Советы по оценке МРТ артрограммы тазобедренного сустава
Добавил пользователь Владимир З. Обновлено: 22.11.2025
Боли в суставах и ограничение подвижности могут указывать на совершенно разные заболевания. Чтобы поставить или опровергнуть диагноз «артроз», ревматологи и ортопеды проводят ряд исследований, по результатам которых определяется тактика лечения.
Субъективные признаки артроза
На первичном осмотре врач констатирует ограничение подвижности сустава, а порой и характерный грубый хруст при изменении положения. Пациент может жаловаться на боль и дискомфорт, что является прямым показанием к назначению рентгенологического исследования.
Болит сустав? Не отказывайтесь от рентгена
Рентгенологический метод
Проще всего и с высокой точностью диагностировать артроз позволяет рентген-снимок. На нем будут видны признаки, характерные для той или иной стадии заболевания:
- 1 стадия. На снимке еще не видны костные разрастания, но поверхность сустава неровная, иногда со слегка окостеневшими участками. Суставная щель незначительно сужена, поэтому внешние симптомы пока не выражены.
- 2 стадия. Уже хорошо заметны костные разрастания, щель - примерно в 2-3 раза уже нормы. Специалист отмечает субхондральный склероз - один из признаков артроза, уплотнение и разрастание костной ткани.
- 3 стадия. На снимке вообще не видна суставная щель. Большая часть суставной поверхности закостенела, увеличилась за счет краевых разрастаний. Один из признаков - «суставная мышь», перемещение осколка мениска, хряща или кости, что кардинально ограничивает двигательную активность.
Только рентген позволяет точно установить степень артроза
Анализ крови при артрозе
Поскольку артроз имеет схожую симптоматику с другими заболеваниями суставов, чтобы отличить его, например, от инфекционного или ревматоидного артрита, назначают:
- Клинический анализ крови. Как правило, артроз не вызывает серьезных изменений в показателях крови, за исключением незначительного роста СОЭ - максимально до 25. При артрите СОЭ увеличивается значительно интенсивнее - до 40-80 единиц.
- Биохимический анализ крови. Материал берут строго натощак из вены. При артрозе показатели остаются в норме, а при артрите - появляются специфические маркеры воспаления - С-реактивный белок, определенные иммуноглобулины и т. д.
Анализ крови нужен для дифференциации артроза от артрита
В каких случаях назначают МРТ и КТ
Иногда, особенно на ранней стадии заболевания, рентгенологическое исследование неинформативно. В этом случае назначают магнитно-резонансную томографию - дорогой, но высокоточный метод. В его основе - применение магнитных волн. С их помощью удается распознать даже незначительные изменения в хряще, в том числе на начальной стадии.
МРТ противопоказана при:
- установленном кардиостимуляторе, поскольку вследствие изменения магнитного поля может страдать сердечный ритм;
- наличии электронных или ферромагнитных имплантов среднего уха;
- больших металлических имплантах;
- беременности до 12-ти недель.
Исследование не проводят и при некоторых относительных противопоказаниях, например при декомпенсированной сердечной недостаточности, клаустрофобии, других тяжелых состояниях пациента.
Если МРТ противопоказано, прибегают к компьютерной томографии, современному аналогу рентгена. Этот метод, дающий изображение всех прослоек сустава, отличается более высокой точностью, чем рентгенография, но уступает МРТ.
МРТ - метод, который гарантирует максимальную точность и достоверность трехмерного изображения. В отличие от КТ, при МРТ не используется радиация. Об этих и других особенностях магнитно-резонансной терапии суставов рассказывает врач-рентгенолог:
Ультразвук в диагностике артроза
Ультразвуковая диагностика при подозрении на артроз используется нечасто, поскольку не дает столь точных результатов, как рентген или МРТ. С помощью метода можно увидеть все ткани и хрящи, оценить их степень изношенности, утонщения, количественные изменения синовиальной жидкости. Эффективность во многом зависит от квалификации специалиста, поскольку расшифровка увиденного часто носит субъективный характер.
УЗИ колена определяет степень сохранности менисков, кристаллы мочевой кислоты, кисту Бейкера
Чем отличаются УЗИ, КТ и МРТ?В каких случаях показано то или иное исследование? На эти вопросы отвечает эксперт:
Исследование синовиальной жидкости
Для выполнения анализа проводят пункцию сустава. Исследованию подлежат основные параметры синовиальной жидкости:
- макроскопические показатели - цвет, объем, вязкость, мутность и муциновый сгусток;
- количество клеток;
- цитология окрашенного препарата;
- микроскопия нативного препарата.
В норме синовиальная жидкость имеет соломенно-желтый цвет и прозрачную консистенцию. При артрозе повышается ее вязкость, муциновый сгусток формируется хорошо, количество клеток - нормальное или чуть увеличенное (максимально до 5000/мкл). Остальные показатели остаются преимущественно в норме. При реактивном синовите количество нейтрофилов снижается вдвое.
Серьезное изменение наблюдается при воспалительных процессах, сопровождающих разные формы артрита. Так или иначе, интерпретация результатов проводится только опытным ревматологом с учетом анамнеза, лабораторных и инструментальных исследований.
Анализ синовиальной жидкости позволяет четко разграничить артроз от артрита
Дополнительные инструментальные методы
Иногда для уточнения диагноза назначают и другие методы. Они имеют ряд противопоказаний ввиду инвазивности, отличаются достаточно высокой стоимостью и практикуются нечасто.
- Артроскопия. Метод ранней диагностики, позволяющий обнаружить изменения в хрящевой ткани, даже если они еще незаметны на рентген-снимке. Проводится под местным обезболиванием в течение 30-60 минут. Отличается высокой диагностической достоверностью и минимальными рисками осложнения.
- Хондроскопия. Разновидность артроскопии, цель которой - изучение состояния хряща, а именно степень его поражения. Чаще всего применяют, чтобы оценить эффективность лечения хондропротекторами при артрозе.
- Остеосцинтиграфия. Разновидность радионуклидной диагностики, предполагающая введение в организм радиофармацевтического препарата для выявления патологии костей.
Артроскопия - высокоинформативный визуальный метод диагностики с помощью артроскопа
Диагностика артроза часто бывает затруднена тем, что внешняя симптоматика не так очевидна и дублируется с признаками других заболеваний суставов. Существует целый ряд инструментальных и лабораторных методов, позволяющих поставить точный диагноз. Не стоит игнорировать рекомендации специалиста в отношении обследования, ведь от этого зависит правильность выбора тактики лечения, а значит, и результат.
МРТ костей таза что показывает

Таз - часть скелета человека, обеспечивает прикрепление к туловищу нижних конечностей, является опорой и вместилищем для органов. Симптомы патологических процессов в указанной зоне, вне зависимости от природы, схожи. МРТ костей таза - ведущее исследование для выявления причины заболеваний костно-мышечной системы.

Магнитно-резонансная томография демонстрирует подвздошную, лобковую, седалищную кости, симфиз (спереди) и копчик (сзади), тазобедренные суставы, внутренние органы (мочевой пузырь, простату, матку, часть кишечника и пр.)
Сначала чаще используют компьютерную томографию. При сохранении необъяснимой боли в течение недели без видимых рентгенологических признаков показано выполнение магнитно-резонансного сканирования. Процедура важна для диагностики угрожающих состояний: аваскулярного некроза, злокачественного опухолевого процесса и пр. МР-томография демонстрирует максимально подробные изображения мягкотканных структур: мышц, связок, сухожилий, нервно-сосудистых пучков, что необходимо для определения правильного диагноза и дифференциации ряда суставных синдромов.

МРТ: симфизит, стрелка указывает на утолщение капсулы, неровность контуров
В основе исследования лежит принцип магнитного резонанса - фиксации перемещения ионов водорода под влиянием создаваемого аппаратом поля и электрических импульсов с последующей визуализацией данных с помощью компьютерной программы. Рентгеновского излучения, способного нанести вред человеческому организму, нет. Диагностическая процедура подходит для обследования беременных со второго триместра гестации и новорожденных в возрасте от 1 месяца. Для получения более контрастных снимков используют внутривенное введение препарата с парамагнетическими свойствами на основе хелатов редкоземельного металла гадолиния.
Заболевания костей малого таза

МРТ-признаки остеомиелита лонных костей: расширение сочленения и скопление жидкости с формированием параартикулярных затеков (длинные стрелки), разрастание грануляционной ткани (короткие стрелки), Т2-ВИ, аксиальная (а) и коронарная (в) плоскости
Магнитно-резонансное сканирование нашло применение в травматологической, ортопедической, ревматологической, онкологической практиках, так как генез патологических процессов многообразен. Исследования проводят для диагностики причин острой и хронической боли.
Что покажет МРТ костей таза:
- отек, присутствие инородного тела, крови, больших скоплений жидкости;
- повреждения крупных мышц и сухожилий при травматизации, перелом костей таза, в том числе, с разрывом кольца;
- дегенеративные изменения в суставах с разрушением хрящевой ткани (остеопороз) и аваскулярный некроз тазобедренных сочленений (видны на бесконтрастной МРТ);
- расхождение лонных костей (симфизиолиз), гипоплазию таза (недоразвитие, врожденный синостоз), дисплазию бедра или врожденный вывих и пр.;
- атрофию мышц, окружающих сустав;
- синдром отека костного мозга;
- туберкулезное, сифилитическое поражение (окончательная диагностика требует проведения специальных тестов);
- защемление нервных окончаний;
- остеохондропатию головки бедренной кости (болезнь Пертеса);
- наличие обширных участков воспаления, дегенеративные процессы в сухожилиях (тендинит), синовиальной сумке (бурсит), суставах (артрит, артроз, спондилез) и пр.;
- неопластические процессы: остео-, хондро-, фибросаркому, гистиоцитому, костные метастазы, поражение лимфатических узлов;
- повреждения апофиза, стрессовые переломы таза, шейки, диафиза бедренной кости и пр.;
- анкилозирующий спондилит крестцово-подвздошных сочленений (болезнь Бехтерева);
- внутрисуставные разрывы губ (диагностируют с помощью магнитно-резонансной артрограммы, подразумевающей введение контраста в тазобедренный сустав под контролем ультразвука) и др.;
- неполноценную конфигурацию вертлужной впадины;
- плексит пояснично-крестцового сочленения;
В экстренных ситуациях при острой травме с повреждением костей малого таза первоначально проводят КТ (из-за быстроты получения результатов). Магнитно-резонансную томографию могут назначить после стабилизации состояния.
МРТ костей малого таза: подготовка

Длительность сканирования - 25-30 минут, во время процедуры необходима максимальная неподвижность
Особенных мероприятий для исследования данной анатомической области не требуется: необходимо оставить все предметы, содержащие металл, за пределами диагностической комнаты и выбрать удобную просторную одежду без молний, заклепок, украшений и пр.
Боль в малом тазу может быть вызвана патологическим процессом внутренних структур (иррадиация в кости или суставы). Поэтому для возможности оценки отделов репродуктивного, мочевыводящего и кишечного тракта в зоне интереса за 2-3 дня до сканирования следует исключить из рациона питания газообразующие продукты и напитки: горох, фасоль, капусту, черный хлеб, молоко, квас, пиво и др. На обследование следует прийти после 4-6 часового голода.
Для предотвращения вегетативных реакций на введение препарата за 20-30 минут до диагностики с контрастом рекомендуют неплотно перекусить. Пища в небольшом количестве перед процедурой не нарушит визуализации.
МРТ костей таза и жизненно важных органов данной анатомической области технически проводят по-разному: для изучения конкретной структуры используют вариативные последовательности и режимы, выжидают определенный промежуток времени для достижения контраста и пр. Врач при предварительной оценке изображений и явном подозрении на заболевание какого-либо органа может изменить алгоритм диагностики. Правильная подготовка к МРТ позволит получить более качественные снимки. Все выявленные изменения будут описаны в заключении.
Возьмите с собой результаты предыдущей диагностики: рентгено- и ультрасонографии, КТ, МРТ, ПЭТ, выписки из больницы. Для проведения исследования необходимы паспорт, направление, полис ОМС/ДМС (если МРТ оплачивает страховая компания).
МРТ костей таза с контрастом

МРТ костей таза показывает множественные очаги, что говорит о метастатическом поражении
Магнитно-резонансное сканирование с контрастированием улучшает возможности визуализации. Исследование с усилением проводят для диагностики опухолевого процесса, включая обнаружение метастазов в костях таза, раннего выявления рецидива новообразования после лечения, уточнения степени выраженности воспалительного процесса, деструкции и пр. Контраст на основе гадолиния обладает высоким профилем безопасности и не требует предварительной оценки функции почек. Побочные эффекты на введение парамагнетика регистрируют крайне редко. В 99,9 % случаев исследование проходит без осложнений. Противопоказания к контрастированию:
- аллергическая реакция на гадолиний в анамнезе (при предыдущем МР-сканировании);
- получение заместительной очистительной терапии по поводу терминальной стадии почечной недостаточности;
- период вынашивания малыша;
- ранний детский возраст.
Общие противопоказания к МРТ:
- имплантированные кардио-, нейростимуляторы, слуховые аппараты, инъекторы для подачи лекарств, протезированные суставы, сосудистые клипсы и пр.;
- объем бедер больше диаметра барабана;
- острое состояние, подразумевающее реанимационную помощь;
- психические и неврологические заболевания с неконтролируемой двигательной активностью.
Расшифровка снимков МРТ костей таза

МРТ крестцово-подвздошных суставов - типичный воспалительный сакроилеит при аксиальном спондилоартрите (стрелки)
Выявлением изменений на снимках и расшифровкой результатов занимается рентгенолог. Заключение МРТ не является окончательным диагнозом и требует интерпретации врача, направившего на исследование, с учетом всех данных: симптомов, лабораторных тестов, результатов биопсии и пр.
В норме крестцово-подвздошные сочленения обычной конфигурации, симметричны с обеих сторон, ширина не изменена. Костно-суставные взаимоотношения не нарушены, периартикулярные и пресакральные ткани без видимых изменений. Краевых остеофитов, отека, деформации нет. Пояснично-крестцовый переход и видимые крылья подвздошных костей без особенностей. Позвоночные сакральные отверстия симметричны, не расширены.
При обнаружении объемного образования врач указывает локализацию, размер, контуры, взаимоотношение с окружающими тканями, интенсивность МР-сигнала в разных режимах и соответствие последнего той или иной ткани.
Пациент получает запись с ходом диагностической процедуры и заключение на руки. В начале документе указаны:
- тип томографа, напряженность магнитного поля;
- плоскости сканирования;
- толщина среза;
- импульсные последовательности;
- проведение/отсутствие контрастного усиления.

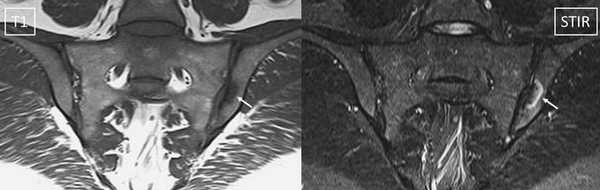
МРТ: двусторонний склероз подвздошной кости с сужением суставной щели (стрелка)
В диагностическом центре “Магнит” в СПб исследования проводят на современном томографе экспертного класса с напряженностью поля 1,5 Тесла, что позволяет получить диагностически ценные изображения. В ночные часы предусмотрена 30% скидка на МРТ костей таза. Приходите - мы Вас ждем!
УЗИ, МРТ, КТ, рентген тазобедренного сустава - что лучше?

Лабораторные анализы, МРТ, КТ, рентген - вот далеко не полный перечень способов диагностики заболеваний тазобедренных суставов, и каждый из них лучше подходит при той или иной патологии. Обследование суставов таза и бедра обычно начинается с приема у ортопеда, в ходе которого врач оценивает походку, проверяет нарушения внутренней ротации, сгибания, разгибания и отведения, наличие болезненности при пальпации и пассивных движениях. По результатам осмотра доктор скорее всего поставит первичный диагноз и, если нужно, даст направление на лабораторные исследования и аппаратную диагностику.
В медицинских центрах Санкт-Петербурга наиболее распространенными инструментальными способами диагностики тазобедренного сустава являются:
- УЗИ тазобедренного сустава.
- Рентгенография.
- КТ тазобедренного сустава. .
Содержание статьи:

Лабораторные обследования в общем и целом менее информативны, чем визуализация состояния сустава и костей посредством томографии, рентгена или УЗИ, но при некоторых системных ревматических заболеваниях они играют важную роль. Например, ортопед-ревматолог или ревматолог может назначить сдачу:
- антинуклеарных антител (АНА) и антител к двухцепочечной ДНК;
- антинейтрофильных цитоплазматических антител (АНЦА) ;
- ревматоидного фактора и антител к циклическому цитруллинированному пептиду (АЦЦП); HLA-B27 при спондилоартропатиях,
чтобы провести диагностику аутоиммуных заболеваний суставов или выявить воспалительные процессы.
Что лучше - МРТ или рентген тазобедренного сустава?
Рентген сустава - это метод в основном экстренной диагностики при травме бедра. Рентген-аппаратами оснащено большинство травмпунктов в СПб. Рентгенография позволяет быстро определить костные нарушения. Однако при заболеваниях суставов кости обычно не поражаются, поэтому рентген для диагностики патологий тазобедренного сустава - малоинформативный метод сканирования. Врач скорее всего назначит уточняющую МРТ для верификации диагноза, если рентгенография показала наличие патологии. В отличие от рентгена, который визуализирует исключительно нарушения костной ткани, МРТ хорошо показывает все анатомические структуры, которые входят в состав тазобедренного сустава или находятся в близкорасположенной области.
Магнитно-резонансная томография является профилирующим методом обследования в суставной хирургии. Томографию сустава назначают перед операциями, чтобы получить детализированный атлас расположения нервов и сосудов, четкое изображение всех частей сустава и локализации очагов патологии. Такая информация позволяет хирургу составить подробный план предстоящего хирургического вмешательства и избежать врачебных ошибок.
После протезирования МРТ тазобедренного сустава используют, чтобы убедиться в правильном расположении суставного протеза.
Этот метод диагностического исследования применяют, чтобы скорректировать план терапевтического процесса и посмотреть, насколько те или иные лечебные мероприятия являются результативными.
Если перед вами стоит вопрос, как диагностировать тазобедренный сустав - на рентгене или МРТ, в 99% случаев более информативным и предпочтительным способом диагностики будет магнитно-резонансное исследование.
Первичный прием
ОРТОПЕДА
ВСЕГО 1800 рублей!
(подробнее о ценах ниже )
Что лучше - УЗИ или МРТ тазобедренного сустава?
УЗИ тазобедренного сустава у взрослых в основном используется для оценки внесуставных заболеваний, например, воспалений мягких тканей и состояния связок в динамике. В педиатрии ультразвук активно применяется как приоритетный метод диагностики дисплазии сустава у маленьких детей. В остальных случаях лучше сделать МРТ тазобедренного сустава.
МРТ или КТ тазобедренных суставов - что лучше?
КТ тазобедренного сустава лучше, чем МРТ, покажет костную патологию. Она позволяет выявлять первичные и метастатические опухоли костей, остеомиелит, некроз костной ткани, кальциноз околосуставных тканей (при кальцифицирующих тендинитах). При подозрении на ревматоидный артрит, подагру или остеоартроз с помощью КТ можно выявить эрозии, костные кисты, а также сужение суставной щели и остеофиты. При псевдоподагре на снимках компьютерной томографии хорошо визуализируются отложения кристаллов пирофосфата кальция в суставном хряще. КТ тазобедренных суставов за одно обследование комплексно покажет:
- перелом или дислокацию бедра, вызванные травмами или падением;
- степень плотности костной ткани, а также поможет обнаружить раннюю резорбцию кости, которая может стать причиной перелома.
Магнитно-резонансное исследование лучше, чем КТ, показывает мягкие и суставные структуры бедра. Она позволяет оценить состояние хряща, который покрывает бедренную головку и вертлужную впадину, обнаружить его мелкие трещины и дефекты, вызывающие артрит тазобедренного сустава. С помощью МРТ бедра проводят тщательный анализ состояния самой уязвимой части сустава - головки бедренной кости. На полученных изображениях четко видно деформацию или нестабильное положение головки, а также хорошо прослеживается состояние кровеносных сосудов, которые проходят вдоль шейки бедра.
МРТ позволяет диагностировать болезнь Пертеса, которая возникает из-за недостаточности кровоснабжения шейки бедра вследствие ущемления или разрыва кровеносных сосудов.
Сканирование с помощью магнитно-резонансного томографа визуализирует признаки саркомы Юинга - это злокачественная опухоль, которая может влиять на устойчивость бедер и чаще всего поражает мужчин в детском и раннем взрослом возрасте.
МР-исследование используют для тщательного обследования злокачественных опухолей, чтобы увидеть степень расширения кости и мягких тканей опухоли и проследить ее связь с близлежащими анатомическими структурами.
На снимках МРТ тазобедренного сустава хорошо видны участки растяжения связок, разрывы или утолщения сухожилий, воспалительные процессы в мышечной ткани.
Обследование на томографе позволяет найти места ущемления нервов, диагностировать тромбоз глубоких вен бедра, что может стать причиной легочной эмболии, если эти сгустки с током крови достигнут сосудов, питающих легкие.
МРТ является лучшим методом диагностики таких патологий опорно-двигательного аппарата, как импиджмент синдром тазобедренного сустава, бурсит, абсцесс, тендинит.
Недостатки МРТ и КТ тазобедренного сустава
МР-диагностика тазобедренного сустава возможна не для всех пациентов. Наличие металла в теле и электронные импланты - это два основных противопоказания к томографии. Даже с учетом того, что значительный процент обследуемых на МРТ тазобедренного сустава составляют пациенты с тем или иным видом протезов, к процедуре не допускаются те, у кого они выполнены из стали. Учитывая высокую мощность магнитного поля, любое присутствие предметов из ферромагнитного металла в организме может приводить к сдвиганию и внутреннему кровотечению. В таких ситуациях предпочтительным методом диагностики будет КТ или УЗИ.
Основным недостатком КТ тазобедренного сустава является лучевая нагрузка на организм. В среднем она составляет 2-3 мЗв за одно сканирование. Поэтому компьютерная томография строго противопоказана беременным женщинам на любом сроке вынашивания и не желательна для детей малого возраста (до 7 лет).
Что покажет МРТ тазобедренных суставов

МРТ тазобедренных суставов — один из современных, неинвазивных, высоко информативных и безопасных диагностических методик, которую без вреда для здоровья можно проводить детям любого возраста, беременным, онкобольным и пожилым людям. Она не несет в себе никакую лучевую нагрузку и проходит достаточно комфортно для обследуемого. В ходе сканирования на диагностируемую область пациента воздействует сильное магнитное поле и электромагнитные импульсы, под воздействием которых атомы водорода в клетках начинают совершать колебательные движения. Эти импульсы улавливает компьютер томографа и переводит в трехмерные изображения костей, сухожилий, связок, мягких тканей и сосудов. Отсутствие Rg излучения позволяет проводить МР-исследование повторно нужное количество раз без ограничений, не причиняя вреда организму.

Диагностика, расшифровка снимков, письменное заключение рентгенолога, запись томограмм на CD + бесплатная консультация невролога или ортопеда после МРТ позвоночника или сустава

С помощью МР-томографа создается картинка в трех плоскостях - аксиальная, сагиттальная, фронтальная с нужным увеличением исследуемой области. Расстояние между срезами настолько малы (2-3 мм), что дают возможность увидеть повреждения сустава незначительного размера. Такие качественные изображение, помогают лечащему доктору определить верный диагноз с вероятностью до 95%.
Что покажет магнитно-резонансная томография тазобедренных суставов
При нарушениях в суставах МРТ поможет выявить:
- остеопороз;
- артрит и ревматические поражения, красную системную волчанку;
- врожденную и приобретенную дисплазию тазобедренного сустава;
- спондилит и болезнь Бехтерева;
- переломы, вывихи;
- ущемления сухожилий и нервов сустава.
При помощи МР-сканирования можно получить сведения об изменении хрящевой ткани и синовиальной жидкости и при этом отказаться от болезненных способов диагностики, при которых для исследования применяют специальные иглы.
В обязательном порядке томографию назначат сделать:
- при асептическом некрозе головки бедренной кости;
- для выявления метастаз и их распространения в суставе при раковых опухолях, перед операциями и после них;
- во время хирургических манипуляций для контроля над ходом операции.
Что видно на МРТ тазобедренных суставов
МР-исследование позволяет увидеть и оценить, в каком состоянии находятся все составляющие сустава, а именно: сухожилия, связки, синовиальную жидкость, соединительные хрящи и мышцы, суставные головки бедренных костей их форму, плотность, размер и локализацию. Важно, что при сканировании видна не только костная ткань суставов, но и прилегающие к ней мягкие ткани, и как функционируют сосуды.
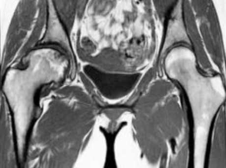
Тазобедренный сустав на МРТ снимке
Противопоказания
К данной диагностической процедуре существуют как показания, так и противопоказания. Так, если в теле обследуемого находятся установленные металлические компоненты или устройства - клипсы сосудов, кардиостимуляторы, нейростимуляторы, импланты, МР-обследование может быть запрещено. Магнит может нарушить работу электронных приборов жизнеподдержания. Металлические конструкции магнитное поле может привести в движение и тем самым повредить близлежащую ткань или орган, что в свою очередь отрицательно повлияет на здоровье пациента. Поэтому перед началом диагностического исследования необходимо сообщить лечащему врачу о всех имплантированных в тело объектах, чтобы томография не причинила вреда организму.
Иногда трудно провести исследование человеку, который страдает отсутствием контроля над своими движениями. Это могут быть различные заболевания нервной системы и эпилепсия. Для качественной томографии необходима полная неподвижность тазовой области во время всего процесса скрининга.
Иногда ограничением может стать клаустрофобия (боязни замкнутого пространства).
Большой вес пациента или габариты может стать препятствием для проведения процедуры, так как аппараты имеют ограничения по грузоподъемности стола и объему камеры.
Подготовка
Во многом подготовка к магнитно-резонансной томографии пары тазобедренных суставов зависит и от необходимости использовать контрастное вещество. Если пациенту назначено МРТ тазобедренных суставов с контрастом, и он страдает почечной недостаточность, рекомендуется сдать анализы крови на креатинин.
При прохождении процедуры с контрастированием потребуется отказаться от приема пищи за 2 часа до исследования.
Если есть лекарственные препараты, которые принимаются на постоянной основе, необходимо сообщить об этом рентгенологу.
Все украшения, часы, сотовый телефон и другие предметы и гаджеты брать в МРТ кабинет не разрешается. Поэтому лишние аксессуары лучше оставить дома. Если вы нервничаете, находясь в замкнутом пространстве, можно заблаговременно принять успокоительное средство или пригласить с собой на исследование близкого человека, который будет находиться рядом и поддерживать вас.
Как делают МРТ тазобедренных суставов
В ходе томографии всегда нужно исследовать пару тазобедренных суставов, поскольку дегенеративные процессы и воспаления чаще всего поражают одновременно оба сустава. Сам обследование проходит абсолютно безболезненно, и человек не нуждается в последующем восстановлении. Сделать его можно на томографах открытого и закрытого типа.
Процедура МРТ тазобедренных суставов на закрытом аппарате довольно проста: перед процедурой необходимо надеть одноразовую медицинскую одежду, предложенную диагностом, и прилечу на стол-кушетку. Если томография назначена с контрастом, то пациенту вводят препарат в вену локтя перед началом сканирования, и после заводят подвижный стол-кушетку внутрь цилиндра аппарата. Задача диагностируемого оставаться без движения во время всей диагностики, так как это важный момент, который является основным фактором, определяющим качество получаемых томограмм.
Закрытая камера томографа оснащена световыми приборами и вентиляцией. При помощи микрофона установлена постоянная связь с врачом. Во время процедуры пациент слышит звуки потрескивания, постукивания, которые меняются на протяжении исследования в зависимости от программы сканирования. Если они раздражают, всегда можно попросить одеть шумоподавляющие наушники. Других неприятных ощущений пациент не испытывает. Иногда может происходить легкий нагрев тканей в зоне сканирования.
Исследование может длиться от 15 до 20 минут, а с применением контраста время обследования увеличивается до 30-40 минут.
МРТ тазобедренных суставов на открытом томографе не требует погружения пациента внутрь цилиндрической камеры. Обследуемый в ходе сканирования находится под магнитом в виде навеса, который открыт с трех сторон.
Томография на открытом аппарате может длиться от 30 до 40 минут, а с применением контраста время исследования увеличивается до часа.
| МРТ ОТКРЫТОГО ТИПА | МРТ ПОЛУОКРЫТОГО ТИПА | МРТ ЗАКРЫТОГО ТИПА |
Расшифровка
Врач расшифровывает снимки полученные при томографии и выдает на руки протокол исследования, в котором будут указаны все суставные параметры: толщина ткани, ее форма и структура, локализация и размер. Вместе с протоколом рентгенолог передает пациенту все снимки, записанные на цифровой носитель. При желании их можно получить в распечатанном виде. Время составления протокола в среднем может занять около часа, а в сложных случаях около 2-х дней.
Таким образом, цикл от начала процедуры и до получения результатов может составлять 2 часа. Если у пациента нет желания ожидать результатов расшифровки в клинике, он может получить данные на электронную почту или приехать за рентгенологическим заключением на следующий день.
С итогами магнитно-резонансной томографии следует обратиться к лечащему врачу или узкопрофильному специалисту, который на основании заключения рентгенолога поставит диагноз, и назначит лечение.
Стоит помнить, что рентгенолог не устанавливает диагноз, и не назначает лечение. Это должен сделать лечащий врач на основании проведенной диагностики.
- ответит на все вопросы по итогам проведенного исследования и полученного заключения
- поможет разъяснить результаты томографии без использования сложной радиологической терминологии
- проведет осмотр и в случае необходимости предложит лечение.
Пример расшифровки МРТ тазобедренных суставов
На серии МРТ тазобедренных суставов соотношения в суставах не нарушены. Свободная внутрисуставная жидкость не определяется. Синовиальная оболочка в нативных срезах не дифференцируется. Костных травматических изменений по данным МР-исследования не определяется.
Костный контур суставной поверхности головок бедренных костей не деформирован, головки сферичной формы, центрированы в пределах суставных впадин, своды вертлужных впадин сформированы правильно. Участки повышения МР-сигнала на Т1-ВИ от костного мозга в области проксимальных отделов бедренных костей, тазовых костей вследствие жировой дегенерации. Отмечаются зоны неравномерно выраженного субхондрального склероза суставных поверхностей вертлужных впадин. Суставная фиброзно-хрящевая губа с двух сторон однородной структуры, без признаков разрыва.
Суставные щели равномерно умеренно сужены, сигнал хрящевого компонента сустава неравномерно снижен, суставной гиалиновый хрящ умеренно равномерно истончен. Отмечается повышение интенсивности сигнала на Stir ИП (отек) в области большого вертела на уровне прикрепления сухожилий средней ягодичной мышцы с двух сторон, структура сухожилий на этом уровне неоднородная за счет участков повышения сигнала, целостность их не нарушена.
Заключение: МР-признаки деформирующего артроза тазобедренных суставов 1ст. МР-признаки энтезопатии сухожилий средней ягодичной мышцы с двух сторон.
МРТ суставов что показывает

Современные методы инструментального исследования опорно-двигательного аппарата позволяют обнаруживать различные заболевания костно-мышечной системы. Одним из наиболее часто назначаемых видов аппаратного сканирования является МРТ суставов, что показывает информативность и результативность данного способа диагностики.
Магнитно-резонансная томография основана на применении индукционного поля, под действием которого резонируют атомы водорода в молекулах воды. Сила отклика определяется количеством жидкости в клетках. Ответную реакцию тканей фиксируют высокочувствительные детекторы. Информацию посредством сложных алгоритмов преобразуют в серию послойных изображений, поступающих на монитор компьютера.

Артрит правого тазобедренного сустава на снимке МРТ
Для визуализации кровеносной системы, доброкачественных и злокачественных новообразований применяют контрастное усиление. «Окрашивающий» препарат - раствор хелатов гадолиния. Вещество нетоксично и гипоаллергенно, выходит из организма естественным путем с мочой и калом.
Патологии суставов
В опорно-двигательную систему входят мышцы, сухожилия, связки, хрящи (мениски), соединенные с помощью подвижных сочленений и амфиартрозов кости. Суставы подвергаются значительным нагрузкам, поэтому наиболее частыми патологиями являются травматические повреждения:
- вывихи, подвывихи;
- растяжения, отрывы связок, нарушение целостности волокон; ;
- ушибы мягких тканей;
- гемартрозы (кровоизлияния в полость сустава).
Нередко встречаются воспалительные процессы, затрагивающие:
- суставные поверхности (остеомиелиты, артриты);
- капсулу (бурситы, синовиты);
- связочный аппарат (тендиниты).
Нарушают функциональность суставов дегенеративно-дистрофические заболевания :
- ;
- артроз;
- остеоартрит;
- остеонекроз и пр.
Метод помогает дифференцировать врожденные аномалии развития (дисплазии, вальгусные, варусные деформации и пр.).
МРТ применяют в диагностике новообразований: кист, доброкачественных и первичных злокачественных опухолей, метастазов. В отдельной группе - сосудистые патологии, нарушения лимфотока, иннервации суставов и окружающих мягких тканей.

Остеосаркома коленного сустава на МРТ
Заболевания сочленений сопровождаются характерными клиническими признаками:
- болевым синдромом в области сустава;
- ограничением подвижности;
- видимой деформацией в зоне проекции сустава;
- наличием пальпируемых образований;
- отечностью мягких тканей в области сочленения;
- гиперемией кожных покровов.
Больные отмечают скованность пораженного сустава, особенно в утренние часы.
Патологические состояния опорно-двигательного аппарата приводят к снижению работоспособности, негативно влияют на качество жизни. При отсутствии результативного лечения возникают необратимые последствия: происходит деформация суставных поверхностей, сочленение теряет подвижность (анкилоз).
В случае специфических заболеваний (ревматоидный, псориатический артрит) наблюдаются множественные очаги поражения.
При подозрении на патологии суставов МРТ назначают при недостаточной эффективности других видов сканирования. Окончательный диагноз определяет лечащий врач на основании результатов томографии и лабораторных методов исследования.
Какие суставы исследуют при помощи МРТ?
Магнитно-резонансная томография результативна при сканировании сочленений верхних и нижних конечностей. Исследуют суставы:
- плечевые;
- локтевые;
- лучезапястные;
- тазобедренные;
- коленные;
- голеностопные.
Для оценки состояния мелких сочленений делают МРТ стопы и кисти. В случае нарушения жевательной функции назначают магнитно-резонансную томографию височно-нижнечелюстных суставов.
Для повышения эффективности обследования врач может назначить сканирование обоих парных сочленений. При одностороннем поражении комплексное сканирование позволяет сравнить изменения строения морфологических элементов со здоровым анатомическим образованием.

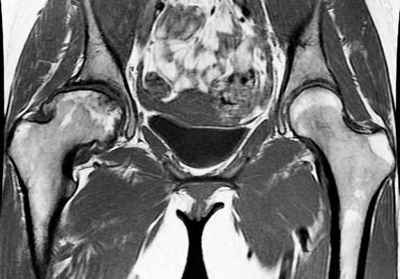
Магнитно-резонансное сканирование тазобедренных суставов
Подготовка к МРТ суставов
Пациенту следует предварительно записаться на сканирование. На процедуру лучше прийти за 10-15 минут до назначенного времени. Желательно предоставить направление лечащего врача, результаты ранее проведенных исследований, в том числе клинических анализов.
Необходимо сообщить врачу о наличии:
- вживленных электромагнитных устройств медицинского назначения;
- несъемных металлических протезов;
- выполненных ферромагнитными красками татуировок.
Следует предупредить о сопутствующих заболеваниях, принимаемых лекарственных средствах. Контрастную МРТ не проводят при тяжелых патологиях печени и почек, ограничением к применению усиления служит беременность вне зависимости от срока.
Период лактации не является противопоказанием к сканированию суставов. Женщине следует заранее приготовить питание для младенца, грудь после контрастной процедуры сцеживают в течение 6-12 часов, так как молоко непригодно для кормления ребенка.
При клаустрофобии, выраженном болевом синдроме, повышенной тревожности врач может назначить седативные и анальгезирующие препараты. Самостоятельно употреблять лекарственные средства запрещено.
Контрастную МРТ суставов не делают натощак, врачи рекомендуют перекусить за 40-60 минут до процедуры. В течение суток перед томографией с усилением запрещено употреблять алкоголь.
Перед сканированием пациент снимает украшения, пирсинг, аксессуары, способные повлиять на результаты исследования.

МРТ коленного сустава, разрыв передней крестообразной связки
Как проходит МРТ суставов?
Пациент ложится лицом вверх на выдвигающийся стол томографа, для обеспечения статичного положения тело фиксируют с помощью валиков и удерживающих устройств. При необходимости конечности придают нужную позу, что позволит определить степень нарушения функциональности сустава.
Защиту от шума работающего аппарата обеспечивают наушники, связь с больным поддерживают при помощи переговорного устройства, предусмотрена тревожная кнопка. Во время процедуры медицинский персонал располагается за перегородкой. Мера позволяет избежать воздействия на томограф посторонних электромагнитных импульсов.

Процедура МРТ: сканирование на закрытом томографе
Стол с обследуемым закатывают в тоннель аппарата, генерирующего индукционное поле. Сканирование проводят в аксиальной, сагиттальной и фронтальной плоскостях.
Контрастная процедура проходит в два этапа. Сначала делают серию нативных снимков, затем исследование приостанавливают и пациенту вводят раствор гадолиния. Продолжают съемку.
Внутривенную инъекцию осуществляют с помощью катетера, соединенного с автоматическим устройством. Болюсное усиление позволяет подавать контраст с постоянной скоростью. Раствор солей гадолиния проникает в кровеносное русло и интерстициальное (межклеточное) пространство, «окрашивая» ткани и визуализируя изменения структуры изучаемого образования.
Расшифровка фотоснимков МРТ суставов
При сканировании сочленения в трех взаимно перпендикулярных проекциях томограммы визуализируют строение всех элементов, включая нервы, сосуды, окружающие мягкие ткани.
Анализ полученных фотографий позволяет оценить:
- ширину суставной щели;
- состояние капсулы;
- конгруэнтность (соответствие формы) суставных поверхностей;
- толщину и плотность связок;
- наличие патологического выпота в полости сочленения;
- целостность элементов сустава и др.
При наличии новообразований контрастная МРТ суставов показывает, что ткани опухоли накапливают усиливающее вещество. На основании подробных послойных изображений врач уточняет расположение, размеры очага, определяет характер процесса, степень вовлечения рядом расположенных структур. Сосудистая система злокачественного образования представляет собой извитую сеть с большим количеством анастомозов (соединений). Окончательный диагноз ставят по результатам биопсии.

Плечевой сустав на МРТ
Врач может обнаружить признаки воспаления: наличие серозного или гнойного экссудата в капсуле, изменение структуры связок, синовиальной мембраны, эрозивные повреждения кости. Наблюдается отек окружающих тканей, при длительном течении заболевания возникают деструктивные изменения элементов анатомического образования.
Дегенеративные процессы характеризуются сужением суставной щели, снижением высоты хрящевой оболочки, поражением субхондральной костной пластинки.
В случае травмы на томограммах видны характер и степень повреждения мышц, сухожилий, связочного аппарата. По результатам МРТ определяют целостность кровеносных сосудов, наличее/отсутствие крупных костных отломков, взаимное расположение суставных поверхностей.
При необходимости врач реконструирует трехмерное изображение сочленения и окружающих тканей. 3D-модель позволяет визуализировать патологический участок, уточнить локализацию и взаимодействие с окружающими тканями.
МРТ или КТ суставов, что лучше?
Каждый вид инструментальной диагностики имеет преимущества и недостатки. Выбор метода зависит от характера заболевания, клинической картины, наличия ограничений к исследованию.
Магнитно-резонансная томография не несет лучевой нагрузки, индукционное поле безопасно для здоровья человека. Рыхлые структуры отличаются большей интенсивностью магнитного резонанса, поэтому МРТ информативнее в отношении мышц, связок, жировой клетчатки. Метод помогает выявить патологии нервов, участвующих в управлении сочленением.
В отношении строения костных и хрящевых элементов сустава большей информативностью обладает компьютерная томография. Метод основан на применении ионизирующего излучения. В результате КТ получают послойные изображения. Снимки детально отражают состояние твердых структур, которые обладают высокой поглощающей способностью. Данный вид рентгенологического исследования актуален при подозрении на переломы, трещины, патологические состояния костей и хрящей сустава.
Недостатками КТ являются лучевая нагрузка и слабая визуализация состояния мягких тканей. Для повышения информативности сканирования применяют контрастное усиление с помощью инъекции йодсодержащего раствора.
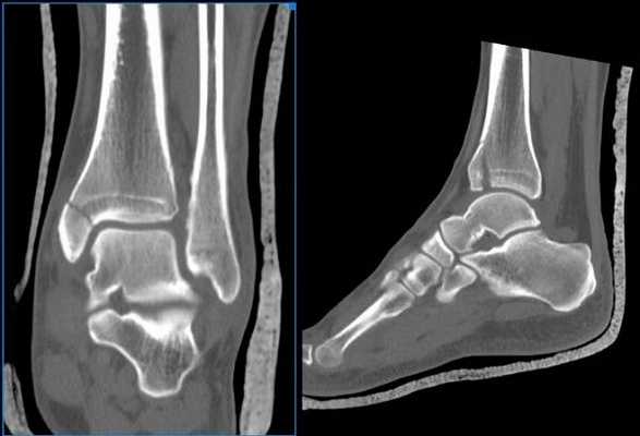
Компьютерная томография голеностопного сустава
Читайте также:
- Синдромы тепловой перегрузки
- Стоматологическая диагностика. Современное состояние диагностики в стоматологии
- Клиника алкогольной энцефалопатии. Нарушения движений при энцефалопатии Гайе—Вернике
- Раннее выявление краснухи. Скрининг женщин на краснуху.
- Этапы и техника ушивания перфоративной (прободной) язвы
