Смыкание зубов в передне-заднем направлении. Смыкание при ортогнатическом прикусе.
Добавил пользователь Дмитрий К. Обновлено: 28.01.2026
Ортогнатический (нормогнатический, нормальный) прикус относят к самой совершенной в анатомическом и функциональном плане форме смыкания зубных рядов. У современного человека он является наиболее распространенным прикусом. При изучении смыкания зубных рядов в положении центральной окклюзии необходимо рассматривать его в трех плоскостях: горизонтальной, сагиттальной и фронтальной. Причем одни признаки смыкания относятся ко всем зубам, другие — только к передним, а третьи — только к боковым.
Для всех зубов характерны следующие признаки смыкания. Каждый зуб вступает в контакт, как правило, с двумя антагонистами, из которых один называется главным, а другой — побочным. По одному антагонисту имеют лишь верхние зубы мудрости и нижние центральные резцы. Каждый верхний зуб смыкается с одноименным нижним и позади стоящим, а каждый нижний — с одноименным верхним и впереди стоящим. Это объясняется преобладанием в ширине верхних центральных резцов над нижними. По этой причине нижние зубы смещены медиально по отношению к зубам верхнего зубного ряда. Верхний зуб мудрости уже нижнего, поэтому медиальное укорочение нижнего зубного ряда выравнивается в области зубов мудрости и их дистальные поверхности лежат в одной плоскости.
Говоря о признаках смыкания передних зубов, прежде всего следует иметь в виду особенности перекрытия. Верхние передние зубы перекрывают нижние приблизительно на ⅓ высоты коронки, нижние передние зубы своими режущими краями контактируют с небной поверхностью верхних. Это так называемый режуще-бугорковый контакт. При смыкании зубных рядов линии между центральными резцами верхней и нижней челюстей лежат в одной сагиттальной плоскости. Это обеспечивает эстетический оптимум.
Особенности смыкания боковых зубов заключаются в следующем: в трансверзальной плоскости щечные бугорки верхних боковых зубов расположены кнаружи от одноименных бугорков нижних зубов. Благодаря этому небные бугорки верхних зубов размещаются в продольных бороздках верхних зубов. Перекрытие верхними передними и боковыми зубами нижних объясняется большей шириной верхней зубной дуги. Эта особенность смыкания зубных рядов в щечном направлении обеспечивает свободу и большой размах боковых движений нижней челюсти, расширяя окклюзионное поле.
Смыкание жевательного зубов в передне-заднем (сагиттальном) направлении обычно изучают по особенностям контакта первых постоянных моляров. При ортогнатическом прикусе передний щечный бугорок первого верхнего моляра располагается на щечной стороне нижнего первого моляра, в поперечной бороздке между щечными бугорками. Такое положение антагонирующих бугорков боковых зубов иногда называют мезиодистальным соотношением.
Ссылка: Прикус
Свежие записи
Поиск по сайту
Заметили опечатку?
Мы используем куки для наилучшего представления нашего сайта. Если Вы продолжите использовать сайт, мы будем считать что Вас это устраивает. Согласен
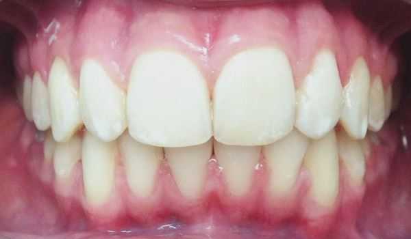
Ортогнатический прикус
Ортогнатический прикус - это классический вариант строения черепной коробки, при котором лицевая кость и верхняя челюсть находятся в одной проекции и на одном уровне. Такой прикус считается нормальным (нормогнатическим) и встречается у 50 % детей и взрослых. При ортогнатическом прикусе верхние и нижние резцы плотно смыкаются друг с другом, не образуя щелей и просветов. Зубы при таком строении черепа ровные, а сцепление верхнего и нижнего зубного ряда имеет максимальную плотность.

В каком возрасте формируется нормальный прикус?
Нормогнатический прикус формируется у детей до двухлетнего возраста. Большую роль в развитии прикуса играет своевременное введение прикорма и отказ от сосок и бутылочек. Несмотря на то, что многие консультанты по грудному вскармливанию советуют кормить ребенка грудью до 2 лет (а если мама не испытывает дискомфорт, и у нее хватает молока, то и до трех), педиатры и детские стоматологи настоятельно рекомендуют заканчивать кормление грудью до достижения полуторагодовалого возраста. Если ребенок долго сосет грудь или бутылочку, лицевые мышцы не получают необходимую нагрузку, и это приводит к развитию отклонений в формировании прикуса.
То же самое относится и к пустышкам. Отучать ребенка от соски-пустышки нужно до того момента, пока ему не исполнился год. В дальнейшем сделать это будет сложнее, а постоянные сосательные движения могут способствовать выдвижению верхней челюсти вперед и формированию неправильного сцепления верхнего и нижнего зубного ряда.

Ортогнатический прикус. Вид сбоку
Схема введения прикорма для формирования правильного прикуса
| Возраст | Что вводить? |
|---|---|
| 5-6 месяцев | Фруктовое пюре, овощное пюре, фруктовый сок |
| 6-7 месяцев | Пюре из мяса и птицы, безмолочные и молочные каши, овощной сок |
| 8 месяцев | Печенье, сушки, твердые сухарики, творог, растительное масло, яйцо |
| 9-10 месяцев | Пюре из рыбы, фруктовые и овощные пюре с кусочками фруктов и овощей, отварные овощи кусками, сырые твердые фрукты и овощи |
| С 12 месяцев | Продукты с взрослого стола, исключая жареные, жирные, острые, копченые и маринованные продукты |
Важно! К годовалому возрасту важно сокращать количество кормлений грудью или из бутылочки. Слишком длительное сосание может стать причиной неправильного роста костей челюсти и формирования патологического прикуса.

Формирование неправильного прикуса у детей
Признаки ортогнатического прикуса у детей и взрослых
Диагностика ортогнатического прикуса у взрослых и детей до 12 лет имеет определенные отличия. Если взрослого человека попросить сомкнуть зубы, можно заметить, что верхние резцы незначительно заходят за нижний передний бугор. Длина этого перекрытия при нормогнатическом прикусе не должна превышать 2-3 мм. Если нижние зубы уходят за верхнюю челюсть на более длительное расстояние, можно говорить о неправильном формировании зубного ряда. Еще одним важным признаком ортогнатического расположения верхней челюсти относительно лицевой кости черепа является расположение зубного ряда под небольшим углом по отношению к оси челюсти.
У детей определить ортогнатический прикус можно по следующим проявлениям:

Виды физиологического прикуса
Важно! Первые признаки врожденных аномалий прикуса можно заметить еще в период младенчества. Первый осмотр стоматолога рекомендуется проводить в возрасте 6-8 месяцев. Повторная консультация - в 1 год.
Роль ортогнатического прикуса в работе организма
Правильный прикус не только обеспечивает красивую улыбку, но и выполняют важную функцию в работе органов пищеварительной системы. Если зубной ряд сформирован неправильно, некоторые зубы (клыки и моляры) не смогут эффективно измельчать и пережевывать пищу. Это негативно отражается на функционировании желудка, так как он не может переварить и усвоить плохо пережеванные продукты. Во время прохождения по кишечнику плохо переваренный пищевой комок может травмировать его стенки и вызывать острое или хроническое воспаление слизистых оболочек толстой или тонкой кишки (неинфекционный колит).

Правильное расположение зубов относительно оси челюсти также влияет на четкость речи. Это особенно важно для людей, чья профессиональная деятельность связана с постоянными речевыми нагрузками: учителей, певцов, дикторов. Нечеткая речь в детском возрасте может стать причиной насмешек со стороны сверстников, что приведет к снижению самооценки, замкнутости, изоляции от социума, плохой адаптации к смене окружающих условий.
Важно! Некоторые подростки очень болезненно переживают любые замечания по поводу внешнего вида, особенно если они связаны с патологиями челюсти. Известны случаи подросткового суицида из-за насмешек одноклассников по поводу неправильного прикуса, поэтому родители должны уделять особое внимание диагностике и коррекции возможных нарушений.

Расположение и функции зубов
Почему прикус может испортиться?
Если у взрослого человека ортогнатическое строение верхней челюсти, это не значит, что прикус будет идеальным всю жизнь. Существует много факторов, способных повлиять на прикус, поэтому важно уделять особое внимание здоровью полости рта и регулярно проходить профилактический осмотр у стоматолога. Это поможет своевременно выявить признаки имеющихся отклонений и нарушений и провести ортодонтическое лечение. Ниже перечислены основные причины формирования неправильного прикуса у взрослых людей.
Плохая гигиена ротовой полости
Нерегулярная чистка зубов, использование некачественной зубной пасты и щетки, пренебрежение мерами дополнительного гигиенического ухода за зубами - все это способствует формированию инфекционных очагов в полости рта и развитию кариеса. Если человек на данном этапе не обратится к стоматологу, кариес может пойти вглубь и поразить шейку зуба, прикорневую зону и сам корень. Глубокий кариес в большинстве случаев заканчивается удалением зуба и образованием свободного пространства между зубами.

Физиологические виды прикуса
Нарушение целостности зубного ряда приводит к смещению рядом стоящих зубов и их отклонению относительно правильно расположенной оси. Чтобы этого избежать, на место удаленного зуба рекомендуется устанавливать микропротез или зубной имплант.
Хронические заболевания ЛОР-органов
Если человек часто болеет респираторными инфекциями, ангинами, фарингитом и другими болезнями ротоглотки или носоглотки, риск нарушений в строении и расположении зубного ряда будет в несколько раз выше, чем у людей, которые редко сталкиваются с патологиями верхних и нижних дыхательных путей. Основная причина - нарушение дыхательной функции и трудности с носовым дыханием. Человек вынужден дышать ртом, в результате челюсть в течение длительного времени находится в неестественном положении.

Последствия неправильного прикуса
Чтобы снизить вероятность частых простуд и инфекций дыхательной системы, нужно уделять достаточно внимания профилактике респираторных заболеваний, личной гигиене и укреплению иммунитета. Особенно полезны закаливающие процедуры, гимнастика, частые прогулки и плавание.
Вредные привычки
Некоторые вредные привычки также могут привести к нарушению прикуса, если повторяются на протяжении длительного периода времени. Это может быть жевание жевательной резинки, частое сплевывание слюны, закусывание губ, употребление большого количества семечек (особенно, если человек удаляет шелуху при помощи зубов). В детском возрасте неправильный прикус часто является результатом длительного сосания пустышки или бутылочки, а также вредных привычек у детей постарше - сосания пальца и обгрызания ногтей.
Ортогнатический прикус - классический вариант строения верхней челюсти относительно лицевой кости черепа. Если уделять достаточно внимания гигиене ротовой полости и профилактике стоматологических болезней, сохранить правильный прикус и здоровье зубов можно на всю жизнь.
Что такое ортогнатический прикус и как сохранить его правильным?

Сверкающей красивой улыбкой обладают далеко не все люди, ведь существует множество факторов, которые могут повлиять на эстетику. Одним из условий здоровья зубов и всей полости рта в целом является правильный прикус.
В частности, в эту категорию попадает и ортогнатический прикус, которому посвящена сегодняшняя статья.
Содержание статьи:
Что собой представляет?
Прежде всего, необходимо четко определиться с понятием «прикус». Его определяет соотношение зубных рядов с максимально большим количеством точек контакта, то есть при центральной окклюзии.
Считается нормой, что суставные головки подвижной нижней челюсти в таком состоянии располагаются у самой основы бугорков.
Все типы прикусов можно разделить на две большие группы. Первая - физиологические - включает в себя те случаи, когда все функции зубочелюстной системы выполняются в полном объеме, что не зависит от каких-либо морфологических особенностей.

В этой группе первым значится ортогнатический прикус.
Иначе этот тип смыкания челюстей называют ортогнатией, что обозначает в переводе с греческого языка «правильная челюсть». Он является наиболее распространенным среди населения в современном мире.
Признаки
Характеристики, по которым определяется ортогнатический прикус, можно разделить на три группы сообразно тому, к какой именно области они будут относиться: отдельно к жевательным зубам, отдельно к центральной группе и в целом ко всей зубной дуге.
Вся дуга
- Обе дуги принимают форму правильных кривых: нижняя - параболы, а верхняя - эллипсоида.
- Большинство зубов при сведении челюстей касаются двух зубов-антагонистов. Их называют побочным и главным, который является одноименным.
В качестве исключения называют верхние «восьмерки» и нижние резцы - у них есть только один антагонист. - Из двух антагонистов зубов, принадлежащих верхнему ряду, побочный стоит глубже по дуге. Обратное утверждение будет верно для антагонистов к зубам нижней дуги - побочным является верхний, стоящий спереди.
- Апроксимальные поверхности (то есть те, которые обращены к соседним зубам своего же ряда) имеют определенные точки контакта, в которых зубы противоположных рядов касаются при смыкании друг друга.
- Не принимая во внимание клыки (как исключение), коронки всех остальных зубов постепенно становятся меньше по высоте, если двигаться от центральных к задним.
- Коронковые части всех нижних зубов наклонены немного в середину полости рта, а корни - наружу, к щекам. С верхними дело обстоит наоборот: их корни направлены ко внутренней части, а коронки - к внешней.
- Верхним рядом перекрывается нижний. Причина этому - меньшие размеры нижней дуги. Это обеспечивается определенными соотношениями зубных дуг с альвеолярными и базальными.
Какие правила необходимо соблюдать для формирования правильного прикуса у ребенка, смотрите на видео:
Фронтальная группа зубов
Признаки, которые характеризуют тип смыкания зубов, расположенных в передних выступающих участках челюстей:
- серединные линии, которые лежат между двумя центральными резцами как верхней челюсти, так и нижней, должны быть расположены на одной прямой;
- перекрытие нижних коронок верхними происходит ножницеобразно, при этом размер перекрытия составляет третью часть длины коронки, то есть 1,5-3 мм.
Жевательные зубы
Характеризовать особенности смыкания жевательных зубов можно двояко, по двум основным направлениям - щечно-небное и передне-заднее.
Щечно-небное направление:
- В нижнем ряду язычные бугры лежат глубже (ближе к внутренней части) небных бугров верхнего.
- Снаружи от щечных бугров (нижние зубы) расположены аналогичные бугры верхнего, и наоборот. Это приводит к совпадению верхних бугров с нижними продольными бороздками. Так же происходит и в обратном направлении.
- Наружные (щечные) и внутренние (язычные) бугры располагаются по обеим сторонам челюсти на разных уровнях.
Передне-заднее направление:
- Положение переднего внешнего бугра верхних первых моляров находится между внешними буграми на внешней стороне первых нижних моляров в поперечной бороздке.
- В нижнем ряду (от последнего моляра до премоляров) жевательные поверхности образуют собой вогнутую сагиттальную плоскость.
Также следует добавить, что между отдельными коронками не должно быть щелей и промежутков.
Все признаки ортогнатического прикуса, считающегося идеальным, проверяются в состоянии максимального смыкания.
Однако большую часть времени челюсти разомкнуты, находясь в состоянии покоя (физиологического).
При ортогнатическом прикусе в этом состоянии между двумя зубными рядами, нижним и верхним, будет отмечаться некоторое свободное пространство, которое обычно составляет от 2 до 4 мм.
Почему важно идеальное расположение?
Ортогнатия обеспечивает четкое и правильное перераспределение нагрузок, возникающих при жевании, а это предупреждает развитие многих заболеваний пищеварительной системы.
Расположение зубов и строение зубочелюстной системы в этом случае не приводит к физиологическим нарушениям дикции, функции речи и дыхания.

Фото: ортогнатический прикус
Кроме всего перечисленного, ортогнатический прикус способствует максимально эстетичному внешнему виду и не вызывает каких-либо изменений в лицевом строении.
Также следует особенно отметить тот факт, что именно анатомически и физиологически правильно расположенные зубы позволяют обеспечить должный уровень гигиенического ухода и надолго уберечь пациента от многих стоматологических заболеваний.
Тот факт, что ортогнатический прикус имеет ножницеобразное строение, обеспечивает увеличение жевательной поверхности, что позволяет максимально комфортно и качественно пережевывать пищу.
Дополнительным преимуществом является и то, что такое строение позволяет дать нижней челюсти гораздо большую свободу для улучшения функции жевания, чем это возможно при других типах прикуса.
Этот тип смыкания челюстей также практически исключает травмирование мягких тканей (слизистой языка и щек) в обычных условиях, что является одной из мер, направленных на профилактику стоматитов и воспалительных процессов в полости рта.
В каких случаях может потребоваться лечение?
Обычно лечение у врача-ортодонта - не для тех, кто имеет физиологически правильный ортогнатический прикус. Однако особенности строения зубочелюстной системы в некоторых случаях могут и при этом типе прикуса требовать определенной коррекции:
- Иногда при ортогнатическом прикусе может возникать проблема с зубами, стоящими неровно по отношению к остальным в ряду.

Строение зубочелюстного аппарата характеризуется индивидуальными признаками для каждого пациента, поэтому могут быть и другие случаи, требующие вмешательства ортодонта.
Как предотвратить изменения?
Правильное расположение зубов относительно друг друга при ортогнатическом прикусе может со временем изменяться, становясь далеко не идеальным.
Это происходит по самым разным причинам:
- в детском возрасте - развитие некоторых вредных привычек, например, сосание пальца или неоправданно длительное и частое использование соски-пустышки;
- неправильный тип дыхания - ротовое дыхание - также способствует изменению положения зубов. Этому могут способствовать хронические или слишком часто возникающие ЛОР-заболевания;
- потеря зубов вследствие невылеченного кариеса, внезапных травм, возрастных изменений;
- развитие заболеваний тканей пародонта, которые могут стать причиной расшатывания или даже потери зубов.

Это далеко не все факторы, которые могут привести к возникновению патологий зубочелюстной системы, однако одни из наиболее распространенных.
Для сохранения ортогнатии следует не допускать подобных проблем и своевременно их устранять.
Постановку искусственных зубов при ортогнатическом прикусе выполняют относительно центра альвеолярного отростка.
Профилактика изменений прикуса у детей
Существуют определенные меры, которые помогут сохранить правильное смыкание зубных рядов еще с самого детства, пока не сформирован постоянный прикус - на этапе молочного и сменного.
- Для правильного формирования прикуса является важным фактором грудное вскармливание. Если питание искусственное, то необходимо следовать правилам кормления из бутылочки.
- Избавление от привычки сосать палец или пустышку не позже 2 лет.
- Правильное положение во сне, без перекрытия носового дыхания.
- Профилактика и своевременно лечение ЛОР-заболеваний и контроль за правильным дыханием - через нос.
- Употребление в пищу жестких продуктов (свежие фрукты, овощи) позволяет жевательному аппарату функционировать в полную силу для укрепления и защиты.
Последние два пункта также верны для взрослых пациентов.

Также важно соблюдать гигиену полости рта и вовремя, не реже двух раз в год, проходить профилактический осмотр в стоматологической клинике. Это поможет не допустить ранней потери зубов, являющейся одной из причин возникновения патологий.
Если возникают какие-либо сомнения в правильности прикуса, следует пройти профилактический осмотр у стоматолога-ортодонта, так как это поможет вовремя вмешаться в происходящие изменения и сохранить ортогнатический прикус.
Если вы нашли ошибку, пожалуйста, выделите фрагмент текста и нажмите Ctrl+Enter.
Статьи
Согласно медицинской статистике, до 80% людей имеют те или иные нарушения в строении и функционировании зубочелюстного аппарата. В стоматологии врач-ортодонт проводит профилактику, диагностику, лечение выявленных нарушений зубочелюстных аномалий и аномалий прикуса.
Общая информация
В медицинской терминологии окклюзией обозначают взаимоотношения зубов. Стоматолог анализирует состояние жевательной мускулатуры и височно-челюстного сустава в момент, когда происходит сжатие челюстей.
Прикус - это положение зубов по отношению друг к другу при полном смыкании челюстей.
Различают физиологический и патологический или, соответственно, правильный и неправильный прикус.
Физиологический прикус у человека обеспечивает качественное функционирование зубочелюстной системы (пережевывание пищи), четкую дикцию, свободное дыхание и привлекательную улыбку.
При правильном прикусе лицо гармонично, нижние и верхние челюсти сформированы пропорционально, нагрузка на все зубы осуществляется равномерно, вертикальная ось симметрии лица пересекает стык между передними резцами. Это дает возможность человеку тщательным образом пережевывать пищу, не травмируя при этом мягкие ткани или пародонт и не перегружая височно-челюстной сустав.
Физиологические виды прикуса
Ортогнатический
Признан эталонным видом прикуса, так как создает наиболее подходящие условия для обработки пищи при жевании.
- Верхний зубной ряд на треть перекрывает нижний.
- При соединении челюстей зубы тесно контактируют друг с другом.
- Отсутствуют промежутки и щели между резцами.
Бипрогнатический
- Верхние и нижние резцы расположены с небольшим вестибулярным наклоном - в сторону преддверия рта.
- Между резцами при смыкании сохраняется контакт.
- Верхние клыки перекрывают нижние клыки на несколько миллиметров.
Прямой прикус или ортогнатический
Данный вид прикуса диагностируется, когда при смыкании челюстей верхние зубы касаются режущего края нижнего ряда зубов. Отсутствуют пустоты, щели и скученность зубов. Наблюдается правильная окклюзия жевательных зубов.
Когда построение зубов считается неправильным
Основные признаки неправильного прикуса:
- Полное или частичное отсутствие контакта зубов при окклюзии.
- Нарушение процесса пережевывания пищи.
- Дефекты звукопроизношения.
- Изменение формы лица, обусловленное деформациями челюстей.
Патологические типы прикусов
Патологический прикус диагностируется, если присутствуют структурные отклонения от нормальной анатомии в строении зубочелюстного аппарата, а также обнаруживаются нарушения в работе жевательных мышц и височно-челюстного сустава.
Мезиальный
Отличительной особенностью этого вида аномального прикуса является выдвижение вперед нижнего зубного ряда по отношению к верхнему.
У пациентов с мезиальным прикусом характерный внешний вид - массивный выступающий вперед подбородок, верхняя губа западает, профиль лица вогнутый. Присутствуют нарушения акта жевания и дефекты речи.
Глубокий
При глубоком прикусе резцы верхнего зубного ряда более чем на 50% закрывают нижние резцы. В отдельных случаях верхние резцы при смыкании зубов достигают десен нижней челюсти и травмируют их.
Ортогнатический, бипрогнатический, прямой прикус хотя и относятся к норме, однако такие виды прикуса могут быть причиной следующих проблем: повреждение эмали, сколы коронки, травмы мягких тканей ротовой полости.
Открытый
Основной признак патологии - это наличие вертикальной щели между зубными рядами в области фронтальных или жевательных зубов.
Открытый прикус часто формируется на фоне сужения альвеолярных дуг, из-за чего зубы имеют неправильную форму, располагаются скученно.
Симптомы: удлинение нижней трети лица, приоткрытый рот, гипертонус лицевых мышц, нарушенная дикция, затрудненное дыхание, неполноценное пережевывание пищи.
Перекрестный
Зубные ряды за счет смещения нижней челюсти в одну сторону смыкаются подобно ножницам крест-накрест, при этом отмечается недоразвитие челюсти с одной стороны. Выражена лицевая асимметрия.
Дистальный
Это вариант патологического прикуса, при котором нижний зубной ряд сдвигается назад по отношению к верхнему. При этом фронтальная (передняя) группа зубов не соединяется, а жевательные зубы контактируют неправильно, что создает предпосылки для блокирования нормального развития и роста нижней челюсти.
Лицевые признаки дистального прикуса:
- выступание верхней челюсти;
- укорочение верхней губы и удлинение нижней;
- скошенный подбородок.
Дистопия
Разновидность аномального прикуса, когда зубы на верхней или нижней челюсти стоят вне зубного ряда, а не на своем месте. Кроме того, при дистопии зубы часто развернуты вокруг оси.
Причины формирования неправильного прикуса
Формирование прикуса - сложный и длительный процесс, который начинается еще на этапе внутриутробного развития, а заканчивается только при достижении человеком половой зрелости.
- Генетический фактор. Одной из ведущих причин формирования неправильного прикуса признана наследственность, которая определяет размеры и формы зубов, ширину и длину зубных рядов, высоту свода твердого неба, а также характер расположения зубов (редкие или скученные).
- Качество питания и заболевания матери в период беременности.
- Родовая травма. Полученные во время родов травмы челюсти приводят к смещению височно-челюстного сустава, а в дальнейшем к формированию патологического прикуса.
- Неправильный подбор сосок при искусственном вскармливании, когда ребенок не прикладывает достаточных усилий для добывания молока, как при сосании груди, что вызывает недоразвитие нижней челюсти.
- Несвоевременное введение в рацион твердой пищи в период прорезывания зубов. При отсутствии жевания не укрепляются мышцы зубочелюстного аппарата, от которых в большой степени зависит развитие челюстей.
- Поведенческие факторы: сосание соски, верхней губы, пальцев; сон с запрокидыванием головы.
- Нарушения в сроках и последовательности прорезывания зубов.
- ЛОР-патологии, из-за которых ребенок длительное время вынужден дышать ртом: хронические риниты, гаймориты, искривление носовой перегородки, аденоиды.
- Заболевания, затрагивающие рост и развитие костей.
Все эти факторы могут вызвать неправильное смыкание зубных рядов и сформировать патологический прикус.
Последствия неправильного прикуса зубов
Многие полагают, что патологический прикус - это только эстетический дефект. На самом деле, аномалии прикуса могут вызвать серьезные проблемы со здоровьем.
При неправильном прикусе нарушается пропорциональное развитие челюстей, что значительно влияет на мягкие ткани, для которых кости лицевого черепа служат опорой. Результатом является изменение пропорций лица, что влияет на эстетическую привлекательность человека.
При недостаточном пережевывании пищи расстраиваются все пищеварительные процессы: пища плохо обрабатывается ферментами, нарушается всасывание и усвоение питательных веществ в кишечнике. У детей следствием этого является задержка физического и нервно-психического развития. У взрослых возникают болезни желудка, кишечника и ухудшение общего состояния здоровья.
Неравномерная нагрузка при жевании нарушает функцию височно-челюстного сустава, что провоцирует головокружения, головные и ушные боли, возникновение сложностей при открывании рта. Сустав часто поражается артритом или артрозом.
Преимущественное давление на одни и те же зубы приводит к растяжению пародонтальных связок, отчего зубы становятся подвижными. При жевании они расшатываются, корни повреждают костную ткань лунок, что может вызвать воспаление альвеолярного гребня.
Травмирование режущими краями зубов слизистых десны или неба вызывает очаги воспаления в ротовой полости: стоматиты, гингивиты, пародонтиты.
Неправильное смыкание челюстей приводит к тому, что разные группы зубов испытывают неравномерную нагрузку. Это провоцирует стирание эмали, дентина, сколы, что обуславливает деструкцию и раннюю потерю зубов.
Рецессия десны - уменьшение объема мягких тканей вокруг зуба происходит в результате ухудшения кровоснабжения. Ткани десны теряют упругость, опускаются вниз, при этом оголяются корни зубов.
Люди с нарушением прикуса часто испытывают трудности со звукопроизношением, что вызывает психологический дискомфорт.
При скученности и неестественном расположении зубов затрудняется гигиена ротовой полости. В труднодоступных местах скапливаются остатки пищевых волокон, образуется зубной налет, который является отличной средой для размножения болезнетворных микробов. Поэтому у людей с аномальным прикусом чаще наблюдается кариес и другие стоматологические заболевания.
Всех этих серьезных последствий можно избежать, если вовремя обратиться за помощью к специалисту - врачу-ортодонту. Исправление прикуса возможно в любом возрасте, но чем старше человек, тем больше усилий и времени понадобится, чтобы устранить патологию.
Характеристика временного, сменного и постоянного прикусов. Часть 2

К окончанию прорезывания постоянных зубов формируется постоянный прикус. В норме количество постоянных зубов равняется 28 или 32 (в зависимости от наличия или отсутствия третьих временных моляров - «зубов мудрости», которые являются рудиментарным органом и могут не прорезаться никогда). Форма зубных рядов: верхнего полуэллипс, нижнего - парабола.
Рис. 8. Верхний и нижний зубные ряды в период постоянного прикуса.
Резцы (dentes incisivi). Центральные резцы верхней челюсти (рис. 9) из группы резцов самые большие. Режущий край у недавно прорезавшихся зубов имеет 3 бугорка, быстро стирающихся впоследствии. Вестибулярная поверхность слегка выпуклая, на ней расположены две неярко выраженные бороздки. Корень конусовидной формы, хорошо выражены признаки кривизны и угла; признак корня не выражен, но в целом корень отклонен в заднебоковом направлении, в 100% случаев имеется один канал.
Боковые резцы верхней челюсти по размеру меньше центральных. Вестибулярная поверхность выпуклая, срединная поверхность при переходе в режущий край образует притупленный угол. Латеральный угол в значительной мере закруглен. Корень сдавлен с боков и на разрезе овальной формы. Хорошо выражен признак угла и кривизны и в меньшей степени — признак корня, в 100% случаев имеется один канал.
Центральные резцы нижней челюсти значительно меньше резцов верхней челюсти. Коронки их вытянуты в вертикальном направлении, губная поверхность нерезко выпукла, язычная — вогнута. Корень у обоих резцов сдавлен с боков. У центральных резцов слабо выражены все признаки. Каналы узкие, в 70% случаев имеется один и в 30% — два канала.
Боковые резцы нижней челюсти. Признаки угла, кривизны коронки и корня выражены слабо. Канал как правило один, узкий. В 56% случаев имеется один и в 44% — два канала.
Клыки (dentes canini). Клыки верхней челюсти. Губная поверхность выпуклая и нерезко выраженным валиком. У шейки зуба валик переходит в хорошо выраженный бугорок. Контактные поверхности имеют треугольную форму. Корень хорошо развит, конусообразной формы, слегка сжат с боков. Верхушка корня часто изогнута. Хорошо выражены признаки угла и кривизны. В 100% случаев имеется один канал.
Клыки нижней челюсти несколько меньше по сравнению с клыками верхней челюсти; по форме они мало отличаются. Губная поверхность выпуклая, валик плохо выражен.
Малые коренные зубы, или премоляры (dentes premolares). У первого малого коренного зуба верхней челюсти форма коронки приближается к прямоугольной. Щечная поверхность выпуклая, отчетливо выявляется признак кривизны коронки. Жевательная поверхность образована двумя буграми, из которых щечный имеет несколько больший размер. Между буграми расположена фиссура. Корень сжат в переднезаднем направлении. У верхушки корня зуба имеется расщепление на два самостоятельных корня — щечный и язычный.
Второй малый коренной зуб верхней челюсти по форме мало отличается от первого, но несколько меньшего размера. Вестибулярная поверхность выпуклая, имеет нерезко выраженный продольный валик. На жевательной поверхности находятся два бугра одинаковой величины. Корень, как правило, одиночный, имеет конусовидную, слегка уплощенную форму.
Первый малый коренной зуб нижней челюсти меньше по размеру, чем премоляры верхней челюсти. Округлой формы коронка на жевательной поверхности имеет два бугра, из которых щечный больше язычного. Бугры разделяет небольшая бороздка, которая всегда расположена ближе к язычному бугру. Корень овальной формы. Хорошо выражен признак корня. В 74% случаев имеется один и в 26% — два канала.
Второй малый коренной зуб нижней челюсти по размерам превышает первый малый коренной зуб этой же челюсти. Жевательная поверхность состоит из двух одинаково хорошо развитых бугров. Между буграми лежит глубокая бороздка. Корень конусовидной формы в сравнении с первым малым коренным зубом более развит.
Большие коренные зубы, или моляры. Первый большой коренной зуб верхней челюсти на жевательной поверхности имеет 4 бугра, отделенных друг от друга бороздками. Щечные бугры имеют коническую форму, язычные бугры более закруглены. Передние бугры всегда больше задних. Щечная поверхность выпуклая, разделена бороздкой, имеет хорошо выраженный признак кривизны коронки. На переднеязычном бугре обычно имеется аномальный (добавочный) бугорок. Зуб имеет три хорошо выраженных корня: один — небный, конусовидной формы и два щечных — передний и задний (последний меньше переднего). Оба корня сжаты в переднезаднем направлении. В 57% случаев имеется три, а в 4% — четыре канала.
Второй большой коренной зуб верхней челюсти имеет различное строение коронки. Зуб имеет 3 корня несколько меньшей величины по сравнению с первым большим коренным зубом. В 70% случаев имеется три и в 30% — четыре канала.
Третий большой коренной зуб верхней челюсти имеет различную форму и величину. Чаще коронка имеет 3 бугра.
Первый большой коренной зуб нижней челюсти является самым большим из группы больших коренных зубов нижней челюсти. На жевательной поверхности его имеются две бороздки — продольная и поперечная. Щечная поверхность выпуклая. Корни немного отклонены кзади. В 65% случаев имеется три, в 29% — четыре и в 6% случаев — два канала.
Второй большой коренной зуб нижней челюсти несколько меньше первого, но имеет такую же форму. Отличительным признаком является наличие на жевательной поверхности 4 одинаковых по величине бугров. Хорошо выражены признаки корня.
Третий большой коренной зуб нижней челюсти может быть разной формы. Чаще жевательная поверхность состоит из 4 бугров. Корней в большинстве случаев два.
Для определения нормального анатомического строения и функционирования зубочелюстной системы необходимо определить какие ее состояния являются нормальными, а какие аномалийными.
Понятие "норма" продолжается развиваться. В его основу положено представление об "оптимальной индивидуальной норме", т.е. о состоянии достаточно гарантированного во времени морфологического, функционального и эстетического равновесия в зубочелюстной системе и лицевом скелете в целом, к которому следует стремиться в процессе ортодонтического лечения (Малыгин Ю. М., 1979).
Под болезнью в ортодонтии понимают такие состояния, которые: 1) возникают под воздействием чрезвычайных раздражителей внешней или внутренней среды; 2) характеризуются понижением приспособляемости зубочелюстной системы к внешней среде; 3) на определенных этапах развития представляет собой проявление мобилизации защитных сил организма; 4) является следствием нарушения равновесия организма с внешней средой.
Из этого вытекает, что к физиологическим относятся прикусы, обеспечивающие полноценную функцию жевания, речь и эстетический оптимум.
Физиологический прикус сопровождается функциональным равновесием мышц-антагонистов с правой и левой сторон и отсутствием в них функциональных нарушений. Характер смыкания зубных рядов зависит от числа, размера, положения зубов в зубном ряду, морфологии зубных дуг, а также от размера, формы челюстных костей и расположения их в костях черепа. Следовательно, изменение физиологического прикуса является главным симптомом различных пороков развития и деформаций зубов, челюстей и костей черепа.
Морфологическая характеристика физиологического постоянного прикуса. Морфологическая характеристика каждого прикуса строится на основании оценки характера смыкания функционально ориентированных групп зубов: моляров и передней группы.
Физиологический постоянный прикус имеет следующие зубные признаки: 1) все зубы верхней и нижней челюстей контактируют между собой так, что каждый зуб смыкается с двумя антагонистами (кроме третьего моляра и первого нижнего резца), верхний зуб контактирует с одноименным и позадистоящим и впередистоящим верхним зубом; 2) средняя линия проходит между центральными резцами верхней и нижней челюстей; 3) между зубами верхней и нижней челюсти имеется плотный окклюзионный контакт; 4) зубные дуги имеют определенную форму: верхняя — полуэллипса, нижняя — параболы; 5) верхняя зубная дуга больше нижней, при этом ее экстраальвеолярная часть больше интраальвеолярной за счет наклона зубов вестибулярно. Экстраальвеолярная часть нижней дуги меньше интраальвеолярной за счет наклона зубов в оральную сторону; 6) окклюзионная поверхность имеет сагиттальную и трансверсальную окклюзионные кривые; 7) головка нижней челюсти находится на у основания заднего ската суставного бугорка.
Функциональная характеристика физиологического прикуса. При физиологическом прикусе (молочных и постоянных зубов) наблюдается функциональное равновесие в различных группах мышц-антагонистов как на правой, так и на левой половине лица. Задержка стирания молочных клыков приводит к нарушению физиологического смыкания зубных рядов. Высокие, острые, нестершиеся клыки мешают ребенку сомкнуть зубные ряды при еде и разговоре, он ищет более удобное положение и вынужденно смещает нижнюю челюсть вперед или в сторону (вправо или влево). Длительное вынужденное положение челюсти сопровождается функциональной перестройкой элементов височно-нижне-челюстного сустава и жевательных мышц, что в дальнейшем может послужить причиной формирования патологического постоянного прикуса (прогенического или перекрестного).
К физиологическим прикусам относят ортогнатический, прямой, альвеолярную бипрогнатию и опистогнатию.
Рис. 8. Физиологические прикусы: а) ортогнатический, б) прямой, в) альвеолярная бипрогнатия, г) опистогнатия.
Ортогнатический прикус является наиболее распространенным прикусом современного человека. Зубные признаки ортогнатического прикуса рассматриваются в трех взаимно перпендикулярных плоскостях: вертикальном, сагиттальном и трансверсальном.
Ортогнатический прикус характеризуется признаками смыкания, из которых одни относятся ко всем зубам, другие - только к передним, а третьи - только к жевательным зубам.
Признаки смыкания, относящиеся ко всем зубам.
Каждый зуб, как правило, смыкается с двумя антагонистами - главным и побочным. Исключение представляет зуб мудрости верхней челюсти и первый центральный нижний резец, имеющие по одному антагонисту. Каждый верхний зуб смыкается с одноименным нижним и позади стоящим, каждый нижний-с одноименным верхним и впереди стоящим.
Это особенность взаимоотношений нижних и верхних зубов объясняется тем, что центральные верхние резцы шире нижних одноименных. По этой причине верхние зубы смещены дистально в отношении зубов нижнего ряда. Верхний зуб мудрости уже нижнего, поэтому дистальное смещение верхнего зубного ряда выравнивается в области зубов мудрости и их задние поверхности лежат в одной плоскости.
Признаки смыкания, относящиеся к передним зубам.
Средние линии, проходящие между центральными резцами верхней и нижней челюстей, лежат в одной сагиттальной плоскости. Это обеспечивает эстетический оптимум. Нарушение симметрии делает улыбку некрасивой. Верхние передние зубы перекрывают нижние приблизительно на 1/3 коронки. Нижние передние зубы своими режущими краями контактируют с зубным бугорком верхних зубов (режущебугогорковый контакт).
Признак смыкания жевательных зубов в щечно-небном направлении (трансверзальная плоскость).
Щечные бугорки верхних премоляров и моляров расположены кнаружи от одноименных бугорков нижних премоляров и моляров. Благодаря этому небные бугорки верхних зубов попадают в продольные бороздки нижних, а нижние щечные - в продольные бороздки верхних зубов.
Перекрытие передних нижних и боковых зубов верхними объясняется тем, что верхняя зубная дуга шире нижней. Благодаря этому увеличивается размах боковых движений нижней челюсти и окклюзионное поле расширяется.
Признаки смыкания жевательных зубов в переднезаднем направлении (сагиттальная плоскость).
Передний щечный бугорок первого верхнего моляра располагается на щечной стороне нижнего первого моляра в поперечной борозде между щечными бугорками. Задний щечный бугорок первого верхнего моляра расположен между заднещечным бугром одноименного нижнего моляра и переднеещечным бугром второго нижнего моляра. Это положение бугорков коренных зубов верхней и нижней челюстей часто называют медиодистальным соотношением.
В отличие от ортогнатического при прямом прикусе режущие края передних верхних зубов не перекрывают нижние одноименные, а смыкаются с ними встык. Смыкание боковых зубов ничем не отличается от смыкания их при ортогнатическом прикусе, только они имеют более низкие бугорки.
При альвеолярной бипрогнатии и верхние и нижние фронтальные зубы наклонены в сторону преддверия (вестибулярно). Однако, в отличие от аномалийного прикуса - прогнатии - при таком наклоне сохраняется либо режуще бугорковый контакт, либо зубы смыкаются режущими краями.
При опистогнатии и верхние и нижние фронтальные зубы наклонены в сторону полости рта (орально). Однако контакт фронтальных зубов сохраняется.
Читайте также:
