Сроки прорезывания молочных зубов. Особенности молочного прикуса.
Добавил пользователь Евгений Кузнецов Обновлено: 01.01.2026
Молочные зубы - это комплект из двадцати временных зубов, который начинает прорезываться у ребенка обычно в возрасте 5-6 месяцев (первыми прорезываются центральные резцы нижней челюсти). Необходимость наличия временных зубов эволюционно обусловлена небольшим размером челюстей новорожденных. Постоянные зубы намного крупнее молочных, а их количество в 1,5 раза больше и поэтому, если бы у детей сразу появлялись постоянные зубы - они просто не смогли бы разместиться в небольших по размеру челюстях.
Из-за этого в небольших по размеру челюстях прорезываются сначала более мелкие временные зубы (в уменьшенном количестве), и только когда челюсти достигают нужного размера - у ребенка происходит смена молочных зубов на постоянные. Поэтому время, когда выпадают молочные зубы у детей - неотъемлемо связано с ростом челюстных костей и развитием зачатков постоянных зубов. Обычно выпадение временных зубов начинается у детей в возрасте 6 лет, причем у девочек этот процесс начинается раньше и протекает быстрее.

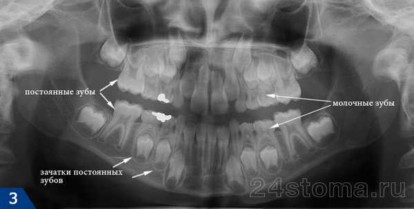
На рис.2 вы можете увидеть - как рентгеновском снимке выглядит смена молочных зубов у детей на постоянные. В данном случае мы видим, что у ребенка уже прорезались постоянные центральные и боковые резцы, а также первые постоянные моляры. Но в боковых отделах челюстей мы также видим еще сохранившиеся молочные зубы, между корнями которых расположены зачатки постоянных зубов.
Сколько молочных зубов у детей -
Так сколько молочных зубов выпадает у детей? У новорожденного в глубине верхней и нижней челюстей находятся всего 20 зачатков временных зубов - по 10 фолликулов на каждую челюсть. Нужно отметить, что закладка фолликулов начинается уже на 6-7 неделе эмбрионального развития, и когда ребенок рождается, то коронки молочных зубов у него оказываются уже полностью сформированными (хотя они еще и не прорезались). А вот формирование корней молочных зубов продолжает происходить и после рождения ребенка.
Исследования показали, что молочный зуб начинает прорезываться, когда его корень оказывается сформирован на 25-50%. Одна из теорий прорезывания говорит о том, что формирующийся корень как бы выталкивает молочный зуб из челюсти. В норме процесс прорезывания зубов молочного прикуса начинается в 5-6 месяцев, и у полностью здоровых детей он заканчивается к 24 месяцам (последними прорезываются временные пятые моляры). На схеме №1 можно увидеть - сколько молочных зубов у детей должно быть в зависимости от их возраста.
Схема прорезывания зубов у детей без патологии (схема №1) -

На схеме №1 вы можете увидеть сроки прорезывания молочных зубов - у полностью здоровых детей, не имеющих какой-либо патологии. Эти данные взяты из «Национального руководства по детской стоматологии». Но при наличии (например, какой-либо соматической патологии) сроки прорезывания и выпадения молочных зубов могут сдвигаться на 3-5 месяцев. Ниже в статье мы расскажем - во сколько выпадают молочные зубы у детей, и что к этому приводит.
Молочные зубы у детей: схема выпадения
Но иногда постоянные зубы прорезываются неправильно, и это приводит к тому, что корни временных зубов могут длительно не подвергаться резорбции. Такая ситуация особенно часто встречается в области прорезывания постоянных премоляров (4-5 зубов), реже - в области резцов и клыков. На схеме №2 вы можете увидеть усредненные сроки - когда меняются молочные зубы у детей. Интересным фактом является то, что у девочек выпадение зубов начинается раньше и протекает быстрее (по сравнению с мальчиками).
Когда выпадают молочные зубы у детей: схема №2

Все ли молочные зубы выпадают у детей -
обратим ваше внимание, что временные зубы могут сохраняться в полости рта и в течение намного более длительного времени. Главным фактором, обусловливающим выпадение молочного зуба, является давление зачатка постоянного зуба на корни молочного. Поэтому в случае отсутствия зачатка постоянного зуба, либо его гибели из-за воспаления у корней молочного зуба - временные зубы могут сохраняться в полости рта значительно дольше нормального срока. В этом случае молочные зубы иногда можно встретить даже у 30 летних людей.
Резюме : во сколько лет выпадают молочные зубы - выпадение начинается с центральных резцов нижней челюсти в 6-7 лет (у девочек достоверно с 6 лет). Затем в 7-8 лет происходит выпадение центральных резцов верхней челюсти и боковых резцов нижней челюсти (причем у девочек этот процесс достоверно начинается с 7 лет). Если говорить от том - до скольки лет выпадают молочные зубы, то обычно этот процесс заканчивается в 12-13 лет с выпадением последних молочных зубов (вторых временных моляров).
Когда вы будете сравнивать таблицы выпадения молочных зубов и прорезывания постоянных - у вас в голове может возникнуть путаница в отношении названия зубов. Например, первые и вторые временные моляры и первые и вторые постоянные моляры. Обратите внимание, что на месте выпавших первых и вторых временных моляров будут прорезываться постоянные премоляры (4-5 зубы постоянного прикуса).
Анатомические отличия молочных и постоянных зубов
Как мы уже сказали выше — временные зубы отличаются от постоянных меньшим числом, а также значительно меньшими размерами (они меньше постоянных в 2 раза). При этом форма коронок временных зубов всегда более сферическая, а в области шейки молочного зуба всегда будет заметно более выраженное сужение. Кроме того, временные зубы белее постоянных и нередко имеют голубоватый оттенок.
Отличия временных и постоянных зубов (описание ниже) -

Анатомические отличия:
- Зубная эмаль -
эмаль временных зубов намного слабее минерализована (насыщена минералами, в первую очередь кальцием и фосфатами). Поэтому при недостаточной гигиене полости рта у детей практически моментально развивается кариес. Кроме того, толщина эмали временных зубов примерно в 2 раза меньше чем у постоянных - это обстоятельство приводит к очень быстрому переходу кариеса в пульпит. Также на поверхности эмали временных зубов имеется много микротрещин и пор. - Дентин зуба -
слой дентина находится под слоем зубной эмали, и его толщина также в 2 раза меньше (чем у постоянных зубов). Дентин временных зубов светлее, он менее минерализован, мягче, и поэтому он намного легче препарируется бормашиной, чем дентин постоянных зубов. Из-за того, что дентин слабее минерализован и он мягче - кариозный процесс в дентине быстрее распространяется вглубь, что и приводит к быстрому развитию пульпита молочных зубов. - Пульпа (сосудисто-нервный пучок) -
некоторые родители спрашивают: «Есть ли в молочных зубах нервы». Безусловно они есть, при этом из-за меньшей толщины слоев эмали и дентина - пульпа в молочных зубах расположена значительно ближе к поверхности зуба. Пульповая камера (полость зуба), в которой располагается пульпа - в молочных зубах всегда крупнее, и поэтому пульпа занимает относительно большой объем в зубе. И кроме того в молочных зубах более выражены «рога пульпы» (отростки), что создает дополнительную опасность травмирования пульпы при лечении кариеса. - Корни зубов -
некоторые родители спрашивают: «Есть ли у молочных зубов корни». Безусловно в них есть корни, но они более тонкие и широко расставленные (при этом корневые каналы и апикальные отверстия в молочных зубах шире, чем в постоянных). Но развитие и рост зачатков постоянных зубов приводит к формированию постоянного давления на корни молочных зубов, что приводит к их постепенной резорбции и утрате. Надеемся, что наша статья: Схема выпадения молочных зубов у детей - оказалась Вам полезной!
Источники:
1. Стоматологическое образование автора статьи,
2. На основе личного опыта работы стоматологом,
3. The European Academy of Paediatric Dentistry (EU),
4. National Library of Medicine (USA),
5. «Детская терапевтическая стоматология. Национальное руководство» (Леонтьев).
Особенности формирования молочного прикуса
Красивая улыбка, ровный зубной ряд — визитная карточка любого человека. Но не все родители знают, что заботиться о красивой улыбке ребенка нужно уже в период формирования молочных зубов. Как молочный прикус влияет на формирование зубочелюстной системы, какое влияние оказывает на постоянные зубы? В статье отличие молочного прикуса от взрослого, методы коррекции зубочелюстных дефектов.

Особенности молочного прикуса
Зачатки первых зубов появляются у малыша задолго до рождения: примерно на 20-й неделе внутриутробного развития. Об этом должна знать каждая беременная женщина. Чтобы у ребенка сформировались крепкие зубы, он должен получать богатое кальцием и фосфором питание. Поэтому в меню беременной женщины должны обязательно входить эти микроэлементы, а также полноценный витаминный комплекс.
Увидеть первые резцы у малыша можно после пятого месяца жизни: начинают появляться два нижних зубика. Затем появляются два верхних резца, после них формируются клыки (16 — 20 месяцев), первые и вторые моляры. Полная комплектация жевательными зубами, клыками и резцами заканчивается к трем годам. Но формирование корневой системы (а также прикуса) продолжается до 7 — 8 лет. И только после появления постоянных зубов процесс формирования завершается.
Признаки правильного прикуса (окклюзии) следующие:
- верхние резцы должны быть немного больше нижних;
- радиус верхней дуги зубного ряда немного больше нижнего;
- зубная дуга имеет ровную полукруглую форму;
- верхние резцы должны немного выступать над нижними (на треть);
- к трем годам у малыша должно быть 20 жевательных единиц.
Эмалевое покрытие коронок очень тонкое, поэтому молочные зубки быстро разрушаются кариесом. Если за ними не следить, кариозные зубы провоцируют неправильное развитие прикуса. Это, в свою очередь, негативно отразится на формировании постоянных моляров и окклюзии (правильного смыкания зубов).
Особую опасность представляет удаление некоторых молочных единиц по причине серьезного кариозного поражения. Отсутствие хотя бы одного молочного зуба в ряду негативно сказывается на формировании окклюзии.

Этапы формирования прикуса
- формирующийся молочный прикус;
- сформированный молочный прикус.
Рассмотрим эти этапы детально.
На этапе формирования зубки малыша «закладываются» в дуге, а затем прорезываются. Если нет причин для переживания за неправильно формирующуюся челюсть, то на данном этапе весьма проблематично определить дефекты окклюзии. Только после появления всех резцов можно сделать вывод о наличии/отсутствии патологии. Таким образом, к двум годам жизни ребенка стоматолог сможет определить возможные отклонения в развитии зубочелюстной системы. Поэтому необходимо сразу же показать малыша специалисту.
В два годика у малыша резцы располагаются рядом друг с другом, верхние резцы немного перекрывают нижние (при смыкании зубов), потертости на эмали не обнаруживается. Это при правильном развитии зубочелюстной системы.
На сформированной стадии у ребенка прорезались все зубки. Этот процесс завершается к шести годам. В это время молочный прикус начинает меняться на постоянный. При наличии дефектов развития родители уже самостоятельно могут увидеть их без помощи ортодонта. К примеру, при дефекте открытого прикуса ребенок не может плотно сомкнуть зубки: верхние резцы не перекрывают нижние.

Формирование окклюзии
Правильный прикус называется в стоматологии центральной окклюзией. Его формируют пропорционально развитые челюсти, равномерная нагрузка на жевательные мышцы. Правильно развитый зубочелюстной отдел способствует тщательному пережевыванию пищи, равномерному распределению нагрузки на весь челюстной аппарат.
Чтобы челюсть сформировалась правильно, нужно внимательно следить за своевременным прорезыванием зубов. Также нужно следить за здоровьем молочных зубов, чтобы их не поразил кариес.
Как проверить наличие патологии смыкания? Для этого был разработан метод под названием ключ окклюзии. Создал его врач Эндрюс. На самом деле проверить прикус просто: у пациента должны смыкаться 6-й зуб верхней челюсти с таким же по счету нижним.
Центральная (правильная) окклюзия может быть статичной и динамичной. При динамичной зубы смыкаются друг с другом только при пережевывании еды либо во время разговора. При статичной окклюзии зубы сомкнуты всегда правильно: во время еды, во время разговора, в состоянии покоя.
- сроки прорезывания молочных единиц;
- порядок прорезывания;
- парность единиц;
- количество.
Сроки прорезывания молочных зубов
У малыша каждый зубик прорезывается в строго определенное природой время. Родители должны следить за этим процессом, записывать всё в дневник. В возрасте шести месяцев родители радуются появлению первых (нижних) резцов. По традиции принято дарить серебряную ложечку, чтобы зубки росли красивыми и здоровыми. Стоматологи составили таблицу сроков прорезывания зубов у малышей. Но отклонение 3 -4 месяца в ту либо иную сторону не является патологией.
Если к году у малыша не прорезались зубки — это патологии развития — первичная адентия. У некоторых детей отсутствуют зачатки зубов, а челюстная система недоразвита. Чтобы не допустить до развития патологии, нужно сразу вести малыша к ортодонту. Своевременно назначенная коррекция сможет предотвратить проблемное развитие.

Порядок появления молочных зубов
Важно следить не только за прорезыванием молочных единиц, но и за порядком их появления. Сначала появляются нижние резцы, после них только верхние. Потом идут нижние боковые резцы, за ними — верхние. Клыки появляются только после формирования моляров. Порядок появления временных единиц отражается на формировании высоты окклюзии. У ребенка начинает вытягиваться нижняя часть лица: это происходит из-за формирования нижней челюсти.
Вторые моляры формируются позже всех. Они формируют полноценную жевательную функцию.
Бывают случаи нарушения порядка прорезывания моляров и резцов. Об этом нужно уведомить детского стоматолога. Возможно, вопрос совсем не в патологии развития.
Парность прорезывания
Появление молочных единиц происходит синхронно либо с отставанием в месяц. Зубы антагонисты располагаются строго друг напротив друга, появляясь в свои сроки. О патологии может говорить отсутствие антагонистов в положенное время.
К примеру, если прорезались нижние резцы, а вместо верхних резцов начали появляться боковые единицы, это уже свидетельство патологии. Родители должны срочно показывать малыша ортодонту, потому что резцы могут не прорезаться из-за дефекта альвеолярного гребня.
Количество зубов
К трем годам у ребенка прорезываются 20 временных единиц, больше в челюсти не поместится. Если вместо 20 единиц прорезалось больше, нужно вести ребенка к ортодонту. Привычное число 32 появляется только при смене молочного зубного ряда постоянным. К этому времени челюсть развивается, расширяется: она уже способна вместить большее количество моляров.

Чем отличается молочный прикус от постоянного
Главное отличие — в количестве зубов. У молочного прикуса их всего 20, а у постоянного — все 32.
- форма коронки более выпуклая;
- эмаль белоснежная, потому что очень тонкая;
- корневая система малоразвита: корни короткие и узенькие.
На формирование правильного прикуса имеет влияние развитие жевательных мышц, поэтому необходимо давать ребенку твердые овощи/фрукты. Чем больше он жует твердого (морковь, яблоко, груша), тем лучше развиваются жевательные мышцы. Они, в свою очередь, влияют на развитие челюсти, зубного ряда.
Причины патологии
Самые распространенные дефекты окклюзии — открытый либо перекрестный прикус. Также к распространенным дефектам относится большое расстояние между единицами, сагиттальная щель. Причинами развития аномалий могут стать разные факторы. Но чаще дефекты берут свое начало на стадии внутриутробного развития малыша. Не исключена и генетическая предрасположенность.
Патологии развития зубочелюстной системы могут появиться вследствие вредных привычек: длительного сосания пустышки, сосания большого пальца во сне.
Иногда к неправильному формированию окклюзии имеет непосредственное отношение форма пустышки, неправильный захват соска губами новорожденного. Своевременная диагностика причины позволит найти оптимальные методы коррекции дефекта.
- челюстно-лицевые травмы;
- отсутствие большого количества моляров;
- заболевание опорно-двигательного аппарата;
- наличие вредных привычек;
- посторонние предметы во рту малыша;
- дыхание через рот;
- инфантильный тип глотания.
На неправильный прикус оказывает непосредственное влияние также несвоевременное прорезывание постоянных моляров.

Последствия
- ровная осанка;
- правильная артикуляция;
- кровообращение головного мозга;
- симметричные черты лица;
- здоровье ЖКТ.
Также от правильного смыкания зависит здоровье слизистых оболочек, мягких тканей ротовой полости. При неравномерной жевательной нагрузке страдают те части пародонта, которые больше всего нагружены.
Методы коррекции
Раннее выявление проблемы, своевременная коррекция — путь к успешному исправлению окклюзии. Методика коррекции подбирается индивидуально.
- специальная гимнастика;
- съемные пластинки;
- каппы, элайнеры;
- брекеты;
- трейнеры;
- хирургическая коррекция.
С помощью специальной гимнастики можно выровнять незначительные дефекты окклюзии. Также ребенок отвыкает от вредных привычек, которые привели к неправильному смыканию: сосание пальца, пристрастие к пустышке.

Съемные пластинки устанавливают детям младше 14 лет. Это специальные ортодонтические приспособления из полимерных материалов, которые крепятся к зубам с помощью крючков. Назначение пластинки — формирование челюсти. Если у ребенка от природы челюсть узкая, пластинка стимулирует ее рост. Если челюсть широкая, пластинка не дает ей расширяться еще больше.
Каппы — это индивидуальные ортодонтические приспособления, изготовленные по слепку челюсти пациента. Современные элайнеры могут носить также взрослые пациенты, это удачная альтернатива брекетам. Если каппы назначают детям, то родители должны постоянно следить за ними. Дети не осознают важности вопроса, могут тайком снимать каппы.
Брекеты назначают только детям от 14 лет, а также взрослым. Это эффективный способ исправления окклюзии, но достаточно неудобный. Уход за полостью рта во время ношения брекетов затруднен. Также метод вызывает болевые ощущения на начальном этапе привыкания.
Трейнеры выправляют смыкание, а также исправляют другие дефекты зубочелюстной системы. Сначала пациент носит трейнеры из мягкого силикона, потом надевает более жесткую конструкцию.
Хирургическое вмешательство назначают при сильной аномалии, когда аппаратные методы не приносят результат. Это бывает в редких случаях.

Молочный прикус: особенности и опасности, этапы формирования

Во время своего развития, каждый ребенок проходит период формирования молочного прикуса, который начинается в первый год его жизни. Это многоэтапный сложный процесс, имеющий свои особенности и опасности, влияющий на дальнейшее развитие зубочелюстного аппарата.
Содержание статьи:
Что это такое?
Период формирования временных зубов начинается еще на 20 неделе беременности, когда у плода закладываются все зачатки. Первые молочные зубы появляются только через 5 или 6 месяцев после рождения и продолжают свой рост, примерно до шести лет.

Понятие
Прикус временного типа представляет собой начальную фазу формирования постоянного прикуса. В течение этого периода происходит закладка основополагающей базы для правильного развития зубочелюстного аппарата.
Молочный прикус характеризуется постепенным последовательным прорезыванием зубов, по своим характеристикам, отличающихся от постоянных.
Этапы
Временный прикус, от момента появления первого зуба до полного формирования последнего, проходит два этапа:
- Формирующийся. Отсчитывается от появления первого экземпляра, происходящего в возрасте около 6 месяцев и продолжается до 3 лет. На данном интервале происходит активное прорезывание и рост молочных зубов.
Ткани альвеолярного гребня начинают готовиться к росту коренных, появление которых означает развитие сменного, а затем постоянного прикуса.
Теме возможных осложнений неправильного прикуса посвящен наш очередной обзор.
В отдельной статье мы расскажем, сколько носить брекеты ребенку.
Закономерности развития
Период молочного является одним из самых важных этапов формирования нормального прикуса постоянного типа. Даже небольшое отклонение, возникшее в это время, может спровоцировать серьезные нарушения в дальнейшем.
Для отслеживания ситуации необходимо учитывать сроки прорезывания, порядок и другие важные показатели, которые косвенно могут указывать на наличие скрытых патологий.
Сроки

Для всего периода прорезывания временных зубов существуют определенные сроки. Нормой считается, если первый молочный появился в 6 месяцев, а последний — в 30 месяцев. Отклонение в большую или меньшую сторону на 3-5 месяцев, также считается нормой.
У недоношенных детей или с выраженной нехваткой минералов или витаминов, допускается задержка прорезывания на 1 год.
Если, в течение этого периода и после него, зубы так и не начали свое прорезывание, то это считается отклонением. В качестве его причины, могут выступать различные патологии, в том числе полное отсутствие зачатков.
В любом случае, при выявлении отставания от сроков прорезывания, требуется обязательного посещения детского стоматолога.
Порядок
Молочный прикус имеет также определенный порядок прорезывания. Сначала появляются центральные и боковые резцы, в возрасте до 12 месяцев. Ближе к полуторагодовалому возрасту должны появиться первые моляры и только потом клыки.

В случае недостатка места, клык во время роста, постепенно отодвигает моляр в мезиальном направлении, так как второй моляр пока отсутствует. В этом периоде происходит становление высоты прикуса, в сторону постепенного увеличения.
Также, наблюдается удлинение нижней половины лица, за счет роста челюсти. Последними появляются вторые моляры, которые отвечают за удлинение зубного ряда и способствуют формированию полноценной функции жевания.
Данный порядок прорезывания зубов временного типа считается нормой. Но все чаще, врачи сталкиваются с иной схемой появления, например, когда сначала появляются боковые резцы и только потом центральные.
Не так давно, это считалось отклонением, но сейчас данный вопрос считается спорным, так как не всегда при неправильном порядке выявляются какие-либо патологии.
Парность
Как правило, при формировании молочного прикуса происходит одновременное прорезывание зубов-антагонистов на обеих сторонах одной челюсти. По формуле молочного прикуса такие зубы имеют одинаковый порядковый номер.
Нормой считают незначительное отставание в появлении и росте одного из них, варьирующееся в пределах 1 месяца.
Если парность нарушается, то это может быть сигналом о неправильном развитии челюсти. Чаще всего, такое явление связано с замедленным ростом костной ткани альвеолярного гребня.

Фото: каких зубов нет в молочном прикусе
Отсутствие необходимого лечения при выраженном нарушении парности, может в дальнейшем привести к серьезным стоматологическим заболеваниям, как зубного ряда, так и челюсти в целом.
Последовательность
Для молочного ряда характерна определенная последовательность: сначала появляются зубы на нижней челюсти, и только потом верхние одноименные. Исключение составляют лишь вторые резцы, которые имеют обратную последовательность прорезывания: сначала в верхнем зубном ряду, а затем в нижнем.
У некоторых детей такая последовательность может нарушаться. Зачастую это сопровождается отклонением в сроках и порядке прорезывания. Подобные изменения могут быть спровоцированы любым фактором, негативно влияющим на рост всего организма.
Чтобы нарушение последовательности не стало причиной неправильного развития прикуса, необходимо постоянно контролировать процесс формирования зубочелюстного аппарата с помощью самостоятельных наблюдений и регулярных консультаций у стоматолога.
Порядок формирования молочного прикуса смотрите на видео:
Чем характеризуется?
Молочный прикус имеет не только определенные сроки и периодичность прорезывания, но и особенности, а также признаки, характерные для каждого этапа своего развития.
Общие
К общим признакам, проявляющимся как в период формирования, так и при сформированном прикусе временного типа, относятся:
- Длина и радиус верхнего ряда зубов, больше чем нижнего. Такая особенность обусловлена более медленным развитием нижней челюсти и размером верхних зубов, которые незначительно превосходят нижние.
- Зубные ряды имеют симметричную полукруглую форму. При мысленном проведении линии по центру, межзубный промежуток первых резцов верхней и нижней челюсти совпадают.
- Особенностью молочных зубов является то, что не все одноименные экземпляры контактируют друг с другом. Первые моляры соприкасаются с антагонистамим лишь на 2/3 их поверхности, частично перекрывая вторые моляры.
- Все моляры и передняя группа зубов имеют одну плоскость соприкасания с жевательной поверхностью.
Для формирующегося
Для прикуса, находящегося на этапе формирования, характерны следующие особенности:
- целостность эмали и отсутствием признаков ее стирания;
- тесное расположение друг к другу, с образованием минимального межзубного промежутка;
- отсутствие перекрытия нижнего ряда зубов верхним во время смыкания;
- отсутствие свободного места за последними молярами .
Ближе к концу данного периода, перечисленные признаки становятся все более сглаженными и постепенно полностью исчезают.

Для сформированного
Сформированный молочный зубной ряд характеризуется следующими проявлениями:
- появляются выраженные очаги со стертой эмалью, которые придают поверхности полупрозрачный вид;
- зубы начинают удаляться друг от друга, образуя тремы и диастемы, появление которых указывает на удлинение верхней и нижней челюстной дуги. Это, в дальнейшем, обеспечит правильное формирование и рост постоянных экземпляров;
- за последними молярами постепенно появляется свободное пространство альвеолярного гребня, предназначенное для роста новых зубов.
Какие упражнения миогимнастики наиболее эффективны?
В следующей публикации рассмотрим вопросы по исправлению глубокого прикуса хирургическим путем.
Отличия от постоянного
Основное отличие молочного прикуса от постоянного, состоит в том, сколько должно прорезаться зубов. В постоянном прикусе у человека насчитывается 32 экземпляра, а во временном, всего 20.
Кроме этого, данные периоды имеют и другие отличия:
- временные зубы имеют более выпуклую и рельефную форму, в отличии от сглаженных и плоских поверхностей постоянных;
- область перехода коронковой части к шейке у временных зубов более выражена;
- молочные экземпляры имеют меньшие размеры. При этом их корневая часть также гораздо меньше, чем у постоянных зубов, что позволяет проводить удаление с минимальной болезненностью и незначительным травмированием тканей;
- эмаль постоянных зубов имеет сероватый или желтоватый оттенок, в отличие от молочных, у которых она отличается своей белоснежностью с синеватым отливом.
Время формирования прикуса молочного типа имеет важное значение для правильного развития зубочелюстной системы, так как в этот период происходит активный рост костной ткани и всего мышечного аппарата.
Отклонения на данном этапе могут спровоцировать различные аномалии в дальнейшем.

Чтобы этого не допустить, родителям необходимо знать, что у ребенка в рационе должна присутствовать не только размягченная, перетертая, но и твердая пища, которая способствует нормальному развитию мышц и правильной окклюзии.
Укреплять молочный прикус необходимо как экзо-, так и эндогенными способами. Отдельного внимания заслуживает вопрос предотвращения развития у ребенка вредных привычек и правильного формирования дыхательных и жевательных процессов.
Если проблема все же возникала, то исправлять ее нужно в период молочного или сменного периода, так как в это время лечение открытого, дистального и других патологий прикуса наиболее эффективно, поскольку кости и мягкие ткани челюсти легко поддаются коррекции.
Если вы нашли ошибку, пожалуйста, выделите фрагмент текста и нажмите Ctrl+Enter.
Схема прорезывания молочных зубов

Как устроен детский организм? Каков порядок прорезывания молочных зубов у детей? Что делать родителям в этот непростой период? К кому обратиться, если нарушена последовательность прорезывания молочных зубов? Об этом - статья Startsmile.
Содержание статьи
- Порядок прорезывания молочных зубов
- Схема прорезывания молочных зубов у детей
- Сроки прорезывания молочных зубов
- Задержки прорезывания молочных зубов у детей
- Осложнения при прорезывании молочных зубов
- Когда ждать появления постоянных зубов у малыша?
- Как облегчить прорезывание зубов у малыша?
Появление зубов у младенцев - довольно болезненный и неприятный процесс, который может доставить дискомфорт как самому ребенку, так и его родителям. К симптомам прорезывания молочных зубов можно отнести покрасневшие и опухшие десны, капризы, плач. Будьте готовы к беспокойным ночам, если заметите кратковременные высыпания или покраснение на подбородке и нижней губе грудничка. Самый распространенный вариант — температура при прорезывании молочных зубов. Важно понимать, что ребенок проходит сложный этап своей жизни, и ему необходимо помочь.
Порядок прорезывания молочных зубов
Существует особый порядок прорезывания молочных зубов: одноименные зубки прорезываются практически в одно время. То есть если показался правый резец, то в скором времени появится и левый. Иногда зубы режутся несколькими парами одновременно, что сопровождается болезненными ощущениями для малыша.
По графику прорезывания молочных зубов первыми всегда появляются нижние зубные ряды. Исключением будут боковые резцы — они сначала режутся на верхней челюсти. Очередность прорезывания молочных зубов определена природой и основана на их практической значимости для ребенка, поэтому имеет следующий порядок:
- медальные резцы
- боковые резцы
- первые моляры
- клыки
- вторые моляры
В редких случаях появление первых зубов может начаться с верхнего ряда. Раньше это считалось предпосылкой такого заболевания, как рахит, однако сейчас специалисты уверены, что это обусловлено индивидуальными особенностями организма и не является серьезным нарушением.
Также не стоит волноваться, если зубки на одной челюсти уже прорезались, а на другой — нет даже намеков на их появление. Обратитесь к педиатру с этим вопросом. Если он не выявит патологии развития, следует добавить в рацион ребенка больше продуктов с содержанием кальция. Важно помнить, что порядок и сроки прорезывания молочных зубов, определенные исследователями, допускают небольшие отклонения от нормы.
Врачи рекомендуют родителям вести календарь прорезывания молочных зубов, так стоматологу будет проще выяснить причину проблемы и помочь малышу.
Схема прорезывания молочных зубов у детей

Сроки прорезывания молочных зубов
Теперь вы знаете правильную последовательность прорезывания молочных зубов, осталось выяснить, в какое время ждать появления зубных рядов. На этом важном этапе взросления малыша всех родителей интересуют сроки роста зубов у детей.
Как правило, у новорожденного ребенка нет молочных зубов, однако бывают редкие случаи, когда прорезывание начинается еще до появления на свет. То, что дети рождаются с молочным зубиком, не считается отклонением от нормы. Однако оптимальный возраст прорезывания первых молочных зубов — примерно 6 месяцев.
Обычное время прорезывания молочных зубов у детей — с пяти месяцев до трех лет. Первыми появляются нижние резцы в возрасте 5 - 7 месяцев, затем — верхние. Период прорезывания молочных зубов, называемых молярами, может протекать от года до полутора лет, и это не является нарушением сроков. Затем наступает очередь клыков и вторых моляров. Появление последних молочных зубов и окончательное формирование прикуса у детей заканчивается примерно к 2,5 года. Ниже представлена таблица со сроками.
Таблица сроков прорезывания молочных зубов
Передний резец
Латеральный резец
Первый моляр
Клык
Второй моляр
Задержки прорезывания молочных зубов у детей
Задержка прорезывания молочных зубов у грудничков и у детей до года называется ретенцией. Чаще всего это происходит с клыками, но иногда касается резцов и моляров. Не страшно, если возраст появления первых зубов не совпадает с «шаблонным». Существуют следующие причины позднего прорезывания:
- пол ребенка;
- климатический пояс;
- врожденный порок сердца;
- генетическая предрасположенность;
- соблюдение правил гигиены;
- здоровье матери во время беременности.
Нормой считается задержка в 1 - 2 месяца, но более долгая отсрочка - свидетельство патологии. Как правило, позднее появление зубных рядов может быть результатом заболеваний, перенесенных матерью в период беременности, либо заболеваний самого малыша. Кроме того, своевременному прорезыванию могут препятствовать так называемые сверхкомплектные (излишние) зубы. В то же время слишком ранние сроки появления молочного зубика у ребенка могут свидетельствовать о расстройстве эндокринной системы организма.
Важно! Заметив нарушение порядка прорезывания молочных зубов, обратитесь к педиатру и детскому стоматологу.
Осложнения при прорезывании молочных зубов
Процесс прорезывания зубных рядов — огромная нагрузка на детский организм, поэтому он сопряжен с некоторыми неприятными ощущениями. Снижение аппетита, бессонница, плач и повышение температуры являются нормой. Скорее всего, ребенок будет капризничать, кричать, пытаться жевать различные предметы, чтобы облегчить зуд десен, и родители должны быть морально к этому готовы. Однако сохраняющаяся длительное время температура выше 38 градусов — тревожный симптом прорезывания зубов у детей, в подобных обстоятельствах лучше проконсультироваться со специалистом.
Иногда на десне малыша может возникнуть багровое пятно — гематома прорезывания зубов. Она свидетельствует о том, что зубик уже начал прорезываться через слизистую оболочку, но не может пройти дальше по ряду причин: инфекция, неправильное развитие зубов или недостаток свободного пространства. С этим связано затрудненное прорезывание зубов. Позже на месте, где должен появиться зуб, можно будет увидеть небольшое образование — кисту прорезывания зубов. Ни в коем случае нельзя заниматься самолечением, это приведет к неправильному прорезыванию молочного зуба, инфекционным заболеваниям и повреждениям тканей. Необходимо обратиться к врачу, который быстро и безболезненно поможет зубику прорезаться.
Когда ждать появления постоянных зубов у малыша?
Когда прорезывание молочных зубов заканчивается, родители чувствуют облегчение и забывают, что это только первый этап формирования зубных рядов. Будьте готовы, что через некоторое время вам придется помогать малышу перенести смену молочных зубов на коренные.
Благодаря определенному порядку прорезывания коренных зубов у детей формируется правильный прикус. Первыми появляются резцы, это происходит примерно в 6 - 7 лет. Затем наступает очередь клыков и премоляров. Последними у детей меняются моляры. В случае с постоянными зубами также сохраняется принцип парного появления. Полностью зубные ряды сменяются к совершеннолетию, однако зубы мудрости могут появиться гораздо позднее.
Симптомы прорезывания молочного и постоянного зуба сильно различаются. Появление коренных зубных рядов не сопровождается рвотой, нарушением сна, снижением аппетита и другими признаками, но возможно небольшое повышение температуры или зуд десен.
Фото прорезывания молочных зубов

Как облегчить прорезывание зубов у малыша?
Существует несколько способов облегчить состояние во время прорезывания зубов у детей. Можно дать ребенку что-нибудь пожевать, это ослабит давление на десны. Спасительными средствами могут оказаться охлажденная вода в бутылочке, прохладное пюре или йогурт. Для облегчения боли при прорезывании зубов у грудных детей часто используют зубной гель. Его нанесение дает временный эффект - десны малыша успокаиваются минут на двадцать. Важно не прибегать к этому средству чаще 6 раз в день. Применение парацетамола в возрасте до 3 лет без рекомендации врача нежелательно.
Главное не перепутать появление зубов с симптомами инфекционных заболеваний. Клиническими проявлениями прорезывания молочных зубов являются:
- воспаление десен;
- повышенное слюноотделение;
- снижение аппетита;
- быстрая утомляемость;
- рвота;
- диарея;
- тревожный сон.
Прорезывание последних молочных зубов проходит легче и практически не сопровождается болезненными ощущениями.
Из-за особенностей строения молочных зубов до 80% патологий, таких как пульпит, периодонтит и периостит, развиваются именно в период формирования молочного прикуса. Поэтому нужно правильно соблюдать гигиену полости рта малыша и следить за состоянием молочных зубов. Тревожным признаком при прорезывании молочных зубов может стать скрежет зубами или кровоточивость десен. Помните, дорогие родители, что хорошие молочные зубы вашего ребенка сегодня — это основа фундамента здоровья постоянных зубов на всю жизнь.
Прорезывание зубов у детей

- Временные зубы
- Постоянные зубы
- Признаки прорезывания зубов
- Болезненное прорезывание зубов: советы родителям
- Отклонения в прорезывании зубов
- Часто задаваемые вопросы
Временные зубы
Сроки прорезывания зубов
Зубные зачатки формируются еще в период внутриутробного развития. Прорезывание первых зубов начинается на двадцать пятой неделе жизни малыша. Сначала появляются нижние резцы, к восьми месяцам — верхние. Возраст прорезывания молочных зубов, называемых премолярами, варьируется от года до двух лет. Последними показываются клыки и вторые премоляры, это происходит с шестнадцати до тридцати месяцев.
Данный график прорезывания зубов является оптимальным, однако точные сроки определить невозможно. Процесс зависит от особенностей организма ребенка, здоровья матери в период беременности и генетических факторов.
Сроки прорезывания зубов у детей в таблице
| Вид зуба | Нижняя челюсть | Верхняя челюсть |
| Медиальный резец | 6 — 10 месяцев | 7 — 12 месяцев |
| Латеральный резец | 7 — 16 месяцев | 9 — 13 месяцев |
| Клык | 16 — 23 месяца | 16 — 22 месяца |
| Первый премоляр (молочный моляр) | 12 — 18 месяцев | 13 — 19 месяцев |
| Второй премоляр (молочный моляр) | 20 - 31 месяц | 25 — 33 месяца |
Порядок прорезывания зубов у детей
Зубки следуют принципу парности, например, если показался один клык, в скором времени следует ожидать второго. Последовательность прорезывания зубов определена природой на основе практической значимости зубных единиц для выживания.
Первыми вырастают передние зубки нижнего ряда, затем наступает очередь верхних. Нарушают очередность прорезывания зубов боковые резцы, их появление начинается с верхней челюсти. Затем наступает прорезывание жевательных зубов — первых премоляров. Последними выходят клыки и коренные зубы. Завершается процесс прорезывания зубов у детей к 2 — 3 годам.
Схема прорезывания молочных зубов у детей

Постоянные зубы
Сроки прорезывания зубов у детей
Первые постоянные зубки появляются за несколько месяцев до выпадения молочных — прорезываются моляры, они же «шестерки». Это происходит в возрасте шести лет. К восьми-девяти годам наступает очередь резцов. Когда ребенку исполняется десять-двенадцать лет, прорезываются премоляры и клыки. Следом идут вторые моляры, прорезывание коренных зубов завершается к совершеннолетию.
Зубы мудрости появляются гораздо позже, после двадцати лет. Однако их полное отсутствие — тоже норма.
Сроки прорезывания зубов в таблице
| Наименование | Нижняя челюсть — время прорезывания | Верхняя челюсть — время прорезывания |
| Медиальный резец | 6 — 7 лет | 7 — 8 лет |
| Латеральный резец | 7 — 8 лет | 8 — 9 лет |
| Клык | 9 — 10 лет | 11 — 12 лет |
| Первый премоляр | 10 — 12 лет | 10 — 11 лет |
| Второй премоляр | 11 — 12 лет | 11 — 12 лет |
| Первый моляр | 6 — 7 лет | 6 — 7 лет |
| Второй моляр | 11 — 13 лет | 12 — 13 лет |
| Третий моляр | 17 — 21 год | 17 — 21 год |
Порядок прорезывания зубов
Принцип парности сохраняется и в отношении постоянных зубных единиц. Правильная последовательность прорезывания зубов важна для формирования прикуса, необходимо внимательно следить за временем выпадения молочных зубов и за порядком роста коренных.
Первыми появляются нижние моляры, затем — верхние. Следом выпадают временные зубы нижней челюсти, прорезаются постоянные и только потом сменяются верхние зубные единицы.
Данный график прорезывания зубов у детей не является универсальным, однако при значительных отклонениях следует обратиться к специалисту.

Признаки прорезывания зубов
Симптомы прорезывания зубов у грудничков
Появление молочных зубок проходит немного сложнее, чем постоянных, поскольку малыш еще не сталкивался с болью и не может осознать, что с ним происходит. Прорезывание зубов у детей до года сопровождается следующими признаками.
- Самый распространенный симптом прорезывания зубов — температура. Повышение до 38 градусов в течение трех суток является нормой.
- Отек десен. Зачастую у детей при прорезывании зубов набухает десна, зудят лунки и появляется желание жевать твердые предметы. Важно не дать ребенку повредить слизистую, лучше купить специальный прорезыватель, чтобы снять неприятные ощущения.
- Снижение аппетита. Дети отказываются есть из-за стресса или зуда в деснах.
- Синдром прорезывания зубов. Невроз, плаксивость, беспокойство, плохой сон и капризы могут указывать на скорое появление первого зуба, даже если у ребенка не наблюдаются боли, температура и отек десны.
Повышение уровня лейкоцитов при прорезывании зубов не должно вызывать тревогу. Это частое явление, связанное с ослабленным иммунитетом.

Симптомы прорезывания постоянных зубов
Смена временного прикуса сопровождается другими неприятными ощущениями. Процесс отличается следующими признаками.
- Рассасывание корней и выпадение молочных зубов. Верный сигнал появления нового зуба в ближайшие месяцы.
- Увеличение размера челюстной кости. Постоянные зубы больше молочных, челюсть растет, создавая условия для смены прикуса.
- Боль в деснах. Покраснение и припухлость слизистой являются реакцией на прорезывание зубов.
Температура тела выше 38 градусов, судороги, отказ от пищи и затрудненное дыхание не относятся к симптомам появления молочных и постоянных зубов. Это признаки инфекционного заболевания. Необходимо срочно обратиться к врачу.
Болезненное прорезывание зубов: советы родителям
Сталкиваясь с периодом прорезывания зубов у детей, многие родители теряются. В первую очередь, нужно вызвать скорую и определить причину плохого самочувствия малыша. При подтверждении симптомов специалист назначит препараты при прорезывании зубов — жаропонижающие и болеутоляющие.
Самостоятельно можно обработать десны анестезирующим гелем с охлаждающим эффектом, чтобы уменьшить зуд и отек слизистой. Также поможет лед. Для снижения раздражения десен существуют специальные силиконовые напальчники из гипоаллергенного материала.
Народные средства при прорезывании зубов эффективно снимут болезненные ощущения — отвар ромашки, шалфея, настойка валерианы и мед успокоят воспаленные ткани.
Обезболивающие при прорезывании зубов противопоказаны детям, это может ухудшить состояние здоровья.
Без рекомендации врача антибиотики и другие сильные лекарства при прорезывании зубов могут вызвать аллергическую реакцию.
Отклонения в прорезывании зубов
Незначительные изменения в сроках и последовательности роста зубных единиц не должны вызывать тревогу. Однако существенные отклонения от нормы прорезывания зубов являются поводом для беспокойства.
- Зубик долго не появляется. Причина: генетическая предрасположенность к долгому прорезыванию или отсутствие зачатков.
- Слишком раннее появление зубов. Обуславливается нарушениями работы эндокринной системы.
- Черный или коричневый цвет поверхности эмали. Указывает на повышенное содержание железа, плохое слюноотделение или хронические воспалительные процессы в организме ребенка.
- Неправильное положение рядов. Патологии прикуса сигнализируют о наследственном факторе или о деформациях челюстно-лицевой кости.
Часто задаваемые вопросы
Период появления зубов вызывает беспокойство не только у детей, но и у родителей. Startsmile составил список самых популярных вопросов на эту тему.
Вопрос: Сколько длится прорезывание зубов?
Ответ: От двух до шести дней.
Вопрос: Как долго при прорезывании зубов продолжаются неприятные симптомы?
Ответ: Дискомфорт ощущается в течение двух-трех дней до появления и около трех суток после.
Вопрос: Что делать при прорезывании зубов?
Ответ: Не паниковать, успокоить малыша, окружить его вниманием и заботой. При необходимости вызвать врача.
Вопрос: Что давать при прорезывании зубов?
Ответ: Успокаивающие отвары, замороженные фрукты и назначенные специалистом медикаменты.
Вопрос: Можно ли делать прививки при прорезывании зубов?
Ответ: Нет, при ослабленном иммунитете процедура приведет к осложнениям.
Читайте также:
