Случай реабилитации пациента с тяжелой степенью пародонтита при помощи имплантации с немедленной нагрузкой
Добавил пользователь Владимир З. Обновлено: 21.01.2026
Для большинства пациентов состояние адентии является не только функционально неполноценным, но и эмоционально дискомфортным. В прошлом, единственным вариантом лечения для подобных пациентов был реабилитационный протокол, который состоял из установки имплантатов, провизорного непосредственного протезирования и установки окончательных ортопедических конструкций через 6 месяцев после первичного вмешательства. Естественно, многие из больных надеются восстановить отсутствующие зубы намного раньше, чем через полгода после их консультационного визита к стоматологу, и поэтому предпочитают отказаться от имплантации, как возможной терапевтической опции. Следовательно, в случаях полной адентии они протезировались посредством полных съемных протезов, которые не являются достаточно адаптированными и социально-приемлемыми. Таким образом, пациенты с такой конструкцией не только теряют уверенность в себе, у некоторых из них начинает развиваться депрессия, процесс старения набирает обороты, а продолжительность жизни уменьшается.
Протокол «Все-на-четырёх» (All-on-4)
За последние 10 лет протокол немедленной нагрузки имплантатов завоевывает все большую популярность, а концепция лечения «Все-на-четырёх» (Nobel Biocare) помогает еще и минимизировать объем ятрогенных вмешательств, поскольку позволяет провести одноэтапное лечение даже у пациентов со значительной редукцией уровня костной ткани без дополнительных реконструктивных манипуляций. Согласно протоколу «Все-на-четырёх» для стабилизации протетической составляющей требуется установка лишь 4 имплантатов, позицию которых можно выбрать исходя из индивидуальных условий клинической ситуации. Установка имплантатов под углом в области верхней челюсти помогает избежать процедуры синус лифта, а в области нижней - минимизировать длину консольной части протеза. Конечно, в заднем участке нижней челюсти можно было бы установить и короткие имплантаты, но их использование в процессе немедленной нагрузки не рекомендовано, следовательно, для ускорения процесса реабилитации - не целесообразно.
Первые случаи, сообщающие об успешности немедленной нагрузки имплантатов несъемной ортопедической конструкций, были опубликованы в научной литературе в начале 1990-х годов. Результаты комплексных исследований продемонстрировали, что показатель успешности такого лечения составляет от 85% до 97%, но после того, как Paulo Malo в 2002 году представил концепцию «Все-на-четырёх» общий уровень успешности реабилитации при использовании угловых имплантатов превысил 90%, при чем как на верхней, так и на нижней челюстях. Концепция лечения «Все-на-четырёх» подходит не только для пациентов с полной адентией, ее успешно можно адаптировать в ходе лечения больных, находящихся на стадии перехода от частичных до полных дефектов зубного ряда. Для этого после удаления безнадежных зубов во фронтальной области устанавливают два прямых, а в дистальных - два угловых имплантата, после чего фиксируют на них провизорную винтовую конструкцию через мультиюнитные абатменты (Nobel Biocare). Для того чтобы протокол немедленной нагрузки имплантатов обеспечил максимальную эффективность важно тщательно спланировать все этапы будущего лечения и максимально настроить коммуникацию между всеми членами лечащей команды - хирургом, ортопедом и зубным техником. Также следует помнить, что для подобного алгоритма лечения подходят не все пациенты, поэтому отбор таковых следует проводить на этапе комплексной диагностики с обязательным использованием возможностей 3D-визуализации с КЛКТ для адекватной оценки объема резидуальной костной ткани. Кроме того, обязательно нужно учитывать эстетические ожидания пациента, его согласие сотрудничать с врачом на разных этапах реабилитации, наличие предыдущего опыта ятрогенных вмешательства, финансовые возможности и другие индивидуальные характеристики.
Клинический случай 1
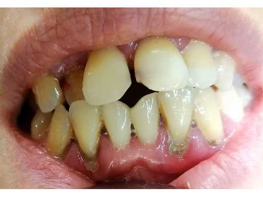
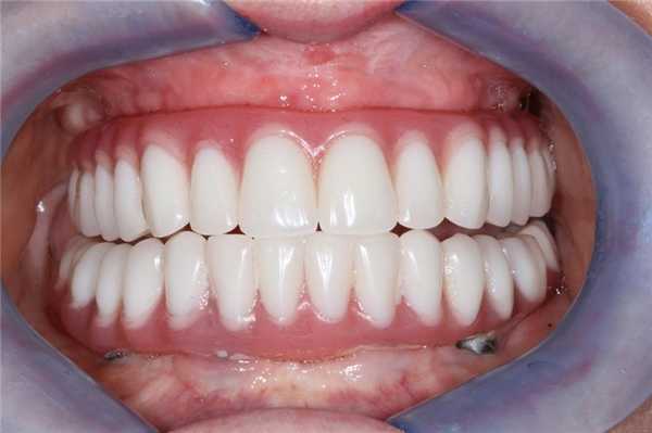
55-летняя женщина обратилась за стоматологической помощью по поводу нынешнего неудовлетворительного состояния ее зубов. Предыдущий стоматолог посоветовал ей провести экстракцию всех безнадежных зубов, но больной при этом было не весьма комфортно осознавать, что ей в дальнейшем все время придется использовать полный съемный протез. В ходе клинического осмотра были обнаружены симптомы умеренного и тяжелого пародонтита, множественные кариозные поражения, а также имеющиеся дефектные реставрации. У пациентки наблюдалось нарушение индивидуальной высоты межчелюстного соотношения, в области отдельных фронтальных зубов прогрессировал феномен Попова-Годона, но, в то же время, передние зубы обеспечивали адекватную поддержку тканям губ (фото 1).
Фото 1. Клинический случай №1: вид зубных рядов с ретрактором.
После обсуждения всех возможных вариантов лечения было принято решение об экстракции оставшихся зубов и восстановлении зубного ряда согласно протоколу «Все-на-четырёх». Анализ улыбки не выявил признаков чрезмерного десневого обнажения (фото 2), что упрощало задачу нивелирования визуального перехода розовой части протеза в оттенок смежных мягких тканей.
Фото 2. Натянутая улыбка для определения степени обнажения десен.
Учитывая все вышеперечисленное, планирование протокола лечения «Все-на-четырёх» может быть проведено на полурегулируемом артикуляторе, поскольку существующее состояние зубов может одновременно служить направляющим ориентиром для адекватной постановки непосредственного провизорного протеза. После установки временной конструкции межчелюстное расстояние было установлено на уровне 24 мм, что, следовательно, еще раз подтверждает отсутствие необходимости выполнения процедур с целью преднамеренной редукции костного гребня. Согласно данным литературы, параметр расстояния для винтовых конструкций с учетом пластмассовой облицовки должен составлять (отдельно для каждой из челюстей) приблизительно 11-12 мм. Пациентка осталась довольной новым эстетическим профилем улыбки и функциональными параметрами конструкции (фото 3 - 4).
Фото 3. Временный протез: скрытая линия перехода протеза и восстановление эстетики улыбки.
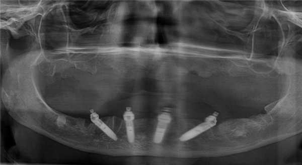
Фото 4. Ортопантомография через год после имплантации: стабильный уровень костной ткани вокруг имплантатов.
Клинический случай 2
42-летний пациент обратился за стоматологической помощью по поводу неудовлетворительного вида его верхних центральных зубов и нарушения общего вида улыбки (фото 5 - 6).
Фото 5. Клинический случай №2: прицельные снимки верхних зубов перед лечением.
Фото 6. Натянутая улыбка для определения степени обнажения десен.
Учитывая тяжелую степень пародонтита, некоторые из его зубов подлежали экстракции, остальные - пародонтологическому лечению, а области дефектов зубного ряда - восстановлению посредством имплантации. Специфика пациента состояла в том, что он много путешествует, следовательно, состояние постоперационной адентии для него является неприемлемым. Кроме того, учитывая аспекты его профессии и высокую социальную активность, съемные протезы также не являлись допустимой альтернативой в данном клиническом случае. После дискуссии относительно всех возможных вариантов реабилитации, пациент остановился на концепции «Все-на-четырёх» с последующей немедленной нагрузкой титановых элементов после удаления проблемных зубов. Вертикальные параметры межчелюстного соотношения не были нарушены, а при улыбке степень обнажения профиля десен в области верхних зубов достигала 3 мм (фото 6). Таким образом, требовалось провести коррекцию позиции мягких и твердых тканей для того, чтобы скрыть линию перехода между протезом и десной. Прикус устанавливали в полурегулируемом артикуляторе. Общее положение зуба сохранялось прежним, дефект во фронтальной области был замещен коронками по размерам несколько шире естественных зубов. Эстетический вид провизорного протеза полностью удовлетворял пациента, а установка новой ортопедической конструкции никак не нарушила прежние окклюзионные соотношения (фото 7 - 9). Хирургический этап проводился в одно посещение с предварительной седацией, и уже через неделю пациент имел возможность вернуться к полноценному образу жизни.
Фото 7. Временный протез: скрытая линия перехода протеза и восстановление эстетики улыбки.
Фото 8. Вид провизорного протеза с ретрактором.
Фото 9. Ортопантомография через год после имплантации: стабильный уровень костной ткани вокруг имплантатов.
Клинический случай 3
72-летняя пациентка обратилась за помощью по поводу неудовлетворительного вида своей улыбки. Она утверждала, что вид зубов ее не только старит, но также у нее присутствуют проблемы с жеванием. Лично ей не подходил ни вариант какого-либо длительного лечения, ни полный съемный протез в качестве альтернативы. При полной улыбке у пациентки обнажалось не более 2-3 мм клинической коронки (фото 10), таким образом, необходимости в дополнительных манипуляциях для редукции уровня костного гребня попросту не было.
Фото 10. Клинический случай №3: натянутая улыбка для определения степени обнажения десен.
Вертикальные параметры межчелюстного соотношения были значительно разрушены, а фронтальные зубы не обеспечивали адекватной поддержки тканям губ (фото 11).
Фото 11. Вид зубных рядов с ретрактором.
Поскольку зарегистрировать адекватные параметры вертикальных параметров окклюзии в исходной позиции не представлялось возможным, врач определил высоту межчелюстного соотношения в состоянии покоя, после чего отнял от него 3 мм для получения нужных биометрических значений. Вертикальную составляющую в состоянии покоя определяли путем анализа изменений позиции точек на кончике носа и подбородке при медленном открывании и закрывании рта пациентом до момента первого прикасания губ. После этого расстояние между точками проверяли при полном закрытии рта. Разница между высотой в состоянии покоя и при полном закрытии рта составляла 8 мм. Поэтому было принято решение откорректировать межчелюстную высоту до 5 мм и немного подать позицию зубов кпереди для обеспечения адекватной поддержки губ.
С помощью фотографирования и дополнительных композитных реставраций была определена новая желательная позиция зубов в структуре будущей ортопедической конструкции. После этого изготовили провизорный протез, позицию зубов в котором в дальнейшем перенесли на окончательную протетическую реставрацию. После экстракции зубов и установки имплантатов (в прямой позиции во фронтально участке и под углом 30° в дистальном), на них были установлены мультиюнитные абатменты и временные колпачки (Nobel Biocare) (фото 12). Преждевременно подготовленный протез припасовывали к временным колпачкам (фото 13).
Фото 12. Временные титановые цилиндры, установленные на мультиюнитные абатменты.
Фото 13. Протез, подготовленный для примерки в полости рта.
Колпачки фиксировали с имплантатами в структуре протеза при помощи пластмассы холодного отверждения (фото 14 - 16).
Фото 14. Фиксация временных цилиндров с помощью пластмассы холодного отверждения.
Фото 15. Использование дозируемых шприцов для контроля подачи пластмассы холодного отверждения.
Фото 16. Временные титановые цилиндры, припасованные к протезу.
Анализ временной конструкции подтвердил отсутствие необходимости в преднамеренной редукции костного гребня (фото 17).
Фото 17. Вид протеза через неделю после нагрузки имплантатов.
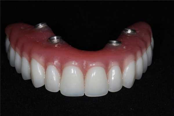
Временный протез функционировал на протяжении 6 месяцев для полной адаптации пациента к внешнему эстетическому виду и новым окклюзионным соотношениям. Окончательная протетическая конструкция состояла из титанового каркаса, покрытого десневым композитом Gradia (GC America), и металлокерамических коронок, зафиксированных поверх титанового базиса (фото 18). Окончательный результат реставрации виден на фото 19.
Фото 18. Вид окончательного протеза через год после первичного вмешательства.
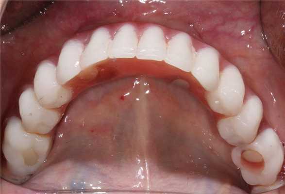
Фото 19. Вид пациентки через один год после установки имплантатов.
После комплексной диагностики и планирования лечения все пациенты в описанных выше трех клинических случаях буквально смогли возвратиться к обычному для них способу жизни уже после первого ятрогенного вмешательства, что исключило целесообразность использования полных съемных протезов в качестве основной альтернативы, а также значительно сократило сроки самого лечения. Концепция имплантации «Все-на-четырёх» с немедленной последующей нагрузкой интраосальных титановых элементов провизорными протезами помогла максимизировать комфорт процесса лечения и минимизировать термин последующей социальной адаптации пациентов. Предсказуемость непосредственной нагрузки имплантатов согласно протоколу «Все-на-четырёх» хорошо задокументирована в литературе, при этом показатели выживаемости конструкций превышают 90% (99,3% на верхней челюсти, и 100% - на нижней).
Выводы
Немедленная нагрузка установленных имплантатов посредством полного протеза является достаточно эффективным доказуемым алгоритмом лечения. Кроме того, такой подход уменьшает общее время лечения, как и количество необходимых ятрогенных вмешательств, а процесс реабилитации становиться более комфортным для самого пациента, обеспечивая при этом адекватные эстетические и функциональные результаты.
Случай успешного лечения хронического генерализованного пародонтита в стадии обострения
В стоматологическую поликлинику к пародонтологу обратилась 40-летняя женщина. Её беспокоило состояние полости рта: в течение последних месяцев оно значительно ухудшилось.
Жалобы
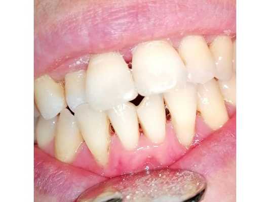
Пациентка жаловалась на постоянную кровоточивость дёсен при чистке зубов и приёме пищи, отёк и синюшность дёсен, признаки гниения, течение гноя, неприятный запах изо рта, обильный зубной камень, подвижность и смещение зубов.
Анамнез
Профессиональная чистка зубов проводилась больше 10 лет назад, после неё наступило временное улучшение. По поводу заболеваний пародонта раньше не обращалась.
В последние месяцы состояние полости рта заметно ухудшилось: зубы стали подвижными и начали смещаться.
Во время опроса пациентка рассказала о наследственной предрасположенности к болезням пародонта. Вредных привычек у неё нет, общесоматические заболевания не выявлены.
Обследование
При внешнем осмотре пациентки патологических изменений не обнаружено, кожа чистая, лицо симметричное. Поднижнечелюстные лимфоузлы слегка увеличены, подвижны, с окружающими тканями не спаяны. Рот свободно и полностью открывается.
В полости рта отмечается гиперемия (покраснение) и отёк, участки некроза и галитоз (неприятный запах изо рта). Края дёсен обильно кровоточат сами по себе, а также при зондировании и пальпации.
Под десневым краем и над ним есть значительный зубной налёт и камень, зубодесневые карманы больше 5 мм.
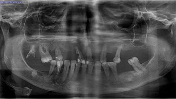
По результатам рентгендиагностики (ортопантомогафии) выявлено неравномерное разрушение половины костной межзубной перегородки по смешенному типу (горизонтальное и вертикальное), а также кистогранулёмы и значительное разрушение в области трёх жевательных зубов (26, 27 и 47).
Диагноз

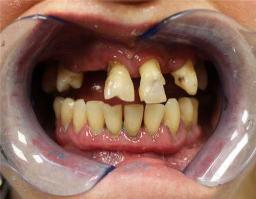
Хронический генерализованный пародонтит средней степени тяжести в стадии обострения (фото до лечения)

Лечение
- антибактериальную терапию в дозировке 500 мг 2 раза в день в течение 7 дней;
- полоскание полости рта антисептиками 3 раза в день в течение 14 дней.
Под прикрытием антибиотика удалили разрушающиеся зубы (26, 27 и 47-й), высвободили гной, провели кюретаж (выскабливание) альвеол, вырезали все грануляции и кистогранулёмы, остановили кровотечение, наложили швы.
- провели профессиональную гигиену полости рта комбинированным методом (ультразвуковая чистка и полировка зубов);
- выполнили кюретаж патологических зубодесневых карманов: удалили грануляции, обработали ткани антисептиком, сделали диатермокоагуляцию (прижигание);
- ввели лекарство в патологические зубодесневые карманы, наложили лечебные повязки на десневые края верхней и нижней челюсти.
После лечения пародонта и снятия острых симптомов болезни равномерно пришлифовали зубы по Дженкельсону, восстановили кариозные зубы. Повторно провели обучение гигиене. Назначили щадящую диету.
Состояние пародонта, по словам пациентки, значительно улучшилось: кровоточивость и отёк прошли, зубные отложения не появились, зубы стали менее подвижными.
Рекомендовано посетить пародонтолога через три месяца после основного лечения, а затем регулярно посещать его раз в шесть месяцев. Чтобы укрепить зубы и равномерно распределить нагрузку, желательно выполнить шинирование. В дальнейшем может потребоваться протезирование.
Результатом лечения пациентка осталась довольна, несмотря на достаточно неприятные процедуры. Отметила, что нужно было обратиться к врачу раньше.
Заключение
Реабилитация пациента с хроническим генерализованным пародонтитом и субтотальной атрофией верхней челюсти
В данном клиническом случае представлена реабилитация пациента с хроническим генерализованным пародонтитом тяжелой степени и субтотальной атрофией верхней челюсти без аугментации костной и мягких тканей в 2 хирургических этапа.

На сегодняшний день, тяжелая атрофия или резорбция костной ткани челюстей является довольно распространенной патологией, с которой врачи стоматологи регулярно сталкиваются в повседневной практике. Данное состояние может возникнуть вследствие различных факторов, таких как: генерализованный пародонтит тяжелой степени, предшествующее травматичное удаление зубов или неудачная реабилитация с применением имплантатов и костнопластических вмешательств, длительное ношение съемного протеза, тонкий биотип пародонта и индивидуальные анатомические особенности пациента. При этом, именно из-за анатомических особенностей атрофия костной ткани верхней челюсти является является более сложной клинической задачей, чем атрофия нижней челюсти. В подавляющем большинстве случаев, реабилитация пациентов с атрофией нижней челюсти возможна с применением таких концепций лечения (не предполагающих аугментации), как all-on-4 и Trefoil. Таким образом, зачастую клиницисту необходимо выполнять сложные протоколы аугментации костной и мягких тканей на тотально атрофированной верхней челюсти, которые увеличивают сроки лечения и риск осложнений и не предполагают адекватной несъемной временной конструкции для пациента. Стоит также отметить, что интеграция имплантатов в восстановленную кость хуже, а «выживаемость» их меньше, чем в нативной остаточной кости.
Не в последнюю очередь, необходимо учитывать пожелания пациентов, которые категорически не хотят дополнительных хирургических вмешательств и жить «без зубов».
В современной медицине, в особенности стоматологии, отчетливо задано направление на уменьшение травматичности, риска и сроков лечения. На наш взгляд, концепция лечения с применением скуловых имплантатов Nobel Zygoma отвечает всем вышеперечисленным требованиям, что подтверждено авторитетными клиническими исследованиями.
На примере данного клинического случая, мы попытаемся продемонтсрировать преимущества концепции Nobel QuadZygoma с немедленной нагрузкой.
Пациентка обратилась в клинику “Центр несъемного зубного протезирования” с жалобами на отсутствие зубов, нарушение жевания, неудовлетворительную эстетику, подвижность оставшихся зубов. Основными пожеланиями пациентки были: «ни дня без зубов» (наличие адекватной временной конструкции на любом этапе лечения), минимум вмешательств и визитов в клинику, несъемное протезирование обеих челюстей по окончании лечения. После сбора анамнеза и обследования был поставлен диагноз: хронический генерализованный пародонтит тяжелой степени (фото 1 - 3). Пациентке было предложено лечение с использованием дентальных и скуловых имплантатов в 2 этапа.



Первый этап лечения включал в себя следующие манипуляции:
- Удаление всех оставшихся зубов и санация очагов воспаления
- Выполнение операции по концепции all-on-4 с использованием имплантатов Nobel Parallel CC по классическому протоколу Palo Malo (фото 4)
- Изготовление полного съемного иммедиат-протеза на верхнюю челюсть

Переход ко второму этапу состоялся через 3 месяца, этот срок был необходим для нормального заживления лунок удаленных зубов на верхней челюсти, с целью создания как можно большего количества прикрепленной десны. Стоит пояснить, что технически можно было провести одномоментное удаление зубов на верхней челюсти и установку скуловых имплантатов и завершить всю хирургию в один этап, но по мнению экспертов Ruben Davo и Chantal Malevez это увеличивает риски периимплантита и возникновения патологического кармана в области шейки имплантата из-за заживления данной области вторичным натяжением и уменьшения количества прикрепленной десны. Таким образом, мы немного увеличили сроки реабилитации, но значительно уменьшили риск осложнений и создали предпосылки для адекватного формирования мягких тканей в области шейки имплантата, что является критически важным условием для последующего функционирования конструкции.
Второй хирургический этап выполнялся по классическому протоколу, описанному Ruben Davo:
- Разрез и скелетирование переднебоковой стенки верхней челюсти (фото 5)
- Формирование костно-надкостнично-слизистого лоскута в области боковой стенки верхнечелюстной пазухи, отслаивание слизистой оболочки пазухи (фото 6)
- Смещение лоскута кнутри и формирование доступа к скуловой кости (фото 7)
- Скелетирование внутренней поверхности скуловой кости, создание метки для верхнего имплантата (фото 8)
- Препаровка костного ложа для верхнего имплантата (фото 9)
- Установка верхнего имплантата в позицию 1.3 (фото 10)
- Препаровка костного ложа для нижнего имплантата (фото 11)
- Установка нижнего имплантата в позицию 1.6 (фото 12)
- Примерка и установка мультиюнитов и ушивание (фото 13)
- Аналогичные действия были выполнены с левой стороны с установкой имплантатов в позиции 2.3 и 2.6 (фото 14)
- Рентген-контроль (фото 15)
- По окнчании операции был фиксирован армированный адаптационный протез - фото через 3 суток после операции (фото 16, 17)













Через 6 месяцев после операции первичные адаптационные протезы были заменены на новые адаптационные протезы с армированием (фото 18, 19, 20, 21, 22). Фотографии выполнены через 8 месцев после функционирования второго адаптационного протеза. На снимках видно достаточное количество прикрепленной слизистой, которое удалось создать благодаря правильному позициониравнию имплантатов и естественному заживлению после удаления (фото 23, 24).







При выполнении сложного тотального протезирования с опорой на имплантаты, мы солидарны с позицией эксперта Palo Malo, который рекомендует использование двух адптационых протезов на первые 6 и затем на 6-12 месяцев, с последующим переходом к изготовлению постоянной конструкции. Мы считаем, что это особенно актуально при выполнении протезирования с опорой на скуловые имплантаты для минимизации рисков и достижения долгосрочного стабильного результата.
Подводя итог, хотелось бы отметить следующие преимущества концепции лечения QuadZygoma с немедленной нагрузкой:
- Возможность имплантации при любой степени атрофии костной ткани верхней челюсти
- Возможность немедленной нагрузки в рамках “one-day treatment concept”
- Высокая предсказуемость и выживаемость скуловых имплантатов (97.5% during 5-year pospective study R. Davo et al., 2013)
- Меньшее количество операций и меньший риск осложнений по сравнению с аугментацией
Несмотря на перечисленные преимущество, данная концепция лечения является очень сложной методикой и неправильное выполнение её протокола может привести к тяжелым осложнениям и фатальным последствиям для пациента и врача. Мы рекомендуем выполнение данной методики только опытным врачам, прошедшим специальное обучение у врачей-экспертов, обладающих специальными знаниями и навыками.
Пациентка удовлетворена эстетикой и функцией выполненной работы, что является дополнительным (иногда даже основным) результатом успеного лечения (фото 25, 26).


Мы надеемся, что данный клинический случай был интересен и показателен, и явился примером работы команды опытных профессионалов «Центра несъемного зубного протезирования»:
Классическая или имплантация с немедленной нагрузкой? Разбор клинического случая
17.04.2018
Автор статьи: Васин Ю.А., стоматолог-ортопед со стажем работы более 27 лет. Имплантация зубов и последующее протезирование проводились на предыдущем месте работы врача-ортопеда в тесном сотрудничестве с имплантологом.
Более 8 лет пациент пользовался односторонним бюгельным протезом с замковым креплением ригельно-запирающего типа, но после небольшой травмы, завершившейся воспалительным процессом, опорные зубы, покрытые коронками, пришли в негодность. Пришлось обратиться за стоматологической помощью.
Согласно данным ортопантомограммы было определено: деструкция и резорбция, т.е. потеря и убыль костной ткани в области корней зубов под металлокерамическими коронками на нижней челюсти слева и под мостовидным протезом в области верхушки корней справа. Перелечиванию и использованию в ортопедической конструкции эти зубы не подлежали, поэтому было показано их удаление.

В месте установки будущих имплантатов проведена костная пластика для сохранения объема кости. Через два с половиной месяца после проведения компьютерной томографии нижней челюсти было решено установить внутрикостные винтовые имплантаты.

Справа был установлен один имплантат. Из-за большой протяженности зубного дефекта на левой стороне нижней челюсти установили три имплантата - оптимальное количество для поддержки мостовидного протеза из четырех металлокерамических коронок. На панорамном снимке видно расположение установленных имплантатов.
По прошествии двух месяцев пациенту был назначен визит для установки металлокерамических коронок.

На данном слепке видны реплики или аналоги имплантов - вся информация о нынешнем состоянии полости рта переносится на лабораторную модель, которая позволяет создать индивидуальные мостовидные протезы.
Абатменты для цементной фиксации установлены на имплантаты, затянуты винтом с определенной динамометрической нагрузкой и изолированы гуттаперчей.
«Abutment» или абатмент - соединительный элемент, установленный на имплантате и служащий опорой для ортопедической конструкции.
Ниже на фото - окончательный вид установленных металлокерамических коронок в полости рта. Жевательная и эстетическая функции с левой стороны восстановлены мостовидным протезом, состоящим из четырех металлокерамических коронок, три из которых выполнены с опорой на имплантаты.

Какие могли быть альтернативы?
Другим альтернативным решением этой проблемы могло стать съемное протезирование. К примеру, изготовление шинирующего бюгельного протеза со множеством видимых металлических элементов или применение бюгельного протеза на микрозамках, с покрытием металлокерамическими коронками всех зубов нижней челюсти.
Бюгельный протез - дешевле имплантации. Но нужен ли он пациенту? Снимать протез, чистить, мыть его и, самое главное, забыть где-нибудь или потерять. Пациент выбрал удобство, психологический комфорт, эстетику и еще раз удобство.
Но и с точки зрения имплантации зубов у пациента также был выбор: вместо классического протокола можно было отдать предпочтение методам одноэтапной имплантации с немедленной нагрузкой, отказаться от наращивания костной ткани и получить новый и функциональный протез уже на 3-4 день. Этот случай довольно показательный: лечение было проведено около 7 лет назад, когда в нашей стране только происходило зарождение протоколов, которые позволяют провести имплантацию зубов в столь короткие сроки. Возможно, пациент о них еще не знал, возможно - просто побоялся решиться на столь инновационное лечение. Но сегодня его мнение наверняка бы поменялось - специалисты нашей клиники Smile-at-Once имеют огромный опыт проведения имплантации в подобных клинических ситуациях с гарантированным результатом, который сохранится на долгие годы: без наращивания кости, с новыми зубами, которые полноценно функционируют, выглядят естественно и прекрасно.
Об авторе: Васин Юрий Александрович,
стоматолог-ортопед клиники Smile-at-Once
со стажем работы более 27 лет
Специалист в области съемного и несъемного протезирования, проведения эстетической реставрации зубов. Использует индивидуальный подход к лечению, проводит подбор наиболее подходящего способа восстановления жевательной и эстетической функции поврежденных зубов, опираясь на объективные данные состояния зубочелюстной системы пациента. Специализируется на протезировании зубов на имплантах с использованием одиночных коронок, съемных и условно-съемных конструкций. Проводит лечение заболеваний височно-челюстного сустава.
Восстановление зубов при пародонтите: когда корни оголены, а зубы подвижны и выпадают
В этом разделе вы узнаете об особенностях восстановления отсутствующих зубов на фоне пародонтита имплантами и о вариантах сохранения соседних зубов при I и II стадиях пародонтита.
Пародонтит (часто называют пародонтоз) - самая распространенная причина ранней потери зубов. Заболевание приводит к нарушению питания клеток тканей пародонта, воспалению связочного аппарата, который обеспечивает удержание зуба в лунке, а также рассасыванию костной ткани. Воспаление тканей пародонта, к сожалению, встречается не только у пожилых людей как следствие естественного старения организма и недостаточной гигиены. Тяжелая форма пародонтита, по данным статистики, наблюдается примерно у 20% пациентов стоматологических клиник в возрасте от 35 до 45 лет 1 .
Чем опасны пародонтит и пародонтоз для пациента?
- воспаление связочного аппарата зубов и близлежащей костной ткани,
- образование объемных десневых карманов,
- убыль или сокращение десны, как следствие - оголение корней зубов, что чревато повышением чувствительности и повышенным риском развития кариеса,
- скопление большого количества зубных отложений,
- неприятный запах изо рта в следствии загнивания остатков пищи и налета глубоко в карманах,
- рецессия десны и оголение корней,
- развитие периодонтита - образование кист и гранулем на корнях зубов,
- нарушение эстетики зубного ряда - из-за отсутствия зубов, изменения их оттенка и появления щелей в области корней,
- подвижность и потеря зубов.

Но, к сожалению, воспаление не ограничивается лишь одной полостью рта. Пародонтит приводит ко множеству проблем всего организма - нарушению работы желудочно-кишечного тракта (что логично, т.к. вместе с пищей мы проглатываем патологические микроорганизмы, которые находятся в полости рта), патологиям сердечно-сосудистой системы и даже почек! Читайте подробнее в статье "Природа и опасности пародонтита"
Еще 10 лет назад пародонтит был неизлечимым заболеванием. Медицине были неизвестны методы купирования воспаления и восстановления связок пародонта для сокращения глубины пародонтальных карманов. Все меры были направлены лишь на улучшение гигиены чтобы остановить воспалительный процесс и замедлить течение пародонтита. При этом глубина пародонтального кармана не уменьшалась и при неудовлетворительной гигиене заболевание брало вверх.
Порочный круг пародонтита при потере зубов
Собственным зубам для крепления в зубном ряду необходимы околозубные связки и достаточный объем костной ткани. Среда обитания патогенной флоры пародонтита как раз находится вокруг зуба и ведет к разрушению этих связок, кости и как следствие - к потере зубов. Но если зуба нет, то нет и среды для развития заболевания.
При этом нарушение целостности зубного ряда способствует развитию пародонтита, так как без жевательной нагрузки кость в области отсутствующего зуба атрофируется (уменьшается в объеме), соседние зубы под давлением и из-за сверх нагрузки "работая за двоих" постепенно сдвигаются в область пустого пространства. Тем самым образуются промежутки между зубами, растягиваются и ослабевают связки пародонта, пародонтальные карманы увеличиваются и заболевание приобретает агрессивный характер.

Восстановление утраченных зубов традиционными методами - мостовидные протезы с опорой на свои зубы или съемные протезы, только усугубляет ситуацию. Съемные протезы не передают нагрузку на кость, а еще больше ее утрамбовывают. Крепятся кламмерами за соседние зубы и на фоне развивающейся атрофии теряют фиксацию и повреждают (натирают) мягкие ткани при жевании.
Зубные мосты для закрепления требуют обточки собственных зубов - это уже вред и их отдаленный приговор. Атрофия кости в зоне отсутствующего зуба, которая закамуфлирована коронкой моста продолжается, десна проседает, под промежуточной коронкой скапливаются микробы и остатки пищи - среда обитания пародонтита. Опорные зубы сдвигаются и в итоге ломается конструкция всего моста, а вместе с ней пациент теряет и опорные зубы.
В запущенных стадиях лечение пародонтита даже с применением новейших методик лечения неэффективно и порой единственный способ остановить воспалительный процесс - это удалить пораженные подвижные зубы, так как заболевание начинает серьезно вредить всему организму. Поэтому очень важно при выявлении диагноза не забрасывать ситуацию, а начать бороться c заболеванием сразу.
Имплантация - единственный эффективный способ

Импланты вкручиваются в кость, им не нужны связки пародонта для закрепления. Поверхность шеек специальных имплантов резистентная к скоплению микробов. Таким образом, имплантация зубов является единственным эффективным способом восстановления зубов в условиях пародонтита, но только если заболевание купировано. Пациент избавляется от хронического пародонтита, периодонтальные связки восстанавливаются, а мягкие ткани укрепляются, ремодулируются и при хорошей гигиене служат естественным барьером проникновения инфекции в кость.
Целостность зубного ряда и правильное распределение жевательной нагрузки способствует:
- стимулированию кровообращения и нормализации питания клеток кости и десен,
- останавливает неравномерное распределение жевательной нагрузки и перегруз зубов,
- предотвращает изменение прикуса и подвижность зубов.
Нельзя устанавливать импланты рядом с зубами, пораженными пародонтитом. Если остальные зубы как основной источник «заразы» оставить без комплексной терапии, то развитие инфекции приведет к атаке патогенной микрофлоры на стоящие рядом импланты и мягкие ткани вокруг них, а это осложнения и даже отторжение. Поэтому в первую очередь перед имплантацией нужно пройти комплексный курс лечения пародонтита и снизить риски.
БУДЬТЕ ОСТОРОЖНЫ! Некоторые недобросовестные и неопытные врачи, убеждают пациентов ставить импланты рядом с соседними зубами, пораженными пародонтитом, , не сообщая об опасности и надеясь по сути «на чудо». Ни в коем случае не делайте этого без одновременного лечения и введения пародонтита в состояние стойкой ремиссии. Плюс осознания, что тщательная гигиена при таком подходе в будущем очень важна.
C развитием микробиологии и нано материалов были разработаны препараты, которые не только стабильно купируют заболевание на долгие годы, но и позволяют восстановить последствия сложных форм пародонтита до 80% за 1 год. Сегодня передовая стоматология обладает эффективными инструментами сохранения зубов. Пародонтологические комплексы Smile recovery направлены изначально на устранение среды развития заболевания, а затем обогащение пораженных участков активными факторами роста для создания благоприятной среды естественной регенерации клеток и тканей пациента.
Глубокая чистка пародонтальных карманов и 1-2 процедуры не остановят течение болезни. Пародонтит многогранное заболевание с индивидуальной патогенной флорой у каждого пациента и лечить его нужно соответственно, применяя комплекс анибактериальных и восстановительных мер, подобранных индивидуально после тщательного исследования посева микрофлоры из пародонтальных карманов, составления пародонтограммы, анализа состояния костной ткани по компьютерной томографии и дополнительных анализов крови.
Пародонтологические комплексы Smile recovery, которые действительно работают.
Особенности имплантации зубов при пародонтите
В первую очередь чтобы сохранить оставшиеся зубы пациент должен принять тот факт, что нужно пройти достаточно долгий курс лечения, как правило 1 год. Ведь связкам пародонта и кости нужно восстановиться, а это не быстрый процесс. Просто поставить импланты при пародонтите плохая идея, так как условия неблагоприятные:
- присутствуют атрофия и разрыхление костной ткани,
- импланты плохо фиксируются в воспаленной кости,
- после установки импланты окружены воспаленными тканями, что может привести к нарушению их фиксации и последующему отторжению,
- наращивание кости затруднено - при наличии воспаления подсаженный материал может не прижиться.
Хорошая новость заключается в том, что благодаря пародонтологическим комплексам под наблюдением пародонтолога можно ввести в состояние стойкой долговременной ремиссии ранний и умеренный пародонтит (I и II стадия) одновременно восстановив недостающие зубы. Плохая новость для тех, у кого выявлены острые формы и запущенные стадии, когда наблюдается выпадение или подвижность зубов - удаление всех зубов и замена их на импланты самый эффективный вариант. В случае, если исходная ситуация позволяет совместить процедуры, импланты будут установлены одномоментно - в лунки удаленных зубов.
Надежда Александровна Селфи и отзыв после проведения имплантации всех зубов, в том числе с применением скуловых имплантов
Ольга Вячеславовна Через 10 месяцев после проведения имплантации all-on-6 - осмотр, коррекция и гигиена
- Селфи и отзыв после проведения имплантации всех зубов, в том числе с применением скуловых имплантов
Со словами благодарности лечащим врачам - отзыв и фото после проведения протезирования по технологии all-on-4: «Большое спасибо Евгению Александровичу за прекрасно выполненную работу! Юрию Александровичу за красивую улыбку! Дай Вам Бог здоровья и процветания. С наступающим Новым годом!»
Читайте также:
