Сомнительная кишка. Дополнительные сосудистые процедуры при мезентеральной ишемии.
Добавил пользователь Евгений Кузнецов Обновлено: 08.01.2026
Применительно к данной подрубрике наиболее распространен термин "ишемический колит". Это обусловлено тем, что ишемические поражения затрагивают по большей части именно толстый кишечник.
Клинические понятия, включенные в данную подрубрику:
1. Хронический ишемический:
- колит;
- энтерит;
- энтероколит.
2. Ишемическое сужение кишечника.
3. Мезентериальный (ая):
- атеросклероз;
- сосудистая недостаточность.
Из данной подрубрики исключены:
- "Атеросклероз аорты" - I70.0;
Ишемический колит включает в себя ряд нозологических форм, которые являются конечным результатом недостаточного кровоснабжения сегмента толстой кишки или всей толстой кишки. Заболевание приводит к ишемическому некрозу различной степени тяжести, который может варьироваться от некроза поверхностных слоев слизистой оболочки до трансмурального Трансмуральный - пронизывающий, захватывающий все слои органа.
некроза кишечной стенки.
Примечания
1. В связи с мультидисциплинарностью проблемы, коды блока рубрик "Болезни артерий, артериол и капилляров" - I70-I79 могут быть использованы при классификации данной патологии по МКБ-10 в равной степени с кодами рубрики "Сосудистые болезни кишечника" - K55. Однако код диагноза K55.- (например, хронический ишемический колит) предполагает наличие превалирующих признаков патологии со стороны кишечника (без упоминания ишемического поражения других органов) и является более общим клиническим понятием, включающим в качестве причины своего развития не только окклюзию артерий.
2. В последние годы было введено такое понятие, как "хроническая ишемическая болезнь органов пищеварения" (Звенигородская Л. А., 2001).
Хроническая ишемическая болезнь органов пищеварения - заболевание, возникающее при нарушении кровообращения по непарным висцеральным ветвям брюшной аорты (чревному стволу, верхней и нижней брыжеечной артериям), клинически проявляющееся болями в животе, обычно возникающими после приема пищи, нарушениями моторно-секреторной и абсорбционной функции кишечника и у части больных - прогрессирующим похуданием.
3. Осложнения хронического ишемического колита, такие как, например, стриктуры кишеника кодируются в этой же подрубрике. Коды рубрики "Паралитический илеус и непроходимость кишечника без грыжи" - K56 не применяются.

Автоматизация клиники: быстро и недорого!
- Подключено 300 клиник из 4 стран
- 800 RUB / 4500 KZT / 27 BYN - 1 рабочее место в месяц

Автоматизация клиники: быстро и недорого!
- Подключено 300 клиник из 4 стран
- 1 место - 800 RUB / 4500 KZT / 27 BYN в месяц
Мне интересно! Свяжитесь со мной
Классификация
I стадия - стадия относительной компенсации. Нарушения функции желудочно-кишечного тракта незначительны, а заболевание часто выявляется случайно, при обследовании больных по какому-либо иному поводу.
II стадия - характеризуется выраженным нарушением функции кишечника и болью в животе после приема пищи.
III стадия - проявляется нарушением функции кишечника, постоянными болями в животе, прогрессирующим похудением.
Классификация Марстона выделяет следующие стадии развития ишемии кишечника:
- 0 - нормальное состояние;
- I - компенсаторное поражение артерий, при котором отсутствует нарушение кровотока в покое и после приема пищи и нет симптоматики;
- II - поражение артерий прогрессирует до такой степени, что кровоток в покое остается нормальным, но реактивная гиперемия отсутствует (о чем свидетельствует боль после еды);
- III - недостаточность кровоснабжения с уменьшением кровотока в покое; состояние, аналогичное болям в покое при ишемии конечностей;
- IV - инфаркт кишки.
Классификация развития хронической ишемической болезни органов пищеварения (ХИБОП)
I - стадия компенсации:
- IA - стадия бессимптомного течения; на УЗИ выявляются локальные изменения гемодинамики;
- IБ - стадия микросимптоматики; наблюдается возникновение ишемического синдрома вследствие функциональной перегрузки (развиваются локальные гемодинамические нарушения с тенденцией к снижению уровня функциональной и коллатеральной компенсации).
II - стадия субкомпенсации. Ишемия возникает вследствие функциональной нагрузки на органы пищеварения. С помощью УЗИ выявляют локальные гемодинамические сдвиги с различным поражением сосудов. При приеме пищи отсутствует гиперемическая реакция или она носит парадоксальный характер.
III - стадия декомпенсации. При УЗИ диагностируются различные поражения сосудов брюшной полости с развитием локальных и системных гемодинамических нарушений при выраженном снижении уровня функциональной и коллатеральной компенсации.
IV - стадия язвенно-некротических изменений органов пищеварения. При УЗИ диагностируются различные поражения сосудов брюшной полости с развитием локальных и системных гемодинамических нарушений и отсутствием функциональной и коллатеральной компенсации.
Клиническая классификация ишемического колита (считается наиболее приемлемой в настоящий момент):
- обратимая ишемическая колонопатия;
- преходящий язвенный ишемический колит;
- хронический язвенный ишемический колит;
- стриктура толстой кишки;
- гангрена толстой кишки.
Этиология и патогенез
2. Экстравазальная причина - сдавление непарных висцеральных ветвей серповидной связкой диафрагмы или ее медиальной ножкой, нейроганглионарной тканью солнечного сплетения, опухолями хвоста поджелудочной железы или ретроперитонеального пространства. Сдавлению наиболее часто подвергается чревный ствол.
Общее представление о хронической ишемии кишечника (Марстон А.)
Связь между степенью артериальной окклюзии, выявляемой при аутопсии, и симптомами желудочно-кишечного тракта, отмечаемыми при жизни, не обнаруживается.
Таким образом, при хроническом поражении висцеральных артерий их стеноз и окклюзия более часто выявляются при патологоанатомическом исследовании, а не клиническом.
Раннее выявление хронической ишемии кишечника затруднено. Это объясняется действием компенсаторных механизмов, которые перераспределяют кровоток в кишечной стенке; благодаря этому функции кишечника (в том числе всасывание) остаются нормальными практически до того момента, когда повреждение станет необратимым. Коллатеральное кровообращение способствует тому, что даже при полной окклюзии висцеральных артерий в кишке не возникает симптоматики сосудистой недостаточности.
Ишемия мышечного слоя кишки и связанная с этим боль возникают по мере дальнейшего снижения артериального притока в результате того, что кровоток становится недостаточным для обеспечения усиленной перистальтики, вызванной приемом пищи. Кровообращение в слизистой оболочке остается нормальным еще в течение определенного времени, без нарушения всасывательно-выделительной функции кишечника.
Дальнейшее прогрессирование процесса способствует снижению кровотока ниже того уровня, который необходим для защиты слизистой оболочки от бактериального повреждения, вследствие чего развивается очаговый или массивный инфаркт.
Клиника ишемического энтероколита или колита возникает при поражении 2-3 мезентериальных артерий. Поскольку поражения тонкой кишки встречаются реже, в большей половине случаев речь идет о колите. Поражается, как правило, селезеночный угол толстой кишки и верхняя часть сигмовидной, что обусловлено анатомическими особенностями кровоснабжения толстой кишки.
Наиболее частые локализации:
- прямая и сигмовидная кишка (20%);
- нисходящая ободочная кишка (20%);
- селезеночный угол (11%);
- сочетание вышеперечисленных локализаций (14%);
- только прямая кишка (6%);
- восходящая ободочная кишка (8%).
Эпидемиология
Возраст: преимущественно пожилой
Соотношение полов(м/ж): 1
Примерно 1 из 2000 случаев госпитализации приходится на ишемический колит. Ишемический колит обнаруживается примерно в 1 из 100 эндоскопий. Мужчины и женщины страдают в равной степени. Более чем 90% случаев приходится на людей в возрасте старше 60 лет.
Частота возникновения абдоминального ишемического синдрома достаточно высока: выявляется в 75,5% случаев при аутопсии умерших от ишемической болезни сердца, вследствие атеросклероза церебральных артерий и/или сосудов нижних конечностей, также выявляют атеросклероз брюшной аорты и ее непарных висцеральных ветвей.
Частота стенозирующих поражений висцеральных ветвей брюшной аорты по данным аутопсии варьируется от 19,2% до 70%, по данным ангиографии - от 4,1% до 53,5%.
Факторы и группы риска
Клиническая картина
Клинические критерии диагностики
постпрандиальная боль в животе; гематохезия; мелена; диспепсия; потеря массы тела; ситофобия; диарея; запор
Cимптомы, течение
1. Абдоминальный болевой синдром
Боль после приема пищи является основным симптомом ишемического колита у 94-96% пациентов. Возникновение боли связано с недостаточным притоком крови к органам пищеварения в период их максимальной активности.
Характер боли различен: в начальной стадии заболевания боли эквивалентны чувству тяжести в эпигастрии Эпигастрий - область живота, ограниченная сверху диафрагмой, снизу горизонтальной плоскостью, проходящей через прямую, соединяющую наиболее низкие точки десятых ребер.
, затем, с усугублением циркуляторных расстройств, появляются боли ноющего характера, интенсивность которых постепенно нарастает.
Типичные характеристики боли:
- боль возникает или усиливается после приема пищи (постпрандиальная боль);
- возникает через 20-40 минут после еды (иногда в период до 3 часов);
- основным фактором усиления боли является не состав пищи а ее количество;
- иногда боль связана с физической нагрузкой или приступом стенокардии;
- в зависимости от зоны кровоснабжения боль может локализоваться в различных областях (правосторонние боли, боли около пупка, боли в верхней половине живота характерны для ишемии верхней мезентериальной артерии, боли в левой половине живота - для ишемии в бассейне нижней мезентериальной артерии);
- при сегментарной ишемии боли могут мигрировать или быть неопределенными;
- боли могут купироваться нитроглицерином и/или папаверином.
2. Дисфункция кишечника
Отмечается в 88% случаев и проявляется нарушением секреторной и абсорбционной функций тонкого кишечника (метеоризм, неустойчивый стул, частый жидкий стул), а также нарушением эвакуаторной функции толстой кишки с упорными запорами.
3. Прогрессирующее похудание
Один из наиболее частых симптомов хронической ишемии органов пищеварения - отмечается в 78% случаев. Похудание связано с отказом больных от приема пищи из-за болей, а также с нарушением секреторной и абсорбционной функций тонкой кишки, особенно в поздней стадии заболевания.
4. Кровотечение из нижних отделов кишечника
Встречается в 62% случаев, но более характерно для острой ишемии. Эпизоды скрытой кровопотери могут длиться от суток до нескольких месяцев, что усугубляет анемию, возникающую вследствие недостаточности питания. Кровотечение в 85% случаев бывает незначительным и в 90% купируется самостоятельно.
При физикальном обследовании обнаруживаются:
- признаки недостаточности питания;
- боль, непропорциональная усилиям при пальпации;
- легкая, диффузная болезненность в той или иной области живота;
- отсутствие симптомов раздражения брюшины (защитных, охранительных симптомов);
- наличие систолического шума в эпигастральной области;
- признаки атеросклеротического поражения периферических сосудов (шумы над сонной артерией, изменения пульса, признаки ишемии сосудов ног, признаки церебральной ишемии, ишемической болезни сердца).
Диагностика
3. Обзорная рентгенография в положении лежа и стоя (чувствительность 62%-72%) - стартовый метод диагностики, если клиника не позволяет уверенно диагностировать ишемию кишечника.
Признаки:
- утолщение стенки кишки;
- разделение петель кишечника;
- симптом "отпечатка большого пальца".
Метод считается довольно чувствительным, но неспецифичным; является так называемым "стартовым" и полезным в плане дифференциальной диагностики (например, пневмонии) и установления факта кишечной непроходимости, возникающей вследствие ишемических стриктур Стриктура - резкое сужение просвета какого-либо трубчатого органа вследствие патологических изменений его стенок
кишечника.
4. Контрастная рентгенография. Двойное контрастирование выявляет неспецифические изменения у пациентов с ишемическим колитом в 90% случаев.
5. УЗИ (чувствительность 50-75%). На начальной стадии, ишемии кишечника может показать усиление перистальтики, которое затем нормализуется. Стенки кишки становятся утолщенными и узловатыми. Очаги кровоизлияния и отеки приводят к выявлению области (-ей) пониженной эхогенности в стенках кишечника.
6. УЗДГ (чувствительность 80%). Метод особенно эффективен при подозрении на стеноз нескольких сосудов.
УЗДГ не рекомендуется проводить при острой ишемии, ожирении, кишечной непроходимости, когда нарушение кровотока можно выявить только в проксимальных отделах.
Высокую прогностическую ценность имеют отклонения от нормы пиковой систолической скорости кровотока (S), которая ориентировочно составляет более 275 см/с для ВБА или 200 см/с для НБА (по некоторым данным > 300 см/с).
Нормальная скорость после приема пищи должна увеличиться примерно на 20% и более.
Ненормальный постпрандиальный ответ интерпретируется как увеличение пиковой систолической скорости менее чем на 20%.
Тяжелым считает стеноз артерий, составляющий более чем 60-70%, который выявляется при триплексном сканировании. При этом на допплерограмме ниже места поражения ламинарный поток исчезает и появляется турбулентный поток.
10. Гистология. Ключевые диагностические признаки - коагуляционный некроз и диффузный атеросклероз. Помимо этого, важно обратить внимание на следующие признаки: сегментарность поражений, железистая атрофия, гомогенизация собственной пластинки, наличие воспалительного инфильтрата богатого эозинофилами.
11. Алиментарные провокационные пробы основаны на тесной взаимосвязи болевого синдрома или дисфункции кишечника с приемом пищи.
Проба Миккельсена - пациенту выпивает литр молока в течение часа, появление болей при этом свидетельствует об ишемическом генезе заболевания.
Проба "насильственного кормления" - пациент должен ежедневно принимать высококалорийную пищу (5000 ккал), провоцирующую типичную клинику ишемии.
Проба регулярного приема пищи обычной калорийности с исключением острых блюд (4-разовое питание).
Некоторые авторы предлагают проводить физические пробы - поднятие тяжестей, длительный физический труд в наклонном положении (стирка белья, мытье полов), быстрая ходьба, бег, подпрыгивание на месте, велоэргометрическую пробу для выявления экстравазальной компрессии чревного ствола.
Существуют также лекарственные пробы, провоцирующие проявления ИК (вазоспастические средства) и ликвидирующие его (вазодилататоры).
12. Электрокардиография - обязательное исследование при ишемии кишечника. У многих пациентов заболевание спровоцировано нарушениями ритма, снижением сердечного выброса. Кроме того ЭКГ позволит диагностировать так называемую "абдоминальную форму" острого инфаркта миокарда.
Диагноз брыжеечной ишемии часто является вызовом для клиницистов и рентгенологов. Пациенты с воспалительными заболеваниями кишечника и инфекционными колитами могут иметь сходные признаки и симптомы, в том числе спазмы, боли в животе, диарею, примесь крови в стуле. Утолщение стенки кишки является общей находкой для всех трех видов заболеваний, однако, структура сосудистого распределения кровотока иногда может сузить круг дифференцируемых заболеваний.
Абдоминальная ишемия - диагностика и лечение

Абдоминальная ишемия (мезентериальный тромбоз, острая ишемия кишечника, недостаточность кровообращения кишки) возникает, когда кровоток через артерии, которые снабжают кровью кишечник, замедляется или останавливается. Такое состояние имеет много потенциальных причин, в том числе закупорка артерии тромбом или сужение артерии из-за развития холестериновых бляшек. Закупорки также могут возникать в венах, но они менее распространены.
Независимо от причины, снижение кровотока в желудочно-кишечный тракт оставляет ткани без достаточного количества кислорода, что вызывает нарушение функции клеток и их гибель. Если повреждения кишечной стенки достаточно серьезные, то развивается гангрена кишечника с последующим его разрывом (перфорация) с исходом в каловый перитонит и смерть.
Спасти человека с мезентериальным тромбозом можно только при своевременной правильной диагностике, с последующим удалением тромба и оценкой жизнеспособности кишки. При обычном симптоматическом лечении летальность достигает 99%, при операции по удалению кишки - 80%, при своевременном удалении тромба и контролем за кишкой - 25%.
Подход к лечению в Инновационном сосудистом центре
Своевременная диагностика мезентериальной ишемии позволяет провести адекватное лечение и сохранить человеку жизнь. В нашей клинике при подозрении на мезентериальную ишемии экстренно выполняется ангиография и удаление тромба из артерий кишечника. Только такое лечение дает пациенту шанс остаться в живых. Если прошло достаточно много времени от начала заболевания, то выполняется восстановление кровообращения и лапароскопия, которая позволяет определить необходимость в удалении омертвевших участков кишки. Без лечения погибают все пациенты. С лечением удается спасти больше половины.
Причины острой ишемии кишечника
- Атеросклероз артерий кишечника может привести к их тромбозу с последующим развитием мезентериальной ишемии. При наличии признаков ишемической болезни сердца, атеросклеротических поражений артерий ног у пациента можно подразумевать системный атеросклероз и соответственно иметь ввиду риск абдоминальной ишемии.
- Высокое или низкое артериальное давление повышает риск развития мезентериального тромбоза и ишемии кишечника
- Сердечная недостаточность и мерцательная аритмия повышают риск эмболии артерий кишечника (перенос тромба из сердца в артерии) и развития острой кишечной ишемии.
- Повышенная свертываемость крови при тромбофилиях, серповидно-клеточной анемии и антифосфолипидном синдроме.
- Употребление кокаина и метамфетамина может вызывать спазм кишечных сосудов и ишемию кишечника.
Клинические формы мезентериального тромбоза
- Тромбоз сосудов толстой кишки (ишемический колит)
Этот наиболее распространенный вариант ишемии кишечника возникает при уменьшении притока крови к толстой кишке. Чаще всего наблюдается у людей старше 60 лет, хотя может развиться в любом возрасте. Признаками и симптомами ишемии толстой кишки являются кровотечения из заднего прохода и внезапно появившиеся спастические боли в животе.
Этот тип ишемии кишечника, как правило связан с блокированием кровотока в верхней брыжеечной артерии. Он отличается резким началом. Беспокоят сильные боли в животе, тошнота, рвота. Состояние прогрессивно ухудшается и в ближайшие дни наступает гибель пациента.
- Хроническая недостаточность кровоснабжения кишечника
Хроническая абдоминальная (мезентериальная) ишемия иногда называется кишечной стенокардией (брюшная жаба). Развивается в результате развития атеросклеротических бляшек в артериях кишечника. Процесс этот развивается медленно, жалобы носят характер расстройств пищеварения, спазмов в кишечнике. Потенциально опасным осложнением хронической мезентериальной ишемии является развитие тромбов в пораженных артериях, которые блокируют кровоток и вызывают острую абдоминальную ишемию.
Развивается при тромбозе брыжеечных вен на фоне различных заболеваний органов брюшной полости. При закупорке кишечных вен кровь застаивается в кишечнике, вызывая отеки кишки и кровоточивость слизистой оболочки. Полный блок венозного оттока приводит к гибели участков кишки с развитием перитонита.
Осложнения мезентериального тромбоза
- Гангрена кишки. Если приток крови в кишечник полностью блокирован, то развивается его гибель.
- Перфорация. Омертвевший участок кишки может разорваться. В результате этого содержимое кишечника изливается в брюшную полость, вызывая инфекционный процесс в брюшине (перитонит).
- Рубцовые изменения в стенке кишки. Иногда эти грозные осложнения не развиваются, но поврежденная стенка кишки замещается рубцом, вызывающим сужение кишечной трубки и развитие кишечной непроходимости.
Прогноз при мезентериальной ишемии
Большинство пациентов погибает в течение 2-5 суток с момента начала заболевания, если кровообращение в кишечнике не было восстановлено в ближайшие 6 часов.
При венозном мезентериальном тромбозе возможно постепенное выздоровление, с частичным рубцеванием кишки и развитием хронических энтериитов и колитов. Однако летальность так же высока.
При сегментарном (частичном) мезентериальном тромбозе пациент может выжить, если кишка припаяется к другим органам и не наступит ее перфорация с перитонитом, однако вероятность такого исхода очень небольшая. В последующем у больного может развиться кишечная непроходимость из-за рубцевания погибшей кишки.
При своевременном восстановлении кишечного кровотока с помощью методов эндоваскулярной хирургии (тромбэктомия, тромболизис, ангиопластика) - вероятность выздоровления повышается до 75%. Однако даже успешное восстановление кровотока требует обязательного наблюдения за состоянием кишечника. Необходимо в течение первых суток выполнить диагностическую лапароскопию, которую можно повторить и в следующие сутки.
При гибели участков кишки необходимо выполнить их удаление во время лапаротомии (открытая операция через живот). Иногда приходится удалять большие по протяженности участки кишки, но это необходимо, так как мертвые и сомнительно-жизнеспособные участки кишки могут распадаться с истечением кишечного содержимого в брюшную полость и развитием гнойного перитонита.
После резекции больших участков кишки может развиться синдром мальабсорбции (нарушения всасывания пищи), что приводит к значительному похуданию пациента, частым поносам и другим кишечным расстройствам. Поэтому наиболее важным в лечении мезентериального тромбоза является восстановление кровообращения в кишечнике, с целью уменьшить размеры его омертвения.
Преимущества лечения в клинике
![УЗИ картина закупорки верхней брыжеечной артерии]()
Жалобы
При возникновении острого нарушения кровотока по кишечнику у пациента развиваются сильнейшие боли в животе. Боли носят схваткообразный характер. и первые 2-3 часа остаются очень интенсивными. Живот в это время не вздут, перистальтика (кишечные шумы) резко ослаблена, при пальпации живот слегка болезненный, но не напряженный.
Затем постепенно боли уменьшаются, но появляется симптоматика общей интоксикации - повышение частоты сердечных сокращений, появление жажды. На этой стадии начинается вздутие живота. Это стадия гибели кишечника, но еще без перфораций.
Терминальная стадия абдоминальной ишемии характеризуется вздутием живота, отсутствием перистальтики, болезненностью во всех отделах живота с выявлением напряжения при пальпации. Отмечается высокая частота пульса, низкое артериальное давление, отсутствие мочеиспускания и одышка. На фоне этих симптомов неминуемо наступает смерть.
УЗИ брюшной аорты
Своевременная диагностика является залогом успеха в лечении абдоминальной ишемии, но она очень сложна. Учитывая, что возможность спасти жизнь при этой патологии имеется только в первые часы заболевания диагностика должна быть срочной и точной. Мезентриальный тромбоз можно спутать с любым острым заболеванием брюшной полости. Диагноз ставится методом исключения. В первую очередь необходимо исключить прободную язву, острый панкреатит, кишечную непроходимость. Наличие у пациента мерцательной аритмии, инфарктов в анамнезе, атеросклероза нижних конечностей позволяют предположить мезентериальный тромбоз. После исключения острых заболеваний брюшной полости проводятся специфические исследования для диагностики непроходимости сосудов брыжейки.
УЗИ брюшной аорты позволяет выявить тромбоз брыжеечной артерии или чревного ствола. Преимуществом метода является его быстрая доступность и отсутствие осложнений. Брюшная аорта осматривается в продольном и в поперечном срезе в режиме цветового картирования. Определяется скорость кровотока по аорте и ее ветвям. Метод обладает достаточно высокой чувствительностью, но его результаты зависят от опыта врача, проводящего исследование и правильной интерпретации полученных данных.
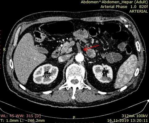
![МСКТ ангиография при остром тромбозе верхней брыжеечной артерии]()
Мультиспиральная компьютерная томография с ангиографией
Мультиспиральная компьютерная томография аорты и ее ветвей позволяет точно оценить состоянии брыжеечных сосудов и помочь правильной постановке диагноза. Признаками острой мезентериальной непроходимости является отсутствие контрастирования брыжеечных артерий со слабым развитием коллатеральных сетей кровообращения. При соответствующих жалобах и клинической картине компьютерная томография позволяет поставить точный диагноз в большинстве случаев мезентериального тромбоза. Требуется внутривенное введение контраста и детальный анализ полученных изображений.
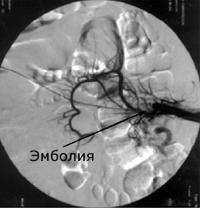
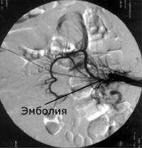
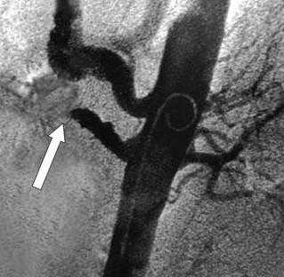
![Ангиография позволяет поставить точный диагноз и выполнить вмешательство по восстановлению кровообращения]()
Рентгеновская ангиография
Метода введения контрастного вещества непосредственно в интересующие артерии. Проводится через доступ к артериям на руке или на ноге. Позволяет прицельно изучить проходимость брыжеечных артерий и одновременно выполнить вмешательство по восстановлению проходимости закупоренной артерии. Ренгтеноангиография выступает диагностическим и лечебным методом одновременно. С помощью специальных катетеров и инструментов возможно проведение рассасывания тромбов (тромболизиса) или его удаления - тромбэктомии.
Брюшная жаба ( Абдоминальная ишемия , Брюшная ангина , Субдиафрагмальная стенокардия , Хроническая окклюзия мезентериальных сосудов )
Брюшная жаба - хроническая ишемия кишечника, развивающаяся при нарушении его кровоснабжения вследствие обтурации или спазма брыжеечных сосудов. Проявляется приступами абдоминальных болей после еды, упорными поносами, похуданием. Диагностика включает обзорную рентгенографию брюшной полости, ангиографию мезентериальных сосудов, радиоизотопное исследование ЖКТ, по показаниям - гастродуоденоскопию, колоноскопию и др. Консервативное лечение хронической окклюзии направлено на улучшение микроциркуляции и снятие спазма сосудов; при субкомпенсации и декомпенсации проводятся реконструктивные вмешательства на мезентериальных сосудах.
МКБ-10

Общие сведения
Хроническая окклюзия мезентериальных сосудов (брюшная жаба, брюшная ангина, абдоминальная ишемия, субдиафрагмальная стенокардия) развивается при длительном расстройстве кровообращения в непарных висцеральных ветвях брюшной аорты (брыжеечной верхней или нижней, чревной артериях), приводящем к ишемии кишечника. В клинической гастроэнтерологии и абдоминальной хирургии при проведении целенаправленной ангиографии хроническая окклюзия мезентериальных сосудов в той или иной степени выявляется у 50-75% пожилых пациентов. При полном внезапном тромбозе или эмболии возникает острая окклюзия мезентериальных сосудов и ограниченный инфаркт кишечника.

Причины
Непосредственной причиной брюшной жабы служит спазм или частичная закупорка мезентериальных сосудов. Факторы, способствующие возникновению брюшной жабы, делятся на интравазальные и экстравазальные. Хроническая интравазальная окклюзия чаще развивается в верхней брыжеечной артерии. В большинстве случаев клиника брюшной жабы возникает на фоне атеросклероза брюшного отдела аорты и ее висцеральных ветвей, реже - при изменениях сосудистой стенки, обусловленных неспецифическим аортоартериитом или узелковым периартериитом, гипоплазией, аневризмой, артериовенозными свищами, фибромускулярной гиперплазией стенок висцеральных артерий.
Развитие брюшной жабы может быть обусловлено экстравазальными причинами: сдавлением мезентериальных сосудов извне фиброзными тяжами, медиальной «ножкой» или серповидной связкой диафрагмы, опухолью поджелудочной железы, рубцовыми тканями. Экстравазальному сдавленно, как правило, подвергается чревный ствол.
В зависимости от локализации окклюзии мезентериальных сосудов врачи-гастроэнтерологи и сосудистые хирурги различают чревную, верхнебрыжеечную, нижнебрыжеечную и смешанную формы брюшной жабы, которые различаются клиническими проявлениями. Чревная форма абдоминальной ишемии характеризуется преобладанием болевого синдрома. При хронической окклюзии верхнебрыжеечной артерии возникает тонкокишечная энтеропатия с преобладающими явлениями абсорбционной и секреторной дисфункции кишечника; в клинических проявлениях брюшной жабы превалируют диспепсические нарушения (отрыжка, изжога, рвота, неустойчивость стула, вздутие живота).
При поражении нижнебрыжеечной артерии развивается толстокишечная колонопатия, при которой преимущественно нарушается моторная функция толстой кишки, что влечет за собой запоры, ишемические колиты. Смешанная форма хронической окклюзии мезентериальных сосудов сочетает поражение нескольких артерий и проявляется соответствующей симптоматикой. По степени выраженности брюшной жабы различают следующие стадии:
- Относительной компенсации. Дисфункция ЖКТ выражена незначительно; хроническая окклюзия мезентериальных сосудов, как правило, выявляется случайно при обследовании по поводу другой сосудистой патологии (вазоренальной гипертензии, синдрома Лериша).
- Субкомпенсации. Имеют место выраженные расстройства функции пищеварения, болевой синдром.
- Декомпенсации. Протекает с развернутой клиникой брюшной жабы: абдоминальными болями, дисфункцией кишечника, прогрессирующим похуданием, астено-ипохондрическим депрессивным синдромом.
Симптомы брюшной жабы
Патология протекает с постоянными болями в различных отделах живота. Возникновение болевого синдрома связано с приемом пищи: боль появляется четко через 20-40 мин после еды. Болевой спазм купируется после приема спазмолитиков, искусственной вызванной рвоты, прикладывания теплой грелки к животу, принятия вынужденного коленно-локтевого положения.
Дисфункция ЖКТ при брюшной жабе характеризуется тошнотой, рвотой, вздутием живота, неустойчивым стулом (при окклюзии верхнебрыжеечной артерии), запором (при поражении нижнебрыжеечной артерии). Прогрессирующая потеря массы тела наблюдается у больных с длительным декомпенсированным течением брюшной жабы. Похудение обусловлено нарушением процессов всасывания в кишечнике, постоянными поносами, воздержанием от еды ввиду выраженных абдоминальных болей. Астено-ипохондрический депрессивный синдром является следствием долгого и безуспешного лечения брюшной жабы.
Диагностика брюшной жабы носит комплексный подход, учитывающий клинические проявления, результаты функционального и рентгенологического обследования. При аускультации живота выслушиваются систолические шумы в точках проекций чревной и брыжеечных артерий. Висцеральный шум отличается от кардиального шума потерей своей интенсивности по мере приближения к сердцу; от аортального - тем, что не выслушивается со спины. Объективным методом функциональной диагностики служит фоноэнтерография - регистрация шумов кишечника.
При подозрении на брюшную жабу обязательно выполняется ангиография мезентериальных сосудов (мезентерикография) или чревного ствола (целиакография), которая позволяет выявить окклюзию, стеноз, постстенотическое расширение артерий, локализацию и степень нарушения проходимости сосудов. При обзорной рентгенографии брюшной полости в ряде случаев удается обнаружить кальциноз брюшной аорты.
Фиброгастродуоденоскопия и колоноскопия при брюшной жабе, как правило, выявляют отек и атрофию слизистой оболочки желудка, двенадцатиперстной и толстой кишки, иногда эрозии и язвы. При исследовании копрограммы обнаруживаются непереваренные мышечные волокна и слизь в большом количестве, что свидетельствует о нарушениях пищеварения и всасывания в кишечнике.
Дополнительно при брюшной жабе могут проводиться термография, сцинтиграфия ЖКТ, реогепатография, УЗИ брюшной полости, УЗДГ брюшной аорты, электромагнитная флоуметрия. В процессе обследования исключаются другие патологические процессы в брюшной полости: гастрит, панкреатит, язвенная болезнь желудка и язвенная болезнь 12-перстной кишки, холецистит.
Лечение брюшной жабы
В стадии относительной компенсации проводится лечение основного заболевания, назначаются спазмолитики, антикоагулянты, препараты, улучшающие кровообращение. При дисбактериозе кишечника уделяется внимание нормализации кишечной микрофлоры. В некоторых случаях эффективной оказывается иглорефлексотерапия. Пациентам рекомендуется дробное питание малыми порциями, исключение грубой и газообразующей пищи.
Оперативное лечение брюшной жабы показано при субкомпенсации и декомпенсации хронической ишемии. Операции при брюшной жабе могут носить условно-реконструктивный и реконструктивный характер. К первой группе вмешательств могут быть отнесены пересечение медиальной ножки или рассечение серповидной связки диафрагмы, высвобождение артерий из фиброзных тяжей, удаление ганглиев солнечного сплетения и др. В число реконструктивных операций на висцеральных ветвях аорты входят декомпрессия чревного ствола; эндартерэктомия, протезирование, дилатация и стентирование чревного ствола или брыжеечных артерий.
Прогноз и профилактика
Послеоперационная летальность при брюшной жабе достигает 1-5%. В 75-90% случаев отмечается постепенный регресс симптомов, нормализация пищеварения и самочувствия. При отсутствии лечения в условиях декомпенсации брюшной жабы может возникнуть ишемический энтерит, энтероколит, некроз кишечника, перитонит. Профилактика хронической окклюзии мезентериальных сосудов требует своевременного лечения сосудистых и экстравазальных заболеваний, приводящих к развитию брюшной жабы.
Острая окклюзия мезентериальных сосудов
Острая окклюзия мезентериальных сосудов - острое нарушение кровообращения в брыжеечных сосудах, приводящее к ишемии кишечника. Заболевание проявляется резкой, нестерпимой болью в животе, рвотой и поносом с примесью крови, шоковым состоянием. Диагноз острой окклюзии мезентериальных сосудов определяют на основании клинической картины, данных селективной ангиографии, рентгенографии брюшной полости, лапароскопии. Острая окклюзия мезентериальных сосудов требует экстренного оперативного вмешательства (эмбол- или тромбэндартериоэктомии, резекции пораженных отделов кишечника), профилактики перитонита и повторных окклюзий.

Острая окклюзия мезентериальных сосудов - неотложная патология в гастроэнтерологии, возникающая вследствие тромбоза или эмболии сосудов брыжейки. Острая окклюзия мезентериальных сосудов проявляется резким нарушением кровообращения в сосудистых участках проксимальнее и дистальнее места обструкции, сопровождается выраженным ангиоспазмом и дополнительным тромбообразованием, в результате чего возникает острое нарушение питания и ишемическое поражение стенки кишечника. В дальнейшем начинают развиваться необратимые деструктивные изменения, формируется анемический и геморрагический инфаркт (некроз) кишечника. Острая окклюзия мезентериальных сосудов характеризуется крайне тяжелым течением и высокой летальностью.
Локализация и протяженность ишемического поражения кишечника при острой окклюзии мезентериальных сосудов зависит от вида и уровня обструкции, наличия коллатеральных путей компенсации кровотока. В 90% случаев наблюдается окклюзия основного ствола или одной из ветвей верхней брыжеечной артерии, в большей степени обеспечивающей кровоснабжение пищеварительного тракта. Нижняя брыжеечная артерия имеет хорошие коллатеральные связи, поэтому при ее окклюзии редко возникают серьезные нарушения мезентериального кровообращения. Окклюзия брыжеечных вен встречается реже; возможно также смешанное поражение брыжеечных артерий и вен, при котором острой окклюзии одного из сосудов предшествует хроническая обструкция другого.
Острая окклюзия мезентериальных сосудов встречается преимущественно у лиц мужского пола в возрасте старше 50-60 лет.
Причины острой окклюзии мезентериальных сосудов
Острая окклюзия мезентериальных сосудов развивается как осложнение различных сердечно-сосудистых заболеваний (атеросклероза, пороков сердца, системных аллергических васкулитов, ревматизма, гипертонической болезни, аневризмы брюшной аорты, аритмии), предшествующих операций на сердце и аорте, злокачественных опухолей, травм.
Непосредственной причиной острой окклюзии мезентериальных сосудов являются тромбоз и эмболия. При тромбозе просвет сосудов брыжейки перекрывается тромбом, образовавшимся вследствие изменения сосудистых стенок на фоне повышенной свертываемости крови и замедленного кровотока (патогенетическая триада Вихрова). При эмболии наблюдается обструкция брыжеечных сосудов частицей тканью опухоли, инородным телом или пузырьком воздуха, мигрировавшими от первичного источника поражения с током крови.
Острая окклюзия мезентериальных сосудов может протекать с компенсацией, субкомпенсацией и декомпенсацией мезентериального кровотока. При компенсации мезентериального кровотока (спонтанно или под воздействием консервативной терапии) все функции кишечника восстанавливаются полностью. Субкомпенсация мезентериального кровотока ввиду недостаточного кровоснабжения может приводить к ряду заболеваний кишечника: брюшной жабе, язвенным энтеритам и колитам и др. Декомпенсация мезентериального кровообращения вызывает распространенный гнойный перитонит и развитие тяжелого абдоминального сепсиса.
Симптомы острой окклюзии мезентериальных сосудов
Развернутой клинической картине острой окклюзии мезентериальных сосудов могут предшествовать предвестники заболевания, сходные с предынфарктным состоянием, - так называемая «брюшная жаба».
В большинстве случаев острая окклюзия мезентериальных сосудов имеет внезапное начало и на стадии ишемии (первые 6-12 часов) характеризуется невыносимыми, схваткообразными болями в животе. Пациент испытывает беспокойство, не находит себе места, принимает вынужденную позу с приведенными к животу ногами. Возникают тошнота и рвота с примесью желчи и крови, позднее рвота с каловым запахом, неоднократный жидкий стул с примесью крови («ишемическое опорожнение кишечника»).
Наблюдается резкая бледность кожных покровов, цианоз, шоковое состояние, повышение артериального давления на 60-80 единиц (симптом Блинова), брадикардия. Для острой окклюзии мезентериальных сосудов характерно несоответствие между тяжестью состояния больного и данными его осмотра: в первые часы живот остается мягким, брюшная стенка участвует в дыхании, отмечается незначительная болезненность без симптомов раздражения брюшины.
В стадии инфаркта (через 6-12 часов от начала острой окклюзии мезентериальных сосудов) болевые ощущения немного уменьшаются, но нарастает локальная (в зоне поражения кишки) болезненность при пальпации, между пупком и лобком может прощупываться тестовидная припухлость (симптом Мондора), ухудшается состояние больного. Эвакуаторная функция кишечника сохраняется, артериальное давление нормализуется, пульс учащается.
Распознавание острой окклюзии мезентериальных сосудов опирается на анализ клинической картины заболевания: острый болевой абдоминальный синдром, поражение сердца и сосудов в анамнезе. Важное диагностическое значение имеет исследование коагулограммы, определение количества тромбоцитов, холестерина крови.
При обзорной рентгенографии брюшной полости определяется пневматизация кишечника, наличие горизонтальных уровней жидкости в брюшной полости. Специфическим методом диагностики острой окклюзии мезентериальных сосудов является селективная мезентерикография, которая уже на ранней стадии заболевания может выявить отсутствие кровотока в стволе и ветвях брыжеечной артерии. При наличии технической возможности выполняется магнитно-резонансная ангиография мезентериальных сосудов.
Диагностическая лапароскопия позволяет обнаружить изменения кишечника и брюшной полости, наличие признаков анемического и геморрагического инфаркта кишки. Острую окклюзию мезентериальных сосудов дифференцируют от прободной язвы желудка и двенадцатиперстной кишки, острого аппендицита, кишечной непроходимости, острого панкреатита и острого холецистита.
Лечение острой окклюзии мезентериальных сосудов
При острой окклюзии мезентериальных сосудов показано экстренное хирургическое вмешательство, целью которого служит ревизия кишечника с оценкой его жизнеспособности, ревизия основных брыжеечных сосудов, устранение причины сосудистой непроходимости и восстановление мезентериального кровотока, резекция некротизированных отделов кишечника, профилактика перитонита.
Реваскуляризация кишечника выполняется путем непрямой эмбол- или тромбэндартериоэктомии, в трудных случаях проводится реконструктивное обходное шунтирование с использованием сосудистых протезов (протезирование верхней брыжеечной артерии).
При некрозе кишечника реваскуляризация дополняется частичной или обширной резекцией пораженных участков кишечника и активным назоинтестинальным дренированием для лечения послеоперационного пареза кишечника. Через 24-48 часов возможно выполнение релапаротомии с целью контроля состояния брюшной полости или наложения отсроченного анастомоза.
Пред- и послеоперационное ведение больного с острой окклюзией мезентериальных сосудов включает назначение антитромботических препаратов для профилактики повторной эмболии и ретромбоза; мероприятия интенсивной терапии с целью восстановления ОЦК, устранения интоксикации, улучшения кровотока и тканевого метаболизма, стабилизации сердечной деятельности. Проводится антибактериальная терапия, дренирование и санация брюшной полости для предупреждения гангрены и перитонита.
Восстановление кровотока в брыжеечных артериях в течение первых 4-6 часов («золотой период») может предотвратить инфаркт кишечника и восстановить его функции. Как правило, оперативное вмешательство приходится на II и III стадии острой окклюзии мезентериальных сосудов, поэтому летальность после операции достигает 80-90%. Прогноз ухудшает наличие основного заболевания, приведшего к острому нарушению мезентериального кровообращения.
Профилактика острой окклюзии мезентериальных сосудов заключается в своевременном устранении потенциального источника тромбоэмболии, т. е. первичного заболевания (атеросклероза, мерцательной аритмии, ревматического порока сердца, аневризм и др.).
Синдром верхней брыжеечной артерии ( Артериомезентериальная компрессия двенадцатиперстной кишки , Синдром Уилки )
Синдром верхней брыжеечной артерии (СВБА) — это разновидность дуоденальной непроходимости, вызванной сдавлением 12-перстной кишки между верхней брыжеечной артерией и абдоминальным отделом аорты. Болезнь проявляется болями в животе после еды, тошнотой, рвотой, ощущением переполнения желудка. Для диагностики применяют инструментальные методики: рентгенографию ЖКТ с пероральным контрастированием, ЭФГДС, УЗИ и комбинированную компьютерную томографию. Лечение в основном консервативное: назначается щадящая диета и лекарственные средства (прокинетики, спазмолитики, ферменты). При декомпенсированном варианте синдрома показано хирургическое вмешательство.


В медицинской литературе у СВБА есть несколько синонимов: артериомезентериальная или сосудистая компрессия двенадцатиперстной кишки, синдром Уилки. Заболевание встречается редко. Истинная распространенность неизвестна, что связано со сложностями диагностического поиска. Частота синдрома верхней брыжеечной артерии, по данным рентгенографии пассажа бария, составляет 0,013-0,3%. У женщин болезнь выявляется в 2 раза чаще. В 75% случаев сосудистая компрессия наблюдается у детей старше 10 лет, подростков и молодых людей до 30 лет.
Основным этиологическим фактором синдрома являются индивидуальные особенности анатомии гастродуоденальной зоны. Характерен угол около 20-25° (по сравнению с 30-60° в норме) между брюшной аортой и верхней брыжеечной артерией, из-за чего пространство между двумя сосудами сокращается до 10 мм и менее. Также отмечается высокое расположение связки Трейца, которая подтягивает горизонтальную часть 12-перстной кишки (ДПК) к вершине аортомезентериального угла.
Способствующие факторы
Дуоденальная компрессия происходит только при наличии провоцирующих факторов. Распространенные причины синдрома:
- резкое снижение веса, которое сопровождается сокращением объема висцерального жира − при этом расстояние между аортой и брыжеечной артерией уменьшается;
- поясничный лордоз, сколиоз;
- слабость мышц живота;
- строгий постельный режим после травм и операций.
Наиболее подвержены развитию синдрома верхней брыжеечной артерии подростки, у которых происходит быстрый скачкообразный рост без компенсаторного увеличения веса.
Патогенез
Хроническая дуоденальная непроходимость, связанная со сдавлением кишечника верхней брыжеечной артерией, развивается в 3 этапа. Для стадии компенсации характерно неполное перекрытие просвета органа и повышение внутрипросветного давления, что способствует прохождению пищи в нижележащие отделы ЖКТ. В этот период появляются стойкие нарушения трофики и микроциркуляции кишечной стенки, снижается поступление желчи и ферментов поджелудочной железы.
На этапе субкомпенсации дуоденальная перистальтика снижается. Обычно происходит обратный заброс содержимого в желудок, панкреатический проток или желчевыводящие ходы. Наиболее тяжело протекает стадия декомпенсации, которая проявляется дуоденостазом. Характерно патологическое расширение желудка и начальных отделов кишечника наряду с тотальной обструкцией артерией горизонтального участка двенадцатиперстной кишки.
Симптомы СВБА
В большинстве ситуаций синдром верхней брыжеечной артерии имеет хроническое течение, а его симптоматика нарастает постепенно. Острое начало заболевания возможно у больных с травмами позвоночника, ортопедическими проблемами или ожогами — состояниями, которые требуют длительной иммобилизации. Острый вариант синдрома манифестирует сильнейшими болевыми ощущениями в полости живота и кишечной непроходимостью.
Основной признак хронического сдавления ДПК верхней брыжеечной артерией — боли в эпигастрии, которые возникают спустя 20-40 минут после еды (постпрандиальный болевой синдром). Иногда боли появляются сразу после приема пищи. Болезненность достаточно ощутима, что вынуждает пациентов есть небольшими порциями или вовсе голодать. Для уменьшения дискомфорта человек принимает вынужденное положение: лежа на левом боку или на животе, стоя в коленно-локтевой позе.
Боли сопровождаются тошнотой и рвотой, чувством переполненного желудка. В рвотных массах содержится частично переваренная пища с включениями желчи. После рвоты больные чувствуют облегчение. Зачастую беспокоит горькая отрыжка, изжога. Характерно чувство раннего насыщения. Для декомпенсированной стадии характерно резкое похудение вплоть до истощения. При хроническом течении синдрома развивается апатия, снижается физическая и умственная трудоспособность.
Осложнения
При хроническом нарушении дуоденальной проходимости присоединяется желудочная патология. У 50% пациентов определяются гиперхлоргидрия и гиперацидный гастрит, который в 25-45% случаев переходит в язвенную болезнь. В субкомпенсированной стадии наблюдается дисфункция пилорического сфинктера, в результате чего формируется дуодено-гастральный рефлюкс. Повреждение желудочной стенки желчными кислотами проявляется в виде рефлюкс-гастрита.
Декомпенсированная стадия компрессии ДПК верхней мезентериальной артерией осложняется хроническим дуоденитом. Воспалительный процесс вызван свободным перемещением инфицированного желудочного содержимого в двенадцатиперстную кишку и обратно. В запущенных случаях синдрома снижается тонус сфинктера Одди, и застойное дуоденальное содержимое попадает в протоки. Как следствие, развивается хронический холецистопанкреатит, усугубляющий состояние больных.
На основании физикального обследования врачу-гастроэнтерологу трудно заподозрить артериомезентериальную компрессию ввиду отсутствия патогномоничных симптомов. Предположить сосудистый характер непроходимости можно у людей с астеничным телосложением, истощенных соматических или онкологических пациентов. Постановка диагноза синдрома верхней брыжеечной артерии основывается на применении ряда методов инструментальной диагностики:
- Рентгенологическое исследование.Рентгенография с контрастным веществом выявляет застой бария в сдавленной артерией горизонтальной части двенадцатиперстной кишки и замедленное опорожнение желудка (до 4-6 часов). Также визуализируется расширенная верхняя часть ДПК и стойкий дуоденогастральный рефлюкс. Еще один типичный признак — снижение перистальтики.
- ЭФГДС. При СВБА обнаруживают расширение желудка, а также начального отдела двенадцатиперстной кишки с патологическим сужением ее дистального отдела. При эндоскопическом исследовании визуализируется гиперемированная и отечная слизистая гастродуоденальной зоны. На декомпенсацию процесса указывает зияние сфинктера привратника.
- УЗИ гастродуоденальной зоны. Ультразвуковое исследование необходимо для наблюдения за сократительной функцией желудка и ДПК в режиме реального времени. Допплерография выполняется, чтобы оценить состояние брюшного отдела аорты, брыжеечных артерий, измерить сосудистый угол.
- КТ брюшной полости. Контрастирование пищеварительного канала с одновременной ангиографией абдоминальной части аорты назначается для верификации диагноза в сомнительных случаях. Исследование проводится для оценки стадии патологического процесса, измерения дуоденального просвета, величины угла, который образуют аорта и верхняя брыжеечная артерия.

Лечение синдрома верхней брыжеечной артерии
Консервативная терапия
В компенсированной и субкомпенсированной стадиях сосудистой компрессии проводится диетотерапия и медикаментозное лечение. Основные задачи консервативных мероприятий — усиление питания и уменьшение степени дуоденальной непроходимости. Лечебная диета предполагает прием жидкой, полужидкой и протертой пищи малыми порциями. Для коррекции состояния применяется ряд препаратов:
- Прокинетики. Лекарства стимулируют перистальтику ЖКТ, способствуя более быстрому продвижению химуса по пищеварительному каналу. Прокинетики нормализуют тонус мышечных сфинктеров, предотвращают дуоденальный рефлюкс.
- Спазмолитики. Назначаются короткими курсами перед приемом прокинетиков для снижения внутриполостного давления в 12-перстной кишке, которая сдавлена мезентериальной артерией. Препараты быстро устраняют боли и дискомфорт в эпигастральной зоне.
- Ферментные препараты. Для улучшения пищеварительной функции используют средства заместительной терапии с панкреатическими ферментами. Лекарства способствуют нормализации стула, уменьшают вздутие живота и диспепсические симптомы.
- Антибактериальные средства. Чтобы уменьшить риск гастродуоденитов, при дуоденальном рефлюксе рекомендуют кишечные антисептики, которые не оказывают системного действия. С целью подавления бактериальной инфекции показаны фторхинолоны, макролиды.
Хирургическое лечение
Критериями отбора больных для проведения оперативного вмешательства являются прогрессирующая потеря массы тела, выраженный дуоденостаз, развитие осложнений СВБА. Наиболее часто проводят дуоденоеюностомию, которая позволяет полностью устранить симптомы у 90% пациентов. В современной абдоминальной хирургии используют лапароскопическую операцию по разделению связки Трейца и уменьшению дуоденальной компрессии.
Сочетание медикаментозного лечения со специальной диетой показывает хорошие отдаленные результаты у пациентов с начальными стадиями синдрома. С учетом современных хирургических методов лечения прогноз благоприятен даже при декомпенсации заболевания. Меры профилактики включают своевременную коррекцию искривлений позвоночного столба, соблюдение рациональной диеты с адекватной калорийностью.
1. Синдром верхней брыжеечной артерии. Клинический случай в педиатрической практике/ Н.М. Тихон, М.П. Волкова, А.В. Хмеленко, А.И. Гринь // Вестник Витебского государственного медицинского университета. — 2016.
2. Синдром верхней мезентериальной артерии/ М.Б. Щербинина, В.Н. Гладун, С.И. Кожан, А.В. Семашко, С.И. Фещенко// Современная гастроэнтерология. — 2012.
3. Синдрома верхней мезентериальной артерии (синдром Уилки): клиническое наблюдение/ А.К. Графов, М.А. Халилов, Н.Н. Шевердин, А.Г. Алексеев // Российский вестник детской хирургии, анестезиологии и реаниматологии. — 2015.
4. Хроническая дуоденальная непроходимость. Т.Д. Звягинцева, И.И. Шаргород// Восточноевропейский журнал внутренней и семейной медицины. - №2 — 2016.
Читайте также:



