрокардиограммы следует продолжать до тех пор, пока пациенты нуждаются в респираторной поддержке. Чрескожная кардиостимуляция может потребоваться при выраженной брадикардии. Гипотония корректируется восполнением объема циркулирующей крови (ОЦК), и, если пациент невосприимчив к восполнению ОЦК, применяются α-агонисты, такие как норадреналин, мезатон, адреналин.
При нестабильной гемодинамике непрерывная регистрация артериального и центрального венозного давления должна проводиться для контроля объема инфузионной терапии.
Артериальная гипертензия может возникать, но это осложнение не требует специального лечения, если оно не осложняется отеком легких, энцефалопатией или субарахноидальным кровоизлиянием.
Диагностика синдрома Гийена — Барре
Сбор жалоб и анамнеза
На приёме врач в первую очередь обратит внимание на скорость распространения паралича и нарушение дыхания. Если эти признаки выражены, больному может потребоваться экстренная помощь.
Как правило, пациенты с синдромом Гийена — Барре жалуются на нарушение походки, онемение и зябкость ног, а затем и рук. Нередко пациенты рассказывают, что недавно перенесли ОРВИ.
Осмотр
Объективный неврологический осмотр — это основа диагностики при синдроме Гийена — Барре. Врач оценивает рефлексы, координацию движений, походку, чувствительность и мышечную силу.
Лабораторная диагностика
Основным видом лабораторной диагностики при синдроме Гийена — Барре является исследование спинномозговой жидкости, которую получают с помощью люмбальной пункции.
Инструментальная диагностика
ЭНМГ (Электронейромиография) — единственный инструментальный метод диагностики, позволяющий подтвердить диагноз ГБС и уточнить характер патологических изменений (демиелинизирующий или аксональный) и их распространенность. [3]
Игольчатая электромиография характеризуется наличием признаков текущего денервационно-реиннервационного процесса при полинейропатии. Исследуют дистальные мышцы верхних и нижних конечностей (например, переднюю большеберцовую мышцу, общий разгибатель пальцев), а при необходимости и проксимальные мышцы (например, четырёхглавую мышцу бедра).
ЭНМГ-исследование у больных с ГБС зависит от клинических проявлений:
- при дистальных парезах исследуются длинные нервы на руках и ногах: не менее четырех двигательных и четырех чувствительных (двигательные и чувствительные порции срединного и локтевого нервов; малоберцовый, большеберцовый, поверхностный малоберцовый и икроножный нервы с одной стороны).
Оценка основных ЭНМГ- параметров:
Первые признаки денервационного процесса появляются через две-три недели после начала заболевания, признаки реиннервационного процесса — через месяц.
Дифференциальная диагностика
Синдром Гийена — Барре следует отличать от следующих заболеваний:
- и клещевого энцефалита (чувствительность не нарушена, поражены преимущественно черепные нервы); (отягощённый эпидемиологический анамнез, например посещение эндемичных стран); (чувствительность не нарушена, рефлексы снижены незначительно);  
- обменно-метаболических полиневропатий (течение хроническое).
Лечение синдрома Гийена — Барре
Показания для госпитализации
Практически во всех случаях требуется госпитализация. Экстренная госпитализация необходима пациентам с нарушениями дыхания — в таких случаях лечение проводят в условиях реанимации.
Общие принципы лечения синдрома Гийена — Барре
Лечение острой демиелинизирующей полирадикулоневропатии комплексное. Основа — плазмаферез, иммуноглобулины и кортикостероиды. В ряде случаев требуется искусственная вентиляция лёгких, коррекция нарушений кровообращения, профилактика инфекционных и тромбоэмболических осложнений. Обязательным условием успешного лечения является уход.
Общее поддерживающее лечение и уход
Пациенты, требующие интенсивной терапии, требуют тщательного общего ухода. Запор наблюдается более чем в 50% случаев пациентов с ГБС в результате динамической непроходимости кишечника. Может потребоваться искусственное питание.
Медикаментозное лечение и плазмаферез
В лечении ГБС предпринимаются различные виды иммуномодулирующей терапии. [1] [2]
Внутривенный иммуноглобулин назначают в виде ежедневной инфузии (в дозе 0,4 гр/кг/день) в течение 5 дней в первые 2 недели болезни. Второй курс иммуноглобулина может потребоваться 5%-10% пациентов, при отрицательной динамике после первоначального улучшения. Механизм действия внутривенного иммуноглобулина, вероятно, многофакторный и, как полагают, включает модуляцию активации комплемента, нейтрализацию идиотипических антител, подавление воспалительных медиаторов (цитокины, хемокины).
Побочные эффекты иммуноглобулина включают головную боль, миалгию и артралгию, гриппоподобные симптомы, лихорадку. У пациентов с дефицитом IgA может развиться анафилаксия после первого курса внутривенного иммуноглобулина.
Плазмаферез способствует удалению антител, вовлеченных в патогенез ГБС. В течение каждого сеанса 40-50 мл/кг плазмы заменяют смесью 0,9% раствора хлорида натрия и альбумина. Проведение плазмафереза приводит к сокращению времени выздоровления и снижению потребности в искусственной вентиляции. Эти преимущества очевидны, если плазмаферез проводится в течение первых двух недель после начала болезни. Осложнения, связанные с плазмаферезом, включают гематому в области венопункции, пневмоторакс после катетеризации подключичной вены и сепсис. Плазмаферез противопоказан пациентам с тяжелой гемодинамической нестабильностью, кровотечением и сепсисом. Комбинация плазмафереза и иммуноглобулина не показала клинических преимуществ.
Симптоматическое лечение синдрома Гийена — Барре:
- при боли применяют парацетамол;
- катадолон и трамадол применяют при выраженном болевом синдроме;
- при нейропатической боли эффективны карбамазепин и габапентин.
Оперативное лечение
При тяжёлом течении может потребоваться длительная респираторная поддержка и наложение трахеостомы. Если пациент находится на искусственном питании, то накладывают гастростому.
Прогноз. Профилактика
ГБС остается серьезным заболеванием, несмотря на улучшение результатов лечения. По сравнению со взрослыми, у детей чаще отмечается более благоприятное течение заболевания, с полным, а не частичным выздоровлением. Причинами неблагоприятного исхода при ГБС являются дыхательная недостаточность, осложнения искусственной вентиляции легких (пневмония, сепсис, острый респираторный дистресс-синдром и тромбоэмболические осложнения), остановка сердца, вторичная по отношению к дисавтономии.
Восстановление обычно начинается через две-четыре недели после прекращения прогрессирования симптомов. Среднее время от начала заболевания до полного выздоровления составляет 60 дней. Данные относительно долгосрочного исхода ГБС ограничены. 75% - 80% пациентов полностью выздоравливают. Около 20% пациентов не могут ходить через полгода.
Младшая возрастная группа (менее 9 лет), быстрое прогрессирование и максимальная мышечная слабость, потребность в искусственной вентиляции легких являются важными предикторами длительного двигательного дефицита. [4]
Случай развития синдрома Гийена Барре на фоне перенесенной коронавирусной инфекции
Чайковская А.Д. 1 Иванова А.Д. 1 Терновых И.К. 1 Исабекова П.Ш. 1 Веселов А.М. 1 Топузова М.П. 1 Яруш И.В. 1 Алексеева Т.М. 1
1 ФГБУ «Национальный медицинский исследовательский центр имени В.А. Алмазова» Министерства здравоохранения Российской Федерации
Синдром Гийена-Барре (синонимы: синдром Ландри-Гийена-Барре, острый полирадикулоневрит, восходящий паралич Ландри, острая воспалительная демиелинизирующая полирадикулоневропатия) представляет собой острую воспалительную полирадикулоневропатию аутоиммунной природы, в большинстве случаев характеризующуюся демиелинизацией корешков спинномозговых, черепных и периферических нервов. Этиология этого заболевания полиморфна. Предполагается, что в основе развития данного синдрома лежит токсический или нейровоспалительный процесс, запускающийся различными патогенными факторами. Неврологическим расстройствам могут предшествовать симптомы инфекции верхних дыхательных путей или желудочно-кишечного тракта, однако инфекционный агент не всегда удается достоверно установить. В типичных случаях синдром Гийена-Барре (СГБ) клинически проявляется развитием восходящего вялого тетрапареза и снижением сухожильных рефлексов; нарушения чувствительности могут отсутствовать или быть незначительными. Нейровизуализационные и электрофизиологические признаки СГБ, как и иммунологические диагностические тесты, не являются абсолютно специфичными и могут наблюдаться при других заболеваниях нервной системы. Кроме того, в условиях пандемии COVID-19 имеются затруднения проведения инструментальной диагностики. В статье представлено описание клинического случая СГБ на фоне инфицирования вирусом SARS-CoV-2 у пациента, находившегося на лечении в инфекционном отделении Национального медицинского исследовательского центра (НМИЦ) имени В.А. Алмазова.
1. Пирадов М.А., Шнайдер Н.А., Супонева Н.А., Спирин Н.Н., Гришина Д.А. Синдром Гийена-Барре у взрослых. Клинические рекомендации. M.: Горячая линия-Телеком, 2016. 32 с.
2. Willison H.J., Jacobs B.C., Van Doom A.P. Guillain-Barré syndrome. The Lancet. 2016. vol. 388. no. 10045. P. 717-727.
3. Супонева Н.А. Клиническая и диагностическая роль аутоантител к ганглиозидам периферических нервов: обзор литературы и собственные данные // Нервно-мышечные болезни. 2013. № 1. С. 26-34.
4. Ruts L., Drenthen J., Jongen J.L. Pain in Guillain-Barre syndrome: a long-term follow-up study. Neurology. 2010. vol. 75. no. 16. P. 1439-1447.
5. Yuki N., Kokubun N., Kuwabara S. Guillain-Barré syndrome associated with normal or exaggerated tendon reflexes. Journal of Neurology. 2012. vol. 259. no. 6. P. 1181-1190.
6. Wong A.H., Umapathi T., Nishimoto Y., Wang Y.Z., Chan Y.C., Yuki N. Cytoalbuminologic dissociation in Asian patients with Guillain-Barré and Miller Fisher syndromes. The Journal of the Peripheral Nervous System. 2015. vol. 20. no. 1. P. 47-51.
7. Irie S., Saito T., Kanazawa N. Relationship between anti-ganglioside antibodies and clinical characteristics of Guillain-Barre syndrome. Internal Medicine. 1997. vol. 36. no. 9. P. 607-612.
9. Yuki N., Tagawa Y., Handa S. Autoantibodies to peripheral nerve glycosphingolipids SPG, SLPG, and SGPG in Guillain-Barre syndrome and chronic inflammatory demyelinating polyneuropathy. Journal of Neuroimmunology. 1996. vol. 70. P. 1-6.
10. Fredman P., Vedeler C.A., Nyland H. Antibodies in sera from patients with inflammatory demyelinating polyradiculoneuropathy react with ganglioside LM1 and sulfatide of peripheral nerve myelin. Journal of Neurology. 1991. vol. 238. P. 75-79.
11. Jacobs B.C., van Doorn P.A., Groeneveld J.H. Cytomegalovirus infection and anti-GM2 antibodies in Guillain-Barre syndrome. Journal of Neurology, Neurosurgery and Psychiatry. 1997. vol. 62. no. 6. P. 641-643.
13. Gupta A., Paliwal V.K., Garg R.K. Is COVID-19-related Guillain-Barré syndrome different? Brain, behavior, and immunity. 2020. vol. 87. P. 177-178.
15. Fokke C., van den Berg B., Drenthen J., Walgaard C., van Doorn P.A., Jacobs B.C. Diagnosis of Guillain-Barré syndrome and validation of Brighton criteria. Brain. 2014. vol. 137. P. 33-43.
Заболеваемость синдромом Гийена-Барре (СГБ) в Российской Федерации соответствует общемировым данным и варьирует от 0,34 до 1,9 на 100 000, составляя в среднем 1,8 на 100 000 населения в год [1]. Большинство исследований, описывающих уровень заболеваемости СГБ, проведенных в Европе и Северной Америке, демонстрируют схожий уровень заболеваемости - 0,8-1,9 случая на 100 000 человек в год [2].
Предполагается, что ведущую роль в патогенезе развития СГБ играют аутоиммунные процессы, которые запускаются различными патогенами. Заболеванию могут предшествовать различные инфекции, включая инфекционный мононуклеоз, микоплазменную инфекцию, клещевой боррелиоз, диарею с лихорадкой, вызванную Campylobacter jejuni, и др. У трети больных определяется повышение титра антител к цитомегаловирусу. Случаи СГБ были также описаны вскоре после вакцинации от вируса простого бешенства и от гриппа типа А. Инфекция запускает в организме выработку циркулирующих иммунных комплексов и аутоантител к ганглиозидам и вызывает разные формы СГБ. Так, антитела к Campylobacter jejuni играют роль в образовании антител к ганглиозиду CQ1b, локализующемуся в перехватах Ранвье глазодвигательных нервов. Таким клиническим фенотипом данного варианта поражения являются синдром Миллера-Фишера и СГБ с глазодвигательными нарушениями. Антитела к ганглиозиду GD1a (аксоны передних корешков) провоцируют развитие аксональных форм СГБ. Клиническим фенотипом аутоагрессии к ганглиозиду GM1, локализующемуся в передних корешках спинного мозга, является острая моторная аксональная невропатия [3].
Наиболее типичным клиническим проявлением СГБ является развитие восходящего вялого тетрапареза. Слабость, как правило, появляется сначала в дистальных отделах конечностей, однако может дебютировать в проксимальных отделах рук или ног. В последнем случае у клинициста может возникнуть ложное представление о поражении пирамидной системы (на уровне спинного мозга или выше), однако легко объясняется фокальным блоком проведения на люмбальном или цервикальном корешковом уровне. В иных случаях болезнь проявляется поражением лицевого, глазодвигательного нервов, нервов бульбарной группы. Такая разновидность СГБ описана как синдром Миллера-Фишера, который также может перейти в генерализованную форму. Помимо вялого пареза, пациент может иметь расстройства в чувствительной сфере, сенситивную атаксию, дисфункцию вегетативной нервной системы. Мышечные или корешковые боли являются частым ранним симптомом, который способен усложнить постановку диагноза, поскольку боль предшествует слабости примерно у трети пациентов [4]. Большинство больных имеют снижение сухожильных рефлексов (СХР) в пораженных конечностях. В начале заболевания СХР могут быть не изменены, особенно в случае чисто моторных или аксональных форм болезни, а иногда может выявляться и гиперрефлексия [5].
Тяжесть и течение заболевания различны и могут выражаться как в незначительной слабости (в этом случае характерно спонтанное выздоровление), так и в выраженной тетраплегии и потребности в респираторной поддержке в течение нескольких месяцев.
СГБ - прежде всего клинический диагноз, однако вспомогательные методы обследования могут быть полезны или даже необходимы для подтверждения диагноза. В анализе ликвора характерно обнаружение белково-клеточной диссоциации, однако нормальный уровень белка (в особенности на первой неделе заболевания) не опровергает диагноз [6]. Электронейромиография помогает в подтверждении диагноза и дифференцировании форм СГБ, позволяя отличить острую воспалительную демиелинизирующую полинейропатию, аксональную моторную нейропатию и моторно-сенсорную аксональную полиневропатию, а также является ценной для определения прогноза заболевания. Выявляемые при проведении электронейромиографии нарушения нервной проводимости наиболее характерны на второй неделе от дебюта заболевания. Диагностически ценным является определение уровня аутоантител к ганглиозидам периферических нервов. Согласно данным литературы при исследовании корреляции между антиганглиозидными аутоантителами и клиническими проявлениями СГБ было установлено, что анти-GM1 и анти-GD1b-антитела были чаще ассоциированы с предшествующей диареей, а IgG-антиGQ1b - с офтальмоплегией [7, 8]. При этом анти-LM1 IgG-антитела выявляются у 5-58% больных с СГБ [9, 10], антитела к SGPG класса IgG - у 9% пациентов с СГБ, класса IgM - в 15-29% случаев [10]. Одним из возможных патогенов, являющихся триггером аутоиммунной атаки при СГБ, признан цитомегаловирус (ЦМВ), с которым ассоциированы антитела класса IgM к ганглиозиду GM2 [11].
Пандемия COVID-19 («Coronavirus disease 2019») поставила перед специалистами здравоохранения непростые задачи, связанные с необходимостью быстрой диагностики и оказания медицинской помощи [12] в условиях затруднения проведения многих инструментальных методов. На конец июня 2020 г. в литературе описано более 50 случаев СГБ на фоне инфицирования SARS-CoV-2, среди них наиболее часто встречались варианты острой воспалительной демиелинизирующей радикулопатии и острой моторной и моторно-сенсорной аксональной невропатии, реже - случаи развития синдрома Миллера-Фишера [13].
С целью обратить внимание клиницистов на возможность развития СГБ на фоне инфицирования вирусом SARS-CoV-2 приводим описание собственного клинического наблюдения.
Описание клинического случая
В мае 2020 г. пациент 42 лет с неотягощенным эпидемиологическим анамнезом поступил в тяжелом состоянии в отделение анестезиологии-реанимации для инфекционных больных НМИЦ им. В.А. Алмазова, временно перепрофилированного в инфекционную больницу для пациентов с COVID-19.
Из анамнеза, собранного со слов пациента, и из данных предоставленной медицинской документации было известно, что за месяц до поступления он участвовал в уличной драке. На следующий день после травмы обратился за медицинской помощью по поводу перелома правой орбиты и был госпитализирован в офтальмологическое отделение, где проходил лечение в течение недели. После выписки, ориентировочно на десятый день после травмы, стал отмечать субфебрильную лихорадку до 37,5°С. Через 2 недели появилась слабость в конечностях, еще через 2 дня пациент не смог встать с постели из-за мышечной слабости. Прибывший на вызов участковый врач, помимо мышечной слабости, отметил наличие одышки и речевых нарушений в виде дизартрии, ввиду чего экстренно госпитализировал пациента с представлением о возможной коронавирусной инфекции.
В связи с нарастанием гипоксемии (paO2 54,8 mmHg) пациент был интубирован. Были выполнены бронхоскопия, по результатам которой у пациента диагностировали слизисто-гнойный эндотрахеобронхит с обтурацией левого нижнедолевого бронха, и экстренное дренирование правой плевральной полости по поводу правостороннего гемопневмоторакса. Проводилась вазопрессорная поддержка.
В лабораторных анализах на момент поступления были выявлены незначительная гипоальбуминемия (34 г/л), гипротеинемия (59 г/л), тромбоцитоз (521х10 9 /л), нейтрофильный лейкоцитоз (28,8х10 9 /л) с преобладанием сегментоядерных нейтрофилов (23,04х10 9 /л), моноцитозом (1,73х10 9 /л). В венозной крови sO2 составило 94,5%, отмечалось снижение уровня кальция в крови до 0,83 ммоль/л, респираторный ацидоз - уровень рН 7,22. Обращало на себя внимание повышение уровня С-реактивного белка до 27,15 мг/л, Д-димера - 2,650 мкг/мл. Прокальцитотиновый тест был отрицательный.
В неврологическом статусе при поступлении сознание, ориентация в месте, времени и собственной личности были сохранены, однако отмечалась заторможенность, отчего продуктивному речевому контакту пациент был практически недоступен. Со стороны черепных нервов были выявлены некоторая асимметрия глазных щелей (D≥S), установочный горизонтальный нистагм в крайних отведениях, а также значительное снижение конвергенции с обеих сторон. Отмечались правосторонний легкий прозопарез до 4 баллов, асимметрия корнеального (S>D) и глоточного (D>S) рефлексов при сохранности чувствительности на лице. Оценка фонации была затруднена ввиду выраженной деформации носовой перегородки, отмечалась дизартрия тяжелой степени, дисфагии выявлено не было. В конечностях выявлялись диффузное снижение мышечного тонуса, а также вялый тетрапарез, более выраженный в дистальных отделах нижних конечностей (до 2 баллов в стопах) и проксимальных отделах верхних конечностей (до 2 баллов в мышцах плеча, до 3 баллов в кистях). Брюшные рефлексы были симметрично снижены, СХР с нижних конечностей не вызывались, с верхних - были симметрично низкие. Определялся непостоянный симптом Бабинского слева. Выявлялись нарушения поверхностной чувствительности по полиневритическому типу, выпадение суставно-мышечного чувства до уровня коленных суставов на ногах и в пальцах кистей. Координаторные пробы ввиду парезов не выполнял. Функции тазовых органов были нарушены по типу задержки. Менингеальные симптомы были отрицательными. Симптомов натяжения нервных стволов выявлено не было.
В то же время был получен положительный результат ПЦР мазка на SARs-CоV-2, взятого при поступлении, что подтверждало коронавирусную инфекцию.
Проводилась антибактериальная (амоксициллин с клавулановой кислотой 1,2 г 2 раза в сутки 7 дней), противовоспалительная (дексаметазон 12 мг 1 раз в сутки 1 день, затем 8 мг 1 раз в сутки 8 дней), антикоагулянтная (эноксапарин натрия 4000 МЕ 2 раза в сутки 8 дней, затем 2000 МЕ 2 раза в сутки 30 дней), муколитическая терапия (флуимуцил 300 мг 2 раза в сутки 7 дней, затем амброксол 30 мг 3 раза в сутки 10 дней). Был назначен гидроксихлорохин (400 мг 1 раз в сутки в первый день, далее 200 мг 1 раз в сутки на 7 дней). На третьи сутки от начала терапии наблюдалось клиническое улучшение: переведен с искусственной вентиляции легких на инсуффляцию кислорода через носовые канюли. Пациент стал контактен, ориентирован во времени, пространстве, собственной личности. Однако сохранялся вялый тетрапарез.
На шестые сутки госпитализации пациент был переведен из отделения анестезиологии-реанимации для инфекционных больных в инфекционное отделение.
Проводился дифференциальный диагноз между энцефалополинейропатией смешанного генеза, черепно-мозговой травмой, спинальной травмой и СГБ. С диагностической целью пациенту в типичном месте в асептических условиях была проведена люмбальная пункция, получено 4,0 мл бесцветного прозрачного ликвора, вытекающего под давлением 120 мм вод. ст. В цереброспинальной жидкости была выявлена белково-клеточная диссоциация: цитоз в пределах нормы (3,0х10 6 /л), значительно повышен уровень белка (до 3,91 г/л).
С учетом анамнеза с целью исключения черепно-мозговой и спинальной травмы была проведена МСКТ головного мозга и шейного отдела позвоночника, по результатам которой был выявлен перелом костей носа с девиацией носовой перегородки, данных за травматическое поражение нервной системы получено не было, очаговых изменений и патологических образований не обнаружено. Была описана умеренная внутренняя неокклюзионная гидроцефалия.
Таким образом, учитывая совокупность клинических, лабораторных и инструментальных данных, был установлен диагноз:
Основной: Коронавирусная инфекция, подтвержденная, тяжелое течение.
Осложнение: Полисегментарная двухсторонняя внебольничная вирусная пневмония. Правосторонний гемопневматоракс. Слизисто-гнойный эндотрахеобронхит с обтурацией левого нижнедолевого бронха.
Острая воспалительная демиелинизирующая полиневропатия, вариант СГБ. Вялый глубокий тетрапарез, сенситивная атаксия в нижних конечностях, расстройство поверхностной чувствительности по полиневритическому типу в верхних и нижних конечностях. Транзиторное нарушение функции тазовых органов по типу задержки.
В связи с определением у пациента СГБ к терапии на восьмой день госпитализации были добавлены внутривенный иммуноглобулин (интратект) из расчета 0,4 г на 1 кг веса курсом 5 дней, нейропротекторная терапия (цитиколин 500 мг 1 раз в сутки 10 дней) и ипидакрин (по 15 мг 1 раз в сутки 14 дней), отменены глюкокортикостероиды.
На фоне проводимого лечения на 12-й день после начала терапии внутривенным иммуноглобулином были отмечены регресс чувствительных расстройств, нарушений функций тазовых органов, дисфагии, уменьшение выраженности дизартрии, уверенное нарастание тонуса и силы мышц в конечностях и появление живых симметричных СХР. Лабораторные данные свидетельствовали о прекращении воспалительного процесса. Пациент отмечал улучшение общего состояния и постепенное восстановление двигательной активности и коммуникативных возможностей.
К концу первого месяца лечения получено два отрицательных результата мазка на SARS-CoV-2, после чего пациент был переведен в реабилитационный стационар.
Ввиду ограниченности диагностических ресурсов в рамках экстренной реформации медицинских учреждений в контексте пандемии COVID-19 не представлялось возможным обеспечить полный спектр лабораторных (антитела к ганглиозидам) и инструментальных обследований (электронейромиография, магнитно-резонансная томография сплетений) для подтверждения диагноза СГБ. Был очевидным приоритет неотложной диагностики и лечения жизнеугрожающего состояния - тяжелой полисегментарной внебольничной пневмонии с правосторонним пневмогемотораксом, осложнившей течение верифицированной коронавирусной инфекции.
Диагноз СГБ был установлен согласно международным критериям диагностики СГБ Всемирной организации здравоохранения от 1993 г. [14] с учетом наличия прогрессирующей мышечной слабости в ногах и руках, отсутствия или угасания СХР в первые дни заболевания, симптомов прогрессирования в течение не более 4 недель. Наблюдались относительная симметричность поражения, нарушение чувствительности по полиневритическому типу, вовлечение черепных нервов - лицевого, языкоглоточного, блуждающего и подъязычного, нестойкое нарушение тазовых функций, белково-клеточная диссоциация в ликворе от второй недели заболевания.
Также по критериям Брайтона [15] были подтверждены 6 из 7 пунктов: 1) билатеральный вялый парез в конечностях; 2) снижение СХР на первой неделе заболевания; 3) повышение уровня белка в ликворе; 4) нормальный уровень цитоза в ликворе; 5) монофазное течение заболевания от манифестации до регресса симптоматики 12 часов - 28 дней; 6) исключены иные возможные причины развития пареза. Не была проведена электронейромиография ввиду недоступности метода в описанных условиях функционирования стационара. Верно поставленный диагноз СГБ позволил провести своевременный курс патогенетической терапии внутривенным иммуноглобулином с выраженным положительным эффектом.
Дискутабельным остается вопрос об этиологическом факторе развития СГБ у данного пациента. Наиболее вероятным для данного больного триггером, запустившим развитие аутоиммунного процесса, является верифицированный вирус SARS-CoV-2, учитывая, что симптомы острой респираторной вирусной инфекции появились ориентировочно за две недели до развития СГБ.
Читайте также:
- Показания, этапы, техника операции при перианальном тромбозе
- Влияние взрывоопасных газов, шума и вибрации угольных шахт на организм. Нистагм углекопов
- Характеристика инфузионно-трансфузионных средств. Общие принципы компонентной гемотерапии
- Андрогенная алопеция (облысение у мужчин): причины, симптомы и лечение
- Симптомы заболевания сердца. Ритм галопа. Диагностика ритма галопа.
