Советы по оценке МРТ артрограммы голеностопного сустава
Добавил пользователь Евгений Кузнецов Обновлено: 08.01.2026
Если вовремя сделать МРТ голеностопного сустава, можно быстро и качественно поставить правильный диагноз заболевания или повреждения.
Диагностика голеностопного сустава с помощью магнитно-резонансной томографии назначается для визуализации пораженных тканей и различного рода заболеваний.
Магнитно-резонансная томография голеностопного сустава помогает специалистам провести максимально полное обследование с помощью визуализации диагностируемой области и подробным изучением отдельных структур:
- патологические изменения хряща, сустава, связок и мышц;
- развитие серьезных патологических процессов, поражающих голеностопный сустав.
Преимущества МРТ в ЦКБ РАН
- Безопасно, без лучевой нагрузки, возможно многократное повторное выполнение исследования
- Высокая диагностическая эффективность
- Опытные врачи гарантируют точность поставленного диагноза и качество оформленного протокола
МРТ голеностопного сустава диагностирует состояния, как:
- инфильтрация окружающих сустав тканей
- закрытые переломы
- скелетные метастазы
- аномалии развития голеностопного сустава
- разрыв синдесмоза
- метастазы поражающие костную структуру сустава
- наличие воспалительного экссудата
- ревматоидные патологии
- артроз и артрит
- серьезные травмы связочно-суставного аппарата
- инфекционный воспаления
Показания МРТ голеностопа
Томография голеностопного сустава назначается с целью диагностики различных заболеваний и патологических состояний:
- травмирование поверхности сустава
- спортивное повреждение
- растяжение связок
- подозрение на опухолевое образование
- артроз, артрит
- ущемление нервов или сухожилий
- остеомиелит
- переломы
- различные вывихи
- подагра
- выраженный болевой синдром
- отек мягких тканей
- подтверждение диагноза перед оперативным вмешательством
- контроль результатов ранее проведенной хирургической операции
Подготовка к МРТ голеностопного сустава
Для проведения такого исследования, как магнитно-резонансной диагностика голеностопного сустава специальная подготовка не требуется. Однако для проведения полноценной диагностики необходимы данные о ранее проведенных исследования, все выписки и заключения. Это существенно облегчит работу радиологу.
Прежде чем приступить к томографии голеностопного сустава пациенту необходимо заполнить анкету, ответы, на которую должны быть максимально полными и правдивыми. В ней содержатся вопросы о наличии аллергических реакций и о заболеваниях, которые могут быть противопоказанием для проведения магнитно-резонансной томографии.
Как проводится МРТ голеностопного сустава
Магнитно-резонансная томография голеностопного сустава проводится в горизонтальном положении. Вначале пациент укладывается на специальной выдвижной кушетке, которая затем перемещается в томограф.
Для диагностики, обычно, достаточно десяти минут. В особенных случаях может понадобиться больше времени - до получаса. Главная задача пациента во время МРТ-диагностики - сохранять неподвижность.
Исследование может проводиться с применением контраста - это вещество не содержит радиоактивных компонентов и является абсолютно безвредным для человека. Единственное противопоказание для применения контрастирующего вещества - тяжелые почечные заболевания.
Никаких ограничений перед МРТ не существует. Зато требуется соблюдать строгое правило в отношении самой процедуры - в томограф не должны попадать предметы из металла (ключи, украшения и т.п.) Кроме того, обязательно предупредите врача о наличии имплантов. МРТ голеностопа делают посредством томографа, магнитное поле которого воздействует только на интересующую часть тела.
По результатам МРТ-диагностики врач получает возможность оценить состояние костей, связок и хрящевых поверхностей сустава. Кроме того, данные исследований позволяют оценить химические и дегенеративные процессы, протекающие в районе сустава. При всем этом МРТ голеностопа остается лишь вспомогательным методом постановки точного диагноза - на основании одного МРТ поставить диагноз нельзя. На МРТ пациент может пойти по направлению врача или по собственной инициативе.
Противопоказания МРТ голеностопа
Противопоказания такие же, как и при исследовании любой другой области человеческого организма:
Что показывает МРТ голеностопного сустава
МРТ - безвредное исследование с высокой степенью информативности. То, что показывает МРТ голеностопного сустава, помогает врачам в диагностике заболеваний, в наблюдении за развитием патологического процесса, результатами лечения. Особая роль принадлежит МР исследованию при подготовке к оперативному лечению.
МРТ не делается ургентно или при первом обращении больного за медицинской помощью. Сначала врач изучает жалобы, как появились и развивались симптомы заболевания, проводит осмотр, пальпацию, исследует объем движений в суставе и степень болезненности.
Первым методом, к которому прибегает врач, является рентген как самый недорогой и достаточно информативный метод визуализации. На снимках можно будет определить перелом, вывих, большие трещины, объемные образования в области сустава.

Вторым по частоте методом исследования идет УЗИ. При этом можно измерить толщину тканей - капсулы, хряща, сухожилия, определить ширину суставной щели, кисты, опухоли, увеличение количества внутрисуставной жидкости.
Какие заболевания покажет МРТ голеностопного сустава?
Но самым точным диагностическим методом является МРТ. При этом на снимках можно выявить изменения в структуре тканей менее 1 мм. Поэтому любая патология на МРТ будет видна намного раньше, чем при других методах исследования. А это большое преимущество в лечении, ведь чем раньше начать его, тем оно эффективнее. Иногда на ранней стадии можно обойтись без хирургического лечения. В случаях выявления опухолей шансы излечиться намного выше, при этом методы будут более щадящими, меньше объем оперативного вмешательства.
Поэтому МРТ широко используют в ортопедии и травматологии, онкологии. Вот, что показывает МРТ голеностопа:
Воспалительные болезни - артриты, бурситы, тендовагиниты, синовииты, фасцииты, васкулиты.
Опухоли доброкачественные и злокачественные мягких тканей и костей - остеомы, хондромы, саркомы, гемангиомы, фибромы, остеосаркому, наличие метастазов, стадию заболевания.
Синдром диабетической стопы - глубину поражения тканей, наличие некротических изменений в мягких тканях и костях.
Травматические повреждения голеностопа, щиколотки, пальцев стопы.
Инородные тела в этой области, в том числе в полости сустава, кроме случаев, когда они из металла.
Вальгусная деформация стопы, степень выраженности.
Артрозы при возрастных изменениях, из-за хронического воспаления, после травм. Иногда развивается пяточная шпора, импиджмент синдром голеностопного сустава - сближение таранной и большеберцовой костей, защемление между ними других тканей. При подагре страдает больше всего плюснефаланговый сустав большого пальца стопы.
Когда назначают МРТ голеностопного сустава?
Магнитно-резонансную томографию делают в следующих случаях:
Состояние после травм голеностопа, чтобы выявить наличие и характер поражения связок (растяжение, разрыв), мышц (ушибы, размозжение, некроз), сухожилий, сосудов (кровоизлияния в мягкие ткани), костей, суставов (вывихи, подвывихи, внутрисуставные переломы). Перелом обычно хорошо виден на рентгенограмме, но сопутствующие повреждения окружающих тканей видны только на МРТ.
Если область сустава отекает, кожа покраснела, горячая, беспокоит боль в покое и при движении, это говорит о воспалении. МРТ покажет степень выраженности воспалительных изменений, какие именно ткани затронуты. Это напрямую влияет на тактику лечения и выбор препаратов. Суставы воспаляются при ревматических процессах, нарушении обмена (подагра), аллергических и инфекционных артритах.
При дегенеративно-дистрофических процессах человек жалуется на боль в стопе, лодыжках, хруст в суставе, заклинивание, ограничение движений. Боль максимально выражена в начале движения, затем постепенно проходит по мере того, как человек «расходится». На МР снимках видно, насколько разрушен хрящ, есть ли изменения костной ткани под хрящевым слоем. Сначала хрящ истончается, сужается щель между суставными концами костей. Затем видны небольшие очаги разрушения хрящевой пластины, которые постепенно увеличиваются. Компенсаторно увеличивается плотность костной ткани на границе с хрящом. Могут выявляться очаги рассасывания в кости, экзостозы - костные наросты, которые травмируют соседние ткани.
Когда в области сустава видно образование, оно может быть болезненным, или боль при пальпации отсутствует. МРТ позволяет дифференцировать кисты от опухолей, определять их точное расположение, размеры. Данные о характере кровоснабжения, границах опухоли, состоянии окружающих тканей позволяют судить о том, это доброкачественное или злокачественное образование. Для уточнения часто прибегают к введению контраста. Он по кровеносным сосудам попадает в очаг и накапливается там. Опухоль можно рассмотреть более детально.
Аномалии развития определяют сразу после рождения. Серьезные отклонения требуют оперативного вмешательства, чтобы человек смог в дальнейшем полноценно стоять, ходить.
Бывает, что после травмы боль длительное время не проходит. Определить, в чем именно причина, помогает МРТ. Если нерв или сосуд ущемляется между костями или отечными тканями, человек чувствует боль, онемение, сложности при движении ногой, стопа может отекать, быть бледной, холодной, синеватого оттенка.
В профилактических целях МРТ рекомендуют проходить людям, если на голеностоп приходится повышенная нагрузка. Один раз в год советуют сделать МР снимки спортсменам, людям с избыточным весом, больным сахарным диабетом и другими подтвержденными метаболическими нарушениями, ревматическими болезнями.
МРТ голеностопного сустава, как проходит?
Процедура, то есть как делают МРТ голеностопного сустава, практически не отличается от обследования любой другой анатомической области. Необходимо снять все изделия из металла (часы, украшения, убрать телефон, ключи, банковские карты). Если металлические предметы находятся внутри тела пациента, от процедуры, скорее всего, в целях безопасности больного, придется отказаться. Это решит врач после предоставления специальных документов на изделие (клипсы сосудов, ЭКС, зубные и слуховые протезы, штифты, искусственные суставы и т. д.).

Человек остается в свободной одежде, подходящей для проведения МРТ. Ложится на стол. Врач или ассистент фиксируют ногу в нужном положении. Его тело, руки тоже фиксируют ремнями. Получить качественные снимки можно при неподвижности больного во время процедуры. Поэтому 30 - 60 минут (столько длится исследование) необходимо постараться лежать спокойно.
Стол заезжает в трубу - устройство, в котором создается сильное магнитное поле. Возбужденные атомы водорода в тканях и органах в ответ на воздействие магнитного поля испускают сигналы, которые и улавливает прибор. По ним компьютер воссоздает картину тканей в исследуемой области. Отдельные фото снимки объединяются в трехмерное изображение. Сустав можно исследовать в разных плоскостях.
Это и делает исследование таким ценным: как будто можно заглянуть внутрь голеностопного сустава и рассмотреть любое место с разных сторон с увеличением. Особенно ценная информация для хирургов: видны индивидуальные анатомические особенности строения сустава, места прохождения сосудов, нервов, их состояние. Врач планирует, исходя из полученной информации, оптимальный доступ к патологическому очагу, объем оперативного вмешательства, время, необходимое для выполнения манипуляций.
Если есть подозрение на опухоль или сосудистую патологию, проводят контрастное исследование. В вену вводят контраст на основе гадолиния и изучают анатомическую область по мере поступления в нее контраста и накопления. Иногда контраст вводят непосредственно в сустав. Это указывает врач ортопед-травматолог в направлении на МРТ.
Противопоказано введение контрастного вещества:
- при беременности;
- кормящим;
- людям с выраженными нарушениями почек.
Если запланировано введение контраста, в течение 6 - 8 часов до обследования не нужно есть. Гадолиний содержащие контрастные средства редко вызывает аллергию. Выводится из организма за 1 - 2 суток. Чтобы избежать возможных осложнений со стороны почек, людям с проблемами выделительной системы должны в ходе подготовки проводить дополнительные лабораторные тесты.
Детям, людям возбужденным, с психическими заболеваниями, которым сложно выдержать нужное время без движений, проводят седацию, то есть дают успокоительные средства перед исследованием.
Если человек крупного телосложения, не помещается внутрь томографа, ему можно пройти МРТ на аппаратах открытого типа. Ее точность несколько ниже, чем при закрытой МРТ, так как аппарат создает магнитное поле меньшей напряженности. Но это все равно более информативно, чем рентген, УЗИ, КТ.
Расшифровка МРТ голеностопного сустава
Расшифровкой занимается специалист функциональной диагностики и лечащий врач, который направил на МРТ. Детальные снимки и комментарии к ним подтверждают предполагаемую причину болезни или опровергают ее, уточняют уже известный диагноз. Для качественной интерпретации результата следует учитывать клиническую картину, лабораторные данные, результаты других исследований или проведенных ранее МРТ.
Важное преимущество МР исследования - то, что его можно проводить столько раз, сколько это требуется, не причиняя вреда больному. При МРТ нет лучевого воздействия на организм, поэтому такое исследование безопасно. По показаниям его проводят детям, беременным во 2 и 3 триместрах. Часто назначают серию МРТ с промежутком в недели, месяцы. Это покажет процесс в динамике, реакцию очага на терапию, развитие осложнений или улучшение. Сравнивают несколько снимков, полученных последовательно при различных обследованиях.
МРТ или КТ голеностопного сустава?
Если у пациента есть серьезные противопоказания для МРТ (металлические элементы внутри организма), можно как альтернативу назначить КТ. Как и рентген, это лучевой метод воздействия. Он хорошо показывает состояние твердых тканей - костей, косвенно позволяет судить о толщине хрящей. Однако его нельзя назначать так часто, как МРТ, потому что лучевая нагрузка для организма в больших количествах вредит.
Метод диагностики определяет врач: если есть подозрение на переломы, трещины, опухоли, кисты, некроз кости, выбор будет в пользу КТ. Когда нужно в подробностях рассмотреть мягкие ткани, образующие сустав, и вокруг него, предпочтение отдают МРТ.
В некоторых случаях использование этих сложных методов вообще не понадобится, так как врачу понятна клиническая картина, уточнений не требуется. Поэтому не следует самостоятельно назначать себе обследование и тем более лечение.
Следует обращаться в клинику. Точность исследования, кроме профессионализма врачей, зависит от модели томографа. При индукции магнитного поля у аппарата 1,5 Тесла качество снимков будет выше, лучше детализация, чем при использовании низкопольных томографов.

приходится до 25% от общего количества травм опорно-двигательного аппарата и 40-60% от числа повреждений нижней конечности. Диагностировать патологии области сочленения ноги и ступни можно с помощью рентгена, КТ и МРТ. Данные рентгенографии и компьютерной томографии в большей степени сфокусированы на визуализации костных тканей. Магнитно-резонансная томография явилась методом комплексной оценки повреждений голеностопного сустава и стопы. Её чувствительность в диагностике травматических повреждений и дегенеративных патологии в среднем составляет 98%, специфичность - 89%, точность - 94%. МРТ голеностопа позволяет получить четкие послойные снимки костей голеностопного сустава, хрящей, связочного аппарата, сухожилий, сосудов и окружающих их мягких тканей.
Что покажет МРТ голеностопного сустава?
Магнитно-резонансная томография дает прекрасную возможность врачам диагностировать такие сложные заболевания, как:
- бурситы, фасцииты;
- невралгию заднего большеберцового нерва;
- энтезопатию ахиллова сухожилия;
- атрофию сухожилия;
- вальгусную деформацию стопы;
- отрывы, разрывы, надрывы мышц и сухожилий.
Ее данные играют важную роль в разработке плана оперативного вмешательства на ноге и ступне или медикаментозного лечения.
Что видно на МРТ голеностопа?
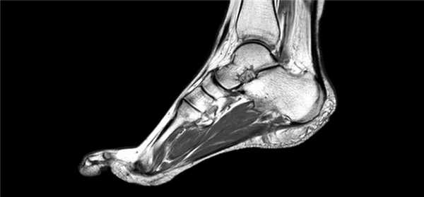
В ходе томографии голеностопного сустава оцениваются следующие анатомические аспекты:
- Взаимоотношения суставных поверхностей в голеностопном суставе и выпот стопы.
- Состояние подтаранного сустава.
- Проверяется, что медиальная и латеральная лодыжки не повреждены. Сухожилия задней и передней большеберцовых мышц, длинного сгибателя пальцев, длинной и короткой малоберцовых мышц не изменены или воспалены.
- Нет ли деформации и воспаления по ходу сухожилия задней б/берцовой мышцы.
- Дельтовидная связка носит целостный характер.
- Перонеальный удерживатель сухожилий не изменен.
- Передняя и задняя межберцовые связки не повреждены, щель межберцового синдесмоза равномерна и не расширена.
- Передняя малоберцово-таранная связка не определяется за счет отрыва от наружной лодыжки.
- Задняя малоберцово-таранная связка утолщена и разволокнена за счет растяжения и определяется на всем протяжении.
- Задний край таранной кости не деформирован.
- Пяточное (Ахиллово) сухожилие без патологических особенностей. Подошвенная фасция равномерно утолщена, а тарзальный канал не изменен.
- Собственно голеностопный и подтаранный суставы не деформированы.
- Мышцы не деформированы и однородны по интенсивности МР-сигнала.
МРТ плечевого сплетения (МРТ шейный отдел позвоночника и плечевого сустава)
ПОДГОТОВКА К ПРОЦЕДУРЕ
МРТ голеностопного сустава чаще всего проводится без контраста и не требует никакой специальной подготовки. В диагностических клиниках Санкт-Петербурга для томографии голеностопного сустава применяют томографы закрытого и открытого типов. Такое исследование в комфортных условиях занимает около 30 минут. Перед МРТ пациенту необходимо снять с себя все металлические предметы. Для получения качественных МРТ снимков диагностируемый не должен двигаться. Поэтому перед началом обследования необходимо принять комфортное положение. Заключение выдается через час после исследования или высылается по электронной почте.
В большинстве медицинских центров СПб в стоимость томографии голеностопа входит сканирование, запись снимков на электронный носитель и письменное заключение врача-рентгенолога. Некоторые центры в качестве бесплатного бонуса предлагают пройти консультацию у врача-ортопеда по результатам МРТ голеностопного сустава.
Расшифровка
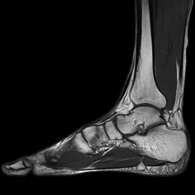
На серии МР-томограмм визуализированы структуры левого голеностопного сустава. Соотношения в голеностопном, подтаранном суставах не нарушены, патологического выпота в полости голеностопного сустава не выявлено. Синовиальная оболочка не дифференцируется. Хрящевое покрытие голеностопного, подтаранного и таранно-ладьевидного суставов неравномерно истончено. Суставные полости голеностопного, подтаранного и таранно-ладьевидного суставов слева умеренно неравномерно сужены.
Медиальные отделы: патологических сигналов от медиальной лодыжки не выявлено. В краевых медиальных отделах блока таранной кости субхондрально отмечается локальный участок эрозирования размером ~ 2-3мм, без патологических изменений в смежных трабекулярных отделах. Дельтовидная связка определяется на всем протяжении, сигнал от связки неоднородный, общее натяжение связки сохранено. Сухожилия длинного сгибателя большого пальца, длинного сгибателей пальцев, задней большеберцовой мышцы однородной структуры.
Латеральные отделы: патологических сигналов от латеральной лодыжки не выявлено. Передняя и задняя нижние межберцовые связки сохранены, межберцовый синдесмоз равномерный на всем протяжении. Передняя таранно-малоберцовая связка определяется на всем протяжении, истончена, отмечается слабоинтенсивное повышение сигнала от связки, общая целостность сохранена. Задняя таранно-малоберцовая связка не изменена. Пяточно-малоберцовая связка прослеживается на всем протяжении, типичной структуры. Структура сухожилий малоберцовых мышц однородная, определяется скопление жидкости перитендинозно сухожилиям короткой и длинной малоберцовой мышц.
Задние отделы: определяется удлинение латерального бугорка заднего отростка таранной кости, без патологических изменений сигнала от прилежащих отделов жировой клетчатки, отмечается локальное скопление однородной жидкости в данной зоне. В задних отделах пяточной кости, в области пяточного бугра, субкортикально отмечается локальный участок эрозирования размером ~ 3-4мм, без патологических изменений в смежных трабекулярных отделах. Определяется шиповидное костное разрастание в задненижних отделах пяточной кости, на уровне прикрепления подошвенной фасции и короткого сгибателя пальцев, без патологических изменений сигнала от данной фасции. Пяточное сухожилие однородной структуры. Клетчатка Кагера без особенностей. Тарзальный канал не изменен.
Передние отделы: сухожилия передней большеберцовой мышцы, разгибателей пальцев стопы и большого пальца равномерны по толщине и интенсивности сигнала. Плюсневая пазуха без особенностей.
Заключение: МР-картина частичного повреждения дельтовидной и передней таранно-малоберцовой связок. МР-признаки деформирующего артроза голеностопного, подтаранного и таранно-ладьевидного суставов 1-2ст. Теносиновит сухожилий малоберцовых мышц.
Противопоказания
МРТ голеностопа чаще всего запрещено делать людям с:
- кардиостимулятором, металлическими клапанами сердца;
- имплантами кохлеарного типа;
- суставными эндопротезами из стали;
- помповыми имплантами и стимуляторами;
- металлическими винтами, стентами, штифтами и пластинами;
- клипсами и стентами в сосудах.
Если МРТ голеностопного сустава с контрастом, то противопоказанием может стать:
- поливалентная лекарственная аллергия;
- побочные реакции на препарат с содержанием гадолиния;
- почечная недостаточность;
- тяжелая форма бронхиальной астмы;
- выполнение другого исследования с введением контрастного вещества менее, чем за 36 часов до процедуры; .

Специализация: Врач МРТ и КТ
Где ведет прием: Центр МРТ Мирт
- Брюханов А.В. Магнитно-резонансная томография в диагностике заболеваний суставов. // Дисс. д-ра мед. наук. -Обнинск.-1998.
- Громак Г.Б. Диагностика и лечение повреждений в области голеностопного сустава: Метод, рекомендации. Рига, 1981.
- Жаданова О.А. МРТ диагностика лимфедемы нижних конечностей // Дисс. канд. мед. наук. М. 1996.
- Витько Н.К. Магнитно-резонансная томография в диагностике повреждений сухожильно-связочного аппарата голеностопного сустава и стопы / Н.К. Витько, А.Г. Зубанов, Н.Ю. Маркина // Медицинская Визуализация. - № 4. - 2002.
- Исакова, Т.М. Алгоритм лучевой диагностики застарелых повреждений голеностопного сустава / Т.М. Исакова [и др.] // Вестник травматологии и ортопедии Урала. - 2012. - 'Г.5, №1-2.
- Косинская Н.С. Дегенеративно-дистрофические поражения костно-суставного аппарата. -Л., Медгиз, 1961.
Последние статьи о диагностике

Что показывает МРТ коленного сустава
МРТ коленного сустава (МРТ колена) считается одним из самых надежных медицинских исследований, позволяющих оперативно выявить большинство проблем с коленными структурами. Коленный сустав часто

Что показывает МРТ плечевого сустава
Как правило, МРТ плечевого сустава назначается врачом-ортопедом пациентам для исследования таких состояний, как переломы, дегенеративные изменения, суставные повреждения травматического характера, разрывы вращательной манжеты, травмы рабочего характера (например, связанные с вибрацией), травмы спортивного характера, инфекционные и воспалительные процессы, новообразования в мягких тканях и в костях, отеки, болевой синдром, кровотечения вокруг сустава и в мягких тканях, уменьшения возможности движения плеча.

Противопоказания к МРТ
Магнитно-резонансная томография - это безопасное обследование без лучевой нагрузки, но и она имеет ряд противопоказаний в зависимости от модели томографа и протокола обследования - с контрастом или без. Томография нашла широкое применение в нейрохирургической, онкологической, ортопедической и неврологической практике для исследования позвоночника, головного мозга, сосудов, суставов, внутренних органов и мягких тканей.

МРТ или КТ коленного сустава
МРТ или КТ коленного сустава - это два высокоэффективных метода диагностики организма человека, а вот какой из них и в чем лучше, давайте попробуем разобраться. В зону колена входят ткани разного характера: костные ткани - бедренная кость, малая и большая берцовая кость, хрящи суставной поверхности, мениски; мягкие ткани - связки, мышцы сухожилия, сосудисто-нервные пучки, жировое тело. Из-за физики получения изображения кость лучше всего визуализируется на
МРТ или УЗИ голеностопного сустава - что лучше делать

УЗИ голеностопного сустава является по цене одним из наиболее доступных для пациента способов обследовать нижнюю часть ноги. Этот вид диагностики достаточно информативен и совершенно безопасен. Для него не нужна предварительная подготовка. В медицинских центрах СПб ультразвуковое исследование суставов применяется не только для выявления заболеваний, но и для контроля эффективности лечения и врачебных процедур. Например, при проведении УЗИ с функциональными пробами, которые дадут представление об амплитуде движения в суставах; при взятии пункции на исследование содержимого суставной сумки или новообразований; при проведении медикаментозной блокады под контролем УЗИ. Отправлять на ультразвуковую диагностику голеностопа могут специалисты различных областей, но чаще всего это происходит после или перед приемом врача-ортопеда. Сделать такое исследование можно практически в любом медицинском учреждении Санкт-Петербурга, где есть специализированные УЗИ кабинеты с оборудованием экспертного класса.
УЗИ или МРТ голеностопного сустава - что лучше?
МРТ голеностопного сустава объективно считается более информативным исследованием, чем УЗИ голеностопа, поскольку в ходе сканирования может оценить состояние как мягких, так и костных тканей. Однако диагностические возможности ультразвука тоже растут, и с введением новых высокочастотных и широкополосных датчиков визуализация стала гораздо шире. К тому же УЗ-исследование области голеностопа технически не затруднено, так как большинство структур находятся неглубоко в отличие от УЗИ плеча или УЗИ колена.На УЗИ будут отправлены пациенты с подозрением на артрит, в том числе ревматоидный, артроз, при нарушении структуры сухожилий или его воспалении, при образовании пяточной шпоры. Врачу-диагносту несложно будет при помощи УЗИ определить стадию патологий мягких тканей голеностопа и дать оценку сложности некрозного процесса. Особенно ультразвуковая диагностика удобна тем, что не имеет противопоказаний, не требует специальной подготовки или полной неподвижности пациента в ходе сканирования. Поэтому она может служить альтернативой для МРТ голеностопа в ситуации, если пациент страдает клаустрофобией, не может сохранять неподвижность долгое время или из-за веса не помещается в томограф.
| Услуга | Цена днем | Цена по Скидке Ночью |
|---|---|---|
| с 23.00 до 8.00 | ||
| МРТ плечевого сустава | 4000 руб. | 3390 руб. |
| МРТ локтевого сустава | 4000 руб. | 3390 руб. |
| МРТ коленного сустава | 4000 руб. | 3390 руб. |
| МРТ голеностопного сустава | 4000 руб. | 3390 руб. |
| МРТ тазобедренных суставов | 4000 руб. | 3390 руб. |
| Прием врача ортопеда | бесплатный после МРТ | бесплатный после МРТ |
| Услуги УЗИ суставов | Цена, руб. |
|---|---|
| УЗИ плечевого сустава | 1500 руб. |
| УЗИ локтевого сустава | 1500 руб. |
| УЗИ тазобедренного сустава | 1500 руб. |
| УЗИ коленного сустава | 1500 руб. |
| УЗИ голеностопного сустава | 1500 руб. |
| УЗИ одного мелкого сустава (кисти, стопы) | 1000 руб. |
| УЗИ двух мелких суставов | 2000 руб. |
| УЗИ двух крупных суставов | 2500 руб. |
Как проходит УЗИ и МРТ голеностопа
Процедуру УЗИ голеностопного сустава и стопы проводят в положении лежа или сидя. Диагност наносит гель на область исследования пациента и на датчик сканирующего аппарата. Гель на водной основе, гипоаллергенный, необходим для обеспечения более гладкого скольжения датчика, а также устранения попадания воздуха между датчиком и телом пациента. Голеностопный сустав исследуется, как правило, с четырех сторон - спереди, сзади, сбоку и снизу. При изменении положения датчика область исследования отображается с различного ракурса. В каждом из положений есть возможность визуализировать и зафиксировать различные патологии голеностопного сустава. Те же ракурсы применяются и при диагностике стопы.
Процедура томографии для пациента тоже проходит в комфортных условиях. В МРТ кабинете пациента уложат на спину на особый стол, оденут специальную усилительную катушку на голову и переместят в центр томографа под магнит. В среднем исследование одного сустава длится 20-30 минут, и все это время человек должен не двигать ногой. Расшифровка результатов МРТ сканирования у врача занимает еще полчаса, и в день обращения пациенту сразу смогут распечатать снимки и дать письменное заключение рентгенолога. Дополнительно наши диагностические центры предлагают своим пациентам бесплатную консультацию у ортопеда по результатам МРТ суставов.
Когда необходимо МРТ голеностопного сустава (голеностопа)

Магнитно-резонансная томография (МРТ) голеностопного сустава - это эффективный метод визуализации структуры данного сустава. Это позволяет врачам с высокой точностью диагностировать многие заболевания и патологические состояния. Процедура помогает даже в том случае, если врачи не могут понять, что происходит с пациентом, или поставить точный диагноз. МРТ является одним из самых точных методов обнаружения заболевания даже на ранней стадии.
Что показывает МРТ голеностопа
С помощью МРТ голеностопа врачи получают высококачественное изображение, при этом не нанося вред пациенту. На снимке можно увидеть:
- Суставной хрящ
- Костный мозг костей
- Суставы, связки, мышцы, сухожилия
- Сосуды, нервы
Для получения точной картины важно иметь возможность просканировать в трех взаимно перпендикулярных плоскостях. Также МРТ имеет высокое контрастное разрешение мягких тканей.

Показания
МРТ голеностопного сустава выполняется по показаниям лечащего врача, если наблюдается патология или пациент жалуется на болезненные ощущения. Благодаря МРТ выявляются различного вида травмы, новообразования, воспалительные или инфекционные процессы.
К показаниям для проведения магнитно-резонансной томографии относится следующее:
- Ограниченные двигательные возможности
- Неприятные или болевые ощущения в лодыжке
- Перенесенные травмы
- Повреждение сухожилий/связок
- Отек в области голеностопного сустава
- Патологическое образование на поверхности кожи (гнойнички, язвы и так далее)
- Предстоящая операция
- Частые повреждения голеностопного сустава
- Воспаление тканей
- Онемение пальцев ног или всей стопы
- Врожденная аномалия
- Защемление нерва
Магнитно-резонансная томография голеностопа помогает выявить следующие заболевания:
- Артрит, некроз, артроз
- Онкологическое заболевание
- Подагру
- Деформацию костей или перелом
- Нарушенное кровообращение и многое другое
Большим преимуществом такого способа диагностики является то, что нет негативного воздействия на организм человека. Можно обнаружить незначительный патологический процесс, даже если симптомы слабо выражены или отсутствуют. Анатомия человека довольно сложная, поэтому часто врачам не удается точно диагностировать заболевание.

В каких случаях необходимо обследование
Магнитно-резонансную томографию назначают в случаях, описанных ниже:
- Перенесенная травма голеностопного сустава для выявления наличия пораженных связок (растяжений, разрывов), мышц (ушибов, разложений, некрозов), сухожилий, сосудов (кровоизлияний в мягкие ткани), костей и суставов (переломов, вывихов и так далее). Обычно перелом хорошо заметен на рентгенограмме, но МРТ все равно стоит пройти для обнаружения повреждения окружающих тканей;
- Отек в области сустава, покраснение кожного покрова, болевые ощущения во время движения. Все это говорит о воспалении. На МРТ видна степень воспалительного изменения, какие именно ткани повреждены. Все это влияет на подбор препаратов и последующую тактику лечения;
- Дегенеративно-дистрофические процессы (пациент испытывает болевые ощущения в стопе, лодыжке, хруст в суставах, ограниченное движение). Боль особенно выражена вначале движения, затем постепенно стихает. В таком случае МРТ покажет, насколько разрушен хрящ, какие происходят изменения в костной ткани, наличие костных наростов и так далее;
- В области сустава наблюдается новообразование. Оно может никак не давать о себе знать (болевые ощущения отсутствуют). Благодаря МРТ можно отличить кисту от опухоли, определить ее точное расположение и размер. Также врач получает сведения о состоянии окружающих тканей, кровоснабжении и многом другом. Так он поймет, с какой опухолью имеет дело: злокачественной или доброкачественной. Для того чтобы получить максимально точный результат, вводят контраст. Он попадает в очаг патологии по кровеносным сосудам и накапливается там. Таким образом, можно детально судить о природе опухоли;
- Определение аномалий развития сразу же после рождения. Если обнаружены серьезные отклонения, то приходится прибегать к оперативному вмешательству;
- Боль после перенесенной травмы не проходит долгое время. Разобраться в причине поможет МРТ. Например, у пациента может наблюдаться защемление нерва или сосуда. В таком случае человек ощущает сильную боль и онемение. Ему сложно двигаться. Иногда наблюдается отек в области стопы. Она может быть холодной, приобретать синеватый или бледный оттенок;
- Также в целях профилактики стоит проходить МРТ тем людям, у которых на голеностопный сустав приходится высокая нагрузка. Один раз в год нужно делать магнитно-резонансную томографию следующим лицам:
- Спортсменам
- Людям с избыточной массой тела
- Пациентам с сахарным диабетом и другими метаболическими нарушениями
- Пациентам с ревматическими болезнями

Как выполняется процедура
Обследование проходит безболезненно и без негативного влияния, поэтому пациентам не о чем волноваться. Диагностика выполняется благодаря томографу. Обследование может быть разным в зависимости от типа томографа: открытого или закрытого.
Если открытый тип, то в аппарат помещается только голеностопный сустав. Если закрытый тип, то аппарат представляет собой большую тубу, в которой находится выдвижной стол. Больного укладывают туда, конечности фиксируют, а голеностопный сустав располагают в необходимом положении. После этого стол задвигается и начинается обследование. Результат, как правило, пациент получает в тот же день.
С контрастом
Длительность
Средняя продолжительность диагностики - 30 минут. Если никаких сложных нарушений не наблюдается, то это время может быть сокращено до 20 минут. Во время использования контрастного вещества или при наблюдении сложного заболевания время может быть увеличено до одного часа.
Порядок процедуры
В проведении МРТ нет ничего сложного. Пациента приглашают в специальный кабинет и укладывают на стол. Врач фиксирует голеностоп в нужном положении. Затем больной получает экстренную кнопку на случай непредвиденной ситуации, например, панической атаки при клаустрофобии. Врач подробно объясняет, как будет проходить исследование, после чего уходит в соседний кабинет и контролирует процесс через стекло. Лаборант проверяет, хорошо ли работает громкая связь, и дает указания. Во время исследования пациент должен не двигаться, чтобы изображение получилось как можно четче. После его просят подождать в коридоре до получения результатов.
| Противопоказания к МРТ | Противопоказания к МРТ с контрастом |
| Наличие металлического протеза клапана сердца, кардиостимулятора, ICD | Поливалентная лекарственная аллергия в анамнезе |
| Металлические клипсы на сосудах головного мозга, сосудах легких или в брюшной полости | Ранее перенесенные побочные явления на МРТ с контрастом |
| Наличие металлических предметов, которые находятся в области черепа, мягких тканях шеи или грудной клетки | Хроническая или острая почечная недостаточность |
| Ферромагнитные протезы суставов | Выраженная печеночная недостаточность |
| Металлические или электронные имплантаты внутреннего уха | Тяжелая форма бронхиальной астмы |
| Инсулиновые помпы и нервные стимуляторы | После прохождения прошлого МРТ с контрастом прошло менее 36 часов |
| Первый триместр беременности или подозрения на беременность |
Что позволяют понять результаты исследования
Результат исследования подтверждает или, наоборот, опровергает подозрение в каком-либо заболевании. После МРТ в Москве человек получает ответ в документах или на информационных носителях. Рентгенолог дает пояснение результатам и может рекомендовать, к какому специалисту стоит обратиться. Услуга доступна каждому человеку.
Часто задаваемые вопросы
Я сильно подвернул ногу. Мне нужно МРТ?
Прежде всего стоит обратиться за помощью к специалисту. Только он может оценить то, насколько все серьезно. Если диагноз поставить сложно, то он отправит вас на МРТ.
Мне предстоит операция, и назначили МРТ. Зачем?
Если вы задаетесь вопросом, зачем делать МРТ перед операцией, то нужно понимать, что врач назначает обследование для оценки структуры органов, подтверждения диагноза, обнаружения патологии. Данный вид исследования является обязательным перед операцией.
Покажет ли МРТ защемление нерва?
Если вы подозреваете защемление нерва, то рекомендуется сделать МРТ. Исследование сможет показать точный результат.
Врачи не могут понять, что у меня за травма. МРТ поможет?
Да, МРТ как раз используется для того, чтобы получить точный результат. Обследование часто выручает в том случае, когда врачи не могут поставить диагноз.
Читайте также:
- Техника трансфораминального межтелового спондилодеза поясничного отдела позвоночника
- Техника, этапы операции по поводу медиального эпикондилита (локтя гольфиста)
- Регуляция дыхания плода и новорожденного. Механизмы дыхания новорожденного
- Органические нитраты в лечении стенокардии. Механизмы действия нитратов при стенокардии.
- Вестибулярные проводящие пути. Головокружение при поражении вестибулярных проводящих путей
