Стоимость восстановления утерянного зуба имплантом снижается
Добавил пользователь Владимир З. Обновлено: 01.11.2025
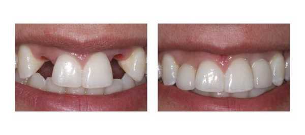
Восстановить утраченный зуб можно с помощью мостовидного протеза, съемного протезирования или имплантации. Традиционное протезирование сразу после удаления не проводится, так как необходимо заживление лунки и восстановление тканей. Вставить имплант на место удаленного зуба можно, если у пациента нет никаких противопоказаний к одномоментной имплантации. В противном случае имплантолог предложит классическую имплантацию с заживлением лунки и последующей установкой имплантата.
Способы имплантации
Имплантация зубов после удаления проводится по двум протоколам:
- — предусматривает установку импланта сразу же в лунку удаленного зуба. Существуют методики, позволяющие провести не только установку импланта, но и фиксацию на него коронки. — требует полного заживления лунки и восстановления костных тканей после удаления. Кость восстанавливается через 2-5 месяцев в зависимости от здоровья пациента. Только потом проводится имплантация.
Через сколько времени возможно поставить имплант выбирает лечащий врач после полной диагностики ротовой полости пациента. Необходимо изучить состояние костной ткани, ее размеры и плотность. По результатам врач принимает решение — отсроченная или немедленная имплантация. Наш Центр оснащен диагностическим оборудованием, поэтому результаты можно получить уже через 15 минут. Но это только предварительная оценка, окончательное решение принимается после удаления зуба.
Ставят ли имплант сразу после удаления
Одномоментная имплантация — мечта всех пациентов. Но ее проведение возможно при достаточном объеме костной ткани, в противном случае имплант не приживется или срастется с костью челюсти неправильно.
Перед операцией проводится оценка кости челюсти — по результатам компьютерной томографии
Окончательное решение о том, можно ли установить имплант сразу, принимается после извлечения зуба по повторному снимку и после оценки размеров лунки. В некоторых случаях ее размеры не позволяют провести одномоментную установку имплантатов. Также потребуется оценка плотности костной ткани на специальном приборе.

Кроме этого, для моментальной имплантации должны соблюдаться условия:
- Не должно быть воспалительных процессов на зубном корне.
- Удаление должно быть максимально аккуратным, чтобы не повредить альвеолярный гребень.
- После извлечения десна должна плотно прилегать к кости.
Показания и противопоказания к одномоментному протоколу
- Механическое повреждение корня — перелом, вывих
- Восстановление фронтальных единиц
- Терапевтическое лечение не принесло результатов
- Достаточный объем костной ткани
- Отсутствие противопоказаний
- Недостаток, рыхлость кости
- Воспаление на верхушке корня
- Увеличенная лунка после удаления
- Воспалительные процессы ротовой полости, патологии десен
- Сниженный иммунитет, системные заболевания
- Беременность, период грудного вскармливания
Как проводится немедленная установка
Одномоментная имплантация характеризуется ускоренными сроками приживления искусственных корней. После того, как удалили зуб и сразу поставили имплант, процесс остеоинтеграции происходит быстрее. Лунка с искусственным корнем начинает заживать, кровяной сгусток превращается в костную ткань, которая окружает имплант на ранних этапах приживления. Это способствует ускоренной остеоинтеграции имплантата с челюстной костью, обеспечивается надежная фиксация и устойчивость.
Этапы:
Подготовительный
Полная диагностика, выбор конструкции при отсутствии противопоказаний.
Удаление зуба, установка искусственного корня
Применяется местная анестезия или седация. В лунке формируется ложе, инсталлируется имплантат, пространство вокруг наполняется костнопластическим материалом. После завершения процедуры десна зашивается. Устанавливается временный съемный протез. Приживление длится 4-6 месяцев.
Протезирование
После остеоинтеграции имплантата с челюстной костью десна вскрывается, на имплант фиксируется формирователь десны на 10-14 дней для создания контура десны. Затем формирователь меняется на абатмент, устанавливается коронка, выполненная по слепку.
В редких случаях возможна фиксация коронки на имплант сразу после его установки. Коронка при этом выводится из прикуса, чтобы имплантат не сместился во время жевания. Такой способ рекомендуется для передних отделов челюсти с целью быстрого восстановления дефекта. Для боковых не подходит из-за активных жевательных нагрузок.
Преимущества и недостатки
- Проводится одна операция, сокращается время ожидания
- Упрощается процесс установки
- Минимальная потеря слизистых и костных тканей после операции
- При соблюдении технологии процент успешных операций — 99,6%
- Противопоказана при хронических воспалениях, заболеваниях
- Не проводится при недостатке кости
- Строгий реабилитационный период, частые посещения имплантолога
Для благоприятного исхода доверьте операцию хирургу с высоким опытом работы по данному протоколу.
Как делают имплантацию, если зуб утрачен давно
Уже через 3 месяца после удаления кость рассасывается настолько, что ее может не хватить для установки импланта и потребуется наращивание. Рекомендуемый срок имплантации — не позже, чем через 2-3 месяца.
От зуба остался только корень: восстановление без имплантации
Перед вами, пожалуй, самый полный и подробный на сегодняшний день guide, гид - путеводитель по решению проблемы восстановления зубов, если от них остались только одни корни. Вместе с полезной теоретической частью вы сможете также ознакомиться и с увлекательными практическими примерами восстановления всех типов зубов, взятых из моей лечебной практики. Если вас интересует ваша конкретная ситуация с зубом, вы сможете ее найти сразу чуть ниже - в разделе Содержание, и быстро перейти по ссылке точно в нужный вам фрагмент текста. Мы начнем с передних зубов и закончим 7-ми жевательными, пройдя по каждому зубу в отдельности. Обещаю, скучно не будет :)
Начнем с цифрового микроскопа
Сложность восстановления коронковой части зуба подразумевает ювелирную точность работы на всех этапах. На этапе диагностики мне помогает определить все нюансы и геометрические параметры цифровой сканер. На этапе протезирования ортопедические работы, особенно если случаи сложные, ведутся мной с применением самого мощного и самого современного на сегодняшний день цифрового стоматологического микроскопа.Обратите внимание - не стандартного аналогового, а цифрового микроскопа, который большинство клиник не только в Москве, но и в России пока не могут себе позволить.
Проблемный зуб и все мои действия транслируются на огромный монитор (или при необходимости - на несколько мониторов). Процессор микроскопа отрабатывает все нюансы, цифровые возможности решают все поставленные мной задачи в рамках каждого клинического случая. Изображение идет в 4К с частотой более 60Гц, что исключает какие либо замедления или запаздавания в передаче изображения на монитор. Увеличение до х40 в цифре возводит лечебный процесс на недосягаемый ранее уровень и исключает все возможные неточности, которые врач может допустить работая как на аналоговом микроскопе, так и в бинокулярах.
Представленные ниже работы проведены в т.ч. под цифровым микроскопом. На сегодняшний день практически во всех подобных клинических случаях его использование мной является обязательным. Это гарантирует пациенту высочайшее качество, комфорт лечения и долговечность восстановленного зуба.
Можно ли сохранить зуб, если остался только корень?
К стоматологам часто обращаются пациенты с проблемой: зуб разрушен полностью, но корень зуба остался. Ранее в большинстве случаев рекомендовалось удаление корня зуба. Но современные методики позволяют сохранить единицу и восстановить ее функциональность.
Также одним из частых и достаточно серьезных факторов разрушения зубов является беременность будущей мамы. В этих случаях применяется как локальное лечение в виде восстановения зубов модулем, так и проводятся тотальные работы, связанные уже с установкой виниров. Результат такой работы с винирами вы видите ниже на фото, саму работу можете посмотреть, перейдя по ссылке:
Если уже удален корень зуба, то выход один - имплантация. Но не спешите . Перед столь радикальным вмешательством приходите на консультацию в передовую профильную клинику с современным оборудованием. Вероятность сохранить остатки зуба и подобрать методику для восстановления коронковой части высока.
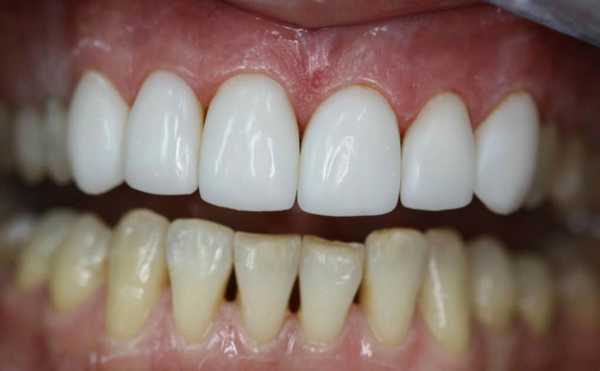
Варианты протезирования передних зубов после удаления
Красивая улыбка, несомненно, имеет значение для человека. Ведь это то, на чем фиксируют свое внимание многие люди при встрече. Улыбка оставляет незабываемое впечатление на собеседника. Она играет важную роль для вашей уверенности при общении.
Записаться на приём

Красивая улыбка, несомненно, имеет значение для человека. Ведь это то, на чем фиксируют свое внимание многие люди при встрече. Улыбка оставляет незабываемое впечатление на собеседника. Она играет важную роль для вашей уверенности при общении. Красивая улыбка улучшит контакт с собеседником, наладит поведение и оставит позади все печали и неуверенность в себе, а также растопит сердце любого незнакомца.
Но если улыбка не идеальна и имеется дефект на передних зубах (трещина зубной пластины, удаленный зуб, искривление прикуса или отломок зуба, кариес), как можно говорить о самоуверенности? Такой человек станет обособленным от других, замкнется, перестанет улыбаться, будет чувство неловкости при общении. Все это может оставить след на профессии человека и на его личной жизни.
Проблемы с передними зубами никому не хочется демонстрировать окружающим, поэтому протезирование является лучшим выходом для таких пациентов.
При выполнении протезирования после удаления важно восстановить и сохранить функции органа:
- Правильный прикус;
- Форму;
- Естественный цвет;
- Здоровье десен.
Протезирование передних зубов также эстетический момент, поэтому для создания красивой улыбки необходимо применение качественных, прочных материалов, которые будут визуально выглядеть хорошо. В стоматологическом центре «Доктор Левин» применяют несколько методик установки протезов и используют ведущие материалы, чтобы подарить каждому пациенту ослепительную улыбку.
Основными показаниями к применению протезов передних зубов является:
- Трещины зубной пластины, сколы, сломанные зубы;
- Утраченные зубы или врожденная адентия;
- Кариозные зубы;
- Искривленный прикус;
- Пожелтение или потемнение эмали;
- Кривые зубы, неправильная форма и неровная «лицевая» поверхность зуба;
- Раннее проведенное неудачное протезирование.
Для решения вашей проблемы и правильного подбора методики установки протезов после удаления передних зубов можно проконсультироваться в стоматологической клинике «Доктор Левин» по телефонам клиники.
Варианты протезирования передних зубов
- Временное и постоянное;
- Съемное и несъемное.
Временные протезы необходимы для экстренного заполнения дефекта. Такой вариант выполняется при сломанном зубе, удалении и при снятии или замене других протезов. Для этого применяют временные протезы из пластмассы или съемные протезы, чтобы закрыть имеющийся дефект. Срок ношения таких имплантатов 30-60 дней. Этого времени будет достаточно, чтобы изготовить постоянный протез, санировать полость рта.

Постоянное протезирование выполняется после приживления корневого имплантата, при здоровых соседних зубах, при отсутствии воспалительных изменений в полости рта.
Съемное протезирование можно использовать у лиц, которым в силу наличия противопоказаний невозможно в данный момент выполнить такую процедуру и она откладывается на некоторый срок. Или когда не удается поставить мост-протез из-за неимения более четырех зубов в ряду или повреждены опорные зубы. Таким пациентам рекомендовано ношение съемных протезов.
Несъемное протезирование проводится согласно показаниям и включает следующие методики:
- Имплантация; ;
- Установка коронок;
- Установка виниров или люминиров.
Существует несколько вариантов протезирования верхних и нижних передних зубов
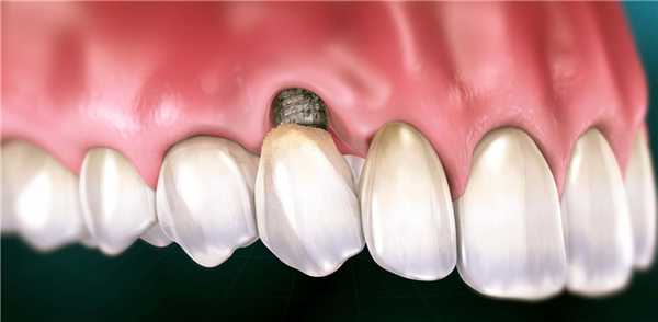
Имплантация искусственных зубов
Современным, долговечным вариантом реставрации передних зубов можно назвать имплантацию. Эта операция по внедрению в кость челюсти, в месте отсутствия зуба, специального штифта, который будет выполнять роль корня зуба и будет противодействовать атрофическим изменениям костной ткани. Данный штифт изготавливается из титана, и не приносит никаких неудобств и осложнений в последующем. Затем на этот титановый стержень устанавливается коронка, изготовленная из керамики. Имплантация дает возможность не трогать здоровые зубы по соседству. Для этой процедуры применяют качественные прочные имплантаты марки Nobel Biocare, на которые идет гарантия на всю жизнь. Имплантированный зуб никак не будет отличаться от остальных, так как коронка выполняется после замера, и точно соответствует форме и естественному оттенку зубов.
Еще одна методика использования протезов передних зубов - установка мостовидного протеза.
Название «мостовидный протез» позаимствован у техников, так как при его установке используется принцип возведения мостов. Мостовидный протез — это вид постоянных стоматологических протезов, они используются при замещении дефектов нескольких зубов (до четырех), подряд. Для этого на соседние хорошие зубы устанавливаются специальные коронки, между которыми будет распложен протез. Отрицательным качеством этой методики является необходимость стачивания поверхности и удаления пульпы здоровых зубов, на которые будут надеты коронки. Также мост необходимо заменять, хотя бы раз в несколько лет. Но при названных недостатках данный метод позволяет избежать оперативного вмешательства.
Протезирование передних зубов с применением коронок
Иногда поражения передних зубов могут быть более серьезными. Тогда подойдет протезирование передних зубов при помощи коронок. Чтобы сделать наиболее естественную форму устанавливаемого зуба, и обеспечить плотное прилегание коронки необходимо обточить пораженный зуб, если нужно, то удалить пульпу и нерв. Затем обработать и запломбировать каналы. После примерки на стоматологический цементный раствор устанавливается керамическая коронка. Лучше всего для протезирования зубов подходят керамические или циркониевые конструкции без металла.
Основными преимуществами таких коронок являются:
- Основа, из которой выполнены протезы, должна быть гипоаллергенной. Что очень важно. Керамические коронки не вызывают явлений аллергии.
- Керамические коронки эстетически выглядят. Исходя из индивидуальных замеров и последующей примерки, можно идеально подобрать нужную форму и цвет, который будет подходить к естественному оттенку натуральных зубов.
- Безметалловые коронки не вызывают потемнение десны вокруг установленного зуба и не оставляют металлический венчик. Также не приводят к альвеолиту, гингивиту и периодонтиту.
- Керамические коронки не будут доставлять дискомфорта при приеме пищи различной температуры.
- Также такие коронки легкие, удобные и долговечные.
Протезирование переднего зуба после удаления
После экстракции зуба, его протезирование лучше делать, используя методику экспресс-имплантации, при отсутствии противопоказаний. Для этого, сразу после удаления зуба, в его альвеолярную ямку устанавливают имплантат и специальный абатмент для формирования правильной формы десны. На него временно устанавливают коронку. По прошествии времени приживления имплантата, приблизительно несколько месяцев, устанавливают постоянную коронку.
К преимуществам экспресс-имплантации можно отнести:
- Данная процедура не нуждается в проведении каких-то дополнительных надрезов, что менее травмирует десну;
- Установка имплантата проводится открытым способом, что также не требует дополнительного оперативного вмешательства;
- Этот метод отлично подойдет пациентам, не желающих ждать, когда заживет лунка и можно будет установить мостовидный протез или коронку.
- Недлительный период заживления;
- Мало побочных неприятных пациенту осложнений.
Установка протезов передних зубов без обточки
Это восстановление поврежденных зубов, когда соседние, предназначенные для опоры, зубы не обтачиваются и не депульпируются. В таком случае стоит выполнить имплантацию. Это - один из наиболее щадящих и атравматичных методов установки верхних и нижних зубов. Суть метода состоит в том, что в месте потерянного зуба в костную ткань челюсти устанавливают имплантат, выполняющий функцию корня. В последующем на него надевают коронку.
Также еще есть методы, не требующие обточки слоя здоровых зубов, но они скорее временные.
Адгезивные мостовидные протезы
Адгезивный протез имеет две специальные опоры на соседние зубы. Такой протез представляет собой балку из стекловолокна или пластика, к которой прикрепляется вставной зуб. Также такой искусственный зуб можно прикрепить с помощью специализированного стоматологического клея. Или же разновидность адгезивного протезирования, когда все же необходима небольшая подготовка соседних зубов, заключающаяся в выполнении нескольких насечек.
Протезирование с использованием микрозамков
Этот метод заключается в создании микроканалов в соседних опорных зубах, для последующей фиксации мостовидного протеза. Такой протез выдерживает нагрузки и не давит на десну, так как параллельно распложенные замки равномерно разделяют нагрузку между собой.
Виниры и люминиры

В качестве эстетических вариантов протезов на передние зубы могут быть использованы виниры и люминиры.
Виниры — это очень тонкие пластинки из фарфора, которым придается цвет, схожий с естественным цветом зубов пациента. Виниры полностью совпадают по форме с естественным зубом. Прикрепляют такие пластинки к фронтальной поверхности зуба.
Люминиры — прозрачные и очень тонкие пластинки толщиной около 0,15 мм. Надеваются на переднюю поверхность зуба. Данная косметическая процедура является неинвазивной, быстрой, безболезненной и на длительный срок.
Эти качества определяют показания к установлению виниров или люминиров:
- Трещина и небольшой скол зуба;
- Пожелтение или потемнение эмали зуба;
- Неровная фронтальная поверхность;
- Искривленные зубы.
Установка протезов передних зубов на верхней и нижней челюстях
Применение протезов передних нижних и верхних зубов с практической точки зрения почти не отличается. Разница может заключаться в том, что установка протезов верхних зубов требует большего внимания врача-стоматолога, так как верхняя челюсть несколько хуже кровоснабжается, чем нижняя, отсюда заживление здесь будет проходить немного дольше. А еще, когда человек улыбается, первыми виднеются передние зубы сверху, поэтому необходимо больше внимания уделить и эстетической стороне протезирования.
Подготовка к протезированию зубов
Многие люди не любят любых стоматологических манипуляций, и это связано со страхом перед невыносимой болью. Не стоит бояться протезирования зубов, поскольку самое неприятное, с чем вы столкнетесь, это обточка зуба и депульпация. И все процедуры проводятся с использованием местных, хороших, сильнодействующих анестетиков.
Важным диагностическим моментом является рентгеновское исследование, для определения количества и размеров корней.
Другими этапами подготовки является оздоровление соседних зубов (снятие налета, лечение кариозного повреждения), которые будут служить опорой для протеза. Если зуб значительно поврежден, прибегают к его экстракции, обработке каналов и последующим их пломбированием.
Для протезирования передних зубов, как и для любой другой манипуляции, имеются противопоказания. Их делят на абсолютные и относительные.
К абсолютным противопоказаниям относят:
- 3-4 стадии онкологических заболеваний;
- Состояния после химиотерапии;
- Иммунодефицитные состояния;
- Тяжелые соматические заболевания в стадии декомпенсированного состояния;
- Сахарный диабет (особенно первый тип);
- Заболевания сердца и сосудов, такие как гипертоническая болезнь с кризовым течением и стенокардия;
- Курение, алкоголизм;
- Нарушения психики;
- Беременность;
- Аллергические реакции на стоматологические лекарства и материалы.
Стоимость протезов передних зубов

Ценовая политика протезирования передних зубов зависит от методики протезирования, вида, и материала из которого изготовлен имплантат.
Цена имплантации Nobel Parallel Conical Connection составляет 85 тыс. руб. Также возможны дополнительные расходы.

Главный врач Центра Приватной Стоматологии «Доктор Левин», кандидат медицинских наук, врач высшей категории
Отторжение зубного импланта

Имплантация - наиболее эффективная технология восстановления утраченных зубов на искусственных корнях из титана (имплантах). Благодаря биосовместимости, зубные имплантаты обычно приживаются, за редким исключением. В первый год после операции теряется не более 1% установленных имплантов. Через несколько лет риск отторжения может достигнуть 4-5%. В статье рассмотрим, почему импланты отторгаются и как снизить вероятность этого.
- Процесс приживления
- Cимптомы отторжения
- Вероятность отторжения на этапах имплантации
- Причины отторжения
- Принятие мер при отторжении
- Снижение рисков
- Часто задаваемые вопросы
Процесс приживления импланта в кости после установки
На скорость и успех остеоинтеграции имплантата влияют:
- Тип, материал и конструкция стержня.
- Место его интеграции. Без осложнений стержень приживается за 2-3 месяца на нижней челюсти, за 4-6 месяцев - на верхней.
- Состояние челюстной кости, возраст пациента, наличие хронических заболеваний.
- Правильность установки имплантатов.
- Соблюдение пациентом послеоперационных рекомендаций.
Приживление импланта можно разделить на две стадии:
Ранняя (до полугода после операции) - на этом этапе вокруг титанового стержня образуется тонкий слой мягкой кости. Постепенно она становится плотнее, и примерно через 6 месяцев, когда костная ткань полностью сформируется, переходят к этапу протезирования.
Поздняя (от 6 месяцев и более после установки) - зубной имплант полностью срастается с челюстной костью. Процесс приживления окончательно завершается примерно через 1,5 года после установки.
Признаки и симптомы отторжения
После операции имплантации пациенты обычно жалуются на кровотечение, боль, отеки, повышенную температура тела. Эти неприятные симптомы в большинстве случаев являются нормальной реакцией организма на хирургическое вмешательство. Однако иногда они могут сигнализировать об отторжении импланта. Как же пациенту понять: заживление протекает нормально, или дело идет к отторжению?
При отторжении имплантата неприятные ощущения усиливаются, или ухудшение наступает после улучшения самочувствия.
- Повышенная температура не спадает, или снова поднимается через 3-4 дня после имплантации.
- Длительное кровотечение, гнойные выделения, характерный запах изо рта.
- Усиливающиеся болевые ощущения, боли при надавливании на имплант. Обезболивающие не помогают.
- Развитие отеков, покраснение десны вокруг титанового стержня, его подвижность.
Если беспокоит какой-либо из перечисленных симптомов - бегите к врачу. В некоторых случаях зубной имплант отторгается бессимптомно, либо с одним из перечисленных признаков.

Имплантация протекает нормально
- Повышенная температура тела (до 38,5С) первые 2 суток после операции.
- Боли в месте наложенных швов до 3 дней, максимум неделя.
- Отек слизистой оболочки. Первые 3 дня нарастает, потом убывает.
- Минимальное кровотечение 2-3 часа. Свидетельствует о повреждении капилляров.
- Сукровица выделяется около 5 дней.
Имплантат не приживается
- Температура тела не ниже 38С, растет, плохо сбивается препаратами.
- Острые, усиливающиеся боли продолжаются более недели.
- Отек не проходит, развивается. Или возникает после нормализации ситуации.
- Продолжительное кровотечение более 1 дня.
- Сукровица выделяется более недели, гнойные выделения, неприятный запах.
- Подвижность стержня
Когда зубной имплант может отторгнуться
Рассмотрим причины отторжения имплантата на этапе приживления и после его полного срастания с челюстной тканью.
На ранней стадии
В первые 3-4 месяца после установки имплантат очень уязвим, поэтому риск его отторжения высок. Титановый штифт может не прижиться по следующим причинам:
Плохое кровоснабжение в области импланта. Кровяной сгусток покрывает рану и обеспечивает ее питательными веществами. Нарушение кровоснабжения обычно вызвано заболеванием крови или аутоиммунными патологиями.
Аутоиммунные заболевания. К ним относятся: волчанка, сахарный диабет 1-го типа, целиакия, ревматоидный артрит. При этих заболеваниях иммунитет человека борется против себя, повреждая организм, из-за чего растет риск отторжения импланта.
Врачебные ошибки на разных этапах имплантации. От качества проведения операции напрямую зависит ее успех. Некоторые врачи допускают ошибки, не учитывая:
- Хронические заболевания и состояние пациента (беременность, период менопаузы, состояние здоровья рта и т.д.).
- Точное место и положение имплантов, состояние кости.
- Качество стерильности полости рта и инструмента, попадание слюны в лунку и фиксирующего цемента на слизистую.
- Правильность ортопедической конструкции.
- Точное расположение импланта, его расстояние до нервного пучка (на нижней челюсти) или до гайморовой пазухи (на верхней челюсти). Если штифт установлен слишком близко к нервному узлу, есть риск травмировать нерв. На верхней челюсти есть опасность перфорации гайморовой пазухи глубоко вживленным имплантом. В обоих случаях имплантат придется удалять.
Перед имплантацией крайне важно, чтобы полость рта была абсолютна здорова: никаких инфекций, патогенных микроорганизмов и больных зубов. Плохая санация рта перед операцией по имплантации зубов чревата развитию мукозита, а затем и периимплантита. Оба воспаления провоцируются обычными бактериями при отсутствии ежедневной гигиены.
Механические повреждения и смещение титанового стержня во время приживления. Очевидно, что повреждение имплантата приводит к его отказу, из-за чего может потребоваться замена стержня.
Лекарственные препараты. На предоперационной консультации важно быть откровенным с врачом относительно медикаментов, которые вы принимаете или принимали недавно. Некоторые из них могут негативно влиять на исход процедуры.
На поздней стадии
Имплант может отторгнуться и после полной остеоинтеграции и установки на него протезной конструкции - через год, два, десять лет и т.д. Факторы позднего отторжения имплантата:
Ошибки врача на этапе протезирования. Импланты могут быть установлены под неправильным углом, из-за чего наблюдается повышенная угловая жевательная нагрузка на них. Сопровождается болями при жевании с покраснением в области штифта.
Воспалительные процессы в области имплантов. Возникают вследствие плохой гигиены рта и развития в ней патогенной микрофлоры. На начальном этапе патология может развиваться бессимптомно, но затем десна воспаляется, опухает и кровоточит. Если не лечить - через один-два года титановый штифт отторгнется.
Облучение головы и шеи. Риск отторжения возрастает, если пациент с раковыми болезнями (рак головы, шеи, полости рта) проходил до этого лучевую терапию.
Причины отторжения
Мукозит . Воспаление десны в области имплантата без признаков утраты костной ткани вокруг штифта. Провоцируется бактериями при плохой гигиене рта. Сопровождается незначительным отеком, покраснением или синюшностью тканей десны. На этом этапе воспаления вероятность сохранить имплант составляет 99,5%.
Периимплантит - развивается на фоне запущенного мукозита. Воспалительный процесс, развивающийся вследствие скопления налета и зубного камня вокруг поверхности имплантата. Он поражает обширный участок тканей вокруг стержня, вследствие чего челюстная кость атрофируется.
Симптомы периимплантита более выраженные, чем у мукозита:
- отек, покраснение десны;
- повышенная температура тела;
- болевые ощущения при механическом воздействии на имплант;
- подвижность титанового штифта;
- кровотечение с выделением экссудата в месте операции.
Легкая - атрофия не более 3 мм кости вокруг стержня, воспаление слизистой, слабые боли.
Средняя - резорбция кости до половины от общего уровня, острые боли, кровотечение, гнойные выделения из области импланта.
Тяжелая - полная убыль костной ткани, образование глубоких карманов, продолжительные кровотечения, выделения экссудатов.

Аллергия на материал . Стержни изготавливаются из биосовместимого титана. Однако при установке низкокачественных имплантатов у пациента может возникнуть аллергическая реакция.
Курение . По статистике, у курильщиков риск отторжения зубных имплантов достигает 23%. Попадая в рот, сигаретный дым повреждает ткани и замедляет регенеративные процессы в области установленного имплантата. Химические соединения в дыму способствуют развитию патогенной микрофлоры, которая провоцирует заболевания пародонта. Курение ускоряет атрофию кости вокруг шейки имплантата.
Пародонтит . У пациентов с пародонтозом в 5 раз выше риск отторжения импланта, в 3 раза выше вероятность развития мукозита, в 14 раз выше риск периимплантита.
Перегрузка при жевании . В отличие от настоящих зубов, имеющих физиологическую подвижность, импланты неподвижны. Поэтому при чрезмерных нагрузках нет никакой компенсации - конструкция берет все давление на себя, костная ткань убывает, образуются сколы на коронках и пародонтальные карманы.
Неправильная позиция вживления импланта . Если искусственный корень установлен неверно, то при протезировании коронка сядет не по центру, нарушая баланс. При жевании возникает перегрузка, что может привести к вывиху имплантата.
Различные заболевания, патологии пациента . Бруксизм, сахарный диабет, остеопороз, иммунные, раковые заболевания повышают риск отторжения имплантата. При сахарном диабете процент приживления импланта равен ≈94%, при условии контроля уровня глюкозы в крови.

Что делать, если началось отторжение
Все зависит от стадии отторжения импланта. Рассмотрим два случая:
Когда можно спасти имплант . Если пациент обратился к врачу на этапе легкой стадии отторжения, почти во всех случаях титановый штифт можно спасти. Для этого удаляются очаги инфекции и пораженные ткани, обеззараживается область импланта.
Сохранить искусственный титановый корень при периимплантите можно на начальной стадии развития воспаления, при условии, что конструкция неподвижна. Лечение проводится с применением антибиотиков.
При средней и тяжелой стадии требуется хирургическое вмешательство:
- Оголенную поверхность штифта очищается от патологических загрязнений и пораженных тканей. Проводится антисептическая обработка ультразвуком и Аир Флоу, Вектор.
- Атрофированная кость восстанавливается костной пластикой: в пораженную область подсаживается искусственная или извлеченная из другой области костная ткань, проводится пластика десны.
- При отторжении из-за перегрузки корректируется положение протезной конструкции.
Когда приходится удалять . Имплантат удаляется при обнаружении малейшей подвижности. Порядок действий врача:
Что предпринимают наши врачи для снижения риска отторжения
- Качественная диагностика . Собираем подробный анамнез, проводим компьютерную томографию, собираем анализы крови пациента, направляем его к узкопрофильным врачам (при необходимости).
- Тщательная подготовка . Проводим санацию полости рта: лечим кариес, пломбируем корневые каналы, чистим зубы профессиональными методами, удаляем мягкие и твердые отложения.
- Соблюдение протокола лечения . Храним инструменты в стерильных условиях. Импланты распаковываем из индивидуальных стерильных упаковок в присутствии пациента.
- Квалифицированные врачи . Стаж работы специалистов клиник Менделеев от 4 до 35 лет. Весь персонал регулярно повышает квалификацию за рубежом.
- Регулярные профилактические осмотры пациента . В период реабилитации после имплантации внимательно следим за тем, как протекает процесс остеоинтеграции имплантатов у наших пациентов вплоть до их полного приживления.
Процент отторжения зубных имплантов в клиниках «Менделеев» не превышает 1% от общего количества установленных нами имплантатов. Всем пациентам даем тройную гарантию на имплантацию зубов, проведенную в наших клиниках в Москве.

Как снизить риск отторжения имплантата
У тех, кто следует рекомендациям стоматолога, вероятность приживления имплантата в разы выше. Вот что для этого нужно делать:
Как поставить зуб, если нет корня? Все методы

Если зуб поврежден, то стоматолог может восстановить его и вернуть пациенту красоту улыбки и полноценное жевание. Но как сделать зуб, если нет корня? Точнее, как вернуть его на место и есть ли такая возможность? И каковы перспективы такого лечения — останется ли этот зуб на месте на долгие годы или придется все время менять протез?
Содержание статьи
- Почему нельзя оставить все как есть?
- Но как поставить зуб, если нет корня?
- Съемные протезы
- Мостовидные протезы
- Имплантация зубов
- Что же выбрать?
Почему нельзя оставить все как есть?
Когда человек теряет зуб в зоне улыбки, то обычно старается восстановить его — но с жевательными зубами, которых не видно, дело обстоит иначе. Многим кажется, что если потерян один жевательный зуб, то ничего страшного не произошло — остальные же на месте, а значит, жевать можно.

Каждый зуб в нашей челюсти несет важную функциональную, а не только эстетическую, нагрузку. Если не восстановить зуб, то неизбежно наступят негативные последствия:
- неправильное распределение жевательной нагрузки приведет к постепенному разрушению зубов рядом с дефектом — ведь им придется работать за себя и за потерянный зуб;
- произойдет атрофия костной ткани — из-за того, что нет нагрузки при жевании;
- появятся дефекты прикуса — если зуба нет годами, то его соседи по ряду понемногу начинают смещаться в сторону пустого места;
- пережевывание пищи станет недостаточно качественным, что с годами приведет к развитию проблем с ЖКТ;
- дефекты прикуса отрицательно повлияют на работу височно-нижнечелюстного сустава, что будет провоцировать боли в шее, головные боли, дискомфорт и боль при открывании рта или жевании, даже бессонницу;
- проявятся нарушения дикции.
Но как поставить зуб, если нет корня?
Главные цели протезирования — это возвращение пациенту возможности нормально пережевывать пищу, восстановление эстетики улыбки и предотвращение дальнейшего разрушения зубов из-за жевательной перегрузки. Вот 3 основных способа вставить зуб:
- съемное протезирование — изготовление протеза из нейлона, акрила, силикона, материала Acry Free (Акри Фри);
- мостовидное протезирование — классическая методика подразумевает обточку двух соседних с дефектом зубов, которые будут использовать как опоры для протеза, замещающего потерянный зуб. Также можно установить мост на имплантатах;
- установка имплантата с последующей нагрузкой коронкой.
Иногда пациенты спрашивают, можно ли нарастить зуб каким-либо способом без протеза? Увы, но нет — если зуб удален или потерян вместе с корнем, то наращивать буквально нечего. Методики наращивания зубов, о которых мы тоже рассказывали, эффективны только в тех случаях, когда есть корень и уцелел некоторый объем коронки.
Съемные протезы

Зубные врачи на протяжении столетий решали задачу: если нет корня, как сделать зуб? Первый вариант, который существует уже несколько тысяч лет, — это съемные протезы. Их находили при раскопках египетских гробниц и на территории индейцев майя, так что это одна из самых древних методик восстановления зубов.
В чем ее плюсы? Это, во-первых, быстро — на изготовление протеза уходит от 3 до 7 дней, в зависимости от сложности работы; во-вторых — недорого по сравнению с мостами или имплантатами. Современные материалы для съемных протезов позволяют создавать похожие на натуральные зубы конструкции, однако у них все равно остаются минусы:
- срок службы даже при тщательном уходе — около 5-7 лет;
- постоянный риск выпадения протеза и необходимость дополнительной фиксации;
- протез не прекращает атрофию кости;
- не позволяет равномерно распределить жевательную нагрузку;
- иногда вызывает дефекты дикции;
- есть риск аллергии на акрил, нейлон, силикон и прочие материалы.
К съемному протезированию сейчас обращаются, если есть абсолютные противопоказания к установке мостов или имплантатов либо как к временной мере, пока пациент ждет изготовления постоянного протеза.
Мостовидные протезы

Старая добрая классика, которую предлагают стоматологи, когда видят, что отсутствует корень. Мосты не нужно вынимать изо рта каждый день, чтобы почистить, в отличие от съемных протезов, они прослужат 10-12 лет при правильном уходе и гораздо лучше справляются с восстановлением жевательной функции. Современные материалы достаточно эффективно возвращают улыбке красивый вид. Цена и срок изготовления такого протеза выше, чем у съемного, но ниже, чем у имплантата.
Какие недостатки у этой методики?
- При классическом протезировании с опорой на собственные зубы из-за неравномерного распределения нагрузки при жевании опорные зубы под мостом постепенно начинают разрушаться.
- Атрофия костной ткани также не останавливается.
- Протез требует специальных средств для чистки — ершиков, щеток и так далее, иначе под ним скапливаются остатки пищи и налет.
- Метод с опорой на имплантаты не всегда возможен — если потерян один зуб или два подряд, то врач не станет удалять соседние здоровые зубы, чтобы поставить на их место имплантаты.
Имплантация зубов

Провокационный вопрос — можно ли поставить коронку на корень зуба? Да, если этот корень — искусственный имплантат из титанового сплава или даже циркония. Установка имплантата решает практически все проблемы при потере зуба:
- останавливает атрофию кости;
- полностью восстанавливает естественное распределение жевательной нагрузки;
- нет ущерба для соседних зубов;
- отличный эстетический результат;
- срок службы имплантата — от 25-30 лет до пожизненного;
- большое число возможных вариантов для создания коронок — керамика, металлокерамика, цельный цирконий или цирконий с керамической облицовкой;
- простота ухода, не отличающаяся от гигиены натуральных зубов.
Что же выбрать?
Что поставить, если нет корня — съемный протез, мост или имплантат? Варианты протезирования подберет стоматолог, исходя из состояния полости рта и наличия относительных или абсолютных противопоказаний. Однако сегодня врачи чаще всего предлагают протезирование на имплантатах. У него только два минуса по сравнению с остальным видами — более высокая цена и длительный срок протезирования с несколькими этапами. Однако это компенсируется отличным, долговременным и прогнозируемым результатом. Кроме того, технологии имплантации постоянно совершенствуются, уже есть методики и имплантаты, позволяющие значительно сократить сроки протезирования.
Читайте также:
- Генетический контроль патогенности и вирулентности. Генотипическое снижение вирулентности. Фенотипическое снижение вирулентности. Аттенуация.
- Пограничные психические расстройства у глухих детей. Интеллект у глухонемого ребенка
- Головокружение при сердечных аритмиях: клиника, диагностика, лечение
- Введение в лучевую диагностику травм коленного сустава
- Нервная система при церамидозе (липогрануломатозе, болезни Фарбера)
