Статьи по пигментным пятнам кожи - меланозам
Добавил пользователь Евгений Кузнецов Обновлено: 22.11.2025
БЕСПЛАТНАЯ КОНСУЛЬТАЦИЯ: поможем врачам и владельцам клиник выбрать оборудование для лечения глубоких пигментаций
Оглавление
Глубокие пигментации — это врожденные или приобретенные гипермеланозы, при которых основной объем избыточного пигмента залегает в дермальном слое кожи.
В нашей компании Вы можете приобрести следующее оборудование для удаления глубоких пигментаций:
Этиология и патогенез
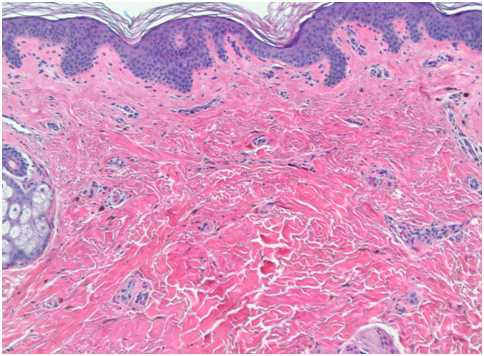
Врожденный дермальный меланоцитоз (монгольское пятно)
Наследственная гиперпигментация, вызванная активным привлечением меланоцитов в дерму при их миграции из нервного гребня в эпидермис. Этиологию этого заболевания связывают с нарушением структуры G-белков — это протеины-ГТФазы, которые действуют в качестве вторичных посредников при внутриклеточных сигнальных каскадах.
Распространенность монгольских пятен варьируется в различных этнических группах. Чаще всего они встречаются у восточноафриканских детей с темной кожей (до 80%), несколько реже — у латиноамериканских детей (до 46%) и крайне редко — у светлокожих европейцев (1-9%).
При гистологическом исследовании монгольских пятен видны сильно разветвленные меланоциты, которые располагаются в глубокой ретикулярной дерме и несут в себе много пигментированных меланосом (рис. 1). Как правило, меланоциты ориентированы параллельно эпидермису.
Рис. 1. Гистологические изменения в монгольском пятне (Dermpedia)

Меланоз (невус) Беккера
Его этиология и патогенез на сегодняшний день остаются неизученными. Определенную роль играют андрогены, о чем свидетельствует наличие сопутствующего гипертрихоза и преобладание данного гипермеланоза у мужчин. Так, исследование 19 302 мужчин в возрасте 17-26 лет выявило, что распространенность меланоза Беккера составляет 0,52%.
При микроскопии отмечается увеличение количества меланина в базальном слое эпидермиса. В кератиноцитах увеличиваются меланосомы, при этом гигантские меланосомы могут выявляться как в кератиноцитах, так и в меланоцитах. В дерме присутствуют меланофаги — макрофаги, фагоцитировавшие избыточный пигмент (рис. 2).
Рис. 2. Гистологические изменения в невусе Беккера (Parth P., et al. Sebaceus and Becker’s nevus: Overview of their presentation, pathogenesis, associations, and treatment. Am J Clinic Dermatol 2015)

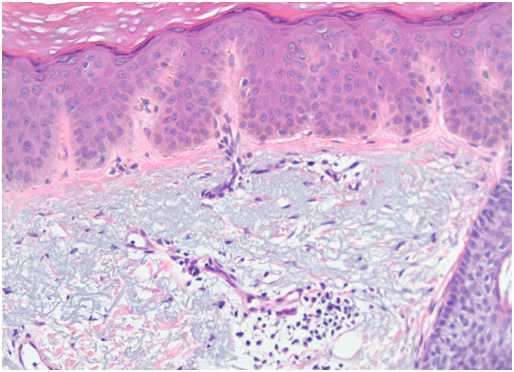
Лентиго
Широко распространенная пигментная патология, обычно связанная с хроническим воздействием солнца на кожу. В США лентигиозные изменения наблюдаются у 90% людей со светлой кожей в возрасте старше 60 лет и у 20% — младше 35 лет. Основной причиной солнечного и старческого лентиго является длительная инсоляция; ПУВА-лентиго возникает после ПУВА-терапии (лечебного воздействия на кожу ультрафиолета спектра А с предварительным приемом фотосенсибилизатора псоралена); радиационное лентиго — после больших доз ионизирующего излучения.
Солнечное лентиго гистологически характеризуется удлинением эпидермальных гребней, увеличением числа меланоцитов, которые производят избыточное количество пигмента, и количества меланофагов — макрофагов, поглотивших пигмент и окрасившихся в темный цвет. Атипичных меланоцитов при солнечном лентиго обычно не выявляется (рис. 3).
При ПУВА-лентиго отмечается увеличение числа гипертрофированных меланоцитов, часто с признаками клеточной атипии. Дополнительно можно увидеть удлиненные эпидермальные гребни и усиленную пигментацию клеток базального слоя эпидермиса. Эти же изменения можно увидеть и при лентиго после множественных посещений солярия (tanning-bed lentigines).
Радиационное лентиго проявляется избыточным отложением гранул меланина в базальных кератиноцитах, клеточной или ядерной атипией, ростом числа меланоцитов и уменьшением количества эпидермальных гребней.
Старческое лентиго характеризуется пролиферацией базальных клеток с образованием тяжей, содержащих избыточное число меланина. Также может выявляться увеличение числа меланоцитов в области дермо-эпидермального соединения. В целом меланоциты при старческом лентиго обладают более высокой активностью и более длинными отростками, чем в норме. При электронной микроскопии в кератиноцитах заметны крупные комплексы меланосом.
Рис. 3. Гистологические изменения при лентиго (Dermpedia)

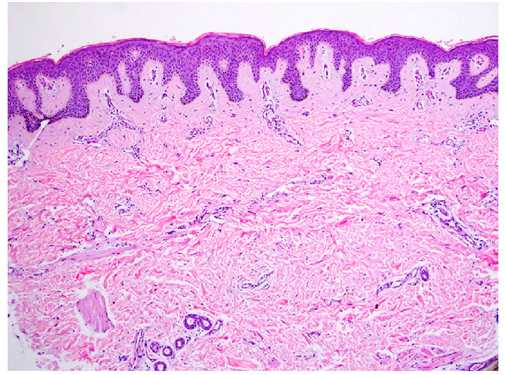
Мелазма
Рецидивирующая приобретенная дисхромия, обусловленная повышенной активностью эпидермально-меланиновых единиц. Возникает на участках кожи, подверженных выраженной и/или регулярной инсоляции, чаще у женщин репродуктивного возраста.
У пациентов с мелазмой отмечается увеличение объема меланина в эпидермисе, дерме или (чаще всего) в обоих указанных слоях кожи. Эпидермальный меланин выявляется в кератиноцитах базальной и супрабазальной области. Число меланоцитов в большинстве случаев не увеличивается, но имеющиеся пигментные клетки более крупные — они обладают выраженными отростками и гораздо более высокой активностью, чем в норме. Меланин также выявляется в мекрофагах поверхностной и средней дермы, которые часто собираются вокруг небольших расширенных сосудов (рис. 4).
Рис. 4. Гистологические изменения при мелазме (Nooshin B., et al. An overview on melasma. Pigmentary Disorders 2015; 2: 216)

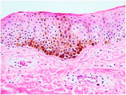
Поствоспалительные гиперпигментации
Одно из распространенных дерматологических состояний, которое чаще развивается у людей с темными фототипами (V-VI). Патогенез связан с гиперпродукцией себума сальными железами и наличием избытка сквалена на коже (например, при акне). Солнечный ультрафиолет генерирует синглетный кислород, который окисляет сквален. Последний стимулирует выработку простагландина Е2, запускающего активный меланогенез.
При микроскопии поствоспалительная гиперпигментация может проявляться как эпидермальным, так и дермальным увеличением количества пигмента (рис. 5). В последнем случае отмечается рост числа меланофагов в папиллярной дерме. Дермальная гиперпигментация может существовать много лет или даже оставаться на всю жизнь.
Рис. 5. Гистологические изменения при поствоспалительной гиперпигментации на фоне системной красной волчанки (Dr. Andrew Ryan, pathologist)
Гистологические изменения при поствоспалительной гиперпигментации
Клинические проявления
Врожденный дермальный меланоз (монгольское пятно)
Монгольское пятно отличается сине-серой макулярной пигментацией. Характерно изменение цвета пятна и появление голубоватого оттенка под разными углами обзора из-за эффекта Тиндаля — рассеивания света при его прохождении через неоднородную среду.
Поражения могут быть единичными или множественными, занимать площадь от нескольких квадратных сантиметров до поражения обширных участков тела. Чаще всего монгольское пятно локализуется на пояснично-крестцовой области, но может распространяться на ягодицы, спину, плечи и др. (рис. 6) Сообщалось о генерализованных монгольских пятнах, захватывающих всю переднюю и заднюю поверхность тела, включая конечности.
Монгольские пятна часто связаны с заячьей губой, менингеальной опухолью позвоночника, меланомой и пигментоваскулярным факоматозом (врожденным гипермеланозом, включающим в себя меланоцитарные и/или эпидермальные невусы).
Рис. 6. Врожденный дермальный меланоз — множественные монгольские пятна на спине (Danish national service on dermato—venereology)

Ранним проявлением невуса Беккера является бессимптомное светло- или темно-коричневое пятно неравномерной окраски и контура. Чаще оно появляется над плечом, на верхней части груди или на спине. Спустя несколько месяцев или лет в невусе и возле него начинают расти густые волосы коричневого или черного цвета (рис. 7). Центральная область меланоза может утолщаться с развитием акне (acne vulgaris).
Рис. 7. Меланоз Беккера с наличием темных волос (Danish national service on dermato-venereology)

Солнечное лентиго представляет собой плоские или слегка вогнутые округлые пятна различного диаметра, светло-коричневого или темно-коричневого цвета. Обычно они возникают на открытых участках — на лице, тыльных поверхностях рук и кистей, верхней половине туловища (рис. 8). Сразу после появления размеры солнечного лентиго очень маленькие (менее 5 мм), но в дальнейшем очаги становятся больше, темнее и сливаются в крупные пятна. Они могут содержать в себе участки нормальной кожи или разделяться мелкими морщинами.
Лентиго после солярия (tanning-bed lentigines) похоже на солнечное, но выявляется в нетипичных местах на теле пациента, куда обычно не попадает много солнца — внутренняя поверхность рук и бедер, область подмышек и др. Образования имеют диаметр от 2 до 5 мм, цвет коричневый или черный. Они появляются внезапно после интенсивного загара, либо после длительного (от 1 года и более) регулярного посещения солярия. Злокачественный потенциал этих поражений до конца не изучен.
При ПУВА-лентиго пигментные пятна также похожи на солнечное лентиго, но имеют неправильные контуры. После прекращения сеансов фотолечения небольшие очаги сохраняются на коже до 3-6 месяцев, крупные — до 2 лет.
Радиационное лентиго включает в себя дополнительные признаки долговременного радиационного поражения кожи — подкожный фиброз, кератоз, телеангиэктазии.
Рис. 8. Солнечное лентиго (Danish national service on dermato-venereology)

Проявляется в виде одиночного поражения или множественных очагов темно-коричневой или черной гиперпигментации, симметрично расположенных на лице и/или шее (рис. 9). По локализации мелазма может быть центрофациальной (лоб, щеки, нос, над верхней губой и на подбородке), малярной (нос и щеки) и мандибулярной (в области нижней челюсти). В редких случаях мелазма появляется на предплечье, что связано с приемом прогестерона.
Некоторые области лица у пациентов могут оставаться интактными при мелазме, и причина этого в настоящий момент не установлена. Считается, что данная особенность связана с плотностью и активностью сальных желез на коже.
Рис. 9. Мелазма (Danish national service on dermato-venereology)
Поствоспалительная гиперпигментация
Распределение гипермеланозных поражений зависит от локализации исходного дерматоза или места травмы. Их цвет варьируется от светло-коричневого до черного — если пигмент расположен в дерме, то оттенок будет темнее (рис. 10).
Рис. 10. Поствоспалительная гиперпигментация на ноге (AboutKidsHealth)

Принципы лечения
Глубокие пигментации плохо поддаются наружным методам лечения, поскольку пигмент залегает достаточно глубоко в коже — и воздействовать на него снаружи крайне затруднительно. Определенный эффект при некоторых состояниях (например, при мелазме) могут дать отбеливающие средства — гидрохинон, транексамовая или азелаиновая кислоты. Есть данные о пользе химических пилингов, но здесь следует быть крайне осторожным, чтобы не вызвать еще большее усиление пигментации в области воздействия.
Глубокие пигментации успешно лечатся аппаратными методами — интенсивным импульсным светом (IPL) и лазерами. Принцип действия IPL-терапии основан на селективном фототермолизе — поглощении меланином энергии светового излучения с последующим разрушением нежелательного пигмента. Для более точного воздействия и профилактики нагрева окружающей кожи в IPL-модуле аппарата М22 от Lumenis используется комплект светофильтров. Каждый из этих фильтров отсекает диапазон длин волн, наиболее подходящий для определенной глубины залегания пигмента и фототипа.
Если пигмент залегает очень глубоко, интенсивный импульсный свет может оказаться недостаточно эффективным — в этом случае рекомендован неаблятивный фракционный фототермолиз на аппаратах Fraxel и M22 ResurFX. В комплектацию Fraxel входит эрбиевый лазер 1550 нм для работы на уровне дермы в глубине до 1400 мкм (1,4 мм), а также тулиевый лазер 1927 нм для воздействия на уровне эпидермиса до 210 мкм (0,21 мм). ResurFX использует одну длину волны — 1565 нм, но этот модуль может совмещаться в аппарате M22 с модулем IPL и Nd:YAG Q-Switched лазером, благодаря чему можно успешно лечить любые формы пигментаций.
Неаблятивный фракционный фототермолиз основан на создании в коже микротермальных лечебных зон — крошечных очагов термического повреждения, между которыми находятся интактные (нетронутые) области. Это позволяет не только эффективно разрушать нежелательный пигмент, но и ускоряет последующее восстановление кожи, т.к. клетки из интактных областей мигрируют в микрозоны повреждений. Неаблятивный фракционный фототермолиз является методом выбора у пациентов с IV-VI фототипами кожи, которым можно проводить IPL-терапию с ограничениями.
Меланоз Дюбрейля
Меланоз Дюбрейля — предмеланомное заболевание кожи, представляющее собой единичное пигментное пятно с неровными очертаниями, располагающееся на открытом участке кожного покрова. Цвет пятна варьирует от светло-коричневого до черного и может быть различным в разных участках пятна. С целью дифференциации меланоза Дюбрейля от других невоидных заболеваний кожи проводится дерматоскопия, цитологическое исследование мазка-отпечатка кожного новообразования. Поскольку меланоз Дюбрейля часто малигнизируется и переходит в меланому, в лечении предпочтительно его полное хирургическое иссечение до здоровых тканей; возможно проведение рентгенотерапии.

Общие сведения
Меланоз Дюбрейля - пигментное образование, являющееся пограничным предмеланомным поражением кожи. Относится к числу меланомоопасных невусов. Меланоз Дюбрейля развивается, как правило, у лиц пожилого возраста. По некоторым данным это заболевание встречается у 3-х человек из 1000 лиц старше 50 лет. Различные авторы приводят цифры, согласно которым меланомы, развившиеся из меланоза Дюбрейля, составляют от 10% до 33% от всех меланом кожи. Частота трансформации заболевания в меланому составляет 35-40%, у некоторых авторов указана цифра 75%. Причинами злокачественного перерождения меланоза Дюбрейля считаются инсоляция, механические, химические и иные травмы новообразования.
Симптомы меланоза Дюбрейля
Заболевание представляет собой плоское единичное пигментное пятно, неровные края которого напоминают географическую карту. В начале заболевания пятно обычно имеет светло-коричневую окраску и диаметр 2-3 см. Постепенно отмечается рост пятна и потемнение его окраски. В результате размеры очага поражения кожи могут достигать 20 см в диаметре. Пятно приобретает неравномерную окраску от коричневого до черного цвета с серыми или синюшными участками. На поверхности пятна могут наблюдаться участки с отсутствием окрашивания, соответствующие зонам спонтанной регрессии заболевания.
Характерна локализация меланоза Дюбрейля — это открытые участки кожи, в основном лицо (нос, щеки, лоб) и шея. В связи с этим некоторые авторы указывают на связь возникновения заболевания с имеющимся у пациента хроническим солнечным дерматитом.
При переходе меланоза Дюбрейля в меланому на участке пигментного пятна обнаруживается уплотнение с папилломатозной поверхностью, происходит изменение цвета пятна (потемнение или осветление), усиливается процесс шелушения, вокруг пятна возникает покраснение, а на его поверхности может появиться эрозирование. Точные причины малигнизации меланоза не установлены. Определенную роль в этом процессе отводят инсоляции и травматизации пораженного участка кожи.
Диагностика меланоза Дюбрейля
Современная дерматология не может применять биопсию кожного образования для диагностики трансформации меланоза Дюбрейля в меланому, поскольку такой метод исследования может стимулировать рост опухоли и ее диссеминацию. Поэтому применяется цитологическое исследование мазка-отпечатка с поверхности образования. Простое снятие отпечатка с поверхности бывает малоинформативно. По этой причине дерматолог перед взятием мазка немного скребет поверхность образования. Диагностическим критерием возникновения меланомного рака кожи является обнаружение в отпечатке атипичных меланоцитов.
В ходе диагностики меланоз Дюбрейля дифференцируют от невуса Ота, участка гиперпигментации, себорейной кератомы, пигментированой базалиомы, пигментного невуса и меланомы.
Лечение меланоза Дюбрейля
В виду большого процента малигнизации заболевания в случае диагностики меланоза Дюбрейля должно проводиться радикальное иссечение всего участка поражения кожи вплоть до здоровых тканей. При этом захватывают 1-2 см неизмененной кожи по всему периметру пятна. Учитывая локализацию процесса на лице, его удаление иногда представляет для хирурга нелегкую задачу и требует применения методов пластической хирургии. При больших размерах пятна и связанных с эти затруднений для его хирургического иссечения может применяться локальное воздействие на образование рентгеновскими лучами, которое часто дает хорошие результаты.
Меланомоопасные невусы
Меланомоопасные невусы - пигментные доброкачественные новообразования кожи, которые имеют наибольший риск малигнизации и перерождения в злокачественную меланому. Существует несколько разновидностей таких родинок, которые отличаются между собой внешним видом, возрастом появления, гистологическим строением и другими факторами. Диагностика меланомоопасных невусов осуществляется путем осмотра новообразования и гистологического изучения тканей, полученных в результате его удаления. Лечение образований в большинстве случаев хирургическое, степень и объемы вмешательства зависят от типа, структуры и размеров родинки. В дальнейшем требуется диспансерное наблюдение у дерматолога или онколога.
Меланомоопасные невусы - несколько типов доброкачественных пигментных кожных образований, достаточно часто перерождающихся в меланому. Согласно данным медицинской статистики, подобные новообразования являются достаточно распространенным состоянием - их доля среди родинок всех типов составляет около 10%. При этом частота встречаемости меланомы намного ниже - примерно 2 случая на 100 000 населения, это свидетельствует о том, что меланомоопасные невусы далеко не всегда приводят к развитию злокачественной опухоли. Тем не менее, их наличие существенно повышает риск появления этого заболевания и значительно потенцирует влияние канцерогенных факторов различной природы. По этой причине в дерматологии наличие меланомоопасных невусов считается достаточно серьезным состоянием, требующим проведения лечебных мероприятий и наблюдения у специалиста для своевременного выявления меланомы.
Причины меланомоопасных невусов
Причины развития меланомоопасных невусов, как и других пигментных новообразований кожи, заключается в нарушении процессов деления меланоцитов - клеток кожи, содержащих в себе гранулы меланина. Обычно такие клетки более-менее равномерно распределяются в коже и защищают тело от воздействия ультрафиолетовых лучей. По ряду причин, таких, как наследственные и генетические факторы, влияние некоторых химических соединений, повреждение кожных покровов механическим путем, ультрафиолетом или радиацией, возникает нарушение клеточного деления меланоцитов. В результате этого нарушения на ограниченном участке кожи образуется скопление пигментных клеток, которое внешне выглядит как коричневое или почти черное пятно различных размеров.
Некоторые исследователи полагают, что появление меланомоопасных невусов и других подобных образований всегда имеет врожденную природу и обусловлено нарушениями процесса миграции меланоцитов в эпидермис из нейроэктодермы. Сторонники этой теории считают, что любые другие факторы, роль которых замечена в процессах развития родинок, лишь провоцируют дальнейшее усугубление данного нарушения. Таким образом, цикл развития меланомоопасных невусов с этой точки зрения выглядит как «нарушение эмбриогенеза - развитие собственно родинки под действием различных факторов - малигнизация и появление меланомы». В свете данной теории меланома рассматривается как состояние, обусловленное врожденными факторами. Родинки обнаруживаются либо сразу при рождении ребенка, либо через несколько лет или даже десятилетий - такая задержка не означает отсутствия «врожденности» меланомоопасного невуса, просто сначала дефект кожи настолько мал, что незаметен даже при самом тщательном осмотре.
Классификация и симптомы
Все родинки или невусы подразделяются на две большие разновидности - меланомоопасные и меланомонеопасные. Среди первых выделяют несколько основных типов, которые различаются между собой внешними проявлениями, возрастом появления, преимущественной локализацией на теле и другими характеристиками. Кроме того, меланомоопасные невусы отличаются между собой степенью онкогенного риска. К наиболее типичным представителям таких кожных новообразований относят следующие:
1. Диспластический меланомоопасный невус - наиболее тяжелая разновидность меланомоопасного образования. На протяжении жизни человека в 90% случаев перерождается в злокачественную меланому. Данный тип родинок зачастую имеет наследственный характер, иногда наблюдается их множественное образование на теле (50 и более неоплазий). Локализация диспластических невусов не имеет характерных особенностей, они могут возникать на различных участках тела. Цвет родинок варьирует от светло-коричневого до почти черного, размер - от 2 до 10 миллиметров. Обычно они регистрируются вскоре после рождения, в некоторых случаях наблюдается их спонтанное появление в период полового созревания. Меланомоопасные невусы такого типа плоские, обычно с нечеткими краями, до начала малигнизации их консистенция на ощупь не отличается от здоровой кожи.
2. Синий меланомоопасный невус (тип Ядассона-Тиче) - обычно возникает на протяжении жизни человека и представляет собой одиночное (реже могут встречаться по 2-5 родинок) новообразование кожи размером не более 10 миллиметров. Его поверхность выступает над кожей в виде полусферы, покровы невуса имеют характерный «напряженный» вид, цвет варьирует от светло-синего до темного или почти черного. Излюбленная локализация - волосистая часть головы, ладони, подошвы, ягодицы, но может возникать и на других участках тела. Малигнизация синего меланомоопасного невуса чаще всего происходит на фоне травматизации родинки, в том числе и при ее неполном удалении косметологическими методиками.
4. Гигантский пигментный невус - наиболее заметный тип подобных новообразований. Имеет исключительно врожденный характер. Эта разновидность меланомоопасных невусов увеличивается по мере роста человека, нередко достигает 5-7 сантиметров в диаметре. Известны случаи, когда новообразования подобного типа покрывали собой значительную часть тела больного и достигали размеров 30-40 сантиметров. При этом родинка выступает над поверхностью кожи и имеет коричневую или черную окраску, формируя собой выраженный косметический дефект. Малигнизация гигантского пигментного невуса регистрируется примерно у 10% больных.
5. Невус Ота - это меланомоопасное новообразование развивается исключительно на лице в области иннервации ветвей тройничного нерва (на коже скуловой или подглазничной области). Является врожденным состоянием, обусловленным нарушениями миграции и дифференцировки меланоцитов. Меланомоопасный невус Ота характерен для азиатских народов монголоидной расы, у остальных национальностей подобные образования не возникают. Со временем может достигать в диаметре нескольких сантиметров, перерождение в меланому наблюдается редко, в основном - под воздействием ультрафиолетового излучения.
6. Ограниченный предраковый меланоз Дюбрейля - это состояние неизвестной этиологии, которое одними дерматологами относится к меланомоопасным невусам, другими - к предраковому дерматозу. Чаще всего заболевание возникает у пожилых людей. Вначале на поверхности кожи лица и шеи, реже других участков тела образуется пигментное пятно, которое имеет неровные края, напоминающие контуры географических карт. Пятно постепенно увеличивается в размере, на его поверхности со временем возникают папулы, узелки и другие образования. Ограниченный предраковый меланоз Дюбрея является облигатным предраковым состоянием, при отсутствии лечения он практически всегда приводит к развитию злокачественной меланомы.
Диагностика меланомоопасных невусов
В большинстве случаев определение меланомоопасных невусов производится путем осмотра новообразования дерматологом. Врач обращает внимание на цвет, размеры, форму и характер контуров родинки (ровные или разорванные, нечеткие), путем пальпации определяет ее консистенцию и наличие уплотнений или других изменений относительно здоровой кожи. При расспросе специалист устанавливает возраст, в котором впервые был зафиксирован данный невус, выясняет, имелись ли в анамнезе факты его роста, насколько быстрым был рост, возникали ли какие-либо другие субъективные симптомы (зуд, жжение, боли) в месте расположения новообразования. Все это позволяет диагностировать меланомоопасный невус и предварительно определить признаки его малигнизации.
Более точные данные по поводу характера невуса может дать биопсия тканей с их последующим изучением. Однако, поскольку механическая травма может стать толчком к развитию злокачественного процесса, онкологи и дерматологи избегают использовать этот метод исследования меланомоопасных невусов. Гистологическое изучение возможно только после удаления новообразования хирургическим путем с соблюдением всех мер предосторожности. Строение тканей меланомоопасных невусов отличается большим количеством меланоцитов разной степени дифференцировки - чем она ниже, тем выше вероятность развития меланомы. В некоторых случаях для определения этого состояния используют дополнительные методы исследования - дерматоскопию, термографическое исследование пораженных участков кожи и ряд других.
Лечение меланомоопасных невусов
Единственным надежным методом лечения меланомоопасного невуса является хирургическое удаление новообразования с широким иссечением тканей кожи. Если родинка имеет очень большие размеры (гигантский пигментный невус), может потребоваться пересадка кожи от донора или с других участков тела больного. Во многих случаях кожная пластика выполняется не только с профилактическими, но и косметическими целями, особенно при значительном размере родинки и ее расположении на заметном участке тела. Удаление меланомоопасного невуса необходимо производить только при участии онколога - косметологические методики удаления (криодеструкция, электрокоагуляция и другие) могут не только не избавить больного от этого образования, но и стать причиной его перерождения в меланому.
Прогноз и профилактика меланомоопасных невусов
Прогноз при наличии меланомоопасных невусов зависит от огромного количества факторов: типа новообразования, его расположения, условий работы и образа жизни человека и даже климата, в котором он проживает (в южных районах кожа подвергается более интенсивному воздействию ультрафиолетовых лучей, что повышает риск развития меланомы). После хирургического иссечения невуса необходимо диспансерное наблюдение у онколога или дерматолога для своевременного выявления признаков малигнизации. Аналогичный подход используют и при других родинках с относительно низким онкогенным риском (например, при голубом невусе) - больные с не удаленными новообразованиями каждые 3-6 месяцев осматриваются специалистом.
Пигментные пятна
Пигментные пятна - появление на коже плоских, овальных участков более темного цвета: от светло- до темно-коричневого в результате старения, инсоляции кожи, гормональных изменений в организме, приема некоторых лекарств, применения косметических средств. Пигментные пятна, особенно множественные, представляют собой косметический недостаток, часто сопровождаются сухостью, огрубением кожи, морщинами, проступанием сосудов. Под пигментные пятна могут маскироваться злокачественные новообразования кожи. Прежде, чем приступить к обесцвечиванию пигментных пятен, необходимо выяснить, не являются ли они следствием серьезных нарушений здоровья. Для этого рекомендуется пройти консультацию эндокринолога и терапевта, женщинам - гинеколога.





Пигментные пятна - появление на коже плоских, овальных участков более темного цвета: от светло- до темно-коричневого в результате старения, инсоляции кожи, гормональных изменений в организме, приема некоторых лекарств, применения косметических средств. Пигментные пятна, особенно множественные, представляют собой косметический недостаток, часто сопровождаются сухостью, огрубением кожи, морщинами, проступанием сосудов. Под пигментные пятна могут маскироваться злокачественные новообразования кожи.
За окраску кожи человека отвечают пигменты, в здоровой коже их пять: меланин, каротин, меланоид, оксигемоглобин и восстановленный гемоглобин. При нарушении их концентрации или при отсутствии какого-либо из пигментов на коже образуются пигментные пятна различного размера. Основную роль в окраске кожных покровов играет меланин, он служит барьером на пути ультрафиолетового излучения. В результате скопления меланина в больших количествах на коже и образуются пигментные пятна, они могут быть как врожденными так и приобретенными.

Причины появления пигментных пятен
Основной причиной появления пигментных пятен является длительное и интенсивное воздействие ультрафиолетовых лучей, так как ультрафиолет активизирует выработку меланина. Особенности процессов метаболизма, заболевания органов пищеварения, в частности патологии со стороны печени довольно часто приводят к появлению пигментных пятен. Среди заболеваний эндокринной системы опухоли гипофиза, гипофизарная недостаточность (пангипопитуитаризм), базедова болезнь сопровождаются пигментными пятнами с участками гипо- и гиперпигментации. Нервно-психические расстройства, частые стрессы, нехватка витамина С, гинекологические заболевания и расстройства психики по типу истероидных неврозов тоже могут спровоцировать нарушение пигментации, и, как результат на коже появляются пигментные пятна.
Пигментные пятна, связанные с беременностью в большей части проходят после родов, но иногда они остаются в течение длительного времени.
Веснушки

Веснушки - ephelides широко распространены у людей со светлой кожей. Их появление связано с чрезмерным пребыванием на солнце, в результате чего меланин скапливается в определенных участках кожи. В зависимости от времени года интенсивность их окраски может меняться. Они наблюдаются на лице, иногда на ушах на коже рук и груди. Размер веснушек, степень окраски и их количество вариабельны: от нескольких светлоокрашенных пигментных пятен размером с точечный укол, до крупных коричневых веснушек в больших количествах.
По своей природе пигментные пятна в виде веснушек представляют собой неравномерное распределение участков загара, а потому в холодное время года они могут полностью исчезать. Со временем, интенсивность их окраски так же снижается, так как организм учится более равномерно принимать солнечные лучи. Веснушки не несут угрозы для здоровья и многие обладательницы таких пигментных пятен не считают их косметической проблемой. Однако, если веснушки являются причиной психологического дискомфорта, то их необходимо обесцвечивать и пользоваться солнцезащитными средствами с высоким УФ-фильтром. Следует помнить, что такие крема и лосьоны нужно наносить на всю кожу, а не только на лицо, так как перераспределение меланина в коже происходит с учетом скоплений мелантоцитов.
Пигментные пятна типа ephelides не являются глубокими, а потому химический пилинг с молочной и фруктовыми кислотами способен навсегда избавить от веснушек. Но следует помнить, что косметологические процедуры не изменяют фоточувствительность, поэтому пигментные пятна могут появиться вновь, если не использовать солнцезащитных средств.
Возрастные пигментные пятна

Лентиго (lentigiles seniles) - являются пигментными пятнами, которые появляются у пожилых людей, их еще называют «старческой рябью». Как правило, возрастные пигментные пятна появляются на местах, которые подвергались интенсивному солнечному облучению. Иногда возрастные пигментные пятна лентиго появляются на местах веснушек. Излюбленная локализация - кожа лица, кожа кистей и предплечий, зона декольте и верхней части спины. Так как первые проявления лентиго возникают уже после сорока лет, то они являются явным косметическим дефектом, потому что визуально старят женщин. В период менопаузы из-за изменения гормонального фона интенсивность пигментных пятен и их количество увеличиваются. Лентиго плохо поддаются маскировке с помощью декоративной косметики, химические и механические косметологические процедуры, направленные на отслойку эпидермиса помогают уменьшить их интенсивность. Применение ароматических ретиноидов оздоравливают клетки кожи и нормализуют их деятельность.
Крупные пигментные пятна

Крупные пигментные пятна, называемые хлоазмами или мелазмами (chloasma) возникают на коже лица преимущественно у молодых женщин. Пятна имеют неправильные очертания и склонны к слиянию, образовывая одно крупное пятно причудливой формы. Процесс частично может переходить на кожу шеи и ушей, но плечи и область декольте практически никогда не поражаются. Инсоляция усугубляет состояния пациента, поскольку после пребывания на солнце отмечается увеличение пигментных пятен. Основной причиной появления на коже пигментных пятен типа chloasma, является нарушения гормонального фона (начало менструального цикла, период беременности и лактации, менопауза, прием оральных контрацептивов и прием любых гормональных препаратов).
Некоторые косметические средства, длительное местное применение гормоносодержащих мазей и нанесение ароматических масел непосредственно на кожу могут так же спровоцировать появление пигментных пятен. Обычно, после отмены препаратов или же после родов хлоазмы исчезают самостоятельно. Косметологические процедуры, направленные на отбеливание и на отшелушивание, способны ускорить процесс избавления от пигментных пятен.
Родимые пигментные пятна

Родимые пигментные пятна - невусы (naevus) выглядят как небольшие ровно очерченные участки гиперпигментации, которые в некоторых случаях являются скорее особенностью, нежели косметическим дефектом. Процесс формирования невусов практически тот же, что и при формировании любых других пигментных пятен, в основе лежит неравномерное распределение меланина. Скопление мелантоцитов становится визуально заметным, окраска родинок вариабельна от светло-бежевой до темно-коричневой. Незначительное количество врожденных пигментных пятен есть у всех людей, но если их чрезмерно много или они имеют тенденцию к росту и увеличению, то это является одним из факторов, которые говорят о возможном перерождении пигментного пятна в онкологический процесс кожи.
Поэтому невусы, расположенные в местах трения, на лице следует удалять. Значительное количество таких пигментных пятен, а так же какие-либо изменения с их стороны тоже являются показанием для их удаления. Обычно прибегают к лазерной хирургии, удалению жидким азотом или с помощью диатермокоагуляции. Рубцов или косметических дефектов после удаления пигментных пятен не остается.
Гипопигментации кожи
Альбинизм и витилиго - являются редкими патологиями кожи, причины которых мало изучены, а потому пигментные пятна такого рода тяжело поддаются лечению. Людям, у которых имеется полное или частичное отсутствие мелантоцитов, или же состояния при которых мелантоциты не вырабатывают меланин, категорически запрещена инсоляция. Пигментные пятна с обесцвеченной окраской следует оберегать от солнечных лучей. При альбинизме необходимо пользоваться контактными линзами с защитой от ультрафиолета. Все принципы терапии направлены на улучшение качества жизни, так как солнечные ожоги гипопигментированных пигментных пятен обычно довольно глубокие, а постоянное воздействие солнечных лучей на незащищенную кожу может спровоцировать онкологические процессы.
Лечение пигментных пятен

Возникновение пигментных пятен, особенно тех, которые имеют тенденцию к увеличению, не является признаком здоровья. Поэтому прежде чем начать их обесцвечивание, необходима консультация терапевта, гинеколога и эндокринолога. Если имеются состояния или заболевания, которые могли стать причиной пигментных пятен, то в первую очередь проводится их лечение или коррекция. Далее можно приступать к обесцвечиванию пигментных пятен. Домашние средства не оказывают должного эффекта, так как глубина их проникновения невелика, а потому они воздействуют лишь на поверхностные слои кожи.
Химический пилинг является идеальным вариантом, если пигментных пятен много, но все они неглубокие, например веснушки. В результате воздействия фруктовых кислот на скопления мелантоцитов происходит равномерное обесцвечивание кожи лица. Пигментные пятна постепенно исчезают, а кожа становится бархатистой.
Механическое воздействие на кожу путем дермабразии не так эффективно в отношении пигментных пятен. Микроминиатюризация схожа с химическим пилингом, но активное вещество наносится точечно под вакуумом. Подходит для удаления незначительных по размеру, но глубоких пигментных пятен.
Мезотерапия позволяет вводить активное вещество вглубь тканей, в результате происходит осветление пигментных пятен и улучшение общего состояния кожи. К фотоудалению и к удалению лазером пигментных пятен прибегают при глубоких пятнах.
После процедур состояние кожи нормализуется, но необходимо пользоваться солнцезащитной косметикой, вовремя производить коррекцию заболеваний, чтобы не допустить возникновения новых участков с измененной пигментацией.
Меланома - симптомы и лечение
Что такое меланома? Причины возникновения, диагностику и методы лечения разберем в статье доктора Беляниной Елены Олеговны, онколога со стажем в 25 лет.
Над статьей доктора Беляниной Елены Олеговны работали литературный редактор Маргарита Тихонова , научный редактор Сергей Федосов и шеф-редактор Лада Родчанина
Определение болезни. Причины заболевания
Меланома (от греч. melanos - "чёрный", "тёмный") — это злокачественная опухоль, развивающаяся из меланоцитов (клеток, синтезирующих меланин). Чаще всего она образуется из кожных меланоцитов, то есть располагается на коже. В 7% случаев меланома локализуется на сетчатке глаза и в 1-3% случаев — на слизистых оболочках прямой кишки, полости рта, оболочках головного и спинного мозга. [1] [2]

Эта болезнь — одна из наиболее злокачественных опухолей, которая часто метастазирует в разные органы.
Заболеваемость меланомой продолжает увеличиваться. По росту смертности эта патология занимает второе место после рака лёгкого. [3]
В настоящее время и звестно значительное количество факторов, которые повышают вероятность заболевания меланомой. Ни один из них не может быть признан главным или обязательным дл я возникновения заболевания. Однако современные исследования чётко установили, что основная причина меланомы — воздействие ультрафиолетовых лучей естественного солнечного света (а также излучения солярия) на кожу человека. [1] [4]
Другие факторы риска развития меланомы:
- светлая кожа (склонность к солнечным ожогам, светлые или рыжие волосы, голубой цвет глаз);
- большое количество невусов (родинок), в том числе наличие атипичных;
- меланома в личном анамензе, а также наличие меланомы у кровных родственников;
- солнечные ожоги с образованием пузырей, наличие солнечных ожогов в детстве;
- существование врождённого невуса (риск возрастает пропорционально увеличению его размера).
Особенности меланомы у детей
У детей меланома бывает редко. Однако беспигментная меланома у детей может выглядеть как обычная бородавка. Также часто встречается разновидность невусов — невус Шпитц (резко очерченная куполообразная розовато-красная папулу или бляшку), который также не всегда можно отличить от меланомы. Для уточнения необходимо наблюдение и цифровая дерматоскопия.
При обнаружении схожих симптомов проконсультируйтесь у врача. Не занимайтесь самолечением - это опасно для вашего здоровья!
Симптомы меланомы
Первые признаки меланомы — появление на коже образования, непохожего на остальные по размеру, цвету и форме.
Меланома отличается от родинки следующими признаками: образование асимметричное по цвету и структуре, его края неправильные и зубчатые, оттенки в пределах одного образования отличаются, размер образования более 4 мм. С течением времени меланома изменяется по одному или нескольким ранее перечисленным критериям.
При обследовании важно учитывать, насколько пигментное образование отличается от остальных. Выявление "гадкого утёнка" среди родинок является причиной его более детального осмотра.
Клиническая картина меланомы достаточна разнообразна. Внешне она может представлять собой как незначительное пигментное пятно, так и узловое образование с изъязвлением. Цвет варьируется от светло-коричневого до чёрного.
Зачастую меланома возникает у взрослых, но иногда встречаются случаи врождённой формы заболевания. В детском возрасте меланома развивается редко.
Меланома локализуется на любых участках кожи, в том числе и на ногтевой ложе.

Различают четыре основных типа меланомы в зависимости от клинической картины, течения заболевания, анатомического расположения и гистологических параметров.
1. Поверхностно-распространяющаяся меланома встречается в 65-75% случаев. Для неё характерно длительное течение. Сначала это пятно коричневого цвета, которое постепенно растёт и становится асимметричным по структуре и цвету (появляются вкрапления тёмно-коричневого, чёрного и розового цвета). При переходе в вертикальную фазу роста на пятне появляется утолщение — бляшка. Наиболее часто встречаемая локализация у мужчин — на спине, а у женщин — преимущественно на нижних конечностях.
2. Лентиго-меланома представлена в виде пятна неправильной формы и окраски. Она развивается у лиц пожилого возраста. Чаще всего локализуется на лице, шее и тыле конечностей. Лентиго-меланома растёт на фоне длительно существующего злокачественного лентиго (предракового меланоза Дюбрейля). При инвазии клеток меланомы за пределы эпидермиса на пятне появляются возвышающиеся участки.

3. Узловая меланома представлена выступающим над поверхностью кожи образованием тёмно-коричневого или чёрного цвета. Часто эти образования симметричны и не вызывают подозрений. Однако, как правило, такая меланома характеризуется быстрым ростом и плотные на ощупь. С ростом опухоли она может изъязвляться. Чаще всего располагается на спине, голове и шее.

4. Во всех формах возможны беспигментные варианты (около 2%). Беспигментная (амеланотическая) меланома достаточно сложна для диагностики, так как сначала выглядит как безвредная розово-красная папула.

Поздние симптомы меланомы. Появление метастазов
Признаки метастазов зависят от того, в каком органе они появились:
- головной мозг — головные боли, неврологические симптомы (нарушение чувствительности к теплу, боли, расстройства памяти, координации и подвижности и т. п.);
- кости — боли в спине;
- лимфатические узлы — их увеличение и болезненность;
- на коже вблизи первичного очага — одновременное появление множества чёрных образований.
Патогенез меланомы
Патогенез меланомы, как и всех злокачественных опухолей, весьма сложный. Результат воздействия ультрафиолета на кожу человека (лучей А и В, длиной 280-340 нм) зависит от многих факторов, включающих дозу облучения и индивидуальный ответ организма (особенности иммунного ответа и генетическую предрасположенность).

Ультрафиолетовое облучение вызывает:
- фотохимические реакции;
- повреждение молекулы ДНК (иногда повреждение восстанавливается);
- мутации (когда повреждение ДНК "не лечится" организмом);
- иммунные нарушения.
Образование пиримидиновых димеров (т. е. дефектов ДНК) под действием УФО — основная причина мутаций. [5]
Роль диспластических невусов в развитии меланомы недостаточно ясна. Проводимые исследования пока не ответили на вопрос, являются ли эти образования предраковым состояниям, или развитие меланомы в их зоне является статистически случайным событием.
По данным многочисленных гистологических исследований, около 30% меланом развиваются в области меланоцитарных невусов , остальные 70% развиваются на неизменённой коже. [6] [7] [8]

Таким образом, по имеющимся данным, на фоне невусов развивается небольшой процент всех случаев злокачественной меланомы. [4]
Атипичные невусы в первую очередь являются важными маркерами повышенного риска меланомы. При этом профилактическое удаление таких невусов нецелесообразно (они не являются 100% предшественником меланомы)
Пациенты с диспластическими невусами представляют собой группу повышенного риска и должны находиться под постоянным врачебным наблюдением.
В 7-15% всех случаев меланома является наследственной патологией. При этом обнаруживаются мутации в генах-супрессорах опухолевого роста.
Классификация и стадии развития меланомы
Стадию опухолевого процесса меланомы определяют в соответствии с классификацией TNM. Она зависит от толщины первичной опухоли, а также наличия или отсутствия регионарных и/или отдалённых метастазов.
Для определения стадии меланомы необходимо гистологическое исследование. Оценку состояния лимфоузлов для установления стадии выполняют при помощи клинического осмотра и ультразвукового исследования.
Критерий Т говорит о распространённости первичной опухоли (для классификации по этому критерию необходимо удалить первичную опухоль и провести её гистологическое исследование):
- pТis — первичная (неинвазивная) меланома (I уровень инвазии);
- pТ1 — толщина опухоли ≤ 1 мм:
○ pТ1а — II уровень прорастания опухоли в соседние ткани или III уровень без изъязвления опухоли;
○ pТ1b — IV или V уровень прорастания опухоли в соседние ткани или присутствие её изъязвления;
○ pТ2а — без изъязвления опухоли;
○ pТ2b — с изъязвлением;
○ pТ3а — без изъязвления;
○ pТ3b — с изъязвлением;
○ pТ4а — без изъязвления;
○ pТ4b — с изъязвлением.

Критерий N говорит о существовании или отсутствии метастазов в регионарных лимфоузлах :
Читайте также:
- Базальный тонус сосудов. Растяжимость сосудов. Трансмуральное давление. Мобилизация крови из вен.
- Полинейропатия критических состояний. Диагностика, лечение
- Лечение первичного гиперпластического персистирующего стекловидного тела. Принципы
- Расчет маржинальных издержек. Влияние сокращения числа коек на издержки
- Болезнь Такаясу (неспецифический аортоартериит): причины, симптомы и лечение
