Советы по оценке МРТ артрограммы плечевого сустава
Добавил пользователь Евгений Кузнецов Обновлено: 22.01.2026
МРТ плечевого сустава - метод диагностики болезней крупных суставов, который обладает множеством преимуществ. Он не требует проведения болезненных процедур, необходимых при эндоскопическом исследовании или анализе внутрисуставной жидкости. МРТ - очень безопасная процедура, из-за отсутствия облучения, которая может применяться даже во время беременности и у детей. В основе магнитно-резонансной томографии - использование магнитных полей и радиоволн, взаимодействие которых позволяет получать подробные снимки исследуемой области. По ним врачи легко определяют, какое заболевание беспокоит пациента.
Строение и анатомия плечевого сустава
Плечевой сустав - самое подвижное сочленение у человека, образованное головкой плечевой кости и лопаткой. Отсутствие у него мощных связок компенсируется мышцами плечевого пояса и верхних конечностей, окружающих плечо наподобие корсета. С одной стороны это обеспечивает большую подвижность, с другой — объясняет, почему плечевой сустав легко вывихнуть.
По периферии сустав окружен короткими связками, образующих суставную капсулу. Она объединяет сустав в одно целое и удерживает суставные поверхности головки плечевой кости и лопатки в оптимальном положении. Внутренняя поверхность суставной капсулы покрыта синовиальной оболочкой, продуцирующей жидкость в полость сустава, играющей роль смазки и питающей хрящ.
На МРТ плечевых суставов хорошо видны все анатомические структуры, образующие сочленение. Метод позволяет оценить состояние мягких тканей и хрящей плеча, связок, суставной капсулы, полости сустава, сухожилий и мышц.
Какие бывают заболевания плечевого сустава
Все болезни плечевого сустава можно поделить на несколько групп:
- травмы (вывихи, переломы, разрывы связок и сухожилий) и их последствия (нестабильность плечевого сустава, привычный вывих плеча);
- дегенеративно-дистрофические патологии (остеоартрозы);
- воспалительные заболевания (артриты, бурситы, тендиниты, синовиты);
- новообразования.
МРТ плечевого сустава используется для диагностики всех возможных заболеваний, возникающих в данной области.

Травмы плечевого сустава
Травмы плеча - одна из самых частых причин для обращения к травматологу. Как указывалось выше, особенности плечевого сустава способствуют частым вывихам, разрывам связок и сухожилий, из-за чего возникают такие состояния как привычный вывих и нестабильность плечевого сустава. При прямом физическом воздействии могут диагностироваться внутрисуставные переломы головки плечевой кости и суставной впадины лопатки.
Дегенеративно-дистрофические патологии плечевого сустава
Остеоартроз или деформирующий остеоартроз - патология, возникающая при нарушении питания суставных хрящей. Непосредственной причиной болезни может быть травма, воспаление, нарушения обмена веществ, врожденная предрасположенность, асептический некроз головки плечевой кости. В результате происходит замедление естественного процесса обновления хрящевых тканей, которые постепенно истончаются и замещаются грубой соединительной и костной тканью. Человек испытывает боль, ограничение подвижности сустава, нарушение функции верхних конечностей.
Воспалительные заболевания плечевого сустава
Воспаление суставной сумки (артрит) и окружающих плечевой сустав мягких тканей (бурситы, синовиты, тендиниты) может возникать как следствие основного заболевания (ревматизм, ревматоидный артрит), так и в результате попадания инфекции, вследствие хронической или острой травмы. В 15% случаев установить причину данной группы болезней невозможно.
Новообразования
Плечевой сустав может поражаться как первичными опухолями мягких тканей и костей, так и при метастазировании из отдаленных очагов. Не редкость и доброкачественные новообразования.
Симптомы, при которых стоит сделать МРТ плеча
Магнитно-резонансная томография плечевых суставов показана при наличии следующих жалоб пациента:
- боли в плечевом суставе, часто усиливающиеся при движении в плече;
- ограничение подвижности, нарушение функции верхних конечностей на больной стороне;
- отёк, покраснение кожи в области плечевого сустава;
- хруст, щелчки, дискомфорт, возникающие при движениях в плече и/или в определенном положении руки;
- новообразования, узлы и шишки, определяющиеся в области плеча невооруженным взглядом или при прощупывании.
В каких случаях МРТ делать запрещено
МР-томография - безопасный метод диагностики, однако это справедливо при соблюдении правил предосторожности и отсутствии противопоказаний. В противном случае исследование может нанести вред здоровью. МРТ запрещается проводить, если:
- у пациента имеется кардиостимулятор, дефибриллятор, кохлеарный имплант или любое другое медицинское устройство, имплантированное в организм;
- вес пациента превышает 130 кг, окружность тела больше 150 см (человек такой комплекции физически не может поместиться в аппарат);
- пациент - ребенок до 5 лет (дети младше не могут сохранять неподвижность во время всего исследования, из-за чего МРТ должно проводиться в специализированном детском лечебном учреждении под наркозом);
- пациент - беременная в I триместре беременности (исследование не рекомендуется “на всякий случай”, несмотря на то что за много лет применения МРТ ни разу не стало источником проблем со здоровьем у женщины или плода);
- в теле пациента имеются металлические инородные тела - мелкая металлическая стружка в глазах, не извлеченные пули, осколки (это особенно важно для пациентов, перенесших операции на головном мозгу и сосудах - в таких случаях врачи часто используют металлические клипсы, которые устанавливаются на артерии для остановки кровотечения).
МРТ плечевого сустава - подготовка
МР-томография плечевых суставов проводится в любое удобное для пациента время, исследование не требует предварительной подготовки. Нет необходимости в диете, разрешается есть и пить, но комфортнее проходить обследование после легкого, а не плотного приема пищи.

Так как при проведении исследования оборудование генерирует мощные магнитные поля, пациентам для их же безопасности запрещается иметь любые посторонние предметы из металла, а также электронные устройства. При приближении к аппарату для проведения томографии металл может с силой притянуться к магниту установки и нанести травму, или стать причиной ожога, а сотовый телефон или другой гаджет выйти из строя или даже загореться.
МРТ плечевого сустава с контрастом
МР-томография может проводиться с контрастом - специальным препаратом, который вводят внутривенно во время исследования для повышения точности диагностики. Заболевания могут иметь схожий вид на снимках - введение контраста поможет точно определить, что это - опухоль или киста (стоимость контраста оплачивается отдельно и зависит от объёма введенного препарата).
Как проходит МРТ плечевого сустава
Исследование проводится в отдельном помещении, где установлен томограф - аппарат для МР-томографии, имеющий вид большого цилиндра с цилиндрическим отверстием в центре. Данное отверстие или канал томографа оборудовано подвижным столом. В начале процедуры на него укладывается пациент в положении лежа на спине. На область плеча устанавливают дополнительные катушки - они помогают сделать изображение четче. На уши пациента надевают наушники - во время работы аппарат сильно шумит, и это может испугать чувствительного человека. Через наушники также можно общаться с оператором и слушать музыку - некоторые наши пациенты берут с собой на флешке любимые композиции, чтобы расслабиться во время процедуры. После завершения укладки стол перемещается в туннель аппарата, для начала обследования.

Все, что нужно от пациента - сохранять неподвижность и выполнять все указания оператора. После завершения исследования стол выезжает наружу, после чего необходимо подождать 15-30 минут до завершения расшифровки снимков.
МРТ плечевого сустава, сколько делают по времени
МРТ-сканирование плеча занимает 30 минут. Если во время обследования возникла необходимость в контрасте, это займет дополнительные 15 минут.
Что показывает МРТ плечевого сустава
Пациентам всегда интересуются, что же показывает МРТ плечевого сустава. Зная это, мы решили, что просто сделать заключение и отдать снимки недостаточно - каждый посетитель нашего центра получает личную консультацию врача МРТ диагностики после обследования. Мы обязательно подробно расскажем вам, если МРТ плечевого сустава покажет признаки заболевания. Вы сможете посмотреть снимки с пояснениями врача-специалиста, узнать, какой болезни соответствуют обнаруженные изменения, к какому врачу следует обратиться для дальнейшего лечения.

МРТ или КТ плечевого сустава, что лучше
Компьютерная томография или КТ - ещё один метод диагностики, внешне похожий, но совершенно отличающийся от МРТ. В отличие от МР-томографии КТ использует рентгеновское излучение, из-за чего это исследование лучше подходит для диагностики заболеваний костей, образующих плечевой сустав. Хрящ, мышцы, связки на КТ-снимках практически не видны. Можно сделать вывод - МРТ идеально подходит для диагностики заболеваний самого сустава и его мягких тканей, в то время как КТ назначается в основном при переломах головки плечевой кости и лопатки.
МРТ плечевого сустава, что показывает?

МРТ плечевого сустава
Для диагностики заболеваний опорно-двигательного аппарата обычно используют рентген. В случае поражения мягкотканных элементов сочленений применяют ультразвуковую диагностику. Однако перечисленные методы не позволяют четко визуализировать все структуры сустава. При низкой информативности рентгенографии и УЗИ врач назначает магнитно-резонансную томографию. Это безопасная и высокоинформативная диагностическая процедура, которая отражает состояние всех элементов сочленения, позволяя выявить большинство заболеваний. От того, что показывает МРТ плечевого сустава, зависит тактика лечения. Преимуществом метода является его информативность даже при самых ранних патологических изменениях.
Заболевания плечевого сустава
Сочленение функционирует полноценно, если здоровы все его элементы:
- кости;
- хрящи;
- синовиальная оболочка;
- кровеносные сосуды;
- нервы;
- мышцы;
- сухожильный аппарат.
Явление магнитно-ядерного резонанса позволяет получить послойные изображения исследуемой зоны (срезы). По результатам МР-сканирования сложно выявить костные или сосудистые патологии, однако можно детально рассмотреть мягкие ткани и обнаружить следующие повреждения:
- поражения стабилизаторов плечевого сустава (губ, капсул, связок и т.п.);
- растяжения и разрывы мышц (двуглавой, трапециевидной, дельтовидной, ромбовидной и др.);
- перелом Хилла-Сакса (изменение формы наружной части головки плечевой кости);
- разрыв сухожилий ротаторной манжеты;
- (не)полные вывихи плечевой кости;
- артроз (деструктивно-дистрофические процессы);
- сращение суставных поверхностей сочленения;
- артрит (воспалительные процессы инфекционной, аутоиммунной или иной природы в сочленении);
- патологические характеристики (наличие крови, гноя) и изменение объема синовиальной жидкости;
- воспаление суставной сумки, мышц;
- остеохондропатии (нарушения трофики костей и хрящей, которые приводят к их некрозу);
- гнойные процессы (абсцесс, флегмона, остеомиелит);
- аномалии развития;
- нейропатии, поражения плечевого сплетения;
- дистрофию сухожилий;
- склеро- или некротические изменения элементов сочленения;
- новообразования.

МРТ плечевого сустава
Нативное МРТ досконально отражает анатомию плечевого сустава. Исследование с контрастированием позволяет выявить мельчайшие очаги воспаления, опухоли и нарушения кровообращения.
Процедуру проводят для оценки последствий травм или постановки диагноза. МРТ плечевого сустава используют с целью наблюдения за динамикой развития заболеваний и эффективностью назначенного лечения. Исследование не несет лучевой нагрузки и полностью безопасно для здоровья.
МРТ при боли в плечевом суставе
Диагностическую процедуру чаще назначает врач-травматолог или ортопед. Основным показанием для проведения МРТ являются боли в плечевом суставе. Исследование позволяет выявить причины дискомфортных ощущений. Другими поводами для МР-сканирования являются:
- щелчки, хруст в сочленении и др.;
- отек в области сустава;
- тугоподвижность, ограниченность хода сочленения или его гипермобильность;
- покраснение кожи;
- локальная гипертермия;
- деформация сочленения;
- укорочение или удлинение руки на стороне поражения и др.
МР-исследование плеча с контрастированием проводят при подозрении на воспалительную или опухолевую природу патологии, при признаках дистрофии. Магнитно-резонансную томографию назначают при травмах, если лучевые методы диагностики противопоказаны или повреждение застарелое.
Периодически проходить МРТ рекомендуют лицам с системными аутоиммунными заболеваниями, спортсменам, а также людям, плечевые суставы которых подвергаются повышенным нагрузкам в силу профессиональной деятельности. Исследование проводят на этапе планирования хирургического вмешательства для определения объема и вида операции.
Как проходит МРТ плечевого сустава?
В диагностическом центре «Магнит» процедуру проводят по предварительной записи. Во время регистрации необходимо уведомить медперсонал о наличии металлических конструкций в организме (эндопротезов, штифтов, пластин и пр.). Для МРТ есть четкие противопоказания, связанные именно с перечисленным. Вам потребуется предоставить официальный документ о том, из какого материала выполнена конструкция. Сертификат можно взять в клинике, где проводили операцию по установке последней.
Процедура МРТ плечевого сустава не требует от пациента специфических действий для подготовки. Нужно прийти в клинику за 10-15 минут до назначенного времени, чтобы заполнить документы и пройти инструктаж. Если планируется контрастирование, стоит слегка перекусить за 45 минут до процедуры, чтобы снизить вегетативные реакции на препарат. Женщинам в период грудного вскармливания следует сделать запас молока на 2 кормления, которые придется пропустить в случае, если будет вводиться контрастное вещество.

Перед исследованием пациент должен снять все украшения и предметы одежды с металлическими элементами. За пределами диагностического кабинета нужно оставить электронные устройства (часы, телефон, слуховой аппарат и т.п.). Порядок проведения МРТ плечевого сустава следующий:
- Пациент заходит в кабинет томографии, укладывается на передвижную платформу аппарата. Транспортер перемещается так, чтобы исследуемая область оказалась в центре рамки устройства.
- Чтобы стабилизировать положение сустава, лаборант фиксирует тело и руку пациента ремнями или валиками. В свободную конечность дает кнопку для экстренной связи. При беспокойстве или возникновении каких-либо неприятных ощущений можно ей воспользоваться и процедура будет приостановлена. Томограф работает довольно шумно, поэтому пациенту предлагают прослушивание расслабляющей музыки через наушники. Также можно воспользоваться обычными берушами.
- Рентген-техник выходит в соседний кабинет, откуда наблюдает за пациентом через стекло, проверяет исправность громкой связи, дает указание лежать спокойно и включает аппаратуру. Полная неподвижность нужна для получения четких снимков.
- По завершении диагностики пациенту отдают его личные вещи и предлагают подождать результатов.
МРТ плечевого сустава противопоказано женщинам в первом триместре беременности, а также лицам, у которых стоит кардиостимулятор или инсулиновая помпа. Для контрастных исследований используют безопасные препараты на основе хелатов гадолиния, которые не оказывают негативного влияния на организм. Однако беременным женщинам МРТ с контрастированием противопоказано на любом сроке.
Пациентам с клаустрофобией исследование проводят на аппаратах открытого типа. Они считаются менее точными, но не требуют помещения в камеру. Людям с острой болью, гиперкинезами или иными неврологическими расстройствами предлагают обследоваться под седацией в условиях стационара.
МРТ плечевого сустава, сколько по времени длится?
На заполнение документов, опрос и подготовку пациента уходит примерно 10-15 минут. Магнитно-резонансное сканирование занимает около 15-20. Контрастирование продляет время проведения процедуры до получаса. Подготовка результатов врачом-рентгенологом занимает от 15 до 60 минут. Чтобы пройти МРТ плечевого сустава, пациенту придется провести в клинике от 1 до 2 часов, что определяется сугубо в индивидуальном порядке.

МРТ плеча
Расшифровка фото снимков МРТ плечевого сустава
Результатом МР-сканирования являются послойные изображения исследуемой области в трех, взаимноперпендикулярных проекциях. Анализом фото занимается врач-рентгенолог, который фиксирует и описывает любые отклонения структуры сустава от нормы.
Пациент получает заключение в виде документа и полного набора снимков на информационном носителе. Рентгенолог может дать пояснения относительно изменений, выявленных при исследовании, посоветовать, к какому врачу обратиться, однако он не ставит диагноз, не назначает лечение и не дает прогнозов. В расшифровке результатов МРТ плечевого сустава указывают:
- характеристики основных структур (размеры, однородность и пр.);
- наличие признаков воспаления, дегенерации тканей, опухолей;
- изменения хрящей;
- последствия травм;
- признаки обызвествления в структурах сустава;
- наличие очагов некроза, рубцевания;
- аномалии суставной щели;
- патологическое скопление жидкости.
По данным заключения и снимкам врач может обнаружить признаки таких заболеваний:
- пери-, артрит;
- артроз;
- остеомиелит;
- подагру;
- остеоартроз;
- плексит (воспаление нервных стволов плечевого сплетения);
- бурсит, синовит;
- нейропатии;
- опухоли и др.
Копии описания могут быть отправлены на электронную почту, если Вы указали ее адрес во время заполнения документов. За оригиналом разрешается прийти в любой другой день, однако в данном случае получить пояснения рентгенолога невозможно.
При необходимости можно воспользоваться услугой «второе мнение», которая подразумевает расшифровку полученных данных еще одним специалистом. Опция особенно полезна при атипичном течении заболевания, длительном анамнезе.
Что лучше УЗИ, КТ или МРТ плечевого сустава?
Врач назначает процедуру исходя из особенностей клинического случая. УЗИ применяют с целью экспресс-диагностики. Изображения, полученные с помощью ультразвука, недостаточно четкие, чтобы поставить точный диагноз. Метод малоинформативен на ранних этапах развития дегенеративно-дистрофических заболеваний. УЗИ плечевого сустава целесообразно при необходимости быстро оценить последствия травмы или исключить осложнения, или в случае противопоказаний у пациента к другим методам диагностики.

УЗИ плеча
Компьютерная томография является быстрым и информативным исследованием. Однако эта диагностическая процедура предпочтительна при подозрениях на переломы, гематомы и кровоизлияния. По фото, полученным при КТ, можно оценить контуры и плотность костной ткани, а вот более рыхлые структуры невозможно разглядеть в достаточной для постановки диагноза мере. Метод применяют с целью быстрой диагностики переломов или е если пациент страдает от острой боли, поскольку исследование длится всего несколько минут.
МРТ считают особенно информативной процедурой при суставных патологиях. Методика безопасна (имеет минимум противопоказаний и не несет лучевой нагрузки), занимает мало времени. При помощи МРТ можно выявить заболевания плечевого сустава на самых ранних этапах их развития.
Для исследования сосудов сочленения КТ более информативна, чем МР-ангиография. Однако первый метод базируется на ионизирующем облучении, а потому не применяется для пациентов, которым недавно делали аналогичные обследования или рентген, или при наличии противопоказаний.
Что показывает МРТ плечевого сустава?

МРТ плечевого сустава является эффективным способом проведения полноценного обследования сустава. Боли в плечевой зоне встречаются у многих людей, и чаще всего определить причину их возникновения при осмотре ортопеда без аппаратной диагностики очень сложно. Магнитно-резонансная томография плеча дает возможность выявить заболевания на ранней стадии и своевременно скорректировать течение болезни. Чаще всего процедура томографии плечевого сустава используется для определения процессов дегенеративного и воспалительного характера, протекающих в мягких тканях, хрящах и связках. Сделать данное обследование можно как по направлению врача, так и по личной инициативе пациента.
Показания
Плечевой сустав относится к самым нагруженным суставным системам опорно-двигательного аппарата. Неудивительно, что регулярная нагрузка на него может привести к дегенеративным патологиям и воспалительным болезням. Если человек сильно физически нагружает свои плечевые суставы, их костные и хрящевые структуры начинают быстро изнашиваться, и возникает боль. Кроме того, травмы плеча являются частым поводом обращения к ортопеду или травматологу. Для того, чтобы провести точную диагностику и выявить причины дисфункции плеча, лечащий врач, как правило, назначает сделать МРТ плечевого сустава.
Следующая симптоматика может навести и самого больного на мысль о том, что нужно срочно пройти магнитно-резонансную томографию:
- боли и хруст в плече;
- травмы в области плечевого сустава, переломы;
- разрывы связок, периодические вывихи;
- припухлость в области плеча;
- неправильно сросшиеся кости, наличие костных шпор;
- ущемление нервов, сухожилий;
- визуально заметная опухоль.
Первичный прием
ОРТОПЕДА
ВСЕГО 1800 рублей!
(подробнее о ценах ниже )
Что покажет МРТ плеча?
Магнитно-резонансная томография плеча хорошо показывает инфекционные заболевания, воспалительные процессы, опухоли и повреждения различных суставных тканей. МРТ плечевого сустава позволяет:
- Выявить изношенность хрящей, новообразования в костях, артрит, артроз, остеоартроз.
- Найти зоны разрыва сухожилий и связок.
- Диагностировать тендинит мышцы-вращателя плеча, двуглавой мышцы.
- Выявить разрыв «верхней губы», который может быть вызван травмой плеча и может привести к сильнейшим болям.
- Выяснить причины болей необъяснимого характера в области плечевого сплетения.
- Установить наличие повреждений плечевой манжеты.
- Диагностировать такие редкие заболевания, как плечо Милуоки.
- Найти признаки начинающегося процесса разрыва мыщц.
- Диагностировать состояние плечевого сустава после перелома костей плеча (в этом случае МРТ гораздо более действенна, чем рентгеновское обследование).
Плечевой сустав на МРТ снимке
Как делают МРТ плеча?

Диагностика, расшифровка снимков, письменное заключение рентгенолога, запись томограмм на CD + бесплатная консультация невролога или ортопеда после МРТ позвоночника или сустава

Подготовка
Во время проведения томографии плечевого сустава пациент может находиться в своей одежде, если на ней нет брошек, клепок, пуговиц из металла, а также молнии и других застежек. В некоторых клиниках Санкт-Петербурга обследуемым выдается специальное одноразовое белье, чтобы минимизировать возможность попадания в магнитно-резонансный томограф металлических элементов.
Процедура МРТ плеча никак особенно не регламентирует прием пищи, но в случае проведения диагностики МРТ с контрастом врачи рекомендуют не употреблять еду в течение нескольких часов до проведения данного исследования. Это поможет избежать тошноты и других неприятных ощущений при введении контрастного состава.
Контрастирование у людей с почечной недостаточностью потребует консультации у врача-терапевта или нефролога и, возможно, сдачи анализа крови на креатинин.
Что касается маленьких детей, их обследование на МРТ иногда проводится с применением анестезии либо седации. Процедура томографии требует от пациента полной неподвижности, а добиться этого от малышей очень трудно. Если ваш ребенок записан на МРТ под наркозом, его подготовка будет включать ряд анализов, консультацию у педиатра или невролога и ограничение в еде перед исследованием.
В качестве превентивной меры не рекомендовано женщинам делать томографическую диагностику при беременности в первом триместре.
Томограф закрытого типа у человека с фобиями может вызвать приступ паники, поэтому, если вы страдаете клаустрофобией, перед диагностикой за час можно принять седативные препараты или выбрать услугу МРТ плечевого сустава на открытом томографе.
Процедура
Процедура томографии плечевого сустава занимает в среднем 20-40 минут. Длительность сканирования зависит от модели томографа. В диагностическом кабинете пациента укладывают на томографический стол. Затем на зону обследования одевают специальную катушку. Стол передвигают в сканирующую часть аппарата и запускают процедуру скрининга.
Основная задача пациента в ходе обследования - соблюдать полную неподвижность. Это во многом является гарантией качественного исследования. Дело в том, что томограф очень чувствителен к любому движению. Если пациент шевелит плечом во время сканирования, на томограммах появляются артефакты движения. Они снижают результативность исследования и общее качество диагностики.
Вопросы о диагностике
В МРТ кабинет можно заходить в любой одежде, которая не содержит металл. Для похода в клинику лучше всего надеть просторную, не ограничивающую движение одежду без металлических элементов (молний, заклепок, крючков), в которой удобно лежать. Женщинам мы рекомендуем взять с собой футболку или не одевать бюстгальтер с металлическими косточками и крючками.
Данная томография не требует подготовительных действий от пациента.
МРТ является совершенно безвредным для человеческого организма методом диагностики. Данный способ обследования можно проводить в любом возрасте и при любых заболеваниях не ограниченное количество раз, если у вас нет противопоказаний.
Некоторые вводители ритма и инородные объекты в теле могут представлять собой серьезные ограничения для проведения томографии. В частности, импланты кохлеарного типа, сосудистые клипсы, стенты, сердечные клапаны и инсулиновые помпы, кардиостимуляторы, нейро-стимуляторы, стальные винты, скобы, штифты, пластины, суставные эндопротезы могут стать противопоказанием к диагностике. Обо всех имплантированных объектах в теле пациент должен предупредить врача-рентгенолога. Диагност сможет по информации о составе и модели импланта оценить возможность проведения диагностики.
Если вам предстоит проведение МРТ с контрастом, обязательно сообщите о наличии аллергии на медицинские препараты или нарушениях в работе почек. Также необходимо сообщить рентгенологу о возможной беременности.
Зубные импланты и коронки не являются противопоказанием к магнитно-резонансной томографии. Магнитное поле не оказывает никакого негативного влияния на них. Несъемные брекет системы могут давать артефакты на томограммах при МРТ головы. Если эффект засвета будет слишком сильным, врач остановит исследование и предложит пациенту альтернативные методы диагностики.
Любой МРТ аппарат в рабочем состояние издает шумы, напоминающие постукивания. Открытый томографа - это одна из самых тихих установок. Шум от ее работы существенно ниже по сравнению с закрытыми томографами. Если звуки работающей установки вызывают у вас тревогу, вам обязательно предложат специальные шумоподавляющие наушники.
Открытый томограф - это оптимальное решение для пациентов, страдающих паническими атаками в закрытом пространстве. Он открыт по бокам с трех сторон и не создает клаустрофобичных ощущений.
Если вы немного нервничает, перед томография можно принять легкие успокоительные препараты, например, валерьянку, настой пустырника или афобазол. Прием седативных средств не оказывает негативного влияния на качество МРТ.
Любое движение в ходе исследования снижает качество получаемых изображений. На снимках могут появиться множественные артефакты движения, и результаты МРТ окажутся неинформативными.
Безусловно, да. Вы может пригласить в МРТ кабинет любого сопровождающего из числа родных и близких. Важно, чтобы ваш сопровождающий не имел металлических имплантов и искусственных вводителей ритма в теле.
Противопоказания
Несмотря на то, что МРТ плеча является безопасным методом диагностики, ее проведение противопоказано лицам, у которых имеются:
- металлические предметы в теле (осколки, пули, пластины, скобы);
- кардиостимуляторы, слуховые аппараты и другие электронные импланты, в паспорте которых не стоит отметка "совместимо с МРТ";
- признаки неадекватного поведения обследуемого (сильное возбуждение, странные психомоторные реакции, паника);
- металлические суставные протезы из ферромагнитных сплавов, например стали;
- металлические клипсы на сосудах.
Металлические элементы, применяемые в современной ортопедии и хирургии, в большинстве случаев во время проведения МРТ плечевого сустава опасности не представляют, но пациент должен предупредить проводящего процедуру врача о нахождении в его организме любых инородных предметов. Сильное магнитное поле томографа может сдвинуть их с места и тем самым повредить окружающие ткани. Поэтому перед томографией рентгенолог может попросить предъявить сертификат на металлическую конструкцию, находящуюся в теле пациента. Изучив данные, он оценит риски и примет решение о безопасности осуществления исследования.
Если таких документов нет, рекомендуется перед магнитно-резонансной томографией пройти рентгенографическое обследование. Оно покажет наличие в организме осколков, пуль или любых других инклюзий из магнитных сплавов. Пломбы и брекеты на магнитное поле томографа существенного влияния не оказывают и не являются противопоказанием к МРТ плечевого сустава.
Расшифровка
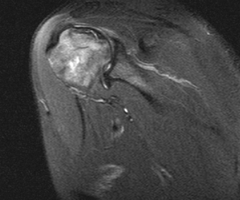
Пример расшифровки МРТ плечевого сустава
На серии МРТ правого коленного сустава соотношения в суставе не нарушены.
На серии МР-томограмм, взвешенных по Т1 и Т2, а также протонной плотности с использованием режима жироподавления в аксиальной, косой корональной и косой сагиттальной плоскостях определяются структуры правого плечевого сустава. Соотношение в суставе на момент исследования не нарушено. Субакромиальное пространство составляет 6 мм (сужено). Суставная впадина лопатки уплощена, контуры ее ровные, с признаками субкортикального остеосклероза. По краям суставной впадины лопатки имеются небольшие остеофиты. Головка плечевой кости округлой формы не деформирована. Суставной хрящ неоднородной структуры, неравномерно истончен, целостность его не нарушена.
Суставная губа на всем протяжении прослеживается, дегенеративно изменена, без отчетливых признаков нарушения целостности. Средняя суставно-плечевая связка неравномерно утолщена, без нарушения целости, но вокруг отмечается небольшое количество выпота. Сухожилие надостной мышцы на протяжении 24 мм (преимущественно в области мышечного брюшка) утолщено, разволокнено с признаками отека и участками обызвествления, преимущественно изменения отмечаются в передней порции волокон - повреждение сухожилия дегенеративного генеза. Вокруг мышечного брюшка надостной мышцы отмечается небольшой отек межмышечной клетчатки.
Сухожилие подлопаточной мышцы в области прикрепления к малому бугорку плечевой кости утолщено, минимально разволокнено, общая целость его и натяжение сохранены (изменения по типу тендиноза). Сухожилия подостной мышцы в области прикрепления к плечевой кости имеют неоднородную МР- структуру, за счет дегенеративных изменений, целость не нарушена. Сухожилия малой круглой мышцы не изменено. Визуализируется умеренное скопление свободной жидкости в полости плечевого сустава, умеренное в подклювовидной сумке. Сухожилия длинной головки двуглавой мышцы плеча не изменено, вдоль него минимальное количество выпота. Правый акромиально-ключичный сустав дегенеративно изменен: суставные поверхности имеют неровные контуры с наличием краевых костных разрастаний, сами суставные концы с субкортикальным остеосклерозом. Капсула сустава умеренно утолщена.
ЗАКЛЮЧЕНИЕ: МР-картина остеоартроза правого плечевого и акромиально-ключичного сустава I-II ст., признаков импинджмент синдрома с частичным повреждением сухожилия надостной мышцы, умеренно выраженные дегенеративные изменения сухожилия подлопаточной мышцы по типу тендиноза. Синовит. Умеренный теносиновит.
УЗИ или МРТ плечевого сустава - что лучше

УЗИ и МРТ плечевого сустава - это два аппаратных метода диагностики структур плеча, а что из них лучше и в чем разница, давайте разбираться.

УЗИ или МРТ плечевого сустава - что лучше выбрать?
- Во-первых, ультразвуковое сканирование дает возможность оценить состояние сосудистой системы.
- Во-вторых, диагностику плеча пациента на УЗИ можно провести в движении, что в принципе недоступно для МРТ сустава, так как она требует полной неподвижности пациента.
- В-третьих, ультразвук не имеет никаких противопоказаний, и, в отличие от МРТ плеча, его можно проводить людям с металлом и электронными имплантами в теле, а также клаустрофобам.
Разница в стоимости
Доступная цена УЗИ суставов позволяет пройти обследование всем пациентам. Нужно просто записаться на сканирование в удобное для вас время. МРТ плечевого сустава - более дорогостоящее исследование. Однако информативность МРТ суставов, безусловно, выше ультразвукового исследования. Поэтому в случае обнаружения тревожных признаков воспаления пациента ортопеды чаще направляют на магнитно-резонансное обследование, нежели на ультразвук.
Артрит на МРТ и УЗИ: диагностика, что покажет

Лечением и диагностикой артрита занимается врач-ревматолог. На сегодняшний день в арсенале врачей есть несколько видов инструментальной диагностики, с помощью которой артрит можно распознать на начальной его стадии:
- Рентгенография. .
- Компьютерная томография - КТ. .
Но для постановки окончательного диагноза требуется не только аппаратная диагностика, но и лабораторные исследования, в том числе биохимия крови и анализ синовиальной жидкости, а также тщательно собранный анамнез и сходство симптомов с клинической картиной течения заболевания. При комбинированном использовании всех диагностических методов, точное выявление артрита происходит весьма успешно и результативно.
МРТ или УЗИ при диагностике артрита?
Рентгенография
К плюсам диагностического обследования при артрите посредством рентгена относится дешевизна и доступность. Проводится оно обычно в двух проекциях: прямой и боковой, однако при необходимости детального изучения состояния костной ткани дополнительно назначают рентгенографию в косой проекции. На рентгенограммах артрит выглядит в виде неравномерного сужения межсуставной щели, наличия кист и остеофитов. Среди недостатков данного вида диагностики - невозможность увидеть степень поражения мягких тканей и послойного строения суставов, а также определить болезнь на ранней стадии развития. При рентгене существует лучевая нагрузка на организм. Дозы облучения не позволяют использовать рентгенографию в качестве диагностического метода для беременных женщин.
Артрит на УЗИ
УЗИ сустава при артрите проводится для изучения мягких тканей и позволяет определить наличие воспалительного процесса, отека, утолщения синовиальной сумки, выпада и деформационных нарушений. Среди основных достоинств ультразвука врачи выделяют ценовую доступность и отсутствие радиационного облучения. Самый большой минус УЗИ - это то, что невозможно уточнить степень разрушения костной ткани при артрите, а также то, что точность диагностики зависит от опыта и уровня квалификации врача, проводившего обследование.
| Услуги УЗИ суставов | Цена, руб. |
|---|---|
| УЗИ плечевого сустава | 1500 руб. |
| УЗИ локтевого сустава | 1500 руб. |
| УЗИ тазобедренного сустава | 1500 руб. |
| УЗИ коленного сустава | 1500 руб. |
| УЗИ голеностопного сустава | 1500 руб. |
| УЗИ одного мелкого сустава (кисти, стопы) | 1000 руб. |
| УЗИ двух мелких суставов | 2000 руб. |
| УЗИ двух крупных суставов | 2500 руб. |
Компьютерная томография
КТ суставов относится к одним их самых точных методов диагностики, поскольку делает миллиметровые сканы каждого слоя пораженного сустава, однако обладает одним существенным недостатком - высокой дозой облучения. Она составляет 2-3 мЗв за сканирование одной области.
МРТ при артрите
Преимущества МРТ при артрите
- Комплексность, то есть возможность в течение одного обследования с помощью магнитных волн проанализировать состояние как мягких, так и костных тканей.
- Определяет патологический процесс на его ранней стадии, что автоматически увеличивает результативность последующих лечебных мероприятий и позволяет избежать инвалидности в результате бесконтрольного прогрессирования артрита.
- Подробная, детальная картинка пораженного сустава, включая изображение всех суставных поверхностей: суставной капсулы, хрящей и деталей связочного аппарата.
- Возможность в несколько раз увеличить снимки, а также рассмотреть полученные картинки с разных ракурсов в 3D формате.
- Контроль над лечебным процессом. Поскольку обследовать артрит на МРТ можно бесконечное количество раз без угрозы для здоровья, с помощью этого метода легко контролировать эффективность лечения, получая сравнительные МРТ снимки одного и того же сустава до начала лечебного процесса и на всем его протяжении.
- Безопасность для здоровья и отсутствие лучевой нагрузки.
- Возможность проведения диагностики при наличии швов и хирургических скобок, пациентам после операций на сердце, с наличием имплантированных в нижнюю полую вену кава-фильтров, а также пациентам с искусственными суставами, отключенными медицинскими помпами и шунтами при гидроцефалии.
Несмотря на безопасность магнитно-резонансной методики, существует ряд противопоказаний, при которых диагностика с помощью магнитных волн невозможна. Магнитно-резонансную томографию не смогут провести, если:
- У вас кардиостимулятор старого образца или протезы сердечных клапанов.
- Присутствуют в теле несъемные металлические зажимы или металлическое инородное тело.
- Установлен слуховой аппарат.
- Есть штифты или спицы в костной ткани, если только они сделаны не из титана.
- Есть в теле металлический осколок.
- Вы пользуетесь активно работающей инсулиновой помпой.
Мощное магнитное поле томографа может вывести из строя любые вшитые приборы жизнеобеспечения, а также сместить или нагреть металл внутри вашего тела.
Поскольку МРТ сустава обычно занимает от получаса до часа и требует неподвижного лежания от пациента, иногда для больного артритом из-за боли это представляется сложным. Поэтому, если у вас сильный болевой синдром, для того, чтобы МР-сканирование прошло успешно, есть смысл рассмотреть возможность сделать себе блокаду сустава за день до обследования.
Читайте также:
- Укладка при рентгенограмме межмыщелковой ямки коленного сустава в аксиальной ЗП проекции (с нагрузкой и по методу Холмблада)
- Как говорить, чтобы не ссориться? Фразы, убивающие любовь
- Гематология раневого процесса. Лучевые методы контроля раны
- Диагностика спонтанного внутричерепного кровоизлияния по КТ, МРТ
- Сахарный диабет у детей: причины, симптомы и лечение
